中文English
ISSN 1001-5256 (Print)
ISSN 2097-3497 (Online)
CN 22-1108/R

Vol.40 No.6 (284 in total) Jun. 2024
Theme Issue: Pathological Diagnosis of Hepatobiliary and Pancreatic Diseases
Executive Chief Editor: TENG Xiaodong  
The First Affiliated Hospital,Zhejiang University School of Medicine

Display Method:
Editorial
Value of biopsy in evaluating the pathological progression of autoimmune hepatitis/pancreatitis
Xiaodong TENG
2024, 40(6): 1073-1075. DOI: 10.12449/JCH240601
Abstract(910) HTML (628) PDF (492KB)(132)
Abstract:
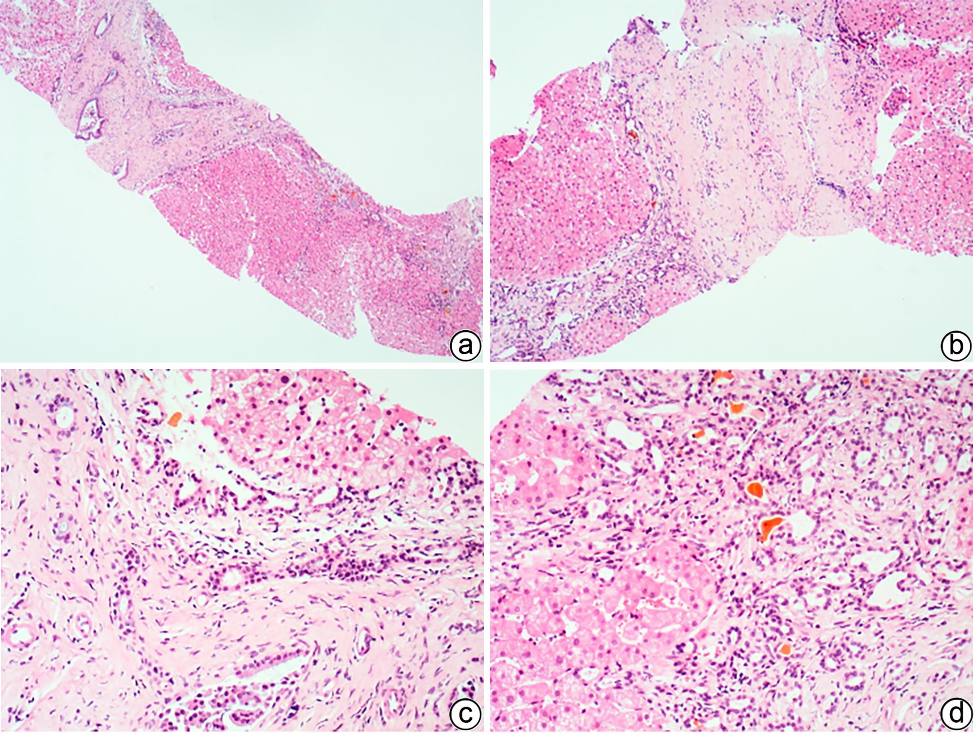
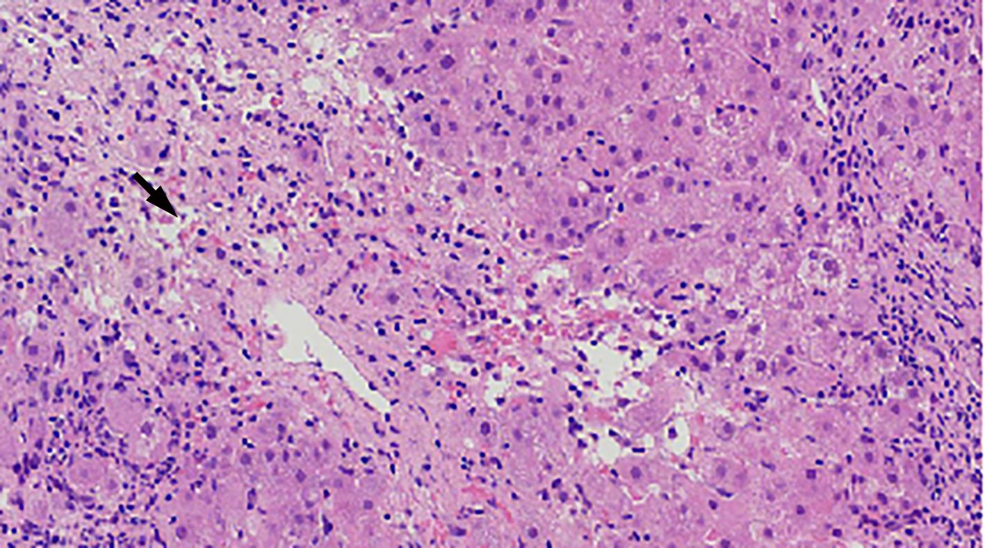
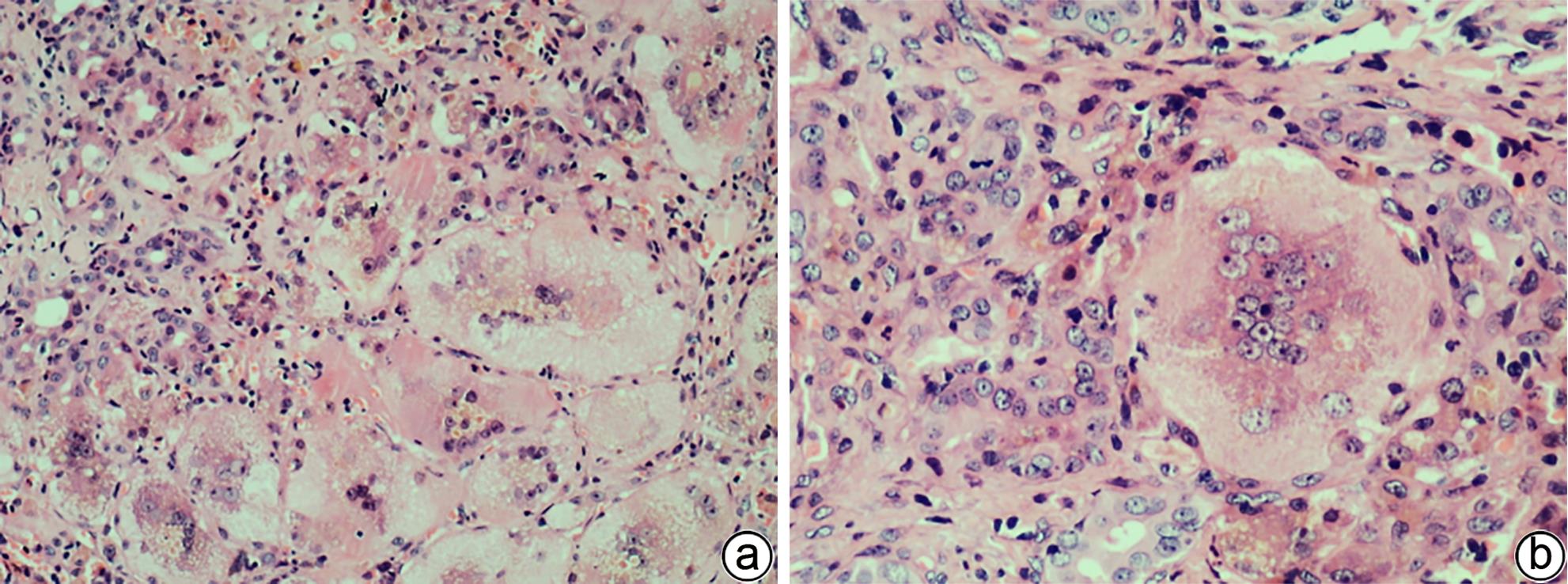
Liver biopsy is a crucial diagnostic tool for chronic liver diseases, allowing for direct observation of lesion morphology and aiding in precise evaluation. It is especially valuable in cases of autoimmune hepatitis, which exhibits complex morphological characteristics. This includes assessing grading and staging criteria, recognizing overlap syndrome, and considering the morphological features of immune-mediated hepatitis and post-COVID-19 vaccination autoimmune hepatitis. Furthermore, significant morphological differences exist between type 1 and type 2 autoimmune pancreatitis, necessitating further research into type 3 autoimmune pancreatitis.
Expert Forum
Pathological diagnosis of alcoholic liver disease
Bin WANG
2024, 40(6): 1076-1081. DOI: 10.12449/JCH240602
Abstract(2432) HTML (669) PDF (1853KB)(360)
Abstract:
Alcoholic liver disease (ALD) is a liver disease caused by long-term heavy drinking. With the improvement in the living standard of Chinese people, the incidence rate of ALD tends to increase significantly. The typical pathological patterns of ALD include alcoholic steatosis, alcoholic steatohepatitis, liver fibrosis, and alcoholic cirrhosis. The diverse and complex pathological morphology of ALD and its similarities with other liver diseases pose a great challenge to pathologists. This article reviews the histopathological morphology, grading and staging systems, and differential diagnosis of ALD.
Pathological diagnosis of autoimmune hepatitis
Wenjun YANG
2024, 40(6): 1082-1087. DOI: 10.12449/JCH240603
Abstract(2036) HTML (867) PDF (1291KB)(373)
Abstract:

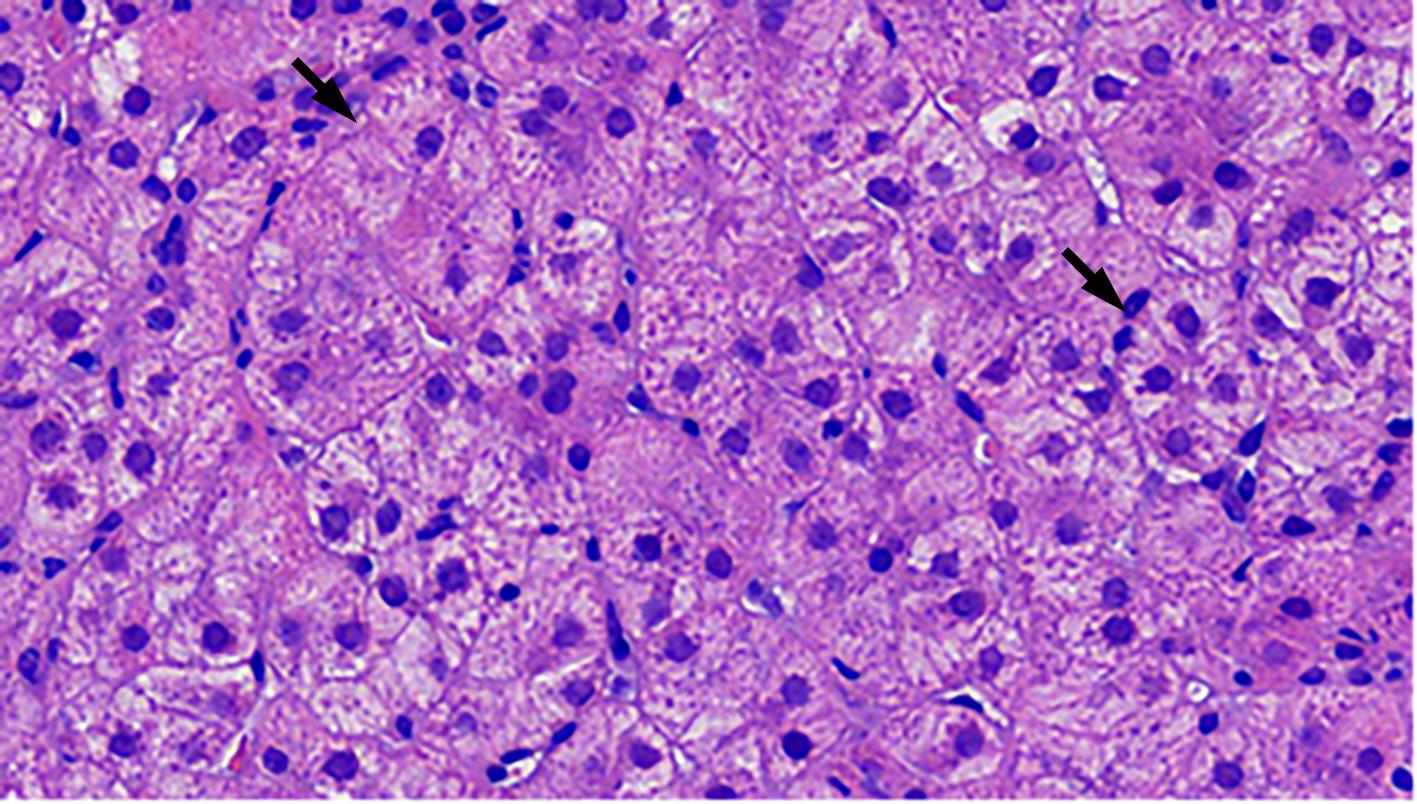
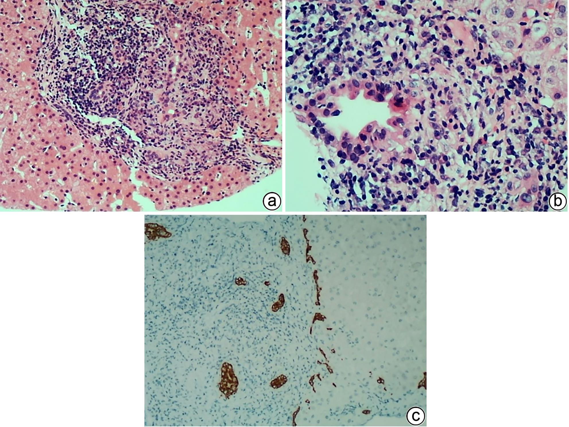
Autoimmune hepatitis (AIH) is an immune-mediated inflammatory disease of the liver parenchyma, which is characterized by hypergammaglobulinemia, the presence of autoantibodies, and typical abnormalities in liver histology; however, the diverse clinical manifestations of AIH and the lack of specific serological markers have brought difficulties and challenges in the diagnosis of AIH. Although portal lymphoplasmacytic infiltration, interface hepatitis, lymphocyte emperipolesis, and hepatocyte rosettes are the typical histological features of AIH, many other histological features can also be observed in AIH, including centrilobular necrosis and Kupffer cell hyaline globules. Therefore, no single histological feature can be used for the diagnosis of AIH, and a confirmed diagnosis should be made with reference to clinical and laboratory examinations, with the exclusion of liver diseases due to other causes. This article summarizes the histological features of AIH, different histopathological spectrum, common clinical issues, differential diagnosis, and recent advances.

Pathological diagnosis of primary biliary cholangitis
Qiupeng WANG, Meifu GAN
2024, 40(6): 1088-1092. DOI: 10.12449/JCH240604
Abstract(1408) HTML (931) PDF (1016KB)(185)
Abstract:
In recent years, new advances have been achieved for the research on the pathogenesis, diagnosis, and treatment of primary biliary cholangitis (PBC). Accurate diagnosis, prognosis assessment, and risk stratification based on the clinicopathological features of patients are important for the treatment of PBC. This article summarizes the advances in the clinicopathological features and treatment of PBC.
Pathological diagnosis of cholestatic liver disease
Jiping ZHANG
2024, 40(6): 1093-1099. DOI: 10.12449/JCH240605
Abstract(2455) HTML (1001) PDF (1969KB)(355)
Abstract:
Cholestatic liver disease (CLD) is a group of liver diseases caused by various reasons, such as abnormal bile metabolism, blocked outflow, and bile duct injury, and the major causes of CLD include drugs, poisons, immunity, genetics, obstruction, infection, and tumor. Cholestasis is a common pathological change in CLD; however, the site, histopathology, and ultrastructure of cholestasis due to different etiologies are relatively specific. According to the etiology, this article elaborates on the pathological characteristics of CLD such as autoimmune cholangitis, inherited metabolic liver disease, and large bile duct disease and introduces the differential diagnosis of other types of CLD, in order to improve the understanding of CLD pathology and facilitate accurate diagnosis and treatment.
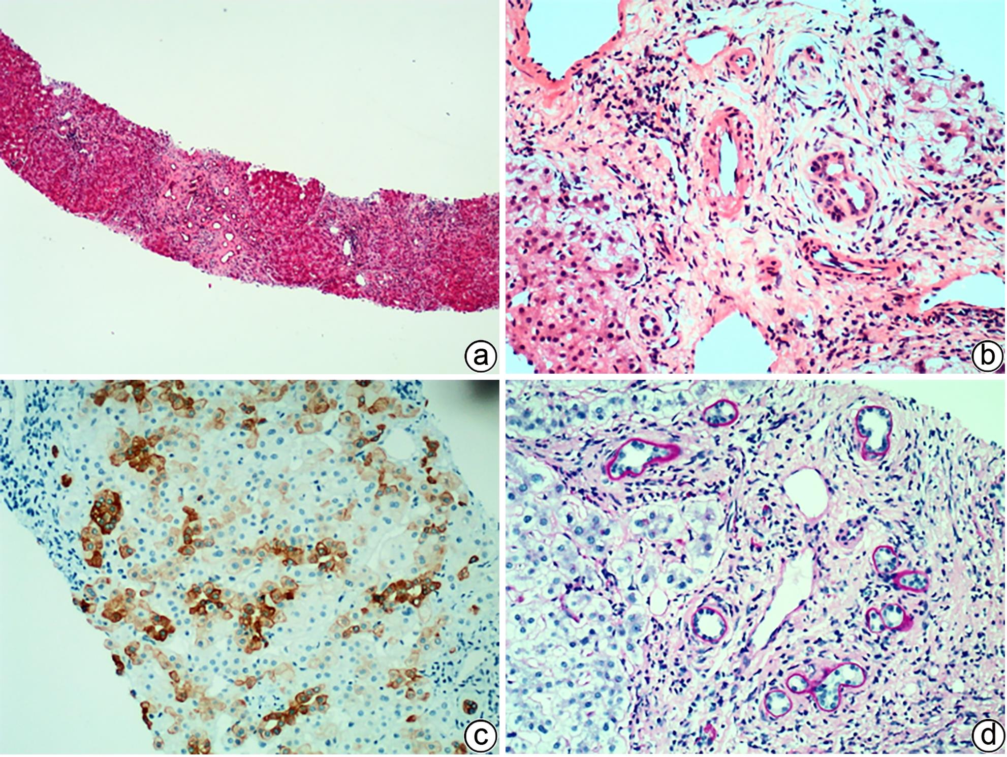
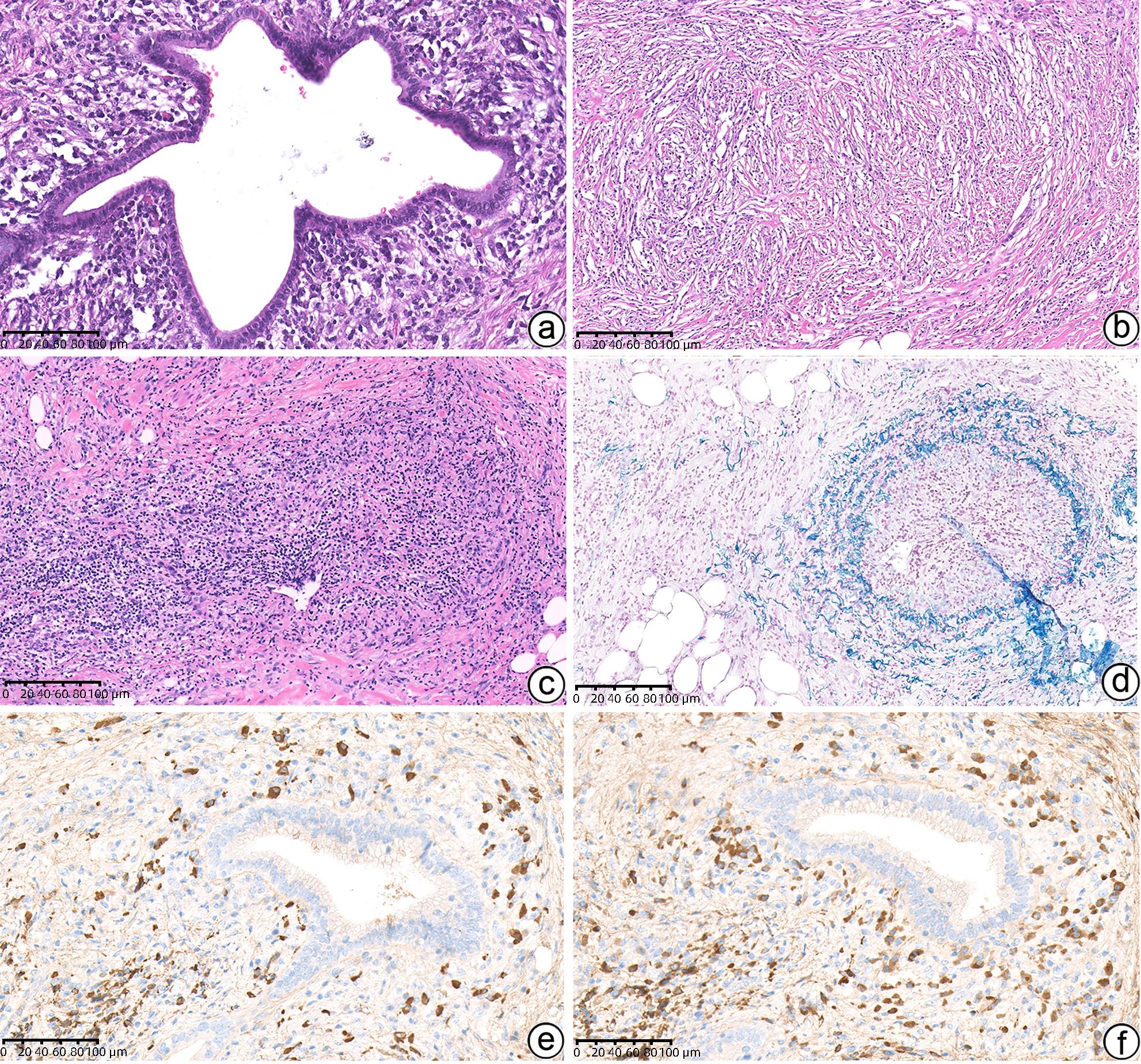
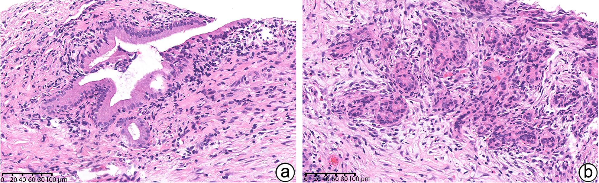
Pathological diagnosis of autoimmune pancreatitis
Ke SUN
2024, 40(6): 1100-1106. DOI: 10.12449/JCH240606
Abstract(1537) HTML (341) PDF (1309KB)(147)
Abstract:
Autoimmune pancreatitis (AIP) is a rare disease, and its diagnosis should be made based on a comprehensive evaluation of clinical, radiological, serological, and pathological findings. At present, AIP is classified into two subtypes of type 1 (identified as the pancreatic manifestation of IgG4-related disease) and type 2 (identified as the pancreas-specific disorder independent of IgG4). Although type 1 and type 2 AIP seem to have different pathogeneses, they tend to have similar radiological findings and exhibit a good response to corticosteroid therapy. This article mainly reviews the histopathological features of the two subtypes of AIP, especially the diagnostic challenges encountered in the interpretation of specimens obtained through endoscopic ultrasound-guided fine needle aspiration/biopsy, to as to help pathologists enhance the accuracy of the diagnosis of AIP.
Guideline
Chinese expert consensus on the diagnosis and treatment of HIV co-infection with HBV and HCV
Committee on HIV/Liver Diseases, Chinese Association of STD and AIDS Prevention and Control; Guangzhou Eighth People’s Hospital, Guangzhou Medical University
2024, 40(6): 1107-1113. DOI: 10.12449/JCH240607
Abstract(1804) HTML (911) PDF (769KB)(258)
Abstract:
Guidelines for integrated traditional Chinese and Western medicine diagnosis and treatment of severe acute pancreatitis
Drafting Group of Guidelines for Integrated Traditional Chinese and Western Medicine Diagnosis and Treatment of Severe Acute Pancreatitis, Chinese Association of Traditional Chinese Medicine
2024, 40(6): 1114-1125. DOI: 10.12449/JCH240608
Abstract(3222) HTML (884) PDF (949KB)(515)
Abstract:
Severe acute pancreatitis (SAP) is characterized by rapid onset and progression, complex clinicopathological changes, and a mortality rate of as high as 20%‍ ‍—‍ ‍30%. Long-term clinical practice and basic research have shown that relying solely on Western medicine for the treatment of SAP may not achieve satisfactory outcomes, and integrated traditional Chinese and Western medicine therapy has a marked clinical effect and significant advantages. Based on evidence-based medicine and with reference to related guidelines and clinical practice in China and globally, these guidelines summarize 28 clinical questions after widely soliciting opinions and suggestions from experts. This document specifically elaborates on the etiology, pathogenesis, and diagnostic criteria of SAP, as well as the key points of integrated traditional Chinese and Western medicine typing, disease staging, treatment methods, and therapies, so as to standardize the integrated traditional Chinese and Western medicine diagnostic criteria and treatment principles of SAP.
Viral Hepatitis
Correlation of serum angiopoietin-1, angiopoietin-2, and angiopoietin-1/angiopoietin-2 ratio with HBV DNA and alanine aminotransferase in patients with chronic hepatitis B or liver cirrhosis
Minghua LIN, Yuan CHANG, Fang LIU, Yanxiang HUANG, Hangfei XU
2024, 40(6): 1126-1129. DOI: 10.12449/JCH240609
Abstract(946) HTML (303) PDF (661KB)(93)
Abstract:
  Objective  To investigate the correlation of serum angiopoietin-1 (Ang-1), angiopoietin-2 (Ang-2), and Ang-1/Ang-2 ratio with HBA DNA and alanine aminotransferase (ALT) in patients with chronic hepatitis B (CHB) or liver cirrhosis.  Methods  Clinical data and serum specimens were collected from 99 patients with CHB and 59 patients with liver cirrhosis who were admitted to Beijing YouAn Hospital, Capital Medical University, from March 2018 to October 2019, and 46 individuals who underwent physical examination were enrolled as control group. PCR was used to measure serum HBV DNA level, and ELISA was used to measure the serum levels of Ang-1 and Ang-2. The serum levels of Ang-1 and Ang-2 and Ang-1/Ang-2 ratio were compared between groups. The Kruskal-Wallis H test was used for comparison of non-normally distributed continuous data between multiple groups, and the Bonferroni method was used for further comparison between two groups; the Spearman correlation analysis was used to investigate the correlation of Ang-1, Ang-2, and Ang-1/Ang-2 ratio with HBV DNA and ALT.  Results  Compared with the control group, the CHB group and the liver cirrhosis group had a significant reduction in the level of Ang-1 (479.0 pg/mL and 208.4 pg/mL vs 671.0 pg/mL, both P<0.05), and compared with the CHB group, the liver cirrhosis group had a significant reduction in the level of Ang-1 (P<0.001). Compared with the control group, the CHB group and the liver cirrhosis group had a significant increase in the level of Ang-2 (286.1 pg/mL and 438.4 pg/mL vs 198.0 pg/mL, both P<0.001), and compared with the CHB group, the liver cirrhosis group had a significant increase in the level of Ang-2 (P<0.001). Compared with the control group, the CHB group and the liver cirrhosis group had a significant reduction in Ang-1/Ang-2 ratio (1.6 and 0.5 vs 3.4, both P<0.001), and compared with the CHB group, the liver cirrhosis group had a significant reduction in Ang-1/Ang-2 ratio (P<0.001). The Spearman correlation analysis showed that in the CHB group, Ang-1 was negatively correlated with HBV DNA and ALT (r=-0.400 and -0.394, both P˂0.001), Ang-2 was positively correlated with HBV DNA and ALT (r=0.365 and 0.351, both P<0.001), and Ang-1/Ang-2 ratio was negatively correlated with HBV DNA and ALT (r=-0.463 and -0.473, both P<0.001); in the liver cirrhosis group, Ang-1, Ang-2, and Ang-1/Ang-2 ratio had no correlation with HBV DNA or ALT (all P>0.05).  Conclusion  There are significant changes in the serum levels of Ang-1 and Ang-2 and Ang-1/Ang-2 ratio in patients with CHB or liver cirrhosis, and Ang-1, Ang-2, and Ang-1/Ang-2 ratio reflects the degree of liver injury in patients with CHB to a certain extent.
Expression levels of serum high-mobility group box 1, soluble CD163, and prostaglandin E2 in patients with hepatitis B virus-related chronic-on-acute liver failure and their value in predicting prognosis
Chenlu HAN, Haijun LIANG, Daokun YANG, Haiyan CHANG, Shuai WEI, Xingwei WANG, Haili GAO
2024, 40(6): 1130-1135. DOI: 10.12449/JCH240610
Abstract(1018) HTML (326) PDF (826KB)(84)
Abstract:
  Objective  To investigate the expression levels of serum high-mobility group box 1 (HMGB1), soluble CD163 (sCD163), and prostaglandin E2 (PGE2) in patients with hepatitis B virus-related chronic-on-acute liver failure (HBV-ACLF), and to evaluate the value of the three indicators used alone or in combination in predicting prognosis.  Methods  A total of 76 patients with HBV-ACLF who were hospitalized in Department of Infectious Diseases, The First Affiliated Hospital of Xinxiang Medical University, from July 1, 2022 to September 30, 2023 were enrolled, and according to the 28-day prognosis, they were divided into survival group with 48 patients and death group with 28 patients. General data were collected, Model for End-Stage Liver Disease (MELD) score was calculated, and ELISA was used to measure the serum levels of HMGB1, sCD163, and PGE2. The independent-samples t test was used for comparison of normally distributed continuous data between two groups, and the Mann-Whitney U test was used for comparison of non-normally distributed continuous data between two groups; the chi-square test was used for comparison of categorical data between two groups. The Spearman rank correlation test was used to analyze the correlation of HMGB1, sCD163, and PGE2 with MELD score; the receiver operating characteristic (ROC) curve was used to analyze the value of HMGB1, sCD163, and PGE2 used alone or in combination in predicting the prognosis of HBV-ACLF patients.  Results  There were significant differences between the two groups in total bilirubin, white blood cell count, the percentage of neutrophils, procalcitonin, serum amyloid A, interleukin-6, serum sodium, and serum creatinine (all P<0.05). Compared with the survival group, the death group had significantly higher serum levels of HMGB1 (Z=-2.997, P=0.003) and sCD163 (Z=-2.972, P=0.003), a significantly higher MELD score (t=-6.997, P<0.001), and a significantly lower serum level of PGE2 (Z=-4.909, P<0.001). The Spearman rank correlation test showed that HMGB1 and sCD163 were positively correlated with MELD score (r=0.431 and 0.319, both P<0.05), while PGE2 was negatively correlated with MELD score (r=-0.412, P<0.05). The ROC curve analysis showed that HMGB1, sCD163, and PGE2 used alone had an area under the ROC curve (AUC) of 0.717, 0.716, and 0.856, respectively, while the combination of the three indicators had the highest predictive value, with an AUC of 0.930, a sensitivity of 0.778, and a specificity of 0.920.  Conclusion  Serum HMGB1, sCD163, and PGE2 used alone or in combination have a good reference value in predicting the prognosis of HBV-ACLF patients, and the combination of the three indicators has the highest predictive value, which holds promise for further observation and research.
Fatty Liver Disease
Population distribution of non-alcoholic fatty liver disease before and after renaming and risk factors for liver fibrosis in metabolic dysfunction-associated steatotic liver disease
Yan LI, Xuebing YAN, Zhonghua LU, Fang JI
2024, 40(6): 1136-1141. DOI: 10.12449/JCH240611
Abstract(1285) HTML (403) PDF (657KB)(142)
Abstract:
  Objective  To investigate the population distribution of non-alcoholic fatty liver disease before and after renaming and the association between the types of metabolic risk factors (MRF) for metabolic dysfunction-associated steatotic liver disease (MASLD) and advanced liver fibrosis.  Methods  This study was conducted among 515 patients who were admitted to The Affiliated Hospital of Xuzhou Medical University and Wuxi Fifth People’s Hospital from January 2019 to January 2022 and had hepatocyte steatosis ≥5% by liver biopsy. Among these patients, 2 patients did not meet the diagnostic criteria for nonalcoholic fatty liver disease (NAFLD) and metabolic associated fatty liver disease (MAFLD), respectively, and were classified as steatotic liver disease (SLD) with other specific causes, and the other 513 patients were divided into MASLD group with 275 patients, comorbid group with 216 patients (MASLD comorbid with other liver diseases), and cryptogenic SLD group with 22 patients. The above groups were compared in terms of clinical features, laboratory markers, and advanced liver fibrosis. The MASLD patients with different types of MRF were compared in terms of clinical features, laboratory markers, and advanced liver fibrosis, and the risk factors for advanced liver fibrosis in patients with MASLD were analyzed. The Kruskal-Wallis H test was used for comparison of continuous data with skewed distribution between multiple groups and further comparison between two groups; the chi-square test was used for comparison of categorical data between multiple groups, and Bonferroni correction was used for further comparison between two groups. The logistic regression analysis was used to identify the risk factors for liver fibrosis.  Results  Among the 515 patients with SLD, 297 patients (57.7%) met the diagnostic criteria for NAFLD, among whom 22 were classified as cryptogenic SLD and 275 met the diagnostic criteria for MASLD, and 467 (90.7%) were diagnosed with MAFLD. There were significant differences between the three groups in sex, body mass index (BMI), gamma-glutamyl transpeptidase, triglyceride, cholesterol, low-density lipoprotein cholesterol, high-density lipoprotein cholesterol, fasting plasma glucose, NAFLD fibrosis score (NFS), fibrosis-4 (FIB-4), and F3-4 (all P<0.05). Compared with the MASLD group and the cryptogenic SLD group, the comorbid group had the highest proportion of patients with advanced liver fibrosis (P<0.001). With the increase in the type of MRF, the patients tended to have an older age, a significantly higher proportion of female patients, a higher possibility of hypertension and diabetes, and higher levels of metabolic parameters including BMI, blood lipids, and blood glucose (all P<0.05). With the increase in the types of MRF in MASLD patients, they tended to have significantly higher noninvasive fibrosis scores (NFS and FIB-4) and a significantly higher proportion of patients with advanced liver fibrosis (P<0.05). The multivariate logistic regression analysis showed that age ≥50 years (odds ratio [OR]=2.622, 95% confidence interval [CI]: 1.091‍ ‍—‍ ‍6.300, P=0.031) and the increase in the type of MRF (OR=1.876, 95%CI: 1.194‍ ‍—‍ ‍2.947, P=0.006) were independent risk factors for MASLD with severe liver fibrosis.  Conclusion  The new definition of MASLD is based on the positive identification of MRF, and the reclassified population of MASLD is smaller than that of MAFLD, with little difference from that of NAFLD. In addition, age ≥50 years and the increase in the type of MRF are independent risk factors for MASLD with advanced liver fibrosis.
Liver Fibrosis and Liver Cirrhosis
Effect of oxaliplatin on the activation of hepatic stellate cells and its mechanism
Cunkai WANG, Yijun WANG, Dandan WANG, Xiaoli XIE, Hongyu LIU, Yun BAI, Huiqing JIANG, Yuzhen WANG
2024, 40(6): 1142-1148. DOI: 10.12449/JCH240612
Abstract(813) HTML (388) PDF (1223KB)(70)
Abstract:
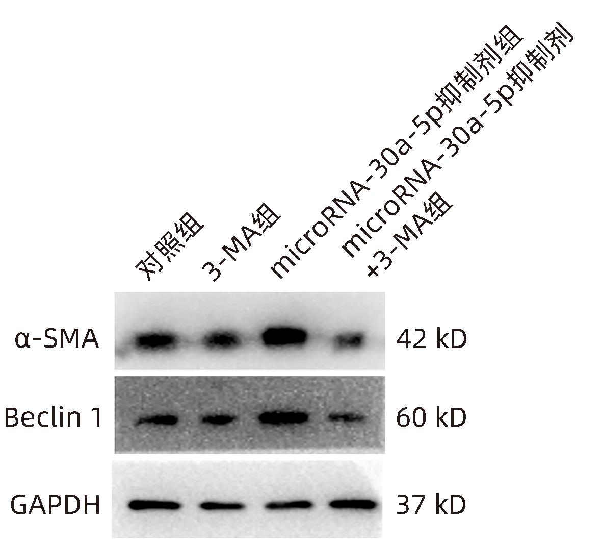
  Objective  To investigate the effect of oxaliplatin on the activation of hepatic stellate cells (HSCs), as well as the association of oxaliplatin with microRNA-30a-5p and autophagy.  Methods  HSC-LX2 cells were cultured and divided into groups according to the following three protocols: control group, PDGF treatment group, oxaliplatin treatment group, oxaliplatin+PDGF treatment group; control group, microRNA-30a-5p transfection group, PDGF treatment group, microRNA-30a-5p transfection+PDGF treatment group; control group, 3-MA group, microRNA-30a-5p inhibitor group, microRNA-30a-5p inhibitor+3-MA group. Western Blot was used to measure the expression of HSC activation-related proteins (Collagen-I and alpha-smooth muscle actin [α- SMA]) and HSC autophagy-related proteins (Beclin-1, P62, and LC3B); LysoTracker staining and immunofluorescence assay were used to measure the expression of LC3B autophagosomes; RT-PCR was used to measure the expression level of microRNA-30a-5p; bioinformatics techniques were used to predict the potential targets of microRNA-30a-5p in HSCs. The independent-samples t test was used for comparison of normally distributed continuous data between two groups; a one-way analysis of variance was used for comparison between multiple groups, and the least significant difference t-test was used for further comparison between two groups.  Results  After the cells were treated with oxaliplatin, RT-PCR results showed that the oxaliplatin treatment group had a significantly higher expression level of microRNA-30a-5p than the control group (P<0.01); Western Blot showed that the oxaliplatin treatment group had significant reductions in the expression levels of the HSC activation-related proteins α-SMA and Collagen-‍Ⅰ and the autophagy-related proteins Beclin 1 and LC3BⅡ/Ⅰ (all P<0.001); immunofluorescence assay showed that the oxaliplatin treatment group had a significantly lower number of autophagosomes than the control group (P<0.05). After HSC-LX2 cells were transfected with microRNA-30a-5p mimic, compared with the control group, the microRNA-30a-5p mimic group had significant reductions in the expression levels of the autophagy-related proteins Beclin 1 and LC3BⅡ/Ⅰ (P<0.05) and the HSC activation-related protein Collagen-‍‍Ⅰ (P<0.001); after HSC-LX2 cells were transfected with microRNA-30a-5p inhibitor, Western Blot showed that compared with the control group, the microRNA-30a-5p inhibitor group had significant increases in the expression levels of the HSC activation-related proteins Collagen-‍Ⅰ and α-SMA and the autophagy-related protein Beclin 1 (t=2.41, 2.32, and 4.57, all P<0.05). Western Blot showed that compared with the control group, the microRNA-30a-5p inhibitor group had significant increases in the expression levels of the HSC autophagy-related protein Beclin 1 and the HSC activation-related protein α-SMA (both P<0.05), and after the treatment with the autophagy inhibitor 3-MA, there were no significant differences in the expression of these proteins between the two groups (P>0.05). The bioinformatics analysis using TargetScan, PicTar, and miRanda databases showed that the autophagy-related protein Beclin-1 might be a potential target of miRNA-30a-5p.  Conclusion  Oxaliplatin can inhibit the activation of HSCs by upregulating the expression of microRNA-30a-5p, which provides new ideas and a new target for the treatment of liver fibrosis.
Construction of a risk prediction model for overt hepatic encephalopathy after transjugular intrahepatic portosystemic shunt in patients with hepatitis B cirrhosis and portal hypertension
Lanjing WANG, Jianping QIN, Xin YAO, Qi QI, Lin LIU, Shanhong TANG
2024, 40(6): 1149-1155. DOI: 10.12449/JCH240613
Abstract(1121) HTML (328) PDF (915KB)(96)
Abstract:
  Objective  To investigate the influencing factors for overt hepatic encephalopathy (OHE) in patients with hepatitis B cirrhosis after transjugular intrahepatic portosystemic shunt (TIPS), and to construct an individualized risk prediction model.  Methods  A total of 302 patients with hepatitis B cirrhosis who underwent TIPS in Department of Gastroenterology, The General Hospital of Western Theater Command, from January 2017 to December 2021 were enrolled, and according to the presence or absence of OHE after surgery, they were divided into non-OHE group with 237 patients and OHE group with 65 patients. The two groups were compared in terms of general data, laboratory markers, Child-Turcotte-Pugh (CTP) score, MELD combined with serum sodium concentration (MELD-Na) score, and albumin-bilirubin (ALBI) score before surgery. The independent-samples t test or the Mann-Whitney U test was used for comparison of continuous data between two groups, and the chi-square test was used for comparison of categorical data between two groups. The univariate and multivariate logistic regression analyses were used to identify the influencing factors for OHE after TIPS in patients with hepatitis B cirrhosis, and independent influencing factors were used to construct a nomogram model. The receiver operating characteristic (ROC) curve analysis and the calibration curve analysis were used to evaluate the discriminatory ability and calibration of the model, and the decision curve analysis and the clinical impact curve (CIC) were used to evaluate the clinical effectiveness of the model.  Results  Age (odds ratio [OR]=1.035, 95% confidence interval [CI]: 1.004‍ ‍—‍ ‍1.066, P<0.05), white blood cell count (WBC)/platelet count (PLT) ratio (OR=33.725, 95%CI: 1.220‍ ‍—‍ ‍932.377, P<0.05), international normalized ratio (INR) (OR=5.149, 95%CI: 1.052‍ ‍—‍ ‍25.207, P<0.05), and pre-albumin (PAB) (OR=0.992, 95%CI: 0.983‍ ‍—‍ ‍1.000, P<0.05) were independent predictive factors for OHE after TIPS in patients with hepatitis B cirrhosis. The nomogram model constructed based on age, WBC/PLT ratio, INR, and PAB had an area under the ROC curve of 0.716 (95%CI: 0.649‍ ‍—‍ ‍0.781), with a sensitivity of 78.5% and a specificity of 56.1%.  Conclusion  The nomogram model constructed based on age, WBC/PLT ratio, INR, and PAB can help to predict the risk of OHE after TIPS in patients with hepatitis B cirrhosis.
Association between serum endothelial cell-specific molecule 1 and cirrhotic cardiomyopathy
Lixia MA, Xinhuan WEI, Zhenhuan CAO, Jing ZHANG
2024, 40(6): 1156-1161. DOI: 10.12449/JCH240614
Abstract(866) HTML (435) PDF (699KB)(59)
Abstract:
  Objective  Cirrhotic cardiomyopathy (CCM) refers to cardiac dysfunction and electrophysiological disorder caused by liver cirrhosis and is closely associated with the prognosis of patients with liver cirrhosis. Endothelial cell-specific molecule 1 (endocan) can be used as a diagnostic marker for cardiovascular diseases, and it remains unclear whether it is involved in the pathogenesis of CCM. The aim of this study is to investigate the expression of serum endocan in patients with CCM and its possible role in the development of CCM.  Methods  This cross-sectional study was conducted among the patients with liver cirrhosis who were consecutively admitted to Beijing YouAn Hospital, Capital Medical University, from January 2019 to January 2021, and according to the presence or absence of CCM, the patients were divided into CCM group with 19 patients and non-CCM group with 106 patients. ELISA was used to measure the serum level of endocan, and its correlation with liver function and cardiac function was analyzed. The independent-samples t test was used for comparison of normally distributed continuous data between two groups, and the Mann-Whitney U rank sum test was used for comparison of continuous data with skewed distribution between two groups; the chi-square test was used for comparison of categorical data between groups. A Pearson or Spearman correlation analysis was used to investigate the correlation between indicators, and the receiver operating characteristic (ROC) curve was used to assess the CCM predictive model.  Results  The CCM group had a significantly higher expression level of serum Endocan than the non-CCM group (2.69±0.43 ng/mL vs 2.23±0.52 ng/mL, t=2.247, P=0.034). The patients with compensated cirrhosis had a significantly lower expression level of serum endocan than those with decompensated cirrhosis (2.41±0.37 ng/mL vs 2.72±0.49 ng/mL, t=3.214, P=0.02). In the CCM group, the serum level of endocan was positively correlated with Child-Pugh score (r=0.509, P=0.026) and MELD-Na score (r=0.484, P=0.036) and was negatively correlated with mean arterial pressure (r=-0.591, P=0.013) and mitral ratio of peak early to late diastolic filling velocity (r=-0.515, P=0.042). The serum endocan had an area under the ROC curve of 0.658 (95%CI: 0.522~0.781) in predicting CCM, when the cut-off value was 2.61 ng/mL, the sensitivity was 67.1% and the specificity was 73.7%.  Conclusion  There is a certain association between serum endocan and CCM, and serum endocan may be involved in the pathogenesis of CCM.
Liver Neoplasm
Predictive value of continuous monitoring of indocyanine green retention rate at 15 minutes combined with standard residual liver volume for hepatic insufficiency in patients with hepatocellular carcinoma after partial hepatectomy
Yujun LUO, Yamin ZHANG
2024, 40(6): 1162-1168. DOI: 10.12449/JCH240615
Abstract(1306) HTML (442) PDF (797KB)(74)
Abstract:
  Objective  To investigate the value of continuous monitoring of indocyanine green retention rate at 15 minutes (ICG-R15) combined with standard residual liver volume (SRLV) in predicting hepatic insufficiency after partial hepatectomy.  Methods  Clinical data and SRLV data were collected from 70 patients with hepatocellular carcinoma who were admitted to Department of Hepatobiliary Surgery, Tianjin First Central Hospital, from November 2016 to May 2017. According to the presence or absence of hepatic insufficiency after surgery, the patients were divided into good liver function group with 56 patients and hepatic insufficiency group with 14 patients. Based on preoperative liver function evaluation and contrast-enhanced CT scans, resected liver volume and residual liver volume were calculated, and three-dimensional reconstruction of the liver was performed. Intraoperative ultrasound localization was performed to determine the surgical regimen, and selective hepatic inflow occlusion or intermittent hepatic portal occlusion was selected based on intraoperative conditions. CUSA combined with BIPOLAR drip electric coagulation forceps were used for the partition of liver parenchyma. SRLV was calculated, and ICG-R15 was monitored continuously. The independent-samples t test was used for comparison of continuous data between two groups, and the chi-square test was used for comparison of categorical data between two groups; the area under the ROC curve (AUC) was used to investigate the accuracy in predicting hepatic insufficiency after surgery. A multivariate Logistic regression analysis was used to establish a predictive model for postoperative hepatic insufficiency, and diagnostic criteria were developed for SLRV combined with postoperative ICG-R15 dynamic monitoring in the diagnosis of postoperative hepatic insufficiency.  Results  There were significant differences between the two groups in ICG-R15 before surgery, immediately after surgery, and on days 3 and 5 after surgery, as well as significant differences in SRLV and Child class (all P<0.05). The incidence rate of postoperative hepatic insufficiency increased with the increase in ICG-R15 before surgery, immediately after surgery, and on days 3 and 5 after surgery (all P<0.001). Further comparison between two groups showed that there was a significant difference in the incidence rate of hepatic insufficiency between the ICG-R15>20% group and the other two groups before surgery, immediately after surgery, and on days 3 and 5 after surgery (all P<0.001), and there was a significant difference in the incidence rate of hepatic insufficiency between the ICG-R15<10% group and the 10%≤ICG-R15≤20% group immediately after surgery (P<0.001). ICG-R15 before surgery, ICG-R15 immediately after surgery, ICG-R15 on day 3 after surgery, and ICG-R15 on day 5 after surgery had an AUC of 0.790, 0.857, 0.855, and 0.870, respectively, in predicting postoperative hepatic insufficiency, and ICG-R15 immediately after surgery and on days 3 and 5 after surgery had a significantly larger AUC than ICG-R15 before surgery (all P<0.05). The multivariate analysis showed that increases in SRLV and postoperative ICG-R15 dynamic monitoring (immediately after surgery and on days 3 and 5 after surgery) were independent risk factors for postoperative hepatic insufficiency, while increased body mass index before surgery was an independent protective factor (all P<0.05). A multivariate Logistic regression predictive model was established and was used to predict hepatic insufficiency after surgery (immediately after surgery and on days 3 and 5 after surgery), and the ROC curve analysis showed that the model had an AUC of 0.963, 0.967, and 0.967, respectively, in predicting hepatic insufficiency immediately after surgery and on days 3 and 5 after surgery (all P<0.01). Diagnostic criteria were developed for SLRV combined with postoperative ICG-R15 dynamic monitoring in the diagnosis of postoperative hepatic insufficiency, i.e., SLRV>1 240 mL/m2, ICG-R15>20% immediately after surgery, or ICG-R15>25% on day 3 or 5 after surgery, and postoperative hepatic insufficiency could be diagnosed if a patient met any one criterion. These diagnostic criteria had a sensitivity of 100%, a specificity of 60.71%, and a conformity degree of 68.57%.  Conclusion  Continuous monitoring of ICG-R15 before and after surgery is of guiding significance for predicting postoperative hepatic insufficiency, and ICG-R15 on day 5 after surgery has the highest accuracy. SRLV combined with postoperative ICG-R15 dynamic monitoring can effectively predict the onset of hepatic insufficiency after hepatectomy and can guide clinicians to predict the onset of postoperative hepatic insufficiency in patients with liver cancer and perform clinical intervention as soon as possible.
Efficacy and safety of cryoablation combined with Camrelizumab monoclonal antibody in treatment of hepatocellular carcinoma
Changwang ZHANG, Ninghan WU, Cong WANG, Zheng ZHENG, Siming GAO, Changpeng ZOU, Sujing ZHANG, Na LI
2024, 40(6): 1169-1174. DOI: 10.12449/JCH240616
Abstract(1131) HTML (452) PDF (883KB)(75)
Abstract:
  Objective  To investigate the efficacy and safety of cryoablation combined with Camrelizumab monoclonal antibody in the treatment of hepatocellular carcinoma (HCC).  Methods  A total of 103 HCC patients who were admitted to our hospital from June 2020 to June 2023 were enrolled and randomly divided into combined treatment group with 53 patients and control group with 50 patients. The patients in the control group received percutaneous argon-helium cryoablation, and those in the combined treatment group received percutaneous argon-helium cryoablation combined with Camrelizumab monoclonal antibody. The two groups were compared in terms of short-term response, changes in T lymphocyte subsets after treatment, changes in liver function and alpha-fetoprotein (AFP) after treatment, and progression-free survival and overall survival during follow-up. The t-test was used for comparison of normally distributed continuous data between groups, and the chi-square test was used for comparison of categorical data between groups. The Kaplan-Meier method was used to plot survival curves, and the log-rank test was used for comparison of survival time between the two groups.  Results  The combined treatment group had significantly higher overall response rate and disease control rate than the control group (χ2=4.156 and 4.348, P=0.042 and 0.037). After treatment, the combined treatment group had significant increases in the percentages of CD3+ and CD4+ T lymphocytes and CD4+/CD8+ ratio (P<0.05) and a significant reduction in the percentage of CD8+ T lymphocytes (P<0.05), while the control group had no significant changes in T lymphocyte subsets after treatment (P>0.05), and compared with the control group after treatment, the combined treatment group had significantly higher percentages of CD3+ and CD4+ T lymphocytes and CD4+/CD8+ ratio (all P<0.05) and a significantly lower percentage of CD8+ T lymphocytes (P<0.05). After treatment, both groups had significant reductions in the levels of alanine aminotransferase (ALT), aspartate aminotransferase (AST), and AFP (all P<0.05) and a significant increase in the level of albumin (Alb) (P>0.05), and compared with the control group after treatment, the combined treatment group had significantly lower levels of ALT, AST, and AFP (all P<0.05) and a significantly higher level of Alb (P<0.05). There were no significant differences in the incidence rates of grade Ⅲ‍—‍Ⅳ (moderate to severe) adverse reactions between the two groups (P>0.05). Compared with the control group, the combined treatment group had significantly better median progression-free survival (21.32 months vs 15.31 months, χ2=4.689, P=0.030) and median overall survival (28.36 months vs 20.75 months, χ2=5.030, P=0.025).  Conclusion  Argon-helium cryoablation combined with Camrelizumab monoclonal antibody can effectively improve short-term response, enhance immune function, and prolong survival time, with a favorable safety profile.
Effect of iridoid glycosides from Boschniakia rossica on epithelial-mesenchymal transition of HepG2 cells induced by transforming growth factor-beta 1
Aihua JIN, Jiebo ZHU, Xuezhe YIN, Jishu QUAN
2024, 40(6): 1175-1182. DOI: 10.12449/JCH240617
Abstract(1063) HTML (324) PDF (1510KB)(62)
Abstract:
  Objective  To investigate the effect of iridoid glycosides from Boschniakia rossica (IGBR) on epithelial-mesenchymal transition (EMT) of HepG2 hepatoma cells induced by transforming growth factor-beta 1 (TGF-β1).  Methods  HepG2 hepatoma cells were induced by 10 μg/L TGF-β1 to construct an EMT model of hepatoma cells. The cells were divided into control group (treated with serum-free DMEM), model group (treated with 10 μg/L TGF-β1), and IGBR group (treated with 10 μg/L TGF-β1 and 500 mg/L IGBR), and all cells were cultured for 48 hours. Cell adhesion assay, wound healing assay, and Transwell chamber assay were used to observe the migration and invasion abilities of cells. RT-PCR and Western blot were used to measure the mRNA and protein expression levels of E-cadherin, N-cadherin, and vimentin in cells, and Western blot was used to measure the protein expression levels of Slug, Twist1, ZEB1, p-STAT3, and STAT3. A one-way analysis of variance was used for comparison of continuous data between multiple groups, and the least significant difference t-test was used for further comparison between two groups; the independent-samples t test was used for comparison between two groups.  Results  After TGF-β1 induction, HepG2 cells in the model group showed long spindle-shape changes, while those in the control group showed polygonal epithelia-like changes. Compared with the model group, the IGBR group had a significant reduction in cell adhesion rate and significant inhibition of cell migration and invasion abilities (all P<0.05), as well as significant increases in the mRNA and protein expression levels of E-cadherin (P<0.05), significant reductions in the mRNA and protein expression levels of N-cadherin and vimentin (all P<0.05), and significant reductions in the protein expression levels of Slug, Twist1, ZEB1, and p-STAT3 (all P<0.05).  Conclusion  IGBR can inhibit TGF-β1-induced EMT process in HepG2 cells, thereby attenuating cell adhesion, migration, and invasion abilities, and it can also upregulate E-cadherin, downregulate N-cadherin and vimentin, and upregulate the protein expression of Slug, Twist1, ZEB1, and STAT3, possibly by inhibiting the STAT3 pathway to downregulate the EMT transcription factors such as Slug, Twist1, and ZEB1.
Impact of cancer-associated fibroblasts on immunotherapy and liver metastasis in colorectal cancer
Xiaoqing WANG, Jie LONG, Fei WANG, Zhexiong LIAN
2024, 40(6): 1183-1190. DOI: 10.12449/JCH240618
Abstract(1854) HTML (709) PDF (4057KB)(100)
Abstract:
  Objective  To investigate the impact of cancer-associated fibroblasts (CAFs) on immunotherapy and liver metastasis in colorectal cancer (CRC).  Methods  The single-cell sequencing data (GSE205506) of CRC patients with mismatch repair deficiency (MMRd) were downloaded from the gene expression omnibus database, and R software was used to preprocess the original sequencing data and establish the umap of fibroblast subpopulations, with each subpopulation named based on signature genes. GraphPad was used for the statistical analysis of the proportion of each fibroblast subpopulation, and the key subpopulations with significant differences were analyzed among CRC patients before and after PD-1 immunotherapy, as well as between the patients with pathological complete response (pCR) and those without pCR (non-pCR) after treatment. The analysis of differentially expressed genes and the gene pathway enrichment analysis were performed for the key subpopulations. The TCGA database was used to perform a prognostic and survival analysis of the signature genes of key CAF subpopulations, and RNA sequencing data were used to score and calculate the proportion of key CAF subpopulations in the primary lesions of CRC patients with liver metastasis. The independent-samples t test was used for comparison of normally distributed continuous data between two groups; the Kaplan-Meier method was used to plot survival curves, and the log-rank test was used to calculate survival rates. CellPhoneDB software was used to analyze the receptor-ligand interaction between fibroblast subpopulations and tumor cells, and in vitro cell experiments were used to validate the effect of NRG1, a key ligand molecule, on the migration and invasion abilities of CRC cells.  Results  After PD-1 immunotherapy for CRC patients, there was a significant reduction in the proportion of F6_MMP1+CAFs (P<0.001), which was only observed in patients achieving complete remission after immunotherapy. F6_MMP1+CAFs were upregulated, as well as the genes and signaling pathways associated with tumor migration and invasion, and in addition, there was a significant increase in F6_MMP1+CAFs in the tumor tissue of CRC patients with liver metastasis (P<0.000 1). As a ligand, NRG1 expressed by F6_MMP1+CAFs interacted with ERBB3 receptor expressed by tumor cells, and the in vitro experiments confirmed that NRG1 promoted the migration and invasion abilities of tumor cells by activating the ERBB signaling pathway (P<0.05).  Conclusion  F6_MMP1+CAFs may affect the efficacy of PD-1 immunotherapy in CRC patients and play an important role in promoting liver metastasis in CRC. F6_MMP1+CAFs, along with NRG1 that is produced by them and can promote tumor metastasis, can be used as potential therapeutic targets and prognostic markers for CRC.
Other Liver Disease
Efficacy and safety of artificial liver support therapy with a selective plasma separator in low-platelet count patients with acute-on-chronic liver failure
Shoujuan LI, Li WANG, Ming ZHOU, Bei WU, Lei WANG, Meng DUAN, Hongfan LIAO, Ruiqing HU, Zhaoxia HU, Li ZHU, Juan HU
2024, 40(6): 1191-1195. DOI: 10.12449/JCH240619
Abstract(1185) HTML (427) PDF (697KB)(70)
Abstract:
  Objective  To investigate the efficacy and safety of artificial liver support therapy with an Evanure-4A selective membrane plasma separator and its influence on platelet count in the treatment of patients with acute-on-chronic liver failure (ACLF) patients with different platelet counts.  Methods  A total of 302 patients with ACLF who were hospitalized in Department of Hepatology, Chengdu Public Health Clinical Medical Center, from January 2021 to May 2023, were enrolled, and according to the platelet count (PLT), they were divided into group A (25×109/L — 50×109/L) with 101 patients, group B (51×109/L — 80×109/L) with 98 patients, and group C (81×109/L — 100×109/L) with 103 patients. In addition to medical treatment, all patients received different modes of artificial liver support therapy based on their conditions, including plasma perfusion combined with plasma exchange, double plasma molecular adsorption combined with plasma exchange, and bilirubin system adsorption combined with plasma exchange. The paired t-test was used for comparison of continuous data before and after treatment in each group; an analysis of variance was used for comparison between multiple groups, and the SNK-q test was used for further comparison between two groups; the chi-square test was used for comparison of categorical data between multiple groups.  Results  Of all 302 patients, 268 (88.74%) achieved varying degrees of improvement in clinical symptoms after artificial liver support therapy. After treatment, all three groups had varying degrees of reductions in alanine aminotransferase (t=14.755, 21.614, and 15.965, all P<0.001), aspartate aminotransferase (t=11.491, 19.301, and 13.919, all P<0.001), total bilirubin (t=19.182, 17.486, and 21.75, all P<0.001), and international normalized ratio (INR) (t=3.497, 3.327, and 4.358, all P<0.05). After artificial liver support therapy with an Evanure-4A selective membrane plasma separator, PLT in group A decreased from (37.73±6.27)×109/L before treatment to (36.59±7.96)×109/L after treatment, PLT in group B decreased from (66.97±7.64)×109/L before treatment to (62.59±7.37)×109/L after treatment, and PLT in group C decreased from (93.82±5.38)×109/L before treatment to (85.99±12.49)×109/L after treatment; groups B and C had significant reductions in PLT after treatment (t=12.993 and 8.240, both P<0.001), but there was no significant difference in group A (P>0.05). There was no significant difference in the incidence rate of adverse reactions during artificial liver support therapy between the three groups (P>0.05).  Conclusion  Artificial liver support therapy can improve liver function and INR in patients with ACLF. The use of Evaure-4A selective membrane plasma separator during artificial liver support therapy has little influence on platelets, and it is safe in the treatment of ACLF patients with a significantly lower level of platelets.
Risk factors for pulmonary infection in patients with acute-on-chronic liver failure and establishment of a predictive model
Lijingzi WANG, Pei LI, Ye ZHANG, Jianqi LIAN, Lan ZHANG, Shasha WU, Congmin SHI, Xiao DANG
2024, 40(6): 1196-1202. DOI: 10.12449/JCH240620
Abstract(1258) HTML (394) PDF (827KB)(85)
Abstract:
  Objective  To investigate the risk factors for pulmonary infection in patients with acute-on-chronic liver failure (ACLF), and to establish a predictive model.  Methods  A retrospective analysis was performed for 585 ACLF patients who were admitted to Department of Infectious Diseases, The Second Affiliated Hospital of Air Force Medical University, from January 2009 to September 2022, and according to the condition of pulmonary infection after admission, they were divided into infection group with 213 patients and non-infection group with 372 patients. The independent-samples t test or the Mann-Whitney U test was used for comparison of continuous data between two groups, and the chi-square test was used for comparison of categorical data between groups. The clinical data of these patients were collected. Univariate and multivariate Logistic regression analyses were used to investigate the risk factors for pulmonary infection in ACLF patients and establish a predictive model, and the receiver operating characteristic (ROC) curve was plotted to assess the predictive value of the model. The Hosmer-Lemeshow test was used to evaluate the degree of fitting of the model, and the ROC curve and the area under the ROC curve (AUC) were used to assess the predictive performance of the model.  Results  Among the 585 patients with ACLF, 213 experienced pulmonary infection, with an infection rate of 36.41%. The multivariate logistic analysis showed that upper gastrointestinal bleeding (odds ratio [OR]=2.463, P=0.047), infection at other sites (OR=2.218, P=0.004), femoral vein catheterization (OR=2.520, P<0.001), and combined use of two or more antibiotics (OR=2.969, P<0.001) were risk factors for pulmonary infection in ACLF patients. These factors were included in the risk factor predictive model of Logit (P)=-1.869+0.901×upper gastrointestinal bleeding+0.755×infection at other sites+0.924×femoral vein catheterization+1.088×combined use of two or more antibiotics. The ROC curve analysis showed that the model had a good predictive value (Hosmer-Lemeshow χ2=3.839, P=0.698), with an AUC of 0.753 (95% confidence interval: 0.700 — 0.772).  Conclusion  There is a relatively high incidence rate of pulmonary infection in patients with ACLF, and upper gastrointestinal bleeding, spontaneous peritonitis, femoral vein catheterization, and combined use of two or more antibiotics are related risk factors. The model established based on these factors can effectively predict the onset of pulmonary infection in ACLF patients.
Value of different assessment scales in the diagnosis of drug-induced liver injury
Jiaxi MA, Tiantian YAO, Hao CHENG, Dan LIU, Yuhan ZHANG, Siyuan DU, Linfei DONG, Linhui HU, Yan WANG, Guiqiang WANG
2024, 40(6): 1203-1208. DOI: 10.12449/JCH240621
Abstract(1574) HTML (384) PDF (601KB)(97)
Abstract:
  Objective  To determine the scores of patients with a confirmed diagnosis of drug-induced liver injury (DILI) using Roussel Uclaf Causality Assessment Method (RUCAM), Maria & Victorino assessment scale, and Revised Electronic Causality Assessment Method (RECAM), to compare the accuracy of the three scales in diagnosis, and to investigate their clinical significance in the diagnosis of DILI.  Methods  A total of 98 patients with a confirmed diagnosis of DILI who were hospitalized in Peking University First Hospital from January 2011 to December 2022 were enrolled, with liver biopsy results supporting DILI and a clear history of medication. Clinical data were collected from all subjects, and the above causality assessment scales were used for scoring. The chi-square test was used to analyze the diagnostic accuracy of the causality assessment scales, and the weighted kappa coefficient was used to analyze the consistency between the three scales.  Results  For all patients with DILI enrolled, RECAM had the highest accuracy, with a significant difference compared with RUCAM (χ2=5.667,P=0.017). RUCAM and RECAM had moderate consistency in diagnosis (κw=0.469), while RECAM and Maria & Victorino scale had poor consistency (κw=0.156). For the patients with acute DILI, RECAM, RUCAM, and Maria & Victorino scales had a diagnostic inconsistency rate of 3.7%, 11.1%, and 42.6%, respectively; for the patients with hepatocellular type DILI, the three scales of a diagnostic inconsistency rate of 8.9%, 21.4%, and 62.5%, respectively; for the patients with cholestasis type or mixed type DILI, the three scales of a diagnostic inconsistency rate of 10.0%, 22.5%, and 47.5%, respectively.  Conclusion  The use of RECAM and RUCAM scales in acute DILI can improve diagnostic rate, and for hepatocellular type DILI and DILI with the clinical manifestation of cholestasis (cholestasis type DILI and mixed type DILI), the use of RECAM and RUCAM scales can also improve diagnostic rate. The selection of causality assessment scales with a relatively high accuracy based on the course and clinical classification of the disease may help to further improve clinical diagnostic rate.
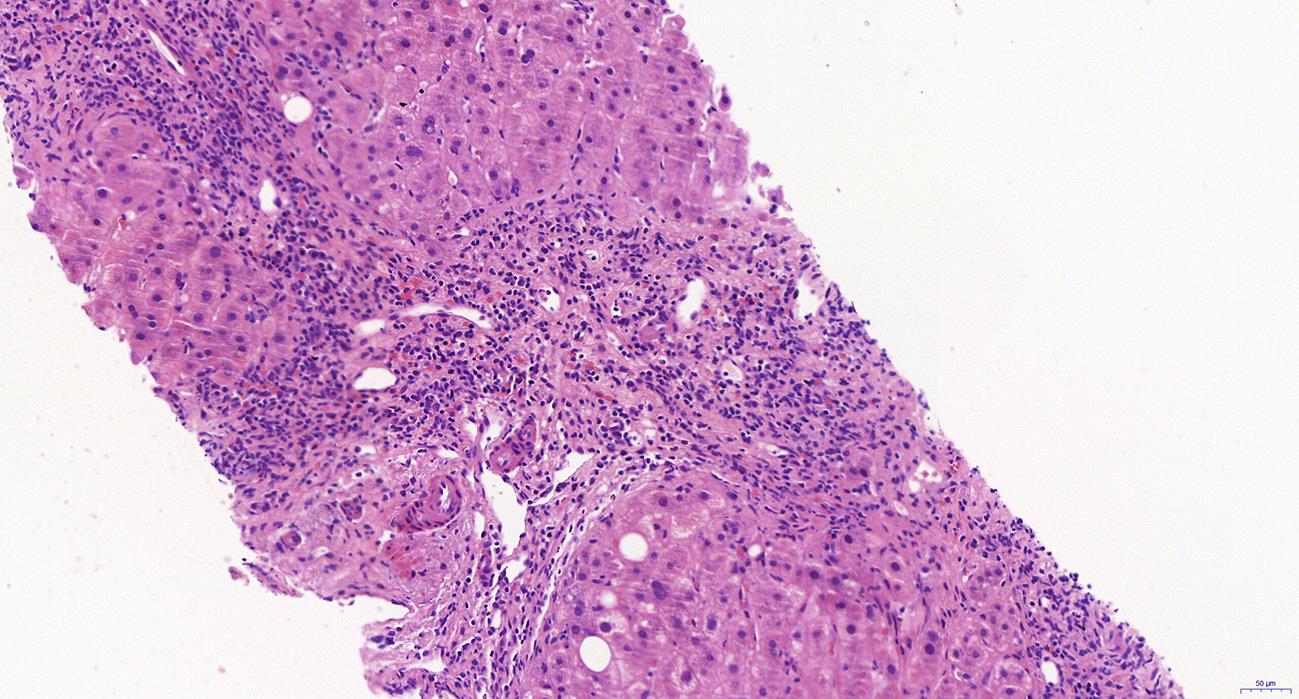
Effect of mesenchymal stem cells combined with immunosuppressants on immune rejection in a rat model of liver transplantation
Haitao LI, Saihua YU, Lihong CHEN, Zisen LAI, Haiyan LIU, Hongzhi LIU, Conglong. SHEN
2024, 40(6): 1209-1214. DOI: 10.12449/JCH240622
Abstract(997) HTML (329) PDF (7108KB)(71)
Abstract:
  Objective  To investigate the effect of mesenchymal stem cells (MSCs) combined with immunosuppressants (IS) on immune rejection in a rat model of liver transplantation.  Methods  F344 rats were divided into Normal group (without any intervention), PS group (injected with an equal volume of normal saline), MSC group (injected with MSC), IS group (injected with IS), and MSC+IS group (injected with MSC and IS), with 8 rats in each group. For all rats except those in the Normal group, the Kamada’s double-cuff method was used to establish a model of orthotopic liver transplantation, without reconstruction of the hepatic artery. HE staining and Masson staining were performed for rat liver tissue, and the degree of liver fibrosis was analyzed; immunohistochemical experiments were used to measure the infiltration of T cells and NK cells, and immunofluorescence assay was used to analyze macrophage M2 polarization. A one-way analysis of variance was used for comparison of continuous data between multiple groups, and the least significant difference t-test was used for further comparison between two groups. The Kaplan-Meier method was used to plot survival curves, and the log-rank test was used for survival analysis.  Results  Compared with the PS group, the MSC+IS group had a significantly prolonged survival time (P<0.01), and the MSC group, the IS group, and the MSC+IS group had a significant improvement in the histological structure of the liver and a significant reduction in the degree of liver fibrosis (all P<0.000 1), as well as a significant reduction in the infiltration of NK and T cells (all P<0.000 1) and a significant increase in the degree of macrophage M2 polarization (all P<0.000 1). The MSC+IS group had a significantly better effect than the MSC group and the IS group.  Conclusion  MSCs combined with IS can improve liver histopathology, reduce inflammatory cell infiltration, promote macrophage M2 polarization, and exert an immunosuppressive effect in rats after liver transplantation.
Biliary Disease
Association between hypertension and the risk of gallstone disease
Wenqian YU, Linjun XIE, Shiyi LI, Yanmei LOU, Guoheng JIANG, Hongyu LI, Zitong YAN, Xuan BAI, Jing LUO, Chi ZHANG, Guangcan LI, Xuefeng SHAN, Xin WANG
2024, 40(6): 1215-1225. DOI: 10.12449/JCH240623
Abstract(1396) HTML (469) PDF (1424KB)(82)
Abstract:
  Objective  This article aims to investigate the association between hypertension and the risk of GSD by conducting a national multicenter study, a systematic review, and a meta-analysis.  Methods  The study was conducted in three stages. In the first stage, subjects were recruited for health examination in four hospitals in Chengdu, Tianjin, Beijing, and Chongqing, China, from 2015 to 2020, and the multivariate logistic regression analysis was used to investigate the association between hypertension and the risk of GSD in each center. In the second stage, Embase, PubMed, Wanfang Data, VIP, and CNKI databases were searched for related studies published up to May 2021, and a meta-analysis was conducted to further verify such association. In the third stage, the random effects model was used for pooled analysis of the results of the multicenter cross-sectional study and the findings of previous literature.  Results  A total of 633 948 participants were enrolled in the cross-sectional study, and the prevalence rate of GSD was 7.844%. The multivariate logistic regression analysis showed that hypertension was positively associated with the risk of GSD(P<0.05). Subgroup analysis showed that there was no significant difference in the association between hypertension and GSD between individuals with different sexes, ages, and subtypes of GSD. A total of 80 articles were included in the systematic review and the meta-analysis, and the results showed that the risk of GSD was increased by 1.022 times for every 10 mmHg increase in diastolic pressure and 1.014 times for every 10 mmHg increase in systolic pressure.  Conclusion  Hypertension significantly increases the risk of GSD, and the findings of this study will provide a basis for the etiology of GSD and the identification of high-risk groups.
Pancreatic Disease
Value of skeletal muscle index combined with interleukin-6 and activin A in predicting early-stage pancreatic cancer cachexia
Xinsheng LI, Limin ZHANG, Shunxiang WANG, Ningning FENG
2024, 40(6): 1226-1230. DOI: 10.12449/JCH240624
Abstract(942) HTML (312) PDF (670KB)(80)
Abstract:
  Objective  To investigate the value of L3 skeletal muscle index (L3-SMI) combined with interleukin-6 (IL-6) and activin A in predicting early-stage pancreatic cancer cachexia.  Methods  A total of 74 patients with pancreatic cancer who were diagnosed in Hebei Medical University Forth Hospital from July 2020 to July 2023 were enrolled, and according to the presence or absence of cachexia after admission, the patient were divided into cachexia group with 58 patients and non-cachexia group with 16 patients. The levels of L3-SMI, IL-6, and activin A were observed within 48 hours after admission. The independent-samples t test was used for comparison of normally distributed continuous data between groups, and the chi-square test was used for comparison of categorical data between groups. A multivariate Logistic regression analysis was used to investigate the influencing factors for pancreatic cancer cachexia; the receiver operating characteristic (ROC) curve was used to analyze the value of L3-SMI, IL-6, and activin A alone or in combination in predicting pancreatic cancer cachexia, and the Z test was used for comparison of the area under the ROC curve (AUC).  Results  Compared with the non-cachexia group, the cachexia group had a significantly higher level of L3-SMI and significantly lower serum levels of IL-6 and activin A (t=8.649, 3.049, and 8.100, all P<0.05). The multivariate logistic analysis showed that L3-SMI (odds ratio [OR]=0.266, 95% confidence interval [CI]: 0.103‍ ‍—‍ ‍0.683, P<0.05), serum IL-6 (OR=4.158, 95%CI: 1.368‍ ‍—‍ ‍12.333, P<0.05), and activin A (OR=5.124, 95%CI: 1.550‍ ‍—‍ ‍16.939, P<0.05) were influencing factors for pancreatic cancer cachexia. L3-SMI, IL-6, and activin A alone had a significantly lower AUC than the combination of the three indicators in predicting pancreatic cancer cachexia (0.851/0.752/0.791 vs 0.946, Z=-2.841, -2.552, and -2.647, all P<0.001), and the combination of the three indicators had the highest sensitivity (90.9%), specificity (87.8%) and Youden index (0.788).  Conclusion  L3-SMI combined with serum IL-6 and activin A has a good value in predicting early-stage pancreatic cancer cachexia.
Establishment and in vivo imaging observation of a nude mouse model of type 2 diabetes mellitus and pancreatic cancer
Yongning XU, Xuehuan HUANG, Zhipan TANG, Ruohan LI, Wen QIN
2024, 40(6): 1231-1239. DOI: 10.12449/JCH240625
Abstract(1726) HTML (515) PDF (1970KB)(83)
Abstract:
  Objective  To establish a nude mouse model of type 2 diabetes mellitus (T2DM) and pancreatic cancer that allows dynamic observation of tumor formation process and facilitates invivo research.  Methods  At first, human pancreatic cancer PANC-1 cells were transfected with lentiviral vector GV260 to construct the pancreatic cancer cell line PANC-1-Luc with stable expression of firefly luciferase. Then, 36 specific pathogen-free nude mice were randomly divided into control group with 12 mice and model group with 24 mice (nude mice with T2DM and pancreatic cancer). The mice in the control group were fed with breeding diet and were then given ectopic subcutaneous implantation of PANC-1-Luc cells, and those in the model group were first given high-fat diet and intraperitoneal injection of 1% STZ, followed by ectopic subcutaneous implantation of PANC-1-Luc cells. The fluorescence invivo imaging system and the manual measurement method were used for simultaneous and dynamic monitoring of the growth of pancreatic cancer in nude mice in the two groups, and the tumor growth curve was plotted to investigate the correlation between fluorescence value and tumor volume. Subcutaneous tumors and pancreatic islets were observed under a microscope to verify whether the model was successfully established, and immunohistochemistry was used to measure the expression of Ki-67 in tumor tissue to investigate the influence of hyperglycemia on the growth of pancreatic cancer in nude mice. The independent-samples t test was used for comparison of normally distributed continuous data between groups, and the Mann-Whitney U test was used for comparison of non-normally distributed continuous data between groups.  Results  The optimal virus titer was determined as 5×107 TU/mL for the stable transfection of lentiviral vector in PANC-1 cells, and the optimal concentration selected with puromycin was 20 μg/mL, with an optimal selection time of 9 days. The fluorescence value of PANC-1-Luc cells was linearly and positively correlated with the number of cells, with the linear equation of y=42.56x-42 504 (r=0.977, P=0.004). The blood glucose value of T2DM nude mice was 23.05 (19.25‍ — ‍26.40) mmol/L, with a blood glucose level of >11.1 mmol/L in each nude mouse, and there was a significant difference in blood glucose value between the T2DM nude mice and the control nude [6.15 (5.20‍ — ‍7.30) mmol/L] (Z=-8.45, P<0.001). Compared with the control group, the model group had reductions in the number and volume of pancreatic islets, with irregular shapes and unclear boundaries, and pathological examination confirmed that the xenograft tumor was pancreatic cancer tissue, which showed that the model was established successfully. In the model group, there was a linear positive correlation between subcutaneous tumor size and fluorescence values, with the linear equation of y=232 348 691x-8 258 608 (r=0.911, P=0.031). The model group had a significantly higher positive rate of Ki-67 than the control group (50.333%± 7.808% vs 15.917%±4.055%, t=13.55, P<0.001), suggesting rapid tumor proliferation in the model group.  Conclusion  The T2DM nude mouse model of pancreatic cancer established in this study can simulate the pathological process of the development and progression of pancreatic cancer in the context of T2DM and dynamically observe the influence of hyperglycemia on the growth of pancreatic cancer cells invivo, thereby providing a new experimental vector for the invivo study of the development and progression of pancreatic cancer in the context of T2DM.
Review
Advances in the multi-omics research on nonalcoholic fatty liver disease
Mingxiu DUAN, Xinli CHEN, Weiyu CHANG, Yuan YANG, Shiqi YANG, Hui WU
2024, 40(6): 1240-1247. DOI: 10.12449/JCH240626
Abstract(2300) HTML (806) PDF (944KB)(211)
Abstract:
The prevalence rate of nonalcoholic fatty liver disease (NAFLD) reaches up to 30% around the world, and the disease has a serious impact on human health and constitutes a public health burden. Due to difficulties in the diagnosis and monitoring of NAFLD, it is important to identify potential drug targets and biomarkers, and multi-omics techniques hold great promise in the search for early diagnostic markers, therapeutic targets, and outcome and prognostic assessment of NAFLD. This article reviews the research advances in multi-omics techniques in the field of NAFLD in recent years, in order to provide a richer theoretical basis and new strategies for the prevention and treatment of NAFLD.
Exercise intervention prescription for postmenopausal women with nonalcoholic fatty liver disease and related comorbidities
Jie JU, Xing WANG, Xinge ZHANG, Changyu YANG, Peng LIU
2024, 40(6): 1248-1254. DOI: 10.12449/JCH240627
Abstract(1385) HTML (429) PDF (722KB)(59)
Abstract:
The prevalence rate of nonalcoholic fatty liver disease (NAFLD) in postmenopausal women is significantly higher than that in premenopausal women and even exceeds that in men of the same age group, and exercise intervention remains an effective method for the prevention and treatment of NAFLD in postmenopausal women. In addition, postmenopausal women with NAFLD often have comorbidities such as sarcopenia, osteoporosis, cardiovascular diseases, and diabetes, which requires targeted exercise prescriptions and proactive intervention for potential comorbidities. Through a literature review, this article provides targeted recommendations for exercise intervention prescriptions in postmenopausal women with NAFLD and related comorbidities.
Research advances in drug-induced autoimmune-like hepatitis
Qinrong LI, Ying YAO, Zhiyuan XU
2024, 40(6): 1255-1258. DOI: 10.12449/JCH240628
Abstract(1186) HTML (520) PDF (574KB)(136)
Abstract:
Drug-induced autoimmune-like hepatitis (DI-ALH) is a special clinical phenotype of drug-induced liver injury and has similar clinical features and laboratory test results to autoimmune hepatitis, and it is often difficult to distinguish them through liver biopsy. Therefore, correct differential diagnosis DI-ALH and autoimmune hepatitis is a crucial and difficult point in clinical practice. This article analyzes the research advances in the pathogenesis, clinical features, diagnosis and treatment, and prognosis of DI-ALH, in order to provide ideas for the diagnosis and treatment of such diseases among clinicians.
Risk factors and predictive models for liver cancer after sustained virologic response in hepatitis C
Shanshan XU, Lixia QIU, Yali LIU, Jing ZHANG
2024, 40(6): 1259-1263. DOI: 10.12449/JCH240629
Abstract(964) HTML (295) PDF (627KB)(88)
Abstract:
Hepatitis C is one of the main causes of liver cancer. With the application of direct-acting antiviral agents, more than 95% of patients can achieve the eradication of hepatitis C virus and obtain sustained virologic response (SVR). Effective antiviral therapy can change the natural course of hepatitis C and reduce the risk of liver cancer; however, some patients are still affected by age, sex, liver fibrosis, diabetes, hepatic steatosis, alcohol consumption, and genetic factors and become the high-risk population of liver cancer. Therefore, it is needed to further clarify and improve the identification and prediction of high-risk populations of liver cancer after SVR of hepatitis C. This article reviews the risk factors and predictive models for liver cancer after SVR in patients with hepatitis C, in order to provide a basis for identifying the high-risk population of liver cancer after SVR of hepatitis C in clinical practice.
Role of extracellular vesicles of different origins in the development and progression of hepatocellular carcinoma
Tingting SHI, Runbing ZHANG, Yang WU, Yani ZHANG, Lingling ZHU, Chun GAO, Jingjing JIANG, Xiaofeng ZHENG, Jiucong ZHANG
2024, 40(6): 1264-1268. DOI: 10.12449/JCH240630
Abstract(874) HTML (330) PDF (878KB)(74)
Abstract:
Hepatocellular carcinoma (HCC) is the most common type of primary liver cancer and the third leading cause of cancer-related deaths, and it is a serious threat to human health and has become a clinical problem that needs to be solved urgently. Extracellular vesicles (EV) are membrane vesicles containing multiple components and play an important role in the development and progression of HCC. This article summarizes the effect of EVs of different origins on HCC and analyzes the mechanism of action of EV on HCC, so as to provide new perspectives for the diagnosis and treatment of HCC.
Regulatory effect of caveolin-1 in liver diseases
Junyi ZHU, Ruirui LI, Yixue SHU, Quan SUN
2024, 40(6): 1269-1274. DOI: 10.12449/JCH240631
Abstract(1378) HTML (443) PDF (979KB)(111)
Abstract:
Caveolin-1 (CAV1) is a structural protein of caveolae on the plasma membrane and is an important regulatory factor for liver function. CAV1 regulates hepatic lipid deposition, lipid and glucose metabolism, mitochondrial function, and hepatocyte proliferation through various molecular pathways. Therefore, CAV1 plays a crucial role in maintaining liver physiology during the metabolic regulatory processes such as hepatic steatosis and hepatocyte proliferation. Furthermore, CAV1 is also involved in the development and progression of different types of liver injury, hepatitis, and liver cirrhosis. This article reviews the role of CAV1 in liver-related diseases and its mechanism in the regulation of liver macrophages, so as to provide a theoretical basis for targeting CAV1 in the treatment of liver-related diseases.
Role of T-cell immunoglobulin and mucin domain-containing molecule 3 in the development and progression of liver diseases
Shiyu YUAN, Huanhuan YANG, Yingmei TANG
2024, 40(6): 1275-1280. DOI: 10.12449/JCH240632
Abstract(1130) HTML (475) PDF (668KB)(70)
Abstract:
T-cell immunoglobulin and mucin domain-containing molecule-3 (Tim-3) is a member of the Tim family and has been a research hotspot in recent years. As a negative regulatory factor, Tim-3 exerts different effects by binding to different ligands. Tim-3 is expressed in various types of immune cells, such as natural killer cells, dendritic cells, and monocytes, and Tim-3 has a regulatory effect on the functions of these immune cells. In recent years, a large number of studies have shown that Tim-3 is closely associated with the development and progression of liver diseases. This article reviews the studies on the role and mechanism of Tim-3 in different liver diseases and cells in recent years, in order to provide richer perspectives and ideas for the clinical diagnosis and treatment of liver diseases.
Mechanism of action and potential value of the IRE1α/TRAF2/JNK pathway in the progression of acute liver failure
Haimei GUAN, Kan ZHANG, Weiyu CHEN, Guobao LI, Yangling ZENG, Riyun ZHANG, Tianwen WANG, Baohua XIE, Dewen MAO
2024, 40(6): 1281-1288. DOI: 10.12449/JCH240633
Abstract(1373) HTML (730) PDF (835KB)(74)
Abstract:
Acute liver failure (ALF) is one of the most critical liver diseases in clinical practice and seriously affects the life and health of Chinese people. Due to its high morbidity and mortality rates, unclear pathogenesis, and limited treatment methods, ALF has become a major problem that needs to be solved urgently in the field of liver diseases. In recent years, more and more studies have shown that endoplasmic reticulum stress is a key biological process in the progression of ALF, and the IRE1α/TRAF2/JNK pathway, as a part of endoplasmic reticulum stress signaling, plays a role in amplifying inflammatory response, promoting hepatocyte apoptosis, and inhibiting liver regeneration ability during the progression of diseases. As a traditional treasure of China, traditional Chinese medicine has become a research hotspot in search for effective prevention and treatment drugs for ALF from monomers of Chinese herbs. This article elaborates on the mechanism of action of the IRE1α/TRAF2/JNK pathway in the progression of ALF and summarizes the potential value of several monomers of Chinese herbs in regulating this pathway, such as salidroside, Fructus Broussonetiae, Fructus Psoraleae+Schisandra chinensis, baicalein, genipin, kaempferol, resveratrol, sea buckthorn polysaccharide extract, and luteol, in order to provide a reference for further research and clinical practice of ALF.
Introduction of High - quality Articles in Foreign Journals
Hepatology International|Incidence, risk factors, and outcomes of acute liver injury in hospitalized adults with acute kidney injury: a large multicenter study
2024, 40(6): 1182-1182. DOI: 10.12449/JCH2406.gwqkjpwzjj1
Abstract(493) HTML (194) PDF (845KB)(53)
Abstract:
Journal of the American Heart Association|Association of cardiopulmonary hemodynamics and mortality in veterans with liver cirrhosis: A retrospective cohort study
2024, 40(6): 1254-1254. DOI: 10.12449/JCH2406.gwqkjpwzjj2
Abstract(431) HTML (220) PDF (837KB)(84)
Abstract:
Acknowledgements
Current reviewers
2024, 40(6): 1202-1202. DOI: 10.12449/JCH2406.zhixie
Abstract(313) HTML (183) PDF (812KB)(42)
Abstract: