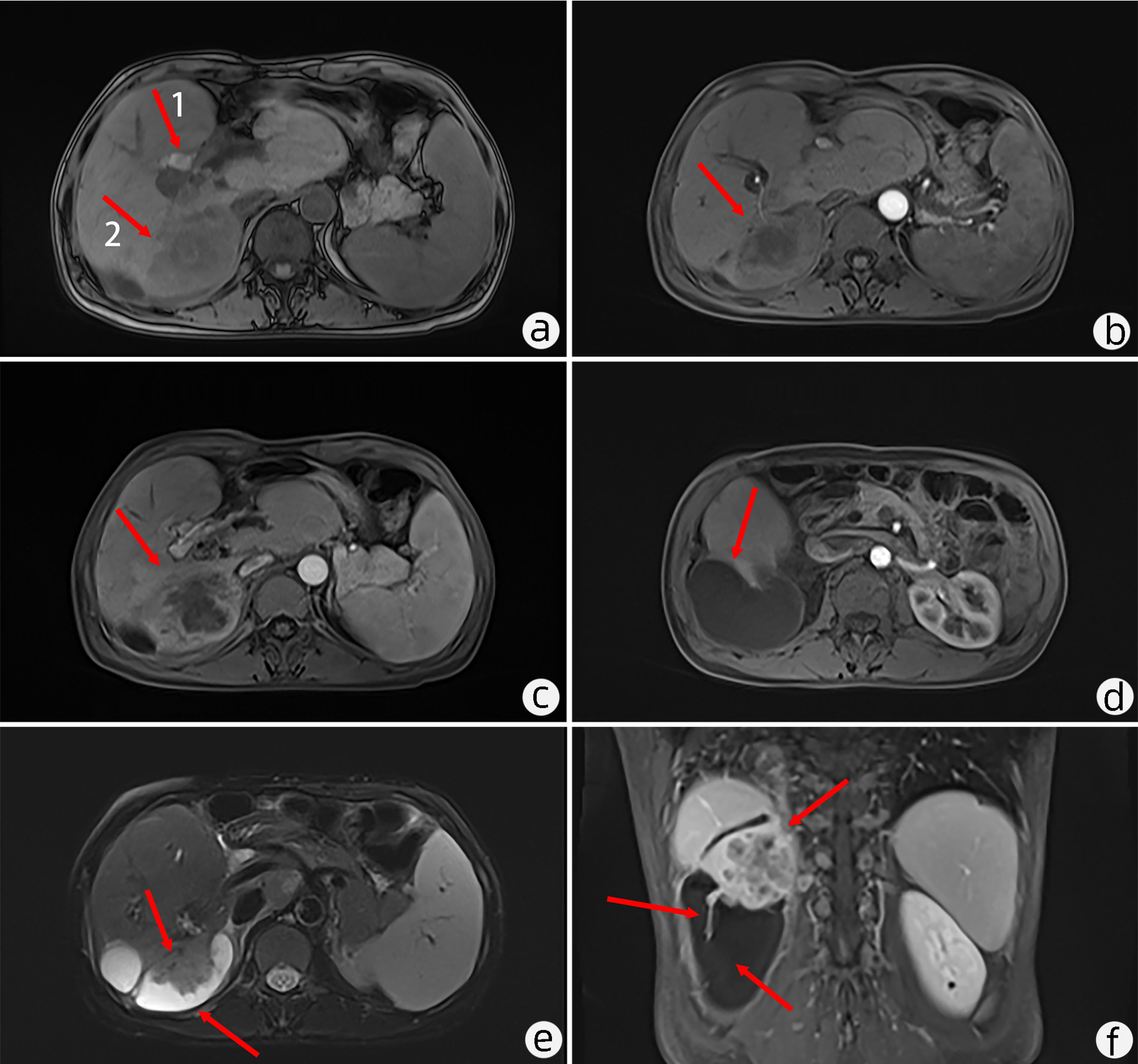
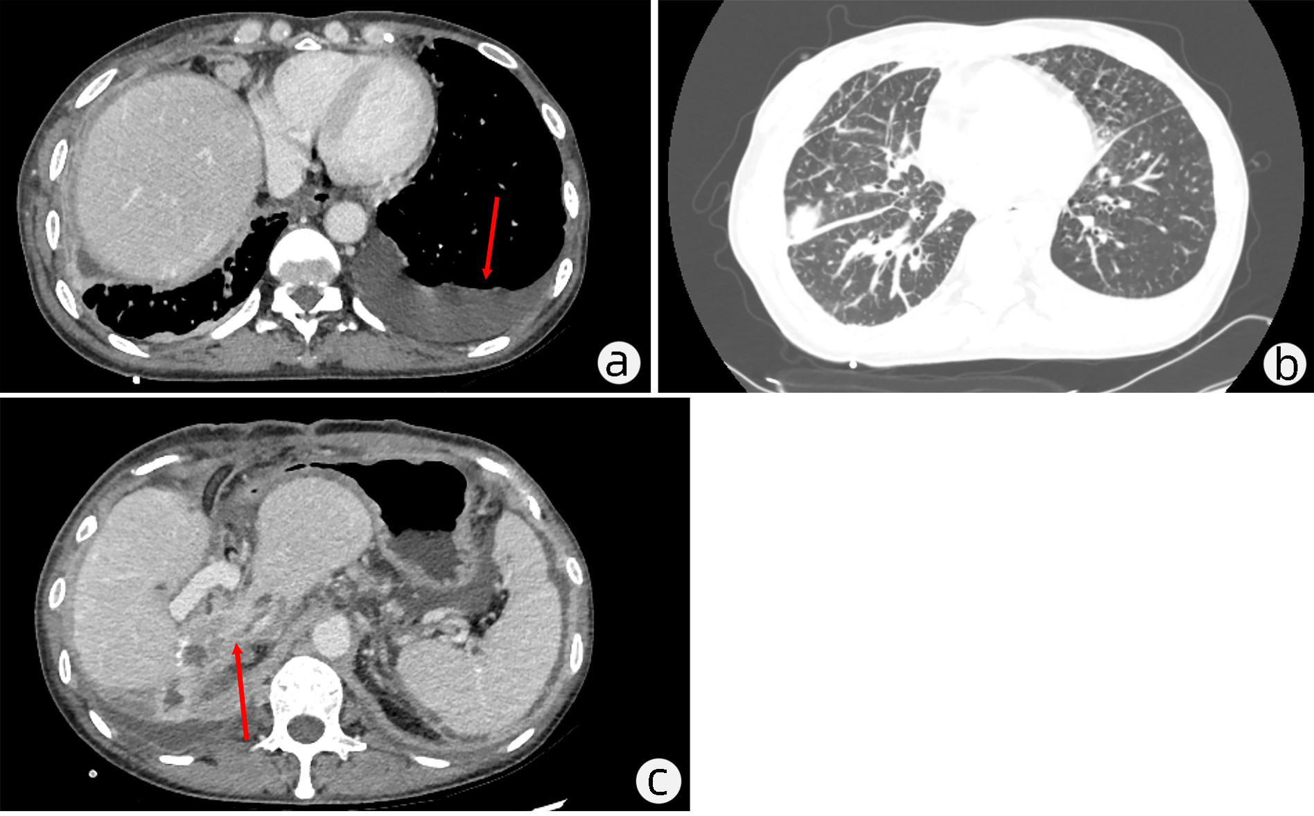
原发性肝黏液表皮样癌1例报告
DOI: 10.3969/j.issn.1001-5256.2023.01.023
伦理学声明:本例报告已获得患者家属知情同意。
利益冲突声明:所有作者均声明不存在利益冲突。
作者贡献声明:王俊杰负责撰写初稿;陈诚负责图片加工;吴涯昆负责修改并最终定稿。
-
-
Key words:
- Carcinoma, Mucoepidermoid /
- Liver Neoplasms /
- Diagnosis, Differential
-
-
[1] PERAZA A, GÓMEZ R, BELTRAN J, et al. Mucoepidermoid carcinoma. An update and review of the literature[J]. J Stomatol Oral Maxillofac Surg, 2020, 121(6): 713-720. DOI: 10.1016/j.jormas.2020.06.003. [2] GUO XQ, LI B, LI Y, et al. Unusual mucoepidermoid carcinoma of the liver misdiagnosed as squamous cell carcinoma by intraoperative histological examination[J]. Diagn Pathol, 2014, 9: 24. DOI: 10.1186/1746-1596-9-24. [3] JIANG Y, PENG ZW, YI SJ, et al. Argon-helium knife cryoablation in treatment of pulmonary mucoepidermoid carcinoma: A case report and literature review[J]. J Jilin Univ(Med Edit), 2022, 48(4): 1040-1044. DOI: 10.13481/j.1671-587X.20220426.江洋, 彭昭文, 易舒婧, 等. 氩氦刀冷冻消融治疗肺黏液表皮样癌1例报告及文献复习[J]. 吉林大学学报(医学版), 2022, 48(4): 1040-1044. DOI: 10.13481/j.1671-587X.20220426. [4] PIANZOLA LE, DRUT R. Mucoepidermoid carcinoma of the liver[J]. Am J Clin Pathol, 1971, 56(6): 758-761. DOI: 10.1093/ajcp/56.6.758. [5] HO JC. Two cases of mucoepidermoid carcinoma of the liver in Chinese[J]. Pathology, 1980, 12(1): 123-128. DOI: 10.3109/00313028009060061. [6] KOO J, HO J, WONG J, et al. Mucoepidermoid carcinoma of the bile duct[J]. Ann Surg, 1982, 196(2): 140-148. DOI: 10.1097/00000658-198208000-00005. [7] KATSUDA S, NAKANISHI I, KAJIKAWA K, et al. Mucoepidermoid carcinoma of the liver[J]. Acta Pathol Jpn, 1984, 34(1): 153-157. DOI: 10.1111/j.1440-1827.1984.tb02194.x. [8] LAMBRIANIDES AL, ASKEW AR, LEFEVRE I. Thorotrast-associated mucoepidermoid carcinoma of the liver[J]. Br J Radiol, 1986, 59(704): 791-792. DOI: 10.1259/0007-1285-59-704-791. [9] HAYASHI I, TOMODA H, TANIMOTO M, et al. Mucoepidermoid carcinoma arising from a preexisting cyst of the liver[J]. J Surg Oncol, 1987, 36(2): 122-125. DOI: 10.1002/jso.2930360210. [10] CHOI D, KIM H, LEE KS, et al. Mucoepidermoid carcinoma of the liver diagnosed as a liver abscess: report of a case[J]. Surg Today, 2004, 34(11): 968-972. DOI: 10.1007/s00595-004-2820-7. [11] ARAKAWA Y, SHIMADA M, IKEGAMI T, et al. Mucoepidermoid carcinoma of the liver: report of a rare case and review of the literature[J]. Hepatol Res, 2008, 38(7): 736-742. DOI: 10.1111/j.1872-034X.2008.00335.x. [12] WATANABE J, KAI K, TANIKAWA K, et al. Primary mucoepidermoid carcinoma of the liver with CRTC1-MAML2 fusion: a case report[J]. Diagn Pathol, 2019, 14(1): 84. DOI: 10.1186/s13000-019-0863-8. [13] GOODE RK, AUCLAIR PL, ELLIS GL. Mucoepidermoid carcinoma of the major salivary glands: clinical and histopathologic analysis of 234 cases with evaluation of grading criteria[J]. Cancer, 1998, 82(7): 1217-1224. DOI: 10.1002/(sici)1097-0142(19980401)82:7<1217::aid-cncr2>3.0.co;2-c. [14] XU W, WANG Y, QI X, et al. Prognostic factors of palatal mucoepidermoid carcinoma: a retrospective analysis based on a double-center study[J]. Sci Rep, 2017, 7: 43907. DOI: 10.1038/srep43907. [15] ZHANG D, LIAO X, TANG Y, et al. Warthin-like mucoepidermoid carcinoma of the parotid gland: unusual morphology and diagnostic pitfalls[J]. Anticancer Res, 2019, 39(6): 3213-3217. DOI: 10.21873/anticanres.13461. [16] ISHIBASHI K, ITO Y, MASAKI A, et al. Warthin-like mucoepidermoid carcinoma: a combined study of fluorescence in situ hybridization and whole-slide imaging[J]. Am J Surg Pathol, 2015, 39(11): 1479-1487. DOI: 10.1097/PAS.0000000000000507. [17] SONG TT, QIN MM, ZHAO YH, et al. Clinicopathological analysis of breast metastasis from mucoepidermoid carcinoma of the salivary gland[J]. Chin J Diagn Pathol, 2021, 28(8): 671-672, 677. DOI: 10.3969/j.issn.1007-8096.2021.08.015.宋婷婷, 秦蜜蜜, 赵玉红, 等. 涎腺黏液表皮样癌乳腺转移的临床病理分析[J]. 诊断病理学杂志, 2021, 28(8): 671-672, 677. DOI: 10.3969/j.issn.1007-8096.2021.08.015. [18] KOMIYA T, PEREZ RP, YAMAMOTO S, et al. Primary lung mucoepidermoid carcinoma: analysis of prognostic factors using surveillance, epidemiology and end results program[J]. Clin Respir J, 2017, 11(6): 847-853. DOI: 10.1111/crj.12426. [19] GRANIC M, SUTON P, MUELLER D, et al. Prognostic factors in head and neck mucoepidermoid carcinoma: experience at a single institution based on 64 consecutive patients over a 28-year period[J]. Int J Oral Maxillofac Surg, 2018, 47(3): 283-288. DOI: 10.1016/j.ijom.2017.09.005. [20] GILL S, MOHAN A, AGGARWAL S, et al. Mucoepidermoid carcinoma of hard palate[J]. Indian J Pathol Microbiol, 2018, 61(3): 397-398. DOI: 10.4103/IJPM.IJPM_617_17. [21] MILANOVIC D, JEREMIC B, KAYSER G, et al. Relapsing high grade mucoepidermoid carcinoma. Long-lasting complete response following reirradiation and EGFR blockade[J]. Strahlenther Onkol, 2012, 188(6): 518-522. DOI: 10.1007/s00066-012-0096-1. [22] GHAZALI N, PARKER L, SETTLE K, et al. Sustained response of HER2-positive metastatic salivary adenocarcinoma, not otherwise specified, treated with trastuzumab[J]. Oral Surg Oral Med Oral Pathol Oral Radiol, 2016, 122(3): 292-299. DOI: 10.1016/j.oooo.2016.03.020. [23] de BLOCK K, VANDER POORTEN V, DORMAAR T, et al. Metastatic HER-2-positive salivary gland carcinoma treated with trastuzumab and a taxane: a series of six patients[J]. Acta Clin Belg, 2016, 71(6): 383-388. DOI: 10.1080/17843286.2016.1173940. [24] CORRÊA TS, MATOS G, SEGURA M, et al. Second-line treatment of HER2-positive salivary gland tumor: ado-trastuzumab emtansine (T-DM1) after progression on trastuzumab[J]. Case Rep Oncol, 2018, 11(2): 252-257. DOI: 10.1159/000488669. -

PDF下载 ( 3007 KB)
下载:
