中文English
ISSN 1001-5256 (Print)
ISSN 2097-3497 (Online)
CN 22-1108/R
Volume 37 Issue 7
Jul.  2021
Turn off MathJax
Article Contents

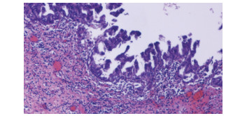
Intraductal papillary neoplasm of the bile duct with atrophy of the hepatic left lateral lobe: A case report

DOI: 10.3969/j.issn.1001-5256.2021.07.041
Research funding:

Key Scientific and Technological Project of Henan province (122102310056)

  • Received Date: 2020-11-23
  • Accepted Date: 2021-01-12
  • Published Date: 2021-07-20
  • loading
  • [1]
    KOHLI DR, SHAH TU. Board review vignette: Intraductal papillary neoplasm of the bile duct[J]. Am J Gastroenterol, 2018, 113(5): 639-641. DOI: 10.1038/s41395-018-0009-8.
    [2]
    CHEN TC, NAKANUMA Y, ZEN Y, et al. Intraductal papillary neoplasia of the liver associated with hepatolithiasis[J]. Hepatology, 2001, 34(4 Pt 1): 651-658. DOI: 10.1053/jhep.2001.28199.
    [3]
    NAKANUMA Y, SATO Y, HARADA K, et al. Pathological classification of intrahepatic cholangiocarcinoma based on a new concept[J]. World J Hepatol, 2010, 2(12): 419-427. DOI: 10.4254/wjh.v2.i12.419.
    [4]
    GORDON-WEEKS AN, JONES K, HARRISS E, et al. Systematic review and meta-analysis of current experience in treating IPNB: Clinical and pathological correlates[J]. Ann Surg, 2016, 263(4): 656-663. DOI: 10.1097/SLA.0000000000001426.
    [5]
    LUVIRA V, PUGKHEM A, BHUDHISAWASDI V, et al. Long-term outcome of surgical resection for intraductal papillary neoplasm of the bile duct[J]. J Gastroenterol Hepatol, 2017, 32(2): 527-533. DOI: 10.1111/jgh.13481.
    [6]
    KOMORI T, INOUE D, ZEN Y, et al. CT imaging comparison between intraductal papillary neoplasms of the bile duct and papillary cholangiocarcinomas[J]. Eur Radiol, 2019, 29(6): 3132-3140. DOI: 10.1007/s00330-018-5841-0.
    [7]
    LEE S, KIM MJ, KIM S, et al. Intraductal papillary neoplasm of the bile duct: Assessment of invasive carcinoma and long-term outcomes using MRI[J]. J Hepatol, 2019, 70(4): 692-699. DOI: 10.1016/j.jhep.2018.12.005.
    [8]
    LIU LN, XU HX, ZHENG SG, et al. Ultrasound findings of intraductal papillary neoplasm in bile duct and the added value of contrast-enhanced ultrasound[J]. Ultraschall Med, 2015, 36(6): 594-602. DOI: 10.1055/s-0034-1366672.
    [9]
    ROCHA FG, LEE H, KATABI N, et al. Intraductal papillary neoplasm of the bile duct: A biliary equivalent to intraductal papillary mucinous neoplasm of the pancreas?[J]. Hepatology, 2012, 56(4): 1352-1360. DOI: 10.1002/hep.25786.
    [10]
    SCHLITTER AM, BORN D, BETTSTETTER M, et al. Intraductal papillary neoplasms of the bile duct: Stepwise progression to carcinoma involves common molecular pathways[J]. Mod Pathol, 2014, 27(1): 73-86. DOI: 10.1038/modpathol.2013.112.
    [11]
    YING S, YING M, LIANG W, et al. Morphological classification of intraductal papillary neoplasm of the bile duct[J]. Eur Radiol, 2018, 28(4): 1568-1578. DOI: 10.1007/s00330-017-5123-2.
    [12]
    UEMURA S, HIGUCHI R, YAZAWA T, et al. Prognostic factors for surgically resected intraductal papillary neoplasm of the bile duct: A retrospective cohort study[J]. Ann Surg Oncol, 2021, 28(2): 826-834. DOI: 10.1245/s10434-020-08835-6.
    [13]
    MIURA S, ONO M, HAYASHI T, et al. EUS-guided choledochoduodenostomy for cholangitis caused by mucin derived from intraductal papillary-mucinous neoplasms penetrating the bile duct[J]. Gastrointest Endosc, 2015, 81(5): 1266-1267. DOI: 10.1016/j.gie.2014.08.036.
    [14]
    ARAI J, KATO J, TODA N, et al. Long-term survival after palliative argon plasma coagulation for intraductal papillary mucinous neoplasm of the bile duct[J]. Clin J Gastroenterol, 2021, 14(1): 314-318. DOI: 10.1007/s12328-020-01199-0.
    [15]
    NATOV NS, HORTON LC, HEGDE SR. Successful endoscopic treatment of an intraductal papillary neoplasm of the bile duct[J]. World J Gastrointest Endosc, 2017, 9(5): 238-242. DOI: 10.4253/wjge.v9.i5.238.
    [16]
    TOMINAGA K, KAMIMURA K, SAKAMAKI A, et al. Intraductal papillary neoplasm of the bile duct: A rare liver tumor complicated by malignancy[J]. Hepatology, 2017, 66(5): 1695-1697. DOI: 10.1002/hep.29266.
  • 加载中

Catalog

    通讯作者: 陈斌, bchen63@163.com
    • 1. 

      沈阳化工大学材料科学与工程学院 沈阳 110142

    1. 本站搜索
    2. 百度学术搜索
    3. 万方数据库搜索
    4. CNKI搜索

    Figures(4)

    Article Metrics

    Article views (766) PDF downloads(24) Cited by()
    Proportional views
    Related

    /

    DownLoad:  Full-Size Img  PowerPoint
    Return
    Return