中文English
ISSN 1001-5256 (Print)
ISSN 2097-3497 (Online)
CN 22-1108/R
2021 No.4
Theme Issue: Clinical diagnosis and treatment of complications related to liver failure
Executive Chief Editor: Xie Qing 
Ruijin Hospital Affiliated to Shanghai Jiao Tong University School of Medicine

Display Method:
Editorial
Paving the way to improve clinical management of acute-on-chronic liver failure using international criteria
Zhujun CAO, Chenxi ZHANG, Qing XIE
2021, 37(4): 745-751. DOI: 10.3969/j.issn.1001-5256.2021.04.001
Abstract(2297) HTML (509) PDF (3250KB)(264)
Abstract:
Acute-on-chronic liver failure (ACLF) is a clinical disease significantly different from acute liver failure and acute decompensation of simple liver cirrhosis, and it may have acute progression to liver failure and failure of other organs. ACLF has a high short-term mortality rate and has become a disease burden worldwide. In recent years, several international associations for the study of the liver have proposed different diagnostic criteria for ACLF and published their respective consensus or review on the diagnosis and treatment of ACLF, and there are still great differences in the comprehension of chronic liver diseases, acute injury, and organ failure. At present, there are still limited data for the key links of ACLF management in China, such as liver transplantation, intensive care unit, and palliative care, and in the context of no consensus on the diagnosis of ACLF around the world, it is necessary to further strengthen the application of existing international criteria and evidence and the accumulation of evidence-based data in China.
Discussions by experts
Research advances in liver failure associated with hepatitis B virus reactivation
Yu SHI, Min ZHENG
2021, 37(4): 752-756. DOI: 10.3969/j.issn.1001-5256.2021.04.002
Abstract(1267) HTML (409) PDF (1908KB)(159)
Abstract:
Hepatitis B virus (HBV) infection is a major public issue in the world. Although currently used antiviral drugs can effectively control virus replication, they cannot clear HBV and HBV reactivation is still observed after the withdrawal of anti-HBV drugs. Meanwhile, experimental studies and clinical research have shown that after HBV infection, although 95% of the adult patients can achieve clinical cure spontaneously, virus genome still exists in host hepatocytes, and when immunosuppressants or chemotherapeutic drugs are used for the treatment of underlying diseases such as solid tumor, hematological malignancies, rheumatic immune diseases, and HCV infection, HBV replication might be reactivated. HBV reactivation may lead to severe clinical outcomes, and some patients may experience liver failure or even death. Retrospective studies in China show that 9%-30% of the cases of acute-on-chronic hepatitis B liver failure are caused by HBV reactivation, and therefore, it is of great importance to identify the population at risk of HBV reactivation and develop reasonable preventive measures, which may help to reduce the development of acute-on-chronic hepatitis B liver failure. This article reviews the definition and basis of HBV reactivation, elaborates on the predisposing factors and mechanism of HBV reactivation in inducing liver failure, and summarizes the population requiring prevention and related preventive measures.
Diagnosis and treatment of abdominal infection in patients with liver cirrhosis: Advances and challenges
Beiling LI, Jinjun CHEN
2021, 37(4): 757-760. DOI: 10.3969/j.issn.1001-5256.2021.04.003
Abstract(1315) HTML (409) PDF (2213KB)(134)
Abstract:
Infection is the most common complication in patients with end-stage liver disease, among which abdominal infection is the most common type. There is a low positive rate of ascitic fluid culture, and abdominal infection is mainly diagnosed based on multinucleated cell count in ascites and is mainly treated by empirical antimicrobial therapy. The diagnostic criteria for abdominal infection have limited guiding significance in clinical practice, and currently there are still no new diagnostic markers that can be used in clinical practice. For the pathogenic diagnosis of abdominal infection, metagenomic next-generation sequencing is a new technique for rapid identification of pathogens of abdominal infection or overlap infection in liver cirrhosis. In terms of treatment, Chinese guidelines on the management of ascites in cirrhosis emphasize antimicrobial therapy and give no explicit recommendation for the dose of human serum albumin infusion. There are still great challenges in the diagnosis and treatment of abdominal infection in cirrhotic patients, and more studies are needed in the future to answer relevant questions and better guide clinical practice, including the optimization of the diagnosis, prevention, and treatment of abdominal infection.
Acute-on-chronic liver failure in patients with metabolic associated fatty liver disease: Past, Present, and Future
Lei MIAO, Liangjie TANG, Jiangao FAN, Minghua ZHENG
2021, 37(4): 761-764. DOI: 10.3969/j.issn.1001-5256.2021.04.004
Abstract(1323) HTML (394) PDF (1897KB)(152)
Abstract:
Metabolic associated fatty liver disease (MAFLD) is a hotspot in the field of fatty liver disease at present and it has become the most common chronic liver disease around the world. It is predicted that the incidence rates of MAFLD and related liver cirrhosis will continue to grow in the next 20 years and that they will become new global health issues. Acute-on-chronic liver failure (ACLF) is defined as a clinical syndrome of acute or subacute liver function decompensation within a short period of time in the presence of existing chronic liver diseases, with the main clinical manifestations of ascites, jaundice, coagulation disorder, and hepatic encephalopathy. Based on the existing data, this article discusses the epidemiology, pathogenesis, treatment and management strategies, and future prospects of MAFLD-ACLF.
Advances in the pathogenesis and treatment of acute-on-chronic liver failure
Dabao SHANG, Xiaogang XIANG
2021, 37(4): 765-769. DOI: 10.3969/j.issn.1001-5256.2021.04.005
Abstract(2300) HTML (1010) PDF (1910KB)(270)
Abstract:
Acute-on-chronic liver failure (ACLF) is a type of severe clinical syndrome which occurs on the basis of chronic liver diseases and has the main clinical features of acute liver decompensation, extrahepatic organ damage, and high short-term mortality rate. The underlying diseases of chronic liver diseases are mainly alcoholic hepatitis and chronic hepatitis C in Western countries, while chronic hepatitis B is the main underlying disease of chronic liver diseases in China and the Asia-Pacific region. Although there are differences in underlying liver diseases between the East and the West, the common pathological basis of most ACLF patients is usually liver fibrosis or cirrhosis caused by long-term chronic liver injury. At present, the research on ACLF has been widely carried out all over the world; however, due to the differences in region, population, and disease triggers, no consensus has been reached on the definition, diagnostic criteria, and disease management of ACLF between the East and the West. This article elaborates on the definition, pathogenesis, and management of ACLF, in order to provide clinicians with new therapeutic strategies that would improve the prognosis of ACLF.
Nutritional assessment and clinical management of patients with acute-on-chronic liver failure
Muchen WU, Qinghua MENG
2021, 37(4): 770-774. DOI: 10.3969/j.issn.1001-5256.2021.04.006
Abstract(1671) HTML (296) PDF (1905KB)(146)
Abstract:
As the most important visceral organ in human body for metabolism, the liver is an important place for the synthesis and storage of nutrients. Patients with acute-on-chronic liver failure suffer from varying degrees of malnutrition due to abnormal metabolism of various nutrients, and malnutrition might accelerate the development and progression of liver diseases and lead to poor prognosis. Therefore, it is of great importance to perform early nutritional assessment and nutritional intervention. Although there are a variety of nutritional assessment methods, there are still defects in the nutritional assessment methods for patients with chronic liver diseases and liver cirrhosis, especially those with acute-on-chronic liver failure. This article elaborates on the nutritional assessment and clinical management of such patients, so as to provide a reference for related issues in clinical practice.
Academic contention
Patients in the immune-tolerant phase of hepatitis B virus infection benefit a lot from antiviral therapy
Deyang WANG, Jun JIANG, Kekai ZHAO
2021, 37(4): 775-776. DOI: 10.3969/j.issn.1001-5256.2021.04.007
Abstract(806) HTML (247) PDF (1858KB)(113)
Abstract:
Active antiviral therapy should be given in the immune tolerance stage of hepatitis B virus infection
Jia SHANG
2021, 37(4): 777-777. DOI: 10.3969/j.issn.1001-5256.2021.04.008
Abstract(610) HTML (190) PDF (1841KB)(105)
Abstract:
Patients in the immune-tolerant phase of hepatitis B virus infection should receive antiviral therapy to reduce viral load
Bingliang LIN
2021, 37(4): 778-780. DOI: 10.3969/j.issn.1001-5256.2021.04.009
Abstract(664) HTML (206) PDF (1907KB)(88)
Abstract:
Patients in the immune-tolerant phase of chronic hepatitis B can receive antiviral therapy conditionally
Li XIAO, Jianchun XIAN
2021, 37(4): 781-782. DOI: 10.3969/j.issn.1001-5256.2021.04.010
Abstract(867) HTML (204) PDF (1864KB)(81)
Abstract:
Antiviral therapy is not recommended for patients in the immune-tolerant phase of hepatitis B virus infection
Minghui LI, Yao XIE
2021, 37(4): 783-784. DOI: 10.3969/j.issn.1001-5256.2021.04.011
Abstract(765) HTML (363) PDF (1865KB)(92)
Abstract:
Correction note on the estimated number of patients in the immune-tolerant phase of hepatitis B virus infection in China and globally
Hui ZHUANG
2021, 37(4): 785-786. DOI: 10.3969/j.issn.1001-5256.2021.04.012
Abstract(1070) HTML (173) PDF (2087KB)(149)
Abstract:
Guidelines
Consensus on imaging techniques and diagnostic criteria for hepatitis B virus related early hepatocellular carcinoma
Radiology of Infection Sub-branch, Radiology Branch, Chinese Medical Association, Committee on Radiology of Infection, Radiology Branch, Chinese Medical Doctor Association, Radiology Committee on Infectious and Inflammatory Disease, Chinese Research Hospital Association, Radiology of Infection Branch, Working and Treating Committee of HIV/AIDS and STD Association, Radiology of Infectious Disease Management Sub-branch, Infectious Disease Management Branch, Hospital Management Association in China, Beijing Imaging Diagnosis and Treatment Technology Innovation Alliance
2021, 37(4): 787-791. DOI: 10.3969/j.issn.1001-5256.2021.04.013
Abstract(1427) HTML (513) PDF (4471KB)(236)
Abstract:
The pathological diagnostic criteria for early hepatocellular carcinoma(eHCC)have been updated in 2009, but the imaging diagnostic criteria for eHCC have not yet been established by domestic or foreign academic organizations. Promoted by Radiology of Infection Sub-branch, Radiology Branch, Chinese Medical Association, associating with Committee on Radiology of Infection, Radiology Branch, Chinese Medical Doctor Association; Radiology Committee on Infectious and Inflammatory Disease, Chinese Research Hospital Association; Radiology of Infection Branch, Working and Treating Committee of HIV/AIDS and STD Association; Radiology of Infectious Disease Management Sub-branch, Infectious Disease Management Branch, Hospital Management Association in China; Beijing Imaging Diagnosis and Treatment Technology Innovation Alliance, this consensus was formed under the efforts of more than 40 experts from more than 10 domestic provinces and cities, so as to help related professional doctors in diagnosis of eHCC.
Expert consensus on the imaging diagnosis of hepatic echinococcosis
Radiology of Infection Sub-branch, Radiology Branch, Chinese Medical Association, Committee on Radiology of Infectious, Radiology Branch, Chinese Medical Doctor Association
2021, 37(4): 792-797. DOI: 10.3969/j.issn.1001-5256.2021.04.014
Abstract(1244) HTML (604) PDF (2065KB)(121)
Abstract:
Echinococcosis is a zoonotic disease with global distribution and has become an issue seriously affecting public health around the world. Imaging technology plays an important role in the early diagnosis, preoperative evaluation, and treatment outcome monitoring of hepatic echinococcosis. At present, no consensus has been reached on the imaging diagnosis of echinococcosis, which brings difficulties in the learning and training of imaging professionals and the standard diagnosis and treatment of echinococcosis in clinical practice. For this reason, Beijing YouAn Hospital, Capital Medical University, and The First Affiliated Hospital of Xinjiang Medical University organized the radiologists engaged in infection and inflammation from several hospitals to reach a consensus on the basis, principles, and criteria for the imaging diagnosis of echinococcosis and the differential diagnosis of echinococcosis, with reference to international guidelines, related articles, the latest research findings in China and globally, and the methodological requirements for the establishment of guidelines and standards in evidence-based medicine, so as to provide a clear diagnostic basis for clinicians in the clinical application of hepatic echinococcosis imaging.
Chinese expert consensus on the endoscopic diagnosis and treatment of biliary fistula (2020, Beijing)
Chinese Society of Endoscopy, Chinese Medical Association, Endoscopic Physician Branch of Chinese Medical Doctor Association, Beijing Society of Digestive Endoscopy, Beijing Medical Association
2021, 37(4): 798-802. DOI: 10.3969/j.issn.1001-5256.2021.04.015
Abstract(1082) HTML (586) PDF (1978KB)(208)
Abstract:
Chinese expert consensus on the endoscopic diagnosis and treatment of pancreatic fistula (2020, Beijing)
Chinese Society of Endoscopy, Chinese Medical Association, Endoscopic Physician Branch of Chinese Medical Doctor Association, Beijing Society of Digestive Endoscopy, Beijing Medical Association
2021, 37(4): 803-808. DOI: 10.3969/j.issn.1001-5256.2021.04.016
Abstract(1402) HTML (909) PDF (1955KB)(213)
Abstract:
Original articles_Viral hepatitis
Association of gene mutations in the pre-C, C, and basic core promoter regions of hepatitis B virus with traditional Chinese medicine syndrome types
Dongfang SHANG, Shilei WANG, Wenxia ZHAO
2021, 37(4): 809-812. DOI: 10.3969/j.issn.1001-5256.2021.04.017
Abstract(919) HTML (302) PDF (1893KB)(47)
Abstract:
  Objective  To investigate the association of gene mutations in the pre-C, C, and basic core promoter (BCP) regions of hepatitis B virus (HBV) with traditional Chinese medicine (TCM) syndrome types in patients with chronic hepatitis B (CHB).  Methods  A retrospective analysis was performed for the clinical data of CHB patients who were diagnosed and treated at the outpatient service and ward of Spleen, Stomach, and Hepatobiliary Department, The First Affiliated Hospital of Henan University of Chinese Medicine, from November 2014 to June 2018. Related clinical data were collected and recorded, including general information, HBV serological markers, HBV gene mutations, and information obtained by four TCM diagnostic methods. Syndrome differentiation and typing were performed for each patient with reference to the criteria for TCM syndrome differentiation of viral hepatitis, and the association of gene mutation in the pre-C, C, and BCP regions of HBV with TCM syndrome types was analyzed. The chi-square test was used for comparison of categorical data between groups, and the Kruskal-Wallis H test was used for comparison of continuous data between multiple or two groups.  Results  A total of 235 patients with CHB were enrolled, among whom 101 had internal retention of damp-heat, 88 had stagnation of liver Qi and spleen deficiency, 17 had blood stasis obstructing the collaterals, 19 had liver-kidney Yin deficiency, and 10 had spleen-kidney Yang deficiency. There were significant differences in sex, age, and course of disease between the patients with different TCM syndrome types (χ2=17.389, H=173.280, H=86.520, all P < 0.01), and there was a significant difference in age between the CHB patients with gene mutations in the pre-C, C and BCP regions of HBV (H=30.150, P < 0.001). There was a significant difference in the distribution of TCM syndrome types between the CHB patients with gene mutations in the pre-C, C and BCP regions of HBV (χ2=58.117, P < 0.001), and internal retention of damp-heat and stagnation of liver Qi and spleen deficiency were major TCM syndrome types accounting for 80.43%. The patients with internal retention of damp-heat tended to have A1762T and G1764A mutations, and those with stagnation of liver Qi and spleen deficiency tended to have G1896A, A1762T, and G1764A mutations; G1764A mutation was often observed in the patients with blood stasis obstructing the collaterals or liver-kidney Yin deficiency, and I97L mutation was often observed in the patients with spleen-kidney Yang deficiency.  Conclusion  Gene mutations in the pre-C, C, and BCP regions of HBV are associated with TCM syndrome types in CHB patients, and internal retention of damp-heat and stagnation of liver Qi and spleen deficiency are the most common TCM syndrome types. I97L mutation is often observed in patients with spleen-kidney Yang deficiency.
Original articles_Liver fibrosis and liver cirrhosis
Correlation of quality of life with aspartate aminotransferase-to-platelet ratio index, liver stiffness measurement, and histopathology after antiviral therapy for chronic hepatitis B liver fibrosis
Jing LU, Hongxin PIAO, Xuemei JIN, Jingshu CUI, Renshun JIN
2021, 37(4): 813-816. DOI: 10.3969/j.issn.1001-5256.2021.04.018
Abstract(1090) HTML (409) PDF (1903KB)(85)
Abstract:
  Objective  To investigate the correlation of quality of life (QOL) with aspartate aminotransferase-to-platelet ratio index (APRI), liver stiffness measurement (LSM), and histopathology after entecavir antiviral therapy for patients with chronic hepatitis B liver fibrosis.  Methods  A total of 95 patients who were diagnosed with chronic hepatitis B and liver fibrosis in The Affiliated Hospital of Yanbian University from October 2013 to March 2015 were enrolled, and all patients underwent entecavir antiviral therapy. Before treatment and at weeks 26, 52, and 78 of treatment, SF-36 scale was used to assess QOL, transient elastography was used to measure LSM, and serum APRI was measured. Among these patients, 31 underwent liver biopsy before treatment and at week 78 of treatment to observe the degree of inflammation and fibrosis, and QOL, APRI, LSM, and histopathology were analyzed before and after antiviral therapy. The Kruskal-Wallis H test was used for comparison of non-normally distributed continuous data at different time points, and a Spearman correlation analysis was performed.  Results  There was a tendency of increase in QOL after antiviral treatment, and there were significant differences in general health, role-physical, role-motional, bodily pain, social functioning, and vitality at different time points (H=25.084, 8.699, 12.293, 22.874, 12.079, and 10.403, all P < 0.05). There was a tendency of reduction in APRI, with a significant change after treatment (H=60.030, P < 0.01), and there was also a significant reduction in LSM after treatment (H=35.744, P < 0.01). APRI and LSM were negatively correlated with QOL (all P < 0.05). Among the patients who underwent liver biopsy, 22 achieved the improvement in histological inflammation after antiviral therapy, 15 achieved the improvement in fibrosis, 14 achieved the improvement in both inflammation and QOL, and 8 achieved the improvement in both fibrosis and QOL.  Conclusion  Entecavir antiviral therapy can improve the QOL of patients with chronic hepatitis B liver fibrosis, and reductions in APRI and LSM can predict the improvement in QOL in patients with chronic hepatitis B liver fibrosis. Improvement in histological inflammation and fibrosis have a certain effect on the improvement in QOL in patients with chronic hepatitis B liver fibrosis.
Diagnostic value of FibroTouch, FibroScan, and acoustic radiation force impulse for liver fibrosis in patients with primary biliary cholangitis
Min WANG, Wenping LUO, Guanhua ZHANG, Xinyan ZHAO, Hong MA, Ying TIAN, Yu WANG
2021, 37(4): 817-822. DOI: 10.3969/j.issn.1001-5256.2021.04.019
Abstract(1573) HTML (751) PDF (2599KB)(121)
Abstract:
  Objective  To investigate the diagnostic efficiency of FibroTouch, FibroScan, and acoustic radiation force impulse (ARFI) for liver fibrosis in patients with primary biliary cholangitis (PBC).  Methods  A retrospective analysis was performed for the patients who underwent liver biopsy and were then diagnosed with PBC in Beijing Friendship Hospital, Capital Medical University, from September 2014 to October 2018, and the METAVIR scoring system was used to evaluate the degree of liver fibrosis and inflammation. Within 1 week after liver biopsy, FibroTouch, FibroScan, and ARFI were used to measure liver stiffness (LS); with pathological results as the gold standard, the area under the ROC curve (AUC) was used to compare the value of FibroTouch, FibroScan, and ARFI in the diagnosis of liver fibrosis in PBC patients, and related influencing factors were analyzed; Youden index was used to calculate the cut-off values of LS for different degrees of liver fibrosis. The Kruskal-Wallis H test was used for comparison between multiple groups, and P value corrected by the Bonferroni method was used for further comparison between two groups. A Spearman correlation analysis was performed, and a multiple linear regression model was used for multivariate analysis.  Results  A total of 68 patients with PBC were enrolled in the study, among whom 13 had F0 liver fibrosis, 15 had F1 liver fibrosis, 18 had F2 liver fibrosis, 12 had F3 liver fibrosis, and 10 had F4 liver fibrosis. LS obtained by FibroTouch (FT-LS), LS obtained by FibroScan (FS-LS), and LS obtained by ARFI (ARFI-LS) were strongly positively correlated with the degree of liver fibrosis (r=0.798, 0.782, and 0.742, all P < 0.001). FT-LS had AUCs of 0.922, 0.881, and 0.926, respectively, in the diagnosis of F≥2, F≥3, and F=4 liver fibrosis, and the corresponding cut-off values were 10.5 kPa, 15.8 kPa, and 17.5 kPa, respectively; FS-LS had AUCs of 0.918, 0.878, and 0.939, respectively, in the diagnosis of F≥2, F≥3, and F=4 liver fibrosis, and the corresponding cut-off values were 10.1 kPa, 12.9 kPa, and 18.2 kPa, respectively; ARFI-LS had AUCs of 0.904, 0.869, and 0.928, respectively, in the diagnosis of F≥2, F≥3, and F=4 liver fibrosis, and the corresponding cut-off values were 1.45 m/s, 1.83 m/s, and 2.08 m/s, respectively. There was no significant difference in diagnosing the same stage of liver fibrosis between FibroTouch, FibroScan, and ARFI (P > 0.05). The multivariate analysis showed that degree of liver fibrosis (β=0.399, P < 0.001), total bilirubin (β=0.466, P < 0.001), and prothrombin time activity (β=-0.195, P=0.020) were influencing factors for FT-LS; degree of liver fibrosis (β=0.370, P < 0.001), aspartate aminotransferase (β=0.450, P < 0.001), prothrombin time activity (β=-0.303, P=0.001), and alkaline phosphatase (β=-0.187, P=0.042) were influencing factors for FS-LS; degree of liver fibrosis (β=0.489, P < 0.001), aspartate aminotransferase (β=0.467, P < 0.001), and platelet count (β=-0.188, P=0.028) were influencing factors for ARFI-LS.  Conclusion  FibroTouch has similar efficiency to FibroScan and ARFI in the diagnosis of liver fibrosis in PBC patients, with relatively high diagnostic efficiency for significant liver fibrosis (F≥2) and liver cirrhosis (F=4), and therefore, it can be used as a reliable method for the diagnosis of liver fibrosis in PBC patients.
Original articles_Liver neoplasms
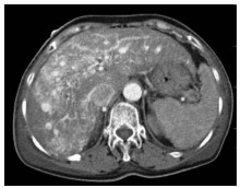
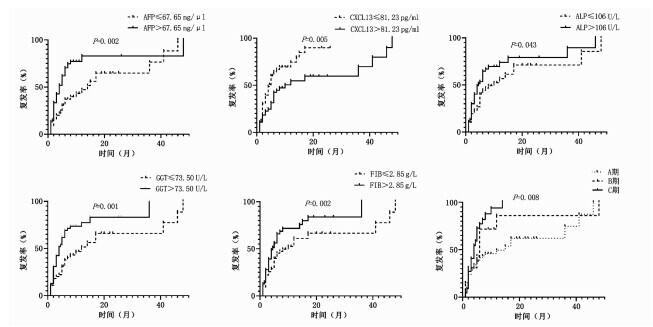
Construction and analysis of a predictive model for posthepatectomy recurrence in patients with hepatocellular carcinoma based on preoperative CXCL13 measurement
Mingwei LI, Jian GAO, Xiangwei ZHAI, Xiangjun QIAN, Xiajie WEN, Mingjie YAO, Zhaojun DUAN, Erjiang ZHAO, Ling ZHANG, Fengmin LU
2021, 37(4): 823-828. DOI: 10.3969/j.issn.1001-5256.2021.04.020
Abstract(1096) HTML (405) PDF (2259KB)(55)
Abstract:
  Objective  To investigate the serological markers associated with posthepatectomy recurrence in patients with hepatocellular carcinoma, and to establish a prognostic model to evaluate whether palliative hepatectomy is suitable for such patients.  Methods  A total of 111 patients with hepatocellular carcinoma who underwent hepatectomy in the Affiliated Cancer Hospital of Zhengzhou University from February 2009 to July 2013 and received follow-up were enrolled. Basic clinical data were collected and the patients were divided into recurrence group and non-recurrence group according to whether recurrence was observed during follow-up. The t-test was used for comparison of normally distributed continuous data between two groups and the Wilcoxon rank sum test was used for comparison of non-normally distributed continuous data between two groups; the chi-square test was used for comparison of categorical data between two groups. Survival curves were plotted using the Kaplan-Meier method, and survival differences were analyzed using the log-rank test. A Cox regression analysis was used to perform univariate and multivariate analyses, and the area under the ROC curve (AUC) was used to evaluate prediction efficiency.  Results  The Kaplan-Meier survival curves showed that the patients with low alpha-fetoprotein (AFP), alkaline phosphatase, gamma-glutamyl transpeptidase (GGT), and fibrinogen and high CXCL13 had a longer median time to recurrence (P < 0.05). AFP (hazard ratio [HR][95%CI]=1.69(1.03~2.79), P=0.039), GGT (HR[95%CI]=1.89(1.14~3.14), P=0.014), and CXCL13 (HR[95%CI]=0.54(0.33~0.89), P=0.015) were independent factors associated with posthepatectomy recurrence. The prognostic index PI=0.526×AFP+0.637×GGT-0.616×CXCL13 established based on these factors had an AUC of 0.87, a sensitivity of 93.75%, and a specificity of 63.64% in predicting recurrence within 0-3 months after palliative hepatectomy, with a significant reduction in prediction efficiency for recurrence within 0-6 months (AUC=0.68) or a longer period of time. The recurrence prediction efficiency of this model for palliative hepatectomy was significantly higher than that for radical resection.  Conclusion  The prognostic model established based on CXCL13, AFP, and GGT can be used to evaluate the risk of early recurrence after palliative hepatectomy and thus helps clinicians to make diagnosis and treatment decisions based on patients' benefits.
Change in the activity of glucosylceramide synthase in human hepatoma cell line with hepatitis B virus infection in vitro
Jian GAN, Rui YANG, Chengcheng LEI, Yating YANG, Liting YAN, Aiping TIAN, Xiaorong MAO, Lili WANG, Junfeng LI
2021, 37(4): 829-833. DOI: 10.3969/j.issn.1001-5256.2021.04.021
Abstract(1241) HTML (332) PDF (2434KB)(67)
Abstract:
  Objective  To investigate the change in the activity of glucosylceramide synthase, the key enzyme in glycosphingolipid metabolism and synthesis, in Huh7 cells infected by hepatitis B virus (HBV) in vitro.  Methods  Blood samples were collected from nine previously untreated patients with acute hepatitis B who attended Department of Infectious Diseases, The First Hospital of Lanzhou University, from June to August, 2019, and the blood samples collected from seven healthy individuals who underwent physical examination were established as control. Huh7 cells were inoculated with the high-copy HBV particles (> 9.9×107 IU/ml) in the serum of patients with HBV infection (infection group), and Huh7 cells co-cultured with the serum of healthy individuals were established as control group. The expression levels of HBsAg and HBV DNA in the cytoplasm of HBV-infected Huh7 cells were measured, and the correlation between GCS activity and virus was analyzed. A one-way analysis of variance was used for comparison of continuous data between multiple groups, and the least significant difference t-test was used for further comparison between two groups, and a Pearson correlation analysis was performed.  Results  Compared with the control group, the infection group had a significant reduction in the number of cells, an increase in cell volume, and cell membrane fragmentation. The infection group had a significant increase in the expression of HBsAg in cytoplasm at 4 hours, 8 hours, 2 days, and 5 days after infection (P < 0.05); the expression level of HBV DNA tended to increase significantly from 4 hours after infection to 8 hours, 2 days, and 5 days after infection (16.67±11.55 IU/ml vs 112.01±25.94 IU/ml/328.01±103.50 IU/ml/101.60±49.84 IU/ml, P < 0.001), with the highest level at 2 days after infection. During HBV infection, the activity of GCS gradually increased with the increase in viral replication from 4 hours after infection (126.21±9.59 IU/ml) and reached a peak at 2 days after infection (226.53±36.27 IU/ml), with a significant difference between the infection group and the control group at 2 days after infection (226.53±36.27 IU/ml vs 136.50±15.44 IU/ml, t=3.956, P=0.016 7). The activity of GCS was positively correlated with HBV DNA level (r=0.576 8, P=0.047 1).  Conclusion  Huh7 cells are successfully infected with the high-copy HBV particles in the serum of patients with HBV infection, which mimics the characteristics of HBV infection in vitro to a certain degree. The activity of GCS may be associated with HBV infection, suggesting that glycosphingolipid synthesis and metabolism may be closely associated with HBV.
Original articles_Other liver diseases
A bioinformatics analysis of differentially expressed proteins in plasma exosome of acute-on-chronic liver failure patients with different prognoses
Yan JIAO, Ying ZHANG, Honglin SHI, Wang LU, Dexi CHEN, Yu CHEN, Hongbo SHI
2021, 37(4): 834-840. DOI: 10.3969/j.issn.1001-5256.2021.04.022
Abstract(1223) HTML (373) PDF (4411KB)(70)
Abstract:
  Objective  To investigate the differentially expressed proteins in the plasma exosome of acute-on-chronic liver failure (ACLF) patients with different prognoses, to analyze their functions and biological processes, and to provide a basis for clinical diagnosis.  Methods  A prospective study was performed for 10 ACLF patients who were hospitalized and diagnosed in Beijing YouAn Hospital, Capital Medical University, from July 2019 to October 2019, and the patients were followed up for 90 days. The patients who died or received liver transplantation were enrolled as liver transplantation/death group (5 patients), and the patients who survived were enrolled as survival group (5 patients). The Mann-Whitney U test was used for comparison of general data between the two groups. The label-free quantitative proteomic method was used for identification and quantitative analysis of plasma exosome proteins to screen out differentially expressed proteins, and a functional enrichment analysis was performed. R-3.5.1 software was used to perform a hierarchical cluster analysis of differentially expressed proteins to analyze the biological processes involving these proteins.  Results  A total of 860 proteins were identified by the exosome proteomic analysis, and according to the criteria of upregulation > 1.2 folds or downregulation > 1.2 folds (P < 0.05), there were 116 differentially expressed proteins. Compared with the liver transplantation/death group, the survival group had 62 upregulated proteins and 54 downregulated proteins. The bioinformatics analysis showed that these differentially expressed proteins mainly participated in immune reaction, signal transduction, vesicle-mediated transport, cell death, and cell proliferation and were closely associated with the signaling pathways including inflammatory response, carbohydrate and amino acid metabolism, hepatocyte injury, and hepatocyte regeneration.  Conclusion  Differentially expressed proteins screened out by the label-free quantitative proteomic method can be used as serological markers for the early diagnosis and prognostic evaluation of ACLF.
Value of Fractalkine and soluble CD40 ligand in bile in predicting liver injury after liver transplantation
Pengxiang YANG, Yuxue GAO, Huan LIU, Yuntai SHEN, Yunjin ZANG, Dexi CHEN
2021, 37(4): 841-845. DOI: 10.3969/j.issn.1001-5256.2021.04.023
Abstract(661) HTML (249) PDF (2805KB)(39)
Abstract:
  Objective  To investigate the value of cytokines in bile combined with clinical indices in predicting the degree of liver injury after liver transplantation.   Methods   A total of 16 patients undergoing liver transplantation who were hospitalized in Center of Organ Transplantation, The Affiliated Hospital of Qingdao University, from January to December 2018 were enrolled, and according to the level of alanine aminotransferase (ALT) on day 1 after surgery, the patients were divided into mild liver injury (ALT < 500 U/L) group with 10 patients and severe liver injury (ALT > 500 U/L) group with 6 patients. Bile samples were collected on days 1, 3, 5, and 7 after surgery, and MILLIPLEX® assay was used to measure the levels of 17 cytokines. R software was used to perform principal component analysis (PCA) of bile cytokines and clinical indices and gene ontology (GO) enrichment analysis of bile cytokines. The two-independent-samples t-test was used for comparison of normally distributed continuous data between two groups; The Mann-Whitney U test was used for comparison of non- normally distributed continuous data between two groups. A Spearman correlation analysis was performed to evaluate the correlation between clinical indices and bile cytokines. ROC curve analysis was used to evaluate the predictive value of cytokines in bile and clinical indices for liver injury after liver transplantation.  Results   Compared with the mild liver injury group, the severe liver injury group had significantly higher expression levels of bile Fractalkine (Z=-2.828, P=0.003), soluble CD40 ligand (sCD40L) (Z=-2.850, P=0.008), interleukin-4 (Z=-2.398, P=0.017), CXCL10 (Z=-2.475, P=0.023), and macrophage inflammatory protein-1α (Z=-1.844, P=0.043). The correlation analysis showed that on day 1 after liver transplantation, aspartate aminotransferase, ALT, and lactate dehydrogenase were positively correlated with the levels of several cytokines in bile (all P < 0.05). The area under the ROC curve of Fractalkine, sCD40L and AST were 0.933 (0.812-1.000), 0.833 (0.589-1.000) and 0.917 (0.779-1.000), respectively, suggesting that AST and Fractalkine and sCD40L in bile on the first day after liver transplantation have significant predictive value for liver injury. The results of PCA showed that bile cytokines combined with clinical indices on day 1 after liver transplantation could better distinguish the patients with mild liver injury from those with severe liver injury. GO analysis showed that bile cytokines were associated with positive feedback regulation of external stimulus, cell chemotaxis, receptor ligand activity, cytokine activity, and cytokine-cytokine receptor interaction.  Conclusion  Fractalkine and sCD40L in bile can predict the degree of liver injury after liver transplantation.
Expression of ASBT and ASGPR mediated receptors for oral liver-targeting preparations in a rat model of hepatic alveolar echinococcosis
Ruixue GAO, Chunhui HU, Fabin ZHANG, Pan GAO, Xuehui GAN, Yaogang ZHANG, Bofan JIANG
2021, 37(4): 846-851. DOI: 10.3969/j.issn.1001-5256.2021.04.024
Abstract(1221) HTML (331) PDF (3653KB)(44)
Abstract:
  Objective  To investigate the feasibility of apical sodium-dependent bile salt transporter (ASBT) and asialoglycoprotein receptor (ASGPR) in the design of oral liver-targeting preparations for the treatment of hepatic alveolar echinococcosis (HAE) by measuring the expression of ASBT and ASGPR.  Methods  A total of 18 male Sprague-Dawley rats were selected, among which 10 were used to establish a model of HAE (HAE group) and 8 were used as controls (normal group). Immunofluorescence assay, Western blotting, and quantitative real-time PCR were used to measure the expression distribution, protein expression level, and mRNA expression level of ASBT in the ileal tissue of HAE model rats and normal rats; the same methods were used to measure the expression level of ASGPR in the non-diseased liver tissue and the marginal zone of liver tissue lesion of HAE model rats and the liver tissue of normal rats. The t-test was used for comparison of normally distributed continuous data between two groups; a one-way analysis of variance was used for comparison between three groups, and the least significant difference t-test was used for comparison between two groups.  Results  The results of immunofluorescence assay, Western blotting, and quantitative real-time PCR showed that compared with the normal group, the HAE group had significantly upregulated expression of ASBT in the ileal tissue (t=5.309, 4.110, and 28.060, all P < 0.05) and a significantly higher expression level of ASGPR (the closer to the lesion, the higher the expression) (F=110.666, 128.201, and 143.879, all P < 0.001).  Conclusion  ASBT and ASGPR can be used as potential mediated receptors for oral liver-targeting preparations for HAE, which provides a theoretical basis for the design of oral liver-targeting preparations for the treatment of HAE.
Effect of macrophages on the differentiation of mouse induced pluripotent stem cells into hepatic progenitor cells
Tiantian GONG, Shaogang HUANG, Ruizhen SUN, Jingling SHEN, Qiuming LI, Lei LEI, Zhiyan SHAN
2021, 37(4): 852-856. DOI: 10.3969/j.issn.1001-5256.2021.04.025
Abstract(1055) HTML (395) PDF (3026KB)(40)
Abstract:
  Objective  To investigate the effect of macrophages (MCs) on the differentiation of mouse induced pluripotent stem cells (iPSCs) into hepatic progenitor cells (HPCs).  Methods  A total of 24 C57BL/6N mice were used to obtain MCs by peritoneal irrigation, and the supernatant was collected to obtain the conditioned medium of MCs (MC-CDM). Activin A, bone morphogenetic protein 4, and fibroblast growth factor were used to induce the differentiation of mouse iPSCs into HPCs. The differentiation of HPCs were randomly divided into control group (normal medium) and experimental group (MC group; use of MC-CDM medium on day 5 of induction). Morphology, immunofluorescence assay, and Western blot were used to compare the morphology of HPCs and the expression of related proteins between the control group and the MC group. The t-test was used for comparison of continuous data between two groups.  Results  HPCs derived from iPSCs were established in vitro, and HPCs had the potential to differentiate into hepatocytes. Immunofluorescence assay showed that compared with the D12 control group, the D12 MC group had a significant increase in the protein expression of the HPC-specific protein CK19 (0.901±0.072 vs 0.686±0.097, t=-3.093, P < 0.05). Western blot showed that compared with the D12 control group, the D12 MC group had a significant increase in the protein expression of the HPC-related protein CK19 (1.922±0.103 vs 1.448±0.012, t =-7.881, P < 0.05), as well as a significant increase in the protein expression of the autophagy-related protein LC3 (1.392±0.042 vs 1.101±0.048, t =-5.978, P < 0.05).  Conclusion  MCs can promote the differentiation of mouse iPSCs into HPCs, possibly by increasing the autophagy level of HPCs.
Role of STAT3 in hepatocyte regeneration after acetaminophen-induced hepatocellular injury in mice
Wang YU, Lijiu ZHANG, Yan LU, Shasha SONG
2021, 37(4): 857-862. DOI: 10.3969/j.issn.1001-5256.2021.04.026
Abstract(1742) HTML (322) PDF (2009KB)(141)
Abstract:
  Objective  To investigate the role of STAT3 in hepatocyte proliferation after acetaminophen (APAP)-induced hepatocellular injury in mice.  Methods  Normal mouse AML12 hepatocytes were cultured in vitro and were stimulated by APAP (1, 2.5, 5, 10, and 20 mmol/L) for 12, 24 or 48 hours, and the hepatocytes treated with an equal volume of phosphate buffered saline were established as control group. After the optimal stimulation concentration and duration of action were screened out, AML12 hepatocytes were treated with AG490 (10, 50, and 100 μmol/L). The CCK-8 assay was used to measure the viability of AML12 hepatocytes; RT-PCR was used to measure the mRNA expression levels of PCNA, CyclinD1, and Ki67 in AML12 hepatocytes, and Western blot was used to measure the protein expression levels of STAT3, p-STAT3, PCNA, and CyclinD1. A one-way analysis of variance was used for comparison of continuous data between multiple groups, and the least significant difference t-test was used for further comparison between two groups.  Results  After 24 and 48 hours of APAP treatment, compared with the control group, all concentration groups had a significant reduction in the viability of AML12 hepatocytes (all P < 0.05), with a viability of 0.717±0.0271 and 0.752±0.0141, respectively, when the concentration of APAP was 2.5 mmol/L, which was significantly different from that in the control group (all P < 0.05) and met the conditions of subsequent experiment. Compared with the control group, the 24-hour APAP (2.5 mmol/L) group had significant reductions in the mRNA expression of PCNA, CyclinD1, and Ki67 (all P < 0.01); compared with the 24-hour APAP group, the 48-hour APAP (2.5 mmol/L) group had significant increases in the mRNA expression of PCNA, CyclinD1, and Ki67 (all P < 0.01); therefore, a model of hepatocyte regeneration after in vitro AML12 hepatocyte injury was established by stimulation with APAP 2.5 mmol/L for 48 hours. After the addition of AG490, there was no significant difference in viability between the control group and the 10 and 50 μmol/L AG490 groups, and the other groups had a significant reduction in viability (all P < 0.01); compared with the APAP group, the AG490 (50 μmol/L)+APAP group and the AG490 (100 μmol/L)+APAP group had a significant reduction in viability (P < 0.01); therefore, 50 μmol/L AG490 was selected as the concentration for subsequent experiment. Compared with the control group, the APAP group had a significant increase in the protein expression level of p-STAT3 (P < 0.01), while the AG490 group and the APAP+AG490 group had a significant reduction (both P < 0.05); compared with the APAP group, the APAP+AG490 group had significant reductions in the protein expression levels of PCNA and CyclinD1 and the mRNA expression levels of PCNA, CyclinD1, and Ki67 (all P < 0.05).  Conclusion  STAT3 participates in hepatocyte proliferation after APAP-induced hepatocyte injury in mice, while AG490, as an STAT3 inhibitor, can inhibit hepatocyte proliferation after APAP-induced hepatocyte injury by inhibiting the phosphorylation of STAT3.
Original articles_Biliary diseases
Clinical effect of endoscopic nasobiliary drainage versus endoscopic biliary stenting in preoperative biliary drainage for low-level malignant obstructive jaundice: A Meta-analysis
Jincheng WANG, Peihe YU, Song SU, Bo LI
2021, 37(4): 863-867. DOI: 10.3969/j.issn.1001-5256.2021.04.027
Abstract(1129) HTML (524) PDF (2745KB)(57)
Abstract:
  Objective  To investigate the clinical effect and safety of endoscopic nasobiliary drainage (ENBD) versus endoscopic biliary stenting (EBS) in preoperative biliary drainage for low-level malignant obstructive jaundice.  Methods  Chinese and English databases were searched for control studies on the clinical effect of ENBD versus EBS in preoperative biliary drainage for low-level malignant obstructive jaundice published up to August 2020. After quality assessment and data extraction were performed for the studies included, RevMan 5.3 software was used to perform the meta-analysis. ENBD and EBS were compared in terms of incidence rates of preoperative cholangitis and preoperative pancreatitis, stent dysfunction rate, overall incidence rate of complications before and after surgery, and rate of postoperative pancreatic leakage.  Results  Six studies involving 1182 patients were included. The meta-analysis showed that there were no significant differences between the ENBD group and the EBS group in incidence rate of preoperative pancreatitis (odds ratio [OR]=0.66, 95% confidence interval [CI]: 0.44-0.99, P=0.05), stent dysfunction rate (OR=1.14, 95% CI: 0.56-2.31, P=0.72), and overall incidence rate of complications before and after surgery (OR=0.69, 95% CI: 0.41-1.15, P=0.15). Compared with the EBS group, the ENBD group had significant reductions in incidence rate of preoperative cholangitis (OR=0.34, 95% CI: 0.23-0.50, P < 0.000 01) and rate of postoperative pancreatic leakage (OR=0.53, 95% CI: 0.32-0.88, P=0.01).  Conclusion  Preoperative biliary drainage with ENBD is superior to EBS in patients with well-diagnosed low-level malignant obstructive jaundice. More large multicenter randomized controlled trials are needed in the future to verify this conclusion.
Value of nasobiliary cholangiography in the diagnosis of residual common bile duct stones after endoscopic retrograde cholangiopancreatography and related factors of residual common bile duct stones
Dapeng BIAN, Jinpei DONG, Haixia NIU, Yinmo YANG, Qiushi FENG
2021, 37(4): 868-871. DOI: 10.3969/j.issn.1001-5256.2021.04.028
Abstract(1081) HTML (501) PDF (1889KB)(41)
Abstract:
  Objective  To investigate the value of nasobiliary cholangiography in the diagnosis of residual common bile duct stones after endoscopic retrograde cholangiopancreatography (ERCP) and the risk factors for residual stones.  Methods  A retrospective analysis was performed for the clinical data of the patients who underwent ERCP and nasobiliary cholangiography after endoscopic nasobiliary drainage in Peking University First Hospital from January 1, 2018 to December 31, 2019. The chi-square test was used for comparison of categorical data between groups, and a logistic regression analysis was used to investigate independent risk factors for residual stones.  Results  A total of 366 patients underwent ERCP and nasobiliary cholangiography and 27 patients were suspected to have residual stones, among whom 25 had residual stones confirmed by ERCP. The rate of residual stones after ERCP was 6.8% (25/366), and nasobiliary cholangiography had a positive predictive value of 92.6% (25/27) in predicting residual common bile duct stones. The univariate analysis showed that there were significant differences between the two groups in multiple stones, common bile duct diameter ≥1.5 cm, and mechanical lithotripsy (χ2=5.014, 7.651, and 9.670, all P < 0.05). The multivariate logistic regression analysis showed that multiple stones (odds ratio [OR]=2.713, 95% confidence interval [CI]: 1.002-7.345, P=0.049) and mechanical lithotripsy (OR=9.183, 95% CI: 2.347-35.925, P=0.001) were independent risk factors for residual stones.  Conclusion  Post-ERCP nasobiliary cholangiography is an effective method to detect residual common bile duct stones. Multiple stones and mechanical lithotripsy during ERCP are independent risk factors for residual stones.
Clinical effect of laparoscopy, choledochoscopy, and duodenoscopy combined with T-tube-free drainage in treatment of gallstones with common bile duct stones
Yunfeng WANG, Bin XU, Jie WANG, Wenzhong ZHANG, Gang LI, Jie LING, Wei QIU, Yueming WANG, Yongbing WANG
2021, 37(4): 872-876. DOI: 10.3969/j.issn.1001-5256.2021.04.029
Abstract(1595) HTML (645) PDF (2486KB)(61)
Abstract:
  Objective  To investigate the clinical effect of laparoscopy, choledochoscopy, and duodenoscopy combined with T-tube-free drainage in the treatment of gallstones with common bile duct stones.  Methods  A retrospective analysis was performed for the clinical data of 564 patients with gallstones and common bile duct stones who were admitted to Department of General Surgery, Pudong New Area People's Hospital, Shanghai University of Medicine & Health Sciences, from December 2017 to December 2019. According to the surgical procedure, the patients were divided into laparoscopic transcystic common bile duct exploration (LTCBDE) group with 191 patients, three endoscopies+laparoscopic common bile duct exploration and primary suture (LBEPS) group with 138 patients, and endoscopic retrograde cholangiopancreatography (ERCP)+endoscopic sphincterotomy (EST)/endoscopic papillary balloon dilation (EPBD)+laparoscopic cholecystectomy (LC) group with 235 patients. The three groups were analyzed in terms of the general data including sex, age, bile duct diameter, and stone size/number, and surgical condition and complications were compared between groups. A one-way analysis of variance was used for comparison of normally distributed continuous data between groups, and the Kruskal-Wallis H test was used for comparison of non-normally distributed continuous data between groups; the chi-square test was used for comparison of categorical data between groups.  Results  There were significant differences between the LBEPS group, the ERCP+EST/EPBD+LC group and the LTCBDE group in hospital costs, drainage volume, time to first flatus, length of hospital stay and time to extraction of drainage tube (F=416.40, 7.80, 33.99, 143.70, and 13.08, P < 0.001, P=0.020, P < 0.001, P < 0.001, and P < 0.001). Compared with the LBEPS group and ERCP+EST/EPBD+LC groups, the LTCBDE group had significantly lower hospital costs and a significantly longer time to first flatus, and significantly shorter length of hospital stay and time to extraction of drainage tube(all P < 0.05). No serious complication was observed after surgery, and there was no significant difference in the incidence rate of complications between the three groups (P>0.05). All patients were discharged successfully after surgery.  Conclusion  The three minimally invasive surgical procedures combined with T-tube-free drainage achieve the goal of little trauma and pain, fast postoperative recovery, and few serious complications, among which LTCBDE has the lowest treatment costs and the best postoperative recovery.
Original articles_Pancreatic diseases
Influencing factors for severe acute pancreatitis with sepsis
Chaoyun XIE, Ping ZHANG, Minkai WANG
2021, 37(4): 877-881. DOI: 10.3969/j.issn.1001-5256.2021.04.030
Abstract(1112) HTML (367) PDF (1939KB)(59)
Abstract:
  Objective  To investigate related factors for severe acute pancreatitis (SAP) with sepsis.  Methods  A retrospective analysis was performed for the clinical data of 178 SAP patients who were admitted from January 2007 to March 2020, and according to the presence or absence of sepsis, they were divided into sepsis group with 56 patients and non-sepsis group with 122 patients. The t-test was used for comparison of continuous data between the two groups, and the chi-square test was used for comparison of categorical data between the two groups. A logistic regression model was used for multivariate analyses.  Results  The incidence rate of sepsis was 31.46% in SAP patients. The univariate analysis showed that there were significant differences between the patients without sepsis and those with sepsis in APACHEⅡ score, blood glucose, blood calcium, serum total cholesterol, serum triglyceride, blood urea nitrogen, serum creatinine, serum albumin, admission to the intensive care unit, hypoxemia, deep venous catheterization, mechanical ventilation, surgical procedure, blood purification, indwelling urinary catheterization, and extent of pancreatic necrosis (all P < 0.05). The multivariate analysis showed that APACHEⅡ score (odds ratio [OR]=6.748, 95% confidence interval [CI]: 2.191-20.788, P < 0.05), hypoxemia (OR=3.383, 95% CI: 1.112-10.293, P < 0.05), blood glucose (OR=5.288, 95%CI: 1.176-23.781, P < 0.05), extent of pancreatic necrosis (OR=5.523, 95%CI: 1.575-19.360, P < 0.05), and serum creatinine (OR=5.012, 95%CI: 1.345-18.762, P < 0.05) were independent risk factors for infectious SAP with sepsis, while laparoscopic removal of focal necrotic tissue (OR=0.250, 95%CI: 0.066-0.951, P < 0.05) was an independent protective factor against SAP with sepsis.  Conclusion  There are several important measures to reduce SAP with sepsis, including blood glucose control, protection of the functions of important organs such as lungs and kidneys, application of minimally invasive surgery to remove focal necrotic tissue, and emphasis on the treatment of critically ill patients with a high degree of pancreatic necrosis.
Incidence rates of hyperamylasemia and acute pancreatitis after percutaneous transhepatic biliary stenting and related risk factors
Chen XU, Wei YANG, Jie GU, Weizhong ZHOU, Haibin SHI
2021, 37(4): 882-887. DOI: 10.3969/j.issn.1001-5256.2021.04.031
Abstract(1558) HTML (482) PDF (2066KB)(41)
Abstract:
  Objective  To investigate the clinical characteristics and risk factors of hyperamylasemia and acute pancreatitis after percutaneous transhepatic biliary stenting (PTBS).  Methods  A retrospective analysis was performed for the clinical data of 249 patients with malignant biliary obstruction who were admitted to Department of Interventional Radiology, The First Affiliated Hospital of Nanjing Medical University, and underwent PTBS from March 2016 to February 2020, and according to the presence or absence of postoperative hyperamylasemia or acute pancreatitis, the patients were divided into two groups to analyze incidence rate, severity, and related risk factors. The t-test or the Mann-Whitney U test was used for comparison of continuous data between groups, and the chi-square test was used for comparison of categorical data between groups. A multivariate logistic regression analysis was performed for the factors with P < 0.1 in the univariate analysis to investigate independent risk factors for hyperamylasemia and acute pancreatitis after PTBS.  Results  After PTBS, 55 patients (22.1%) patients had abnormally elevated serum amylase, among whom 26 (10.4%) were diagnosed with hyperamylasemia and 29 (11.7%) were diagnosed with acute pancreatitis. All patients with acute pancreatitis had mild manifestations. The multivariate logistic regression analysis showed that age ≤60 years (odds ratio [OR]=2.2, 95% confidence interval [CI]: 1.07-4.52, P=0.033), iodine-125 seed strand implantation (OR=2.8, 95%CI: 1.21-6.45, P=0.016), biliary stent placement across the papilla (OR=6.3, 95%CI: 2.85-14.05, P < 0.001), and visualization of the pancreatic duct during surgery (OR=13.9, 95%CI: 5.64-34.03, P < 0.001) were risk factors for hyperamylasemia and acute pancreatitis after PTBS.  Conclusion  Hyperamylasemia and acute pancreatitis are relatively common complications after PTBS. Age ≤60 years, iodine-125 seed strand implantation, biliary stent placement across the papilla, and visualization of the pancreatic duct during surgery are independence risk factors for hyperamylasemia and acute pancreatitis after PTBS.
Clinical features and prognosis of autoimmune pancreatitis alone or with IgG4-related sclerosing cholangitis
Hang DING, Linlin ZHENG, Yuan LIU, Lianfeng ZHANG, Lin ZHOU
2021, 37(4): 888-892. DOI: 10.3969/j.issn.1001-5256.2021.04.032
Abstract(1080) HTML (312) PDF (1979KB)(54)
Abstract:
  Objective  To investigate the clinical features, diagnosis, treatment, and prognosis of autoimmune pancreatitis (AIP) alone versus AIP with IgG4 sclerosing cholangitis (IgG4-SC).  Methods  A retrospective analysis was performed for the clinical data of 40 patients with type 1 AIP who were admitted to The First Affiliated Hospital of Zhengzhou University from June 2015 to January 2020, among whom 29 patients had AIP alone and 11 had AIP with IgG4-SC. The two groups were compared in terms of clinical manifestations, laboratory examination, imaging findings, treatment, and prognosis. The t-test was used for comparison of normally distributed continuous data between two groups, and the Mann-Whitney U test was used for comparison of non-normally distributed continuous data between two groups; the Fisher's exact test was used for comparison of categorical data between two groups. The Kaplan-Meier method was used to calculate recurrence rate and plot recurrence curve, and the log-rank test was used for univariate analysis.  Results  Compared with the AIP group, the AIP+IgG4-SC group had significantly higher number of affected organs [3.0(3.0-4.0) vs 3.0(1.5-3.5), Z=-2.172, P=0.035] and response index before treatment [12.0(12.0-15.0) vs 12.0(9.0-13.5), Z=-2.157, P=0.032]. The AIP+IgG4-SC group had a significantly higher median serum IgG level than the AIP group [21.0(15.8-23.7) g/L vs 14.8(13.3-15.7) g/L, Z=-2.711, P=0.004]. During the median follow-up time of 15.8 (6.5-31.3) months, the AIP+IgG4-SC group had a significantly higher recurrence rate than the AIP group (χ2=8.155, P=0.004).  Conclusion  Patients with AIP and IgG4-SC tend to have higher serum IgG4 level, number of affected organs, and recurrence rate than those with AIP alone. Early identification, diagnosis, and treatment can reduce the recurrence rate of AIP.
Risk factors for open pancreatic necrosectomy in patients with severe acute pancreatitis: An analysis based on the surgical step-up approach
Yuling DUAN, Zanjie FENG, Guoxin FAN, Lei WANG, Kangwei LIU, Cijun PENG
2021, 37(4): 893-897. DOI: 10.3969/j.issn.1001-5256.2021.04.033
Abstract(996) HTML (367) PDF (2166KB)(53)
Abstract:
  Objective  To investigate the risk factors for open pancreatic necrosectomy (OPN), an effective treatment method for severe acute pancreatitis (SAP) after the failure of percutaneous catheter drainage (PCD), in patients with SAP.  Methods  A retrospective analysis was performed for 156 patients with SAP who underwent surgical intervention based on the step-up approach in The Affiliated Hospital of Zunyi Medical University from January 1, 2010 to June 30, 2018, and according to whether OPN was performed, the patients were divided into PCD group with 126 patients and PCD+OPN group with 30 patients. Related clinical data were collected, including age, sex, etiology, blood calcium on admission, white blood cell count on admission, whether CTSI score was >7, APACHE-Ⅱ score, Ranson score, presence or absence of peripancreatic fluid accumulation, presence or absence of infection, presence or absence of multiple organ failure (MOF), and whether PCD was performed at more than 1 week after admission. The t-test was used for comparison of continuous data between groups, and the chi-square test was used for comparison of categorical data between groups; a multivariate logistic regression analysis was used to determine the independent predictive factors for OPN.  Results  The probability of OPN was 19.2% for SAP patients in the later stage. Compared with the PCD+OPN group, the PCD group had a significantly lower proportion of patients with MOF on admission [27.0% (34/126) vs 70.0% (21/30), χ2=19.642, P < 0.01] and a significantly higher proportion of patients undergoing PCD at less than 1 week after admission [61.9% (78/126) vs 20.0% (6/30), χ2=17.121, P < 0.01]. MOF on admission (odds ratio [OR]=5.343, 95% confidence interval [CI]: 1.832-15.583, P < 0.05), initial PCD performed at more than 1 week after admission (OR= 5.518, 95% CI: 1.742-17.477, P < 0.05), and infection on admission (OR=5.016, 95% CI: 1.322-19.378, P < 0.05) were independent risk factors for subsequent OPN in SAP patients.  Conclusion  SAP with MOF on admission, initial PCD performed at more than 1 week after admission, and SAP with infection on admission are independent risk factors for subsequent OPN in SAP patients undergoing PCD in the early stage based on the step-up approach. Timely identification of related risk factors helps to grasp the timing of OPN in clinical practice and improve the clinical prognosis of SAP patients.
Brief reports
Value of coronary-caval shunt combined with splenectomy in portal hypertension
Weijie WANG, Rongtao ZHU, Ruopeng LIANG, Jian LI, Chixian ZHANG, Dexu LI
2021, 37(4): 898-901. DOI: 10.3969/j.issn.1001-5256.2021.04.034
Abstract(813) HTML (217) PDF (4530KB)(40)
Abstract:
Case reports
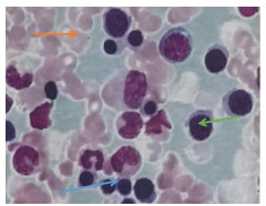
A case of acute hepatitis A with thrombocytopenia and hemolytic anemia
Lamei LI, Qi ZHU, Lin CHEN, Xinle YANG, Fang XU, Yanjun CAI, Junqi NIU, Wanyu LI
2021, 37(4): 902-904. DOI: 10.3969/j.issn.1001-5256.2021.04.035
Abstract(749) HTML (282) PDF (2360KB)(59)
Abstract:
Death from acute hepatitis E in a non-pregnant middle-aged woman: A case report
Xiaotong XU, Jinglan JIN
2021, 37(4): 905-907. DOI: 10.3969/j.issn.1001-5256.2021.04.036
Abstract(688) HTML (235) PDF (1885KB)(51)
Abstract:
Ambroxol for treatment of liver cirrhosis and portal hypertension in Gaucher disease: A case report
Wei ZHANG, Shiyuan CUI, Shanshan WANG, Meifang ZHENG, Peng ZHANG, Runping GAO
2021, 37(4): 908-909. DOI: 10.3969/j.issn.1001-5256.2021.04.037
Abstract(1191) HTML (304) PDF (1996KB)(96)
Abstract:
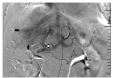
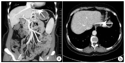
Congenital extrahepatic portosystemic shunt in adults: A report of three cases
Xiaoling ZHAO, Jimin ZHENG, Pingping LI, Yueqin LI
2021, 37(4): 910-913. DOI: 10.3969/j.issn.1001-5256.2021.04.038
Abstract(1277) HTML (592) PDF (2248KB)(42)
Abstract:
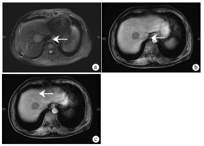
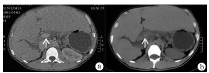
Hepatocellular carcinoma with constitutional indocyanine green excretory defect: A case report
Xuan QIU, Lijuan CHEN, Ying JIANG, Wei LIU
2021, 37(4): 914-915. DOI: 10.3969/j.issn.1001-5256.2021.04.039
Abstract(829) HTML (382) PDF (2262KB)(33)
Abstract:
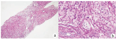
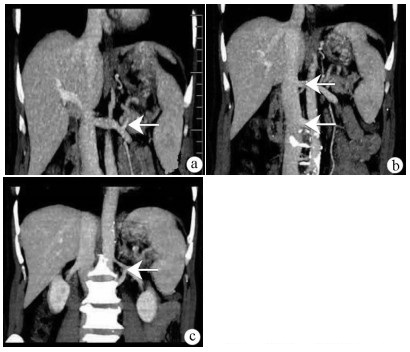
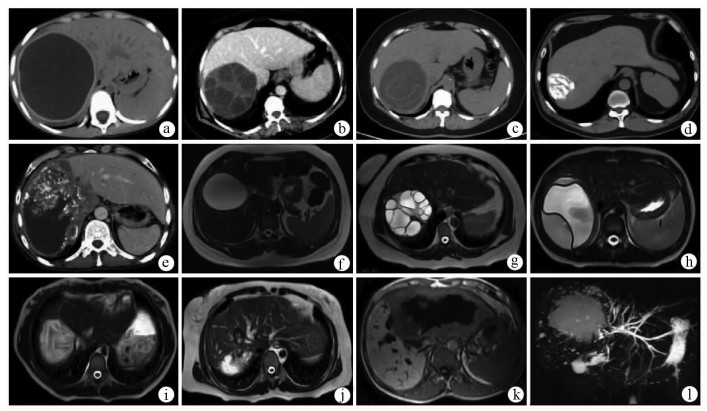
Misdiagnosis of hepatic encephalopathy caused by hepatic telangiectasia: A case report
An GAO, Shu ZHANG, Jianhe GAN, Dong LI
2021, 37(4): 916-917. DOI: 10.3969/j.issn.1001-5256.2021.04.040
Abstract(783) HTML (321) PDF (2098KB)(33)
Abstract:
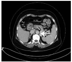
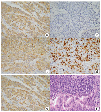
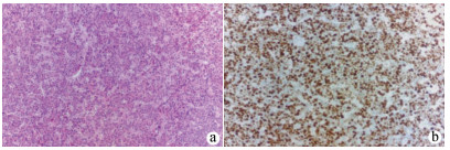
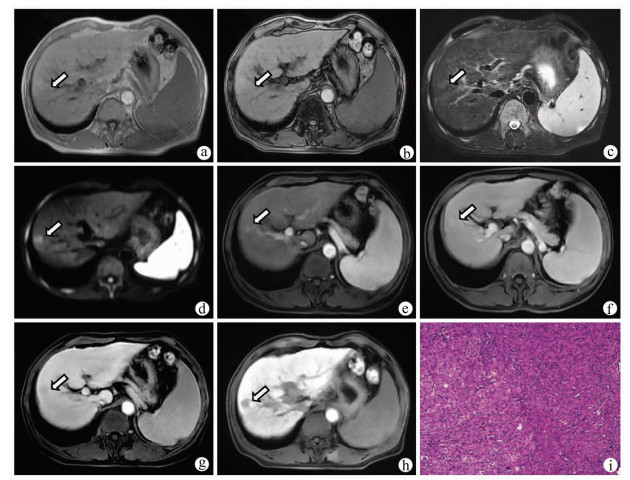
Ampullary mixed neuroendocrine/non-neuroendocrine tumor: A case report
Yannan CAO, Yuelei HU, Guoyue LYU, Zhongqi FAN
2021, 37(4): 918-920. DOI: 10.3969/j.issn.1001-5256.2021.04.041
Abstract(1012) HTML (269) PDF (2128KB)(34)
Abstract:
Reviews
Association of hepatitis B and hepatitis C with type 2 diabetes mellitus
Chaomei QIN, Yongming LIU, Heling SU
2021, 37(4): 921-924. DOI: 10.3969/j.issn.1001-5256.2021.04.042
Abstract(1184) HTML (346) PDF (2195KB)(78)
Abstract:

Hepatitis B, hepatitis C, and type 2 diabetes mellitus (T2DM) are serious public health issues worldwide. This article analyzes the association of hepatitis B and hepatitis C with T2DM. The analysis shows that on the one hand, both hepatitis B and hepatitis C promote the pathogenesis of T2DM, which involves viral infection inhibiting insulin signal transduction as well as glucose uptake and glycogen synthesis in insulin target cells; on the other hand, patients with T2DM are prone to hepatitis B and hepatitis C, which may be associated with multiple organ dysfunction caused by diabetes.

Application of combined therapy with molecular-targeted drugs and immune checkpoint inhibitors and other combined therapies in hepatocellular carcinoma
Jingzhong OUYANG, Yanzhao ZHOU, Ruili ZHU, Zhengzheng WANG, Xun CHEN, Jinxue ZHOU, Qingjun LI
2021, 37(4): 925-930. DOI: 10.3969/j.issn.1001-5256.2021.04.043
Abstract(1196) HTML (433) PDF (1932KB)(86)
Abstract:
Hepatocellular carcinoma (HCC) is one of the most common malignant tumors, and its features of insidious onset, rapid development, and high recurrence bring great challenges to the long-term survival of HCC patients. Molecular-targeted drugs and immune checkpoint inhibitors have become the research hotspots in the treatment of HCC, and a large number of clinical trials have found that combined therapy has achieved a good clinical effect. This article mainly introduces the application of combined therapy with molecular-targeted drugs and immune checkpoint inhibitors and other combined therapies in HCC and points out that combined therapy related to systemic therapy or local therapy has become the latest research hotspot in HCC treatment.
Mechanism of action of forkhead box transcription factors in hepatocellular carcinoma and their prospects as treatment targets
Tianyu LI, Huimin YAN
2021, 37(4): 931-934. DOI: 10.3969/j.issn.1001-5256.2021.04.044
Abstract(1026) HTML (465) PDF (1910KB)(54)
Abstract:
Hepatocellular carcinoma (HCC) is one of the most common malignant cancers and has high incidence and mortality rates and poor prognosis. Forkhead box (FOX) transcription factor family can regulate cell growth, differentiation, and tissue development and plays an important role in tumor. This article reviews the association of the molecular expression of the FOX family with the development, progression, and prognosis of HCC and analyzes the mechanism of action of FOX in the progression of HCC. It is pointed out that FOX family is expected to become a new target for HCC treatment.
Pathogenesis and clinical translation of intrahepatic cholangiocarcinoma in the era of precision medicine
Wenhua YOU, Yuan LIANG, Ling LYU
2021, 37(4): 935-938. DOI: 10.3969/j.issn.1001-5256.2021.04.045
Abstract(1570) HTML (463) PDF (1903KB)(118)
Abstract:

Intrahepatic cholangiocarcinoma (ICC) is an important liver malignancy next only to hepatocellular carcinoma, accounting for 15%-20% of primary liver cancer. In recent years, the incidence rate of ICC tends to increase globally; however, due to its insidious onset, high degree of malignancy, and strong invasive ability, most patients are in the advanced stage when attending the hospital and thus miss the most appropriate timing for surgery. With the continuous development of next-generation sequencing, the treatment of ICC gradually develops towards the direction of individualization and precision. This article introduces the basic research advances in the pathogenesis, molecular typing, and early diagnosis of ICC and reviews the clinical translational research of ICC in recent years, so as to provide new ideas for the treatment and clinical research of ICC.

Effect of diet on enterotype-related gut microbiota in nonalcoholic fatty liver disease
Qiaohong LIU, Yu ZHAO, Yiyang HU
2021, 37(4): 939-942. DOI: 10.3969/j.issn.1001-5256.2021.04.046
Abstract(1201) HTML (292) PDF (1913KB)(74)
Abstract:
Nonalcoholic fatty liver disease (NAFLD) is a typical chronic liver disease closely associated with gut dysbiosis, and dietary factor may be the most important driving factor affecting the composition and function of intestinal bacteria. Based on the concept of enterotype, this article summarizes the effect of diet on enterotype-related gut microbiota in NAFLD, including Firmicutes/Bacteroidetes ratio, Bacteroides, Prevotella, Ruminococcus, Proteobacteria, Actinobacteria, and other bacteria. It is pointed out that improving diet to regulate gut microbiota is one of the important strategies for the prevention and treatment of NAFLD and has a good prospect, which needs further mechanism and clinical research.
Research advances in metabolomics in nonalcoholic fatty liver disease
Yuting LUAN, Zhongming HUANG, Wenjuan SHEN, Minghao HA, Zhibing XU
2021, 37(4): 943-946. DOI: 10.3969/j.issn.1001-5256.2021.04.047
Abstract(1434) HTML (2420) PDF (1902KB)(174)
Abstract:
The incidence rate of nonalcoholic fatty liver disease (NAFLD) is gradually increasing, and NAFLD has become the most important chronic liver disease in China. At present, the pathogenesis of NAFLD has not been fully elucidated and there are still no effective drugs. From the perspectives of pathogenesis, noninvasive diagnosis, and drug action and efficacy, this article introduces the research advances in metabolomics regarding endogenous small molecule metabolites in NAFLD, so as to provide new ideas and methods for further exploration of NAFLD.
Research advances in medical treatment of metabolic associated fatty liver disease
Sutong LIU, Kaiqi SU, Chenlu ZHAO, Lihui ZHANG, Wenxia ZHAO
2021, 37(4): 947-950. DOI: 10.3969/j.issn.1001-5256.2021.04.048
Abstract(1631) HTML (379) PDF (1913KB)(141)
Abstract:
Metabolic associated fatty liver disease (MAFLD) is currently one of the most important liver diseases worldwide, and its incidence rate is increasing year by year. This article summarizes the current research status of medical treatment of MAFLD, including lifestyle changes and individualized drug treatment. Lifestyle changes include diet management, exercise intervention, biological clock adjustment, and psychological intervention, and individualized drug treatment includes insulin sensitizer, vitamin E, weight-loss and lipid-lowering drugs, liver-protecting and transaminase-lowering drugs, and traditional Chinese medicine treatment. At the same time, multidisciplinary treatment is the trend of clinical treatment of MAFLD.
Management of pruritus in primary biliary cholangitis
Kaili HU, Li XIAO
2021, 37(4): 951-954. DOI: 10.3969/j.issn.1001-5256.2021.04.049
Abstract(1690) HTML (686) PDF (1901KB)(142)
Abstract:
Primary biliary cholangitis (PBC) is a progressive intrahepatic cholestatic autoimmune disease, and pruritus can be seen in 60%-70% of PBC patients and seriously affects patients' quality of life. Improving the symptoms of pruritus in PBC patients is of great significance for improving their quality of life. This article mainly summarizes the advances in the pathogenesis of PBC and the treatment of PBC-related pruritus.
Research status and challenges in the prognosis of primary biliary cholangitis after liver transplantation
Lin CHEN, Ning LIU, Jinglan JIN, Yanjun CAI, Fang XU, Junqi NIU, Wanyu LI
2021, 37(4): 955-958. DOI: 10.3969/j.issn.1001-5256.2021.04.050
Abstract(1159) HTML (704) PDF (2063KB)(75)
Abstract:
Primary biliary cholangitis (PBC) is a chronic cholestatic liver disease with unknown etiology, and patients with poor response to ursodeoxycholic acid and obeticholic acid may eventually progress to liver cirrhosis and even liver failure. Liver transplantation is the only effective treatment method for PBC at present. This article elaborates on liver transplantation, survival time after liver transplantation, complications, recurrence of PBC after liver transplantation, and prospects and challenges of liver transplantation in patients with PBC, so as to provide a reference for clinical outcome and treatment after liver transplantation for PBC.
Role of Kupffer cells in the development and progression of primary biliary cholangitis
Haiyan FU, Yingmei TANG
2021, 37(4): 959-961. DOI: 10.3969/j.issn.1001-5256.2021.04.051
Abstract(1024) HTML (248) PDF (1893KB)(50)
Abstract:
The incidence rate of primary biliary cholangitis (PBC) is increasing year by year, but there is still no specific medicine at present and PBC has a complex pathogenesis. Kupffer cells, as the key cells involved in immunoregulation, play an important role in PBC. When hepatocytes are damaged, Kupffer cells will be activated and release a large amount of inflammatory cytokines and chemokines, which participate in the development and progression of PBC. This article briefly reviews the role of Kupffer cells in PBC, so as to provide a theoretical basis for Kupffer cells as a potential target for the treatment of PBC.
Research advances in the pathogenesis of pyrrolizidine alkaloid-induced hepatic sinusoidal obstruction syndrome
Wencheng LIU, Yan LI, Bing CHANG
2021, 37(4): 962-964. DOI: 10.3969/j.issn.1001-5256.2021.04.052
Abstract(1072) HTML (302) PDF (1897KB)(66)
Abstract:
Pyrrolizidine alkaloid-induced hepatic sinusoidal obstruction syndrome (PA-HSOS) is a type of hepatic sinusoidal obstruction syndrome mainly caused by the intake of Chinese herbal medicine or food containing pyrrolizidine alkaloids. This article reviews the recent research advances in the mechanism of action of pyrrolizidine alkaloids and their metabolites in disease development and progression from the aspects of drug factors, host factors, and influencing factors. It is pointed out that PA-HSOS has complex pathogenesis and various influencing factors, and some patients tend to have a poor prognosis; its pathogenesis remains unclear and needs further in-depth studies.
Research advances in hepatic echinococcosis with cavernous transformation of the portal vein
Maolin WANG, Yingmei SHAO
2021, 37(4): 965-968. DOI: 10.3969/j.issn.1001-5256.2021.04.053
Abstract(1023) HTML (406) PDF (1899KB)(33)
Abstract:
Compression by hepatic hydatid lesions may invade the portal vein and cause cavernous transformation of the portal vein (CTPV), which has difficulties and high risks in surgery, and conventional hepatectomy cannot achieve radical treatment. This article reviews the etiology, classification, clinical manifestations, and auxiliary examinations of hepatic echinococcosis with CTPV and summarizes the treatment strategies for this disease. It is believed that the treatment of hepatic echinococcosis with CTPV should combine the resection of hydatid lesions with the effective relief of portal hypertension, and revascularization and ex-vivo liver resection with auto-transplantation play an important role in radical resection.
Effect of hypothyroidism on chronic liver diseases
Huan LIU, Peng CHEN, Fei LI
2021, 37(4): 969-972. DOI: 10.3969/j.issn.1001-5256.2021.04.054
Abstract(1059) HTML (749) PDF (2065KB)(73)
Abstract:
The liver plays an important role in the metabolism, degradation, and excretion of thyroid hormones in the normal physiological state; however, when liver injuries occur, there is a significance increase in hypothyroidism, and most patients have no obvious clinical symptoms or signs. The article summarizes the chronic liver diseases caused by various etiologies and the change in thyroid function in different stages of disease and points out that the reduction in the level of thyroid hormone has an important value in predicting the risk, condition, and prognosis of chronic liver diseases. Studies have shown that some patients with chronic liver diseases can improve the condition and prognosis by adjusting thyroid function. In addition, a series of genetic disorders or dysfunctions caused by abnormal thyroid metabolism may become new therapeutic targets for certain chronic liver diseases, which needs to be confirmed by further studies.
Mechanism of action of suppressor of cytokine signaling 1 in the development and progression of liver inflammatory diseases
Xia WU, Xiaoning ZHU, Yurong ZHANG, Yue YIN, Mengyun PENG, Ding ZHENG, Jing WANG
2021, 37(4): 973-976. DOI: 10.3969/j.issn.1001-5256.2021.04.055
Abstract(1014) HTML (968) PDF (2499KB)(44)
Abstract:
The development of liver inflammatory diseases is associated with autoimmunity and inflammatory response. As a negative feedback regulator of cell signal, suppressor of cytokine signaling 1 (SOCS1) plays a key role in the development and progression of inflammatory diseases. This article mainly introduces the mechanism of action of SOCS1 in autoimmunity and inflammatory response and briefly describes its role in the development and progression of liver inflammatory diseases such as viral hepatitis and nonalcoholic steatohepatitis. The analysis shows that the abnormal expression of SOCS1 in inflammatory response is associated with the regulation of cytokine receptor, Toll-like receptor, and hormone receptor signal, which leads to the development of inflammatory diseases. Therefore, SOCS1 has potential prospects as an auxiliary means for the diagnosis and treatment of liver inflammatory diseases.
Research advances in the role of lymphocyte activation gene-3 in liver-related diseases
Rui CHEN, Zhixin WANG, Haining FAN, Haijiu WANG
2021, 37(4): 977-981. DOI: 10.3969/j.issn.1001-5256.2021.04.056
Abstract(1084) HTML (252) PDF (1923KB)(52)
Abstract:
Immune checkpoint inhibitors (ICIs) therapy has shown broad prospects in the treatment of malignant tumors and infectious diseases, but problems encountered during application drive researchers to explore potential immune checkpoints. This article summarizes the research advances in the role of the new immune checkpoint lymphocyte activation gene-3 (LAG-3) in liver-related diseases, aiming to provide a reference for subsequent research. LAG-3 is expected to become the classic target of next-generation ICIs therapy and play a key role in immunotherapy for liver-related diseases.
Research advances in pancreatic exocrine insufficiency secondary to pancreatic cancer
Chenguang SHI, Xiaohuan LIU, Yaxing XIE, Yanbo MA
2021, 37(4): 982-984. DOI: 10.3969/j.issn.1001-5256.2021.04.057
Abstract(1155) HTML (594) PDF (2047KB)(52)
Abstract:
At present, there is still a lack of comprehensive diagnosis and treatment criteria for pancreatic exocrine insufficiency around the world. Pancreatic surgeons often ignore or misjudge pancreatic exocrine insufficiency secondary to pancreatic cancer, and as a result, pancreatic exocrine insufficiency is not adequately treated, which greatly affects the quality of life of patients with pancreatic cancer. This article summarizes the latest research advances in the pathogenesis, typical symptoms, and diagnostic methods of pancreatic exocrine insufficiency, as well as pancreatic enzyme replacement therapy in different stages of pancreatic cancer. It is pointed out that pancreatic enzyme replacement therapy can significantly improve the quality of life of patients with different stages of pancreatic cancer.