中文English
ISSN 1001-5256 (Print)
ISSN 2097-3497 (Online)
CN 22-1108/R
Volume 39 Issue 4
Apr.  2023
Turn off MathJax
Article Contents

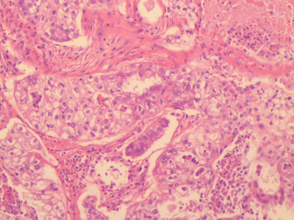
Primary clear cell carcinoma of the gallbladder: A case report

DOI: 10.3969/j.issn.1001-5256.2023.04.023
Research funding:

Shandong Province Key R&D Program Project (2018GSF118191);

Shandong Provincial Medicine and Health Science and Technology Development Plan Project (2017WS321)

More Information
  • Corresponding author: SUN Xiangjun, sunxjun2004@sina.com (ORCID: 0000-0002-5958-9556)
  • Received Date: 2022-09-06
  • Accepted Date: 2022-10-06
  • Published Date: 2023-04-20
  • loading
  • [1]
    Branch of Biliary Surgery, Chinese Surgical Society; Chinese Committee of Biliary Surgeons. Guideline for the diagnosis and treatment of gallbladder carcinoma (2019 edition)[J]. Chin J Surg, 2020, 58(4): 243-251. DOI: 10.3760/cma.j.cn112139-20200106-00014.

    中华医学会外科学分会胆道外科学组, 中国医师协会外科医师分会胆道外科专业委员会. 胆囊癌诊断和治疗指南(2019版)[J]. 中华外科杂志, 2020, 58(4): 243-251. DOI: 10.3760/cma.j.cn112139-20200106-00014.
    [2]
    MAHARAJ R, CAVE C, SARRAN K, et al. A case report of the clear cell variant of gallbladder carcinoma[J]. Int J Surg Case Rep, 2017, 32: 36-39. DOI: 10.1016/j.ijscr.2017.01.020.
    [3]
    YI XM, HE SG, MO ZQ. Expression of CCR3 in renal clear cell carcinoma and its effect on invasion and metastasis of renal clear cell carcinoma cells[J]. J Clin Exp Med, 2021, 20(6): 598-602. DOI: 10.3969/j.issn.1671-4695.2021.06.011.

    易小明, 何树光, 莫祚群. CCR3在肾透明细胞癌中的表达及对肾透明细胞癌细胞侵袭、转移能力的影响[J]. 临床和实验医学杂志, 2021, 20(6): 598-602. DOI: 10.3969/j.issn.1671-4695.2021.06.011.
    [4]
    SU J, WANG G, FENG SW. Expression and clinical significance of miR-4313 and TBX15 in clear cell renal cell carcinoma[J]. China Med Herald, 2021, 18(10): 19-22, cover 3. https://www.cnki.com.cn/Article/CJFDTOTAL-YYCY202110006.htm

    苏计, 王刚, 冯世伟. 透明细胞肾细胞癌组织中miR-4313、TBX15的表达及临床意义[J]. 中国医药导报, 2021, 18(10): 19-22, 封3. https://www.cnki.com.cn/Article/CJFDTOTAL-YYCY202110006.htm
    [5]
    LIU TT, FU X, WANG YM, et al. Clinicopathologic observation of rare gallbladder malignant clear cell tumors[J]. Mod Oncol, 2019, 27(9): 1566-1570. DOI: 10.3969/j.issn.1672-4992.2019.09.024.

    刘坦坦, 付欣, 王映梅, 等. 胆囊罕见恶性透明细胞肿瘤的临床病理观察[J]. 现代肿瘤医学, 2019, 27(9): 1566-1570. DOI: 10.3969/j.issn.1672-4992.2019.09.024.
    [6]
    COSTA NEVES M, NEOFYTOU K, GIAKOUSTIDIS A, et al. Two cases of gallbladder metastasis from renal cell carcinoma and review of literature[J]. World J Surg Oncol, 2016, 14: 87. DOI: 10.1186/s12957-016-0843-3.
    [7]
    ZHANG C, ZHANG W, MU D, et al. A clear cell adenocarcinoma of the gallbladder with hepatoid differentiation: case report and review of literature[J]. Onco Targets Ther, 2016, 9: 5797-5802. DOI: 10.2147/OTT.S103291.
    [8]
    ZHENG Z, CHEN XF, CHENG Y, et al. Gallbladder metastasis from renal clear cell carcinoma: a case report[J]. Chin J Urol, 2021, 42(7): 542-543. DOI: 10.3760/cma.j.cn112330-20200407-00273.

    郑重, 陈晓峰, 程跃, 等. 肾透明细胞癌胆囊转移一例报告[J]. 中华泌尿外科杂志, 2021, 42(7): 542-543. DOI: 10.3760/cma.j.cn112330-20200407-00273.
    [9]
    YAO XJ, CHEN XY, XU JQ, et al. Gallbladder metastasis of clear cell renal cell carcinoma: A case report and literature review[J]. Chin J Hepatobiliary Surg, 2019, 25(2): 127-128. DOI: 10.3760/cma.j.issn.1007-8118.2019.02.012.

    姚秀娟, 陈祥义, 许建秋, 等. 肾透明细胞癌胆囊转移一例并文献复习[J]. 中华肝胆外科杂志, 2019, 25(2): 127-128. DOI: 10.3760/cma.j.issn.1007-8118.2019.02.012.
    [10]
    ZHANG W, YU WJ, XIA Y, et al. Expression of carbonic anhydrase Ⅸ, PAX2 and PAX8 and their association with clinicopathologic characteristics in renal epithelial tumors[J]. Chin J Pathol, 2013, 42(7): 442-445. DOI: 10.3760/cma.j.issn.0529-5807.2013.07.003.

    张伟, 于文娟, 夏岩, 等. 碳酸酐酶Ⅸ、PAX2和PAX8在肾上皮性肿瘤中的表达及临床病理意义[J]. 中华病理学杂志, 2013, 42(7): 442-445. DOI: 10.3760/cma.j.issn.0529-5807.2013.07.003.
    [11]
    TIAN W, DING HH, YU Y, et al. The clinical significance of Ki-67 in judging the postoperative prognosis of patients with unexpected gallbladder cancer[J]. J Guzhou Med Univ, 2020, 45(10): 1208-1213. DOI: 10.19367/j.cnki.2096-8388.2020.10.016.

    田雾, 丁海华, 于洋, 等. Ki-67对意外胆囊癌术后患者预后判断的价值[J]. 贵州医科大学学报, 2020, 45(10): 1208-1213. DOI: 10.19367/j.cnki.2096-8388.2020.10.016.
  • 加载中

Catalog

    通讯作者: 陈斌, bchen63@163.com
    • 1. 

      沈阳化工大学材料科学与工程学院 沈阳 110142

    1. 本站搜索
    2. 百度学术搜索
    3. 万方数据库搜索
    4. CNKI搜索

    Figures(2)

    Article Metrics

    Article views (587) PDF downloads(52) Cited by()
    Proportional views
    Related

    /

    DownLoad:  Full-Size Img  PowerPoint
    Return
    Return