本刊动态
- 卓越领军 笃行至远——《临床肝胆病杂志》2026年主编致辞 2026-03-09
- 《临床肝胆病杂志》被J-Gate数据库收录2026-03-20
- 《临床肝胆病杂志》入展2026年美国科学促进会(AAAS)年会“中国优秀科技期刊展”2026-03-04
- 《临床肝胆病杂志》课题获“中国高校科技期刊研究会—顶益科传TopYield 期刊国际化基金”项目立项2026-01-20
- 《临床肝胆病杂志》入选“首届期刊深度融合发展创新案例·入库案例”2025-12-25
- 七连冠!《临床肝胆病杂志》在消化病学类核心期刊中连续7年排名第一2025-12-09
- 《临床肝胆病杂志》15篇论文入选中国科协 “2025年度结构化论文双语传播工程”2025-12-09
- 《临床肝胆病杂志》在2025年度中国高校科技期刊评选中斩获多项殊荣2025-11-21
- 《临床肝胆病杂志》2026年1~10期重点号选题及各期执行主编2025-10-16
- 《临床肝胆病杂志》封面设计及相关论文荣获第十九届“创意中国”设计大奖2025-10-11
显示方式:
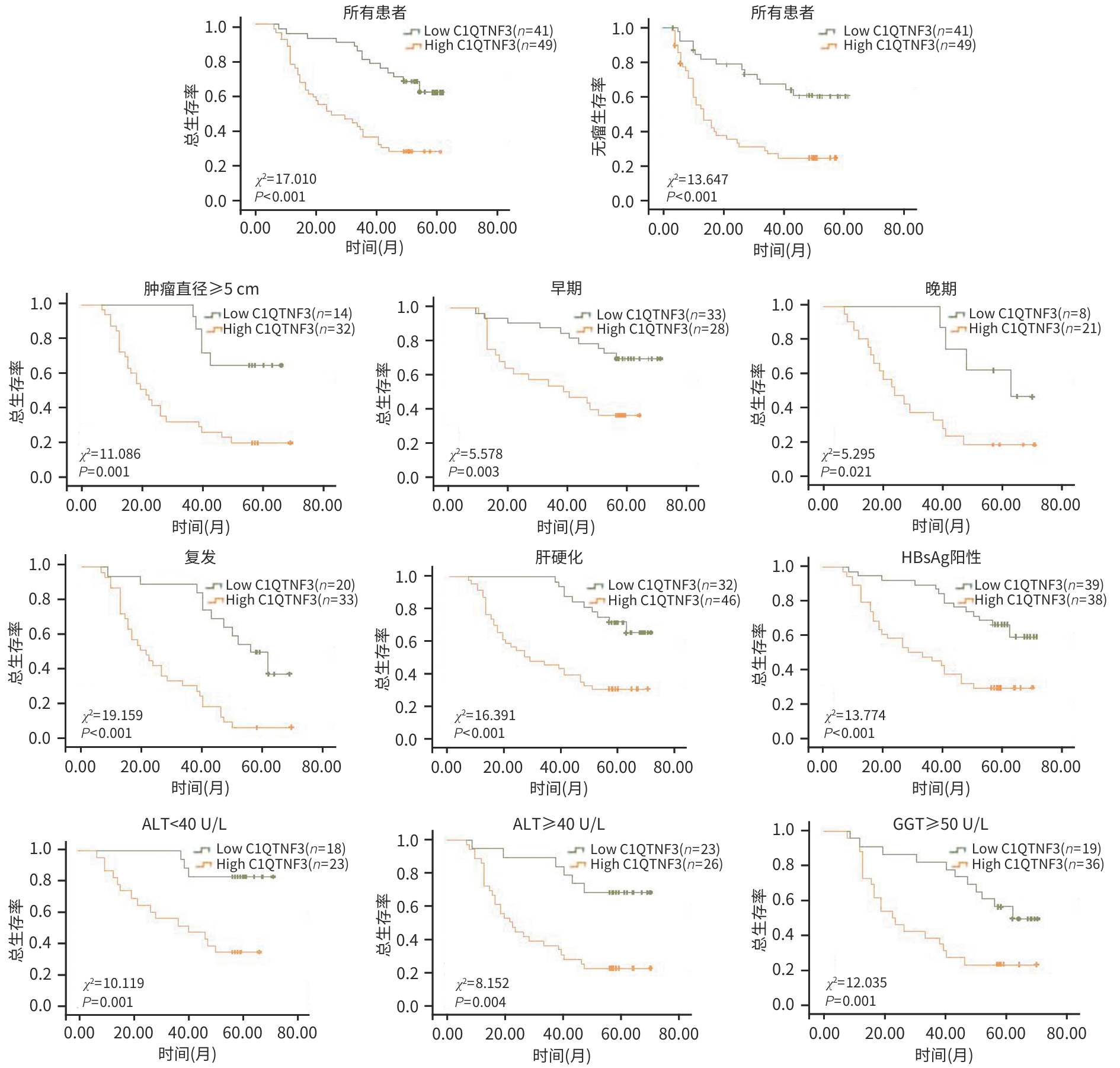
2026, 42(3): 502-508.
DOI: 10.12449/JCH260302
摘要:
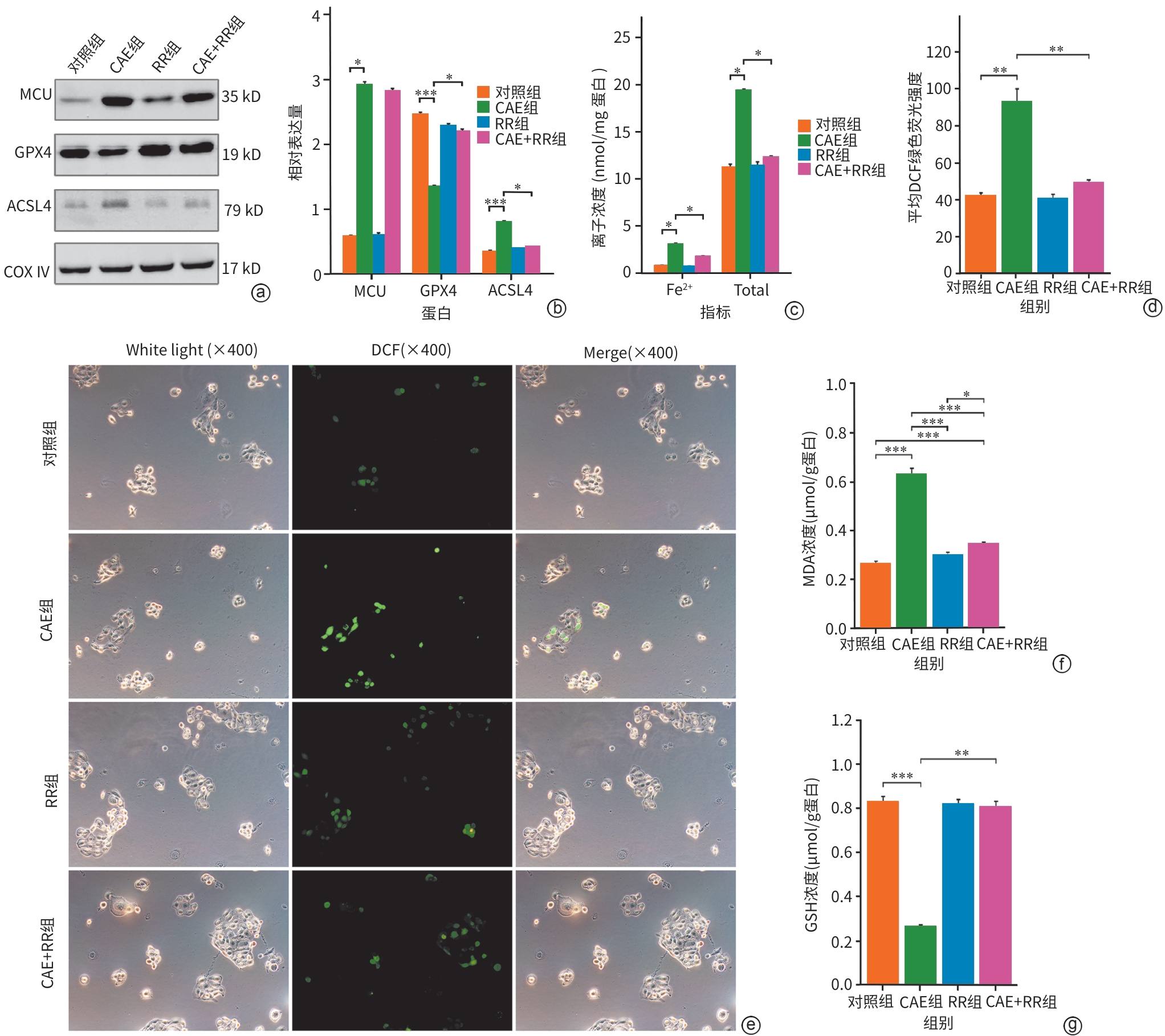
2026, 42(3): 509-514.
DOI: 10.12449/JCH260303
摘要:
2026, 42(3): 522-528.
DOI: 10.12449/JCH260305
摘要:
2026, 42(3): 541-555.
DOI: 10.12449/JCH260308
摘要:
2026, 42(3): 556-567.
DOI: 10.12449/JCH260309
摘要:
2026, 42(3): 568-572.
DOI: 10.12449/JCH260310
摘要:
2026, 42(3): 586-592.
DOI: 10.12449/JCH260313
摘要:
2026, 42(3): 593-599.
DOI: 10.12449/JCH260314
摘要:
2026, 42(3): 600-607.
DOI: 10.12449/JCH260315
摘要:
2026, 42(3): 608-617.
DOI: 10.12449/JCH260316
摘要:
2026, 42(3): 618-628.
DOI: 10.12449/JCH260317
摘要:
2026, 42(3): 629-638.
DOI: 10.12449/JCH260318
摘要:
2026, 42(3): 639-646.
DOI: 10.12449/JCH260319
摘要:
2026, 42(3): 647-654.
DOI: 10.12449/JCH260320
摘要:
2026, 42(3): 668-675.
DOI: 10.12449/JCH260323
摘要:
2026, 42(3): 676-682.
DOI: 10.12449/JCH260324
摘要:
2026, 42(3): 683-689.
DOI: 10.12449/JCH260325
摘要:
2026, 42(3): 718-725.
DOI: 10.12449/JCH260330
摘要:
2026, 42(3): 739-744.
DOI: 10.12449/JCH260333
摘要:
2026, 42(3): 508-508.
DOI: 10.12449/JCH2603.gwqkjpwzjj1
摘要:
2026, 42(3): 628-628.
DOI: 10.12449/JCH2603.gwqkjpwzjj2
摘要:
2026, 42(3): 646-646.
DOI: 10.12449/JCH2603.gwqkjpwzjj3
摘要:
本刊公告
- 《临床肝胆病杂志》关于论文关联数据汇交与共享的政策声明2026-04-30
- 《临床肝胆病杂志》2026年征稿征订启事2025-12-19
- 《临床肝胆病杂志》关于人工智能生成内容(AIGC)的立场声明2023-12-20
- 《临床肝胆病杂志》对基金项目论文免费审理优先发表2022-08-11
- 《临床肝胆病杂志》遴选“国外期刊精品文章简介”的具体要求2022-05-27
- 《临床肝胆病杂志》关于不法人员冒用本刊名义实施邮件诈骗的严正声明2021-05-12
- 《临床肝胆病杂志》免费刊发国内肝胆胰诊疗指南及国外肝胆胰诊疗指南译文2015-07-01
- 《临床肝胆病杂志》对编委、审稿专家稿件免收审稿费2011-05-27
- 《临床肝胆病杂志》诚聘审稿专家,欢迎加入!2018-01-19
- 《临床肝胆病杂志》关于作者上传盲审稿的要求2020-09-29
国际数据库收录
-
nbsp; -
荷兰《医学文摘(网络版)》(Embase)(2023—) -
荷兰《文摘与引文索引》(Scopus)(2021—) -
美国《生命科学引文索引》(BIOSIS Citation Index)(2025—)
美国《生命科学信息预览》(BIOSIS Previews)(2025—)
美国《生命科学文摘》(Biological Abstracts)(2025—) -
美国《ProQuest健康与医学资源全文数据库》 -
美国《化学文摘(网络版)》(CA)来源期刊(2011—) -
瑞士《健康网络首创研究获取》(HINARI)来源期刊(1985—) -
美国《艾博思科数据库》(Eh,EBSCOhost)来源期刊(2013—) -
英国《国际农业与生物科学研究中心》(CABI)来源期刊(2011—) -
ISSN国际中心《开放学术资源库》(ROAD)(2023—) -
世界卫生组织《西太平洋地区医学索引(WPRIM)》来源期刊(2016—) -
印度《J-Gate全球电子期刊获取门户》(J-Gate)(2026—) -
《日本科学技术振兴机构数据库(中国)》(JSTChina)来源期刊(2018—) -
俄罗斯《文摘杂志》(AJ,VINITI)来源期刊(2013—) -
美国《乌利希期刊指南(网络版)》(Ulrichsweb)注册期刊(2018—) -
英国《欧洲学术出版中心数据库》(EuroPub)来源期刊(2024—) -
波兰《哥白尼索引》(ICI)来源期刊(2011—)


摘要
HTML
PDF (652KB)





