第41卷 第10期(总300期) 2025年10月
“肝纤维化中医药治疗的传承与创新” 重点号
执行主编:徐春军
首都医科大学附属北京中医医院

述评
中医药治疗乙型肝炎肝纤维化研究进展
李丽, 徐春军
2025, 41(10): 1961-1967. DOI: 10.12449/JCH251001
摘要(191) HTML (43) PDF (818KB)(86)
摘要:
慢性乙型肝炎相关肝纤维化是疾病进展至肝硬化甚至肝细胞癌的关键病理环节。虽然抗病毒治疗能够有效抑制HBV复制,但肝纤维化的逆转仍是当前临床面临的重大挑战,部分患者仍存在病情持续进展的风险。中医药凭借其“多靶点、整体调节”的独特优势,在该领域逐渐形成了融合传统理论支持与现代科学证据的综合防治策略。“正虚血瘀”作为肝纤维化的核心病机,贯穿疾病发展全过程,治疗上应注重分期辨证、标本兼顾。近年来,相关临床与基础研究取得了显著进展。本文系统综述了经典名方(如鳖甲煎丸、大黄䗪虫丸、小柴胡汤等)、现代中成药及核心中药(如丹参、黄芪、柴胡)在抗肝纤维化方面的临床疗效与作用机制,分析了当前在证据质量、精准用药等方面存在的挑战,并对未来研究方向提出展望,建议通过深化“病-证-方-效-靶”关联机制研究、开展高水平临床试验与真实世界研究,进一步发挥中医药在肝病防治中的重要作用。
专家论坛
代谢相关脂肪性肝病肝纤维化的中医药治疗进展
周志佳, 李新月, 郑超, 孙学华
2025, 41(10): 1968-1974. DOI: 10.12449/JCH251002
摘要(153) HTML (45) PDF (735KB)(54)
摘要:
代谢相关脂肪性肝病(MAFLD)已成为全球最常见的慢性肝病之一,其进展至肝纤维化是影响患者预后和并发症风险的关键节点。近年来,选择性甲状腺激素受体β激动剂、胰高血糖素样肽-1受体激动剂、成纤维细胞生长因子21类似物等新型药物在MAFLD肝纤维化治疗中取得初步进展,但整体疗效仍有限,尚缺乏覆盖不同病程阶段的理想治疗策略。中医药凭借其多靶点、系统调节等特点,在该领域展现出独特的干预优势。本文系统梳理了近年来中药复方及其活性成分在基础与临床研究中的抗肝纤维化作用机制,重点涉及肝星状细胞激活、脂质代谢紊乱、氧化应激、免疫炎症及肠-肝轴功能障碍等关键环节。同时,指出当前研究中存在如机制阐释不清、评价体系不统一、临床证据质量有待提升等问题。未来应重视中药制剂的标准化与质量可控性,并结合组学分析、类器官模型和真实世界数据等新兴技术,推动中医药干预MAFLD肝纤维化向机制明确、路径清晰、证据坚实的方向发展。中医药有望在MAFLD肝纤维化的多维靶向干预与分期管理中发挥重要作用,为慢性肝病精准治疗提供新思路与整合性解决方案。
原发性胆汁性胆管炎相关肝纤维化中医药治疗进展
张晨阳, 张玮
2025, 41(10): 1975-1980. DOI: 10.12449/JCH251003
摘要:
原发性胆汁性胆管炎(PBC)是一种慢性进行性自身免疫性肝病,易进展为肝纤维化乃至肝硬化。本文总结回顾了中医药联合熊去氧胆酸治疗PBC相关肝纤维化的研究进展。多项研究表明,中西医联合治疗可显著改善PBC相关肝纤维化患者的血清纤维化标志物、无创肝纤维化评分及肝硬度值,且安全性良好,展现出延缓甚至逆转PBC相关肝纤维化进程的潜力。然而,现有证据多基于小样本或短期临床观察,未来仍需开展大样本、高质量的随机对照试验和长期随访研究,并结合现代科技手段深入探索其作用机制,从而进一步验证临床疗效,推动构建循证为基础的中西医结合精准诊疗体系。通过深化研究,中医药有望在PBC相关肝纤维化的治疗领域发挥更为重要的作用。
中药抗肝纤维化机制研究进展
潘旭旺, 叶坚虹, 包剑锋
2025, 41(10): 1981-1987. DOI: 10.12449/JCH251004
摘要(110) HTML (34) PDF (875KB)(42)
摘要:
肝纤维化是多种慢性肝病向肝硬化乃至肝癌发展的关键中间环节。中药对肝纤维化有较好的疗效,但其作用机制尚未明确。本文概述了肝纤维化的病理机制,包括中医学病因病机和西医学机制(如肝星状细胞活化、代谢重编程驱动肝纤维化、肝纤维化关键信号通路等)。在此基础上,重点分析中药抗肝纤维化的核心作用机制,主要包括抑制肝星状细胞的活化和增殖、减轻肝脏炎症与免疫调节、抗脂质过氧化损伤、调控促纤维化因子的合成与分泌、维持细胞外基质代谢平衡、干预相关信号通路、调节肠道菌群以及抑制肝窦毛细血管化等多个方面。本文旨在系统总结中药抗肝纤维化的作用机制,为更好地开发肝纤维化治疗中药奠定基础。
基于组学技术的中医药防治肝纤维化基础研究进展
吴建芝, 黄彬, 郭津丞, 杨志云, 李晓骄阳
2025, 41(10): 1988-1993. DOI: 10.12449/JCH251005
摘要:
肝纤维化是多种慢性肝病的关键共性病理环节,可进展为肝硬化、肝癌等重大恶性疾病,然而目前仍缺乏高效、靶向的治疗药物。传统中医药防治肝纤维化的临床疗效明确,但复方成分的复杂性及作用机制欠明,严重阻碍其临床精准应用和国际化推广。近年来,多模态高通量组学技术快速发展,凭借其系统性分析、大数据运算和靶点精准预测的集群优势,为阐释中医药治疗重大疑难疾病的科学内涵提供了强大技术支撑。尤其是转录组学、蛋白质组学及代谢组学等多维整合策略,可全景式解析中药复方及单体成分改善肝纤维化的关键信号通路群、细胞表型转化模式和细胞外基质代谢稳态的深层分子网络,并助力中药有效成分群及新型生物标志物的筛选与评价。本文梳理了近5年应用多组学技术探讨中医药防治肝纤维化的基础研究进展,通过汇总“药物-靶点-通路-表型”关联网络以深度解析中药调控肝星状细胞活化等表型改变及逆转肝纤维化的核心机制。未来研究需进一步深入挖掘多组学技术的交叉融合与动态分析方法,助力精准辨识中药调控核心靶标网络,并系统解析复方配伍规律的科学内涵,以期为开发高效靶向抗肝纤维化药物及个体化诊疗策略提供理论依据。
热点·视点·观点
正确理解抗-HBc的临床意义
谢靖, Robert G. GISH, 贾继东
2025, 41(10): 1994-1998. DOI: 10.12449/JCH251006
摘要(122) HTML (36) PDF (599KB)(47)
摘要:
抗-HBc是既往HBV暴露及潜在病毒持续存在的重要标志物。在急性HBV感染过程中,HBsAg出现后不久,最早出现的抗体为免疫球蛋白M型抗-HBc(抗-HBc-IgM),通常持续6~12个月,随后出现免疫球蛋白G型抗-HBc(抗-HBc-IgG)。在慢性感染者发生肝炎急性发作时,抗-HBc-IgM亦可能再次出现,但其滴度较急性感染者低。孤立性抗-HBc阳性可见于既往HBV感染已自愈/功能性治愈或隐匿性感染者,在化疗、免疫治疗、输血或器官移植时,仍存在HBV再激活或传播风险。因此,准确识别抗-HBc的临床价值对于HBV感染的全面评估和个体化管理具有重要意义。
指南与规范
《2025年美国糖尿病学会共识报告:糖尿病患者代谢功能障碍相关脂肪性肝病的筛查和早期干预》摘译
朱小鹏, 高鑫
2025, 41(10): 1999-2004. DOI: 10.12449/JCH251007
摘要:
代谢功能障碍相关脂肪性肝病(MASLD)在糖尿病患者中危害严重,但认知不足。约2/3的2型糖尿病患者合并MASLD,其肝硬化、肝癌及肝脏相关死亡风险显著增加,同时与心血管疾病、肝外恶性肿瘤及糖尿病进展密切相关。然而,MASLD的筛查和管理在糖尿病诊疗中仍未得到足够重视。本共识强调应对糖尿病前期和2型糖尿病患者(尤其是肥胖者)进行肝纤维化筛查与风险分层,内容涵盖MASLD术语更新的病理生理学依据、风险分层策略、现有治疗方案(生活方式干预及药物选择)、长期监测方案,以及多学科协作的重要性。此外,探讨了饮酒对肝脏健康的影响。通过提高临床医师和患者对MASLD的认知,并将肝纤维化筛查纳入糖尿病管理流程,有望改善患者长期预后,降低肝硬化的发生率。
《2025年欧洲肝肠移植学会共识指南:遗体捐献供肝的应用和评估》摘译
沈未, 许圣均, 鲁迪, 徐骁
2025, 41(10): 2005-2008. DOI: 10.12449/JCH251008
摘要:
2025年,欧洲肝肠移植学会(ELITA)发布了遗体捐献供肝的应用和评估共识指南。该指南着重讨论了高危供肝的定义、供肝动态评估的策略及标准等内容,旨在为临床工作者提供规范指导。本文对该指南的推荐意见进行了重点摘译。
《2025年世界内镜组织指南:内镜逆行胰胆管造影术中胆道插管及括约肌切开术技术》摘译
林俊龙, 华赟鹏
2025, 41(10): 2009-2012. DOI: 10.12449/JCH251009
摘要(122) HTML (29) PDF (579KB)(50)
摘要:
关于胆道插管的最新指南仍无进展。该指南是世界内镜组织(WEO)的一项倡议,由来自亚洲、欧洲和美洲的专家小组制定。该指南针对内镜逆行胰胆管造影(ERCP)术后胰腺炎(PEP)的预防、胆管插管技术、括约肌切开术/乳头球囊扩张术以及特殊情况下胆管插管4个关键领域的相关临床问题,通过系统文献回顾并采用推荐分级的评估、制定与评价方法进行了解答。成功的胆管插管和括约肌切开术是ERCP的基础,对几乎所有治疗性和高级诊断性操作均不可或缺。然而,不良事件,尤其是PEP,可能频繁发生并影响患者预后。高胆管插管成功率和低PEP发生率是ERCP完成质量的指标,应成为所有内镜医师的目标。本指南旨在提供适用于全球的临床实践建议,不受资源和专业知识限制。主要内容涵盖ERCP的术前、术中和术后管理,包括降低PEP风险的措施、初次胆道插管技术、胆道插管困难时的处理方案、ERCP失败时的替代方案(经皮和超声内镜引导)、解剖结构改变(如壶腹周围憩室和术后解剖结构)以及十二指肠狭窄时的胆道插管方法。
病毒性肝炎
1990—2021年全球和中国急性病毒性肝炎疾病负担分析
郑思为, 李莎莎, 王嘉洛, 刘毅冉, 杨永峰
2025, 41(10): 2013-2021. DOI: 10.12449/JCH251010
摘要:
  目的  分析1990—2021年全球与中国急性病毒性肝炎(AVH)疾病负担的变化趋势,为优化防控策略提供依据。  方法  基于2021年全球疾病负担数据库(GBD 2021),提取1990—2021年全球和中国AVH的发病、死亡和伤残调整生命年(DALY)等疾病负担数据,按地区、年龄、性别及肝炎类型分组,采用Joinpoint回归模型计算平均年度变化百分比(AAPC)及95%可信区间(95%CI)。  结果  1990—2021年期间,全球AVH的年龄标准化发病率、死亡率和DALY率均呈现下降趋势,平均每年分别下降1.02%(95%CI:-1.10%~-0.94%,P<0.001)、3.97%(95%CI:-4.12%~-3.82%,P<0.001)和3.64%(95%CI:-3.84%~-3.44%,P<0.001);中国相应的指标均呈下降趋势,分别为1.63%(95%CI:-1.70%~-1.57%,P<0.001)、9.24%(95%CI:-9.51%~-8.97%,P<0.001)和7.93%(95%CI:-8.15%~-7.71%,P<0.001)。中国AVH的疾病负担在全球中的占比持续降低,新发病例占比从1990年的24%降至2021年的15%,死亡病例占比从19%降至4%,DALY占比从16%降至4%。1990—2021年在全球范围内,AVH的发病、死亡及DALY高峰均集中在<5岁儿童群体;在中国发病高峰虽然仍以<5岁儿童为主要发病人群,但近年来,25~29岁青壮年人群发病率呈上升趋势,其中以急性乙型肝炎的病例增长最为突出(占该年龄段的59%),而死亡和DALY负担则集中于中老年人群。男性AVH的疾病负担均高于女性。从疾病类型分布来看,急性甲型肝炎是AVH发病的主要类型,在全球和中国分别占64%和48%;而急性乙型肝炎是导致死亡和DALY负担的主要类型,其在全球和中国分别占死亡病例的50%和80%,以及DALY的47%和69%。  结论  1990—2021年全球与中国AVH疾病负担均呈下降趋势,但近年来在我国青壮年人群发病率呈上升趋势,尤以急性乙型肝炎增高为主,需实施精准防控策略。
1992—2021年中国乙型肝炎及其肝硬化疾病负担分析
李朵朵, 胡娟, 唐永忠, 刘振国, 周鹏程
2025, 41(10): 2022-2029. DOI: 10.12449/JCH251011
摘要:
  目的  分析我国乙型肝炎及其肝硬化疾病负担变化趋势和影响因素,为防治策略优化提供依据。  方法  基于全球疾病负担研究(GBD)2021年数据库,采用Joinpoint回归模型计算1992—2021年慢性乙型肝炎及其肝硬化年龄标准化发病率、患病率、死亡率及伤残调整生命年(DALY)率的平均年度变化百分比,建立年龄-时期-队列模型评估发病风险,运用ARIMA模型预测2022—2031年疾病负担趋势。  结果  1992—2021年,中国乙型肝炎及其肝硬化总体年龄标准化发病率、年龄标准化患病率、年龄标准化死亡率和年龄标准化DALY率均呈下降趋势,平均每年分别下降4.52%(95%CI:-4.63%~-4.44%,P<0.05)、2.73%(95%CI:-2.80%~-2.66%,P<0.05)、3.41%(95%CI:-3.50%~-3.33%,P<0.05)和3.55%(95%CI:-3.65%~-3.48%,P<0.05) 男性的年龄标准化发病率、年龄标准化患病率、年龄标准化死亡率和年龄标准化DALY率均高于女性。1992—2021年中国乙型肝炎及其肝硬化发病风险随年龄增长呈现先下降后上升再下降趋势,发病风险随时间呈现下降趋势,随出生队列呈现先上升后下降趋势。预测模型结果显示,2022—2031年中国乙型肝炎及其肝硬化的年龄标准化发病率、年龄标准化患病率、年龄标准化死亡率和年龄标准化DALY率均呈下降趋势。  结论  1992—2021年,中国乙型肝炎及其肝硬化疾病负担呈现下降趋势,并将在随后10年维持下降趋势,其发病风险存在性别和年龄差异。
血清HBV RNA对慢性乙型肝炎患者抗病毒治疗效果的评估价值
尹红静, 李丽梅, 程霞, 胥莹
2025, 41(10): 2030-2036. DOI: 10.12449/JCH251012
摘要:
  目的  探讨血清HBV RNA在评估慢性乙型肝炎患者抗病毒治疗中的作用,并探索其作为临床治疗中潜在生物标志物的可能性,以期为慢性乙型肝炎的临床治疗提供科学依据。  方法  纳入2023年4月—2024年5月于昆明医科大学第二附属医院诊断为慢性HBV感染者的134例患者为研究对象。完善HBV DNA、血清HBV RNA、肝功能、HBsAg、抗-HBs、HBeAg、抗-HBe、抗-HBc、肝脏瞬时弹性成像等检查。计量资料两组间比较采用成组t检验或Mann-Whitney U检验;多组间比较采用Kruskal-Wallis H检验。计数资料两组间比较采用χ2检验或连续性修正χ2检验。相关性分析采用Pearson相关分析或Spearman相关分析。  结果  134慢性HBV感染者分为HBeAg阳性组(n=45)及HBeAg阴性组(n=89),两组间年龄、HBV DNA阳性率及定量值、血清HBV RNA阳性率及定量值、HBsAg、抗-HBe、ALT比较,差异均有统计学意义(P值均<0.05)。在HBeAg阴性组(n=89)的研究队列中,血清HBV RNA阴性(n=14)与阳性(n=75)患者间HBV DNA、HBsAg和GGT水平比较,差异均有统计学意义(P值均<0.05)。HBeAg阳性及阴性组使用抗病毒药物治疗时长≥1个月的患者分别有28例和62例,其中28例HBeAg阳性患者的HBV RNA阳性率达到了100%,62例HBeAg阴性患者的血清HBV RNA阳性率和定量水平在不同治疗时长组间比较,差异均有统计学意义(P值均<0.05)。89例HBeAg阴性组患者中经治疗62例,未治疗27例,两组HBV RNA水平分别为2.07(1.52~2.82)log10 拷贝/mL、2.69(1.80~3.55)log10 拷贝/mL,差异有统计学意义(Z=2.034,P=0.042)。HBeAg阴性组患者的血清HBV RNA仅与HBV DNA、HBsAg存在正相关(P值均<0.05);HBeAg阳性组患者的血清HBV RNA水平与HBV DNA、HBsAg及HBeAg均呈现显著正相关性(P值均<0.05)。  结论  抗病毒治疗可降低病毒载量,在高敏HBV DNA低于检测下限且HBeAg阴性的患者中,血清HBV RNA可填补检测病毒复制的“空白区”。
慢性乙型肝炎儿童肝组织HBsAg和HBcAg表达特征谱及其与血清学标志物的相关性分析
江越, 蒋丽娜, 刘树红, 赵博康, 牛俊奇, 赵景民
2025, 41(10): 2037-2043. DOI: 10.12449/JCH251013
摘要:
  目的  分析慢性乙型肝炎患儿肝组织内HBsAg和HBcAg表达特点,并评估其与血清HBV标志物的关联。  方法  连续纳入2013年1月—2023年12月中国人民解放军总医院第五医学中心257例肝穿刺确诊CHB患者。采用NIS-Elements系统采集肝组织HBsAg和HBcAg免疫组化图像,Image J软件定量分析。计数资料组内比较采用单样本χ2检验,并通过Pearson/Spearman/Kendall’s Tau-b相关分析评估病毒抗原表达与血清学标志物的相关性。  结果  257例CHB患者中儿童162例(<5岁76例,5~18岁86例),成人95例。患者肝组织内HBsAg表达模式、面积、强度和HBcAg表达面积、强度分布在不同年龄组及儿童不同HBeAg状态均存在显著差异(P值均<0.05)。<5岁组中,HBsAg染色面积与抗-HBs、HBeAg呈显著负相关(P值均<0.05),与ALT、AST呈显著正相关(P值均<0.05);HBsAg染色强度与qHBsAg呈显著正相关(P<0.05),与抗-HBs呈显著负相关(P<0.05)。儿童组中,HBsAg染色面积与抗-HBs、HBeAg均呈负相关(P值均<0.05);HBsAg染色强度与qHBsAg呈正相关(P<0.05),与抗-HBs呈负相关(P<0.05)。成人组中,HBsAg染色面积与ALT、AST和肝组织炎症活动度均呈正相关(P值均<0.05);HBsAg染色强度与qHBsAg、HBeAg、HBV DNA均呈正相关(P值均<0.05),与肝脏炎症活动度和肝纤维化程度均呈负相关(P值均<0.05)。在<5岁组中,HBcAg的染色面积与qHBsAg、HBV DNA水平呈正相关(P值均<0.05);HBcAg的染色强度与HBV DNA呈显著正相关(P<0.001)。在5~18岁组中,HBcAg的染色面积和强度与qHBsAg、HBeAg及HBV DNA水平均呈正相关(P值均<0.05)。儿童组中,HBcAg的染色面积与qHBsAg、HBeAg及HBV DNA水平呈正相关(P值均<0.05);HBcAg的染色强度与qHBsAg、HBV DNA水平呈正相关(P值均<0.05)。成人组中,HBcAg的染色面积和强度与qHBsAg、HBeAg及HBV DNA水平均呈显著正相关(P值均<0.001),HBcAg的染色面积与血清中ALT水平也存在正相关性(P=0.043)。  结论  CHB儿童患者肝内HBsAg和HBcAg表达与血清学标志物具有良好的相关性,在临床实践中,可结合血清学指标评估儿童CHB患者的肝脏状况,确定免疫分期,并为治疗时机选择提供循证依据。
ALT持续低水平慢性HBV感染者中ALT不治疗阈值或正常值上限与肝脏病理损伤的关系
舒明, 蒋素文, 胡爱荣, 陈琴, 王家岚, 金梦涵, 张豪锦, 杨诗琪, 范诗阳
2025, 41(10): 2044-2053. DOI: 10.12449/JCH251014
摘要:
  目的  分析不同血清ALT不治疗阈值或正常值上限(ULN)判断慢性HBV感染者显著肝组织病理损伤的意义,以期为临床诊治提供指导。  方法  选取2015年1月—2023年12月于宁波市第二医院住院接受肝穿刺活检及组织病理学检查、ALT持续≤40 U/L,且HBV DNA阳性(>30 IU/mL)的慢性HBV感染者733例,根据ALT的治疗阈值或ULN分为一组(男性≤35 U/L、女性≤25 U/L)575例、二组(男性≤30 U/L、女性≤19 U/L)430例、三组(男性≤27 U/L、女性≤24 U/L)443例、四组(≤25 U/L)446例、五组(男性>35 U/L、女性>25 U/L)158例、六组(男性>30~≤35 U/L、女性>19~≤25 U/L)145例。通过比较二、五、六组,分析不同ALT水平与肝脏病理损伤的严重程度及显著肝脏病理损伤构成比的关系;通过比较一、二、三、四组,探究不同ALT的ULN或不治疗阈值对肝脏炎症活动度分级(G)和肝纤维化分期(S)以及治疗指征的判断价值。正态分布的计量资料两组间比较采用成组t检验;多组间比较采用单因素方差分析,进一步两两比较采用LSD-t检验或Tambane’s检验。非正态分布的计量资料两组间比较采用Mann-Whitney U检验;多组间比较及进一步两两比较均采用Kruskal-Wallis H检验。计数资料组间比较采用χ2检验或Fisher精确概率法;等级资料采用Ridit分析。以肝脏病理是否符合治疗指征(≥G2和/或≥S2)为因变量,以可能影响因变量且有统计学意义(P<0.05)的相关因素为自变量,行多因素Logistic回归分析(向前步进法)。绘制受试者操作特征曲线(ROC曲线),应用ROC曲线下面积(AUC)并结合敏感度、特异度、阳性预测值、阴性预测值、阳性似然比和阴性似然比评价不同ALT不治疗阈值的诊断价值。  结果  733例患者中,≥G2者占35.33%(259例),≥S2者占28.79%(211例),有治疗指征者(≥G2和/或≥S2)占41.75%(306例)。二组、五组、六组患者炎症活动度分级(G0~G4)比较,差异有统计学意义(χ2=22.869,P<0.001);3组间≥G2和≥G3构成比比较,差异均有统计学意义(χ2值分别为21.742、14.921,P值分别为<0.001、0.001)。二组、五组、六组患者肝纤维化分期(S0~S4)比较,差异有统计学意义(χ2=16.565,P<0.001);3组间≥S2、≥S3和S4构成比比较,差异均有统计学意义(χ2值分别为13.264、13.050、6.260,P值分别为0.001、0.001、0.044)。二组、五组、六组无治疗指征和有治疗指征构成比比较,差异有统计学意义(χ2=20.728,P<0.001)。二组、五组、六组间男性构成比(χ2=24.836)、年龄(F=5.710)、ALT水平(F=473.193)、AST水平(F=107.774)、ALT/AST(F=40.167)、GGT水平(H=15.463)、APRI(AST/PLT比率指数)(H=63.024)和LIF-5(肝脏炎症和肝纤维化5项指数)(H=46.397)比较,差异均有统计学意义(P值均<0.05)。一组~四组有治疗指征患者的HBeAg阳性构成比、PLT和HBV DNA水平均低于无治疗指征患者,而年龄、ALT、AST、GGT、APRI、FIB-4(肝纤维化4因子指数)及LIF-5均高于无治疗指征患者,差异均有统计学意义(P值均<0.05)。Logistic回归分析结果显示,一组患者治疗指征的影响因素为年龄(OR=1.044,95%CI:1.025~1.063,P<0.001)、GGT(OR=1.022,95%CI:1.007~1.038,P=0.003)和HBV DNA(OR=0.839,95%CI:0.765~0.919,P<0.001);二组为HBeAg(OR=1.978,95%CI:1.269~3.082,P=0.003)、年龄(OR=1.048,95%CI:1.025~1.071,P<0.001)、GGT(OR=1.016,95%CI:1.001~1.031,P=0.041)和PLT(OR=0.995,95%CI:0.991~1.000,P=0.049);三组为年龄(OR=1.040,95%CI:1.014~1.066,P=0.002)、ALT(OR=1.047,95%CI:1.005~1.092,P=0.029)、HBV DNA(OR=0.817,95%CI:0.736~0.907,P<0.001)和LIF-5(OR=7.382,95%CI:1.151~47.330,P=0.035);四组为年龄(OR=1.054,95%CI:1.031~1.077,P<0.001)、ALT(OR=1.061,95%CI:1.016~1.107,P=0.008)和HBV DNA(OR=0.825,95%CI:0.743~0.917,P<0.001)。一组~四组判断肝组织≥G2、≥S2、治疗指征的AUC均<0.7;一组判断治疗指征的敏感度最低(28.76%),特异度、阳性预测值、阳性似然比、阴性似然比均最高;二组的敏感度及阴性预测值最高,阴性似然比最低;三组与四组各项指标均较为接近。  结论  ALT持续低水平慢性HBV感染者肝脏病理损伤的严重程度及显著肝脏病理损伤的构成比随ALT水平的降低而降低,较高的ALT不治疗阈值或ULN有利于诊断需治疗人群(特异度较高),较低的ALT不治疗阈值或ULN有利于诊断不治疗人群(敏感度较高)。
脂肪性肝病
体圆指数对代谢相关脂肪性肝病发生风险的预测价值
张琪振, 刘素彤, 张丽慧, 刘鸣昊
2025, 41(10): 2054-2061. DOI: 10.12449/JCH251015
摘要:
  目的  基于美国国家健康与营养调查(NHANES)数据库,系统评估体圆指数(BRI)与代谢相关脂肪性肝病(MAFLD)风险的关联性,并探讨BRI作为非侵入性风险预测工具的临床应用价值。  方法  利用2015—2020年NHANES数据,将纳入人群(n=4 573)分为 MAFLD组(n=2 508)和non-MAFLD组(n=2 065),计算各参与者的BRI。为确保数据质量并减少异常值对分析结果的干扰,本研究采用箱线图方法对BRI进行异常值剔除,从而提高数据的稳健性。计量资料两组间比较采用Wilcoxon秩和检验;计数资料两组间比较采用χ2检验。为探讨BRI与MAFLD之间的关系,构建多重调整的Logistic回归模型。将BRI根据四分位数分为4组,以第1个四分位数(Q1)为参考并计算3个模型中的比值比(OR)和95%可信区间(95%CI)。应用限制性立方样条分析探讨BRI与MAFLD之间的效应剂量关系。为评估BRI对MAFLD的诊断效能,绘制受试者操作特征曲线(ROC曲线),并计算曲线下面积(AUC)。采用决策曲线分析评估模型在实际应用中的潜在临床价值。通过交互作用分析和亚组分析,探讨不同人群中BRI与MAFLD关联的差异。采用Lasso回归进行特征变量筛选与分析。  结果  与non-MAFLD组相比,MAFLD组受试者的BRI显著升高(Z=36.29,P<0.001)。在完全校正Logistic回归模型(调整年龄、性别、种族、受教育程度、贫困收入比、婚姻状况、吸烟状况、高血压、糖尿病、ALT、AST、GGT及高密度脂蛋白胆固醇等变量)中,BRI与MAFLD患病风险呈显著正相关(OR=2.53,95%CI:2.28~2.80,P<0.001)。此外,BRI最高四分位数(Q4)组MAFLD风险明显高于Q1组(OR=83.45,95%CI:51.87~134.26,P<0.001)。限制性立方样条分析进一步确认了BRI与MAFLD之间存在显著的非线性关系(P for nonlinear<0.001)。交互作用与亚组分析显示,高血压与BRI之间的交互作用具有统计学意义(P交互=0.003);与无高血压者相比,在高血压人群中,BRI与MAFLD的关联性更强(OR=1.60,95%CI:1.23~2.08,P<0.001)。ROC曲线分析显示,以BRI为核心构建的完全校正模型在区分MAFLD与非MAFLD方面具有较高判别力,AUC为0.887(95%CI:0.877~0.896)。决策曲线分析显示,在临床常用的风险阈值0.10~0.75范围内,完全校正模型具有较好的净获益。Lasso回归筛选关键变量后建立的模型AUC为0.882(95%CI:0.872~0.892),验证了预测结果的稳定性。  结论  BRI与MAFLD风险存在显著的正向关联,且在高血压人群中相关性更强。BRI作为反映腹型肥胖和内脏脂肪积聚的体型指标,在MAFLD的风险评估中具有良好的应用前景。
自身免疫性肝病
原发性胆汁性胆管炎患者生活质量影响因素的系统评价
方艳秋, 贾桂, 崔丽娜, 尚玉龙, 韩英
2025, 41(10): 2062-2067. DOI: 10.12449/JCH251016
摘要:
  目的  通过系统评价,为理解影响原发性胆汁性胆管炎患者生活质量的核心要素提供循证基础。  方法  检索知网、万方、中国生物医学文献数据库、维普、PubMed、Embase、Web of Science、Ovid、Scopus、Medline数据库,检索时间为建库至2025年1月11日,纳入利用PBC-40量表评估原发性胆汁性胆管炎患者生活质量影响因素的文献,采用美国卫生保健质量研究机构编制量表进行质量评价后,定性评价纳入研究基本情况。  结果  共纳入11篇文献,结果显示年龄、性别、Alb、ALP、GGT、DBil、TBil、TBA、ALT、AST、BMI及HDL-C是原发性胆汁性胆管炎患者生活质量的重要影响因素。  结论  影响因素包括人口学特征、肝功能相关指标、体格及代谢指标等三方面,但文献数量有限,未来仍需要更多高质量、大样本的研究。
肝纤维化及肝硬化
多学科管理模式对门静脉高压患者预后的影响
赖长祥, 唐奇远, 李知玉, 蒋育进, 周旋, 冼文杰, 陈瑞坤, 吴晓娟, 何清, 王方
2025, 41(10): 2068-2074. DOI: 10.12449/JCH251017
摘要:
  目的  评估多学科团队(MDT)管理模式在改善肝硬化门静脉高压患者预后中的效果。  方法  纳入深圳市第三人民医院2022年5月—2024年7月入院的肝硬化门静脉高压患者86例,按照是否执行MDT治疗方案分为执行组(n=51)和未执行组(n=35)。收集患者基线临床资料,从入院到随访结束(随访截止时间为2025年1月),观察消化道出血、肝性脑病、肝癌、死亡结局发生情况。正态分布的计量资料两组间比较采用成组t检验;非正态分布的计量资料两组间比较采用Wilcoxon秩和检验。计数资料两组间比较采用χ2检验或Fisher精确检验。通过Kaplan-Meier法绘制生存曲线描述终点事件(消化道出血、肝性脑病、肝癌以及死亡)的累积发生率,采用Log-rank检验比较组间差异。Cox比例风险回归模型分析MDT管理对患者预后的影响。  结果  执行组与未执行组基线门静脉内径(t=1.216,P=0.017)、腹水(χ2=4.515,P=0.034)差异有统计学意义。所有患者平均随访(14.6±6.2)个月,生存曲线分析结果显示,两组消化道出血累积发生率差异有统计学意义(χ2=4.573,P=0.024),其余终点事件发生率差异均无统计学意义(P值均>0.05)。Cox回归分析显示,执行组消化道出血风险降低(HR=0.262,95%CI:0.110~0.630,P=0.003)。  结论  执行MDT治疗方案可显著降低肝硬化门静脉高压患者短期消化道出血风险,其长期效益需进一步随访验证。
Wilson病肝硬化并发肌肉减少症的危险因素及其对临床结局的影响
王玮琦, 魏涛华, 钱南南, 杨文明, 杨玉龙, 宋宇琪, 郝文杰, 杨悦, 席虎, 何伟
2025, 41(10): 2075-2081. DOI: 10.12449/JCH251018
摘要:
  目的  研究Wilson病肝硬化患者中肌肉减少症的发生情况,探讨肌肉减少症发生的危险因素及其对临床结局的影响。  方法  纳入2019年1月—2020年6月在安徽中医药大学第一附属医院接受治疗的140例Wilson病肝硬化患者,根据第三腰椎骨骼肌质量指数(L3 SMI)将患者分为肌肉减少症组和无肌肉减少症组。对纳入患者进行营养风险筛查、人体测量、血生化指标检测,比较两组相关指标的差异,筛选并发肌肉减少症的影响因素。随访36~48个月,比较两组患者生存状况、并发症发生情况。符合正态分布的计量资料2组间比较采用成组t检验;计数资料2组间比较采用χ2检验或Mann-Whitney U秩和检验。采用二元Logistic回归分析肌肉减少症的影响因素;通过单因素及多因素Cox回归分析影响Wilson病肝硬化患者预后的危险因素,绘制Kaplan-Meier生存曲线,采用Log-rank检验比较组间生存情况。  结果  Wilson病肝硬化中并发肌肉减少症患者53例(37.9%),其身体质量指数(BMI)和L3 SMI明显低于无肌肉减少症患者(t值分别为10.550、3.982,P值均<0.001)。Logistic多因素回归分析结果显示,Wilson病肝硬化患者并发肌肉减少症的主要影响因素为年龄(OR=2.243,95%CI:1.196~4.208,P=0.012)、性别(OR=0.450,95%CI:0.232~0.872,P=0.018)、BMI(OR=0.126,95%CI:0.089~0.294,P<0.001)、肝性脑病(OR=8.367,95%CI:2.423~28.897,P<0.001)。并发肌肉减少症患者的病死率(χ2=6.158,P=0.019)以及感染(χ2=8.008,P=0.040)、反复腹/胸腔积液(χ2=17.742,P<0.001)、肝性脑病(χ2=4.338,P=0.039)的发生率均高于无肌肉减少症者,差异均有统计学意义。多因素Cox回归分析显示,肌肉减少症(HR=4.685,P=0.002)和肝性脑病(HR=19.156,P<0.001)为影响Wilson病肝硬化患者死亡的独立危险因素。Kaplan-Meier生存曲线提示,并发肌肉减少症的患者生存率显著下降(P=0.003)。  结论  肌肉减少症是Wilson病肝硬化患者营养不良的表现之一,其病死率、其他并发症的发生风险升高,对预后产生不良影响。男性患者、并发肝性脑病、BMI水平越低、年龄越大,肌肉减少症的发生风险越高。
肝脏肿瘤
鸢尾黄素(TEC)对肝癌细胞活力、迁移和凋亡的影响及其机制
唐文敏, 程明亮, 祝娟娟
2025, 41(10): 2082-2092. DOI: 10.12449/JCH251019
摘要:
  目的  观察蓝莓单体鸢尾黄素(TEC)对肝癌细胞系HepG2、Huh7细胞的影响,并探讨其作用机制。  方法  从蓝莓中提取纯化TEC;利用生物信息学进行靶基因及信号通路筛选;分别采用HepG2、Huh7细胞系,并设置4个TEC浓度处理组(0、30、60和90 μg/mL)进行实验。通过CCK-8法检测细胞活力;划痕实验、Transwell实验评估迁移能力;流式细胞术检测凋亡率;Western Blot检测CCNB1、p53、MDM2、Bax、Bcl-2和active-Caspase 3蛋白表达。构建CCNB1低表达(共5组:NC组、si-NC组、si-NC+TEC组、si-CCNB1组和si-CCNB1+TEC组)和过表达(共4组:OE-NC组、OE-NC+TEC组、OE-CCNB1组和OE-CCNB1+TEC组)细胞模型验证靶点。计量资料多组间比较采用单因素方差分析或双因素方差分析,进一步两两比较采用LSD-t检验。癌组织及癌旁组织间基因表达量的比较采用Wilcoxon符号秩和检验。  结果  在HepG2、Huh7细胞中,同一TEC浓度下,TEC干预24 h时细胞存活率显著低于12 h和48 h(P值均<0.05);在干预时间为24 h时,TEC 90 μg/mL浓度组的细胞存活率均显著低于其他浓度组(P值均<0.05)。故采用TEC浓度为90 μg/mL、干预时长为24 h进行后续实验。与TEC 0 μg/mL组相比,30、60、90 μg/mL浓度组细胞的迁移数量及划痕愈合率均显著降低(P值均<0.05);与NC组及si-NC组相比,HepG2和Huh7细胞si-NC+TEC组及si-CCNB1组的迁移细胞数目、划痕愈合率均出现了明显的下降(P值均<0.05)。与NC组及si-NC组相比,HepG2和Huh7细胞si-NC+TEC组、si-CCNB1组的细胞凋亡率均显著上升(P值均<0.05)。在HepG2细胞中,与0 μg/mL组相比,30、60、90 μg/mL浓度组均表现出CCNB1和Bcl-2蛋白表达水平的下调(P值均<0.05),60和90 μg/mL浓度组p53、Bax、active-Caspase 3蛋白表达水平上调(P值均<0.001),同时伴随MDM2蛋白表达的降低(P值均<0.05)。在Huh7细胞中,与0 μg/mL组相比,30、60和90 μg/mL组CCNB1蛋白表达降低(P值均<0.01);60和90 μg/mL浓度组p53和Bax蛋白表达显著上调,MDM2蛋白下调(P值均<0.05);90 μg/mL浓度组Bcl-2蛋白表达下调、active-Caspase 3蛋白表达上调(P值均<0.01)。与si-NC组相比,HepG2和Huh7细胞中si-NC+TEC组及si-CCNB1组CCNB1、MDM2、Bcl-2蛋白的表达水平均显著下调,p53和Bax蛋白的表达水平均显著上调(P值均<0.05)。与OE-NC组相比,HepG2和Huh7细胞OE-NC+TEC组CCNB1、MDM2显著下调,p53蛋白水平上调(P值均<0.05),而OE-CCNB1组的CCNB1和MDM2蛋白表达水平均显著上调,p53蛋白表达水平则显著下调(P值均<0.05);OE-CCNB1组与OE-CCNB1+TEC组间CCNB1、MDM2及p53的蛋白表达水平比较差异均无统计学意义(P值均>0.05)。  结论  TEC可在体外抑制HepG2和Huh7细胞增殖、迁移,促进细胞凋亡,其机制可能是通过下调CCNB1表达,激活p53信号通路。
其他肝病
CA280型细胞因子吸附柱治疗慢加急性肝衰竭的效果及安全性探讨
何妍, 甘达凯, 张晓青, 龙涛, 张雪珍, 张伟, 徐意珍, 曾雨雨, 周锐, 刘双烂, 江西子, 卢瑜诗, 熊墨龙, 熊云逢
2025, 41(10): 2093-2101. DOI: 10.12449/JCH251020
摘要:
  目的  探讨新型炎症因子吸附柱CA280联合低剂量血浆置换(LPE)治疗在慢加急性肝衰竭(ACLF)患者中的应用效果。  方法  采用前瞻性队列研究设计,纳入2023年6月—2025年1月南昌市第九医院收治的93例ACLF患者,随机分为DPMAS+LPE组(n=50)和CA280+LPE组(n=43)。两组均在内科综合治疗基础上分别接受DPMAS+LPE或CA280+LPE治疗。记录两组患者术前(基线)、术中(DPMAS或CA280)及术后(序贯LPE后)的血常规、肝功能指标、肾功能指标、电解质指标、凝血功能指标、细胞因子水平、不良事件及28 d预后情况。正态分布的计量资料组内治疗前后比较采用配对t检验,组间比较采用独立样本t检验;非正态分布的计量资料组内治疗前后比较采用Wilcoxon符号秩检验,组间比较采用Mann-Whitney U检验。计数资料组间比较采用χ2检验或Fisher精确检验。相关性分析采用Spearman检验。  结果  CA280治疗后,ACLF患者的细胞因子如IL-6、IL-8、IL-10、TNF-α及IFN-γ水平,肝功能指标ALT、AST、ALP、TBil、DBil、Alb及谷胱甘肽还原酶(GR),肾功能指标尿素氮均较治疗前显著降低(P值均<0.05);凝血功能指标中凝血酶原时间(PT)、活化部分凝血活酶时间(APTT)、凝血酶时间(TT)和国际标准化比值(INR)较治疗前升高,凝血酶原活动度(PTA)和纤维蛋白原(FIB)降低,差异均有统计学意义(P值均<0.05)。CA280+LPE治疗相较于DPMAS+LPE对患者血清细胞因子IL-8(Z=-2.63,P=0.009)、IL-10(Z=-3.94,P<0.001)及TNF-α(Z=-1.53,P=0.023)的改善表现更优,两种人工肝支持系统治疗方案的肝功能改善效果(ALT、AST、GGT、GR、TBil、DBil)相似(P值均>0.05),但CA280+LPE对Alb(Z=-2.08,P=0.037)的消耗更为显著。CA280+LPE降低尿酸更为显著(Z=-2.97,P=0.003)。相较于DPMAS+LPE,CA280+LPE治疗后INR降低(Z=-4.01,P<0.001),APTT较前延长(Z=-2.53,P=0.011),PTA(Z=-6.28,P<0.001)及FIB(Z=-3.93,P<0.001)较治疗前升高更为显著。两组治疗过程中不良反应发生率和出院好转率差异均无统计学意义(P值均>0.05)。Spearman相关性分析显示,IL-6与WBC(r=0.22,P=0.042)、TBil(r=0.29,P=0.005)、FIB(r=-0.33,P=0.003)之间存在显著相关性;IL-8与APTT(r=0.37,P<0.001)、INR(r=0.25,P=0.013)呈正相关;TNF-α与WBC(r=0.40,P<0.001)和TBil(r=0.34,P<0.001)之间存在显著相关关系。  结论  相较于DPMAS,CA280联合LPE可有效清除ACLF患者促炎细胞因子并改善肝功能,但对Alb及凝血功能存在一定影响。该方案为ACLF个体化治疗提供了新的选择,可改善患者短期预后,但其长期疗效需进一步验证。
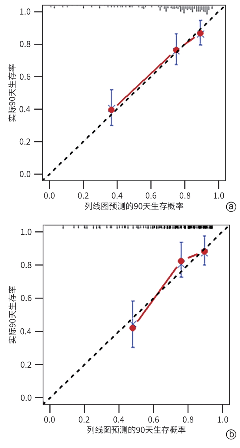
慢加急性肝衰竭患者预后预测评分表的构建及验证
毕占虎, 胡海峰, 杜虹, 王临旭, 杨晓飞, 丁一迪, 连建奇
2025, 41(10): 2102-2109. DOI: 10.12449/JCH251021
摘要:
  目的  探讨慢加急性肝衰竭(ACLF)患者的临床特征,构建一种能够在早期准确预测患者预后的风险评分表。  方法  回顾性分析2010年1月1日—2020年12月31日空军军医大学唐都医院收治的502例ACLF患者的临床资料(训练集),筛选与入院28天病死率相关的影响因素。将2021年1月1日—2021年12月31日空军军医大学唐都医院收治的69例ACLF患者作为验证集。计量资料两组间比较采用成组t检验或Mann-Whitney U检验。计数资料两组间比较采用χ2检验或Fisher精确概率法。应用单因素Cox回归初步筛选与ACLF患者入院28天预后相关的预测指标,使用方差膨胀因子对预测指标进行多重共线性分析,通过多因素Cox回归分析构建ACLF预后(死亡)风险模型。基于构建方程中各项指标的回归系数β及列线图中各项指标的权重,建立ACLF预后(死亡)风险评分表。分别在训练集中对ACLF预后(死亡)风险模型、ACLF预后(死亡)风险评分表及其他评分模型[包括Child-Turcotte-Pugh(CTP)评分、终末期肝病模型(MELD)、终末期肝病模型钠(MELD-Na)、终末期肝病综合模型(iMELD)]进行内部验证和比较,在验证集中对ACLF预后(死亡)风险评分表和其他评分模型进行外部验证并综合评价。使用Nagelkerke R2和Hosmer-Lemeshow检验评价ACLF预后(死亡)风险模型、ACLF预后(死亡)风险评分表及其他评分模型的拟合度,并绘制拟合曲线。使用C指数评价ACLF预后(死亡)风险评分表与其他评分模型的区分度,并应用Z检验比较不同模型间C指数的差异。使用决策曲线分析(DCA)比较ACLF预后(死亡)风险评分表和其他评分模型的临床获益。  结果  多因素Cox回归分析确定年龄(HR=1.027,95%CI:1.015~1.039,P<0.001)、肝性脑病分级(1级:HR=2.928,95%CI:1.463~5.858,P=0.002;2级:HR=3.811,95%CI:2.078~6.988,P<0.001;3级:HR=3.916,95%CI:1.917~8.001,P<0.001;4级:HR=6.966,95%CI:4.559~10.644,P<0.001)、TBil日上升≥17.1 μmol/L(HR=1.771,95%CI:1.248~2.513,P=0.001)、肌酐(HR=1.005,95%CI:1.004~1.006,P<0.001)、中性粒细胞计数(HR=1.092,95%CI:1.060~1.126,P<0.001)、国际标准化比值(HR=1.298,95%CI:1.187~1.418,P<0.001)是与ACLF患者入院28天病死率显著相关的独立危险因素,构建ACLF预后(死亡)风险评分表。Nagelkerke R2检验结果显示,在训练集和验证集中,ACLF预后(死亡)风险评分表的R2值分别为0.599和0.722,高于CTP评分、MELD、MELD-Na和iMELD。Hosmer-Lemeshow检验结果显示,在训练集和验证集中,ACLF预后(死亡)风险评分表的P值分别为0.280和0.788。C指数分析结果显示,在训练集中,评分表的C指数高于CTP评分,差异有统计学意义(P<0.001);在验证集中,评分表的C指数高于其他模型评分,差异均有统计学意义(P值均<0.001)。DCA结果显示,使用ACLF预后(死亡)风险评分表较其他评分模型的临床净获益高。  结论  与目前临床使用的其他评分模型相比,基于年龄、肝性脑病分级、TBil日上升≥17.1 μmol/L、肌酐、中性粒细胞计数和国际标准化比值6个预测因素所构建的ACLF预后(死亡)风险评分表对ACLF患者入院28天预后具有较高的预测价值。
胰腺疾病
基于影像组学与3D深度学习的多模态模型在重症急性胰腺炎预测中的应用
丁祥林, 陈鑫, 陈美玉, 沈祎萍, 王玉, 殷民月, 赵凯, 朱锦舟
2025, 41(10): 2110-2117. DOI: 10.12449/JCH251022
摘要:
  目的  探索融合影像组学特征、深度学习特征及临床结构化数据的多模态模型在重症急性胰腺炎(SAP)预测中的应用价值,以期为临床早期识别SAP提供更精准的工具。  方法  纳入2017年1月1日至2023年12月31日就诊于苏州大学附属第一医院、江苏大学附属金坛医院及苏州永鼎医院的急性胰腺炎(AP)患者,收集其人口学信息、既往史、病因、入院24 h内实验室检查数据及72 h内影像学资料,并评估全身炎症反应综合征(SIRS),同时计算Ranson评分、改良CT严重指数(MCTSI)、床边急性胰腺炎严重度指数(BISAP)和急性胰腺炎风险(SABP)评分。模型构建流程如下:(1)利用三维CT图像提取并筛选影像组学特征,基于极端梯度提升(XGBoost)算法建立影像组学分类模型;(2)采用U-Net对三维CT图像进行语义分割,随后将分割结果输入3D ResNet50构建深度学习分类模型;(3)基于XGBoost算法融合上述2种模型的预测值与临床结构化数据,建立多模态模型。采用变量重要性排序图和局部可解释性图对模型进行可视化解释。符合正态分布的计量资料组间比较采用成组t检验;不符合正态分布的采用Mann-Whitney U检验。计数资料组间比较采用χ2检验或Fisher精确检验。绘制各模型和已有评分系统的受试者操作特征曲线(ROC曲线),并计算曲线下面积(AUC),以评估其性能,AUC间比较采用Delong检验。  结果  共纳入609例符合标准的患者,其中114例(18.7%)发生SAP。本研究以苏州大学附属第一医院数据作为训练集(n=426),江苏大学附属金坛医院和苏州永鼎医院数据作为独立测试集(n=183)。多模态模型在测试集中的AUC为0.914,显著高于MCTSI、Ranson评分、BISAP及SABP评分等传统评分系统(AUC分别为0.827、0.675、0.791、0.648),且较深度学习分类模型(AUC=0.685)及影像组学分类模型(AUC=0.739)性能亦有显著提升(基于Delong检验的Z值分别为-3.23、-4.83、-3.48、-4.92、-4.31和-4.59,P值均<0.01)。多模态模型中变量重要性排名前10位的变量依次为胸腔积液、深度学习模型预测值、影像组学模型预测值、甘油三酯、钙离子、SIRS、白细胞计数、年龄、血小板及C反应蛋白,提示上述变量对模型预测SAP具有重要贡献。  结论  本研究基于结构化数据、影像组学特征及深度学习特征,构建了基于XGBoost算法的多中心SAP预测模型,其预测性能优于现有传统评分系统及单模态模型。
新技术新疗法
基于Laennec膜的肝蒂CT三维重建及肝蒂鞘外分离阻闭钳的研发与验证
林治宇, 夏鑫, 雷寰, 罗豫川, 程龙, 梁鸿寅, 汪涛
2025, 41(10): 2118-2124. DOI: 10.12449/JCH251023
摘要:
  目的  探讨基于Laennec膜的肝蒂三维重建解剖特征,及其在鞘外分离阻闭钳研发和精准肝切除中的应用价值。  方法  回顾性分析2021年1月—2024年6月中国人民解放军西部战区总医院100例无肝蒂解剖异常患者的腹部增强CT资料,采用Hisense CAS系统结合3D U-net深度学习算法进行Laennec膜层面肝蒂三维重建,测量肝蒂主干及分支的长度、外径及角度。基于测量数据研发肝蒂鞘外分离阻闭钳,并纳入30例拟行右半肝切除患者,随机分为器械组(n=15)和对照组(n=15),比较两组肝蒂处理时间、手术时间、术中出血量及胆道损伤发生率。计量资料两组间比较采用成组t检验,计数资料两组间比较采用Fisher精确检验。  结果  三维重建显示肝蒂主干分支存在4种变异,其中Ⅰ型(左右分支型)占88%(88/100),Ⅱ型(三叉分支型)占5%(5/100),Ⅲ型(右前型)占5%(5/100),Ⅳ型(特殊型)占2%(2/100)。主肝蒂外径(24.10±6.16) mm,左支主干长度(20.59±6.38) mm,右支主干长度(21.99±7.98) mm。器械组肝蒂处理时间[(14.10±1.30) min vs (17.50±2.00) min, t=-5.620, P=0.001]及手术时间[(217.00±28.28) min vs (241.87±19.49) min, t=-2.804, P=0.009]显著短于对照组。器械组胆道损伤发生率显著低于对照组(0 vs 20%,P=0.031)。  结论  Laennec膜三维重建可精准呈现肝蒂解剖变异,基于该数据研发的鞘外分离阻闭钳可优化肝蒂处理流程,提高手术安全性,具有临床推广价值。
综述
基于伏邪理论探讨干扰素治疗慢性乙型肝炎的疗效特点及中医药协同减毒增效机制
王石中, 郑润锈, 孙克伟
2025, 41(10): 2125-2129. DOI: 10.12449/JCH251024
摘要:
在传统中医理论体系中,伏邪深藏于厥阴肝胆是慢性乙型肝炎的核心病机。干扰素能调节免疫、清除病毒,通过透邪祛毒可实现临床治愈,但其治疗初期常出现瞑眩反应,长期使用易损伤气血,且疗效依赖于患者自身正气。中医药协同干扰素治疗时,根据患者动态变化的病机调整配伍,不仅能减少不良反应,增强疗效,还可扩大干扰素的适用人群,改善患者的临床症状。
巨噬细胞糖酵解在代谢相关脂肪性肝病中的调控作用
常嘉涵, 蔡玉洁, 侯艺鑫, 韩聚强
2025, 41(10): 2130-2135. DOI: 10.12449/JCH251025
摘要:
代谢相关脂肪性肝病(MAFLD)是临床常见慢性肝病,巨噬细胞直接参与其发生、发展及转归。研究证实,巨噬细胞的糖代谢重编程直接影响自身免疫功能,进而影响肝脏局部炎症环境及肝细胞代谢。本文对MAFLD发展过程中巨噬细胞的糖代谢变化规律及相应的关键分子进行综述,旨在为今后防治MAFLD提供新的靶点和策略。
代谢相关脂肪性肝病与胰腺癌风险关联的流行病学及机制研究进展
张锋, 张一帆, 刘玉兰
2025, 41(10): 2136-2140. DOI: 10.12449/JCH251026
摘要:
代谢相关脂肪性肝病(MAFLD)在全球范围内患病率较高,且与多种肝外恶性肿瘤的发生密切相关,其中以胰腺癌的致死率最高。然而,MAFLD和胰腺癌之间的关联机制尚未明确。本文系统介绍了MAFLD与胰腺癌关联的最新流行病学证据,回顾了其发病机制的研究进展,并评述了MAFLD严重程度及高危因素(如非酒精性脂肪性胰腺疾病和导管内乳头状黏液性肿瘤)对胰腺癌风险的影响。文章指出,胰岛素抵抗、脂肪细胞因子及肠道微生态失调等可能是MAFLD促进胰腺癌发生的重要机制;同时认为,当前研究仍存在异质性,未来需依托前瞻性大队列进一步验证因果关系,并探索更有效的分层风险策略。
肝纤维化治疗药物的研究进展
黄健, 宫雪晴, 曾颜, 李晖
2025, 41(10): 2141-2148. DOI: 10.12449/JCH251027
摘要:
肝纤维化是以肝星状细胞活化、细胞外基质过度沉积为主要特征的一种慢性病理状态,随着肝纤维化不断进展,可导致肝硬化甚至肝细胞癌,因此,逆转肝纤维化对提高患者的生存质量、延长生存时间有着重要意义。目前已有多种肝纤维化的治疗药物进入临床试验阶段。本文对近年来肝纤维化治疗相关药物的研究进展进行综述,以期为肝纤维化治疗及未来药物研究方向提供思路。
新型口服抗凝药物在肝硬化患者中的应用
全娇, 王彤宇, 金赟, 李胜, 周宁
2025, 41(10): 2149-2153. DOI: 10.12449/JCH251028
摘要:
肝硬化是一种常见的慢性进行性肝病,患者常伴有凝血功能异常,易发生血栓和出血事件。传统抗凝治疗存在诸多局限性,新型口服抗凝药物(NOAC)的出现为肝硬化患者的抗凝治疗带来了新的选择。本文全面综述了NOAC在肝硬化患者中的应用,探讨其优势与潜在风险,分析药代动力学和药效学特点,同时结合临床研究证据,评估NOAC在肝硬化相关血栓预防和治疗中的效果及安全性,以期为临床决策提供参考。
肝细胞癌放射治疗抵抗的机制及应对策略
王钦波, 李术华, 孙航, 吴传新
2025, 41(10): 2154-2160. DOI: 10.12449/JCH251029
摘要:
原发性肝癌是一种在全球范围内发病率和死亡率持续上升的恶性肿瘤,给患者和社会带来了沉重的负担,其中肝细胞癌是原发性肝癌中的常见类型。放射治疗作为肝细胞癌的重要治疗手段之一,能够有效控制肿瘤的局部生长并缓解患者症状。然而,放疗抵抗问题严重影响了治疗效果,成为临床治疗中的一大挑战。当前研究表明,肝细胞癌放疗抵抗的机制较为复杂,涉及细胞内信号通路异常激活、肿瘤微环境变化以及基因表达调控等多种因素。因此,临床上提出一系列针对放疗抵抗的应对策略,包括调控细胞信号通路、改善肿瘤微环境、联合治疗等,这些策略展现出良好的应用前景。本文旨在综述放疗抵抗的相关机制及应对策略的研究进展,以期为肝细胞癌放疗研究提供新的视角。
中药提取物靶向腺苷酸活化蛋白激酶信号通路防治肝细胞癌的作用机制
曾朔, 胡素芹, 胡洋, 罗磊, 李明彦, 张勤生
2025, 41(10): 2161-2167. DOI: 10.12449/JCH251030
摘要:
肝细胞癌(HCC)作为全球癌症发病率和死亡率排名前列的恶性消化道肿瘤,给患者身心健康和社会经济带来巨大的负担。腺苷酸活化蛋白激酶(AMPK)信号通路是细胞的能量代谢调控中心,与HCC细胞的自噬、凋亡、血管生成等生物学活动密切相关,是当前癌症研究的热点。中药富含黄酮类、生物碱类、酚类等天然成分,具有多靶点、多通路、多成分、多层次的特点。通过靶向AMPK信号通路,这些成分可单独使用或联合常规抗癌疗法,对HCC发挥多方面的抗癌作用。本文通过梳理和总结靶向AMPK信号通路防治HCC的中药提取物,以期为中医药治疗HCC的临床应用及药物开发提供理论基础和参考。
剩余肝体积不足的二期肝切除技术的应用现状与展望
宋书贤, 李云冬, 张钰清, 邹光旭, 李宽, 高红强
2025, 41(10): 2168-2173. DOI: 10.12449/JCH251031
摘要:
剩余肝体积不足是限制肝脏恶性肿瘤患者接受一期手术的关键因素。促进剩余肝体积增生以实现二期肝切除的技术包括门静脉栓塞术、联合肝脏分隔和门静脉结扎的二步肝切除术及肝静脉剥夺术。近年来,辅助性肝移植的应用进一步实现二期全肝切除。本文系统综述了上述技术的临床应用现状,并分析其优劣势,旨在为优化临床决策提供参考。
黄芪甲苷防治肝脏疾病的药理作用及其机制
付珂, 代书, 游娟, 杨晨, 李晓莉, 曾莉, 蒲诗云
2025, 41(10): 2174-2179. DOI: 10.12449/JCH251032
摘要:
黄芪甲苷(AS-Ⅳ)是一种来源于黄芪的三萜皂苷类天然化合物,在调控肝脏疾病方面展现出重要潜力。本文系统梳理并总结了AS-Ⅳ在肝脏疾病研究领域的国内外最新进展,发现AS-Ⅳ可通过调节脂质代谢、抗肿瘤、抗炎、抗纤维化及调节肠道菌群等途径发挥对肝脏的保护作用。其作用机制涉及多条信号传导通路,包括AMPK、NLRP3、NF-κB、JAK2/STAT3和Nrf2等。这些研究成果为基于天然产物AS-Ⅳ开发保肝药物或相关功能性食品提供了科学依据。
cGAS-STING通路在肝脏疾病中的作用机制与治疗靶点研究进展
翟玉洁, 李向向, 吴楚江, 张亚南, 贺昱昕, 刘仲禹, 张久聪, 梁斌
2025, 41(10): 2180-2186. DOI: 10.12449/JCH251033
摘要:
肝脏疾病是一类由多种原因引发的复杂临床疾病,可导致肝细胞损伤及肝功能障碍,严重威胁人类健康。cGAS-STING信号通路在肝脏疾病的病程中发挥关键调控作用,参与病毒性肝炎、非酒精性脂肪性肝病、肝纤维化和肝癌等疾病的发生、发展与治疗。本文综述了cGAS-STING信号通路在炎症、自噬、抗病毒及氧化应激等过程中的调控机制,深入解析其在肝脏疾病中的分子作用,并探讨了其作为治疗肝脏疾病潜在靶点的应用前景,旨在为开发肝脏疾病的新型治疗策略提供理论依据。
微RNA对胆汁淤积的调控作用及其机制
王琳琳, 朱正望, 赵静涵, 马瑞雪, 王兵, 朱平生, 苗明三
2025, 41(10): 2187-2194. DOI: 10.12449/JCH251034
摘要:
微RNA(miRNA)作为一类内源性微小非编码RNA,能够调节基因表达,从而干预心血管疾病、神经退行性疾病、代谢性疾病和自身免疫性疾病等的发生与发展过程。胆汁淤积的发病机制复杂,主要与胆汁酸的代谢和转运、氧化应激、炎症反应及肠道菌群等因素密切相关。目前,临床上治疗胆汁淤积的首选药物为熊去氧胆酸,但其存在不良反应且部分患者疗效不佳。研究发现,miRNA可通过调节胆汁酸代谢与转运、缓解氧化应激、抑制炎症反应、改善胆管细胞增生及调节肠道菌群等多种机制干预胆汁淤积的疾病进程,可作为胆汁淤积的新型生物标志物和作用靶点,具有较高的研究潜力和价值。因此,本文对近年来miRNA参与调控胆汁淤积的作用及相关机制进行整理与归纳,以期为靶向miRNA防治胆汁淤积的进一步研究提供参考。
遗传因素在胆固醇结石发生发展中的作用
涂昭玮, 赵礼金
2025, 41(10): 2195-2200. DOI: 10.12449/JCH251035
摘要:
胆石症是胆道系统常见的疾病,受到环境和遗传因素共同影响。随着饮食方式的改变,胆石症中常见的胆固醇结石(CGS)比例日益增加。研究发现,遗传因素在CGS的形成过程中起至关重要的作用。CGS的形成主要依赖两个关键环节:一是胆汁中胆固醇过饱和,二是黏蛋白促进胆固醇结晶成核。这两个过程涉及多种蛋白质的调控。某些基因的变异会影响胆固醇的转运效率,甚至改变结晶成核的速率,从而影响结石的形成。本文重点探讨与胆固醇转运和晶体成核相关的关键基因及其突变对CGS形成的影响,有助于深入理解CGS的遗传学机制,还可能为未来的临床治疗提供新的靶点。
国外期刊精品文章简介
Hepatology|自身免疫性肝炎相关肝硬化失代偿期患者经免疫抑制治疗后的再代偿
2025, 41(10): 2004-2004. DOI: 10.12449/JCH2510.gwqkjpwzjj1
摘要:
读者·作者·编者
《临床肝胆病杂志》对作者姓名汉语拼音的书写要求
2025, 41(10): 2092-2092.
摘要:
《临床肝胆病杂志》关于伦理审查的要求
2025, 41(10): 2124-2124.
摘要:
《临床肝胆病杂志》对形态学图片的质量和制作要求
2025, 41(10): 2140-2140.
摘要:
《临床肝胆病杂志》论著类文章摘要的撰写要求
2025, 41(10): 2186-2186.
摘要:
消息
《临床肝胆病杂志》2026年1~3期重点号选题及执行主编
2025, 41(10): 2008-2008.
摘要:
《临床肝胆病杂志》2026年征稿征订启事
2025, 41(10): 2036-2036.
摘要:
《临床肝胆病杂志》封面设计及相关论文荣获第十九届“创意中国”设计大奖
2025, 41(10): 2160-2160.
摘要:
致谢
本期审稿专家
2025, 41(10): 2194-2194. DOI: 10.12449/JCH2510.zhixie
摘要: