中文English
ISSN 1001-5256 (Print)
ISSN 2097-3497 (Online)
CN 22-1108/R

Vol.41 No.6 (296 in total) Jun. 2025

Theme Issue: Optimal Management of Acute-on-Chronic Liver Failure Throughout the Whole Disease Course: From Traditional Medicine to Contemporary Technology 

Executive Chief Editor: WANG Xianbo

Beijing Ditan Hospital,Capital Medical University

Display Method:
Editorial
Characteristics and advantages of integrated traditional Chinese and Western medicine therapy in whole-course management of acute-on-chronic liver failure
Fangyuan GAO, Ying FENG, Xianbo WANG
2025, 41(6): 1001-1007. DOI: 10.12449/JCH250601
Abstract(1177) HTML (287) PDF (800KB)(83)
Abstract:
Acute-on-chronic liver failure (ACLF) is a complex clinical syndrome characterized by acute deterioration of liver function caused by different factors on the basis of chronic liver disease, accompanied by liver failure and/or extrahepatic organ failure, and it often has a high short-term mortality rate. With the increasing evidence of evidence-based medicine, multiple guidelines and consensus statements have been released, such as Guidelines for clinical diagnosis and treatment of acute-on-chronic liver failure in traditional Chinese medicine, Expert consensus on the diagnosis and treatment of acute-on-chronic liver failure with integrated traditional Chinese and Western medicine, and Guidelines for the integrated traditional Chinese and Western medicine diagnosis and treatment of acute-on-chronic liver failure, and integrated traditional Chinese and Western medicine therapies for ACLF have been constantly standardized and perfected. This article explores the characteristics and advantages of integrated traditional Chinese and Western medicine therapy in the whole-course management of ACLF from the aspects of early warning and prevention, treatment in the acute stage, management of complications, and rehabilitation care, in order to enhance the understanding of traditional Chinese and Western medicine treatment strategies among clinicians.
Expert Forum
Syndrome evolution of acute-on-chronic liver failure and ideas for diagnosis and treatment
Qianqian ZHANG, Yu HUANG, Kewei SUN
2025, 41(6): 1008-1015. DOI: 10.12449/JCH250602
Abstract(994) HTML (321) PDF (1316KB)(74)
Abstract:
Acute-on-chronic liver failure (ACLF) is an acute and critical illness with a high short-term mortality rate, and current therapies mainly focus on elimination of causes, organ support, and prevention of complications. Although liver transplantation is the most effective treatment modality, its clinical application is limited, and traditional Chinese medicine has shown significant advantages and characteristics in the treatment of ACLF. In traditional Chinese medicine, ACLF is classified into the same category as diseases such as “jaundice”, and unlike traditional jaundice which is mostly characterized by excess and heat syndromes, the syndrome of ACLF has gradually transformed from Yang jaundice to Yin jaundice due to the changing disease spectrum of ACLF. With reference to the pathogenesis of ACLF in Western medicine and traditional Chinese medicine theories, this article discusses the essential pathogenesis of ACLF in traditional Chinese medicine, explores the evolution of ACLF syndromes, and reviews the research advances in the clinical efficacy and mechanisms of traditional Chinese medicine based on the three-factor differentiation-based treatment of damp-heat, blood stasis-heat, and spleen deficiency, as well as the safety of spleen-strengthening and Yang-warming drugs in the clinical treatment of ACLF, in order to provide ideas, methods, and evidence for the application of traditional Chinese medicine in ACLF.
Traditional Chinese medicine treatment of liver failure for 60 years: From clinical insights to scientific discoveries
Xiaoyu HU
2025, 41(6): 1016-1024. DOI: 10.12449/JCH250603
Abstract(1349) HTML (481) PDF (925KB)(95)
Abstract:
Liver failure is a critical illness with a high fatality rate, and its treatment still faces great challenges. This article systematically reviews the achievements of inheritance and innovation in the field of traditional Chinese medicine (TCM) treatment of liver failure in China for the past 60 years. As for clinical research, it was found in the early exploration stage that Yinchenhao decoction combined with Western medicine treatment had a marked therapeutic effect, and enema therapy had shown a certain therapeutic effect, laying a foundation for subsequent research. In the era of evidence-based medicine, the TCM pathogenesis theories were established based on the understanding of “deficiency in origin and excess in superficiality” in liver failure, such as “jaundice due to spleen deficiency and invasion of pathogenic factors”, “Qi-deficiency and blood-stasis jaundice”, and “jaundice due to spleen-kidney Yang deficiency”. Based on the dynamic evolution of TCM syndromes, it is found that HBV-related acute-on-chronic liver failure presents the characteristics of “early excess and late deficiency”, and a framework of staged syndrome differentiation-based treatment has been established as removing excess in the early stage (detoxicating and resolving stasis) and tonifying deficiency in the late stage (warming Yang and securing collapse). As for technological innovation, artificial liver combined with TCM, colonic lavage, and acupuncture and moxibustion has highlighted the advantages of the synergistic effect between multiple targets. Basic research has revealed that Yinchenhao Decoction regulates liver function through the intestinal flora-metabolism axis, the drug combination of Radix Paeoniae Rubra-Radix Aconiti Lateralis Preparata reshapes macrophage polarization, Schisandra chinensis lignans and Schisandra polysaccharides target GSH/GPX4 to modulate lipid homeostasis, and electroacupuncture stimulates ST36 (zusanli) to activate liver regeneration signal, thereby clarifying the molecular mechanism of the treatment principles such as “clearing heat and detoxicating” and “warming Yang and securing collapse”. Current challenges include the heterogeneity of clinical evidence, insufficient association between syndromes and biomarkers, and the bottleneck of cutting-edge technology integration. In the future, it is necessary to establish a two-way closed-loop research paradigm for clinical and basic research, focus on the intestinal microecology-immunity-energy metabolism network, and promote the upgrading of precise TCM treatment.
Translation and implementation of new technologies in the whole-course management of acute-on-chronic liver failure
Kai HE, Hai LI
2025, 41(6): 1025-1029. DOI: 10.12449/JCH250604
Abstract(958) HTML (190) PDF (977KB)(67)
Abstract:
Acute-on-chronic liver failure (ACLF) is a form of acute hepatic insufficiency that occurs in the context of a chronic liver disease, with a relatively high mortality rate. To improve the prognosis of ACLF patients, it is essential to early identify the patients with pre-ACLF and constantly optimize and innovate treatment regimens for the disease in the progressive stage. With more than 10 years of research, the Chinese CLIF consortium has developed an early warning model for ACLF and established a system for transferring high-risk patients to tertiary hospitals. At present, the real-world study has also confirmed the consistency between the early warning model and actual conditions in clinical practice, making contributions to the early screening, diagnosis, and treatment of ACLF. The treatment options for the progressive stage of ACLF are also expanding, from the development of innovative pharmaceuticals to the use of artificial liver support and stem cell therapy, and such treatment modalities have made significant achievements in clinical studies and are expected to be implemented in the near future. The development of a more efficient diagnostic system and novel treatment modalities has led to a significant improvement in the diagnosis and treatment of ACLF.
Research advances in prognostic score models and biomarkers for acute-on-chronic liver failure
Xinyi XU, Xia YU, Huilan TU, Xiaohan QIAN, Yida YANG, Yu SHI
2025, 41(6): 1030-1036. DOI: 10.12449/JCH250605
Abstract(1218) HTML (313) PDF (704KB)(116)
Abstract:
Acute-on-chronic liver failure (ACLF) is a complex clinical syndrome, and early identification and accurate prognostic evaluation are of great importance for patient treatment and management. In recent years, with in-depth research on the pathogenesis of ACLF, multiple prognostic biomarkers have been proposed and used in clinical practice. This article systematically reviews the research advances in prognostic biomarkers for ACLF from the aspects of clinical predictive models, immunological biomarkers, metabolic biomarkers, genetic and epigenetic biomarkers, microbiome-related biomarkers, and emerging technologies such as artificial intelligence and multi-omics, and it also discusses the value and application prospects of these biomarkers in the prognostic evaluation of ACLF and proposes future research directions, in order to provide a scientific and comprehensive reference for clinicians, guide individualized treatment and management of ACLF patients, and finally improve the clinical outcomes of patients.
Guideline
An excerpt of EASL clinical practice guidelines on TIPS (2025 edition)
Wanci LI, Jian SHEN, Xiaoli ZHU
2025, 41(6): 1037-1042. DOI: 10.12449/JCH250606
Abstract(1590) HTML (360) PDF (659KB)(187)
Abstract:
Transjugular intrahepatic portosystemic shunt (TIPS) is currently an effective procedure for the complications of portal hypertension. In recent years, rapid progress has been made in the field of TIPS in terms of technical approaches, prognostic models, and an expanding range of indications. The EASL recently issued the clinical practice guidelines on TIPS to comprehensively address all aspects of TIPS in patients with liver cirrhosis. This article makes an excerpt of the key recommendations in the guidelines.
Excerpt and interpretation of the Asian Pacific Association for the Study of the Liver clinical practice guidelines for the diagnosis and management of metabolic dysfunction-associated fatty liver disease in 2025
Siyi LEI, Liyou LIAN, Minghua ZHENG
2025, 41(6): 1043-1052. DOI: 10.12449/JCH250607
Abstract(3415) HTML (2123) PDF (1618KB)(661)
Abstract:
Since the Asia-Pacific Association for the Study of the Liver (APASL) issued the clinical practice guidelines for metabolic associated fatty liver disease (MAFLD) in 2020, the research on MAFLD has been further deepened. Therefore, APASL has made comprehensive updates and revisions based on the previous guidelines, and the latest version of the clinical practice guidelines for diagnosis and management of MAFLD, which was released in February 2025, has updated the epidemiology, screening, assessment, and treatment of MAFLD, aiming to promote the clinical practice, knowledge popularization, and scientific research of MAFLD. This article makes an excerpt and an interpretation of the updated key points of the guidelines.
An excerpt of ACG clinical guideline: Malnutrition and nutritional recommendations in liver disease (2025)
Yunhui ZHOU, Tao HAN
2025, 41(6): 1053-1055. DOI: 10.12449/JCH250608
Abstract(1467) HTML (392) PDF (528KB)(266)
Abstract:
Malnutrition is a common complication in patients with liver disease, particularly in the advanced stage of disease, and it significantly affects the prognosis of patients. In 2025, the American College of Gastroenterology released Clinical Guideline: Malnutrition and Nutritional Recommendations in Liver Disease, which covers the definition, causes, nutritional assessment methods, and intervention strategies for malnutrition associated with liver disease, which provides evidence-based recommendations for nutritional management in liver disease. This article makes an excerpt of the recommendations and key concept statements from the guideline.
Viral Hepatitis
Influence of antiviral treatment adjustment on the prognosis of chronic hepatitis B patients with low-level viremia
Mengwen HE, Wucai YANG, Chunyan WANG, Yiming FU, Chang GUO, Jianjun WANG, Dong JI
2025, 41(6): 1056-1061. DOI: 10.12449/JCH250609
Abstract(1122) HTML (264) PDF (1391KB)(79)
Abstract:
  Objective  To investigate the incidence rate of primary liver cancer (PLC) and the progression of liver fibrosis in chronic hepatitis B (CHB) patients with low-level viremia (LLV) (HBV DNA<2 000 IU/mL but ≥20 IU/mL) after treatment adjustment, and to provide more robust evidence for clinical practice.  Methods  A retrospective analysis was performed for the clinical data of LLV patients who initially received nucleos(t)ide analogue (NAs) for at least 48 weeks at the Fifth Medical Center of PLA General Hospital from August 2007 to April 2017 and subsequently underwent NAs adjustment due to LLV, and according to the virologic response after 48 weeks of treatment adjustment, the patients were divided into LLV group and complete virological response (CVR) group (HBV DNA<20 IU/mL). The patients were followed up once every 3‍ ‍—‍ ‍6 months till the primary endpoint event of PLC or October 2024. The incidence rate of PLC and the progression of liver fibrosis were observed, and the progression of liver fibrosis was defined as an increase of ≥1 grade in fibrosis-4 (FIB-4) index. The independent-samples t test was used for comparison of normally distributed continuous data between two groups, and the Mann-Whitney U test was used for comparison of continuous data with skewed distribution between two groups; the chi-square test was used for comparison of categorical data between groups. The Kaplan-Meier method was used to calculate the cumulative incidence rate of PLC, and the Log-rank test was used for comparison between groups; the Cox regression analysis was used to investigate the risk factors for PLC, and the Logistic regression analysis was used to investigate the influencing factors for the progression of liver fibrosis.  Results  A total of 307 patients were enrolled, with a mean age of 50.0 years, and the male patients accounted for 80.5%. After 48 weeks of treatment with the adjusted NAs regimen, 254 patients (82.7%) achieved CVR, and 53 patients (17.3%) still had LLV. For the LLV group, the incidence rate of PLC was 30.2% and the rate of liver fibrosis progression was 22.6%, while for the CVR group, the incidence rate of PLC was only 13.4%, and the rate of liver fibrosis progression was 7.5%. The multivariate regression analyses showed that LLV was an independent risk factor for the onset of PLC (hazard ratio=2.623, 95% confidence interval [CI]: 1.315‍ ‍—‍ ‍5.234, P=0.006) and the progression of liver fibrosis (odds ratio=3.213, 95%CI: 1.385‍ ‍—‍ ‍7.455, P=0.007).  Conclusion  Active adjustment of treatment is needed immediately after the diagnosis of LLV to improve CVR, and if LLV persists after treatment adjustment, it is necessary to enhance the monitoring of liver fibrosis progression and PLC, so as to facilitate early diagnosis and treatment.
Correlation between the serum levels of aminotransferases and liver inflammation activity in pediatric chronic hepatitis B patients: An analysis of 1 267 cases
Dan ZHAO, Lina JIANG, Shuhong LIU, Haiyan WEI, Chunmei BAO, Jingmin ZHAO
2025, 41(6): 1062-1067. DOI: 10.12449/JCH250610
Abstract(1024) HTML (292) PDF (633KB)(68)
Abstract:
  Objective  To investigate the correlation of the serum levels of aminotransferases and their ratios with liver inflammation activity in pediatric chronic hepatitis B (pCHB) patients, and to provide a basis for selecting the dominant population for treatment.  Methods  This study was conducted among 1 267 pCHB patients who were admitted to The Fifth Medical Center of Chinese PLA General Hospital from January 2010 to August 2022 and these patients did not receive antiviral therapy. The patients were analyzed in terms of demographic features, blood routine, blood biochemistry, HBV serological markers, and liver biopsy data. According to liver inflammation activity based on liver biopsy, the patients were divided into no or mild inflammation activity (G0‍ ‍—‍ ‍G1) group and significant inflammation activity (G2‍ ‍—‍ ‍G4) group. The serum levels of aminotransferases and their ratios were compared between groups, and their correlation with liver inflammation activity in pCHB patients was analyzed. Additionally, the patients were stratified by the age, and the relationship between serum aminotransferase levels and liver inflammation activity was analyzed in each age group. For comparison of continuous data between two groups, the independent samples t-test was used when the data were normally distributed, while the Mann-Whitney U test was used when the data were not normally distributed; the chi-square test was employed for comparison of categorical data between two groups. A Spearman’s correlation analysis was performed for correlation assessment.  Results  Among the 1 267 pCHB patients, there were 468 (36.9%) in the G0‍ ‍—‍ ‍G1 group and 799 (63.1%) in the G2‍ ‍—‍ ‍G4 group, and there were significant differences between the two groups in the levels of aspartate aminotransferase (AST), alanine aminotransferase (ALT), AST/ALT ratio, gamma-glutamyl transpeptidase (GGT), total bilirubin, direct bilirubin, HBeAg quantification, low-density lipoprotein, and platelet count (PLT) (all P<0.05). The correlation analysis showed that liver inflammation activity was negatively correlated with PLT and low-density lipoprotein (both P<0.05) and was positively correlated with GGT, total bilirubin, direct bilirubin, and HBeAg titer (all P<0.05), while it was not significantly correlated with ALT, AST, and AST/ALT ratio (all P>0.05). In the 0‍ ‍—‍ ‍12 years group, the 13‍ ‍—‍ ‍18 years male group, and the 13‍ ‍—‍ ‍18 years female group, liver inflammation activity aggravated with the increases in the serum levels of ALT and AST, and there were significant differences between groups (all P<0.05). In the 0‍ ‍—‍ ‍12 years group, there was a significant difference in significant liver inflammation activity between the AST/ALT ratio >1 group and the AST/ALT ratio ≤1 group (P<0.001). Among the 1 267 patients, 447 (35.28%) had an ALT level of <2×upper limit of normal (ULN), among whom 196 (43.85%) had G≥2 liver inflammation, accounting for 15.47% of all children enrolled.  Conclusion  Liver inflammation activity is not significantly correlated with ALT, AST, and AST/ALT ratio in pCHB patients, suggesting that the serum levels of aminotransferases cannot truly reflect liver inflammation activity in pCHB patients with an aminotransferase level of <2×ULN. In clinical practice, liver biopsy should be performed for children with an aminotransferase level of <2×ULN to clarify whether antiviral therapy should be performed.
Survey on the awareness and clinical application of guidelines for the prevention and treatment of chronic hepatitis B (2022 edition) among clinicians
Yuanyuan KONG, Yujie GUO, Yujuan GUAN, Xuan LIANG, Zhongjie HU, Xiaobo LU, Mingqin LU, Yongfeng YANG, Meifang HAN, Hong YOU, Zhiyun YANG, Jidong JIA
2025, 41(6): 1068-1074. DOI: 10.12449/JCH250611
Abstract(948) HTML (271) PDF (2075KB)(110)
Abstract:
  Objective  To investigate the awareness and clinical practice of guidelines for the prevention and treatment of chronic hepatitis B (2022 edition) among clinicians.  Methods  From July 19 to December 31, 2024, a self-designed electronic questionnaire was distributed via the WeChat mini program to collect related data from 1 588 clinicians nationwide, including their awareness and practice based on 18 questions regarding testing and referral, diagnosis and treatment, and follow-up.  Results  Among all respondents, only 350 clinicians correctly understood all the updated key points of antiviral indications and treatment for special populations in the 2022 edition of guidelines for the prevention and treatment of chronic hepatitis B, with an overall awareness rate of 22.0%. Only 20% ‍—‍ ‍40% of the patients with positive HBV DNA and an age of >30 years receive antiviral therapy, while 80% ‍—‍ ‍100% of the patients with positive HBV DNA and a family history of hepatitis B cirrhosis or hepatocellular carcinoma receive antiviral therapy. The median follow-up rates at 1 year, 3 years, and 5 years were 67.5% 57.5% and 47.5%,respectively, showing a trend of gradual reduction, which might be associated with the influencing factors such as insufficient time for follow-up management by clinicians, insufficient awareness of the disease among patients, and poor adherence to follow-up.  Conclusion  There is a gap between the awareness and practice of guidelines for the prevention and treatment of chronic hepatitis B (2022 edition) among clinicians. It is recommended to further strengthen training and focus on the whole process of “detection, diagnosis, treatment, and management” for patients with chronic hepatitis B in healthcare institutions, in order to promote the implementation of the guidelines.
Efficacy and safety of coblopasvir hydrochloride combined with sofosbuvir in treatment of patients with genotype 3 hepatitis C virus infection
Yingyuan ZHANG, Huan MU, Danqing XU, Chunyan MOU, Yuanzhen WANG, Chunyun LIU, Weikun LI, Li LIU
2025, 41(6): 1075-1082. DOI: 10.12449/JCH250612
Abstract(949) HTML (204) PDF (732KB)(69)
Abstract:
  Objective  To investigate the efficacy and safety of the direct-acting antiviral agents coblopasvir hydrochloride/sofosbuvir (CLP/SOF) regimen used alone or in combination with ribavirin (RBV) in the treatment of patients with genotype 3 hepatitis C virus (HCV) infection in terms of virologic response rate, liver function recovery, improvement in liver stiffness measurement (LSM), and adverse drug reactions, and to provide a reference for clinical medication.  Methods  A total of 98 patients with genotype 3 HCV infection who attended The Third People’s Hospital of Kunming from January 2022 to December 2023 were enrolled, and according to the treatment method, the patients were divided into CLP/SOF+RBV treatment group with 55 patients and CLP/SOF treatment group with 43 patients. The patients were observed in terms of rapid virologic response at week 4 (RVR4), sustained virologic response (SVR), previous treatment experience, underlying diseases, laboratory and imaging indicators, and adverse reactions during treatment. The course of treatment was 12 weeks, and the patients were followed up for 12 weeks after drug withdrawal. The independent-samples t test was used for comparison of normally distributed continuous data between two groups, and the Mann-Whitney U test was used for comparison of non-normally distributed continuous data between two groups; the Friedman test was used for comparison within each group at different time points, and the Bonferroni method was used for further comparison and correction of P value; the chi-square test or the Fisher’s exact test was used for comparison of categorical data between two groups. The univariate and multivariate Logistic regression analyses were used to investigate the influencing factors for SVR12.  Results  Before treatment, there were significant differences between the CLP/SOF+RBV treatment group and the CLP/SOF treatment group in terms of LSM, total bilirubin (TBil), gamma-glutamyl transpeptidase (GGT), HCV genotype, and the presence or absence of liver cirrhosis and compensation (all P<0.05). The 98 patients with genotype 3 HCV infection had an RVR4 rate of 81.6% and an SVR12 rate of 93.9%. The patients with genotype 3a HCV infection had an RVR4 rate of 84.44% and an SVR12 rate of 97.78%, while the patients with genotype 3b HCV infection had an RVR4 rate of 79.25% and an SVR12 rate of 90.57%. There were significant differences in RVR4 and SVR12 rates between the patients without hepatocellular carcinoma and those with hepatocellular carcinoma, there was a significant difference in RVR4 rate between the patients without HIV infection and those with HIV infection, and there was a significant difference in SVR12 rate between the previously untreated patients and the treatment-experienced patients (all P<0.05). The univariate Logistic regression analysis showed that treatment history, hypertension, hepatocellular carcinoma, ascites, albumin (Alb), and platelet count were influencing factors for SVR12 (all P<0.05), and the multivariate Logistic regression analysis showed that hepatocellular carcinoma (odds ratio=0.034, 95% confidence interval: 0.002‍ ‍—‍‍ 0.666, P=0.026) was an independent influencing factor for SVR12. After treatment with CLP/SOF combined with RBV or CLP/SOF alone, the patients with genotype 3 HCV infection showed gradual reductions in the liver function parameters of TBil, GGT, and alanine aminotransferase (all P<0.05) and a gradual increase in the level of Alb (P<0.05). As for renal function, there were no significant changes in blood urea nitrogen and creatinine after treatment (P>0.05). For the patients with or without liver cirrhosis, there was a significant reduction in LSM from baseline after treatment for 12 weeks (P<0.05). Among the 98 patients with genotype 3 HCV infection, 9 tested positive for HCV-RNA at 12 weeks after treatment, 2 showed no response during treatment, 4 showed virologic breakthrough, and 3 experienced recurrence. The overall incidence rate of adverse events during treatment was 17.35% for all patients.  Conclusion  CLP/SOF alone or in combination with RBV has a relatively high SVR rate in the treatment of genotype 3 HCV infection, with good tolerability and safety in patients during treatment, and therefore, it holds promise for clinical application.
Fatty Liver Disease
Association between serum creatinine/cystatin C ratio and nonalcoholic fatty liver disease in adults
Qizhen ZHANG, Sutong LIU, Lihui ZHANG, Yajie GUAN, Junjiao XU, Wenxia ZHAO, Minghao LIU
2025, 41(6): 1083-1089. DOI: 10.12449/JCH250613
Abstract(930) HTML (289) PDF (1102KB)(68)
Abstract:
  Objective  To investigate the association between serum creatinine/cystatin C ratio (CCR) and nonalcoholic fatty liver disease (NAFLD) based on the NHANES database, and to evaluate the potential significance of CCR as an indicator reflecting the metabolic status of the body.  Methods  Based on the data from the NHANES database in 1999‍ ‍—‍ ‍2004, a total of 4 217 participants were enrolled and divided into NAFLD group with 1 726 participants and non-NAFLD group with 2 491 participants. CCR was compared between the two groups, and the association between CCR and NAFLD was analyzed. The Wilcoxon rank-sum test was used for comparison of continuous data between two groups, and the chi-square test was used for comparison of categorical data between two groups. The multivariate logistic regression model was used to investigate the association between CCR and NAFLD; CCR was divided into 4 groups based on quartiles, and odds ratio (OR) and 95% confidence interval (CI) in the regression model was calculated with the first quartile as reference. In addition, the restricted cubic spline analysis was used to investigate whether there was a non-linear relationship between CCR and NAFLD, and interaction items were introduced into the Logistic regression model to perform an interaction analysis. Subgroup analyses were performed based on the stratification of variables to investigate the difference in the association between CCR and NAFLD in different populations.  Results  The non-NAFLD group had a significantly higher CCR than the NAFLD group (Z=-4.76,P<0.01). The Logistic regression analysis showed that in model 1 without adjustment of variables, CCR was negatively associated with NAFLD (OR=0.993,95%CI:0.989‍ ‍—‍ ‍0.996,P<0.01), and in model 3 with adjustment of all variables, CCR was still negatively associated with NAFLD (OR=0.986,95%CI:0.981‍ ‍—‍ ‍0.991,P<0.01). The analysis of CCR based on quartiles showed a significant association between the increase in CCR and the reduction in the risk of NAFLD. In model 3, compared with the individuals with the lowest quartile of CCR, the individuals with the highest quartile of CCR had a significantly lower risk of NAFLD (OR=0.426,95%CI:0.316‍ ‍—‍ ‍0.574,P<0.01). Further interaction and subgroup analyses showed that the interaction between CCR and age/sex had a statistical significance (Pinteraction<0.01 and Pinteraction=0.04). The subgroup analysis based on age showed a more significant association between CCR and NAFLD in the middle-aged population (≤60 years) (OR=0.982,95%CI:0.976‍ ‍—‍ ‍0.987), and the subgroup analysis based on sex showed a stronger association between CCR and NAFLD in women (OR=0.979,95%CI:0.972‍ ‍—‍ ‍0.986).  Conclusion  This study shows a significant negative association between CCR and NAFLD, and such association is more significant in middle-aged individuals and women.
Characteristics and lifestyles of patients with metabolic dysfunction-associated fatty liver disease based on the physical examination population
Haiqing GUO, Mingliang LI, Feng LIU, Yali LIU, Jing ZHANG
2025, 41(6): 1090-1096. DOI: 10.12449/JCH250614
Abstract(927) HTML (226) PDF (812KB)(77)
Abstract:
  Objective  To screen for the patients with metabolic dysfunction-associated fatty liver disease (MAFLD) among the physical examination population, to observe the characteristics of MAFLD patients, and to compare the differences in lifestyle between the MAFLD population and the non-MAFLD population.  Methods  A cross-sectional study was conducted among 6 206 individuals who underwent physical examination in a physical examination institution in Beijing from December 2015 to December 2019, and according to the new diagnostic criteria for MAFLD, the examination population was divided into MAFLD group and non-MAFLD group. Based on body mass index (BMI), the MAFLD group was further divided into lean MAFLD group (BMI<24 kg/m2) and non-lean MAFLD group (BMI ≥24 kg/m2). Related data were compared between groups, including demographic indicators, education level, work pressure, physical measurement indicators, and lifestyles such as sleep, diet, and exercise. The independent-samples t test was used for comparison of normally distributed continuous data between two groups, the Mann-Whitney U test was used for comparison of non-normally distributed continuous data between two groups, and the chi-square test was used for comparison of categorical data between groups.  Results  Of all individuals in this study, 1 926 (31.1%) had MAFLD and 4 280 (68.9%) did not have MAFLD. Compared with the non-MAFLD group, the MAFLD group had significantly higher age (Z=-14.459, P<0.001), proportion of male patients (χ2=72.004, P<0.001), work pressure (χ2=7.744, P=0.005), body weight (Z=-43.508, P<0.001), BMI (Z=-47.621, P<0.001), waist circumference (Z=-48.515, P<0.001), hip circumference (Z=-42.121, P<0.001), and waist-hip ratio (Z=-43.535, P<0.001), as well as a significantly lower education level (χ2=33.583, P<0.001). In terms of behavior, the MAFLD group had a significantly shorter sleep time (χ2=5.820, P=0.016) and a significantly faster eating speed (χ2=74.476, P<0.001). In terms of diet, the patients in the MAFLD group consumed more high-sodium, high-sugar, and high-calorie diets (χ2=42.667, P<0.001) and low-fiber diet (χ2=4.367, P=0.008). In terms of exercise, the MAFLD group had a significantly higher proportion of patients without exercise habits (χ2=10.278, P=0.001). Further analysis showed that there were 202 individuals (10.5%) in the lean MAFLD group and 1 724 (89.5%) in the non-lean MAFLD group. Compared with the non-lean MAFLD group, the lean MAFLD group had significantly higher age (Z=3.368, P=0.001) and education level (χ2=9.647, P=0.002) and significantly lower proportion of male patients (χ2=27.664, P<0.001), body weight (Z=-18.483, P<0.001), BMI (Z=-23.286, P<0.001), waist circumference (Z=-18.565, P<0.001), and hip circumference (Z=-18.097, P<0.001), and in terms of behavior, the non-lean MAFLD group had a significantly faster eating speed (χ2=4.549, P=0.033).  Conclusion  There is a relatively high prevalence rate of MAFLD among the physical examination population in Beijing, with a higher number of people with unhealthy lifestyles compared with the non-MAFLD population.
Effect of prolyl endopeptidase expression inhibition on a mouse model of non-alcoholic steatohepatitis and its mechanism
Jingping XIONG, Yuexin ZHANG
2025, 41(6): 1097-1104. DOI: 10.12449/JCH250615
Abstract(867) HTML (260) PDF (4578KB)(44)
Abstract:
  Objective  To investigate the effect and possible mechanism of prolyl endopeptidase (PREP) on a mouse model of non-alcoholic steatohepatitis (NASH) induced by high-fat diet.  Methods  A total of 18 healthy male C57BL/6J mice, aged 6‍ ‍—‍ ‍8 weeks, were randomly divided into normal control group, NASH group, and NASH+rosmarinic acid (RA) group, with 6 mice in each group. The mice in the control group were fed with normal diet for 16 weeks, and those in the NASH group and the NASH+RA group were fed with high-fat diet for 16 weeks; the mice in the NASH+RA group were given the PREP inhibitor RA by gavage since week 9 at a dose of 100 mg/kg, once a day for 8 weeks. The mice were sacrificed after modeling and intervention, and each group of mice was observed in terms of serum inflammatory indicators, the concentration of triglyceride in the liver, and the changes in liver lipids/inflammation/liver fibrosis; NAFLD activity score (NAS) was calculated. Western blot and quantitative real-time PCR were used to measure the protein and mRNA expression levels of PREP, peroxisome proliferator-activated receptor-γ (PPAR-γ), fibroblast growth factor 21 (FGF21), and silent information regulator 1 (SIRT1) in liver tissue. A one-way analysis of variance was used for comparison of normally distributed continuous data between multiple groups, while the least significant difference t-test and the Dunnett’s-T3 test were used for further comparison between two groups. The Kruskal-Wallis H test was used for comparison of non-normally distributed continuous data between multiple groups and further comparison between two groups.  Results  Compared with the NASH group, the NASH+RA group had significant reductions in the serum levels of interleukin-6, tumor necrosis factor-α, and triglyceride (all P<0.05), as well as significant improvements in hepatic steatosis, hepatocyte edema, inflammatory cell infiltration, and liver tissue lesion. The NASH+RA group had a significant reduction in NAS compared with the NASH group (P<0.05), and the NASH group had an increase in perivascular collagen fiber with occasional fiber bridging, while the NASH+RA group had a slight reduction in perivascular collagen fiber compared with the NASH group. Compared with the normal control group, the NASH group had a significant increase in collagen area percentage in the liver (P<0.05), while the NASH+RA group had no significant reduction in collagen area percentage compared with the NASH group. Compared with the NASH group, the NASH+RA group had significant increases in the relative protein expression levels of PPAR-γ, FGF21, and SIRT1 (all P<0.05) and a significant reduction in the relative protein expression level of PREP (P<0.05). Compared with the NASH group, the NASH+RA group had significant increases in the relative mRNA expression levels of PPAR-γ, FGF21, and SIRT1 (P<0.05) and a significant reduction in the relative mRNA expression level of PREP (P<0.05).  Conclusion  PREP reduces the level of inflammation and improves NASH in mice by regulating the PPAR-γ/FGF21/SIRT1 signaling pathway.
Liver Fibrosis and Liver Cirrhosis
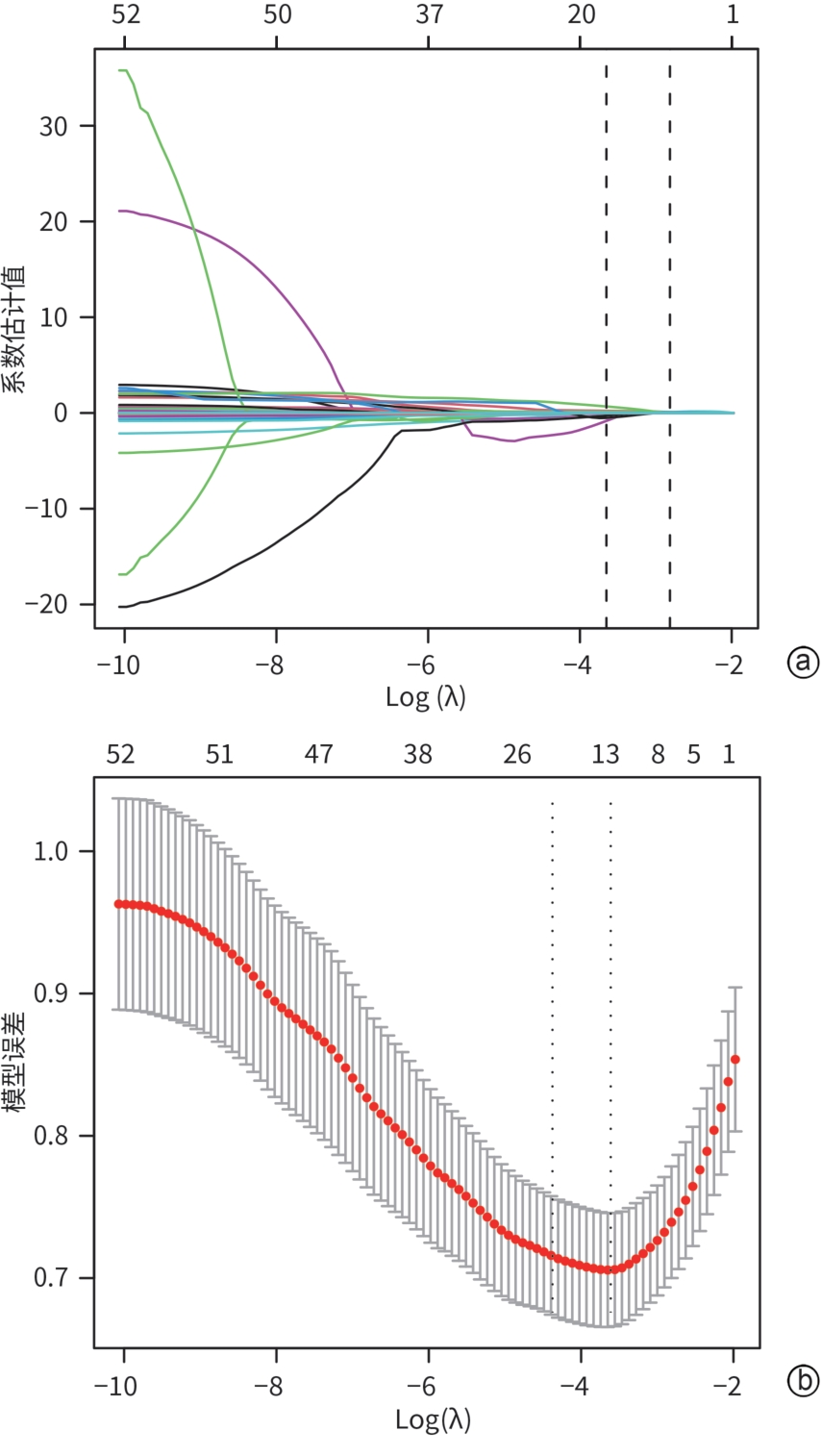
Risk factors for liver cirrhosis in chronic hepatitis B patients with high metabolic risks and establishment of a predictive model
Yuping ZOU, Li YAO, Jun ZOU, Liwei LI, Fuqing CAI, Jiean HUANG
2025, 41(6): 1105-1112. DOI: 10.12449/JCH250616
Abstract(1036) HTML (257) PDF (2749KB)(63)
Abstract:
  Objective  To investigate the main risk factors for liver cirrhosis in chronic hepatitis B (CHB) patients with high metabolic risk, to establish a noninvasive predictive model, and to compare the diagnostic efficiency of this model and other models including fibrosis-4 (FIB-4), aspartate aminotransferase-to-platelet ratio index (APRI), gamma-glutamyl transpeptidase-to-platelet ratio (GPR), and Forns index.  Methods  A total of 527 CHB patients with high metabolic risks who were admitted to The Second Affiliated Hospital of Guangxi Medical University from September 1, 2017 to October 31, 2022 were enrolled as subjects, and they were randomly divided into modeling group with 368 patients and validation group with 159 patients at a ratio of 7∶3. The LASSO regression analysis and the multivariate Logistic regression analysis were performed for the modeling group to identify independent risk factors, and a nomogram model was established. The receiver operating characteristic (ROC) curve, the calibration curve, and the decision curve analysis were used to validate the nomogram prediction model in the modeling group and the validation group and assess its discriminatory ability, calibration, and clinical practicability. The Delong test was used to compare the area under the ROC curve (AUC) of the nomogram prediction model and other models.  Results  The multivariate Logistic regression analysis showed that prealbumin (odds ratio [OR] = 0.993, 95% confidence interval [CI]: 0.988 — 0.999, P= 0.019), thrombin time (OR=1.182, 95% CI: 1.006 — 1.385, P=0.047), log10 total bilirubin (TBil) (OR=1.710, 95%CI: 1.239 — 2.419, P=0.001), and log10 alpha-fetoprotein (AFP) (OR=1.327, 95%CI: 1.052 — 1.683, P=0.018) were independent influencing factors for liver cirrhosis in CHB patients with high metabolic risks. A nomogram model for risk prediction was established based on the multivariate analysis, which had an AUC of 0.837 (95%CI: 0.788 — 0.888), a specificity of 73.5%, and a sensitivity of 84.7%, as well as a significantly higher diagnostic efficiency than the models of FIB-4 (0.739), APRI (0.802), GPR (0.800), and Forns index (0.709) (Z=2.815, 2.271, 1.989, and 2.722, P=0.005, 0.017, 0.045, and 0.006).  Conclusion  The nomogram model established based on prealbumin, thrombin time, log10 TBil, and log10 AFP has a certain clinical application value.
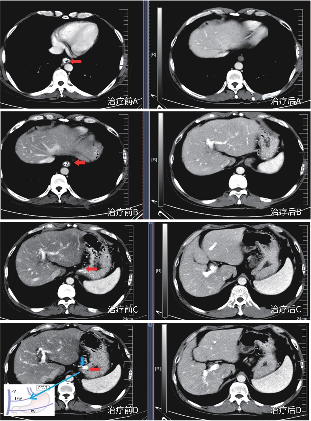
Safety and efficacy of puncture cyanoacrylate selective seal under endoscopic ultrasound versus traditional endoscopy in treatment of gastroesophageal varices: A randomized controlled trial
Jiali MA, Lingling HE, Hongshan WEI, Ping LI, Xiuxia LIANG
2025, 41(6): 1113-1119. DOI: 10.12449/JCH250617
Abstract(1013) HTML (176) PDF (1855KB)(56)
Abstract:
  Objective  To investigate the safety and efficacy of puncture cyanoacrylate selective seal (PCSS) under endoscopic ultrasound in the treatment of gastroesophageal varices (GOV).  Methods  A total of 100 patients with liver cirrhosis who underwent endoscopic therapy for the secondary prevention of GOV bleeding in Beijing Ditan Hospital, Capital Medical University, from March 1 to December 31, 2023 were enrolled and randomly divided into PCSS group and traditional endoscopy group. The patients were followed up for 6 months after surgery, and the two groups were compared in terms of clinical outcome and complications. The primary outcome measure was the rate of alleviation or disappearance of GOV, and the secondary outcome measure was variceal rebleeding and death. The independent-samples t test was used for comparison of normally distributed or approximately normally distributed quantitative data between two groups, and the Wilcoxon non-parametric test was used for comparison of non-normally distributed quantitative data between two groups; the chi-square test or the Fisher’s exact test was used for comparison of qualitative data between two groups.  Results  There were 50 patients in the PCSS group, among whom 1 patient was lost to follow-up, and there were 50 patients in the traditional endoscopy group, among whom 3 patients were lost to follow-up. There were no significant differences between the two groups in baseline data such as age, sex, Child-Pugh class, varices grade, and GOV typing (all P>0.05). Compared with the traditional endoscopy group, the PCSS group had significantly better results of the number of endoscopic treatment sessions (t=-15.671, P=0.001), the total amount of tissue adhesive used (t=-2.830, P=0.006), and the rate of alleviation or eradication of varices sclerosis (χ2=7.078, P=0.029). Both groups had low rates of postoperative rebleeding, adverse reactions, and complications, and there were no significant differences between the two groups (all P>0.05).  Conclusion  Compared with traditional endoscopy, PCSS can significantly enhance treatment outcome while maintaining safety standards.
Establishment and validation of a predictive model for survival after transjugular intrahepatic portosystemic shunt in patients with liver cirrhosis and esophagogastric variceal bleeding
Xiaochun YIN, Yuzheng ZHUGE, Feng ZHANG
2025, 41(6): 1120-1127. DOI: 10.12449/JCH250618
Abstract(925) HTML (239) PDF (1714KB)(49)
Abstract:
  Objective  To investigate the risk factors for survival after transjugular intrahepatic portosystemic shunt (TIPS) in patients with liver cirrhosis and esophagogastric variceal bleeding (EGVB), and to establish a predictive model for survival after TIPS.  Methods  Clinical data were collected from 352 patients with liver cirrhosis and EGVB who underwent TIPS in Department of Gastroenterology, Affiliated Drum Tower Hospital of Nanjing University Medical School, from January 2015 to December 2018, and the patients were randomly divided into training group (n=248) and validation group (n=104) at a ratio of 7∶3. The Cox regression analysis was used to identify the independent risk factors for survival after TIPS, and a nomogram predictive model was established. The index of concordance (C-index) and the receiver operating characteristic (ROC) curve were used to assess the discriminatory ability of the model, and the calibration curve was used to assess the predictive value of the model. The independent-samples t test was used for comparison of normally distributed continuous data between two groups, and the Wilcoxon rank-sum test was used for comparison of non-normally distributed continuous data between two groups; the chi-square test was used for comparison of categorical data between two groups. The Kaplan-Meier analysis was used to calculate cumulative survival rate.  Results  For the patients in the training group, the 1-,3-, and 5-year cumulative survival rates were 91.1%,79.5%, and 77.0%, respectively. The multivariate Cox regression analysis showed that age (hazard ratio [HR]=1.047, 95% confidence interval [CI]:1.032‍ ‍—‍ ‍1.092,P<0.001), MELD score (HR=1.127,95%CI:1.003‍ ‍—‍ ‍1.268,P=0.045), and serum sodium (Na) (HR=0.928,95%CI:0.878‍ ‍—‍ ‍0.981,P=0.008) were independent influencing factors for survival, and a predictive model and a nomogram were established based on these factors. The predictive model had a C-index of 0.760 in the training group and 0.757 in the validation group. In the training group, the nomogram had an area under the ROC curve of 0.807,0.788, and 0.787, respectively, in predicting 1-,3-, and 5-year cumulative survival rates. The calibration curve showed relatively high consistency between the results predicted by the nomogram and the actual results.  Conclusion  A nomogram model is established based on age, MELD score, and Na for predicting survival after TIPS in patients with liver cirrhosis and EGVB, and this model has good discriminatory ability and accuracy.
Liver Neoplasm
Efficacy of chimeric antigen receptor T-cell with programmed cell death-1 knockdown targeting folate receptor alpha in killing hepatoma cells
Junye WEN, Junqi ZHANG, Hang REN, Haiqiang ZHANG, Xueshuai YE
2025, 41(6): 1128-1134. DOI: 10.12449/JCH250619
Abstract(819) HTML (263) PDF (2721KB)(46)
Abstract:
  Objective  To investigate the ability of chimeric antigen receptor T-cell with programmed cell death-1 (PD-1) knockdown (si-PD-1 CAR-T) targeting folate receptor alpha (FRα) to eliminate hepatoma cells.  Methods  The bioinformatics database TCGA was used to analyze the expression level of FRα antigen in liver cancer tissue and normal liver tissue and the association between FRα expression and the survival of liver cancer patients. The mRNA encoding the CAR structure targeting FRα antigen and the small interfering RNA (siRNA) targeting the PD-1 gene were transduced into T cells using an electroporator to prepare FRα-CAR-T and si-PD-1-CAR-T cells. Flow cytometry was used to analyze the expression efficiency of FRα-CAR and the knockdown efficiency of PD-1. Hepatoma cell lines JHH-1 and Hep-G2 were cultured in vitro, and flow cytometry was used to analyze the expression of FRα on the surface of tumor cells. With FRα-CAR-T, si-PD-1 CAR-T, and mock vector-transduced T cells (Mock T) used as effector cells and with JHH-1 and Hep-G2 cells as target cells, CCK-8 assay was used to measure the killing efficiency of effector cells against target cells at different effector-to-target ratios (1∶1, 2.5∶1,5∶1,10∶1,20∶1). ELISA was used to measure the secretion of interferon gamma (IFN-γ) and interleukin-2 (IL-2) in the supernatants from co-cultures of effector and target cells (10∶1). The independent-samples t test was used for comparison of normally distributed continuous data between two groups, while a one-way analysis of variance was used for comparison between multiple groups, and the SNK test was used for further comparison between two groups. The Kaplan-Meier method was used for comparison of survival differences.  Results  The analysis of the TCGA database showed that there was a significant increase in the expression level of FOLR1 in liver cancer tissue, and liver cancer patients with high expression of FOLR1 had a significantly shorter overall survival than those with low expression (P=0.013). After transduction of mRNA into T cells, the expression rate of FRα-CAR reached 89.8% in CAR-T and 84.7% in si-PD-1 CAR-T cells, and co-transfection with mRNA and siRNA could downregulate PD-1 in T cells and maintain a low expression state for at least 7 days. The expression rate of FRα antigen was 100% in JHH-1 cells, while it showed negative expression in Hep-G2 cells. CCK-8 assay showed that the killing efficiency of si-PD-1-CAR-T against JHH-1 cells was significantly higher than that against FRα-CAR-T cells (P<0.05). ELISA showed that compared with Mock T cells, FRα-CAR-T cells co-cultured with JHH-1 cells showed significant increases in the secretion of IL-2 (1 032.50±135.90 pg/mL vs 50.26±7.87 pg/mL,P<0.001) and IFN-γ (1 430.56±184.20 pg/mL vs 89.05±11.26 pg/mL,P<0.001), and in addition, the release levels of IFN-γ and IL-2 after co-culture of si-PD-1-CAR-T and JHH-1 cells were significantly higher than the release level of FRα-CAR-T (P<0.05).  Conclusion  FRα is a potential target for liver cancer treatment, and PD-1 knockdown in T cells can significantly enhance the in vitro killing activity of FRα-CAR-T cells.
Other Liver Disease
Establishment and validation of a risk prediction model for 90-day mortality in patients with acute-on-chronic liver failure based on sarcopenia
Huina CHEN, Ming KONG, Siqi ZHANG, Manman XU, Yu CHEN, Zhongping DUAN
2025, 41(6): 1135-1142. DOI: 10.12449/JCH250620
Abstract(1017) HTML (295) PDF (2616KB)(61)
Abstract:
  Objective  To establish and validate a new prediction model for the risk of death in patients with acute-on-chronic liver failure (ACLF) based on sarcopenia and other clinical indicators, and to improve the accuracy of prognostic assessment for ACLF patients.  Methods  A total of 380 patients with ACLF who were admitted to Beijing YouAn Hospital, Capital Medical University, from January 2019 to January 2022 were enrolled, and they were divided into training group with 228 patients and testing group with 152 patients in a ratio of 6∶4 using the stratified random sampling method. For the training group, CT images were used to measure the cross-sectional area of the skeletal muscle at the third lumbar vertebra (L3), and L3 skeletal muscle index (L3-SMI) was calculated. Sarcopenia was diagnosed based on the previously established L3-SMI reference values for healthy adults in northern China. Univariate and multivariable Cox regression analyses were used to establish a sarcopenia-ACLF model which integrated sarcopenia and clinical risk factors, and a nomogram was developed for presentation. The area under the ROC curve (AUC) was used to assess the predictive performance of the model, the calibration curve was used to assess the degree of calibration, and a decision curve analysis was used to investigate the clinical application value of the model. The independent-samples t test or the Mann-Whitney U test was used for comparison of continuous data between two groups, and the chi-square test was used for comparison of categorical data between two groups. The Kaplan-Meier method was used to plot survival curves, and the Log-rank test was used for comparison between groups. The DeLong test was used for comparison of AUC between different models.  Results  The multivariate Cox regression analysis showed that sarcopenia (hazard ratio [HR]=1.962, 95% confidence interval [CI]: 1.185‍ ‍—‍ ‍3.250, P=0.009), total bilirubin (HR=1.003, 95%CI: 1.002‍ ‍—‍ ‍1.005, P<0.001), international normalized ratio (HR=1.997, 95%CI: 1.674‍ ‍—‍ ‍2.382, P<0.001), and lactic acid (HR=1.382, 95%CI: 1.170‍ ‍—‍ ‍1.632, P<0.001) were included in the sarcopenia-ACLF model. In the training cohort, the sarcopenia-ACLF model had a larger AUC than MELD-Na score in predicting 90-day mortality in patients with ACLF (0.80 vs 0.73, Z=1.97, P=0.049). In the test cohort, the sarcopenia-ACLF model had a significantly larger AUC than MELD score (0.79 vs 0.69, Z=2.70, P=0.007) and MELD-Na score (0.79 vs 0.68, Z=2.92, P=0.004). The calibration curve showed that the model had good calibration ability, with a relatively good consistency between the predicted risk of mortality and the observed results. The DCA results showed that within a reasonable range of threshold probabilities, the sarcopenia-ACLF model showed a greater net benefit than MELD and MELD-Na scores in both the training cohort and the test cohort.  Conclusion  The sarcopenia-ACLF model developed in this study provides a more accurate tool for predicting the risk of 90-day mortality in ACLF patients, which provides support for clinical decision-making and helps to optimize treatment strategies.
Risk factors for pyogenic liver abscess comorbid with sepsis and construction of a nomogram prediction model
Jiayi GUO, Haiquan KANG, Mengjiao WANG, Deyang XI, Xuebing YAN, Chunyang LI
2025, 41(6): 1143-1149. DOI: 10.12449/JCH250621
Abstract(1041) HTML (280) PDF (2192KB)(49)
Abstract:
  Objective  To investigate the risk factors for pyogenic liver abscess (PLA) comorbid with sepsis by analyzing clinical features, and to construct a predictive model.  Methods  A retrospective analysis was performed for 489 patients who were hospitalized and diagnosed with PLA in The Affiliated Hospital of Xuzhou Medical University from January 2019 to December 2023, and according to the presence or absence of sepsis, they were divided into sepsis group with 306 patients and non-sepsis group with 183 patients. Related data were collected, including general information, laboratory markers, and outcome measures. The patients were further divided into a training set of 342 patients and a validation set of 147 patients at a ratio of 7∶3, and the training set was used for screening of variables and construction of a predictive model, while the validation set was used to test the performance of the model. An LASSO regression analysis was used for the screening of variables, and a multivariate Logistic regression analysis was used to construct the predictive model and plot a nomogram. The calibration curve, the receiver operating characteristic (ROC) curve, and the decision curve analysis were used for the validation of the model, and internal validation was performed for assessment. The independent-samples t test was used for comparison of normally distributed continuous data between two groups, and the Mann-Whitney U test was used for comparison of non-normally distributed continuous data between two groups; the chi-square test was used for comparison of categorical variables between groups.  Results  There were significant differences between the sepsis group and the non-sepsis group in pulse rate, mean arterial pressure, duration pf symptoms, comorbidity of liver cirrhosis or malignant tumor, leukocyte count, neutrophil count, lymphocyte count, platelet count (PLT), activated partial thromboplastin time, fibrinogen, C-reactive protein, aspartate aminotransferase, alanine aminotransferase, albumin, total bilirubin (TBil), creatinine, potassium, and prognostic nutritional index (PNI) (all P<0.05). In the training set, the LASSO regression analysis identified four predictive factors of pulse rate, PLT, TBil and PNI, and the multivariate Logistic regression analysis showed that pulse rate (odds ratio [OR]=1.033, 95% confidence interval [CI]: 1.006‍ ‍—‍ ‍1.061, P=0.018), PLT (OR=0.981, 95%CI: 0.975‍ ‍—‍ ‍0.987, P<0.001), TBil (OR=1.086, 95%CI: 1.053‍ ‍—‍ ‍1.125, P<0.001), and PNI (OR=0.935, 95%CI: 0.882‍ ‍—‍ ‍0.988, P=0.019) were independent influencing factors for the risk of sepsis in patients with PLA. The model constructed based on these factors showed a good predictive ability, with an area under the ROC curve of 0.948 (95%CI: 0.923‍ ‍—‍ ‍0.973) in the training set and 0.912 (95%CI: 0.848‍ ‍—‍ ‍0.976) in the validation set. The decision curve analysis showed that the model has a good net benefit within the range of 0.3‍ ‍—‍ ‍0.9 for threshold probability.  Conclusion  The nomogram prediction model constructed based on pulse rate, PLT, TBil, and PNI has a certain clinical value and can well predict the risk of sepsis in patients with PLA.
Correlation between Kayser-Fleischer ring grading and cognitive function in Wilson’s disease
Wei HE, Yulong YANG, Wenming YANG, Yue YANG, Chen HU, Hui LI, Peng HUANG
2025, 41(6): 1150-1155. DOI: 10.12449/JCH250622
Abstract(851) HTML (234) PDF (1389KB)(49)
Abstract:
  Objective  To investigate the correlation with cognitive function based on a new Kayser-Fleischer ring (K-F ring) grading method in Wilson’s disease (WD).  Methods  A total of 136 WD patients who were hospitalized in Encephalopathy Center, The First Affiliated Hospital of Anhui University of Chinese Medicine, from April 2022 to October 2023 were enrolled. All subjects underwent slit lamp examination, and the grade of K-F ring was determined according to the shape and extent of copper deposition in the cornea, whether it formed a ring or not, and whether there was a sunflower-like cloudy change in the lens. The patients were instructed to complete UWDRS, MoCA, and MMSE scale assessments, and these indicators were compared between patients with different K-F ring grades. An analysis of variance was used for comparison of normally distributed continuous data between multiple groups, and the least significant difference t-test (homogeneity of variance) or the Dunnett’s T3 test (heterogeneity of variance) was used for further multiple comparisons; the Kruskal-Wallis H test was used for comparison of non-normally distributed continuous data between multiple groups; the chi-square test was used for comparison of categorical data between groups. The Spearman correlation analysis was used to investigate the correlation of K-F ring grade with UWDRS, MoCA, and MMSE scores.  Results  Among the 136 patients with WD, there were 40 patients with grade 4 K-F ring, accounting for the highest proportion of 29.4%, and 14 patients with grade 0 K-F ring, accounting for the lowest proportion of 10.3%, and there were 22 patients with grade 1 K-F ring (16.2%), 19 with grade 2 K-F ring (14%), 25 with grade 3 K-F ring (18.4%), and 16 with grade 5 K-F ring (11.7%). According to the different grades of K-F ring, there was a significant increase in UWDRS score (F=22.61, P<0.001) and significant reductions in MoCA and MMSE scores (F=16.40 and 13.80, both P<0.001). The Spearman correlation analysis showed that K-F ring grade was positively correlated with UWDRS score (r=0.67, P<0.01) and was negatively correlated with MoCA and MMSE scores in WD patients (r=-0.59 and -0.57, both P<0.01).  Conclusion  The new K-F ring grading method can determine disease severity in WD patients to a certain degree and partially reflect cognitive function and activities of daily living in such patients.
Pancreatic Disease
Efficacy of robot-assisted versus laparoscopic parenchymal-sparing pancreatectomy in treatment of pancreatic neuroendocrine neoplasm
Guihu WENG, Zhe CAO, Yueze LIU, Taiping ZHANG
2025, 41(6): 1156-1160. DOI: 10.12449/JCH250623
Abstract(939) HTML (190) PDF (608KB)(37)
Abstract:
  Objective  To compare and analyze the clinical application of robot-assisted parenchymal-sparing pancreatectomy (R-PSP) and laparoscopic parenchymal-sparing pancreatectomy (L-PSP) in the treatment of pancreatic neuroendocrine neoplasm (pNEN), and to evaluate the safety and efficacy of the R-PSP procedure.  Methods  A retrospective analysis was performed for the clinical data of pNEN patients who underwent parenchymal-sparing pancreatectomy in Department of General Surgery, Peking Union Medical College Hospital, Peking Union Medical College, Chinese Academy of Medical Sciences, from December 2017 to August 2023, and according to the minimally invasive surgical procedure, they were divided into R-PSP group and L-PSP group. R-PSP and L-PSP were compared in terms of the efficacy of minimally invasive procedure, the outcome of postoperative complications, and oncological efficacy. The independent-samples t test or the Mann-Whitney U test was used for comparison of continuous data between two groups; the chi-square test or the Fisher’s exact test was used for comparison of categorical data between two groups; the Mann-Whitney U test was used for comparison of ranked data between two groups.  Results  A total of 45 pNEN patients were included, with 9 in the R-PSP group and 36 in the L-PSP group, and there were no significant differences in baseline data between the two groups (all P>0.05). There were no significant differences between the two groups in time of operation, intraoperative blood loss, intraoperative blood transfusion, and the rate of conversion to laparotomy (all P>0.05). Compared with the L-PSP group, the R-PSP group had a significantly longer length of postoperative hospital stay [10.00 (9.00‍ ‍—‍ ‍15.00) days vs 7.50 (6.00‍ ‍—‍ ‍10.00) days, Z=-2.356, P=0.017] and significantly higher hospital costs [86 610.44 (81 905.39‍ ‍—‍ ‍114 401.24) yuan vs 38 781.20 (31 708.39‍ ‍—‍ ‍50 514.76) yuan, Z=-4.001, P<0.001]. There were no significant differences between the two groups in the incidence rates of serious postoperative complications (Clavien-Dindo grade ≥Ⅲ), clinically relevant pancreatic fistula, delayed gastric emptying, and intra-abdominal infection (all P>0.05). The postoperative 90-day mortality rate was 0% for both groups.  Conclusion  R-PSP has acceptable safety and efficacy in pNEN patients in clinical practice.
Review
Role and clinical application prospect of epigenetics in lean nonalcoholic fatty liver disease
Junjiao XU, Sutong LIU, Qizhen ZHANG, Yajie GUAN, Beilei CUI, Wenjing WU, Minghao LIU
2025, 41(6): 1161-1166. DOI: 10.12449/JCH250624
Abstract(806) HTML (263) PDF (876KB)(68)
Abstract:
Epigenetic mechanisms play a crucial role in the development and progression of nonalcoholic fatty liver disease (NAFLD), especially among lean individuals. The research on related epigenetic mechanisms has provided new clues and directions for revealing the underlying causes and treatment strategies of NAFLD. This article introduces the role of epigenetics in the development and progression of NAFLD among lean individuals in recent years, analyzes the latest research advances in the epigenetics of NAFLD in this population, and briefly describes the basic concepts of epigenetics, including DNA methylation, histone modifications, and non-coding RNA regulation. This article also discusses how epigenetic alterations impact the pathogenesis, disease progression, and treatment strategies of NAFLD in lean individuals.
Mechanism of action of the fat mass and obesity-associated gene in the development and progression of metabolic dysfunction-associated fatty liver disease and related targeted therapies
Zhaoquan PAN, Xudong LIU, Weiqiang TAN, Xiaoke RAN, Yuan YUAN, Xinfeng LOU
2025, 41(6): 1167-1173. DOI: 10.12449/JCH250625
Abstract(970) HTML (344) PDF (908KB)(58)
Abstract:
Metabolic dysfunction-associated fatty liver disease (MAFLD) is a common chronic liver disease with the pathological feature of lipid accumulation in the liver, and it is closely associated with liver metabolic disorders. The latest research has shown that the pathogenesis of MAFLD is associated with the abnormal expression of specific genes, especially the fat mass and obesity-associated (FTO) gene. The abnormal activity of the FTO gene may lead to an imbalance in liver lipid metabolism, which manifests as the increase in fatty acid synthesis and the reduction in fatty acid oxidation, thereby promoting liver fat deposition and inflammatory response. Therefore, regulating the expression or activity of the FTO gene is considered one of the potential strategies for the treatment of MAFLD. At present, drug research targeting the function of the FTO gene has achieved preliminary results, and inhibition of the activity of the FTO gene can help to regulate liver lipid metabolism and alleviate liver inflammatory injury. This article reviews the mechanism of action of the FTO gene in the development and progression of MAFLD, summarizes the advances in drug research on the FTO gene and related metabolic pathways in recent years, and analyzes their application prospect in research and treatment.
Advances in the mechanism of aging-driven metabolic associated fatty liver disease and related targeted therapeutic strategies
Rui CHEN, Lungen LU
2025, 41(6): 1174-1180. DOI: 10.12449/JCH250626
Abstract(1086) HTML (402) PDF (1061KB)(66)
Abstract:
Metabolic associated fatty liver disease (MAFLD) is a liver disease associated with metabolic disorders, and it is characterized by excessive fat deposition in hepatocytes and is closely associated with insulin resistance and genetic susceptibility. Aging is an important factor in the progression of MAFLD and is positively correlated with the mortality rate of patients with MAFLD. The pathophysiological mechanisms of MAFLD involve lipid metabolism disorders, insulin resistance, inflammation, and oxidative stress, and aging exacerbates the pathological process of MAFLD by further affecting these key mechanisms. Cell senescence is an important factor in organismal aging, and therapeutic strategies targeting senescent cells can reduce the number of senescent cells or inhibit the inflammatory factors secreted by such cells, thereby helping to slow down the progression of MAFLD. In addition, the screening of novel regulatory factors provides new targets for the development of new drugs for MAFLD treatment. Although several anti-aging therapies have entered clinical trials, further studies are needed to validate the specificity and potential liver damage of these therapies due to the complex mechanisms of aging on the liver. Transforming multisystem metabolic dysfunction therapies for MAFLD into specialized therapies for aging may provide new ideas for MAFLD drug development.
Research advances in immunopathogenesis and targeted therapeutic strategies for primary biliary cholangitis comorbid with Sjögrens syndrome
Xiaoying DONG, Yongzhen ZHAI
2025, 41(6): 1181-1187. DOI: 10.12449/JCH250627
Abstract(1063) HTML (272) PDF (729KB)(72)
Abstract:
Primary biliary cholangitis (PBC) and Sjögren’s syndrome (SS) are both autoimmune disorders characterized by the involvement of epithelial tissue, and comorbidity of PBC and SS is often observed in clinical practice, suggesting that these two diseases may have common pathogeneses. Currently, there are still no specific targeted therapies for PBC and SS, and the therapeutic approach for systemic manifestations mainly relies on the treatment regimens for other autoimmune disorders. This article reviews the various potential therapeutic targets that have been clarified in the pathogenesis of PBC and SS and points out that targeted therapies for these two diseases can be developed based on the common immunopathological mechanism of PBC and SS, thereby providing valuable ideas for developing novel therapies.
Role of insulin-like growth factor-‍Ⅰ in prognostic evaluation and treatment of liver cirrhosis
Yanping WANG, Ya ZHENG, Huifang ZHANG, Huimin WANG, Xiaotong MA, Zhaofeng CHEN
2025, 41(6): 1188-1193. DOI: 10.12449/JCH250628
Abstract(731) HTML (220) PDF (945KB)(42)
Abstract:
As a key member of the insulin-like growth factor family, insulin-like growth factor-‍Ⅰ (IGF-‍Ⅰ) is mainly synthesized in the liver and is widely distributed in the human body, and it is involved in the physiological processes such as cell proliferation, differentiation, metabolism, and apoptosis. Studies have shown that the level of IGF-‍Ⅰ is negatively correlated with the severity of liver cirrhosis, and IGF-‍Ⅰ mainly affects the progression of liver cirrhosis by inhibiting liver fibrosis, promoting DNA damage repair, and regulating lipid metabolism. Monitoring of IGF-‍Ⅰ level is expected to provide an evaluation indicator for improving the prognosis of patients with liver cirrhosis, and stimulating the action pathway of IGF-‍Ⅰ or regulating its expression level may become a new method for the treatment of liver cirrhosis. This article reviews the research advances in IGF-‍Ⅰ in liver cirrhosis, in order to provide new ideas for the diagnosis and treatment of liver cirrhosis.
Research advances in the application of liquid biopsy in the diagnosis and treatment of hepatocellular carcinoma
Yulong LI, Xinxin ZHANG
2025, 41(6): 1194-1198. DOI: 10.12449/JCH250629
Abstract(913) HTML (302) PDF (867KB)(75)
Abstract:
Hepatocellular carcinoma is one of the most common cancers, and due to the lack of obvious specific symptoms in its early stage, patients are often in the advanced stage at the time of diagnosis and tend to have a poor prognosis. Timely diagnosis and effective treatment in the early stage can help to prolong the survival time of patients. Liquid biopsy is a noninvasive technique that can obtain the information of tumor by detecting and analyzing related biomarkers, including circulating tumor cells, circulating tumor DNA, and extracellular vesicles, thereby contributing to early diagnosis, molecular pathological typing, and prognosis prediction. This article reviews the research advances in the application of liquid biopsy in the diagnosis and treatment of hepatocellular carcinoma.
Therapeutic effect of traditional Chinese medicine in liver cancer by regulating tumor-associated macrophages and its mechanism
Yi TANG, Guotai WANG, Yuhan JIANG, Chenyang WU
2025, 41(6): 1199-1206. DOI: 10.12449/JCH250630
Abstract(1382) HTML (370) PDF (977KB)(58)
Abstract:
Liver cancer has high prevalence and mortality rates around the world, and its development and progression are closely associated with the interaction between the tumor microenvironment and tumor-associated macrophages (TAMs). TAMs play a significant role in immune suppression, immune escape, cell proliferation, invasion, metastasis, and drug resistance in liver cancer. Traditional Chinese medicine (TCM), with its unique therapeutic concepts and methods, has shown great potential in regulating TAMs and improving the prognosis of liver cancer. This article reviews the role and molecular mechanisms of TCM in regulating TAMs for the treatment of liver cancer, discusses the key role of TAMs in the progression of liver cancer, and analyzes the impact of Chinese medicinal components on the recruitment, polarization, and activity of TAMs and the expression of related factors based on TCM theory. Studies have shown that TCM can regulate the polarization state of TAMs, promote the formation of M1-type antitumor macrophages, and inhibit the activity of M2-type tumor macrophages, thereby playing a role in inhibiting the proliferation of liver cancer cells, promoting apoptosis, inhibiting angiogenesis, and enhancing immune response. In addition, this article also summarizes the molecular targets and mechanisms of action of TCM monomers, compound prescriptions, and novel preparations in the treatment of liver cancer, such as inhibiting the secretion of cytokines by TAMs, regulating signaling pathways, and affecting metabolic pathways, in order to provide a scientific basis for the application of TCM in liver cancer treatment and offer new ideas for immunotherapy for liver cancer.
Progress on the application of metabolomics in the prevention and treatment of liver failure using traditional Chinese medicine
Mengling HU, Jiongfen LI, Yangling ZENG, Riyun ZHANG, Dewen MAO
2025, 41(6): 1207-1212. DOI: 10.12449/JCH250631
Abstract(734) HTML (236) PDF (729KB)(43)
Abstract:
With the concurrent development of traditional Chinese medicine (TCM) and metabolomics in the diagnosis and treatment of liver failure, techniques such as nuclear magnetic resonance, mass spectrometry, chromatography, metabolic flux analysis, and bioinformatics enable the qualitative or quantitative analysis of endogenous small molecule metabolites in animal models of liver failure and patients with liver failure. These methods help identify specific biomarkers for early diagnosis and clinical intervention. This article reviews recent advancements in metabolomics for the early diagnosis of liver failure, biomarker discovery, identification of TCM syndromes, and the application of TCM in treating liver failure, aiming to provide a basis for TCM-based diagnosis and treatment of liver failure.
Mechanism of action of immune molecules and related immune cells in liver failure
Qi LUO, Biyu ZENG, Rong ZHANG, Guojuan MA, Lei QING, Liangjiang HUANG, Lei FU, Chun YAO
2025, 41(6): 1213-1219. DOI: 10.12449/JCH250632
Abstract(953) HTML (283) PDF (915KB)(52)
Abstract:
Liver failure (LF) is a severe clinical syndrome characterized by severe impairment or decompensation of liver function. At present, the key role of immune molecules in the pathogenesis of LF has been well established. These molecules not only directly participate in the pathological process of LF, but also influence the course of LF by modulating the behavior of immune cells. In addition, immune molecules can be used as potential biomarkers for evaluating the prognosis of LF. This article summarizes the role of immune molecules in LF and explores the therapeutic strategies based on these immune molecules, in order to provide new directions for the diagnosis and treatment of LF.
Application value of gene-modified mesenchymal stem cells in liver diseases
Tingting ZHAO, Junfeng LI, Dan ZHOU, Xiaoqin GAO, Wei YUE, Ruqin WANG, Liting ZHANG
2025, 41(6): 1220-1226. DOI: 10.12449/JCH250633
Abstract(922) HTML (254) PDF (1231KB)(53)
Abstract:
The immunomodulatory, repair, and regeneration-promoting functions of mesenchymal stem cells make them one of the potential treatment methods for liver diseases. At present, viral and non-viral delivery methods have been developed to genetically modify mesenchymal stem cells, and gene modification can promote the survival, homing, and cytokine secretion of mesenchymal stem cells, thereby enhancing the ability of mesenchymal stem cells to treat liver diseases. This article mainly summarizes the research advances in gene-modified mesenchymal stem cells in the treatment of liver diseases, in order to provide new insights and strategies for the clinical treatment of liver diseases.
Biological function of tRNA-derived small RNA and its expression and clinical significance in liver diseases
Yinli LI, Yan XU, Zhiwei GUAN, Lu MENG, Yitong QU, Jianli QIU
2025, 41(6): 1227-1234. DOI: 10.12449/JCH250634
Abstract(1005) HTML (250) PDF (1941KB)(41)
Abstract:
Liver diseases cannot be easily detected in the early stage, and although invasive diagnostic methods, such as liver biopsy, are relatively accurate, they tend to have a low degree of acceptance, which greatly limits the improvement in diagnosis and treatment techniques for liver diseases. Therefore, it is of great importance to search for new biomarkers and therapeutic targets. As an emerging biomarker for liquid biopsy, tRNA-derived small RNA (tsRNA) is abnormally expressed in various liver diseases including viral hepatitis, fatty liver disease, liver injury, and liver cancer, and it can affect the development and progression of liver diseases by regulating the biological functions such as gene expression, epigenetic regulation, and protein translation. This article reviews the origin, classification, and biological function of tsRNA, as well as the research advances in tsRNA as biomarkers and potential therapeutic targets for liver diseases, so as to provide ideas for the early diagnosis and treatment of liver diseases.
Application of indocyanine green fluorescence imaging technology in biliary atresia
Hanlin LI, Yuming HE, Ziyi LUO, Xiaogang XU
2025, 41(6): 1235-1240. DOI: 10.12449/JCH250635
Abstract(1031) HTML (280) PDF (691KB)(50)
Abstract:
Biliary atresia (BA) is characterized by progressive inflammation and fibrous obstruction of bile ducts, ultimately leading to cholestatic liver cirrhosis. Kasai surgery is the standard procedure for the treatment of BA, and early diagnosis is a key influencing factor for the prognosis of BA. Indocyanine green (ICG) is a near-infrared photosensitive dye that is efficiently and selectively absorbed by hepatocytes after intravenous injection, and it enters the intestine via bile and is excreted with the feces in the free form, with a favorable safety profile. In addition, ICG can emit fluorescence under near-infrared light, which can be captured by camera instruments and converted into visual images, and ICG fluorescence imaging technology can reflect the intraoperative situation in real time and significantly improve the success rate of the surgical procedure. This article reviews the advances in the application of ICG in early preoperative diagnosis, intraoperative imaging, and postoperative liver function assessment in recent years.
Introduction of High - quality Articles in Foreign Journals
Gut|Rice-derived recombinant human serum albumin as an alternative to human plasma for patients with decompensated liver cirrhosis: A randomised, double-blind, positive-controlled and non-inferiority trial
2025, 41(6): 1015-1015. DOI: 10.12449/JCH2506.gwqkjpwzjj1
Abstract(457) HTML (165) PDF (922KB)(49)
Abstract:
Gut|NLRP6 deficiency enhances macrophage-mediated phagocytosis via E-Syt1 to inhibit hepatocellular carcinoma progression
2025, 41(6): 1055-1055. DOI: 10.12449/JCH2506.gwqkjpwzjj2
Abstract(332) HTML (124) PDF (1340KB)(33)
Abstract:
Hepatology Research|Adjuvant transarterial chemoembolization after truly curative resection does not improve survival of patients with hepatocellular carcinoma at high risk of recurrence: A target trial emulation study
2025, 41(6): 1082-1082. DOI: 10.12449/JCH2506.gwqkjpwzjj3
Abstract(365) HTML (151) PDF (922KB)(41)
Abstract:
Hepatology Research|CXCL6 is a novel biliary marker and a downstream target of MMP7 in biliary atresia
2025, 41(6): 1119-1119. DOI: 10.12449/JCH2506.gwqkjpwzjj4
Abstract(298) HTML (164) PDF (932KB)(34)
Abstract:
Journal of Gastroenterology and Hepatology|Iron quantification using spectral CT-based material decomposition technique for noninvasive hepatic fibrosis staging: An experimental study
2025, 41(6): 1180-1180. DOI: 10.12449/JCH2506.gwqkjpwzjj5
Abstract(325) HTML (163) PDF (917KB)(33)
Abstract:
Acknowledgements
Current reviewers
2025, 41(6): 1104-1104. DOI: 10.12449/JCH2506.zhixie
Abstract(276) HTML (157) PDF (887KB)(33)
Abstract: