显示方式:
2022, 38(3): 531-531.
摘要:
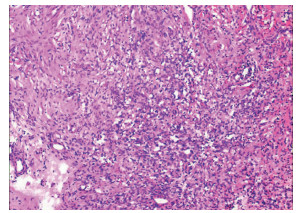
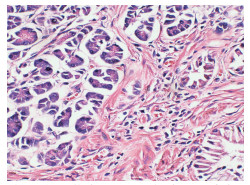
2022, 38(3): 498-498.
摘要:
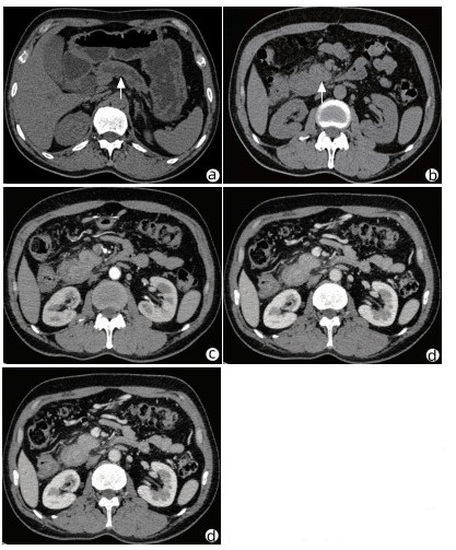
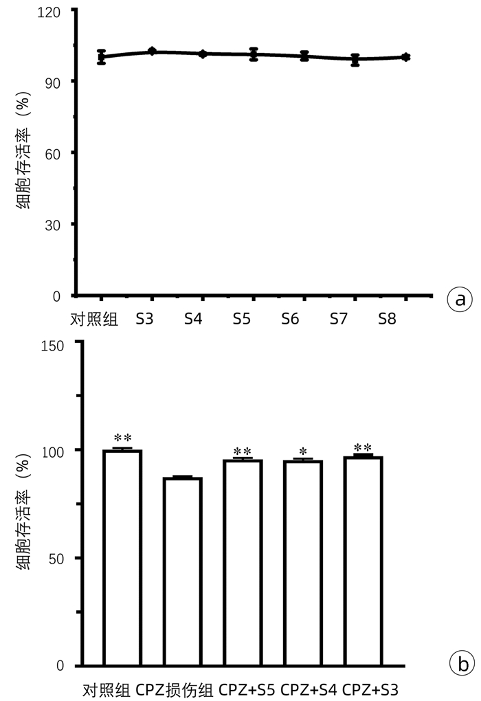
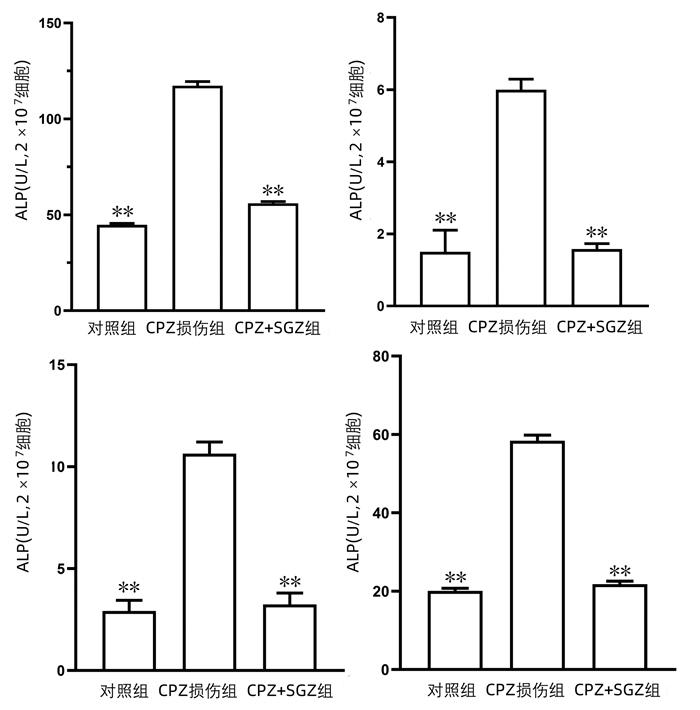
2022, 38(3): 612-612.
摘要:
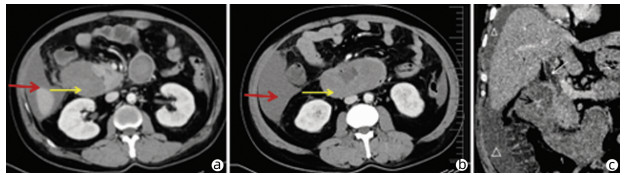
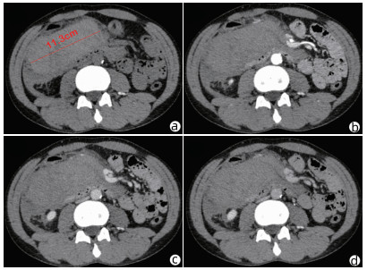
2022, 38(3): 642-642.
摘要:


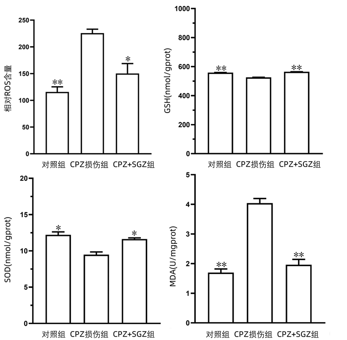
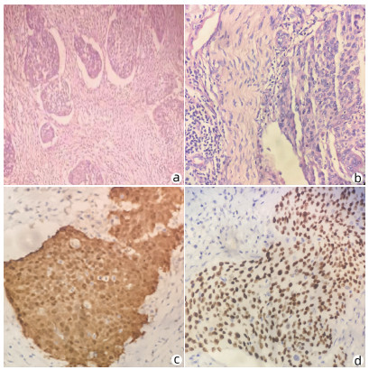
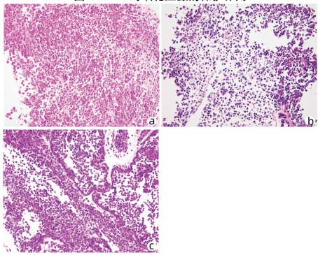
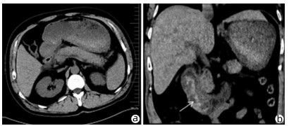
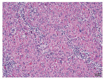
摘要
HTML
PDF (1923KB)





