中文English
ISSN 1001-5256 (Print)
ISSN 2097-3497 (Online)
CN 22-1108/R

Vol.41 No.11 (301 in total) Nov. 2025

Theme Issue: Hepatology in the Digital Era

Executive Chief Editor: LIU Hui

The Third Affiliated Hospital of Navy Medical University

Display Method:
Editorial
Application of artificial intelligence combined with multimodal image fusion technology in liver surgery
Xiaoqin WU, Zhenguang WANG, Hui LIU
2025, 41(11): 2201-2206. DOI: 10.12449/JCH251101
Abstract(493) HTML (125) PDF (732KB)(103)
Abstract:
Globally, the incidence and mortality rates of liver cancer rank among the highest, posing a serious threat to the life and health of people. This article elaborates on the principles and characteristics of multimodal image fusion technology and artificial intelligence technology, analyzes their specific application in liver surgery, and highlights their clinical value and future development prospects, in order to provide a reference for the surgical diagnosis and treatment of liver diseases.
Expert Forum
Digital biopsy for liver diseases: A review of technological advances and application prospects
Yang ZHOU, Zhenwei CHEN, Hanying SHI, Kongying LIN, Yingchao WANG, Yongyi ZENG
2025, 41(11): 2207-2212. DOI: 10.12449/JCH251102
Abstract(350) HTML (128) PDF (696KB)(95)
Abstract:
Digital biopsy for liver diseases is characterized by the deep integration of artificial intelligence (AI) technologies and large-scale liver disease data, through which intelligent analytics are applied to support clinical decision-making and full-cycle management. This article reviews the AI technical framework based on standardized data governance and centered on multimodal large medical models, covering the application of natural language processing, knowledge map, generative AI, and large language models in the establishment of databases for specialty diseases, diagnosis, prognosis prediction, treatment, and automated medical documentation. This article also discusses the application prospects of this framework in medical education, scientific research, and healthcare management. Although this technique shows broad application potential, it still faces challenges in areas such as multi-center data integration, model interpretability, ethics, and data security. In the future, a smart ecosystem with closed-loop optimization and human-AI collaboration should be established to promote the comprehensive implementation of digital biopsy in the whole process of medicine, education, research, and management, thereby providing help for the precise prevention and control and holistic health management of liver diseases.
Application of artificial intelligence in metabolic associated fatty liver disease
Chao SUN, Jiangao FAN
2025, 41(11): 2213-2217. DOI: 10.12449/JCH251103
Abstract(430) HTML (155) PDF (648KB)(120)
Abstract:
With the prevalence of obesity and metabolic syndrome, metabolic associated fatty liver disease (MAFLD) has become one of the most common chronic liver diseases in China and globally. Traditional diagnostic and monitoring methods rely on liver biopsy, imaging techniques, and serological markers, and their application is limited by invasiveness, high costs, and insufficient sensitivity. In recent years, the rapid development of artificial intelligence (AI) technology in the medical field has provided new ideas for the diagnosis and treatment of MAFLD. This article explores the application of AI technology in areas such as models for the diagnosis of MAFLD, the prediction of disease progression, and digital therapeutics, in order to provide a reference for the diagnosis and management of MAFLD.
Application and challenges of artificial intelligence in prediction and prognosis systems for liver failure
Meiqian HU, Jun LI
2025, 41(11): 2218-2226. DOI: 10.12449/JCH251104
Abstract(408) HTML (154) PDF (765KB)(88)
Abstract:
Liver failure is a severe liver injury caused by multiple factors, leading to significant impairment or decompensation of the liver’s synthetic, detoxification, metabolic, and biotransformation functions, and it is a group of clinical syndromes with the main manifestations of jaundice, coagulation disorder, hepatorenal syndrome, hepatic encephalopathy, and ascites. Early and accurate prognostic prediction is crucial for improving the clinical outcome of patients. In recent years, artificial intelligence (AI)-based early warning and prediction models are gradually transforming the traditional diagnostic and therapeutic approaches. This article systematically reviews the advances in the application of machine learning-based early warning and prediction models in acute liver failure and acute-on-chronic liver failure, and related models have shown good performance in risk stratification and prognosis prediction. With the continuous development of related technologies, AI is expected to provide new opportunities for the early intervention and precise treatment of liver failure, thereby significantly improving the prognosis of patients.
Application of artificial intelligence in clinical trials of liver diseases: A methodological perspective
Lichen SHI, Ruishi FENG, Jidong JIA, Hong YOU, Yuanyuan KONG
2025, 41(11): 2227-2234. DOI: 10.12449/JCH251105
Abstract(415) HTML (160) PDF (627KB)(76)
Abstract:
In recent years, the exploration and development of artificial intelligence (AI) technology in clinical trials for liver diseases have promoted the continuous innovation of research methods and processes in this field. AI has gradually become an important technical tool for various links of clinical trial including patient selection, risk stratification, endpoint evaluation, and result interpretation. Nevertheless, the standardized integration of AI into clinical trials still faces the methodological challenges such as data quality control, model interpretability, and causal inference. From the perspective of methodology, this article systematically reviews the principal application scenarios of AI as an object under investigation (validation trials) and as a research tool (supportive trials) in clinical trials for liver diseases, as well as the major methodological challenges of AI-related clinical trials along and the corresponding solution strategies, in order to provide methodological guidance for promoting the scientific and standardized implementation of AI technologies.
Hotspot·Perspective·Viewpoint
Metabolic and alcohol-associated liver disease: A novel liver disease entity
Yue FENG, Hongqin XU, Panshili HAN, Tao LIU, Yanhang GAO
2025, 41(11): 2235-2239. DOI: 10.12449/JCH251106
Abstract(463) HTML (204) PDF (625KB)(101)
Abstract:
The term “metabolic and alcohol-related liver disease (MetALD)” recently proposed emphasizes the synergistic role of metabolic dysfunction and alcohol exposure in the progression of liver injury. Although this theoretical framework improves the understanding of the multifactorial and complex nature of liver disease, its clinical application still faces numerous new challenges in diagnosis and treatment. This article summarizes the latest evidence for the prevalence, potential pathogenesis, clinical diagnostic markers, and treatment of MetALD and particularly emphasizes the urgency to develop reliable preclinical models that can accurately simulate the intricate pathophysiology of this disease due to various factors. This article also provides a systematic evaluation of emerging therapies including fecal microbiota transplantation and nutritional interventions and proposes the future directions for drug innovation in MetALD.
Guideline
Multidisciplinary expert consensus on diagnosis and treatment of hyperthyroidism with abnormal liver function
Chinese Pharmacological Society Professional Committee of Drug‑induced Diseases, Section of Clinical Toxicology of Chinese Society of Toxicology, Editorial Committee of Adverse Drug Reactions Journal
2025, 41(11): 2240-2247. DOI: 10.3760/cma.j.cn114015-20250302-00109
Abstract(1057) HTML (459) PDF (777KB)(198)
Abstract:
Hyperthyroidism combined with abnormal liver function is a tricky problem in clinical diagnosis and treatment, which mainly includes hyperthyroidism⁃related liver injury, liver injury caused by antithyroid drugs (ATD), and other liver diseases associated with hyperthyroidism. Chinese Pharmacological Society Professional Committee of Drug⁃induced Diseases, Section of Clinical Toxicology of Chinese Society of Toxicology, and the Editorial Committee of Adverse Drug Reactions Journal organized relevant experts majoring in endocrinology, hepatology, and clinical pharmacy to jointly discuss and formulate this consensus based on a systematic review of relevant research progress at home and abroad, combined with the actual clinical situation in China. This consensus systematically expounds the epidemiology, pathogenesis, clinical characteristics, diagnosis and differential diagnosis, monitoring and treatment of hyperthyroidism with liver dysfunction, and puts forward recommendations for diagnosis and treatment, aiming to help clinicians make reasonable decisions in the prevention, diagnosis and treatment of hyperthyroidism combined with abnormal liver function, and improve the level of clinical diagnosis and treatment.
An excerpt of AASLD practice statement on the evaluation and management of metabolic dysfunction-associated steatotic liver disease in children
Jiacheng LIU, Huiying RAO
2025, 41(11): 2248-2251. DOI: 10.12449/JCH251108
Abstract(469) HTML (174) PDF (531KB)(89)
Abstract:
In March 2025, the American Association for the Study of Liver Diseases published its latest practice statement on metabolic dysfunction-associated steatotic liver disease (MASLD) in children. Compared with previous guidelines, this statement adopts the latest nomenclature and diagnostic criteria for MASLD, emphasizes hepatic steatosis in the presence of at least one cardiovascular metabolic risk factor, and elaborates on the unique epidemiological characteristics, pathophysiological patterns, and natural history of pediatric MASLD. Based on evidence-based medicine, the statement provides comprehensive guidance on the screening, diagnosis, treatment and monitoring of MASLD in children and emphasizes that lifestyle interventions form the cornerstone of treatment, and at present, there are still no drugs approved for the treatment of MASLD in children. This article gives an excerpt of the key recommendations in the practice statement.
An excerpt of management of acute variceal bleeding:updated APASL guidelines (2025 edition)
Lijuan FENG, Min WANG, Guanhua ZHANG, Yuhong SUO, You DENG, Fuliang HE, Yu WANG, Jidong JIA
2025, 41(11): 2252-2257. DOI: 10.12449/JCH251109
Abstract(615) HTML (144) PDF (595KB)(141)
Abstract:
On August 31, 2025, the Asian Pacific Association for the Study of the Liver (APASL) updated and released management of acute variceal bleeding: updated APASL guidelines (2025 edition), which systematically elaborates on the definition, diagnosis, assessment, and treatment of acute variceal bleeding. This article gives an excerpt of the recommendations in this guideline.
Viral Hepatitis
High-risk factors for significant liver histopathological damage in patients with indeterminate phase of chronic HBV infection
Wenchang WANG, Xuyang LI, Chunyan WANG, Mengwen HE, Yifan GUO, Yiming FU, Miao LIU, Dong JI
2025, 41(11): 2258-2264. DOI: 10.12449/JCH251110
Abstract(323) HTML (110) PDF (850KB)(91)
Abstract:
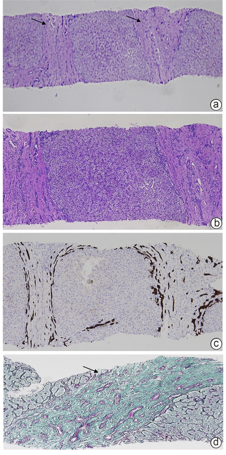
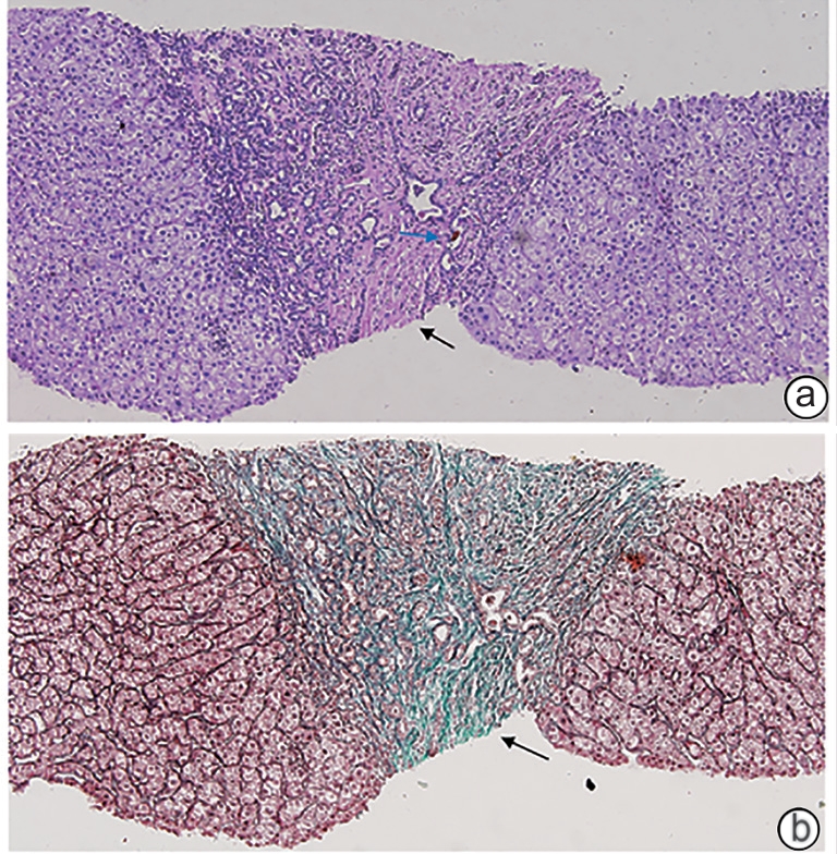
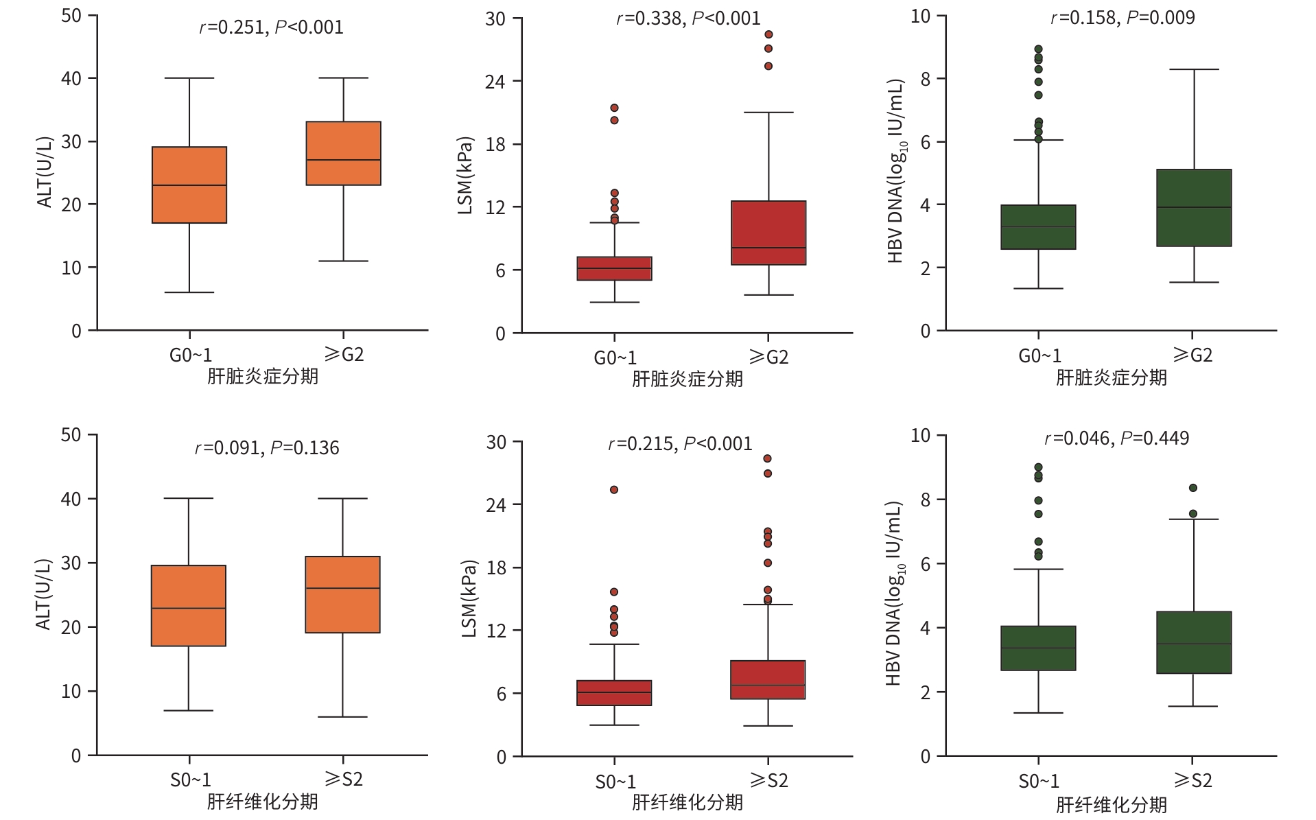
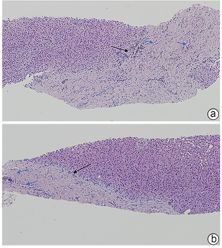
  Objective  To investigate the features of liver histopathological damage in patients with indeterminate phase of chronic HBV infection, as well as the timing for initiating antiviral therapy in such patients.  Methods  A retrospective screening was performed for the patients with chronic HBV infection who were hospitalized in The Fifth Medical Center of Chinese PLA General Hospital and underwent liver biopsy from March 2018 to April 2022, among whom the patients who met the criteria for indeterminate phase defined in Chinese guidelines for chronic hepatitis B prevention and treatment (2022 edition) were enrolled, and their clinical data were collected. Liver histopathological stage was determined using the Scheuer scoring system, with stages 0 — 4 for inflammation grade (G) and stages 0 — 4 for fibrosis degree (S), and the patients were divided into groups based on the presence of significant necroinflammation (≥G2) and significant liver fibrosis (≥S2). The independent samples t-test was used for comparison of normally distributed continuous data between two groups, and the Mann-Whitney U test was used for comparison of non-normally distributed continuous data between two groups; the chi-square test or the Fisher’s exact test was used for comparison of categorical data between two groups. A Spearman’s rank correlation analysis was used to investigate the correlation between liver histopathology and clinical factors, and the Logistic regression model was used to identify the independent influencing factors for significant necroinflammation and liver fibrosis.  Results  A total of 271 patients with indeterminate phase of chronic HBV infection were enrolled, among whom 61 (22.5%) had significant necroinflammation (≥G2) and 124 (45.8%) had significant liver fibrosis (≥S2). The Logistic regression analysis showed that alanine aminotransferase ≥30 U/L (for male patients) or ≥19 U/L (for female patients) (odds ratio [OR]=2.69, 95% confidence interval [CI]: 1.39 — 5.21, P=0.003), HBV DNA ≥2 000 IU/mL (OR=2.75, 95%CI: 1.38 — 5.48, P=0.004), and liver stiffness measurement (LSM) ≥6.0 kPa (OR=4.57, 95%CI: 2.17 — 9.62, P<0.001) were independent risk factors for significant inflammation. HBV DNA ≥2 000 IU/mL (OR=1.82, 95%CI: 1.01 — 3.32, P=0.049) and LSM ≥6.0 kPa (OR=2.06, 95%CI: 1.23 — 3.43, P=0.006) were independent influencing factors for significant liver fibrosis.  Conclusion  Among the patients with indeterminate phase of chronic HBV infection, a substantial proportion of patients have significant liver histopathological damage. Antiviral therapy should be initiated in a timely manner for patients with high-risk factors.
The mRNA expression of magnesium transporter 1 in CD8+ T cells and its correlation with HBV DNA in patients with chronic HBV infection
Yang LIU, Xiaoe LIN, Rujing SUN, Shuyi LI, Fuling YANG
2025, 41(11): 2265-2271. DOI: 10.12449/JCH251111
Abstract(298) HTML (101) PDF (1488KB)(151)
Abstract:
  Objective  To investigate the change in the expression of magnesium transporter 1 (MagT1) in peripheral blood CD8+ T cells in patients with chronic hepatitis B virus (HBV) infection, as well as the correlation of serum Mg2+ and MagT1 with HBV DNA load.  Methods  A total of 102 patients with HBV infection who were admitted to Tangshan Workers’ Hospital from January 2022 to December 2023 were enrolled, and a case-control study was conducted. According to the stage of disease progression, the subjects were divided into chronic hepatitis B group with 40 patients, compensated liver cirrhosis group with 32 patients, and hepatocellular carcinoma group with 30 patients, and 32 healthy volunteers matched by age and sex were enrolled as normal control group. The serum concentration of Mg²⁺ was measured; RT-qPCR was used to measure the mRNA expression level of MagT1 in CD8+ T cells and serum HBV DNA load; flow cytometry was used to measure the expression levels of programmed death-1 (PD-1), T-cell immunoglobulin and mucin-domain containing-3 (Tim-3), and natural killer cell group 2D (NKG2D) on the surface of CD8+ T cells. A one-way analysis of variance was used for comparison of normally distributed continuous data between multiple groups, and the SNK-q test was used for comparison between two groups; the chi-square test was used for comparison of categorical data between groups; a Pearson linear correlation analysis was used to investigate the correlation between the mRNA expression level of MagT1 and other related indicators.  Results  There were significant differences in the serum level of Mg2+ and the mRNA expression level of MagT1 between the normal control group, the chronic hepatitis B group, the compensated liver cirrhosis group, and the hepatocellular carcinoma group (F=29.014 and 145.578, both P<0.001). The Pearson correlation analysis showed that the serum level of Mg2+ and the mRNA expression level of MagT1 were positively correlated with HBV DNA load (r=0.335 and 0.394, both P<0.05). The hepatocellular carcinoma group had the highest levels of PD-1 and Tim-3, followed by the compensated liver cirrhosis group, the chronic hepatitis B group, and the normal control group; the normal control group had the highest level of NKG2D, followed by the chronic hepatitis B group, the compensated liver cirrhosis group, and the hepatocellular carcinoma group (all P<0.001). The Pearson correlation analysis showed that the mRNA expression level of MagT1 was negatively correlated with PD-1 and Tim-3 (r=-0.643 and -0.640, both P<0.05) and was positively correlated with NKG2D (r=0.655, P<0.05).  Conclusion  There is a reduction in the mRNA expression level of MagT1 in peripheral blood CD8+ T cells in patients with HBV infection, which is positively correlated with serum HBV DNA load. The reduction in the expression of MagT1 may contribute to CD8+ T cell exhaustion by impairing Mg²⁺ influx, manifesting as the upregulation of PD-1 and Tim-3 and the downregulation of NKG2D.
Value of prealbumin-to-total bilirubin ratio in predicting the short-term prognosis of patients with HBV-related acute-on-chronic liver failure
Wenjuan LI, Weifeng ZHAO, Xiaoping HUANG
2025, 41(11): 2272-2277. DOI: 10.12449/JCH251112
Abstract(372) HTML (135) PDF (783KB)(70)
Abstract:
  Objective  To investigate the value of prealbumin-to-total bilirubin (PA/TBil) ratio on admission in predicting 90-day mortality or liver transplantation in patients with HBV-related acute-on-chronic liver failure (HBV-ACLF), as well as the effect of its combination with Model for End-Stage Liver Disease (MELD) score on the predictive performance for short-term prognosis.  Methods  A retrospective analysis was performed for the clinical data of 216 HBV-ACLF patients who were admitted to Department of Infectious Diseases in the First Affiliated Hospital of Soochow University from April 2020 to May 2025, and the patients were followed up for 3 months. According to the outcome, the patients were divided into survival group with 104 patients and death/transplantation group with 112 patients. The Kolmogorov-Smirnov test was used to check whether the continuous data was in accordance with the normal distribution; the two-independent-samples t test was used for comparison of normally distributed continuous data between two groups, while the Mann-Whitney U test was used for comparison of continuous data with skewed distribution between two groups. The chi-square test was used for comparison of categorical data between two groups. Univariate and multivariate binary Logistic regression analyses were used to investigate the influencing factors for prognosis, and the receiver operating characteristic (ROC) curve was used to analyze the performance of each indicator in predicting the prognosis of ACLF. The area under the ROC curve (AUC) was calculated, and the Delong test was used for comparison of AUC.  Results  A total of 216 patients were enrolled in this study, with a 90-day survival rate of 48.15% (104/216). Compared with the death/transplantation group, the survival group had significantly higher platelet count, lymphocyte count, albumin, and PA/TBil ratio (all P<0.05) and significantly lower age, white blood cell count, neutrophil count, prothrombin time, international normalized ratio, aspartate aminotransferase, total bilirubin, creatinine, and MELD score (all P<0.05). The multivariate Logistic regression analysis showed that age (odds ratio [OR]=1.05, 95% confidence interval [CI]: 1.02 — 1.09, P<0.001), PA/TBil ratio (OR=0.16, 95%CI: 0.05 — 0.46, P<0.001), and MELD score (OR=1.09, 95%CI: 1.01 — 1.17, P=0.024) were independent influencing factors for 90-day prognosis in HBV-ACLF patients. PA/TBil ratio and MELD score used alone or in combination had an AUC of 0.760, 0.779, and 0.811, respectively, in predicting the prognosis of HBV-ACLF patients, and PA/TBil ratio combined with MELD score had a better AUC than PA/TBil ratio or MELD score used alone (Z=-2.058 and 2.017, both P<0.05).  Conclusion  Both serum PA/TBil ratio and MELD score can effectively predict the prognosis of patients with HBV-ACLF, and a combination of the two indicators had a better predictive performance than MELD score alone, which provides an important reference for clinical risk stratification management and timely intervention.
Fatty Liver Disease
A cohort study on cumulative atherogenic index of plasma for predicting the risk of developing new-onset non-alcoholic fatty liver disease in a population of young and middle-aged individuals
Zhenhong GAO, Qi QI, Wansong LI, Xinyu WU, Quanle HAN, Lei LI, Yue JIANG, Ruojie WU, Shouling WU, Kangbo LI
2025, 41(11): 2278-2285. DOI: 10.12449/JCH251113
Abstract(300) HTML (165) PDF (1387KB)(66)
Abstract:
  Objective  To investigate the association between cumulative atherogenic index of plasma (cumAIP) and the risk of new-onset nonalcoholic fatty liver disease (NAFLD) in young and middle-aged individuals.  Methods  A prospective cohort study was conducted among the young and middle-aged individuals (aged 18 to <60 years) in the Kailuan study cohort who underwent physical examination in Kailuan General Hospital and its 10 affiliated hospitals in June 2006 to October 2010, and after screening based on the inclusion and exclusion criteria, 33 987 individuals were included in the observation cohort. The individuals were divided into Q1, Q2, Q3, and Q4 groups based on the quantiles of cumAIP. The Kaplan-Meier method was used to calculate the cumulative incidence rate of new-onset NAFLD in the four groups, while the log-rank test was used for comparison between groups. A multivariate Cox regression analysis was used to obtain the hazard ratio (HR) and 95% confidence interval (CI) of the risk of new-onset NAFLD in the four groups. A one-way analysis of variance was used for comparison of normally distributed continuous data between multiple groups, and the Kruskal-Wallis H test was used for comparison of non-normally distributed continuous data between multiple groups; the chi-square test was used for comparison of categorical variables between groups.  Results  The mean follow-up was 10.89±2.54 years, and there were 6 011 cases of new-onset NAFLD, including 995 cases in the Q1 group, 1 366 in the Q2 group, 1661 in the Q3 group, and 1 989 in the Q4 group, with an incidence density of 11.37, 16.02, 19.97, and 24.91 per thousand person-years. The log-rank test showed that there was a significant difference in cumulative incidence rate between the four groups (P<0.001). With the presence or absence of NAFLD as the dependent variable and the quantiles of different exposure levels to cumAIP as the independent variable, the multivariate Cox regression model analysis showed that compared with the Q1 group, the Q2, Q3, and Q4 groups had an HR of 1.30 (95%CI: 1.20 — 1.41), 1.52 (95%CI: 1.41 — 1.65), and 1.79 (95%CI: 1.64 — 1.95), respectively, for new-onset NAFLD, with a Ptrend value of <0.001. With the presence or absence of new-onset NAFLD as the dependent variable and the cumulative exposure to AIP for 0, 2, 4, and 6 years as the independent variable, the Cox regression analysis showed that compared with cumulative exposure to AIP for 0 years, cumulative exposure to AIP for 2, 4, and 6 years had an HR of 1.24 (95%CI: 1.15 — 1.35), 1.51 (95%CI: 1.40 — 1.64), and 1.70 (95%CI: 1.56 — 1.84), respectively, with a Ptrend value of <0.001. A sensitivity analysis was performed after exclusion of the individuals with new-onset NAFLD within 2 years, the individuals who experienced atherosclerotic cardiovascular disease events during follow-up, and the individuals taking antihypertensive, hypoglycemic, and lipid-lowering drugs, and the results were similar to those of the main analysis. Considering the competitive relationship between all-cause death and outcome events, a competing risk analysis of death was performed, which showed that the results of risk analysis were similar to those of the main analysis.  Conclusion  A high level of cumAIP exposure can increase the risk of new-onset NAFLD in young and middle-aged individuals.
Influence of SH2B1rs7359397 polymorphism on hepatic fibrosis in patients with metabolic dysfunction-associated steatotic liver disease aged ≥65 years in Beijing, China
Sitong CHEN, Shuang ZHANG, Jinhan ZHAO, Xiaodie WEI, Yaning LI, Lixia QIU, Jing ZHANG
2025, 41(11): 2286-2293. DOI: 10.12449/JCH251114
Abstract(318) HTML (113) PDF (686KB)(73)
Abstract:
  Objective  To investigate the association of SH2B1 rs7359397 (C>T) polymorphism with the progression to hepatic fibrosis in the elderly patients with metabolic dysfunction-associated steatotic liver disease (MASLD) in Beijing, China, and to provide an important genetic basis for the precise subtyping, prognostic evaluation, and individualized treatment of elderly MASLD patients in China.  Methods  A total of 505 elderly patients (aged ≥65 years) who participated in regular physical examination in Mentougou Kuangshan Hospital of Beijing Jingmei Group General Hospital from November 2020 to September 2021 and were diagnosed with MASLD by abdominal ultrasound were enrolled as MASLD group, and 381 elderly population who underwent physical examination in the same community hospital during the same period of time and were not found to have MASLD by abdominal ultrasound were enrolled as control group. FibroScan was used to measure liver fat content and determine fibrosis stage. The 96-well microfluidic chip technique was used to identify SH2B1rs7359397 polymorphism. The independent-samples t test was used for comparison of normally distributed continuous data between the two groups, and the chi-square test or the adjusted chi-square test was used for comparison of categorical data between the two groups. Univariate and multivariate Logistic regression analyses were used to identify the independent predictive factors for MASLD and its comorbidities.  Results  Compared with the control group, the MASLD group had a significantly younger age and significantly higher levels of waist circumference, hip circumference, waist-hip ratio, body mass index (BMI), alanine aminotransferase, aspartate aminotransferase, triglyceride, platelet count, and fibrosis-4 (FIB-4) index, as well as a significantly lower level of high-density lipoprotein cholesterol (all P<0.05). Among the 381 patients in the control group, 264 (69.29%) had genotype CC and 117 (30.71%) had genotype CT+TT, while among the 505 patients in the MASLD group, 317 (62.77%) had genotype CC and 188 (37.23%) had genotype CT+TT, suggesting that the MASLD group had a significantly higher proportion of patients with genotype CT+TT compared with the control group (χ2=4.09, P=0.043). In the MASLD group, compared with the genotype CC group, the genotype CT+TT group had a significantly lower proportion of patients with FIB-4 ≥2 or atherosclerotic cardiovascular diseases (P<0.05). The multivariate Logistic regression analysis showed that after adjustment for age, sex, and BMI, carrying T allele was a protective factor against progressive hepatic fibrosis (odds ratio [OR]=0.481, 95% confidence interval [CI]: 0.249 — 0.929, P=0.029). In the subgroups of comorbidities with hypertension, metabolic syndrome, and obesity, genotype CT+TT was associated with a significant reduction in the risk of progressive hepatic fibrosis (hypertension: OR=0.27, 95%CI:0.09 — 0.77, P=0.014; metabolic syndrome: OR=0.30, 95%CI: 0.11 — 0.79, P=0.015; obesity: OR=0.11, 95%CI: 0.03 — 0.48, P=0.003). After adjustment for age, sex, and BMI, in the patients with MASLD, the patients with genotype CT+TT had a significant reduction in the prevalence rate of atherosclerotic cardiovascular diseases compared with those with genotype CC (OR=0.506, 95%CI:0.336 — 0.761, P=0.001).  Conclusion  SH2B1rs7359397 (C>T) polymorphism is associated with the reduction in the risk of hepatic fibrosis and atherosclerotic cardiovascular diseases in MASLD patients.
Changes in metabolic markers and the risk of new-onset metabolic associated fatty liver disease in previously untreated patients with HIV infection after lamivudine/efavirenz/tenofovir disoproxil fumarate treatment
Ding ZHU, Ruixue LI, Hengning KE
2025, 41(11): 2294-2299. DOI: 10.12449/JCH251115
Abstract(329) HTML (172) PDF (638KB)(65)
Abstract:
  Objective  To investigate the impact of metabolic associated fatty liver disease (MAFLD) on metabolic markers in patients with HIV infection, and to assess the risk of new-onset MAFLD in previously untreated HIV patients.  Methods  A total of 161 HIV patients who attended the outpatient service of Zhongnan Hospital of Wuhan University from April 2020 to December 2021 were enrolled, and they were treated with the lamivudine/efavirenz/tenofovir disoproxil fumarate (3TC/EFV/TDF) regimen and were followed up for more than 36 months. According to the presence or absence of MAFLD, they were divided into MAFLD group with 42 patients and non-MAFLD group with 119 patients, and metabolic markers were compared between the two groups before and after treatment. The independent-samples t test was used for comparison of normally distributed continuous data between two groups, and the paired t-test was used for comparison within each group before and after treatment; the Mann-Whitney U test was used for comparison of non-normally distributed continuous data between two groups, and the Wilcoxon signed-rank test was used for comparison within each group before and after treatment; the chi-square test was used for comparison of categorical data between groups. Hepatic steatosis index (HIS) and Zhejiang University (ZJU) index were used to assess the risk of new-onset MAFLD after antiretroviral therapy.  Results  After 36 months of 3TC/EFV/TDF treatment, the MAFLD group had significant increases in body mass index (BMI) [24.8 (23.2 — 25.9) kg/m2 vs 25.3 (22.8 — 27.7) kg/m2Z=-2.540, P=0.011], total cholesterol (TC) (4.0±0.6 mmol/L vs 4.3±0.6 mmol/L, t=-2.388, P=0.022), and high-density lipoprotein cholesterol (HDL-C) [0.9 (0.8 — 1.1) mmol/L vs 1.1 (0.9 — 1.2) mmol/L, Z=-2.858, P=0.004] and a significant reduction in serum uric acid (462.1±101.6 μmol/L vs 383.3±85.2 μmol/L, t=4.361, P<0.001). There was a significant difference in BMI between the MAFLD group and the non-MAFLD group after 3TC/EFV/TDF treatment [25.3 (22.8 — 27.7) kg/m2 vs 21.6 (19.9 — 23.4) kg/m2Z=-5.462, P<0.001], while there were no significant differences between the two groups in serum uric acid, TC, triglyceride, HDL-C, low-density lipoprotein cholesterol, lipoprotein a, and CD4+ T cell count (all P >0.05). Furthermore, for the patients in the non-MAFLD group after treatment, there was a significant increase in the proportion of patients at a high risk of MAFLD based on HSI and ZJU indices (χ²=10.829 and 5.658, P=0.001 and 0.017).  Conclusion  After 36 months of 3TC/EFV/TDF treatment, there are increases in blood lipid levels in HIV patients with MAFLD, and there is an increase in the risk of new-onset MAFLD in HIV patients without MAFLD.
Effect and mechanism of dapagliflozin on gut microbiota in a mouse model of metabolic associated fatty liver disease
Caiyun ZHENG, Lili YU, Xiaoxu TIAN, Hengfen DAI
2025, 41(11): 2300-2309. DOI: 10.12449/JCH251116
Abstract(338) HTML (170) PDF (40558KB)(71)
Abstract:
  Objective  To investigate the effect of dapagliflozin on liver lipid metabolism and gut microecology in mice with metabolic associated fatty liver disease (MAFLD), and to clarify its potential mechanism.  Methods  A total of 50 male C57 mice were randomly divided into Control group, type 2 diabetes+MAFLD group (MAFLD group), dapagliflozin group (DAPA group), meldonium group (THP group), and dapagliflozin+meldonium group (DAPA+THP group), with 10 mice in each group. High-fat diet combined with streptozotocin was used to establish a mouse model of MAFLD. Treatment outcomes were assessed based on histopathology and biochemical parameters such as blood glucose and blood lipid levels, and the transcriptomic and metagenomic analyses were used to identify differentially expressed genes and the changes in gut microbiota. A one-way analysis of variance was used for comparison of normally distributed continuous data between multiple groups, and the least significant difference t-test was used for comparison between two groups; the Kruskal-Wallis H test was used for comparison of non-normally distributed continuous data between multiple groups, and the Nemenyi test was used for comparison between two groups.  Results  Histopathological examination showed that the mice in the MAFLD group had excessive lipid deposition and hepatocyte steatosis; compared with the MAFLD group, the DAPA group had a significant improvement in hepatocyte steatosis, while the THP group and the DAPA+THP group had a less significant improvement compared with the DAPA group. Compared with the Control group, the MAFLD group had a significant increase in fasting blood glucose (P<0.05), significant increases in the serum levels of alanine aminotransferase (ALT), aspartate aminotransferase (AST), malondialdehyde, total cholesterol, triglyceride, and low-density lipoprotein cholesterol (P<0.05), and a significant reduction in high-density lipoprotein cholesterol (P<0.05). Compared with the MAFLD group, the DAPA group, the THP group, and the DAPA+THP group had significant reductions in the serum levels of ALT and AST (P<0.05). The results of 16S rRNA sequencing showed that compared with the Control group, the MAFLD group had significant changes in gut microbiota, with an increase in Firmicutes and a reduction in Bacteroidetes, as well as reductions in S24-7 and Erysipelotrichaceae and an increase in Lactobacillaceae. The levels of the above flora were upregulated to normal levels in the DAPA group, the THP group, and the DAPA+THP group. The liver transcriptomic analysis showed that the enriched metabolic pathways included steroid hormone biosynthesis, bile secretion, inflammatory mediator regulation of TRP, fatty acid elongation, and lipid biodegradation processes, and the related genes mainly involved the key targets of lipid metabolism such as Acot2, Angptl4, Scd2, and Npc1l1.  Conclusion  Dapagliflozin can alleviate MAFLD through the pathways such as steroid hormone biosynthesis, bile secretion, inflammatory mediator regulation of TRP, and fatty acid elongation, as well as by regulating gut microbiota homeostasis.
Autoimmune Liver Disease
Prognostic differences between primary biliary cholangitis patients positive for different autoantibodies and related influencing factors
Yu LI, Yaowu ZHANG, Jinyu LI, Ye ZHANG
2025, 41(11): 2310-2316. DOI: 10.12449/JCH251117
Abstract(384) HTML (153) PDF (947KB)(74)
Abstract:
  Objective  To investigate the prognostic differences between primary biliary cholangitis (PBC) patients positive for different autoantibodies and the risk factors for poor prognosis, and to facilitate early and effective intervention for PBC patients.  Methods  A total of 141 patients who were diagnosed with PBC for the first time in Fenyang Hospital of Shanxi Province from January 2018 to December 2023 were enrolled and divided into group A (80 patients positive for anti-mitochondrial antibody M2 [AMA-M2] alone), group B (36 patients positive for AMA-M2 and anti-gp210 antibody), and group C (25 patients positive for AMA-M2 and anti-sp100 antibody), and the three groups were compared in terms of general information, laboratory markers, and prognosis. The Globe score was used for prognostic evaluation, and a Globe score of<0.3 and the absence of liver cirrhosis at the time of confirmed diagnosis were defined as good prognosis, while a Globe score of ≥0.3 or the presence of liver cirrhosis at the time of confirmed diagnosis were defined as poor prognosis. A one-way analysis of variance was used for comparison of normally distributed continuous data between multiple groups, and the least significant difference t-test was used for further comparison between two groups; the Kruskal-Wallis H test was used for comparison of non-normally distributed continuous data between multiple groups, and the Dunn’s multiple test was used for further comparison between two groups; the chi-square test was used for comparison of categorical data between groups. The univariate and multivariate Logistic regression analyses were used to investigate the influencing factors for the prognosis of PBC patients; the receiver operating characteristic (ROC) curve was plotted, and the area under the ROC curve (AUC) was calculated.  Results  Compared with group A, groups B and C had a significantly higher proportion of male patients, a significantly higher detection rate of liver cirrhosis, significantly higher levels of ALT, TBil, and ALP, and significantly lower levels of PLT and Alb (all P<0.05). The Globe score was calculated based on related indicators after treatment with ursodeoxycholic acid (UDCA) for 1 year, and the results showed that there was a significant difference in prognosis between the three groups (P<0.001), and compared with group A, groups B and C had a significantly higher proportion of patients with a Globe score of ≥0.3 (P<0.05) and a significantly higher rate of suboptimal response to UDCA (P<0.05). The univariate Logistic regression analysis showed that anti-gp210 antibody, anti-sp100 antibody, UDCA response, PLT, Alb, ALT, TBil, and ALP were associated with the prognosis of PBC patients (all P<0.05). The variables meeting related conditions were included in the multivariate Logistic regression analysis, and the results showed that anti-gp210 antibody (odds ratio [OR]=4.959, 95% confidence interval [CI]: 1.112 — 22.122, P=0.036), anti-sp100 antibody (OR=21.666, 95%CI: 1.542 — 304.449, P=0.023), Alb (OR=0.899, 95%CI: 0.814 — 0.994, P=0.038), PLT (OR=0.974, 95%CI: 0.963 — 0.985, P<0.001), and UDCA response (OR=10.275, 95%CI: 1.047 — 100.831, P=0.046) were independent influencing factors for the prognosis of PBC patients. The ROC curve analysis showed that PLT had the best performance in predicting the prognosis of PBC patients, with an AUC of 0.824, a sensitivity of 85.7%, and a specificity of 71.7%.  Conclusion  Patients with dual positivity for AMA-M2 and anti-gp210 antibody, as well as those with dual positivity for AMA-M2 and anti-sp100 antibody, tend to have a poorer prognosis and a higher rate of suboptimal response to UDCA. Furthermore, positivity for anti-gp210 antibody, positivity for anti-sp100 antibody, thrombocytopenia, hypoalbuminemia, and suboptimal response to UDCA all indicate poor clinical prognosis.
Liver Fibrosis and Liver Cirrhosis
Clinical and pathological features of patients with congenital hepatic fibrosis: An analysis of 26 cases
Shixuan LIU, Yujiao ZHANG, Ying ZHENG, Aiping SONG, Tailing WANG, Xiuhong WANG
2025, 41(11): 2317-2322. DOI: 10.12449/JCH251118
Abstract(324) HTML (134) PDF (2080KB)(70)
Abstract:
  Objectives  To summarize the clinical and pathological features of patients with congenital liver fibrosis (CHF), and to investigate the differences in clinical and pathological features between patients in different age groups.  Methods  A retrospective analysis was performed for the clinicopathological data of 26 patients with pathologically confirmed CHF in China-Japan Friendship Hospital from August 2005 to June 2023, and the patients were stratified by age to investigate the clinical and pathological features of patients in different age groups.  Results  Among the 26 patients, there were 12 male patients and 14 female patients, with an age of onset of 4 — 61 years. There were 19 patients with portal hypertension type (73.08%), 2 patients with cholangitis type (7.69%), 4 patients with mixed type (15.38%), and 1 patient with occult type (3.85%). Of all 26 patients, 4 had unknown clinical symptoms, and among the 22 patients with clear clinical symptoms, 10 (45.45%) attended the hospital due to upper gastrointestinal bleeding caused by portal hypertension. Pathological manifestations included roughly normal liver parenchyma separated by fibrous septa in the portal area, with the presence of abnormal reactive bile duct hyperplasia. Denser fibrous septa and a lack of portal veins with the corresponding caliber were observed in 4 pediatric patients with disease onset before the age of 10 years, with a significant reduction or even disappearance of compensatory thin-walled blood vessels.  Conclusion  Portal hypertension-type CHF is the most common type in clinical practice. Patients with an early age of onset have certain histopathological features of the liver, with the presence of serious complications associated with portal hypertension. Therefore, liver biopsy should be performed for patients suspected of CHF in clinical practice, and genetic testing should be performed when necessary. Early identification and diagnosis are of great importance for improving the prognosis of patients.
Association between albumin and recompensation in patients with hepatitis B/C virus-related decompensated liver cirrhosis
Danqing XU, Yingyuan ZHANG, Jingru SHANG, Caifen SA, Wenyan LI, Li LIU, Zhijian DONG
2025, 41(11): 2323-2328. DOI: 10.12449/JCH251119
Abstract(286) HTML (118) PDF (767KB)(70)
Abstract:
  Objective  To investigate the association between albumin (Alb) and recompensation by comparing recompensation rate between hepatitis B/C virus-related decompensated liver cirrhosis patients with different Alb levels, and to provide guidance for the identification and management of high-risk patients in clinical practice.  Methods  Related clinical data were collected from 734 patients with hepatitis B/C virus-related decompensated liver cirrhosis who attended The Third People’s Hospital of Kunming from January 1, 2016 to December 31, 2022, and they were divided into three groups based on the level of Alb. The linear regression analysis and chi-square test were used for trend tests. The Kaplan-Meier curve was plotted for the cumulative incidence rate of recompensation in the three groups, and the log-rank test was used for comparison between groups. A Cox proportional-hazards regression model analysis was used to investigate the association between Alb and recompensation in patients with hepatitis B/C virus-related decompensated liver cirrhosis.  Results  Among the 734 patients with hepatitis B/C virus-related decompensated liver cirrhosis, 270 achieved recompensation, with a recompensation rate of 36.8%. All patients had a median Alb level of 29.90 (25.90 — 34.80) g/L on admission, and according to the level of Alb, they were divided into <25.9 g/L group with 177 patients, 25.9 — 34.8 g/L group with 377 patients, and >34.8 g/L group with 180 patients; 36 patients (20.3%) in the <25.9 g/L group, 138 (36.6%) in the 25.9 — 34.8 g/L group, and 96 (53.3%) in the >34.8 g/L group achieved recompensation, and the recompensation rate increased with the increase in Alb level (χ2=41.730, P<0.001). After adjustment for all confounding factors, compared with the <25.9 g/L group, there was a significant increase in the incidence rate of recompensation in the 25.9 — 34.8 g/L group (hazard ratio [HR]=1.842, 95% confidence interval [CI]: 1.274 — 2.663) and the >34.8 g/L group (HR=2.336, 95% CI: 1.575 — 3.463). The Kaplan-Meier survival analysis showed that there was a significant difference in the cumulative incidence rate of recompensation between the three groups (χ2 =41.632, P<0.001).  Conclusion  Alb level is an influencing factor for recompensation in patients with hepatitis B/C virus-related decompensated liver cirrhosis, and the recompensation rate increases with the increase in Alb level.
Value of neutrophil-to-lymphocyte and platelet ratio in predicting recompensation in patients with hepatitis B cirrhotic ascites and establishment of a nomogram model
Meiling XIAN, Jie CHEN, Huaqian XU, Shanhong TANG
2025, 41(11): 2329-2335. DOI: 10.12449/JCH251120
Abstract(311) HTML (99) PDF (2979KB)(64)
Abstract:
  Objective  To investigate the association between neutrophil-to-lymphocyte and platelet ratio (NLPR) and recompensation in patients with hepatitis B cirrhotic ascites, and to establish an individualized risk prediction model.  Methods  The patients with hepatitis B cirrhotic ascites who were hospitalized in Department of Gastroenterology, The General Hospital of Western Theater Command of Chinese PLA, from January 2015 to December 2022 were enrolled. General information and laboratory markers were collected, and NLPR was calculated. The independent-samples t test or the Mann-Whitney U test was used for comparison of continuous data between two groups, and the chi-square test or the chi-square test with correction was used for comparison of categorical data between two groups. The subjects were randomly divided into a training set and a validation set at a ratio of 7∶3. In the training set, univariate and multivariate binary Logistic regression analyses were used to investigate the independent influencing factors for recompensation in patients with hepatitis B cirrhotic ascites, and a nomogram was established; the receiver operating characteristic (ROC) curve was used to assess the value of the new model in predicting recompensation in patients with hepatitis B cirrhotic ascites, and the Delong test was used for comparison of the area under the ROC curve (AUC). The calibration curve and the decision curve were plotted for the model, and the model was assessed in terms of degree of fitting and predictive benefits.  Results  A total of 360 patients were enrolled, among whom134 achieved recompensation. There were 252 patients in the training set and 108 patients in the validation set, and there were no significant differences in baseline characteristics between the two groups (all P>0.05). The Logistic regression analysis showed that the onset of hepatic encephalopathy (odds ratio [OR]=0.066, 95% confidence interval [CI]: 0.008 — 0.545, P=0.012), NLPR (OR=0.950, 95%CI: 0.912 — 0.989, P=0.012), alpha-fetoprotein (OR=1.012, 95%CI: 1.005 — 1.020, P<0.001), and albumin (OR=1.096, 95%CI: 1.031 — 1.166, P=0.003) were independent influencing factors for recompensation in patients with hepatitis B cirrhotic ascites. The above four factors were included in a nomogram predictive model, which had an AUC of 0.776, a sensitivity of 66.5%, and a specificity of 76.3% in the training set and an AUC of 0.746, a sensitivity of 63.4%, and a specificity of 75.7% in the validation set, while Model for End-Stage Liver Disease score, Child-Pugh score, and albumin-bilirubin score had an AUC of 0.574, 0.628, and 0.621, respectively. The nomogram model had a better performance than the other three scores in predicting recompensation in patients with hepatitis B cirrhotic ascites (Z=4.191, 3.369, and 3.527, P<0.001, P=0.001, and P<0.001). The calibration curve and the decision curve showed that the model had a good degree of fitting, and the decision made using this model could bring net benefits.  Conclusion  NLPR has a good value in predicting recompensation in patients with hepatitis B cirrhotic ascites, and the nomogram model established can help to predict recompensation in such patients in clinical practice.
Liver Neoplasm
Clinical features and traditional Chinese medicine syndrome distribution of treatment-naïve patients with hepatitis B virus-related primary liver cancer: An analysis of 99 cases
Tao TIAN, Kewei SUN, Xiong WANG, Xinru LIU, Weitao ZENG, Wei YUAN
2025, 41(11): 2336-2342. DOI: 10.12449/JCH251121
Abstract(319) HTML (99) PDF (682KB)(69)
Abstract:
  Objective  To investigate the clinical features and traditional Chinese medicine (TCM) syndrome distribution of treatment-naïve patients with hepatitis B virus-related primary liver cancer (HBV-PLC), and to provide a basis for integrated traditional Chinese and Western medicine in the prevention and treatment of HBV-PLC.  Methods  A retrospective analysis was performed for the clinical data of 99 treatment-naïve HBV-PLC patients who were admitted to Department of Hepatology and Infectious Diseases in The First Affiliated Hospital of Hunan University of Chinese Medicine from January 2019 to December 2024. According to whether the patient received standardized antiviral therapy (for ≥3 years), they were divided into antiviral group and non-antiviral group, and according to the status of HBeAg, they were divided into HBeAg-positive group and HBeAg-negative group. Demographic features, laboratory test results, imaging data, and TCM syndrome data were collected, and neutrophil-to-lymphocyte ratio (NLR), Child-Pugh score, and CNLC stage were calculated. The independent samples t-test was used for comparison of normally distributed continuous data between two groups, and the chi-square test was used for comparison of categorical data between groups.  Results  The 99 treatment-naïve HBV-PLC patients had a mean age of 57.12±11.60 years, and the patients aged 50 — 75 years accounted for the highest proportion of 72.7%, with a male/female ratio of 5.2∶1. The patients with liver cirrhosis accounted for 81.8%, and 67.7% of the patients did not receive antiviral therapy in the past. The positive rates of HBV DNA, HBeAg, and alpha-fetoprotein were 80.8%, 18.2%, and 69.7%, respectively, and the patients with Child-Pugh class A/B disease accounted for 89.9%. Compared with the non-antiviral group, the antiviral group had a significantly smaller maximum tumor diameter (t=2.310, P=0.024), a significantly lower HBV DNA positive rate (χ2=14.006, P<0.001), and a significantly lower number of tumor thrombi (χ2=7.347, P=0.007). In addition, there were significant differences between the HBeAg-negative group and the HBeAg-positive group in Child-Pugh class (χ2=6.780, P=0.034) and CNLC stage (χ2=8.746, P=0.033). Among the 99 treatment-naïve HBV-PLC patients, 41.4% had liver depression and spleen deficiency with blood stasis, 22.2% had Qi deficiency and blood stasis syndrome, and 19.2% had damp-heat accumulation with blood stasis.  Conclusion  Treatment-naïve HBV-PLC patients are mainly middle-aged and elderly male individuals, and most of the patients are comorbid with liver cirrhosis. Standardized antiviral therapy can significantly reduce tumor burden and improve virologic response, with better hepatic compensation in HBeAg-negative patients, and hypoproteinemia is more common in patients with Qi deficiency and blood stasis syndrome.
Other Liver Disease
Distribution of traditional Chinese medicine syndromes in intrahepatic cholestasis of pregnancy and its association with perinatal outcomes
Jin CHEN, Dan YANG, Qianrong LI, Yan SANG, Zhi YU, Jiao XU, Xuemei WANG, Heying HUANG, Xue TANG, Lin ZHUANG, Xiaoyin WANG
2025, 41(11): 2343-2350. DOI: 10.12449/JCH251122
Abstract(342) HTML (127) PDF (732KB)(65)
Abstract:
  Objective  To investigate the distribution of traditional Chinese medicine (TCM) syndromes in intrahepatic cholestasis of pregnancy (ICP) and its association with perinatal outcomes, and to provide a basis for precise treatment based on TCM syndrome differentiation.  Methods  A cross-sectional study was conducted among 275 patients with ICP who were admitted to The Affiliated Hospital of Chengdu University of Traditional Chinese Medicine from April 2023 to April 2025. A hierarchical cluster analysis was used to summarize TCM syndromes. The Kruskal-Wallis H test was used for comparison of non-normally distributed continuous data between groups, and the chi-square test was used for comparison of categorical data between groups. A multivariate Logistic regression analysis was used to identify the clinical features significantly associated with TCM syndrome.  Results  The cluster analysis identified three core TCM syndromes among the 275 patients with ICP, i.e., liver-gallbladder damp-heat syndrome (45.8%), syndrome of blood deficiency generating wind (30.9%), and liver depression and spleen deficiency syndrome (23.3%). There was a significant difference in the distribution of TCM syndromes between different groups stratified by maternal age at delivery, parity, history of ICP recurrence, gestational weeks at disease onset, total bile acid (TBA), alanine aminotransferase (ALT), and comorbidity with gestational diabetes mellitus (GDM) (all P<0.05). The multivariate Logistic regression analysis showed that<34 gestational weeks at disease onset was significantly associated with all three syndromes (damp-heat: odds ratio [OR]=3.769, P<0.001; blood deficiency: OR=4.031, P<0.001; liver stagnation: OR=3.552, P<0.001). Liver-gallbladder damp-heat syndrome was associated with maternal age ≥35 years at disease onset (OR=2.048, P=0.014), parity ≥2 times (OR=1.921, P=0.034), history of ICP recurrence (OR=2.404, P=0.030), ALT ≥200 U/L (OR=2.051, P=0.018), comorbidity with GDM (OR=1.944, P=0.029), and TBA ≥40 μmol/L (OR=2.542, P=0.024). The syndrome of blood deficiency generating wind syndrome was associated with maternal age ≥35 years (OR=2.939, P=0.003), parity ≥2 time (OR=3.222, P=0.003), history of ICP recurrence (OR=3.809, P=0.010), ALT ≥200 U/L (OR=2.889, P=0.006), comorbidity with GDM (OR=3.711, P=0.001), and comorbidity with hypertensive disorders of pregnancy (OR=4.472, P=0.011). Liver depression and spleen deficiency syndrome was associated with TBA ≥40 μmol/L (OR=2.995, P=0.044). The analysis of perinatal outcomes showed that there were significant differences in mode of delivery, gestational weeks at the time of delivery, postpartum blood loss, and neonatal birth weight between the three groups with different TCM syndromes (all P<0.05).  Conclusion  Liver-gallbladder damp-heat syndrome, syndrome of blood deficiency generating wind, and liver depression and spleen deficiency syndrome are the main TCM syndrome types in ICP, and the distribution of TCM syndromes is closely associated with clinical factors and perinatal outcomes, which provides a basis for precise TCM syndrome differentiation and individualized treatment.
The mechanism of Dange Jiecheng decoction improving alcoholic liver disease in a rat model
Sujun GUO, Bo ZHOU, Li MA
2025, 41(11): 2351-2358. DOI: 10.12449/JCH251123
Abstract(352) HTML (115) PDF (35107KB)(65)
Abstract:
  Objective  To investigate the effect of Dange Jiecheng decoction in improving alcoholic liver disease (ALD) in rats, as well as its mechanism of action based on the tumor protein P53/glutathione peroxidase 4 (GPX4) signaling pathway.  Methods  A total of 36 male Sprague-Dawley rats were randomly divided into normal group, model group, Dange Jiecheng decoction group, and compound Yiganling tablets group, with 9 rats in each group. The rats were given gradient intragastric administration of 56% alcohol to establish a model of ALD, and meanwhile, the corresponding drug was given by gavage for 12 consecutive weeks. After the experiment ended, serum and liver tissue samples were collected to measure the serum levels of alanine aminotransferase (ALT), aspartate aminotransferase (AST), and triglyceride (TG) and the levels of malondialdehyde (MDA), reactive oxygen species (ROS), glutathione (GSH), and Fe2+; HE staining was used to observe histopathological changes, and oil red O staining and Prussian blue staining were used to observe fat and iron deposition in liver tissue, respectively; RT-qPCR and Western blot were used to measure the mRNA and protein expression levels of P53, glutathione peroxidase 4 (GPX4), NADPH oxidase 1 (NOX1), prostaglandin-endoperoxide synthase 2 (PTGS2), and ferritin heavy chain 1 (FTH1) in liver tissue. A one-way analysis of variance was used for comparison of continuous data between multiple groups, and the least significant difference t-test was used for further comparison between two groups.  Results  Compared with the normal group, the model group had disordered arrangement and incomplete structure of hepatocytes with inflammatory cell infiltration and a large number of fat vacuoles, significant increases in the serum levels of AST, ALT, TG and the levels or activities of MDA, ROS, and Fe2+ in liver tissue (all P<0.01), significant increases in the mRNA and protein expression levels of P53, NOX1, and PTGS2 (all P<0.01), and significant reductions in the content of GSH in serum and the mRNA and protein expression levels of GPX4 and FTH1 in liver tissue (all P<0.01). Compared with the model group, the Dange Jiecheng decoction group and the compound Yiganling tablets group had ordered arrangement of hepatocytes with a reduction in inflammation, significant reductions in the serum levels of AST, ALT, and TG, the levels of MDA, ROS, and Fe2+ in liver tissue, and the mRNA and protein expression levels of P53, NOX1, and PTGS2 in liver tissue (all P<0.05), and significant increases in the content of GSH in serum and the mRNA and protein expression levels of GPX4 and FTH1 in liver tissue (all P<0.05), as well as an improvement in hepatic steatosis and a reduction in iron deposition (all P<0.01).  Conclusion  Dange Jiecheng decoction can effectively improve disease progression in rats with ALD, possibly by regulating the P53/GPX4 pathway and inhibiting ferroptosis.
Biliary Disease
Therapeutic effect of different biliary drainage methods after laparoscopic common bile duct exploration in elderly patients with choledocholithiasis: An analysis based on propensity score matching
Kaifang DU, Xichun WANG, Lei WEI, Changzhi ZHAO, Zhongyi FENG, Mingjie CHENG, Hanshuo LI, Guiling LANG
2025, 41(11): 2359-2364. DOI: 10.12449/JCH251124
Abstract(324) HTML (139) PDF (6943KB)(65)
Abstract:
  Objective  To investigate the safety and feasibility of intra-biliary drainage tube placement after laparoscopic common bile duct exploration in elderly patients with choledocholithiasis, and to provide more options for surgical procedures in the clinical management of elderly patients with choledocholithiasis.  Methods  A retrospective analysis was performed for the clinical data of 52 elderly patients with choledocholithiasis who were admitted to Department of Hepatobiliary Surgery, Affiliated Dalian Friendship Hospital of Dalian Medical University, from November 2021 to October 2024. According to the biliary drainage method after surgery, the patients were divided into internal drainage group with 24 patients and T-tube drainage group with 28 patients, and there were 19 patients in each group after propensity score matching. The two groups were compared in terms of perioperative parameters and postoperative complications. The Wilcoxon rank-sum test was used for comparison of continuous data between two groups, and the chi-square test or the Fisher’s exact test was used for comparison of categorical data between two groups.  Results  Compared with the T-tube drainage group, the internal drainage group had a significantly shorter length of postoperative hospital stay and a significantly lower volume of postoperative bile loss (Z=-2.845 and -5.633, both P<0.05), while there were no significant differences between the two groups in time of operation, intraoperative blood loss, and drainage tube indwelling time (all P>0.05). There were no significant differences between the two groups in postoperative bile leak, stone recurrence, biliary stricture, and drainage tube-related complications, and the internal drainage group had a significantly lower total complication rate than the T-tube drainage group [1 (5.3%) vs 7 (36.8%), P<0.05].  Conclusion  For elderly patients with choledocholithiasis, intra-biliary drainage tube placement after laparoscopic common bile duct exploration can shorten the length of postoperative hospital stay, reduce bile loss, and lower the incidence rate of postoperative complications, thereby helping to accelerate postoperative recovery.
Review
Influence of NOD-like receptor protein 3 inflammasome on the development and progression of nonalcoholic steatohepatitis and the interventional effect of traditional Chinese medicine
Jinxue ZHANG, Junhong LIU, Jiale CHEN, Dan WANG, Lining SU, Yajie CHEN, Xueqian LAI, Miaolei WANG, Yajing LI
2025, 41(11): 2365-2371. DOI: 10.12449/JCH251125
Abstract(370) HTML (191) PDF (1454KB)(68)
Abstract:
Nonalcoholic steatohepatitis (NASH) is a chronic liver disease with the main pathological features of hepatic steatosis, inflammatory cell infiltration, and interstitial fibroplasia, and it is an important risk factor for liver fibrosis, liver cirrhosis, and hepatocellular carcinoma. NOD-like receptor protein 3 (NLRP3) inflammasome is the core of innate immunity, and the abnormal activation of NLRP3 inflammasome is closely associated with the development and progression of NASH, which involves multiple links such as inflammatory response and oxidative stress. A large number of studies have shown that the active ingredients of traditional Chinese medicine (TCM) and TCM compound prescriptions can improve oxidative stress, regulate lipid metabolism, and alleviate liver inflammation by regulating NLRP3 inflammasome. TCM treatment applied in clinical practice has achieved a good therapeutic effect, while inflammasome is one of the key pathways or targets for TCM in improving NASH. This article reviews the mechanism of action of NLRP3 inflammasome in NASH and the research advances in TCM intervention of NLRP3 inflammasome, in order to provide ideas for the clinical TCM treatment of NASH, as well as reference targets and research directions for the research and development of new TCM drugs.
Mechanism of the Wnt signaling pathway regulating hepatic fibrosis associated with metabolic dysfunction-associated fatty liver disease and its application prospects
Jingjing HE, Ya ZHENG, Rui JI
2025, 41(11): 2372-2378. DOI: 10.12449/JCH251126
Abstract(359) HTML (166) PDF (1776KB)(65)
Abstract:
Metabolic dysfunction-associated fatty liver disease (MAFLD) has become one of the critical chronic liver diseases requiring global attention, and the degree of hepatic fibrosis in these patients is closely associated with their prognosis. Therefore, control or even reversal of hepatic fibrosis is an indispensable part of the long-term management of MAFLD patients. A large number of studies have shown that the Wnt signaling pathway is involved in the development and progression of MAFLD. This article systematically describes the Wnt signaling pathway and elaborates on its mechanism of action in MAFLD-associated hepatic fibrosis, in order to provide a reference for the treatment of hepatic fibrosis in patients with MAFLD.
Research advances in the reprogramming of glucose and lipid metabolism in liver fibrosis: Targeting hepatic macrophages and hepatic stellate cells
Xikun YANG, Hui LI, Kaixin WANG, Xuan WU
2025, 41(11): 2379-2383. DOI: 10.12449/JCH251127
Abstract(455) HTML (183) PDF (1077KB)(80)
Abstract:
Liver fibrosis has a complex pathogenesis, and as research deepens, an increasing number of evidence has revealed extensive metabolic reprogramming in the development and progression of liver fibrosis. This article reviews the origin and role of hepatic macrophages, the distribution of hepatic stellate cells, and the changes in glycolysis and lipid metabolism in the two types of cells, in order to provide new insights into the research on liver fibrosis and the prevention and treatment of this disease.
The impact of iron overload and ferroptosis on the development and progression of autoimmune hepatitis and their mechanism of action
Bolin WANG, Ling LI, Jinxia ZHU, Jiawen ZHANG, Zhigao LUO, Guangwei LIU
2025, 41(11): 2384-2389. DOI: 10.12449/JCH251128
Abstract(348) HTML (163) PDF (1705KB)(67)
Abstract:
Autoimmune hepatitis (AIH) is an inflammatory disease caused by immune dysfunction, and its pathogenic mechanism remains unclear. In recent years, a large number of studies have shown that iron homeostasis imbalance and ferroptosis are closely associated with the pathogenesis and progression of AIH. This article reviews the pathological mechanism and impact of iron overload and ferroptosis in AIH, in order to provide new insights and theoretical bases for research on the mechanism and clinical treatment of AIH.
Research advances in biomarkers for the early diagnosis of alpha-fetoprotein-negative hepatocellular carcinoma
Siru ZHAO, Zhifan XIONG
2025, 41(11): 2390-2396. DOI: 10.12449/JCH251129
Abstract(394) HTML (213) PDF (698KB)(75)
Abstract:
Hepatocellular carcinoma (HCC) is one of the leading causes of cancer-related mortality worldwide and is also one of the most common malignant tumors in clinical practice in our country. HCC is characterized by insidious onset and rapid progression, and most patients are in the advanced stage at the time of diagnosis, resulting in a poor prognosis. Alpha-fetoprotein (AFP)-negative hepatocellular carcinoma (ANHCC) accounts for approximately 30% — 40% of all HCC cases, and the traditional diagnostic biomarker, serum AFP, has insufficient sensitivity in this population, which can easily lead to missed diagnoses. This article reviews the potential of classic biomarkers, novel protein markers, liquid biopsy markers, and metabolomics markers in the early screening for ANHCC, in order to improve the early diagnosis rate of ANHCC and reduce the disease burden of liver cancer.
Efficacy and mechanism of traditional Chinese medicine combined with immune checkpoint inhibitor in treatment of advanced hepatocellular carcinoma
Yongqi LI, Yanqiu LI, Lina SUN, Chaoran WANG, Ying FENG, Xianbo WANG
2025, 41(11): 2397-2402. DOI: 10.12449/JCH251130
Abstract(539) HTML (213) PDF (1058KB)(64)
Abstract:
Hepatocellular carcinoma (HCC) is a malignant tumor with high incidence and mortality rates in China, and advanced HCC is a difficult issue in current treatment. Immune checkpoint inhibitor (ICI), as an emerging treatment regimen, has shown a certain effect in clinical practice, but there are still problems such as low overall response rate and a high incidence rate of immune-related adverse events (irAEs). Traditional Chinese medicine exhibits unique advantages in the treatment of advanced HCC. Through a retrospective analysis of related studies in recent years, this article shows that traditional Chinese medicine combined with ICI can control disease progression, prolong survival time, and reduce irAEs in the treatment of advanced HCC through the synergistic effect between multiple components, targets, and pathways. The potential mechanism of this treatment modality may involve various aspects such as the direct inhibition of tumor cells and the regulation of immune system and intestinal flora.
Current status of research on traditional Chinese medicine regulating the Hedgehog signaling pathway for prevention and treatment of hepatocellular carcinoma
Xiucheng CAI, Xiaodong LI
2025, 41(11): 2403-2409. DOI: 10.12449/JCH251131
Abstract(332) HTML (155) PDF (968KB)(62)
Abstract:
The pathogenesis of hepatocellular carcinoma (HCC) involves inflammation and liver fibrosis caused by chronic liver injury, leading to the abnormal proliferation and mutation of liver stem cells and the formation of tumor cells. Although great progress has been made in Western medicine treatment of HCC, the 5-year survival rate of patients remains below 20%, with the limitations such as strong drug resistance and adverse reactions. In recent years, traditional Chinese medicine (TCM) has gradually gained attention in the field of antitumor therapy due to its unique advantages of regulating tumor microenvironment and signaling pathways through multiple components and targets. The Hedgehog signaling pathway plays an important role in cell proliferation, differentiation, and tumor metastasis, and its role in the development and progression of liver cancer has attracted more and more attention. This article reviews the mechanisms and research advances in the anti-HCC effect of TCM monomers and compound prescriptions through targeted regulation of the Hedgehog signaling pathway, in order to provide new ideas for TCM prevention and treatment of HCC.
Role of neutrophil extracellular traps in hepatocellular carcinoma
Xueru TIAN, Weiyu CHEN, Luyi YAN, Yang HONG, Han WANG, Shouqin LIU, Lei QING, Guojuan MA, Dewen MAO, Chun YAO
2025, 41(11): 2410-2417. DOI: 10.12449/JCH251132
Abstract(328) HTML (110) PDF (1155KB)(64)
Abstract:
Hepatocellular carcinoma (HCC) is a malignant tumor with high incidence and mortality rates worldwide. Recent studies have shown that neutrophil extracellular traps (NETs) play an important role in the development, progression, and immune escape of HCC. NETs are released by neutrophils and mainly consist of DNA, histones, and antimicrobial molecules, and in addition to immune defense, they are also involved in the initiation, metastasis, and thrombosis of HCC. This article elaborates on the formation and regulatory mechanisms of NETs, explores their potential mechanisms in the initiation, metastasis, immune escape, and thrombosis of HCC, and discusses the prospect of NETs as a target for the diagnosis and treatment of HCC, in order to provide new ideas for the precise treatment of HCC in the future and promote the early diagnosis and effective treatment of HCC.
Application of peripheral blood inflammatory markers in prognosis evaluation of patients with acute-on-chronic liver failure
Xuefang YANG, Xiaoqing YANG, Haiwen MA, Wenjuan SHI, Hong WAN, Jianyun WANG
2025, 41(11): 2418-2423. DOI: 10.12449/JCH251133
Abstract(312) HTML (112) PDF (677KB)(63)
Abstract:
Acute-on-chronic liver failure (ACLF) refers to severe liver dysfunction that occurs on the basis of chronic liver diseases, and it is characterized by rapid disease progression, poor prognosis, and high mortality rate. In recent years, inflammatory markers have become a research hotspot due to their significant role in assessing the prognosis of ACLF. This article reviews the advances in the application of inflammatory markers in assessing the prognosis of ACLF, such as systemic immune inflammatory index, lymphocyte-white blood cell ratio, neutrophil-lymphocyte ratio, and C-reactive protein, and discusses their clinical value and future research directions, in order to provide a theoretical basis for the early intervention and prognosis management of ACLF patients.
Mechanism of action of the Notch signaling pathway in mediating immune inflammatory response in liver injury
Faming SHU, Ying HUANG, Kan ZHANG, Fajuan HE, Fuli LONG, Dewen MAO
2025, 41(11): 2424-2428. DOI: 10.12449/JCH251134
Abstract(288) HTML (147) PDF (1828KB)(60)
Abstract:
Immune inflammatory response runs through the whole pathological process of liver injury, but its specific regulatory mechanism remains unclear. Recent studies have shown that the Notch signaling pathway plays an important role in liver injury by regulating macrophage polarization, activating neutrophil recruitment, and modulating the differentiation of regulatory immune cells. This article systematically reviews the molecular mechanisms of the Notch signaling pathway in mediating immune inflammatory response in liver injury, in order to provide new perspectives for clarifying the molecular mechanism of immune inflammatory damage in liver diseases, as well as a new reference for future research directions.
Influence of hepatic osteodystrophy on the prognosis of liver transplantation
Yibo WANG, Yubo ZHAO, Yanbo MA, Yuqing SUN
2025, 41(11): 2429-2434. DOI: 10.12449/JCH251135
Abstract(330) HTML (124) PDF (924KB)(59)
Abstract:
Hepatic osteodystrophy is a common complication in patients with chronic liver disease and is influenced by various risk factors, and it has become one of the important influencing factors for the prognosis of liver transplantation. By analyzing the influencing factors for bone health and bone metabolism during the perioperative period of liver transplantation, this article emphasizes the importance of a comprehensive assessment of bone health and necessary interventions at this stage, with an aim to reduce the risk of postoperative complications and improve the long-term prognosis of patients. A deeper exploration of the association between hepatic osteodystrophy and the prognosis of liver transplantation can help to reveal the key influencing factors for postoperative outcomes, thus providing a theoretical basis for optimizing postoperative management strategies. Furthermore, advances in this research field will offer new insights into the treatment of patients receiving liver transplantation, and it is expected to further improve quality of life and long-term survival rate.
The role and mechanism of heparanase in hepatobiliary and pancreatic tumors
Yanan ZHANG, Yang WU, Chujiang WU, Yuxin HE, Yujie ZHAI, Jiucong ZHANG, Bin LIANG
2025, 41(11): 2435-2440. DOI: 10.12449/JCH251136
Abstract(337) HTML (64) PDF (1157KB)(58)
Abstract:
Hepatobiliary and pancreatic tumors are common types of digestive system disorders, and their complex pathogeneses have led to difficulties in early diagnosis and a high metastasis rate, with persistently high incidence and mortality rates in China, which greatly affects the quality of life and prognosis of patients. Studies have shown that heparanase (HPSE), as a key effector molecule in matrix remodeling, plays a crucial regulatory role in tumor invasion and metastasis and microenvironment remodeling, and it is significantly associated with clinical prognosis. This article reviews the molecular mechanism of HPSE in hepatobiliary and pancreatic tumors, in order to provide a strong scientific basis for developing diagnostic markers and targeted interventions for hepatobiliary and pancreatic tumors.
Introduction of High - quality Articles in Foreign Journals
The American Journal of Gastroenterology|Empirical antifungal therapy improves survival in patients with acute-on-chronic liver failure with suspected invasive fungal infections: a pragmatic randomised trial
2025, 41(11): 2378-2378. DOI: 10.12449/JCH2511.gwqkjpwzjj1
Abstract(224) HTML (82) PDF (913KB)(59)
Abstract:
Journal of Hepatology|Microbiota transplant for hepatic encephalopathy in cirrhosis:The THEMATIC trial
2025, 41(11): 2402-2402. DOI: 10.12449/JCH2511.gwqkjpwzjj2
Abstract(254) HTML (114) PDF (912KB)(50)
Abstract:
Acknowledgements
Current reviewers
2025, 41(11): 2277-2277. DOI: 10.12449/JCH2511.zhixie
Abstract(205) HTML (78) PDF (886KB)(45)
Abstract: