中文English
ISSN 1001-5256 (Print)
ISSN 2097-3497 (Online)
CN 22-1108/R

留言板

尊敬的读者、作者、审稿人, 关于本刊的投稿、审稿、编辑和出版的任何问题, 您可以本页添加留言。我们将尽快给您答复。谢谢您的支持!

姓名
邮箱
手机号码
标题
留言内容
验证码

第40卷 第9期(总287期) 2024年9月
“肝细胞癌转化治疗” 重点号
执行主编:蔡建强
国家癌症中心,国家肿瘤临床研究中心,中国医学科学院北京协和医学院肿瘤医院肝胆外科

显示方式:
述评
转化治疗时代的肝脏外科治疗模式
毕新宇, 蔡建强
2024, 40(9): 1721-1724. DOI: 10.12449/JCH240901
摘要(1436) HTML (2668) PDF (571KB)(145)
摘要:
手术切除仍然是肝细胞癌(以下简称肝癌)患者获得长期生存的最佳方式。然而,我国肝癌患者由于早诊率低,初诊时仅有15%~20%的患者具备手术切除机会。即使是手术切除的患者,术后5年复发率高达50%~70%,预后不能令人满意。近年来以靶向联合免疫治疗为代表的系统治疗不断进步,不但使晚期肝癌患者的生存时间不断延长,系统治疗更在不断前移,应用于早中期肝癌的治疗。一方面,系统治疗的进步使得肝癌转化治疗成为可能,相当一部分初诊不可切除的患者经过转化降期后可以获得手术切除机会,并达到与初诊可切除早期肝癌患者类似的生存。另一方面,有效的系统治疗正在应用于可切除肝癌患者的新辅助治疗和辅助治疗,以期提高R0切除率,降低术后复发,改善总生存期。但也应该清醒地认识到,虽然系统治疗的进步已经深刻地改变了传统的外科治疗模式,但有关转化治疗、新辅助治疗和辅助治疗的临床研究大多为小样本Ⅱ期临床研究,高级别循证医学证据尚少。如何根据患者的肿瘤特点选择合理的治疗目标,从而确定个体化治疗方案,并寻找新的生物学标志物预测转化治疗及围手术治疗疗效,筛选真正获益人群,仍然需要进一步的探索。
专家论坛
肝细胞癌转化治疗的策略及实践
马驰, 谭广
2024, 40(9): 1725-1731. DOI: 10.12449/JCH240902
摘要(1501) HTML (2485) PDF (683KB)(163)
摘要:
原发性肝癌因发病隐匿及预后较差,多数初始诊断即为不可切除。近些年,随着靶向治疗、免疫治疗及局部治疗等转化治疗方案的兴起,部分中晚期肝癌患者成功转化并行根治性手术切除,但同时也带来了诸多问题,如潜在转化人群的界定、转化方案的选择、转化后手术切除的必要性及时机、转化手术后辅助治疗的必要性及持续时间等。本文将结合笔者的自身经验,针对肝癌转化治疗中上述问题进行探讨。
局部治疗联合系统治疗在肝细胞癌转化治疗中的价值
朱超凡, 王晓东
2024, 40(9): 1732-1737. DOI: 10.12449/JCH240903
摘要(891) HTML (1881) PDF (664KB)(121)
摘要:
肝细胞癌是临床中最常见的恶性肿瘤之一。由于早期缺乏典型的临床表现,我国大多数患者确诊时已达中晚期,错失手术切除机会,预后较差。因此通过相关治疗手段将不可切除肝细胞癌转化为可切除肝细胞癌的探索十分必要。近年来,随着经动脉介入治疗、放射治疗技术等局部治疗的不断进步完善、新的靶向及免疫药物的临床应用,为肝细胞癌的转化治疗模式带来了新的机遇和挑战,而局部治疗联合系统治疗产生更好联合治疗作用,提高手术转化率。本文旨在对目前局部联合系统治疗在肝细胞癌转化治疗中的价值,为不可切除肝细胞癌的临床治疗提供参考。
晚期肝细胞癌转化治疗的挑战与思考
卢实春
2024, 40(9): 1738-1740. DOI: 10.12449/JCH240904
摘要(1392) HTML (1803) PDF (531KB)(121)
摘要:
近年伴随生物治疗药物不断涌现,晚期肝癌系统治疗取得了巨大进展。免疫阻断点抑制剂抗体联合抗血管生成靶向药物已成为晚期肝癌治疗的一线推荐方案并取得明确的肿瘤学获益与生存获益;免疫靶向联合局部治疗研究方案不断涌现,明确提高了客观反应率;靶免转化序贯外科治疗方案正在重塑晚期肝癌治疗格局,最终提高了根治性手术切除率与远期生存率。这场由免疫治疗±靶向治疗为基本架构引导的治疗新变局中,注定挑战不断,思考亦须随行。以免疫靶向联合转化序贯外科方案探索为例来看,任一适用方案在被广泛、成熟地应用于常规诊疗之前,均应包括药物联用方案的选择、疗效的评估、毒副反应的处理、手术标准与时机、术后辅助治疗方案、长期生存获益验证、原发与继发耐药的后线治疗方案的选择等一系列新问题与挑战。本文将择其部分要点提供一些建议与思考。
热点·视点·观点
大道至简——简约慢性乙型肝炎疾病进展自然史建议
刘新, 李嘉, 鲁凤民
2024, 40(9): 1741-1745. DOI: 10.12449/JCH240905
摘要(1314) HTML (1649) PDF (1103KB)(216)
摘要:
慢性HBV感染是慢性乙型肝炎、肝硬化和原发性肝癌的主要病因,为社会造成巨大的卫生和经济负担。慢性乙型肝炎的疾病进展由病毒、宿主免疫及感染肝细胞的相互作用所共同驱动。慢性HBV感染自然史分期的意义在于理解疾病进程、评估疾病进展阶段,指导抗病毒治疗时机及方案选择。或许是因为对是否有真正的免疫耐受期存在争议,我国《慢性乙型肝炎防治指南(2022年版)》淡化了疾病状态与宿主免疫状态的对应关系,对慢性HBV感染自然史的更新描述采用了2017版欧洲肝病学会指南的4种疾病阶段:HBeAg阳性慢性HBV感染、HBeAg阳性慢性乙型肝炎、HBeAg阴性慢性HBV感染和HBeAg阴性慢性乙型肝炎。同时,新指南也未能完全解决“不确定期”的问题。随着临床上扩大抗病毒治疗策略渐成趋势,现有的自然史分期已难以适应临床需要,更新势在必行。本文从慢性HBV感染自然史的发现历程以及现有自然史分期存在的问题和建议等方面展开阐述,以期简化自然史分期,适应现有抗病毒治疗方案的临床实践,方便临床医生进行治疗决策。
指南与规范
双环醇防治肝脏炎性损伤多学科专家共识
中国医药生物技术协会慢病管理分会肝病学组
2024, 40(9): 1746-1756. DOI: 10.12449/JCH240906
摘要(2231) HTML (2651) PDF (1027KB)(258)
摘要:
肝脏炎性损伤是许多慢性肝病的始动因素。肝脏炎性损伤可累及全身,反之,全身疾病也会导致肝损伤。肝病的诊治既要考虑肝脏病变本身,又需了解全身各系统疾病与肝脏炎性损伤之间相互影响及其病理生理发生机制。因此,针对肝损伤的诊治,常需多学科讨论,共同决策。肝病治疗的重要环节之一是保护和维持肝功能的稳定,其中如何进行抗炎护肝是制定治疗策略的重要考量因素之一。双环醇是由我国自主研发、用于治疗肝脏炎性损伤的一类化学药物,对各种原因所致的肝脏炎性损伤均具有较好的防治作用,已于“一带一路”沿线九国注册并上市。为此,本学组组织了国内相关学科专家,根据肝病诊疗相关指南/共识/临床路径和循证医学证据,结合我国临床实践,总结双环醇在防治肝脏炎性损伤多学科临床应用方面的进展,旨在形成共识,提高双环醇临床使用的科学性和规范性,提升各学科对肝脏炎性损伤的防治水平。
原发性胆汁性胆管炎中西医结合诊疗专家共识
中国医师协会中西医结合医师分会肝病学专家委员会
2024, 40(9): 1757-1766. DOI: 10.12449/JCH240907
摘要(2008) HTML (1899) PDF (1098KB)(380)
摘要:
原发性胆汁性胆管炎(PBC)是一种慢性自身免疫性肝病。近年来国内外有关研究为PBC的中西医结合治疗提供了一些循证医学证据。中国医师协会中西医结合医师分会肝病学专家委员会组织国内有关专家在参考最新国内外诊治经验及指南的基础上,撰写了本共识,旨在为临床医师在PBC诊断、中医辨证分型及中西医结合治疗等方面提供指导和参考意见。
指南解读
《代谢相关(非酒精性)脂肪性肝病防治指南(2024年版)》解读
孔嘉宁, 张彬彬, 施军平
2024, 40(9): 1767-1770. DOI: 10.12449/JCH240908
摘要(6624) HTML (4026) PDF (553KB)(1665)
摘要:
随着对非酒精性脂肪性肝病(NAFLD)研究的进一步深入,新证据、新理念和新方法的不断出现,中华医学会肝病学分会以国内外脂肪性肝病最新研究进展为依据,在既往指南基础上进行了全面更新和修订,发布了《代谢相关(非酒精性)脂肪性肝病防治指南(2024年版)》。本文介绍了新版指南在相关术语[代谢相关脂肪性肝病(MAFLD)]、临床分型分期、诊断标准以及自然史等方面的更新。新版指南尤其强化了进展性肝纤维化的筛查、评估、无创诊断在MAFLD疾病管理中的重要性,对MAFLD多学科团队协作管理也更为积极。随着新版指南的推行与应用,将进一步提升我国MAFLD患者的筛查、诊断、治疗和随访等方面的规范化,以改善广大患者的预后。
脂肪性肝病
非酒精性脂肪性肝病患者的尿铅水平及其临床意义
刘亚杰, 王睿林
2024, 40(9): 1771-1777. DOI: 10.12449/JCH240909
摘要(849) HTML (329) PDF (785KB)(72)
摘要:
  目的  探讨尿铅与非酒精性脂肪性肝病(NAFLD)的关系。  方法  选取2017—2020年美国健康和营养检查调查数据(NHANES)中年龄≥18岁的注册参与者,并排除缺乏肝脏瞬时弹性成像数据、尿铅指标及患有乙型肝炎、丙型肝炎、饮酒量显著的人群。将纳入人群(n=2 492)分为NAFLD组852例,Non-NAFLD组1 640例。采用高效液相色谱-电喷雾电离-串联质谱和在线固相萃取联合同位素稀释等方法定量检测尿铅水平。计量资料两组间比较采用成组t检验或Wilcoxon秩和检验;计数资料两组间比较采用χ2检验或Fisher确切概率法。通过多因素Logistic回归分析、限制性立方样条函数、亚组分析、交互作用,探究尿铅与NAFLD的关联。  结果  NAFLD组尿铅水平高于Non-NAFLD组,差异有统计学意义(Z=-2.023,P=0.043)。调整年龄、性别、种族、婚姻、教育、家庭收入与贫困比比值、BMI、吸烟、饮酒、糖尿病、高血压、高脂血症协变量后,尿铅水平Q3组NAFLD的患病风险显著增加(比值比=1.360,95%CI:1.019~1.817,P=0.037)。尿铅与NAFLD的患病风险存在正向剂量-反应关系(P=0.047)且为非线性关系(Pnon-linear=0.037)。尿铅与种族之间存在显著的交互作用,墨西哥裔美国人尿铅每上升1个四分位数,NAFLD的患病风险增加32.40%(比值比=1.324,95%CI:1.017~1.632,P<0.05)。  结论  尿铅水平与NAFLD患病风险显著相关。
自身免疫性肝病
抗线粒体抗体阴性与阳性原发性胆汁性胆管炎患者临床特征比较
乔可欣, 周桂琴, 刘亚兴, 冯颖, 刘尧, 李斌, 王宪波
2024, 40(9): 1778-1784. DOI: 10.12449/JCH240910
摘要(1032) HTML (615) PDF (693KB)(89)
摘要:
  目的  对抗线粒体抗体(AMA)阴性与阳性原发性胆汁性胆管炎(PBC)患者免疫与生化指标进行分析,比较其临床特征的差异。  方法  收集2013年1月—2022年12月就诊于首都医科大学附属北京地坛医院的PBC患者的临床资料,分为AMA阴性组(139例,24.5%)及AMA阳性组(428例,75.5%),以年龄及性别为匹配因素,匹配容差设置为0.06,进行1∶1倾向性评分匹配,分析入院时肝功能、凝血、免疫等指标,同时分析治疗6个月的肝功能等指标变化及治疗6、12个月时对于熊去氧胆酸(UDCA)的应答情况。符合正态分布的计量资料两组间比较采用成组t检验;不符合正态分布的计量资料两组间比较采用Mann-Whitney U秩和检验。计数资料两组间比较采用χ2检验。  结果  倾向性评分匹配后AMA阴性及AMA阳性PBC患者各139例。AMA阴性组与阳性组入院时比较:AMA阴性组DBil、球蛋白(Glo)低于AMA阳性组,Alb、白蛋白/球蛋白(A/G)、前白蛋白(pre-A)、纤维蛋白原(FIB)高于AMA阳性组,差异均有统计学意义(P值均<0.05)。应用UDCA治疗6个月后,AMA阴性组与阳性组比较,Glo、pre-A水平差异均有统计学意义(P值均<0.05)。AMA阴性组与阳性组治疗6个月后pre-A较入院时均有上升,但上升程度不同,AMA阴性组上升更明显(U=41.00,P=0.015)。应用UDCA治疗6、12个月后,AMA阴性组和阳性组患者对UDCA治疗应答差异均无统计学意义(P值均>0.05)。  结论  在年龄及性别匹配条件下,AMA阴性PBC患者相对AMA阳性患者,肝脏炎症损伤程度轻,经UDCA治疗后炎症改善更明显,肝脏合成能力改善更明显,对于UDCA应答显现更佳趋势。
肝纤维化及肝硬化
血清外纺锤体极样蛋白1(ESPL1)在HBV相关肝纤维化进程中的诊断价值
黄龙, 梁红倩, 任澳丽, 苏明华, 胡伯斌, 黎清梅, 苏土梅, 殷倩冰, 冯彦菲, 江建宁
2024, 40(9): 1785-1789. DOI: 10.12449/JCH240911
摘要(896) HTML (1209) PDF (896KB)(54)
摘要:
  目的  探讨外纺锤体极样蛋白1(ESPL1)检测对HBV相关肝纤维化进程的临床诊断价值。  方法  选取2017年6月—2023年8月广西医科大学第一附属医院收治的HBV感染者228例,采用瞬时弹性成像系统FibroScan检测患者的肝硬度值(LSM),并根据LSM值分为无肝纤维化组(n=80)、轻度肝纤维化组(n=83)、进展期肝纤维化组(n=30)和肝硬化组(n=35)。采用酶联免疫吸附试验(ELISA)检测各组血清中的ESPL1水平。采用Kruskal-Wallis H检验比较4组患者血清ESPL1水平的差异;Spearman相关性分析方法比较ESPL1与LSM值的相关性;运用受试者工作特征(ROC)曲线分析血清ESPL1对不同肝纤维化进程的预测价值。  结果  肝硬化组血清ESPL1水平高于无肝纤维化组、轻度肝纤维化组(P值均<0.05),进展期肝纤维化组、轻度肝纤维化组血清ESPL1水平高于无肝纤维化组(P值均<0.05)。相关性分析显示:不同肝纤维化程度HBV感染者血清ESPL1与LSM值呈正相关(r=0.515,P<0.001);血清ESPL1预测肝硬化和进展期肝纤维化的曲线下面积分别为0.809和0.638,敏感度分别为87.5%和100%,特异度分别为59.7%和31.3%。  结论  血清ESPL1与HBV相关肝纤维化存在一定的相关性,血清ESPL水平越高可能提示肝纤维化程度越高;血清ESPL1可望成为辅助诊断肝硬化的血清标志物之一和动态监测HBV感染者肝纤维化进程的重要临床方法。
年龄≤30岁转氨酶正常的慢性乙型肝炎肝纤维化患者无创诊断模型的建立
唐情容, 赖长祥, 王方, 卢瑾, 徐春华, 李向军, 徐逸洲
2024, 40(9): 1790-1795. DOI: 10.12449/JCH240912
摘要(947) HTML (386) PDF (831KB)(60)
摘要:
  目的  从慢性乙型肝炎(CHB)患者的临床、生化及影像学等常用无创伤性指标中筛选出特定指标,构建年龄≤30岁、ALT水平正常CHB患者肝纤维程度无创性诊断模型,在一定程度上避免该类患者行有创的肝穿刺活检,从而指导其抗病毒治疗时机。  方法  收集2019年1月—2022年1月在深圳市第三人民医院及长沙市第一医院行肝穿刺活检的年龄≤30岁ALT正常的CHB患者251例,其中模型组175例,验证组76例,根据临床经验及相关文献筛选出临床常用指标,计量资料组间比较采用成组t检验或两独立样本Mann-Whitney U秩和检验;计数资料采用χ2检验。经Spearman等级相关逐一分析各指标与肝纤维化之间的关联性,筛选出有关联的指标(P<0.01,r>0.200),采用Logistic回归创建无创诊断模型,使用受试者工作特征曲线(ROC曲线)评价其能力并进行验证,将该模型与目前广泛使用的模型APRI及FIB-4进行比较。病理结果一致性采用诊断试验的Kappa一致性检验。  结果  筛选17项临床常用指标,其中9项指标[ALT、AST、GGT、铁蛋白(FERR)、血小板计数(PLT)、Ⅲ型前胶原氨基端肽(PⅢP)、Ⅳ胶原(CⅣ)、HBV DNA以及脾厚]与肝纤维化有关联(P<0.01,r>0.232),根据以上指标建立预测模型为:P=1/(1+e),γ=-1.902+0.106×AST-0.011×PLT-0.265×HBV DNA+0.059×PⅢP(P为预测患者肝纤维化≥S2的概率值,γ为预测指数),单项指标与模型比较提示该模型曲线下面积最大为0.852,其敏感度为92.7%,特异度为76.9%;以76例患者进行验证,准确度为77.6%。该模型与模型APRI及FIB-4进行比较,显示该模型有较好的准确性。  结论  本研究创建的无创诊断模型相较于国际上常用模型APRI及FIB-4能更准确地判断该类患者肝纤维化程度,在一定程度上可替代肝组织活检,并指导其抗病毒治疗时机。
肝硬化食管胃底静脉曲张破裂出血患者经颈静脉肝内门体分流术后非计划再入院的危险因素分析及列线图模型构建
殷芹, 吴兆荣, 张峰, 金春燕, 曹燕平, 肖江强, 诸葛宇征, 王倩
2024, 40(9): 1796-1801. DOI: 10.12449/JCH240913
摘要(1106) HTML (1352) PDF (1108KB)(65)
摘要:
  目的  探讨经颈静脉肝内门体分流术(TIPS)的肝硬化食管胃底静脉曲张破裂出血患者出院30 d内发生非计划再入院危险因素,并构建风险预测列线图模型。  方法  选取2020年1月—2023年6月在南京大学医学院附属鼓楼医院因肝硬化食管胃底静脉曲张破裂出血行TIPS的241例患者作为研究对象。分析患者30 d内非计划再入院情况,并依据是否发生非计划再入院分为再入院组(n=36)和未再入院组(n=198)。收集患者临床资料,符合正态分布的计量资料2组间比较采用成组t检验,偏态分布的计量资料2组间比较采Mann-Whitney U检验;计数资料2组间比较采用χ2检验。Logistic回归分析筛选出与非计划再入院相关的独立危险因素。建立列线图预测模型,绘制受试者工作特征曲线(ROC曲线)评估列线图模型预测非计划再入院发生的区分度;绘制校准曲线评估列线图模型预测非计划再入院发生的一致性,采用R语言ResourceSelection包进行Hosmer-Lemeshow评估模型的拟合度,决策曲线分析评估模型的实用性。  结果  年龄(OR=2.664,95%CI:1.139~6.233)、CTP评分(OR=1.655,95%CI:1.098~2.495)、血氨(OR=1.032,95%CI:1.016~1.048)是行TIPS患者出院30 d内非计划再入院的独立危险因素(P值均<0.05)。依据多因素分析结果,构建风险预测列线图模型,通过Bootstrap法重复抽样1 000次展开内部验证,ROC曲线下面积为0.773,高于年龄(0.582)、CTP评分(0.675)、血氨(0.641),校准曲线显示列线图模型预测非计划再入院的概率与实际概率具有较好一致性,Hosmer-Lemeshow显示拟合优度良好(χ2=5.647 3,P=0.686 7)。  结论  年龄、CTP评分和血氨是TIPS术后30 d非计划再入院的独立危险因素,以此建立的列线图预测模型有助于预测行TIPS患者非计划再入院发生风险,为早期预防提供较为准确的决策依据。
肝硬化门脉性肺动脉高压危险因素分析及预测模型构建
匡竞, 滕双芩, 申彤彤, 闫怡然, 王玮, 申川, 赵彩彦
2024, 40(9): 1802-1806. DOI: 10.12449/JCH240914
摘要(1098) HTML (323) PDF (760KB)(63)
摘要:
  目的  探索肝硬化门脉性肺动脉高压(POPH)的危险因素,构建无创化预测模型。  方法  回顾性分析2013年1月—2022年8月在河北医科大学第三医院住院的310例肝硬化门静脉高压患者的临床资料,依据超声估测的肺动脉收缩压是否≥40 mmHg分为POPH组(n=31)和非POPH组(n=279)。符合正态分布的计量资料2组间比较采用成组t检验,不符合正态分布的计量资料2组间比较采用Mann-Whitney U检验;计数资料2组间比较采用χ2检验或Fisher确切概率法。应用二元Logistic回归分析筛选独立危险因素,并构建列线图预测模型,采用Bootstrap重抽样法进行内部验证,用C指数和校准曲线评价模型区分度和一致性。用rms包绘制列线图。  结果  与非POPH组相比,POPH组平均年龄偏小,女性、肝性脑病、Child-Pugh C级占比较高,DBil、MELD评分、ALBI评分、国际标准化比值、凝血酶原时间、FIB-4指数、LOK评分、Forns指数较高,但Alb、ALT、GGT、血红蛋白、总胆固醇、甘油三酯水平较低,差异均具有统计学意义(P值均<0.05)。多因素分析结果显示,性别(OR=0.172,95%CI:0.064~0.462,P<0.001)、年龄(OR=0.944,95%CI:0.901~0.989,P=0.016)、ALBI评分(OR=3.091,95%CI:1.100~8.687,P=0.032)和肝性脑病(OR=3.466,95%CI:1.331~9.031,P=0.011)是POPH的独立影响因素。基于以上危险因素建立的肝硬化POPH预测模型的C指数为0.796(95%CI:0.701~0.890),提示模型区分度良好,校准曲线显示模型校准能力较好,提示模型具有一定预测效能。  结论  年轻女性、ALBI评分升高、合并肝性脑病是肝硬化患者发生POPH的独立危险因素,基于上述因素建立的预测模型具有一定的临床应用价值。
肝脏肿瘤
微波消融与手术切除治疗肝细胞癌合并肝硬化效果及安全性的Meta分析
骆建兴, 张扬, 向讷, 扈晓宇
2024, 40(9): 1807-1815. DOI: 10.12449/JCH240915
摘要(1209) HTML (353) PDF (2928KB)(64)
摘要:
  目的  通过Meta分析系统评价微波消融(MWA)和手术切除(HR)在肝细胞癌(HCC)合并肝硬化中的有效性及安全性。  方法  本研究根据PRISMA指南完成,PROSPERO注册号:CRD42024509185。检索PubMed、Cochrane Library、EMBASE、Web of Science、中国知网、维普、万方数据库,时间均为从建库至2023年11月,搜索MWA对比HR治疗HCC合并肝硬化的随机对照试验(RCT)和队列研究,采用Stata 12.0软件进行Meta分析。  结果  共纳入3项RCT和5项回顾性队列研究,共953例患者。Meta分析显示:MWA的1/2/3/5年总生存率(OS)与HR相比无统计学差异(P值均>0.05)。MWA的1/2/5年复发率与HR相比无统计学差异(P值均>0.05)。MWA的3年复发率高于HR(RR=1.59,95%CI:1.08~2.33,P=0.017)。MWA的1/3/5年无复发生存率(DFS)低于HR(RR=0.94,95%CI:0.89~0.99,P=0.018,I2=0.0%;RR=0.84,95%CI:0.72~0.98,P=0.023,I2=25.4%;RR=0.75,95%CI:0.58~0.98,P=0.032,I2=34.6%)。但亚组分析表明,在RCT组,MWA的1/2/3年OS和1/3年DFS与HR相比无统计学差异(P值均>0.05)。MWA的术中出血量、手术时间、住院时间、不良反应及肝功能均优于HR(SMD=-2.31,95%CI:-2.64~-1.97,P<0.001,I2=3.1%;SMD=-3.38,95%CI:-4.05~-2.71,P<0.001,I2=73.8%;SMD=-2.54,95%CI:-3.27~-1.80,P<0.001,I2=92.8%;RR=0.42,95%CI:0.30~0.59,P<0.001,I2=0.0%;SMD=-1.43,95%CI:-1.89~-0.97,P<0.001)。  结论  MWA与HR在局部复发、DFS及OS方面无明显差异。MWA术中出血量更少,手术时间更短,不良反应更少,对肝功能影响更小,住院时间更短。
60岁以上原发性肝癌患者术后谵妄发生风险预测模型的构建及验证
马垚, 李婷, 张秋实, 胡玲, 郑洁
2024, 40(9): 1816-1821. DOI: 10.12449/JCH240916
摘要(851) HTML (328) PDF (799KB)(68)
摘要:
  目的  分析构建老年原发性肝癌患者术后谵妄发生风险预测模型,并验证其应用价值。  方法  采用回顾性分析方式,选择2020年3月—2023年1月武汉科技大学附属天佑医院收治的老年原发性肝癌患者175例,记录患者术后谵妄发生率,并就可能影响谵妄发生的各因素进行单因素及多因素回归分析,构建其预测模型,并对该预测模型的临床应用价值进行验证分析。计量资料两组间比较采用成组t检验,计数资料两组间比较采用χ2检验,对可能影响老年原发性肝癌患者谵妄发生的各因素进行单因素及多因素Logistic回归分析,采用ROC曲线分析模型对患者谵妄发生的预测价值。  结果  175例老年原发性肝癌患者中,发生术后谵妄患者41例,发生率为23.43%。单因素分析结果显示,年龄、合并两种以上基础疾病、肝功能Child-Pugh分级、术前血乳酸值、手术时间、术前血红蛋白以及术前血清白蛋白与患者术后谵妄发生有关(t=3.534,χ2=12.000,χ2=4.938,t=7.561,t=5.768,t=5.141,t=6.148,P值均<0.05)。对上述单因素分析具有统计学意义的各因素进行多因素Logistic回归分析结果显示,手术时间、术前血红蛋白、术前血清白蛋白以及年龄进入回归模型(P值均<0.05),为影响老年原发性肝癌患者术后谵妄发生的独立危险因素。根据多因素Logistic回归分析结果,构建老年原发性肝癌术后谵妄预测模型:-2.222+3.678×手术时间-2.441×术前血红蛋白-3.904×术前血清白蛋白+1.807×年龄。对上述预测模型的预测效果进行分析,该模型ROC曲线下面积为0.931(P<0.001,95%CI:0.890~0.971),最佳截断值为-1.604(敏感度为87.80%,特异度为87.30%)。前瞻性纳入2023年2月—2023年6月在武汉科技大学附属天佑医院行根治性治疗手术的老年原发性肝癌患者56例进行模型验证,根据上述建立的风险预测模型,其中高危组患者14例,低危组42例,高危组患者术后谵妄发生率显著高于低危组(71.43% vs 11.90%,χ2=16.056,P<0.05)。  结论  年龄、手术时间、术前血清白蛋白以及术前血红蛋白是影响老年原发性肝癌患者术后谵妄发生的重要因素,根据上述因素拟定相应的风险预测模型,且该模型预测效果良好,值得进一步深入分析。
基于生物信息学分析构建肝细胞癌患者新型双硫死亡相关预后模型
宋铮, 罗维, 常秀娟, 杨永平
2024, 40(9): 1822-1832. DOI: 10.12449/JCH240917
摘要(1462) HTML (1248) PDF (6149KB)(68)
摘要:
  目的  探讨双硫死亡基因在肝细胞癌(HCC)中的表达情况,研究双硫死亡对HCC的预后价值并构建预后模型,分析其影响HCC的生物学过程和对索拉非尼耐药的影响。  方法  从TCGA-LIHC数据库中收集HCC患者的mRNA表达谱和相应临床数据。利用LASSO-Cox回归算法构建TCGA队列中的4基因预后预测模型。在外部数据集ICGC和GSE14520队列中验证模型的预后效能。基于癌症药物敏感性基因组学数据分析双硫死亡模型对索拉非尼治疗反应的预测作用。此外,进行GO和KEGG功能分析,以深入了解双硫死亡相关基因的生物学功能。计量资料两组间比较采用成组t检验;计数资料两组间比较采用χ2检验。采用Kaplan-Meier曲线和Log-rank检验评估预后差异;采用单因素和多因素Cox回归分析研究风险评分是否独立影响患者预后。  结果  在TCGA队列中行单因素Cox回归分析,7个已知的双硫死亡相关基因与HCC总生存期(OS)显著相关(P值均<0.05);进一步通过LASSO-Cox回归分析,构建双硫死亡相关的基因(DRG)预后模型,并计算风险评分(RS-DRG),RS-DRG=0.061 6×GYS1表达水平+0.152 8×LRPPRC表达水平+0.268 3×RPN1表达水平+0.183 5×SLC7A11表达水平。Log-rank检验表明双硫死亡模型中高风险评分患者的OS明显低于低风险评分患者(P<0.001)。根据多因素Cox回归结果,在TCGA和ICGC队列中,风险评分都是OS的独立预测因子(TCGA:HR=1.869,P=0.002;ICGC:HR=3.469,P=0.004)。Spearman相关分析表明RS-DRG与肿瘤微环境中的多种免疫细胞类型(包括B淋巴细胞、CD4+ T淋巴细胞、中性粒细胞、巨噬细胞和树突状细胞)的浸润水平呈显著正相关(P值均<0.05)。高风险评分组患者索拉非尼IC50值更低,对索拉非尼更敏感(P<0.001)。KEGG/GO富集分析显示双硫死亡风险差异基因显著富集于多种有丝分裂相关的分子功能。  结论  本研究构建了一种新的双硫死亡相关基因预后模型,在预测HCC预后方面具有潜在的临床应用价值;以双硫死亡基因为靶点可能是治疗HCC的一种很有前景的方法。
AU富集元件结合因子1(AUF1)在肝细胞癌中的表达及预后评估价值
段愿, 张婷, 张婧, 关贵文, 王竞州, 陈香梅
2024, 40(9): 1833-1839. DOI: 10.12449/JCH240918
摘要(750) HTML (1198) PDF (4247KB)(45)
摘要:
  目的  探究AU富集元件RNA结合蛋白1(AUF1)对肝癌细胞增殖、凋亡、迁移能力的影响及可能机制,阐明AUF1在肝细胞癌(HCC)进展中发挥的作用及分子机制。  方法  利用UALCAN和TCGA-HCC数据库分析AUF1在泛癌中的表达以及AUF1表达水平与HCC患者临床病理学特征和预后的相关性;利用CCK-8、细胞凋亡、Transwell小室迁移等实验在细胞水平探究AUF1的功能;利用RNA-seq分析AUF1敲减后肝癌细胞转录组变化。计量资料两组间比较采用t检验,Kaplan-Meier法绘制生存曲线,Log-rank检验评估生存率差异。  结果  相较于正常组织,AUF1的mRNA和蛋白水平在多种肿瘤组织中呈异常表达(P值均<0.05)。AUF1的mRNA水平与HCC恶性程度以及早期肝癌的不良预后呈正相关(P值均<0.05)。与对照组相比,过表达外源AUF1促进肝癌细胞的增殖、抑制肝癌细胞的凋亡及迁移。而AUF1敲减则抑制肝癌细胞增殖、促进肝癌细胞凋亡及迁移。RNA-seq分析发现,AUF1敲减主要影响Wnt/β-cateinin通路,并下调β-catenin蛋白水平。  结论  AUF1的异常表达与早期肝癌的预后有关,AUF1的促癌作用可能与其激活Wnt信号通路有关。
华蟾素调控AKT介导的上皮间质转化抑制肝细胞癌肺转移裸鼠模型的作用机制
杨悦, 续嗣钰, 王珏, 杜施霖, 张春蕾, 宋海燕
2024, 40(9): 1840-1847. DOI: 10.12449/JCH240919
摘要(887) HTML (426) PDF (3425KB)(55)
摘要:
  目的  研究华蟾素通过调控肝细胞癌(HCC)上皮间质转化(EMT)抑制HCC转移的作用和机制。  方法  将36只6周龄雄性BALB/c裸鼠尾静脉注射MHCC97H细胞建立肝癌肺转移瘤模型,随机分为华蟾素高、低剂量组和对照组。建模当日起分别腹腔注射华蟾素120 μL/kg、60 μL/kg或生理盐水,每周2次。8周后取肺组织行HE染色检测肝癌肺转移率。MHCC97H细胞用华蟾素高、低剂量(2.5 μL/mL、5 μL/mL)干预,通过划痕实验、RT-PCR以及Western Blot检测细胞迁移能力和EMT相关分子的表达。用CoCl2孵育模拟低氧环境诱导MHCC97H细胞,同时加入高、低剂量华蟾素干预,通过划痕实验和Western Blot检测华蟾素对低氧诱导的细胞迁移能力和EMT的影响。使用转录组学分析华蟾素对MHCC97H细胞的效应机制。用Western Blot检验华蟾素干预对MHCC97H细胞的蛋白激酶B(AKT)、磷酸化AKT(P-AKT)表达水平的影响。计量资料多组间比较采用单因素方差分析,进一步两两比较采用LSD-t检验,两组间比较采用成组t检验。  结果  华蟾素干预组裸鼠较对照组肝癌肺转移率下降。与对照组相比,华蟾素干预使MHCC97H细胞划痕愈合率减小、上皮型分子表达上调(t=2.860,P<0.05),并使EMT转录因子和基质型分子下调(t值分别为3.545、2.022、2.852、2.341,P值均<0.05)。低氧诱导上调MHCC97H细胞划痕愈合率和基质型分子、EMT转录因子表达水平(P值均<0.05),华蟾素干预逆转EMT变化并抑制划痕愈合(P值均<0.05)。肝癌细胞转录组学分析显示,华蟾素组与对照组存在显著的基因差异,华蟾素主要影响了肿瘤、代谢、免疫和信号传导相关基因表达,其中AKT信号转导通路中的差异基因数量最多。进一步检测发现华蟾素干预可下调HCC 细胞AKT、P-AKT和P-AKT/AKT的水平(t值分别为2.434、3.401、2.258,P值均<0.05)。  结论  华蟾素可抑制肝癌转移,尤其对于低氧环境诱导的肝癌转移具有显著抑制作用,调控AKT信号转导通路介导的HCC细胞EMT可能是其部分作用机制。
胰腺疾病
血清脂联素、网膜素及内脂素水平与急性胰腺炎严重程度的相关性分析
许新, 陈章兴
2024, 40(9): 1848-1852. DOI: 10.12449/JCH240920
摘要(743) HTML (212) PDF (910KB)(48)
摘要:
  目的  探讨血清脂联素、网膜素及内脂素水平与急性胰腺炎(AP)严重程度的相关性。  方法  收集2022年3月—2023年10月厦门大学附属成功医院收治的70例AP患者和35例对照组健康者的血液标本,采用酶联免疫吸附试验检测各组入院24 h内血清脂联素、网膜素及内脂素水平。计量资料组间比较采用方差分析,进一步两两比较采用LSD-t检验;计数资料组间比较采用χ2检验。各指标相关性用Pearson相关性分析,采用受试者工作特征曲线评估3项指标对重症急性胰腺炎(SAP)预测价值。  结果  AP组的血清网膜素及内脂素水平明显高于对照组(t值分别为5.51、9.41,P值均<0.01),随着病情的加重,内脂素水平逐渐升高(F=43.32,P<0.01),而网膜素随着病情的加重变化不明显(F=0.47,P>0.05)。AP组的脂联素水平低于对照组(t=-14.47,P<0.01),且随着病情的加重而逐渐下降(F=35.61,P<0.01)。血清内脂素水平与急性生理与慢性健康评分(APACHE-Ⅱ评分)正相关(r=0.547,P<0.01),脂联素水平与之负相关(r=-0.520,P<0.01),而网膜素与APACHE-Ⅱ评分关系不明显(r=0.007,P>0.05)。3项指标预测SAP的受试者工作特征曲线下面积(AUC)分别为0.893、0.570及0.829,将AUC>0.7的脂联素及内脂素两组联合检测时SAP的AUC为0.953,敏感度0.900,特异度0.933。  结论  血清脂联素及内脂素水平与AP的严重程度密切相关,对预测SAP具有重要的临床意义,两者联合检测具有更高的价值,但网膜素水平与AP的严重程度是否相关尚需进一步研究。
胰腺癌类器官模型的构建及其对化疗药物的敏感性试验
王靖宇, 黄容, 卢艳, 陈子然, 张晓杰, 任虎, 张楠, 赵冬兵, 宋伟, 张星光
2024, 40(9): 1853-1858. DOI: 10.12449/JCH240921
摘要(1479) HTML (275) PDF (3800KB)(99)
摘要:
  目的  建立及鉴定患者来源的类器官模型,并利用该模型进行化疗药物敏感性检测。  方法  利用已确诊胰腺癌的2例女性患者的手术标本获取肿瘤组织消化后获取胰腺癌细胞,利用基质胶接种于培养皿中进行三维培养;制备石蜡切片并进行苏木精-伊红(HE)染色和免疫组化染色,通过与亲本肿瘤组织对比,检测其能否保留体内肿瘤的组织病理学特征;利用不同浓度的7种化疗药物处理胰腺癌类器官,使用Cell Titer-Glo®3D试剂测定细胞活力,分析药敏结果。  结果  成功建立了2例患者来源的胰腺癌类器官,HE染色和免疫组化染色结果显示胰腺癌类器官与其来源的患者肿瘤在组织病理学特征上一致;2例胰腺癌类器官均对吉西他滨单药、奥沙利铂与SN38+氟尿嘧啶联用更为敏感,患者1较患者2敏感性更高,来自不同患者的类器官对药物反应存在个体差异。  结论  本研究成功构建的胰腺癌类器官模型能够反映亲本胰腺肿瘤的组织学分型,并能够进行体外化疗药物敏感性试验,有望为患者临床用药提供参考。
术前ALT/AST联合多期CT影像学指标对胰十二指肠切除术后临床相关胰瘘的预测价值
潘均昊, 辛建, 王春晖
2024, 40(9): 1859-1867. DOI: 10.12449/JCH240922
摘要(834) HTML (358) PDF (2208KB)(47)
摘要:
  目的  探讨胰十二指肠切除术后发生临床相关胰瘘(CR-POPF)的危险因素,并建立预测模型,对CR-POPF患者进行早期预测。  方法  选取北部战区总医院2019年1月—2023年10月244例行胰十二指肠切除术的患者,经过严格的纳入排除标准筛选后最终纳入179例患者,根据是否发生CR-POPF分为非CR-POPF组(n=120)和CR-POPF组(n=59)。采用单因素和多因素Logistic回归分析确定CR-POPF相关的独立危险因素,并构建列线图。采用受试者工作特征曲线评价预测效果,校准曲线评价模型校准度,用临床决策曲线和临床影响曲线分析验证模型的临床应用价值。计数资料组间比较采用χ2检验或Fisher精确概率法;计量资料符合正态分布的2组间比较采用成组t检验,偏态分布的2组间比较采用Mann-Whitney U检验。  结果  179例患者中59例发生CR-POPF,发生率为33.0%。经过多因素Logistic分析确定术后CR-POPF的独立危险因素:较大的ALT/AST(OR=2.221,P=0.004)、主胰管直径≤3 mm(OR=0.276,P=0.022)、较大的腹膜胰颈前距离(OR=1.034,P=0.027)、较小的细胞外体积分数(OR=0.001,P=0.005)。根据上述4个独立危险因素构建预测胰十二指肠术后CR-POPF的列线图,该模型的受试者工作特征曲线下面积为0.837,敏感度为0.932,特异度为0.725。决策曲线和影响曲线的结果也显示该列线图具有良好的临床实用性。  结论  术前临床指标联合多期CT共同预测胰十二指肠切除术后CR-POPF的模型效能良好,可以在术前对胰瘘高危患者进行早期识别,进一步指导临床工作。
病例报告
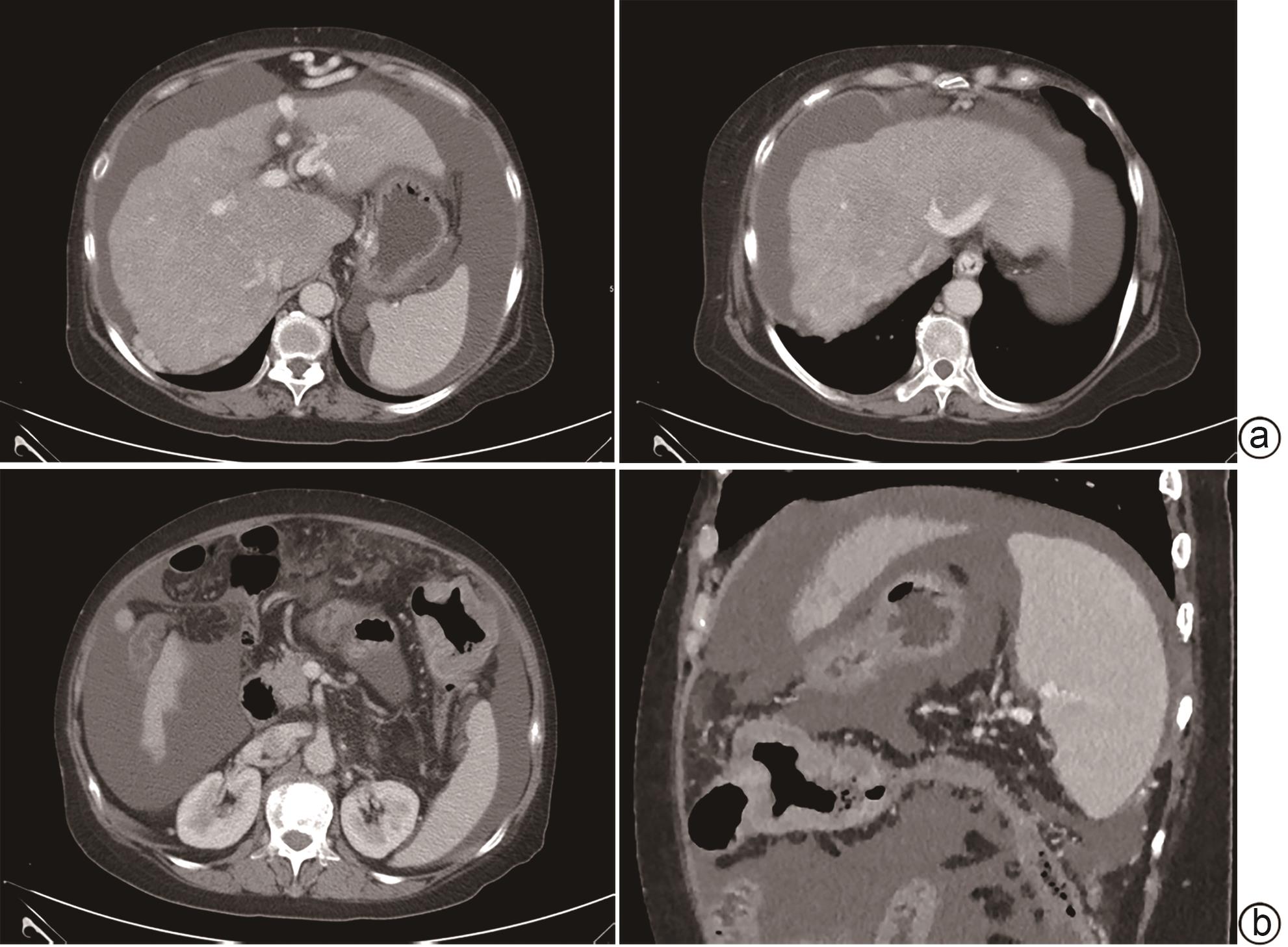
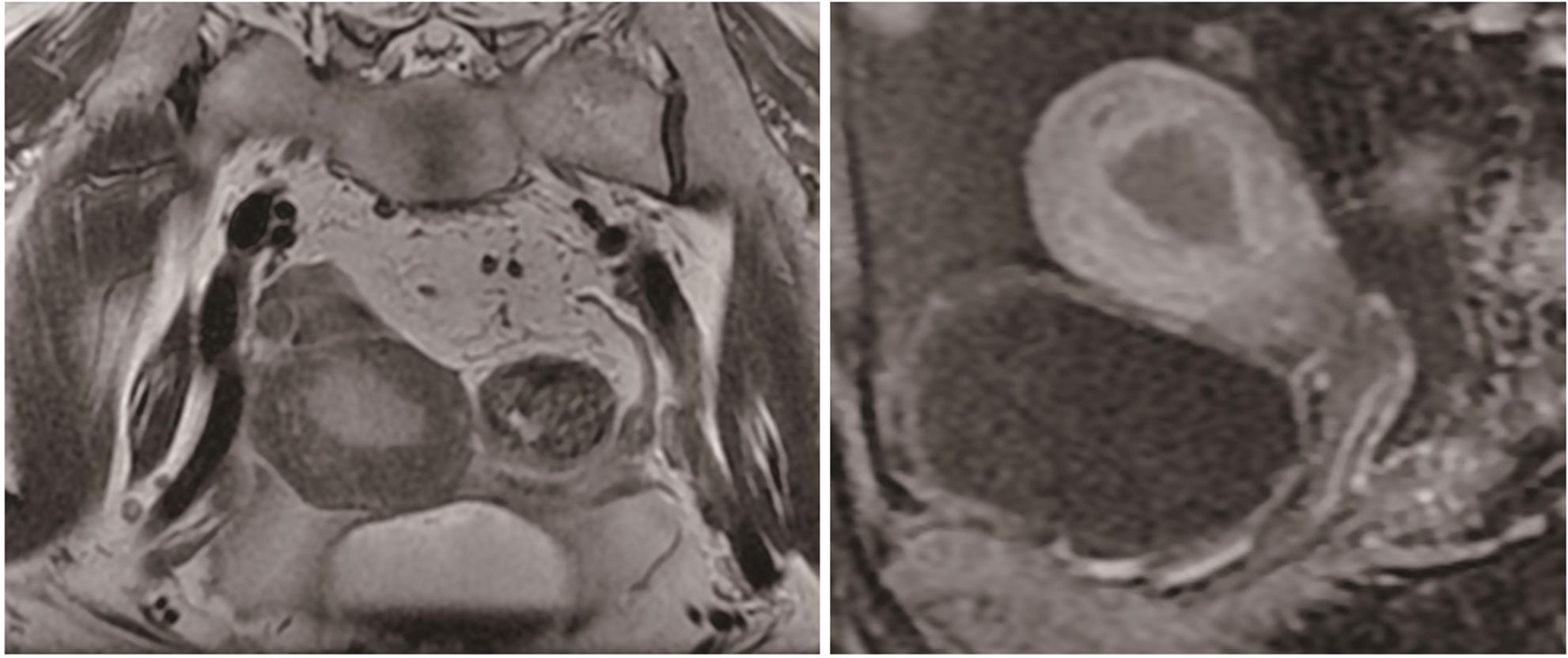
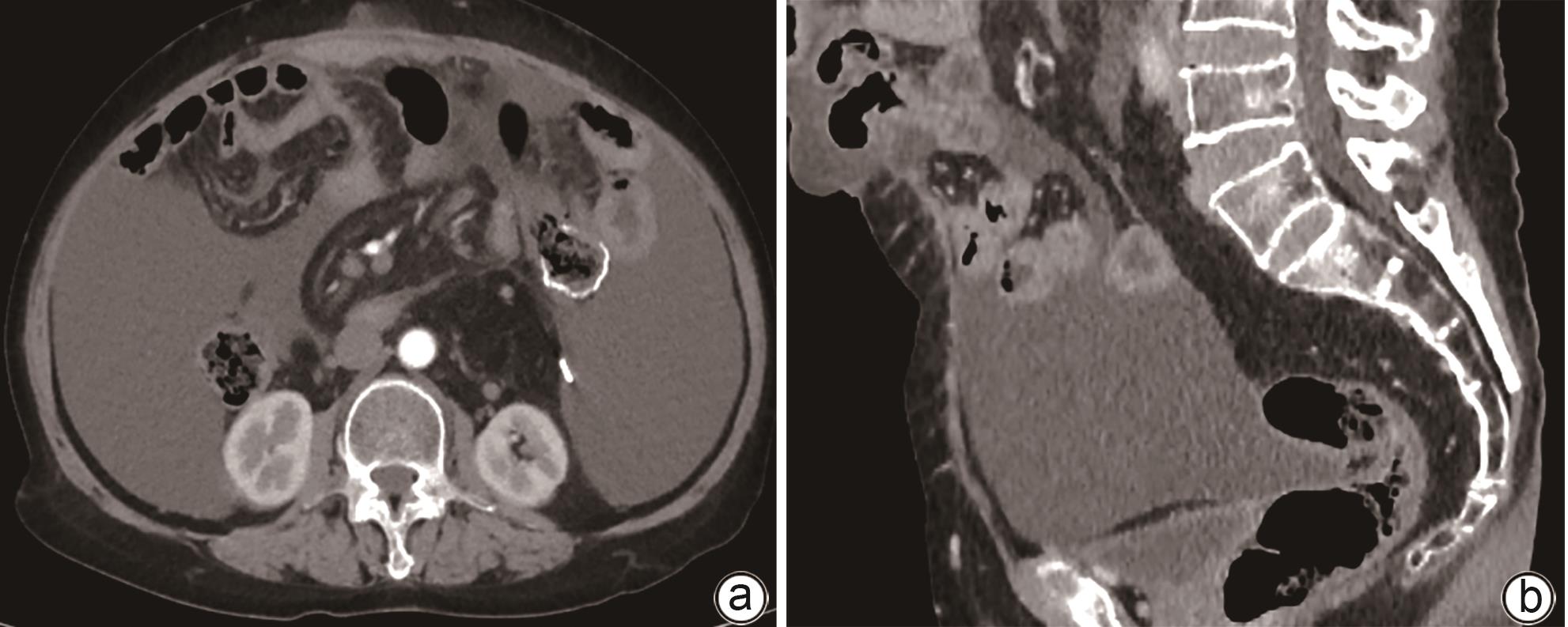
失代偿期肝硬化合并多原发癌1例报告
晁文婷, 黄睿
2024, 40(9): 1868-1872. DOI: 10.12449/JCH240923
摘要(912) HTML (383) PDF (1776KB)(105)
摘要:
多原发癌是指在同一个体中存在一种以上的具有不同组织学和部位的癌症,临床较为罕见。本文报告1例肝硬化失代偿期合并多原发癌的病例,主要讨论了肝硬化失代偿期患者合并多原发癌的诊治经过及临床启示。
综述
中药复方逆转肝纤维化及早期肝硬化的作用机制
张鹏, 郑世豪, 苟思媛, 谢金池, 杨先照, 叶永安
2024, 40(9): 1873-1879. DOI: 10.12449/JCH240924
摘要(1622) HTML (1651) PDF (1070KB)(104)
摘要:
肝纤维化、肝硬化是多种慢性肝病进展后的共同结局。研究表明,肝纤维化及一定程度的肝硬化是可以逆转的。中药复方逆转肝纤维化、早期肝硬化疗效确切,但作用机制尚未完全明确。本文通过梳理国内外相关文献,总结了中药复方起效涉及的6个主要机制表型(即抑制肝脏炎症与调控免疫,调控肝星状细胞活化及细胞外基质生成,促进细胞外基质降解,逆转肝窦毛细血管化,调控肝脏细胞再生以及调节肠道菌群),并分析了各个表型领域研究的进展与不足。未来中药复方研究可围绕上述表型进行实验探索和验证,对有确切作用的表型上下游信号进一步深入探究。本文旨在帮助厘清中药复方疗效机制研究的方向和思路,为阐明中药复方科学实质提供依据。
肝癌的医学影像智能化诊断研究进展
徐捷, 徐文斌, 贺柯庆, 上官定, 徐婷, 谢明君, 龙年宝, 葛来安
2024, 40(9): 1880-1885. DOI: 10.12449/JCH240925
摘要(1333) HTML (991) PDF (906KB)(124)
摘要:
肝癌是对人体威胁最大的疾病之一,大部分患者确诊时已属晚期,致死率极高。早期肝癌的诊断和治疗是改善患者预后的关键。医学影像是辅助诊断肝癌的重要手段,当前基于医学影像数据的智能图像识别技术已深入涉足医学诊断领域并具有良好应用前景。本文通过综述目前人工智能方法在肝脏医学影像中诊断局灶性肝脏病变的研究现状,提出当前人工智能诊断的优势与不足,旨在为今后肝癌的智能化诊断提供新的研究思路。
炎症细胞因子在肝硬化患者糖代谢紊乱中的作用
吴云冲, 杨颜颜, 李川, 吴小欢, 林世德
2024, 40(9): 1886-1890. DOI: 10.12449/JCH240926
摘要(763) HTML (458) PDF (658KB)(54)
摘要:
近年来对肝硬化发生、发展过程中白细胞介素-1β、白细胞介素-6、白细胞介素-10、白细胞介素-17、肿瘤坏死因子-α、干扰素-γ、C反应蛋白等常见的炎症细胞因子的作用及机制有了更深入的了解,对炎症细胞因子与糖代谢紊乱及胰岛功能受损的相关性研究也取得了较大的进展。本文综述了肝硬化患者炎症细胞因子及其在糖代谢紊乱、胰岛功能受损中的作用,为阐明肝源性糖尿病的发生机制及其临床管理提供理论依据。
人工智能在慢加急性肝衰竭预后预测模型中的研究现状
姜伟, 常秀君, 曾帆, 兰蕴平
2024, 40(9): 1891-1896. DOI: 10.12449/JCH240927
摘要(1235) HTML (596) PDF (655KB)(98)
摘要:
慢加急性肝衰竭(ACLF)是在慢性肝病基础上出现的急性肝功能恶化,且以肝脏和/或肝外器官衰竭和短期高病死率为主要特征的复杂临床综合征。目前缺乏有效的治疗手段,内科综合治疗下病死率高达50%~90%。开发简单快捷、准确性高的ACLF预后预测模型,能帮助临床医师早期准确判断ACLF患者预后,识别预后不良患者,从而实施早期干预,可在一定程度上改善预后,有助于降低病死率。随着计算机科学的不断发展,数据处理能力愈发强大,人工智能越来越受到重视,在肝脏疾病的诊断、治疗、预后预测等多方面均有应用。本文结合国内外研究现状,对常见的ACLF预后模型和机器学习预后预测模型进行综述,总结最新研究进展,为ACLF预后预测模型未来发展提供新思路。
外泌体在肝衰竭中的调控机制及其在临床诊疗中的应用价值
童话, 罗越, 王亚东
2024, 40(9): 1897-1901. DOI: 10.12449/JCH240928
摘要(1008) HTML (273) PDF (900KB)(64)
摘要:
外泌体是介导细胞间物质与信息传递的重要媒介,源自肝细胞、肝干细胞或肝外间充质干细胞等的外泌体通过抑制免疫炎症反应、拮抗氧化应激与凋亡、诱导自噬等多种方式促进损伤肝细胞的修复与再生,发挥对肝衰竭的保护作用。本文综述外泌体在肝衰竭发病中的分子调控机制及其对肝衰竭发生发展与预后转归的影响,旨在评价其作为肝衰竭诊断标志物与治疗靶点的潜在价值。
肝再生在对乙酰氨基酚诱导的肝损伤修复中的作用
莫胤康, 范子豪, 任锋
2024, 40(9): 1902-1907. DOI: 10.12449/JCH240929
摘要(1355) HTML (1948) PDF (972KB)(100)
摘要:
肝再生在对乙酰氨基酚(APAP)诱导的肝损伤后恢复中有着至关重要的作用。APAP过量服用后,通常是肝损伤程度越大,再生的程度就越大,从而导致肝损伤的消退和大多数情况下的自发恢复。然而,严重APAP过量会导致肝再生受损和无法控制的肝损伤,导致无法恢复,甚至死亡。在APAP肝损伤后,肝脏中细胞之间的相互作用对再生反应非常重要。肝再生由多种增殖信号通路共同调控,这些通路涉及激酶、核受体、转录因子、转录共激活因子。严重的APAP过量后会抑制增殖信号通路的激活,导致细胞周期停滞和肝再生受损。虽然肝再生在APAP肝损伤后的修复过程中发挥关键作用,但目前其发挥作用的潜在机制尚不明确。本文就已有的相关研究对肝再生在APAP诱导的肝损伤中的作用进行综述, 为进一步的基础研究提供参考。
细胞焦亡: 连接肠道菌群与肝脏疾病的新桥梁
赵奕杰, 谢露, 张亚亭, 刘光伟
2024, 40(9): 1908-1915. DOI: 10.12449/JCH240930
摘要(1047) HTML (719) PDF (1609KB)(72)
摘要:
自肠-肝轴的概念被提出以来,已有大量研究着眼于探索肠道菌群和肝病之间的联系,但以细胞焦亡为枢纽,探究肠-肝串扰的内在机制的观点仍处于萌芽阶段。本文主要通过叙述了肠道菌群失调通过影响黏膜屏障的完整性和胆汁酸的代谢,诱导细胞焦亡,进而影响肝脏相关疾病的发生和进展的过程,并总结出肠道菌群失调通过诱导NLRP3/AIM2/Caspase-1依赖型、Caspase-4/11/GSDMD依赖型和Caspase-3/GSDME依赖型细胞焦亡以影响肝脏相关疾病的观点。希望通过建立细胞焦亡与肠-肝免疫串扰之间的联系,为未来肝病的诊治提供新的思路和靶点。
自噬途径降解肝脏脂滴的研究进展
王蓉芝, 王琳雳, 焦靖雯, 于云飞, 李宝龙
2024, 40(9): 1916-1923. DOI: 10.12449/JCH240931
摘要(2980) HTML (2572) PDF (1212KB)(128)
摘要:
自噬是一种高度保守的细胞降解途径,可通过“脂噬”过程来降解脂滴。脂噬可以选择性地识别脂类物质并将其降解,促进β氧化,进而维持细胞内脂质代谢的平衡状态。肝脏通过脂噬信号通路或关键分子来调控脂滴代谢,进而降低肝脏脂肪变性,改善非酒精性脂肪性肝病。本文总结归纳了巨自噬、分子伴侣介导的自噬和微自噬样3种自噬途径降解肝脏脂滴的最新研究进展,AMPK/mTOR-ULK1、ATGL-SIRT1、FGF21-JMJD3、Akt作为调控脂噬过程的主要信号通路,有助于维持肝脂质代谢稳态,能够为临床预防和治疗非酒精性脂肪性肝病提供新思路。
巨噬细胞在原发性胆汁性胆管炎发生发展中的作用
邓宗柒, 邰文琳
2024, 40(9): 1924-1928. DOI: 10.12449/JCH240932
摘要(794) HTML (344) PDF (838KB)(65)
摘要:
原发性胆汁性胆管炎(PBC)是一种持续的炎症性自身免疫性肝病,以肝内小胆管炎症损伤和胆汁淤积为主要特征。目前,PBC的确切发病机制尚不清楚,但一致认为PBC是多种因素协同作用的结果。而在与PBC相关的免疫和炎症级联反应中,巨噬细胞作为必不可少的免疫细胞出现,积极参与对胆管上皮细胞的损伤。本文介绍了巨噬细胞在PBC中的来源定位及异质性变化,综述了巨噬细胞在PBC发病机制中的潜在作用。
国外期刊精品文章简介
Hepatology|肠源性IL-33双重调控缺氧诱导因子1α信号促进三甲胺-N-氧化物生成并加重代谢相关脂肪性肝病进展
2024, 40(9): 1766-1766. DOI: 10.12449/JCH2409.gwqkjpwzjj1
摘要(368) HTML (160) PDF (910KB)(46)
摘要:
Journal of Hepatology|IL-1拮抗剂联合锌剂与泼尼松治疗重症酒精性肝炎的随机对照试验
2024, 40(9): 1777-1777. DOI: 10.12449/JCH2409.gwqkjpwzjj2
摘要(517) HTML (136) PDF (909KB)(45)
摘要:
Journal of Hepatology|与肝脂肪相关的不同遗传变异及其与心血管疾病和癌症的对比关系
2024, 40(9): 1872-1872. DOI: 10.12449/JCH2409.gwqkjpwzjj3
摘要(364) HTML (168) PDF (875KB)(36)
摘要:
读者·作者·编者
《临床肝胆病杂志》关于利益冲突声明和作者贡献声明的要求
2024, 40(9): 1731-1731.
摘要(260) HTML (230) PDF (868KB)(26)
摘要:
《临床肝胆病杂志》常见异形词
2024, 40(9): 1737-1737.
摘要(216) HTML (159) PDF (835KB)(29)
摘要:
《临床肝胆病杂志》关于部分类型论文的收录要求
2024, 40(9): 1815-1815.
摘要(251) HTML (144) PDF (1257KB)(30)
摘要:
《临床肝胆病杂志》推荐使用的规范医学名词术语
2024, 40(9): 1867-1867.
摘要(199) HTML (180) PDF (839KB)(30)
摘要:
《临床肝胆病杂志》对形态学图片的质量和制作要求
2024, 40(9): 1907-1907.
摘要(249) HTML (190) PDF (870KB)(27)
摘要:
消息
《临床肝胆病杂志》2025年1~4期重点号选题及执行主编
2024, 40(9): 1879-1879.
摘要(259) HTML (192) PDF (885KB)(33)
摘要:
致谢
本期审稿专家
2024, 40(9): 1915-1915. DOI: 10.12449/JCH2409.zhixie
摘要(306) HTML (138) PDF (873KB)(35)
摘要: