中文English
ISSN 1001-5256 (Print)
ISSN 2097-3497 (Online)
CN 22-1108/R
Volume 37 Issue 6
Jun.  2021
Turn off MathJax
Article Contents

Role and mechanism of Lycium barbarum polysaccharide combined with aerobic exercise in improving nonalcoholic steatohepatitis in rats

DOI: 10.3969/j.issn.1001-5256.2021.06.026
  • Received Date: 2020-12-06
  • Accepted Date: 2021-01-05
  • Published Date: 2021-06-20
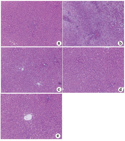
  •   Objective  To investigate the protective effect of Lycium barbarum polysaccharide (LBP) combined with aerobic exercise (AE) on the liver of rats with nonalcoholic steatohepatitis (NASH) induced by high-fat diet based on the p38 mitogen-activated protein kinase (p38 MAPK)-nuclear factor-κB (NF-κB) pathway.  Methods  After 1 week of adaptive feeding, 45 Sprague-Dawley rats, aged 8 weeks, were randomly divided into control group (10 rats fed with normal diet) and high-fat group (35 rats fed with high-fat diet). At the end of week 28, the high-fat group was randomly divided into model group, LBP group, AE group, and LBP+AE group, with 8 rats in each group, and intervention was performed for 10 weeks. At the end of the experiment, fasting blood glucose was measure for all rats, and serum samples, liver tissue, and visceral fat were collected. Biochemical kits were used to measure the serum levels of triglyceride (TG), total cholesterol (TC), alanine aminotransferase (ALT), and aspartate aminotransferase (AST); ELISA kits were used to measure the serum levels of fasting insulin (FINS), tumor necrosis factor-α (TNF-α), interleukin-6 (IL-6), and monocyte chemotactic protein-1 (MCP-1); quantitative real-time PCR and Western blot were used to measure the mRNA and protein expression levels of Toll-like receptor 4 (TLR4), p38 MAPK, and NF-κB in liver tissue. A one-way analysis of variance was used for comparison of continuous data between multiple groups, and the least significant difference t-test was used for further comparison between two groups.  Results  Compared with the control group, the model group had significant increases in TG, TC, AST, ALT, FINS, and homeostasis model assessment of insulin resistance (HOMA-IR) (all P < 0.05), a tendency of increases in the serum levels of the inflammatory factors MCP-1, TNF-α, and IL-6 (all P < 0.05), and significant increases in the mRNA and protein expression levels of TLR4, p38 MAPK, and NF-κB in liver tissue (all P < 0.05). Compared with the model group, each intervention group had significant reductions in TG, TC, AST, ALT, FINS, and HOMA-IR (all P < 0.05), a tendency of reductions in the serum levels of the inflammatory factors MCP-1, TNF-α, and IL-6 (all P < 0.05), and significant reductions in the mRNA and protein expression levels of TLR4, p38 MAPK, and NF-κB (all P < 0.05). Compared with LBP group, the LBP+AE group had significant reductions in TG, ALT, FINS, HOMA-IR, MCP-1, the mRNA expression level of TLR4, protein expression levels of p38 MAPK and NF-κB(all P < 0.05). Compared with Ae group, the LBP+ AE group had significant reductions in FINS, HOMA-IR, IL-6, MCP-1, the mRNA expression level of TLR4 (all P < 0.05).  Conclusion  LBP combined with AE may improve inflammation in NASH rats by regulating the p38 MAPK/NF-κB pathway.

     

  • loading
  • [1]
    LU XL, JIANG YY, CAO Q. The role of oxidative stress and nuclear factor erythroid 2-related factor 2 in nonalcoholic fatty liver disease[J]. J Clin Hepatol, 2020, 36(4): 924-927. DOI: 10.3969/j.issn.1001-5256.2020.04.048.

    陆孝良, 蒋元烨, 曹勤. 氧化应激与核因子E2相关因子2在非酒精性脂肪性肝病中的作用[J]. 临床肝胆病杂志, 2020, 36(4): 924-927. DOI: 10.3969/j.issn.1001-5256.2020.04.048.
    [2]
    BOECKMANS J, NATALE A, ROMBAUT M, et al. Flow cytometric quantification of neutral lipids in a human skin stem cell-derived model of NASH[J]. MethodsX, 2020, 7: 101068. DOI: 10.1016/j.mex.2020.101068.
    [3]
    NSEIR W, MAHAMID M. Statins in nonalcoholic fatty liver disease and steatohepatitis: Updated review[J]. Curr Atheroscler Rep, 2013, 15(3): 305. DOI: 10.1007/s11883-012-0305-5.
    [4]
    XIAO J, LIONG EC, CHING YP, et al. Lycium barbarum polysaccharides protect rat liver from non-alcoholic steatohepatitis-induced injury[J]. Nutr Diabetes, 2013, 3: e81. DOI: 10.1038/nutd.2013.22.
    [5]
    JIA L, LI W, LI J, et al. Lycium barbarum polysaccharide attenuates high-fat diet-induced hepatic steatosis by up-regulating SIRT1 expression and deacetylase activity[J]. Sci Rep, 2016, 6: 36209. DOI: 10.1038/srep36209.
    [6]
    XIAO J, XING F, HUO J, et al. Lycium barbarum polysaccharides therapeutically improve hepatic functions in non-alcoholic steatohepatitis rats and cellular steatosis model[J]. Sci Rep, 2014, 4: 5587. DOI: 10.1038/srep05587.
    [7]
    TAKAHASHI H, KOTANI K, TANAKA K, et al. Therapeutic approaches to nonalcoholic fatty liver disease: Exercise intervention and related mechanisms[J]. Front Endocrinol (Lausanne), 2018, 9: 588. DOI: 10.3389/fendo.2018.00588.
    [8]
    GUO YQ, WU Q, WU YT, et al. Effect of Lycium barbarum polysaccharide and aerobic exercise on rats with non-alcoholic fatty liver disease and its mechanism[J]. J Shanghai Jiaotong Univ(Med Sci), 2020, 40(1): 30-36. DOI: 10.3969/j.issn.1674-8115.2020.01.005.

    郭怡琼, 吴琼, 吴雅婷, 等. 枸杞多糖和有氧运动对大鼠非酒精性脂肪肝的干预效果及其机制研究[J]. 上海交通大学学报(医学版), 2020, 40(1): 30-36. DOI: 10.3969/j.issn.1674-8115. 2020.01.005.
    [9]
    NAKAMURA A, TERAUCHI Y. Lessons from mouse models of high-fat diet-induced NAFLD[J]. Int J Mol Sci, 2013, 14(11): 21240-21257. DOI: 10.3390/ijms141121240.
    [10]
    GONG XW, XU YJ, YANG QH, et al. Effect of soothing gan (liver) and invigorating pi (spleen) recipes on TLR4-p38 MAPK pathway in kupffer cells of non-alcoholic steatohepatitis rats[J]. Chin J Integr Med, 2019, 25(3): 216-224. DOI: 10.1007/s11655-018-2829-6.
    [11]
    The Chinese National Workshop on Fatty Liver and Alcoholic Liver Disease for the Chinese Liver Disease Association. Guidelines for management of nonalcoholic fatty liver disease: an updated and revised edition[J]. J Clin Hepatol, 2010, 26 (2): 120-124. http://lcgdbzz.org/cn/article/doi/1001-5256%20(2010)%2002-0120-05

    中华医学会肝病学分会脂肪肝和酒精性肝病学组. 非酒精性脂肪性肝病诊疗指南[J]. 临床肝胆病杂志, 2010, 26 (2): 120-124. http://lcgdbzz.org/cn/article/doi/1001-5256%20(2010)%2002-0120-05
    [12]
    YIMIN, FURUMAKI H, MATSUOKA S, et al. A novel murine model for non-alcoholic steatohepatitis developed by combination of a high-fat diet and oxidized low-density lipoprotein[J]. Lab Invest, 2012, 92(2): 265-281. DOI: 10.1038/labinvest.2011.159.
    [13]
    ESTES C, RAZAVI H, LOOMBA R, et al. Modeling the epidemic of nonalcoholic fatty liver disease demonstrates an exponential increase in burden of disease[J]. Hepatology, 2018, 67(1): 123-133. DOI: 10.1002/hep.29466.
    [14]
    ESTES C, ANSTEE QM, ARIAS-LOSTE MT, et al. Modeling NAFLD disease burden in China, France, Germany, Italy, Japan, Spain, United Kingdom, and United States for the period 2016-2030[J]. J Hepatol, 2018, 69(4): 896-904. DOI: 10.1016/j.jhep.2018.05.036.
    [15]
    BENEDICT M, ZHANG X. Non-alcoholic fatty liver disease: An expanded review[J]. World J Hepatol, 2017, 9(16): 715-732. DOI: 10.4254/wjh.v9.i16.715.
    [16]
    DENG Y, TANG K, CHEN R, et al. Effects of Shugan-Jianpi recipe on the expression of the p38 MAPK/NF-κB signaling pathway in the hepatocytes of NAFLD rats[J]. Medicines (Basel), 2018, 5(3). DOI: 10.3390/medicines5030106.
    [17]
    RECTOR RS, UPTERGROVE GM, MORRIS EM, et al. Daily exercise vs. caloric restriction for prevention of nonalcoholic fatty liver disease in the OLETF rat model[J]. Am J Physiol Gastrointest Liver Physiol, 2011, 300(5): g874-g883. DOI: 10.1152/ajpgi.00510.2010.
    [18]
    YANG QH, XU YJ, LIU YZ, et al. Effects of Chaihu-Shugan-San and Shen-Ling-Bai-Zhu-San on p38 MAPK pathway in Kupffer cells of nonalcoholic steatohepatitis[J]. Evid Based Complement Alternat Med, 2014, 2014: 671013. DOI: 10.1155/2014/671013.
    [19]
    DONOHOE F, WILKINSON M, BAXTER E, et al. Mitogen-activated protein kinase (MAPK) and obesity-related cancer[J]. Int J Mol Sci, 2020, 21(4). DOI: 10.3390/ijms21041241.
    [20]
    LUEDDE T, SCHWABE R F. NF-κB in the liver-linking injury, fibrosis and hepatocellular carcinoma[J]. Nat Rev Gastro Hepat, 2011, 8(2): 108-118. DOI: 10.1038/nrgastro.2010.213
    [21]
    KANG HH, KIM IK, LEE HI, et al. Chronic intermittent hypoxia induces liver fibrosis in mice with diet-induced obesity via TLR4/MyD88/MAPK/NF-κB signaling pathways[J]. Biochem Bioph Res Co, 2017, 490(2): 349-355. DOI: 10.1016/j.bbrc.2017.06.047.
    [22]
    WANG XA, ZHANG R, SHE ZG, et al. Interferon regulatory factor 3 constrains IKKβ/NF-κB signaling to alleviate hepatic steatosis and insulin resistance[J]. Hepatology, 2014, 59(3): 870-885. DOI: 10.1002/hep.26751.
    [23]
    LEE DE, LEE SJ, KIM SJ, et al. Curcumin ameliorates nonalcoholic fatty liver disease through inhibition of O-GlcNAcylation[J]. Nutrients, 2019, 11(11). DOI: 10.3390/nu11112702.
    [24]
    MANNE V, HANDA P, KOWDLEY KV. Pathophysiology of nonalcoholic fatty liver disease/nonalcoholic steatohepatitis[J]. Clin Liver Dis, 2018, 22(1): 23-37. DOI: 10.1016/j.cld.2017.08.007.
  • 加载中

Catalog

    通讯作者: 陈斌, bchen63@163.com
    • 1. 

      沈阳化工大学材料科学与工程学院 沈阳 110142

    1. 本站搜索
    2. 百度学术搜索
    3. 万方数据库搜索
    4. CNKI搜索

    Figures(2)  / Tables(7)

    Article Metrics

    Article views (881) PDF downloads(43) Cited by()
    Proportional views
    Related

    /

    DownLoad:  Full-Size Img  PowerPoint
    Return
    Return