中文English
ISSN 1001-5256 (Print)
ISSN 2097-3497 (Online)
CN 22-1108/R

2021 No.8
Theme Issue: New practice in clinical diagnosis and treatment of hepatocellular carcinoma
Executive Chief Editor: Chen Dongfeng 
Army Specialized Medical Center of Army Medical University

Display Method:
Editorial
Clinical diagnosis and treatment of hepatocellular carcinoma: From guidelines to clinical practice
Tao WANG, Dongfeng CHEN
2021, 37(8): 1745-1747. DOI: 10.3969/j.issn.1001-5256.2021.08.001
Abstract(1484) HTML (379) PDF (1926KB)(293)
Abstract:
Hepatocellular carcinoma (HCC), characterized by insidious onset, rapid progression, and poor treatment outcome, is a common malignant tumor that seriously affects the health of people. Therefore, various academic research associations in China and globally have released a number of evidence-based medicine guidelines for liver cancer, focusing on the key issues in the screening, diagnosis, and treatment of HCC, and made constant updates to these guidelines. Clinicians are recommended to comprehend these guidelines with reference to their own specialties, so as to gain a better understanding of the advances in the field of liver cancer and further improve the prognosis of HCC patients.
Discussions by experts
Diagnosis and treatment of hepatocellular carcinoma associated with nonalcoholic fatty liver disease
Shiyan YAN, Jiangao FAN
2021, 37(8): 1748-1752. DOI: 10.3969/j.issn.1001-5256.2021.08.002
Abstract(1249) HTML (506) PDF (2794KB)(191)
Abstract:
At present, the majority (> 80%) of hepatocellular carcinoma (HCC) cases in the world is mainly caused by chronic HBV or HCV infection, and in China, up to 80% of HCC cases are caused by HBV, but the mortality rate of HBV-related HCC has decreased by 30% recently. At the same time, obesity, type 2 diabetes, and nonalcoholic fatty liver disease (NAFLD) gradually replace hepatitis virus infection and alcohol abuse and have become the important pathogenic factors for HCC, and there is also a tendency of increase in HCC cases caused by metabolic dysfunction and fatty liver disease in recent years. For this reason, it is particularly important to investigate the diagnosis, treatment, and possible pathogenesis of HCC associated with NAFLD.
Targeted therapy for hepatocellular carcinoma
Ningning ZHANG, Wei LU
2021, 37(8): 1753-1757. DOI: 10.3969/j.issn.1001-5256.2021.08.003
Abstract(1533) HTML (657) PDF (1886KB)(249)
Abstract:
With the in-depth research on the molecular mechanism of hepatocellular carcinoma (HCC) in recent years, targeted therapy has achieved rapid development and made great contributions to delaying disease progression and improving prognosis. Due to the complex pathogenesis of HCC, molecular targeted therapy alone has unsatisfactory overall clinical benefits; therefore, new treatment regimens of targeted therapy in combination with other treatment modalities continue to appear in recent years and have obtained encouraging results. This article briefly summarizes the drugs used in molecular targeted therapy, the current research status of molecular targeted therapy, and the advances in its combination with other treatment modalities for HCC.
Application value of immunotherapy in hepatocellular carcinoma
Yanmei ZOU, Xianglin YUAN
2021, 37(8): 1758-1760. DOI: 10.3969/j.issn.1001-5256.2021.08.004
Abstract(1388) HTML (327) PDF (1852KB)(184)
Abstract:
Immunotherapy has brought new hope for hepatocellular carcinoma (HCC) patients. At present, immunotherapy drugs alone have achieved a certain therapeutic effect in the treatment of HCC, and combined treatment regimen of targeted therapy and immunotherapy has shown great potential in the conversion therapy and perioperative treatment for HCC. This article discusses targeted immunotherapy for HCC and related issues in treatment evaluation, prediction system, and safety and further elaborates on the application value of immunotherapy in HCC and the directions for further exploration.
Advances in clinical research on vascular interventional therapy for hepatocellular carcinoma
Liangzhi WEN, Xiao XIAO, Qixian YAN, Jun WANG
2021, 37(8): 1761-1764. DOI: 10.3969/j.issn.1001-5256.2021.08.005
Abstract(1468) HTML (316) PDF (1872KB)(151)
Abstract:
Vascular interventional therapy for hepatocellular carcinoma (HCC) is the most important treatment modality for unresectable HCC, including transcatheter arterial chemoembolization and hepatic arterial infusion chemotherapy. With the development and application of new materials and surgical procedures, the above treatment regimens have been modified and optimized, and various clinical studies have discussed the clinical effect of different regimens in the treatment of HCC and have made new achievements, which provides new strategies and a theoretical basis for vascular interventional therapy for HCC in clinical practice. This article summarizes the new advances in the clinical research on vascular interventional therapy for HCC.
Molecular heterogeneity of hepatocellular carcinoma and its precise treatment in clinical practice
Qiang ZOU, Jun WANG, Liangzhi WEN, Bin WANG, Yi ZHANG
2021, 37(8): 1765-1769. DOI: 10.3969/j.issn.1001-5256.2021.08.006
Abstract(1779) HTML (315) PDF (2840KB)(245)
Abstract:
Hepatocellular carcinoma (HCC) is the most common type of liver cancer in China, and high molecular heterogeneity of HCC has caused the limitations in clinical efficacy; therefore, it is of great importance to explore its heterogeneity based on molecular classification and develop individualized diagnosis and treatment strategies. Various high-throughput sequencing techniques and multi-omics techniques in recent years have helped to establish multiple molecular classification systems, which gives us a deeper understanding of the molecular heterogeneity of HCC. This article summarizes the molecular classifications of HCC and discusses their association with clinicopathological features. This article also analyzes the new targets for molecular targeted therapy and immunotherapy and proposes new ideas for precise diagnosis and individualized treatment of HCC.
Guidelines
Guideline for ultrasonic diagnosis of liver diseases
Chinese Society of Ultrasound in Medicine, Oncology Intervention Committee of Chinese Research Hospital Society, National Health Commission Capacity Building and Continuing Education Expert Committee on Ultrasonic Diagnosis
2021, 37(8): 1770-1785. DOI: 10.3969/j.issn.1001-5256.2021.08.007
Abstract(3025) HTML (6526) PDF (9311KB)(794)
Abstract:
Ultrasound is a non-invasive, real-time, inexpensive, radiation-free and easily repeatable method, usually used for liver imaging. In recent years, new ultrasound examination techniques for liver diseases such as contrast-enhanced ultrasound and elastography have been rapidly developed, which can effectively identify intrahepatic space-occupying lesions, assess the degree of liver fibrosis and portal hypertension, and monitor the effects of treatment. Therefore, these technologies play an important diagnostic role in clinical liver diseases and have therapeutic interventional value. This guideline classifies the instrument set-up, patient preparation, and physician examination methods through multimodal ultrasound examinations (gray-scale ultrasound, color Doppler ultrasound, contrast-enhanced ultrasound, elastic ultrasound) for liver diseases. In addition, liver diseases multimodal ultrasound technology diagnostic criteria for diffuse hepatic lesions (inflammatory lesions, fibrosis, and sclerosis), multiple space-occupying lesions, and interventional procedures have been defined and standardized. Concurrently, we also recommend the ultrasound monitoring time interval and diagnostic report writing standard for liver diseases.
An excerpt of Swedish national guidelines for chronic pancreatitis (2021)
Xiaoyu QIN, Xiaoyan GUO, Yihai SHI
2021, 37(8): 1786-1788. DOI: 10.3969/j.issn.1001-5256.2021.08.008
Abstract(1183) HTML (256) PDF (1836KB)(173)
Abstract:
Original articles_Viral hepatitis
Clinical effect of entecavir antiviral therapy in chronic hepatitis B patients with persistently normal alanine aminotransferase and mild liver histological abnormalities
Zhihong LIU, Jianning JIANG, Minghua SU, Shihua LI, Bobin HU, Jiaxin FU, Yanping FU, Huijiao LI, Li GUO
2021, 37(8): 1789-1792. DOI: 10.3969/j.issn.1001-5256.2021.08.009
Abstract(1422) HTML (341) PDF (1871KB)(133)
Abstract:
  Objective  To investigate the clinical effect of entecavir antiviral therapy in chronic hepatitis B (CHB) patients with persistently normal alanine aminotransferase (PNALT) and mild liver histological abnormalities.  Methods  A retrospective analysis was performed for 181 patients with hepatitis B virus (HBV) infection who were admitted to The First Affiliated Hospital of Guangxi Medical University from January 2008 to January 2018, and according to the baseline ALT level, they were divided into study group (61 patients with PNALT at baseline), control group 1 [62 patients with an ALT level of (1-2)×upper limit of normal (ULN)], and control group 2 (58 patients with an ALT level of > 2×ULN). Entecavir antiviral therapy was given for at least 1 year, and clinical outcome was compared between the three groups. The life-table method was used to calculate the cumulative progression rates and annual incidence rates of virologic response, HBeAg serological response, and virologic breakthrough. An analysis of variance was used for comparison of continuous data between groups, and the SNK method was used for further comparison between two groups; the chi-square test was used for comparison of categorical data between groups.  Results  Among the 181 patients enrolled in this study, there were 124 male patients (68.5%) and 80 patients with positive HBeAg (44.2%), with a mean follow-up time of 3.63 years. The three groups had a mean annual incidence rate of virologic response of 74.37%, 71.89%, and 74.21%, respectively (χ2=2.91, P=0.371) and an annual incidence rate of virologic breakthrough of 3.48%, 5.17%, and 2.73%, respectively (χ2=1.72, P=0.097). For the patients with positive HBeAg, the three groups had a mean annual clearance rate of 9.79%, 37.16%, and 38.24%, respectively (χ2=1.37, P=0.01) and a mean annual HBeAg seroconversion rate of 9.10%, 31.35%, and 36.74%, respectively (χ2=5.61, P=0.021); the study group had significantly lower mean annual clearance rate and seroconversion rate of HBeAg than the control groups 1 and 2 (all P < 0.05).  Conclusion  CHB patients with PNALT level can obtain satisfactory virologic response after entecavir antiviral therapy, while immunological response needs to be further improved.
A clinical study of clinical cure after the addition of interferon therapy in chronic hepatitis B patients with low-level HBsAg previously treated with nucleos(t)ide analogues
Weili NIU, Yongsu WANG, Qingshan WU, Lin ZHANG, Zhongqin ZHANG, Xiaojun YANG, Xianbin ZHU, Wenqin XIAO, Mingping JI
2021, 37(8): 1793-1797. DOI: 10.3969/j.issn.1001-5256.2021.08.010
Abstract(1301) HTML (328) PDF (1877KB)(131)
Abstract:
  Objective  To investigate the population with an advantage of clinical cure previously treated with nucleos(t)ide analogues (NAs), and to provide more methods for clinicians in pursuing the clinical cure of hepatitis B.  Methods  A total of 42 chronic hepatitis B patients with low-level HBsAg who received NAs treatment in Hebi Third People's Hospital from October 2017 to October 2019 were enrolled as subjects and divided into combination treatment group (group A) and NA monotherapy group (group B). The 22 subjects in group A were treated with NAs combined with PEG-IFN antiviral therapy for 48 weeks, and some patients withdrew from PEG-IFN after 24 weeks and continued to receive NA monotherapy, while the 20 subjects in group B received NA antiviral therapy alone. Both groups were observed till week 48, and the five makers for hepatitis B were measured to evaluate clinical outcome. The t-test was used for comparison of continuous data between two groups, and the Fisher's exact test was used for comparison of categorical data between two groups; a multivariate logistic regression analysis was used to perform a multivariate analysis.  Results  Compared with group B at the 48-week treatment endpoint, group A had significantly higher HBsAg clearance rate (45.5% vs 0, P < 0.01) and HBsAg seroconversion rate (31.8% vs 0, P < 0.01). The population with HBsAg < 1000 IU/ml, < 500 IU/ml, < 100 IU/ml, and < 10 IU/ml had an HBsAg clearance rate of 52.6%, 61.5%, 66.7%, and 100%, respectively, and the population with an HBsAg level of 500-1000 IU/ml, 100-500 IU/ml, 10-100 IU/ml, and < 10 IU/ml had an HBsAg clearance rate of 33.3%, 50%, 40%, and 100%, respectively. The 4 patients with baseline HBsAg < 10 IU/ml (accounting for 18.2% in group A) achieved clinical cure at week 12 of combined treatment, and after observation to week 48, 2 patients had an anti-HBs level of > 100 IU/ml and 2 had an anti-HBs level of > 1000 IU/ml. The multivariate logistic regression analysis of HBsAg clearance showed that age at the initiation of combined treatment affected HBsAg clearance (odds ratio [OR]=0.877, 95% confidence interval [CI]: 0.781-0.985, P=0.026), and most of the patients with HBsAg clearance had an age of 36-49 (44.20±4.49) years; baseline HBsAg level also had an impact on HBsAg clearance (OR=0.996, 95% CI: 0.992-1.000, P=0.050).  Conclusion  The addition of interferon therapy in chronic hepatitis B patients with low-level HBsAg previously treated with NAs can significantly improve the clinical cure rate. The younger the age and the lower the HBsAg level, the shorter the duration of combined treatment. Age and baseline HBsAg level are more important than the duration and type of NA medication.
Influencing factors for abnormal renal function markers in chronic hepatitis B patients receiving long-term oral administration of entecavir/tenofovir disoproxil fumarate
Huibin NING, Huiming JIN, Kuan LI, Zhen PENG, Wei LI, Jia SHANG
2021, 37(8): 1798-1801. DOI: 10.3969/j.issn.1001-5256.2021.08.011
Abstract(1273) HTML (368) PDF (1861KB)(126)
Abstract:
  Objective  To investigate the status of abnormal renal function markers and related influencing factors in chronic hepatitis B (CHB) patients receiving oral antiviral drugs for a long time.  Methods  A retrospective analysis was performed for the clinical data of 681 CHB patients who attended Henan Provincial People's Hospital from January to December 2019 and received long-term oral administration of entecavir (ETV)/tenofovir disoproxil fumarate (TDF). All patients received the measurement of blood renal function markers (urea, creatinine, retinol-binding protein [RBP], cystatin C [Cys-C], and β2-microglobulin [β2-MG]), urinary renal function markers (α1-microglobulin [α1-MG], Cys-C, and N-acetyl-β-D-glucosaminidase [NAG]), and urine routine parameters. The incidence rate of abnormal renal function markers were analyzed. The McNemar's test was used for comparison of categorical data between groups, and the multivariate logistic regression analysis was used to investigate independent influencing factors for abnormal renal markers in urine.  Results  The 681 patients had a mean age of 39.8±11.0 years and received medication for 1.88 (0.80-3.16) years. There were 417 male patients and 264 female patients, and the incidence rate of liver cirrhosis was 27.02% (184/681). Of all 681 patients, 442 received ETV and 239 received TDF. The measurement of blood renal function markers showed that urea, creatinine, retinol-binding protein, Cys-C, and β2-MG had an abnormal rate of 6.9% (47/681), 0.15% (1/681), 0(0/681), 2.21% (15/681), and 5.03% (30/681), respectively, and the abnormal rate of urinary protein was 7.29% (49/672). The measurement of urinary renal function markers showed that α1-MG, NAG, and Cys-C had an abnormal rate of 38.62% (263/681), 37.74% (257/681), and 19.38% (132/681), respectively. The abnormal rate of urine test was higher than that of blood test (P < 0.001). The multivariate logistic regression analysis with urinary α1-MG as the dependent variable showed that sex (odds ratio [OR]=0.293, 95% confidence interval [CI]: 0.204-0.419, P < 0.05), age (OR=1.298, 95%CI: 1.108-1.521, P < 0.05), and type of nucleoside drug (OR=2.100, 95%CI: 1.431-3.083, P < 0.05) were influencing factors. The multivariate logistic regression analysis with urinary NAG as the dependent variable showed that age (OR=1.177, 95%CI: 1.008-1.375, P=0.040) was an influencing factor.  Conclusion  Compared with blood renal function markers, urinary renal function markers can identify renal injury earlier in CHB patients, and the elderly patients and the patients receiving TDF are more likely to develop abnormal renal function. However, it is not observed whether the duration of medication and liver cirrhosis can increase the risk of renal injury in CHB patients.
Rate of active immune response to hepatitis B vaccine in adult hepatitis B recipients after liver transplantation and its correlation with CD4 level before vaccination
Xu WANG, Shanshan XU, Yihui RONG, Huanjing CAI, Guiqiang WANG
2021, 37(8): 1802-1805. DOI: 10.3969/j.issn.1001-5256.2021.08.012
Abstract(973) HTML (289) PDF (1859KB)(191)
Abstract:
  Objective  To investigate the main clinical influencing factors for the rate of active immune response to hepatitis B vaccine in adult hepatitis B recipients after liver transplantation.  Methods  Analysis was performed for the clinical follow-up data of 15 hepatitis B recipients after liver transplantation who received hepatitis B vaccine in Peking University International Hospital from May 2019 to November 2020, and all patients received liver transplantation at least 3 years before and had a CD4 level of 300-800 cells/u before vaccination. Each dose of vaccination was 40 μg recombinant hepatitis B vaccine (Saccharomyces cerevisiae), with a total of 4 injections at 0, 1, 6, and 8 months. Anti-HBs ≥100 mIU/L after four injections which lasted for 12 weeks without attenuation was considered successful response. Pearson correlation analysis and Kendall correlation analysis were used to investigate the correlation between CD4 level before vaccination and vaccine response rate; a linear regression analysis was used to investigate whether CD4 level before vaccination could predict the titer of anti-HBs after active vaccine immunization; a logistic regression analysis was used to investigate whether CD4 level before vaccination could predict vaccine response.  Results  Of all patients at week 12 of monitoring, 6 patients had response, among whom 1 had an anti-HBs level of > 1000 mIU/L and 5 had an anti-HBs level of ≥100 mIU/L, and the antibody titer did not attenuate till week 16; the response rate of hepatitis B vaccine was 40%. The 6 patients with response had a mean CD4 level of ≥592 cells/u before vaccination, while the 9 patients without response had a mean CD4 level of ≤500 cells/u before vaccination. CD4 level before vaccination was strongly correlated with the response rate of hepatitis B vaccine (Pearson correlation analysis: r=0.767, P=0.001; Kendall correlation: r=0.717, P=0.001).  Conclusion  CD4 level before vaccination is a key clinical factor affecting the response rate of hepatitis B vaccine after liver transplantation.
Establishment of a droplet digital PCR method for the detection of hepatitis B virus covalently closed circular DNA
Yuan TIAN, Ling XU, Zihao FAN, Yaling CAO, Xiangying ZHANG, Yu CHEN, Zhongping DUAN, Feng REN
2021, 37(8): 1806-1810. DOI: 10.3969/j.issn.1001-5256.2021.08.013
Abstract(1527) HTML (550) PDF (3144KB)(264)
Abstract:
  Objective  To establish a droplet digital PCR (ddPCR) method for detecting hepatitis B virus (HBV) covalently closed circular DNA (cccDNA).  Methods  HBV cccDNA standard substance was constructed, and HBV cccDNA primers and probes were designed based on the structural differences between HBV cccDNA and relaxed circular DNA (rcDNA). HBV plasmid was amplified to obtain HBV cccDNA standard substance, and a ddPCR detection method was established with the standard substance after gradient dilution as the template for HBV cccDNA detection; the limit of detection and repeatability of this method were analyzed. Liver tissue samples were collected from 20 patients who attended Beijing YouAn Hospital, Capital Medical University, from June 2017 to October 2020, all of whom were diagnosed with HBV infection, and DNA of the samples was extracted and digested with plasmid-safe ATP-dependent DNA enzyme to obtain HBV cccDNA template; the ddPCR detection method was evaluated in clinical samples and was compared with the quantitative real-time PCR (qPCR) detection method. The chi-square test was used for comparison of categorical data between the two groups.  Results  The HBV cccDNA detection method based on ddPCR was established, which accurately detected HBV cccDNA in standard substance after gradient dilution, with a limit of detection of 1 copy/μl, and the coefficients of variation of 1×103, 1×102, and 1×101 copies/μl standard substances were 4.41%, 3.98%, and 5.09%, respectively. HBV cccDNA was detected in the samples of 20 patients with HBV infection; the ddPCR detection method detected HBV cccDNA in 17 patients, with a positive rate of 85%, while the qPCR detection method detected HBV cccDNA in 11 patients, with a positive rate of 55%, and there was a significant difference between the two methods (χ2=4.286, P=0.038).  Conclusion  The established ddPCR method for detecting HBV cccDNA has a low limit of detection and good repeatability, which provides an effective tool for further clinical detection.
Original articles_Liver fibrosis and liver cirrhosis
Influence of virologic response on disease progression in patients with compensated hepatitis B cirrhosis
Bowu CHEN, Xiaojun ZHU, Xin ZHANG, Xuehua SUN, Man LI, Yueqiu GAO
2021, 37(8): 1811-1816. DOI: 10.3969/j.issn.1001-5256.2021.08.014
Abstract(960) HTML (403) PDF (2573KB)(97)
Abstract:
  Objective  To investigate the effect of sustained virologic response on disease progression and the development of hepatocellular carcinoma (HCC) in patients with compensated hepatitis B cirrhosis receiving antiviral therapy with nucleos(t)ide analogues (NAs).  Methods  A total of 542 patients with compensated hepatitis B cirrhosis who attended Shuguang Hospital Affiliated to Shanghai University of Traditional Chinese Medicine from January 1 to December 31, 2013, received antiviral therapy, and were followed up for more than 5 years were enrolled, and according to the status of virologic response during follow-up, they were divided into a sustained virologic response cohort with 496 cases and a non-sustained virologic response cohort with 46 cases. With disease progression as the outcome event, general information and examination data were collected during the 5-year follow-up period. The t-test was used for comparison of normally distributed continuous data between groups, and the Mann-Whitney U test was used for comparison of non-normally distributed continuous data between groups; the chi-square test was used for comparison of categorical data between groups. A multivariate logistic regression analysis was performed; relative risk and 95% confidence interval (CI) were used to investigate the degree of correlation of factors measured with the progression of liver cirrhosis. The life-table method was used to calculate the 1-, 3-, and 5-year progression-free survival rates, and the Kaplan-Meier method was used to plot survival curves; the log-rank test was used for univariate analysis, and the Cox regression model was used for multivariate regression analysis.  Results  For the 542 patients, the mean progression-free survival time was 62.50 months (95% CI: 61.01-63.92), and the 1-, 3-, and 5-year progression-free survival rates were 94%, 82%, and 71%, respectively. The sustained virologic response cohort had a significantly longer mean progression-free survival time than the non-sustained virologic response cohort [63.10 months (95% CI: 61.65-64.55) vs 55.95 months (95% CI: 50.19-61.71), χ2=12.058, P=0.001]. Compared with the non-sustained virologic response cohort, the sustained virologic response cohort had significantly lower 5-year cumulative incidence rate of HCC than (20.6% vs 34.8%, χ2=5.759, P=0.016) and 5-year cumulative incidence rate of decompensated cirrhosis (5.0% vs 15.2%, χ2=8.239, P=0.004). Virologic response was an independent risk factor for disease progression (hazard ratio=2.32, 95% CI: 1.45-3.72).  Conclusion  Sustained virologic response can reduce the incidence rates of complications and HCC, improve long-term prognosis, and prolong survival time in patients with compensated hepatitis B cirrhosis.
Influencing factors for chronic kidney disease in patients with hepatitis B cirrhosis
Li YANG, Ke SHI, Fangyuan GAO, Chongping RAN, Jie HOU, Xianbo WANG
2021, 37(8): 1817-1821. DOI: 10.3969/j.issn.1001-5256.2021.08.015
Abstract(1024) HTML (326) PDF (2006KB)(84)
Abstract:
  Objective  To investigate the influencing factors for chronic kidney disease (CKD) in patients with hepatitis B cirrhosis within 3 years.  Methods  A total of 376 patients with hepatitis B cirrhosis who attended Beijing Ditan Hospital, Capital Medical University, from January 2014 to July 2017 were enrolled and followed up for 3 years, and according to the presence or absence of CKD, they were divided into CKD group with 23 patients and non-CKD group with 353 patients. Related general information and laboratory markers were collected. The t-test or the Mann-Whitney U test was used for comparison of continuous data between two groups, and the chi-square test or the Fisher's exact test was used for comparison of categorical data between two groups; a stepwise forward Cox regression analysis was used to screen out the independent influencing factors for CKD within 3 years in patients with hepatitis B cirrhosis. The area under the receiver operating characteristic curve (AUC) was used to investigate the value of the influencing factors in predicting CKD in patients with hepatitis B cirrhosis; the Kaplan-Meier method was used for survival analysis, and the log-rank test was used for comparison of the cumulative incidence rate of CKD between the patients with different risks.  Results  The multivariate Cox regression analysis showed that age (hazard ratio [HR]=1.078, 95% confidence interval [CI]: 1.007-1.114, P=0.026), albumin (Alb) (HR=0.923, 95% CI: 0.860-0.989, P=0.024), and estimated glomerular filtration rate (eGFR) (HR=0.977, 95% CI: 0.955-0.999, P=0.037) were independent influencing factors for CKD within 3 years in patients with hepatitis B cirrhosis. Age, Alb, and eGFR had a relatively good value in predicting CKD, with AUCs of 0.701, 0.710, and 0.706, respectively. The Kaplan-Meier survival curve showed that the patients with baseline age ≥55 years, Alb < 32 g/L, and eGFR ≥60 ml·min-1·1.73 m-2 and < 76 ml·min-1·1.73 m-2 had a higher risk of CKD (χ2=9.647, 13.621, and 30.940, all P < 0.05).  Conclusion  Renal function should be closely monitored for patients with old age and low Alb and eGFR levels.
Effect of combined treatment with human umbilical cord blood mononuclear cells and human umbilical cord mesenchymal stem cells on liver function, inflammation grade, and immune function in patients with hepatitis B cirrhosis
Xia HAN, Sheng YUN
2021, 37(8): 1822-1828. DOI: 10.3969/j.issn.1001-5256.2021.08.016
Abstract(1931) HTML (473) PDF (3361KB)(227)
Abstract:
  Objective  To retrospectively investigate the effect of combined treatment with human umbilical cord blood mononuclear cells (hUCB-MNCs) and human umbilical cord mesenchymal stem cells (hUC-MSCs) on liver function, inflammation grade, and immune function in patients with hepatitis B-related decompensated cirrhosis.  Methods  11 patients with liver cirrhosis who were admitted to the Affiliated Hospital of Inner Mongolia Medical University from November 2016 to June 2019 were enrolled in this clinical study and were given infusion of hUCB-MNCs (> 18×109/time) once in the first week and infusion of hUC-MSCs (1×106/kg) once a week in the second, third, and fourth weeks. Reexamination was performed at 4, 8, and 12 weeks after treatment to compare the changes in liver function, blood ammonia, blood coagulation factors, serum levels of cytokines, and lymphocyte subsets after treatment, and the changes in neurological and psychiatric symptoms were observed and recorded. A one-way repeated-measures analysis of variance was used for comparison of continuous data between groups.  Results  After the combined treatment with hUCB-MNCs and hUC-MSCs, all 11 patients achieved certain improvements in psychiatric and neurological symptoms after infusion, and liver function parameters and blood coagulation function basically returned to normal (all P < 0.05). At 12 weeks after the combined infusion of cells, blood ammonia level returned to the normal level (P < 0.05), and there were significant reductions in the levels of the inflammatory cytokines interleukin-6 and tumor necrosis factor (F=49.497 and 37.071, both P < 0.05) and significant increases in the levels of the anti-inflammatory cytokines transforming growth factor-β and interleukin-10 (F=35.843 and 15.918, both P < 0.05). There were also significant reductions in the percentages of the cytotoxic cells CD3+CD8+ T and CD19+ B cells (F=52.242 and 89.097, both P < 0.05) and a significant increase in the regulatory T cells CD4+CD25+ (F=17.337, P < 0.05).  Conclusion  Combined treatment with hUCB-MNCs and hUC-MSCs for liver cirrhosis can optimize liver function, reduce the production of inflammatory cytokines, alleviate liver inflammation and liver cell destruction, and increase regulatory T cells, thereby affecting the body's immune function.
Influence of portal vein thrombosis on the prognosis of patients with liver cirrhosis based on propensity score matching
Chuntao XIAO, Xianqiu LI, Peiling GAN, Xiao PAN, Xian ZHOU
2021, 37(8): 1829-1835. DOI: 10.3969/j.issn.1001-5256.2021.08.017
Abstract(1176) HTML (276) PDF (3155KB)(93)
Abstract:
  Objective  To investigate the influence of portal vein thrombosis (PVT) on the short-term prognosis of patients with liver cirrhosis and the risk factors for the prognosis of patients with liver cirrhosis.  Methods  A retrospective analysis was performed for the clinical data of the patients with liver cirrhosis who were hospitalized in our hospital from September 2018 to March 2020, among whom 58 patients with PVT were enrolled as PVT group and 116 patients without PVT were enrolled as non-PVT group, and 44 patients were selected from each group based on propensity score matching (PSM) at a ratio of 1∶ 1 to balance the covariates between groups. The t-test was used for comparison of normally distributed continuous data between two groups, and the Mann-Whitney U test was used for comparison of non-normally distributed continuous data between two groups; the chi-square test or the Fisher's exact test was used for comparison of categorical data between two groups. The Kaplan-Meier method and the log-rank method were used to analyze survival status and bleeding before and after PSM, and the Cox risk model was used to analyze the risk factors for the prognosis of patients with liver cirrhosis.  Results  Before PSM, the non-PVT group had a significantly higher overall survival rate than the PVT group (P=0.008), while after PSM, there was no significant difference in overall survival rate between the two groups (P=0.076). Before PSM, the non-PVT group had significantly lower incidence rates of upper gastrointestinal bleeding or rebleeding than the PVT group before and after PSM (P < 0.001), and the results after PSM were consistent with those before PSM (P=0.028). The multivariate analysis of the prognosis of the patients with liver cirrhosis before PSM showed that PVT (hazard ratio [HR]=2.944, 95% confidence interval [CI]: 1.364-6.441, P=0.007) and Model for End-Stage Liver Disease (MELD) score ≥15 (HR=3.531, 95% CI: 1.630-7.650, P=0.001) were risk factors for short-term death of the patients with liver cirrhosis, and the multivariate analysis after PSM showed that MELD score ≥15 (HR=3.312, 95% CI: 1.049-10.457, P=0.041) was a risk factor for short-term death of the patients with liver cirrhosis.  Conclusion  Liver cirrhosis with PVT increases the risk of upper gastrointestinal bleeding or rebleeding, but it is not an independent risk factor for short-term death in patients with liver cirrhosis. MELD score ≥15 is an independent risk factor for short-term death in patients with liver cirrhosis.
Original articles_Liver neoplasms
Long-term prognosis of patients with hepatitis C virus-related hepatocellular carcinoma receiving direct-acting antiviral: A Meta-analysis
Quan ZHOU, Lihui YANG, Fangqing JIANG
2021, 37(8): 1836-1840. DOI: 10.3969/j.issn.1001-5256.2021.08.018
Abstract(1236) HTML (254) PDF (2573KB)(71)
Abstract:
  Objective  To systematically evaluate the difference in recurrence-free survival rate, hepatocellular carcinoma (HCC) recurrence rate, all-cause mortality rate, and liver-related mortality rate between hepatitis C-related HCC patients receiving oral direct-acting antiviral (DAA) and those receiving non-DAA (NDAA) treatment regimen.  Methods  CNKI, Wanfang Data, VIP, CBM, PubMed, Embase, and Cochrane Library were searched for Cohort studies of DAA in the treatment of hepatitis C-related HCC patients published before December 2020, and quality assessment and meta-analysis were performed.  Results  A total of 10 cohort studies were included in this study, with 3108 patients in total. The meta-analysis showed that compared with NDAA regimen, DAA treatment significantly increased recurrence-free survival rate (risk ratio [RR]=1.38, 95% confidence interval [CI]: 1.10-1.72, P=0.005) and significantly reduced HCC recurrence rate (RR=0.52, 95%CI: 0.42-0.63, P < 0.000 01), all-cause mortality rate (RR=0.42, 95%CI: 0.32-0.55, P < 0.000 01), and liver-related mortality rate (RR=0.37, 95%CI: 0.18-0.76, P=0.007) in hepatitis C-related HCC patients.  Conclusion  DAA treatment is beneficial and safe for hepatitis C-related HCC patients.
Efficacy and safety of CalliSpheres microsphere versus conventional transcatheter arterial chemoembolization in treatment of hepatocellular carcinoma: A Meta-analysis
Yisheng PENG, Pan HE, Gang ZHU, Xinkai LI, Shunde TAN, Jianfei CHEN, Jun FAN, Bin LUO, Song SU, Bo LI, Xiaoli YANG
2021, 37(8): 1841-1847. DOI: 10.3969/j.issn.1001-5256.2021.08.019
Abstract(1682) HTML (815) PDF (3201KB)(105)
Abstract:
  Objective  To investigate the efficacy and safety of CalliSpheres microsphere-transcatheter arterial chemoembolization (CSM-TACE) versus conventional transcatheter arterial chemoembolization (cTACE) in the treatment of hepatocellular carcinoma (HCC) through a meta-analysis.  Methods  PubMed, Web of Science, Cochrane Library, CNKI, Wanfang Data, and VIP were searched for all Chinese and English articles on the application of CSM-TACE and cTACE in HCC published up to the end of October, 2020. After quality assessment was performed for the articles included, RevMan 5.3 software provided by Cochrane Library was used for analysis.  Results  A total of 15 studies were included, with 1535 patients in total. This meta-analysis showed that compared with the patients receiving cTACE, the patients receiving CSM-TACE had significantly higher 1-year overall survival rate (odds ratio [OR]=2.26, 95% confidence interval [CI]: 1.63-3.13, P < 0.000 01), 2-year overall survival rate (OR=1.73, 95%CI: 1.20-2.50, P=0.003), and 2-year progression-free survival rate (OR=1.60, 95%CI: 1.05-2.43, P=0.03). In terms of safety, compared with the patients receiving cTACE, the patients receiving CSM-TACE had significantly lower incidence rates of postoperative vomiting (OR=0.65, 95%CI: 0.46-0.92, P=0.01), bone marrow suppression (OR=0.17, 95%CI: 0.05-0.54, P=0.003), and neutropenia (OR=0.18, 95%CI: 0.07-0.45, P=0.000 3), while there were no significant differences between the two groups of patients in postoperative pyrexia, abdominal pain, and ascites (all P > 0.05).  Conclusion  CSM-TACE has significant advantages in improving 1- and 2-year overall survival rates and 2-year progression-free survival rates and can significantly reduce the incidence rates of postoperative vomiting, bone marrow suppression, and neutropenia. Therefore, CSM-TACE is a safe and effective treatment method.
Mechanism of action of five classic prescriptions in treatment of hepatocellular carcinoma based on network pharmacology
Qiuluo CHENG, Liu LIU, Changchuan BAI, Qingwei CONG, Ying ZHU
2021, 37(8): 1848-1855. DOI: 10.3969/j.issn.1001-5256.2021.08.020
Abstract(1954) HTML (437) PDF (5984KB)(128)
Abstract:
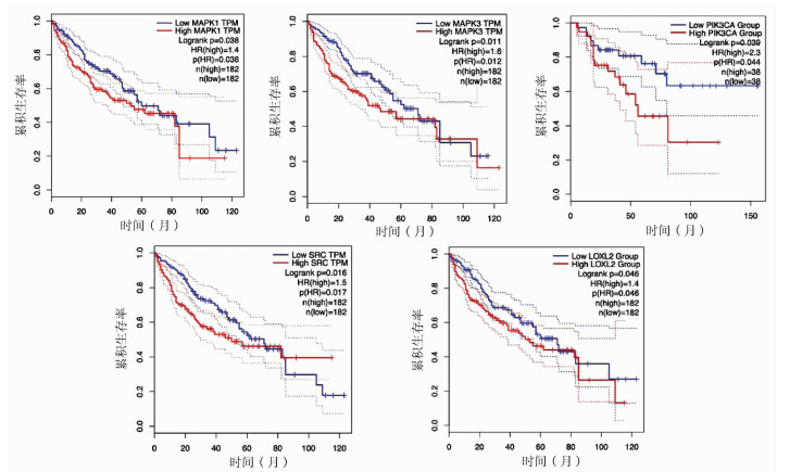
  Objective  To investigate the mechanism of action of Xiaoyao powder combined with Sijunzi decoction, Artemisia capillaris Thunb. decoction, Longdan Xiegan decoction combined with Xiayuxue decoction, Wupi decoction combined with Sijunzi decoction, and Yiguan decoction in the treatment of hepatocellular carcinoma (HCC) based on network pharmacology and molecular docking.  Methods  Databases including TCMSP, TCMID, BATMAN-TCM, and TCM-MESH were used to screen out effective components and predict their targets, and databases including TTD, Drugbank, Disgenet, Liverome, OncoDB.HCC, and GEO were used to investigate HCC-related targets. The drug and disease targets were mapped to obtain the intersecting targets, and the visualization software Cytoscape 3.7.1 was used to construct the core component-intersecting target network and the protein-protein interaction (PPI) network. The core components and key genes were screened out and a survival analysis was performed in the GEPIA database. The active components and key genes screened out were imported into the DockThor online website for molecular docking. In addition, David database was used to perform gene ontology (GO) enrichment analysis and Kyoto Encyclopedia of Genes and Genomes (KEGG) pathway analysis of the intersecting targets.  Results  The analysis showed that 110, 19, 154, 121, and 51 active components, respectively, were obtained for the above five classic prescriptions, and the numbers of drug targets were 7426, 1435, 9544, 6619, and 2427, respectively. Finally 4001 HCC disease targets were screened out. There were 260, 169, 276, 242, and 192 intersecting targets, respectively, between the five prescriptions and the HCC disease targets, and the survival analysis on the GEPIA online website obtained the common hub genes of PIK3CA, SRC, MAPK1, MAPK3 (all P < 0.05) and AKT1 (P > 0.05). Quercetin was the common active component of the five prescriptions, and isobavachin and Kanzonol W were the common active components of Xiaoyao powder combined with Sijunzi decoction, Longdan Xiegan decoction combined with Xiayuxue decoction, and Wupi decoction combined with Sijunzi decoction; the results of molecular docking showed that the above three components had a strong ability of binding to PIK3CA and SRC. GO enrichment analysis showed that these targets were involved in various biological processes including drug response, protein phosphorylation, inflammatory response, and angiogenesis, and KEGG enrichment analysis showed that the common pathways involved were cancer pathway, PI3K-Akt signaling pathway, MAPK signaling pathway, Ras signaling pathway, HIF-1 signaling pathway, hepatitis B pathway, and hepatitis C pathway.  Conclusion  Quercetin, isoflavone, and Kanzonol W have the potential mechanism of action involving multiple targets and pathways in the treatment of HCC.
Association of the expression of glucose-6-phosphate dehydrogenase with the prognosis of hepatocellular carcinoma
Mingjun LIU, Yingjuan LIU, Gui YANG, Songmei LIU
2021, 37(8): 1856-1860. DOI: 10.3969/j.issn.1001-5256.2021.08.021
Abstract(1307) HTML (500) PDF (2593KB)(81)
Abstract:
  Objective  To investigate the expression of glucose-6-phosphate dehydrogenase (G6PD) in hepatocellular carcinoma (HCC) tissue and its association with prognosis.  Methods  HCC tissue samples and corresponding adjacent tissue samples were collected from 44 HCC patients who attended Zhongnan Hospital of Wuhan University from June 2016 to January 2018. RT-qRCR was used to measure the mRNA expression of G6PD, and the expression level of G6PD was compared between HCC tissue and adjacent tissue. According to the median of the mRNA expression of G6PD, HCC patients were divided into high G6PD expression group and low G6PD expression group and were analyzed with reference to the data in databases, and the Kaplan-Meier method was used to plot survival curves and investigate the differences in overall survival time and progression-free survival time between the two groups. The t-test was used for comparison of normally distributed continuous data between the two groups, and the Mann-Whitney U test was used for comparison of data with skewed distribution between the two groups; the Fisher's exact test was used for comparison of categorical data between the two groups; the Spearman method was used to perform a correlation analysis.  Results  The mRNA expression level of G6PD in HCC tissue was 2.09 times that in adjacent tissue (Z=-3.221, P=0.001). High expression of G6PD was a risk factor for overall survival time (hazard ratio [HR]=1.84, 95% confidence interval [CI: 1.30-2.61, P=0.000 52) and progression-free survival time (HR=1.75, 95%CI: 1.27-2.42, P=0.000 54) in HCC patients after hepatectomy. The low G6PD expression group had a significantly higher lymphocyte-monocyte ratio (LMR) than the high G6PD expression group (t=2.681, P=0.011), and G6PD was negatively correlated with LMR (r=-0.439, P=0.005).  Conclusion  Elevated expression of G6PD in HCC tissue may lead to a reduction in LMR in HCC patients, suggesting that G6PD expression might be associated with inflammation in tumor microenvironment. High expression of G6PD has a certain clinical value in evaluating the prognosis of HCC.
Mechanism of action of GP73 in the regulation of liver cancer: An analysis based on transcriptome sequencing
Peiling YE, Hongyun JIA, Liang PENG
2021, 37(8): 1861-1866. DOI: 10.3969/j.issn.1001-5256.2021.08.022
Abstract(1431) HTML (363) PDF (4393KB)(71)
Abstract:
  Objective  To investigate the mechanism of action of GP73 in the regulation of liver cancer based on transcriptome analysis.  Methods  Hepatoma Hep3B cells were divided into GP73 interference group, GP73 interference control group, GP73 overexpression group, and GP73 overexpression control group, and transcriptome sequencing was used to measure mRNA expression in the four groups. Differentially expressed genes were screened out based on sequencing data and were then analyzed by GO functional analysis and KEGG enrichment analysis. Western blot was used to verify the expression of signaling pathway-related proteins. The t-test was used for comparison of normally distributed continuous data between groups.  Results  The differentially expressed genes in Hep3B cells were analyzed after GP73 interference and overexpression. GO analysis revealed 586 biological processes, and GP73 was mainly involved in the processes such as cellular process, single-organism process, and biological regulation. KEGG analysis showed that GP73 was mainly involved in the signaling pathways closely associated with liver cancer, including the PI3K-AKT signaling pathway, the cytokine-cytokine receptor interaction signaling pathway, the TNF signaling pathway, and the JAK-STAT signaling pathway. Western blot was used to verify the three proteins PI3K, p-Akt, and Akt in the PI3K-AKT signaling pathway, and the results showed that there were significant differences in the expression of PI3K and p-Akt between the GP73 interference group and the GP73 interference control group and between the GP73 overexpression group and the GP73 overexpression control group (all P < 0.05).  Conclusion  The signaling pathways involving GP73 in the regulation of liver cancer are screened out by transcriptome sequencing and bioinformatics analysis, which provides new ideas for further elucidating the mechanism of action of GP73 in liver cancer.
Expression and biological role of the neutral cholesterol ester hydrolase 1 gene in liver cancer tissue and cell lines
Yuwen ZENG, Fangyong ZHANG, Guoqian TAN, Fan WU
2021, 37(8): 1867-1872. DOI: 10.3969/j.issn.1001-5256.2021.08.023
Abstract(1347) HTML (428) PDF (3035KB)(96)
Abstract:
  Objective  To investigate the expression of the neutral cholesterol ester hydrolase 1 (NCEH1) gene in liver cancer tissue and human hepatoma cell lines and the effect of NCEH1 gene knockdown on the proliferation, apoptosis, invasion, and metastasis abilities of human hepatoma SMMC-7721 cells.  Methods  Liver cancer tissue samples and adjacent tissue samples were collected from 32 patients with liver cancer who underwent surgical treatment in Guangzhou Red Cross Hospital Affiliated to Jinan University from January 2013 to June 2019, and quantitative real-time PCR was used to measure the relative expression level of the NCEH1 gene. Gene expression data of liver cancer samples up to September 2020 were downloaded from the ICGC database, and R software was used to analyze the data and obtain the expression level of the NCEH1 gene in each sample. The paired Wilcoxon signed-rank test and the Wilcoxon rank-sum test were used to investigate the differences between liver cancer tissue and adjacent tissue. Quantitative real-time PCR was used to measure the expression level of the NCEH1 gene in human hepatoma SMMC-7721, Bel-7402, HepG2, and Hep3B cells and normal human HL7702 liver cells. The lentivirus-mediated small interfering RNA (siRNA) technique was used to establish a human hepatoma SMMC-7721 cell line with NCEH1 gene knockdown, and the cells were divided into NCEH1 knockdown group (KD group) and negative control group (NC group); quantitative real-time PCR was used to measure the knockdown efficiency of the NCEH1 gene, and then MTT assay, flow cytometry with Annexin V-APC single staining, wound healing assay, Transwell assay, and Transwell chamber invasion assay were used to measure the proliferation, apoptosis, metastasis, and invasion abilities of SMMC-7721 cells in both groups. The t-test was used for statistical analysis of data between the two groups.  Results  The mean expression level of the NCEH1 gene in liver cancer tissue was significantly higher than that in adjacent tissue (specimens from our hospital: Z=2.263, P=0.024; ICGC database: U=18 768, P < 0.001). SMMC-7721 cell line with moderate potential of invasion and metastasis had the highest expression level of the NCEH1 gene, followed by BEL-7402 and HepG2 cell lines with low potential of invasion and metastasis, and Hep3B cell line without the potential of invasion and metastasis had the lowest expression level. The KD group had a significantly lower expression level of the NCEH1 gene than the NC group (t=11.578, P=0.000 3), and the knockdown efficiency of the NCEH1 gene was as high as 74.0%. Compared with the NC group, the KD group had a significant reduction in cell growth rate, a significant increase in apoptosis rate, and significant reductions in migration rate and the number of metastatic and invasive cells (t=32.100, 27.303, 9.51, 38.123, and 22.331, all P < 0.001).  Conclusion  There is a significant increase in the expression of the NCEH1 gene in liver cancer tissue and cell lines, and the NCEH1 gene can promote the growth, proliferation, invasion, and metastasis of hepatoma cells and inhibit their apoptosis, suggesting that it may be a potential therapeutic target for liver cancer.
Effect of small interfering RNA silencing of the AFP gene on the migration and invasion of hepatocellular carcinoma HepG2 cells
Wei HAN, Fengxian WEI, Youcheng ZHANG
2021, 37(8): 1873-1877. DOI: 10.3969/j.issn.1001-5256.2021.08.024
Abstract(1227) HTML (439) PDF (2480KB)(71)
Abstract:
  Objective  To investigate the effect of alpha-fetoprotein (AFP) on the migration and invasion abilities of hepatocellular carcinoma (HCC) HepG2 cells.  Methods  HCC HepG2 cells were transfected with synthesized small interference RNA (siRNA) for targeted silencing of AFP, and then HepG2 cells were divided into blank control group, negative control group, and AFP siRNA group. After 48 hours of intervention, quantitative real-time PCR and ELISA were used to measure the efficiency of silencing after transfection; Transwell assay was used to analyze the invasion and migration abilities of HepG2 cells after silencing of the AFP gene; Western blot was used to investigate the effect of AFP silencing on the expression of epithelial-mesenchymal transition (EMT)-related proteins (N-cadherin, vimentin, and E-cadherin), AKT, and p-AKT. A one-way analysis of variance was used for comparison of continuous data between groups, and the LSD-t-test was used for further comparison between two groups.  Results  After transfection and silencing, compared with the blank control group, the AFP siRNA group had a significant reduction in the relative mRNA expression of AFP (P < 0.01), with an inhibition rate of 86.440%, and the AFP siRNA group also had a significant reduction in the protein expression level of AFP in cell supernatant (P < 0.01). Compared with the blank control group, the AFP siRNA group had significant reductions in the numbers of migrating and invading cells (both P < 0.01). After the expression of the AFP gene was silenced in HepG2 cells, compared with the blank control group, the AFP siRNA group had a significant increase in the expression level of the EMT-related protein E-cadherin (P < 0.01) and significant reductions in the expression levels of the EMT-related proteins N-cadherin and vimentin (both P < 0.05), as well as a significant reduction in the protein expression level of p-AKT involved in the PI3K/AKT signaling pathway (P < 0.01).  Conclusion  Silencing AFP can inhibit the migration of HepG2 cells, possibly by blocking the PI3K/AKT signaling pathway and inhibiting EMT based on the mechanism of action of HepG2 cell line.
Original articles_Other liver diseases
Clinical features of chronic liver disease with autoimmune blood diseases and the clinical effect of glucocorticoid
Long LIU, Yao LIU, Fangyuan GAO, Xianbo WANG
2021, 37(8): 1878-1882. DOI: 10.3969/j.issn.1001-5256.2021.08.025
Abstract(1242) HTML (307) PDF (1868KB)(100)
Abstract:
  Objective  To investigate the clinical features of chronic liver disease with immune blood diseases and the clinical effect of glucocorticoid therapy.  Methods  A retrospective analysis was performed for the clinical data of 17 patients with chronic liver disease and immune blood diseases who were admitted to Beijing Ditan Hospital from January 2008 to December 2019, and according to the type of blood disease, they were divided into autoimmune hemolytic anemia (AIHA) group, immune thrombocytopenia (ITP) group, and Evans syndrome group. After glucocorticoid therapy and related treatment of liver disease, the three groups were compared in terms of clinical data and laboratory markers before and after treatment. The Mann-Whitney U test was used for comparison of continuous data between two groups.  Results  Among the 17 patients with chronic liver disease, 15 had no viral hepatitis, among whom 9 (52.9%) had autoimmune liver disease. Among these 17 patients, 6 had AIHA, 8 had ITP, and 3 had Evans syndrome. Glucocorticoid therapy was given for 13 patients, among whom12 achieved complete remission or partial remission, resulting in an overall response rate of 92.3%. After treatment, the ITP group had significant reductions in total bilirubin [35.8 (14.3-58.0) μmol/L vs 165.6 (21.3-374.3) μmol/L, Z=-2.205, P=0.027] and direct bilirubin [24.9 (7.0-43.3) μmol/L vs 121.9 (11.7-279.9) μmol/L, Z=-2.205, P=0.027], and the AIHA group had a significant increase in hemoglobin [94.0 (65.0-99.3) g/L vs 62.2 (42.3-80.5) g/L, Z=-2.242, P=0.025].  Conclusion  Immune blood diseases are observed in patients with various types of chronic liver disease, among which autoimmune liver disease with immune blood diseases has a relatively high incidence rate. Glucocorticoid is a safe and effective therapeutic method for the treatment of chronic liver disease with immune blood diseases.
Clinical features, diagnosis, and treatment of IgG4-associated sclerosing cholangitis
Li LI, Hui LIU, Wenyan SONG
2021, 37(8): 1883-1887. DOI: 10.3969/j.issn.1001-5256.2021.08.026
Abstract(1332) HTML (583) PDF (2114KB)(94)
Abstract:
  Objective  To investigate the clinical features, diagnosis, and treatment of IgG4-associated sclerosing cholangitis (IgG4-SC).  Methods  A retrospective analysis was performed for the clinical data of 25 patients who were diagnosed with IgG4-SC in Beijing YouAn Hospital, Capital Medical University, from January 2014 to September 2020, and an electronic medical record system was used to collect general information, medical history, diagnosis and treatment processes, laboratory examination, imaging data, and pathological data. Clinical features, process of confirmed diagnosis, and cause of misdiagnosis were analyzed. Normally distributed continuous data were expressed as mean±SD, and the non-normally distributed continuous data were expressed as M(Pminimum value-Pmaximum value).  Results  Among the 25 patients with IgG4-SC, there were 21 (84%) male patients, and the mean age was 57.61±9.73 years. Common initial symptoms included jaundice and/or yellow urine in 18 patients (78.26%) and weakness in 9 patients (39.13%). As for imaging classification, 16 patients (64%) had type Ⅰ IgG4-SC, no patient had type Ⅱa IgG4-SC, 4 (16%) had IIb IgG4-SC, 1 (4%) had type Ⅲ IgG4-SC, and 4 (16%) had type Ⅳ IgG4-SC. Pancreatic involvement was observed in 22 patients (88%). Glucocorticoids were the main treatment method, and total bilirubin achieved a mean reduction of 67.48% within 2 weeks. Among the 22 patients with a confirmed diagnosis in our hospital, 15 (68.18%) were suspected of "space-occupying lesions in the pancreatic and biliary system" and 5 (22.73%) were suspected of obstructive jaundice at the outpatient service. Understanding of IgG4-SC was achieved by postoperative pathology in the early stage, then imaging doctors gradually became aware of this disease, and finally multidisciplinary consultation made more physicians understand the disease, which helped to make a confirmed diagnosis earlier.  Conclusion  For patients with obstructive jaundice, clinical physicians need to identify IgG4-SC based on clinical manifestations and especially imaging features. Multidisciplinary consultation involving imaging and pathology plays an important role in helping clinicians understand this disease and making a confirmed diagnosis.
Original articles_Pancreatic diseases
Clinical application value of difficulty score systems before laparoscopic liver resection
Zhilong SHI, Hao XU, Changpeng CHAI, Sijie YANG, Wence ZHOU
2021, 37(8): 1888-1893. DOI: 10.3969/j.issn.1001-5256.2021.08.027
Abstract(938) HTML (514) PDF (2175KB)(62)
Abstract:
  Objective  To investigate the accuracy of three laparoscopic liver resection (LLR) difficulty score systems (DSSs) in evaluating surgical difficulty and predicting short-term postoperative outcome.  Methods  The retrospective cohort study was conducted for 142 patients who underwent LLR in The First Hospital of Lanzhou University from June 2015 to May 2020, and their preoperative, intraoperative, and postoperative clinical data were collected. According to preoperative clinical data, DSS-B score, Hasegawa score, and Halls score were used to determine the difficulty score of surgery for each patient, and then the patients were divided into low, medium, and high difficulty groups. Intraoperative data were compared between the three groups to verify the accuracy of the three DSSs, and postoperative clinical data were used to evaluate the ability of DSSs to predict short-term postoperative outcome. An analysis of variance was used for comparison of normally distributed continuous data between multiple groups, and the least significant difference t-test was used for further comparison between two groups; the Kruskal-Wallis H test was used for comparison of non-normally distributed continuous data between multiple or two groups. The chi-square test or the Fisher's exact test was used for comparison of categorical data between groups, and the Bonferroni method was used for correction of P values between two groups. The receiver operating characteristic (ROC) curve was plotted and the area under the ROC curve (AUC) was calculated to evaluate the efficiency of each DSS in predicting postoperative complications.  Results  Among the 142 patients, there were 37 patients in the low difficulty group, 56 in the medium difficulty group, and 49 in the high difficulty group based on DSS-B score; there were 70 patients in the low difficulty group, 47 in the medium difficulty group, and 25 in the high difficulty group based on Hasegawa score; there were 46 patients in the low difficulty group, 62 in the medium difficulty group, and 34 in the high difficulty group based on Halls score. For the low, medium, and high difficulty groups based on DSS-B score, Hasegawa score, or Halls score, time of operation, intraoperative blood loss, and rate of hepatic portal occlusion increased with the increase in difficulty score (all P < 0.001); there was a significant difference in intraoperative blood transfusion rate between the medium and high difficulty groups based on DSS-B score (P < 0.017), between the low and high difficulty groups based on Halls score (P < 0.017), and between the low, medium, and high difficulty groups based on Hasegawa score (P < 0.017). There was a significant difference in the rate of conversion to laparotomy between the medium and high difficulty groups based on DSS-B score (P < 0.017), and Hasegawa score and Halls score identified the difference between the low and high difficulty groups (P < 0.017). For the length of postoperative hospital stay, DSS-B score and Halls score only identified the difference between the low and high difficulty groups (P < 0.05), while Hasegawa score identified the difference between the low difficulty group and the medium/high difficulty groups (P < 0.05); for the incidence rate of postoperative complications, only Hasegawa score effectively identified the difference between the high difficulty group and the low/medium difficulty groups (P < 0.017). DSS-B score, Halls score, and Hasegawa score had an AUC of 0.636 (95% confidence interval [CI]: 0.515-0.758), 0.557 (95% CI: 0.442-0.673), and 0.760 (95% CI: 0.654-0.866), respectively, in predicting postoperative complications, among which Hasegawa score had the highest predictive efficiency.  Conclusion  DSS-B score and Hasegawa score can better assess the difficulty of LLR, and Hasegawa score has an advantage in predicting short-term postoperative outcome.
Effect of thymosin a1 on complications after laparoscopic pancreaticoduodenectomy in elderly patients
Ying LI, Ping LIANG
2021, 37(8): 1894-1897. DOI: 10.3969/j.issn.1001-5256.2021.08.028
Abstract(1027) HTML (281) PDF (1868KB)(43)
Abstract:
  Objective  To investigate the association between perioperative immune status and postoperative infectious complications in elderly patients undergoing laparoscopic pancreaticoduodenectomy (LPD), as well as the effect of thymosin a1 on postoperative complications.  Methods  Related clinical data were collected from 43 elderly patients, aged 66-83 years, who underwent LPD in The Second Affiliated Hospital of Army Medical University, PLA from June 2014 to June 2018, and the patients were divided into combination group with 22 patients (with the application of thymosin a1 in the perioperative period) and control group with 21 patients (without the application of thymosin a1). Immune function parameters were observed before surgery and on days 3 and 7 after surgery, including serum levels of IgG, IgA, and IgM, peripheral blood neutrophil-lymphocyte ratio (NLR), changes in CD3+, CD4+, CD8+, and CD4+/CD8+ ratio, and the incidence rate of postoperative infectious complications (pulmonary infection, pancreatic leakage, and abdominal infection). In addition, the serum levels of C-reactive protein, interleukin-2 (IL-2), interleukin-10 (IL-10), tumor necrosis factor-α, and interferon-γ (IFN-γ) were measured before surgery and on days 3 and 7 after surgery. The t-test was used for comparison of continuous data between two groups; a repeated measures analysis of variance was used for comparison within each group at different time points, and the Duncan's new multiple range test was used for further pairwise comparison. The chi-square test was used for comparison of categorical data between groups.  Results  Compared with the control group on days 3 and 7 after surgery, the combination group had significantly higher serum levels of IgG, IgA, IgM, CD3+, CD4+, CD8+, and CD4+/CD8+ ratio (all P < 0.05) and a significantly lower NLR (P < 0.05). From admission to day 7 after surgery, the control group had significant reductions in the serum levels of IgG, IgA, IgM, CD3+, CD4+, CD8+, and CD4+/CD8+ ratio (all P < 0.05) and a significant increase in NLR (P < 0.05). The combination group had significantly lower incidence rates of postoperative pulmonary infection and abdominal infection than the control group (χ2=1.44, 1.65, all P < 0.05). Compared with the control group on days 3 and 7 after surgery, the combination group had significant increases in the serum levels of IL-2, IL-10, and IFN-γ (all P < 0.05).  Conclusion  Surgical trauma can further reduce the immune function of elderly patients, and the use of thymosin a1 during the perioperative period can enhance the immune function of patients and reduce the incidence rate of postoperative infectious complications.
Brief reports
Clinical features and genetic analysis of congenital bile acid synthesis disorder type 2 in four children
Tao JIANG, Wenxian OUYANG, Yanfang TAN, Lian TANG, Hui ZHANG, Shuangjie LI
2021, 37(8): 1898-1900. DOI: 10.3969/j.issn.1001-5256.2021.08.029
Abstract(1072) HTML (442) PDF (1857KB)(54)
Abstract:
Influence of arterial variation and reconstruction of the donor hepatic artery in liver transplantation on early postoperative arterial complications
Bo HE, Xin WANG, Feng WANG, Yandong SUN, Qingguo XU, Ge GUAN, Yunjin ZANG
2021, 37(8): 1901-1904. DOI: 10.3969/j.issn.1001-5256.2021.08.030
Abstract(1199) HTML (300) PDF (2761KB)(185)
Abstract:
Case reports
Type 1 diabetes mellitus due to pegylated interferon treatment of chronic hepatitis B: A case report
Tingting ZHANG, Jue ZHAO, Yan YANG, Yaojie KANG, Xuan WANG
2021, 37(8): 1905-1906. DOI: 10.3969/j.issn.1001-5256.2021.08.031
Abstract(858) HTML (372) PDF (1839KB)(87)
Abstract:
Severe drug-induced hypersensitivity syndrome in patients with liver cirrhosis and epilepsy induced by lamotrigine: A case report
Guozhi WU, Guohong WU, Xianglei ZHANG, Guangzhi DING, Lei WANG
2021, 37(8): 1907-1908. DOI: 10.3969/j.issn.1001-5256.2021.08.032
Abstract(1107) HTML (454) PDF (2142KB)(186)
Abstract:
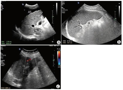
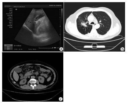
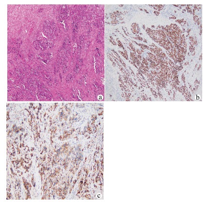
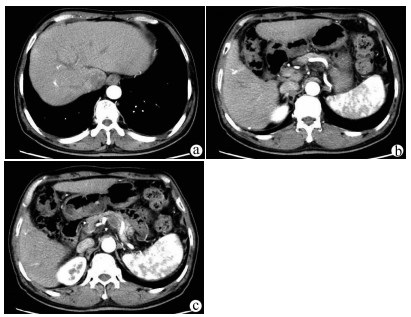
Hepatocellular carcinoma with gastrointestinal stromal tumor: A case report
Xu YANG, Zhengrong SHI
2021, 37(8): 1909-1910. DOI: 10.3969/j.issn.1001-5256.2021.08.033
Abstract(880) HTML (269) PDF (2171KB)(64)
Abstract:
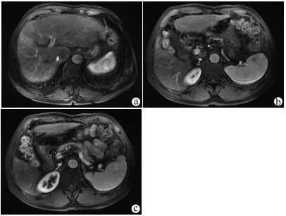
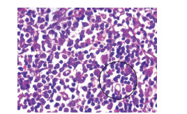
Primary hepatic lymphoma with anemia and hypoproteinemia: A case report
Weifeng LI, Fan WU
2021, 37(8): 1911-1913. DOI: 10.3969/j.issn.1001-5256.2021.08.034
Abstract(937) HTML (226) PDF (2390KB)(46)
Abstract:
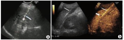
A case of subcapsular hepatic hematoma after endoscopic retrograde cholangiopancreatography
Yihui LUO
2021, 37(8): 1914-1915. DOI: 10.3969/j.issn.1001-5256.2021.08.035
Abstract(754) HTML (247) PDF (1901KB)(48)
Abstract:
Spontaneous fistula closure after surgery for cholecystoduodenal fistula with gallstone ileus: A case report
Lixiao ZHANG, Zhibin YE, Jiantao DONG, Jie HAN, Yun SUN, Wei LIANG, Hongyu ZHAO
2021, 37(8): 1916-1918. DOI: 10.3969/j.issn.1001-5256.2021.08.036
Abstract(890) HTML (325) PDF (2281KB)(45)
Abstract:
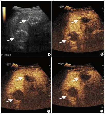
Gallbladder metastasis from lung adenocarcinoma: A case report
Jie ZHANG, Qianping QU, Hong LI, Shaohua ZHANG, He HUANG, Fugui LI
2021, 37(8): 1919-1920. DOI: 10.3969/j.issn.1001-5256.2021.08.037
Abstract(1323) HTML (837) PDF (2844KB)(44)
Abstract:
Cholangiocarcinoma with essential thrombocythemia: A case report
Yao LU, Lei FU, Lei SHEN, Jianjun BIAN, Shuya GE
2021, 37(8): 1921-1923. DOI: 10.3969/j.issn.1001-5256.2021.08.038
Abstract(1058) HTML (345) PDF (2225KB)(59)
Abstract:
Reviews
Role of competing endogenous RNA in the development and progression of hepatocellular carcinoma
Xiaohao CHEN, Yibin DENG
2021, 37(8): 1924-1928. DOI: 10.3969/j.issn.1001-5256.2021.08.039
Abstract(1091) HTML (238) PDF (1880KB)(58)
Abstract:
The theory of competing endogenous RNA (ceRNA) is one of the key theories in explaining gene expression regulation and biological function. This mechanism combines different RNA molecules and provides new insights into the interaction between RNAs and RNA regulatory networks. More and more studies have confirmed that ceRNA regulation plays an important role in the development and progression of tumor, most of which are mainly based on lncRNA-miRNA-mRNA and circRNA-miRNA-mRNA regulatory networks. Studies have also shown that a variety of ceRNA regulatory networks are involved in the proliferation, invasion, and migration of tumor cells, drug resistance, angiogenesis, and tumor immunity, thus affecting tumor progression. This article elaborates on the regulatory mechanism of ceRNA, reviews the research advances in the role of ceRNA regulation in the development and progression of hepatocellular carcinoma, and discusses the ceRNA regulatory networks that play a key role in this process.
Prediction and treatment of lymph node metastasis of intrahepatic cholangiocarcinoma
Kangli HE, Hong LIU, Xingyue LI
2021, 37(8): 1929-1933. DOI: 10.3969/j.issn.1001-5256.2021.08.040
Abstract(2097) HTML (833) PDF (1895KB)(100)
Abstract:
Intrahepatic cholangiocarcinoma (ICC) is the second largest primary liver cancer, and lymph node metastasis of ICC is commonly observed. Lymph node metastasis not only affects the prognosis of patients, but also determines the choice of treatment regimen. This article summarizes related articles on ICC in China and globally and elaborates on the serological markers and imaging indicators for predicting lymph node metastasis of ICC, the controversy over the selection of lymph node resection and postoperative adjuvant treatment for patients eligible for radical resection, and the research advances in neoadjuvant therapy for patients with advanced ICC who cannot undergo surgery, so as to provide theoretical support for the treatment of ICC patients and the prediction of lymph node metastasis.
Advances in the application of endoscopic ultrasound in the diagnosis and treatment of liver cancer
Pan LIU, Shoujun YU, Yu CHENG
2021, 37(8): 1934-1937. DOI: 10.3969/j.issn.1001-5256.2021.08.041
Abstract(1288) HTML (755) PDF (1873KB)(73)
Abstract:
Liver cancer is one of the most common malignant tumors in China, and its incidence rate is increasing year by year. Therefore, the early diagnosis and treatment of liver cancer is of great importance. Among various examinations, endoscopic ultrasound (EUS) can perform close scanning of the liver and the biliary system, which plays an indispensable role in the diagnosis, treatment, and staging of liver cancer. This article reviews the current status and future perspectives of EUS in the diagnosis and treatment of liver cancer, in order to provide a reference for the clinical diagnosis and treatment of liver cancer.
Research advances in commonly used animal models of primary hepatocellular carcinoma
Meng XIA, Yuhao SUN, Meng WANG, Jing LENG
2021, 37(8): 1938-1942. DOI: 10.3969/j.issn.1001-5256.2021.08.042
Abstract(4086) HTML (902) PDF (2333KB)(526)
Abstract:
Primary hepatocellular carcinoma is one of the most common malignant tumors, and due to the difficulty and complexity of its treatment, application of animal models to investigate its pathogenesis and screen drugs has become a research hotspot in recent years. In order to help researchers better understand the characteristics and applicability of different animal models, this article reviews the commonly used experimental animals such as mice, rats, rabbits, and tree shrews and corresponding modeling methods, including spontaneous type, induced type, transplantation type, and gene-modified type. Literature review shows that each liver cancer model has its own characteristics, and an appropriate model should be selected based on actual needs. Among these models, induced animal models are more commonly used in the study of traditional Chinese medicine. Transgenic model is a good research platform for model biology in simulating human genetic factor and other factors. This article provides a reference for the research on liver cancer model and drug screening.
Research advances in alcoholic liver disease with sarcopenia
Qian WANG, Chunyan CHANG, Song YANG
2021, 37(8): 1943-1947. DOI: 10.3969/j.issn.1001-5256.2021.08.043
Abstract(1190) HTML (418) PDF (1886KB)(79)
Abstract:
Alcoholic liver disease (ALD) is one of the most common liver diseases affecting the health of the Chinese people, and about 60% of ALD patients suffer from sarcopenia. Anorexia, inadequate intake of nutrients, disorder of digestion and absorption, reduction in physical activity, and increase in blood ammonia are common causes of sarcopenia in patients with ALD; besides, alcohol and its metabolites may affect the synthesis of skeletal muscle protein and promote the autophagy of skeletal muscle cells through multiple signaling pathways. Patients with ALD and sarcopenia tend to have increased risks of poor prognosis, such as hepatic encephalopathy and liver cancer. Further studies are needed to investigate the interventions for patients with ALD and sarcopenia.
Difficulties and challenges in the clinical trial of new drugs for nonalcoholic steatohepatitis
Yingshuo HUANG, Ruihua DONG, Hong YOU
2021, 37(8): 1948-1952. DOI: 10.3969/j.issn.1001-5256.2021.08.044
Abstract(1720) HTML (744) PDF (2745KB)(289)
Abstract:
The incidence rate of nonalcoholic steatohepatitis (NASH) keeps increasing in recent years, and there is still a lack of effective therapeutic drugs in clinical practice. This article analyzes the difficulties in the clinical trial of new drugs for NASH from the aspects of the heterogeneity of NASH (body weight, sex, age, and metabolic factors), the influence of confounding factors, and the diagnostic consistency of quantitative indicators, and it is pointed out that conducting a stratified analysis, reducing the influence of confounding factors, and improving diagnostic consistency can help to improve the quality of the clinical trials of new drugs for NASH. Combination therapy including lifestyle improvement may be an effective treatment strategy for NASH, and therapies aiming at improving NASH, exerting an anti-fibrosis effect, and obtaining long-term metabolic benefits are the direction for drug research and development in the future.
Mechanism of action of mitochondrial disorders in nonalcoholic steatohepatitis
Tianying CAI, Meizhou HUANG, Hao CHEN, Baolin QIAN, Wenguang FU
2021, 37(8): 1953-1956. DOI: 10.3969/j.issn.1001-5256.2021.08.045
Abstract(1228) HTML (451) PDF (1872KB)(116)
Abstract:
Nonalcoholic steatohepatitis (NASH) is a common chronic liver disease characterized by hepatic steatosis, hepatocyte inflammation, and liver fibrosis. Studies have shown that mitochondrial disorders, such as abnormal lipid metabolism, reactive oxygen generation, damaged mitochondrial respiratory chain, mitochondrial rupture, and abnormal mitochondrial autophagy, play an important role in the development, progression, and prognosis of NASH. With the main clues of abnormal lipid metabolism, hepatitis, and liver fibrosis in NASH, this article reviews the mechanism of action of mitochondrial structural destruction, mitochondrial dysfunction, and impaired mitochondrial autophagy in NASH, so as to find corresponding targets for the treatment of NASH.
Research advances in the risk factors for infection after liver transplantation
Yun ZHAO, Lijin ZHAO
2021, 37(8): 1957-1962. DOI: 10.3969/j.issn.1001-5256.2021.08.046
Abstract(1352) HTML (489) PDF (1899KB)(115)
Abstract:
With the continuous development of surgical techniques, liver transplantation has gradually become mature, but postoperative infection remains one of the major causes of failure in liver transplantation. By exploring the risk factors associated with postoperative infection, researchers have found that in addition to the previously reported risk factors, several risk factors which are not discovered or emphasized should be taken seriously. From the aspects of donor-related factors, recipient-related factors, and other factors, this article summarizes the risk factors associated with infection after liver transplantation with reference to the latest advances, so as to provide a theoretical basis for effective prevention and treatment of infection after liver transplantation.
Current status of the surgical treatment of hepatic alveolar echinococcosis
Xu DENG, Dancairang YANG, Lingqiang ZHANG, Zhixin WANG, Jingjing WANG, Kaiqiang WANG, Hansheng HUANG, Xiaozhou YANG
2021, 37(8): 1963-1965. DOI: 10.3969/j.issn.1001-5256.2021.08.047
Abstract(1248) HTML (215) PDF (1853KB)(51)
Abstract:
Hepatic alveolar echinococcosis (HAE) is a zoonotic disease caused by Echinococcus multilocularis. At present, the treatment of HAE is mainly based on radical surgical resection, assisted by drug therapy. This article introduces the current status of the application of radical surgical resection, ablation techniques, and palliative surgery in the treatment of HAE and summarizes the main indications for autologous liver transplantation, so as to provide certain experience and reference for selecting the treatment strategies for HAE.
Association between liver progenitor cells and liver regeneration
Junjun WANG, Lungen LU, Xiaobo CAI
2021, 37(8): 1966-1969. DOI: 10.3969/j.issn.1001-5256.2021.08.048
Abstract(1502) HTML (1032) PDF (1868KB)(185)
Abstract:
The liver has a strong ability of regeneration and the remaining liver cells can quickly enter the replication state after acute liver injury or partial hepatectomy. In case of chronic liver injury or severe liver disease, liver progenitor cell (LPC)-mediated regeneration may play a major role in liver regeneration. At present, the presence of dual-energy LPCs in animals and humans has been confirmed by lineage tracing and single-cell sequencing, and many studies have shown that the degree of LPC proliferation is associated with the severity of liver injury. This article briefly describes the origin and activation of LPCs and the role and regulatory mechanism of LPCs in mediating liver regeneration in different types of liver injury, and it is pointed out that in-depth research is needed for LPCs in the future to provide a basis for the reconstruction of liver parenchyma and the treatment of advanced liver disease by LPC transplantation.
Mechanism of action of spleen tyrosine kinase in liver diseases
Yingyu LE, Rongzhen ZHANG, Cong WU, Weisong XIAO, Xiaobin QIN, Shenglan ZENG, Dewen MAO
2021, 37(8): 1970-1974. DOI: 10.3969/j.issn.1001-5256.2021.08.049
Abstract(1557) HTML (356) PDF (1885KB)(51)
Abstract:
Spleen tyrosine kinase (Syk) is a non-receptor tyrosine kinase expressed in most hematopoietic and non-hematopoietic cells and plays an important role in both immune and non-immune biological responses. Syk mediates a variety of cellular responses through immunoreceptor tyrosine-based activation motifs (ITAM)-dependent and ITAM-semi-dependent signaling pathways. Studies have shown that Syk is expressed in liver parenchymal cells and nonparenchymal cells and is closely associated with the pathogenesis, prevention, and treatment of various liver diseases such as liver fibrosis, viral hepatitis, alcoholic liver disease, nonalcoholic steatohepatitis, and hepatocellular carcinoma. This article summarizes the feature and regulatory mechanism of Syk in chronic liver diseases, in order to provide ideas and basis for the treatment of liver diseases.
Role and mechanism of SIRT6 in liver diseases
Huan FANG, Xiaolin ZHONG
2021, 37(8): 1975-1978. DOI: 10.3969/j.issn.1001-5256.2021.08.050
Abstract(1239) HTML (354) PDF (1877KB)(66)
Abstract:
SIRT6 has the multiple functions of deacetylase, single ADP ribosyltransferase, and defatty acylase and plays an important role in the regulation of various physiological and pathological processes. This article summarizes the structure and biological functions of SIRT6 and introduces in detail the research advances in the role and molecular mechanisms of SIRT6 in different types of liver diseases such as viral hepatitis, nonalcoholic fatty liver, alcoholic fatty liver, liver cirrhosis, and liver cancer. An understanding of the role of SIRT6 in liver diseases may provide new ideas and targets for the treatment of liver diseases.
Research advances in drug-induced vanishing bile duct syndrome
Shanshan XU, Lixia QIU, Jingjing SONG, Jing ZHANG
2021, 37(8): 1979-1982. DOI: 10.3969/j.issn.1001-5256.2021.08.051
Abstract(2513) HTML (411) PDF (2024KB)(201)
Abstract:
Current evidence shows that drug-induced liver injury has become one of the common causes of acute liver injury in clinical practice. Vanishing bile duct syndrome (VBDS) refers to a syndrome of focal or diffuse disappearance of intrahepatic bile ducts characterized by cholestasis, and drug-induced VBDS (D-VBDS) is one of the important causes of this disease. Most patients with D-VBDS have a good prognosis, but some patients may progress to liver cirrhosis and liver failure. By reviewing the advances in the clinical diagnosis and treatment of D-VBDS, this article points out the difficulty in the diagnosis of D-VBDS, the limited treatment methods for this disease, and poor prognosis in some patients. Therefore, drugs should be used with caution in clinical practice to reduce the incidence and mortality rates of D-VBDS.
Research advances in percutaneous cholecystostomy in treatment of acute cholecystitis
Jingzhao HAN, Hongfang TUO, Zepu WANG, Yanhui PENG
2021, 37(8): 1983-1987. DOI: 10.3969/j.issn.1001-5256.2021.08.052
Abstract(1631) HTML (828) PDF (1877KB)(85)
Abstract:
Acute cholecystitis is a common acute abdominal disease in hepatobiliary surgery, and laparoscopic cholecystectomy is the preferred treatment method for this disease. Percutaneous cholecystostomy for drainage plays a vital role in management of patients with cholecystitis who are unsuitable for surgery. This technique has good safety and can be used as a bridge to elective cholecystectomy or as a final treatment for some high-risk patients. However at present, the experience in the management of this technique varies across institutions. Therefore, this article reviews the research advances in percutaneous cholecystostomy in terms of indication, treatment timing, and management, so as to provide a basis for standard clinical use.
Application of laparoscopy in perihilar tumor surgery
Hui LIU, Changwen HUANG
2021, 37(8): 1988-1992. DOI: 10.3969/j.issn.1001-5256.2021.08.053
Abstract(1079) HTML (225) PDF (1887KB)(45)
Abstract:
With the promotion of the concept of minimally invasive surgery, hepatobiliary surgery has gradually become a mainstream technique; however, for bile duct tumors in the perihilar region, there are few reports on the application of laparoscopy in such tumor due to the complex structure and anatomical variations of the hepatic hilar region. With reference to related reports in China and globally, this article introduces the research advances in the application of laparoscopy in perihilar tumor surgery. The analysis shows that laparoscopy has certain advantages in the surgical treatment of perihilar tumors, especially in the treatment of Bismuth Ⅰ/Ⅱ hilar cholangiocarcinoma and early-stage gallbladder cancer; due to the high requirements of laparoscopic surgery for the surgeon, only a few experts can perform this surgery at present, and strict screening and evaluation of patients are also required. Therefore, laparoscopy used in perihilar tumor surgery is still at the preliminary stage of exploration, with a need for further exploration and learning.