中文English
ISSN 1001-5256 (Print)
ISSN 2097-3497 (Online)
CN 22-1108/R

Vol.42 No.1 (303 in total) Jan. 2026

Theme Issue: Eliminating the Harm of Hepatitis B: Challenges and Breakthroughs in Basic Research

Executive Chief Editor: LI Wenhui

National Institute of Biological Sciences,Beijing

Display Method:
Editorial
Key scientific issues and breakthrough paths to eliminate the harm of hepatitis B virus infection
Yixue WANG, Bo PENG, Lei WEI, Quanxin LONG, Yuchen XIA, Yinyan SUN, Wenhui LI
2026, 42(1): 2-6. DOI: 10.12449/JCH260101
Abstract(481) HTML (199) PDF (1943KB)(226)
Abstract:
Hepatitis B virus (HBV) exclusively infects liver parenchymal cells and forms covalently closed circular DNA (cccDNA) within their nuclei. HBV cccDNA serves as the essential template for viral gene transcription, the sole source of progeny virus production, and the key driver of viral antigen expression, and it is the molecular basis for the persistence of HBV infection. Therefore, elimination and/or functional silencing of cccDNA is the key to eradicate chronic HBV infection. This article discusses the critical scientific issues that need to be solved during elimination of the harm of HBV infection from the perspectives of the synthesis, transcription, and clearance of cccDNA, as well as the impact of nonparenchymal cells on cccDNA, in order to provide a reference for eradicating HBV infection in the future.
Expert Forum
Natural control and clearance of hepatitis B virus infection
Jianyu YE, Bing WANG, Leyan GU, Yingting FAN, Jieliang CHEN
2026, 42(1): 7-13. DOI: 10.12449/JCH260102
Abstract(552) HTML (204) PDF (898KB)(222)
Abstract:
Hepatitis B virus (HBV) is a unique hepatotropic DNA virus that forms covalently closed circular DNA within the nucleus of hepatocytes and can partially integrate into the host genome, establishing the molecular basis for persistent viral infection. HBV infection and replication depends on multiple hepatocyte-enriched host factors and is modulated by the hepatic microenvironment. The host achieves natural control and clearance of HBV through various mechanisms, including cytolytic elimination mediated by cellular immunity such as cytotoxic T lymphocytes and natural killer cells, innate immunity and noncytolytic clearance driven by interferons and various cytokines, and antibody-mediated protection and clearance as part of humoral immune response. In addition, intracellular restriction factors and pathways, hepatocyte turnover through division and replacement, and changes in the hepatic microenvironment (such as the increase in matrix stiffness) collectively influence the efficiency and outcome of viral control and clearance. This article clarifies and elaborates on related mechanisms, so as to deepen the understanding of HBV chronicity, spontaneous resolution, and cure and provide a theoretical basis for optimizing clinical management and developing novel therapeutic strategies.
Treatment strategies for chronic hepatitis B based on covalently closed circular DNA dynamics
Jieli HU, Ailong HUANG
2026, 42(1): 14-20. DOI: 10.12449/JCH260103
Abstract(480) HTML (229) PDF (957KB)(144)
Abstract:
Cure of chronic hepatitis B virus (HBV) infection is the ultimate goal in HBV-related research, and exploring potential curative pathways may help to identify key research directions. Covalently closed circular DNA (cccDNA), as the most difficult genetic material to be eliminated within the HBV replication cycle, is not only a primary impediment to achieving cure, but also a key issue for establishing an analytical framework for cure strategies. This article reviews the thinking framework of “cccDNA dynamics”, further elaborates on its core implications, and systematically discusses the main strategies to promote cccDNA decay.
Research advances in hepatitis B virus genome integration
Yaoxin WANG, Xiaomei WANG, Junqi NIU
2026, 42(1): 21-25. DOI: 10.12449/JCH260104
Abstract(435) HTML (181) PDF (627KB)(147)
Abstract:
HBV DNA integration (iDNA) is the core barrier that must be overcome to achieve functional cure for chronic hepatitis B (CHB) and to prevent the occurrence of hepatocellular carcinoma (HCC). During reverse transcription, 5% — 10% of viral genomes are converted into double-stranded linear DNA that is randomly inserted into host chromosomes, generating stable iDNA and continuously producing HBsAg, thereby driving B- and T-cell immune exhaustion and locking the host in an immune-tolerant state. The process of iDNA runs throughout the entire natural history of HBV infection, and the viral enhancers it carries can promote clonal hyperplasia of indeterminate potential, accumulate pre-neoplastic mutations, and ultimately lead to HCC. Although long-term nucleos(t)ide analog or interferon therapy can suppress viral replication and reduce the formation of new integrations, existing therapies still fail to eliminate existing iDNA. Therefore, there is an urgent need for innovative strategies that can precisely target integration breakpoints, epigenetically silence iDNA, or eradicate integrated clones, so as to significantly increase the functional cure rate of CHB and fundamentally reduce the risk of HCC.
Current research status and challenges of animal models for hepatitis B
Zaichao XU, Yuchen XIA
2026, 42(1): 26-32. DOI: 10.12449/JCH260105
Abstract(382) HTML (169) PDF (805KB)(139)
Abstract:
Hepatitis B virus (HBV) infection is one of the major global health problems, and it can lead to the development of liver cirrhosis and hepatocellular carcinoma. Due to the strict species specificity of HBV infection, no animal model has yet been established to fully support the complete life cycle of HBV infection and accurately reflect host immune responses and pathogenesis. Current animal models used for HBV research include various hosts such as chimpanzees, tree shrews, and mice, as well as surrogate models based on related hepatotropic viruses. Although these models have contributed significantly to the research on HBV replication, immune response, and antiviral drug evaluation, they still have certain limitations such as ethical concerns, low infection efficiency, high costs, and a lack of persistent infection. In recent years, the development of novel strategies, such as humanized mouse models with reconstituted human liver and immune systems, transgenic models, and viral vector-mediated infection systems, has greatly promoted the research on HBV biology. In the future, with the integration of emerging technologies including gene editing, tissue engineering, and multi-system reconstruction, it is possible to establish HBV infection models that can more closely mimic human pathophysiology, thereby laying a robust foundation for understanding virus-host interactions, exploring the pathways for viral clearance, and developing radical treatment strategies.
Guideline
Expert consensus on diagnosis and treatment of chronic hepatitis B with the integrated traditional Chinese and western medicine (2025)
The Digestive System Diseases Professional Committee of the Chinese Society of Integrated Traditional Chinese and Western Medicine
2026, 42(1): 33-46. DOI: 10.12449/JCH260106
Abstract(1724) HTML (447) PDF (1138KB)(290)
Abstract:
Chronic hepatitis B is still one of the main chronic Iiver diseases in China. Although antiviral therapy has achieved good therapeutic effects, there are still many problems that have not been solved. To assist clinical physicians in accurately and reasonably diagnosing and treating chronic hepatitis B, this consensus elaborateson the understanding, diagnosis, and treatment of chronic hepatitis B from both perspectives of traditional Chinese and Western medicine, It comprehensively and deeply presents the Iatest research progress in this field, so as to provide a reference for clinical practice.
Expert consensus on clinical practice for the diagnosis and treatment of hepatic vascular diseases (2026 edition)
Committee on Liver Diseases (Integrated Traditional Chinese and Western Medicine), China Research Hospital Association, Committee on Interventional Medicine, China Research Hospital Association, Branch for Multidisciplinary Diagnosis and Treatment of Portal Hypertension, Beijing Medical Doctor Association
2026, 42(1): 47-65. DOI: 10.12449/JCH260107
Abstract(886) HTML (478) PDF (1269KB)(477)
Abstract:
Hepatic vascular diseases (such as portal vein thrombosis, porto-sinusoidal vascular disease, hereditary hemorrhagic telangiectasia, arterioportal fistula, and sinusoidal obstruction syndrome, Budd-Chiari syndrome) are characterized by diverse clinical manifestations, difficulties in diagnosis, and various treatment regimens, which brings huge challenges to clinical diagnosis and treatment, and at present, there are still no guidelines or consensus statements on the diagnosis and treatment of hepatic vascular diseases in China. To standardize and improve the diagnosis and treatment of hepatic vascular diseases in China, Committee on Liver Diseases (Integrated Traditional Chinese and Western Medicine) of China Research Hospital Association, Committee on Interventional Medicine of China Research Hospital Association, and Branch for Multidisciplinary Diagnosis and Treatment of Portal Hypertension of Beijing Medical Doctor Association organized the experts in related fields to develop expert consensus on clinical practice for the diagnosis and treatment of hepatic vascular diseases (2025 edition) based on the latest evidence-based medical research and the clinical practice in China, with a focus on the diagnosis and treatment of hepatic vascular diseases.
Viral Hepatitis
Efficacy and safety of sequential or combined therapy with tenofovir alafenamide fumarate in entecavir-treated patients with low-level viremia
Yijing ZHANG, Lingying HUANG, Bowu CHEN, Wanchun ZHU, Man LI, Jie SHEN, Yueqiu GAO
2026, 42(1): 66-73. DOI: 10.12449/JCH260108
Abstract(989) HTML (369) PDF (776KB)(149)
Abstract:
  Objective  To investigate the efficacy of sequential tenofovir alafenamide fumarate (TAF) therapy versus the regimen of entecavir (ETV) combined with TAF in chronic hepatitis B (CHB) patients experiencing low-level viremia (LLV) after ETV therapy, as well as their impact on virologic response, liver and renal function, and blood lipid levels.  Methods  A total of 217 CHB patients with LLV after ETV treatment who were admitted to Shuguang Hospital Affiliated to Shanghai University of Traditional Chinese Medicine from May 2020 to December 2023 were enrolled, and according to the treatment regimen, they were divided into TAF group (180 patients receiving sequential TAF therapy) and combined group (37 patients receiving ETV+TAF therapy). The propensity score matching (PSM) method was used to match the patients at a ratio of 1∶1, and finally 37 patients were included in each group to balance the baseline confounding factors. The two groups were compared in terms of hepatitis B virus DNA (HBV DNA) clearance rate, hepatitis B envelope antigen (HBeAg) clearance rate, liver and renal function parameters (liver stiffness measurement [LSM], platelet count [PLT], aspartate aminotransferase [AST], alanine aminotransferase [ALT], and creatinine [Cr]), blood lipid levels (total cholesterol [TC], triglyceride [TG], high-density lipoprotein cholesterol [HDL-C], and low-density lipoprotein cholesterol [LDL-C]), and the incidence rate of adverse reactions. The independent samples t-test was used for comparison of normally distributed continuous data between two groups, and the paired t-test was used for comparison within each group; the chi-square test was used for comparison of categorical data between groups.  Results  After 48 weeks of treatment, compared with the TAF group, the combined group had significantly higher HBV DNA clearance rate (86.49% vs 59.46%, χ²=6.852, P=0.009) and HBeAg clearance rate (59.46% vs 35.14%, χ²=4.391, P=0.036). After treatment, compared with the TAF group, the combined group had significantly lower levels of LSM (7.01±1.50 kPa vs 7.90±1.68 kPa, t=2.404, P=0.019), AST (18.02±2.28 U/L vs 21.12±2.85 U/L, t=5.166, P<0.001), and ALT (19.85±3.86 U/L vs 22.00±3.90 U/L, t=2.383, P=0.020) and significantly higher levels of PLT [(218.35±42.60)×109/L vs (192.82±44.13)×109/L, t=2.532, P=0.014] and Cr (70.92±6.54 μmoL/L vs 67.60±6.13 μmoL/L, t=2.253, P=0.027). After treatment, there was a slight increase in the level of TC in both the TAF group (5.60±0.89 mmol/L vs 5.18±0.85 mmol/L, t=2.076, P=0.041) and the combined group (5.45±0.80 mmol/L vs 5.02±0.83 mmol/L, t=2.269, P=0.026). There was no significant difference in the incidence rate of adverse reactions between the TAF group and the combined group (21.62% vs 18.92%, χ²=0.084, P=0.772).  Conclusion  For ETV-treated CHB patients experiencing LLV, compared with sequential TAF therapy, the ETV+TAF combined therapy can effectively increase virologic response rate, alleviate liver fibrosis, and improve liver function, whereas sequential TAF therapy has less impact on renal function. Sequential or combined therapy with TAF may induce a slight increase in the level of TC, which should be taken seriously in clinical practice.
Serological characteristics of individuals with hepatitis C virus/hepatitis B virus overlapping infection
Yanfei CUI, Xia HUANG, Chao ZHANG, Yingjie JI, Song QING, Yuanjie FU, Jing ZHANG, Li LIU, Yongqian CHENG
2026, 42(1): 74-79. DOI: 10.12449/JCH260109
Abstract(279) HTML (97) PDF (784KB)(119)
Abstract:
  Objective  To investigate the status of overlapping hepatitis B virus (HBV) infection in patients with chronic hepatitis C virus (HCV) infection and the serological characteristics of such patients.  Methods  A total of 8 637 patients with HCV infection who were hospitalized from January 1, 2010 to December 31, 2020 and had complete data of HBV serological markers were enrolled, and the composition ratio of patients with overlapping HBV serological markers was analyzed among the patients with HCV infection. The patients were divided into groups based on age and year of birth, and serological characteristics were analyzed, and the distribution of HBV-related serological characteristics were analyzed across different HCV genotypes.  Results  The patients with HCV/HBV overlapping infection accounted for 5.85%, and the patients with previous HBV infection accounted for 48.10%; the patients with protective immunity against HBV accounted for 14.67%, while the patients with a lack of protective immunity against HBV accounted for 31.39%. The patients were divided into groups based on age: in the 0 — 17 years group, the patients with protective immunity against HBV accounted for 61.41% (304 patients); the 18 — 44 years group was mainly composed of patients with previous HBV infection (698 patients, 37.31%), the 45 — 59 years group was predominantly composed of patients with previous HBV infection (1 945 patients, 50.38%), and the ≥60 years group was also predominantly composed of patients with previous HBV infection (1 486 patients, 61.66%). The patients were divided into groups based on the year of birth: in the pre-1992 group, the patients with previous HBV infection accounted for 51.63% (4 112 patients); in the 1992 — 2005 group, the patients with protective immunity against HBV accounted for 54.72% (168 patients); in the post-2005 group, the patients with protective immunity against HBV accounted for 64.38% (235 patients). In this study, 6 301 patients underwent HCV genotype testing: the patients with genotype 1b accounted for the highest proportion of 51.71% (3 258 patients), followed by those with genotype 2a (1 769 patients, 28.07%), genotype 3b (63 patients, 1.00%), genotype 3a (10 patients, 0.16%), genotype 4 (21 patients, 0.33%), and genotype 6a (5 patients, 0.08%).  Conclusion  With the implementation of hepatitis B planned vaccination program in China, there has been a significant reduction in the proportion of patients with previous HBV infection among the patients with HCV/HBV overlapping infection, but there is still a relatively high proportion of patients with a lack of protective immunity against HBV.
Liver Fibrosis and Liver Cirrhosis
Effect and mechanism of transplantation of human umbilical cord mesenchymal stem cells with overexpression of the Numb gene in treatment of cholestatic liver fibrosis
Shihao ZHANG, Changqing ZHAO, Mingyan YANG, Feifei XING, Wei LIU, Gaofeng CHEN, Jiamei CHEN, Ping LIU, Yongping MU
2026, 42(1): 80-89. DOI: 10.12449/JCH260110
Abstract(284) HTML (95) PDF (87365KB)(155)
Abstract:
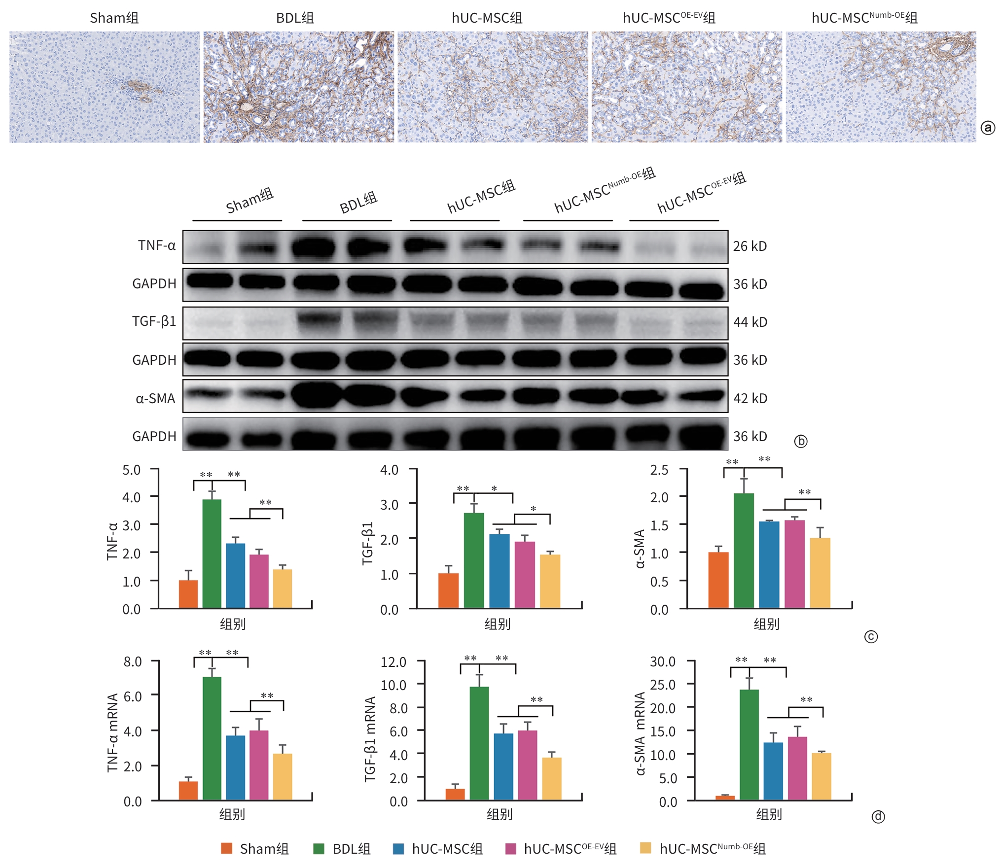
  Objective  To investigate the effect and mechanism of transplantation of human umbilical cord mesenchymal stem cell (hUC-MSC) with overexpression of the Numb gene in the treatment of cholestatic liver fibrosis (CLF).  Methods  The technique of lentiviral transfection was used to induce the overexpression of the Numb gene in hUC-MSC (hUC-MSCNumb-OE), and hUC-MSC transfected with empty vector (hUC-MSCOE-EV) was used as negative control. Bile duct ligation (BDL) was performed to establish a rat model of CLF, and then the rats were randomly divided into BDL group, hUC-MSC group, hUC-MSCOE-EV group, and hUC-MSCNumb-OE group, while a sham-operation group was also established. The rats in the intervention groups were given a single splenic injection of the corresponding cells after BDL, and samples were collected at the end of week 4. Related indicators were measured, including serum biochemistry, liver histopathology, the content of hydroxyproline (Hyp) in the liver, hepatic stellate cell activation, ductular reaction, liver regeneration, and the expression levels of key molecules in the Numb-p53 signaling axis. A one-way analysis of variance was used for comparison of continuous data between multiple groups, and the least significant difference t-test was used for further comparison between two groups.  Results  Compared with the BDL group, the hUC-MSC group and the hUC-MSCOE-EV group had significant reductions in the levels of serum biochemical parameters (aspartate aminotransferase, gamma-glutamyl transpeptidase, total bile acid, total bilirubin, and direct bilirubin), liver fibrosis markers (the content of Hyp and the expression levels of alpha-smooth muscle actin, tumor necrosis factor-α, and transforming growth factor-beta 1), and ductular reaction markers (the expression levels of CK7 and CK19) (all P <0.05), and compared with the hUC-MSCOE-EV group, the hUC-MSCNumb-OE group had significantly greater improvements in the above indicators (all P <0.05). In addition, compared with the hUC-MSCOE-EV group, the hUC-MSCNumb-OE group had significant improvements in the expression levels of liver regeneration-related markers (albumin and hepatocyte nuclear factor 4α) and the molecules associated with the Numb-p53 signaling axis (Numb, pNumb, Mdm2, and p53) (all P <0.05).  Conclusion  Overexpression of the Numb gene can enhance the therapeutic effect of hUC-MSC on CLF, possibly by activating the Numb-PTBL-p53-HNF4α axis, promoting the hepatic differentiation of hUC-MSCs and subsequently enhancing liver regeneration.
Influencing factors for recompensation and its impact on the prognosis in patients with decompensated liver cirrhosis
Danqing XU, Haiwen LI, Huan MU, Yingyuan ZHANG, Caifen SA, Li LIU, Yongrui YANG
2026, 42(1): 90-100. DOI: 10.12449/JCH260111
Abstract(473) HTML (132) PDF (1584KB)(163)
Abstract:
  Objective  To investigate the influencing factors for recompensation in patients with decompensated liver cirrhosis, as well as the impact of recompensation on the prognosis of such patients, and to provide a basis for early identification of high-risk patients in clinical practice.  Methods  A retrospective analysis was performed for the clinical data of patients who attended The Third People’s Hospital of Kunming from January 2016 to December 2022 and were diagnosed with decompensated liver cirrhosis due to hepatitis B, hepatitis C, alcoholic hepatitis, and autoimmune hepatitis, and they were divided into recompensation group and persistent decompensation group. To control for confounding factors, whether recompensation occurred was used as the rouping variable,and BMI, alcohol consumption history, HIV infection history, TG, CHOL, LDL, and HDL were used as covariates. The propensity score was calculated, and 1:1 nearest neighbor matching was performed with a caliper value of 0.1. After propensity score matching, the recompensation group and the persistent decompensation group with relatively balanced covariates were obtained. Univariate and multivariate Cox proportional-hazards regression model analyses were used to investigate the influencing factors for recompensation; the “rms” package was used to establish a nomogram; the receiver operating characteristic (ROC) curve was plotted to calculate the area under the ROC curve (AUC); the Hosmer-Lemeshow test was used to assess the goodness of fit of the model; the “Calibration Curves” package was used to plot calibration curves for model assessment. The Kaplan-Meier method was used to plot survival curves, and the Log-rank test was used for comparison of survival curves.  Results  Among the 863 patients with decompensated liver cirrhosis, 305 experienced recompensation, resulting in an incidence rate of 35.3%. After PSM, 610 cases were successfully matched, with 305 cases in each group. The univariate and multivariate Cox regression analyses showed that etiology (hepatitis C: hazard ratio[HR]=0.288, P=0.002); male(HR=0.701, P=0.016), age(HR=0.988, P=0.047), hemoglobin (HGB)(HR=1.006, P=0.017), and CD4 T cell(HR=1.001,P=0.047), TIPS procedure (HR=1.808,P=0.042) were independent influencing factors for recompensation in patients with decompensated liver cirrhosis. During follow-up, 116 patients died of liver disease-related causes, with 27 patients (8.85%) in the recompensation group and 89 (15.95%) in the persistent decompensation group; 109 patients developed HCC, with 23 patients (7.54%) in the recompensation group and 86 (15.41%) in the persistent decompensation group. The Kaplan-Meier survival curves showed significant separation between the patients with different states of compensation in terms of liver disease-related mortality rate and the incidence rate of HCC, and the Log-rank test showed that there were significant differences between the two groups in liver disease-related mortality rate (χ2=9.023, P=0.003) and the incidence rate of HCC (χ2=10.526, P=0.001).  Conclusion  Etiology,sex,age,TIPS,HGB,and CD4 T cell are independent influencing factors for recompensation in patients with decompensated liver cirrhosis. There is a significant difference in the incidence rate of recompensation between decompensated liver cirrhosis patients with different etiologies, and female patients and patients with a younger age,a history of TIPS, a higher HGB level, and a higher CD4 lymphocyte count are more likely to experience recompensation. Recompensation is the key to improving the long-term prognosis of patients and can significantly reduce long-term liver disease-related mortality rate and the incidence rate of HCC.
Establishment of a new predictive model for esophagogastric variceal rebleeding in liver cirrhosis based on clinical features
Wen GUO, Xuyulin YANG, Run GAO, Yaxin CHEN, Kun YIN, Qian LI, Manli CUI, Mingxin ZHANG
2026, 42(1): 101-110. DOI: 10.12449/JCH260112
Abstract(351) HTML (105) PDF (2141KB)(151)
Abstract:
  Objective  To establish a new noninvasive, simple, and convenient clinical predictive model by identifying independent predictive factors for rebleeding after endoscopic therapy in cirrhotic patients with esophagogastric variceal bleeding (EGVB), and to provide a basis for individualized risk assessment and development of clinical intervention strategies.  Methods  Cirrhotic patients with EGVB who were diagnosed and treated in The First Affiliated Hospital of Xi’an Medical University from September 2018 to October 2023 were enrolled as subjects, and according to whether the patient experienced rebleeding within 1 year after endoscopic therapy, they were divided into rebleeding group with 93 patients and non-rebleeding group with 84 patients. Clinical data were collected and analyzed. The independent samples t-test was used for comparison of normally distributed continuous data between two groups, and the Mann-Whitney U test was used for comparison of non-normally distributed continuous data between two groups; the chi-square test was used for comparison of categorical data between two groups. A Logistic model was established based on the results of the univariate and multivariate analyses, and the receiver operating characteristic (ROC) curve and the area under the ROC curve (AUC) were used to assess the accuracy of the model. R software was used to visualize the model by plotting a nomogram, and the Bootstrap method was used for internal validation of the model.  Results  The multivariate analysis showed that red blood cell count (RBC), cholinesterase (ChE), alkaline phosphatase (ALP), albumin (Alb), thrombin time (TT), portal vein trunk diameter, sequential therapy, and primary prevention were independent predictive factors for rebleeding. Based on the results of the multivariate analysis, a logistic model was established as logit(P)=-0.805-1.978×(RBC)+0.001×(ChE)-0.020×(ALP)-0.314×(Alb)+0.567×(TT)+0.428×(portal vein trunk diameter)-2.303×[sequential therapy (yes=1, no=0)]-2.368×[primary prevention (yes=1, no=0)]. The logistic model (AUC=0.928, 95% confidence interval [CI]: 0.893—0.964, P<0.001) had a better performance in predicting rebleeding than MELD score (AUC=0.603, 95%CI: 0.520—0.687, P=0.003), Child-Pugh class (AUC=0.650, 95%CI: 0.578—0.722, P=0.001), and FIB-4 index (AUC=0.587, 95%CI: 0.503—0.671, P=0.045). The model had an optimal cut-off value of 0.607, a sensitivity of 0.817, and a specificity of 0.817. Internal validation confirmed that the model had good predictive performance and accuracy.  Conclusion  Sequential therapy, implementation of primary prevention, an increase in RBC, and an increase in Alb are protective factors against rebleeding, while prolonged TT and widened main portal vein diameter are risk factors. The logistic model based on these independent predictive factors can predict rebleeding and thus holds promise for clinical application.
Liver Neoplasm
Thromboelastographic features of patients with primary liver cancer and their value in assessing coagulation function
Chunjuan YE, Chun ZHANG, Jialu LI, Sinan LIU, Zheng WANG
2026, 42(1): 111-116. DOI: 10.12449/JCH260113
Abstract(245) HTML (93) PDF (580KB)(122)
Abstract:
  Objective  To investigate the clinical application value of thromboelastographic parameters in assessing coagulation function by analyzing the thromboelastographic features of patients with primary liver cancer (PLC), and to provide a basis for coagulation management and prognostic evaluation in liver cancer patients.  Methods  A retrospective analysis was performed for 1 253 PLC patients who were admitted to The First Affiliated Hospital of Xi’an Jiaotong University from May 2015 to December 2022. According to the presence or absence of cirrhosis, the patients were divided into non-cirrhosis group with 262 patients and cirrhosis group with 991 patients, and according to the presence or absence of HBV infection, they were divided into HBV infection group with 1 055 patients and non-HBV infection group with 198 patients. The patients were stratified based on the severity of liver cirrhosis (Child-Pugh class and MELD score) and liver reserve function (indocyanine green retention rate at 15 minutes [ICGR15]), and thromboelastography was used to measure thromboelastographic parameters (reaction time [R], coagulation formation time [K], α-angle, maximum thrombosis amplitude [MA], and coagulation composite index [CI]) and conventional coagulation markers. The t-test was used for comparison of normally distributed continuous data between two groups; a one-way analysis of variance was used for comparison between multiple groups, and the least significant difference t-test was used for further comparison between two groups. The Mann-Whitney U test was used for comparison of non-normally distributed continuous data between two groups; the Kruskal-Wallis H test was used for comparison between multiple groups, and the Bonferroni correction method was used for further comparison between two groups. The chi-square test was used for comparison of categorical data between grouips, and the Spearman test was used for correlation analysis.  Results  Among the 991 patients in the cirrhosis group, 826 had Child-Pugh class A (5 — 6 points), and 165 had Child-Pugh class B (7 — 9 points); 812 had an MELD score of <10, and 179 had an MELD score of ≥10; 679 had an ICGR15 of <10%, and 294 had an ICGR15 of ≥10%. Compared with the patients with Child-Pugh class A, the patients with Child-Pugh class B had a significantly longer K time and significant reductions in α-angle, MA, and CI (all P <0.001); compared with the MELD score <10 group, the MELD score ≥10 group had a significantly longer K time and significant reductions in α-angle, MA, and CI (all P<0.001); compared with the ICGR15 <10% group, the ICGR15 ≥10% group had a significantly longer K time and a significant reduction in MA (both P <0.001). Among the 1 253 patients, MA was strongly positively correlated with fibrinogen and platelet count (r=0.675 and 0.667, both P<0.001); The MA had a weak correlation with Child-Pugh score, MELD score, and ICGR15 (r=-0.112, -0.250, and -0.117, all P<0.001), while the K time,α-angle and CI were weakly correlated with the MELD score (r=0.222, -0.184, and -0.183, all P<0.001),R time was negatively correlated with ICGR15 (r=-0.080, P=0.005). The HBV infection group had significantly higher MA and CI than the non-HBV infection group (P<0.05).  Conclusion  Thromboelastography can sensitively identify the hypocoagulable state associated with the progression of liver cirrhosis and the hypercoagulable tendency in HBV-related liver cancer, which provides an important reference for individualized anticoagulant therapy in clinical practice.
Value of immunoglobulin G/immunoglobulin M ratio in predicting the prognosis of patients with initially unresectable hepatocellular carcinoma treated by transcatheter arterial chemoembolization combined with tyrosine kinase inhibitor and programmed cell death protein-1 inhibitor
Xingzhi LI, Wei LUO, Yuan FENG, Yu CAI, Xiaohong LIU, Feixiang WU, Yong PENG
2026, 42(1): 117-124. DOI: 10.12449/JCH260114
Abstract(251) HTML (112) PDF (1187KB)(112)
Abstract:
  Objective  To investigate the association between immunoglobulin G (IgG)/immunoglobulin M (IgM) ratio and prognosis in patients with initially unresectable hepatocellular carcinoma (iuHCC) receiving TTP triple therapy with transcatheter arterial chemoembolization (TACE), tyrosine kinase inhibitor (TKI), and programmed cell death protein-1 (PD-1) inhibitors.  Methods  A retrospective analysis was performed for the clinical data of 151 iuHCC patients who received TTP triple therapy in Department of Hepatobiliary Surgery, Guangxi Medical University Cancer Hospital, from November 2019 to December 2022, and according to IgG/IgM ratio, they were divided into high IgG/IgM group (IgG/IgM ratio >13.23) and low IgG/IgM group (IgG/IgM ratio ≤13.23). The t-test was used for comparison of continuous data between groups, and the chi-square test was used for comparison of categorical data between groups. The Kaplan-Meier method and the log-rank test were used for survival analysis, and the Cox proportional hazards model was used to investigate the potential influencing factors for overall survival (OS).  Results  The 151 patients had a median OS of 26.7 months (95% confidence interval [CI]: 19.8-not reached) and a median progression-free survival of 12.5 months (95%CI: 10.4 — 15.8). The objective response rate was 83.4% and the disease control rate was 94.0%. There were no significant differences in baseline data between the high IgG/IgM group and the low IgG/IgM group (all P>0.05). There was a significant difference in median OS between the high IgG/IgM group and the low IgG/IgM group (20.6 months vs not reached, P=0.016). In both the high IgG/IgM group and the low IgG/IgM group, salvage hepatectomy was significantly associated with the improvement in OS (χ2=8.297 and 10.307, both P<0.05). The multivariate analysis showed that high IgG/IgM ratio (hazard ratio [HR]=1.799, 95%CI: 1.077 — 3.006, P=0.025), baseline alpha-fetoprotein >400 ng/mL (HR=1.762, 95%CI: 1.017 — 3.050, P=0.043), and BCLC stage (HR=2.265, 95%CI: 1.212 — 4.232, P=0.010) were independent influencing factors for OS.  Conclusion  High IgG/IgM ratio is associated with a poorer prognosis in iuHCC patients receiving TTP triple therapy, and salvage hepatectomy has a potential value in improving the prognosis of patients with a high IgG/IGM ratio.
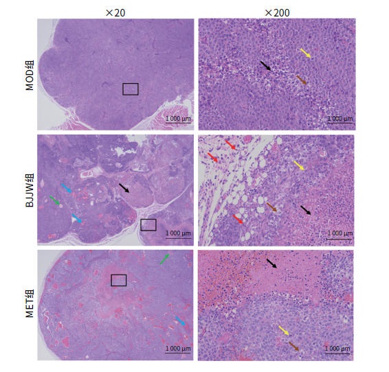
Effect and mechanism of Biejiajian Pill on subcutaneous xenograft tumor model of hepatocellular carcinoma Huh7 cells
Lu LU, Huanling CHEN, Jian XU, Yuanqin DU, Xiaoli LIU, Yingsheng WU, Chengting WU, Wei BAN, Jingjing HUANG, Hongna HUANG
2026, 42(1): 125-133. DOI: 10.12449/JCH260115
Abstract(390) HTML (141) PDF (24411KB)(110)
Abstract:
  Objective  To investigate the inhibitory effect of Biejiajian Pills (BJJW) on the growth of liver cancer, as well as its potential mechanism in mediating the AMP-activated protein kinase (AMPK)/mammalian target of rapamycin (mTOR) pathway through mitochondrial energy metabolism.  Methods  Human hepatoma Huh7 cells were used to establish a nude mouse model of subcutaneous xenograft tumor. A total of 18 tumor-bearing nude mice were randomly divided into model group, BJJW group (2.2 g/kg), and metformin group (250 mg/kg), and the corresponding drug was given by gavage for 14 consecutive days. Tumor volume and weight were monitored during the experiment; HE staining was used to observe histopathological changes; the levels of reactive oxygen species (ROS) and adenosine triphosphate (ATP) in tumor tissue were measured; immunohistochemistry and Western blotting were used to measure the expression levels of proteins associated with the AMPK/mTOR pathway. A one-way analysis of variance was used for comparison of normally distributed continuous data between multiple groups, and the Tukey’s test was used for further comparison between two groups; the Kruskal-Wallis H test was used for comparison of non-normally distributed continuous data between multiple groups, and the Dunn’s test was used for further comparison between two groups.  Results  Compared with the model group, the BJJW group had a tumor inhibition rate of 45.73%, with significant reductions in both tumor volume and weight (P<0.01). Pathological examination showed that compared with the model group, the BJJW group had a significant reduction in the number of tumor cells and the presence of extensive necrosis. Mechanistic studies showed that compared with the model group, the BJJW group had a significant increase in ROS level (P<0.001) and a significant reduction in ATP level (P<0.001), as well as significant increases in p-AMPK/AMPK ratio (0.81±0.20 vs 0.13±0.04, P<0.01) and p-ULK1/ULK1 ratio (0.69±0.17 vs 0.18±0.13, P<0.01) and a significant reduction in p-mTOR/mTOR ratio (1.34±0.16 vs 3.20±0.62, P<0.01).  Conclusion  BJJW may inhibit the growth of liver cancer by inducing mitochondrial energy metabolism dysfunction, increasing the level of ROS, reducing the level of ATP, and activating the AMPK/mTOR signaling pathway.
Other Liver Disease
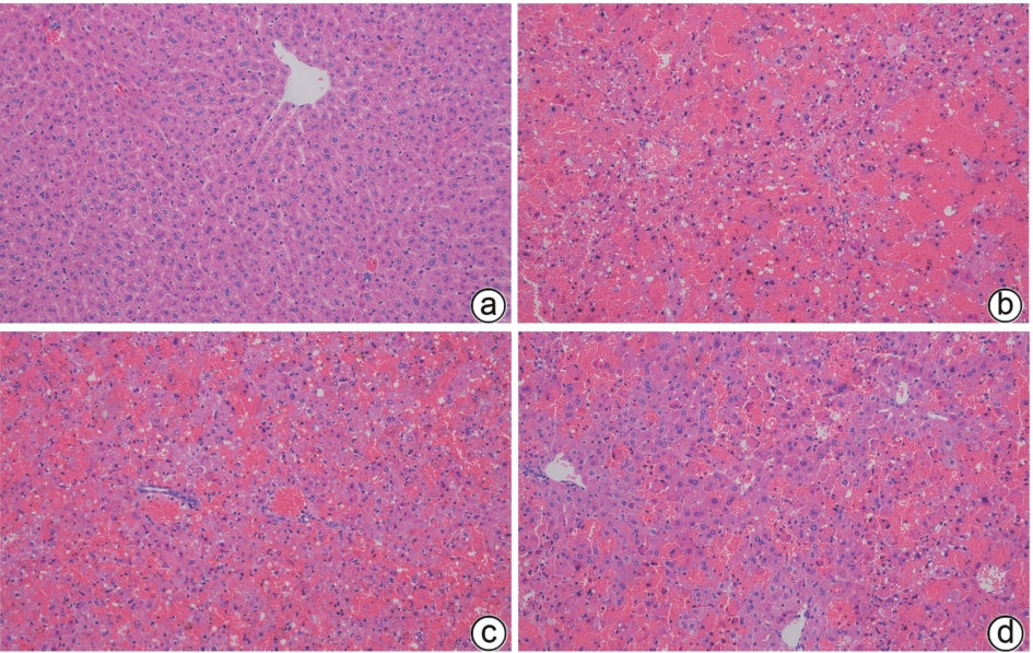
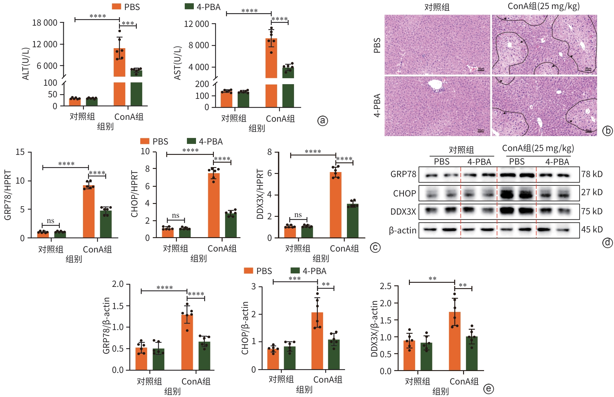
Role of endoplasmic reticulum stress-mediated DEAD-box helicase 3 X-linked in a mouse model of concanavalin A-induced immune-mediated liver injury
Zhenzhen PAN, Ling XU, Xianru ZHU, Zihao FAN, Yaling CAO, Yinkang MO, Sai YAN, Feng REN
2026, 42(1): 134-142. DOI: 10.12449/JCH260116
Abstract(229) HTML (95) PDF (13813KB)(110)
Abstract:
  Objective  To investigate the role of DEAD-box helicase 3 X-linked (DDX3X) in immune-mediated liver injury (ILI), and to clarify its mechanism by regulating endoplasmic reticulum stress (ERS)-dependent apoptotic pathway and its association with the clinical progression of hepatitis B.  Methods  Mice were given injection of concanavalin A (ConA) via the caudal vein to establish a model of ILI, PBS (control group) and different concentrations of ConA were injected into the tail vein of hepatocyte-specific DDX3X-knockout mice (DDX3XΔHep and DDX3X-flox mice (DDX3Xfl/fl), respectively.. The log-rank survival analysis, measurement of the serum levels of aspartate aminotransferase (AST) and alanine aminotransferase (ALT), and HE staining of liver tissue were performed to assess liver injury, and qRT-PCR and Western Blot were used to measure the mRNA and protein expression levels of glucose-regulated protein 78 (GRP78), CCAAT/enhancer-binding protein homologous protein (CHOP), and DDX3X in liver tissue. Intraperitoneal injection of 4-phenylbutyric acid (4-PBA, 100 mg/kg) was performed to inhibit ERS. Serum samples (n=30) and liver tissue samples (n=6) were collected from healthy controls, chronic hepatitis B (CHB) patients, and hepatitis B virus-associated liver failure (HBV-LF) patients; ELISA was used to measure the serum level of DDX3X, and qRT-PCR/Western Blot was used to analyze the expression of targets in liver tissue. A one-way analysis of variance was used for comparison of continuous data between multiple groups, and the least significant difference t-test was used for further comparison between two groups.  Results  Compared with the control group of mice, the expression of DDX3X in the liver of mice induced by ConA was significantly increased after liver injury (P<0.05), and hepatocyte-specific DDX3X knockout increased the 72-hour survival rate of mice by 55% (compared with 20% in the DDX3Xfl/fl group), with significant reductions in the serum levels of ALT and AST (P<0.000 1) and the expression levels of the ERS markers GRP78 and CHOP (P<0.05). After ERS was inhibited by 4-PBA, there was alleviation of liver injury (with reductions in ALT and AST, P <0.001) and a reduction in DDX3X expression (P<0.01). The analysis of clinical samples showed that the mRNA and protein expression levels of liver DDX3X in CHB patients and HBV-LF patients were significantly higher than those in healthy controls (all P<0.01), and there was a significant increase in the serum level of DDX3X in HBV-LF patients (P<0.000 1).  Conclusion  DDX3X exacerbates ILI by regulating the ERS-dependent apoptotic pathway (GRP78/CHOP), and its expression is associated with the progression of hepatitis B. Therefore, it can be used as a potential therapeutic target.
Regulatory effect of Jiedu Huayu granules on liver injury in mice with acute liver failure and its mechanism
Chengyu YA, Tingshuai WANG, Huiping YAN, Yi WANG, Qingrui ZHAO, Shenglan ZENG, Weiyu CHEN, Rongzhen ZHANG
2026, 42(1): 143-150. DOI: 10.12449/JCH260117
Abstract(300) HTML (153) PDF (9590KB)(106)
Abstract:
  Objective  To investigate the mechanism of action of Jiedu Huayu granules in improving liver injury in mice with acute liver failure (ALF) by observing its effect on a mouse model of ALF after prophylactic administration, and to provide a basis for clinical medication.  Methods  A total of 60 specific pathogen-free male C57BL/6J mice were divided into normal group, model group, Jiedu Huayu granules group (JDHY group), and farnesoid X receptor (FXR) agonist (GW4064) group using a random number table, with 15 mice in each group. The model of ALF was induced by a single intraperitoneal injection of D-galactosamine combined with lipopolysaccharide. The mice in the JDHY group were given prophylactic administration of 0.3 g/mL drug solution of Jiedu Huayu granules by gavage for 3 days before modeling, those in the normal group and the model group were given 0.9% NaCl solution by gavage, and those in the GW4064 group were given intraperitoneal injection of GW4064 for 3 consecutive days before modeling. The mice were sacrificed after modeling, and serum and liver tissue samples were collected. A veterinary automatic biochemical analyzer was used to measure the serum levels of total bilirubin (TBil), total bile acids (TBA), gamma-glutamyl transferase (GGT), alanine aminotransferase (ALT), and aspartate aminotransferase (AST) in mice from each group; HE staining was used to observe liver pathological changes; RT-PCR was used to measure the mRNA expression levels of FXR, fibroblast growth factor 15 (FGF15), fibroblast growth factor receptor 4 (FGFR4), small heterodimer partner (SHP), and bile salt export pump (BSEP) in mice, and Western blot was used to measure the protein expression levels of FXR, FGF15, FGFR4, SHP, and BSEP. A one-way analysis of variance was used for comparison between groups, and the Dunett method was used for further comparison between two groups.  Results  Compared with the normal group, the model group had significant increases in the serum levels of TBil, ALT, AST, TBA, and GGT (all P<0.01), and compared with the model group, the JDHY group and the GW4064 group had significant reductions in the serum levels of TBil, ALT, AST, TBA, and GGT (all P <0.01). HE staining showed that compared with the model group, the JDHY group and the GW4064 group had milder pathological injury, a reduction in the area of hepatocyte necrosis, and alleviation of cellular swelling and edema. Compared with the normal group, the model group had significant reductions in the mRNA and protein expression levels of FXR, FGF15, FGFR4, SHP, and BSEP in liver tissue (all P <0.01), and compared with the model group, the JDHY group and the GW4064 group had significant increases in the mRNA and protein expression levels of FXR, FGF15, FGFR4, SHP, and BSEP in liver tissue (all P <0.05).  Conclusion  Jiedu Huayu granules may alleviate liver injury in mice with ALF through the FXR/SHP axis.
Risk factors for 90-day mortality in patients with acute-on-chronic liver failure and establishment of a predictive model
Jing SUN, Tingji WANG, Zhijiao DUAN, Li ZHANG, Yanmei LI
2026, 42(1): 151-159. DOI: 10.12449/JCH260118
Abstract(319) HTML (120) PDF (86519KB)(135)
Abstract:
  Objective  To investigate the independent predictive factors for 90-day mortality in patients with acute-on-chronic liver failure (ACLF), to establish a risk predictive model, and to assess its predictive efficacy in comparison with MELD, MELD-Na, MELD 3.0, and COSSH-ACLF Ⅱ.  Methods  A retrospective analysis was performed for the clinical data of 394 patients with ACLF who were admitted to The Affiliated Hospital of Inner Mongolia Medical University and Hohhot Second Hospital from July 2018 to July 2024, and general information and laboratory markers on admission were collected from all patients. The independent-samples t test or the Mann-Whitney U test was used for comparison of quantitative data between two groups, and the chi-square test or the adjusted chi-square test was used for comparison of qualitative data between two groups. The LASSO regression analysis was used to identify related variables, and the multivariate logistic regression analysis was used to establish a predictive model and generate a nomogram. The receiver operating characteristic (ROC) curve, the area under the ROC curve (AUC), calibration curve, and clinical decision curve were used to assess the performance of the model.  Results  A total of 394 patients with ACLF were included in this study, with 136 patients in the training set, 58 in the internal validation set, and 200 in the external validation set. The cohort had a mean age of 52.9±11.7 years, among whom male patients accounted for 72.84% (287/394), the patients with HBV infection accounted for 22.33% (88/394), the patients with alcohol-related causes accounted for 45.94% (181/394), and the patients with other causes (including drug-induced and autoimmune diseases) accounted for 31.73% (125/394). The overall 90-day mortality rate was 27.41% (108/394). The multivariate logistic regression analysis showed that diabetes (odds ratio [OR]= 5.831, 95% confidence interval [CI]: 1.587 — 21.424, P=0.008), cystatin C (Cys-C) (OR=2.984, 95%CI: 1.501 — 5.933, P=0.002), and spontaneous peritonitis (SBP) (OR=5.692, 95%CI: 2.150 — 15.071, P<0.001) were independent risk factors, and a nomogram was generated based on these factors. This model had an AUC of 0.836 in the training set, 0.881 in the internal validation set, and 0.878 in the external validation set, showing a good discriminatory ability. The calibration curve showed a good degree of fitting, with a relatively high net clinical benefit. The subgroup analysis based on etiology showed that the model had an AUC of 0.850 in the patients with HBV infection, 0.858 in the patients with alcohol-induced ACLF, and 0.908 in the patients with other etiologies, indicating that the model had a good discriminatory ability across the populations with different etiologies. Compared with traditional scores, the model (AUC=0.836) had a significantly better predictive value than MELD (AUC=0.619, Z=3.197, P=0.001), MELD-Na (AUC=0.651, Z=2.998, P=0.003), MELD 3.0 (AUC=0.601, Z=3.682, P<0.001), and COSSH-ACLF Ⅱ (AUC=0.719, Z=2.396, P=0.017) alone.  Conclusion  Diabetes, SBP, and Cys-C are independent risk factors for 90-day mortality in patients with ACLF. Compared with MELD, MELD-Na, MELD 3.0, and COSSH-ACLF Ⅱ scores, this model has a higher predictive value for 90-day prognosis in patients with ACLF and is suitable for patients with ACLF caused by various etiologies.
Changing trend of benign hepatobiliary and pancreatic diseases among people aged 15—39 years in China in 1990—2021
Wenkai JIANG, Huiqi SUN, Junhao FENG, Ru HE, Wenrui PENG, Ming TIAN
2026, 42(1): 160-166. DOI: 10.12449/JCH260119
Abstract(348) HTML (170) PDF (115020KB)(120)
Abstract:
  Objective  To investigate the changing trends of the incidence rate, prevalence rate, mortality rate, and disability-adjusted life years (DALYs) of benign hepatobiliary and pancreatic diseases among people aged 15 — 39 years in China in 1990 — 2021.  Methods  The data of 2021 Global Burden of Disease Study were downloaded to obtain the epidemiological data of liver fibrosis/chronic liver disease, benign gallbladder/biliary tract diseases, and pancreatitis among people aged 15 — 39 years in China, and estimated annual percentage change (EAPC) was calculated to assess the changing trends of incidence, prevalence, mortality, and DALY rates. The Bayesian age-period-cohort model was used to predict the incidence and mortality rates from 2022 to 2030.  Results  In 2021, there were 10 448 778 new cases of benign hepatobiliary and pancreatic diseases among the individuals aged 15 — 39 years in China, which was increased by 3.8% compared with the data in 1990, while the numbers of prevalent cases, deaths, and DALYs were reduced by 20.4%, 59.6%, and 50.2%, respectively. In 2021, the age-standardized incidence rates of liver fibrosis/chronic liver disease, benign gallbladder/biliary tract diseases, and pancreatitis were 1 104.40/100 000, 1 045.05/100 000, and 16.64/100 000, respectively; the age-standardized prevalence rates were 20 592.37/100 000, 2 364.85/100 000, and 9.43/100 000, respectively; the age-standardized mortality rates were 1.61/100 000, 0.04/100 000, and 0.18/100 000, respectively. From 1990 to 2021, there was a tendency of increase in the age-standardized incidence rate of liver fibrosis/chronic liver disease (EAPC=0.43, 95% confidence interval [CI]: 0.23 — 0.63), and there was also a tendency of increase in the age-standardized incidence and prevalence rates of benign gallbladder/biliary tract diseases (incidence rate: EAPC=1.07, 95%CI: 0.91 — 1.24; prevalence rate: EAPC=0.75, 95%CI: 0.59 — 0.89), while there was a tendency of reduction in the age-standardized mortality rate of all three disease categories. Predictions for 2022 — 2030 indicated a potential reduction in the incidence rate of benign gallbladder/biliary tract diseases and an increase in the incidence rate of pancreatitis.  Conclusion  There has been an overall upward trend in the incidence rate of liver fibrosis/chronic liver disease and gallbladder/biliary tract diseases over the past three decades, and it is needed to pay attention to the disease burden of benign hepatobiliary diseases among the people aged 15 — 39 years in China.
Review
Efficacy of the dynamic changes of noninvasive indicators in evaluating clinical outcomes of metabolic associated fatty liver disease
Xiaowei AI, Mengyang ZHANG, Yameng SUN, Hong YOU
2026, 42(1): 167-171. DOI: 10.12449/JCH260120
Abstract(308) HTML (198) PDF (594KB)(144)
Abstract:
Histopathological examination is currently the gold standard for the diagnosis of metabolic associated fatty liver disease (MAFLD); however, due to its invasiveness, high risks, and low feasibility, application of noninvasive indicators in the staging and classification of MAFLD has become a research hotspot. This article systematically reviews the efficacy of dynamic changes in various noninvasive markers in reflecting histological changes and clinical outcome events in MAFLD patients, in order to provide theoretical support for dynamic monitoring and individualized management of the disease.
Influencing factors for the racial and ethnic disparities in metabolic associated fatty liver disease
Qianqian LIU, Haodi LUAN, Zhijiao DUAN, Ping CHEN
2026, 42(1): 172-177. DOI: 10.12449/JCH260121
Abstract(268) HTML (190) PDF (655KB)(113)
Abstract:
Metabolic associated fatty liver disease (MAFLD) is a chronic liver disease closely associated with metabolic syndrome, characterized by a complex pathogenesis involving genetic, environmental, and lifestyle factors. Recent studies have shown significant disparities in the prevalence rate and clinical features of MAFLD across different racial and ethnic groups, and such disparities might be associated with various factors such as genetic background, environmental factors, socioeconomic disparities, and metabolic profiles. This article reviews the latest research advances in racial and ethnic differences in MAFLD in China and globally, discusses its potential pathogenic mechanisms and clinical significance, proposes future research directions and interventional measures, and emphasizes the critical need to enhance MAFLD screening and preventive health education in multiethnic populations.
Role of aspirin in metabolic associated fatty liver disease
Yongqi LI, Yanqiu LI, Lina SUN, Chaoran WANG, Ying FENG, Liang WANG, Xianbo WANG
2026, 42(1): 178-182. DOI: 10.12449/JCH260122
Abstract(317) HTML (157) PDF (668KB)(122)
Abstract:
Metabolic associated fatty liver disease (MAFLD) is the main type of chronic liver disease in the world, with an increasingly higher incidence rate and a younger age of onset. At present, the treatment of MAFLD mainly depends on lifestyle intervention and comorbidity management, and there is still a lack of effective drugs for MAFLD itself. As a classic nonsteroidal anti-inflammatory drug of the salicylic acid family, aspirin can intervene in the pathological process of MAFLD by regulating lipid metabolism, relieving insulin resistance, reducing liver inflammation and oxidative stress response, exerting an anti-liver fibrosis effect, and inhibiting hepatocellular carcinoma, and therefore, it has the value of preventing disease onset, delaying disease progression, and reversing disease condition. This article systematically reviews the mechanism of action and safety of aspirin in the treatment of MAFLD, in order to provide more drug treatment options for MAFLD patients.
Role and mechanism of myeloid cells in hepatic fibrosis
Chengjie CUI, Zhenzhen ZHAO, Jing CUI, Shuxian ZANG, Na FU
2026, 42(1): 183-189. DOI: 10.12449/JCH260123
Abstract(311) HTML (127) PDF (1227KB)(114)
Abstract:
Hepatic fibrosis is a complex dynamic process caused by multiple chronic pathogenic factors, characterized by excessive accumulation of liver extracellular matrix and abnormal liver structure and function. If anti-fibrotic treatment is not performed in time, it can progress to liver cirrhosis and even liver cancer. Hepatic fibrosis has a complex pathogenesis, and previous studies mainly focused on the activation of hepatic stellate cells. Recent studies have shown that myeloid cells have the potential of multi-directional differentiation and can also participate in the development and progression of hepatic fibrosis. This article systematically reviews the role and regulatory mechanism of myeloid cells in hepatic fibrosis, in order to provide a reference for clinical diagnosis and targeted therapy.
Research advances in mitochondrial dysfunction in the pathogenesis of hepatic fibrosis
Yudie HONG, Jinchen GUO, Weibing SHI, Yujie SUN, Jiamin WANG, Tiantian GAO
2026, 42(1): 190-196. DOI: 10.12449/JCH260124
Abstract(338) HTML (108) PDF (820KB)(114)
Abstract:
Hepatic fibrosis refers to excessive accumulation and abnormal proliferation of fibrous connective tissue in the liver triggered by multiple pathogenic factors, and it may progress to liver cirrhosis, portal hypertension, and liver cancer. The pathological mechanisms of hepatic fibrosis involve hepatocyte injury, inflammatory cell infiltration with the release of inflammatory mediators, hepatic stellate cell activation, and extracellular matrix deposition. Recent studies have focused on mitochondrial dysfunction in disease progression, including the molecular pathways for hepatic fibrosis driven by metabolic disorders, energy deficiency, oxidative stress, mitochondrial dynamic imbalance, and autophagic dysfunction, all of which can induce liver injury. This article reviews the latest advances in hepatic fibrosis, in order to provide new therapeutic strategies for clinical management.
Role of pyroptosis in hepatic fibrosis and related research advances
Yongfan JIN, Chunmei ZHAO, Wenlin TAI
2026, 42(1): 197-202. DOI: 10.12449/JCH260125
Abstract(301) HTML (133) PDF (726KB)(113)
Abstract:
Hepatic fibrosis is not only a pathological process of hepatic self-repair after chronic liver injury, but also a critical stage in the progression of chronic liver disease to liver cirrhosis. Studies have shown that as a pro-inflammatory form of programmed cell death, pyroptosis plays an important role in various diseases and is also considered a potential therapeutic target for hepatic fibrosis. This article systematically reviews the association of pyroptosis in hepatocytes, hepatic stellate cells, and hepatic macrophages with hepatic fibrosis and discusses pyroptosis-mediated therapeutic strategies targeting hepatic fibrosis.
Clinical features and management of liver cirrhosis comorbid with severe acute respiratory syndrome coronavirus 2 infection
Wenli JIANG, Wenlong YANG, Lei LUO
2026, 42(1): 203-208. DOI: 10.12449/JCH260126
Abstract(280) HTML (130) PDF (695KB)(119)
Abstract:
Patients with liver cirrhosis are more susceptible to various bacterial or viral infections due to immune dysfunction. Recent studies have shown that compared with the general population, individuals with liver cirrhosis show a significant increase in the incidence rate of adverse outcomes after severe acute respiratory syndrome coronavirus 2 infection, including the progression of liver injury and the increase in mortality rate. Vaccination can reduce the incidence rates of breakthrough infections and severe coronavirus disease 2019 (COVID-19) in patients with liver cirrhosis, but such patients have low immune response and thus require booster doses to enhance immunity. This article reviews the clinical features of cirrhotic patients with COVID-19 and related management strategies, in order to provide evidence-based guidance for the clinical diagnosis and treatment of such patients.
The mechanism and therapeutic potential of nuclear factor erythroid 2-related factor 2 in acute liver injury
Huiyue TAO, Na YANG, Yang LIU
2026, 42(1): 209-216. DOI: 10.12449/JCH260127
Abstract(318) HTML (131) PDF (1059KB)(106)
Abstract:
Acute liver injury poses a serious threat to the life safety of patients, and currently there is still a lack of satisfactory treatment options. As a cytoprotective transcription factor, nuclear factor erythroid 2-related factor 2 (Nrf2) has important potential in the treatment of acute liver injury. Nrf2 exerts a protective effect by inducing the expression of antioxidant enzymes, regulating iron and fatty acid metabolism, protecting mitochondrial function, and inhibiting inflammatory responses, and it can also enhance the antioxidant capacity of the liver and inhibit the progression of acute liver injury by activating antioxidant response element and promoting the expression of the antioxidant enzymes such as heme oxygenase-1, glutathione transferase, and glutamate-cysteine ligase catalytic subunit. Nrf2 can modulate acute liver injury caused by different etiologies. Natural compounds such as curcumin and synthetic compounds such as oltipraz can activate Nrf2 through different mechanisms, enhance the antioxidant capacity of the liver, and thus exert a protective effect against acute liver injury. However, there are still various challenges in Nrf2 in the treatment of acute liver injury, and its mechanism of action remains unclear, with most studies in the stage of experimental study. In the future, it is expected to deeply investigate the mechanism of action of the Nrf2 signaling pathway, optimize drug development strategies, improve the clinical application theories for agonists, and provide more effective and precise treatment regimens for patients with acute liver injury.
Research advances in liver injury associated with thyroid dysfunction
Ye LIU, Jingyan WU, Qinyang ZHONG, Wu LI
2026, 42(1): 217-221. DOI: 10.12449/JCH260128
Abstract(494) HTML (268) PDF (645KB)(171)
Abstract:
The thyroid gland is the largest endocrine organ in the human body, and its dysfunction can cause varying degrees of liver injury, leading to liver failure in severe cases. Patients with hyperthyroidism have a relatively high incidence rate of liver dysfunction, manifesting as hepatocellular injury or cholestatic liver injury, while hypothyroidism is closely associated with metabolic dysfunction-associated fatty liver disease. Autoimmune thyroid diseases, including Hashimoto’s thyroiditis and subacute thyroiditis, are commonly comorbid with autoimmune liver disease. In addition, medications such as antithyroid drugs, amiodarone, and immune checkpoint inhibitors can cause severe liver injury through direct toxicity or immune-mediated mechanisms. Although significant progress has been achieved in related diagnosis and treatment techniques in recent years, there are still many challenges in pathogenesis, individualized treatment strategies, early warning, and prognostic evaluation. This article systematically reviews the research advances in liver injury associated with thyroid dysfunction and proposes the directions for future research, in order to provide guidance for clinical diagnosis and treatment.
Application of radiology in acute-on-chronic liver failure
Han XIAO, Yuhang YUAN, Weiling XU
2026, 42(1): 222-227. DOI: 10.12449/JCH260129
Abstract(249) HTML (110) PDF (632KB)(110)
Abstract:
Acute-on-chronic liver failure (ACLF) is a syndrome of multiple organ failure on the basis of underlying chronic liver disease and has an extremely high short-term mortality rate, while there is still a lack of unified diagnostic criteria around the world. Radiology plays an important role in the evaluation and prognostic prediction of ACLF, constituting a multi-dimensional assessment system covering morphology, function, and hemodynamics. Computed tomography can be used for the measurement of liver volume and the diagnosis of sarcopenia by providing key morphological and nutritional parameters. Magnetic resonance imaging (MRI), especially gadobenate dimeglumine-enhanced MRI, enables quantitative assessment of liver function and has critical significance for predicting short-term survival rate. Ultrasonography and elastography techniques facilitate the early warning of ACLF onset and the dynamic monitoring of its progression through noninvasive measurement of liver stiffness and hemodynamic parameters. This article systematically reviews the pivotal role of these three imaging modalities in the diagnosis and monitoring of ACLF, and integrating the strengths of multiple imaging techniques with clinical indicators to construct diagnostic and prognostic models may become a key future direction for achieving early intervention and improving clinical outcomes in ACLF.
Current status of research on the mechanism of action of emodin in the prevention and treatment of chronic liver diseases
Yajie CHEN, Xin WANG, Yunjuan WU, Ying SU, Yuhan WANG, Jinxue ZHANG, Ning YAO, Ying QIN, Xiaoning ZUO
2026, 42(1): 228-234. DOI: 10.12449/JCH260130
Abstract(312) HTML (91) PDF (730KB)(105)
Abstract:
Chronic liver diseases are a group of diseases in which the liver is subjected to a variety of injuries over a long period of time, resulting in irreversible pathological changes that last longer than 6 months. Emodin (EMO) is a natural anthraquinone derivative derived from Rheum officinale, and its pharmacological effect has been extensively studied, exhibiting a variety of biological properties and involving multiple signaling molecules and pathways. Western medicine or surgical treatment is currently the main treatment regimen for chronic liver diseases, and the advance in treatment is limited by various reasons such as side effects and high costs. Due to its natural origin and efficacy, EMO has unique advantages in the treatment of chronic liver diseases and has now become a research hotspot. This article summarizes the therapeutic effect of EMO on chronic liver diseases and its mechanism, in order to provide a certain scientific basis for the traditional Chinese medicine treatment of chronic liver diseases and the development of drugs in clinical practice.
Association between ectopically colonized oral bacteria and chronic liver disease
Jinglin HE, Chenxia LU, Xiaodong LI
2026, 42(1): 235-240. DOI: 10.12449/JCH260131
Abstract(255) HTML (88) PDF (876KB)(108)
Abstract:
Chronic liver disease is a general term for a variety of liver diseases, and its prevalence rate is increasing year by year. With the progression of the disease, patients may experience a variety of serious complications and even progress to liver failure. In recent years, a number of studies have revealed the association between ectopically colonized oral bacteria and chronic liver disease and explored their potential value in the diagnosis and treatment of chronic liver disease. This article systematically reviews the association of ectopically colonized oral bacteria with metabolic associated fatty liver disease, liver cirrhosis, and liver cancer and analyzes the mechanism for the influence of ectopically colonized oral bacteria on chronic liver disease, so as to provide a reference for the diagnosis and treatment of chronic liver disease using ectopically colonized oral bacteria.
Introduction of High - quality Articles in Foreign Journals
Hepatology|Biologically interpretable deep learning-derived MRI phenotypes reveal lymph node involvement and neoadjuvant therapy response in intrahepatic cholangiocarcinoma
2026, 42(1): 13-13. DOI: 10.12449/JCH2601.gwqkjpwzjj1
Abstract(202) HTML (79) PDF (1054KB)(100)
Abstract:
Hepatology International|NAT10 promotes the activation of hepatic stellate cells by modulating the TGF-β1-ac4C-COL1A1 axis
2026, 42(1): 46-46. DOI: 10.12449/JCH2601.gwqkjpwzjj2
Abstract(176) HTML (73) PDF (1062KB)(99)
Abstract:
Frontiers in Immunology||Primary biliary cholangitis. Treatment options in 2025. A narrative review
2026, 42(1): 159-159. DOI: 10.12449/JCH2601.gwqkjpwzjj3
Abstract(268) HTML (129) PDF (1043KB)(110)
Abstract:
Nature Metabolism|A non-apoptotic caspase-8-meteorin pathway in hepatocytes promotes MASH fibrosis
2026, 42(1): 196-196. DOI: 10.12449/JCH2601.gwqkjpwzjj4
Abstract(189) HTML (83) PDF (1041KB)(99)
Abstract:
Acknowledgements
Current reviewers
2026, 42(1): 208-208. DOI: 10.12449/JCH2601.zhixie
Abstract(167) HTML (68) PDF (1442KB)(98)
Abstract: