中文English
ISSN 1001-5256 (Print)
ISSN 2097-3497 (Online)
CN 22-1108/R

Vol.41 No.12 (302 in total) Dec. 2025

Theme Issue: Current Status and Future Perspectives in the Diagnosis and Treatment of Biliary Tract Cancers

Executive Chief Editor: JIANG Xiaoqing

The Third Hospital of Navy Medical University(Eastern Hepatobiliary Surgery Hospital)

Display Method:
Editorial
The treatment of biliary tract cancer: Current status and future prospects
Jinghan WANG, Wencong MA, Cheng ZHANG, Xiaoqing JIANG
2025, 41(12): 2441-2446. DOI: 10.12449/JCH251201
Abstract(404) HTML (290) PDF (740KB)(171)
Abstract:
Biliary tract cancer (BTC) is a type of tumor with high invasiveness and heterogeneity, and its incidence rate is increasing year by year. In recent years, with the breakthroughs in targeted therapy and immunotherapy, as well as the wide application of genetic testing techniques, the treatment of BTC has evolved from traditional surgery and local treatment to a stage of the combination of multiple treatment methods, providing more reasonable and effective treatment regimens for patients at different stages. This article reviews the current evidence-based medical data in the treatment of BTC, analyzes the current status of treatment, and discusses the future development directions of BTC treatment.
Expert Forum
Immunotherapy for biliary tract cancer: Current status and research advances
Xin LI, Jianyang AO, Jinghan WANG, Xiaoqing JIANG
2025, 41(12): 2447-2452. DOI: 10.12449/JCH251202
Abstract(484) HTML (228) PDF (656KB)(147)
Abstract:
Biliary tract cancer (BTC) is a highly malignant gastrointestinal tumor with a poor prognosis, and its limited treatment options and complex tumor microenvironment have posed significant challenges in clinical treatment. This article systematically describes the fundamental features of the immunosupressive microenvironment in BTC and reviews the role of immune checkpoint inhibitors in the treatment of BTC, as well as the emerging strategies such as cancer vaccines and adoptive cell transfer therapy. Although the improvement in treatment outcome is limited by high tumor heterogeneity and the immunosuppressive microenvironment, it is expected to improve the prognosis of BTC patients by constructing a biomarker system based on multi-omics, exploring novel combined treatment strategies, and deeply regulating the tumor microenvironment.
Research advances in local treatment and systemic therapy for intrahepatic cholangiocarcinoma
Yang LIU, Xiangde SHI, Mingqi LIU, Chao LIU
2025, 41(12): 2453-2461. DOI: 10.12449/JCH251203
Abstract(281) HTML (396) PDF (762KB)(166)
Abstract:
Intrahepatic cholangiocarcinoma (iCCA) is a highly aggressive malignant tumor with poor prognosis, and its incidence rate is gradually increasing in recent years. This article reviews the main local treatment methods for iCCA and the advances in related systemic therapies, with a focus on the current status of research on local treatment combined with targeted therapy and immunotherapy, highlighting their advantages in improving objective response rate and prolonging progression-free survival and overall survival. This article points out that immunotherapy combined with chemotherapy has become the first-line standard treatment for unresectable iCCA, while the regimen of local treatment combined with targeted therapy and immunotherapy has shown promising potential in clinical translation and sustained efficacy in early-phase studies. The authors believe that in the future, multicenter prospective studies are needed to verify the efficacy and safety of the above treatment regimen, determine the optimal combined treatment regimen, and define suitable patient populations, in order to provide new ideas for the comprehensive treatment of iCCA.
Research advances in liver transplantation in treatment of perihilar cholangiocarcinoma
Peihao WEN, Wenzhi GUO
2025, 41(12): 2462-2468. DOI: 10.12449/JCH251204
Abstract(345) HTML (80) PDF (750KB)(99)
Abstract:
Perihilar cholangiocarcinoma (pCCA) originates from the biliary epithelium at the confluence of the left and right hepatic ducts, and most patients are in the advanced stage at the time of confirmed diagnosis due to complex anatomy, insidious early symptoms, and highly aggressive tumor biology. Although radical resection remains the preferred treatment method, there is still a low 5-year survival rate after surgery. Since Mayo Clinic proposed a protocol combining neoadjuvant chemoradiotherapy with strict screening criteria, long-term outcomes of pCCA have been significantly improved after liver transplantation. With the expansion of donor liver sources, the maturation of living-donor liver transplantation techniques, and the optimization of immunosuppression strategies, liver transplantation has gradually become a standardized treatment regimen for specific patients with pCCA. This article systematically reviews the current status of liver transplantation for the treatment of pCCA, the criteria for indications, the strategies for neoadjuvant therapy before surgery, postoperative management, and recurrence prevention and control, as well as the directions for future development such as precise molecular subtyping, combined immunotherapy, and the optimization of donor organ resources.
The standardized diagnosis and treatment of incidental gallbladder carcinoma should be taken seriously
Chang XU, Cheng JIN, Houbao LIU
2025, 41(12): 2469-2473. DOI: 10.12449/JCH251205
Abstract(310) HTML (259) PDF (608KB)(115)
Abstract:
Incidental gallbladder cancer (IGBC) refers to gallbladder cancer discovered incidentally during pathological examination after cholecystectomy for benign gallbladder diseases, and characterized by a high rate of missed diagnosis before surgery, wide staging variability, and complex treatment decision-making, IGBC poses a significant challenge in biliary tract oncology. With reference to existing evidence, this article systematically reviews the epidemiology, pathogenesis, diagnostic status, and treatment strategies of IGBC, analyzes existing bottlenecks in diagnosis and treatment, and proposes the future prospects from the aspects of precise early diagnosis, individualized treatment guided by molecular subtyping, and establishment of multidisciplinary collaboration models, in order to provide a reference for clinical practice and research.
Guideline
Consensus on the management of metabolic dysfunction-associated fatty liver disease among Chinese adults with HIV infection
HIV/AIDS Group of Infectious Diseases Branch of Jiangsu Medical Association; The Second Hospital of Nanjing (Nanjing Hospital Affiliated to Nanjing University of Chinese Medicine); Specialty Committee on HIV and Liver Diseases, Chinese Association of STD&AIDS Prevention and Control
2025, 41(12): 2474-2482. DOI: 10.12449/JCH251206
Abstract(482) HTML (368) PDF (794KB)(159)
Abstract:
Life expectancy of people living with HIV (PLWH) has markedly increased due to the widespread use of combination antiretroviral therapy (cART). However, metabolic dysfunction-associated steatotic liver disease (MASLD) is a prevalent and severe comorbidity in this population. PLWH with MASLD exhibit distinct pathophysiological features, and disease management is further complicated by the long-term exposure to cART. Existing MASLD guidelines have not fully addressed the unique characteristics of PLWH. This expert consensus aims to provide standardized recommendations for the screening, diagnosis, and management of MASLD in PLWH, with an emphasis on early detection, identification of high-risk populations, individualized risk assessment, and multidisciplinary care to improve long-term outcomes and reduce the risk of liver disease progression and associated complications.
Recommendations from AASLD/IDSA practice guideline on treatment of chronic hepatitis B
Xiangyu XING, Yanhang GAO
2025, 41(12): 2483-2484. DOI: 10.12449/JCH251207
Abstract(842) HTML (265) PDF (423KB)(144)
Abstract:
Globally, there are approximately 258 million individuals living with chronic hepatitis B (CHB), resulting in about 1.1 million deaths annually due to hepatitis B-related cirrhosis and hepatocellular carcinoma. Data from the United States suggest that the actual burden of infection may be as high as 1.8 million, with around half of those infected remaining undiagnosed. In November 2025, the American Association for the Study of Liver Diseases (AASLD) and the Infectious Diseases Society of America (IDSA) jointly released an updated practice guideline for the management of CHB, which was developed based on previous guideline recommendations and the latest evidence-based research. This article provides a translated summary of the key recommendations from this guideline.
Guideline Interpretation
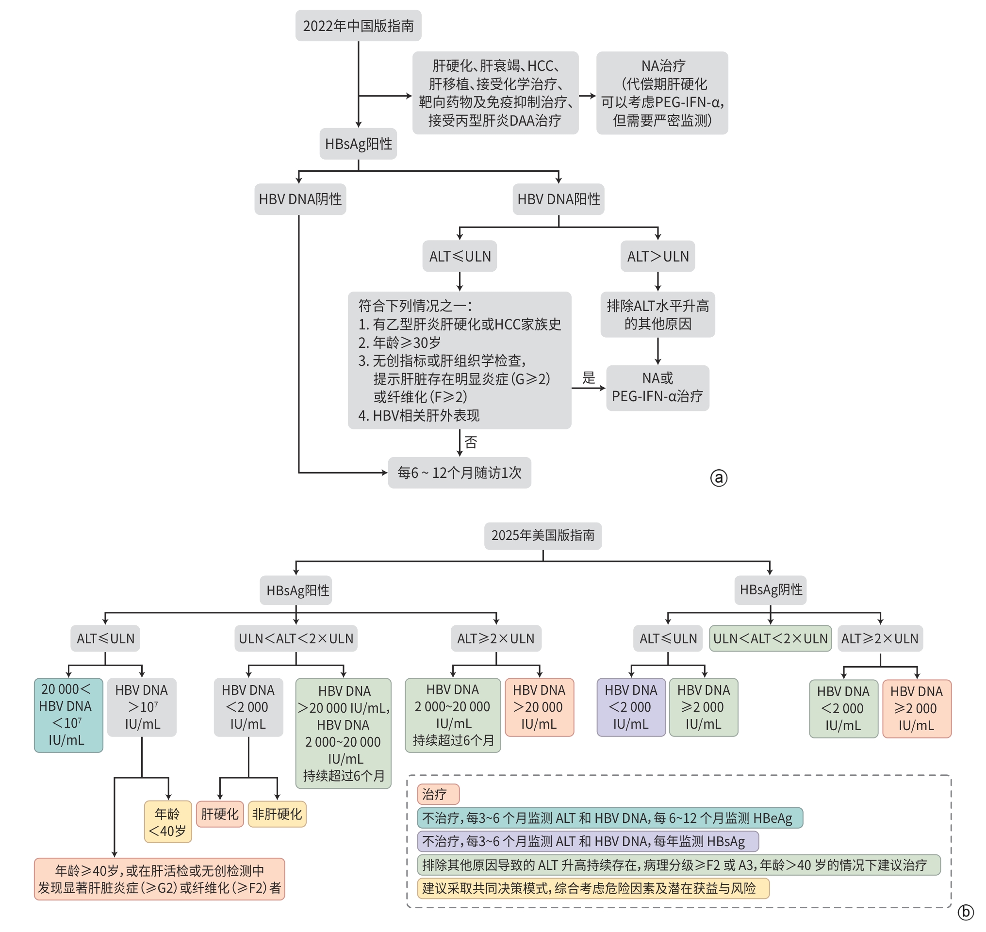
Evolving approaches for chronic hepatitis B: Differences and similarities between the 2025 American guidelines and the 2022 Chinese guidelines
Zhe HUANG, He LIN, Qi’an PAN
2025, 41(12): 2485-2493. DOI: 10.12449/JCH251208
Abstract(956) HTML (385) PDF (876KB)(131)
Abstract:
This article provides a systematic comparative analysis of the key recommendations between the “AASLD/IDSA Practice Guidelines for the Treatment of Chronic Hepatitis B (2025 edition)” and the “Chinese Guidelines for the Prevention and Treatment of Chronic Hepatitis B (2022 edition)”. The comparison focuses on the following seven core domains: background and significance; methodology; prevention and screening strategies; treatment indications and indicators for treatment discontinuation; drug selection and therapeutic strategies; management of special populations; and liver cancer screening and management. By examining areas of consensus and divergence, this article highlights the differences and similarities in evidence-based approaches and clinical practice pathways between the two guidelines, in order to provide a reference for clinical decision-making concerning individualized diagnosis and treatment, as well as targeted management of hepatitis B patients in clinical practice.
Interpretation of expert consensus on the detection and clinical application of hepatitis C virus markers (2025 edition)
Hui WANG, Yajie WANG
2025, 41(12): 2494-2498. DOI: 10.12449/JCH251209
Abstract(512) HTML (211) PDF (657KB)(252)
Abstract:
In 2025, Expert Committee of the Clinical Laboratory Alliance, National Center for Infectious Diseases, organized related experts to develop Expert consensus on the detection and clinical application of hepatitis C virus markers (2025 edition). This consensus outlines the objectives for hepatitis C prevention and control, identifies target populations for testing, and provides guidance on biomarkers, testing methods, and sample transportation. It also proposes optimized testing strategies tailored to the epidemiological characteristics of hepatitis C in China and the specific features of its diagnostic markers. The focus of this consensus is to address the shortcomings of traditional detection methods, such as prolonged window periods and missed diagnoses in immunocompromised populations, thereby improving the detection rate of hepatitis C. The consensus is of great importance for eliminating the public health threat of viral hepatitis in China. This article provides an interpretation of the consensus, in order to provide clearer practical guidance for the clinical testing of hepatitis C.
Viral Hepatitis
Change in psychological state and its influencing factors in chronic hepatitis B patients during long-term antiviral treatment
Chunxiu ZHONG, Qingyun TANG, Bing LI, Junhua YIN
2025, 41(12): 2499-2505. DOI: 10.12449/JCH251210
Abstract(254) HTML (70) PDF (635KB)(45)
Abstract:
  Objective  To investigate the change in psychological state, especially depression, anxiety, and fatigue, among chronic hepatitis B (CHB) patients undergoing long-term nucleos(t)ide analogue (NA) antiviral therapy, as well as related influencing factors, and to provide evidence-based data for developing individualized long-term psychological intervention regimens.  Methods  A total of 118 CHB patients who were followed up at the outpatient service of Department of Infectious Diseases, Nanfang Hospital, Southern Medical University, from January 2020 to December 2022 were enrolled, and all patients received NA treatment. Self-Rating Depression Scale (SDS), Self-Rating Anxiety Scale (SAS), and Multidimensional Fatigue Inventory-20 (MFI-20) were used to assess the psychological state of patients before treatment and after 104 weeks of antiviral therapy. The independent-samples t test was used for comparison of continuous data between two groups, and the chi-square test was used for comparison of categorical data between two groups. The logistic regression model was used to identify independent influencing factors for the alleviation of fatigue, anxiety, and depression.  Results  After 104 weeks of treatment, there were significant reductions in total fatigue score (from 54.05±13.34 to 46.79±13.33), anxiety score (from 48.16±9.18 to 34.08±7.36), and depression score (from 60.27±9.94 to 43.69±9.64) (all P<0.05). The multivariate analysis showed that liver cirrhosis (odds ratio [OR]=0.410, 95%CI:0.169 — 0.995,P=0.049) and a family history of hepatocellular carcinoma (HCC) (OR=0.146, 95%CI:0.041 — 0.525,P=0.003) were independent risk factors for poor fatigue relief; female sex (OR=0.094, 95%CI:0.010 — 0.864,P=0.037), a relatively low education level (OR=0.155, 95%CI:0.028 — 0.860,P=0.033), and a family history of HCC (OR=0.015, 95%CI:0.002 — 0.109,P<0.001) were independent risk factors for poor alleviation of anxiety; female sex (OR=0.050, 95%CI:0.006 — 0.391,P=0.004) and a family history of HCC (OR=0.091, 95%CI:0.019 — 0.444,P=0.003) were independent risk factors for poor alleviation of depression.  Conclusion  There is a tendency of reduction in the degree of fatigue, anxiety, and depression in CHB patients during long-term antiviral therapy, suggesting that antiviral therapy has a certain effect in improving psychological state. However, female patients and the patients with a family history of liver cancer tend to experience a heavier psychological burden, and such patients should be taken seriously in clinical practice and receive individualized psychological support and intervention.
Efficacy of combined versus sequential antiviral therapy in HBeAg-negative chronic hepatitis B patients achieving incomplete virological response during initial antiviral therapy
Fubiao KANG, Yan WANG, Dong LI, Lianli ZHANG, Xinying YANG, Dianxing SUN, Chen WANG
2025, 41(12): 2506-2511. DOI: 10.12449/JCH251211
Abstract(324) HTML (135) PDF (932KB)(45)
Abstract:
  Objective  To investigate the efficacy and safety of combined versus sequential antiviral regimens in HBeAg-negative chronic hepatitis B (CHB) patients achieving incomplete virological response during initial antiviral therapy, and to provide evidence for clinical practice.  Methods  A total of 117 HBeAg-negative CHB patients who attended The 980th Hospital of PLA Joint Logistics Support Force from January 2020 to December 2023 and met the criteria for incomplete virological response were enrolled, and according to the clinical treatment regimen, they were divided into combination group (the original antiviral agent combined with another type of drug) and sequential group (switching to a new drug). The primary outcome measure was HBV DNA clearance rate at weeks 4, 12, 24, and 48 of combined or sequential therapy, and the secondary outcome measures were alanine aminotransferase (ALT) normalization rate, renal function, myocardial enzymes, and blood lipid profiles. The independent-samples t test was used for comparison of normally distributed continuous data between two groups, and the chi-square test and the Fisher’s exact test were used for comparison of categorical data between two groups.  Results  Among the 117 CHB patients, there were 49 patients in the combination group and 68 patients in the sequential group. At weeks 24 and 48 of combined or sequential therapy, the combination group had a significantly higher HBV DNA clearance rate than the sequential group (week 24: 95.92% vs 80.88%, χ2=5.761, P=0.016; week 48: 97.96% vs 86.76%, χ2=4.566, P=0.044). Compared with the sequential group, the combination group showed a significantly higher level of viral inhibition in patients with a high viral load (HBV DNA ≥104 IU/mL) (week 12: 73.33% vs 19.05%, χ2=10.609, P=0.002; week 24: 86.67% vs 47.62%, χ2=5.783, P=0.033). There was no significant difference in treatment outcome between the two groups among the patients with a low viral load (P>0.05). The combination group had an ALT normalization rate of 65.31%, 89.80%, 81.63%, and 95.92%, respectively, at 4, 12, 24, and 48 weeks, while the sequential group had an ALT normalization rate of 54.41%, 89.71%, 86.76%, and 94.12%, respectively; there were no significant differences between the two groups (all P>0.05). There were no abnormalities in renal function, myocardial enzymes, and blood lipids in either group within 48 weeks of combined or sequential therapy.  Conclusion  In HBeAg-negative CHB patients with incomplete virological response, combination therapy has significantly better efficacy than sequential therapy in the high viral load subgroup and can achieve virological suppression more rapidly, and the two regimens have similar efficacy in patients with a low viral load. Both combined and sequential therapies have a favorable safety profile.
Features and risk factors in chronic hepatitis B patients comorbid with metabolic associated fatty liver disease
Qing ZHAO, Lihui ZHANG, Sutong LIU, Dongfang SHANG, Qiang ZHANG, Wenxia ZHAO
2025, 41(12): 2512-2519. DOI: 10.12449/JCH251212
Abstract(276) HTML (70) PDF (783KB)(47)
Abstract:
  Objective  To investigate the comorbidity features of chronic hepatitis B (CHB) patients comorbid with metabolic associated fatty liver disease (MAFLD), to analyze its risk factors, and to provide a basis for clinical prevention and treatment.  Methods  A total of 92 patients who were diagnosed with CHB in The First Affiliated Hospital of Henan University of Chinese Medicine from January 2023 to December 2024 were enrolled and divided into CHB+MAFLD group with 52 patients and CHB group with 40 patients. Related data were collected from all patients, including general information, medical history, serum biochemical parameters, virological testing indicators, and FibroScan results. The independent-samples t test or the Mann-Whitney U test was used for comparison of continuous data between two groups; the chi-square test or the Fisher’s exact test was used for comparison of categorical data between two groups; the binary Logistic regression analysis was used to investigate the risk factors for CHB comorbid with MAFLD.  Results  There were significant differences between the two groups in sex, body mass index (BMI), antiviral therapy, duration of antiviral medication, the preference for high-fat diet or spicy foods, and the levels of alanine aminotransferase, uric acid (UA), triglyceride (TG), high-density lipoprotein cholesterol, and controlled attenuation parameter (all P<0.05). The univariate regression analysis showed that male sex, preference for high-fat diet and spicy foods, antiviral therapy, antiviral medication for >5 years, BMI ≥24 kg/m2, UA >357 μmol/L, and TG >1.70 mmol/L were associated with comorbidity with MAFLD (all P <0.05); the multivariate regression analysis showed that antiviral medication >5 years (odds ratio [OR]=9.38, 95% confidence interval [CI]: 2.28 — 38.60, P=0.002), BMI ≥24 kg/m2OR=5.60, 95%CI: 1.75 — 17.88, P=0.004), and TG >1.70 mmol/L (OR=4.08, 95%CI: 1.17 — 14.31, P=0.028) were independent risk factors for CHB patients comorbid with MAFLD.  Conclusion  CHB comorbid with MAFLD is the result of metabolic disorders and long-term antiviral therapy. Clinical management should be enhanced for CHB patients with long-term antiviral therapy, overweight/obesity, and hypertriglyceridemia, and targeted screening and intervention strategies should be implemented.
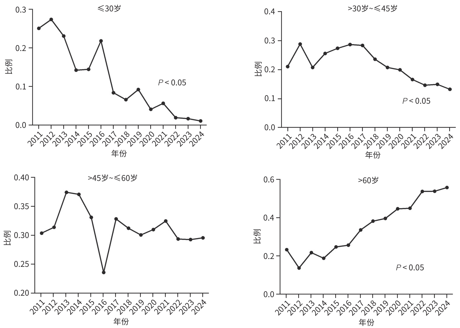
Clinical features and medical burden of hospitalized patients with hepatitis E virus infection
Chong CHEN, Conglin ZHAO, Qiang TANG, Yuxian HUANG, Qin HUANG, Liang CHEN
2025, 41(12): 2520-2527. DOI: 10.12449/JCH251213
Abstract(165) HTML (81) PDF (1134KB)(44)
Abstract:
  Objective  To investigate the demographic distribution, prognosis and medical expenses of hospitalized patients with hepatitis E virus (HEV) infection.  Methods  A retrospective analysis was performed for the case data of 2 483 patients with HEV infection who were hospitalized in Shanghai Public Health Clinical Center from January 1, 2011 to December 30, 2024, and a statistical analysis was performed for demographic data, clinical symptoms, laboratory tests, treatment conditions, and hospital costs. The Kruskal-Wallis H test was used for comparison of continuous data between multiple groups, and the Wilcoxon test was used for further comparison between two groups; the chi-square test or the Fisher’s exact test was used for comparison of categorical data between groups.  Results  Sporadic prevalence of HEV had been observed in China in recent years, without aggregated outbreaks in Shanghai and the whole country. The analysis of clinical data showed that middle-aged and elderly male patients were the main hospitalized population with HEV infection, with male patients accounting for 62.9% and patients aged >60 years accounting for 37.1%, and the poportion of patients aged >60 showed an increasing trend year by year (P<0.05). Comparison between groups showed a significant reduction in the rate of HEV infection year by year among pregnant women (P<0.05), while there was a gradual increase in the proportion of patients with liver failure caused by HEV infection among all hospitalized patients (P<0.05). Follow-up of the clinical outcomes of hospitalized patients showed a high incidence rate of adverse prognosis in patients with liver failure, with a short-term mortality rate of 26.7% (χ2=465.8, P<0.001) and a liver transplantation rate of 1.6% (χ2=20.4, P<0.001). In addition, hospitalized patients with HEV infection often had high medical expenses, with mean total hospital costs of 18 090 yuan, and those with liver failure had particularly high medical expenses, with mean total hospital costs of 34383 yuan, which was significantly higher than the medical expenses in the asymptomatic infection group (11 110 yuan), the acute non-jaundice hepatitis group (10 570 yuan), the acute jaundice hepatitis group (15 139 yuan), and the liver decompensation group (19 314 yuan) (H=528.7, P<0.001), causing a certain economic burden on health care.  Conclusion  HEV infection shows sporadic prevalence, and there are differences in the demographic features of hospitalized patients with HEV infection across the years. The incidence rate of liver failure has increased year by year, and such patients tend to have a poor prognosis, causing a heavy economic burden on health care, which should be taken seriously in clinical practice.
Fatty Liver Disease
Impact of very-low-carbohydrate diet on cardiovascular risk in patients with metabolic associated fatty liver disease based on the China-PAR model
Junjie ZHANG, Shanshan PI, Jinyan DENG, Ziyu WU, Yue LI, Qian WANG, Hongbo DU
2025, 41(12): 2528-2535. DOI: 10.12449/JCH251214
Abstract(308) HTML (84) PDF (705KB)(43)
Abstract:
  Objective  To investigate the effectiveness and safety of very-low-carbohydrate diet (VLCD) in the treatment of metabolic associated fatty liver disease (MAFLD) by observing its impact on various indicators, and to provide a basis for clinical treatment.  Methods  This single-center retrospective single-arm cohort study was conducted among 103 patients who were diagnosed with MAFLD in Dongzhimen Hospital, Beijing University of Chinese Medicine, from September 2021 to May 2024, and all patients received the VLCD intervention regimen for 2 — 6 weeks. Related indicators were compared before and after treatment, including body weight, body mass index (BMI), liver controlled attenuation parameter (CAP), fasting plasma glucose (FPG), fasting serum C-peptide (C-P), fasting serum insulin (FINS), Homeostasis Model Assessment of Insulin Resistance (HOMA-IR), total cholesterol (TC), triglycerides (TG), high-density lipoprotein cholesterol (HDL-C), and low-density lipoprotein cholesterol (LDL-C). Finally, the China-PAR cardiovascular risk prediction model was used to calculate the risk of cardiovascular events before and after treatment and evaluate the impact of this dietary intervention on cardiovascular health. The paired t-test or the Wilcoxon signed-rank test was used for comparison of continuous data between groups.  Results  After VLCD treatment, there were significant reductions in body weight, BMI, and CAP (Z=-8.515, -8.495, and -8.204, all P <0.001), and there were significant improvements in FPG, FINS, C-P, and HOMA-IR (Z=-4.215, -5.310, -4.482, and -5.422, all P<0.001). There was a significant reduction in TG after treatment (Z=-5.373, P<0.001). The China-PAR model showed significant reductions in the 10-year and lifetime risk assessment indices of cardiovascular disease in 103 patients (Z=-5.406 and -5.383, both P<0.001). The subgroup analysis based on sex showed that in the male group, there were significant differences in body weight, BMI, CAP, FPG, FINS, C-P, HOMA-IR, TG, blood pressure, waist circumference, and the risk of cardiovascular disease before and after treatment (all P<0.05), while in the female group, there were significant reductions in body weight, BMI, CAP, FPG, FINS, C-P, HOMA-IR, TC, TG, LDL-C, blood pressure, waist circumference, and the risk assessment of cardiovascular disease (all P<0.05). The subgroup analysis based on age showed that in the youth group, there were significant reductions in body weight, BMI, CAP, FPG, FINS, C-P, HOMA-IR, TG, systolic blood pressure, waist circumference, and the risk assessment of cardiovascular disease (all P<0.05); in the middle-aged group, there were significant reductions in body weight, BMI, CAP, FPG, FINS, C-P, HOMA-IR, TG, systolic blood pressure, diastolic blood pressure, waist circumference, and the risk assessment of cardiovascular disease (all P<0.05); in the elderly group, there were significant reductions in body weight, BMI, CAP, systolic blood pressure, waist circumference, and the risk assessment of cardiovascular disease (all P <0.05). After treatment, there were 43 patients with an increase in TC (41.7%), 24 patients with an increase in TG (23.3%), and 43 patients with an increase in LDL-C (41.7%); 53 patients (51.5%) showed a reduction in HDL-C; 9 patients (8.7%) showed an increase in CAP; 26 patients (25.2%) had an increase in HOMA-IR.  Conclusion  VLCD can effectively alleviate fatty liver disease and reduce insulin resistance in the treatment of MAFLD, without increasing the risk of cardiovascular disease.
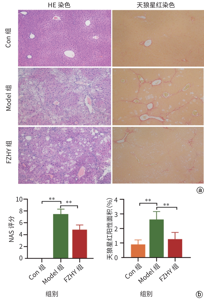
Regulatory role and mechanism of Fuzheng Huayu Capsule on scar-associated macrophages in a mouse model of liver fibrosis in metabolic associated fatty liver disease
Chen ZOU, Rutao LIN, Xiao XU, Qian HUANG, Ping LIU, Yiyang HU, Xin XIN, Qin FENG
2025, 41(12): 2536-2544. DOI: 10.12449/JCH251215
Abstract:
  Objective  To investigate the molecular mechanism of Fuzheng Huayu Capsule in improving liver fibrosis in metabolic associated fatty liver disease by regulating scar-associated macrophages (SAMs).  Methods  A total of 24 C57 mice were randomly divided into control group (Con group), Model group, and Fuzheng Huayu Capsule group (FZHY group). Mice were given a high-fat diet and intraperitoneal injection of CCl4 for six weeks to establish a model of liver fibrosis in metabolic associated fatty liver disease. The drug was given by gavage for 5 consecutive weeks since week 2 of modeling. FZHY group was administered Fuzheng Huayu Capsule via oral gavage, while the Con and Model groups received an equal volume of saline solution via oral gavage. The serum levels of liver enzymes were measured, as well as the levels of triglyceride (TG) and hydroxyproline (Hyp) in the liver. HE staining and picrosirius red staining were used to observe liver tissue. Three liver tissue samples were collected from the Model group and the FZHY group, and transcriptome sequencing was performed to investigate the molecular mechanism of Fuzheng Huayu Capsule in improving liver fibrosis in metabolic associated fatty liver disease. Western blot and RT-qPCR were used to measure the protein and/or mRNA expression levels of SAM markers (CD9 and triggering receptor expressed on myeloid cells 2 [TREM2]), profibrogenic genes (transforming growth factor-β1 [TGFβ1], platelet-derived growth factor subunit beta [PDGFβ], and TNF superfamily member 12 [TNFSF12]), and the upstream regulator activating transcription factor 3 (ATF3) in liver tissue. The serum containing Fuzheng Huayu Capsule was used for the intervention of pro-inflammatory bone marrow-derived macrophages (BMDMs) induced by lipopolysaccharide and TGF-β1, and immunofluorescence assay, Western blot, and RT-qPCR were used to measure the expression levels of TREM2 and ATF3. The independent-samples t test was used for comparison of continuous data between two groups, and a one-way analysis of variance was used for comparison between multiple groups, while the least significant difference t-test was used for further comparison between two groups.  Results  Compared with the Model group, the FZHY group had significant reductions in the levels of liver enzymes, the levels of TG and Hyp in the liver, NAS score, and Sirius Red staining-positive area (all P<0.01). The RNA-seq analysis showed that differentially expressed genes were mainly enriched in chemokine signaling pathways, and Fuzheng Huayu Capsule significantly downregulated the expression of CCL2, CX3CL1, and CX3CR1(all P<0.01). Fuzheng Huayu Capsule significantly reduced the protein and mRNA expression levels of CD9, TREM2, and ATF3 in liver tissue (all P<0.05). In vitro, Fuzheng Huayu Capsule significantly reduced the mRNA expression levels of TGFβ1, PDGFβ, and TNFSF12 in liver tissue (all P<0.01). Fuzheng Huayu Capsule also attenuated TREM2 fluorescence intensity in pro-inflammatory BMDMs and significantly reduced the mRNA and protein expression levels of ATF3 (all P<0.05).  Conclusion  Fuzheng Huayu Capsule has a marked therapeutic effect on mice with liver fibrosis in metabolic associated fatty liver disease, possibly by downregulating the expression of ATF3 and inhibiting SAMs.
Liver Fibrosis and Liver Cirrhosis
Establishment and evaluation of a predictive model for the risk of death in patients with decompensated hepatitis C cirrhosis
Na LI, Xing LIU, Ji LUO, Yuanying LI, Xiang ZHU, Jiangli PENG, Guowei MA, Shenghao LI
2025, 41(12): 2545-2552. DOI: 10.12449/JCH251216
Abstract(193) HTML (89) PDF (1416KB)(44)
Abstract:
  Objective  To construct a predictive model for the risk of 24-month mortality in patients with hepatitis C-related decompensated liver cirrhosis based on machine learning algorithms, and to compare this model with traditional Child-Pugh score and Model for End-Stage Liver Disease (MELD) score.  Methods  A total of 490 patients with hepatitis C-related decompensated liver cirrhosis who were hospitalized in The Third People’s Hospital of Kunming from January 2022 to April 2024 were enrolled and followed up to December 2024. According to the survival status of the patients during follow-up, they were divided into death group with 81 patients and survival group with 409 patients. Demographic data, comorbidities, and biochemical parameters were collected from all patients. The independent-samples t test or the Mann-Whitney U test was used for comparison of continuous data between two groups, and the chi-square test or the Fisher’s exact test was used for comparison of categorical data between groups. The Logistic regression model, the random forest model, and the XGBoost model were used for dataset training, and 10-fold cross validation was performed. The receiver operating characteristic (ROC) curve was plotted, and sensitivity, specificity, area under the ROC curve (AUC), and recall rate were calculated to assess the predictive value of the model.  Results  Among the 490 patients, there were 339 male patients (69.2%) and 151 female patients (30.8%). There were significant differences between the survival group and the death group in the proportion of patients comorbid with malignant liver tumor, chronic liver failure, hepatic encephalopathy, AIDS or hypocalcemia/hypoproteinemia, as well as the amount of ascites and the proportion of patients without medication (all P<0.05). The assessment of the predictive ability of the three machine learning models showed that the random forest model had the largest AUC of 0.811, which was significantly better than that of the Logistic regression model (0.676) and the XGBoost model (0.798), and based on both AUC and specificity, the random forest model was selected as the optimal predictive model. The variable importance analysis showed that the top 10 variables (i.e., direct bilirubin, cholinesterase, alpha-fetoprotein, prothrombin time, total bilirubin, high-density lipoprotein cholesterol, alkaline phosphatase, immunoglobulin E, carbohydrate antigen 19 - 9, and carbohydrate antigen 125) had relatively high contributions to predicting the risk of death. The ROC curve and AUC were used to compare the random forest model with MELD score and Child-Pugh score in terms of their ability to predict the risk of death in patients with hepatitis C-related decompensated liver cirrhosis, and the results showed that the random forest model had had the smallest AUC interval span, suggesting that this model had a significantly better stability than traditional scores.  Conclusion  Direct bilirubin, cholinesterase, alpha-fetoprotein, prothrombin time, total bilirubin, high-density lipoprotein cholesterol, alkaline phosphatase, immunoglobulin E, carbohydrate antigen 19-9, and carbohydrate antigen 125 are characteristic variables for the risk of 24-month death in patients with hepatitis C-related decompensated liver cirrhosis. The random forest model can significantly improve the predictive efficacy of the risk of death in such patients, with a better performance than traditional Child-Pugh score and MELD score.
Liver Neoplasm
Influencing factors for portal vein tumor thrombus in patients with primary hepatic carcinoma and establishment of a nomogram model
Yongzhen CHEN, Lixian CHANG, Yuanqiang HE, Huan MU, Danqing XU, Yingyuan ZHANG, Hongyan WEI, Yuanzhen WANG, Chunyun LIU, Li LIU
2025, 41(12): 2553-2561. DOI: 10.12449/JCH251217
Abstract(206) HTML (88) PDF (2863KB)(57)
Abstract:
  Objective  To investigate the influencing factors for portal vein tumor thrombus (PVTT) in patients with primary liver cancer (PHC), to establish a nomogram predictive model, and to assess the performance of this model.  Methods  A retrospective analysis was performed for 664 patients with the initial diagnosis of PHC who were admitted to The Third People’s Hospital of Kunming from January 2018 to December 2022, and according to the presence or absence of PVTT, they were divided into case group with 368 patients and control group with 296 patients. Related data were collected from all subjects, including general information, blood biochemical parameters, T lymphocyte subsets, routine blood test results, cytokines, thyroid function parameters, Child-Pugh score, and China Liver Cancer Staging (CNLC) stage. The t-test was used for comparison of normally distributed quantitative data between two groups, and the Mann-Whitney U test was used for comparison of non-normally distributed quantitative data between two groups; the chi-square test or the Fisher’s exact test was used for comparison of qualitative data between two groups. The Lasso regression analysis was performed for the variables with statistical significance in the univariate analysis, and the binary logistic regression analysis was performed for the screened variables to determine the influencing factors for PVTT in patients with PHC. The “rms” package was used to establish a nomogram model; the “pROC” package was used to plot the receiver operating characteristic (ROC) curve and calculate the area under the ROC curve (AUC); the “Calibration Curves” package was used to plot calibration curves, and the “rmda” package was used to plot clinical decision curves and clinical impact curves for the assessment of the predictive model.  Results  Among the 664 patients with PHC, 368 (55.42%) developed PVTT. As for the etiology of PHC, there were 575 patients with hepatitis B (86.60%) and 89 with other causes (13.40%), with hepatitis B as the main cause of PHC. Compared with the case group, the control group had significantly higher age, prealbumin (PA), cholinesterase, CD3+T cells, CD8+T cells, carcinoembryonic antigen, triiodothyronine, and free triiodothyronine (all P<0.05); compared with the control group, the case group had a significantly higher proportion of patients with Child-Pugh class B/C PHC and significantly higher levels of white blood cell count, platelet count, aspartate aminotransferase, alanine aminotransferase, gamma-glutamyl transpeptidase, alkaline phosphatase, abnormal prothrombin (PIVKA-Ⅱ), total bile acid, high-sensitivity C-reactive protein, free thyroxine (FT4), thyroxine, alpha-fetoprotein, interleukin-6, interleukin-10, and tumor necrosis factor-α (TNF-α) (all P<0.05). The logistic regression analysis showed that PIVKA-Ⅱ (odds ratio [OR]=1.968, 95% confidence interval [CI]: 1.633 — 2.370, P<0.001), PA (OR=0.994, 95% CI: 0.991 — 0.998, P=0.002), FT4OR=1.092, 95% CI: 1.030 — 1.159, P=0.003), and TNF-α (OR=1.085, 95% CI: 1.053 — 1.119, P<0.001) were independent influencing factors for PVTT in patients with PHC, and a nomogram model was established based on these factors. The nomogram model had an AUC of 0.816 (95% CI: 0.783 — 0.849), a sensitivity of 0.834, and a specificity of 0.652. The calibration curve showed that this model had good consistency in predicting the onset of PVTT in patients with PHC, while the clinical decision curve and the clinical impact curve showed that this model had good clinical practicability within a certain threshold.  Conclusion  PIVKA-Ⅱ, PA, FT4, and TNF-α are independent influencing factors for the onset of PVTT in patients with PHC, and combined measurement of these four indicators can effectively predict the risk of PVTT in patients with PHC.
Disease burden analysis of hepatoblastoma in China based on the 2021 global burden of disease database
Tao LUO, Senxin WANG, Shangru YANG, Xuean ZHAO, Wence ZHOU
2025, 41(12): 2562-2571. DOI: 10.12449/JCH251218
Abstract(175) HTML (102) PDF (8936KB)(43)
Abstract:
  Objective  To investigate the spatiotemporal changes of the disease burden of hepatoblastoma (HB) in China from 1990 to 2021, to predict future trends, and to analyze the correlation between disease burden and socioeconomic factors.  Methods  The 2021 Global Burden of Disease database was used to obtain the disease burden data of HB in China in 1990 — 2021, including the absolute numbers and age-standardized rates of incidence, mortality, and disability-adjusted life years (DALY). The Joinpoint regression model was used to analyze the temporal trends in disease burden, and an age-period-cohort (APC) model was constructed to investigate the contribution of three main factors driving the changes in disease burden. Health inequality analysis was used to investigate the correlation between disease burden and the socio-demographic index (SDI), and Autoregressive Integrated Moving Average and Bayesian Age-Period-Cohort models were established to predict the future disease burden of HB.  Results  There was a significant reduction in the disease burden of HB in China from 1990 to 2021, and the numbers of incidence, mortality, and DALY were reduced by 75.62% (42.69% globally), 86.26% (49.96% globally), and 86.32% (49.93% globally), respectively. The age-standardized incidence rate (ASIR), age-standardized mortality rate (ASMR), and age-standardized DALY rate [AS(DALY)R] of the disease were reduced by 3.90%, 4.44%, and 5.93%, respectively, with greater reductions than the global levels (2.03%, 2.19%, and 2.73%, respectively). The APC model showed that age effect (25.17%) and epidemiological trend (87.46%) were the main driving factors, and nonlinear correlation was observed between SDI and disease burden. Predictive models showed that ASIR would continue to decline after 2021, while ASMR and AS(DALY)R would remain stable.  Conclusion  There was a tendency of reduction in the disease burden of HB in China in 1990 — 2021, with age effect and epidemiological trend as the main driving factors, and the SDI correlation analysis shows that it is needed to focus on the optimization of prevention and control in regions with medium to high levels of development. Prediction results indicate the sustained effectiveness of current prevention and control strategies, but the risk of diseases in specific age groups should be closely monitored.
Activation of the cyclic guanosine monophosphate-adenosine monophosphate adenosine synthetase-stimulator of interferon genes signaling pathway regulates the cytotoxicity of γδT cells against hepatoma cells
Shuai HU, Erqiang WANG, Xiaoyong DUO, Zhi XU, Yumeng ZHANG, Shiwei XIE, Lihua RONG, Yuchen WANG, Jiang LI, Shijie ZHANG
2025, 41(12): 2572-2580. DOI: 10.12449/JCH251219
Abstract:
  Objective  To investigate the regulatory effect of the cyclic guanosine monophosphate-adenosine monophosphate adenosine synthetase (cGAS)-stimulator of interferon genes (STING) signaling pathway on the cytotoxicity of γδT cells against hepatocellular carcinoma (HCC) through in vitro experiments, and to provide new ideas for improving the efficacy of adoptive immunotherapy based on γδT cells.  Methods  Peripheral blood mononuclear cells (PBMCs) were isolated and γδT cells were multiplied, and their purity was measured. Mature γδT cells were divided into γδT group, γδT-G10 group, and γδT-H-151 group. After 24 hours of in vitro stimulation, Western blot was used to measure the expression levels of key proteins in the cGAS-STING signaling pathway, and ELISA was used to measure the concentrations of interferon-γ (IFN-γ) and tumor necrosis factor-α (TNF-α). The cells in each group were cocultured with MHCC-97H and Huh-7 cells for 6 hours, and then CCK8 assay was used to measure the survival rate of HCC cells in each group. A one-way analysis of variance was used for comparison of normally distributed continuous data between multiple groups, the Dunnett’s T3-test and the Tukey test were used for further comparision between two groups.  Results  Flow cytometry showed that the purity of γδT cells reached above 99%. Western blot showed that there was no significant difference in the expression of cGAS between the γδT group and the other two groups; compared with the γδT group, the γδT-G10 group had significant increases in the expression levels of STING, phosphorylated STING, TBK1, phosphorylated TBK1, interferon regulatory factor 3 (IRF3), and phosphorylated IRF3, while the γδT-H-151 group had significant reductions in the expression of these proteins. ELISA showed that compared with the γδT group, the γδT-G10 group had significant increases in the secretion of IFN-γ and TNF-α by γδT cells (P<0.01 and P<0.05), while the γδT-H-151 group had significant reductions in IFN-γ and TNF-α (P<0.01 and P<0.000 1). CCK-8 assay showed that compared with the γδT group, the γδT-G10 group had significant reductions in the survival rates of the two HCC cell lines (P<0.000 1), while the γδT-H-151 group showed significant increases (P<0.000 1).  Conclusion  The cGAS-STING signaling pathway can regulate the cytotoxicity of γδT cells against HCC in vitro.
Other Liver Disease
Association between corneal Kayser-Fleischer ring grading and the degree of anxiety-depression in patients with Wilson’s disease
Hui LI, Wei HE, Xuehai HUANG, Yi CHEN
2025, 41(12): 2581-2585. DOI: 10.12449/JCH251220
Abstract(157) HTML (72) PDF (901KB)(43)
Abstract:
  Objective  To investigate the impact of different grades of corneal Kayser-Fleischer (K-F) ring on the severity of anxiety and depression in patients with Wilson’s disease (WD).  Methods  A total of 107 patients with WD who received consultation in Department of Ophthalmology, The First Affiliated Hospital of Anhui University of Chinese Medicine, from August 2012 to February 2020 were enrolled, and a slit-lamp microscope was used to determine the grade of corneal K-F ring (grades 0 — 4). The patients were instructed to complete Hamilton Anxiety Scale (HAMA) and Hamilton Depression Scale (HAMD) assessments, and the correlation between K-F ring grade and the scores of the two scales was analyzed, as well as the differences in the scores of the two scales between the patients with different K-F ring grades. An analysis of variance was used for comparison of normally distributed continuous data between multiple groups, and the least significant difference t-test or the Dunnett’s T3 test was used for further comparison between two groups; the Kruskal-Wallis H test was used for comparison of non-normally distributed continuous data between multiple groups, and the Bonferroni method was used for further comparison between two groups. The Spearman correlation analysis was used to investigate the correlation between K-F ring grade and HAMA/HAMD score.  Results  Among the 107 patients with WD, the patients with grade 0 K-F ring accounted for the lowest proportion of 4.6% (5/107), while the patients with grade 4 K-F ring accounted for the highest proportion of 41.1% (44/107), and the patients with grade 1 K-F ring, grade 2 K-F ring, and grade 3 K-F ring accounted for 16.8% (18/107), 22.4% (24/107), and 14.9% (16/107), respectively. HAMA and HAMD scores tended to increase with the increase in K-F ring grade (F=16.340 and 12.760, both P <0.001). The Spearman correlation analysis showed that K-F ring grade was positively correlated with HAMA and HAMD scores (r=0.528 9 and 0.480 1, both P<0.01).  Conclusion  There is a certain correlation between corneal K-F ring grading and HAMD/HAMA scores, which can partially reflect the severity of anxiety and depression in patients. Therefore, clinicians should emphasize K-F ring examination and its association with clinical symptoms.
Biliary Disease
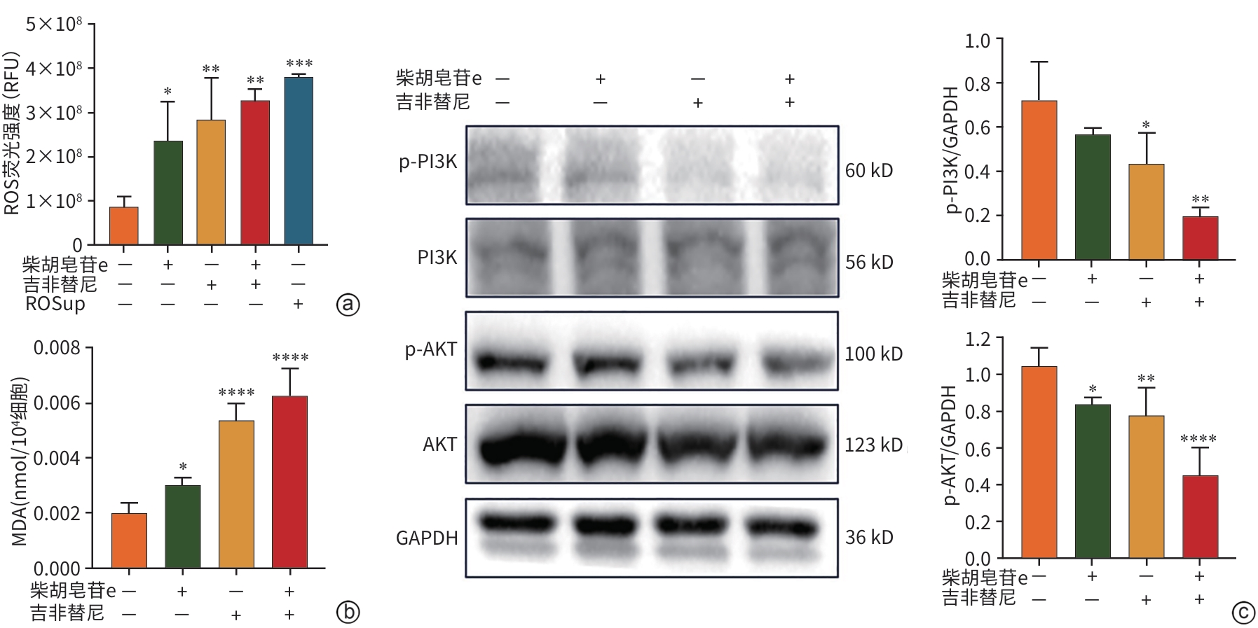
Mechanism of action of saikosaponin e combined with gefitinib in treatment of cholangiocarcinoma: A study based on network pharmacology
Shan LI, Fangyan ZHAO, Xinyue CHENG, Xianghua LIU, Yi YANG, Yuanqian MIN, Tianxing LI, Baoping LU
2025, 41(12): 2586-2596. DOI: 10.12449/JCH251221
Abstract(213) HTML (99) PDF (63060KB)(56)
Abstract:
  Objective  To investigate the pharmacological effect and molecular mechanism of saikosaponin e combined with gefitinib in the treatment of cholangiocarcinoma based on network pharmacology and cell experiment.  Methods  SwissTargetPrediction was used to obtain the drug action targets of saikosaponin a, b1, c, d, e, f, g, and h, and GeneCards was used to obtain the targets of cholangiocarcinoma. The intersecting targets of these two groups of targets were imported into STRING to construct a protein-protein interaction network. WEB-based GEne SeT AnaLysis Toolkit was used to perform gene ontology (GO) functional enrichment analysis and Kyoto Encyclopedia of Genes and Genomes (KEGG) pathway enrichment analysis and construct a target-pathway network, and Pathview R package was used to label the targets covered by the key pathways. CytoScape 3.7.2 was used to construct a drug-disease-target network, and molecular docking was performed between effective compounds and key targets. Human cholangiocarcinoma RBE cells were randomly divided into control group, saikosaponin e group, gefitinib group, and saikosaponin e+gefitinib group. MTT assay, EdU, scratch assay, and the fluorescence probe method were used to measure the proliferation and migration of RBE cells and the production of reactive oxygen species (ROS) and malondialdehyde (MDA), and Western blotting was used to measure the protein expression levels of phosphatidylinositol 3-kinase (PI3K), phosphorylated PI3K (p-PI3K), protein kinase B (AKT), and phosphorylated AKT (p-AKT). Logistic regression was used to calculate half-maximal inhibitory concentration (IC50); A one-way analysis of variance and repeated measures analysis of variance were used for comparison of continuous data between multiple groups, and the Tukey test was used for further comparison between two groups; the least significant difference t-test was used for comparison of simple effect.  Results  A total of 34 saikosaponin targets and 1 815 cholangiocarcinoma targets were obtained, resulting in 12 intersecting targets. The topological analysis showed that saikosaponins e and c had a stronger efficacy against cholangiocarcinoma, with the key targets of STAT3, IL-2, and PPP2CA, and saikosaponin e and c could respectively dock with the corresponding amino acid sites of STAT3, IL-2, and PPP2CA by forming hydrogen bonds. The GO functional enrichment analysis obtained 13 biological processes, 16 cellular components, and 13 molecular functions, and the KEGG pathway enrichment analysis obtained 9 pathways, among which PI3K-AKT and EGFR tyrosine kinase inhibitor resistance were the key signaling pathways, covering multiple targets including STAT3, IL-2, and PPP2CA. Saikosaponin e and gefitinib had an IC50 of 16.89 μmol/L and 27.49 μmol/L, respectively, on human cholangiocarcinoma RBE cells at 24 hours of treatment, and compared with the control group, saikosaponin e treatment for 24 hours significantly reduced the proliferation rate (53.46%±6.42% vs 100.00%±6.00%, P<0.000 1) and migration rate (12.06%±1.76% vs 16.01%±1.89%, P<0.05) of human cholangiocarcinoma RBE cells, increased the production of ROS and MDA (both P<0.05), and downregulated the protein expression of p-AKT (P<0.05), while its combination with gefitinib had a significantly greater effect (all P<0.05).  Conclusion  This study shows that saikosaponin e and gefitinib exert a therapeutic effect on cholangiocarcinoma by inhibiting the PI3K-AKT signaling pathway, which provides theoretical support and a scientific basis for further research and clinical application of saikosaponins.
Pancreatic Disease
Value of C-reactive protein-albumin-lymphocyte index, C-reactive protein-to-lymphocyte ratio, and C-reactive protein-to-serum calcium ratio in evaluating the severity and prognosis of patients with acute pancreatitis
Jun XIA, Liang SUN, Jun WANG, Peng PENG
2025, 41(12): 2597-2606. DOI: 10.12449/JCH251222
Abstract(272) HTML (97) PDF (1456KB)(50)
Abstract:
  Objective  To investigate the association of C-reactive protein-albumin-lymphocyte (CALLY) index, C-reactive protein-to-lymphocyte ratio (CLR), and C-reactive protein-to-serum calcium ratio (CCR) with the severity and prognosis of patients with acute pancreatitis (AP), to construct a prognosis prediction model, and to provide a reference for clinical assessment of severity and prognosis.  Methods  A total of 407 AP patients who were diagnosed and treated in The First Affiliated Hospital of Soochow University from June 2021 to June 2024 were enrolled as subjects, and according to the 2012 revised edition of Atlanta classification standard and the prognosis within 6 months, the patients were divided into mild disease group with 146 patients, moderate disease group with 137 patients, and severe disease group with 124 patients, as well as into poor prognosis group with 54 patients and good prognosis group with 353 patients. Clinical data were collected from all subjects, and CALLY index, CLR, and CCR values were calculated. The independent samples t-test was used for comparison of continuous data between two groups, and a one-way analysis of variance was used for comparison between three groups; the chi-square test was used for comparison of categorical data between groups. A Pearson correlation analysis was used to investigate the correlation of CALLY index, CLR, and CCR with the severity and prognosis of AP patients, and the Cox regression analysis was used to identify the influencing factors for poor prognosis of AP patients. The Kaplan-Meier survival curve was used to analyze the influence of CALLY index, CLR, and CCR on the overall survival (OS) of AP patients; R software was used to construct a nomogram model for predicting poor prognosis of AP patients based on risk factors identified by the multivariate Cox regression analysis. The receiver operating characteristic (ROC) curve was plotted to analyze the value of each independent factor used alone or in combination in predicting the poor prognosis of AP patients.  Results  There were significant differences between the mild, moderate, and severe disease groups in Computed Tomography Severity Index, Bedside Index for Severity in Acute Pancreatitis (BISAP) score, Acute Physiology and Chronic Health Evaluation Ⅱ(APACHE Ⅱ) score, blood urea nitrogen, serum lactic acid, serum amylase, serum lipase, CALLY index, CLR, and CCR, and there were also significant differences in these indicators between the good prognosis group and the poor prognosis group (all P<0.05). The Pearson correlation analysis showed that CALLY index was negatively correlated with the severity and prognosis of AP (rs =-0.134 and -0.280,both P<0.05), while CLR and CCR were positively correlated with the severity and prognosis of AP (rs =0.213 — 0.345,all P<0.05). The Cox regression analysis confirmed that high BISAP score(HR=2.246,95%CI:1.412 — 3.570), high APACHE Ⅱ score(HR=1.202,95%CI:1.089 — 1.327), high serum amylase level(HR=1.004,95%CI:1.001 — 1.007),high serum lipase level(HR=1.005,95%CI:1.002 — 1.008), low CALLY inde(HR=0.536,95%CI:0.397 — 0.724), high CLR(HR=1.033,95%CI:1.011 — 1.055), and high CCR (HR=1.144,95%CI:1.062 — 1.232)were independent risk factors for the poor prognosis of AP (all P<0.05). The Kaplan-Meier survival curve analysis showed that the patients with low CALLY index had a shorter median OS than those with high CALLY index (Log-rank χ2=31.934, P<0.001), and the patients with high CLR and CCR had a significantly shorter median OS than those with low CLR and CCR, respectively (Log-rank χ2=34.201 and 28.023, both P<0.001). The nomogram model constructed based on the multivariate analysis showed excellent predictive efficiency, with an area under the ROC curve (AUC) of 0.977, which was significantly better than the AUC of each indicator used alone (P<0.05), when the cut-off value is 0.107,the sensitivity and specificity of the nomogram model reached 0.963 and 0.898, respectively. Internal validation confirmed that the model had good stability, with a C-index of 0.954, and the decision curve analysis showed that it had satisfactory clinical applicability.  Conclusion  CALLY index, CLR, and CCR are correlated with the severity and prognosis of AP patients. High BISAP score, high APACHE II score, high serum enzyme level, low CALLY index, high CLR, and high CCR are independent risk factors for poor prognosis, and the nomogram model constructed based on multiple factors has high predictive efficiency and can achieve early accurate prediction of the prognosis of AP patients, thereby providing a practical tool for individualized intervention and dynamic risk assessment in clinical practice.
Review
Research advances in the prevention and treatment of metabolic associated fatty liver disease by alleviating copper overload-induced mitochondrial dysfunction
Yutong FANG, Yifan CHEN, Xiaomi YANG, Biyu GUO, Huiluan YANG, Yutong BAI, Zheng YAO
2025, 41(12): 2607-2614. DOI: 10.12449/JCH251223
Abstract(264) HTML (129) PDF (1107KB)(44)
Abstract:
Copper is one of the essential trace elements in the human body and participates in mitochondrial respiration, energy metabolism, and antioxidant processes in the form of coenzymes or copper-containing proteins. Intracellular copper accumulation mainly manifests as abnormal copper accumulation within mitochondria, leading to abnormalities in mitochondrial morphology and function. the pathological process of metabolic associated fatty liver disease (MAFLD) is closely associated with mitochondrial dysfunction. Studies have confirmed that copper overload can promote the development and progression of MAFLD; however, there is still a lack of systematic summarization of the mechanisms by which copper overload induces mitochondrial dysfunction and leads to MAFLD and related advances in drug research. In this context, this article reviews the research advances in the mechanisms by which copper overload induces mitochondrial dysfunction and leads to MAFLD, as well as related advances in drug research, in order to provide a theoretical reference for further investigation and treatment of MAFLD.
Mechanism of action of mitochondrial dysfunction in metabolic associated fatty liver disease and the current status of research on traditional Chinese medicine
Dan WANG, Jinxue ZHANG, Lining SU, Hongmei LI, Bingrui XU, Yajing LI, Xueqian LAI, Junhong LIU
2025, 41(12): 2615-2621. DOI: 10.12449/JCH251224
Abstract(311) HTML (169) PDF (796KB)(43)
Abstract:
Metabolic associated fatty liver disease (MAFLD) is a chronic liver disease closely associated with metabolic disorders, and the onset of MAFLD is associated with lipotoxicity caused by the accumulation of a large amount of fat in hepatocytes. Recent studies have shown that mitochondrial dysfunction is an important mechanism for the development of MAFLD, involving a series of pathological changes including mitochondrial oxidative stress, abnormal mitochondrial autophagy, abnormal mitochondrial apoptosis, and abnormal mitochondrial lipid metabolism. Based on the two characteristics of holistic view and syndrome differentiation-based treatment, traditional Chinese medicine (TCM) plays an important role in the prevention and treatment of MAFLD. This article reviews the role of mitochondrial dysfunction in various pathological processes of MAFLD and the intervention effect of TCM, in order to provide new ideas and methods for TCM in the prevention and treatment of MAFLD from the perspective of mitochondrial function.
The metabolic reprogramming mechanisms of liver fibrosis in metabolic associated fatty liver disease
Yuantong CHEN, Jing DOU, Xue LI, Kuerban SUBINUER, Xiaozhong WANG
2025, 41(12): 2622-2628. DOI: 10.12449/JCH251225
Abstract(257) HTML (112) PDF (917KB)(49)
Abstract:
There has been a gradual increase in the incidence rate of metabolic associated fatty liver disease (MAFLD)-related liver fibrosis year by year, and its progression may eventually lead to liver cirrhosis and even liver cancer. There are changes in the pathways of glucose metabolism, lipid metabolism, and protein metabolism, which provide necessary energy support for the activation of hepatic stellate cells (HSC), thereby promoting the progression of liver fibrosis. Existing studies have clarified the specific mechanisms of metabolic reprogramming in regulating the activation of HSC such as the activation of HSC and enhanced glycolysis, the formation of a lactic acid microenvironment, the inhibition of fatty acid β-oxidation, the accumulation of lipotoxicity, enhanced glutamine decomposition, and changes in protein stability and S-adenosylmethionine (SAM). Moreover, the formation of a lactic acid microenvironment, the accumulation of lipotoxicity, and changes in SAM can accelerate the progression of liver fibrosis. This article systematically reviews the changes in related metabolic pathways in MAFLD-related liver fibrosis and the synergistic effect between them, in order to provide an important theoretical basis for revealing the pathogenesis of this disease and developing new treatment strategies.
Latest research advances in intestinal flora-based targeted therapy for autoimmune liver disease
Zhaojie ZHANG, Ting ZHANG, Xiangxiang LI, Huiji GUO, Zhen WANG, Meixia YANG, Chunhuan KOU, Yong ZHAO, Xiaohui YU, Jiucong ZHANG
2025, 41(12): 2629-2635. DOI: 10.12449/JCH251226
Abstract(241) HTML (108) PDF (785KB)(52)
Abstract:
The pathogenesis of autoimmune liver disease (AILD) remains unclear, leading to significant individual differences in clinical outcomes. Recent studies have shown that intestinal flora and its metabolites are closely associated with the development, progression, and pathogenesis of AILD through the gut-liver axis, and targeted therapy based on intestinal flora has provided new strategies for the treatment of AILD. This article systematically reviews the potential pathogenic mechanism of intestinal flora in AILD and the latest research advances in targeted therapeutic strategies and explores the possibility of targeted regulation of intestinal microecology to achieve treatment by analyzing the molecular mechanisms of immune disorders mediated by imbalance of intestinal flora, in order to provide a theoretical basis for clinical diagnosis and treatment.
Role of integrins in liver fibrosis: From mechanism to treatment
Yuyun SONG, Ke YIN, Feng LIU
2025, 41(12): 2636-2642. DOI: 10.12449/JCH251227
Abstract(242) HTML (84) PDF (727KB)(42)
Abstract:
Liver fibrosis is a key pathological stage in the progression of chronic liver diseases to liver cirrhosis and is characterized by excessive extracellular matrix (ECM) deposition. As critical mediators of cell-ECM crosstalk, integrins play an important role in the development and progression of liver fibrosis. The integrin family includes α and β subunits and is widely involved in the regulation of cell adhesion, migration, and signal transduction. In the process of liver fibrosis, the expression of integrins is upregulated, and its interaction with ECM promotes the activation and proliferation of hepatic stellate cells, further accelerating the synthesis and deposition of ECM. The increases in the expression of integrins αVβ3 and αVβ6 are closely associated with the activation of the TGF-β signaling pathway. In addition, integrins also modulate inflammatory responses and tissue regeneration and repair in the liver. Based on the above mechanisms, integrins have become the potential targets for the treatment of liver fibrosis, and inhibitors targeting integrins may become a new strategy for the treatment of liver fibrosis.
Role of mitochondrial dysfunction in primary liver cancer and related traditional Chinese medicine intervention strategies: An analysis based on “deficient Qi retention and stagnation”
Xiaoli LIU, Jingjing HUANG, Hongna HUANG, Dewen MAO, Huanling CHEN, Lingling LUO, Lu LU, Jie YU, Jing HUANG
2025, 41(12): 2643-2648. DOI: 10.12449/JCH251228
Abstract(287) HTML (94) PDF (831KB)(38)
Abstract:
Primary liver cancer is a highly prevalent malignant tumor worldwide, with limited treatment options and individual difference in treatment outcome, and therefore, there is an urgent need to explore new treatment strategies. Traditional Chinese medicine (TCM) has unique advantages in the treatment of liver cancer, and “deficient Qi retention and stagnation” is one of the important syndrome differentiation-based theories. Based on this theory, it is believed that the development and progression of liver cancer are closely associated with Qi deficiency and Qi stagnation, and in particular, “deficient Qi retention and stagnation” can lead to Qi-blood disharmony in the liver, thereby impairing liver function and metabolism. Recent years have shown that mitochondria play a pivotal role in cellular energy metabolism, oxidative stress, and cell apoptosis, and abnormal mitochondrial function is closely associated with the development and progression of liver cancer. With reference to the latest research advances in the theory of “deficient Qi retention and stagnation” and mitochondrial function, this article discusses their association and role in primary liver cancer and summarizes the research advances in TCM treatment of primary liver cancer by regulating mitochondrial function, in order to provide a reference for future clinical studies.
Application value of predictive models for the diagnosis and prognosis of intrahepatic cholangiocarcinoma
Yizhao LIU, Jinyong HAO, Xia LEI, Hanzhou BAO, Jihua YANG, Qiao WANG, Xiaojun HUANG
2025, 41(12): 2649-2655. DOI: 10.12449/JCH251229
Abstract(191) HTML (91) PDF (717KB)(38)
Abstract:
Intrahepatic cholangiocarcinoma (iCCA) is characterized by an insidious onset, strong invasiveness, and a poor prognosis, and there are great challenges in the clinical diagnosis and treatment of iCCA. It is urgently needed in clinical practice to optimize the treatment strategies for this disease and implement individualized diagnosis and treatment. By quantifying the prognostic risks and potential treatment benefits of patients, clinical predictive models can provide objective evidence for clinical decision-making, showing an increasingly important application value in the diagnosis and treatment of iCCA. This article systematically reviews the recent research advances in the predictive models for the diagnosis and treatment of iCCA and their clinical application value, in order to enhance the clinical translational value of these models and provide support for developing individualized treatment regimens.
Mechanism and treatment prospects of macrophage metabolic reprogramming in regulating acute-on-chronic liver failure
Ying XIAO, Luyuan MA, Shilong DONG, Yadong WANG, Caiyan ZHAO
2025, 41(12): 2656-2660. DOI: 10.12449/JCH251230
Abstract(269) HTML (94) PDF (604KB)(44)
Abstract:
Metabolic reprogramming is a prerequisite and important marker for macrophage phenotypic transition, and different macrophage phenotypes are involved in the pathogenesis of acute-on-chronic liver failure (ACLF) by regulating the balance of inflammatory responses, thereby becoming the potential targets for ACLF treatment. This article focuses on the changes in macrophage metabolic reprogramming during ACLF and its mechanism in mediating ACLF severity and prognosis by regulating energy metabolism and immune inflammation, in order to provide new ideas and directions for developing prevention and control strategies for ACLF based on macrophage metabolic reprogramming.
Molecular mechanisms of liver regeneration and its therapeutic potential in the context of liver failure
Xianru ZHU, Feng REN
2025, 41(12): 2661-2666. DOI: 10.12449/JCH251231
Abstract(267) HTML (88) PDF (652KB)(52)
Abstract:
Liver failure is a clinical syndrome in which the speed of hepatocyte necrosis exceeds the self-repair capacity of the liver and is caused by various pathogenic factors, posing a serious threat to human health. Due to the complex pathogenesis, high incidence rate, and high mortality rate of liver failure and a lack of effective treatment methods, the treatment of liver failure remains a global challenge and a difficult issue. As an important mechanism by which the liver responds to liver injury, liver regeneration is one of the key factors for successful treatment of liver failure patients and plays a vital role in the development and prognosis of liver failure. Liver regeneration is an extremely complex biological process involving multiple cytokines and transcription factors, which jointly promote hepatocyte proliferation and tissue repair by activating various signaling pathways. This article systematically reviews the molecular mechanism of liver regeneration in liver failure, emphasizes the key role of cytokines (such as interleukin-6, tumor necrosis factor-α, and hepatocyte growth factor) and related signaling pathways in regulating hepatocyte proliferation and tissue repair, and explores the therapeutic potential of liver regeneration in the context of liver failure, in order to provide a reference for the basic research on liver regeneration in liver failure.
The regulatory mechanism of lactylation modification in chronic liver disease
Biqing RONG, Yang ZHENG, Jiahui WANG, Lei WANG, Shujuan LUO, Wanruo WAN, Shiquan YANG, Rongwu ZHANG, Huaye XIAO
2025, 41(12): 2667-2674. DOI: 10.12449/JCH251232
Abstract(339) HTML (113) PDF (2063KB)(44)
Abstract:
Chronic liver disease refers to the pathological process in which the liver is affected by various pathogenic factors for a long time, gradually leading to hepatitis, hepatic fibrosis, liver cirrhosis, and even hepatocellular carcinoma, and it is a group of complex refractory diseases that severely impairs liver function. As a novel post-translational and epigenetic modification, lactylation modification dynamically regulates gene transcriptional expression and downstream cellular function through the covalent binding of lactate to lysine residues on target proteins. Recent studies have shown that chronic liver disease is often accompanied by abnormal lactate metabolism. As a key metabolic product of the liver, lactate holds a significant research value, and lactylation modification plays a pivotal role in metabolic reprogramming, immune regulation, and fibrogenesis through metabolic-epigenetic interactions. This article introduces the epidemiology of chronic liver disease and reviews the molecular mechanism of lactylation modification and its regulatory effect on hepatocyte metabolism, gene pathways, and hepatic stellate cell activation, as well as its potential as a diagnostic biomarker and a therapeutic target, in order to provide new insights into the biochemical and molecular biological mechanisms of lactylation modification in chronic liver disease.
Research advances in combined blockade therapy for programmed cell death-1 and cytotoxic T-lymphocyte-associated antigen 4 in pancreatic cancer
Wenke QIN, Kongyuan WEI, Xuean ZHAO, Wence ZHOU, Hui ZHANG
2025, 41(12): 2675-2680. DOI: 10.12449/JCH251233
Abstract(210) HTML (126) PDF (676KB)(38)
Abstract:
Pancreatic cancer is a highly malignant tumor of the digestive system with an extremely poor prognosis, and traditional treatment methods have a limited effect in prolonging the survival time of patients. In recent years, ground-breaking advances have been achieved for immune checkpoint inhibitors (ICI) in a variety of solid tumors, among which programmed cell death-1 (PD-1) and cytotoxic T-lymphocyte-associated antigen 4 (CTLA-4) have attracted much attention as major immune checkpoint targets. Although single-agent treatment with PD-1 or CTLA-4 inhibitor has an unsatisfactory effect in PC, the strategy of dual blockade has shown greater therapeutic potential. Starting from the immune microenvironment of PC, this article systematically reviews the biological characteristics of PD-1 and CTLA-4 and the current status of their single-agent applications, discusses the research advances and challenges in dual-targeted therapy for PC, and proposes the prospects for future development in this field.
Introduction of High - quality Articles in Foreign Journals
Hepatology|Cardiovascular-kidney-metabolic syndrome and the risk of liver fibrosis progression and liver-related events in MASLD
2025, 41(12): 2621-2621. DOI: 10.12449/JCH2512.gwqkjpwzjj1
Abstract(146) HTML (47) PDF (1285KB)(48)
Abstract:
Journal of Advanced Research|Neutrophil extracellular traps-triggered hepatocellular senescence exacerbates lipotoxicity in non-alcoholic steatohepatitis
2025, 41(12): 2642-2642. DOI: 10.12449/JCH2512.gwqkjpwzjj2
Abstract(145) HTML (50) PDF (890KB)(39)
Abstract:
Liver International|IL-25 improves MAFLD by suppressing the Notch signalling in hepatic macrophages
2025, 41(12): 2674-2674. DOI: 10.12449/JCH2512.gwqkjpwzjj3
Abstract(108) HTML (43) PDF (902KB)(38)
Abstract:
Acknowledgements
Current reviewers
2025, 41(12): 2468-2468. DOI: 10.12449/JCH2512.zhixie
Abstract(103) HTML (54) PDF (880KB)(36)
Abstract: