中文English
ISSN 1001-5256 (Print)
ISSN 2097-3497 (Online)
CN 22-1108/R
Volume 37 Issue 6
Jun.  2021
Turn off MathJax
Article Contents

Complete remission after comprehensive treatment of lung metastases following liver cancer surgery: A case report

DOI: 10.3969/j.issn.1001-5256.2021.06.044
  • Received Date: 2020-11-08
  • Accepted Date: 2020-12-04
  • Published Date: 2021-06-20
  • loading
  • [1]
    YUAN SX, ZHOU WP. Progress and hot spots of comprehensive treatment for primary liver cancer[J]. Chin J Dig Surg, 2021, 20(2): 163-170. DOI: 10.3760/cma.j.cn115610-20201211-00776.

    袁声贤, 周伟平. 原发性肝癌综合治疗的进展和热点[J]. 中华消化外科杂志, 2021, 20(2): 163-170. DOI: 10.3760/cma.j.cn115610-20201211-00776.
    [2]
    JIANG J, HU ZQ, CHEN G, et al. Research advances in conversion therapy for primary liver cancer[J]. J Clin Hepatol, 2020, 36(8): 1870-1873. DOI: 10.3969/j.issn.1001-5256.2020.08.042.

    江杰, 胡宗强, 陈刚, 等. 原发性肝癌转化治疗研究进展[J]. 临床肝胆病杂志, 2020, 36(8): 1870-1873. DOI: 10.3969/j.issn.1001-5256.2020.08.042.
    [3]
    YUAN XL. Downstaging conversion therapy for advanced primary liver cancer[J]. J Clin Hepatol, 2020, 36(2): 267-271. DOI: 10.3969/j.issn.1001-5256.2020.02.005.

    袁响林. 中晚期原发性肝癌的降期转化治疗[J]. 临床肝胆病杂志, 2020, 36(2): 267-271. DOI: 10.3969/j.issn.1001-5256.2020.02.005.
    [4]
    ANVARI FA, ALAVIAN SM, NOROUZI M, et al. Prevalence and molecular analysis of occult hepatitis B virus infection isolated in a sample of cryptogenic cirrhosis patients in iran[J]. Oman Med J, 2014, 29(2): 92-96. DOI: 10.5001/omj.2014.23.
    [5]
    LI XM. Correlative study on occult HBV infection and disease progression and prognosis of patients with primary liver cancer[J]. Pract J Cancer, 2016, 31(6): 979-982. DOI: 10.3969/j.issn.1001-5930.2016.06.034.

    李晓明. 隐匿性HBV感染与原发性肝癌患者的疾病进展及预后的相关性研究[J]. 实用癌症杂志, 2016, 31(6): 979-982. DOI: 10.3969/j.issn.1001-5930.2016.06.034.
    [6]
    WU W, HE X, ANDAYANI D, et al. Pattern of distant extrahepatic metastases in primary liver cancer: A SEER based study[J]. J Cancer, 2017, 8(12): 2312-2318. DOI: 10.7150/jca.19056.
    [7]
    CRUZ RJ Jr, RANGANATHAN S, MAZARIEGOS G, et al. Analysis of national and single-center incidence and survival after liver transplantation for hepatoblastoma: New trends and future opportunities[J]. Surgery, 2013, 153(2): 150-159. DOI: 10.1016/j.surg.2012.11.006.
    [8]
    FENG Y, ZHENG JP, SHAO GL. Related factors to survival of advanced hepatocellular carcinoma patients with lung metastasis receiving sorafenib therapy[J]. J Oncol, 2018, 24(10): 987-991. DOI: 10.11735/j.issn.1671-170X.2018.10.B010.

    冯跃, 郑家平, 邵国良. 索拉非尼治疗肝细胞癌肺转移39例预后分析[J]. 肿瘤学杂志, 2018, 24(10): 987-991. DOI: 10.11735/j.issn.1671-170X.2018.10.B010.
    [9]
    YANG T, LU JH, LIN C, et al. Concomitant lung metastasis in patients with advanced hepatocellular carcinoma[J]. World J Gastroenterol, 2012, 18(20): 2533-2539. DOI: 10.3748/wjg.v18.i20.2533.
    [10]
    CHUA TC, MORRIS DL. Exploring the role of resection of extrahepatic metastases from hepatocellular carcinoma[J]. Surg Oncol, 2012, 21(2): 95-101. DOI: 10.1016/j.suronc.2011.01.005.
    [11]
    KAMIYAMA T, NAKANISHI K, YOKOO H, et al. Perioperative management of hepatic resection toward zero mortality and morbidity: Analysis of 793 consecutive cases in a single institution[J]. J Am Coll Surg, 2010, 211(4): 443-449. DOI: 10.1016/j.jamcollsurg.2010.06.005.
    [12]
    ROAYAIE S, BASSI D, TARCHI P, et al. Second hepatic resection for recurrent hepatocellular cancer: A Western experience[J]. J Hepatol, 2011, 55(2): 346-350. DOI: 10.1016/j.jhep.2010.11.026.
    [13]
    CHAN DL, MORRIS DL, CHUA TC. Clinical efficacy and predictors of outcomes of repeat hepatectomy for recurrent hepatocellular carcinoma - a systematic review[J]. Surg Oncol, 2013, 22(2): e23-e30. DOI: 10.1016/j.suronc.2013.02.009.
    [14]
    TANG YH, WEN TF, CHEN X. Resection margin in hepatectomy for hepatocellular carcinoma: A systematic review[J]. Hepatogastroenterology, 2012, 59(117): 1393-1397. DOI: 10.5754/hge10600.
    [15]
    ZHOU XD. Surgical treatment of recurrent hepatocellular carcinoma with metastasis[J]. J Clin Surg, 2006, 14(1): 1-2. DOI: 10.3969/j.issn.1005-6483.2006.01.001.

    周信达. 肝癌复发转移外科治疗的有关问题[J]. 临床外科杂志, 2006, 14(1): 1-2. DOI: 10.3969/j.issn.1005-6483.2006.01.001.
  • 加载中

Catalog

    通讯作者: 陈斌, bchen63@163.com
    • 1. 

      沈阳化工大学材料科学与工程学院 沈阳 110142

    1. 本站搜索
    2. 百度学术搜索
    3. 万方数据库搜索
    4. CNKI搜索

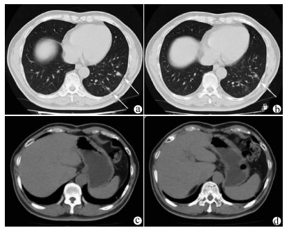
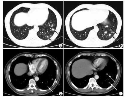
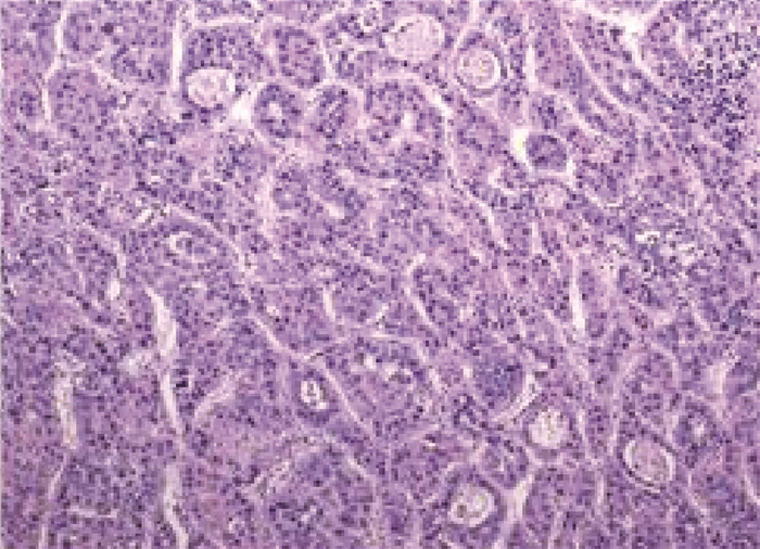
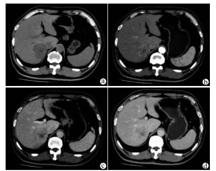
    Figures(8)

    Article Metrics

    Article views (1393) PDF downloads(33) Cited by()
    Proportional views
    Related

    /

    DownLoad:  Full-Size Img  PowerPoint
    Return
    Return