中文English
ISSN 1001-5256 (Print)
ISSN 2097-3497 (Online)
CN 22-1108/R

留言板

尊敬的读者、作者、审稿人, 关于本刊的投稿、审稿、编辑和出版的任何问题, 您可以本页添加留言。我们将尽快给您答复。谢谢您的支持!

姓名
邮箱
手机号码
标题
留言内容
验证码
2022年 第9期
“肝硬化及其主要合并症的中西医结合治疗”  重点号
本期执行主编:刘平
上海中医药大学附属曙光医院

显示方式:
述评
肝硬化中西医结合治疗的研究进展
蒋式骊, 刘平
2022, 38(9): 1953-1955. DOI: 10.3969/j.issn.1001-5256.2022.09.001
摘要(2335) HTML (364) PDF (2000KB)(223)
摘要:
中西药并用是提高肝硬化治疗效果的重要途径,防治慢性乙型肝炎肝硬化长期诊疗实践及临床研究表明,针对病因的抗病毒联合抗肝纤维化中药治疗能够显著提高肝纤维化、肝硬化的逆转率,抗肝纤维化治疗可降低食管胃静脉曲张破裂出血率,减少肝硬化患者肝细胞癌的发生率,提高失代偿期肝硬化患者的5年生存率。深入研究中药复方的主要有效成分作用靶标及相关作用机制,加强药物质控标准的研究,以及获得更多高质量临床疗效证据是有效促进中西医结合治疗肝硬化领域发展亟待解决的主要问题。
专家论坛
肝硬化腹水的中西医结合诊治
王磊
2022, 38(9): 1956-1961. DOI: 10.3969/j.issn.1001-5256.2022.09.002
摘要(2118) HTML (647) PDF (2026KB)(200)
摘要:
腹水是失代偿期肝硬化最常见的并发症,反复出现的大量腹水严重影响患者生活质量及预后,有效控制腹水是肝硬化治疗的重要环节。本文基于近年来的临床报道,综述了肝硬化腹水的中西医诊断和限盐、利尿、补充白蛋白等西医常规治疗及经颈静脉肝内门体分流术、腹水泵、肝移植等技术在顽固型腹水治疗中的进展,同时介绍了中西医病证结合分期治疗和中医特色外治疗法的应用,并对未来的真实世界研究等进行了展望。
肝硬化胃食管静脉曲张破裂出血的中西医结合诊疗进展
慕永平
2022, 38(9): 1962-1968. DOI: 10.3969/j.issn.1001-5256.2022.09.003
摘要(2390) HTML (395) PDF (2131KB)(189)
摘要:
门静脉高压既是肝硬化的结果,又是胃食管静脉曲张的主要原因,一旦发生静脉曲张出血,病情十分凶险,甚至危及患者的生命。因此,如何规范开展内镜筛查,预防首次出血,急诊止血以及预防再次出血等,对胃食管静脉曲张出血的防治至关重要。目前,急诊止血的治疗措施主要包括循环复苏、药物治疗、内镜治疗、介入放射学治疗,以及针对常规治疗可能失败的患者考虑优先经颈静脉肝内门体分流术治疗等。二级预防措施主要包括传统的非选择性β受体阻滞剂或卡维地洛联合内镜下曲张静脉结扎术、经颈静脉肝内门体分流术、球囊阻断逆行静脉栓塞术等。此外,中医药或中西医结合在胃食管静脉曲张出血,尤其是在一级和二级预防领域具有重要作用。本文对近年来中西医结合在肝硬化胃食管静脉曲张出血诊断和治疗方面的研究进展作一简要介绍,以期为临床医生选择合理的诊疗方案提供参考。
肝性脑病的中西医结合诊疗进展与展望
王宪波, 时克
2022, 38(9): 1969-1973. DOI: 10.3969/j.issn.1001-5256.2022.09.004
摘要(2066) HTML (320) PDF (1958KB)(183)
摘要:
肝性脑病是肝硬化和门静脉高压最常见的并发症。在诊断方面需明确诱因、疾病分期,根据神经心理学测试或临床症状、体征进行识别。肝性脑病的治疗强调去除诱因、降氨治疗、合理恰当的营养支持,中西医结合治疗具有一定优势和特色。本文论述了肝性脑病的中西医结合诊疗进展,旨在指导临床实践,选择合理的治疗方案。
肝肾综合征的中西医结合诊治
梁家琦, 刘汶
2022, 38(9): 1974-1979. DOI: 10.3969/j.issn.1001-5256.2022.09.005
摘要(1719) HTML (516) PDF (1968KB)(136)
摘要:
肝肾综合征(HRS)是终末期肝病常见的并发症,是在严重肝病基础上发生的功能性急性肾衰竭,是以肾功能不全、内源性血管活性物质异常和动脉循环血流动力学改变为特征的一组临床综合征。HRS较为理想的治疗是肝移植或同时肾移植,优化药物与非药物治疗方法是治疗HRS的关键。本文对目前中西医诊断和治疗HRS的现状予以回顾总结。
肝硬化合并糖尿病的中西医结合诊治
赵长青
2022, 38(9): 1980-1985. DOI: 10.3969/j.issn.1001-5256.2022.09.006
摘要(1294) HTML (499) PDF (2118KB)(108)
摘要:
肝源性糖尿病(HD)是肝硬化的一种常见并发症,可降低患者生存率,增加其他并发症的发生风险,其病因、发病机制、诊断方法等都有别于2型糖尿病。目前国内外尚无针对HD治疗的指南。中医对HD的研究认识虽然逐渐加深,但是针对其病因病机,乃至辨证分型均未达成共识。本文回顾了近年HD的相关中西医研究进展,为临床医生制定适合患者的中西医结合个体化诊治措施提供参考。
指南与规范
五灵胶囊(丸)治疗慢性乙型肝炎临床应用专家共识
中华中医药学会肝胆病分会
2022, 38(9): 1986-1989. DOI: 10.3969/j.issn.1001-5256.2022.09.007
摘要(2184) HTML (1674) PDF (2019KB)(245)
摘要:
穴位埋线治疗非酒精性脂肪性肝病中医实践指南
中华中医药学会肝胆病分会
2022, 38(9): 1990-1993. DOI: 10.3969/j.issn.1001-5256.2022.09.008
摘要(1415) HTML (554) PDF (2028KB)(177)
摘要:
《2022年欧洲肝病学会硬化性胆管炎临床实践指南》推荐意见
郭长存, 韩英
2022, 38(9): 1994-1996. DOI: 10.3969/j.issn.1001-5256.2022.09.009
摘要(966) HTML (486) PDF (1915KB)(177)
摘要:
《2022年欧洲肝病学会肝性脑病管理临床实践指南》推荐意见
刘慧敏, 黄缘
2022, 38(9): 1997-1998. DOI: 10.3969/j.issn.1001-5256.2022.09.010
摘要(1637) HTML (448) PDF (1905KB)(407)
摘要:
《2022年欧洲肝病学会血色病临床实践指南》摘译
郝坤艳, 汪勇, 于乐成
2022, 38(9): 1999-2004. DOI: 10.3969/j.issn.1001-5256.2022.09.011
摘要(1695) HTML (310) PDF (2034KB)(202)
摘要:
2022年3月,欧洲肝病学会发布了关于血色病(haemochromatosis)的新版临床实践指南。血色病以转铁蛋白饱和度(TSAT)升高及主要累及肝脏的进行性铁负荷增加为主要特征,早期诊断及静脉放血疗法可阻止肝硬化、肝细胞癌、糖尿病、关节炎及其他并发症的发生。对于携带血色病基因HFE p.Cys282Tyr纯合突变的患者,若血清铁参数显示女性TSAT>45%、铁蛋白>200 μg/L,或男性和绝经后女性TSAT>50%、铁蛋白>300 μg/L,则足以诊断血色病。若虽有TSAT及铁蛋白升高,但属于其他HFE基因型,则需通过磁共振或肝活检证实肝脏铁过载。诊断时需仔细评估肝纤维化的阶段及其他脏器的损伤情况,这些将决定处置策略。对进展期肝脏纤维化患者,需筛查肝细胞癌。放血治疗的目标是在诱导期达到铁蛋白<50 μg/L,在维持期铁蛋白<100 μg/L。
论著_病毒性肝炎
HBV感染免疫耐受期肝组织炎症和纤维化的影响因素分析
刘春云, 常丽仙, 李俊义, 祁燕伟, 李卫昆, 李惠敏, 张映媛, 高建鹏, 刘立
2022, 38(9): 2005-2009. DOI: 10.3969/j.issn.1001-5256.2022.09.012
摘要(1084) HTML (221) PDF (1958KB)(120)
摘要:
  目的  对慢性HBV感染免疫耐受期患者进行肝脏损伤程度及肝纤维化的评价,为免疫耐受期患者的病情判断提供依据。  方法  随机选取昆明市第三人民医院2015年1月—2019年12月HBV DNA水平≥107 IU/mL、ALT≤40 U/L且临床资料完整者300例,收集其年龄、性别、感染HBV时间、血生化、HBsAg、HBV DNA等资料,并对患者的肝组织行病理检查,根据炎症分级分为两组(G<2组和G≥2组),根据纤维化程度分为两组(S<2组和S≥2组)。计量资料2组间比较采用t检验,使用单因素和多因素非条件logistic回归分析肝组织病理炎症活动≥G2和纤维化程度≥S2的影响因素。  结果  300例患者中,G≥2组213例(71%),S≥2组120例(40%),基线年龄(26.06±9.01)岁,男性占48%,感染时间(5.62±5.09)年。单因素分析显示,G<2组和G≥2组ALT、ALP、Alb、PLT、门静脉内径和脾脏厚度比较,差异均有统计学意义(t值分别为-26.677、-11.612、2.149、5.410、-6.092、-2.911,P值均<0.05);S<2组与S≥2组比较,感染时间、ALT、ALP、Alb、HBV DNA、PLT、门静脉内径和脾脏厚度比较,差异均有统计学意义(t值分别为-6.320、-6.694、-7.880、2.349、4.552、19.160、-5.782、-5.622,P值均<0.05)。多因素分析显示,ALT(OR=10.270,95%CI:2.212~47.672,P=0.003)、ALP(OR=1.097,95%CI:1.013~1.188,P=0.023)是免疫耐受期患者肝组织炎症≥G2的独立危险因子;ALP(OR=1.034,95%CI:1.015~1.054,P<0.001)、PLT(OR=0.913,95%CI:0.886~0.938,P<0.001)、HBV DNA(OR=0.198,95%CI:0.062~0.636,P=0.007)和感染时间(OR=1.176,95%CI:1.033~1.340,P=0.015)是免疫耐受期患者肝组织纤维化≥S2的独立影响因子。  结论  大多数免疫耐受期患者都有显著的肝组织学病变。ALT、ALP是免疫耐受期患者肝组织显著炎症的影响因素,ALP、HBV DNA、PLT和感染时间是免疫耐受期患者肝组织显著纤维化的影响因素。
论著_脂肪性肝病
组蛋白去乙酰化酶1对非酒精性脂肪性肝病细胞模型胰岛素抵抗的影响
朱恒, 孔维宗, 黄贵群, 白昱, 王迎春
2022, 38(9): 2010-2015. DOI: 10.3969/j.issn.1001-5256.2022.09.013
摘要(1083) HTML (290) PDF (2418KB)(78)
摘要:
  目的  建立高脂诱导的HepG2非酒精性脂肪性肝病(NAFLD)细胞模型,分析组蛋白去乙酰化酶1(HDAC1)表达对NAFLD细胞胰岛素抵抗(IR)的促进作用。  方法  将HepG2细胞分为对照组、模型组(OA)和抑制剂组[OA+Pyroxamide(HDAC1抑制剂)]。采用CCK-8法绘制HepG2细胞标准生长曲线,并筛选OA和Pyroxamide的最佳药物作用浓度和作用时间;油红O染色比较细胞内脂滴蓄积程度;全自动生化仪检测细胞内ALT、AST、TG、TC含量;RT-qPCR法和Western Blot法分别检测细胞内HDAC1、胰岛素受体底物-1(IRS-1)mRNA和蛋白表达量。计量资料多组间比较采用单因素方差分析,进一步两两比较采用LSD-t检验。  结果  0.25 mmol/L OA处理24 h为细胞最佳造模浓度和持续时间,20 μmol/L处理24 h为Pyroxamide最佳给药浓度和持续时间;模型组相比于对照组ALT、AST、TG、TC含量均明显升高,而抑制剂组相比于模型组ALT、AST、TG、TC含量均显著降低(P值均<0.05)。各组细胞内HDAC1 mRNA和蛋白表达量比较,模型组高于对照组,抑制剂组低于模型组,差异均有统计学意义(P值均<0.05);各组细胞内IRS-1 mRNA和蛋白表达量相比,模型组低于对照组,抑制剂组高于模型组,差异均有统计学意义(P值均<0.05)。  结论  HDAC1通过抑制IRS-1分子的表达,促进IR,参与了NAFLD的发生与发展,HDAC1抑制剂Pyroxamide通过减轻IR,对肝脏起保护作用。
化痰祛湿活血方对脂多糖诱导的巨噬细胞焦亡形态的影响
刘鸣昊, 刘素彤, 尚东方, 张丽慧, 顾亚娇, 赵文霞
2022, 38(9): 2016-2019. DOI: 10.3969/j.issn.1001-5256.2022.09.014
摘要(1702) HTML (379) PDF (4168KB)(80)
摘要:
  目的  化痰祛湿活血方对脂多糖(LPS)诱导的RAW264.7细胞焦亡形态的影响及机制研究。  方法  复制体外LPS诱导活化RAW264.7细胞模型,分为空白组,模型组,化痰祛湿活血方高、中、低剂量组,对照组。经相应的含药血清干预24 h。扫描电子显微镜观察各组细胞形态。免疫荧光对GSDMD-N进行定量定位分析。  结果  空白组细胞形态圆形规整,表面光滑;对照组细胞肿胀,表面有褶皱,包膜有隙,符合细胞焦亡形态。对照组细胞表面有气泡状突出物,伪足明显。细胞膜有孔隙,高剂量组细胞形态无肿胀,表面粗糙有伪足,胞膜上未见明显孔隙。低剂量和中剂量组细胞肿胀,细胞膜表面粗糙有孔隙,有伪足伸出。免疫荧光结果显示,与空白组相比模型组GSDMD-N阳性染色强度明显增加,对照组与中药组较模型组GSDMD-N阳性染色强度均有减弱。  结论  化痰祛湿活血方可改善巨噬细胞焦亡现象,减少GSDMD-N表达。
论著_肝纤维化及肝硬化
肝爽颗粒联合恩替卡韦对乙型肝炎肝硬化患者门静脉血栓发生的影响
刘立, 李俊义, 刘春云, 常丽仙, 张丽华, 黄红丽, 罗煜, 高建鹏
2022, 38(9): 2020-2026. DOI: 10.3969/j.issn.1001-5256.2022.09.015
摘要(1548) HTML (506) PDF (2185KB)(69)
摘要:
  目的  探讨肝爽颗粒联合恩替卡韦对乙型肝炎肝硬化患者门静脉血栓(PVT)发生的影响。  方法  选取2018年1月1日— 2020年12月31日于昆明市第三人民医院就诊及住院的乙型肝炎肝硬化患者356例。将纳入患者随机分为联合组(n=191)和对照组(n=165),其中联合组应用肝爽颗粒联合恩替卡韦治疗,对照组单独应用恩替卡韦治疗。疗程至少24周。计量资料两组间比较采用t检验或Mann-Whitney U检验。计数资料两组间比较采用χ2检验或Fisher精确检验。应用Kaplan-Meier法绘制两组患者PVT的累积发生率,并以log-rank检验进行比较。采用单因素和多因素Cox比例风险回归模型分析乙型肝炎肝硬化患者PVT的影响因素。  结果  联合组191例患者共随访296.25人年,人均随访时间(1.55±0.65)年,PVT发生率为4.19%(8例),发病密度1.41/万人年。对照组165例患者共随访253.25人年,人均随访时间(1.53±0.67)年,PVT发生率为12.12%(20例),发病密度4.79/万人年。两组PVT发生率比较,差异有统计学意义(χ2=7.687,P=0.006)。Kaplan-Meier法绘制两组PVT累积发生率,结果显示联合组PVT的累积发生率明显低于对照组(χ2=7.226,P=0.007),相对危险度为3.155(95%CI:1.351~7.370)。单因素Cox分析结果显示:合并高血压、TBil、ALT、AST、Alb、ChE、eGFR、AFP、D-D、Child-Pugh、肝爽颗粒联合恩替卡韦治疗是PVT的影响因素(P值均<0.05);多因素Cox分析结果显示:AST(HR=1.002,95%CI:1.000~1.004,P=0.025)、D-D(HR=1.907,95%CI:1.554~2.338,P<0.001)是乙型肝炎肝硬化患者发生PVT的独立危险因素,Alb(HR=0.844,95%CI:0.755~0.944,P=0.003)、肝爽颗粒联合恩替卡韦治疗(HR=0.350,95%CI:0.144~0.851,P=0.021)是乙型肝炎肝硬化患者发生PVT的独立保护因素。  结论  肝爽颗粒联合恩替卡韦治疗可显著降低乙型肝炎肝硬化患者PVT的发生率,对PVT的形成有一定的预防作用。
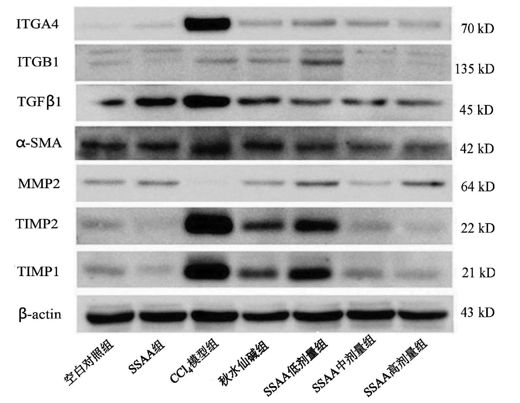
整合素α4在美洲大蠊提取物黏糖氨酸抗肝纤维化中的作用
鲁杰, 周义霞, 刘叶, 高雅, 陈科璇, 李顶春, 陈一晖, 刘怀鄂, 王宏图, 李武
2022, 38(9): 2027-2033. DOI: 10.3969/j.issn.1001-5256.2022.09.016
摘要(1168) HTML (486) PDF (7805KB)(71)
摘要:
  目的  本研究基于黏糖氨酸(SSAA)在大鼠中的抗肝纤维化作用,研究整合素α4(ITGA4)在肝纤维化中的作用机制。  方法  大鼠腹腔内注射CCl4诱导肝纤维化模型,在此基础上使用秋水仙碱或SSAA低、中、高剂量进行干预,以空白对照组、SSAA组作为对照。实验干预12周后,收集大鼠血清、肝脏标本,检测大鼠血清ALT、AST水平,HE染色、天蓝猩红染色观察肝组织病理情况;实时荧光定量PCR检测肝组织ITGA4、整合素β1(ITGB1)、TGFβ1、α-SMA、TIMP2的转录水平;Western Blot检测ITGA4、ITGB1、TGFβ1、α-SMA、MMP2、TIMP1、TIMP2的相对蛋白表达;免疫组化观察TGFβ1、α-SMA蛋白表达。计量资料多组间比较采用单因素方差分析,进一步两两比较采用LSD-t检验。  结果  CCl4模型组中AST、ALT显著升高,秋水仙碱或SSAA低、中、高剂量干预后能降低AST、ALT水平,各组与CCl4模型组相比差异均有统计学意义(P值均<0.05)。CCl4模型组中的HE染色和天蓝猩红染色结果显示肝小叶结构紊乱、胶原纤维增多,秋水仙碱或SSAA低、中、高剂量干预后肝小叶结构得到改善。CCl4模型组中的ITGA4、TGFβ1、α-SMA和TIMP2各指标转录水平均显著高于其余各组,秋水仙碱或SSAA干预后能降低各因子转录水平,与CCl4模型组相比差异均有统计学意义(P值均<0.05)。CCl4模型组中的ITGA4、TGFβ1、α-SMA、TIMP2和TIMP1蛋白表达高于其余各组,MMP2蛋白表达低于其余各组,在秋水仙碱或SSAA干预后均能抑制ITGA4、TGFβ1、α-SMA、TIMP2、TIMP1表达,促进MMP2表达。免疫组化结果提示CCl4模型组的TGFβ1、α-SMA的表达显著高于其余各组,秋水仙碱或SSAA干预后均能抑制表达。SSAA高剂量组在降低转氨酶、改善肝小叶结构和抑制致肝纤维化因子蛋白表达上效果最显著。  结论  肝脏中ITGA4的高表达与肝纤维化的发生相关,与TGFβ1、α-SMA表达升高一致,抑制ITGA4表达可为抗肝纤维化提供更多治疗靶点,同时拓展了SSAA的抗肝纤维化作用机制。
二甲双胍对布加综合征小鼠模型肝纤维化的影响
杨净, 李素新, 张跃辉, 李路豪, 刘兆臣, 沈东启, 党晓卫
2022, 38(9): 2034-2039. DOI: 10.3969/j.issn.1001-5256.2022.09.017
摘要(1446) HTML (462) PDF (6734KB)(94)
摘要:
  目的  探讨二甲双胍对于布加综合征小鼠模型肝脏纤维化的影响及其机制。  方法  C57雄性小鼠30只随机分为4组:假手术组(SHAM组)6只,假手术+二甲双胍组(SHAM+M组)5只,布加综合征模型组(BCS组)10只,布加综合征模型+二甲双胍组(BCS+M组)9只。模型组行下腔静脉部分结扎术,SHAM组不结扎,二甲双胍组造模同时饮水中给予0.1%二甲双胍。6周后处死小鼠取材,HE染色、天狼猩红染色观察小鼠肝脏组织病理和胶原沉积变化,免疫组化检测α-平滑肌肌动蛋白(α-SMA)、纤维蛋白原(Fibrinogen)表达情况,实时荧光定量PCR检测缺氧诱导因子-1α(HIF-1α)、Ⅰ型胶原(Collagen1)的mRNA表达,Western Blot检测HIF-1α、血管内皮生长因子(VEGF)、Fibrinogen、α-SMA、Collagen1蛋白的相对表达量。计量资料多组间比较采用单因素方差分析,进一步两两比较采用LSD-t检验。  结果  与SHAM组相比,病理染色结果显示BCS组肝脏明显纤维化,中央静脉旁肝细胞排列紊乱,肝窦扩张并伴有红细胞淤积和少量炎症细胞浸润,胶原沉积。BCS组HIF-1α、Collagen1 mRNA表达增加,α-SMA、Collagen1、HIF-1α、VEGF、Fibrinogen蛋白表达明显增加(P值均<0.05);与BCS组相比,BCS+M组肝脏纤维化减轻,红细胞淤积减少,胶原沉积减少,HIF-1α、Collagen1 mRNA表达降低,α-SMA、Collagen1、HIF-1α、VEGF、Fibrinogen蛋白表达降低(P值均<0.05)。  结论  二甲双胍能够改善由布加综合征所导致的淤血性肝纤维化,其机制可能为减少肝窦内微血栓,抑制HIF-1α/VEGF通路来发挥作用。
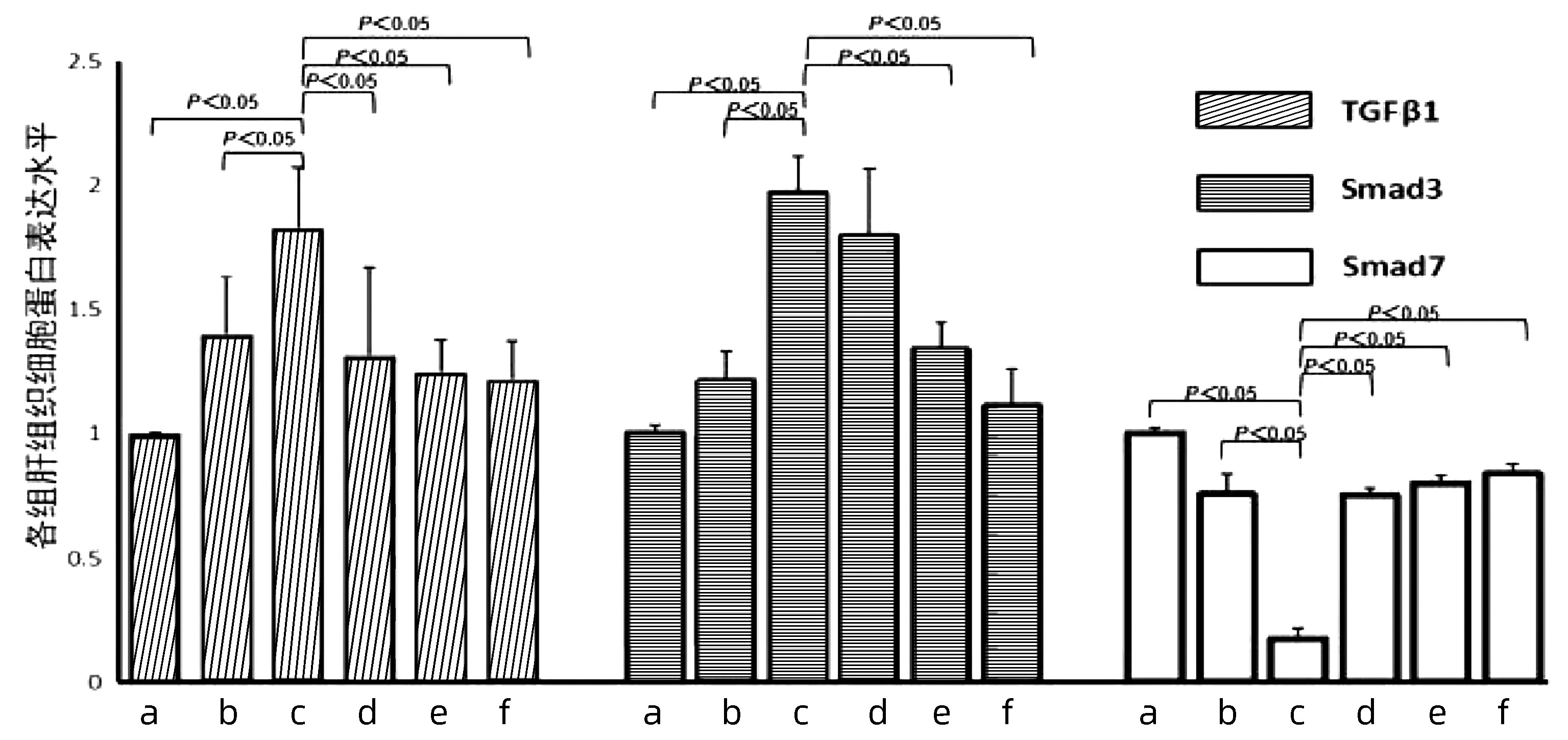
养血柔肝丸对多因素诱导的肝纤维化大鼠模型TGFβ1/Smad信号通路的影响
柴焱, 张涛, 范引科, 惠爱武, 赵林涛, 李芳, 张小丽
2022, 38(9): 2040-2045. DOI: 10.3969/j.issn.1001-5256.2022.09.018
摘要(1074) HTML (339) PDF (4844KB)(73)
摘要:
  目的  观察养血柔肝丸对多因素诱导所致的大鼠肝纤维化的影响, 探讨养血柔肝丸治疗肝纤维化的作用机制。  方法  50只雄性大鼠随机分成空白对照组、多因素模型组、养血柔肝丸高剂量组、养血柔肝丸中剂量组、养血柔肝丸低剂量组和扶正化瘀胶囊组,共6组。空白对照组给予正常饮水和正常饲料。剩余各组大鼠给予改良高脂低蛋白饲料,5%食用酒精,并且大鼠皮下注射含有40%四氯化碳的橄榄油溶液和腹腔注射猪血清0.5 mL/只,2次/周,连续12周。从第7周开始,给予养血柔肝丸,分为高剂量组(9.5 g/kg)、中剂量组(4.75 g/kg)、低剂量组(2.38 g/kg),扶正化瘀胶囊组(0.75 g/kg),空白对照组、多因素模型组每日灌胃等体积量蒸馏水,连续6周,于第12周处理大鼠。采用HE染色及Masson染色病理观察大鼠肝纤维化程度; PCR和Western blot检测大鼠肝TGFβ1、Smad3、Smad7的表达情况。计量资料多组间比较采用单因素方差分析,进一步两两比较采用Dunnett-t检验法。  结果  多因素模型组与空白对照组相比可见肝小叶结构严重破坏,纤维化明显增强,形成不同大小的假小叶; 而养血柔肝丸各剂量组较多因素模型组肝纤维化程度明显好转,以养血柔肝丸高、中剂量组治疗趋势最显著。多因素模型组大鼠肝组织TGFβ1、Smad3的表达与空白对照组比较有明显提升(P值均<0.05),Smad7的表达则明显下降(P<0.05),而养血柔肝丸各剂量组TGFβ1的表达与多因素模型组比较有所降低(P值均<0.05),Smad7的表达则明显升高(P值均<0.05);养血柔肝丸高、中剂量组Smad3的表达与多因素模型组比较有所降低, 差异有统计学意义(P值均<0.05)。  结论  养血柔肝丸可明显抑制大鼠肝纤维化,使大鼠肝组织中TGFβ1、Smad3的表达下调,Smad7的表达上调,TGFβ1/Smad信号通路是养血柔肝丸改善肝纤维化的作用机制之一。
论著_肝脏肿瘤
三维可视化消融辅助系统在肝细胞癌射频消融术中的应用价值
赫嵘, 贾哲, 蒋力, 张珂
2022, 38(9): 2046-2052. DOI: 10.3969/j.issn.1001-5256.2022.09.019
摘要(1048) HTML (778) PDF (4804KB)(173)
摘要:
  目的  探讨三维可视化消融辅助系统在肝细胞癌射频消融术中应用的意义。  方法  选取2017年7月—2020年12月于首都医科大学附属北京地坛医院因肝细胞癌行射频消融治疗的患者71例,其中三维组(n=34)术前应用三维可视化消融辅助系统进行射频方案规划,二维组(n=37)术前应用二维影像进行射频方案规划。比较两组患者的一次穿刺成功率、肿瘤完全消融率、无瘤生存期等。计数资料两组间比较选择Fisher精确检验、连续校正的χ2检验或Pearson χ2检验;符合正态分布的计量资料两组间比较采用t检验,非正态分布的计量资料两组间比较采用Mann-Whitney U检验;Kaplan-Meier法绘制生存曲线,Log-rank(Mantel-Cox)检验比较肿瘤复发和生存情况,通过Cox比例风险回归模型分析无瘤生存期的影响因素。  结果  三维组一次性穿刺成功率(94.12%)高于二维组(75.68%)(Pearson χ2=4.183,P=0.041),三维组术中穿刺耗时中位时间(5 min)低于二维组(7 min)(Z=-2.407,P=0.013)。三维组和二维组的消融完全率分别为97.06%和91.89%,两组差异无统计学意义(连续矫正χ2=0.183,P=0.669)。在1、2、4年累积无瘤生存率比较中,三维组分别为90.8%、78.8%和72.8%,二维组分别为61.5%、55.9%和44.7%, 两组差异有统计学意义(χ2=5.073,P=0.024)。多因素Cox回归分析结果显示,术前规划方式、消融是否完全、术后1个月AFP水平为肝细胞癌患者射频消融术后无瘤生存期的独立影响因素(P值均<0.05)。  结论  通过三维可视化消融辅助系统进行肝细胞癌射频消融规划,可以保证射频消融的疗效,降低肝细胞癌复发率,延长患者的无瘤生存期。
经肝动脉化疗栓塞术联合微波消融与重复肝切除术治疗复发性肝细胞癌的效果比较
凌俊, 万文武, 曾政, 姚辉华, 蒋鸥, 丁兵
2022, 38(9): 2053-2060. DOI: 10.3969/j.issn.1001-5256.2022.09.020
摘要(960) HTML (240) PDF (3683KB)(93)
摘要:
  目的  比较经肝动脉化疗栓塞(TACE)联合微波消融(MWA)(TACE-MWA)与重复肝切除术(RR)治疗复发性肝细胞癌(RHCC)的效果。  方法  选取2015年6月1日—2020年9月30日内江市第二人民医院收治的178例RHCC患者,按治疗方式不同分为RR组(n=64例)和TACE-MWA组(n=114)。记录治疗前基线人口学资料、肝功能及肿瘤相关情况等。随访至2021年10月,比较两组患者术后总生存期(OS)和无复发生存期(RFS)。进行基于复发模式(复发时间和肿瘤大小)的亚组分析,并研究预后的影响因素。计量资料两组间比较采用独立样本t检验,计数资料两组间比较采用χ2检验;术后生存率用Kaplan-Meier法,两组间生存差异用Log-rank检验;使用Cox多因素分析方法探寻影响生存的独立危险因素。  结果  多因素分析显示,肿瘤直径、AFP水平、ALT、Alb和复发时间是OS的独立预后因素(P值均<0.05),AFP水平和复发时间是RFS的独立预后因素(P值均<0.05)。对于晚期复发(>2年)的RHCC,RR组与TACE-MWA组之间的中位OS有显著差异(54.0个月vs 36.0个月,χ2=6.171,P=0.013),中位RFS也有显著差异(28.0个月vs 21.0个月,χ2=5.211,P=0.022)。对于肿瘤直径≤5 cm的RHCC,两组的中位OS有显著差异(33.0个月vs 27.0个月,χ2=6.447,P=0.011)。  结论  对于早期复发或肿瘤直径>5 cm的RHCC,RR与TACE-MWA有相似的疗效,但对于晚期复发或肿瘤直径≤5 cm的RHCC,RR应为首选。
多种免疫炎症指标对肝内胆管癌患者根治性切除术后预后的预测价值
马炳奇, 孟慧娟, 张伟, 董小锋, 王蒙, 窦杰, 吴雨宁, 李世平
2022, 38(9): 2061-2066. DOI: 10.3969/j.issn.1001-5256.2022.09.021
摘要(947) HTML (329) PDF (2942KB)(107)
摘要:
  目的  探讨不同的免疫炎症指标对肝内胆管癌(ICC)患者行根治切除术后生存结局预测价值的差异。  方法  回顾性收集2012年1月—2017年12月于潍坊医学院附属医院和天津医科大学肿瘤医院接受根治性切除术的122例ICC患者的病例资料,分析免疫炎症指标中性粒细胞/淋巴细胞比率(NLR)、淋巴细胞/单核细胞比值(LMR)、系统免疫炎症指数(SII)、炎症预后指标(PII)、炎症评分(IS)和系统炎症评分(SIS)与ICC患者术后无瘤生存期(DFS)和总生存期(OS)的相关性,评估上述指标的预后预测价值。计数资料组间比较采用χ2检验或Fisher精确概率法。Kaplan-Meier法绘制生存曲线,组间差异比较采用Log-rank检验;采用Cox回归模型进行单因素和多因素分析,并计算风险比(HR)及95% CI  结果  单因素生存分析结果显示,NLR、LMR、PII、PNI、IS、SII和SIS是ICC患者术后DFS的预测因素(HR值分别为2.212、0.403、3.013、0.530、1.809、2.107和2.225,P值分别为0.004、0.012、<0.001、0.019、0.001、0.002和<0.001);NLR、LMR、PII、PNI、IS、SII和SIS是患者术后OS的预测因素(HR值分别为2.416、0.297、3.288、0.292、2.048、1.839和2.335,P值分别为0.009、0.008、<0.001、0.003、0.002、0.049和<0.001)。多因素生存分析结果显示,高水平PII、SIS是ICC患者术后DFS的独立影响因素(HR值分别为2.146、2.511,P值分别为0.035、<0.001);高水平PII、PNI、SIS是患者术后OS的独立影响因素(HR值分别为2.981、0.261、2.294,P值分别为0.009、0.002、0.010);高水平PII组ICC患者肿瘤学T分期(χ2=8.777,P=0.003)和M分期(P=0.029)更晚;高级别的SIS组患者肿瘤学N分期(χ2=9.985,P=0.030)和M分期(χ2=8.574,P=0.012)更晚。  结论  在现行的多种炎症指标中,PII和SIS更适用于术前对ICC患者行根治性切除术疗效分层的预测评估。
论著_其他肝病
类风湿性关节炎患者应用雷公藤制剂及合并用药所致药物性肝损伤的临床特征分析
沈婷婷, 李光耀, 罗琼, 李盟, 孙鑫, 陶艳艳, 周祖山, 刘成海
2022, 38(9): 2067-2072. DOI: 10.3969/j.issn.1001-5256.2022.09.022
摘要(1475) HTML (909) PDF (1963KB)(75)
摘要:
  目的  观察分析类风湿性关节炎患者使用雷公藤制剂及合并用药发生药物性肝损伤(DILI)的临床特征。  方法  回顾性收集2014年1月—2019年12月于洪湖市中医院使用雷公藤制剂及合并用药所致DILI的112例类风湿性关节炎患者的临床资料,观察人口统计学资料及DILI的临床特征,并探讨合并用药和基础疾病对DILI的影响。计量资料多组间及进一步两两比较采用Kruskal-Wallis H检验。  结果  患者平均年龄为(48.13±14.38)岁,女性81例(72.32%),在合并基础疾病中以非酒精性脂肪性肝病较为多见,共8例(7.14%),在联合用药中以雷公藤制剂中药联合非甾体消炎药(NSAID)/抗风湿药物(DMARD)多见,共70例(62.50%)。患者主要临床表现为关节痛,共110例(98.21%)。102例(91.07%)为肝脏生化学检查异常;RUCAM评分为6~8分的患者有66例(58.93%),110例(98.21%)为轻度肝损伤(1级);通过保肝治疗(均<6个月),所有患者肝功能均好转,无加重及死亡。雷公藤制剂+糖皮质激素+NSAID/DMARD联用组(n=22)的血清ALP、GGT较雷公藤制剂+NSAID/DMARD联用组(n=70)显著升高(P值均<0.05)。合并非酒精性脂肪性肝病组患者(n=8)较无基础疾病组(n=90)患者血清ALT升高更显著(P<0.05)。  结论  类风湿性关节炎患者可因用雷公藤制剂及合并用药发生DILI,以中年女性居多,临床表现以关节痛为主,肝功能损伤较轻,无明显慢性化,预后较好。联合使用糖皮质激素和NSAID/DMARD的患者,或者合并非酒精性脂肪性肝病基础疾病的患者,肝损伤更严重。
新型冠状病毒Delta和Omicron变异株感染的儿童肝功能特征分析
赵夜, 关家龙, 麦玉珍, 邓浩辉
2022, 38(9): 2073-2077. DOI: 10.3969/j.issn.1001-5256.2022.09.023
摘要(1034) HTML (318) PDF (1947KB)(52)
摘要:
  目的  总结和分析新型冠状病毒(SARS-CoV-2)Delta与Omicron变异株感染儿童的肝功能特征。  方法  对2021年5月21日起广州医科大学附属市八医院收治的本土或入境SARS-CoV-2感染的儿童住院隔离期间肝功能检查结果进行总结分析,并比较SARS-CoV-2 Delta和Omicron变异株感染的儿童各临床资料以及肝损伤的构成比。计量资料两组间比较采用独立样本t检验或Mann-Whitney U检验;计数资料两组间比较采用χ2检验或Fisher’s精确检验。  结果  共纳入85例SARS-CoV-2感染的儿童,其中包括32例(37.6%)Delta和53例(62.4%)Omicron变异株感染者,两组患儿年龄、性别、身高、体质量和合并疾病比较,差异均无统计学意义(P值均>0.05)。SARS-CoV-2 Delta和Omicron变异株感染的儿童ALT、AST、ALP、GGT、TBil、Alb和ChE差异均无统计学意义(P值均>0.05);Omicron变异株感染的儿童其TBA水平显著高于Delta变异株感染的儿童(Z=-2.336,P=0.020)。但两组患儿TBA中位数均在正常范围内,且异常的TBA构成比在两组间比较,差异无统计学意义(P>0.05)。85例儿童中10例(11.8%)出现肝功能指标轻度升高,其中7例TBA水平升高,1例ALT水平升高,1例ALT和AST水平升高,1例ALP水平升高。对SARS-CoV-2 Delta和Omicron变异株感染的儿童肝损伤分析结果显示,两种SARS-CoV-2变异株感染所致肝损伤的构成比差异无统计学意义(6.3% vs 15.1%,χ2=0.691,P=0.406)。  结论  SARS-CoV-2 Delta和Omicron变异株感染的儿童近期肝损伤较轻,但其感染所致远期肝功能损伤的影响有待进一步评估。
双重血浆分子吸附系统模式人工肝治疗中低血压发生的影响因素分析
胡东燕, 王红, 李文渊, 宁玲, 韩华, 沈强, 江守伟, 李磊
2022, 38(9): 2078-2083. DOI: 10.3969/j.issn.1001-5256.2022.09.024
摘要(937) HTML (408) PDF (2288KB)(64)
摘要:
  目的  探讨双重血浆分子吸附系统(DPMAS)模式人工肝治疗过程中患者发生低血压(IOH)的相关危险因素。  方法  收集2017年10月1日-2020年12月31日中国科学技术大学附属第一医院肝病中心行DPMAS人工肝治疗的181例患者(共计670例次)的临床资料, 根据人工肝治疗过程中是否发生低血压, 分为IOH组(70例)和非IOH组(111例)。比较两组患者各项临床指标, 并分析其与IOH发生的相关性以及12周、24周预后。符合正态分布的计量资料两组间比较采用独立样本t检验, 非正态分布的计量资料两组间比较采用Mann-Whitney U检验。计数资料组间比较采用χ2检验。IOH相关危险因素采用单因素及多因素Logistic回归分析。Kaplan-Meier法绘制受试者工作特征曲线(ROC曲线), 独立危险因素的ROC曲线下面积(AUC)比较采用Z检验。  结果  单因素Logistic回归分析显示, 女性、年龄≥50岁、正常及低BMI (≤24 kg/m2)者发生IOH的风险更高(P值均 < 0.05);多因素分析显示, 正常及低BMI (OR=3.290, 95% CI: 1.523~7.108, P=0.002)、女性(OR=5.146, 95% CI: 2.316~11.432, P < 0.001)是DPMAS人工肝患者出现IOH的独立危险因素。女性+BMI≤24 kg/m2联合进行ROC曲线分析, 其预测IOH的AUC为0.639(P=0.002)。IOH组与非IOH组12周(76.53% vs 55.77%, χ2=6.887, P=0.009)和24周(74.49% vs 50.00%, χ2=9.080, P=0.003)的生存率比较差异均有统计学意义。  结论  女性、正常或低BMI值患者行DPMAS模式人工肝治疗中发生低血压风险大; 发生IOH者24周生存预后差。
论著_胆道疾病
胆舒胶囊治疗慢性胆囊炎和胆结石的临床效果及安全性
彭雪莲, 徐小青, 曹勤
2022, 38(9): 2084-2090. DOI: 10.3969/j.issn.1001-5256.2022.09.025
摘要(4138) HTML (1034) PDF (1981KB)(133)
摘要:
  目的  通过一项大样本、多中心、开放性真实世界研究, 全面评价胆舒胶囊治疗慢性胆囊炎、胆囊结石的疗效和安全性。  方法  选取2017年1月-2019年12月全国329家医院的慢性胆囊炎、胆结石患者9579例, 分为胆结石组(n=1148)、慢性胆囊炎组(n=5360)和慢性胆囊炎伴胆结石组(n=3071)。所有患者均服用胆舒胶囊, 3次/d, 1~2粒/次, 饭后口服, 持续治疗4周。记录服药前及治疗结束时的腹痛特征、胆源性消化不良症状、中医证候以及胆囊影像学指标, 以评价治疗前后用药效果; 观察并记录药物不良反应以评价药物安全性。非正态分布的计量资料治疗前后指标变化比较采用Wilcoxon符号秩和检验, 组间比较采用Wilcoxon秩和检验方法。计数资料治疗前后指标变化比较采用配对χ2检验, 多组间比较采用Kruskal-Wallis H法, 进一步两两比较采用Logistic回归分析和Nemenyi检验。  结果  经胆舒胶囊干预后, 所有患者脂餐诱发疼痛总发生率较治疗前明显下降(χ2=32.422, P < 0.001);疼痛发作频率、疼痛持续时间、疼痛程度评分均明显低于治疗前(Z值分别为-1.985、-2.887、-3.178, P值均 < 0.05);腹胀、饱胀、嗳气、恶心症状评分较治疗前均明显下降(P值均 < 0.001), 胆源性消化不良症状总分明显下降(Z=-4.128, P < 0.001);右上腹痛、口苦、泛酸、胸闷不舒、脘腹胀闷、食少纳呆、肢体困重等中医证候评分均较治疗前明显下降(P值均 < 0.05), 中医证候评分总分明显下降(Z=3.860, P < 0.001)。亚组分析结果显示, 胆结石组、慢性胆囊炎组、慢性胆囊炎伴胆结石组疼痛程度、频率、持续时间, 以及胆源性消化不良和中医证候评分较治疗前均明显下降(P值均 < 0.05), 治疗后脂餐诱发疼痛的患者占比均明显减少(P值均 < 0.001)。慢性胆囊炎组的疼痛发作频率评分、疼痛持续时间评分、疼痛程度评分下降幅度高于其他两组, 差异均有统计学意义(P值均 < 0.05)。超声检查结果显示, 经治后所有患者胆囊透声不佳、胆囊壁厚度及胆囊壁增厚或毛糙的发生率均明显降低, 胆囊结石数目和直径均明显减小(P值均 < 0.05);胆舒胶囊改善胆囊壁病变的总有效率为74.75%, 改善胆囊结石的总有效率为67.40%。84例患者报告了不良事件, 主要为消化系统症状, 不良事件的总发生率为0.87%。  结论  胆舒胶囊可以显著缓解慢性胆囊炎、胆结石患者的疼痛症状, 改善胆源性消化不良症状、中医证候及胆囊影像学指标, 且不良反应发生率低, 是治疗慢性胆囊炎和胆结石安全有效的药物。
miR-21靶向调控PTEN/PI3K/Akt通路对胆管癌细胞恶性生物学行为的影响
施喆, 周丽媛, 赵国栋, 孙树刚, 薛亮
2022, 38(9): 2091-2098. DOI: 10.3969/j.issn.1001-5256.2022.09.026
摘要(1202) HTML (426) PDF (5240KB)(66)
摘要:
  目的  探讨微小核糖核酸-21(miR-21)靶向蛋白酪氨酸磷酸酶(PTEN)/磷酸肌醇-3-激酶(PI3K)/蛋白激酶B (Akt)通路对人胆管癌细胞株QBC939恶性生物学行为的影响。  方法  将对数期生长的胆管癌细胞株QBC939分为4组: 空载组、空白对照组、过表达组、沉默组。倒置荧光显微镜检测转染效率; 四甲基偶氮唑蓝法、流式细胞仪、Transwell小室实验、划痕实验检测细胞增殖活性、凋亡率、侵袭活性和迁移活性。实时逆转录聚合酶链反应(RT-qPCR)检测miR-21、PTEN、PI3K、Akt、哺乳动物雷帕霉素靶蛋白(mTOR) mRNA的表达; 免疫印迹法检测PTEN、PI3K、Akt、磷酸化Akt (p-Akt)和mTOR蛋白表达; 双荧光素酶报告基因实验验证miR-21对PTEN的作用。计量资料多组间比较采用单因素方差分析, 进一步两两差异比较采用SNK-q检验。  结果  过表达组、沉默组、空载组转染效率分别为(90.27±18.03)%、(91.43±18.26)%和(92.16±18.41)%。与空白对照组和空载组比较, 过表达组QBC939细胞增殖活性明显提高(P值均 < 0.05), 凋亡率显著下降(P值均 < 0.01);与空白对照组、空载组和过表达组比较, 沉默组细胞增殖活性显著降低(P值均 < 0.01), 而凋亡率显著上升(P值均 < 0.01)。与空白对照组和空载组比较, 过表达组QBC939细胞迁移率和穿膜数目均显著增高(P值均 < 0.01);与空白对照组、空载组和过表达组比较, 沉默组迁移率和穿膜数目均显著下降(P值均 < 0.01)。与空白对照组和空载组比较, 过表达组miR-21、PI3K、Akt和mTOR mRNA表达均升高, PTEN mRNA表达下降, 差异均有统计学意义(P值均 < 0.05);与空白对照组、空载组和过表达组比较, 沉默组miR-21、PI3K、Akt和mTOR mRNA表达均下降, PTEN mRNA表达升高, 差异均有统计学意义(P值均 < 0.05)。与空白对照组和空载组比较, 过表达组PI3K、Akt、p-Akt和mTOR蛋白表达均显著升高, PTEN蛋白表达显著下降(P值均 < 0.01);与空白对照组、空载组和过表达组比较, 沉默组PI3K、Akt、p-Akt和mTOR蛋白表达均显著下降, PTEN蛋白表达显著升高(P值均 < 0.01)。miR-21可靶向调控PTEN的表达。  结论  miR-21沉默可靶向PTEN/PI3K/Akt通路, 上调PTEN表达, 下调PI3K、Akt、mTOR表达及p-Akt水平, 抑制人胆管癌细胞株QBC939的恶性行为。
论著_胰腺疾病
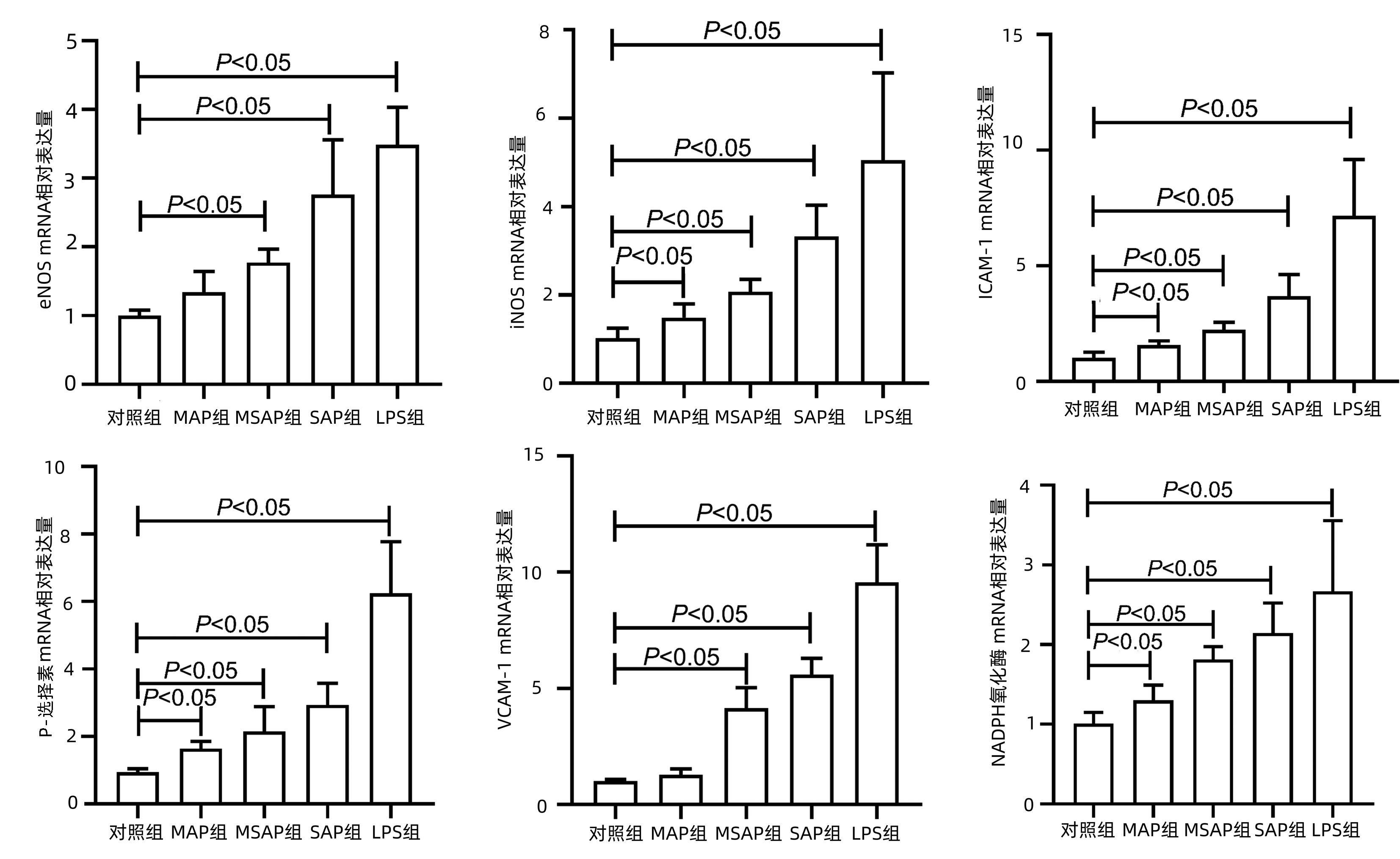
急性胰腺炎患者血浆内皮细胞微粒水平的改变及其形成机制
王迪迪, 刘秋圆, 胡翠, 王兵兵, 韦亚蓉, 丁浩, 刘晓昌, 梅俏
2022, 38(9): 2099-2105. DOI: 10.3969/j.issn.1001-5256.2022.09.027
摘要(798) HTML (306) PDF (3880KB)(60)
摘要:
  目的  探讨急性胰腺炎(AP)患者血浆内皮细胞微粒(EMP)水平的改变并初步观察其形成的机制。  方法  收集安徽医科大学第一附属医院2020年8月-2021年6月60例AP患者的血液标本, 分为轻症急性胰腺炎组(MAP组, n=23)、中度重症急性胰腺炎组(MSAP组, n=23)和重症急性胰腺炎组(SAP组, n=14), 取健康体检者20例为对照组。使用差速离心法获得贫血小板血浆, 流式细胞仪检测CD31+CD41-EMP水平, ELISA检测内皮素(ET-1)、血管性血友病因子(vWF)、一氧化氮(NO)和血管内皮细胞黏附分子-1(VCAM-1)水平。使用AP患者的血浆刺激HUVEC细胞, 使用流式细胞术和qRT-PCR分别检测EMP、细胞活性氧(ROS)、线粒体膜电位的变化及内皮型一氧化氮合酶(eNOS)、诱导型一氧化氮合酶(iNOS)、细胞间黏附分子-1(ICAM-1)、VCAM-1、NADPH氧化酶及P-选择素的表达。符合正态分布的计量资料多组间比较采用单因素方差分析, 进一步两两比较采用LSD-t检验; 不符合正态分布的计量资料组间和组内两两比较采用Kruskal-WallisH秩和检验。计数资料组间比较采用χ2检验。相关分析采用Pearson相关性检验。  结果  与对照组相比, MAP组、MSAP组、SAP组EMP水平均明显升高(P值均 < 0.05)。与MAP组、MSAP组比较, SAP组EMP水平明显升高(P值均 < 0.05)。AP患者EMP水平与APACHEⅡ评分、BISAP评分、Ranson评分、CT评分、CRP均呈正相关(r值分别为0.686 2、0.777 3、0.713 8、0.771 8、0.473 9, P值均 < 0.01)。与对照组相比, MAP组、MSAP组、SAP组的ET-1、vWF、VCAM-1水平明显升高, NO水平明显降低(P值均 < 0.05)。与对照组相比, MSAP和SAP组血浆可促进HUVEC中EMP大量释放(P值均 < 0.05)。与对照组比较, 除MAP组的VCAM-1和eNOS外, 其余各组的eNOS、iNOS、ICAM-1、P-选择素、VCAM-1、NADPH氧化酶的mRNA表达水平均显著升高(P值均 < 0.05)。与对照组相比, MAP组、MSAP组、SAP组、LPS组患者HUVEC中的ROS水平升高明显, 线粒体膜电位下降显著(P值均 < 0.05)。  结论  AP患者血浆EMP水平明显升高, 与胰腺炎严重程度相关, 且AP患者血浆可刺激HUVEC形成EMP, 机制可能与细胞氧化损伤相关。
短篇论著
6例HIV单一感染者非肝硬化性门静脉高压症的临床特征分析
张丽丽, 胡建华, 勾春燕, 吕文良
2022, 38(9): 2106-2109. DOI: 10.3969/j.issn.1001-5256.2022.09.028
摘要(955) HTML (339) PDF (1948KB)(66)
摘要:
临床病例讨论
肝门静脉窦性血管病合并非门静脉高压性腹水的临床病理特点及治疗初探
张玉姣, 王秀红, 郑英, 马安林
2022, 38(9): 2110-2112. DOI: 10.3969/j.issn.1001-5256.2022.09.029
摘要(1087) HTML (724) PDF (3074KB)(75)
摘要:
病例报告
内镜治疗食管胃底静脉曲张并发脾梗死及反复腹腔感染1例报告
马佳丽, 何玲玲, 蒋煜, 魏红山, 李坪
2022, 38(9): 2113-2115. DOI: 10.3969/j.issn.1001-5256.2022.09.030
摘要(961) HTML (238) PDF (2430KB)(69)
摘要:
肝上皮样血管内皮细胞瘤3例报告
张瑜, 王花丽, 卢书明
2022, 38(9): 2116-2119. DOI: 10.3969/j.issn.1001-5256.2022.09.031
摘要(1419) HTML (418) PDF (5498KB)(82)
摘要:
同卵双胎纯合突变肝豆状核变性一家系报告
高宪梅, 于晓晓, 于臻, 张琳琳, 杨杰
2022, 38(9): 2120-2122. DOI: 10.3969/j.issn.1001-5256.2022.09.032
摘要(928) HTML (265) PDF (2207KB)(53)
摘要:
肝豆状核变性致尿崩症、甲状腺功能减退1例报告
江勇, 张志广, 季英兰, 张颖
2022, 38(9): 2123-2124. DOI: 10.3969/j.issn.1001-5256.2022.09.033
摘要(859) HTML (276) PDF (2044KB)(67)
摘要:
综述
外泌体在慢性乙型肝炎和HBV相关肝细胞癌发生发展中的作用机制
郭紫薇, 陈贺宁, 曹旭, 张嘉鑫, 张宁怡, 靳茜, 李小科, 叶永安
2022, 38(9): 2125-2129. DOI: 10.3969/j.issn.1001-5256.2022.09.034
摘要(1034) HTML (383) PDF (2233KB)(79)
摘要:
外泌体是由细胞内多囊泡体形成,携带脂质、蛋白质、编码和非编码RNA以及线粒体DNA等多种生物大分子,在体内可由包括肝细胞、肝星状细胞和免疫细胞在内的不同细胞类型释放,起着细胞间通讯的作用。越来越多研究表明,外泌体参与了HBV感染导致的慢性乙型肝炎(CHB)及肝细胞癌(HCC)的发生、发展及转归,有望成为HBV感染相关性HCC的早期诊断及预后评估的潜在生物学标志物。本文综述了外泌体在HBV感染宿主过程中的作用及其在CHB和HCC的发生、发展及预后中的重要性,以期为该领域的基础和临床研究提供新思路。
原发性胆汁性胆管炎的治疗进展
吕行, 李婷, 孙晓东, 周建鹏, 王东霞, 吕国悦
2022, 38(9): 2130-2135. DOI: 10.3969/j.issn.1001-5256.2022.09.035
摘要(1403) HTML (1976) PDF (2304KB)(182)
摘要:
原发性胆汁性胆管炎(PBC)是一种自身免疫性疾病,常见于中年女性。疾病进展可导致肝硬化、肝衰竭。熊去氧胆酸和奥贝胆酸为美国食品药品管理局唯一批准的一、二线用药,但是约有40%的患者对熊去氧胆酸应答不敏感,多种二线用药如贝特类药物、免疫抑制剂的研究正在开展,而肝移植是终末期PBC治疗的唯一手段。本文就PBC近年来的治疗研究进展及相关机制进行综述,旨在为临床实践提供参考。
基因突变致胆汁酸代谢异常相关发生机制的研究进展
易波, 李雪, 汤善宏
2022, 38(9): 2136-2140. DOI: 10.3969/j.issn.1001-5256.2022.09.036
摘要(2225) HTML (369) PDF (2375KB)(109)
摘要:
胆汁酸由肝脏合成并分解代谢,诸多原因均可导致其生成、分泌及重吸收障碍,进而引起体内胆汁酸代谢异常。常见诱因包括肝炎、病毒、酒精、药物、胆道梗阻及遗传等。目前已有研究报道胆汁酸代谢异常与转运蛋白基因突变存在联系,国内外对此均进行了深入研究。本文主要对基因突变所致胆汁酸代谢异常的发生机制及相关研究进展作一综述,为阐明此类疾病的诊断和治疗提供新依据及新思路。
肝硬化止血再平衡的机制及输血、抗凝时机的选择
马欢, 韩梅, 张悦, 姜春萌, 刘辉
2022, 38(9): 2141-2145. DOI: 10.3969/j.issn.1001-5256.2022.09.037
摘要(1195) HTML (304) PDF (1954KB)(96)
摘要:
肝硬化患者体内存在重建的止血再平衡,但此平衡状态不稳定,可轻易的被应激因素打破,导致出血或血栓形成。由于肝硬化止血再平衡复杂的发病机制,目前有限的监测和检查方法,以及临床医生的认识不足等原因,导致临床上缺乏预防和解决平衡状态被打破的有效策略。结合近年来的文献,本文总结了肝硬化止血再平衡的发生机制以及出血、血栓形成的原因,并讨论了输血与止血再平衡的关系以及血栓形成时抗凝药物的选择,为临床相关问题的解决提供了理论依据和新的思路。
小肠细菌过度生长对肝硬化的影响及其治疗对策
牛国超, 孙东磊, 张晓岚
2022, 38(9): 2146-2149. DOI: 10.3969/j.issn.1001-5256.2022.09.038
摘要(1653) HTML (729) PDF (1954KB)(83)
摘要:
小肠细菌过度生长(SIBO)以小肠内菌群数量或菌群种类改变为特点。肝硬化患者经常出现肠道淤血、水肿和蠕动减慢,常常发生SIBO,而SIBO又可进一步加重肠道异常。在肝硬化患者中,SIBO可导致明显的不良临床后果,由于肠道通透性增加易使细菌移位进入体循环,因此,SIBO被认为是肝硬化患者、自发性细菌性腹膜炎和肝性脑病发病机理中的重要危险因素。抗生素尤其是利福昔明是SIBO最有效的治疗方法。此外,促动力药、益生菌、非选择性β受体阻滞剂以及肝移植术等潜在治疗方法也在研究中。
肝硬化患者非肿瘤性门静脉血栓形成的早期预测因子
周遵兰, 杨丽娜, 李清清, 王红
2022, 38(9): 2150-2154. DOI: 10.3969/j.issn.1001-5256.2022.09.039
摘要(1062) HTML (234) PDF (1966KB)(66)
摘要:
门静脉血栓形成(PVT)是肝硬化失代偿期患者常见的并发症之一,包括非肿瘤性PVT和出现原发性肝癌后并发门静脉瘤栓,其后果可导致肝功能恶化、加重食管胃底静脉曲张出血等相关门静脉高压不良事件,降低肝移植术后患者的生存率,严重者可能危及生命。因此,对PVT的危险因素及早期预测因子作进一步研究,具有重要的临床意义。本文拟从传统的血栓形成三要素及肝功能损伤严重程度、食管胃底静脉曲张内镜下治疗等方面,对近年来肝硬化非肿瘤性PVT早期预测因子进行阐述。对相关研究分析表明,部分早期预测因子与PVT具有明确的相关性,为PVT的早期识别提供帮助。但具体预测值可能存在差异,需要多中心、前瞻性研究证实。
门静脉高压症特殊侧支循环的临床意义及诊治
熊任芝, 陈东风, 崔红利
2022, 38(9): 2155-2159. DOI: 10.3969/j.issn.1001-5256.2022.09.040
摘要(1652) HTML (1215) PDF (1965KB)(81)
摘要:
随着对门静脉高压症病理生理机制的深入认识以及检查手段的丰富和精细,门静脉高压症所致的特殊侧支循环不断被发现和了解。因其临床表现多样、诊断困难、治疗棘手、并发症严重、预后较差、病死率高,对其早期识别和诊断及制订合理有效的治疗方案是临床上需要解决的难题。本文将对门静脉高压症导致的特殊侧支循环从解剖结构、临床意义、诊断方法以及治疗手段等方面进行总结阐述。
PD-1/PD-L1免疫抑制剂在HBV感染相关肝细胞癌中的有效性及安全性分析
程然, 徐小元
2022, 38(9): 2160-2164. DOI: 10.3969/j.issn.1001-5256.2022.09.041
摘要(946) HTML (494) PDF (1972KB)(106)
摘要:
基于免疫检查点抑制剂特别是程序性细胞死亡蛋白1(PD-1)及程序性死亡受体配体1(PD-L1)抑制剂的肝细胞癌(HCC)免疫联合治疗在临床研究和临床实践中已取得了显著的疗效,HBV感染被认为是HCC发生过程中的主要危险因素。PD-1/PD-L1免疫检查点抑制剂单药和联合治疗HBV相关HCC患者的安全性和有效性正在研究中,部分研究发现HBV相关HCC患者接受PD-1/PD-L1抑制剂治疗显示出与未感染HBV者相似的效果,但关于HBV激活相关的安全性问题尚未得出一致结论。在此,本文系统回顾了PD-1/PD-L1阻断免疫疗法应用于HCC的临床试验,以阐明这种新型治疗方案在特定HBV感染情况下的安全性和有效性。
肝细胞癌中糖异生代谢异常的研究进展
罗赛芳, 马向明, 曹立瀛
2022, 38(9): 2165-2171. DOI: 10.3969/j.issn.1001-5256.2022.09.042
摘要(1252) HTML (1104) PDF (4065KB)(108)
摘要:
肿瘤在有氧环境中仍然进行糖酵解以加速对肿瘤微环境中的葡萄糖摄取和产生大量乳酸,为肿瘤细胞增殖提供所需的核苷酸、脂质和蛋白质的生物分子前体,以及可抑制免疫细胞的功能而促进肿瘤细胞的转移。糖异生代谢作为糖酵解的逆反应在肝细胞癌中处于抑制状态,尤其是丙酮酸羧化酶、磷酸烯醇式丙酮酸羧激酶、果糖-1, 6-二磷酸酶1和葡萄糖-6-磷酸酶4个关键限速酶的表达下调,通过促进有氧糖酵解及其分支途径而促进肝细胞癌的生长和增殖,同时也与肝细胞癌患者的总生存期和预后相关,被认为是肝细胞癌的抑制因子。基于此,本文总结了糖异生代谢关键酶在肝细胞癌发生发展中的变化及其作用机制,并分析了其在肝细胞癌中相关研究的不足和未来方向,期望为肝细胞癌的治疗提供新思路。
胆汁酸G蛋白偶联受体5在非病毒性肝病中的作用
周群, 张华, 刘平, 陈佳美
2022, 38(9): 2172-2176. DOI: 10.3969/j.issn.1001-5256.2022.09.043
摘要(1419) HTML (496) PDF (1973KB)(63)
摘要:
非病毒性肝病主要包括非酒精性脂肪性肝病、酒精性肝病、自身免疫性肝病和胆汁淤积性肝病等,近年来患病率呈上升趋势。胆汁酸G蛋白偶联受体5(TGR5)隶属于G蛋白偶联受体超家族,由初级和次级胆汁酸激活,在胆汁酸稳态、基础代谢、能量平衡和减轻炎症反应等方面均发挥重要的调控作用,是多种疾病的潜在治疗靶点。越来越多的证据表明,TGR5可改善肝脏胆汁酸及糖脂代谢,减轻肝脏炎症反应,减少肝脂肪变性,从而发挥保护肝脏的作用。本文就目前TGR5在非病毒性肝病领域中的基础研究进展作一综述,期冀对TGR5的研究发展有所补益。
脂质运载蛋白2在肝脏疾病发生发展中的作用
廖争光, 卫诗蕙, 杜丹玉, 孙立, 袁胜涛
2022, 38(9): 2177-2181. DOI: 10.3969/j.issn.1001-5256.2022.09.044
摘要(1112) HTML (1085) PDF (1969KB)(100)
摘要:
脂质运载蛋白2(LCN2)最初是从感染猴空泡病毒40的小鼠肾细胞培养物中纯化得到的一种分泌糖蛋白,在炎症期间对细胞稳态控制以及应对细胞应激或损伤的反应中发挥着关键作用,被认为是风湿病、癌症、肝脏疾病和炎症性疾病的一种潜在的生物标志物。已有研究表明,LCN2在肝实质细胞和非实质细胞中表达并分泌入血,与急性肝损伤、肝硬化、病毒性肝炎、酒精性肝病、非酒精性脂肪性肝病以及肝细胞癌等的发生发展密切相关。本文总结了LCN2与肝脏疾病发病机制相关的动物实验和临床研究,以期为肝脏疾病的防治提供新思路和治疗靶点。
细胞色素P450家族在肝脏代谢相关疾病中的作用
陈玮钰, 舒发明, 王涵, 曹杨港, 胡锦, 毛德文
2022, 38(9): 2182-2187. DOI: 10.3969/j.issn.1001-5256.2022.09.045
摘要(3137) HTML (1916) PDF (1980KB)(267)
摘要:
细胞色素P450(CYP)家族是体内最重要的药物代谢酶,负责内源性和外源性化合物的代谢。肝脏作为CYP家族表达的主要部位,是药物的代谢中心。近年来,CYP家族在肝脏中的作用受到国内外学者的广泛关注。本文就CYP家族在解剖学、遗传学、基因组学等方面的分布差异,以及在非酒精性脂肪性肝病、酒精性肝病、肝纤维化、肝硬化、肝细胞癌等病理过程中的表达变化作一综述,深入探讨CYP家族介导的酶活性对肝脏代谢相关疾病药物治疗效果的影响,以期为寻找疾病中关键的药物干预靶点和增强临床疗效及安全性提供重要启示。
急性胰腺炎评分系统的研究进展
罗秀平, 王洁, 吴青, 覃蒙斌, 刘诗权, 黄杰安
2022, 38(9): 2188-2192. DOI: 10.3969/j.issn.1001-5256.2022.09.046
摘要(1771) HTML (384) PDF (1967KB)(116)
摘要:
急性胰腺炎(AP)是临床常见的危重疾病, 发病率不断升高。虽然大多数患者是轻症胰腺炎, 但重症胰腺炎的病死率仍偏高, 因此亟需一些早期、简便、精确的临床评分系统来判断AP严重程度, 以此便于进行有效的疾病管理和对症治疗而降低患者病死率。目前有大量研究证实, Ranson评分、APACHEⅡ评分、BISAP评分、CTSI评分、某些血清学指标等评分系统已用于评估AP的严重程度及预后, 但均有一定的局限性。本文对现有的评分系统、单一血清学指标及其相关的改良评分系统近年来的研究进展作一概述。通过文献复习认为目前尚无任何单一评分系统或某一指标能够覆盖AP诊治的全过程, 对AP严重程度作出准确的判断,需要开发新的评分系统或联合各项指标综合评定。
国外期刊精品文章简介
Hepatology|老年肝硬化患者经颈静脉肝内门体分流术后死亡率的预测模型
2022, 38(9): 1973-1973. DOI: 10.3969/j.issn.1001-5256.2022.09.gwjpwzjj1
摘要(725) HTML (451) PDF (892KB)(75)
摘要:
Hepatology|甲基转移酶1是非同源末端连接修复所必需的关键酶,并使肝细胞癌对放射治疗抵抗
2022, 38(9): 2033-2033. DOI: 10.3969/j.issn.1001-5256.2022.09.gwjpwzjj2
摘要(517) HTML (221) PDF (900KB)(72)
摘要:
Hepatology|在非酒精性脂肪性肝病中年龄和肝脏相关死亡的相对重要性
2022, 38(9): 2039-2039. DOI: 10.3969/j.issn.1001-5256.2022.09.gwjpwzjj3
摘要(550) HTML (184) PDF (896KB)(57)
摘要:
Hepatology |在长期喂养乙醇并突然暴饮的NIAAA小鼠模型中,脂肪分解对乙醇诱发脂肪肝起重要作用
2022, 38(9): 2115-2115. DOI: 10.3969/j.issn.1001-5256.2022.09.gwjpwzjj4
摘要(546) HTML (309) PDF (893KB)(44)
摘要:
Journal of Hepatology|血浆氨水平能够预测临床稳定的肝硬化门诊患者的肝脏相关并发症和病死率
2022, 38(9): 2181-2181. DOI: 10.3969/j.issn.1001-5256.2022.09.gwjpwzjj5
摘要(539) HTML (260) PDF (900KB)(54)
摘要:
Hepatology|有针对性地降低门静脉肝压力梯度可改善经颈静脉肝内门体分流术后腹水控制
2022, 38(9): 2187-2187. DOI: 10.3969/j.issn.1001-5256.2022.09.gwjpwzjj6
摘要(593) HTML (247) PDF (901KB)(58)
摘要:
Gastrointestinal Endoscopy|胆管腔内射频消融术对裸置自膨式金属支架治疗恶性胆管梗阻患者支架通畅性和生存期的影响
2022, 38(9): 2192-2192. DOI: 10.3969/j.issn.1001-5256.2022.09.gwjpwzjj7
摘要(608) HTML (259) PDF (899KB)(49)
摘要:
读者·作者·编者
本刊对形态学图片的质量和制作要求
2022, 38(9): 2077-2077.
摘要(365) HTML (273) PDF (884KB)(44)
摘要:
消息
《临床肝胆病杂志》2023年1-3期重点号选题及各期执行主编
2022, 38(9): 1985-1985.
摘要(372) HTML (203) PDF (1040KB)(71)
摘要:
《临床肝胆病杂志》关于不法人员冒用本刊名义实施邮件诈骗的严正声明
2022, 38(9): 2045-2045.
摘要(295) HTML (240) PDF (1578KB)(48)
摘要:
志谢
本期审稿专家
2022, 38(9): 1955-1955. DOI: 10.3969/j.issn.1001-5256.2022.09.zhixie1
摘要(420) HTML (165) PDF (886KB)(49)
摘要: