中文English
ISSN 1001-5256 (Print)
ISSN 2097-3497 (Online)
CN 22-1108/R

留言板

尊敬的读者、作者、审稿人, 关于本刊的投稿、审稿、编辑和出版的任何问题, 您可以本页添加留言。我们将尽快给您答复。谢谢您的支持!

姓名
邮箱
手机号码
标题
留言内容
验证码

第40卷 第10期(总288期) 2024年10月
“脂肪肝中医药治疗进展” 重点号
执行主编:李秀惠
首都医科大学附属北京佑安医院

显示方式:
述评
脂肪肝中医证候学研究进展
赛俊婷, 李秀惠
2024, 40(10): 1929-1932. DOI: 10.12449/JCH241001
摘要(2863) HTML (740) PDF (595KB)(177)
摘要:
脂肪肝根据病因可分为酒精性脂肪性肝病和非酒精性脂肪性肝病,已成为全球第一大肝病。由于脂肪肝病因与病理机制的不同,在不同病理阶段可以表现为不同的中医“证”。“证”又称“证候”,是以一定阶段病机为基础,是中医辨证治疗的基石。目前对脂肪肝的“证”研究,尚不统一,且比较杂乱,采用不同辨证方法得出不同的证型,影响了临床辨证治疗。本文简要介绍了历代医家与现代医家对脂肪肝证型的临床研究,进一步强调规范与准确的脂肪中医证型对辨证论治的意义。
专家论坛
中药有效成分及其复方防治非酒精性脂肪性肝病的现状与展望
潘雨晴, 毛傲洁, 于楚楚, 胡义扬
2024, 40(10): 1933-1941. DOI: 10.12449/JCH241002
摘要(2570) HTML (952) PDF (838KB)(268)
摘要:
非酒精性脂肪性肝病(NAFLD)是目前全球患病率最高的慢性肝病,发病机制复杂,临床治疗手段局限。近20多年来,从中药中发现治疗NAFLD的有效成分以及能发挥多靶点综合作用的成分复方是研究热点之一。本文根据其化学成分,以黄酮类、酚类、萜类、生物碱类、皂苷类分类阐述具有治疗NAFLD前景的中药有效成分,以及具有配伍增效作用的有效成分复方,以期进一步为NAFLD药物治疗策略提供新思路。
中医外治疗法在非酒精性脂肪性肝病中的应用及其疗效机制
赵文霞, 杨培伟
2024, 40(10): 1942-1948. DOI: 10.12449/JCH241003
摘要(2455) HTML (683) PDF (860KB)(137)
摘要:
非酒精性脂肪性肝病(NAFLD)是一种常见的代谢性疾病,近年来发病率呈上升趋势,严重威胁人类健康。中医外治疗法作为一种传统疗法,对于NAFLD的治疗显示出独特的优势和潜力。本文详细分析了中医对NAFLD病因病机的认识、中医外治疗法在临床研究中的应用及其疗效机制研究,旨在为该领域的进一步研究提供参考和指导。
从“六郁”论代谢相关脂肪性肝病的理论与临床实践
童光东, 孙屿昕
2024, 40(10): 1949-1953. DOI: 10.12449/JCH241004
摘要(2074) HTML (377) PDF (664KB)(114)
摘要:
代谢相关脂肪性肝病已成为全球第一大肝病,包括单纯性脂肪变性,脂肪性肝炎,纤维化/肝硬化与肝癌,常与代谢综合征相关。其病理复杂,国内尚无新药上市。既往中医认识或从食,或从痰湿,或从湿热,或从肝郁脾虚等论治,但细致分析其疾病的病理过程与中医“六郁”理论相吻合。本文简要介绍了六郁致病理论的源流、导致脂肪肝的“六郁”病变特点,辨治要点与临床实践等,以期通过对代谢相关脂肪肝中医病机的深入认识,促进临床治疗进展。
代谢相关脂肪性肝病的发病机制与中医病机
姚树坤, 刘婧, 周天惠
2024, 40(10): 1954-1958. DOI: 10.12449/JCH241005
摘要(1909) HTML (760) PDF (679KB)(160)
摘要:
代谢相关脂肪性肝病(MAFLD)是目前全球最常见的肝脏疾病。MAFLD不仅本身易进展为肝炎、肝纤维化和肝硬化等不良结局,还常常伴发共患病,如糖尿病、高血压、高血脂、高尿酸血症及心脑血管疾病。病因治疗是疾病治疗的基石,由于MAFLD具有复杂性和不良转归,因此,探索MAFLD的发病机制,并据此开发有效的防治方案和新药等具有重大意义。本文将从遗传因素,饮食不节和氧化应激,脾胃湿热和胰岛素抵抗,湿热邪气和有机酸代谢,肠道微生态几个方面对MAFLD的发病机制进行综述。
指南与规范
黄疸中医诊疗专家共识(2023)
中华中医药学会脾胃病分会
2024, 40(10): 1959-1966. DOI: 10.12449/JCH241006
摘要(2326) HTML (1449) PDF (1067KB)(292)
摘要:
黄疸是临床比较常见的病症之一,尤以目睛黄染为主要特征,病证分型及选方不断改善。本共识阐述了黄疸的概念、病名沿革、病因病机、常见证候、临床治疗、疗效评定、预防调摄和转归与随访等内容,突出了临床实用性,体现了最新研究进展。
单孔腹腔镜胆囊切除术中国专家共识(2024版)
中国研究型医院学会微创外科学专业委员会
2024, 40(10): 1967-1972. DOI: 10.12449/JCH241007
摘要(2392) HTML (1408) PDF (908KB)(483)
摘要:
《2024年美国胃肠病学院指南: 急性胰腺炎的管理》摘译
宋英晓, 朱惠云, 杜奕奇
2024, 40(10): 1973-1975. DOI: 10.12449/JCH241008
摘要(3767) HTML (1718) PDF (478KB)(911)
摘要:
美国胃肠病学院(ACG)近期发布了2024版急性胰腺炎管理指南。该指南首先讨论了急性胰腺炎的诊断、病因、严重程度以及早期管理,同时也涉及并发症尤其是胰腺坏死的处理;其次提出了抗生素、营养、内镜、放射学和外科干预等临床决策。本文对该指南中的重要观念及推荐意见进行摘译。
病毒性肝炎
老年HBV相关慢加急性肝衰竭预后的危险因素及风险预测列线图模型构建
张仕华, 柏承志, 李春燕, 徐理茂, 徐华谦, 汤善宏
2024, 40(10): 1976-1984. DOI: 10.12449/JCH241009
摘要(1223) HTML (281) PDF (1398KB)(122)
摘要:
  目的  探讨老年HBV相关慢加急性肝衰竭(HBV-ACLF)患者的临床特点,以及影响患者近期预后的危险因素。  方法  选取2015年1月—2023年1月在西部战区总医院收治的417例HBV-ACLF患者进行回顾性研究。收集患者一般情况、血常规、生化指标、肝硬化及失代偿事件情况(腹水及分级,肝性脑病及分级)等临床资料。随访患者90天生存情况。根据年龄将患者分为老年组(≥60岁,n=106)和非老年组(<60岁,n=311),老年组中根据90天生存情况分为生存组(n=41)和死亡或移植组(n=65)。定量资料两组间比较采用成组t检验或Mann-Whitney U检验,定性资料两组间比较采用χ2检验。采用二元Logistic回归分析确定老年HBV-ACLF患者90天死亡风险的独立影响因素,构建老年HBV-ACLF患者死亡风险预测列线图模型。使用受试者工作特征曲线(ROC曲线)分别评价训练集与验证集中模型对于HBV-ACLF患者转归预测价值。绘制训练集与验证集中所构建模型的校准曲线与决策曲线,判断模型拟合程度与预测收益。  结果  老年患者的90天病死率显著高于非老年患者(P<0.05),其中老年组女性发生率、肝硬化基础发生率、肝性脑病发生率及分级、腹水发生率、肝纤维化指标水平(APRI、FIB-4)显著高于非老年组(P值均<0.05);而总胆固醇、高密度脂蛋白、白蛋白、甲胎蛋白、淋巴细胞等方面显著低于非老年组(P值均<0.05)。在老年HBV-ACLF患者中,生存组与死亡或移植组在总胆固醇、TBil、国际化标准比值(INR)、甲胎蛋白、血小板、肌酐、血清钠、单核细胞数量、肝性脑病发生率及分级等方面存在显著性差异(P值均<0.05)。此外,多因素Logistic回归分析提示INR(OR=11.351,95%CI:1.942~66.362)、单核细胞(OR=23.636,95%CI:1.388~402.529)、TBil(OR=1.007,95%CI:1.001~1.013)、血小板(OR=0.968,95%CI:0.945~0.993)为HBV-ACLF老年患者90天预后的独立影响因素(P值均<0.05),由此构建的列线图模型具有较高预测价值(ROC曲线下面积为0.915,敏感度为88.0%,特异度为86.7%),且在验证集中同样具有较高效能与拟合度,决策曲线提示获益较好,该模型与常用预测模型(MELD评分、COSSH-ACLFⅡ评分等)相比,仍具有较高预测效能。  结论  老年HBV-ACLF患者可能因肝脏合成、储备功能、再生能力下降、免疫功能紊乱等原因而表现为短期高病死率。INR、单核细胞、TBil、血小板在预测老年HBV-ACLF患者死亡风险方面具有较高价值,由此构建的列线图模型具有较高预测效能。
代谢相关因素对HBV相关慢加急性肝衰竭患者短期预后的影响及预测模型构建
罗文苓, 曾玉, 张雪媚, 盛云建
2024, 40(10): 1985-1991. DOI: 10.12449/JCH241010
摘要(803) HTML (326) PDF (903KB)(92)
摘要:
  目的  本研究旨在评估代谢相关因素(超重和/或肥胖、高血糖、高血压及血脂紊乱)对HBV相关慢加急性肝衰竭(HBV-ACLF)患者90天预后的影响及预测模型构建。  方法  回顾性纳入2018年6月—2022年6月西南医科大学附属医院感染科收治的365例HBV-ACLF患者,根据90天随访结果分为生存组(n=273)和死亡组(n=92);收集患者的一般资料及相关实验室检查指标。符合正态分布的计量资料两组间比较采用成组t检验,非正态分布的计量资料两组间比较采用Mann-Whitney U检验。计数资料两组间比较采用χ2检验。采用Logistic回归分析代谢相关因素是否为HBV-ACLF患者90天预后的独立危险因素,Kaplan-Meier法分析检验代谢相关因素与HBV-ALCF患者90天生存率的关系。采用受试者工作特征曲线下面积(AUC)比较不同评分模型对HBV-ACLF患者90天预后的预测价值。  结果  多因素Logistic回归分析结果显示,高血压(OR=4.698,95%CI:1.904~11.593,P=0.001)、ALT(OR=0.999,95%CI:0.999~1.000,P=0.010)、TG(OR=4.979,95%CI:2.433~10.189,P<0.001)、HDL-C(OR=0.258,95%CI:0.087~0.762,P=0.012)、载脂蛋白B(OR=0.118,95%CI:0.026~0.547,P=0.006)、CLIF-C OF评分(OR=2.275,95%CI:1.150~4.502,P<0.001)为HBV-ACLF短期预后的独立影响因素。代谢相关因素的联合预测模型AUC较单一预测模型增大,其中以高血压+TG+CLIF-C OF评分预测模型的AUC最大(AUC=0.886),合并代谢相关因素的患者肝脏相关并发症发生率更高,且30天病死率及90天病死率更高。  结论  高血压和血脂异常等代谢相关因素的存在会增加HBV-ACLF的严重程度并增加其短期死亡风险,高血压+TG+CLIF-C OF评分预测模型对HBV-ACLF患者短期预后有较好的预测价值。
脂肪性肝病
基于双向孟德尔随机化的不同BMI分型非酒精性脂肪性肝病与2型糖尿病的遗传关联分析
段浩鑫, 江宇泳, 吴亭彧, 熊飞翔, 姜艳丹, 张琴, 赵赛赛, 于浩
2024, 40(10): 1992-1999. DOI: 10.12449/JCH241011
摘要(1386) HTML (510) PDF (3023KB)(91)
摘要:
  目的  运用双向双样本孟德尔随机化(MR)评估非酒精性脂肪性肝病(NAFLD)与2型糖尿病(T2DM)的遗传关联,并进一步探讨不同BMI的NAFLD人群与T2DM的因果关系。  方法  数据来源于以欧洲人群为研究对象的全基因组关联研究,其中NAFLD的样本量为32 941例,T2DM为312 646例,BMI为681 275例。运用单变量、多变量MR方法评估NAFLD总人群及各BMI亚型与T2DM之间的双向因果关系。采用逆方差加权法、MR-Egger回归、约束最大似然与模型平均法、加权中位数法进行MR分析,采用MR多效性残差和与离群值、径向MR、MR-Egger截距法、Cochran Q检验进行敏感性分析。  结果  单变量MR分析显示NAFLD总人群与T2DM之间存在双向因果关系(正向OR=9.75,95%CI:2.57~37.00,P<0.001;反向OR=1.01,95%CI:1.00~1.01,P<0.01)。多变量MR分析显示经BMI校正后,NAFLD总人群与T2DM的因果关系仍然保持显著(OR=33.12,95%CI:7.57~144.95,P<0.000 1)。亚组分析显示,NAFLD各亚组均与T2DM存在因果关系(瘦型OR=12.19,95%CI:3.35~44.40,P<0.001;超重型OR=4.30,95%CI:1.69~10.92,P<0.01;肥胖型OR=1.67,95%CI:1.14~2.44,P<0.01)。  结论  本研究从遗传学层面揭示了NAFLD总人群及各BMI亚型与T2DM之间的因果关系。
地衣芽孢杆菌制剂对非酒精性脂肪性肝病大鼠模型肝脂肪变性及肠黏膜屏障功能的影响
赵春燕, 李逸群, 李莉
2024, 40(10): 2000-2007. DOI: 10.12449/JCH241012
摘要(919) HTML (283) PDF (4213KB)(76)
摘要:
  目的  通过建立非酒精性脂肪性肝病(NAFLD)大鼠模型,探讨地衣芽孢杆菌制剂对大鼠肝组织病理学及肠黏膜屏障功能的影响。  方法  将30只雄性SD大鼠随机分为正常对照组(Control组,n=5)、模型组(Mod组,n=15)、地衣芽孢杆菌低剂量组(BLL组,n=5)和地衣芽孢杆菌高剂量组(BLH组,n=5)。Control组给予普通饲料喂养,Mod组、BLL组、BLH组给予高脂饲料喂养16周,其中BLL组、BLH组在高脂饲料喂养8周后,分别予地衣芽孢杆菌制剂灌胃2.5×107 CFU/kg、5.0×107 CFU/kg,每天1次,持续8周。8周干预结束后,检测大鼠血清ALT、AST、TC、TG、空腹血糖(FPG)、超氧化物歧化酶(SOD)、过氧化氢酶(CAT)、丙二醛(MDA)、IL-6、IL-1β和TNF-α水平。HE染色观察肝组织病理学改变并根据NAFLD活动度积分(NAS)评分。透射电镜下观察肠黏膜紧密连接结构。免疫组化染色观察肠黏膜肌球蛋白轻链激酶(MLCK)的表达。实时定量PCR检测肠黏膜MLCK的mRNA水平。高通量16S rRNA测序法分析肠道菌群组成。采用单因素方差分析进行多组间比较,多重比较采用Bonferroni法。  结果  与Mod组相比,BLH组和BLL组大鼠血清ALT、AST、TC、TG、FPG、IL-1β及TNF-α水平降低,SOD水平升高,肝细胞脂肪变减轻,NAS评分降低,肠黏膜紧密连接结构恢复,MLCK蛋白及mRNA表达水平降低,差异均有统计学意义(P值均<0.05)。此外,BLH组较Mod组CAT水平升高,MDA及IL-6水平下降,差异均有统计学意义(P值均<0.05)。与BLL组相比,BLH组大鼠血清MDA、IL-6、TNF-α水平降低,CAT水平升高,肠黏膜MLCK蛋白及mRNA表达水平降低,差异均有统计学意义(P值均<0.05)。肠道菌群示BLH组和BLL组厚壁菌门和拟杆菌门的相对丰度均较Mod组有所恢复,且BLH组厚壁菌门和拟杆菌门的相对丰度更接近Control组。  结论  地衣芽孢杆菌制剂可有效减轻NAFLD大鼠的肝脂肪变性,其作用机制可能与下调肠黏膜MLCK蛋白的表达水平、改善肠黏膜紧密连接结构有关。
肝纤维化及肝硬化
富马酸丙酚替诺福韦治疗首次失代偿期乙型肝炎肝硬化患者的效果和安全性分析
荣欣欣, 徐缘媛, 杨广德, 王霞, 傅涓涓, 李丽, 潘修成
2024, 40(10): 2008-2013. DOI: 10.12449/JCH241013
摘要(2629) HTML (377) PDF (736KB)(173)
摘要:
  目的  探讨富马酸丙酚替诺福韦(TAF)在首次失代偿期乙型肝炎肝硬化患者中的应用价值,明确其对肾功能和脂代谢的影响。  方法  选取2020年1月1日—2022年12月31日在徐州医科大学附属医院接受TAF抗病毒治疗的首次失代偿期乙型肝炎肝硬化住院患者57例,所有患者接受TAF抗病毒治疗。收集患者基线、治疗12、24和48周时病毒学、血清学、肝功能、肾功能、血清磷及血脂等指标。符合正态分布的计量资料组间比较采用配对t检验或单组重复测量方差分析,符合偏态分布的计量资料组间比较采用Friedman检验;计数资料采用χ2检验或Fisher确切概率法。  结果  共52例患者完成了48周随访。治疗12、24、48周后,实现HBV DNA阴转的比例分别为38.5%、63.5%、84.6%,ALT复常率分别为71.2%、82.7%、82.7%,Child-Pugh A级患者占比分别升至55.8%、73.1%、92.3%。治疗48周内,胱抑素-C(χ2=35.163, P<0.001)、血清磷水平(F=8.600,P<0.001)显著升高。血脂分析中LDL-C水平显著升高(χ2=10.064,P=0.018),TC/HDL-C比值从基线3.61(2.61~5.84)持续下降至3.27(2.70~4.36)(χ2=5.000, P=0.172)。  结论  TAF可以快速抑制失代偿期乙型肝炎肝硬化患者HBV复制和显著改善肝功能,对肾功能无明显影响,但需密切监测血脂水平。
肝脏肿瘤
异常凝血酶原对肝细胞癌的诊断效能及其与肿瘤临床特征的相关性分析
刘智, 杜晓宏, 柴文刚
2024, 40(10): 2014-2018. DOI: 10.12449/JCH241014
摘要(1207) HTML (770) PDF (917KB)(124)
摘要:
  目的  评估异常凝血酶原(DCP)在肝细胞癌(HCC)临床应用中的价值。  方法  回顾性分析2020年1月—2021年7月吉林大学第一医院收治的179例HCC患者的临床资料,另纳入207例健康对照者。应用磁微粒化学发光免疫分析法测定AFP及DCP血清学水平。绘制单独及联合检测时的受试者工作特征曲线(ROC曲线),并计算曲线下面积(AUC),探究联合应用DCP及AFP相较于单独检测AFP对HCC的临床诊断价值,以及DCP对AFP阴性患者的诊断效能。不符合正态分布的计量资料组间比较采用Mann-Whitney U检验。通过ROC曲线分析评估诊断效率。通过Spearman相关性分析明确肿瘤标志物与HCC病理学特征的相关性。  结果  HCC患者血清AFP和DCP水平较正常患者显著升高(Z值分别为-9.562、-11.678,P值均<0.05),DCP和AFP的联合检测优于AFP单独检测(Z=5.309,P<0.01)。DCP存在对AFP阴性HCC患者的诊断能力(AUC=0.789,P<0.000 1),敏感度和特异度分别为61.64%和86.47%。血清DCP水平与肿瘤大小(r=0.546,P<0.001)、TNM分期(r=0.306,P<0.001)、微血管侵犯(r=0.358,P<0.001)呈正相关,与肿瘤分化程度呈负相关(r=-0.220,P<0.05)。  结论  AFP、DCP的联合检测可提高HCC检出率且DCP可用于AFP阴性HCC患者的补充筛查;DCP的表达水平与HCC临床病理特征(包括肿瘤大小、TNM分期、微血管侵犯、肿瘤分化程度)之间存在相关性。
850例单中心肝细胞癌患者的临床特征与预后分析
任朦, 杨益, 李紫明, 张仁谦, 施雨峰, 陶军秀
2024, 40(10): 2019-2026. DOI: 10.12449/JCH241015
摘要(1320) HTML (942) PDF (1142KB)(102)
摘要:
  目的  探讨肝细胞癌(HCC)的临床特征及其预后。  方法  收集2014年12月—2022年5月湖北省中医院收治的850例HCC患者病历资料,分析其临床及预后特征。计数资料组间比较采用χ2检验,Kaplan-Meier计算生存时间和生存率,Log-rank检验比较基线特征的生存期差异。  结果  850例HCC患者,以男性为主(82.6%),首诊中位年龄58.0(49.0~66.0)岁,50~69岁年龄段占比最高(59.8%)。HBV感染占比最高(77.4%),首诊74.2%患者合并肝硬化,49.2%有门静脉癌栓,20.2%肝外转移,以肺部转移占比最高(44.2%,76/172)。巴塞罗那分期(BCLC)A(0)、B、C、D期分别为20.4%、22.5%、41.5%、15.6%。患者性别(χ2=16.631,P=0.001)、年龄段(χ2=24.261,P=0.019)、居住地(χ2=39.776,P<0.001)、是否有病毒性肝炎(χ2=8.338,P=0.040)、首诊前是否规律抗病毒(χ2=26.140,P<0.001)的BCLC分期总体分布差异均有统计学意义。随访到489例患者的生存时间,总体中位生存时间19.99个月(95%CI:14.86~25.12),1、3、5、10年总体累积生存率分别为60.7%、39.9%、29.4%、22.7%。不同年龄段(χ2=13.452,P=0.009)、病毒性肝炎病史(χ2=6.123,P=0.013)、首诊前是否规律抗病毒(χ2=15.505,P<0.001)、合并2型糖尿病(χ2=9.820,P=0.002)、肿瘤个数(χ2=57.713,P<0.001)、肿瘤最大直径(χ2=41.862,P<0.001)、门静脉癌栓(χ2=293.909,P<0.001)、首诊肝外转移(χ2=118.329,P<0.001)、BCLC分期(χ2=465.638,P<0.001)、手术切除(χ2=78.860,P<0.001)、局部治疗(χ2=36.216,P<0.001)、免疫检查点抑制剂和/或抗肿瘤血管生成治疗(χ2=7.182,P=0.007)、中药汤剂治疗(χ2=30.050,P<0.001)、不同综合治疗方案(χ2=13.221,P=0.004)的生存时间有差异。259例(30.5%)患者记录了无进展生存期,无进展中位生存时间为10.98个月(95%CI:8.54~13.42)。  结论  HCC患者在性别、年龄、居住地、是否有病毒性肝炎、首诊前规律抗病毒、肿瘤特征、治疗方式、预后均存在流行病学特征,早期发现率低、总体生存时间短,急需开展早筛、早诊、早治工作。
经颈静脉肝内门体分流术治疗肝细胞癌合并食管胃底静脉曲张破裂出血的效果分析
高翔, 张晓丰, 曹伊敏, 陈金军, 罗小琴
2024, 40(10): 2027-2033. DOI: 10.12449/JCH241016
摘要(1074) HTML (311) PDF (1038KB)(67)
摘要:
  目的  评估经颈静脉肝内门体分流术(TIPS)预防肝细胞癌(HCC)合并食管胃底静脉曲张破裂出血患者发生再出血的疗效,并探索影响预后的因素。  方法  回顾性分析2019年7月—2023年4月南方医科大学南方医院增城院区收治的HCC合并食管胃底静脉曲张破裂出血并接受TIPS治疗的35例患者的临床资料。Kaplan-Meier曲线评估TIPS术后再出血率及生存率。Cox回归模型分析患者术后再出血及生存的影响因素。  结果  所有患者TIPS手术均在技术上成功。中位随访时间16.4个月。随访期间11例(31.4%)患者发生食管胃底静脉曲张再出血,1个月、3个月和1年再出血率分别为5.7%、17.1%和28.6%。TIPS术后再出血的独立预测因子为WBC[风险比(HR)=1.31,95%CI:1.04~1.64,P=0.021]、肿瘤数目≥3个(HR=35.68,95%CI:1.74~733.79,P=0.021)和术前门静脉压力梯度(HR=0.85,95%CI:0.73~0.99,P=0.032)。术后发生分流道失功5例。随访期间,共有19例患者死亡,中位生存期为9.6个月;TIPS术后生存的独立预测因子为门静脉癌栓(PVTT)(HR=7.04,95%CI:1.31~37.78,P=0.023)、血清TBil(HR=1.02,95%CI:1.00~1.03,P=0.042)和血清Alb水平(HR=0.82,95%CI:0.72~0.94,P=0.004)。  结论  TIPS可作为预防HCC患者食管胃底静脉曲张再出血的治疗选择;在WBC、TBil较高或伴有PVTT患者中,患者预后较差,应谨慎决定是否进行TIPS治疗。
卡瑞利珠单抗联合分子靶向药物治疗老年晚期肝细胞癌患者的效果和安全性分析
成龙, 张悦, 刘毓屾, 杜肇清, 郭朝阳, 樊扬威, 李婷, 高旭, 谢恩睿, 邢梓轩, 武文华, 吴胤瑛, 杨明博, 李婕, 张煜, 康文, 王文俊, 纪泛扑, 郭江, 高宁
2024, 40(10): 2034-2041. DOI: 10.12449/JCH241017
摘要(1071) HTML (300) PDF (1217KB)(73)
摘要:
  目的  探究老年不可切除/晚期肝细胞癌(HCC)患者使用卡瑞利珠单抗联合分子靶向药物的效果并评估使用过程中的安全情况。  方法  回顾性纳入了2019年1月1日—2021年3月31日就诊于6家医院的不可切除/晚期HCC患者,所有患者接受卡瑞利珠单抗治疗,84.8%的患者同时联合了靶向治疗,根据患者年龄分为老年组(≥65岁)及非老年组(<65岁),评估两组患者总生存期(OS)、无进展生存期(PFS)、客观缓解率(ORR)、疾病控制率(DCR)和免疫相关不良反应(irAE)发生情况。计数资料两组间比较采用χ2检验或Fisher确切检验,符合正态分布的计量资料两组间比较采用成组t检验,非正态分布的计量资料两组间比较采用Mann-Whitney U检验。生存分析采用Kaplan-Meier法,生存曲线差异比较采用Log-rank检验。采用单因素和多因素Cox比例风险回归分析确定6个月PFS和DCR的独立影响因素。  结果  共纳入99例患者,其中老年组27例,非老年组72例。老年组12个月总生存率、ORR和DCR分别为67.8%、44.4%和74.1%,中位PFS为6.4(3.0~12.4)个月,与非老年组患者比较差异均无统计学意义(P值均>0.05)。老年组的中位OS尚未达到,非老年组中位OS为18.9(13.0~24.8)个月,两组比较差异无统计学意义(P=0.485)。单因素及多因素Cox回归分析显示,基线大血管浸润(MVI)是6个月PFS(HR=2.603,95%CI:1.136~5.964,P=0.024)和DCR(HR=3.963,95%CI:1.671~9.397,P=0.002)的独立危险因素,而年龄、性别、HBV感染病因、出现肝外转移、Child-Pugh B级和AFP>400 ng/mL与6个月PFS和DCR无关。老年组患者中任何级别的irAE和3/4级irAE发生率分别为51.9%和25.9%,与非老年组患者比较差异均无统计学意义(P值均>0.05);两组最常见的irAE为皮肤疾病(39.4%)。  结论  卡瑞利珠单抗联合分子靶向药物治疗≥65岁不可切除/晚期HCC患者的效果和安全性与<65岁患者相当。MVI与免疫治疗应答不佳和不良预后相关。
血浆胆汁酸在肝肿瘤中的差异分析及应用价值
贾茹, 张平平, 袁苑, 胡义扬, 冯琴
2024, 40(10): 2042-2048. DOI: 10.12449/JCH241018
摘要(1423) HTML (511) PDF (1078KB)(80)
摘要:
  目的  分析原发性肝癌与转移性肝癌患者血浆胆汁酸水平及其与临床指标的相关性,并评估其联合AFP对于原发性肝癌的诊断价值。  方法  纳入2020年8月—2021年9月于上海中医药大学附属曙光医院就诊且具有组织病理学及影像学明确的75例原发性肝癌患者及79例转移性肝癌患者,采集外周血并分别分离血清及血浆,比色法及色谱法检测生化指标,电化学发光免疫分析法检测肿瘤标志物水平,高效液相色谱-串联质谱法检测胆汁酸含量。符合正态分布的计量资料两组间比较采用成组t检验,不符合正态分布的计量资料两组间比较采用Mann-Whitney U检验。相关性检验采用Spearman相关分析。临床诊断效能采用受试者工作特征曲线(ROC曲线)评估。  结果  原发性肝癌组患者TC、TG、LDL-C及载脂蛋白(Apo)B显著低于转移性肝癌组患者,差异均具有统计学意义(U值分别为1 598、1 255、909、889,P值均<0.05)。原发性肝癌组患者AFP显著高于转移性肝癌组患者,癌胚抗原(CEA)显著低于转移性肝癌组患者,差异均具有统计学意义(U值分别为1 873、926,P值均<0.05)。原发性肝癌组患者总胆汁酸(TBA)、胆酸(CA)、鹅脱氧胆酸(CDCA)、熊脱氧胆酸(UDCA)、牛磺胆酸(TCA)、牛磺鹅脱氧胆酸(TCDCA)、甘氨胆酸(GCA)、甘氨鹅脱氧胆酸(GCDCA)、牛磺熊脱氧胆酸(TUDCA)、甘氨熊脱氧胆酸(GUDCA)均显著高于转移性肝癌患者,脱氧胆酸(DCA)显著低于转移性肝癌患者,差异均具有统计学意义(P值均<0.05)。总人群中TBA、CDCA、GCA、GCDCA、GUDCA、TCA、TCDCA及TUDCA含量与AFP水平呈显著正相关(P值均<0.05)。原发性肝癌患者中GCA、TCA、TCDCA及TUDCA含量与AFP水平呈显著正相关(P值均<0.05)。AFP+TCA+GCA+TCDCA联合检测的AUC为0.822(95%CI:0.746~0.898,P<0.000 1),效能最高。  结论  原发性肝癌与转移性肝癌患者血浆胆汁酸含量具有显著差异,差异性胆汁酸与肝损伤及AFP升高密切相关,联合AFP对原发性肝癌具有更优的临床诊断价值。
基于mTOR/HIF-1α/VEGF信号通路探讨抗纤抑癌方对肝癌前病变大鼠模型的调控作用
李志国, 马浔, 叶永安, 杨先照
2024, 40(10): 2049-2054. DOI: 10.12449/JCH241019
摘要(1151) HTML (410) PDF (1845KB)(62)
摘要:
  目的  研究抗纤抑癌方对肝癌前病变大鼠模型mTOR/HIF-1α/VEGF信号通路的影响。  方法  40只雄性Wistar大鼠,分为正常组、模型组、抗纤抑癌组和鳖甲软肝组,每组各10只。正常组大鼠腹腔注射生理盐水,剂量为0.4 mL/100 g,其他3组大鼠以50 mg/kg剂量腹腔注射二乙基亚硝胺,制备肝癌前病变大鼠模型。通过免疫组化和Western Blot法检测GST-Pi的表达,实时荧光定量PCR和Western Blot法检测mTOR、HIF-1α、VEGF、M2型丙酮酸激酶(PKM2)、葡萄糖载体蛋白1(GLUT-1) mRNA及蛋白的表达。计量资料多组间比较采用单因素方差分析或Kruskal-Wallis H秩和检验,进一步两两比较采用LSD-t检验。  结果  与正常组比较,模型组大鼠肝组织GST-Pi蛋白表达显著升高(P<0.01);与模型组比较,抗纤抑癌组GST-Pi蛋白表达水平显著降低(P<0.05)。与正常组比较,模型组大鼠肝组织GLUT1及PKM2 mRNA的表达均显著升高(P值均<0.01);与模型组比较,鳖甲软肝组及抗纤抑癌组GLUT1 mRNA的表达均显著降低(P值均<0.05)。与正常组比较,模型组大鼠肝组织GLUT1及PKM2的蛋白表达均显著升高(P值均<0.01)。与正常组比较,模型组大鼠肝组织mTOR、HIF-1α及VEGF的mRNA表达均显著升高(P值均<0.01);与模型组比较,鳖甲软肝组mTOR及VEGF的mRNA的表达均显著降低(P值均<0.05),抗纤抑癌组mTOR及VEGF mRNA的表达亦显著降低(P值均<0.01)。与正常组比较,模型组大鼠肝组织mTOR、HIF-1α、VEGF的蛋白表达均显著升高(P值均<0.01);与模型组相比,鳖甲软肝组只有mTOR的蛋白表达显著降低(P<0.01),抗纤抑癌组mTOR、HIF-1α、VEGF的蛋白表达均显著降低(P值均<0.05);与鳖甲软肝组相比,抗纤抑癌组mTOR的蛋白表达较高(P<0.01)。  结论  抗纤抑癌方可通过调控mTOR/HIF-1α/VEGF信号抑制肝癌前病变。
其他肝病
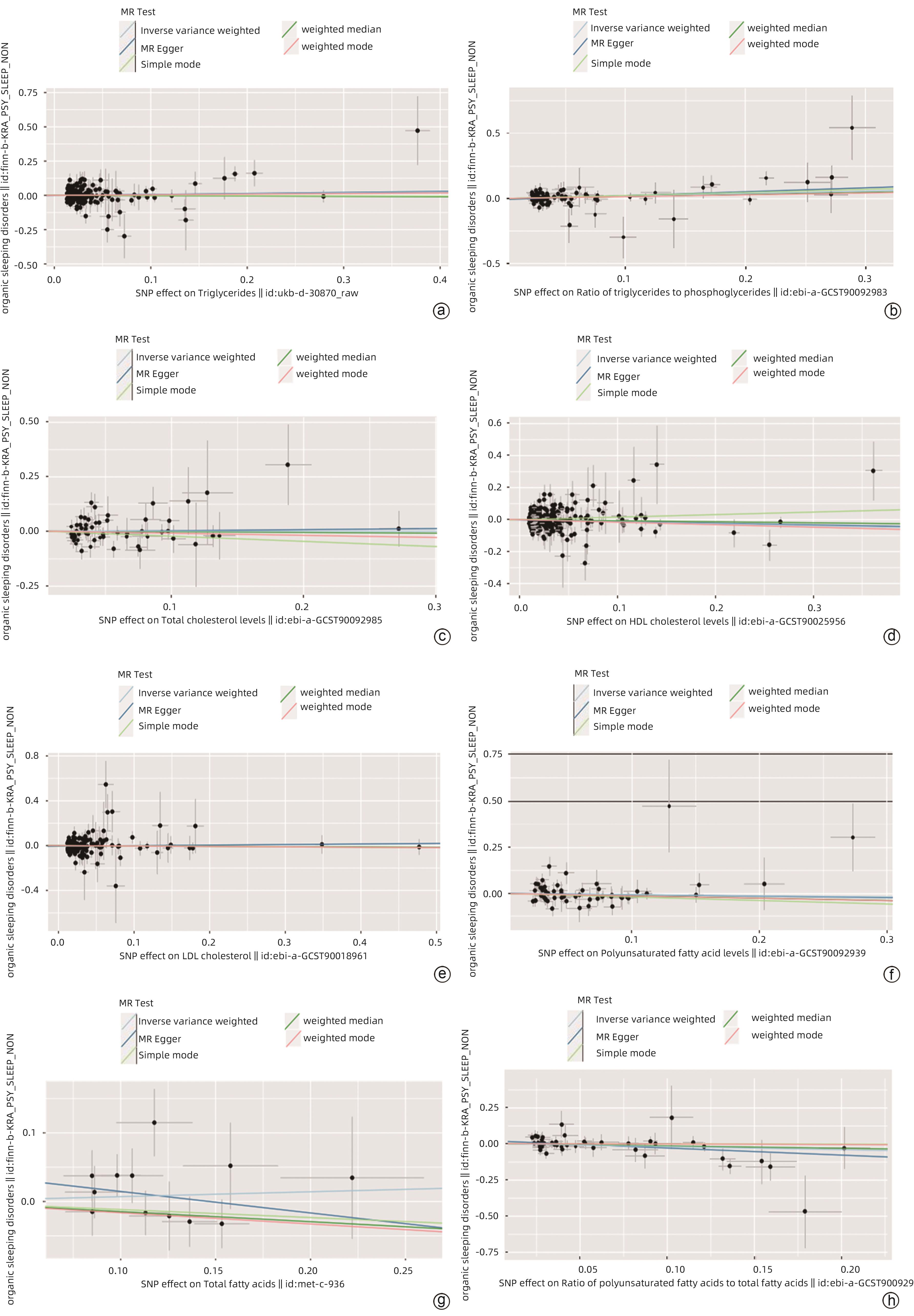
基于孟德尔随机化的肝功能和脂质代谢水平与睡眠障碍的因果关联分析
何威, 朱述可, 李春雨, 杜雪, 李佳芮
2024, 40(10): 2055-2061. DOI: 10.12449/JCH241020
摘要(1080) HTML (411) PDF (2416KB)(79)
摘要:
  目的  采用孟德尔随机化分析肝功能和脂质代谢水平与睡眠障碍的因果关联。  方法  对GWAS进行分析,暴露因素为肝功能和脂质代谢水平[ALT、AST、GGT、Alb、血清总蛋白(TP)、TBil、ALP、TG、TG与磷酸甘油酯的比例(TG/G3P)、TC、HDL-C、LDL-C、多不饱和脂肪酸(PUFA)、总脂肪酸(TFA)、PUFA/TFA],结局因素为睡眠障碍(非器质性)。采用逆方差加权法(IVW)、MR-Egger法、Simple Mode法、加权中位数法和Weighted Mode法等回归模型进行孟德尔随机化分析。  结果  血清Alb(OR=0.728,95%CI:0.535~0.989,P<0.05),HDL-C(OR=0.879,95%CI:0.784~0.986,P<0.05)和PUFA/TFA(OR=0.800,95%CI:0.642~0.998,P<0.05)与睡眠障碍呈负相关。TG/G3P(OR=1.222,95%CI:1.044~1.431,P<0.05)与睡眠障碍呈正相关。孟德尔随机化结果未显示ALT、AST、GGT、TP、TBil、ALP、TG、TC、LDL-C、PUFA、TFA与睡眠障碍有因果关系(P值均>0.05)。ME-Egger截距测试结果表明分析结果不存在多效性(P>0.05),孟德尔随机化在本研究中为因果推断的有效方法。  结论  根据孟德尔随机化分析结果,肝功能和脂质代谢水平与睡眠障碍之间存在显著关联。在预测睡眠障碍的发生风险以及干预方面,可以考虑利用肝功能和脂质代谢水平作为睡眠障碍发生风险以及干预的指标。
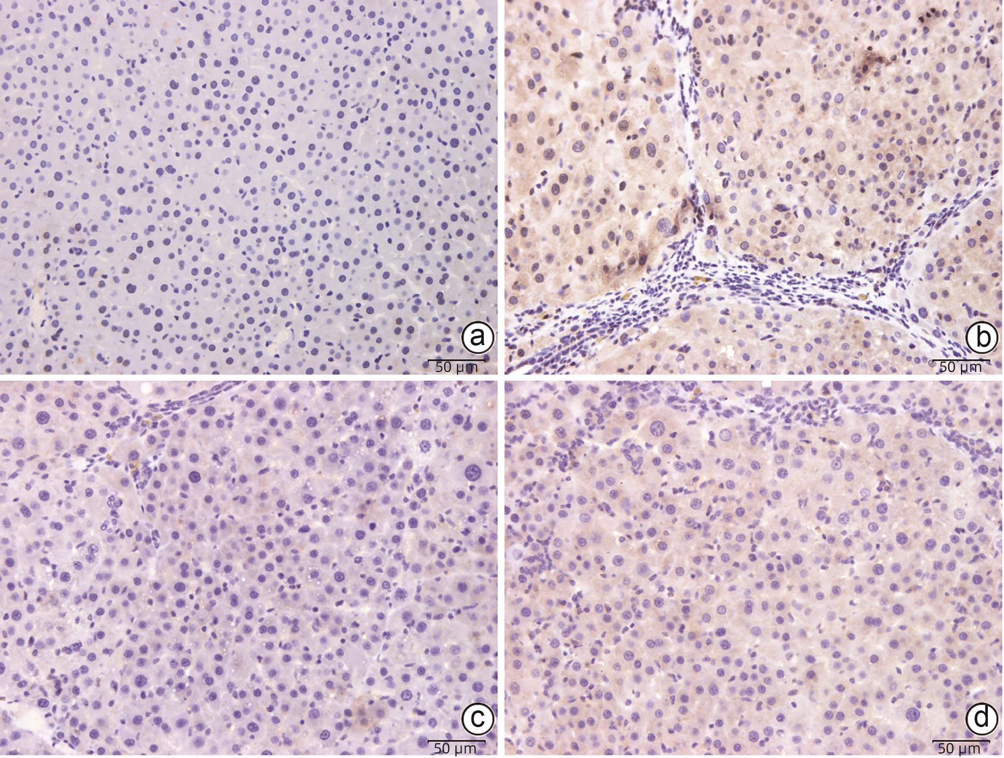
叶酸对邻苯二甲酸二(2-乙基己基)酯(DEHP)暴露导致小鼠胆汁淤积型肝损伤的保护作用
侯梦贞, 余芸, 黄倩倩, 张伦, 陶文康, 蒋月, 王建青
2024, 40(10): 2062-2069. DOI: 10.12449/JCH241021
摘要(831) HTML (483) PDF (3319KB)(77)
摘要:
  目的  探讨叶酸对邻苯二甲酸二(2-乙基己基)酯(DEHP)暴露诱发小鼠胆汁淤积型肝损伤的保护作用及其机制。  方法  将ICR小鼠随机分为对照(Control)组、叶酸高剂量(H-FA)组、DEHP组、DEHP+叶酸低剂量(DEHP+L-FA)组、DEHP+叶酸高剂量(DEHP+H-FA)组,每组6只。H-FA组、DEHP+L-FA组和DEHP+H-FA组给予相应剂量的叶酸灌胃,Control组和DEHP组灌胃等量的PBS溶液。2 h后,DEHP组、DEHP+L-FA组和DEHP+H-FA组给予含200 mg/kg DEHP的玉米油,Control组和H-FA组灌胃等量的纯玉米油,共灌胃4周。记录小鼠每天的体质量和摄食量,收集血液和肝组织。生化仪检测血清总胆汁酸(TBA)和碱性磷酸酶(ALP)水平;HE染色观察肝组织病理变化;试剂盒检测肝组织丙二醛(MDA)和超氧化物歧化酶(SOD)含量;LC-MS/MS检测小鼠血清胆汁酸谱;Western Blot法检测肝脏胆汁酸代谢相关蛋白的表达水平。计量资料多组间比较采用单因素方差分析,进一步两两比较采用LSD-t检验。  结果  与对照组相比,DEHP组小鼠每日摄食量明显下降,体质量从第10天开始显著降低(P值均<0.05);与DEHP组相比,DEHP+L-FA组与DEHP+H-FA组小鼠的体质量和摄食量基本不变(P值均>0.05)。与对照组相比,DEHP组小鼠肝质量指数、血清TBA及ALP均显著升高(P值均<0.05),肝组织可见汇管区扩大,胆管变形增生及少量炎性细胞浸润;与DEHP组相比,DEHP+L-FA组与DEHP+H-FA组小鼠肝质量指数均明显下降(P值均<0.01),DEHP+H-FA组的血清TBA和ALP均显著下降(P值均<0.05),叶酸干预后小鼠肝组织形态结构明显改善。与对照组相比,DEHP组小鼠肝脏SOD含量明显下降(P<0.05),肝脏MDA含量明显增加(P<0.01);与DEHP组相比,MDA和SOD含量在DEHP+H-FA组均显著回调(P值均<0.05)。与对照组相比,DEHP组小鼠血清中α-鼠胆酸(α-MCA)、β-鼠胆酸(β-MCA)、去氧胆酸(DCA)、石胆酸(LCA)、牛磺胆酸(TCA)、牛磺去氧胆酸(TDCA)、牛磺熊去氧胆酸(TUDCA)、牛磺-β-鼠胆酸(T-β-MCA)、牛磺-α-鼠胆酸(T-α-MCA)、牛磺猪去氧胆酸(THDCA)、牛磺石胆酸(TLCA)均明显升高(P值均<0.05),熊去氧胆酸(UDCA)明显降低(P<0.05);与DEHP组相比,血清中DCA、LCA、TCA、TDCA、TUDCA、T-β-MCA、T-α-MCA、THDCA、TLCA在DEHP+H-FA组均明显回调(P值均<0.05)。与对照组相比,DEHP组小鼠肝脏FXR和CYP3A11蛋白表达量均明显增加(P值均<0.01),CYP7A1和MRP2蛋白表达量显著降低(P值均<0.01);与DEHP组相比,肝脏FXR和CYP3A11蛋白表达量在DEHP+L-FA组和DEHP+H-FA组中均明显下调(P值均<0.05);MRP2蛋白表达量在DEHP+L-FA组DEHP+H-FA组中均显著上调(P值均<0.05);CYP7A1蛋白表达量在DEHP+H-FA组中显著上调(P<0.05)。  结论  叶酸对DEHP暴露导致的小鼠胆汁淤积型肝损伤有保护作用,其机制可能是调节胆汁酸合成、代谢与转运从而维持胆汁酸稳态。
胆道疾病
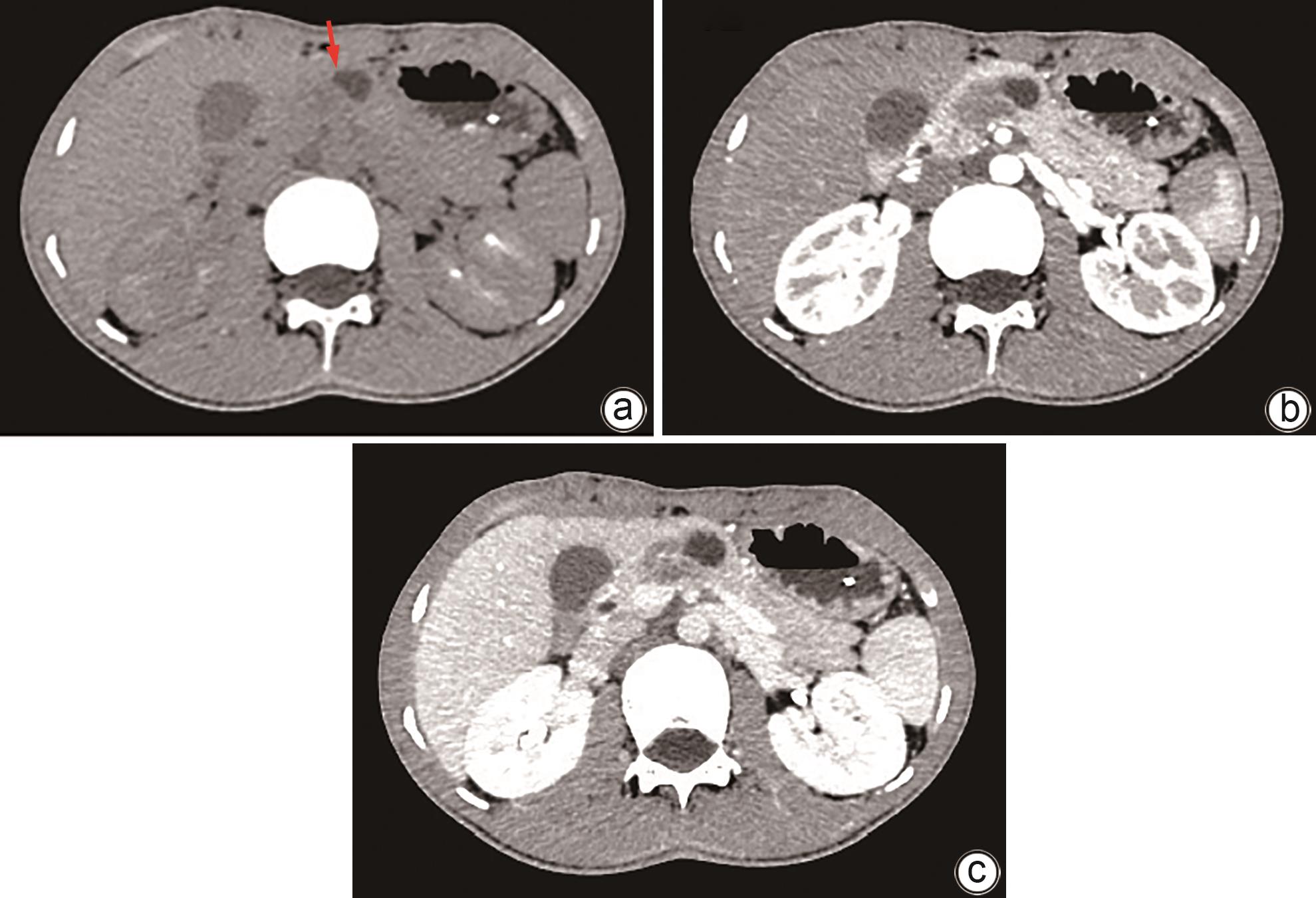
致命性医源性胆道出血的影像学特征和治疗对策
王晨, 王敏, 张科, 张金星, 刘莉, 范志宁
2024, 40(10): 2070-2074. DOI: 10.12449/JCH241022
摘要(987) HTML (349) PDF (2026KB)(76)
摘要:
  目的  分析致命性医源性胆道出血(LIH)的影像学特征和发病机制,评价经动脉腔内治疗LIH的价值。  方法  收集2009年8月—2023年7月南京医科大学第一附属医院收治的上消化道出血住院患者269例,对其中确诊为LIH并得到治疗的24例患者的临床资料进行回顾性分析,包括LIH的医源性原因、血管造影结果和动脉腔内治疗方法。23例患者使用明胶海绵颗粒和弹簧圈进行动脉栓塞(TAE),1例患者使用覆膜支架进行隔离。评估疗效的主要标准是手术技术成功率、相关并发症和长期疗效的临床随访。  结果  12例LIH是由介入手术引起,12例是由肝胆胰外科手术所致。主要表现为显著的血压或持续血红蛋白下降(n=13)和上消化道出血(n=18)。2例患者在手术期间即出现症状,4例患者在24 h内出现症状,18例患者在24 h后出现症状。血管造影术显示出血阳性率为100%(24/24)。表现为假性动脉瘤(n=15)、肝动脉截断(n=3)、造影剂外渗(n=5)、肝动脉胆道瘘(n=3)。23例患者行TAE,1例患者行支架置入术。23例患者成功止血,技术成功率为95.8%(23/24)。4例TAE术后出现肝坏死和脓肿。治疗止血后无再出血复发。  结论  多种肝内外医源性损伤均可引起致命性胆道出血且临床及影像学表现多样。综合影像诊断联合动脉腔内治疗是LIH最佳的有效救命措施。
病例报告
BCHE基因复合杂合突变引起胆碱酯酶极度降低1例报告
吕飒, 朱冰, 徐天娇, 游绍莉
2024, 40(10): 2075-2078. DOI: 10.12449/JCH241023
摘要(1402) HTML (338) PDF (1397KB)(78)
摘要:
血清胆碱酯酶(ChE)水平对于肝脏疾病、中毒性疾病等多种疾病的诊断、预后判断有重要意义,丁酰胆碱酯酶是其中重要的组成成分。BCHE基因突变可引起丁酰胆碱酯酶水平明显下降,在欧美人群报道较多,但在东方尤其中国报道较少。本研究描述了1例35岁男性因ChE水平极度降低被误诊为有机磷农药中毒并给予解毒治疗,但经过多项生化检查排除,最终通过基因全外显子测序及Sanger测序,确认为BCHE基因2号外显子存在c.1027dup和c.401dup两处复合杂合突变,所致的遗传性丁酰胆碱酯酶缺乏症是其外周血ChE水平极度降低的原因。
胰腺错构瘤1例报告
冯泉凯, 李捷
2024, 40(10): 2079-2081. DOI: 10.12449/JCH241024
摘要(905) HTML (251) PDF (1146KB)(201)
摘要:
胰腺错构瘤是一种罕见的胰腺良性病变,缺乏典型的临床症状和影像学特征,术前难以诊断。常由于无法排除恶性肿瘤的风险而行外科手术治疗,从而造成正常胰腺组织的损伤。此外,胰腺错构瘤中出现胃黏膜组织尚未有报道,本文同时回顾了国内外有关胰腺错构瘤的文献,总结其临床表现及影像学特点,有助于术前诊断。
综述
非酒精性脂肪性肝病的治疗模式和潜在疗法
李凤, 李茂微, 王雨杉
2024, 40(10): 2082-2086. DOI: 10.12449/JCH241025
摘要(1213) HTML (758) PDF (723KB)(142)
摘要:
近年来,非酒精性脂肪性肝炎(NASH)在流行病学、发病机理和确定治疗靶点等方面取得了稳步进展,但在治疗药物开发领域却进展缓慢。本文综述了生活方式干预、手术方法、肠道微生物群和药物治疗在治疗NASH方面的进展,重点关注胰岛素增敏剂、抗氧化剂、降胆固醇药物、甲状腺激素类似物、肠促胰岛素和细胞因子等药物对治疗NASH的作用,以期为未来治疗NASH提供更多的方法和选择。
CD8+T淋巴细胞在非酒精性脂肪性肝炎中的作用
赵一鸣, 李开楊, 杨梅, 赵琦
2024, 40(10): 2087-2091. DOI: 10.12449/JCH241026
摘要(905) HTML (291) PDF (842KB)(74)
摘要:
非酒精性脂肪性肝炎(NASH)是一种与代谢综合征密切相关的肝脏疾病,其发病机制包括胰岛素抵抗、脂质代谢紊乱、炎症反应等方面。本文简述了CD8+T淋巴细胞通过Fas-Fas配体(FasL)信号通路、释放穿孔素和颗粒酶以及分泌肿瘤坏死因子(TNF)α等细胞因子三种途径发挥细胞毒性作用特异性杀伤病毒及肿瘤靶细胞参与免疫调节;同时总结了CD8+T淋巴细胞促进巨噬细胞招募且与自然杀伤T淋巴细胞协同参与脂肪组织炎症发展,并通过自身攻击及表观遗传学机制导致肝损伤,促进NASH发病。由此得知CD8+T淋巴细胞可能成为NASH新的治疗靶点,未来继续深入研究CD8+T淋巴细胞在NASH中影响发病进程的具体机制有利于进一步指导临床治疗。
NLRP3炎症小体在自身免疫性肝炎中的作用机制
王丽菲, 罗龙龙, 邢国静, 卢利霞, 李斌, 张久聪, 于晓辉
2024, 40(10): 2092-2097. DOI: 10.12449/JCH241027
摘要(928) HTML (553) PDF (1474KB)(89)
摘要:
自身免疫性肝炎(AIH)是由自身免疫系统攻击肝细胞所致的慢性肝炎,目前关于AIH的发病机制尚不十分明确。炎症小体是先天免疫的重要组成部分,参与多种病理生理学过程。研究表明核苷酸结合寡聚化结构域样受体蛋白3(NLRP3)炎性小体相关的炎性反应在AIH的发病机制中起重要作用,其主要介导促炎因子的释放和细胞焦亡,进而参与AIH的病理生理过程。因此,可以通过抑制NLRP3炎性小体的激活来延缓AIH发生发展,从而为AIH的防治提供新思路。
肝细胞癌术后早期复发的高危因素及预测方法
鲁叶, 韩少山, 刘青光
2024, 40(10): 2098-2103. DOI: 10.12449/JCH241028
摘要(1580) HTML (839) PDF (663KB)(192)
摘要:
肝细胞癌(HCC)是一种发病率、病死率较高的恶性肿瘤,尽管手术切除是可能治愈的方法,其预后依旧受到高复发率的影响。早期复发(术后2年内)被定义为真正的复发,通常由原发肿瘤肝内扩散引起。HCC早期复发的预后较晚期复发差。因此,充分了解早期复发的高危因素及预测方法对术前治疗方案的选择、术后随访及预后预测至关重要。本文旨在对HCC术后早期复发高危因素及预测方法进行综述。
他汀类药物在慢性肝病中的作用
杨希坤, 李晖, 曾子键, 吴旋, 王凯鑫
2024, 40(10): 2104-2108. DOI: 10.12449/JCH241029
摘要(1311) HTML (352) PDF (649KB)(155)
摘要:
慢性肝病是肝脏由炎症、纤维化,向肝硬化、肝癌进展的“魔鬼三部曲”,是全球肝病科医生面临的巨大挑战。他汀类药物自问世以来,在心血管疾病和高脂血症治疗中发挥了巨大作用,近年来其同样显示出在慢性肝病中具有改善肝脂肪变性、抗炎、调节肝星状细胞表型、降低门静脉压力、改善肝脏微循环等关键环节的重要潜力。本文综述了他汀类药物在慢性肝病基础和临床研究中的最新进展,为慢性肝病的研究和防治提供新的见解。
高脂血症性急性胰腺炎反复发作的病因及防治策略
奇丽娜, 陈平
2024, 40(10): 2109-2115. DOI: 10.12449/JCH241030
摘要(2030) HTML (677) PDF (768KB)(121)
摘要:
高脂血症性急性胰腺炎(HLAP)发病率逐年上升,具有年轻化、病情重、易复发和预后差等特点。复发性HLAP已成为临床亟须解决的难题。本文重点总结了HLAP复发的危险因素以及相应的防治策略。HLAP反复发作的危险因素主要有血脂异常、糖代谢异常、肥胖、吸烟和饮酒等。除了急性期的早期治疗,HLAP还需要长期管理,包括有效地控制血糖和血脂,调节饮食,戒烟限酒。对于不明原因反复发作的HLAP患者,基因检测及基因治疗另辟蹊径,将为此类患者提供新的诊疗策略。
胆道结石与胆源性胰腺炎的关系
李玮佳, 李振方, 张倩, 李聪, 王凤娇, 赵琦
2024, 40(10): 2116-2120. DOI: 10.12449/JCH241031
摘要(1041) HTML (773) PDF (996KB)(138)
摘要:
急性胰腺炎是临床上最常见的急腹症之一,胆道疾病、酒精、胰管疾病、代谢障碍如高甘油三酯血症和高钙血症、过度进食、十二指肠降段疾病如十二指肠乳头旁憩室等是急性胰腺炎的常见病因。根据病因将急性胰腺炎分为胆源性胰腺炎、高脂血症性胰腺炎等。胆源性胰腺炎的致病因素很多,在全球范围内,胆道结石等胆系疾病仍是胆源性胰腺炎最主要的病因。各种病因导致的胆胰管排流不畅及压力异常、胆汁向胰管反流、胰液引流受阻、胰酶异常活化是导致胆源性胰腺炎发生的中心环节。胆道结石所在部位、结石大小、质地、数目、形状等与胆源性胰腺炎的发病率及严重程度一定的关系。
人工智能在胰腺癌诊治中的应用现状
马昱, 贾峰, 刘楷宇, 刘亚辉
2024, 40(10): 2121-2126. DOI: 10.12449/JCH241032
摘要(1568) HTML (819) PDF (728KB)(83)
摘要:
胰腺癌是消化系统常见的恶性肿瘤,早期诊断率低,手术病死率高,治愈率低,总体预后差。近年来,随着人工智能在医学领域的不断发展,机器学习、深度学习等人工智能技术被广泛应用于医学研究中。本文综述了近年来人工智能技术在胰腺癌筛查、诊断、治疗、并发症及预后预测等方面的应用,为人工智能在胰腺癌诊治中的应用提供依据和新思路。
孟德尔随机化在胰腺癌研究中的应用现状与展望
杜凯豪, 侯立朝, 罗兰明慧, 东小鸽, 蒋威, 王展
2024, 40(10): 2127-2136. DOI: 10.12449/JCH241033
摘要(1380) HTML (759) PDF (1051KB)(81)
摘要:
胰腺癌的发病隐匿性强,治疗困难,早期诊断和治疗存在诸多局限性。本文总结了孟德尔随机化(MR)在胰腺癌风险因素探索中的应用进展,特别分析了肠道微生态、生活方式、代谢性疾病等因素的因果关系。通过大规模基因组关联研究(GWAS)数据,MR分析揭示了若干与胰腺癌风险相关的生物标志物。双样本MR是当前研究中的常用方法,包括逆方差加权法、加权中位数、MR-Egger法等,有助于从遗传角度解释疾病的因果网络。尽管MR策略可以为理解胰腺癌的病因学提供新视角,但其在数据合成、工具变量选择及多效性评估方面仍需谨慎。新兴分析模型如贝叶斯加权MR(BWMR)、CAUSE和多变量MR(MVMR)等,为综合评估多重风险因素及其相互关系带来新的可能。未来,结合上述方法及累积增多的遗传流行病学资料,MR分析预期能够为发现胰腺癌的潜在治疗靶点和制订预防策略提供更为坚实的证据基础。
国外期刊精品文章简介
MedComm|基于Stroop-CN 模型检测肝硬化患者轻微肝性脑病:一项前瞻性多中心研究
2024, 40(10): 2018-2018. DOI: 10.12449/JCH2410.gwqkjpwzjj1
摘要(386) HTML (188) PDF (892KB)(36)
摘要:
Hepatology|瑞斯美替罗治疗代谢相关脂肪性肝炎与纤维化患者的一项52周双盲研究:健康相关生活质量评估
2024, 40(10): 2120-2120. DOI: 10.12449/JCH2410.gwqkjpwzjj2
摘要(490) HTML (529) PDF (890KB)(63)
摘要:
Journal of Hepatology|食品不安全与代谢功能障碍相关脂肪性肝病患病率和肝脏相关死亡率的关系
2024, 40(10): 2126-2126. DOI: 10.12449/JCH2410.gwqkjpwzjj3
摘要(363) HTML (390) PDF (900KB)(41)
摘要:
国内外会议动态
会议通知 | 2024年美国肝病学会年会
2024, 40(10): 2069-2069.
摘要(403) HTML (731) PDF (1314KB)(46)
摘要:
消息
《临床肝胆病杂志》综合评价总分在消化病学类核心期刊中连续6年排名第一
2024, 40(10): 1941-1941.
摘要(276) HTML (247) PDF (1319KB)(30)
摘要:
《临床肝胆病杂志》15篇论文获评“2024年度领跑者5000(F5000)——中国精品科技期刊顶尖学术论文”
2024, 40(10): 1984-1984.
摘要(227) HTML (172) PDF (887KB)(27)
摘要:
《临床肝胆病杂志》主编高沿航入选“2024年度吉林省高校科技期刊首届优秀主编案例”
2024, 40(10): 2007-2007.
摘要(306) HTML (175) PDF (893KB)(23)
摘要:
《临床肝胆病杂志》2025年征稿征订启事
2024, 40(10): 2033-2033.
摘要(238) HTML (184) PDF (903KB)(40)
摘要:
致谢
本期审稿专家
2024, 40(10): 2048-2048. DOI: 10.12449/JCH2410.zhixie
摘要(278) HTML (147)
摘要: