中文English
ISSN 1001-5256 (Print)
ISSN 2097-3497 (Online)
CN 22-1108/R
2021 No.3
Theme Issue: Ablation of liver tumor
Executive Chief Editor: Li Xiao 
Cancer Hospital of Chinese Academy of Medical Sciences

Display Method:
Editorial
Management of ablation techniques for liver cancer and establishment of a diverse team for liver cancer ablation
Yan FU, Xiao LI, Xiaowu ZHANG, Jiawei CAO
2021, 37(3): 497-500. DOI: 10.3969/j.issn.1001-5256.2021.03.001
Abstract(1099) HTML (438) PDF (1872KB)(121)
Abstract:
Ablation is one of the important treatment methods for liver cancer, and standard ablation techniques, scientific and rational therapeutic strategy, and close teamwork are important premises for a good clinical effect. Although the efficacy of ablation therapy for liver cancer has gradually increased with the continuous improvement of ablation techniques, there remains a high tumor recurrence rate, and therefore, there is an urgent need for the therapeutic strategies that can improve the efficacy of ablation therapy for liver cancer and the prognosis of patients. Establishment of a diverse team for liver cancer ablation is a new concept put forward on the basis of a conventional team for liver cancer ablation to meet the requirements of ablation therapy for liver cancer. Since a diverse team for liver cancer ablation has potential advantages over a conventional team, it may be a promising mode for establishing a team for liver cancer ablation.
Discussions by experts
Ablation therapy for large hepatocellular carcinoma
Fei CAO, Weijun FAN
2021, 37(3): 501-505. DOI: 10.3969/j.issn.1001-5256.2021.03.002
Abstract(1433) HTML (356) PDF (1817KB)(141)
Abstract:
Hepatocellular carcinoma (HCC) is one of the most common malignant tumors in China, and when a single tumor is larger than 5 cm in diameter, it is defined as large HCC. Large HCC has the characteristics of high degree of tumor malignancy and high risk of tumor metastasis and vascular invasion, which increases the difficulty of treatment. Surgical resection is the preferred treatment regimen for large HCC, but only 20%-30% of patients are candidates for surgical treatment. Transarterial chemoembolization (TACE) is recommended as the treatment regimen for unresectable large HCC in Chinese and international guidelines. It can control tumor progression and prolong the survival time of patients; however, repeated TACE has limited efficacy and may cause serious damage to liver function, and TACE alone can no longer meet clinical needs. With the development of tumor ablation techniques such as radiofrequency ablation, microwave ablation, and cryoablation, TACE combined with tumor ablation has become an important treatment method for large HCC. However, there are still controversies over the effect of ablation on large HCC, and therefore, how to choose the appropriate ablation time, reduce tumor residue and recurrence after ablation, and finally bring survival benefits to patients remains a difficult problem to be solved in clinical and scientific research. This article reviews the current status, predicaments, and future development trends of ablation therapy for large HCC.
Local treatment of liver cancer: Ablation or resection?
Yaoping SHI, Bo ZHAI
2021, 37(3): 506-509. DOI: 10.3969/j.issn.1001-5256.2021.03.003
Abstract(1034) HTML (521) PDF (1800KB)(122)
Abstract:
Liver cancer is one of the most common malignant tumors in China. Surgical resection is still the preferred radical treatment method for patients with liver cancer; however, most patients cannot tolerate surgical resection due to the influence of tumor size, tumor location, liver function, and general condition. In recent years, local ablation techniques, such as radiofrequency ablation and microwave ablation, have developed rapidly and are widely used in clinical practice, and they are even known as new techniques comparable to surgical resection for the radical treatment of liver cancer. This article briefly introduces the application and selection of local ablation and surgical resection in the treatment of liver cancer.
Current status and advances in ultrasound-guided thermal ablation for hepatocellular carcinoma
Xin LI, Ping LIANG
2021, 37(3): 510-514. DOI: 10.3969/j.issn.1001-5256.2021.03.004
Abstract(2144) HTML (462) PDF (1971KB)(175)
Abstract:
Hepatocellular carcinoma (HCC) is a common malignant tumor in clinical practice, and image-guided thermal ablation is a radical treatment method for early-stage HCC and a method for palliative tumor reduction and combination with systematic therapy for advanced HCC. With the advantages of real-time imaging, accurate guiding, easy operation, portability, low cost, no radiation damage, and high efficiency, ultrasound plays an important role in preoperative planning, intraoperative guiding, postoperative evaluation, and long-term follow-up in thermal ablation for HCC. With the advances in ultrasound and imaging fusion technology and the development of functional imaging technology represented by photoacoustic imaging, ultrasound-guided thermal ablation is at the forefront of precision treatment of HCC, achieving long-lasting development and developing into a more minimally invasive, accurate, safe, and effective diagnostic and therapeutic mode.
Advances in local ablation therapy for liver cancer with portal hypertension
Wen LUO, Jun TIE
2021, 37(3): 515-521. DOI: 10.3969/j.issn.1001-5256.2021.03.005
Abstract(1286) HTML (320) PDF (1871KB)(108)
Abstract:
With the comprehensive application of a variety of treatment methods, the survival time of patients with primary liver cancer is gradually increasing. For patients with early-stage liver cancer and portal hypertension, local ablation therapy can achieve long-term survival and play a positive role in stabilizing portal venous pressure, preserving liver function, and reducing complications. In addition, it can be combined with other techniques such as transarterial chemoembolization, transjugular intrahepatic portosystemic shunt, splenectomy, and pericardial devascularization to further improve treatment outcome. Several measures can be taken in the perioperative period to improve the management efficiency of patients after ablation, such as objective evaluation of portal venous pressure, prevention of esophagogastric variceal bleeding, correction of hypersplenism, prevention of postoperative liver failure, and multidisciplinary team management.
Stereotactic ablative radiotherapy for colorectal cancer liver metastasis
Xuemin LI, Hao WANG, Junjie WANG
2021, 37(3): 522-526. DOI: 10.3969/j.issn.1001-5256.2021.03.006
Abstract(1432) HTML (716) PDF (1818KB)(85)
Abstract:
Systemic treatment and local treatment of metastatic lesion can improve the survival of patients with colorectal cancer liver metastasis (CRLM). Stereotactic body radiotherapy, also known as stereotactic ablative radiotherapy (SABR), is an effective method for local treatment of metastatic lesion and also has a certain impact on systemic immune status. SABR can directly kill tumor cells and change tumor immune microenvironment through influence on tumor cells and non-tumor cells. SABR combined with immunotherapy may increase the incidence rate of abscopal effect outside the irradiated area by affecting different links of immune response. Stereotactic ablative brachytherapy (SABT) is an independent minimally invasive treatment system with the characteristics of short treatment course, high accuracy, and definite therapeutic effect. This article reviews the application of SABR and SABT in CRLM.
Guidelines
Management algorithm for prevention of mother-to-child transmission of hepatitis B virus(2021)
Chinese Foundation for Hepatitis Prevention and Control, Chinese Society of Infectious Diseases, Chinese Medical Association, Chinese Society of Hepatology, Chinese Medical Association
2021, 37(3): 527-531. DOI: 10.3969/j.issn.1001-5256.2021.03.007
Abstract(2188) HTML (1244) PDF (2202KB)(861)
Abstract:
Consensus on the secondary prevention for primary liver cancer (2021 edition)
Chinese Society of Hepatology, Chinese Medical Association
2021, 37(3): 532-542. DOI: 10.3969/j.issn.1001-5256.2021.03.008
Abstract(2519) HTML (598) PDF (3779KB)(742)
Abstract:
In order to standardize the effective prevention, early screening, and diagnosis of primary liver cancer, Chinese Society of Hepatology, Chinese Medical Association, organized relevant experts to develop consensus on the secondary prevention for primary liver cancer (2021 edition) based on the advances in the basic, clinical, and preventive researches on primary liver cancer in China and globally and the actual situation in China at this stage, so as to provide an important basis for the prevention, screening, and early diagnosis of primary liver cancer in patients with chronic liver diseases.
China guideline for diagnosis and comprehensive treatment of colorectal liver metastases (2020 edition)
Chinese College of Surgeons, Chinese Medical Doctor Association, Chinese Society Gastrointestinal Surgery, Chinese Society of Surgery, Chinese Medical Association, Chinese Society of Colorectal Surgery, Chinese Society of Surgery, Chinese Medical Association, Section of Colorectal Oncology, Chinese Society of Oncology, Chinese Medical Association, Colorectal Cancer Professional Committee, Chinese Anti-Cancer Association, Colorectal Cancer Professional Committee, Chinese Medical Doctor Association, Colorectal Cancer Expert Committee, Chinese Society of Clinical Oncology, Chinese College of Colorectal Surgeons, Chinese College of Surgeons, Chinese Medical Doctor Association, Metastasis Research Committee, Anorectal Branch of Chinese Medical Doctor Association, Colorectal Liver Metastases Professional Committee, China International Exchange and Promotive Association for Medical and Health Care
2021, 37(3): 543-553. DOI: 10.3969/j.issn.1001-5256.2021.03.009
Abstract(2946) HTML (423) PDF (2560KB)(514)
Abstract:
An excerpt of WGO guidance for the care of patients with COVID-19 and liver disease
Zhe LI, Fangbo GAO, Yanyan WU, Xingshun QI
2021, 37(3): 554-555. DOI: 10.3969/j.issn.1001-5256.2021.03.010
Abstract(933) HTML (185) PDF (1929KB)(71)
Abstract:
Original articles_Viral hepatitis
Influencing factors for low-level viremia in chronic hepatitis B patients treated with long-term entecavir antiviral therapy
He CHEN, Juanjuan FU, Li LI, Guangde YANG, Xiucheng PAN
2021, 37(3): 556-559. DOI: 10.3969/j.issn.1001-5256.2021.03.011
Abstract(1505) HTML (729) PDF (1808KB)(179)
Abstract:
  Objective  To investigate the influencing factors for persistent low-level viremia (LLV) in chronic hepatitis B(CHB) patients receiving long-term entecavir antiviral therapy.  Methods  The CHB patients who received entecavir antiviral therapy for at least one year in The Affiliated Hospital of Xuzhou Medical University from November 2018 to June 2020 were enrolled as subjects, and according to HBV DNA load at the end of the observation period, the patients were divided into LLV group and sustained virological response (SVR) group. Demographic features and laboratory markers were observed for all patients. The independent samples t-test or the Mann-Whitney U test was used for comparison of continuous data between two groups, and the chi-square test was used for comparison of categorical data between two groups. A multivariate logistic regression analysis was used to investigate the influencing factors for LLV in patients receiving long-term entecavir treatment.  Results  A total of 560 CHB patients were enrolled, with 204 in the LLV group and 356 in the SVR group. There were significant differences between the two groups in age (Z=-3.530, P < 0.001), sex (χ2=4.270, P=0.039), presence or absence of liver cirrhosis (χ2=53.879, P < 0.001), medication compliance (χ2=5.326, P=0.021), HBeAg positive rate (χ2=90.681, P < 0.001), baseline HBV DNA load before treatment (Z=-8.337, P < 0.001), baseline HBsAg quantification (Z=-10.472, P < 0.001), and medication type (χ2=7.558, P=0.006). The multivariate logistic regression analysis showed that baseline HBeAg status before treatment (odds ratio [OR]=3.381, 95% confidence interval [CI]: 1.985-5.756, P < 0.001), HBV DNA load before treatment (OR=1.223, 95%CI: 1.050-1.424, P=0.010), and HBsAg quantification before treatment (OR=2.448, 95%CI: 1.743-3.438, P < 0.001) were risk factors for LLV in long-term entecavir antiviral therapy.  Conclusion  In clinical practice, CHB patients with high HBV DNA load, high HBsAg quantification, and positive HBeAg tend to have a high risk of LLV even after long-term entecavir antiviral therapy. Therefore, such population should be taken seriously with the dynamic monitoring of HBsAg quantification, HBV DNA load, and HBeAg status.
Role of coagulation abnormalities in thrombosis in patients with hepatitis B virus-associated acute-on-chronic liver failure
Ying XU, Xiaoping HUANG, Li CHEN, Wei SUN, Yan WANG, Jianhe GAN
2021, 37(3): 560-564. DOI: 10.3969/j.issn.1001-5256.2021.03.012
Abstract(1088) HTML (320) PDF (1915KB)(97)
Abstract:
  Objective  To investigate the role of coagulation function parameters and platelet indices in thrombotic events in patients with hepatitis B virus-associated acute-on-chronic liver failure (HBV-ACLF).  Methods  A total of 56 patients with HBV-ACLF who were hospitalized in The First Affiliated Hospital of Soochow University from January 2015 to December 2019 were enrolled and divided into thrombotic complication (TC) group with 24 patients and non-thrombotic complication (NTC) group with 32 patients. A retrospective analysis was performed for their general clinical data on admission, and the patients were observed in terms of the changes in coagulation function, platelet count (PLT), and the platelet function-related index mean platelet volume (MPV) on days 1-7 after admission. The t-test was used for comparison of normally distributed continuous data between two groups, and the Mann-Whitney U rank sum test was used for comparison of non-normally distributed continuous data between two groups; the chi-square test was used for comparison of categorical data between two groups. A repeated measures analysis of variance was used to compare coagulation markers within and between groups at different time points.  Results  On admission, the TC group had a significantly younger age than the NTC group [31.5 (29.0-34.0) years vs 48.5 (36.0-50.7) years, Z=-2.637, P=0.008]. On the day of admission, there was no significant difference in MPV between the TC group and the NTC group (P > 0.05), while on days 2-7 after admission, there was a significant difference in MPV between the two groups (t=-2.696、-2.742、-2.894、-4.174、-3.945、-4.716, all P < 0.01). In the TC group, MPV reached the peak value on day 5 of admission, with a mean value of 13.90±1.12 fl, which was higher than the range of normal values. On admission, all patients had a mean prothrombin time (PT) of 28.8±7.2 s, a mean activated partial thromboplastin time (APTT) of 50.5±8.7 s, and a mean international normalized ratio (INR) of 2.6±0.7, which were higher than normal values; all patients had a mean fibrinogen (Fb) level of 1.16±0.3 g/L and a mean PLT of (107.7±26.5)×109/L, which were lower than normal values. There were no significant differences in PT, APTT, Fb, INR, and PLT between the TC group and the NTC group (all P > 0.05).  Conclusion  Coagulation disorder in patients with liver failure is more of a low-equilibrium state, which is complex and heterogeneous and requires individualized treatment. For patients with HBV-ACLF, the development of thrombotic events may be more associated with platelet function than PLT or conventional coagulation markers.
Clinical features and risk factors of acute hepatitis E with severe jaundice
Yu LIU, Xue MEI, Yuyi ZHANG, Ying ZOU, Zhengguo ZHANG, Hongying GUO, Wei YUAN, Jiefei WANG, Zhiping QIAN
2021, 37(3): 565-569. DOI: 10.3969/j.issn.1001-5256.2021.03.013
Abstract(1113) HTML (302) PDF (1946KB)(85)
Abstract:
  Objective  To investigate the clinical features of acute hepatitis E (AHE) patients with or without severe jaundice and the risk factors for severe jaundice.  Methods  A retrospective analysis was performed for the clinical data of 179 AHE patients who were admitted to Shanghai Public Health Clinical Center Affiliated to Fudan University from January 1, 2018 to March 26, 2020. According to whether total bilirubin (TBil) was > 171 μmol/L, the patients were divided into AHE-mild jaundice (AHE-M) group and AHE-severe jaundice (AHE-S) group, and the two groups were compared in terms of clinical data and laboratory markers. The t test or the Mann-Whitney U test or the chi-squared test was used for comparison, and a binary logistic regression analysis was used to identify independent risk factors.  Results  Of all 179 patients, 101 (56.42%) were found to have severe jaundice. Compared with the AHE-M group, the AHE-S group had a significantly higher proportion of male patients (80.20% vs 61.54%, χ2=7.612, P=0.006), a significantly longer length of hospital stay [29 (19-45) days vs 18 (14-22) days, Z=-6.035, P < 0.001], a significantly higher number of patients with liver failure (23 vs 0, χ2=18.373, P < 0.001), and a significantly poorer prognosis (P < 0.001). Compared with the AHE-M group, the AHE-S group had significantly higher baseline anti-HEV-IgM, alpha-fetoprotein, and liver elasticity (Z=-3.534, -3.588, and -4.496, all P < 0.001), significantly lower baseline CD4 (Z=-2.015, P < 0.05), significantly higher peak values of TBil, direct bilirubin, creatinine, prothrombin time, international normalized ratio, and absolute neutrophil count (Z=-11.016, -10.926, -2.726, -4.787, -4.989, and -6.016, all P < 0.01), a significantly lower peak value of gamma-glutamyl transpeptidase (GGT) (Z=-4.55, P < 0.001), and significantly lower valley values of albumin, prealbumin (PA), and absolute lymphocyte count (Z=-4.685, -5.087, and -4.818, all P < 0.001). The logistic regression analysis showed that anti-HEV-IgM (odds ratio [OR]=1.022, 95% confidence interval [CI]: 1.005-1.039, P=0.012), GGT (OR=0.995, 95%CI: 0.993-0.998, P=0.001), PA (OR=0.991, 95%CI: 0.983-0.999, P=0.02), and neutrophils (OR=1.486, 95%CI: 1.169-1.889, P=0.001) were independent risk factors for severe jaundice in AHE patients.  Conclusion  There is a relatively high proportion of male patients among the AHE patients with severe jaundice, with a long length of hospital stay, a large number of patients with liver failure, and poor prognosis. Anti-HEV-IgM, GGT, PA, and neutrophils are independent risk factors for severe jaundice in AHE patients.
Original articles_Liver fibrosis and liver cirrhosis
Value of common clinical indices and noninvasive liver fibrosis scores in the diagnosis of advanced liver fibrosis in hepatic-type Wilson's disease in China
Chen LIANG, Hui LIU, Jie BAI, Yan REN, Tailing WANG, Nianchen LIU, Li BAI, Shuang LIU, Yu CHEN, Zhongping DUAN, Sujun ZHENG
2021, 37(3): 570-574. DOI: 10.3969/j.issn.1001-5256.2021.03.014
Abstract(1093) HTML (619) PDF (2262KB)(85)
Abstract:
  Objective  To investigate the association of common clinical indices and noninvasive liver fibrosis scores with hepatic-type Wilson's disease (WD) in Chinese patients and their ability to identify advanced liver fibrosis.  Methods  A retrospective analysis was performed for the clinical data of 236 Chinese patients with WD who were diagnosed and treated in Beijing YouAn Hospital and China-Japan Friendship Hospital from May 1996 to April 2020. A total of 26 patients with hepatic-type WD who underwent liver pathological examination and had complete clinical data were enrolled; the METAVIR score was used to determine liver fibrosis stage, and the patients were divided into advanced liver fibrosis (F3 and F4 stages) group and non-advanced liver fibrosis (F0, F1, and F2 stages) groups. Three noninvasive liver fibrosis scores [Sheth index, aspartate aminotransferase-to-platelet ratio index (APRI), and fibrosis-4 (FIB-4) index] were calculated for both groups, and the above indices and related clinical indices were compared between the two groups. The independent samples t-test or the Mann-Whitney U test was used for comparison of continuous data between two groups, and the Fisher's exact test was used for comparison of categorical data between two groups. The Spearman rank correlation test was used for further analysis of indices with statistical significance, and the clinical indices and scoring criteria correlated with liver fibrosis degree were screened out; the receiver operating characteristic (ROC) curve was plotted, and the area under the ROC curve (AUC) was calculated.  Results  Most of the patients in this study developed the disease in childhood and adolescence, and among these patients, 10 (38.5%) had positive K-F ring and 17 (65%) were in the stage of advanced liver fibrosis. There were significant differences between the advanced liver fibrosis group and the non-advanced liver fibrosis group in white blood cell count (WBC) (Z=-2.102, P=0.036), hemoglobin (Hb) (t=-2.860, P=0.009), platelet count (PLT) (t=-4.053, P < 0.001), direct bilirubin (DBil) (Z=-2.130, P=0.033), albumin (Alb) (t=-2.875, P=0.008), and Sheth index (Z=-3.369, P=0.001). WBC, Hb, PLT, and Alb were negatively correlated with liver fibrosis degree in WD patients (r=-0.587, -0.610, -0.656, and -0.411, all P < 0.05), and DBil and Sheth index were positively correlated with liver fibrosis degree (r=0.486 and 0.711, both P < 0.05). The ROC curve analysis showed that WBC, DBil, Sheth index, Hb, PLT, and Alb had an AUC of > 0.7, among which Sheth index had the largest AUC of 0.908, with a sensitivity of 70.6%, a specificity of 100.0%, a positive predictive value of 100.0%, and a negative predictive value of 64.3%.  Conclusion  Sheth index has a better diagnostic efficiency than the other clinical indices alone and can well identify advanced liver fibrosis in Chinese patients with hepatic-type WD.
Mechanism of action of Xiayuxue decoction in inhibiting liver fibrosis by regulating glial cell line-derived neurotrophic factor
Wei ZHANG, Guangyue YANG, Dongxiao SHEN, Wenting MA, Le TAO, Liu WU, Ping YAN, Cheng LIU
2021, 37(3): 575-581. DOI: 10.3969/j.issn.1001-5256.2021.03.015
Abstract(1573) HTML (1182) PDF (2815KB)(86)
Abstract:
  Objective  To investigate whether Xiayuxue decoction exerts an anti-liver fibrosis effect by inhibiting glial cell line-derived neurotrophic factor (GDNF).  Methods  A total of 24 C57BL/6 mice were randomly divided into control group, model group, and Xiayuxue decoction group. The mice in the model group and the Xiayuxue decoction group were given intraperitoneal injection of 10% CCl4, and those in the Xiayuxue decoction group were given 0.4678 g/kg Xiayuxue decoction by gavage since week 4. The liver function parameters alanine aminotransferase (ALT) and aspartate aminotransferase (AST) were measured, and liver histopathology was observed. Immunohistochemistry was used to measure the protein expression of alpha-smooth muscle actin (α-SMA) and GDNF. GFP-Col-HSC and human primary hepatic stellate cells (HSCs) were treated with GDNF (10 ng/ml), and HSC activation was measured. A one-way analysis of variance was used for comparison of continuous data between multiple groups, and the least significant difference t-test was used for further comparison between two groups.  Results  Compared with the control group, the model group had significant increases in the levels of ALT and AST, and compared with the model group, the Xiayuxue decoction group had significant reductions in the levels of ALT and AST (all P < 0.01). Liver histopathology showed that the model group had marked inflammatory cell infiltration and formation of fibrous septa by proliferated collagen fibers, and the Xiayuxue decoction group had loose fibrous septa and alleviated inflammatory cell infiltration. Immunohistochemistry showed that compared with the control group, the model group had significant increases in the expression of α-SMA and GDNF (both P < 0.01), which were observed in fibrous septa, and compared with the model group, the Xiayuxue decoction group had significant reductions in the expression of α-SMA and GDNF (both P < 0.05). Western blotting showed that the control group had relatively low expression of GDNF in liver tissue, the formation of liver fibrosis at week 6 of CCl4 modeling, and an around 10-fold increase in the expression of GDNF, and the Xiayuxue decoction group had significantly inhibited protein expression of GDNF (P < 0.01); there were significant increases in the expression of α-SMA and collagen type I α1 (Col1) in mice with liver fibrosis, with significant reductions in α-SMA and Col1 after treatment with Xiayuxue decoction (all P < 0.01). The in vitro experiment showed that GDNF induced the significant increases in the protein expression of α-SMA and Col1 in HSCs, which was significantly inhibited by Xiayuxue decoction (all P < 0.01).  Conclusion  The expression of GDNF is significantly upregulated in the formation of liver fibrosis. GDNF can induce HSC activation, and Xiayuxue decoction can exert an anti-liver fibrosis effect by inhibiting GDNF.
Mechanism of Xiaozheng Huoluo prescription in preventing liver fibrosis in rats via the ERK5 pathway: An analysis based on network pharmacology
Le TIAN, Yinghang WANG, Zhi PAN
2021, 37(3): 582-589. DOI: 10.3969/j.issn.1001-5256.2021.03.016
Abstract(982) HTML (478) PDF (5010KB)(52)
Abstract:
  Objective  To investigate the mechanism of Xiaozheng Huoluo prescription (XZHLF) in the prevention and treatment of liver fibrosis based on network pharmacology.  Methods  TCMSP database, Chemistry Database, ETCM database, chemical source network database, ChemSrc database, and PubChem database were searched and a literature review was performed to collect the chemical components of each traditional Chinese medicine of XZHLF, Swiss ADME database was used to screen out the active components of each traditional Chinese medicine of XZHLF, and Swiss Target Prediction database was used to predict the targets of these active components; GeneCards and OMIN databases were used to collect the disease targets of liver fibrosis, and Venn diagrams were used to obtain the potential targets of XZHLF in the prevention and treatment of liver fibrosis. Cytoscape 3.7.1 software was used to establish a "drug-active component" network for XZHLF and an "active component-potential target" network for XZHLF in the prevention and treatment of liver fibrosis. Metascape database was used to perform GO and KEGG enrichment analysis of potential targets, and bubble charts were plotted for the top 20 pathways with the highest number of enriched genes. The MAPK signaling pathway among the top 20 KEGG pathways was analyzed to plot an "active component-potential target-pathway" network. Healthy Sprague-Dawley rats were randomly divided into blank control group (K group), model group (M group), colchicine-positive control group (Y group), high-dose XZHLF group (G group), middle-dose XZHLF group (Z Group), and low-dose XZHLF group (D group), and a rat model of liver fibrosis was established by CCl4; the drug was administered simultaneously for 8 weeks. Western blot was used to measure the protein expression of ERK5, p-ERK5, MEK5, and MEKK3 in liver tissue. A one-way analysis of variance was used for comparison of continuous data between multiple groups, and the least significant difference t-test was used for further comparison between two groups.  Results  A total of 110 active components were screened out from XZHLF and they acted on 923 targets, which were mapped to 6823 disease targets of liver fibrosis to obtain 647 potential targets. XZHLF might act on multiple protein targets such as EGFR, AKT1, IKBKB, MAPK8, and PDGFRB through the pathways including the MAPK signaling pathway and the biological processes including the regulation of MAPK cascade, thereby playing a role in the prevention and treatment of liver fibrosis. The M group had significant increases in the protein levels of ERK5, p-ERK5, MEK5, and MEKK3 in liver tissue compared with the K, Y, G, Z, and D groups (all P < 0.05), and the K group had significant reductions in the protein levels of ERK5, p-ERK5, MEK5, and MEKK3 in liver tissue compared with the Y, G, Z, and D groups (all P < 0.05).  Conclusion  Based on the method of network pharmacology, it is predicted that XZHLF may prevent and treat liver fibrosis via the MAPK signaling pathway, and it is verified through experiments that XZHLF prevents and treats liver fibrosis via the ERK5 pathway in the MAPK signaling pathway family. The high-dose XZHLF group shows the most obvious anti-liver fibrosis effect.
Value of albumin-bilirubin score in predicting the prognosis of cirrhotic patients with esophagogastric variceal bleeding
Mengyuan SUN, Xiaoxing XIANG
2021, 37(3): 590-594. DOI: 10.3969/j.issn.1001-5256.2021.03.017
Abstract(1505) HTML (920) PDF (2118KB)(121)
Abstract:
  Objective  To investigate the value of albumin-bilirubin (ALBI) score in predicting the prognosis of cirrhotic patients with esophagogastric variceal bleeding, and to identify risk stratification and increase clinical applicability.  Methods  A retrospective analysis was performed for the clinical data of 273 cirrhotic patients with esophagogastric variceal bleeding who were hospitalized in Subei People's Hospital of Jiangsu from October 2012 to August 2018, and all patients received standard management after admission. Survival status was obtained through electronic medical records and telephone follow-up, and according to the prognosis in August 2020, the patients were divided into death group with 109 patients and survival group with 164 patients. General data were compared between the two groups. The Mann-Whitney U test was used for comparison of continuous variables between two groups, and the chi-square test or the Fisher's exact test was used for comparison of categorical variables between two groups; univariate and multivariate Cox regression analyses were used to identify independent risk factors for prognosis. The Kaplan-Meier curve was used to analyze the survival rates of patients with different ALBI grades, and the log-rank test was used for comparison between groups; the receiver operating characteristic (ROC) curve was plotted to compare the ability of ALBI score, Child-Turcotte-Pugh (CTP) score, and Model for End-Stage Liver Disease (MELD) score in predicting short-term (6 weeks) and long-term prognoses.  Results  During follow-up, 109 patients (39.9%) died, and the death group had a significantly higher ALBI score than the survival group [-1.49 (-1.82 to-1.11) vs-1.79 (-2.22 to-1.49), Z=5.630, P < 0.001]. The univariate analysis showed that age ≥55 years, hemoglobin ≤100 g/L, neutrophil count ≥3.4×109/L, platelet count ≤42×109/L, albumin ≤28 g/L, total bilirubin ≥21 μmol/L, alanine aminotransferase ≥42 U/L or aspartate aminotransferase ≥48 U/L, creatinine ≥94 μmol/L, serum sodium ≤137 mmol/L, international normalized ratio of prothrombin ≥1.5, ascites, and hepatic encephalopathy were risk factors for death in cirrhotic patients with esophagogastric variceal bleeding, and the patients with ALBI grade 3 had a significantly higher risk of death than those with ALBI grade 1 or 2; prophylactic ligation was a protective factor for survival improvement in cirrhotic patients with esophagogastric variceal bleeding (all P < 0.05). The multivariate analysis showed that age ≥55 years (hazard ratio [HR]=2.531, 95% confidence interval [CI]: 1.624-3.946, P < 0.001), creatinine ≥94 μmol/L (HR=1.935, 95% CI: 1.208-3.100, P=0.006), serum sodium ≤137 mmol/L [HR=1.519, 95% CI: 1.015-2.274, P=0.042], ascites (HR=1.641, 95% CI: 1.041-2.585, P=0.033), hepatic encephalopathy (HR=9.972, 95% CI: 3.961-25.106, P < 0.001), and ALBI grade 3 (HR=1.591, 95% CI: 1.007-2.515, P=0.047) were independent risk factors for death. The patients with ALBI grade 3 had a significantly lower survival rate than those with ALBI grade 1 (χ2=18.691, P < 0.001) and ALBI grade 2 (χ2=21.364, P < 0.001), and the patients with ALBI grade 1 had a significantly higher survival rate than those with ALBI grade 2 (χ2=6.513, P=0.011). The ROC curve analysis showed that ALBI score, CTP score, and MELD score had an area under the ROC curve (AUC) of 0.770, 0.730, and 0.706, respectively, in predicting short-term (6 weeks) prognosis, and they had an AUC of 0.701, 0.685, and 0.659, respectively, in predicting long-term prognosis.  Conclusion  ALBI score has a good value in predicting short-term (6 weeks) and long-term prognoses of cirrhotic patients with esophagogastric variceal bleeding, and the risk of death increases with ALBI grade. ALBI score can be used as an objective and simple model in clinical practice.
Clinical effect of laparoscopic splenectomy and pericardial devascularization in portal hypertension patients with Child-Pugh A/B liver function
Changxu LI, Luyao XU, Na RU, Xuekang REN, Chaohui TANG, Yingchao WANG
2021, 37(3): 596-600. DOI: 10.3969/j.issn.1001-5256.2021.03.018
Abstract(1001) HTML (324) PDF (1806KB)(56)
Abstract:
  Objective  To investigate the clinical effect of laparoscopic splenectomy and pericardial devascularization (LSPD) in patients with portal hypertension and the long-term effect of LSPD.  Methods  A total of 40 portal hypertension patients with Child-Pugh A/B liver function who received LSPD in The First Hospital of Jilin University from August to December 2017 were enrolled as surgical group, and 44 portal hypertension patients with Child-Pugh A/B liver function who received conservative treatment during the same period of time was enrolled as internal medicine group. The patients were followed up to June 30, 2019, and liver function parameters, upper gastrointestinal bleeding, and portal vein thrombosis were recorded for all patients at each time point. The t-test was used for comparison of normally distributed continuous data between two groups; an analysis of variance was used for comparison between multiple groups, and the Bonferroni test was used for further comparison between two groups. The Kruskal-Wallis H test was used for comparison of continuous data with skewed distribution; between multiple groups, and the Mann-Whitney U test was used for further comparison between two groups. The chi-square test was used for comparison of categorical data between groups.  Results  At 6, 12, and 24 months after discharge, compared with the internal medicine group, the surgical group had a significantly higher level of cholinesterase (t=3.527, 3.849, and 5.555, all P < 0.05) and a significantly lower Child-Pugh score (t=2.498, 2.138, and 2.081, all P < 0.05). Compared with the internal medicine group at 12 and 24 months after discharge, the surgical group had a significantly higher level of albumin (t=3.120 and 2.587, both P < 0.05) and a significantly lower incidence rate of upper gastrointestinal bleeding (χ2=4.947 and 5.155, both P < 0.05). At 24 months after discharge, the surgical group had a significantly lower number of patients who had a significant increase in alpha-fetoprotein level than the internal medicine group (χ2=4.648, P=0.031). At 12 months after discharge, the surgical group had a significantly higher incidence rate of portal vein thrombosis than the internal medicine group (χ2=4.395, P=0.036). The surgical group had significant improvements in albumin (F=2.959, P=0.013), cholinesterase (F=11.022, P < 0.001), prothrombin time (H=94.100, P < 0.001), and Child-Pugh score (F=3.742, P=0.003) from admission to 12 and 24 months after surgery.  Conclusion  In portal hypertension patients with Child-Pugh A/B liver function, LSPD can improve liver function and reduce the incidence rate of upper gastrointestinal bleeding, and the high incidence rate of portal vein thrombosis can be effectively reduced by oral aspirin and rivaroxaban.
Original articles_Liver neoplasms
Effect of entecavir antiviral therapy on the prognosis of patients with hepatitis B virus-related hepatocellular carcinoma after transcatheter arterial chemoembolization
Weimeng HE, Zhiming ZHANG, Jinlin HOU, Yajing HE
2021, 37(3): 601-605. DOI: 10.3969/j.issn.1001-5256.2021.03.019
Abstract(866) HTML (277) PDF (2406KB)(59)
Abstract:
  Objective  To investigate the effect of entecavir (ETV) antiviral therapy on the prognosis of patients with hepatitis B virus (HBV)-related hepatocellular carcinoma (HCC) receiving transcatheter arterial chemoembolization (TACE).  Methods  A total of 170 HCC patients who received TACE for the first time in Liver Cancer Center of Nanfang Hospital from January 2011 to March 2018 were enrolled, among whom 114 patients were treated with ETV (ETV treatment group) and 56 patients did not receive antiviral therapy (control group). Baseline demographic data, alanine aminotransferase (ALT), aspartate aminotransferase (AST), total bilirubin (TBil), albumin (Alb), platelet count (PLT), Child-Pugh class, HBeAg and HBV DNA levels, alpha-fetoprotein, and BCLC stage were recorded before treatment, and the changes in HBV DNA level, ALT, AST, TBil, Alb, and Child-Pugh class were observed at weeks 4-8 after treatment; long-term survival was also observed after treatment. Short- and long-term clinical benefits (overall survival) were observed for all patients. The t-test or the Mann-Whithey U test was used for comparison of continuous data between two groups, and the chi-square test was used for comparison of categorical data between two groups. Multivariate logistic regression analyses were performed for related clinical indices before treatment to identify the risk factors for HBV reactivation. The Kaplan-Meier method was used to analyze the survival curves of overall survival, and the log-rank test was used for comparison of survival curves.  Results  There was no significant difference in the incidence rate of HBV reactivation between the ETV treatment group and the control group (15.79% vs 16.07%, χ2=0.002, P=0.962). The univariate analysis showed that PLT was a risk factor for HBV reactivation (Z=-2.183, P=0.029), and the multivariate analysis showed that HBV DNA level was an independent risk factor for HBV reactivation (hazard ratio =1.000, P=0.015). The 1-, 3-, and 5-year survival rates were 56.20%, 30.30%, and 13.20%, respectively, in the ETV treatment group and 60.60%, 27.20%, and 16.30%, respectively, in the control group. There was no significant difference in overall survival rate between the two groups (χ2=0.049, P=0.755).  Conclusion  Antiviral therapy can inhibit HBV replication after TACE in patients with HBV-related HCC, thereby reducing the hepatotoxicity of TACE.
Clinical effect of programmed cell death-1 inhibitor combined with lenvatinib in treatment of advanced primary liver cancer and related adverse events
Ying TENG, Xiaoyan DING, Wendong LI, Jinglong CHEN
2021, 37(3): 606-610. DOI: 10.3969/j.issn.1001-5256.2021.03.020
Abstract(1621) HTML (589) PDF (1942KB)(93)
Abstract:
  Objective  To investigate the clinical effect of domestic programmed cell death-1 (PD-1) inhibitor combined with lenvatinib in the treatment of advanced primary liver cancer and related adverse events.  Methods  A retrospective analysis was performed for the clinical data of 24 patients with advanced primary liver cancer who were treated with domestic PD-1 inhibitor combined with lenvatinib in Beijing Ditan Hospital, Capital Medical University, from January 1, 2019 to April 2, 2020, with 15 patients in the Camrelizumab+lenvatinib group, 7 patients in the Sintilimab+lenvatinib group, and 2 patients in the Toripalimab+lenvatinib group. During follow-up, Modified Response Evaluation Criteria in Solid Tumors was used to evaluate the treatment outcome of intrahepatic lesions, and RECIST1.1 was used to evaluate extrahepatic metastatic lesions. The Kaplan-Meier method was used to evaluate survival time.  Results  Among the 24 treatment-experienced patients, 11 achieved partial response, 7 achieved a stable disease, and 6 had disease progression, resulting in an objective response rate of 45.8% and a disease control rate of 75.0%. The median time to disease progression was 8.4 (95% confidence interval: 6.89-9.91) months. The incidence rate of adverse events was 54.17%, and the most common adverse events were fatigue (29.17%) and hypertension (25.00%).  Conclusion  PD-1 inhibitor combined with lenvatinib has a marked clinical effect in the treatment of advanced primary liver cancer, with a low incidence rate of serious adverse events, and thus it is a safe and effective treatment regimen.
Clinical effect of transcatheter arterial chemoembolization in treatment of patients with hepatocellular carcinoma and portal vein tumor thrombus and an analysis of prognostic evaluation models
Qiaoyi YANG, Enxin WANG, Zhexuan WANG, Dongdong XIA, Wei BAI, Xiaomei LI, Guohong HAN
2021, 37(3): 611-615. DOI: 10.3969/j.issn.1001-5256.2021.03.021
Abstract(1221) HTML (414) PDF (2117KB)(72)
Abstract:
  Objective  To investigate the clinical effect of transcatheter arterial chemoembolization (TACE) in the treatment of patients with hepatocellular carcinoma (HCC) and portal vein tumor thrombus and the value of existing prognostic evaluation models for HCC.  Methods  Screening was performed for HCC patients who underwent TACE in 24 tertiary hospitals in China from January 2010 to May 2016, and finally 266 HCC patients with portal vein tumor thrombus were included for retrospective analysis. The Kaplan-Meier method was used to plot survival curves and the log-rank test was used for comparison; a Cox regression analysis was used to perform univariate and multivariate analyses and establish a Cox regression model; area under the ROC curve (AUC) and C-index were calculated for HAP score, mHAP score, mHAP2 score, mHAP3 score, and 6&12 criteria to compare their prediction performance.  Results  The median survival time was 9.867 months for all patients, and according to Child-Pugh class, the patients with Child-Pugh class A HCC had a significantly longer median survival time than those with Child-Pugh class B HCC (10.067 months vs 5.967 months, χ2=5.181, P=0.023). The patients with alpha-fetoprotein (AFP) ≤800 ng/ml had a significantly longer median survival time than those with AFP > 800 ng/ml (13.10 months vs 8.13 months, χ2=8.643, P=0.003). The univariate analysis showed that number of tumors, tumor diameter, total bilirubin, serum albumin, alanine aminotransferase (AST), and alanine aminotransferase (ALT) were associated with the survival of patients (all P < 0.05), and the multivariate analysis showed that number of tumors (hazard ratio [HR]=1.186, 95% confidence interval [CI]: 1.058-1.329, P < 0.05) and tumor diameter (HR=1.047, 95% CI: 1.001-1.095, P < 0.05) were independent influencing factors for the survival of patients. The 1-, 2-, and 3-year AUCs of 6&12 criteria were 0.651, 0.655, and 0.641, respectively, which were higher than those of the other models; 6&12 criteria and the new model had a C-index of 0.577 and 0.579, respectively, which were higher than C-index of the other models.  Conclusion  TACE is safe and effective in HCC patients with portal vein tumor thrombus who have a low AFP level and good liver function. Tumor diameter and number of tumors provide a reliable basis for screening out the patients suitable for TACE. Among the existing prognostic evaluation models for primary liver cancer, 6&12 criteria have a better predictive capability than the other models.
Value of Modified Response Evaluation Criteria in Solid Tumors response in predicting the prognosis of patients with unresectable hepatocellular carcinoma patients after transarterial chemoembolization
Dandan HAN, Zhexuan WANG, Enxin WANG, Dongdong XIA, Qiuhe WANG, Wei BAI, Yong CHEN, Guohong HAN
2021, 37(3): 616-620. DOI: 10.3969/j.issn.1001-5256.2021.03.022
Abstract(1796) HTML (693) PDF (1927KB)(69)
Abstract:
  Objective  To investigate the association of Modified Response Evaluation Criteria in Solid Tumors (mRECIST) response with the prognosis of patients with unresectable hepatocellular carcinoma (HCC) after transarterial embolization (TACE).  Methods  A retrospective analysis was performed for the clinical data of 190 patients with unresectable HCC who were consecutively admitted to Department of Liver Disease and Digestive Interventional Radiology, The First Affiliated Hospital of Air Force Medical University, and treated with TACE from January 2010 to December 2014. The mRECIST criteria were used to evaluate imaging response after TACE; the patients with complete response (CR) or partial response (PR) were enrolled as response group (n=89), and those with progressive disease (PD) or stable disease (SD) were enrolled as non-response group (n=101). The Kaplan-Meier method was used to calculate median survival time, and the log-rank test was used for comparison between groups; the Cox regression model was used to identify the influencing factors for prognosis.  Results  According to the mRECIST criteria, 39 patients (20.5%) achieved CR, 50 (26.3%) achieved PR, 67 (35.3%) had SD, and 34 (17.9%) had PD. The objective response rate based on mRECIST was 46.8% for the whole population. The response group had a significantly longer survival time than the non-response group, and the median survival time was 29.9 (95% confidence interval [CI]: 25.0-34.8) months for the response group and 7.5 (95% CI: 5.7-9.3) months for the non-response group (P < 0.001). The multivariate analysis showed that mRECIST response (hazard ratio [HR]=2.02, P < 0.001), hepatitis B (HR=4.03, P < 0.001), and portal invasion (HR=2.12, P=0.008) were independent risk factors for survival.  Conclusion  The mRECIST response has a certain value in predicting the prognosis of patients with unresectable HCC after TACE.
Influence of high-density lipoprotein cholesterol on the prognosis of patients with alcohol-related hepatocellular carcinoma after radical treatment
Rui ZHANG, Xiujuan CHANG, Jiamin CHENG, Zhiqin ZHAO, Yinyin LI, Yinying LU, Zhen ZENG
2021, 37(3): 621-626. DOI: 10.3969/j.issn.1001-5256.2021.03.023
Abstract(1008) HTML (226) PDF (1860KB)(38)
Abstract:
  Objective  To investigate the association of high-density lipoprotein cholesterol (HDL-C) with the prognosis of patients with alcohol-related hepatocellular carcinoma (HCC) after radical treatment.  Methods  A retrospective analysis was performed for the clinical data of 43 patients with alcohol-related HCC who were admitted to The Fifth Medical Center of Chinese PLA General Hospital and underwent radical treatment from January 2008 to July 2015, and according to HDL-C level, the patients were divided into normal group with 26 patients and abnormal group with 17 patients. The two groups were compared in terms of basic information, laboratory markers, imaging indices, Barcelona Clinic Liver Cancer tumor stage, and Child-Pugh class of liver function. The t-test test was used for comparison of normally distributed continuous data between two groups, and the Mann-Whitney U test was used for comparison of non-normally distributed continuous data between two groups; the chi-square test was used for comparison of categorical data between two groups. The Kaplan-Meier method was used to plot survival curves and the log-rank test was used for comparison between groups. Univariate and multivariate Cox proportional hazards models were used to analyze independent risk factors for prognosis.  Results  There was a significant difference in prealbumin between the two groups (162.38±60.86 mg/L vs 120.06±64.08 mg/L, t=2.184, P=0.035). Number of tumors (hazard ratio [HR]=2.839, 95%confidence interval [CI]: 1.120~7.200, P=0.028), tumor size (HR=2.634, 95%CI: 1.062~6.529, P=0.037), and HDL-C level (HR=2.400, 95%CI: 1.040~5.537, P=0.040) were independent risk factors for the overall survival of patients with alcohol-related HCC. There were significant differences in 1-, 3-, and 5-year cumulative survival rates between the normal group and the abnormal group (88.5%/72.4%/55.7% vs 70.6%/43.7%/17.5%, χ2=5.881, P=0.015).  Conclusion  The reduction in HDL-C level might indicate poor prognosis of patients with alcohol-related HCC.
Original articles_Other liver diseases
Relationship between vitamin D level in children and adolescents with nonalcoholic fatty liver disease: A Meta-analysis
Tingpeng HU, Sudan TANG, Zebo YU
2021, 37(3): 627-631. DOI: 10.3969/j.issn.1001-5256.2021.03.024
Abstract(1119) HTML (305) PDF (2011KB)(72)
Abstract:
  Objective  To systematically evaluate the association between vitamin D level and nonalcoholic fatty liver disease (NAFLD) in children and adolescents.  Methods  Related English and Chinese databases, including PubMed, Cochrane Library, Embase, CNKI, CBM, Wanfang Data, and VIP, were searched for studies on the association between vitamin D level and NAFLD in children and adolescents published up to August 2020. Newcastle-Ottawa Scale (NOS) was used to evaluate quality of studies, and RevMan 5.3 software was used for data analysis.  Results  A total of 10 articles were included in the meta-analysis, with 622 patients in the NAFLD group and 1608 in the healthy control group. All 10 articles had an NOS score of ≥6. A pooled analysis of the 10 articles was performed using a random effects model (I2=97%, P < 0.05). The NAFLD group had a significantly lower serum 25(OH) D level than the healthy control group (standardized mean difference=-1.40, 95% confidence interval: -2.07 to -0.72).  Conclusion  There is a significant reduction in serum vitamin D level in children and adolescents with NAFLD, which may be associated with the progression and severity of NAFLD.
Clinical features of patients with different types of acute drug-induced liver injury: A comparative analysis
Yu WANG, Lixia QIU, Zuopeng FAN, Jingjing SONG, Jing ZHANG, Yutao ZHAN
2021, 37(3): 632-635. DOI: 10.3969/j.issn.1001-5256.2021.03.025
Abstract(1204) HTML (355) PDF (1808KB)(107)
Abstract:
  Objective  To investigate the clinical features of patients with different types of acute drug-induced liver injury (DILI) through a retrospective analysis.  Methods  Clinical data were collected from 790 patients who were diagnosed with acute DILI in Beijing YouAn Hospital and Beijing Tongren Hospital affiliated to Capital Medical University from December 2010 to March 2019, and according to the type of damaged target cell, the patients were divided into hepatocellular injury type group with 554 patients, cholestasis type group with 99 patients, and mixed type group with 137 patients. The patients were evaluated based on severity grade and score, clinical outcome, and Hy′s rule. An analysis of variance was used for comparison of normally distributed continuous data between three groups, and the least significant difference t-test was used for further comparison between two groups; the Kruskal-Wallis H test was used for comparison of non-normally distributed continuous data between groups. The chi-square test was used for comparison of categorical data between three groups. The Kruskal-Wallis H test was used for comparison of ranked data between three groups, and the Mann-Whitney U test was used for comparison between two groups.  Results  Most of the patients were female in all three groups, and the hepatocellular injury type group had a significantly higher proportion of female patients than the cholestasis type group (70.8% vs 54.5%, P < 0.05), and the cholestasis type group had a significantly lower proportion of female patients than the mixed type group (54.5% vs 54.7%, P < 0.05). There were 244 patients with grade 3 hepatocellular injury type DILI (244/554, 44.1%), 56 patients with grade 3 cholestasis type DILI (56/99, 56.6%), and 46 patients with grade 3 mixed type DILI (46/137, 33.6%), and there was a significant difference between the three groups (χ2=36.589, P < 0.05). Drugs inducing liver injury included traditional Chinese medicine, Western medicine, combination of traditional Chinese medicine and Western medicine, and other drugs, among which traditional Chinese medicine was the most common cause of liver injury. There was a significant difference in the outcome at discharge between the patients with different types (H=14.390, P=0.001). Compared with the cholestasis type group, the hepatocellular injury type group had a significantly higher cure rate and significantly lower uncured rate and mortality rate (all P < 0.05). Among the 554 patients with hepatocellular injury type DILI, 388 (70.0%) met Hy′s rule and 166 (30.0%) did not meet Hy′s rule, and there was a significant difference in clinical outcome between these two groups (U=38 372.0, P=0.033).  Conclusion  DILI is more common in women, and most patients have hepatocellular injury type DILI. Traditional Chinese medicine is the main cause of liver injury. There is a high proportion of patients with severe DILI among the patients with hepatocellular injury type or cholestasis type. DILI often has good prognosis with a relatively low mortality rate. Hy′s rule cannot predict the death of patients with acute DILI.
Features of liver injury in adolescents and adults with infectious mononucleosis: A single-center retrospective clinical study of 274 cases
Yanan FAN, Yiyi SHI, Jinghang XU, Niuniu LI, Ran CHENG, Lixia QIN, Tongtong JI, Xueying LI, Yanyan YU
2021, 37(3): 636-640. DOI: 10.3969/j.issn.1001-5256.2021.03.026
Abstract(1746) HTML (855) PDF (1838KB)(93)
Abstract:
  Objective  To investigate the features of liver injury and related influencing factors in adolescents and adults with infectious mononucleosis (IM).  Methods  A retrospective analysis was performed to investigate the features of liver injury in adolescents and adults with IM who were hospitalized in Peking University First Hospital from January 1, 2005 to December 31, 2018, and the patients were divided into subgroups based on age, Epstein-Barr virus (EBV) DNA level, and presence or absence of jaundice or infection with cytomegalovirus or hepatitis E virus (HEV). The t-test was used for comparison of continuous data meeting analytical conditions between two groups, and the Mann-Whitney U test was used for comparison of continuous data which did not meet analytical conditions between two groups; the chi-square test was used for comparison of categorical data between two groups, and the Fisher's exact test was used for comparison of categorical data which did not meet the analytical conditions of the chi-square test. A logistic regression analysis was used for multivariate analysis.  Results  A total of 274 patients were enrolled, with 154 male patients (56.2%) and 120 female patients (43.8%), and the mean age of onset was 22.3±6.7 years. The incidence rate of liver injury [defined as alanine aminotransferase (ALT) > 50 U/L and/or aspartate aminotransferase (AST) > 40 U/L] was 97.4% (267/274), and that of jaundice was 27.6% (74/268). The patients, aged ≥20 years, tended to have a higher level of gamma-glutamyl transpeptidase (GGT) (Z=2.070, P=0.038). Serum EBV DNA was measured for 167 patients, among whom 90 had positive results and 77 had negative results. The positive serum EBV DNA group had significantly higher levels of GGT (Z=3.005, P=0.003) and lactate dehydrogenase (Z=2.162, P=0.031) than the negative serum EBV DNA group. The patients with cytomegalovirus infection tended to have a higher level of alkaline phosphatase (Z=2.351, P=0.019), and the patients with HEV infection presented with a higher level of GGT (Z=1.988, P=0.047). AST (odds ratio [OR]=1.006, 95% confidence interval [CI]: 1.002-1.010, P=0.005) and ALP (OR=1.012, 95%CI: 1.005-1.020, P=0.001) were independent risk factors for jaundice.  Conclusion  There is a high incidence rate of liver injury in adolescents and adults with IM, and the patients with an older age or positive serum EBV DNA tend to have more severe liver injury.
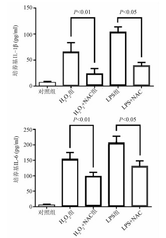
Role and mechanism of hepatic stellate cells in the pathogenesis of mice with acute-on-chronic liver failure
Zhen TIAN, Lisha WANG, Naijuan YAO, Yingren ZHAO, Litao RUAN
2021, 37(3): 642-647. DOI: 10.3969/j.issn.1001-5256.2021.03.027
Abstract(1728) HTML (441) PDF (4302KB)(92)
Abstract:
  Objective  To investigate the role of hepatic stellate cell (HSC) inflammation in the pathogenesis of acute-on-chronic liver failure (ACLF).  Methods  A total of 45 male Kunming mice were randomly divided into control group, model group, and N-acetylcysteine (NAC) group. The mice in the model group and the NAC group were given injection of human serum albumin to establish a model of chronic liver disease, followed by intraperitoneal injection of the endotoxins lipopolysaccharide (LPS) and D-galactosamine (D-GlaN) to induce ACLF, and those in the control group were given injection of an equal volume of normal saline; the mice in the NAC group were given NAC since 1 week before the induction of NAC. The mice in the model group and the NAC group were sacrificed at 48 hours after the injection of LPS and D-GlaN. ELISA was used to measure the serum levels of aspartate aminotransferase (AST) and alanine aminotransferase (ALT) and the levels of malondialdehyde (MDA) and superoxide dismutase (SOD) in liver tissue; HE staining was used to determine liver pathological score; ELISA was used to measure the serum levels of LPS and interleukin-1β (IL-1β). LX2 cells were stimulated by LPS and H2O2 with the presence or absence of NAC, and ELISA was used to measure the levels of IL-1β and interleukin-6 (IL-6) in medium. LX2 cells were stimulated by LPS and H2O2, and then HL7702 cells were cultured with LX2 medium; Western blot was used to measure the expression of caspase-3 and caspase-8 in HL7702 cells, and flow cytometry was used to measure the apoptosis of HL7702 cells. A one-way analysis of variance was used for comparison of continuous data between multiple groups; the least significant difference t-test was used for comparison of data with homogeneity of variance between two groups, and the Tamhane's T2 test was used for comparison of data with heterogeneity of variance. The Kaplan-Meier survival analysis was used to evaluate survival time, and the log-rank test was used for comparison.  Results  At 48 hours, all mice in control group survived, while 3 mice in the model group and 8 mice in the NAC group survived, suggesting that the NAC group had a better survival rate of mice than the model group (P < 0.001). Compared with the control group and the NAC group, the model group had significant increases in the serum levels of AST and ALT and the level of MDA in liver tissue, as well as a significant reduction in the level of SOD in liver tissue (all P < 0.01). The model group had a significantly higher liver pathological score than the control group and the NAC group (both P < 0.05). Both LPS and H2O2 promoted the secretion of IL-1β and IL-6 in LX2 cells, and NAC effectively inhibited the pro-inflammatory effect of H2O2 and LPS (all P < 0.05). H2O2 and LPS acted on LX2 cells and promoted the apoptosis of HL7702 cells (all P < 0.05).  Conclusion  LPS can promote HSC inflammation via reactive oxygen species and participates in the progression of liver failure by inducing hepatocyte apoptosis.
Original articles_Biliary diseases
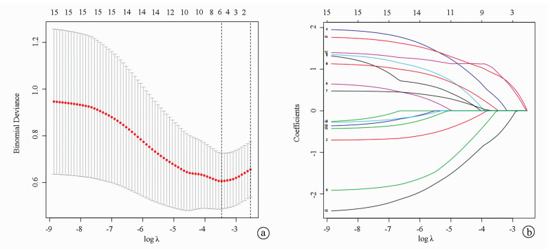
Construction and verification of a new nomogram for predicting stone recurrence after endoscopic minimally invasive gallbladder-preserving cholecystolithotomy at high altitude
Xuepeng MEI, Xiaobin CHEN, Shizheng PI, Yichong CHEN, Junhua XING, Haijiu WANG, Shuai GAO, Ying ZHOU
2021, 37(3): 648-653. DOI: 10.3969/j.issn.1001-5256.2021.03.028
Abstract(999) HTML (421) PDF (2761KB)(63)
Abstract:
  Objective  To investigate related factors for stone recurrence after endoscopic minimally invasive gallbladder-preserving cholecystolithotomy, and to establish a nomogram model for predicting the risk of stone recurrence after surgery based on independent risk factors.  Methods  A retrospective analysis was performed for the clinical data of 144 patients with gallstones who underwent endoscopic minimally invasive gallbladder-preserving cholecystolithotomy in Qinghai University Affiliated Hospital from January 2012 to January 2018, and according to postoperative stone recurrence, the patients were divided into non-recurrence group and recurrence group. The chi-square test was used for comparison of categorical data between two groups. LASSO and logistic regression analyses were used to analyze independent risk factors for postoperative stone recurrence, and the corresponding nomogram prediction model was plotted according to regression coefficient. The calibration curve was plotted to evaluate the reliability of the predictive nomogram; Harrell consistency index was used to quantify the discriminatory performance of the predictive nomogram; the receiver operating characteristic (ROC) curve was used to evaluate the sensitivity, specificity, and area under the ROC curve (AUC) of this predictive nomogram.  Results  All 144 patients underwent successful endoscopic minimally invasive gallbladder-preserving cholecystolithotomy, among whom 14 patients (9.7%) experienced stone recurrence after surgery. The multivariate analysis showed that family history (odds ratio [OR]= 3.245, 95% confidence interval [CI]: 0.752-13.567, P=0.104), regular diet (OR=3.752, 95% CI: 1.067-14.141, P=0.041), stone homogeneity (OR=5.871, 95% CI: 1.636-25.390, P=0.010), and medication compliance (OR=0.225, 95% CI: 0.057-0.799, P=0.024) were independent risk factors for recurrence. The nomogram model had an index of concordance (C-index) of 0.835 (95% CI: 0.732-0.938) in the modeling sample and 0.7925 in the verification sample, suggesting that the nomogram model in this study had good accuracy and discrimination. The predictive nomogram had an AUC of 0.835, suggesting that this nomogram had a relatively high predictive value.  Conclusion  Family history, regular diet, stone homogeneity, and medication compliance are independent risk factors for stone recurrence after endoscopic minimally invasive gallbladder-preserving cholecystolithotomy, and the nomogram constructed based on these independent risk factors may help to predict the risk of postoperative stone recurrence.
Original articles_Pancreatic diseases
Association of the duration of systemic inflammatory response syndrome with infectious pancreatic necrosis at the initial stage of acute pancreatitis
Yongfeng YAN, Xin JIANG, Rui ZHONG, Huan XU, Yan PENG, Xiaowei TANG
2021, 37(3): 654-659. DOI: 10.3969/j.issn.1001-5256.2021.03.029
Abstract(1209) HTML (249) PDF (2124KB)(87)
Abstract:
  Objective  To investigate the potential association between early-stage inflammatory response and late-stage infectious pancreatic necrosis (IPN) in patients with acute pancreatitis (AP).  Methods  A retrospective analysis was performed for the clinical data of 219 patients with moderate-severe acute pancreatitis (MSAP) and 53 patients with severe acute pancreatitis (SAP) who were admitted to The Affiliated Hospital of Southwest Medical University from June 2019 to June 2020, and according to the presence or absence of systemic inflammatory response syndrome (SIRS) at the initial stage of the disease, they were divided into SIRS group with 160 patients and non-SRIS group with 112 patients. Baseline data, serological markers, complications, and mortality rate were included for analysis. The t-test or the Mann-Whitney U test was used for comparison of continuous data between two groups; the chi-square test was used for comparison of categorical data between multiple groups, and the Bonferroni method was used for further comparison between two groups. A logistic regression analysis was used to screen out valuable variables; the receiver operating characteristic (ROC) curve was used to compare the diagnostic value of variables, and the Z-test was used for pairwise comparison of area under the ROC curve (AUC).  Results  Compared with the non-SIRS group, the SIRS group had significantly higher white blood cell count (WBC), C-reactive protein (CRP), and procalcitonin (all P < 0.05) and a significantly higher proportion of patients with acute peripancreatic necrosis (ANC), IPN, pancreatic necrosis (PN), organ dysfunction, multiple organ dysfunction syndrome (MODS), SAP, critically-ill acute pancreatitis (CAP), death, BISAP score > 2, CTSI score > 2, or RANSON score > 2 (all P < 0.05). The univariate analysis showed that SIRS duration, obesity, CRP, WBC, blood urea nitrogen, PN, ANC, SAP, MODS, RANSON score, BISAP score, and CTSI score were risk factors for IPN in patients with AP (all P < 0.05), and the multivariate analysis showed that SIRS duration (odds ratio [OR]=1.307, 95% confidence interval [CI]: 1.081-1.580, P=0.006) and ANC (OR=42.247, 95% CI: 10.829-164.818, P < 0.001) were risk factors for IPN; when ANC was excluded, SIRS duration (OR=1.430, 95% CI: 1.207-1.694, P < 0.001) and PN (OR=5.296, 95% CI: 1.845-15.203, P=0.002) were risk factors for IPN. The ROC curve showed that SIRS duration (AUC=0.772, Youden index=0.521), RANSON score (AUC=0.701, Youden index=0.319), BISAP score (AUC=0.741, Youden index=0.377), and CTSI score (AUC=0.765, Youden Index=0.414) had a certain value in predicting IPN, and there was no significant difference in AUC between any two indices. The long-duration SIRS group (> 4 d) had a significantly higher proportion of patients with PN, ANC, IPN, SAP, or CAP than the non-SIRS group (0 d), the transient SIRS group (1~2 d), and the persistent SIRS group (3~4 d) (all P < 0.05), and the persistent SIRS group had a significantly higher proportion of patients with SAP than the non-SIRS group (P < 0.05).  Conclusion  AP patients with SIRS in the early stage are likely to develop organ failure and local complications, and there is a significant increase in the risk of IPN when SIRS duration is > 4.5 days.
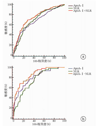
Value of neutrophil-lymphocyte ratio combined with apolipoprotein A-I level in predicting the severity of acute pancreatitis in the early stage after admission
Jin XU, Yan PENG, Chuankang TANG
2021, 37(3): 660-665. DOI: 10.3969/j.issn.1001-5256.2021.03.030
Abstract(1232) HTML (278) PDF (1991KB)(97)
Abstract:
  Objective  To investigate the value of neutrophil-lymphocyte ratio (NLR) combined with apolipoprotein A-I (ApoA-I) level in predicting the severity of acute pancreatitis (AP).  Methods  A retrospective analysis was performed for 460 patients with AP who were admitted to The Affiliated Hospital of Southwest Medical University from January 2015 to December 2019, among whom 250 had mild acute pancreatitis (MAP), 166 had moderate-severe acute pancreatitis, and 44 had severe acute pancreatitis (SAP). Related clinical data were collected, including basic information, laboratory markers (neutrophil count, lymphocyte count, serum triglyceride, serum total cholesterol, high-density lipoprotein cholesterol, low-density lipoprotein cholesterol, ApoA-I, and apolipoprotein B), and scores (Ranson, BISAP, and MCTSI). A one-way analysis of variance or the Kruskal-Wallis H test was used for comparison of continuous data between multiple groups; a logistic regression analysis was performed for the variables with statistical significance in univariate analysis; a Spearman correlation analysis was performed to investigate the correlation between data. The receiver operating characteristic (ROC) curve was used to evaluate the diagnostic efficiency of indices, and MedCalc software was used to investigate whether there was a significant difference in diagnostic efficiency.  Results  There were significant differences in NLR and ApoA-I level between the groups with different severities of AP (χ2= 64.124, F=40.277, P < 0.001). On admission, NLR was positively correlated with Atlanta grading, Ranson score, MCTSI score, and BISAP score (r=0.370, 0.129, 0.260, and 0.122, all P < 0.05), and ApoA-I level was negatively correlated with Atlanta grading, Ranson score, MCTSI score, and BISAP score (r=-0.358, -0.220, -0.297, and -0.251, all P < 0.05). NLR was an independent risk factor for non-MAP (odds ratio [OR]=1.104, 95% confidence interval [CI]: 1.070-1.140, P < 0.001), while ApoA-I was an independent protective factor against non-MAP (OR=0.138, 95% CI: 0.070-0.264, P < 0.001); NLR was an independent risk factor for SAP (OR=1.163, 95% CI: 1.107-1.222, P < 0.001), while ApoA-I was an independent protective factor against SAP (OR=0.013, 95% CI: 0.003-0.056, P < 0.001). NLR had an area under the ROC curve (AUC) of 0.700 (95% CI: 0.656-0.742, P < 0.001) in predicting non-MAP; ApoA-I had an AUC of 0.684 (95% CI: 0.640-0.726, P < 0.001) in predicting non-MAP; NLR combined with ApoA-I had an AUC of 0.748 (95%CI: 0.706-0.787, P < 0.001) in predicting non-MAP. NLR combined with ApoA-I had a better value than NLR or ApoA-I alone in predicting non-MAP (Z=3.439 and 2.462, both P < 0.05). NLR had an AUC of 0.752 (95% CI: 0.710-0.791, P < 0.001) in predicting SAP; ApoA-I had an AUC of 0.797 (95% CI: 0.757-0.833, P < 0.001) in predicting SAP; NLR combined with ApoA-I had an AUC of 0.857 (95% CI: 0.822-0.888, P < 0.001) in predicting SAP. NLR combined with ApoA-I had a better value than NLR or ApoA-I alone in predicting SAP (Z=3.171 and 2.630, both P < 0.05).  Conclusion  NLR combined with ApoA-I can be used as a good indicator for predicting the severity of AP in the early stage after admission.
Original articles_Case reports
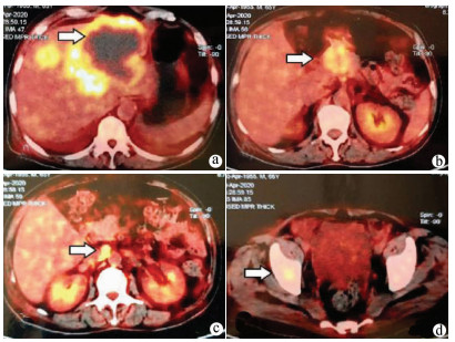
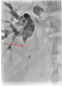
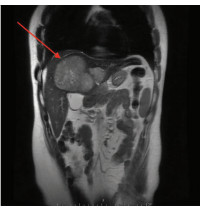
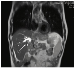
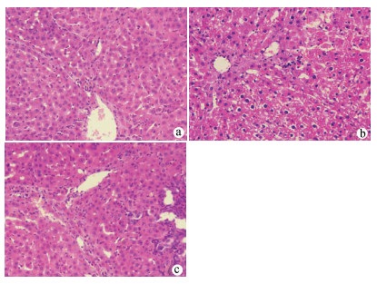
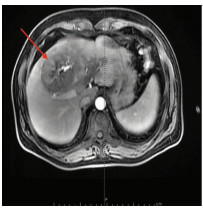
Multidisciplinary treatment of hepatocellular carcinoma with tumor thrombosis in the left portal vein: A case report
Jihong YANG, Guoxiang CHEN, Mo ZHOU, Jisen ZHAO, Yuan WANG, Yuanlong ZHOU
2021, 37(3): 666-679. DOI: 10.3969/j.issn.1001-5256.2021.03.031
Abstract(1185) HTML (567) PDF (3239KB)(69)
Abstract:
Anti-PD-1 monoclonal antibody combined with apatinib in treatment of rare primary squamous cell carcinoma of the liver: A case report
Yuchen FEI, Donglai LYU
2021, 37(3): 670-672. DOI: 10.3969/j.issn.1001-5256.2021.03.032
Abstract(870) HTML (228) PDF (2972KB)(48)
Abstract:
A case of adult infectious mononucleosis with chickenpox
Yanan DONG, Yinhua ZHANG, Yahua GONG, Huiqin TENG, Wei LIU, Jianjie CHEN
2021, 37(3): 673-675. DOI: 10.3969/j.issn.1001-5256.2021.03.033
Abstract(1111) HTML (249) PDF (1821KB)(46)
Abstract:
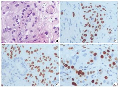
Primary biliary cholangitis with gastric diffuse large B-cell lymphoma: A case report
Lina FENG, Jianjie HUANG, Zhixin TU, Yan WANG, Xiaoxue ZHANG, Bo MA, Xiaoyu WEN, Qinglong JIN
2021, 37(3): 676-678. DOI: 10.3969/j.issn.1001-5256.2021.03.034
Abstract(805) HTML (275) PDF (2353KB)(48)
Abstract:
Severe hemolytic jaundice caused by glucose-6-phosphate dehydrogenase deficiency: A case report
Yipin LYU, Yong ZHANG, Shanhong TANG
2021, 37(3): 679-680. DOI: 10.3969/j.issn.1001-5256.2021.03.035
Abstract(986) HTML (289) PDF (1812KB)(55)
Abstract:
Reviews
Research advances in infection of renal tubular cells by hepatitis B virus
Yingjuan LI, Guohe FENG
2021, 37(3): 681-684. DOI: 10.3969/j.issn.1001-5256.2021.03.036
Abstract(877) HTML (243) PDF (1812KB)(82)
Abstract:
The kidney plays a key role in hepatitis B virus (HBV) infection of liver cells. The pathogenesis of HBV-associated glomerulonephritis (HBV-GN) remains unclear, and the mechanism of HBV directly causing the injury of renal tubules has been taken seriously in recent years. HBV can induce the apoptosis of renal tubular cells by regulating cell cycle and activating related signaling pathways including NF-κB and thus lead to the progression of HBV-GN. At present, there are still no drugs targeting the kidney in the treatment of HBV-GN. This article summarizes the research advances in the key factors for HBV infection of cells and the injury of renal tubular cells caused by HBV and elaborates on the possible mechanism of direct infection of renal tubular cells by HBV, so as to provide new ideas for the treatment of HBV-GN.
Adjuvant therapies after surgery for hepatocellular carcinoma with microvascular invasion
Tianle GONG, Ping YUE, Jun YAN, Xun LI
2021, 37(3): 685-688. DOI: 10.3969/j.issn.1001-5256.2021.03.037
Abstract(1210) HTML (787) PDF (1853KB)(79)
Abstract:
The high recurrence rate of hepatocellular carcinoma (HCC) after surgery cannot be ignored, but there are still no consensus statements and guideline recommendations for adjuvant therapies after HCC surgery. Current studies have shown that microvascular invasion is one of the high-risk factors for postoperative recurrence of HCC, and for HCC patients with microvascular invasion, timely postoperative adjuvant therapy may delay the time to recurrence and bring benefits to patients. At this stage, the prevention of postoperative recurrence of HCC and the prolongation of survival time through adjuvant therapy have attracted more and more attention. This article reviews the research advances in adjuvant therapy after surgery for HCC with microvascular invasion in recent years, in order to provide reference and help for postoperative adjuvant therapies for HCC patients with microvascular invasion.
Research advances in hepatocellular carcinoma-related imbalance of bile acid metabolism and related regulatory mechanism
Zherui LIU, Xiaodong JIA, Yinying LU
2021, 37(3): 690-694. DOI: 10.3969/j.issn.1001-5256.2021.03.038
Abstract(1637) HTML (514) PDF (1817KB)(139)
Abstract:
Bile acid metabolism, gut microbiota, and bile acid receptors are involved in the development and progression of hepatocellular carcinoma (HCC). There are substantial increases in the levels of some bile acids, such as glycocholic acid, taurocholic acid, and taurochenodeoxycholic acid, in the liver tissue of HCC mice and the serum and feces of HCC patients. Bile acid metabolism due to the imbalance of the abundance of bacteria producing bile salt hydrolases and Clostridium in the intestine and the change in immune microenvironment may also promote the development of HCC. Moreover, some bile acid receptors, such as farnesoid X receptor, G protein-coupled bile acid receptor 1, pregnane X receptor, constitutive androstane receptor, and sphingosine-1-phosphate receptor 2, have been shown to participate in the development and progression of HCC through various pathways. Each link of bile acid metabolism plays a different role in the progression of HCC, and a systematic elaboration of the interaction between these links may help to deepen the understanding of the pathogenesis of HCC and develop the biological targets for early diagnosis, prognosis prediction, and precise treatment.
Role of circular RNA in the development and progression of hepatocellular carcinoma
Xin CAI, Juanjuan CHEN, Dongling TANG, Pingan ZHANG
2021, 37(3): 695-698. DOI: 10.3969/j.issn.1001-5256.2021.03.039
Abstract(1407) HTML (327) PDF (1810KB)(55)
Abstract:
Hepatocellular carcinoma (HCC) is one of the most common malignant tumors in the world, and the study on the regulatory mechanisms of the invasion and migration of HCC is of great significance to clinical diagnosis and treatment. Circular RNA (circRNA), as an important member of the non-coding RNA family, plays the role of microRNA (miRNA) sponge in hepatocytes due to its highly stable circular structure. It also plays an important role in HCC progression by regulating miRNA or promoting the expression of target genes through the competitive endogenous RNA mechanism. This article explores the mechanism of action of circRNA in the pathogenesis of HCC, so as to help with the screening for diagnostic markers of HCC and the development of effective therapeutic targets for HCC.
Mechanism of action of non-coding RNA in sorafenib resistance in hepatocellular carcinoma
Guoxiang CHEN, Mo ZHOU, Sheng CHEN, Yuan WANG, Yuanlong ZHOU, Jihong YANG
2021, 37(3): 699-703. DOI: 10.3969/j.issn.1001-5256.2021.03.040
Abstract(1601) HTML (310) PDF (2217KB)(66)
Abstract:
Sorafenib, as the first-line treatment drug for advanced hepatocellular carcinoma (HCC), can effectively improve the prognosis of patients with HCC, but sorafenib resistance has become a major obstacle to the therapeutic outcome of HCC. Recent studies have shown that non-coding RNA plays a key role in sorafenib resistance in HCC. This article summarizes that non-coding RNA regulates the sensitivity of HCC to sorafenib by inducing the autophagy of hepatoma cells, promoting the proliferation of liver cancer stem cells, promoting the EMT process of hepatoma cells, inhibiting the apoptosis of hepatoma cells, and regulating the microenvironment of liver cancer tissue. It is pointed out that the molecular mechanism of non-coding RNA in regulating sorafenib resistance in HCC has potential clinical significance in overcoming sorafenib resistance in HCC.
Role of long non-coding RNA MALAT1 in the development and progression of hepatocellular carcinoma
Yongkang SUN, Xuebo YAN, Zemin ZHU, Dingcheng SHEN, Zhiqin XIE, Zhijian ZHAO, Caixi TANG
2021, 37(3): 704-708. DOI: 10.3969/j.issn.1001-5256.2021.03.041
Abstract(1169) HTML (514) PDF (1820KB)(71)
Abstract:
Hepatocellular carcinoma (HCC) has the features of high incidence rate, low survival rate, poor treatment outcome, and complex pathogenesis. In recent years, many studies have shown that long non-coding RNA (lncRNA) MALAT1 is upregulated in HCC and can promote the proliferation, invasion, and metastasis of HCC cells, and it can also guide the diagnosis, prognostic evaluation, and treatment of HCC in clinical practice. This article reviews the current status of research on lncRNA MALAT1 in HCC and discusses its expression pattern, mechanism of action, and clinical significance in predicting and monitoring the progression of HCC, so as to gain a deep understanding of the role of lncRNA MALAT1 in the progression of HCC. It is pointed out that lncRNA MALAT1 is expected to become a potential biomarker for the diagnosis and prognostic evaluation of HCC and may be used as a therapeutic target in clinical practice.
Research advances in dietary intervention in the treatment of metabolic associated fatty liver disease
Junzhao YE, Yansong LIN, Bihui ZHONG
2021, 37(3): 709-713. DOI: 10.3969/j.issn.1001-5256.2021.03.042
Abstract(1342) HTML (792) PDF (1816KB)(139)
Abstract:
Poor dietary habit is an important cause of the global prevalence of metabolic associated fatty liver disease (MAFLD), and the adjustment of dietary pattern is the cornerstone of MAFLD management. In recent years, a large number of new dietary intervention methods have been proposed and applied in the treatment of MAFLD, including calorie restrict diet, low-carbohydrate diet, low-glycemic index diet, low free sugar diet, intermittent fasting pattern, high protein diet, and Mediterranean diet, and these new methods have different effects in clinical practice. This article introduces the treatment concepts and practical methods of these new dietary treatment strategies and the evidence of their benefits in the treatment of MAFLD in China and globally, so as to provide a new perspective for clinicians to guide patients to achieve individualized nutritional therapy.
Role of HCO3- umbrella in the pathogenesis of primary biliary cholangitis
Yinghao CHANG, Dan JING, Wenjiao XU, Xiaolei ZHOU, Xiaoping WANG, Shanhong TANG
2021, 37(3): 714-717. DOI: 10.3969/j.issn.1001-5256.2021.03.043
Abstract(1170) HTML (442) PDF (1807KB)(72)
Abstract:
Primary biliary cholangitis (PBC) is an autoimmune disease. Although PBC has the features of autoimmune disease, it has poor response to immunosuppressants and good response to the drugs participating in bile acid metabolism, such as ursodeoxycholic acid. Studies have shown that the bicarbonate secretion of biliary epithelial cells is impaired in PBC patients, and bile acid not blocked by HCO3- umbrella enters biliary epithelial cells and mediates their damage and apoptosis, leading to the expression of autoantibodies in apoptotic cells and immunologic injury. In order to explore the role of HCO3- umbrella secreted by biliary epithelial cells in the pathogenesis of PBC, this article briefly introduces the physiological function and production mechanism of HCO3- umbrella and the influencing factors for HCO3- secretion, and it is pointed out that reduced HCO3- secretion may be a key link in the pathogenesis of PBC and a potential therapeutic target.
Role of anion exchanger 2 in the pathogenesis of primary biliary cholangitis
Xi CHU, Lianjun XING
2021, 37(3): 718-720. DOI: 10.3969/j.issn.1001-5256.2021.03.044
Abstract(915) HTML (176) PDF (1952KB)(46)
Abstract:
The etiology and pathogenesis of primary biliary cholangitis (PBC) remain unclear at present, and it is believed that the change in bile duct microenvironment and autoimmune response are the main factors for the onset of this disease. Anion exchanger 2 (AE2) is an HCO3-/Cl- exchange protein located on the membrane of epithelial cells and has been taken seriously by scholars since studies have shown that it can induce and aggravate PBC. This article summarizes the role of AE2 in bile duct microenvironment and autoimmune response from the aspects of AE2 and related regulatory mechanisms and further analyzes the pathogenesis of PBC, so as to find new therapies and diagnostic and prognostic indicators for PBC by exploring the regulatory mechanism of AE2 in PBC.
Effect of statins on the progression and prognosis of chronic liver diseases
Shuai WANG, Yonggui ZHANG, Jiangbin WANG, Yan XU
2021, 37(3): 721-724. DOI: 10.3969/j.issn.1001-5256.2021.03.045
Abstract(994) HTML (836) PDF (1803KB)(92)
Abstract:
Chronic liver diseases can progress to liver fibrosis and cirrhosis and may lead to portal hypertension and even hepatocellular carcinoma. In recent years, more and more studies have shown that statins can improve liver histology, delay progression to liver fibrosis, and reduce the risk of decompensation and hepatocellular carcinoma in patients with nonalcoholic fatty liver disease. This article introduces the advances in the application of statins in patients with chronic liver diseases, so as to provide a basis for the prevention and treatment of chronic liver diseases.
Role of microRNA-125b in the development and progression of various chronic liver diseases
Nengyuan LU, Jiahui WANG, Fangfei ZHONG, Lei WANG, Yue PENG, Tiejian ZHAO, Yang ZHENG
2021, 37(3): 725-728. DOI: 10.3969/j.issn.1001-5256.2021.03.046
Abstract(1149) HTML (306) PDF (1811KB)(48)
Abstract:
MicroRNA (miRNA) is a type of small non-coding RNA and acts as a post-transcriptional regulator of gene expression. This article briefly describes the etiology of various chronic liver diseases, including metabolic dysfunction-associated fatty liver disease, chronic hepatitis B, chronic hepatitis C, chronic drug-induced liver injury, liver cirrhosis, and hepatocellular carcinoma, and summarizes related reports on microRNA-125b which enters different signal transduction pathways and plays the same or contradictory regulatory role in the same liver disease or pathological process by targeting different target genes, so as to provide insights into the research on the pathogenesis of various chronic liver diseases and the establishment of non-invasive differential methods.
Association between nonalcoholic fatty liver disease and acute pancreatitis
Tingting WANG, Jiajun HE, Chuting YANG, Yuanhao LI, Weiwei CHEN, Jun LIU
2021, 37(3): 729-732. DOI: 10.3969/j.issn.1001-5256.2021.03.047
Abstract(1326) HTML (287) PDF (1806KB)(77)
Abstract:
Acute pancreatitis (AP) is a common acute abdominal disease in clinical practice. As the hepatic manifestation of metabolic syndrome, nonalcoholic fatty liver disease (NAFLD) is closely associated with the severity and prognosis of AP. This article elaborates on the mechanism of action of NAFLD in the development and progression of AP and further points out that NAFLD can induce AP and aggravate its severity through many ways.
Advances in radiotherapy for pancreatic cancer from 2019 to 2020
Gang REN, Yingjie WANG
2021, 37(3): 733-736. DOI: 10.3969/j.issn.1001-5256.2021.03.048
Abstract(1631) HTML (791) PDF (1806KB)(137)
Abstract:
With the rapid development of radiotherapy equipment, imaging technology, and artificial intelligence, radiotherapy has entered the era of precision therapy. Radiotherapy is one of the important methods for the treatment of pancreatic cancer, and rapid progress has been made in related concepts and technical models of radiotherapy in recent years. With reference to the latest advances in radiotherapy technology and the change of radiotherapy dose mode, which the experts in the field of radiotherapy are concerned with, this article reviews and analyzes recent articles and points out that multimodal images play an important role in guiding radiotherapy for pancreatic cancer, and the dose mode of radiotherapy develops to high-dose hypofractionated radiotherapy. The effect of neoadjuvant radiotherapy has been further confirmed, and strong chemotherapy with the combination of multiple drugs is the main radiotherapy regimen for pancreatic cancer.