中文English
ISSN 1001-5256 (Print)
ISSN 2097-3497 (Online)
CN 22-1108/R

2021 No.9
Theme Issue: Research advances in traditional Chinese medicine treatment of primary liver cancer
Executive Chief Editor: Li Xiuhui  
Beijing YouAn Hospital, Capital Medical University

Display Method:
Editorial
Improving the efficacy of traditional Chinese medicine in treatment of primary liver cancer based on etiology and pathogenesis
Xiuhui LI, Huixin YUAN
2021, 37(9): 2001-2004. DOI: 10.3969/j.issn.1001-5256.2021.09.001
Abstract(1241) HTML (341) PDF (2126KB)(140)
Abstract:
At present, the treatment of primary liver cancer is mainly based on modern medicine. Studies have found that traditional Chinese medicine (TCM) can promote the apoptosis of hepatoma cells and regulate the immunity of human body by affecting multiple critical pathways involved in the development and progression of tumor. TCM plays an irreplaceable role in the treatment of liver cancer, and the focus on the etiology and pathogenesis of liver cancer is the key to achieving good efficacy. Although there are still no ideal anti-HBV drugs in TCM, intervention on the etiologies of dampness, heat, phlegm, toxin, stasis, and deficiency and the change in struggle between vital Qi and pathogen during each stage of disease progression may delay or even prevent disease progression, which is the treatment based on etiology and pathogenesis and is the theory that "treatment should focus on the principal cause of a disease". In clinical practice, modern medical treatment combined with TCM can improve patients' quality of life and reduce tumor recurrence, and TCM combined with sorafenib has stronger efficacy and fewer side effects. Meanwhile, further studies are needed to explore how integrated traditional Chinese and Western medicine therapy exerts a therapeutic effect on liver cancer and the detailed mechanism of action of TCM in the treatment of liver cancer.
Discussions by experts
Principles and regimens for traditional Chinese medicine diagnosis and treatment of primary liver cancer
Wenxia ZHAO, Xinju CHEN
2021, 37(9): 2005-2008. DOI: 10.3969/j.issn.1001-5256.2021.09.002
Abstract(2066) HTML (760) PDF (2165KB)(149)
Abstract:
Treatment regimens for primary liver cancer mainly include surgical resection, liver transplantation, local treatment, and systemic treatment, but there are still problems such as easy metastasis, easy recurrence, and poor prognosis. Most patients are already in the advanced stage at the time of diagnosis and thus lose the opportunity for surgery and require multidisciplinary combined treatment. Traditional Chinese medicine (TCM) has unique advantages in the treatment of primary liver cancer and can exert a synergistic effect in collaboration with different Western medicine treatment methods. This article establishes TCM treatment regimens based on the different clinical stages of primary liver cancer, i.e., surgical resection for early-stage liver cancer to strengthen vital Qi and prevent recurrence, minimally invasive treatment of middle-stage liver cancer to eliminate cancer toxicity and improve efficacy, and symptomatic treatment of advanced liver cancer to reduce pain and maintain quality of life.
A methodological study of traditional Chinese medicine treatment of primary liver cancer
Weiqin WANG, Zhanhua GAO, Changjian YIN
2021, 37(9): 2009-2015. DOI: 10.3969/j.issn.1001-5256.2021.09.003
Abstract(2117) HTML (529) PDF (2248KB)(134)
Abstract:
With in-depth studies on the etiology and pathogenesis, pathological viscera and bowels, and rule of disease progression of primary liver cancer in recent years, some clinical and experimental results have been achieved for the treatment of primary liver cancer with traditional Chinese medicine, such as treatment based on syndrome differentiation and disease differentiation, compound prescriptions and monomers of Chinese herbs, oral administration of drugs/acupuncture and moxibustion/external application, and prevention before disease onset and prevention of recurrence, which reflects the rich methodological connotations of traditional Chinese medicine and lays a foundation for constructing a new diagnostic and therapeutic mode for liver cancer based on integrated traditional Chinese and Western medicine therapy.
Breakthrough points and difficulties in traditional Chinese medicine treatment of primary liver cancer
Mengyuan ZHAO, Guoliang ZHANG
2021, 37(9): 2016-2024. DOI: 10.3969/j.issn.1001-5256.2021.09.004
Abstract(1957) HTML (1150) PDF (2271KB)(161)
Abstract:
Primary liver cancer is one of the most common malignant tumors in China, and most patients are in the advanced stage at the time of diagnosis, with a short survival time and poor prognosis. In recent years, traditional Chinese medicine has shown its unique advantages in the prevention and treatment of primary liver cancer and has achieved a marked clinical effect in improving quality of life, enhancing immunity, and prolonging the life of patients with liver cancer. This article reviews the current status of traditional Chinese medicine and Western medicine in the treatment of primary liver cancer and proposes the breakthrough points and difficulties in traditional Chinese medicine treatment based on the features of clinical treatment, in order to provide a reference for the clinical treatment of primary liver cancer.
Theoretical basis and clinical significance of treating primary liver cancer from the perspective of "regulating and protecting Zhongzhou" in the spleen and stomach
Fangshi ZHU
2021, 37(9): 2025-2029. DOI: 10.3969/j.issn.1001-5256.2021.09.005
Abstract(1351) HTML (431) PDF (2216KB)(74)
Abstract:
This article analyzes and discusses the theoretical basis and clinical significance of the treatment of primary liver cancer (PLC) from the perspective of "regulating and protecting Zhongzhou" in the spleen and stomach. The development and progression of PLC is associated with the damage of "Zhongzhou" in the spleen and stomach caused by various factors, and "ignoring Zhongzhou" and dysfunction of spleen and stomach are the important pathological mechanism of PLC, while strengthening the spleen and stomach and "caring for Zhongzhou" are important measures to strengthen vital Qi and fight against cancer. With reference to the research findings of modern studies, this article elaborates on the antitumor pharmacological effect of compound spleen/stomach-regulating prescription and related traditional Chinese medicine (TCM) drugs in improving immunity and inhibiting tumor cell proliferation, and clinical research findings further confirm the objective therapeutic efficacy and advantages of TCM drugs and prescriptions for strengthening the spleen and stomach and "caring for Zhongzhou" in the treatment of PLC. It is believed that during the syndrome differentiation and treatment of PLC, the acquired foundation of the spleen and stomach should be taken seriously, and it is necessary to "take care of Zhongzhou" and apply TCM drugs and prescriptions for strengthening the spleen, benefiting Qi, and strengthening the spleen and stomach, so as to improve overall clinical outcome.
Hotspot·Perspective·Viewpoint
Prognostic grade of acute-on-chronic liver failure: Different outcomes of the same disease
Jinling DONG, Yu CHEN
2021, 37(9): 2030-2032. DOI: 10.3969/j.issn.1001-5256.2021.09.006
Abstract(1369) HTML (349) PDF (1981KB)(130)
Abstract:
Acute-on-chronic liver failure (ACLF) is a complex clinical syndrome characterized by acute liver function decompensation on the basis of chronic liver diseases, with organ failure and a high short-term mortality rate. The course of ACLF varies across patients, and the disease is reversible. Patients tend to have diverse long-term outcomes, and clinicians should evaluate the prognosis of patients as early as possible to optimize treatment regimen and improve survival rate. This article describes the following five grades of the long-term prognosis of patients with ACLF for the first time: grade Ⅰ is the ideal outcome of no cirrhosis; grade Ⅱ is the satisfactory outcome of compensated liver cirrhosis manifesting as reversible liver cirrhosis or persistent compensated liver cirrhosis; grade Ⅲ is the acceptable outcome of decompensated liver cirrhosis manifesting as decompensated liver cirrhosis or chronic liver failure; grade Ⅳ is the outcome of survival after transplantation; grade Ⅴ is the outcome of death. This article aims to provide a reference for judging long-term clinical prognosis.
Academic contention
Should chronic hepatitis B in the indeterminate phase be treated?
Hui ZHUANG
2021, 37(9): 2033-2036. DOI: 10.3969/j.issn.1001-5256.2021.09.007
Abstract(2390) HTML (414) PDF (3618KB)(413)
Abstract:
This article discusses the definition of the indeterminate phase of chronic hepatitis B and summarizes the proportion of patients in the indeterminate phase of chronic hepatitis B among patients with chronic HBV infection, as well as their risk of hepatocellular carcinoma and related treatment recommendations.
Guidelines
Expert consensus on multidisciplinary diagnosis and treatment of cirrhotic portal hypertension (based on hepatic venous pressure gradient)
Beijing Society of Portal Hypertension, Beijing Medical Association, Portal Hypertension Expert Committee, Liver Disease Committee of Chinese Research Hospital Association, Liver Disease Committee of Chinese Research Hospital Association
2021, 37(9): 2037-2044. DOI: 10.3969/j.issn.1001-5256.2021.09.008
Abstract(3827) HTML (780) PDF (2522KB)(670)
Abstract:
Expert consensus on the diagnosis and treatment of acute-on-chronic liver failure with integrated traditional Chinese and Western medicine
Chinese Association of Integrative Medicine
2021, 37(9): 2045-2053. DOI: 10.3969/j.issn.1001-5256.2021.09.009
Abstract(1827) HTML (565) PDF (2241KB)(265)
Abstract:
Expert consensus on perioperative vascular complications for liver transplantation(2021)
Perioperative Management Group, Chinese Society of Organ Transplantation, Chinese Medical Association
2021, 37(9): 2054-2057. DOI: 10.3969/j.issn.1001-5256.2021.09.010
Abstract(1023) HTML (305) PDF (1995KB)(261)
Abstract:
Vascular complications after liver transplantation are important causes of liver dysfunction and graft loss.The incidence rate range is from 5% to 25%, and the mortality rate is high. The complex and changeable vascular conditions of the donor and recipient, anastomosis techniques, infection, and acute and chronic rejection after transplantation can all cause vascular complications of liver transplantation. The types of vascular complications are diverse and complex. According to the vascular structure, they can be divided into arterial and venous complications; according to the characteristics of blood flow, they can be divided into inflow tract (hepatic artery, portal vein) or outflow tract (hepatic vein, vena cava) disorders; according to the nature of the lesion, they can be divided into rupture, stenosis, thrombosis and pseudoaneurysm, etc; according to the time of occurrence, they can be divided into early or late. Surgical plan design and surgical operation techniques are the technical factors of early vascular complications after liver transplantation. The types of vascular complications and their accompanying clinical manifestations are closely related to the choice of diagnosis and treatment strategies and clinical outcomes. Therefore, the Perioperative Management Group of Chinese Society of Organ Transplantation of Chinese Medical Association formulated the Expert Consensus on Diagnosis and Treatment of Perioperative Vascular Complications of Liver Transplantation, aiming to standardize and optimize the clinical diagnosis and treatment of common perioperative vascular complications in liver transplant recipients.
Expert opinion on nutritional treatment for patients with biliary tract tumors
Chinese Society of Nutritional Oncology, Chinese Society for Parenteral and Enteral Nutrition
2021, 37(9): 2058-2061. DOI: 10.3969/j.issn.1001-5256.2021.09.011
Abstract(1728) HTML (540) PDF (1994KB)(181)
Abstract:
Although biliary tract Chinese Society of Nutritional Oncology malignancy is not common in the world, its incidence is increasing year by year and its malignancy is high. The incidence of biliary tract malignancy in China is also increasing year by year. The prognosis of patients with cholangiocarcinoma is poor. Therefore, the palliative and supportive treatments of malignant tumors of the biliary tract system are particularly important, with the main purpose of improving the quality of life and extending the survival time as much as possible. The malignant tumor palliative biliary system and nutrition treatment is particularly important. Its main purpose is to improve the quality of life as much as possible, to prolong survival time. Early postoperative feeding in patients with hilar cholangiocarcinoma can effectively reduce the incidence of complications such as abdominal distention and urinary retention, and accelerate postoperative rehabilitation of patients. The principle of selection of nutritional treatment approaches for biliary tract malignant tumors is basically the same as that for other malignant tumors, but it also has its characteristics: 1. biliary tract surgery is mostly limited to the upper digestive tract, and the intestinal canal below the jejunum is less affected. 2. For patients with preoperative malnutrition, especially those with moderate or above obstructive jaundice, enteral nutrition through oral or nasojejunal catheterization or through T-tube jejunal catheterization is recommended. For patients with poor liver function reserve and extensive hepatectomy or severe obstructive jaundice, biliary stent drainage or percutaneous hepatocentesis biliary drainage should be actively performed for biliary decompression, so as to improve liver function as soon as possible and promote the metabolism and absorption of nutrients. 4.PTCD is a method widely used in clinical treatment of malignant biliary obstruction.
Guideline Interpretation
Interpretation of Chinese expert consensus on the diagnosis and treatment of IgG4-related diseases
Jiaxin ZHOU, Wen ZHANG
2021, 37(9): 2062-2065. DOI: 10.3969/j.issn.1001-5256.2021.09.012
Abstract(2904) HTML (2483) PDF (1995KB)(576)
Abstract:
IgG4-related disease (IgG4-RD) is an immune-mediated disease characterized by chronic inflammation and fibrosis of affected organs. With a deeper understanding of this disease among Chinese scholars and the rich experience in diagnosis and treatment in recent years, an expert group was organized by China Alliance for Rare Diseases and Chinese Rheumatology Association in 2020 and developed the first Chinese expert consensus on the diagnosis and treatment of IgG4-related diseases. This consensus comprehensively summarizes the principles of the diagnosis and treatment of IgG4-RD and thus provides a basis for its diagnosis and treatment by clinicians.
Original articles_Viral hepatitis
Value of aspartate aminotransferase-to-platelet ratio index, fibrosis-4, and gamma-glutamyl transpeptidase-to-platelet ratio in diagnosis of liver inflammation grade in patients with chronic hepatitis B
Xinlan ZHOU, Xin MA, Yanbing WANG, Xiufen LI, Dan HUANG, Wei LU, Zhanqing ZHANG, Rongrong DING
2021, 37(9): 2066-2070. DOI: 10.3969/j.issn.1001-5256.2021.09.013
Abstract(1360) HTML (446) PDF (2012KB)(137)
Abstract:
  Objective  To investigate the value of aspartate aminotransferase-to-platelet ratio index (APRI), fibrosis-4 (FIB-4) score, and gamma-glutamyl transpeptidase-to-platelet ratio (GPR) in diagnosis of liver inflammation grade in patients with chronic hepatitis B (CHB).  Methods  A total of 545 patients with CHB who underwent percutaneous liver biopsy and routine laboratory examinations during hospitalization in Shanghai Public Health Clinical Center Affiliated to Fudan University from October 2016 to October 2019 were enrolled. Inflammation grade (G) was determined according to the Scheuer scoring system, and APRI, FIB-4, and GPR were calculated based on related clinical indicators. The t-test was used for comparison of normally distributed continuous data between two groups, and the Mann-Whitney U test was used for comparison of non-normally distributed continuous data between two groups; the chi-square test was used for comparison of categorical data between two groups. A Spearman correlation analysis was used to investigate the correlation between two variables. The receiver operating characteristic (ROC) curve was used to evaluate the diagnostic performance of the three serum noninvasive diagnostic models in determining liver inflammation grade, and the Delong test was used for comparison of the area under the ROC curve (AUC).  Results  Among the 545 patients, 224 had grade G0-1 liver inflammation, 209 had grade G2 liver inflammation, and 112 had grade G3 liver inflammation. The Spearman correlation analysis showed that APRI, FIB-4, and GPR were positively correlated with liver inflammation grade (r=0.611, 0.470, and 0.563, all P < 0.001). APRI, FIB-4, and GPR had an AUC of 0.820, 0.719, and 0.782, respectively, in the diagnosis of G≥2 liver inflammation, with optimal cut-off values of 0.53, 1.48, and 0.20, respectively; for the diagnosis of G≥2 liver inflammation, GPR had a better performance than FIB-4 (P=0.01) and a slightly lower performance than APRI (P=0.048). The stratified analysis based on alanine aminotransferase (ALT) level showed that in the ≤1×upper limit of normal (ULN) group, the (1-2)×ULN group, and the (2-5)×ULN group, APRI had an AUC of 0.847, 0.786, and 0.724, respectively, in the diagnosis of G≥2 liver inflammation, FIB-4 had an AUC of 0.777, 0.729, and 0.626, respectively, and GPR had an AUC of 0.801, 0.781, and 0.607, respectively; the subgroup analysis showed that GPR had a similar diagnostic performance to APRI and FIB-4 in all ALT stratification groups except the (2-5)×ULN group, in which GPR had a lower diagnostic performance than APRI (P=0.042). APRI, FIB-4, and GPR had an AUC of 0.791, 0.725, and 0.801, respectively, in the diagnosis of G≥3 liver inflammation, with optimal cut-off values of 0.66, 1.49, and 0.25, respectively; in the diagnosis of G≥3 liver inflammation, GPR had a similar diagnostic performance to APRI and a better diagnostic performance than FIB-4 (P=0.006). The stratified analysis based on ALT level showed that in the ≤1×ULN group, the (1-2)×ULN group, and the (2-5)×ULN group, APRI had an AUC of 0.900, 0.742, and 0.693, respectively, in the diagnosis of G≥3 liver inflammation, FIB-4 had an AUC of 0.874, 0.683, and 0.644, respectively, and GPR had an AUC of 0.890, 0.805, and 0.668, respectively. The subgroup analysis showed that GPR had a similar diagnostic performance to APRI and FIB-4 in all ALT stratification groups except the (1-2)×ULN group, in which GPR had a better diagnostic performance than FIB-4(P=0.015).  Conclusion  APRI, FIB-4, and GPR may accurately diagnose liver inflammation grade in CHB patients, which helps to monitor the progression of CHB and determine the timing of antiviral therapy.
Value of lymphocyte subset testing in predicting HBsAg decline in chronic hepatitis B patients receiving antiviral therapy
Zhen PENG, Huiming JIN, Huibin NING, Kuan LI, Jia SHANG
2021, 37(9): 2071-2074. DOI: 10.3969/j.issn.1001-5256.2021.09.014
Abstract(838) HTML (190) PDF (1991KB)(65)
Abstract:
  Objective  To investigate whether there are differences in lymphocyte subsets between chronic hepatitis B (CHB) patients receiving different antiviral treatment regimens, and to determine related predictive factors for HBsAg decline.  Methods  A retrospective analysis was performed for 68 treatment-experienced CHB patients who attended the outpatient service in Department of Infectious Diseases, Henan Provincial People's Hospital, from October to December 2019, and according to the antiviral treatment regimen, they were divided into PEG-IFNα treatment group with 10 patients, PEG-IFNα+nucleos(t)ide analogues (NAs) treatment group with 21 patients, and NAs treatment group with 37 patients. Related data were recorded, including demographic features, blood routine, albumin, HBsAg, and measurement of lymphocyte subsets. A one-way analysis of variance was used for comparison of normally distributed continuous data between groups, and the Kruskal-Wallis H test was used for comparison of non-normally distributed continuous data between groups; the chi-square test was used for comparison of categorical data between groups; the multivariate logistic regression analysis was used to investigate independent influencing factors for HBsAg decline.  Results  There were significant differences between the three groups in HBsAg decline (H=8.348, P=0.015), absolute value of lymphocytes (F=4.643, P=0.013), and T lymphocyte count (F=7.721, P=0.001). The multivariate logistic regression analysis showed that sex (odds ratio [OR]=0.227, 95% confidence interval [CI]: 0.059-0.878, P=0.032), age (OR=0.931, 95%CI: 0.868-0.999, P=0.047), antiviral treatment regimen (PEG-IFN-α treatment group vs NAs treatment group: OR=9.600, 95%CI: 1.982-46.498, P=0.005; PEG-IFN-α+NAs treatment group vs NAs treatment group: OR=4.800, 95%CI: 1.336-17.243, P=0.016), and T lymphocyte count (OR=0.804, 95%CI: 0.684-0.944, P=0.008) were independent influencing factors for HBsAg decline.  Conclusion  For CHB patients receiving PEG-IFNα alone or in combination with NAs, monitoring of lymphocyte subsets during the treatment process may help to judge HBsAg decline, and the lower the absolute value of T lymphocytes, the greater the possibility of HBsAg decline.
Efficacy of antiviral therapy for chronic hepatitis B with nonalcoholic fatty liver disease
Ling QING, Weiqiang HUANG, Xiaohe LI, Feng CHEN, Yingxia LIU
2021, 37(9): 2075-2080. DOI: 10.3969/j.issn.1001-5256.2021.09.015
Abstract(1014) HTML (233) PDF (2025KB)(72)
Abstract:
  Objective  To investigate the influence of nonalcoholic fatty liver disease (NAFLD) on the antiviral response of patients with chronic hepatitis B (CHB), and to provide a reference for clinical treatment of such patients.  Methods  A total of 187 patients who attended Shenzhen Third People's Hospital from January 2011 to December 2017 were enrolled and divided into CHB group with 43 patients, NAFLD group with 41 patients, and CHB+NAFLD group with 103 patients. Related indices were measured at enrollment different time points of follow-up, including body height, body weight, alanine aminotransferase (ALT), aspartate aminotransferase, four blood lipid parameters, four indicators of liver fibrosis, aspartate aminotransferase-to-platelet ratio index, HBsAg, HBeAg, anti-HBe, and HBV DNA quantification, and the CHB patients and the CHB+NAFLD patients receiving antiviral therapy were compared in terms of treatment outcome at weeks 12, 24, 48, 72, and 96 of antiviral therapy. The Kruskal-Wallis H test was used for comparison of non-normally distributed continuous data between multiple groups, and the Wilcoxon rank-sum test was used for comparison between two groups; the chi-square test was used for comparison of categorical data between groups.  Results  Compared with the NAFLD group at baseline, the CHB group and the CHB+NAFLD group had significantly lower platelet count, ALT, gamma-glutamyl transpeptidase (GGT), alkaline phosphatase, and right lobe of liver oblique diameter (all P < 0.05), and compared with the CHB group, the CHB+NAFLD group had significantly higher body mass index, total cholesterol, and triglyceride and a significantly lower spleen thickness (all P < 0.05), while there were no significant differences in the other indicators between the two groups at baseline (all P > 0.05). At week 12 of antiviral therapy, there were no significant differences in liver fibrosis markers and inflammatory indices between the CHB group and the CHB+NAFLD group (all P > 0.05); compared with the CHB+NAFLD group at weeks 24 and 48, the CHB group had significantly greater reductions in ALT (Z=-2.128 and -3.055, both P < 0.05) and GGT (Z=-2.025 and -1.631, both P < 0.05); at week 48, the CHB group and the CHB+NAFLD group had a significant reduction in HBV DNA (Z=-6.445 and -4.415, both P < 0.001), and the CHB group had a significantly greater reduction. The CHB+NAFLD group had a significantly lower HBV DNA clearance rate than the CHB group at different time points of antiviral therapy (χ2=14.237, 13.961, 15.226, 10.462, and 13.030, all P < 0.05). At week 48 of antiviral therapy, the CHB+NAFLD group had a significantly lower HBeAg clearance rate than the CHB group (χ2=5.309, P=0.021), while there was no significant difference between the two groups at week 96 (χ2=0.117, P=0.732). At weeks 24, 48, 72, and 96 of antiviral therapy, the CHB+NAFLD group had a significantly lower ALT normalization rate than the CHB group (χ2=12.049, 5.287, 11.407, and 11.375, all P < 0.05).  Conclusion  NAFLD reduces the antiviral response of CHB patients and prolongs the duration of antiviral therapy.
Original articles_Liver fibrosis and liver cirrhosis
Value of prothrombin time-international normalized ratio to albumin ratio in predicting the prognosis of patients with decompensated cirrhosis
Shuhui MENG, Ying XU, Songlong ZOU, Xue ZHANG, Jiefang WU
2021, 37(9): 2081-2086. DOI: 10.3969/j.issn.1001-5256.2021.09.016
Abstract(1428) HTML (288) PDF (2730KB)(103)
Abstract:
  Objective  To investigate the value of prothrombin time-international normalized ratio to albumin ratio (PTAR) in evaluating the prognosis of patients with decompensated cirrhosis.  Methods  A retrospective analysis was performed for the clinical data of 172 patients with decompensated cirrhosis who were admitted to The Second Affiliated Hospital of Kunming Medical University from April 2016 to April 2017, including sex, age, etiology, complications, and first examination of laboratory markers after admission. With death as the outcome event, the patients were divided into survival group with 98 patients and death group with 74 patients according to the outcome of the disease after 2 years of follow-up. The influencing factors for prognosis were analyzed, and the value of PTAR in predicting the prognosis of patients with decompensated cirrhosis were evaluated. The t-test or the Mann-Whitney U test was used for comparison of continuous data between groups, and the chi-square test or the Fisher's exact test was used for comparison of categorical data between groups. Univariate and multivariate Cox regression analyses were performed for related variables. The receiver operating characteristic (ROC) curve was plotted and the area under the ROC curve (AUC) was calculated, and the optimal cut-off value was determined according to the sensitivity and specificity of the ROC curve. The Kaplan-Meier survival curve analysis was performed to compare 2-year survival rate between patients with different values of PTAR, indocyanine green retention rate at 15 minutes (ICGR15), and Model for End-Stage Liver Disease (MELD) score, and the log-rank test was used for comparison between groups.  Results  Compared with the survival group, the death group had significantly higher PTAR (Z=-7.823, P < 0.001), ICGR15 (t=3.458, P=0.001), and MELD score (t=5.921, P < 0.001). PTAR, ICGR15, and MELD score had optimal cut-off values of 0.05, 41.00%, and 37.25, respectively, in predicting 2-year prognosis, with AUCs of 0.849, 0.651, and 0.724, respectively. The survival analysis showed that the high-PTAR (PTAR≥0.05) group had a significantly lower survival rate than the low-PTAR (PTAR < 0.05) group (χ2=60.07, P < 0.001). The multivariate Cox regression analysis showed that PTAR ≥0.05 was an independent risk factor for death within 2 years (hazard ratio = 2.564, 95% confidence interval: 1.276-5.151, P=0.008).  Conclusion  PTAR ≥0.05 can be used as an independent predictive factor for death within 2 years in patients with decompensated cirrhosis, and PTAR has a relatively high value in predicting the prognosis of patients with decompensated cirrhosis.
Risk factors for early rebleeding after endoscopic therapy for esophageal varices in cirrhotic patients
Yan ZHANG, Huiguo DING
2021, 37(9): 2087-2091. DOI: 10.3969/j.issn.1001-5256.2021.09.017
Abstract(1610) HTML (293) PDF (2004KB)(97)
Abstract:
  Objective  To investigate the risk factors for early rebleeding after endoscopic ligation or sclerotherapy for esophageal variceal bleeding in cirrhotic patients.  Methods  A retrospective analysis was performed for the clinical data of 153 cirrhotic patients with esophageal variceal bleeding who underwent endoscopic ligation or sclerotherapy in Beijing YouAn Hospital, Capital Medical University, from May 2017 to May 2019, and according to the presence or absence of rebleeding from 72 hours to 6 weeks after endoscopic therapy, the patients were divided into rebleeding group and non-rebleeding group. A logistic regression analysis was performed to investigate independent risk factors for early rebleeding. The t-test was used for comparison of normally distributed continuous data between two groups, and the Mann-Whitney U test was used for comparison of non-normally distributed continuous data between two groups; the chi-square test or the Fisher's exact test was used for comparison of categorical data between two groups.  Results  Early rebleeding rate was 24.8% (38/153). Compared with the non-rebleeding group, the rebleeding group had a significantly lower albumin (Alb) and significantly higher activated partial thromboplastin time and prothrombin time (all P < 0.05), and there were also significant differences between the two groups in proportion of male sex, degree of varicose veins, red color sign, portal vein thrombosis, severity of ascites, and liver function grade (all P < 0.05). The multivariate logistic regression analysis showed that portal vein thrombosis (odds ratio [OR]=9.781, 95% confidence interval [CI]: 2.248-42.556, P=0.002), massive ascites (OR=6.195, 95%CI: 1.053-36.447, P=0.044), and Child-Pugh class C liver function (OR=6.434, 95%CI: 1.067-38.786, P=0.042) were independent risk factors for early rebleeding, while Alb (OR=0.806, 95%CI: 0.685-0.947, P=0.009) was a protective factor against early rebleeding.  Conclusion  Portal vein thrombosis, massive ascites, Child-Pugh C liver cirrhosis, and hypoproteinemia are independent risk factors for early rebleeding after endoscopic therapy in cirrhotic patients with esophageal variceal bleeding, which should be taken seriously in clinical practice.
Influencing factors of rebleeding after gastroscopy in patients with liver cirrhosis and esophagogastric variceal bleeding
Jia LIAN, Tao HAN, Huiling XIANG, Yankai YANG, Tinghong LI, Lei LIU, Baiguo XU, Lixia SUN, Fei WANG, Yanchao FU
2021, 37(9): 2092-2096. DOI: 10.3969/j.issn.1001-5256.2021.09.018
Abstract(1400) HTML (296) PDF (2088KB)(81)
Abstract:
  Objective  To investigate the influencing factors for rebleeding after gastroscopy in patients with liver cirrhosis and esophagogastric variceal bleeding.  Methods  A retrospective analysis was performed for the clinical data of the patients with liver cirrhosis and esophagogastric variceal bleeding who were hospitalized in Tianjin Third Central Hospital from January 1, 2017 to December 31, 2018, and according to the presence or absence of rebleeding and bleeding time, the patients were divided into non-bleeding group (n=148) and bleeding group (n=119). The risk factors for rebleeding after gastroscopy were analyzed. The t-test or the Mann-Whitney U test was used for comparison of continuous data between two groups, and the chi-square test was used for comparison of categorical data between two groups. The Cox regression model was used for univariate and multivariate analyses. The receiver operating characteristic (ROC) curve was used to evaluate the accuracy of Child-Turcotte-Pugh (CTP), fibrosis-4 (FIB-4), and albumin-bilirubin (ALBI) scores in predicting rebleeding after gastroscopy, and MedCalc was used to compare the area under the ROC curve (AUC).  Results  A total of 267 patients with liver cirrhosis and esophagogastric variceal bleeding were enrolled, among whom 53 (19.9%) had liver cancer. A total of 119 patients suffered from rebleeding, with an overall rebleeding rate of 44.6% and a median time to rebleeding of 11.0 (0-39.0) months. The univariate Cox regression analysis showed that liver cancer (hazard ratio [HR]=0.377, P < 0.001), aspartate aminotransferase (AST) (HR=1.002, P=0.025), serum Na (HR=0.935, P=0.004), and FIB-4 (HR=1.030, P=0.049) were associated with rebleeding, and the multivariate Cox regression analysis showed that liver cancer (HR=0.357, P < 0.001), AST (HR=1.003, P=0.030), prothrombin time (PT) (HR=0.196, P=0.001), CTP score (HR=1.289, P=0.014), FIB-4 (HR=1.062, P=0.033), and ALBI score (HR=0.433, P=0.011) were independent risk factors for rebleeding. CTP, FIB-4, and ALBI scores had an AUC of 0.711 (95% confidence interval [CI]: 0.647-0.776), 0.705 (95% CI: 0.640-0.770), and 0.730 (95% CI: 0.667-0.793), respectively, in predicting rebleeding. There was no significant difference in AUC between CTP, FIB-4, and ALBI scores (P > 0.05).  Conclusion  Liver cancer, AST, PT, CTP score, FIB-4 score, and ALBI score are associated with rebleeding after gastroscopy in patients with liver cirrhosis and esophagogastric variceal bleeding, among which CTP, FIB-4, and ALBI scores have a good value in predicting rebleeding outcome, while there is no significant difference in predictive ability between them.
Value of albumin-bilirubin score combined with neutrophil count and procalcitonin in ascites in predicting spontaneous bacterial peritonitis in patients with cirrhotic ascites
Ping JIANG, Rencheng DOU, Zijin CUI, Yinni TONG, Chen LI, Shanshan JIANG, Yun BAI, Jimin ZHENG, Cunkai WANG, Yuzhen WANG
2021, 37(9): 2097-2101. DOI: 10.3969/j.issn.1001-5256.2021.09.019
Abstract(1513) HTML (298) PDF (2106KB)(89)
Abstract:
  Objective  To investigate the risk factors for spontaneous bacterial peritonitis (SBP) in patients with cirrhotic ascites, and to establish a new model for predicting the development of SBP.  Methods  A total of 215 patients who were diagnosed with cirrhotic ascites in Hebei General Hospital from September 2016 to September 2020 were enrolled, and according to the presence or absence of SBP, they were divided into SBP group with 55 patients and non-SBP group with 160 patients. Related clinical data were collected and albumin-bilirubin (ALBI) score, Model for End-Stage Liver Disease (MELD) score, MELD combined with serum sodium concentration (MELD-Na) score, and Child-Pugh score were calculated. The t-test or the Mann-Whitney U test was used for comparison of continuous data between two groups, and the chi-square test was used for comparison of categorical data between two groups; a multivariate logistic regression analysis was used to screen out independent risk factors, and the receiver operating characteristic (ROC) curve was plotted to evaluate the performance of ALBI score, procalcitonin (PCT), polymorphonuclear neutrophil (PMN) count in ascites, and the ALBI-PMN-PCT combined model in the diagnosis of SBP.  Results  Compared with the SBP group, the non-SBP group had a significantly higher concentration of Na+ (Z=-3.414, P=0.001) and significantly lower total bilirubin (Z=-2.720, P=0.007), creatinine (Z=-1.994, P=0.046), urea nitrogen (Z=-2.440, P=0.015), C-reactive protein (Z=-9.137, P < 0.001), PCT (Z=-8.096, P < 0.001), prothrombin time (Z=-1.969, P=0.049), international normalized ratio (Z=-2.073, P=0.038), PMN (Z=-8.292, P < 0.001), MELD score (Z=-2.736, P=0.006), MELD-Na score (Z=-3.188, P=0.001), Child-Pugh score (Z=-3.419, P=0.001), and ALBI score (t=-5.010, P < 0.001), and there were also significant differences between the two groups in the presence or absence of gastrointestinal bleeding or hepatic encephalopathy (χ2=16.551 and 8.142, P < 0.001 and P=0.004). The multivariate logistic regression analysis showed that ALBI score (odds ratio [OR]=3.460, 95% confidence interval [CI]: 1.296-9.240, P=0.013), PMN (OR=1.012, 95%CI: 1.007-1.017, P < 0.001), and PCT (OR=6.019, 95%CI: 2.821-12.843, P < 0.001) were independent risk factors for SBP in patients with cirrhotic ascites. The ROC curve showed that ALBI, PCT, PMN, and ALBI-PMN-PCT had areas under the ROC curve of 0.711, 0.866, 0.875, and 0.934, respectively, in the diagnosis of SBP, with sensitivities of 50.91%, 73.36%, 72.73%, and 89.09%, respectively, and specificities of 86.87%, 81.25%, 100.00%, and 91.87%, respectively. The patients with ALBI-PMN-PCT > 0.272 had an increased risk of developing SBP.  Conclusion  The ALBI-PMN-PCT combined model has a high value in predicting the onset of SBP in patients with cirrhotic ascites.
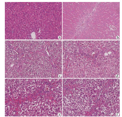
Expression of NLRP3 inflammatory body in a rat model of liver fibrosis induced by common bile duct ligation
Meng'en ZHOU, Yirong CHEN, Na ZHANG, Ni YAN, Renye QUE, Yong LI
2021, 37(9): 2102-2108. DOI: 10.3969/j.issn.1001-5256.2021.09.020
Abstract(1575) HTML (382) PDF (7845KB)(85)
Abstract:
  Objective  To investigate the expression of NLRP3 inflammatory body in the process of liver fibrosis in a rat model of common bile duct ligation (BDL) and the association of NLRP3 inflammatory body with liver fibrosis.  Methods  A total of 65 Sprague-Dawley rats were randomly divided into sham-operation group with 15 rats and BDL model group with 50 rats. On days 3, 7, 14, 21, and 28, 10 rats in the model group and 3 rats in the sham-operation group were sacrificed. The serum levels of alanine aminotransferase (ALT), aspartate aminotransferase (AST), direct bilirubin (DBil), total bilirubin (TBil), total bile acid (TBA), and alkaline phosphatase (ALP) were measured, and HE staining, Masson staining, and sirius red-picric acid staining were performed for liver tissue to evaluate liver fibrosis degree. Immunohistochemistry was used to measure the expression levels of alpha-smooth muscle actin (α-SMA) and transforming growth factor-β1 (TGF-β1) in liver tissue, Western blot and qRT-PCR were used to measure the expression level of NLRP3 inflammatory body, and ELISA was used to measure the level of the inflammatory factor interleukin-1β (IL-1β) in liver tissue. An analysis of variance was used for comparison of continuous data between groups, and the least significant difference t-test was used for further comparison between two groups.  Results  Compared with the sham-operation group, the BDL model group had significant increases in the serum levels of ALT, AST, DBil, TBil, TBA, and ALP (all P < 0.05) and the level of IL-1β in liver tissue (P < 0.05), which reached the highest level on day 3 and then decreased. Compared with the sham-operation group over time, the BDL group had a significant increase in liver fibrosis score (P < 0.05); immunohistochemistry showed gradual increases in the expression of SMA-α and TGF-β1 (P < 0.05), and Western blot and qRT-PCR showed a gradual increase in the protein expression of NLRP3 inflammatory body in liver tissue (P < 0.05), which remained stable after day 14.  Conclusion  Liver injury exists persistently in a rat model of BDL, and liver histopathology shows the dynamic evolution of hepatitis, liver fibrosis, and liver cirrhosis. NLRP3 inflammatory body is in a state of continuous activation and may play an important role in the process of liver fibrosis.
Original articles_Liver neoplasms
Value of alpha-fetoprotein combined with gamma-glutamyl transpeptidase/aspartate aminotransferase ratio in diagnosis of HBV-associated hepatocellular carcinoma
Xin CAI, Juanjuan CHEN, Dongling TANG, Ping'an ZHANG
2021, 37(9): 2109-2112. DOI: 10.3969/j.issn.1001-5256.2021.09.021
Abstract(1050) HTML (251) PDF (2786KB)(95)
Abstract:
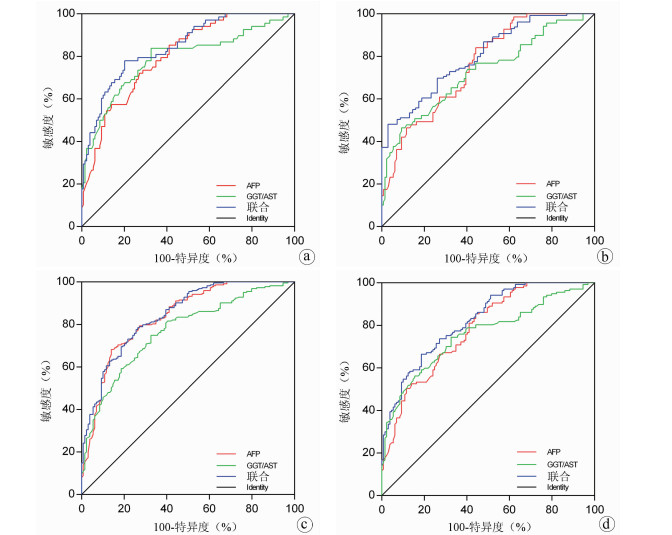
  Objective  To investigate the clinical value of alpha-fetoprotein (AFP) combined with gamma-glutamyl transpeptidase (GGT)/aspartate aminotransferase (AST) ratio in the diagnosis of hepatitis B virus (HBV)-associated hepatocellular carcinoma (HCC).  Methods  A total of 352 subjects who received treatment or underwent physical examination in Renmin Hospital of Wuhan University from January 15 to June 15, 2020, were enrolled, among whom there were 86 healthy controls (HC group), 68 patients with chronic hepatitis B (CHB group), 69 patients with liver cirrhosis (LC group), and 129 patients with HCC (HCC group), and a retrospective analysis was performed for the serological test results of all subjects. An analysis of variance was used for comparison of normally distributed continuous data between multiple groups, and the least significant difference t-test was used for further comparison between two groups; the Kruskal-Wallis H test was used for comparison of continuous data with skewed distribution between multiple groups, and the Nemenyi method was used for further comparison between two groups. A binary logistic regression analysis was used to calculate predictor variables; a receiver operating characteristic (ROC) curve was plotted for AFP, GGT/AST, and the predictor variables used alone or in combination, and the area under the ROC curve (AUC), sensitivity, and specificity were calculated; the Z test was used for comparison of AUC.  Results  The HCC group had significantly higher GGT/AST ratio and AFP than the other groups (all P < 0.05). The ROC curve analysis showed that AFP combined with GGT/AST ratio had a significantly higher AUC than AFP alone in the HCC group vs the LC group, the HCC group vs the HC+CHB+LC groups, and the HCC group vs the CHB+LC groups (Z=2.684, 2.241, and 2.415, P=0.007, 0.025, and 0.016).  Conclusion  AFP combined with GGT/AST ratio can improve the clinical diagnostic performance of HBV-related HCC and thus has a certain diagnostic value.
Establishment and predictive value of an early warning system for recurrence after radical resection of BCLC stage 0/A hepatocellular carcinoma
Sheng LIU, Haoyou TANG, Yang YANG, Xin ZENG, Xiaobin HUANG, Qiuhong GU, Jianshui LI
2021, 37(9): 2113-2119. DOI: 10.3969/j.issn.1001-5256.2021.09.022
Abstract(1062) HTML (281) PDF (2961KB)(66)
Abstract:
  Objective  To establish an Early Warning System for Recurrence Scoring after Radical Resection of BCLC stage 0/A Primary Liver Cancer (PLC-EWSPRS), and to investigate its predictive value.  Methods  A retrospective analysis was performed for the clinical data of 232 patients with BCLC stage 0/A liver cancer who underwent radical resection in Affiliated Hospital of Chuanbei Medical College from January 2009 to January 2015, and according to the presence or absence of recurrence within 5 years after surgery based on telephone or outpatient follow-up data, the patients were divided into recurrence group with 103 patients and non-recurrence group with 129 patients. The t-test was used for comparison of normally distributed continuous data between groups, and the Mann-Whitney U test was used for comparison of non-normally distributed continuous data between groups; the chi-square test or Fisher's exact test was used for comparison of categorical data between groups. The indices with statistical significance were included in the binary logistic regression analysis to investigate the risk factors for recurrence of BCLC stage 0/A liver cancer after surgery. Two points were assigned for independent risk factors and one point was assigned for risk factors to establish the PLC-EWSPRS system. The receiver operating characteristic (ROC) curve and the area under the ROC curve (AUC) were used to evaluate the diagnostic efficiency of this system.  Results  Compared with the non-recurrence group, the recurrence group had significantly higher levels of aspartate aminotransferase and alanine aminotransferase (ALT) and a significantly lower level of albumin (Alb) before surgery (Z=3.864 and 4.587, t=-5.628, all P < 0.001), as well as a significantly higher proportion of patients with positive HBsAg, capsular invasion, microvascular invasion (MVI), tumor diameter ≥5 cm, liver cirrhosis (moderate-to-severe), non-R0 resection, or death within 5 years (χ2=35.539, 22.325, 13.398, 7.130, 4.312, 4.034, and 18.527, all P < 0.05). The regression analysis showed that preoperative Alb < 40 g/L (odds ratio [OR]=5.796, P < 0.001), preoperative ALT ≥40 U/L (OR=3.029, P=0.002), MVI (OR=3.981, P=0.003), positive HBsAg (OR=7.829, P< 0.001), capsular invasion (OR=5.357, P< 0.001), and non-R0 resection (OR=3.048, P=0.018) were independent risk factors for recurrence of BCLC stage 0/A liver cancer within 5 years after surgery. According to the assignment criteria of the PLC-EWSPRS system, the recurrence group had the lowest score of 2 points and the highest score of 14 points, while the non-recurrence had the lowest score of 0 point and the highest score of 11 points, and the recurrence group had a significantly higher score than the non-recurrence group (P < 0.05). The ROC curve analysis showed that the PLC-EWSPRS system had an AUC of 0.918 (95% confidence interval [CI]: 0.883-0.953, P < 0.001) in predicting recurrence within 5 years after surgery in patients with BCLC stage 0/A liver cancer undergoing radical resection, and subgroup analysis showed that the system had an AUC of 0.796 (95% CI: 0.695-0.896, P=0.002), 0.859 (95% CI: 0.791-0.927, P < 0.001), and 0.944 (95% CI: 0.839-1.000, P=0.044), respectively, in predicting recurrence within 5 years after surgery in patients with a low score of 0-5 points, a moderate score of 6-10 points, and a high score of 11-14 points.  Conclusion  The PLC-EWSPRS system has a good value in predicting the recurrence of BCLC stage 0/A liver cancer within 5 years after surgery and thus has important guiding significance for postoperative reexamination and treatment strategy for patients with BCLC stage 0/A liver cancer undergoing radical resection.
Efficacy and safety of sequential lenvatinib therapy after stereotactic body radiotherapy in treatment of advanced primary liver cancer
Xiaoquan JI, Aimin ZHANG, Tao ZHANG, Wengang LI, Weiping HE, Jing SUN, Xuezhang DUAN
2021, 37(9): 2120-2124. DOI: 10.3969/j.issn.1001-5256.2021.09.023
Abstract(1348) HTML (379) PDF (2112KB)(88)
Abstract:
  Objective  To investigate the efficacy and safety of sequential lenvatinib therapy after stereotactic body radiotherapy (SBRT) in the treatment of advanced primary liver cancer.  Methods  A total of 18 patients with advanced primary liver cancer who were admitted to The Fifth Medical Center of Chinese PLA General Hospital from October 2018 to May 2019 were enrolled, among whom there were 4 patients with BCLC stage B liver cancer and 14 patients with BCLC stage C liver cancer. The prescribed dose of planning target volume was 48-55 Gy (median 50 Gy) in 6-9 fractions, and the median of single dose was 6 (5-9) Gy per fraction. Oral administration of lenvatinib was given since 1 week after SBRT was finished, with a median medication time of 9.5 (3.6-25.8) months. Follow-up was performed once a month for the first 3 months after treatment and once every 3 months after 3 months of treatment. The Kaplan-Meier method was used to calculate overall survival (OS) rate, progression-free survival (PFS) rate, and local control (LC) rate, and the incidence rates of adverse reactions and complications were also observed.  Results  Up to the follow-up on November 30, 2020, a total of 8 patients died, among whom 3 died of liver failure, 3 died due to tumor progression, 1 died of perforation of gallbladder, and 1 died of gastrointestinal bleeding. At 3, 6, 9, 12, and 18 months of treatment, the OS rates were 100%, 94%, 83%, 72%, and 67%, respectively, the PFS rates were 100%, 67%, 50%, 22%, and 17%, respectively, and the LC rates were 100%, 94%, 94%, 94%, and 94%, respectively; the median OS time was > 18 months, and the median PFS time was 9 months. Of all patients, 1 (6%) had a grade 3 adverse reaction during SBRT and 2 (11%) experienced a grade 3 adverse reaction during lenvatinib treatment, and no fatal adverse reaction was observed.  Conclusion  It is preliminarily proved that sequential lenvatinib therapy after SBRT is an effective and safe treatment method for advanced primary liver cancer.
A cost-effect analysis of transarterial chemoembolization with CalliSpheres beads loaded with arsenic trioxide versus arsenic trioxide iodized oil emulsion in treatment of unresectable liver cancer
Wenhui WANG, Xuhua DUAN, Hao LI, Shuguang JU, Manzhou WANG, Jianzhuang REN, Xinwei HAN
2021, 37(9): 2125-2129. DOI: 10.3969/j.issn.1001-5256.2021.09.024
Abstract(1175) HTML (253) PDF (2198KB)(80)
Abstract:
  Objective  To investigate the cost-effect of transarterial chemoembolization (TACE) with CalliSpheres beads loaded with arsenic trioxide (ATO) (CBATO) versus ATO iodized oil emulsion (conventional TACE, cTACE) in the treatment of unresectable liver cancer.  Methods  A total of 100 patients with advanced liver cancer who attended The First Affiliated Hospital of Zhengzhou University from May 2017 to December 2018 were enrolled and divided into CBATO group(n=45) and cTACE group(n=55) according to the treatment regimen. Progression-free survival (PFS) was used to evaluate the efficacy of quality-adjusted life year (QALY), and European Quality of Life-5 Dimensions (EQ-5D) index was used to evaluate quality of life. The t-test was used for comparison of continuous data between groups, and the chi-square test was used for comparison of categorical data between groups; the number of surgeries, length of hospital stay, treatment cost, and incremental cost-effectiveness ratio (ICER) were calculated for the two groups, and then a cost-effect analysis was performed.  Results  Within the PFS time, the per capita hospital cost was 96 446 yuan in the CBATO group and 91 230.43 yuan in the cTACE group. There were significant differences between the two groups in the mean number of surgeries (2.5±0.7 vs 3.4±0.8, t=16.911, P < 0.01) and mean hospital stay (5.8±1.2 days vs 7.5±1.8 days, t=12.459, P < 0.01). The CBATO group had a significantly higher QALY than the cTACE group (0.804 vs 0.512). Compared with the cTACE group, the CBATO group had an ICER of 17 861.53 yuan/QALY for unresectable liver cancer.  Conclusion  Although CBATO has a higher surgery cost than cTACE, CBATO has a better clinical effect than cTACE and can reduce the number of surgeries and length of hospital stay, with a better postoperative quality of life than cTACE, suggesting that CBATO has marked cost-effect advantages.
Application of liver three-dimensional visualized reconstruction technique in hepatectomy for children with complicated hepatoblastoma
Di ZHAO, Jindong YE, Huali LI, Kui JIN, Xiang LIU, Xiaoran LI, Liuxin DUAN, Jungui LIU, Wei LYU, Weihong DUAN, Quanda LIU
2021, 37(9): 2130-2135. DOI: 10.3969/j.issn.1001-5256.2021.09.025
Abstract(1328) HTML (405) PDF (3973KB)(66)
Abstract:
  Objective  To investigate the application of liver three-dimensional (3D) visualized reconstruction technique in hepatectomy for children with complicated hepatoblastoma.  Methods  A retrospective analysis was performed for the clinical data of 30 children with hepatoblastoma who underwent hepatectomy for radical resection in PLA Rocket Force Characteristic Medical Center from January 2018 to October 2020, and according to whether liver 3D visualization with IQQA-Liver system was performed before surgery, the children were divided into 3D reconstruction group with 15 children and control group with 15 children. The two groups were compared in terms of perioperative parameters, short-term prognosis, and follow-up conditions. The independent samples t-test was used for comparison of normally distributed continuous data between two groups, and the Mann-Whitney U test was used for comparison of non-normally distributed continuous data between two groups; the Fisher's exact test was used for comparison of categorical data between two groups.  Results  Compared with the control group, the 3D reconstruction group had a significantly higher mean age (55.7±10.2 years vs 28.2±2.7 years, P < 0.05) and a significantly higher number of patients with POSTTEXT stage III/VI hepatoblastoma (12 vs 5, P < 0.05) or involvement of the hepatic vein or the inferior vena cava (11 vs 3, P < 0.05). All children completed the surgery successfully, and there were no significant differences between the two groups in blood loss, time of operation, number of times and duration of hepatic portal occlusion, and number of children receiving segmental hepatectomy or partial hepatectomy (all P > 0.05). The median follow-up after surgery was 9.5 months. In the 3D reconstruction group, 2 children experienced recurrence and were diagnosed at 10 and 12 months, respectively, after surgery, and they were treated with chemotherapy at the moment; in the control group, 4 children experienced recurrence, which was higher than that in the 3D reconstruction group (P=0.651), and among these 4 children, 2 had recurrence at 7 months after surgery, received liver transplantation, and survived up to now, and the other 2 children died shortly after recurrence.  Conclusion  3D visualized reconstruction technique helps to perform hepatectomy for children with complicated hepatoblastoma more safely and accurately, especially extended hepatectomy for patients with stage POST TEXT III/IV hepatoblastoma, thereby avoiding liver transplantation.
Mechanism of "Szechwan Chinaberry Fruit-Rhizoma Corydalis" drug combination in treatment of liver cancer based on network pharmacology
Tian ZHANG, Sijing JIA, Dongxue SUN, Fengxi LONG, Dongxin TANG, Zhu YANG
2021, 37(9): 2136-2143. DOI: 10.3969/j.issn.1001-5256.2021.09.026
Abstract(2392) HTML (632) PDF (2538KB)(78)
Abstract:
  Objective  To investigate the pharmacological components of "Szechwan Chinaberry Fruit-Rhizoma Corydalis" drug combination and its potential molecular mechanism in the treatment of liver cancer based on network pharmacology.  Methods  Related databases, such as TCMSP, Uniprot, and GeneCard, were used to obtain the effective components of Szechwan Chinaberry Fruit and Rhizoma Corydalis, their corresponding action targets, and the disease targets of liver cancer, and the intersecting targets of drugs and diseases were selected. In addition, STRING and Metascape databases were used to screen out the core targets of drug action and perform GO function and KEGG pathway enrichment analyses.  Results  There were 9 active components in Szechwan Chinaberry Fruit and 49 active components in Rhizoma Corydalis, with 1 common component between the two drugs; there were 181 action targets of Szechwan Chinaberry Fruit and 1097 action targets of Rhizoma Corydalis, with 143 common targets between the two drugs. There were 162 intersecting targets between the drug combination and liver cancer, and the main genes involved were IL6, TP53, VEGFA, TNF, and CASP3. KEGG analysis showed that the main pathways involved included cancer pathway, AGE-RAGE signaling pathway of diabetes complications, TNF signaling pathway, NF-κB signaling pathway, and thyroid hormone signaling pathway.  Conclusion  There are many different components in the drug combination of "Szechwan Chinaberry Fruit-Rhizoma Corydalis", which can exert a therapeutic effect on liver cancer by acting on related genes and signaling pathways.
Original articles_Other liver diseases
Correlation of serum alanine aminotransferase, aspartate aminotransferase, gamma-glutamyl transpeptidase, and alkaline phosphatase with blood pressure in patients with nonalcoholic fatty liver disease in coastal regions of Shandong Province in China
Yijing LIU, Zhenzhen ZHAO, Shousheng LIU, Yanyan XU, Yongning XIN
2021, 37(9): 2144-2147. DOI: 10.3969/j.issn.1001-5256.2021.09.027
Abstract(1023) HTML (217) PDF (2006KB)(71)
Abstract:
  Objective  To investigate whether there was a correlation between serum liver enzyme levels and blood pressure in the Chinese Han population with nonalcoholic fatty liver disease (NAFLD) in Shandong coastal regions in China.  Methods  A total of 269 NAFLD patients who lived in Shandong coastal regions and attended or underwent physical examination in Qingdao Municipal Hospital from December 2019 to June 2020 were enrolled, among whom 105 had hypertension and 164 did not have hypertension. Morning blood pressure was measured to calculate mean arterial pressure (MAP), and laboratory tests were performed to measure the serum levels of liver enzymes [alanine aminotransferase (ALT), aspartate aminotransferase (AST), gamma-glutamyl transpeptidase (GGT), and alkaline phosphatase (ALP)] and fasting blood glucose (FBG). The independent samples t-test was used for comparison of normally distributed continuous data between two groups, and the Mann-Whitney U test was used for comparison of non-normally distributed continuous data between two groups; the chi-square test was used for comparison of categorical data between two groups. A Pearson correlation analysis was used to investigate the correlation of four liver enzymes with the indices including MAP, and a binary logistic regression model was used to analyze the impact of serum liver enzymes on hypertension.  Results  Compared with the non-hypertension group, the hypertension group had significantly higher body mass index (BMI), MAP, and GGT (all P < 0.05). For all NAFLD patients and the NAFLD patients without hypertension, male patients had significantly higher BMI, MAP, ALT, AST, and GGT than female patients (all P < 0.05), and for the NAFLD patients with hypertension, male patients had a significantly higher level of GGT than female patients (P < 0.05). There was a significant difference in the distribution of GGT between the hypertension group and the non-hypertension group, and compared with the non-hypertension group, the hypertension group had a significantly higher proportion of patients with GGT exceeding the normal range (χ2=4.781, P=0.029). Serum GGT level was correlated with MAP within the normal range (70-105 mm Hg) (r=0.178, P=0.011), while there was no significant correlation when MAP exceeded the normal range (P=0.415). After adjustment for age and sex, the binary logistic regression model showed that AST level was positively associated with hypertension in the population with NAFLD (odds ratio [OR]=1.011, 95% confidence interval [CI]: 1.000-1.022, P=0.040), and after further adjustment for BMI and FBG, the results showed that AST level was still positively associated with hypertension (OR=1.011, 95% CI: 1.000-1.022, P=0.044).  Conclusion  In Chinese Han population with NAFLD in Shandong coastal regions, higher levels of AST may predict an increased risk of hypertension.
Clinical features of patients with acute-on-chronic liver failure and bacterial infection and influencing factors for prognosis
Xiaoyan LIU, Jinhua HU, Chen LI, Jing CHEN, Jingjing TONG, Chongdan GUAN, Yuhui PENG, Peng NING, Lilong YAN, Haibin SU
2021, 37(9): 2148-2152. DOI: 10.3969/j.issn.1001-5256.2021.09.028
Abstract(1256) HTML (269) PDF (2088KB)(102)
Abstract:
  Objective  To investigate the clinical features of infection in patients with acute-on-chronic liver failure (ACLF) and bacterial infection and the influencing factors for 90-day survival rate.  Methods  The patients with ACLF who were admitted to The Fifth Medical Center of Chinese PLA General Hospital from January 2014 to December 2015 were enrolled, and related clinical data were collected and analyzed, including infection time and site, microbial culture, biochemical parameters and inflammatory markers, and 28- and 90-day prognosis after infection. The t-test or the Mann-Whitney U test was used for comparison of continuous data between two groups, and the chi-square test was used for comparison of categorical data between two groups. The life-table method was used to plot survival curves. The indices affecting prognosis in the univariate analysis were further included in the multivariate logistic regression analysis.  Results  A total of 1074 patients with ACLF were admitted, among whom 609 had bacterial infection, and the incidence rate of bacterial infection was 56.7%. Among these 609 patients, 16 underwent liver transplantation within 90 days and related data statistics were obtained for the remaining 593 patients. As for infection site, among the patients with infection, 70.15% had abdominal infection, 41.15% had pulmonary infection, 11.97% had sepsis, 5.40% had urinary system infection, 4.89% had thoracic infection, and 8.6% had infection at other sites. Among the patients with infection, 64.76% had infection at a single site. The positive rates of microbial culture of ascites, phlegm, urine, and pleural effusion were 22.70%, 52.82%, 40.63%, and 35.71%, respectively. Escherichia coli was the most common bacterium in ascites and accounted for 43.82%; Klebsiella pneumoniae, Pseudomonas aeruginosa, and Acinetobacter baumannii accounted for 22.67%, 24.00%, and 22.67%, respectively, in phlegm; Escherichia coli, Klebsiella pneumoniae, and Staphylococcaceae accounted for 33.80%, 29.58%, and 15.49%, respectively, in blood culture. The 90-day survival rate after infection was 38.11% (226/593) in the patients with ACLF, and the multivariate logistic regression analysis showed that age (P=0.006), stage of hepatic encephalopathy (HE) (P < 0.001), stage of liver failure (P < 0.001), and acute kidney injury (AKI) (P < 0.001) were independent risk factors for 90-day survival in patients with ACLF and infection.  Conclusion  There is a high incidence rate of infection in patients with ACLF. The 90-day survival rate is relatively low, and the presence of AKI, HE stage III or above, and advanced liver failure may indicate poor prognosis.
Postoperative complications of ex vivo liver resection combined with autologous liver transplantation in treatment of advanced hepatic alveolar echinococcosis at high altitude and related prevention and treatment strategies
Qingshan TIAN, Shaopei FENG, Yamin GUO, Xiumin HAN, Shunyun ZHAO, Chengjie YE, Yongde AN, Shile WU, Xiangqian WANG, Haibo ZHENG, Wenjun ZHU, Jide A, Wei GAO, Hongshuai PAN
2021, 37(9): 2153-2160. DOI: 10.3969/j.issn.1001-5256.2021.09.029
Abstract(1294) HTML (489) PDF (3321KB)(53)
Abstract:
  Objective  To investigate the postoperative complications of ex vivo liver resection combined with autologous liver transplantation in the treatment of end-stage hepatic alveolar echinococcosis at high altitude and related prevention and treatment strategies.  Methods  Surgical data and follow-up data were collected from 11 patients with end-stage hepatic alveolar echinococcosis who underwent autologous liver transplantation in Qinghai People's Hospital from January 2013 to March 2019, and intraoperative and postoperative conditions were analyzed.  Results  All 11 patients underwent autologous liver transplantation successfully, without intraoperative death, among whom 2(18.18%) underwent hemi-extracorporeal hepatectomy and 9 (81.82%) underwent total extracorporeal hepatectomy. For the reconstruction of the retrohepatic inferior vena cava, 2 patients (18.18%) underwent reconstruction with the autologous great saphenous vein, 4 patients (36.36%) underwent reconstruction with artificial vessels, and the autologous retrohepatic inferior vena cava was preserved in 5 patients (45.45%). For biliary reconstruction, 8 patients (72.73%) underwent choledochoenterostomy and 3 (27.27%) underwent choledochocholedochostomy. The main postoperative complications of the 11 patients included bleeding in 2 patients (18.18%), bile leakage and abdominal infection in 4 patients (36.36%), bilioenteric anastomotic stenosis in 1 patient (9.09%), thrombus in 2 patients (18.18%), pulmonary infection and pleural effusion in 2 patients (18.18%), and echinococcosis recurrence in 1 patient (9.09%). Of all 11 patients, 2 (18.18%) died during the perioperative period, and the other 9 patients (81.82%) were improved and discharged.  Conclusion  Bleeding, biliary complications, and infection are the main causes of death in patients undergoing autologous liver transplantation at high altitude. An accurate understanding of surgical indication, careful multidisciplinary evaluation before surgery, superb operation during surgery, standardized surgical procedures, and fine perioperative management are the key to reducing perioperative mortality, avoiding and reducing postoperative complications, and achieving good long-term survival in patients undergoing autologous liver transplantation.
Establishment of the reference intervals of four biochemical parameters for liver function among adults in Changchun, China based on the indirect method
Yiting WANG, Xuewen LI, Dongyang XING, Bing HE, Jiancheng XU
2021, 37(9): 2161-2166. DOI: 10.3969/j.issn.1001-5256.2021.09.030
Abstract(958) HTML (412) PDF (3975KB)(78)
Abstract:
  Objective  To establish the reference intervals (RIs) of the four biochemical parameters for liver function [aspartate aminotransferase (AST), alanine aminotransferase (ALT), gamma-glutamyl transpeptidase (GGT), and alkaline phosphatase (ALP)] in adults by using the indirect method based on the data of subjects undergoing physical examination in laboratory information system (LIS).  Methods  With the help of the LIS, related data were collected from the healthy adults who underwent physical examination in Physical Examination Center of The First Hospital of Jilin University from October 2019 to October 2020. The Kolmogorov-Smirnov test was used to check the normal distribution of the original data; data with skewed distribution were transformed into data with approximate normal distribution using the BOX-COX method; the Turkey method was used to remove outliers; the Mann-Whitney U test or the Z-test was used for comparison between groups; the non-parametric method was used to calculate RIs.  Results  A total of 27 218 subjects were included after the removal of outliers. All four parameters showed age and sex differences. The RIs of AST were 14-39 U/L for male individuals aged 20-79 years, 12-32 U/L for female individuals aged 20-49 years, and 14-39 U/L for female individuals aged 50-79 years; the RIs of ALT were 10-71 U/L for male individuals aged 20-54 years, 10-49 U/L for male individuals aged 55-79 years, 7-43 U/L for female individuals aged 20-49 years, and 9-49 U/L for female individuals aged 50-79 years; the RIs of GGT were 11-70 U/L for male individuals aged 20-64 years, 10-64 U/L for male individuals aged 65-79 years, 6-45 U/L for female individuals aged 20-49 years, and 7-54 U/L for female individuals aged 50-79 years; the RIs of ALP were 38-96 U/L for male individuals aged 20-79 years, 33-89 U/L for female individuals aged 20-49 years, and 40-106 U/L for female individuals aged 50-79 years. The RIs of AST, ALT, and GGT established in this study were similar to those in the industry standards of China (relative deviation < reference change value), and the RIs of all four biochemical parameters were verified by applicability.  Conclusion  The RIs of the four biochemical parameters for liver function established by the indirect method are relatively consistent with those established by the direct method, which holds promise for application in clinical laboratory.
Practice and thinking on constructing a scientific research system for regional liver pathology center under the concept of collaborative innovation
Hong TANG, Yingwei ZHU, Zhonghua LU
2021, 37(9): 2167-2170. DOI: 10.3969/j.issn.1001-5256.2021.09.031
Abstract(874) HTML (184) PDF (2332KB)(45)
Abstract:
  Objective  To investigate the influence of the concept of collaborative innovation on the construction of a scientific research system for regional liver pathology center from multiple perspectives, and to explore its application significance.  Methods  A total of 1246 liver biopsy specimens which were examined in Department of Pathology in Wuxi Second People's Hospital and Wuxi Fifth People's Hospital from January 2014 to September 2020 were collected, among which the specimens examined before the founding of the regional liver pathology center were collected as nI group, and those examined after the founding of the center were collected as nII group. According to the examination time of the first, second, or third year after founding, the nII group was further divided into nIIa group, nIIb group, and nIIc group. A multi-perspective analysis was performed based on five indices, i.e., number of liver biopsy specimens, growth rate of liver biopsy specimens, growth rate of internal collaborative departments, growth rate of external collaborative units, and evaluation of the collaborative and innovative scientific research system.  Results  The growth rate of liver biopsy specimens in the nI group was 15.51%; after the founding of the regional liver pathology center, the highest growth rate of 187.76% was observed in the nIIa group, and a relatively stable growth rate of 76.35% was observed in the nIIb group. There was a gradual increase in the number of specimens in internal collaborative departments, with a growth rate of 50% in the nIIa group and 83.33% in the nIIb group, while the number of external collaborative units increased steadily, with a growth rate of 100% in the nIIa group and 50% in the nIIb group. The nII group showed a diversified increasing trend in the evaluation indices of the scientific research system.  Conclusion  It is a new perspective for the construction of regional disciplinary scientific research system to grasp the opportunity of policy-supported development and innovate the effective cooperation mode between internal departments and external units under the concept of collaborative innovation.
Original articles_Biliary disease
Effects of FGB gene polymorphism on fibrinogen level and gallstones incidence in Xinjiang, China
Aipire ALIYEGULI, Maimaitiyusufu PIERDIWASI, Jian WANG, Aili AIKEBAIER, Abudureyimu KELIMU
2021, 37(9): 2171-2176. DOI: 10.3969/j.issn.1001-5256.2021.09.032
Abstract(701) HTML (313) PDF (2012KB)(47)
Abstract:
  Objective  To investigate the association of the polymorphisms of the FGB gene rs4220 and rs1044291 loci with plasma fibrinogen (Fg) level and gallstones in Xinjiang, China.  Methods  Blood samples were collected from 150 Uygur and Han patients with gallstones and 150 Uygur and Han individuals without gallstones who were hospitalized or underwent physical examination in The People's Hospital of Xinjiang Uygur Autonomous Region from December 2017 to May 2020. Plasma Fg level was measured, and based on the previous results of whole exon sequencing of the FGB gene, the SNaPshot method was used to identify the genotype at rs4220 and rs1044291 loci of the FGB gene. The t-test was used for comparison of normally distributed continuous data between two groups, and the Mann-Whitney U test was used for comparison of non-normally distributed continuous data between two groups; the chi-square test was used for comparison of categorical data between two groups; a multivariate logistic regression analysis was used to investigate the association between each variable and gallstones.  Results  For the Chinese Han population, the gallstones group had a significantly higher plasma Fg level than the control group [2.90 (2.43-3.49) g/L vs 2.47 (2.06-3.02) g/L, Z=-3.62, P < 0.01), while there was no significant difference in the Uyghur population. There were no significant differences in the frequencies of genotypes and alleles at the rs4220 and rs1044291 loci of the FGB gene between the gallstones group and the control group in both Uyghur and Han populations (all P > 0.05). For the Chinese Han population, the subjects carrying GG genotype at the rs4220 locus in the gallstones group had a significantly higher plasma Fg level than those in the control group [2.84(2.32-3.61) g/L vs 2.34(2.05-2.75) g/L, Z=-3.04, P < 0.05], and the subjects carrying T genotype at the rs1044291 locus had a significantly higher plasma Fg level than those in the control group (3.08±0.75 g/L vs 2.48±0.48 g/L, t=2.80, P < 0.05). For the Uyghur population, only the subjects carrying A genotype at the rs4220 locus in the gallstones group had a significantly lower plasma Fg level than those in the control group [2.84(2.08-3.06) g/L vs 3.10(2.85-3.98) g/L, Z=-2.41, P < 0.05]. There was no significant difference in plasma Fg level between the subjects carrying different genotypes within the gallstones group or the control group for both Uyghur and Han populations (all P > 0.05).  Conclusion  The influence of FGB gene polymorphism on plasma Fg level may be associated with race, and FGB gene polymorphisms at the rs4220 and rs1044291 loci may be involved in the pathogenesis of gallstones by regulating Fg level in the population in Xinjiang.
Case reports
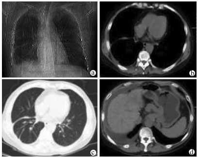
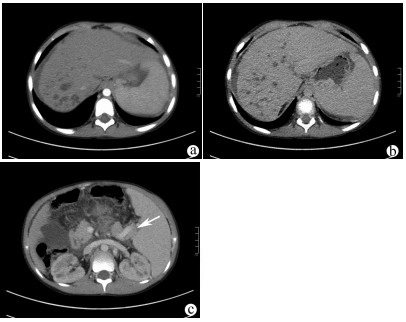
Treatment of refractory hepatic hydrothorax by intrapleural injection of lauromacrogol: A case report
Changzhou LI, Jianhui LI, Xin HAO, Haibin JIANG, Aimin WANG, Haiyang HUA, Jing QI, Jingzhe ZHANG
2021, 37(9): 2177-2179. DOI: 10.3969/j.issn.1001-5256.2021.09.033
Abstract(822) HTML (236) PDF (2488KB)(49)
Abstract:
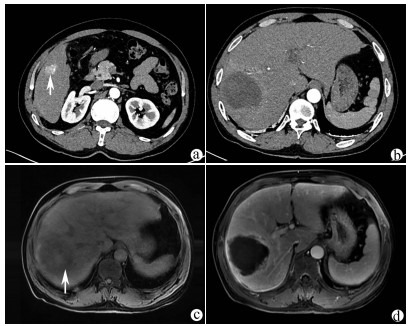
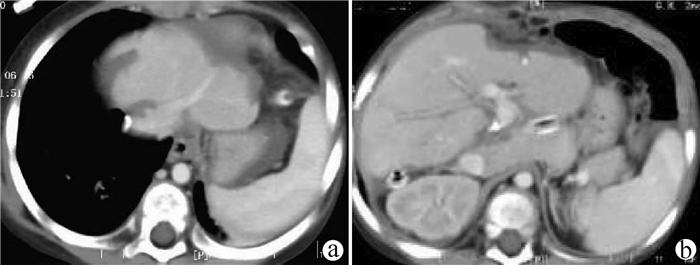
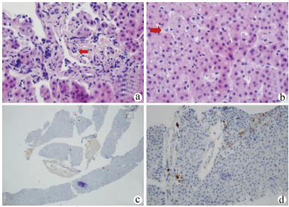
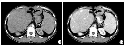
Primary hepatic carcinosarcoma with hepatocellular carcinoma: A case report
Ri LI, Huaibin GUO, Ze LIANG, Na LI, Junye WEN, Wanxing ZHANG
2021, 37(9): 2180-2182. DOI: 10.3969/j.issn.1001-5256.2021.09.034
Abstract(1261) HTML (266) PDF (4255KB)(62)
Abstract:
A case of type 2 diabetes with glycogenic hepatopathy
Renshu MA, Tong WU, Ge YU, Ying CONG, Guijie XIN
2021, 37(9): 2183-2184. DOI: 10.3969/j.issn.1001-5256.2021.09.035
Abstract(703) HTML (445) PDF (3125KB)(55)
Abstract:
A case of Alagille syndrome
Shan TANG, Li BAI, Wenyan SONG, Chen LIANG, Jie BAI, Sujun ZHENG
2021, 37(9): 2185-2187. DOI: 10.3969/j.issn.1001-5256.2021.09.036
Abstract(964) HTML (503) PDF (2747KB)(57)
Abstract:
Living-related donor liver transplantation for pediatric patients with Caroli disease: A case report
Yuxiang ZHAO, Lei JIA, Haiyang LI
2021, 37(9): 2188-2190. DOI: 10.3969/j.issn.1001-5256.2021.09.037
Abstract(1071) HTML (440) PDF (2561KB)(53)
Abstract:
Reviews
Research advances in hepatitis B virus and ubiquitination of related proteins
Wenhui TU, Jin LIU, Chuanwu ZHU
2021, 37(9): 2191-2197. DOI: 10.3969/j.issn.1001-5256.2021.09.038
Abstract(952) HTML (874) PDF (6007KB)(89)
Abstract:
Protein ubiquitination is widely observed in cells and is a modification after protein translation. Hepatitis B virus (HBV) and ubiquitination of related proteins have attracted more and more attention. This article reviews HBV and the ubiquitination of related proteins, so as to provide a reference for further research on the regulation of HBV replication and the ubiquitination of related proteins, as well as new ideas and methods for curing chronic HBV infection.
Research advances in monomers of Chinese herbs in treatment of liver fibrosis by regulating oxidative stress
Zhiwen ZHOU, Shan LI, Xianghua LIU, Ningning LI, Ning SUN, Baoping LU
2021, 37(9): 2198-2202. DOI: 10.3969/j.issn.1001-5256.2021.09.039
Abstract(1319) HTML (455) PDF (2372KB)(73)
Abstract:
Liver fibrosis, a common pathological process of most types of chronic liver diseases, is caused by the excessive deposition of extracellular matrix proteins after chronic liver injury. An increasing number of evidence has shown that oxidative stress is closely associated with the development and progression of liver fibrosis and is involved in the pathological process of liver fibrosis caused by various factors. With natural constituents and a clear structure, Chinese herbal monomers herbs have achieved a marked clinical effect in the treatment of liver fibrosis. This article reviews the research advances in monomers of Chinese herbs in the treatment of liver fibrosis by regulating oxidative stress-related signaling pathways.
Association between YKL-40 and liver fibrosis
Jiawei SHI, Jing HUANG
2021, 37(9): 2203-2205. DOI: 10.3969/j.issn.1001-5256.2021.09.040
Abstract(1074) HTML (196) PDF (1985KB)(65)
Abstract:
YKL-40 is an emerging inflammatory marker with the highest expression level in the liver. This article summarizes the research advances in YKL-40 as a serological marker for liver fibrosis. The analysis shows that YKL-40 can effectively evaluate the severity of liver fibrosis and thus holds promise for clinical application. Due to limited diagnostic efficiency of a single index, the combination of YKL-40 diagnostic model and other serological markers will become a research hotspot in the future.
Application of metagenomic next-generation sequencing in sepsis in liver cirrhosis
Xiaoge BEI, Jinjun CHEN, Beiling LI
2021, 37(9): 2206-2209. DOI: 10.3969/j.issn.1001-5256.2021.09.041
Abstract(1088) HTML (428) PDF (1991KB)(70)
Abstract:
Due to persistent systemic inflammation and immunosuppressive conditions, patients with liver cirrhosis are susceptible to bacterial infection, which may progress to sepsis without proper control. Early effective antibiotic therapy is the key to improving the prognosis of patients with sepsis. This article briefly describes the pathophysiological mechanism of sepsis in patients with liver cirrhosis and the current status of the diagnosis and treatment of sepsis, and it is pointed out that metagenomic next-generation sequencing can be used to guide effective antibacterial treatment of sepsis.
Role of N6-methyladenosine in the development and progression of hepatocellular carcinoma
Ke MA, Lijin ZHAO
2021, 37(9): 2210-2214. DOI: 10.3969/j.issn.1001-5256.2021.09.042
Abstract(884) HTML (249) PDF (2009KB)(52)
Abstract:
Hepatocellular carcinoma (HCC) is the most common type of primary liver cancer and has relatively high incidence and mortality rates. Abnormal modification of N6-methyladenosine (m6A) may promote the development and progression of HCC. This article describes the structure and function of m6A and summarizes the mechanism of action of methylase complexes which decide the function of m6A in HCC, including methyltransferases (writers), demethylases (erasers), and m6A-binding proteins (readers). It is pointed out that more in-depth studies are needed to clarify the diverse and specific role of methylase complexes in HCC, so as to help them become the new targets for the prevention and treatment of HCC in the future.
Research advances in extrahepatic diseases associated with nonalcoholic fatty liver disease
Luying ZHU, Yuchen LI, Lihua DENG, Jingtong WANG
2021, 37(9): 2215-2219. DOI: 10.3969/j.issn.1001-5256.2021.09.043
Abstract(2009) HTML (429) PDF (2181KB)(144)
Abstract:
Nonalcoholic fatty liver disease (NAFLD) is a major cause of chronic liver diseases worldwide and covers a series of pathological manifestations from hepatic steatosis to inflammation, fibrosis, and even liver cirrhosis. NAFLD is associated with a wide range of extrahepatic diseases, including metabolic syndrome, cardiovascular disease, chronic kidney disease, endocrine diseases, obstructive sleep apnea-hypopnea syndrome, psoriasis, and skeleton-muscle diseases. The major causes of death in patients with NAFLD include cardiovascular disease, malignancies, and liver-related complications, suggesting that extrahepatic diseases associated with NAFLD should be taken seriously by clinicians. This article reviews the research advances in extrahepatic diseases associated with NAFLD, so as to provide ideas for clinical assessment and treatment.
Research advances in autophagy-related signal molecules in nonalcoholic fatty liver disease
Jingxia HE, Xiuqin AN, Jinchun LIU
2021, 37(9): 2220-2224. DOI: 10.3969/j.issn.1001-5256.2021.09.044
Abstract(1224) HTML (231) PDF (2006KB)(55)
Abstract:
Nonalcoholic fatty liver disease (NAFLD) has become one of the main causes of chronic liver diseases worldwide and is closely associated with metabolic syndrome. In-depth studies on the pathogenesis of NAFLD in recent years have shown that autophagy is a highly conservative process in eukaryotes and plays an important role in the progression of NAFLD, and therefore, it is expected to become a new target for the treatment of NAFLD. This article reviews the research advances in autophagy-related signal molecules in NAFLD, in order to provide new ideas for the treatment of NAFLD.
Association of circadian rhythm and related genes with nonalcoholic fatty liver disease
Chenlu ZHAO, Wenxia ZHAO
2021, 37(9): 2225-2230. DOI: 10.3969/j.issn.1001-5256.2021.09.045
Abstract(1328) HTML (344) PDF (2354KB)(95)
Abstract:
The association between circadian rhythm and metabolic diseases has attracted more and more attention in recent years. A large number of clinical studies have shown that people who often stay up late or work in shifts have a significantly higher risk of nonalcoholic fatty liver disease than those with regular work and rest. Based on current research findings, this article reviews the mechanism of action of circadian rhythm genes in nonalcoholic fatty liver disease from the five aspects of lipid metabolism, glucose metabolism, intestinal flora, oxidative stress, and endoplasmic reticulum stress.
Role of intestinal flora in metabolic-associated fatty liver disease
Lidan YANG, He HE, Zhenmei AN
2021, 37(9): 2231-2235. DOI: 10.3969/j.issn.1001-5256.2021.09.046
Abstract(1336) HTML (317) PDF (2014KB)(112)
Abstract:
In recent years, more and more studies have shown that intestinal flora is critical to the development and progression of metabolic-related fatty liver disease (MAFLD). This article summarizes MAFLD-related intestinal flora and metabolites and their possible mechanisms of action in disease process. Although related intestinal flora and metabolites are expected to become new noninvasive diagnostic markers and therapeutic targets for MAFLD, their clinical application still requires more in-depth research. The development of modern high-throughput sequencing technology provides new ideas for research. The integrated analysis of multi-omics, such as genes, proteins, transcription, and metabolism, allows us to establish a comprehensive understanding of the microbial factors affecting MAFLD under the precision medicine system, so as to lay a foundation for targeted transplantation of intestinal flora and drug development for liver metabolic homeostasis.
Research advances in the association between activating transcription factor 3 and chronic liver diseases
Qunli GU, Hui LI, Xiuxiu DENG, Zijian ZENG, Haijian DONG
2021, 37(9): 2236-2240. DOI: 10.3969/j.issn.1001-5256.2021.09.047
Abstract(1324) HTML (645) PDF (2007KB)(96)
Abstract:
Activating transcription factor 3 (ATF3) belongs to the transcription factor ATF/CREB family and is a stress-induced adaptive response gene. ATF3 is involved in the regulation of various cell activities to adapt to the changes in intracellular and extracellular environments. Recent studies have shown that ATF3 plays an important role in the development and progression of various chronic liver diseases, including nonalcoholic fatty liver disease, liver fibrosis, and liver cancer, by regulating gluconeogenesis, lipid metabolism, and immune function. This article reviews the mechanism of action of ATF3 in chronic liver diseases.
Role of miRNA in the development and progression of cholangiocarcinoma
Sheng CHEN, Guoxiang CHEN, Zhongming HE, Shujie CHENG, Jisen ZHAO
2021, 37(9): 2241-2245. DOI: 10.3969/j.issn.1001-5256.2021.09.048
Abstract(1090) HTML (343) PDF (2015KB)(61)
Abstract:
Cholangiocarcinoma is the most common malignant tumor of the biliary tract, with a relatively high mortality rate and an incidence rate increasing year by year. Due to atypical symptoms in the early stage and complex anatomical location, it is often difficult for patients with cholangiocarcinoma to be diagnosed in the early stage, and therefore, they often miss the optimal treatment period and tend to have poor prognosis. In recent years, studies have shown that miRNAs play a key role in the pathophysiological process of the development and progression of cholangiocarcinoma. This article reviews the regulatory role of miRNAs in the development, invasion, metastasis, drug resistance, and tumor microenvironment of cholangiocarcinoma and introduces the latest advances in exosome miRNA and cholangiocarcinoma, so as to provide potential treatment strategies for cholangiocarcinoma.
New advances in the treatment of pancreatic cancer by targeting tumor microenvironment
Feiyu ZHANG, Yakepu ADILA, Jinming ZHAO, Yanhang GAO
2021, 37(9): 2246-2248. DOI: 10.3969/j.issn.1001-5256.2021.09.049
Abstract(1391) HTML (564) PDF (1980KB)(171)
Abstract:
Pancreatic cancer is the malignant tumor of the digestive tract with the lowest 5-year survival rate, and current first-line treatment regimens cannot significantly improve the overall prognosis of patients, so it is necessary to explore new treatment methods. A large number of studies have shown that the tumor microenvironment of pancreatic cancer, such as stromal barrier, immune microenvironment, and exosomes, plays an important role in promoting the proliferation, invasion, metastasis, and chemoradiotherapy resistance of pancreatic cancer cells. This article summarizes the potential targets associated with the tumor microenvironment of pancreatic cancer and related clinical research advances, in order to provide new ideas for the treatment of pancreatic cancer.