中文English
ISSN 1001-5256 (Print)
ISSN 2097-3497 (Online)
CN 22-1108/R
Volume 37 Issue 6
Jun.  2021
Turn off MathJax
Article Contents

Effectiveness and safety of nanoknife ablation guided by real-time virtual sonography in treatment of locally advanced pancreatic cancer

DOI: 10.3969/j.issn.1001-5256.2021.06.033
  • Received Date: 2020-11-18
  • Accepted Date: 2020-12-22
  • Published Date: 2021-06-20
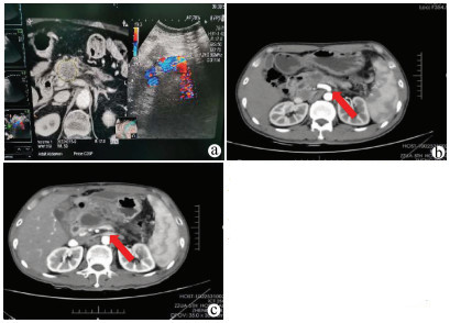
  •   Objective  To investigate the effectiveness and safety of nanoknife ablation guided by real-time virtual sonography (RVS) in the treatment of locally advanced pancreatic cancer (LAPC).  Methods  A retrospective analysis was performed for the clinical data of 27 patients with LAPC who attended The Fifth Affiliated Hospital of Zhengzhou University from April 2018 to October 2019, and according to the treatment method, the patients were divided into combination group (12 patients treated with IRE combined with chemotherapy) and control group (15 patients treated with chemotherapy alone). The chemotherapy regimen was gemcitabine combined with tegafur, gimeracil and oteracil potassium for both groups. Adverse reactions and complications were observed for the combination group during the perioperative period, and the two groups were compared in terms of the changes in myocardial enzymes, blood amylase, and carbohydrate antigen 19-9 (CA19-9) before treatment and at different time points after treatment, as well as remission rate (RR) and disease control rate (DCR) at 3 months after treatment and survival status during follow-up. The Mann-Whitney U test was used for comparison of non-normally distributed continuous data between groups, and the Wilcoxon test was used for comparison within each group; the Fisher's exact test was used for comparison of categorical data between groups; the Kaplan-Meier method was used to analyze the survival status during follow-up.  Results  In the combination group, there were 12 cases of adverse reactions and mild complications during the perioperative period, i.e., 9 Clavien-Dindo grade Ⅰ cases and 3 grade Ⅱ cases. All patients in the combination group experienced a transient increase in myocardial enzymes, which returned to normal within 7 days, and there were no significant changes in creatine kinase and lactate dehydrogenase on day 7 after treatment (P > 0.05); 9 patients had a significant increase in blood amylase on day 1 after surgery, which significantly decreased on day 7 after surgery and basically returned to normal on day 14 after surgery, and there was no significant change in blood amylase on days 7、14, and 1 month after surgery (P > 0.05). Before treatment, the level of CA19-9 was higher than the normal value in both groups, and the combination group had a significant reduction in CA19-9 at 1, 2, and 3 months after treatment (all P < 0.05); in the control group, the level of CA19-9 firstly decreased for a short time and then increased, while there was no significant change in CA19-9 at 1, 2, and 3 months after treatment (all P > 0.05). At 3 months after treatment, the combination group had significantly higher RR and DCR than the control group (RR: 75.0% vs 26.7%, P=0.021; DCR: 91.6% vs 53.3%, P=0.043). During the median follow-up time of 13 months, compared with the control group, the combination group had significantly higher median progression-free survival time (10 months vs 5 months, P=0.014) and median overall survival time (18 months vs 10 months, P=0.034).  Conclusion  RVS-guided percutaneous nanoknife ablation has marked clinical effect and high safety in the treatment of LAPC and can be used as a new treatment option for patients who refuse or cannot tolerate laparotomy for ablation therapy.

     

  • loading
  • [1]
    Pancreatic Cancer Committee of Chinese Anti-Cancer Association. Comprehensive guidelines for the diagnosis and treatment of pancreatic cancer (2018 version)[J]. J Clin Hepatol, 2018, 34(10): 2109-2120. DOI: 10.3969/j.issn.1001-5256.2018.10.011.

    中国抗癌协会胰腺癌专业委员会. 胰腺癌综合治疗指南(2018版)[J]. 临床肝胆病杂志, 2018, 34(10): 2109-2120. DOI: 10.3969/j.issn.1001-5256.2018.10.011.
    [2]
    HE C, WANG J, ZHANG Y, et al. Comparison of combination therapies in the management of locally advanced pancreatic cancer: Induction chemotherapy followed by irreversible electroporation vs radiofrequency ablation[J]. Cancer Med, 2020, 9(13): 4699-4710. DOI: 10.1002/cam4.3119.
    [3]
    PAIELLA S, de PASTENA M, D'ONOFRIO M, et al. Palliative therapy in pancreatic cancer-interventional treatment with radiofrequency ablation/irreversible electroporation[J]. Transl Gastroenterol Hepatol, 2018, 3: 80. DOI: 10.21037/tgh.2018.10.05.
    [4]
    HAMMEL P, HUGUET F, van LAETHEM JL, et al. Effect of chemoradiotherapy vs chemotherapy on survival in patients with locally advanced pancreatic cancer controlled after 4 months of gemcitabine with or without erlotinib: The LAP07 randomized clinical trial[J]. JAMA, 2016, 315(17): 1844-1853. DOI: 10.1001/jama.2016.4324.
    [5]
    VROOMEN L, PETRE EN, CORNELIS FH, et al. Irreversible electroporation and thermal ablation of tumors in the liver, lung, kidney and bone: What are the differences?[J]. Diagn Interv Imaging, 2017, 98(9): 609-617. DOI: 10.1016/j.diii.2017.07.007.
    [6]
    VOGEL JA, van VELDHUISEN E, AGNASS P, et al. Time-dependent impact of irreversible electroporation on pancreas, liver, blood vessels and nerves: A systematic review of experimental studies[J]. PLoS One, 2016, 11(11): e0166987. DOI: 10.1371/journal.pone.0166987.
    [7]
    van ROESSEL S, KASUMOVA GG, VERHEIJ J, et al. International validation of the eighth edition of the American Joint Committee on Cancer (AJCC) TNM staging system in patients with resected pancreatic cancer[J]. JAMA Surg, 2018, 153(12): e183617. DOI: 10.1001/jamasurg.2018.3617.
    [8]
    LENCIONI R, LLOVET JM. Modified RECIST (mRECIST) assessment for hepatocellular carcinoma[J]. Semin Liver Dis, 2010, 30(1): 52-60. DOI: 10.1055/s-0030-1247132.
    [9]
    RUARUS A, VROOMEN L, PUIJK R, et al. Locally advanced pancreatic cancer: A review of local ablative therapies[J]. Cancers (Basel), 2018, 10(1): 16. DOI: 10.3390/cancers10010016.
    [10]
    Chinese Society of Interventional and Minimally Invasive Therapy, China Medicine Education Association. Expert consensus on image-guided irreversible electroporation ablation for pancreatic cancer (2018 version)[J]. J Clin Hepatol, 2019, 35(2): 299-302. DOI: 10.3969/j.issn.1001-5256.2019.02.011

    中国医药教育协会介入微创治疗专业委员会. 影像学引导胰腺癌不可逆电穿孔消融治疗专家共识2018版[J]. 临床肝胆病杂志, 2019, 35(2): 299-302. DOI: 10.3969/j.issn.1001-5256.2019.02.011.
    [11]
    AL EFISHAT M, WOLFGANG CL, WEISS MJ. Stage Ⅲ pancreatic cancer and the role of irreversible electroporation[J]. BMJ, 2015, 350: h521. DOI: 10.1136/bmj.h521.
    [12]
    HOU JY, LIU RB, LIU Y, et al. The value of radiofrequency ablation in the special sites of the liver cancer by combining ultrasound guided with CT monitoring[J]. J Clin Radiol, 2012, 31(7): 1014-1017. https://www.cnki.com.cn/Article/CJFDTOTAL-LCFS201207029.htm

    侯继野, 刘瑞宝, 刘岩, 等. 超声引导联合CT监视在特殊部位肝癌射频治疗中的应用价值[J]. 临床放射学杂志, 2012, 31(7): 1014-1017. https://www.cnki.com.cn/Article/CJFDTOTAL-LCFS201207029.htm
    [13]
    BELFIORE MP, RONZA FM, ROMANO F, et al. Percutaneous CT-guided irreversible electroporation followed by chemotherapy as a novel neoadjuvant protocol in locally advanced pancreatic cancer: Our preliminary experience[J]. Int J Surg, 2015, 21(Suppl 1): s34-s39. DOI: 10.1016/j.ijsu.2015.06.049.
    [14]
    ZHANG Y, SHI J, ZENG J, et al. Percutaneous irreversible electroporation for ablation of locally advanced pancreatic cancer: Experience from a Chinese institution[J]. Pancreas, 2017, 46(2): e12-12e14. DOI: 10.1097/MPA.0000000000000703.
    [15]
    SCHEFFER HJ, VROOMEN LG, de JONG MC, et al. Ablation of locally advanced pancreatic cancer with percutaneous irreversible electroporation: Results of the Phase Ⅰ/Ⅱ PANFIRE Study[J]. Radiology, 2017, 282(2): 585-597. DOI: 10.1148/radiol.2016152835.
    [16]
    TONG H, LI XY, CHEN YJ, et al. Complications of nano-knife ablation on locally advanced pancreatic cancer[J]. Chin J Hepatobiliary Surg, 2020, 26(4): 270-271. DOI: 10.3760/cma.j.cn113884-20190923-00312.

    仝昊, 李晓勇, 陈艳军, 等. 局部进展期胰腺癌纳米刀消融术后并发症分析[J]. 中华肝胆外科杂志, 2020, 26(4) : 270-271. DOI: 10.3760/cma.j.cn113884-20190923-00312.
    [17]
    MORIS D, MACHAIRAS N, TSILIMIGRAS DI, et al. Systematic review of surgical and percutaneous irreversible electroporation in the treatment of locally advanced pancreatic cancer[J]. Ann Surg Oncol, 2019, 26(6): 1657-1668. DOI: 10.1245/s10434-019-07261-7.
    [18]
    MARTIN RC 2nd, KWON D, CHALIKONDA S, et al. Treatment of 200 locally advanced (stage Ⅲ) pancreatic adenocarcinoma patients with irreversible electroporation: Safety and efficacy[J]. Ann Surg, 2015, 262(3): 486-494; discussion 492-494. DOI: 10.1097/SLA.0000000000001441.
    [19]
    YANG PC, HUANG KW, PUA U, et al. Prognostic factor analysis of irreversible electroporation for locally advanced pancreatic cancer-A multi-institutional clinical study in Asia[J]. Eur J Surg Oncol, 2020, 46(5): 811-817. DOI: 10.1016/j.ejso.2019.12.006.
  • 加载中

Catalog

    通讯作者: 陈斌, bchen63@163.com
    • 1. 

      沈阳化工大学材料科学与工程学院 沈阳 110142

    1. 本站搜索
    2. 百度学术搜索
    3. 万方数据库搜索
    4. CNKI搜索

    Figures(2)  / Tables(5)

    Article Metrics

    Article views (1370) PDF downloads(68) Cited by()
    Proportional views
    Related

    /

    DownLoad:  Full-Size Img  PowerPoint
    Return
    Return