中文English
ISSN 1001-5256 (Print)
ISSN 2097-3497 (Online)
CN 22-1108/R

Vol.40 No.9 (287 in total) Sep. 2024
Theme Issue: Conversion Therapy of Hepatocellular Carcinoma
Executive Chief Editor: CAI Jianqiang  

National Cancer Center; National Clinical Research Center for Cancer; Department of Hepatobiliary

Surgery, Cancer Hospital of Chinese Academy of Medical Sciences and Peking Union Medical College

Display Method:
Editorial
The therapeutic paradigm of liver surgery in the era of conversion therapy
Xinyu BI, Jianqiang CAI
2024, 40(9): 1721-1724. DOI: 10.12449/JCH240901
Abstract(1449) HTML (2672) PDF (571KB)(148)
Abstract:
Surgical resection remains the best approach for achieving long-term survival in patients with hepatocellular carcinoma (HCC); however, due to the low early diagnosis rate of HCC patients in China, only 15%-20% of the patients are eligible for surgical resection at the time of initial diagnosis. Even for the patients undergoing surgery, the 5-year recurrence rate after surgery is as high as 50%-70%, resulting in an unsatisfactory prognosis. In recent years, the advances in systemic therapies, especially targeted therapy combined with immunotherapy, have not only extended the survival of patients with advanced liver cancer, but also promoted the application of systemic therapy in the earlier stages of HCC. On the one hand, the progress in systemic therapy has made conversion therapy a possible option for HCC, allowing a substantial number of patients with unresectable HCC at initial diagnosis to get the opportunity for surgical resection after downstaging and achieve a survival rate similar to those with resectable early-stage HCC at initial diagnosis; on the other hand, effective systemic therapy is being applied as neoadjuvant and adjuvant therapies for patients with resectable HCC, aiming to increase the R0 resection rate, reduce postoperative recurrence, and improve overall survival. Meanwhile, it should be clearly noted that although the advances in systemic therapy have significantly altered conventional surgical treatment paradigms, most clinical studies on conversion therapy, neoadjuvant therapy, and adjuvant therapy are small-scale phase II trials, with limited high-grade evidence from evidence-based medicine. It is important to select a reasonable therapeutic goal and develop an individualized treatment regimen based on the characteristics of tumor, and further explorations are needed to search for new biomarkers for predicting the efficacy of conversion therapy and perioperative treatment and identify the population with true benefits.
Expert Forum
Strategies and practice of conversion therapy for hepatocellular carcinoma
Chi MA, Guang TAN
2024, 40(9): 1725-1731. DOI: 10.12449/JCH240902
Abstract(1518) HTML (2501) PDF (683KB)(168)
Abstract:
Due to the insidious onset and poor prognosis of primary liver cancer, most patients are found to have unresectable primary liver cancer at initial diagnosis. In recent years, with the advent of targeted therapy, immunotherapy, and local therapy, some patients with advanced liver cancer have achieved successful conversion and undergone radical surgical resection, but at the same time, such treatment has brought many issues, such as the identification of potential population for conversion, the selection of conversion regimen, the necessity and timing of surgical resection after conversion, and the necessity and duration of adjuvant therapy after conversion surgery. This article discusses the above problems in conversion therapy for liver cancer based on the author’s own experience.
Value of local treatment combined with systemic therapy in conversion therapy for hepatocellular carcinoma
Chaofan ZHU, Xiaodong WANG
2024, 40(9): 1732-1737. DOI: 10.12449/JCH240903
Abstract(896) HTML (1886) PDF (664KB)(126)
Abstract:
Hepatocellular carcinoma (HCC) is one of the most common malignant tumors in clinical practice. Due to the lack of typical clinical manifestations in the early stage, most patients in China are in the advanced stage at the time of confirmed diagnosis and thus lose the opportunity for surgical resection, which leads to a poor prognosis. Therefore, it is necessary to explore related therapies for converting unresectable HCC into resectable HCC. In recent years, the improvement in local therapy such as transarterial interventional therapies and radiation therapy technology, together with the clinical application of new targeted therapies and immune checkpoint inhibitors, has brought new opportunities and challenges in the conversion therapy for advanced HCC, and local therapy combined with systemic therapy may have a good synergistic effect, improve the conversion rate of surgery. This article investigates the value of local therapy combined with systemic therapy in the conversion therapy for HCC, in order to provide a basis for the clinical treatment of unresectable HCC.
Challenges and reflections on conversion therapy for advanced hepatocellular carcinoma
Shichun LU
2024, 40(9): 1738-1740. DOI: 10.12449/JCH240904
Abstract(1407) HTML (1812) PDF (531KB)(126)
Abstract:
With the continuous emergence of biotherapy drugs in recent years, great progress has been made in the systemic therapy for advanced liver cancer. Immune checkpoint inhibitors combined with anti-angiogenic targeted drugs has become the first-line regimen recommended for the treatment of advanced liver cancer and has achieved clear oncology benefits and survival benefits. The regimens for immunotherapy combined with local treatment continue to emerge and have clearly improved objective response rate, and targeted and immune therapeutic regimens combined with sequential surgical treatment are reshaping the treatment pattern of advanced liver cancer and have finally improved radical surgical resection rate and long-term survival rate. Such changes in treatment guided by immunotherapy with or without targeted therapy have brought great challenges and thus require meticulous thoughts. With exploration of immune and targeted therapies combined with sequential surgical regimen as an example, there is a series of new problems and challenges before they are widely applied in routine diagnosis and treatment, including the selection of drug combination regimens, the evaluation of therapeutic efficacy, the treatment of toxic and side effects, surgical standards and timing, postoperative adjuvant treatment regimens, the validation of long-term survival benefits, and the selection of second-line treatment regimens for primary and secondary drug resistance. This article puts forward some suggestions and thoughts for several key aspects.
Hotspot·Perspective·Viewpoint
The way is simple: A brief natural history of chronic hepatitis B virus infection and disease progression
Xin LIU, Jia LI, Fengmin LU
2024, 40(9): 1741-1745. DOI: 10.12449/JCH240905
Abstract(1340) HTML (1658) PDF (1103KB)(221)
Abstract:
Chronic hepatitis B virus (HBV) infection is the major cause of chronic hepatitis B (CHB), liver cirrhosis, and primary hepatocellular carcinoma (HCC) and brings huge health and economic burdens to the society. The disease progression of CHB is driven by the interaction between the virus, host immune response, and infected hepatocytes. Staging of the natural history of chronic HBV infection will help to understand disease progression, assess the stage of disease progression, and provide guidance for determining the time and regimen of antiviral therapy. Due to the controversy over the existence of a true immune tolerance phase, Guidelines for the prevention and treatment of chronic hepatitis B (2022 edition) in China weakens the association between disease state and host immune status and provides an updated description of the natural history of chronic HBV infection based on the four disease stages from the 2017 European Association for the Study of the Liver (EASL) guidelines, i.e., HBeAg-positive chronic HBV infection, HBeAg-positive CHB, HBeAg-negative chronic HBV infection, and HBeAg-negative CHB. Moreover, it fails to fully resolve the issue of the “indeterminate phase”. With the growing trend of expanding antiviral treatment strategies in clinical practice, the current staging system based on natural history can hardly meet clinical needs, and thus it is necessary to make updates. This article elaborates on the discovery of the natural history of chronic HBV infection, the problems of the existing staging system of natural history, and related recommendations, in order to simplify the staging system of natural history, align with current antiviral treatment regimens, and facilitate clinical decision-making by clinicians.
Guideline
Multidisciplinary expert consensus on bicyclol in prevention and treatment of inflammatory liver injury
Hepatology Group, Chronic Disease Management Branch, China Medicinal Biotechnology Association
2024, 40(9): 1746-1756. DOI: 10.12449/JCH240906
Abstract(2265) HTML (2683) PDF (1027KB)(264)
Abstract:
Inflammatory liver injury is the initiating factor for various chronic liver diseases. It can involve the whole body, and on the contrary, systemic diseases may also lead to liver injury. The diagnosis and treatment of liver disease should not only consider the liver disease itself, but also understand the interaction between various systemic diseases and inflammatory liver injury and related pathophysiological mechanisms. Therefore, the diagnosis and treatment of liver injury often require multidisciplinary discussions and joint decision-making. One of the important links in the treatment of liver disease is to protect and maintain the stability of liver function, and how to carry out anti-inflammatory and liver-protecting treatment should be considered during the development of treatment strategies. Bicyclol is a chemical agent independently developed by China and is used for the treatment of inflammatory liver injury. Bicyclol has a good clinical effect in the prevention and treatment of inflammatory liver injury due to various causes and has been registered and listed in nine countries along the Belt and Road. Therefore, we have organized domestic experts from relevant disciplines all over the country to summarize the advances in the multidisciplinary clinical application of bicyclol in the prevention and treatment of inflammatory liver injury based on related guidelines/consensus statements/clinical pathways and evidence-based medicine and with reference to the clinical practice in China, in order to improve the scientific and standard use of bicyclol in clinical practice and the prevention and treatment of inflammatory liver injury in each discipline.
Experts consensus on integrated traditional Chinese and Western medicine diagnosis and treatment of primary biliary cholangitis
Expert Committee on Hepatology, Doctor Society of Integrative Medicine, Chinese Medical Doctor Association
2024, 40(9): 1757-1766. DOI: 10.12449/JCH240907
Abstract(2038) HTML (1914) PDF (1098KB)(384)
Abstract:
Primary biliary cholangitis (PBC) is a chronic autoimmune liver disease. In recent years, related studies in China and globally have provided some evidence-based medical evidence for the integrated traditional Chinese and Western medicine treatment of PBC. Based on the latest diagnosis and treatment experience and guidelines in China and globally, Expert Committee on Hepatology, Doctor Society of Integrative Medicine, Chinese Medical Doctor Association, organized related experts in China to formulate this consensus, in order to provide guidance and reference for clinicians in the diagnosis, TCM syndrome differentiation, and integrated traditional Chinese and Western medicine treatment of PBC.
Guideline Interpretation
An excerpt of clinical practice guideline of prevention and treatment of metabolic dysfunction-associated (non-alcoholic) fatty liver disease (2024 edition)
Jianing KONG, Binbin ZHANG, Junping SHI
2024, 40(9): 1767-1770. DOI: 10.12449/JCH240908
Abstract(6772) HTML (4095) PDF (553KB)(1688)
Abstract:
With further in-depth studies on non-alcoholic fatty liver disease (NAFLD), new evidence, concepts, and methods continue to emerge. Chinese Society of Hepatology, Chinese Medical Association, comprehensively updated and revised the previous guidelines based on the latest research advances in fatty liver disease in China and globally and released Clinical practice guideline of prevention and treatment of metabolic dysfunction-associated (non-alcoholic) fatty liver disease (2024 edition). This article introduces the updates in the new edition of the guideline from the aspects of related terms (metabolic associated fatty liver disease [MAFLD]), clinical typing and staging, diagnostic criteria, and natural history. The guideline particularly emphasizes the importance of screening, assessment, and noninvasive diagnosis of progressive liver fibrosis in disease management and proposes active multidisciplinary collaboration in the management of MAFLD. With the implementation and application of the new edition of the guideline, the standardization of screening, diagnosis, treatment and follow-up of MAFLD patients in China will be further improved to improve the prognosis of the majority of patients.
Fatty Liver Disease
Levels and clinical significance of urinary lead in patients with nonalcoholic fatty liver disease
Yajie LIU, Ruilin WANG
2024, 40(9): 1771-1777. DOI: 10.12449/JCH240909
Abstract(858) HTML (332) PDF (785KB)(75)
Abstract:
  Objective  To investigate the association between urinary lead and nonalcoholic fatty liver disease (NAFLD).  Methods  The participants, aged ≥18 years, were selected from the 2017‍ ‍—‍ ‍2020 National Health and Nutrition Examination Survey (NHANES), with the exclusion of the participants with a lack of liver transient elastography data and urinary lead markers and those with hepatitis B, hepatitis C, and significant alcohol consumption. A total of 2 492 participants were enrolled and divided into NAFLD group with 852 participants and non-NAFLD group with 1 640 participants. High-performance liquid chromatography-electrospray ionization-tandem mass spectrometry and online solid-phase extraction combined with isotope dilution were used to measure urinary lead level. The independent-samples t test or the Wilcoxon rank sum test was used for comparison of continuous data between two groups, and the chi-square test or the Fisher’s exact test was used for comparison of categorical data between two groups. Multivariate Logistic regression analysis, restricted cubic spline, subgroup analysis, and interaction analysis were used to investigate the association between urinary lead and NAFLD.  Results  The NAFLD group had a significantly higher urinary lead level than the non-NAFLD group (Z=-2.023, P=0.043). After adjustment of the covariates of age, sex, race, marital status, education, family income-to-poverty ratio, body mass index, smoking, drinking, diabetes mellitus, hypertension, and hyperlipidemia, there was a significant increase in the risk of NAFLD in the Q3 urinary lead group (odds ratio [OR]=1.360, 95% confidence interval [CI]: 1.019‍ ‍—‍ ‍1.817, P=0.037). There was a positive dose-response relationship between urinary lead and the risk of NAFLD (P=0.047), which was a non-linear relationship (Pnon-linear=0.037). There was a significant interaction between urinary lead and race, and for every quartile increase in urinary lead, the risk of NAFLD in Mexican-Americans was increased by 32.40% (OR=1.324, 95%CI: 1.017‍ ‍—‍ ‍1.632, P<0.05).  Conclusion  Urinary lead level is significantly associated with the risk of NAFLD.
Autoimmune Liver Disease
Clinical features of primary biliary cholangitis patients with negative or positive anti-mitochondrial antibody: A comparative study
Kexin QIAO, Guiqin ZHOU, Yaxing LIU, Ying FENG, Yao LIU, Bin LI, Xianbo WANG
2024, 40(9): 1778-1784. DOI: 10.12449/JCH240910
Abstract(1051) HTML (635) PDF (693KB)(92)
Abstract:
  Objective  To investigate the differences in clinical features between the primary biliary cholangitis (PBC) patients with negative or positive anti-mitochondrial antibody (AMA) by analyzing related immune and biochemical parameters.  Methods  This study was conducted among the patients who attended Beijing Ditan Hospital, Capital Medical University, from January 2013 to December 2022 and were diagnosed with PBC, and they were divided into AMA negative group with 139 patients (24.5%) and AMA positive group with 428 patients (75.5%). Propensity score matching at a ratio of 1∶1 was performed with age and sex as matching factors and a matching tolerance of 0.06. Liver function, coagulation, and immune parameters on admission were analyzed, as well as the changes in liver function and other indicators after 6 months of treatment and the response to ursodeoxycholic acid (UDCA) at 6 and 12 months of treatment. The independent-samples t test was used for comparison of normally distributed continuous data between two groups, and the Mann-Whitney U rank sum test was used for comparison of non-normally distributed continuous data between two groups; the chi-square test was used for comparison of categorical data between two groups.  Results  There were 139 AMA-negative PBC patients and 139 AMA-positive PBC patients after propensity score matching. Compared with the AMA positive group on admission, the AMA negative group had significantly lower levels of direct bilirubin and globulin (Glo) and significantly higher levels of albumin, albumin/globulin ratio, prealbumin, and fibrinogen (all P<0.05). After 6 months of UDCA treatment, there were significant differences in Glo and prealbumin between the AMA negative group and the AMA positive group (P<0.05). Both the AMA negative group and the AMA positive group had an increase in prealbumin after 6 months of treatment, and the AMA negative group had a significantly greater increase than the AMA positive group (U=41.00, P=0.015). After UDCA treatment for 6 and 12 months, there was no significant difference in treatment response to UDCA between the AMA negative group and the AMA positive group (all P>0.05).  Conclusion  After matching for age and sex, compared with the AMA-positive PBC patients, the AMA-negative PBC patients tend to have a milder degree of liver inflammation and damage, significantly greater improvements in inflammation and liver synthesis ability after UDCA treatment, and better response to UDCA.
Liver Fibrosis and Liver Cirrhosis
Diagnostic value of serum extra-spindle pole-like protein 1 in the progression of hepatitis B virus-related liver fibrosis
Long HUANG, Hongqian LIANG, Aoli REN, Minghua SU, Bobin HU, Qingmei LI, Tumei SU, Qianbing YIN, Yanfei FENG, Jianning JIANG
2024, 40(9): 1785-1789. DOI: 10.12449/JCH240911
Abstract(908) HTML (1212) PDF (896KB)(58)
Abstract:
  Objective  To investigate the clinical diagnostic value of extra-spindle pole-like protein 1 (ESPL1) in the progression of hepatitis B virus (HBV)-related liver fibrosis.  Methods  A total of 228 patients with HBV infection who were admitted to The First Affiliated Hospital of Guangxi Medical University from June 2017 to August 2023 were enrolled. The transient elastography system FibroScan was used to determine liver stiffness measurement (LSM) for all patients, and according to the LSM value, they were divided into non-liver fibrosis group with 80 patients, mild liver fibrosis group with 83 patients, advanced liver fibrosis group with 30 patients, and liver cirrhosis group with 35 patients. ELISA was used to measure the serum level of ESPL1. The Kruskal-Wallis H test was used for comparison of the serum level of ESPL1 between the four groups; the Spearman correlation analysis was used to investigate the correlation between ESPL1 and LSM; the receiver operating characteristic (ROC) curve was used to analyze the value of serum ESPL1 in predicting the progression of liver fibrosis.  Results  The liver cirrhosis group had a significantly higher serum level of ESPL1 than the non-liver fibrosis group and the mild liver fibrosis group (both P<0.05), and the advanced liver fibrosis group and the mild liver fibrosis group had a significantly higher serum level of ESPL1 than the non-liver fibrosis group (both P<0.05). The correlation analysis showed that there was a positive correlation between serum ESPL1 and LSM in the patients with HBV infection and varying degrees of liver fibrosis (r=0.515, P<0.001). Serum ESPL1 had an area under the ROC curve (AUC) of 0.809 in predicting liver cirrhosis and an AUC of 0.638 in predicting advanced liver fibrosis, with a sensitivity of 87.5% and 100%, respectively, and a specificity of 59.7% and 31.3%, respectively.  Conclusion  There is a certain correlation between serum ESPL1 and HBV-related liver fibrosis, and higher serum ESPL1 may indicate a higher degree of liver fibrosis. Serum ESPL1 is expected to become one of the serum markers for assisting in the diagnosis of liver cirrhosis and an important clinical method for dynamically monitoring the progression of liver fibrosis in patients with HBV infection.
Establishment of a noninvasive diagnostic model for chronic hepatitis B liver fibrosis patients with normal aminotransferases aged ≤30 years
Qingrong TANG, Changxiang LAI, Fang WANG, Jin LU, Chunhua XU, Xiangjun LI, Yizhou XU
2024, 40(9): 1790-1795. DOI: 10.12449/JCH240912
Abstract(961) HTML (388) PDF (831KB)(64)
Abstract:
  Objective  To establish a noninvasive diagnostic model for liver fibrosis in chronic hepatitis B (CHB) patients with normal alanine aminotransferase (ALT) and an age of ≤30 years by selecting specific indicators from the commonly used noninvasive indicators such as clinical, biochemical, and imaging indicators, to avoid invasive liver biopsy in such patients to some extent, and to guide the timing of antiviral therapy.  Methods  A total of 251 CHB patients with normal ALT and an age of ≤30 years who underwent liver biopsy in Shenzhen Third People’s Hospital and The First Hospital of Changsha from January 2019 to January 2022 were enrolled, with 175 patients in the model group and 76 patients in the validation group, and commonly used clinical indicators were obtained based on clinical experience and related articles. The two-independent-samples t test or the two-independent-samples Mann-Whitney U rank sum test was used for comparison of continuous data between groups, and the chi-square test was used for comparison of categorical data between groups. A Spearman rank correlation analysis was used to investigate the correlation between each indicator and liver fibrosis and identify the indicators with correlation (P<0.01, r>0.200); a Logistic regression analysis was used to establish a noninvasive diagnostic model, and the receiver operating characteristic (ROC) curve was used to evaluate its performance and perform validation of the model; this model was then compared with the widely used models of aspartate aminotransferase-to-platelet ratio index (APRI) and fibrosis-4 (FIB-4). The Kappa consistency test was used to investigate the consistency of pathological results.  Results  A total of 17 commonly used clinical indicators were obtained, among which 9 indicators (ALT, aspartate aminotransferase [AST], gamma-glutamyl transpeptidase [GGT], ferritin [FERR], platelet count [PLT], procollagen type Ⅲ amino-terminal peptide [PⅢP], collagen Ⅳ [CⅣ], HBV DNA, and spleen thickness) were correlated with liver fibrosis (P<0.01, r>0.232). Based on the above indicators, the predictive model was established as P=1/(1+e), γ=-1.902+0.106×AST-0.011×PLT-0.265×HBV DNA+0.059×PⅢP, in which P was the probability for predicting ≥S2 liver fibrosis and γ was the predictive index. The comparison between each indicator and the model showed that the model had the largest area under the ROC curve of 0.852, with a sensitivity of 92.7% and a specificity of 76.9%. The model was validated in 76 patients and showed an accuracy of 77.600%. The model was compared with APRI and FIB-4, and the results showed that the model has good accuracy.  Conclusion  Compared with the models of APRI and FIB-4 commonly used in the world, this model can more accurately judge the degree of liver fibrosis in such patients, thereby replacing liver biopsy to some extent and guiding the timing of antiviral therapy.
Risk factors for unplanned readmission after transjugular intrahepatic portosystemic shunt in cirrhotic patients with esophagogastric variceal bleeding and construction of a nomogram model
Qin YIN, Zhaorong WU, Feng ZHANG, Chunyan JIN, Yanping CAO, Jiangqiang XIAO, Yuzheng ZHUGE, Qian WANG
2024, 40(9): 1796-1801. DOI: 10.12449/JCH240913
Abstract(1121) HTML (1358) PDF (1108KB)(68)
Abstract:
  Objective  To investigate the risk factors for unplanned readmission within 30 days after discharge in cirrhotic patients with esophagogastric variceal bleeding undergoing transjugular intrahepatic portosystemic shunt (TIPS), and to construct a nomogram predictive model.  Methods  A total of 241 cirrhotic patients who underwent TIPS due to esophagogastric variceal bleeding in Affiliated Drum Tower Hospital of Nanjing University Medical School from January 2020 to June 2023 were enrolled as subjects, and unplanned readmission within 30 days was analyzed. According to the presence or absence of unplanned readmission, they were divided into readmission group with 36 patients and non-readmission group with 198 patients, and related clinical data were collected from all patients. The independent-samples t test was used for comparison of normally distributed continuous data between two groups, and the Mann-Whitney U test was used for comparison of non-normally distributed continuous data between two groups; the chi-square test was used for comparison of categorical data between two groups. A logistic regression analysis was used to identify independent risk factors for unplanned readmission. A nomogram prediction model was constructed, and the receiver operating characteristic (ROC) curve was plotted to assess its discriminatory ability for unplanned readmission; the calibration curve was plotted to evaluate the consistency of the nomogram model in predicting unplanned readmission; the ResourceSelection package of R language was used for the Hosmer-Lemeshow goodness-of-fit test to evaluate the degree of fitting of the mode; the decision curve analysis was used to investigate the practicality of the model.  Results  Age (odds ratio [OR]=2.664, 95% confidence interval [CI]: 1.139‍ ‍—‍ ‍6.233, P<0.05), CTP score (OR=1.655, 95%CI: 1.098‍ ‍—‍ ‍2.495, P<0.05), and blood ammonia (OR=1.032, 95%CI: 1.016‍ ‍—‍ ‍1.048, P<0.05) were independent risk factors for unplanned readmission within 30 days after discharge in the patients undergoing TIPS. The multivariate analysis showed that for the nomogram predictive model constructed in this study, repeated sampling for 1 000 times using the Bootstrap method was performed for internal validation, and the area under the ROC curve was 0.773, which was significantly higher than that of age (0.582), CTP score (0.675), and blood ammonia (0.641). The calibration curve showed good consistency between the probability of unplanned readmission predicted by the nomogram model and the actual probability, and the Hosmer-Lemeshow goodness-of-fit test showed good degree of fitting (c2 =5.647 3, P=0.686 7).  Conclusion  Age, CTP score, and blood ammonia are independent risk factors for unplanned readmission within 30 days after TIPS, and the nomogram prediction model constructed based on these factors can help to predict the risk of unplanned readmission in TIPS patients and provide an accurate decision-making basis for early prevention.
Risk factors for portopulmonary hypertension in liver cirrhosis and construction of a predictive model
Jing KUANG, Shuangqin TENG, Tongtong SHEN, Yiran YAN, Wei WANG, Chuan SHEN, Caiyan ZHAO
2024, 40(9): 1802-1806. DOI: 10.12449/JCH240914
Abstract(1107) HTML (325) PDF (760KB)(66)
Abstract:
  Objective  To investigate the risk factors for portopulmonary hypertension (POPH) in liver cirrhosis, and to construct a noninvasive predictive model.  Methods  A retrospective analysis was performed for the clinical data of 310 cirrhotic patients with portal hypertension who were hospitalized in The Third Affiliated Hospital of Hebei Medical University from January 2013 to August 2022, and according to whether pulmonary artery systolic pressure was ≥40 mmHg on ultrasound, the patients were divided into POPH group with 31 patients and non-POPH group with 279 patients. The independent-samples t test was used for comparison of normally distributed continuous data between two groups, and the Mann-Whitney U test was used for comparison of non-normally distributed continuous data between two groups; the chi-square test or the Fisher’s exact test was used for comparison of categorical data between two groups. A binary Logistic regression analysis was used to determine the independent risk factors for POPH, and a nomogram prediction model was constructed. The Bootstrap resampling method was used for internal validation, and C-index and calibration curve were used to assess the discriminatory ability and consistency of the model. The rms package was used to plot the nomogram.  Results  Compared with the non-POPH group, the POPH group had a significantly younger age, a significantly higher proportion of women or patients with hepatic encephalopathy or Child-Pugh class C disease, and significantly higher levels of direct bilirubin, Model for End-Stage Liver Disease score, albumin-bilirubin (ALBI) score, international normalized ratio, prothrombin time, FIB-4 index, LOK score, and Forns index, as well as significantly lower levels of serum albumin, alanine aminotransferase, gamma-glutamyl transpeptidase, hemoglobin, total cholesterol, and triglycerides (all P<0.05). The multivariate analysis showed that sex (odds ratio [OR]=0.172, 95% confidence interval [CI]: 0.064‍ ‍—‍ ‍0.462, P<0.001), age (OR=0.944, 95%CI0.901‍ ‍—‍ ‍0.989, P=0.016), ALBI score (OR=3.091, 95%CI: 1.100‍ ‍—‍ ‍8.687, P=0.032), and hepatic encephalopathy (OR=3.466, 95%CI: 1.331‍ ‍—‍ ‍9.031, P=0.011) were independent risk factors for POPH. A predictive model for POPH in liver cirrhosis was established based on the above independent risk factors, with a C-index of 0.796 (95%CI: 0.701‍ ‍—‍ ‍0.890), suggesting that the model had good discriminatory ability, and the calibration curve showed that the model had good calibration ability, suggesting that the model had certain predictive efficacy.  Conclusion  Young female individuals, elevated ALBI score, and comorbidity with hepatic encephalopathy are independent risk factors for POPH in patients with liver cirrhosis, and the predictive model established based on these factors has a certain clinical application value.
Liver Neoplasm
Efficacy and safety of microwave ablation versus hepatic resection in treatment of hepatocellular carcinoma with liver cirrhosis: A Meta-analysis
Jianxing LUO, Yang ZHANG, Ne XIANG, Xiaoyu HU
2024, 40(9): 1807-1815. DOI: 10.12449/JCH240915
Abstract(1230) HTML (357) PDF (2928KB)(70)
Abstract:
  Objective  To investigate the efficacy and safety of microwave ablation (MWA) versus hepatic resection (HR) in the treatment of hepatocellular carcinoma (HCC) with liver cirrhosis using a meta-analysis.  Methods  This study was conducted according to the PRISMA guideline, with a PROSPERO registration number of CRD42024509185. PubMed, the Cochrane Library, EMBASE, Web of Science, CNKI, VIP, and Wanfang Data were searched for randomized controlled trials (RCTs) and cohort studies on MWA versus HR in the treatment of HCC with liver cirrhosis published up to November 2023, and Stata 12.0 was used to perform the meta-analysis.  Results  A total of 3 RCTs and 5 retrospective cohort studies were included, with 953 patients in total. The meta-analysis showed that there were no differences between MWA and HR in 1-, 2-, 3-, and 5-year overall survival (OS) rates (all P>0.05) and 1-, 2-, and 5-year recurrence rates (all P>0.05). Compared with HR, MWA had a significantly higher 3-year recurrence rate (risk ratio [RR]=1.59, 95% confidence interval [CI]: 1.08‍ ‍—‍ ‍2.33, P=0.017) and significantly lower 1-, 3-, and 5-year disease-free survival (DFS) rates (1-year DFS rate: RR=0.94, 95%CI: 0.89‍ ‍—‍ ‍0.99, P=0.018, I2=0.0%; 3-year DFS rate: RR=0.84, 95%CI: 0.72‍ ‍—‍ ‍0.98, P=0.023, I2=25.4%; 5-year DFS rate: RR=0.75, 95%CI: 0.58‍ ‍—‍ ‍0.98, P=0.032, I2=34.6%). However, subgroup analysis showed that there were no significant differences between MWA and HR in 1-, 2-, and 3-year OS rates and 1- and 3-year DFS rates in the RCT subgroup (all P>0.05). Compared with HR, MWA had significantly better intraoperative blood loss (standardized mean difference [SMD]=-2.31, 95%CI: -2.64 to -1.97, P<0.001, I2=3.1%), time of operation (SMD=-3.38, 95%CI: -4.05 to -2.71, P<0.001, I2=73.8%), length of hospital stay (SMD=-2.54, 95%CI: -3.27 to -1.80, P<0.001, I2=92.8%), adverse reactions (RR=0.42, 95%CI: 0.30‍ ‍—‍ ‍0.59, P<0.001, I2=0.0%), and liver function (SMD=-1.43, 95%CI: -1.89‍ ‍—‍ ‍-0.97, P<0.001).  Conclusion  There are no significant differences between MWA and HR in local recurrence, DFS, and OS, but MWA tends to have a less intraoperative blood loss, a shorter time of operation, fewer adverse reactions, a less impact on liver function, and a shorter length of hospital stay.
Construction and validation of a risk prediction model for postoperative delirium in primary liver cancer patients aged 60 years or older
Yao MA, Ting LI, Qiushi ZHANG, Ling HU, Jie. ZHENG
2024, 40(9): 1816-1821. DOI: 10.12449/JCH240916
Abstract(856) HTML (330) PDF (799KB)(71)
Abstract:
  Objective  To construct a risk prediction model for postoperative delirium in elderly patients with primary liver cancer, and to validate its application value.  Methods  A retrospective analysis was performed for 175 elderly patients with primary liver cancer who were admitted to Tianyou Hospital Affiliated to Wuhan University of Science and Technology from March 2020 to January 2023. The incidence rate of postoperative delirium was recorded, and the univariate and multivariate regression analyses was performed for factors that may affect the onset of delirium. A prediction model was constructed, and the clinical application value of the prediction model was analyzed and validated. The independent-samples t test was used for comparison of continuous data between two groups, and the chi-square test was used for comparison of categorical data between two groups. The univariate and multivariate logistic regression analyses were performed for factors that may affect the onset of delirium in elderly patients with primary liver cancer, and the receiver operating characteristic (ROC) curve was used to investigate the value of the model in predicting the onset of delirium.  Results  Among the 175 elderly patients with primary liver cancer, 41 experienced postoperative delirium, with an incidence rate of 23.43%. The univariate analysis showed that age, presence of more than two underlying diseases, Child-Pugh class of liver function, preoperative blood lactate, time of operation, preoperative hemoglobin, and preoperative serum albumin were associated with the onset of postoperative delirium (t=3.534, χ2=12.000, χ2=4.938, t=7.561, t=5.768, t=5.141, t=6.148, P<0.05). The multivariate logistic regression analysis of the factors with statistical significance in the univariate analysis showed that time of operation, preoperative hemoglobin, preoperative serum albumin, and age were included in the regression model (P<0.05), and they were independent risk factors for the onset of postoperative delirium in elderly patients with primary liver cancer. According to the results of the multivariate logistic regression analysis, a prediction model for postoperative delirium in elderly patients with primary liver cancer was constructed as follows: -2.222+3.678×time of operation-2.441×preoperative hemoglobin-3.904×preoperative serum albumin+1.807×age. The prediction performance of this model was analyzed, with an area under the ROC curve of 0.931 (95% confidence interval: 0.890 ‍—‍ 0.971, P<0.001) and an optimal cut-off value of -1.604 (with a sensitivity of 87.80% and a specificity of 87.30%). A total of 56 elderly patients with primary liver cancer who underwent radical surgery in Tianyou Hospital Affiliated to Wuhan University of Science and Technology from February 2023 to June 2023 were enrolled in a prospective study for model validation. According to the above risk prediction model, there were 14 patients in the high-risk group and 42 patients in the low-risk group, and the high-risk group had a significantly higher incidence rate of postoperative delirium than the low-risk group (71.43% vs 11.90%, χ²=16.056, P<0.05).  Conclusion  Age, time of operation, preoperative serum albumin, and preoperative hemoglobin are important influencing factors for the onset of postoperative delirium in elderly patients with primary liver cancer. The risk prediction model based on these factors has a good prediction performance, which holds promise for further in-depth research.
Construction of a novel disulfidptosis-related prognostic model for patients with hepatocellular carcinoma based on bioinformatics analysis
Zheng SONG, Wei LUO, Xiujuan CHANG, Yongping YANG
2024, 40(9): 1822-1832. DOI: 10.12449/JCH240917
Abstract(1472) HTML (1252) PDF (6149KB)(71)
Abstract:
  Objective  To investigate the expression of disulfidptosis-related genes in hepatocellular carcinoma (HCC) and the prognostic value of disulfidptosis in HCC, to construct a prognostic model, and to analyze its impact on the biological processes of HCC and sorafenib resistance.  Methods  The TCGA-LIHC database was used to collect the mRNA expression profiles and corresponding clinical data of HCC patients, and the LASSO-Cox regression algorithm was used to construct a four-gene predictive model for prognosis in the TCGA cohort. The external datasets ICGC and GSE14520 were used to validate the prognostic efficacy of the model, and the Cancer Drug Sensitivity Genomics (GDSC) data were used to investigate the value of the disulfidptosis model in predicting sorafenib treatment response, and gene ontology (GO) and Kyoto Encyclopedia of Genes and Genomes (KEGG) analyses were used to investigate the biological functions of disulfidptosis-related genes. The independent-samples t test was used for comparison of continuous data between two groups, and the chi-square test was used for comparison of categorical data between two groups. The Kaplan-Meier curve and the log-rank test were used to evaluate the difference in prognosis, and univariate and multivariate Cox regression analyses were used to investigate whether risk score was an independent influencing factor for patient prognosis.  Results  The univariate Cox regression analysis in the TCGA cohort showed that seven known disulfidptosis-related genes were significantly associated with overall survival (OS) in HCC (all P<0.05). The LASSO-Cox regression analysis was used to construct a prognostic model based on disulfidptosis-related genes (DRG), and the risk score RS-DRG was calculated as RS-DRG=(0.061 6)×GYS1 expression level+(0.152 8)×LRPPRC expression level+(0.268 3)×RPN1 expression level+(0.183 5)×SLC7A11 expression level. The log-rank test showed that the patients with a high risk score based on the disulfidptosis model had a significantly lower OS than those with a low risk score (P<0.001). Based on the results of the multivariate Cox regression analysis, risk score was an independent predictive factor for OS in both TCGA and ICGC cohorts (TCGA: hazard ratio [HR]=1.869, P=0.002; ICGC: HR=3.469, P=0.004). The Spearman correlation analysis showed that RS-DRG was significantly positively correlated with the infiltration level of various immune cells (including B lymphocytes, CD4+ T lymphocytes, neutrophils, macrophages, and dendritic cells) in tumor microenvironment (all P<0.05). The patients in the high-risk score group had a significantly lower IC50 value of sorafenib and were more sensitive to sorafenib (P<0.001). The KEGG/GO enrichment analysis showed that the differentially expressed disulfidptosis-related genes were significantly enriched in various mitosis-related molecular functions.  Conclusion  This study constructed a novel prognostic model based on disulfidptosis-related genes, which has a potential clinical value in predicting the prognosis of HCC, and targeting disulfidptosis-related genes may provide a promising approach for HCC treatment.
Expression of AU-rich element RNA-binding factor 1 in hepatocellular carcinoma and its value in prognostic evaluation
Yuan DUAN, Ting ZHANG, Jing ZHANG, Guiwen GUAN, Jingzhou WANG, Xiangmei CHEN
2024, 40(9): 1833-1839. DOI: 10.12449/JCH240918
Abstract(763) HTML (1199) PDF (4247KB)(48)
Abstract:
  Objective  To investigate the effect of AU-rich element RNA-binding factor 1 (AUF1) on the proliferation, apoptosis, and migration abilities of hepatocellular carcinoma (HCC) cells and possible mechanisms, and to clarify the role and molecular mechanism of AUF1 in the progression of HCC.  Methods  The UALCAN and TCGA-HCC databases were used to analyze the expression of AUF1 in pan-cancer and investigate the association of the expression level of AUF1 with the clinicopathological features and prognosis of HCC patients. CCK-8 assay, cell apoptosis assay, and Transwell chamber assay were used to investigate the function of AUF1 at the cellular level, and RNA-seq assay was used to investigate transcriptome changes in HCC cells after AUF1 knockdown. The t-test was used for comparison of continuous data between two groups; the Kaplan-Meier method was used to plot survival curves, and the log-rank test was used for comparison of survival rates.  Results  There were abnormal mRNA and protein expression levels of AUF1 in various tumor tissues compared with normal tissue (P<0.05). The mRNA expression level of AUF1 was positively correlated with the degree of HCC malignancy and the poor prognosis of early-stage HCC (P<0.05). Compared with the control group, the overexpression of exogenous AUF1 in HCC cells promoted the proliferation of HCC cells and inhibited the apoptosis and migration of HCC cells, while AUF1 knockdown inhibited HCC cell proliferation and promoted the apoptosis and migration of HCC cells. The RNA-seq analysis showed that AUF1 knockdown mainly affected the Wnt/β-catenin pathway and downregulated the protein expression level of β-catenin.  Conclusion  The abnormal expression of AUF1 is associated with the prognosis of early-stage HCC, and AUF1 may exert an oncogenic effect by activating the Wnt signaling pathway.
Mechanism of action of cinobufotalin in inhibiting lung metastasis of hepatocellular carcinoma by regulating AKT-mediated epithelial-mesenchymal transition in a nude mouse model
Yue YANG, Siyu XU, Jue WANG, Shilin DU, Chunlei ZHANG, Haiyan SONG
2024, 40(9): 1840-1847. DOI: 10.12449/JCH240919
Abstract(908) HTML (430) PDF (3425KB)(58)
Abstract:
  Objective  To investigate the effect and mechanism of cinobufotalin in inhibiting hepatocellular carcinoma (HCC) metastasis by regulating epithelial-mesenchymal transition (EMT).  Methods  A total of 36 male BALB/c nude mice, aged 6 weeks, were given injection of MHCC97H cells via the caudal vein to establish a model of HCC lung metastasis, and then the mice were randomly divided into high-and low-dose cinobufotalin groups and control group. Since the day of modeling, the mice in the high-and low-dose cinobufotalin groups were given intraperitoneal injection of cinobufotalin at a dose of 120 μL/kg and 60 μL/kg, respectively, and those in the control group were given intraperitoneal injection of normal saline, twice a week. After 8 weeks, HE staining was performed for lung tissue to measure the lung metastasis rate of HCC. MHCC97H cells were treated with high-dose (2.5 μL/mL) or low-dose (5 μL/mL) cinobufotalin for 24 hours, and wound healing assay, RT-PCR, and Western blot were used to measure cell migration ability and the expression of EMT-related molecules. MHCC97H cells were induced in a simulated hypoxic environment with CoCl2 incubation, with high- and low-dose cinobufotalin added for intervention, and wound healing assay and Western blot were used to investigate the effect of cinobufotalin on cell migration ability and EMT induced by hypoxia. Transcriptome analysis was used to investigate the effect mechanism of cinobufotalin on MHCC97H cells, and Western blot was used to observe the effect of cinobufotalin on the expression levels of protein kinase B (AKT) and phosphorylated AKT (P-AKT) in MHCC97H cells. A one-way analysis of variance was used for comparison of continuous data between multiple groups, and the least significant difference t-test was used for further comparison between two groups; the independent-samples t test was used for comparison of categorical data between two groups.  Results  Compared with the control group, the cinobufotalin group had a significant reduction in the lung metastasis rate of HCC. Compared with the control group, cinobufotalin intervention reduced the wound healing rate of MHCC97H cells, upregulated the expression of epithelial-type molecules (t=2.860, P<0.05), and downregulated the expression of EMT transcription factors (EMT-TFs) and mesenchymal molecules (t=3.545, 2.022, 2.852, and 2.341, all P<0.05). Hypoxia induction upregulated the wound healing rate of MHCC97H cells and the expression levels of mesenchymal molecules and EMT-TFs (P<0.05), and cinobufotalin intervention reversed EMT change and inhibited wound healing (P<0.05). The transcriptome analysis of MHCC97H cells showed significant gene differences between the cinobufotalin group and the control group, and cinobufotalin mainly affected the expression of genes associated with tumor, metabolism, immunity, and signal transduction, with the largest number of differentially expressed genes in the AKT signal transduction pathway. Further measurement showed that cinobufotalin intervention downregulated the expression levels of AKT, P-AKT, and P-AKT/AKT in MHCC97H cells (t=2.434, 3.401, and 2.258, all P<0.05).  Conclusion  Cinobufotalin can inhibit the metastasis of HCC, especially hypoxia-induced HCC metastasis, and regulation of EMT mediated by the AKT signal transduction pathway in HCC cells might be one of its mechanisms of action.
Pancreatic Disease
Correlation of the serum levels of adiponectin, omentin, and visfatin with the severity of acute pancreatitis
Xin XU, Zhangxing CHEN
2024, 40(9): 1848-1852. DOI: 10.12449/JCH240920
Abstract(757) HTML (214) PDF (910KB)(51)
Abstract:
  Objective  To investigate the correlation of the serum levels of adiponectin, omentin, and visfatin with the severity of acute pancreatitis (AP).  Methods  Blood samples were collected from 35 healthy individuals in the control group and 70 patients with AP who were admitted to Chenggong Hospital Affiliated to Xiamen University from March 2022 to October 2023, and enzyme-linked immunosorbent assay was used to measure the serum levels of adiponectin, omentin, and visfatin in each group within 24 hours after admission. The analysis of variance was used for comparison of continuous between groups, and the LSD-t test was used for further comparison between two groups; the chi-square test was used for comparison of categorical data between groups. The Pearson correlation analysis was used to investigate the correlation between indicators, and the receiver operating characteristic (ROC) curve was used to investigate the value of the three indicators in predicting severe acute pancreatitis (SAP).  Results  Compared with the control group, the AP group had significantly higher serum levels of omentin and visfatin (t=5.51 and 9.41, both P<0.01), and the level of visfatin gradually increased with the aggravation of the disease (F=43.32, P<0.01), while there was no significant change in omentin with the aggravation of the disease (F=0.47, P>0.05). The AP group had a significantly lower level of adiponectin than the control group (t=-14.47, P <0.01), and the level of adiponectin gradually decreased with the aggravation of the disease (F=35.61, P<0.01). The serum level of visfatin was positively correlated with Acute Physiology and Chronic Health Evaluation II (APACHE-II) score (r=0.547, P<0.01), and the level of adiponectin was negatively correlated with APACHE-II score (r=-0.520, P<0.01), while there was no significant correlation between omentin APACHE-II score (r=0.007, P>0.05). The three indicators had an area under the ROC curve (AUC) of 0.893, 0.570, and 0.829, respectively, in predicting SAP, and combined measurement of adiponectin and visfatin with an AUC of >0.7 showed an AUC of 0.953 in predicting SAP, with a sensitivity of 0.900 and a specificity of 0.933.  Conclusion  The serum levels of adiponectin and visfatin are correlated with the severity of AP and have an important clinical significance in predicting SAP, and combined measurement of the two indicators has a higher value, while further studies are needed to investigate the correlation of omentin level with the severity of AP.
Construction of pancreatic cancer organoids and their sensitivity to chemotherapy drugs
Jingyu WANG, Rong HUANG, Yan LU, Ziran CHEN, Xiaojie ZHANG, Hu REN, Nan ZHANG, Dongbing ZHAO, Wei SONG, Xingguang ZHANG
2024, 40(9): 1853-1858. DOI: 10.12449/JCH240921
Abstract(1501) HTML (277) PDF (3800KB)(102)
Abstract:
  Objective  To construct and identify a patient-derived organoid model, and to investigate the sensitivity of chemotherapy drugs using this model.  Methods  Pancreatic cancer cells were obtained from the surgical specimens of two female patients with a confirmed diagnosis of pancreatic cancer after tumor tissue digestion, and then the cells were inoculated into a culture dish using matrigel for three-dimensional culture. Paraffin sections were prepared for HE staining and immunohistochemical staining and were compared with the parent tumor tissue to determine whether the histopathological features of the tumor in vivo were preserved. The pancreatic cancer organoids were treated with seven chemotherapy drugs at different concentrations; Cell Titer-Glo®3D reagent was used to measure cell viability, and the results of drug sensitivity were analyzed.  Results  Two patient-derived pancreatic cancer organoids were successfully constructed, and HE staining and immunohistochemical staining showed that the pancreatic cancer organoids had consistent histopathological features with the tumors of the corresponding patient. Both pancreatic cancer organoids were more sensitive to gemcitabine monotherapy and the combination of oxaliplatin+SN38+fluorouracil, and patient 1 was more sensitive than patient 2. There were individual differences in the response to drugs between the organoids from different patients.  Conclusion  The pancreatic cancer organoid model successfully constructed in this study can reflect the histological classification of parent pancreatic tumors and can be used for in vitro chemotherapy drug sensitivity test, which is expected to provide a reference for clinical medication.
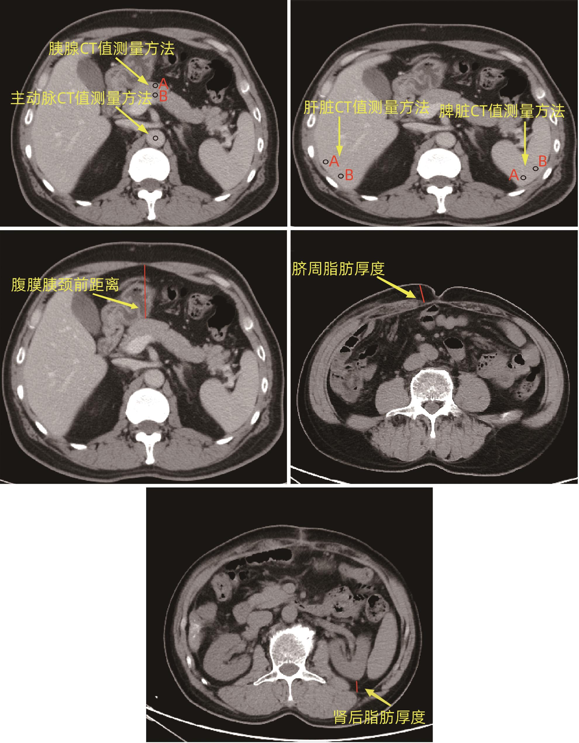
Value of preoperative alanine aminotransferase/aspartate aminotransferase combined with multi-phase CT radiological indicators in predicting clinically relevant pancreatic fistula after pancreaticoduodenectomy
Junhao PAN, Jian XIN, Chunhui WANG
2024, 40(9): 1859-1867. DOI: 10.12449/JCH240922
Abstract(849) HTML (361) PDF (2208KB)(50)
Abstract:
  Objective  To investigate the risk factors for clinically relevant postoperative pancreatic fistula (CR-POPF) after pancreaticoduodenectomy (PD), and to establish a predictive model for early identification of CR-POPF.  Methods  A total of 244 patients who underwent PD in General Hospital of Northern Theater Command from January 2019 to October 2023 were collected, and based on strict inclusion and exclusion criteria, 179 patients were finally enrolled in this study. According to the presence or absence of CR-POPF, these patients were divided into non-CR-POPF group with 120 patients and CR-POPF group with 59 patients. Univariate and multivariate logistic regression analyses were used to determine the independent risk factors for CR-POPF, and a nomogram model was established based on such factors. The receiver operating characteristic (ROC) curve was used to assess the predictive performance of the model, the calibration curve was used to evaluate the calibration degree of the model, and the clinical decision curve and the clinical impact curve were used to analyze and validate the clinical application value of the model. The chi-square test or the Fisher’s exact test was used for comparison of categorical data between groups; the independent-samples t test was used for comparison of normally distributed continuous data between two groups, and the Mann-Whitney U test was used for comparison of continuous data with skewed distribution between two groups.  Results  Among the 179 patients, 59 (33.0%) developed CR-POPF. The multivariate Logistic regression analysis showed that alanine aminotransferase/aspartate aminotransferase (odds ratio [OR]=2.221, P=0.004), main pancreatic duct diameter (OR=0.276, P=0.022), the distance between the peritoneum and the anterior pancreatic neck (OR=1.034, P=0.027), and extracellular volume fraction (OR=0.001, P=0.005) were independent risk factors for CR-POPF. Based on the above four independent risk factors, a nomogram was established to predict CR-POPF after PD, with an area under the ROC curve of 0.837, a sensitivity of 0.932, and a specificity of 0.725. The decision curve and the clinical impact curve also showed that the nomogram had good clinical practicability.  Conclusion  Preoperative clinical indicators combined with multi-phase CT have a good performance in predicting CR-POPF after PD, which can be used to early identify patients at high risk of pancreatic fistula before surgery and provide further guidance for clinical work.
Case Report
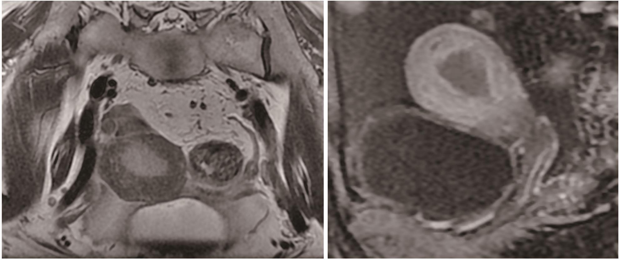
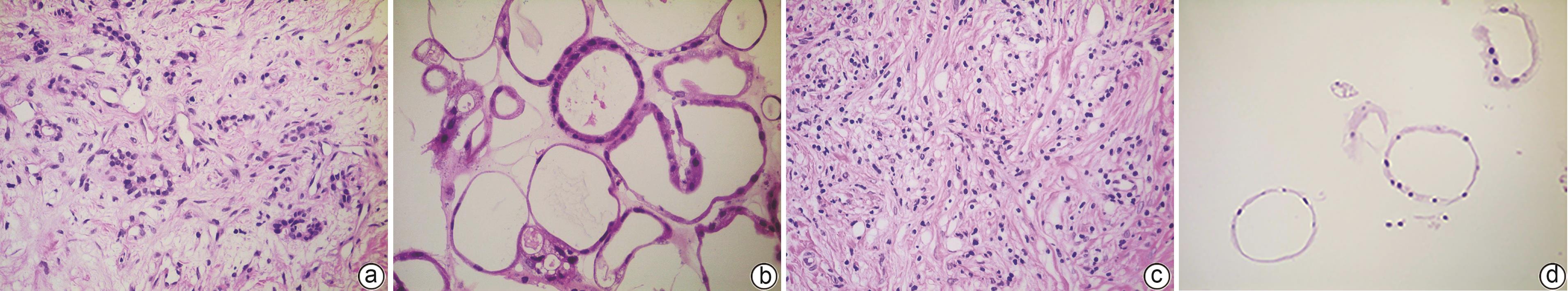
Diagnosis and treatment of decompensated cirrhosis with multiple primary cancers: A case report
Wenting CHAO, Rui HUANG
2024, 40(9): 1868-1872. DOI: 10.12449/JCH240923
Abstract(927) HTML (392) PDF (1776KB)(108)
Abstract:
Multiple primary cancers (MPC) refer to the presence of more than one type of cancer with different histological features and sites in the same individual, and it is relatively rare in clinical practice. This article reports a case of decompensated cirrhosis with MPC and discusses the diagnosis, treatment, and clinical implications of this patient with decompensated cirrhosis and MPC.
Review
The mechanism of compound traditional Chinese medicine prescriptions in reversal of liver fibrosis and early liver cirrhosis
Peng ZHANG, Shihao ZHENG, Siyuan GOU, Jinchi XIE, Xianzhao YANG, Yongan YE
2024, 40(9): 1873-1879. DOI: 10.12449/JCH240924
Abstract(1650) HTML (1659) PDF (1070KB)(108)
Abstract:
Liver fibrosis and cirrhosis are the common outcomes of various chronic liver diseases after progression, and studies have shown that liver fibrosis and early liver cirrhosis can be reversed. Compound traditional Chinese medicine prescriptions have a marked therapeutic effect in reversing liver fibrosis and early liver cirrhosis, and their mechanism of action remains unclear. By reviewing related articles in China and globally, this article summarizes the six main phenotypic mechanisms involved in the efficacy of compound traditional Chinese medicine prescriptions, i.e., inhibiting liver inflammation and regulating liver immune response, regulating hepatic stellate cell activation and extracellular matrix (ECM) generation, promoting ECM degradation, reversing hepatic sinusoidal capillarization, regulating hepatocyte regeneration, and regulating gut microbiota, and in addition, this article also analyzes the advances and shortcomings in current studies on each phenotype. Future studies on compound traditional Chinese medicine prescriptions should focus on experimental exploration and rescue experiments to verify the above phenotypes and further explore the upstream and downstream signaling pathways with a marked effect. This article aims to help clarify the direction and ideas of studies on the therapeutic mechanism of compound traditional Chinese medicine prescriptions, in order to provide a basis for clarifying the scientific essence of compound traditional Chinese medicine prescriptions.
Research advances in the intelligent medical imaging diagnosis of liver cancer
Jie XU, Wenbin XU, Keqing HE, Ding SHANGGUAN, Ting XU, Mingjun XIE, Nianbao LONG, Laian GE
2024, 40(9): 1880-1885. DOI: 10.12449/JCH240925
Abstract(1351) HTML (1003) PDF (906KB)(127)
Abstract:
Liver cancer is one of the most threatening diseases to the human body, and most patients are already in the advanced stage at the time of diagnosis, resulting in an extremely high mortality rate. The diagnosis and treatment of early-stage liver cancer is the key to improving the prognosis of patients. Medical imaging is an important method that assists in the diagnosis of liver cancer, and currently, intelligent image recognition technology based on medical imaging data has been widely applied in the field of medical diagnosis and has good application prospects. This article reviews the current status of research on artificial intelligence (AI) methods for the diagnosis of focal liver lesions based on liver medical images and proposes the advantages and shortcomings of current AI diagnosis, so as to provide new research ideas for the intelligent diagnosis of liver cancer in the future.
Role of inflammatory cytokines in disorder of glucose metabolism in patients with liver cirrhosis
Yunchong WU, Yanyan YANG, Chuan LI, Xiaohuan WU, Shide LIN
2024, 40(9): 1886-1890. DOI: 10.12449/JCH240926
Abstract(781) HTML (461) PDF (658KB)(57)
Abstract:
In recent years, there has been a deeper understanding of the role and mechanisms of common inflammatory cytokines in the development and progression of liver cirrhosis, such as interleukin-1β, interleukin-6, interleukin-10, interleukin-17, tumor necrosis factor-α, interferon-γ, and C-reactive protein, and significant achievements have also been made in the research on the association of these inflammatory cytokines with disorder of glucose metabolism and pancreatic islet dysfunction. This article reviews the role of inflammatory cytokines in patients with liver cirrhosis and their impact on disorder of glucose metabolism and pancreatic islet dysfunction, in order to provide a theoretical basis for clarifying the pathogenesis of hepatogenous diabetes and performing the clinical management of the disease.
Current status of research on artificial intelligence in prognostic prediction models for acute-on-chronic liver failure
Wei JIANG, Xiujun CHANG, Fan ZENG, Yunping LAN
2024, 40(9): 1891-1896. DOI: 10.12449/JCH240927
Abstract(1247) HTML (608) PDF (655KB)(101)
Abstract:
Acute-on-chronic liver failure (ACLF) is a complex clinical syndrome of acute liver function deterioration on the basis of chronic liver diseases, characterized by hepatic and/or extra-hepatic organ failure and a high short-term mortality rate. At present, there is still a lack of effective treatment methods, and the mortality rate of ACLF reaches 50% ‍—‍ 90% after comprehensive medical treatment. A simple, rapid, and accurate prognostic prediction model for ACLF can help clinicians accurately judge the prognosis of ACLF patients in the early stage, identify the patients with poor prognosis, and provide early interventions, which can improve patient prognosis to some extent and help to reduce mortality rates. With the continuous development of computer science and increasingly powerful data processing capabilities, artificial intelligence is gaining more attention and has been applied in various aspects of liver diseases including diagnosis, treatment, and prognostic prediction. With reference to the current status of research in China and globally, this article reviews the common prognostic models for ACLF and machine learning-based prognostic prediction models and summarizes the latest research advances, in order to provide new perspectives for the future development of prognostic prediction models for ACLF.
Regulatory mechanism of exosomes in liver failure and the application value in diagnosis and treatment
Hua TONG, Yue LUO, Yadong WANG
2024, 40(9): 1897-1901. DOI: 10.12449/JCH240928
Abstract(1025) HTML (275) PDF (900KB)(67)
Abstract:
Exosomes are an important vehicle for mediating material transportation and information transmission between cells, and the exosomes derived from hepatocytes, liver stem cells or extrahepatic mesenchymal stem cells promote the recovery and regeneration of damaged hepatocytes by inhibiting immune inflammatory response, antagonizing against oxidative stress and apoptosis, and inducing autophagy, thereby exerting a protective effect against liver failure. This article reviews the molecular mechanism of exosomes in regulating the pathogenesis of liver failure and its effect on the development, progression, and prognosis of liver failure, in order to assess the potential value of exosomes as a diagnostic marker and a therapeutic target.
Role of liver regeneration in the repair of liver injury induced by N-acetyl-p-aminophenol
Yinkang MO, Zihao FAN, Feng REN
2024, 40(9): 1902-1907. DOI: 10.12449/JCH240929
Abstract(1384) HTML (1970) PDF (972KB)(103)
Abstract:
Liver regeneration plays a crucial role in the recovery after liver injury induced by N-acetyl-p-aminophenol (APAP). After APAP overdose, the degree of regeneration increases with the extent of liver injury, leading to the resolution of liver injury and spontaneous recovery in most cases. However, severe APAP overdose can impair liver regeneration and result in uncontrolled liver injury, even failure to recover or death in severe cases. Following APAP-induced liver injury, interactions between cells in the liver are essential for regenerative response. Liver regeneration is jointly regulated by multiple proliferative signaling pathways, involving various kinases, nuclear receptors, transcription factors, and coactivators. Severe APAP overdose can inhibit the activation of proliferative signaling pathways, thereby causing cell cycle arrest and impairing liver regeneration. Although liver regeneration plays a critical role in the repair of APAP-induced liver injury, the underlying mechanisms remain unclear. This article reviews the research advances in the role of liver regeneration in APAP-induced liver injury, in order to provide a reference for further basic research in this area.
Pyroptosis: A new bridge connecting gut microbiota and liver diseases
Yijie ZHAO, Lu XIE, Yating ZHANG, Guangwei LIU
2024, 40(9): 1908-1915. DOI: 10.12449/JCH240930
Abstract(1069) HTML (731) PDF (1609KB)(75)
Abstract:
Since the proposal of the concept of the gut-liver axis, a large number of studies have focused on exploring the connection between gut microbiota and liver disease; however, the idea of using pyroptosis as a hub to explore the intrinsic mechanism of gut-liver crosstalk is still in its infancy. This article mainly describes the process by which gut microbiota dysbiosis affects the integrity of mucosal barrier and bile acid metabolism, induces pyroptosis, and thereby affects the development and progression of liver diseases, and it also concludes that gut microbiota dysbiosis affects liver diseases by inducing NLRP3/AIM2/Caspase-1-dependent, Caspase-4/11/GSDMD-dependent, and Caspase-3/GSDME-dependent pyroptosis. In summary, this study aims to provide new ideas and targets for the future diagnosis and treatment of liver diseases by establishing the connection between pyroptosis and intestinal-liver immune crosstalk.
Research advances in the degradation of hepatic lipid droplets through the autophagy pathway
Rongzhi WANG, Linli WANG, Jingwen JIAO, Yunfei YU, Baolong LI
2024, 40(9): 1916-1923. DOI: 10.12449/JCH240931
Abstract(3064) HTML (2584) PDF (1212KB)(131)
Abstract:
Autophagy is a highly conserved cellular degradation pathway that degrades lipid droplets through a process called “lipophagy”. Lipophagy can selectively recognize lipid substances and degrade them, promoting β oxidation and thereby maintaining the balance of intracellular lipid metabolism. The liver regulates lipid droplet metabolism through lipophagy signaling pathways or key molecules, thereby alleviating hepatic steatosis and improving nonalcoholic fatty liver disease (NAFLD). This article reviews the latest advances in the degradation of hepatic lipid droplets through the three autophagic pathways of macroautophagy, molecular chaperone-mediated autophagy, and microautophagy. The major signaling pathways of AMPK/mTOR-ULK1, ATGL-SIRT1, FGF21-JMJD3, and Akt are involved in the regulation of the lipophagy process and help to maintain the homeostasis of lipid metabolism in the liver, so as to provide new ideas for clinical prevention and treatment of NAFLD.
Role of macrophages in the development and progression of primary biliary cholangitis
Zongqi DENG, Wenlin TAI
2024, 40(9): 1924-1928. DOI: 10.12449/JCH240932
Abstract(806) HTML (346) PDF (838KB)(68)
Abstract:
Primary biliary cholangitis (PBC) is a persistent inflammatory autoimmune liver disease characterized by inflammatory injury and cholestasis in the small intrahepatic bile ducts. At present, the exact pathogenesis of PBC remains unknown, but a consensus has been reached on the fact that PBC is the result of the synergistic effect of various factors. In the cascade of immune and inflammatory reactions associated with PBC, macrophages appear as essential immune cells and actively participate in the damage to bile duct epithelial cells. This article introduces the origin and heterogeneity of macrophages in PBC and reviews the potential role of macrophages in the pathogenesis of PBC.
Introduction of High - quality Articles in Foreign Journals
Hepatology|Intestinal IL-33 promotes microbiota-derived trimethylamine N-oxide synthesis and drives metabolic dysfunction-associated steatotic liver disease progression by exerting dual regulation on HIF-1α
2024, 40(9): 1766-1766. DOI: 10.12449/JCH2409.gwqkjpwzjj1
Abstract(373) HTML (163) PDF (910KB)(49)
Abstract:
Journal of Hepatology|Randomized trial of anakinra plus zinc vs. prednisone for severe alcohol-associated hepatitis
2024, 40(9): 1777-1777. DOI: 10.12449/JCH2409.gwqkjpwzjj2
Abstract(523) HTML (136) PDF (909KB)(48)
Abstract:
Journal of Hepatology|Differing genetic variants associated with liver fat and their contrasting relationships with cardiovascular diseases and cancer
2024, 40(9): 1872-1872. DOI: 10.12449/JCH2409.gwqkjpwzjj3
Abstract(369) HTML (170) PDF (875KB)(39)
Abstract:
Acknowledgements
Current reviewers
2024, 40(9): 1915-1915. DOI: 10.12449/JCH2409.zhixie
Abstract(310) HTML (143) PDF (873KB)(38)
Abstract: