中文English
ISSN 1001-5256 (Print)
ISSN 2097-3497 (Online)
CN 22-1108/R
Volume 37 Issue 6
Jun.  2021
Turn off MathJax
Article Contents

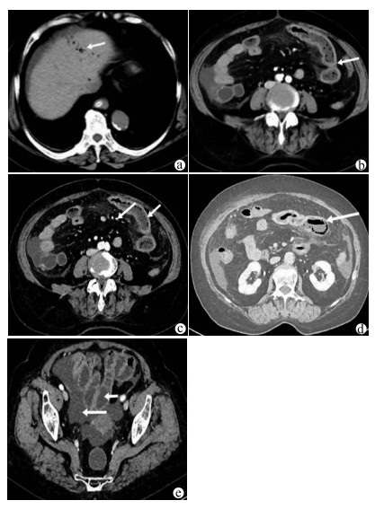
A case of acute hemorrhagic necrotizing enteritis with hepatic portal venous gas

DOI: 10.3969/j.issn.1001-5256.2021.06.041
  • Received Date: 2020-10-24
  • Accepted Date: 2020-11-17
  • Published Date: 2021-06-20
  • loading
  • [1]
    LIU GJ, SHI XD, CAI XJ. A case of hemorrhagic necrotic enteritis[J]. Chin J Dig Endosc, 2012, 29(5): 294-295. DOI: 10.3760/cma.j.issn.1007-5232.2012.05.019.

    刘光军, 史晓丹, 蔡相军. 出血坏死性小肠炎一例[J]. 中华消化内镜杂志, 2012, 29(5): 294-295. DOI: 10.3760/cma.j.issn.1007-5232.2012.05.019.
    [2]
    YING BY, SHANGGUAN XQ. Misdiagnosis of acute hemorrhagic necrotic enteritis: A case[J]. Chin Gen Pract, 2000, 3(3): 235. DOI: 10.3969/j.issn.1007-9572.2000.03.038.

    应斌宇, 上官学强. 急性出血坏死性小肠炎误诊1例[J]. 中国全科医学, 2000, 3(3): 235. DOI: 10.3969/j.issn.1007-9572.2000.03.038.
    [3]
    ZHANG ZW, SU HG, SUN XH, et al. Surgical diagnosis and treatment of severe necrotic enteritis[J]. China J Prac Med, 2009, 36(4): 71-72. DOI:10.3760/cma.j.issn.1674-4756.2009.04. 039.

    张振武, 苏红革, 孙雪花, 等. 重症坏死性小肠炎的外科诊治[J]. 中国实用医刊, 2009, 36(4): 71-72. DOI:10.3760/cma.j.issn.1674-4756.2009.04. 039.
    [4]
    WOLFE JN, EVANS WA. Gas in the portal veins of the liver in infants; a roentgenographic demonstration with postmortem anatomical correlation[J]. Am J Roentgenol Radium Ther Nucl Med, 1955, 74(3): 486-488.
    [5]
    LI JS, TIAN XD, CHEN YR, et al. Two cases of ischemic intestinal necrosis combined with hepatic portal venous gas[J]. Chin J Gen Surg, 2015, 30(5): 411-412. DOI: 10.3760/cma.j.issn.1007-631X.2015.05.026.

    李佶松, 田孝东, 陈依然, 等. 缺血性肠坏死合并门静脉积气二例[J]. 中华普通外科杂志, 2015, 30(5): 411-412. DOI: 10.3760/cma.j.issn.1007-631X.2015.05.026.
    [6]
    WANG M, SONG J, GONG S, et al. Hepatic portal venous gas with pneumatosis intestinalis secondary to mesenteric ischemia in elderly patients: Two case reports[J]. Medicine (Baltimore), 2020, 99(17): e19810. DOI: 10.1097/MD.0000000000019810.
    [7]
    LIEBMAN PR, PATTEN MT, MANNY J, et al. Hepatic-portal venous gas in adults: Etiology, pathophysiology and clinical significance[J]. Ann Surg, 1978, 187(3): 281-287. DOI: 10.1097/00000658-197803000-00012.
    [8]
    KOIZUMI C, MICHIHATA N, MATSUI H, et al. In-hospital mortality for hepatic portal venous gas: Analysis of 1590 patients using a japanese national inpatient database[J]. World J Surg, 2018, 42(3): 816-822. DOI: 10.1007/s00268-017-4189-y.
    [9]
    ABBOUD B, EL HACHEM J, YAZBECK T, et al. Hepatic portal venous gas: Physiopathology, etiology, prognosis and treatment[J]. World J Gastroenterol, 2009, 15(29): 3585-3590. DOI: 10.3748/wjg.15.3585.
    [10]
    WANG DL, KANG Q, PENG F, et al. A case of hepatic portal venous gas due to esophageal rupture[J]. Chin J Gen Surg, 2018, 33(4): 344-345. DOI: 10.3760/cma.j.issn.1007-631X.2018. 04.022.

    汪登亮, 康权, 彭飞, 等. 食管破裂致不典型肝门静脉积气一例[J]. 中华普通外科杂志, 2018, 33(4): 344-345. DOI: 10.3760/cma.j.issn.1007-631X.2018.04.022.
  • 加载中

Catalog

    通讯作者: 陈斌, bchen63@163.com
    • 1. 

      沈阳化工大学材料科学与工程学院 沈阳 110142

    1. 本站搜索
    2. 百度学术搜索
    3. 万方数据库搜索
    4. CNKI搜索

    Figures(1)

    Article Metrics

    Article views (772) PDF downloads(51) Cited by()
    Proportional views
    Related

    /

    DownLoad:  Full-Size Img  PowerPoint
    Return
    Return