中文English
ISSN 1001-5256 (Print)
ISSN 2097-3497 (Online)
CN 22-1108/R
Volume 40 Issue 3
Mar.  2024
Turn off MathJax
Article Contents

Application value of two-dimensional shear wave elastography and serological models in the staging of liver fibrosis in patients with chronic hepatitis B

DOI: 10.12449/JCH240312
Research funding:

Fujian Natural Science Foundation (2022J011285)

More Information
  • Corresponding author: FENG Siyi, 75677207@qq.com (ORCID: 0000-0001-6305-0337)
  • Received Date: 2023-06-21
  • Accepted Date: 2023-07-10
  • Published Date: 2024-03-20
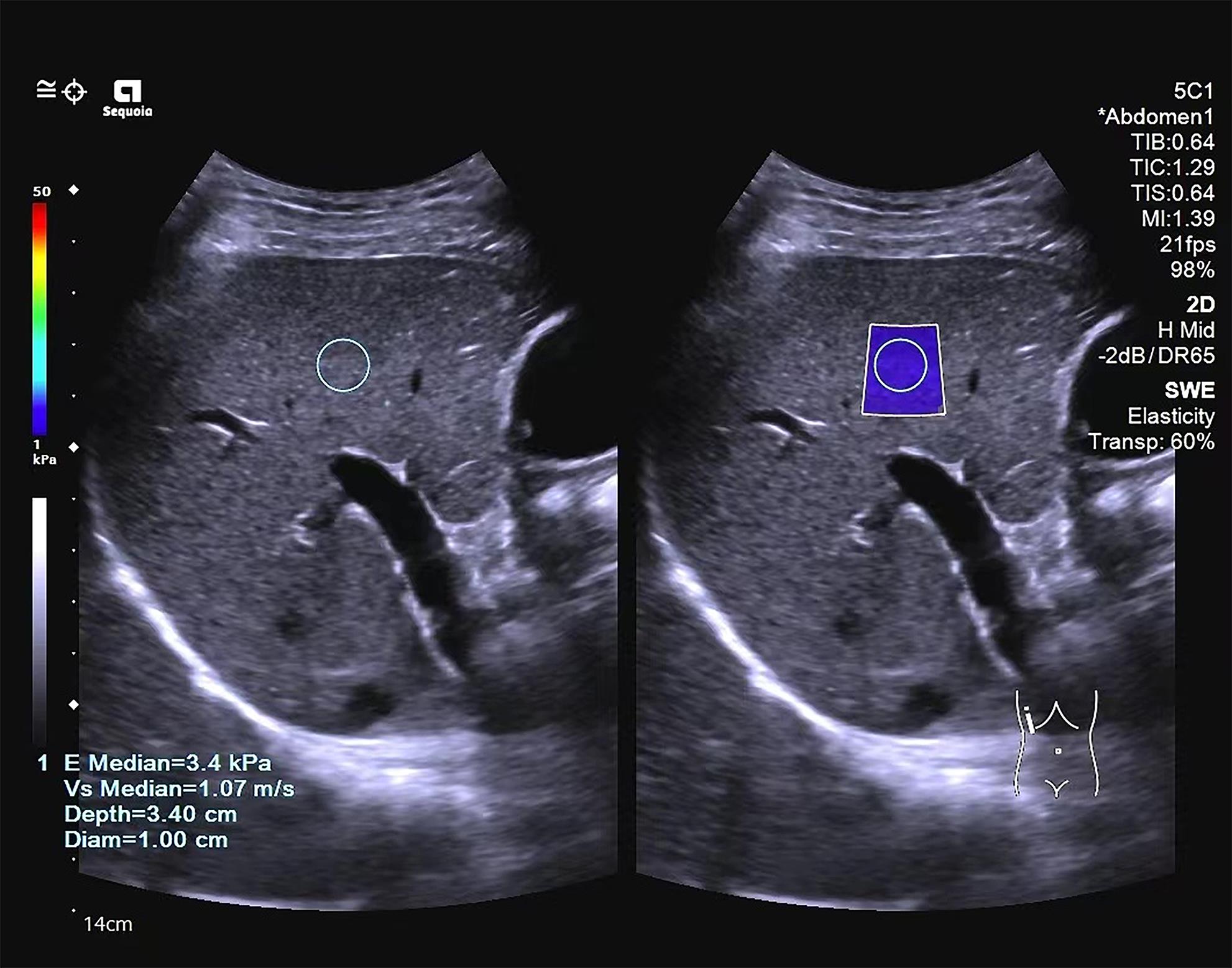
  •   Objective  To investigate the value of two-dimensional shear wave elastography (2D-SWE) or serological models used alone or in combination in determining the stage of liver fibrosis in patients with chronic hepatitis B.  Methods  A retrospective analysis was performed for the clinical data of 327 patients with chronic hepatitis B who were admitted to Mengchao Hepatobiliary Hospital of Fujian Medical University from August 2020 to August 2022 and underwent 2D-SWE and liver histopathological examination, including sex, age, serological markers, and 2D-SWE results. According to the degree of liver fibrosis, they were divided into S0-S1, S≥2, S≥3, and S=4 groups, and the serological models were calculated based on serological markers. A Spearman correlation analysis was used to investigate the correlation of 2D-SWE and serological models with liver fibrosis stage; the receiver operating characteristic curve was plotted with the results of liver histopathology as the standard to compare the efficiency of each parameter used alone or in combination in determining the stage of liver fibrosis; the Delong test was used to investigate the difference between different methods.  Results  Liver stiffness measurement measured by 2D-SWE was strongly correlated with the stage of liver fibrosis (r=0.741, P<0.001), and as for the serological model, six markers (APRI, FIB-4, GPR, GP, RPR, and S index), other than AAR, were positively correlated with the stage of liver fibrosis (all P<0.001). 2D-SWE had an area under the ROC curve (AUC) of 0.878, 0.932, and 0.942, respectively, in the diagnosis of S≥2, S≥3, and S=4 liver fibrosis (all P<0.001), with an optimal cut-off value of 6.9 kPa, 7.9 kPa, and 9.4 kPa, respectively. Among the serological models, APRI had the largest AUC of 0.788 and 0.875, respectively, in the diagnosis of S≥2 and S=4 liver fibrosis, and S index had the largest AUC of 0.846 in the diagnosis of S≥3 liver fibrosis. In the diagnosis of S≥2, S≥3, and S=4 liver fibrosis, 2D-SWE combined with APRI increased the AUC values to 0.887, 0.938, and 0.950, respectively, and 2D-SWE combined with S index increased the AUC values to 0.879, 0.935, and 0.941, respectively, while there were no significant differences between 2D-SWE and the above combinations (P>0.05).  Conclusion  2D-SWE has a better diagnostic efficacy than the above seven serological models in determining liver fibrosis stage. The serological models have a certain diagnostic value, among which APRI and S index have a relatively high diagnostic value. There is no significant difference between 2D-SWE and 2D-SWE combined with serological models, and such combinations cannot significantly improve diagnostic efficiency. Therefore, further studies are needed to explore new combinations of diagnostic methods.

     

  • loading
  • [1]
    SEKIBA K, OTSUKA M, OHNO M, et al. Hepatitis B virus pathogenesis: Fresh insights into hepatitis B virus RNA[J]. World J Gastroenterol, 2018, 24( 21): 2261- 2268. DOI: 10.3748/wjg.v24.i21.2261.
    [2]
    ROEHLEN N, CROUCHET E, BAUMERT TF. Liver fibrosis: mechanistic concepts and therapeutic perspectives[J]. Cells, 2020, 9( 4). DOI: 10.3390/cells9040875.
    [3]
    LI YP, LI CY, CAO D, et al. New progress in non-invasive diagnostic models of chronic hepatitis B liver fibrosis[J]. Chin Hepatol, 2017, 22( 12): 1144- 1146. DOI: 10.14000/j.cnki.issn.1008-1704.2017.12.023.

    李艳平, 李春艳, 曹丹, 等. 慢性乙型肝炎肝纤维化无创诊断模型研究新进展[J]. 肝脏, 2017, 22( 12): 1144- 1146. DOI: 10.14000/j.cnki.issn.1008-1704.2017.12.023.
    [4]
    WANG K, LU X, ZHOU H, et al. Deep learning radiomics of shear wave elastography significantly improved diagnostic performance for assessing liver fibrosis in chronic hepatitis B: a prospective multicentre study[J]. Gut, 2019, 68( 4): 729- 741. DOI: 10.1136/gutjnl-2018-316204.
    [5]
    HERRMANN E, de LÉDINGHEN V, CASSINOTTO C, et al. Assessment of biopsy-proven liver fibrosis by two-dimensional shear wave elastography: An individual patient data-based meta-analysis[J]. Hepatology, 2018, 67( 1): 260- 272. DOI: 10.1002/hep.29179.
    [6]
    Chinese Society of Infectious Diseases, Chinese Medical Association; Chinese Society of Hepatology, Chinese Medical Association. Guidelines for the prevention and treatment of chronic hepatitis B(version 2019)[J]. J Clin Hepatol, 2019, 35( 12): 2648- 2669. DOI: 10.3969/j.issn.1001-5256.2019.12.007.

    中华医学会感染病学分会, 中华医学会肝病学分会. 慢性乙型肝炎防治指南(2019年版)[J]. 临床肝胆病杂志, 2019, 35( 12): 2648- 2669. DOI: 10.3969/j.issn.1001-5256.2019.12.007.
    [7]
    SONNEVELD MJ, BROUWER WP, CHAN HL, et al. Optimisation of the use of APRI and FIB-4 to rule out cirrhosis in patients with chronic hepatitis B: results from the SONIC-B study[J]. Lancet Gastroenterol Hepatol, 2019, 4( 7): 538- 544. DOI: 10.1016/S2468-1253(19)30087-1.
    [8]
    XU XL, JIANG LS, WU CS, et al. The role of fibrosis index FIB-4 in predicting liver fibrosis stage and clinical prognosis: A diagnostic or screening tool?[J]. J Formos Med Assoc, 2022, 121( 2): 454- 466. DOI: 10.1016/j.jfma.2021.07.013.
    [9]
    ZHOU L, WANG SB, CHEN SG, et al. Prognostic value of ALT, AST, and AAR in hepatocellular carcinoma with B-type hepatitis-associated cirrhosis after radical hepatectomy[J]. Clin Lab, 2018, 64( 10): 1739- 1747. DOI: 10.7754/Clin.Lab.2018.180532.
    [10]
    DING R, LU W, ZHOU X, et al. A novel non-invasive model based on GPR for the prediction of liver fibrosis in patients with chronic hepatitis B[J]. Front Med(Lausanne), 2021, 8: 727706. DOI: 10.3389/fmed.2021.727706.
    [11]
    LI Q, LU C, LI W, et al. Globulin-platelet model predicts significant fibrosis and cirrhosis in CHB patients with high HBV DNA and mildly elevated alanine transaminase levels[J]. Clin Exp Med, 2018, 18( 1): 71- 78. DOI: 10.1007/s10238-017-0472-3.
    [12]
    YUYUN D, ZHIHUA T, HAIJUN W, et al. Predictive value of the red blood cell distribution width-to-platelet ratio for hepatic fibrosis[J]. Scand J Gastroenterol, 2019, 54( 1): 81- 86. DOI: 10.1080/00365521.2018.1558786.
    [13]
    TAG-ADEEN M, OMAR MZ, ABD-ELSALAM FM, et al. Assessment of liver fibrosis in Egyptian chronic hepatitis B patients: A comparative study including 5 noninvasive indexes[J]. Medicine(Baltimore), 2018, 97( 6): e9781. DOI: 10.1097/MD.0000000000009781.
    [14]
    Chinese Society of Hepatology, Chinese Medical Association; Chinese Society of Gastroenterology, Chinese Medical Association; Chinese Society of Infectious Diseases, Chinese Medical Association. Consensus on the diagnosis and therapy of hepatic fibrosis(2019)[J]. J Clin Hepatol, 2019, 35( 10): 2163- 2172. DOI: 10.3969/j.issn.1001-5256.2019.10.007.

    中华医学会肝病学分会, 中华医学会消化病学分会, 中华医学会感染病学分会. 肝纤维化诊断及治疗共识(2019年)[J]. 临床肝胆病杂志, 2019, 35( 10): 2163- 2172. DOI: 10.3969/j.issn.1001-5256.2019.10.007.
    [15]
    DESMET VJ, GERBER M, HOOFNAGLE JH, et al. Classification of chronic hepatitis: diagnosis, grading and staging[J]. Hepatology, 1994, 19( 6): 1513- 1520.
    [16]
    DONG M, WU J, YU X, et al. Validation and comparison of seventeen noninvasive models for evaluating liver fibrosis in Chinese hepatitis B patients[J]. Liver Int, 2018, 38( 9): 1562- 1570. DOI: 10.1111/liv.13688.
    [17]
    TAO ZZ, WANG YL, SUN YH, et al. Comparison of different Young’s modulus determination by two-dimensional shear wave elastography in predicting liver fibrosis in patients with chronic hepatitis B.[J]. J Prac Hepatol, 2023, 26( 3): 328- 331. DOI: 10.3969/j.issn.1672-5069.2023.03.007.

    陶贞贞, 王永莉, 孙红艳, 等. 二维剪切波弹性成像诊断慢性乙型肝炎患者肝纤维化价值研究[J]. 实用肝脏病杂志, 2023, 26( 3): 328- 331. DOI: 10.3969/j.issn.1672-5069.2023.03.007.
    [18]
    OSMAN AM, SHIMY A EL, AZIZ MM ABD EL. 2D shear wave elastography(SWE) performance versus vibration-controlled transient elastography(VCTE/fibroscan) in the assessment of liver stiffness in chronic hepatitis[J]. Insights Imaging, 2020, 11( 1): 38. DOI: 10.1186/s13244-020-0839-y.
    [19]
    GUO H, LIAO M, JIN J, et al. How intrahepatic cholestasis affects liver stiffness in patients with chronic hepatitis B: a study of 1197 patients with liver biopsy[J]. Eur Radiol, 2020, 30( 2): 1096- 1104. DOI: 10.1007/s00330-019-06451-x.
    [20]
    EKIN N, UCMAK F, EBIK B, et al. GPR, King’s Score and S-Index are superior to other non-invasive fibrosis markers in predicting the liver fibrosis in chronic hepatitis B patients[J]. Acta Gastroenterol Belg, 2022, 85( 1): 62- 68. DOI: 10.51821/85.1.9156.
    [21]
    KAVAK S, KAYA S, SENOL A, et al. Evaluation of liver fibrosis in chronic hepatitis B patients with 2D shear wave elastography with propagation map guidance: a single-centre study[J]. BMC Med Imaging, 2022, 22( 1): 50. DOI: 10.1186/s12880-022-00777-7.
    [22]
    ZHUANG Y, DING H, ZHANG Y, et al. Two-dimensional shear-wave elastography performance in the noninvasive evaluation of liver fibrosis in patients with chronic hepatitis B: Comparison with serum fibrosis indexes[J]. Radiology, 2017, 283( 3): 873- 882. DOI: 10.1148/radiol.2016160131.
  • 加载中

Catalog

    通讯作者: 陈斌, bchen63@163.com
    • 1. 

      沈阳化工大学材料科学与工程学院 沈阳 110142

    1. 本站搜索
    2. 百度学术搜索
    3. 万方数据库搜索
    4. CNKI搜索

    Figures(4)  / Tables(6)

    Article Metrics

    Article views (1111) PDF downloads(84) Cited by()
    Proportional views
    Related

    /

    DownLoad:  Full-Size Img  PowerPoint
    Return
    Return