中文English
ISSN 1001-5256 (Print)
ISSN 2097-3497 (Online)
CN 22-1108/R

Vol.40 No.2 (280 in total) Feb. 2024
Theme Issue: Clinical Practice and Research Advances in Artificial Liver Support Therapy
Executive Chief Editor: HAN Tao
Tianjin People's Hospital, Tianjin Union Medical Center Affiliated to Nankai University

Display Method:
Editorial
Clinical practice and research advances in artificial liver support therapy
Tao HAN, Qian ZHANG
2024, 40(2): 225-228. DOI: 10.12449/JCH240201
Abstract(1724) HTML (1060) PDF (546KB)(294)
Abstract:
Artificial liver support system is one of the important therapies for liver failure, and in recent years, the role of non-bioartificial liver support system in the treatment of liver failure has been gradually recognized, with wide application in non-liver failure diseases. In clinical practice, various factors should be considered to reasonably select the timing and mode of non-bioartificial liver support therapy, and standardized, individualized, and precise treatment and optimal combination of different modes are the trend of the clinical application of artificial liver support therapy. There have been constant improvements in the key techniques of bioartificial liver support system such as seed cell source and bioreactor, and some of them have entered the stage of clinical trial. Although remarkable progress has been made in the clinical practice and research of artificial liver support therapy, there are still many challenges, and it is urgently needed to solve the problems of how to further improve its efficacy and safety through technological innovation and combination optimization and how to obtain higher-level evidence-based medical evidence through high-quality clinical trials.
Expert Forum
Artificial liver support therapy for patients with pre-liver failure
Jing ZHANG, Xinmin ZHOU
2024, 40(2): 229-232. DOI: 10.12449/JCH240202
Abstract(965) HTML (593) PDF (540KB)(272)
Abstract:
Liver failure is a common clinical syndrome of severe liver disease with rapid progression and high mortality. Therefore, early intervention in pre-liver failure or “golden window” is of great significance in improving the prognosis of patients. Hepatitis B virus-related acute-on-chronic liver failure and alcohol-related acute-on-chronic liver failure are the main topics of studies on pre-liver failure. This article discusses the pathogenesis of pre-liver failure and artificial liver support therapy, so as to guide the reasonable and affective applications of artificial liver technology in clinical practice, promote related studies, and thereby reduce the mortality rate of patients with liver failure.
Research advances in combined artificial liver
Yue HUANG, Hong PENG, Xinhua LUO
2024, 40(2): 233-238. DOI: 10.12449/JCH240203
Abstract(1613) HTML (537) PDF (614KB)(273)
Abstract:
At present, in vitro artificial liver support system has achieved a good therapeutic effect in the diseases such as liver failure due to various causes, non-function state before and after liver transplantation, and severe cholestasis. Non-bioartificial liver (NBAL) is widely used in clinical practice through various combinations of modes, mainly the plasma exchange mode for improving coagulation factors and albumin combined with other modes for enhancing the elimination of toxic substances in the body. Bioartificial liver (BAL), based on the design concept of the synthesis and transformation of hepatocytes, has achieved rapid development in recent years. Patients with liver failure can almost obtain the normal physiological function of human liver after NBAL detoxification and BAL synthesis and transformation of active substances in the body. NBAL mode combined with BAL with a stable therapeutic effect according to the conditions of the patient is the direction of in vitro support treatment for patients with severe liver disease in the future.
Optimization of non-bioartificial liver technology and research advances in biological artificial liver
Li ZHOU, Yanrong YANG, Yu CHEN
2024, 40(2): 239-245. DOI: 10.12449/JCH240204
Abstract(1499) HTML (852) PDF (693KB)(175)
Abstract:
Liver failure is a common clinical syndrome with rapid progression and poor prognosis. Currently, there are still limited internal medical treatment methods for liver failure, and artificial liver support therapy is an effective treatment method. Non-bioartificial liver technology is widely used in clinical practice, and clinicians should determine the starting time, mode, and specific parameters of treatment according to the pathophysiological mechanism and dynamic evolution process of the disease, as well as the specific conditions of patients. Compared with non-bioartificial liver, biological artificial liver can better simulate the biological function of liver cells. At present, substantial progress has been made in its core technology, and related clinical studies are being conducted actively, suggesting a vast potential for future development. This article summarizes and discusses the optimization of non-bioartificial liver technology and the advances in biological artificial liver, in order to provide a reference for the clinical application and research of artificial liver technology.
Source and application of seed cells in bioartificial liver support system
Xuejing ZHU, Weijian HUANG, Hexin YAN
2024, 40(2): 246-251. DOI: 10.12449/JCH240205
Abstract(1618) HTML (384) PDF (877KB)(155)
Abstract:
So far, there are still no specific treatment methods for severe hepatitis and liver failure, resulting in a mortality rate of over 70%, and they are the difficulties in the treatment of critical illness in China and globally. Liver transplantation is currently the most effective treatment method for end-stage liver disease, but only 1%‍ ‍—‍ ‍2% of patients can receive the opportunity for organ transplantation. The bioartificial liver support system utilizes external mechanical, physical, and biological devices to remove various harmful substances accumulated in the patient’s body, compensate for the metabolic functions of the liver, supplement necessary substances, improve internal environment, promote the recovery of liver function, help patients get through the critical period, and save time for liver transplantation, and therefore, it is considered one of the important methods for the treatment of end-stage liver disease. Since hepatocytes are the core element of bioartificial liver, this article summarizes the sources of liver seed cells, 3D culture methods, and corresponding bioreactor culture systems and hopes to gradually solve the core issue of large-scale in vitro preparation of hepatocytes to obtain hepatocytes with adequate quantity and quality, which urgently needs to be addressed in clinical application.
Guideline
An excerpt of European Society for Organ Transplantation consensus statement on biomarkers in liver transplantation (2023)
Yi BAI, Jinming LI, Yamin ZHANG
2024, 40(2): 252-257. DOI: 10.12449/JCH240206
Abstract(1046) HTML (398) PDF (615KB)(125)
Abstract:
In August 2023, the European Society for Organ Transplantation (ESOT) published the ESOT Consensus Statement on Biomarkers in Liver Transplantation online. The consensus statement focuses on biomarkers in liver transplantation, clinical applicability, and future needs and explores the role of new biomarkers in predicting liver transplantation outcomes by reviewing the literature on primary disease recurrence, development of chronic kidney disease (CKD), and safe weaning of immunosuppression. This consensus statement conducts studies from the four aspects of recurrent liver disease after liver transplantation, recurrent hepatocellular carcinoma, weaning of immunosuppression, and CKD progression, emphasizes the importance of biomarkers in predicting or detecting disease recurrence, and proposes that large-scale prospective studies are still needed to improve the quality of evidence. The author’s team gives an excerpt of the consensus statement and systematically introduces the four aspects of the consensus statement and related discussions and conclusions, in order to provide more evidence-based medical evidence for identifying and exploring new biomarkers for liver transplantation.
Viral Hepatitis
Clinical features of critically ill pregnant and parturient women infected with chronic hepatitis B virus: An analysis of 41 cases
Yuhao JU, Wen LI, Yu WANG, Lingyan XIAO, Yishan ZHENG, Guorong HAN
2024, 40(2): 258-263. DOI: 10.12449/JCH240207
Abstract(1098) HTML (285) PDF (670KB)(111)
Abstract:
  Objective  To investigate the clinical features and outcomes of critically ill pregnant and parturient women with chronic hepatitis B virus (HBV) infection, and to provide clinical experience for the rescue of critically ill pregnant and parturient women and the prevention and treatment of the severe exacerbation of liver disease.  Methods  A total of 41 pregnant and parturient women with chronic HBV infection who were admitted to Department of Critical Care Medicine, Nanjing Second Hospital, from March 2013 to March 2023 were enrolled in this study, and their clinical data were collected through the electronic medical record system of hospital to summarize the main causes of transfer to the intensive care unit (ICU), the causes of death, and treatment. The independent-samples t test was used for comparison of normally distributed continuous data between two groups, and the Mann-Whitney U test was used for comparison of non-normally distributed continuous data between two groups. The chi-square test was used for comparison of categorical data between two groups.  Results  Among the 41 patients, 13 (31.71%) did not receive regular antenatal examination and 8 (19.51%) with a high viral load (HBV DNA ≥2×105 IU/mL) did not receive antiviral therapy. Cesarean section was the main mode of delivery in 32 patients (78.05%); 23 patients (56.10%) had premature delivery, and 5 patients died (12.20%). The top three causes of transfer to the ICU were liver failure, postpartum hemorrhage, and hypertensive disorders of pregnancy. Liver failure mainly occurred in late pregnancy, with hepatic encephalopathy as the most common complication (28.57%) and intrahepatic cholestasis of pregnancy as the most common comorbidity (21.43%); among the 14 patients with liver failure, 6 (42.86%) received regular antenatal examination, and 13 (92.86%) did not receive antiviral therapy before admission. The mean length of ICU stay was 3.31±1.65 days for the patients with postpartum hemorrhage, among whom the patients with severe liver disease had coagulation disorders before delivery, which were difficult to correct after 48 hours of treatment.  Conclusion  Pregnant and parturient women with chronic HBV infection tend to have complex conditions and a relatively high mortality rate. For pregnant and parturient women with chronic HBV infection, assessment of liver status, regular antenatal examination, and timely antiviral therapy are of vital importance to reduce severe exacerbation and mortality rate.
Value of serum creatinine-to-cystatin C ratio in assessing the prognosis of hepatitis B virus-related acute-on-chronic liver failure
Daqing LIU, Yan HUANG, Jianhe GAN
2024, 40(2): 264-270. DOI: 10.12449/JCH240208
Abstract(1096) HTML (431) PDF (799KB)(95)
Abstract:
  Objective  To investigate the clinical value of serum creatinine-to-cystatin C ratio (CCR) in evaluating the prognosis of hepatitis B virus-related acute-on-chronic liver failure (HBV-ACLF).  Methods  A retrospective analysis was performed for the clinical data of 130 patients with HBV-ACLF (treatment group) who were hospitalized in Department of Infectious Diseases, The First Affiliated Hospital of Soochow University, from January 2021 to November 2022. According to the treatment outcome, they were divided into survival group with 87 patients and death group with 43 patients; according to the presence or absence of infection, they were divided into infection group with 37 patients and non-infection group with 93 patients. A total of 30 individuals who underwent physical examination during the same period of time were enrolled as control group. Routine blood test results were collected on the day of admission, including white blood cell count, platelet count, neutrophil count, and lymphocyte count; serum creatinine, cystatin C, serum albumin (Alb), and prothrombin time (PT) were observed on the day of admission and on days 5, 10, and 15 of hospitalization, and related indicators were calculated, including CCR, neutrophil-to-lymphocyte ratio (NLR), platelet-to-lymphocyte ratio (PLR), prognostic nutritional index (PNI), CCR5 (CCR on day 5 after admission), ΔCCR5 (CCR on day 5 after admission minus CCR on the day of admission), CCR10 (CCR on day 10 after admission), ΔCCR10 (CCR on day 10 after admission minus CCR on day 5 after admission), CCR15 (CCR on day 15 after admission), and ΔCCR15 (CCR on day 15 after admission minus CCR on day 10 after admission). The above indicators were compared between the survival group and the death group and between the infection group and the non-infection group. The Mann-Whitney U test was used for comparison of continuous data between two groups, and the Kruskal-Wallis H test was used for comparison between multiple groups. The univariate and multivariate logistic regression analyses were used to investigate the influencing factors for disease prognosis; the receiver operating characteristic (ROC) curve was used to assess the value of CCR in predicting HBV-ACLF death events, and the DeLong test was used for comparison of the area under the ROC curve (AUC).  Results  There were significant differences in CCR, NLR, PNI, PT, and Alb at baseline between the treatment group and the healthy control group (all P<0.001), and there were significant differences in CCR, NLR, and PT between the survival group and the death group on the day of admission (all P<0.05). Among the 130 patients with HBV-ACLF, there were 25 in the precancerous stage, 48 in the early stage, 32 in the intermediate stage, and 25 in the advanced stage, and there were significant differences in baseline CCR, PLR, and PT between the patients in different stages of HBV-ACLF (all P<0.05). There were significant differences in ΔCCR5 and NLR between the infection group and the non-infection group (P<0.05), and there were significant differences in ΔCCR5, CCR10, and CCR15 between the survival group and the death group (all P<0.05). The multivariate logistic regression analysis showed that ΔCCR5 (odds ratio [OR]=1.175, 95% confidence interval [CI]: 1.098‍ — ‍1.256, P<0.001), NLR (OR=0.921, 95%CI: 0.880‍ — ‍0.964, P<0.001), and PT (OR=0.921, 95%CI: 0.873‍ — ‍0.973, P=0.003) were independent influencing factors for the prognosis of HBV-ACLF patients. ΔCCR5 had an AUC of 0.774, a sensitivity of 0.687, and a specificity of 0.757, and the AUC of ΔCCR5+PT+NLR was 0.824, which was significantly higher than the AUC of ΔCCR5, NLR, or PT alone (all P<0.05).  Conclusion  ΔCCR5, NLR, and PT can reflect the condition and prognosis of patients with HBV-ACLF and are independent predictive indicators for death events in patients with HBV-ACLF. The combination ofΔCCR5, PT, and NLR has the best predictive efficiency.
Efficacy and safety of sofosbuvir/velpatasvir alone or in combination with ribavirin in treatment of patients with genotype 3B HCV/HIV infection
Li LIU, Lixian CHANG, Zhiyong CHEN, Junyi LI, Chunyun LIU
2024, 40(2): 271-277. DOI: 10.12449/JCH240209
Abstract(1495) HTML (333) PDF (800KB)(112)
Abstract:
  Objective  To investigate the efficacy and safety of sofosbuvir/velpatasvir alone or in combination with ribavirin in Chinese patients with genotype 3B HCV/HIV infection.  Methods  A total of 299 patients with genotype 3B HCV/HIV infection who attended The Third People’s Hospital of Kunming from January 2017 to December 2020 were enrolled and treated with sofosbuvir/velpatasvir alone or in combination with ribavirin for 12 weeks, and they were followed up for 12 weeks after drug withdrawal. The patients were evaluated in terms of sustained virologic response at 12 weeks after treatment (SVR12) and adverse reactions. The independent-samples t test or the Mann-Whitney U test was used for comparison of continuous data between two groups, and the chi-square test was used for comparison of categorical data between two groups; the Agresti-Coull method was used to evaluate the 95% confidence interval (CI) of SVR12; univariate and multivariate non-conditional logistic regression analyses were used to investigate the influencing factors for SVR.  Results  The 299 patients with genotype 3B HCV/HIV infection had a mean age of 43.92±6.84 years, among whom the male patients accounted for 77.3% (231/299), the patients with liver cirrhosis accounted for 36.5% (109/299), the patients with a history of antiviral therapy accounted for 13.4% (40/299), and the patients receiving sofosbuvir/velpatasvir combined with ribavirin accounted for 27.8% (83/299). The overall SVR was 87.0% (260/299) for all patients, and there was no significant difference in SVR12 between the patients receiving sofosbuvir/velpatasvir alone and those receiving sofosbuvir/velpatasvir combined with ribavirin (87.5% vs 85.5%, χ2=0.203, P=0.653). There was a significant difference in SVR12 between the patients without liver cirrhosis and those with liver cirrhosis (90.0% vs 81.7%, χ2=4.256, P=0.039), and the patients receiving antiviral therapy for the first time had a significantly higher SVR12 than the treatment-experienced patients (93.4% vs 45.0%, χ2=71.670, P<0.001). The univariate and multivariate logistic regression analyses showed that platelet count (odds ratio [OR]=0.957, 95%CI: 0.931 — 0.984, P=0.002), liver stiffness measurement (OR=1.446, 95%CI: 1.147 — 1.822, P=0.002), and experience in treatment (OR=13.807, 95%CI: 2.970 — 64.174, P=0.001) were independent influencing factors for SVR in patients with genotype 3B HCV/HIV infection. There were 41 cases of serious adverse events, all of which occurred within 2 weeks after antiviral therapy, and 28 cases were resolved without drug withdrawal or active treatment, while 13 cases were not resolved after active treatment and were resolved after the antiviral drugs were stopped for 2‍ ‍—‍ ‍5 days, with no similar reactions observed when the drugs were used again after remission.  Conclusion  Sofosbuvir/velpatasvir alone or in combination with ribavirin has relatively good efficacy and safety in patients with genotype 3B HCV/HIV infection.
Preliminary identification of the cloning, expression, and function of Marmota himalayana type I interferon receptor β subunit
Ying TAO, Dongliang YANG, Baoju WANG, Yi LIU, Wenjia GUI, Zhi LI, Hebin FAN
2024, 40(2): 278-283. DOI: 10.12449/JCH240210
Abstract(846) HTML (320) PDF (920KB)(60)
Abstract:
  Objective  To clone the gene of Marmota himalayana type ‍Ⅰ interferon receptor β subunit (mhIFNAR2), and to perform antibody preparation and functional identification.  Methods  RT-PCR was used for amplification in the spleen tissue of Marmota himalayana to obtain the sequence, which was cloned to the prokaryotic expression vector pRSET-B to express the recombinant protein. Electrophoresis and Western blot were used for identification. BALB/c mice were immunized with the recombinant protein to prepare the polyclonal antibody of its extracellular domain; immunohistochemistry, immunofluorescence assay, and Western Blot were used for identification, and the method of siRNA blockade was used to investigate its function. An analysis of variance was used for comparison of continuous data between multiple groups, and the least significant difference t-test was used for comparison between two groups.  Results  A fragment of mhIFNAR2 (149‍ ‍—‍ ‍1 ‍300 bp) was obtained from spleen tissue, which showed the highest homology of 98.05% in marmot. A prokaryotic expression plasmid was successfully constructed for expression of the extracellular domain of the mhIFNAR2(50-181aa) and was named pRSET-B.mhIFNAR2, and the recombinant protein expressed by this plasmid had a molecular weight of 27 kD, a purity of about 95% after purification, and a concentration of 160 μg/mL. After BALB/c mice were immunized with the purified recombinant protein, 1∶1 000 specific polyclonal antibodies were obtained, and immunohistochemistry and immunofluorescence assay showed the expression in cell membrane and cytoplasm. Among the three siRNAs synthesized, the siRNA starting from the 277 locus (siRNA277) could silence the expression of target genes and weaken the interferon signaling pathway compared with the blank control group and the negative control group (both P<0.05).  Conclusion  The fragment of mhIFNAR2 is obtained, and the polyclonal antibody for the extracellular domain of mhIFNAR2 is successfully prepared, with relatively high titer and specificity, and can be used for immunohistochemistry, immunofluorescence assay, and Western blot.
Fatty Liver Disease
Clinical features and serum lipidomic profile of patients with nonalcoholic fatty liver disease and healthy individuals in the overweight population
Xiaoyan CHEN, Yifu YUAN, Shengnan DU, Qin CAO, Yuanye JIANG
2024, 40(2): 284-291. DOI: 10.12449/JCH240211
Abstract(1250) HTML (431) PDF (1229KB)(108)
Abstract:
  objective  To investigate the differences in clinical indices and lipid metabolism between the patients with nonalcoholic fatty liver disease (NAFLD) and healthy individuals in the overweight population.  Methods  In this study, body mass index (BMI)>23 kg/m2 was defined as overweight. A total of 62 overweight patients with NAFLD who were admitted to Putuo Hospital Affiliated to Shanghai University of Traditional Chinese Medicine from August 2020 to April 2021 were enrolled as overweight NAFLD group, and 50 overweight individuals who underwent physical examination during the same period of time were enrolled as control group. Clinical information and blood biochemical parameters were recorded for all subjects. Ultra-performance liquid chromatography-tandem mass spectrometry was used to analyze serum lipidomic profile, and principal component analysis and orthogonal partial least squares-discriminant analysis were used to perform the multivariate statistical analysis of lipidomic data. The chi-square test was used for comparison of categorical data between two groups, and the independent-samples t test or the Wilcoxon rank-sum test was used for comparison of continuous data between two groups.  Results  The overweight NAFLD group had a significantly higher BMI than the overweight control group (Z=-2.365, P=0.018). As for serological markers, compared with the overweight control group, the overweight NAFLD group had significantly higher levels of red blood cells, hemoglobin, hematocrit, uric acid, total protein, globulin, alkaline phosphatase, gamma-glutamyl transpeptidase, alanine aminotransferase, aspartate aminotransferase, cholinesterase, low-density lipoprotein, total cholesterol, triglyceride, apolipoprotein B, and blood glucose (all P<0.05). The lipidomic analysis showed that there was a significant difference in lipid metabolism between the two groups, and a total of 493 differentially expressed lipids were identified (VIP value>1, P<0.05), among which 143 lipids were significantly upregulated and 350 lipids were significantly downregulated in the overweight NAFLD group. The mean total fatty acid content in the overweight NAFLD group was 3.6 times that in the overweight control group. Compared with the overweight control group, the overweight NAFLD group had a significant reduction in the content of triglyceride with>3 unsaturated bonds (P<0.001) and a significant increase in the content of triglyceride with ≤3 unsaturated bonds (P<0.001).  Conclusion  Compared with healthy overweight individuals, overweight NAFLD patients tend to have significant abnormalities in some biochemical parameters and lipid metabolites, with significant increases in the content of fatty acid in blood and the types of saturated fat chains in triglycerides.
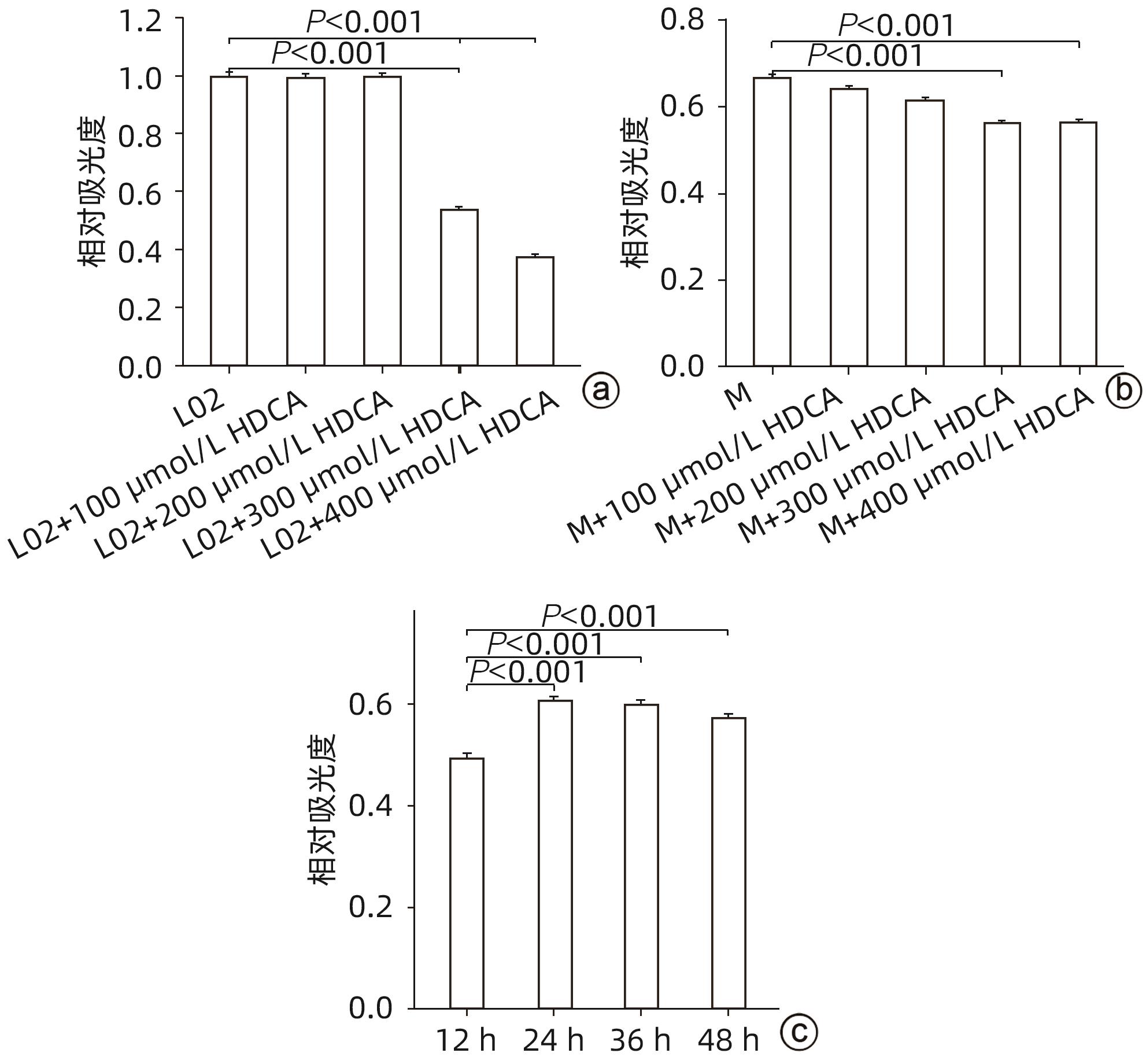
Effect of hyodeoxycholic acid on the activity of steatosis hepatocytes and its mechanism
Yuanyuan WANG, Yan ZOU, Zhaoxia LIU, Xuefeng YANG
2024, 40(2): 292-297. DOI: 10.12449/JCH240212
Abstract(1163) HTML (575) PDF (1921KB)(78)
Abstract:
  Objective  To investigate the role and mechanism of hyodeoxycholic acid (HDCA) in the progression of metabolic associated fatty liver disease (MAFLD), and to provide a new theoretical basis for further clarifying the pathogenesis of MAFLD.  Methods  L02 hepatocytes were used as experimental cells, and palmitic acid was used to induce steatosis in L02 cells. The farnesoid X receptor (FXR) siRNA interference chain technique was used to construct a hepatocyte cell line with low FXR expression. CCK8 assay was used to observe the effect of HDCA on L02 steatosis hepatocytes at different concentrations (0, 100, 200, 300, and 400 μmol/L) and time points (12, 24, 36, and 48 hours). The method of qRT-PCR was used to measure the mRNA expression levels of FXR, proliferating cell nuclear antigen (PCNA), Cyclin D1, phosphatidylinositol 3-kinase (PI3K), and protein kinase-B (AKT), and Western blot was used to measure the protein expression levels of FXR, Cyclin D1, PCNA, PI3K, phosphorylated PI3K (p-PI3K), AKT, and phosphorylated (p-AKT). A one-way analysis of variance was used for comparison of normally distributed continuous data with homogeneity of variance between multiple groups, and the Tukey HSD test was used for further comparison between two groups; the Welch analysis of variance was used for comparison of normally distributed continuous data with heterogeneity of variance between multiple groups, and the Games-Howell test was used for further comparison between two groups. The independent-samples t test was used for comparison between two groups.  Results  CCK8 assay showed a significant reduction in the viability of L02 cells and steatosis hepatocytes treated by 300 μmol/L HDCA (P<0.05), and qRT-PCR showed a significant increase in the mRNA expression level of FXR and significant reductions in the mRNA expression levels of PCNA, Cyclin D1, PI3K, and AKT (all P<0.05). Western blot showed a significant increase in the protein expression level of FRX (P<0.05), and after interference of FXR expression in L02 cells, there were significant increases in the protein expression levels of PCNA, PI3K, p-PI3K, AKT, and p-AKT (all P<0.05).  Conclusion  HDCA inhibits the PI3K/AKT signaling pathway by upregulating FXR expression, thereby inducing a reduction in the viability of steatosis hepatocytes.
Liver Fibrosis and Liver Cirrhosis
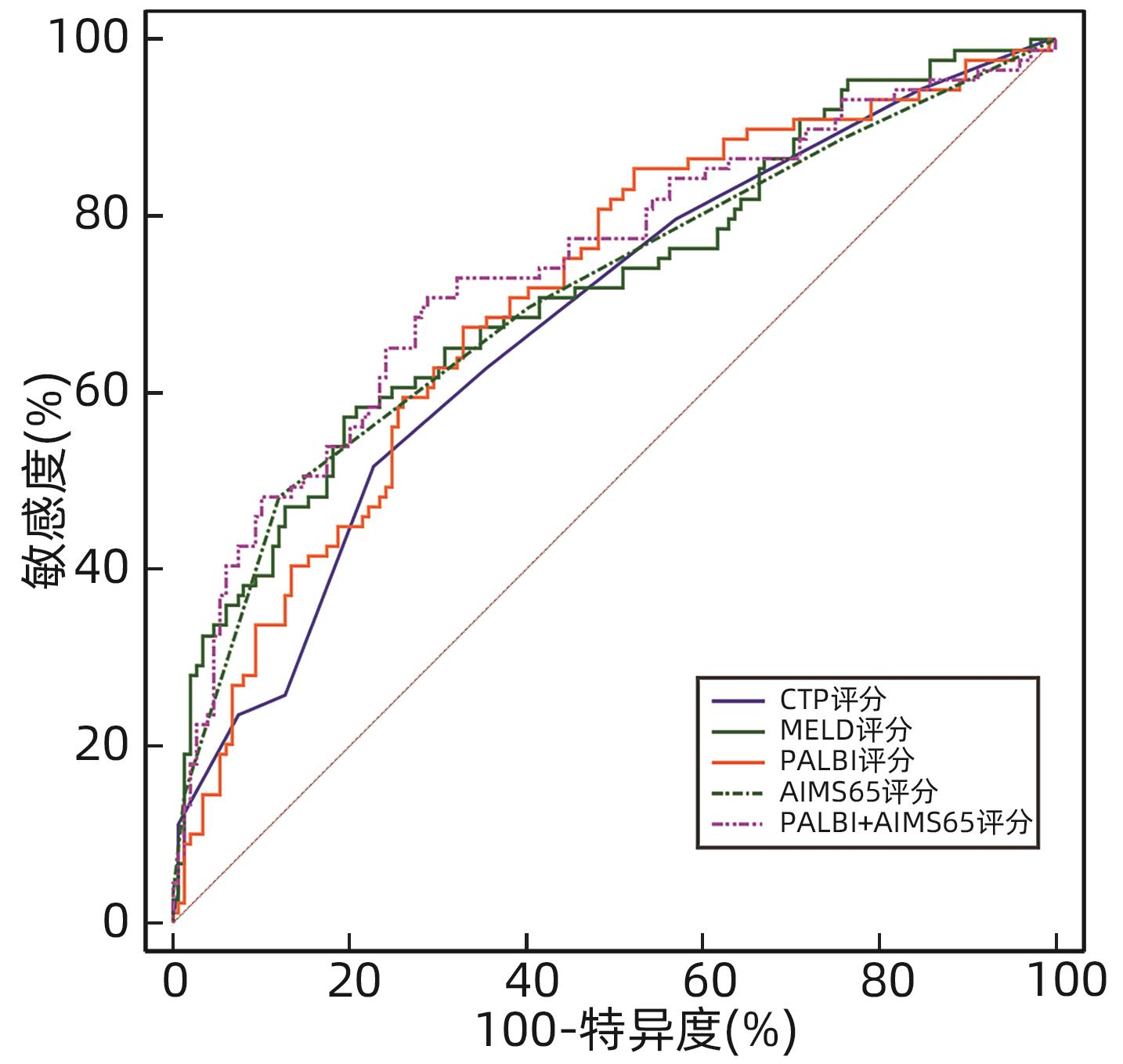
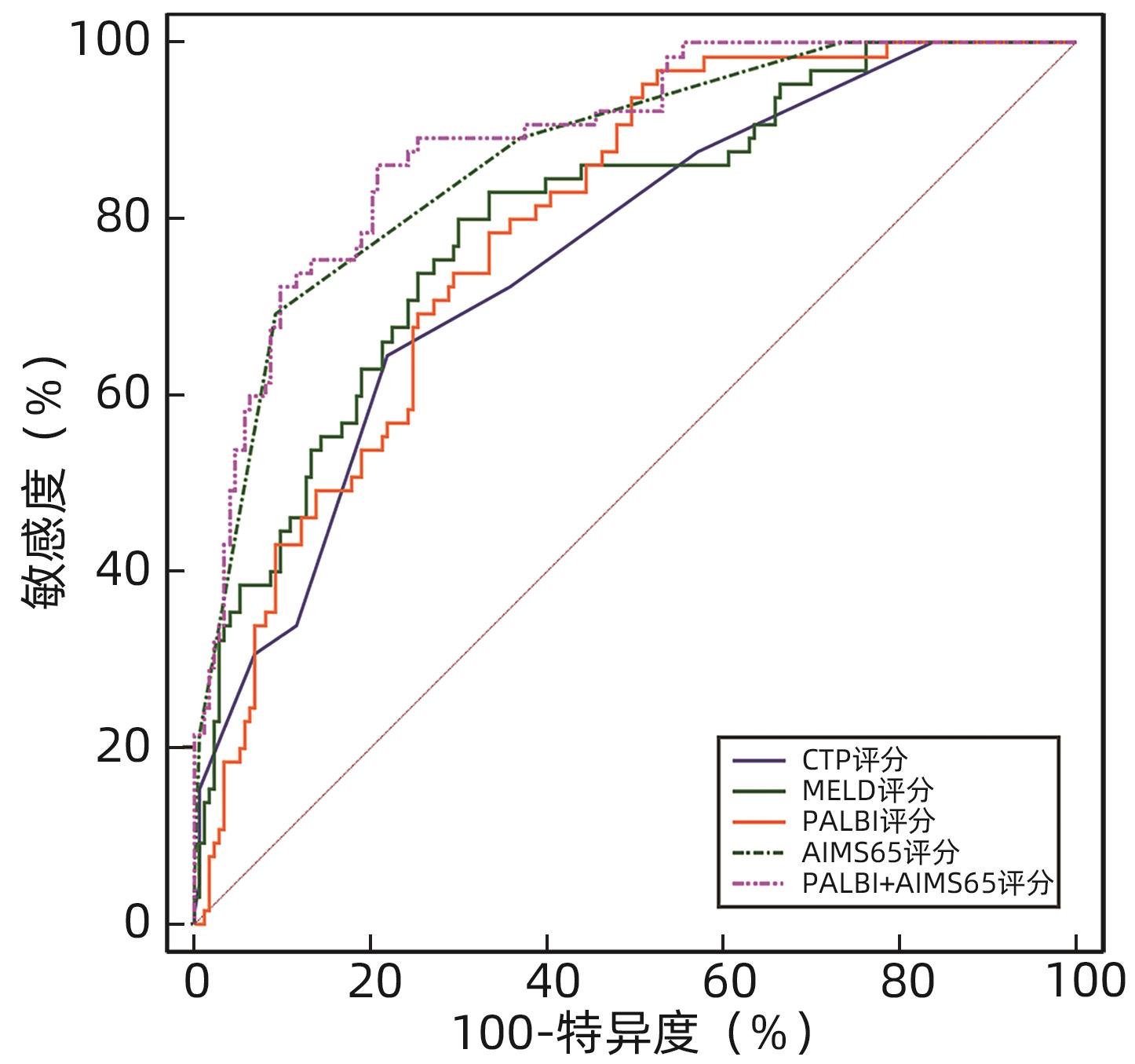
Value of platelet-albumin-bilirubin index combined with AIMS65 score in predicting the short-term prognosis of patients with liver cirrhosis and acute upper gastrointestinal bleeding
Tianjiao DAI, Jing LI
2024, 40(2): 298-305. DOI: 10.12449/JCH240213
Abstract(1191) HTML (369) PDF (909KB)(95)
Abstract:
  Objective  To investigate the value of platelet-albumin-bilirubin index (PALBI) combined with AIMS65 score in predicting rebleeding and death within 6 weeks after admission in patients with liver cirrhosis and acute upper gastrointestinal bleeding (AUGIB).  Methods  A retrospective study was conducted for 238 patients with liver cirrhosis and AUGIB who were hospitalized in The First Affiliated Hospital of Jinzhou Medical University from February 2021 to October 2022, and all patients were followed up for 6 weeks. According to the prognosis, they were divided into death group with 65 patients and survival group with 173 patients, and according to the presence or absence of rebleeding, they were divided into non-rebleeding group with 149 patients and rebleeding group with 89 patients. General data and laboratory markers (including blood routine, liver/renal function, and coagulation), and PALBI, AIMS65 score, Child-Turcotte-Pugh (CTP) score, and Model for End-stage Liver Disease (MELD) score were calculated on admission. The independent-samples t test or the Mann-Whitney U test was used for comparison of continuous data between two groups, and the chi-square test was used for comparison of categorical data between two groups. A multivariate logistic regression model analysis was used to investigate the risk factors for death or rebleeding within 6 weeks after admission in patients with liver cirrhosis and AUGIB. The receiver operating characteristic (ROC) curve and the area under the ROC curve (AUC) were used to investigate the predictive efficacy of each scoring system, and the DeLong test was used for comparison of AUC.  Results  There were significant differences between the death group and the survival group in hematemesis, past history of varices, albumin (Alb), total bilirubin (TBil), international normalized ratio (INR), creatinine (Cr), prothrombin time (PT), systolic blood pressure, PALBI, AIMS65 score, CTP score, and MELD score (all P<0.05). The multivariate logistic regression analysis showed that hematemesis (odds ratio [OR]=4.34, 95% confidence interval [CI]: 1.88‍ ‍—‍ ‍10.05, P<0.001), past history of varices (OR=3.51, 95%CI: 1.37‍ ‍—‍ ‍8.98, P=0.009), PALBI (OR=4.49, 95%CI: 1.48‍ ‍—‍ ‍13.64, P=0.008), and AIMS65 score (OR=3.85, 95%CI: 2.35‍ ‍—‍ ‍6.30, P<0.001) were independent risk factors for death. The ROC curve analysis of each scoring system in predicting survival showed that CTP score, MELD score, PALBI, AIMS65 score, and PALBI combined with AIMS65 score had an AUC of 0.758, 0.798, 0.789, 0.870, and 0.888, respectively, suggesting that PALBI combined with AIMS65 score had a significantly larger AUC than the four scoring systems used alone (all P<0.05). There were significant differences between the rebleeding group and the non-rebleeding group in hematemesis, history of diabetes, Alb, TBil, INR, Cr, PT, PALBI, AIMS65 score, CTP score, and MELD score (all P<0.05). The multivariate logistic regression analysis showed that PALBI (OR=2.41, 95%CI: 1.17‍ ‍—‍ ‍4.95, P=0.017) and AIMS65 score (OR=1.58, 95%CI: 1.17‍ ‍—‍ ‍2.15, P=0.003) were independent risk factors for rebleeding. The ROC curve analysis of each scoring system in predicting rebleeding showed that CTP score, MELD score, PALBI, AIMS65 score, and PALBI combined with AIMS65 score had an AUC of 0.680, 0.719, 0.709, 0.711, and 0.741, respectively, suggesting that PALBI combined with AIMS65 score had the largest AUC (all P<0.05), but with a relatively low specificity.  Conclusion  PALBI combined with AIMS65 score has a certain value in predicting death within 6 weeks after admission in patients with liver cirrhosis and AUGIB, with a better value than CTP score and MELD score alone. PALBI combined with AIMS65 score has a relatively low value in predicting rebleeding within 6 weeks, with an acceptable accuracy.
Clinical application value of a predictive model for the efficacy of third-generation cephalosporin in treatment of community-acquired spontaneous bacterial peritonitis
Longchuan ZHU, Wei WU, Dakai GAN, Wei ZHANG, Yizhen XU, Molong XIONG
2024, 40(2): 306-311. DOI: 10.12449/JCH240214
Abstract(993) HTML (267) PDF (922KB)(73)
Abstract:
  Objective  To investigate the clinical application value of a predictive model for the efficacy of third-generation cephalosporin in the treatment of community-acquired spontaneous bacterial peritonitis (CASBP).  Methods  This prospective study was conducted among 50 patients with liver cirrhosis and CASBP who were admitted to The Ninth Hospital of Nanchang from January 2021 to June 2022, and the patients were randomly divided into optimized treatment group and traditional treatment group, with 25 patients in each group. The patients in the optimized treatment group received ceftazidime or imipenem for initial treatment based on the above predictive model, and those in the traditional treatment group received ceftazidime for initial treatment, with the subsequent use of antibiotics adjusted based on the efficacy of initial treatment. The two groups were compared in terms of the response rate of initial treatment, cure rate on day 5, and 30-day mortality rate. The independent-samples t test or the Mann-Whitney U test was used for comparison of continuous data between two groups, and the chi-square test or the Fisher’s exact test was used for comparison of categorical data between two groups.  Results  All patients completed the study. The optimized treatment group had a significantly higher response rate of initial treatment than the traditional treatment group (88.0% vs 60.0%, χ2=5.094, P=0.024), while there was no significant difference in the cure rate on day 5 between the two groups (80.0% vs 56.6%, χ2=3.309, P=0.069). As for the patients who received ceftazidime for initial treatment, the optimized treatment group had a significantly higher response rate of initial treatment than the traditional treatment group (88.9% vs 60.0%, χ2=4.341, P=0.037), while there was no significant difference in the cure rate on day 5 between the two groups (83.3% vs 56.0%, χ2=2.425, P=0.119). There was no significant difference in 30-day mortality rate between the two groups (8.0% vs 20.0%, χ2=0.664, P=0.415). For all patients, there was a significant association between response of initial treatment and cure on day 5 (odds ratio [OR]=9.643, 95% confidence interval [CI]: 2.292‍ — ‍40.564) and between cure on day 5 and 30-day mortality (OR=0.138, 95%CI: 0.023‍ — ‍0.813).  Conclusion  This predictive model for efficacy helps clinicians to identify the patients who can benefit from third-generation cephalosporin treatment and improve the efficacy of third-generation cephalosporin in the initial empirical treatment of CASBP.
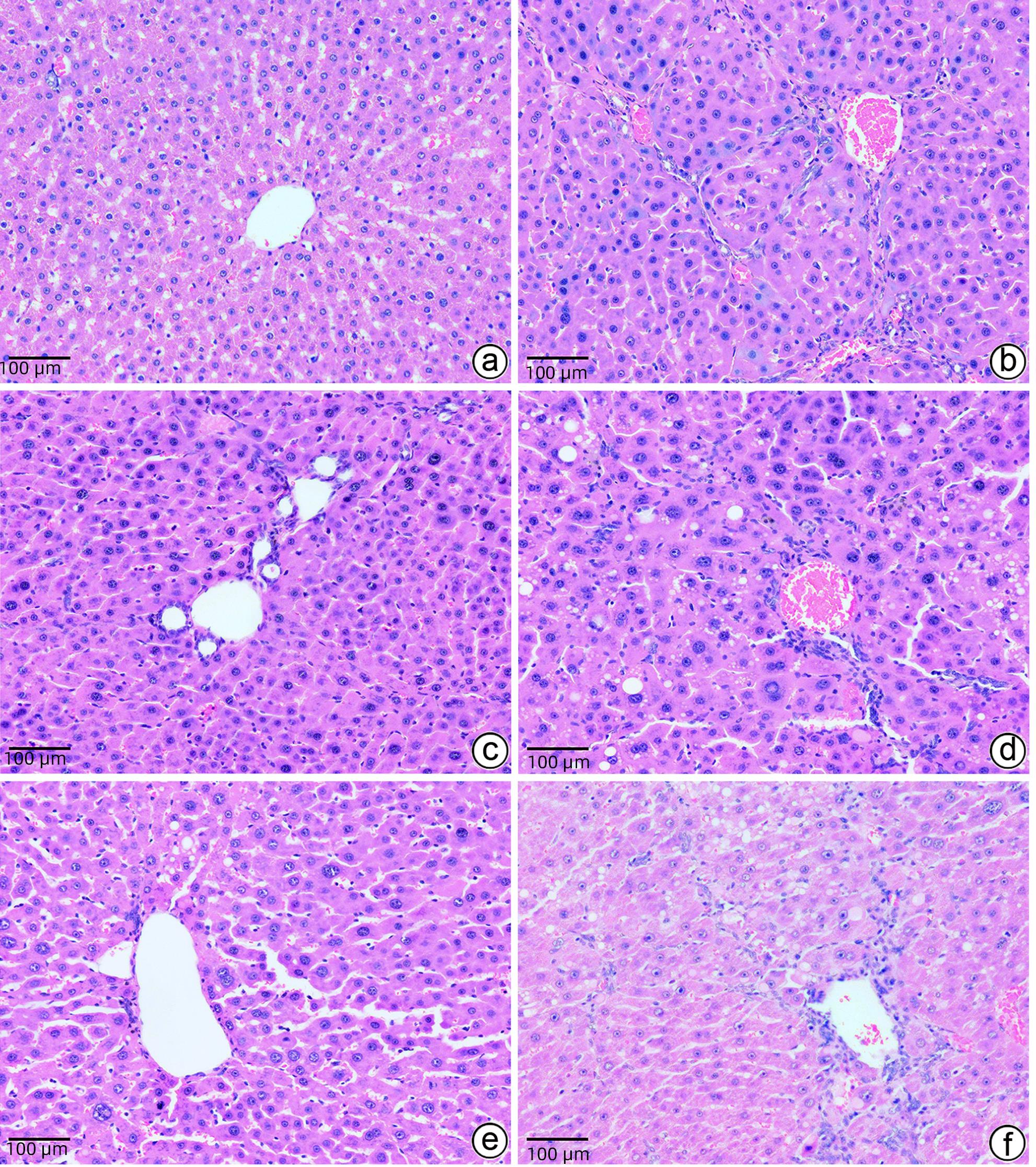
Protective mechanism of rhubarb decoction against inflammatory damage of brain tissue in rats with mild hepatic encephalopathy: A study based on the PI3K/AKT/mTOR signaling pathway
Guangfa ZHANG, Yingying CAI, Long LIN, Lei FU, Fan YAO, Meng WANG, Rongzhen ZHANG, Yueqiao CHEN, Liangjiang HUANG, Han WANG, Yun SU, Yanmei LAN, Yingyu LE, Dewen MAO, Chun YAO
2024, 40(2): 312-318. DOI: 10.12449/JCH240215
Abstract(1177) HTML (453) PDF (1982KB)(77)
Abstract:
  Objective  To investigate the role and possible mechanism of action of rhubarb decoction (RD) retention enema in improving inflammatory damage of brain tissue in a rat model of mild hepatic encephalopathy (MHE).  Methods  A total of 60 male Sprague-Dawley rats were divided into blank group (CON group with 6 rats) and chronic liver cirrhosis modeling group with 54 rats using the complete randomization method. After 12 weeks, 40 rats with successful modeling which were confirmed to meet the requirements for MHE model by the Morris water maze test were randomly divided into model group (MOD group), lactulose group (LT group), low-dose RD group (RD1 group), middle-dose RD group (RD2 group), and high-dose RD group (RD3 group), with 8 rats in each group. The rats in the CON group and the MOD group were given retention enema with 2 mL of normal saline once a day; the rats in the LT group were given retention enema with 2 mL of lactulose at a dose of 22.5% once a day; the rats in the RD1, RD2, and RD3 groups were given retention enema with 2 mL RD at a dose of 2.5, 5.0, and 7.5 g/kg, respectively, once a day. After 10 days of treatment, the Morris water maze test was performed to analyze the spatial learning and memory abilities of rats. The rats were analyzed from the following aspects: behavioral status; the serum levels of alanine aminotransferase (ALT), aspartate aminotransferase (AST), interleukin-1β (IL-1β), interleukin-6 (IL-6), and tumor necrosis factor-α (TNF-α) and the level of blood ammonia; pathological changes of liver tissue and brain tissue; the mRNA and protein expression levels of phosphatidylinositol 3-kinase (PI3K), protein kinase B (AKT), and mammalian target of rapamycin (mTOR) in brain tissue. A one-way analysis of variance was used for comparison of continuous data between multiple groups, and the least significant difference t-test was used for further comparison between two groups.  Results  Compared with the MOD group, the RD1, RD2, and RD3 groups had a significantly shorter escape latency (all P<0.01), significant reductions in the levels of ALT, AST, IL-1β, IL-6, TNF-α, and blood ammonia (all P<0.05), significant alleviation of the degeneration, necrosis, and inflammation of hepatocytes and brain cells, and significant reductions in the mRNA and protein expression levels of PI3K, AKT, and mTOR in brain tissue (all P<0.05), and the RD3 group had a better treatment outcome than the RD1 and RD2 groups.  Conclusion  Retention enema with RD can improve cognitive function and inflammatory damage of brain tissue in MHE rats, possibly by regulating the PI3K/AKT/mTOR signaling pathway.
Liver Neoplasm
Proteomic analysis and validation of DNA repair regulation in the process of hepatocellular carcinoma recurrence
Kai CHANG, Yanyan WANG, Zhongyong JIANG, Wei SUN, Chenxia LIU, Wanlin NA, Hongxuan XU, Jing XIE, Yuan LIU, Min CHEN
2024, 40(2): 319-326. DOI: 10.12449/JCH240216
Abstract(1151) HTML (394) PDF (2144KB)(100)
Abstract:
  Objective  To investigate the role and mechanism of DNA repair regulation in the process of hepatocellular carcinoma (HCC) recurrence.  Methods  HCC tissue samples were collected from the patients with recurrence within two years or the patients with a good prognosis after 5 years, and the Tandem Mass Tag-labeled quantification proteomic study was used to analyze the differentially expressed proteins enriched in the four pathways of DNA replication, mismatch repair, base excision repair, and nucleotide excision repair, and the regulatory pathways and targets that play a key role in the process of HCC recurrence were analyzed to predict the possible regulatory mechanisms. The independent samples t-test was used for comparison of continuous data between two groups; a one-way analysis of variance was used for comparison between multiple groups, and the least significant difference t-test was used for further comparison between two groups.  Results  For the eukaryotic replication complex pathway, there were significant reductions in the protein expression levels of MCM2 (P=0.018), MCM3 (P=0.047), MCM4 (P=0.014), MCM5 (P=0.008), MCM6 (P=0.006), MCM7 (P=0.007), PCNA (P=0.019), RFC4 (P=0.002), RFC5 (P<0.001), and LIG1 (P=0.042); for the nucleotide excision repair pathway, there were significant reductions in the protein expression levels of PCNA (P=0.019), RFC4 (P=0.002), RFC5 (P<0.001), and LIG1 (P=0.042); for the base excision repair pathway, there were significant reductions in the protein expression levels of PCNA (P=0.019) and LIG1 (P=0.042) in the HCC recurrence group; for the mismatch repair pathway, there were significant reductions in the protein expression levels of MSH2 (P=0.026), MSH6 (P=0.006), RFC4 (P=0.002), RFC5 (P<0.001), PCNA (P=0.019), and LIG1 (P=0.042) in recurrent HCC tissue. The differentially expressed proteins were involved in the important components of MCM complex, DNA polymerase complex, ligase LIG1, long patch base shear repair complex (long patch BER), and DNA mismatch repair protein complex. The clinical sample validation analysis of important differentially expressed proteins regulated by DNA repair showed that except for MCM6 with a trend of reduction, the recurrence group also had significant reductions in the relative protein expression levels of MCM5 (P=0.008), MCM7 (P=0.007), RCF4 (P=0.002), RCF5 (P<0.001), and MSH6 (P=0.006).  Conclusion  There are significant reductions or deletions of multiple complex protein components in the process of DNA repair during HCC recurrence.
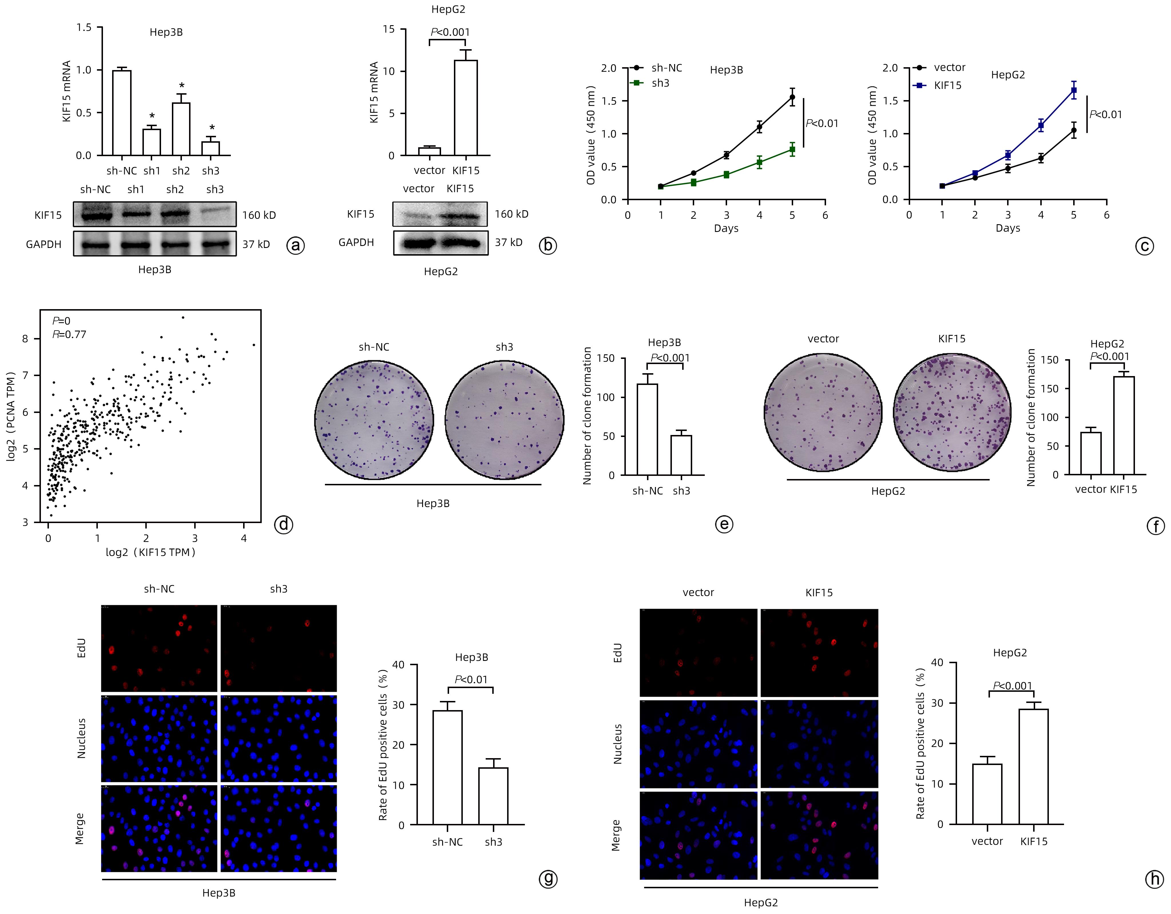
Effect of kinesin family member 15 on the proliferation of hepatocellular carcinoma cells and its mechanism of action
Jiannan QIU, Peng WANG, Yin CAO, Zhongxia WANG, Junhua WU, Chunping JIANG
2024, 40(2): 327-334. DOI: 10.12449/JCH240217
Abstract(1089) HTML (416) PDF (1773KB)(75)
Abstract:
  Objective  To investigate the effect of kinesin family member 15 (KIF15) on the proliferation of hepatocellular carcinoma (HCC) cells and its mechanism of action.  Methods  TCGA and GEPIA datasets were analyzed to determine the expression of KIF15 in HCC and its effect on tumor stage and survival. Quantitative real-time PCR and Western blot were used to measure the expression level of KIF15 in human-derived HCC cell lines (HepG2, Hep3B, MHCC-97H, and LM3) and human normal liver cell line L02 cultured in vitro, and Hep3B and HepG2 were selected for subsequent studies. CCK-8 assay, plate colony formation assay, and EdU staining were performed for Hep3B cells transfected with shRNA-NC or shRNA-KIF15 and HepG2 cells transfected with LV-vector or LV-KIF15 to evaluate the viability and proliferative capacity of these cells. GSEA was used to analyze the potential signaling pathways associated with KIF15 in HCC, and Western blot was used for detection. The independent-samples t test was used for comparison of continuous data between two groups; a one-way analysis of variance was used for comparison between multiple groups, and the least significant difference t-test was used for further comparison between two groups.  Results  The analysis of TCGA and GEPIA datasets showed that in HCC patients, the expression of KIF15 in HCC tissue was significantly higher than that in normal tissue, and the HCC patients with high KIF15 expression tended to have a poorer prognosis. Compared with sh-NC-Hep3B, sh3-Hep3B showed significant reductions in the mRNA and protein levels of KIF15 (P<0.05), cell viability, clone formation number, and EdU positive rate (all P<0.05). Compared with vector-HepG2, LV-KIF15-HepG2 showed significant increases in the mRNA and protein levels of KIF15 (P<0.05), cell viability, clone formation number, and EdU positive rate (all P<0.05). Subcutaneous tumor assay showed that compared with sh-NC-Hep3B, sh3-Hep3B showed reductions in tumor volume and tumor weight, as well as a significant reduction in the immunohistochemical score of Ki67 and a significant increase in the immunohistochemical score of TUNEL (P<0.05). GSEA analysis showed that the PI3K/AKT/mTOR pathway was positively correlated with KIF15 in HCC (NES=1.59, P<0.001). Western blot showed that LY294002 could inhibit the PI3K/AKT/mTOR pathway upregulated in LV-KIF15-HepG2, and compared with LV-KIF15-HepG2, LY294002+LV-KIF15-HepG2 showed significant reductions in cell viability, clone formation number, and EdU positive rate (all P<0.05).  Conclusion  KIF15 enhances the viability and proliferative capacity of HCC cells by upregulating the PI3K/AKT/mTOR signaling pathway.
Other Liver Disease
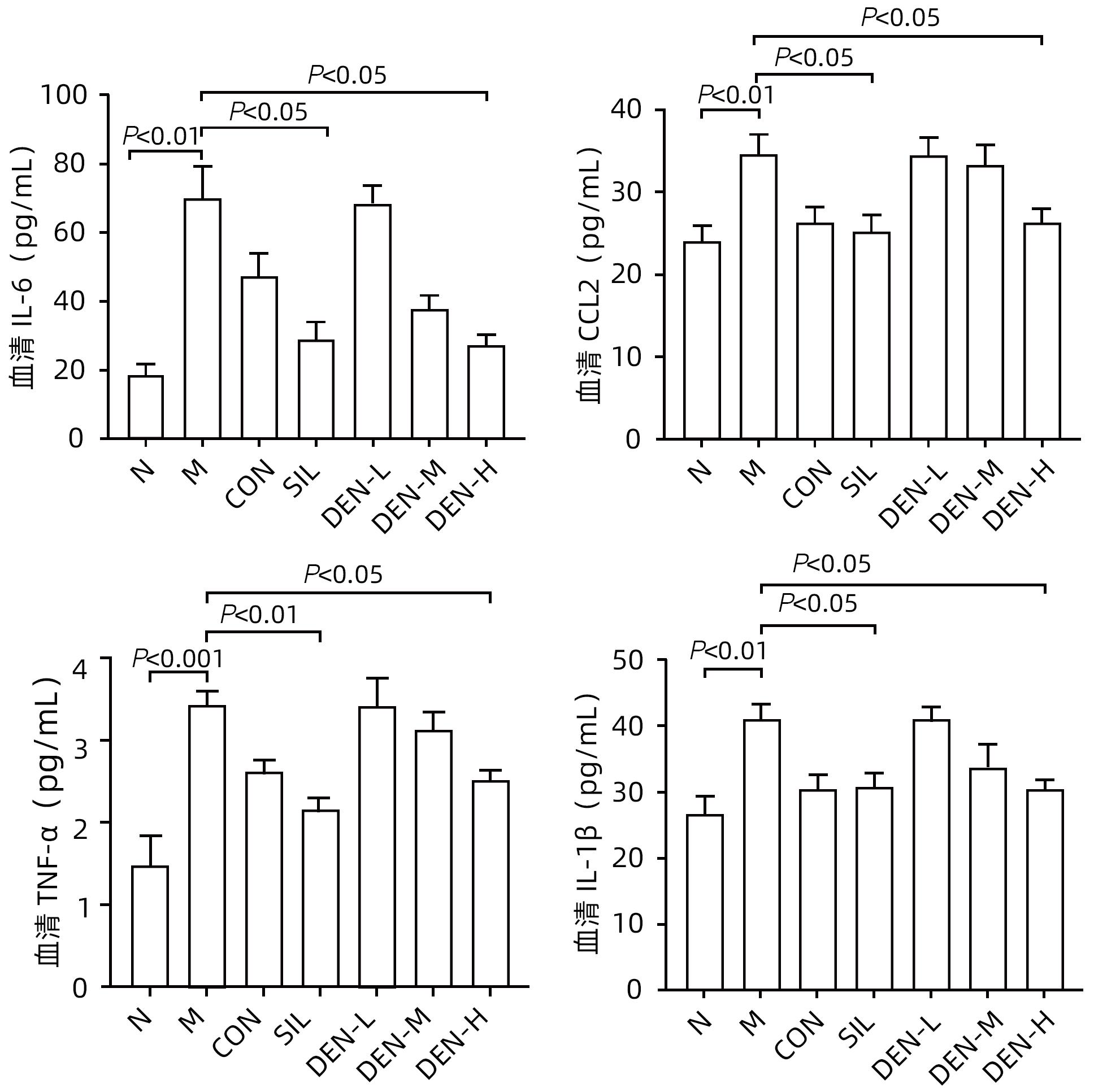
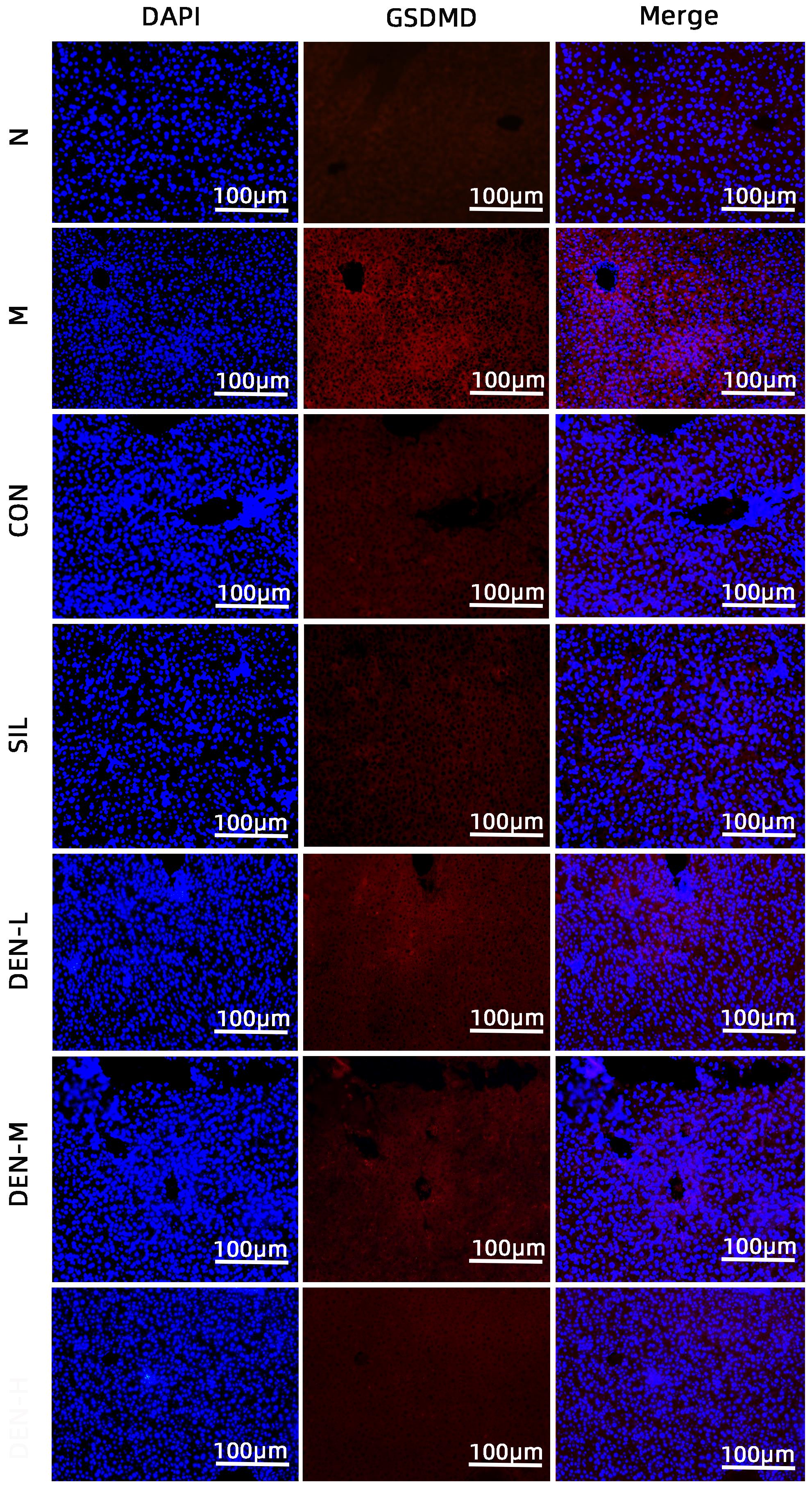
Effect of Dendrobium officinale leaf fermentation fluid on a mouse model of alcoholic hepatitis and its mechanism of action
Xingnian ZHOU, Yuhong LIU, Yujie QIN, Quan ZHANG, Mingliang CHENG, Hong LI
2024, 40(2): 335-342. DOI: 10.12449/JCH240218
Abstract(1681) HTML (561) PDF (2486KB)(98)
Abstract:
  Objective  To investigate the intervention mechanism of Dendrobium officinale leaf fermentation fluid in mice with alcoholic hepatitis.  Methods  A total of 70 healthy male C57BL/6J mice, aged 6-8 weeks, were randomly divided into normal group, model group, liquid feed control group, silybin group, and low-, middle-, and high-dose Dendrobium officinale leaf fermentation fluid groups, with 10 mice in each group. The mice in the normal group were given normal diet, and those in the other groups were given Lieber-DeCarli classic liquid diet for 8 weeks to induce alcoholic hepatitis. During modeling, the mice in the low-, middle-, and high-dose Dendrobium officinale leaf fermentation fluid groups were given Dendrobium liquid manufactured by Warmen Pharmaceutical, and the mice in all the other groups were given pure water; the mice in the normal group, the model group, and the liquid feed control group were given normal saline by gavage, those in the silybin group were given silybin 0.25 mL/10 g by gavage, and those in the low-, middle-, and high-dose Dendrobium officinale leaf fermentation fluid groups were given Dendrobium officinale leaf fermentation fluid at a dose of 0.125 mL/10 g, 0.250 mL/10 g, and 0.375 mL/10 g, respectively, by gavage, once a day. At week 8, chloral hydrate was injected intraperitoneally for anesthesia, and blood samples were collected from the eyeball. After serum was separated, the biochemical method was used to measure the levels of aspartate aminotransferase (AST) and alanine aminotransferase (ALT); HE staining and oil red staining were used to observe liver histopathology and lipid accumulation in mice; multiplex Luminex assay was used to measure the serum levels of interleukin-6 (IL-6), interleukin-1β (IL-1β), tumor necrosis factor-α (TNF-α), and CCL2; quantitative real-time PCR, Western blot, and immunofluorescence assay were used to measure the protein expression levels of NLRP3, caspase-1, caspase-11, gasdermin D (GSDMD), N-terminal gasdermin D (GSDMD-N) in liver tissue. A one-way analysis of variance was used for comparison of continuous data between multiple groups, and the least significant difference t-test was used for further comparison between two groups.  Results  Compared with the normal group, the model group had significant increases in the serum levels of AST, ALT, IL-6, IL-1β, TNF-α, and CCL2 (all P<0.05), and compared with the model group, the high-dose Dendrobium officinale leaf fermentation fluid group had significant reductions in the serum levels of AST, ALT, IL-6, IL-1β, TNF-α, and CCL2 (all P<0.05). HE staining showed that the model group had disordered structure of hepatic lobules, with a large number of steatosis vacuoles and massive cell necrosis, and compared with the model group, the high-dose Dendrobium officinale leaf fermentation fluid group had alleviation of liver histopathological injury, intact structure of most hepatic lobules, and a small amount of inflammatory cell infiltration. Oil red staining showed that the model group had accumulation of large and small lipid droplets in the liver and a significant increase in liver fat content, and compared with the model group, the high-dose Dendrobium officinale leaf fermentation fluid group had significant alleviation of hepatic steatosis, with the presence of sporadic small lipid droplets. Immunofluorescence assay of liver tissue showed that compared with the normal group, the model group had a significant increase in the ratio of GSDMD-positive staining area in hepatocyte cytoplasm (P<0.001), and compared with the model group, the high-dose Dendrobium officinale leaf fermentation fluid group had a significant reduction in such ratio in hepatocyte cytoplasm (P<0.001). Quantitative real-time PCR showed that compared with the normal group, the model group had significant increases in the protein expression levels of NLRP3, caspase-1, caspase-11, GSDMD, GSDMD-N, interleukin-18 (IL-18), and IL-1β in liver tissue (all P<0.05), and compared with the model group, the high-dose Dendrobium officinale leaf fermentation fluid group had significant reductions in the protein expression levels of NLRP3, caspase-1, caspase-11, GSDMD, GSDMD-N, IL-18, and IL-1 (all P<0.05). Compared with the model group, the high-dose Dendrobium officinale leaf fermentation fluid group had significant reductions in the protein expression levels of caspase-1 and caspase-11 (both P<0.05), with a relative expression level of caspase-1 of 1.757 (reduced by 26.6% compared with the model group) and a relative expression level of caspase-11 of 0.455 (reduced by 70.3% compared with the model group), suggesting that caspase-11 showed a greater reduction than caspase-1.  Conclusion  Dendrobium officinale leaf fermentation fluid can alleviate alcoholic hepatitis in mice, possibly by inhibiting the non-classical cell pyroptosis pathway mediated by caspase-11.
Pancreatic Disease
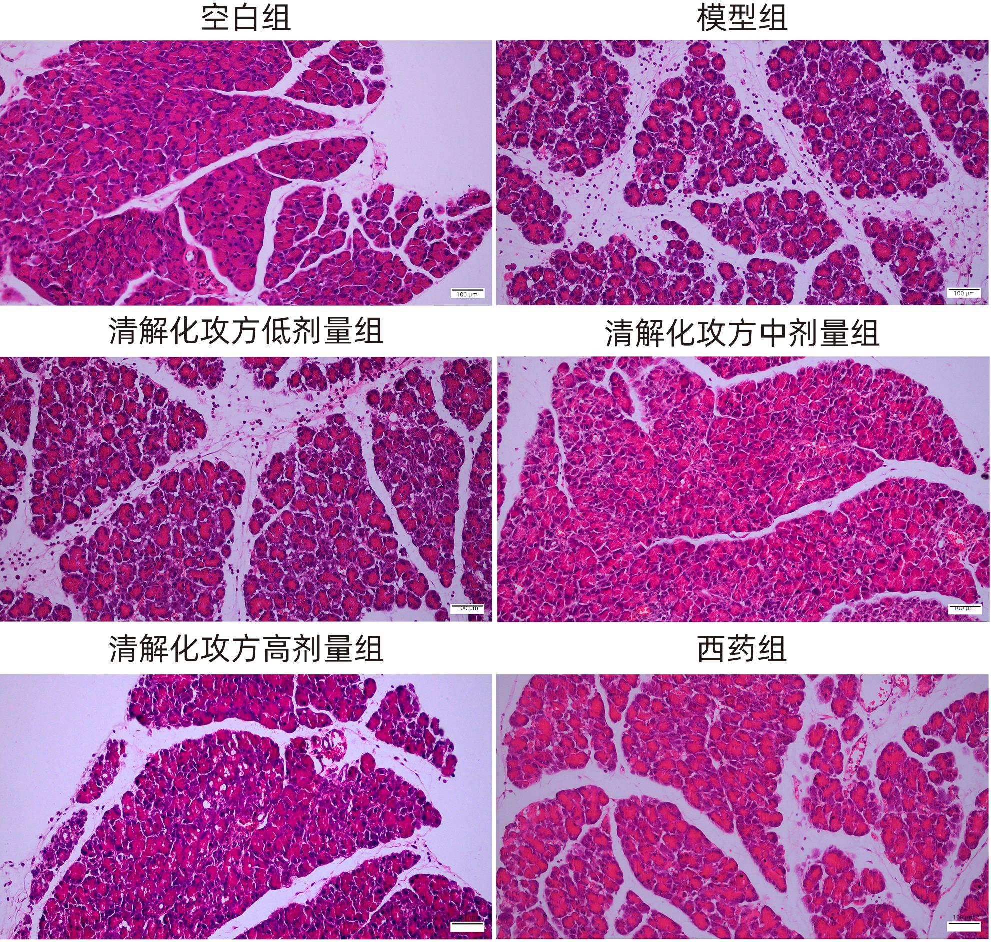
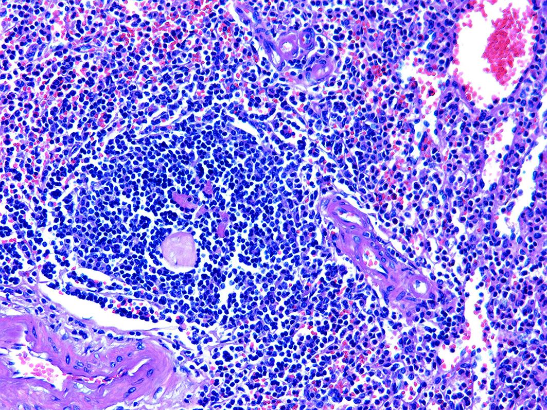
Protective effect of Qingjie Huagong decoction on pancreatic tissue of mice with severe acute pancreatitis by regulating the NOD-like receptor protein 3/Toll-like receptor 4/nuclear factor-kappa B signaling pathway
Minchao FENG, Baijun QIN, Fang LUO, Kai LI, Ning WANG, Guozhong CHEN, Xiping TANG
2024, 40(2): 343-350. DOI: 10.12449/JCH240219
Abstract(1419) HTML (913) PDF (2916KB)(93)
Abstract:
  Objective  To investigate the therapeutic effect of Qingjie Huagong decoction (QJHGD) on a mouse model of severe acute pancreatitis (SAP) and the mechanism of action of QJHGD against inflammatory response.  Methods  A total of 36 male C57BL/6J mice were randomly divided into blank group, model group, Western medicine group (ulinastatin), and low-, middle-, and high-dose QJHGD groups, with 6 mice in each group. All mice except those in the blank group were given 5% sodium taurocholate by retrograde pancreaticobiliary injection to establish a model of SAP. After modeling, the mice in the low-, middle-, and high-dose groups were given QJHGD (1, 2, and 4 g/kg, respectively) by gavage, and those in the Western medicine group were given intraperitoneal injection of ulinastatin (5×104 U/kg), for 7 days in total. HE staining was used to observe the histopathological changes of the pancreas; ELISA was used to measure the levels of α-amylase, lipase, interleukin-1β (IL-1β), interleukin-6 (IL-6), interleukin-8 (IL-8), interleukin-18 (IL-18), and tumor necrosis factor-α (TNF-α) in mice; RT-qPCR was used to measure the mRNA expression levels of NOD-like receptor protein3 (NLRP3), Toll-like receptor 4 (TLR4), and nuclear factor-kappa B (NF-κB) in pancreatic tissue; immunohistochemistry was used to measure the positive expression rates of NLRP3, TLR4, and NF-κB in pancreatic tissue; Western blot was used to measure the protein expression levels of NLRP3, TLR4, NF-κB, IL-1β, and IL-6. An analysis of variance was used for comparison of continuous data between multiple groups, and the least significant difference t-test was used for further comparison between two groups.  Results  Compared with the blank group, the model group had diffuse destruction of pancreatic tissue structure, focal dilatation of pancreatic lobular septum, pancreatic acinar atrophy, and massive inflammatory cell infiltration, as well as significant increases in the content of α-amylase, lipase, IL-1β, IL-6, IL-8, IL-18, and TNF-α (all P<0.05), the mRNA expression levels and positive expression rates of NLRP3, TLR4, and NF-κB (all P<0.05), and the protein expression levels of NLRP3, TLR4, NF-κB, IL-1β, and IL-6 (all P<0.05). Compared with the model group, the low-, middle-, and high-dose QJHGD groups and the Western medicine group had slightly tighter and more intact structure of pancreatic tissue, ordered arrangement of pancreatic acinar cells, a small amount of inflammatory cell infiltration, and hemorrhagic foci of pancreatic lobules, as well as significant reductions in the content of α-amylase, lipase, IL-1β, IL-6, IL-8, IL-18, and TNF-α (all P<0.05), the mRNA expression levels and positive expression rates of NLRP3, TLR4, and NF-κB (all P<0.05), and the protein expression levels of NLRP3, TLR4, NF-κB, IL-1β, and IL-6 (all P<0.05).  Conclusion  QJHGD may exert a protective effect on the pancreatic tissue of SAP mice by inhibiting the activation of NLRP3/TLR4/NF-κB signaling pathway-related proteins, reducing the release of inflammatory mediators, and preventing the enhancement of inflammatory cascade response.
New Technology and Therapeutic Strategy
Efficacy of endoscopic retrograde cholangiopancreatography combined with electrohydraulic lithotripsy under the direct view of eyeMax biliary-pancreatic imaging system in treatment of difficult choledocholithiasis
Liying TAO, Hongguang WANG, Qingmei GUO, Lianyu PIAO, Xiang GUO, Libin RUAN, Shizhu LIU, Zhen SUN
2024, 40(2): 351-355. DOI: 10.12449/JCH240220
Abstract(1339) HTML (359) PDF (807KB)(131)
Abstract:
  Objective  To investigate the safety and efficacy of endoscopic retrograde cholangiopancreatography (ERCP) combined with electrohydraulic lithotripsy under the direct view of eyeMax biliary-pancreatic imaging system in the treatment of difficult choledocholithiasis.  Methods  A retrospective analysis was performed for the clinical data of 12 patients with difficult choledocholithiasis who underwent ERCP and electrohydraulic lithotripsy under the direct view of eyeMax biliary-pancreatic imaging system in Department of Gastroenterology, Jilin People’s Hospital, from May to November 2022. The clinical effect of lithotripsy and lithotomy was observed, and postoperative complications and time of surgical operation were assessed.  Results  Among the 12 patients, 11 (91.67%) were successfully treated by electrohydraulic lithotripsy under direct view, 9 (75.00%) achieved first-attempt success in lithotripsy, and 11 (91.67%) had complete removal of calculi; 1 patient was found to have stenosis of the bile ducts caused by multiple biliary tract surgeries, and grade Ⅱ intrahepatic bile duct stones above the sites of stenosis were removed under direct view, but there were still residues of grade Ⅲ intrahepatic bile duct stones, which led to the fact that complete calculus removal was not achieved. The mean time of ERCP operation was 91.3±26.2 minutes, including a time of 41.8±22.2 minutes for energy lithotripsy. There were 2 cases of postoperative biliary tract infection which were improved after anti-infective therapy, 2 cases of hyperamylasemia which were not given special treatment, and 3 cases of mild pancreatitis which were improved after symptomatic medication, and there were no complications such as bleeding and perforation.  Conclusion  ERCP combined with electrohydraulic lithotripsy under the direct view of eyeMax biliary-pancreatic imaging system is safe, effective, and feasible in the treatment of difficult choledocholithiasis.
Case Report
Niemann-Pick disease type B and heterogeneous manifestations of its liver involvement: A case report
Qiao YANG, Yi SHEN, Yue SHI, Jin WANG, Fangfang LYU
2024, 40(2): 356-360. DOI: 10.12449/JCH240221
Abstract(1057) HTML (374) PDF (1123KB)(121)
Abstract:
This article reports a case with the chief complaint of “hepatosplenomegaly to be investigated” and a confirmed diagnosis of Niemann-Pick disease type B after various tests, and a literature review was conducted to summarize the heterogeneous manifestations of liver involvement in type B Niemann-Pick disease, in order to improve the clinical management of difficult and rare liver diseases.
Recurrent hypertriglyceridemic acute pancreatitis in an adult patient caused by the de novo mutation of p.K327N in the GPD1 gene: A case report
Xiaoyao LI, Jianfeng DUAN, Dacheng WANG, Xiancheng CHEN, Beiyuan ZHANG, Wenkui YU
2024, 40(2): 361-364. DOI: 10.12449/JCH240222
Abstract(1091) HTML (281) PDF (813KB)(75)
Abstract:
Hypertriglyceridemia (HTG) is the second leading cause of acute pancreatitis in China and can be caused by primary factors, namely gene mutations, which may lead to recurrent hypertriglyceridemic acute pancreatitis (HTG-AP) and difficulties in effective control of triglyceride. This article reports an adult Chinese male patient who experienced eight attacks of HTG-AP and was found to carry a de novo heterozygous mutation, p.K327N, of the GPD1 gene, which may cause the persistent high level of triglyceride and recurrent attacks of HTG-AP.
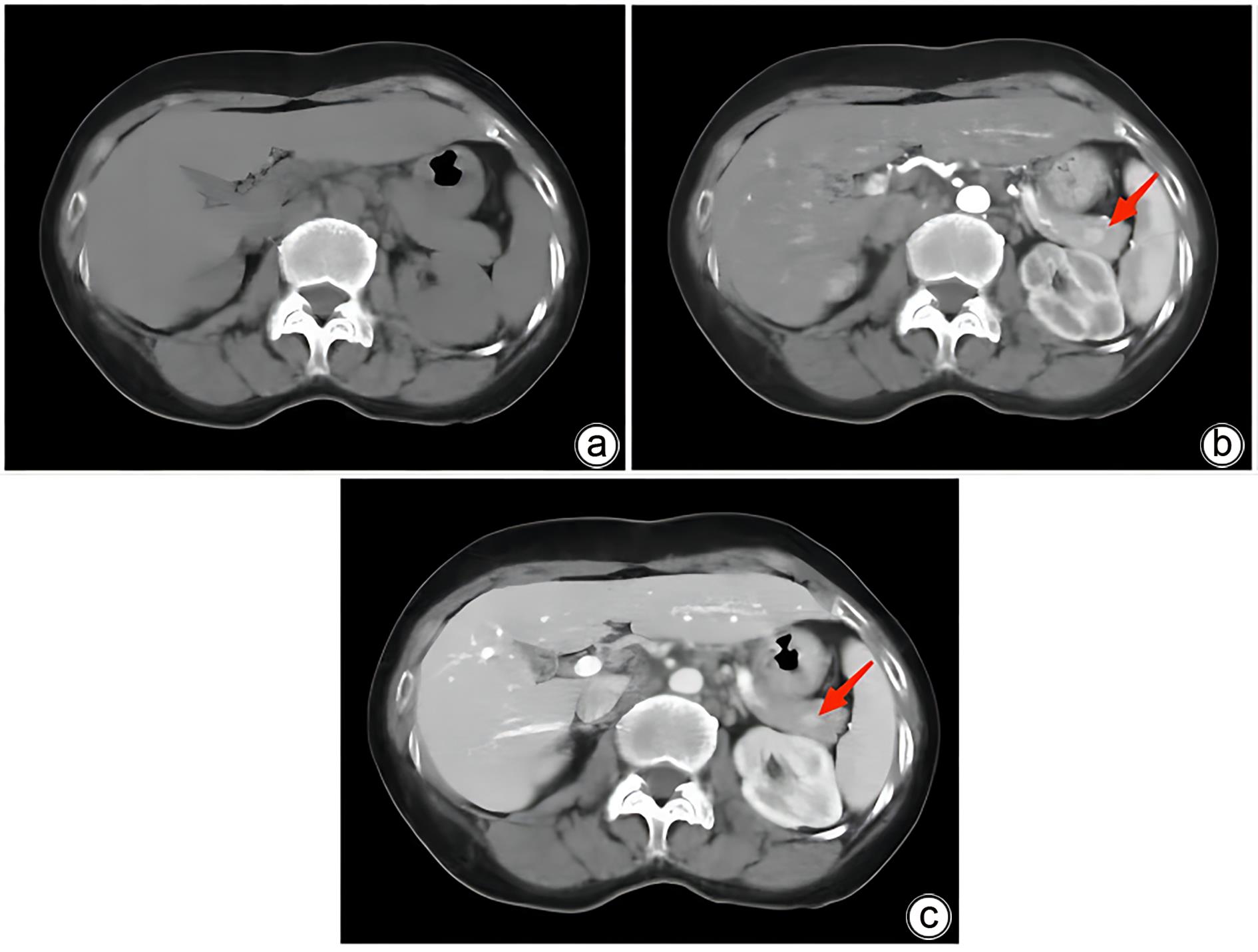
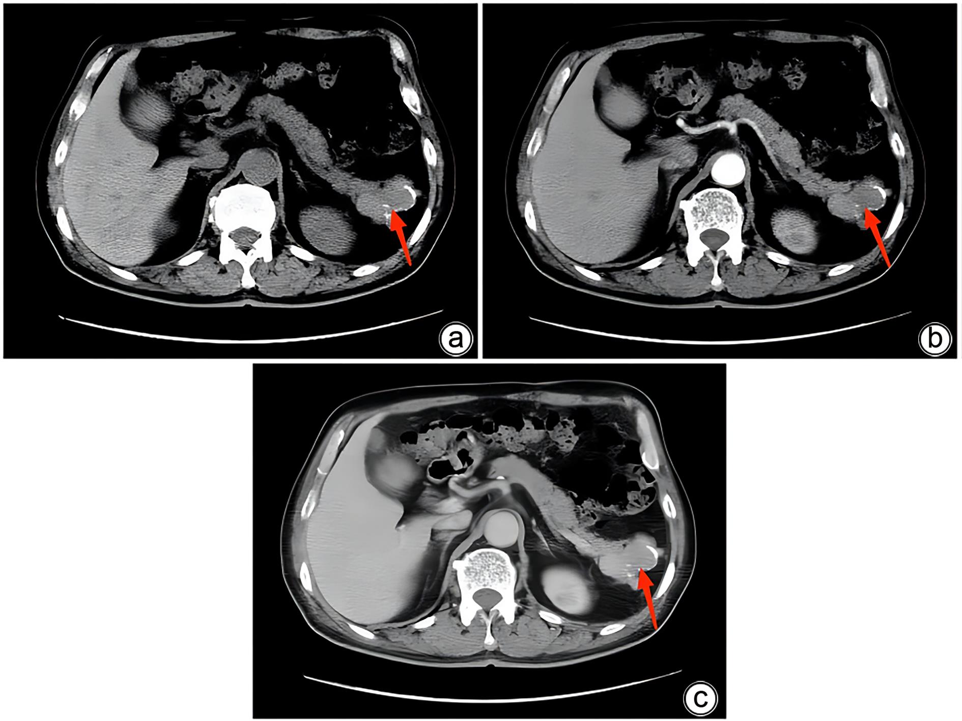
Misdiagnosis of intrapancreatic accessory spleen: A report of two cases
Mengzhe ZHANG, Jie RAO, Zhengle ZHANG
2024, 40(2): 365-368. DOI: 10.12449/JCH240223
Abstract(1384) HTML (333) PDF (1188KB)(176)
Abstract:
Accessory spleen refers to the spleen tissue that exists outside of the normal spleen, with a similar structure to the main spleen and certain functions. Intrapancreatic accessory spleen (IPAS) completely enveloped by the pancreas has an incidence rate of only 2%, and it is easily misdiagnosed in clinical practice due to its atypical clinical symptoms and similar radiological features to pancreatic neuroendocrine tumor, pancreatic solid pseudopapillary tumor, and other pancreatic space-occupying lesions. This article reports the clinical data of two patients with IPAS who were misdiagnosed as pancreatic neuroendocrine tumor and pancreatic solid pseudopapillary tumor, respectively, analyzes the reasons for misdiagnosis, and summarizes the experience in diagnosis and treatment, in order to improve the ability for the differential diagnosis of IPAS in clinical practice.
Review
Effect of treatment with direct-acting antiviral agents on the prognosis of extrahepatic diseases in patients with hepatitis C
Xiaoyan WANG, Liaoyun ZHANG
2024, 40(2): 369-373. DOI: 10.12449/JCH240224
Abstract(831) HTML (297) PDF (571KB)(98)
Abstract:
The prognosis of patients with hepatitis C virus infection depends not only on liver lesions, but also on extrahepatic sequelae. Direct-acting antiviral agents (DAAs), as the first-line drugs in the treatment of hepatitis C, have helped more and more patients achieve sustained virologic response and clinical cure, but its effect on the prognosis of extrahepatic diseases remains unclear. This article reviews the effect of DAAs treatment on the prognosis of extrahepatic diseases in patients with hepatitis C and points out that long-term follow-up monitoring is still required for patients with hepatitis C after cure.
Association of intestinal microecology with the development and progression of autoimmune hepatitis
Yuyan XIA, Qiongrong ZENG, Fujian LI, Fengyan LI, Qi LI, Lixia TANG, Guo ZHANG
2024, 40(2): 374-379. DOI: 10.12449/JCH240225
Abstract(1091) HTML (256) PDF (646KB)(105)
Abstract:
Autoimmune hepatitis (AIH) is an autoimmune disease characterized by chronic liver inflammation, with a gradually increasing incidence rate, and its social and medical burdens cannot be neglected. Intestinal microecology is becoming a research hotspot in the field of autoimmune disease. In recent years, it has been believed that changes in intestinal microecology can cause changes in autoimmune state, microbial metabolites, and intestinal barrier, which is one of the driving factors for the onset of AIH. Early diagnosis and correct treatment can help to improve the prognosis of AIH patients. This article introduces the characteristics of gut microbiota in AIH patients, elaborates on the impact of intestinal microflora imbalance on the pathogenesis of AIH, and briefly describes related treatment regimens from the perspective of intestinal microecology, so as to comprehensively understand and explain the role of intestinal microecology in AIH and the impact of intestinal microecology balance on the pathogenesis, diagnosis, and treatment of AIH.
Current research status of Gd-EOB-DTPA-enhanced MRI in evaluating liver reserve function in residual liver tissue after liver tumor surgery
Yanhong YE, Lijian LU
2024, 40(2): 380-385. DOI: 10.12449/JCH240226
Abstract(1197) HTML (448) PDF (630KB)(74)
Abstract:
As a non-invasive, simple, and reproducible examination, Gd-EOB-DTPA-enhanced magnetic resonance imaging (MRI) has an important application value in evaluating liver reserve function. Currently in clinical practice, Gd-EOB-DTPA-enhanced MRI is mainly used to measure liver parenchymal signal intensity parameters, magnetic resonance relaxation time parameters, biliary tract enhancement parameters, and liver volume parameters to evaluate the liver reserve function of patients. In recent years, the use of Gd-EOB-DTPA-enhanced MRI in predicting liver reserve function in residual liver tissue after liver tumor surgery has become one of the hotspots in clinical research, and certain progress has been made in related studies in China and globally. This article reviews the research advances in recent years.
Research advances in second-line therapies for hepatocellular carcinoma after resistance to targeted therapy combined with immunotherapy
Tianqi ZHANG, Yuzhe CAO, Mengxuan ZUO, Yangkui GU
2024, 40(2): 386-390. DOI: 10.12449/JCH240227
Abstract(2783) HTML (714) PDF (552KB)(212)
Abstract:
In recent years, clinical studies on targeted therapy and immunotherapy for advanced hepatocellular carcinoma used alone or in combination have provided abundant evidence on efficacy and safety for the selection of first-line therapies. However, no consensus has been reached on the selection of second-line therapies in various clinical guidelines for hepatocellular carcinoma, which is caused by the fact that existing evidence is limited to the options after failure of sorafenib and that there is still a lack of high-level evidence for new first-line therapies such as second-line therapies after resistance to targeted therapy and immunotherapy for hepatocellular carcinoma. This article reviews the results of current clinical trials and summarizes the studies on second-line therapies for hepatocellular carcinoma after resistance to first-line targeted therapy and immunotherapy for hepatocellular carcinoma based on the different mechanisms of action of drugs, as well as the research advances in recent years. For hepatocellular carcinoma patients with resistance to first-line targeted therapy and immunotherapy, targeted combination therapy and dual-immune therapy are expected to improve treatment outcome and survival, and more prospective clinical studies are needed in the future to provide effective and safe treatment regimens for hepatocellular carcinoma patients with resistance to targeted therapy and immunotherapy.
Application of Mendelian randomization in liver cancer
Lingwei LI, Junjie QIN, Yunlong JIA, Hao LYU
2024, 40(2): 391-396. DOI: 10.12449/JCH240228
Abstract(1783) HTML (1365) PDF (609KB)(191)
Abstract:
In recent years, the research method of Mendelian randomization based on genome-wide association studies has been widely used for etiological exploration in the medical field, which can effectively overcome the confounding biases and interference of reverse causalities in traditional observational researches with its unique advantages of the distributive randomness and timing priority of genetic variants. This article reviews the method of Mendelian randomization and its application in liver cancer, in order to provide new ideas for the research on causal association in liver cancer.
Role of NOD-like receptor protein 3 inflammasome in the development and progression of hepatocellular carcinoma
Xuehai YU, Bendong CHEN, Yimin LIU, Yongxin MA, Xusheng ZHANG, Hongcai ZHOU, Haiyan MA
2024, 40(2): 397-401. DOI: 10.12449/JCH240229
Abstract(2067) HTML (423) PDF (942KB)(94)
Abstract:
In recent years, NOD-like receptor protein 3 (NLRP3) inflammasome in tumors has become a research hotspot, especially in melanoma, colorectal cancer, lung cancer, and breast cancer, and more and more evidence has shown that inflammation plays a role in the development, progression, angiogenesis, and invasion of cancer. Hepatocellular carcinoma (HCC) is the most common type of primary liver cancer, and there are still controversies over the role of NLRP3 inflammasome in the development and progression of HCC. Therefore, this article reviews the potential impact of NLRP3 inflammasome in the progression of HCC and its mechanism of action in anticancer therapy, and it is believed that NLRP3 inflammasome can be used as an effective therapeutic target for HCC patients.
Pathogenesis of liver injury caused by antiviral drugs for coronavirus disease 2019
Xue ZENG, Fuqing LI, Qingqing LI, Hong WANG
2024, 40(2): 402-407. DOI: 10.12449/JCH240230
Abstract(1278) HTML (512) PDF (669KB)(77)
Abstract:
Drug-induced liver injury is caused by the drug itself and/or its metabolites during drug use or occurs due to hypersensitivity or reduced tolerance to the drug in a particular body type. In the last three years of the diagnosis and treatment of coronavirus disease 2019 (COVID-19), antiviral drugs have played a very important role, but there are many reports on liver injury caused by anti-COVID-19 drugs in China and globally, with unknown pathogenesis of liver injury caused by such drugs. This article reviews the research advances in the types of antiviral drugs for COVID-19 and their mechanism in inducing liver injury, in order to promote the rational use of antiviral drugs.
Clinical significance of benign liver function abnormality
Xu HAN, Jia LI, Qingfang XIONG, Yongfeng YANG
2024, 40(2): 408-412. DOI: 10.12449/JCH240231
Abstract(1331) HTML (771) PDF (587KB)(243)
Abstract:
Biochemical liver function tests are important methods to determine liver function in clinical practice, but abnormal liver biochemical parameters are not completely equivalent to liver damage. Some genetic and immune factors can also cause abnormal liver biochemical parameters, but with good prognosis in most cases. This article summarizes the causes of some benign abnormal liver biochemical parameters, so as to help clinicians to broaden their thinking of diagnosis and treatment, take into account genetic and immune factors, and avoid misdiagnosis and mistreatment.
Role of mitophagy in the development and progression of liver-related diseases
Meng PAN, Xiaoyan SHI
2024, 40(2): 413-418. DOI: 10.12449/JCH240232
Abstract(1831) HTML (1033) PDF (762KB)(107)
Abstract:
Mitophagy is a type of selective autophagy during which cells specifically remove damaged mitochondria in response to nutrient deficiency or external stimulation and thus maintain the integrity of mitochondrial function and cellular homeostasis. In recent years, a large number of studies have shown that dysfunction of mitophagy is closely associated with the development and progression of various liver-related diseases such as nonalcoholic fatty liver disease, drug-related liver injury, viral hepatitis, and hepatocellular carcinoma. This article summarizes the specific mechanisms of mitophagy in regulating liver-related diseases and further elaborates on the potential therapeutic targets of mitophagy in liver-related diseases, in order to provide more effective therapeutic strategies for the clinical treatment of liver diseases.
Association between deacetylase Sirtuins and radiation-induced liver disease
Yekai ZONG, Jiangkai LIU
2024, 40(2): 419-425. DOI: 10.12449/JCH240233
Abstract(1126) HTML (360) PDF (693KB)(63)
Abstract:
Radiation-induced liver disease (RILD), also known as radiation hepatitis, is subacute liver injury induced by radiation. As the focus of senescence-related studies, the deacetylase family Sirtuins (SIRTs) have the molecular functions including DNA repair and chromatin regulation, which makes SIRTs a hub for regulating genome and epigenome stability. Radiation-induced hepatic DNA damage and reaction is the primary physiological and pathological process of RILD, which is similar to the function of SIRTs. This article briefly introduces the structure and function of the SIRTs protein family, elaborates on the basic concepts and progress of the physical physiology of radiation therapy, discusses the internal relationship between SIRTs and RILD from the perspective of radiobiology, and points out the possibility of SIRTs as a target for the prevention and treatment of RILD.
Advances in molecular-targeted therapy for unresectable pancreatic cancer
Run HU, Junen LI, Pei YAO, Renjie GUI, Huaxin DUAN
2024, 40(2): 426-432. DOI: 10.12449/JCH240234
Abstract(2347) HTML (1609) PDF (672KB)(194)
Abstract:
Pancreatic cancer is one of the most prevalent malignant tumors of the digestive system, and its incidence and mortality rates are increasing year by year. Most patients with pancreatic cancer are unable to receive surgery due to the advanced stage. Although chemotherapy regimens based on gemcitabine and fluorouracil have prolonged the survival time of patients to some extent, some patients cannot tolerate chemotherapy and hence lose the opportunity for treatment. With the advent of the era of precision medicine, molecular-targeted therapy has exhibited an excellent therapeutic efficacy and has thus become one of the most important treatment techniques for tumors; however, due to the high heterogeneity of pancreatic cancer and its complicated tumor microenvironment, molecular-targeted therapy for pancreatic cancer has not achieved notable results. Therefore, it is imperative to seek new therapeutic targets and medications to overcome this issue. This article reviews the latest advances in the research on molecular-targeted therapy for unresectable pancreatic cancer based on common molecular targets and tumor immunity-related therapeutic targets, in order to provide new treatment strategies for patients with pancreatic cancer.
Introduction of High - quality Articles in Foreign Journals
Journal of Hepatology|Metabolic biomarkers significantly enhance the prediction of HBV-related ACLF occurrence and outcomes
2024, 40(2): 257-257. DOI: 10.12449/JCH2402.gwqkjpwzjj1
Abstract(551) HTML (211) PDF (1217KB)(63)
Abstract:
Hepatology International|Clinic-radiomics model using liver magnetic resonance imaging helps predict chronicity of drug-induced liver injury
2024, 40(2): 270-270. DOI: 10.12449/JCH2402.gwqkjpwzjj2
Abstract(423) HTML (167) PDF (848KB)(59)
Abstract:
Journal of Hepatology|An open-label randomised-controlled trial of azathioprine vs. mycophenolate mofetil for the induction of remission in treatment-naive autoimmune hepatitis
2024, 40(2): 342-342. DOI: 10.12449/JCH2402.gwqkjpwzjj3
Abstract(559) HTML (212) PDF (858KB)(47)
Abstract:
Acknowledgements
Current reviewers
2024, 40(2): 432-432. DOI: 10.12449/JCH2402.zhixie
Abstract(327) HTML (145) PDF (1206KB)(48)
Abstract: