中文English
ISSN 1001-5256 (Print)
ISSN 2097-3497 (Online)
CN 22-1108/R

留言板

尊敬的读者、作者、审稿人, 关于本刊的投稿、审稿、编辑和出版的任何问题, 您可以本页添加留言。我们将尽快给您答复。谢谢您的支持!

姓名
邮箱
手机号码
标题
留言内容
验证码
2022年 第4期
“自身免疫性肝病——识机制进展,促临床提升”  重点号
执行主编:闫惠平
首都医科大学附属北京佑安医院

显示方式:
述评
近二十年我国自身免疫性肝病领域发展历程的回顾与展望
闫惠平, 刘燕敏, 张海萍
2022, 38(4): 737-742. DOI: 10.3969/j.issn.1001-5256.2022.04.001
摘要(1791) HTML (407) PDF (2771KB)(245)
摘要:
本文通过大数据回顾了2001年—2020年我国自身免疫性肝病领域获得国家级研究项目和在国内外发表学术论文的情况,结果展现了二十年来的发展变化趋势。介绍了新发布的自身免疫性肝病诊断治疗指南的更新要点,回顾了自身抗体检测技术的发展并分析其进展。
专家论坛
自身免疫性肝炎发病机制进展与临床干预新靶点
胡明礼, 王绮夏, 马雄
2022, 38(4): 743-747. DOI: 10.3969/j.issn.1001-5256.2022.04.002
摘要(2102) HTML (441) PDF (1912KB)(362)
摘要:
自身免疫性肝炎(AIH)是一种以肝细胞受损为主的免疫介导性肝病,以高免疫球蛋白G血症及自身抗体阳性为特征,组织学可见汇管区大量淋巴-浆细胞浸润所致的界面性肝炎。AIH发病机制尚未完全阐明,目前主要以糖皮质激素联合硫唑嘌呤进行非特异性免疫抑制治疗,多数患者应答良好。但在药物减量过程中以及停药后容易出现反跳或复发,故而大多数患者需长期维持治疗。本文就AIH发病机制进展及临床干预的潜在新靶点进行简要综述,以期为临床转化研究提供参考。
重视不典型自身免疫性肝病患者的早诊早治
黄春洋, 刘燕敏
2022, 38(4): 748-753. DOI: 10.3969/j.issn.1001-5256.2022.04.003
摘要(1528) HTML (381) PDF (1924KB)(197)
摘要:
自身免疫性肝病是一组疾病,主要由于自身免疫异常引起,包括以肝细胞损伤为主的自身免疫性肝炎,以胆管损伤为主的原发性胆汁性胆管炎及原发性硬化性胆管炎,也包括具有上述两种疾病主要特征的重叠综合征,近来IgG4相关肝胆疾病也被列入此类,如不及时诊治,可发展至肝硬化,甚至肝衰竭。自身免疫性肝病均有各自特点,随着自身免疫性肝病知识普及,专业医生对此类疾病认识程度逐渐增加,多数较典型自身免疫性肝病能够早期诊断,使患者得到及时治疗。但也有一些患者表现或化验指标不典型,易被延误诊断,所以对于不典型自身免疫性肝病及早辨别,及时诊治非常重要。
病原感染在自身免疫性肝病发生发展中的作用
张海萍, 闫惠平, 陈德喜, 马迎民
2022, 38(4): 754-758. DOI: 10.3969/j.issn.1001-5256.2022.04.004
摘要(1082) HTML (384) PDF (1912KB)(136)
摘要:
自身免疫性肝病(AILD)的病因和发病机制研究一直是领域内的研究热点。病原体感染可参与诱发机体的自身免疫反应,常常成为免疫性疾病的关键致病因素。本文基于文献数据和作者临床经验,将从分子模拟机制等方面对病原感染在AILD的发生和发展中的作用及其影响进行简单介绍,以助更深入地了解AILD的发病机制。
后GWAS时代的原发性胆汁性胆管炎的遗传学研究
邱方, 王婵, 张明明, 史兴娟, 刘向东
2022, 38(4): 759-761. DOI: 10.3969/j.issn.1001-5256.2022.04.005
摘要(1316) HTML (569) PDF (1889KB)(136)
摘要:
近二十年来随着临床对原发性胆汁性胆管炎(PBC)的认知不断提高和诊断方法的不断改进,PBC在全球的发病率和患病率呈上升趋势,已成为最常见的自身免疫性肝病。早期的家系调查结果表明PBC具有严重的遗传倾向,随后针对不同种群的PBC基因组学分析相继完成,已积累了大量的遗传学分析数据。今后PBC的遗传学研究重点将聚焦在如何将这些遗传学分析结果转化到临床实践中。
IgG4相关肝胆胰疾病诊疗进展
王天琪, 刘燕鹰
2022, 38(4): 762-766. DOI: 10.3969/j.issn.1001-5256.2022.04.006
摘要(1920) HTML (362) PDF (1911KB)(231)
摘要:
IgG4相关肝胆胰疾病是IgG4相关疾病多器官纤维化炎性疾病的一部分,包括IgG4相关自身免疫性胰腺炎、IgG4相关硬化性胆管炎、IgG4相关肝脏病变。主要病理表现为IgG4+浆细胞、淋巴细胞浸润,伴有席纹状纤维化、闭塞性静脉炎和嗜酸性粒细胞浸润。临床诊断多采用IgG4相关疾病综合诊断标准和专科制定的特异性器官受累诊断标准,难点在于与肿瘤性疾病的鉴别,新型诊断标志物有望提高诊断敏感度及特异度。迄今,一线治疗药物仍为糖皮质激素,生物制剂,尤其是CD20单抗疗效肯定,对于激素禁忌/不耐受或复发难治性患者不失为一种选择。
指南与规范
人工肝血液净化技术临床应用专家共识(2022年版)
中华医学会肝病学分会重型肝病与人工肝学组
2022, 38(4): 767-775. DOI: 10.3969/j.issn.1001-5256.2022.04.007
摘要(4198) HTML (960) PDF (2320KB)(931)
摘要:
妊娠期急性脂肪肝临床管理指南(2022)
中华医学会妇产科学分会产科学组
2022, 38(4): 776-783. DOI: 10.3760/cma.j.cn112141-20210907-00499
摘要(2525) HTML (1966) PDF (2822KB)(633)
摘要:
妊娠期急性脂肪肝(AFLP)是一种罕见但病情危急的产科特有疾病,致死率高,对母儿安全构成严重威胁。为规范临床管理,改善母儿结局,特制订本指南。基于前期多次的临床问卷调查环节,指南制订小组确定了临床医师最关注的9个临床问题,并对其逐一给出了推荐意见,包括:AFLP的门诊筛查、诊断、术前风险评估、分娩方式选择、麻醉方式选择、围产期并发症、人工肝治疗的指征、预后的评估及治疗期间如何监测,涵盖了AFLP诊治相关的热点问题。
《2022年美国肝病学会实践指南:肝硬化失代偿期的症状管理和姑息性治疗》摘译
关富, 王胜炳, 张鸣青
2022, 38(4): 784-787. DOI: 10.3969/j.issn.1001-5256.2022.04.009
摘要(1547) HTML (1095) PDF (1869KB)(240)
摘要:
论著_病毒性肝炎
妊娠期HBV相关慢加急性肝衰竭的临床特征和转归
纪留娟, 梅雪, 袁伟, 邹颖, 刘玉, 王介非, 钱志平
2022, 38(4): 788-792. DOI: 10.3969/j.issn.1001-5256.2022.04.010
摘要(1128) HTML (282) PDF (1906KB)(79)
摘要:
  目的  探讨妊娠期HBV相关慢加急性肝衰竭(HBV-ACLF)患者的临床特征和转归。  方法  回顾性分析上海市公共卫生临床中心2008年6月—2020年7月收治的26例妊娠期HBV-ACLF患者的临床资料,包括年龄、发病孕周、产次、首发症状、入院时并发症、实验室指标(WBC、Hb、PLT、ALT、TBil、Alb、SCr、MELD评分、HBsAg、HBV DNA等)、腹部超声、分娩方式、胎儿情况、治疗措施、预后转归等。正态分布的计量资料2组间比较采用t检验;非正态分布的计量资料2组间比较采用Wilcoxon秩和检验;计数资料2组间比较采用χ2检验或Fisher精确检验。  结果  26例患者中8例均在发病后28 d内死亡,病死率达30.8%。经产妇22例,占84.6%,ACLF往往发生在妊娠晚期(20/26,76.9%),平均发病孕周为(30.9±5.8)周。HBV-ACLF临床表现不典型,首发症状常为乏力、纳差(21/26,80.8%)和尿黄(19/26,73.1%)等。死亡组的TBil(Z=-2.056,P=0.041)、凝血酶原时间(Z=-2.362,P=0.016)、国际标准化比值(Z=-2.528,P=0.009)、MELD评分(Z=-2.223,P=0.026)、首发症状至诊断时间(t=-2.468,P=0.021)、HBV DNA水平(χ2=7.571,P=0.021)、肝性脑病严重程度(χ2=24.775,P<0.001)、并发症发生率(χ2=5.951,P=0.042)显著高于存活组,而纤维蛋白原(Z=-2.667,P=0.006)、凝血酶原活动度(Z=-2.365,P=0.016)水平明显低于存活组。  结论  HBV-ACLF是妊娠晚期严重并发症,经产妇多见,短期病死率极高。其早期临床表现隐匿,高MELD评分、高病毒载量和并发症的出现往往提示预后不良。
基因6型慢性丙型肝炎的流行病学特征及抗病毒疗效分析
黄锦妮, 江建宁, 梁丹丹, 龙诗雨, 董国珍, 苏曼, 李继娇, 滕春玲, 张萍, 苏明华
2022, 38(4): 793-797. DOI: 10.3969/j.issn.1001-5256.2022.04.011
摘要(1026) HTML (259) PDF (2318KB)(78)
摘要:
  目的  分析广西地区基因6型慢性丙型肝炎(CHC)患者流行病学特点和抗病毒疗效。  方法  选取2012年12月—2020年12月在广西医科大学第一附属医院收治的97例基因6型CHC患者,其中62例经抗病毒治疗。62例患者分为干扰素治疗组(n=22)和直接抗病毒药物(DAA)治疗组(n=40)。收集患者的一般人口学资料及HCV RNA、肝功能、血常规、肾功能等指标。计数资料组间比较采用χ2检验。  结果  97例患者中男69例(71.1%),女28例(28.9%),平均年龄(41.97±10.12)岁,30~40岁感染者居多,占47.4%(46/97)。基因6a型95例(97.9%),基因6e、6xa型各1例。静脉吸毒占明确感染途径患者的63.1%(41/65),医疗相关操作14例、输血相关9例及性接触4例。干扰素治疗组总体第4周获快速病毒学应答(RVR)率、停药时病毒检测不到(Epoint)率、停药后12周获持续病毒学应答(SVR12)率、停药后24周获持续病毒学应答(SVR24)率分别为81.8%(18/22)、86.4%(19/22)、81.8%、81.8%,其中1例出现复发。DAA治疗组40例均为初治患者(非肝硬化33例,代偿期肝硬化7例),总体RVR、Epoint、SVR12率分别为87.5%(35/40)、100%、100%,无治疗失败或复发者。各DAA方案虽RVR率不同,但SVR12率均为100%。代偿期肝硬化及合并其他疾病的患者SVR12率均达100%。  结论  广西地区基因6型CHC患者的感染途径主要以静脉药瘾为主,男性多见,亚型主要为6a型;DAA治疗相对于干扰素治疗有更高的病毒学应答率,SVR12率为100%;代偿期肝硬化与非肝硬化患者的SVR12率无差别。
论著_脂肪性肝病
非酒精性脂肪性肝炎新药临床试验方案的系统评价
黄樱硕, 魏巍, 佟小非, 孙亚朦, 张健雄, 董瑞华, 贾继东, 尤红
2022, 38(4): 798-804. DOI: 10.3969/j.issn.1001-5256.2022.04.012
摘要(1741) HTML (445) PDF (3557KB)(263)
摘要:
  目的  描述国内外非酒精性脂肪性肝炎(NASH)新药临床试验的注册情况及临床试验特点,为NASH新药临床试验的设计和开展提供参考依据。  方法  检索美国临床实验数据库、中国临床试验注册中心、国家药品监督管理局药品审评中心,检索日期为建库至2021年8月6日,以“非酒精性脂肪性肝炎”和“NASH”作为关键词,纳入以NASH作为适应证的新药注册试验或干预性研究,并除外肝硬化。由两位研究者独立检索并筛选文献,提取相关信息。  结果  共纳入196项NASH新药注册试验或干预试验(174项国外注册试验,22项国内注册试验),注册量呈增长趋势,其中Ⅰ期、Ⅰ~Ⅱ期(包括Ⅰb/Ⅱa)、Ⅱ期、Ⅱ~Ⅲ期、Ⅲ期临床试验分别为45项(23.0%)、8项(4.1%)、112项(57.1%)、4项(2.0%)、19项(9.7%)。药物类型以法尼酯X受体类、成纤维细胞生长因子类、过氧化物酶体增殖物激活受体激动剂、胰高血糖素样肽-1类为主,分别为16项(8.16%)、14项(7.14%)、11项(5.61%)、13项(6.63%)。欧美地区申办方发起的NASH创新药试验最多,中国(含台湾地区)近年来的自主创新药临床试验数量逐渐增加,单中心与多中心数量分布近似。其中以NASH患者为受试对象的试验中以病理、影像学、临床诊断作为主要入选标准的试验数量分别为125项、66项和42项。Ⅰ期临床试验主要评价指标为安全性、耐受性和药代动力学指标,Ⅱ、Ⅲ期临床试验主要评价指标为安全性和有效性。中国(含台湾地区)本土NASH创新药物注册试验数量较少但逐渐增长,中药相对化学药物的新药临床试验较少。  结论  国际NASH创新药临床试验注册量增长较为显著,但多处于早期阶段,入选标准和评价指标差异较大,缺少较统一的衡量指标,新型试验设计较少。国内NASH新药临床试验相对欧美国家数量较少,呈增长趋势。
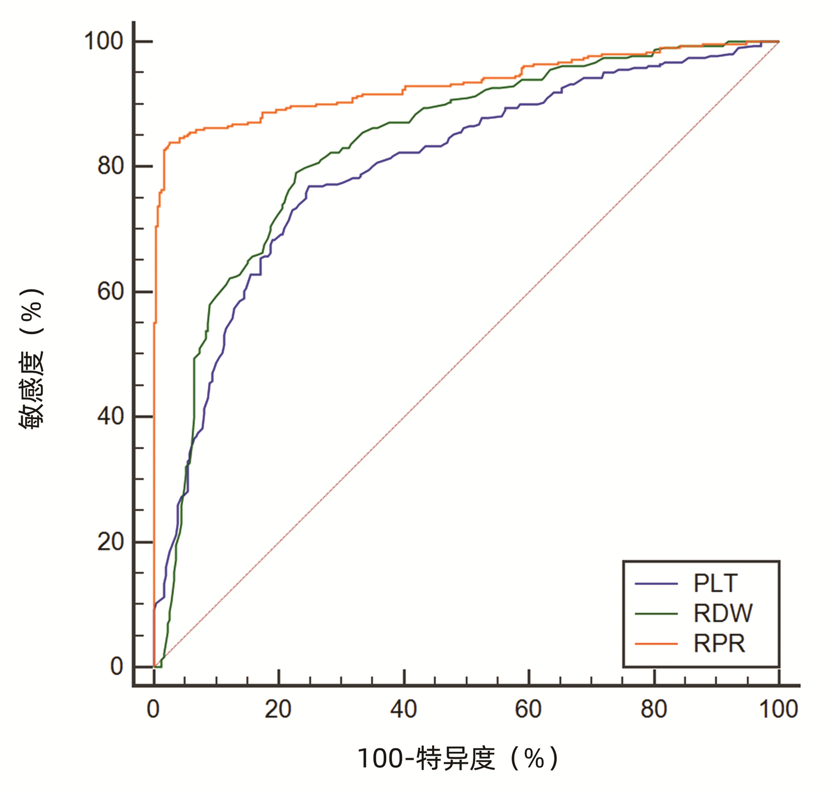
红细胞分布宽度与血小板计数比值评估代谢相关脂肪性肝病及肝硬化的价值分析
白一彤, 林连捷, 裴冬梅
2022, 38(4): 805-809. DOI: 10.3969/j.issn.1001-5256.2022.04.013
摘要(1354) HTML (554) PDF (2520KB)(122)
摘要:
  目的  评估红细胞分布宽度与血小板计数比值(RPR指数)在评价代谢相关性脂肪性肝病患者严重程度及预测脂肪肝相关肝硬化中的临床意义。  方法  选取2019年1月—2020年6月中国医科大学附属盛京医院收治的代谢相关性脂肪性肝病患者192例(A组)、脂肪肝相关肝硬化患者210例(B组)、同时期于本院体检中心健康体检的对照组206例(C组)。对研究对象进行一般测量、血细胞分析、血生化检测及腹部CT检查,并通过公式计算RPR、APRI、FIB-4指数。方差齐的计量资料3组间比较采用单因素方差分析,两两比较采用SNK法;方差不齐的计量资料3组间比较采用Kruskal -Wallis H检验,两两比较采用Mann-Whitney U检验;计数资料组间比较采用χ2检验,采用受试者工作特征曲线(ROC曲线)分析各变量预测肝硬化的准确性。  结果  3组间两两比较,RDW-SD、Alb、CREA、BMI、RPR以及APRI差异均有统计学意义(P值均<0.001)。WBC、PLT、ALT、AST、DBil、BUN以及FIB-4在A组与B组比较,差异均有统计学意义(P值均<0.05)。腰围、空腹血糖在A组分别与B组、C组比较时,差异均有统计学意义(P值均<0.001)。针对RPR指数,对轻、中、重度代谢相关性脂肪性肝病3组间进行两两比较,差异均有统计学意义(P值均<0.05)。最后对RPR、APRI、FIB-4三种无创模型预测脂肪肝相关肝硬化的诊断效能进行ROC曲线分析,AUC分别为0.932、0.815、0.877。  结论  RPR指数在肝病的不同阶段存在差异,随着脂肪肝的加重,RPR指数逐渐增高,并且对脂肪肝相关肝硬化的预警价值高于APRI和FIB-4指数。
论著_自身免疫性肝病
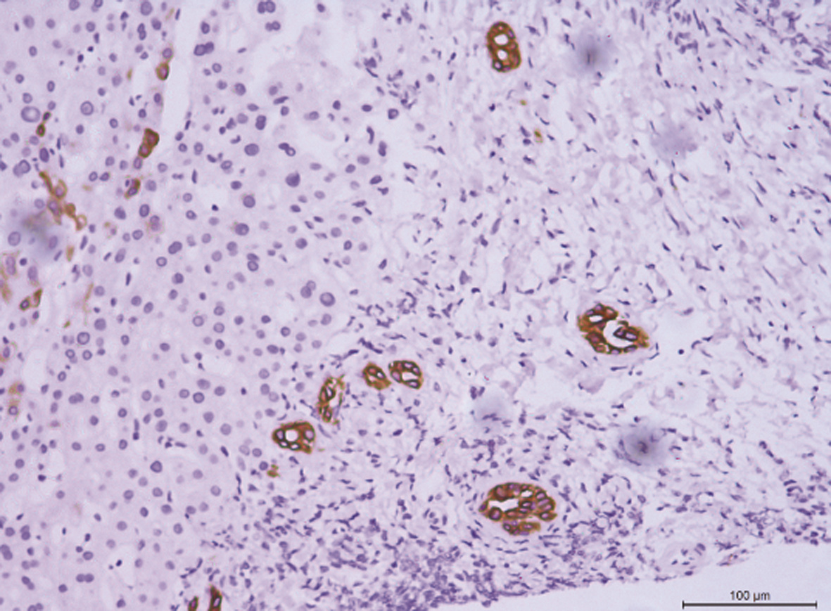
中性粒细胞胞外诱捕网在原发性胆汁性胆管炎患者中的作用初步探析
偶绎颜, 崔娜娜, 李瑶, 钱其炜, 马雄, 尤征瑞, 连敏, 王绮夏
2022, 38(4): 810-814. DOI: 10.3969/j.issn.1001-5256.2022.04.014
摘要(1558) HTML (468) PDF (3548KB)(116)
摘要:
  目的  探索原发性胆汁性胆管炎(PBC)患者外周血和肝组织内中性粒细胞胞外诱捕网(NET)表达水平,及其与临床生化指标的相关性。  方法  选取2016年8月—2020年8月上海交通大学医学院附属仁济医院收治的PBC患者24例、年龄匹配的原发性硬化性胆管炎(PSC)8例以及自身免疫性肝炎(AIH)患者19例、健康对照(HC)18例,分别检测血清中髓过氧化物酶(MPO)水平,并与临床指标进行相关性分析。利用组织免疫荧光检测PBC患者肝内NET表达情况。体外实验比较PBC患者和健康对照组外周血中性粒细胞产生NET能力的差异。满足正态分布的计量资料2组间比较采用独立样本t检验,非正态分布计量资料多组间比较采用Kruskal-Wallis H检验,2组间比较采用Mann-Whitney U检验。对MPO水平与肝脏相关实验室指标进行相关性分析,计算Spearman相关系数。  结果  PBC组血清中的MPO水平[811.21(450.67~1 216.20)ng/mL]较AIH组[468.58(142.63~812.43)ng/mL]和HC组[357.54(203.52~811.21)ng/mL] 明显升高(P值均<0.05);提示在PBC患者外周血中NET的产生量显著增加。PSC患者血清中MPO水平[763.56(489.59~1 633.14)ng/mL]也较HC组显著升高(P<0.05)。MPO水平与ALP(r=0.500,P<0.05)、GGT(r=0.426,P<0.05)、ALT(r=0.521,P<0.01)和AST(r=0.547,P<0.01)水平之间存在正相关关系。免疫荧光共聚焦显示PBC患者肝内存在H3Cit、MPO共定位。体外实验观察到PBC患者外周血中性粒细胞较健康对照在体外刺激时产生NET增多,且自发产生NET亦增高。  结论  PBC患者外周血及肝内NET增多,且外周血NET的含量与肝功能生化指标呈正相关。NET或可成为评估疾病严重程度的新型生物学标志物。
基线IgM水平对原发性胆汁性胆管炎治疗应答的预测价值
韩琳, 梁庆升, 谢欢, 陈英, 赵军, 张明月, 李保森, 董艳丽, 孙颖
2022, 38(4): 815-820. DOI: 10.3969/j.issn.1001-5256.2022.04.015
摘要(1544) HTML (326) PDF (2631KB)(116)
摘要:
  目的  研究基线IgM水平与原发性胆汁性胆管炎(PBC)患者经熊去氧胆酸(UDCA)治疗应答的关系。  方法  回顾性分析2010年1月—2020年1月解放军总医院第五医学中心确诊的637例UDCA初治PBC患者的临床资料。将PBC患者分为UDCA完全应答组(n=436)和UDCA应答不良组(n=201),比较两组患者的临床基线资料。根据基线指标预测治疗应答不良风险的受试者工作特征曲线下面积(AUC)确定IgM的最佳临界值,将患者分为IgM≥1.5×ULN组与IgM<1.5×ULN组,分析患者组间基线参数、治疗应答及预后模型评分的差异。符合正态分布的计量资料两组间比较使用t检验,非正态分布的计量资料两组间比较使用Mann-Whitney U检验;计数资料两组间比较使用χ2检验。亚组分析使用Cochran-Mantel-Haenszel检验,并绘制风险值森林图。  结果  UDCA应答不良组患者基线存在肝硬化、TBil、AST、ALP、总胆汁酸、总胆固醇、IgA、IgM水平及抗Gp210阳性率均明显高于完全应答组患者(χ2=4.596,Z值分别为-9.932、-8.931、-8.361、-7.836、-4.694、-3.242、-2.115,χ2=15.931,P值均<0.05)。Mayo风险评分(MRS)、Globe评分、UK-PBC风险评分在应答不良组均显著高于完全应答组(t=4.092,Z值分别为-10.910、-11.646,P值均<0.001)。IgM升高组患者AST、ALP、总胆固醇、IgA、IgG水平及抗Gp210阳性率显著高于IgM正常组(Z值分别为-3.774、-5.063、-4.344、-2.051、-6.144,χ2=25.180,P值均<0.05)。IgM预测UDCA应答不良的AUC为0.552。IgM≥1.5×ULN组患者的AST、ALP、总胆固醇、IgG、抗Gp210阳性率、UDCA应答不良率高于IgM<1.5×ULN组患者(Z值分别为-4.193、-5.044、-3.250、-5.465,χ2=25.204、8.948,P值均<0.05)。IgM≥1.5×ULN预测应答不良风险值为1.416 (95%CI:1.129~1.776, P=0.003)。亚组分析中,无肝硬化患者,IgM≥1.5×ULN预测应答不良风险值为1.821(95%CI:1.224~2.711, P=0.003)。  结论  基线IgM水平对于预测UDCA应答具有重要价值,基线IgM水平较高的PBC患者,治疗中应密切监测IgM水平,如持续异常,应及时联合二线药物治疗。
论著_肝纤维化及肝硬化
解毒化瘀通腑方对乙型肝炎肝硬化肝胆湿热证患者肠道菌群的影响
刘江凯, 牛亚蒙, 李素领, 马庆亮, 张建文, 张雅儒, 李冰倩
2022, 38(4): 821-827. DOI: 10.3969/j.issn.1001-5256.2022.04.016
摘要(1201) HTML (228) PDF (3527KB)(82)
摘要:
  目的  研究解毒化瘀通腑方对乙型肝炎肝硬化肝胆湿热证患者肠道稳态的调节作用及对内毒素、炎性因子和细胞免疫功能的影响。  方法  纳入2019年6月至2021年1月在河南中医药大学第一附属医院就诊,符合诊断及纳入标准的72例患者为研究对象,随机分为观察组和对照组,每组各36例。其治疗组脱落2例,剔除2例,完成32例;对照组脱落2例,剔除1例,完成33例。两组均给予抗病毒、保肝等基础治疗,观察组加服解毒化瘀通腑颗粒,对照组给予双歧杆菌四联活菌片口服,疗程为4周。运用16S rDNA测序技术对两组粪便菌群进行基因测序,同时检测治疗前后肝功能(ALT、AST、TBil、Alb)、内毒素(ET)、TNFα、IL-6水平以及T淋巴细胞亚群(CD3+T、CD4+T、CD8+T、CD4+/CD8+)的变化。计量资料服从正态分布及方差齐性时,组内比较采用配对t检验,2组间比较用独立样本t检验,不服从正态分布时用Wilcoxon秩和检验;计数资料组间比较采用χ2检验。  结果  观察组临床总有效率为87.5%,对照组总有效率为60.6%,观察组总有效率明显高于对照组(χ2=-2.299,P=0.022)。两组治疗后ALT、AST、TBil均降低,Alb水平升高(P值均<0.05),与对照组相比,观察组TBil水平降低更显著(Z=-2.165,P=0.030)。两组患者治疗后CD3+T、CD4+T、CD4+/CD8+水平均明显改善, 且观察组较对照组更显著(Z值分别为-2.146、-2.940、3.157,P值分别为0.032、0.003、0.002)。两组患者治疗后炎性因子TNFα、IL-6与ET水平均明显下降,且观察组优于对照组(Z值分别为-2.139、-1.982、-2.062,P值分别为0.032、0.048、0.043)。两组治疗后OTU数量均较前上升。肠道菌群结构丰度在门水平上,观察组治疗后厚壁菌门丰度的上升和拟杆菌门丰度的下降较治疗前更显著(Z值分别为-3.181、-2.215,P值分别为0.001、0.027);与对照组相比,观察组厚壁菌门、蓝细菌门丰度的升高和拟杆菌门、梭菌门、ε-变形菌门的降低更明显(P值均<0.05);在属水平上,观察组双歧杆菌属较治疗前升高更明显(Z=-2.045,P=0.041)。Alpha多样性分析表明,观察组Chao1、Ace指数较治疗前升高更加显著(t值分别为-4.263、-3.328,P值分别为0.001、0.005),其中Ace指数较对照组上升更明显(t=2.292,P=0.030)。Beta多样性分析表明,各组菌群构成相似,无明显统计学差异(P值均>0.05)。  结论  在病因及基础治疗的基础上联合解毒化瘀通腑方治疗能够缓解乙型肝炎肝硬化肝胆湿热证患者临床症状,减轻肝损伤,改善细胞免疫功能。解毒化瘀通腑方可能通过增加厚壁菌门、乳杆菌属、双歧杆菌属等有益菌的丰度和减少拟杆菌门、梭菌门等致病菌的丰度来改善患者肠道菌群失调,其对肝脏和免疫功能的进一步改善作用可能与调整肠道微生态有关。
斯特鲁普测试对轻微性肝性脑病的诊断价值
王腾, 朱伊静, 赵守松
2022, 38(4): 828-831. DOI: 10.3969/j.issn.1001-5256.2022.04.017
摘要(1286) HTML (461) PDF (2164KB)(91)
摘要:
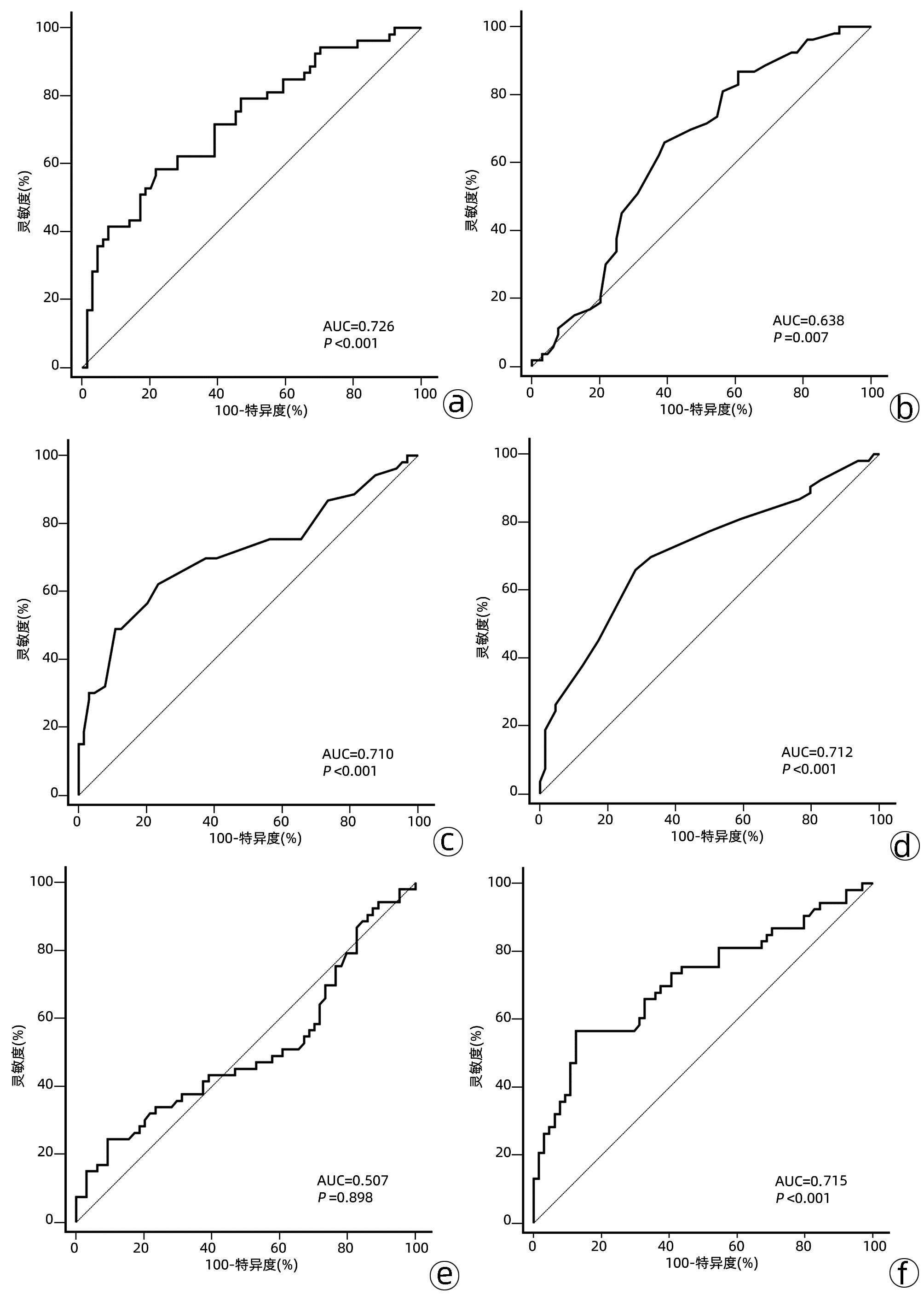
  目的  探讨神经心理学测试——斯特鲁普(Stroop)测试对轻微性肝性脑病(MHE)的诊断价值。  方法  选取2020年8月-2021年3月于蚌埠医学院第一附属医院感染性疾病科住院治疗的96例肝硬化患者, 进行数字连接试验A(NCT-A)、数字符号试验(DST)、动物命名试验(ANT)及Stroop测试, 记录测试结果并收集临床数据。正态分布的计量资料组间比较采用t检验; 非正态分布的计量资料2组间比较采用Mann-Whitney U检验。计数资料组间比较采用χ2检验。采用ROC曲线评价Stroop测试对MHE的诊断价值, Pearson相关系数分析Stroop测试结果与NCT-A、DST、ANT的相关性。  结果  96例肝硬化患者中, MHE患病率为30.21%(29/96)。Stroop测试的Off+On总时间诊断MHE时的截断值为212.49 s, 其AUC为0.845, 敏感度为93.10%, 特异度为64.20%。Pearson相关系数分析结果显示, Stroop测试结果中的On+Off时长、On时长与NCT-A呈中等相关(r值分别为0.580、0.590, P值均 < 0.01), Off时长与NCT-A呈强相关(r=0.620, P < 0.01);On+Off时长、On时长、Off时长与DST均呈强相关(r值分别为-0.650、-0.650、0.630, P值均 < 0.01)。  结论  在诊断MHE中, Stroop测试是一项敏感度高、无需专业设备、结果易读、诊断价值高的方法。
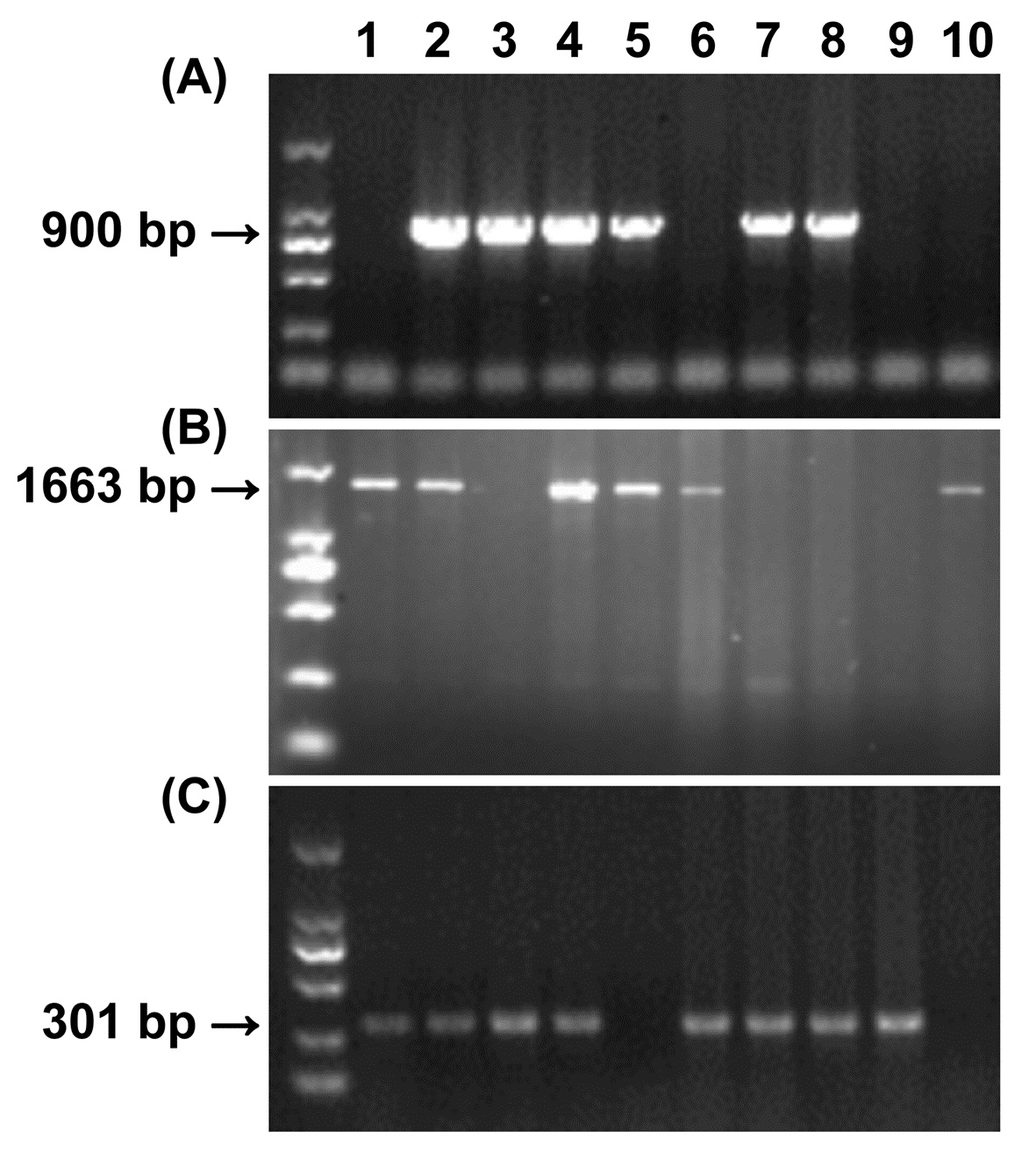
血管内皮间质样转分化遗传示踪小鼠模型的构建及其在肝纤维化研究中的应用
许皓, 阮柏, 历志文, 房志强, 王琳, 窦科峰
2022, 38(4): 832-836. DOI: 10.3969/j.issn.1001-5256.2022.04.018
摘要(1569) HTML (790) PDF (4480KB)(92)
摘要:
  目的  构建Cdh5-CreERT/Acta2-tdTomato-STOPfloxed-eGFP knockin遗传示踪小鼠, 并探究其在肝纤维化血管内皮细胞转化研究中的应用。  方法  将Cdh5-CreERT小鼠和Acta2-KI小鼠进行交配繁育, 经PCR基因型鉴定得到Cdh5-CreERT/Acta2-KI遗传示踪小鼠。通过分离、培养原代肝血窦内皮细胞(LSEC)和建立CCl4肝纤维化模型, 取LSEC和肝脏组织, 分别进行免疫荧光染色, 观察荧光蛋白tdTomato和eGFP的表达。  结果  经他莫昔芬诱导后, Cdh5-CreERT/Acta2-KI遗传示踪小鼠的LSEC和肝脏组织在体内外建立的内皮-间质样转分化条件下可表达eGFP, 而未经诱导的对照组只表达tdTomato。  结论  成功构建的Cdh5-CreERT/Acta2-KI遗传示踪小鼠可实现对血管内皮-间质样转分化的有效标记, 并为肝纤维化中肌纤维母细胞来源的多样性提供新的遗传示踪学依据。
论著_肝脏肿瘤
超米兰标准肝细胞癌肝移植术后复发预测模型的建立
张炜琪, 谢炎, 陈池义, 贺健, 谭玉莹, 黄亚北, 张骊, 蒋文涛
2022, 38(4): 837-842. DOI: 10.3969/j.issn.1001-5256.2022.04.019
摘要(1012) HTML (498) PDF (2530KB)(83)
摘要:
  目的  根据患者术前和术后相关指标建立一个预测超米兰标准肝细胞癌(HCC)患者肝移植术后复发的模型。  方法  回顾性分析2014年8月-2018年7月在天津市第一中心医院接受首次原位肝移植的超米兰标准HCC患者的临床资料。根据随访期间肿瘤是否复发, 将患者分为复发组和未复发组。计量资料组间比较采用t检验或Mann-Whitney U检验, 计数资料组间比较使用χ2检验或Fisher精确检验。生存曲线采用Kaplan-Meier法构建, 曲线间差异采用log-rank检验。使用单因素和多因素Cox比例风险回归筛选影响术后无复发生存的危险因素。根据筛选得出的危险因素建立预测超米兰标准HCC患者肝移植术后复发的模型, 使用受试者工作特征曲线(ROC曲线)下面积来判断预测效能, Hosmer-Lemeshow检验用于评估模型的拟合优度。  结果  共纳入117例超米兰标准HCC患者, 中位随访时间24(1~74)个月。共53例(45.3%)患者术后复发, 其中52例(98.1%)于术后3年内复发, 中位复发时间为6(1~52)个月。Cox风险回归分析显示患者术前血清甲胎蛋白(AFP)>769 ng/mL, 中性粒细胞与淋巴细胞比值(NLR)>3.75以及ki67指数>0.25是患者肝移植术后无复发生存的独立危险因素(P值均 < 0.05)。根据这3个危险因素建立的评分模型ROC曲线下面积为0.843, 并且具有良好的灵敏度(88.7%)及特异度(70.3%)。根据约登指数最大化标准选取最佳截断值, 将患者分为低危组(0~1分)和高危组(1.5~4分), log-rank检验显示低危组患者术后3年、5年无复发生存率(84.1%、72.0%)明显高于高危组(10.9%、10.9%)(χ2=29.425, P < 0.001)。  结论  超米兰标准肝癌肝移植要慎重进行, 本研究根据患者术前AFP、NLR以及ki67指数建立的预测模型有助于更精准地把握此类患者的肝移植指征。
炎症标志物对早期小肝癌行射频消融术预后的预测价值
楚伟可, 吴雪, 张鹏, 冯婧, 牛斌, 周辉, 宓余强, 李萍
2022, 38(4): 843-850. DOI: 10.3969/j.issn.1001-5256.2022.04.020
摘要(1155) HTML (311) PDF (4242KB)(75)
摘要:
  目的  探讨中性粒细胞/淋巴细胞比值(NLR)、红细胞分布宽度/淋巴细胞比值(RLR)及淋巴细胞/单核细胞比值(LMR)在早期小肝癌射频消融术后的预后价值。  方法  选取2011年9月-2020年12月在天津市第二人民医院行射频消融术的132例初诊早期肝细胞癌(HCC)患者。收集患者术前资料并随访观察复发和生存情况。运用X-tile工具以5年生存率及无复发生存率确定NLR、RLR和LMR的最佳截断值并组合成为N-R-L评分, 并据此分为N-R-L 0分组(n=92)、N-R-L 1分组(n=29)和N-R-L 2分组(n=11)。计数资料3组间比较采用χ2检验。采用Kaplan-Meier方法绘制生存曲线, 并用log-rank检验对无复发生存率及总体生存率进行组间比较。单因素分析采用log-rank检验, 并将log-rank检验分析中具有统计学意义的因素纳入多因素Cox回归分析以确定无复发生存率与总生存率的危险因素。  结果  N-R-L 0分、N-R-L 1分和N-R-L 2分组的组间Child-Pugh分级、Alb比较差异均有统计学意义(χ2值分别为10.992、5.699, P值均 < 0.05)。3组的1、3和5年总体生存率分别为100%、96.3%、90.7%, 96.6%、60.4%、41.3%和81.8%、46.8%、15.6%(χ2=38.460, P < 0.000 1);3组的1、3和5年无复发生存率分别为76.9%、52.5%、33.3%, 42.9%、13.1%、0和11.1%、0、0(χ2=35.345, P < 0.000 1)。多因素Cox回归分析显示, 肿瘤直径≥ 2 cm(HR=2.10, 95%CI: 1.28~3.43, P=0.003; HR=3.67, 95%CI: 1.58~8.52, P=0.002)、N-R-L评分1分(HR=3.14, 95%CI: 1.81~5.46, P < 0.000 1; HR=8.27, 95%CI: 3.15~21.71, P < 0.000 1)以及N-R-L评分2分(HR=2.61, 95%CI: 1.06~6.42, P=0.037; HR=14.59, 95%CI: 3.96~53.78, P < 0.000 1)是无复发生存与总生存的独立预测因素。  结论  由NLR、RLR和LMR组合而成的全身炎症反应标志物N-R-L评分是早期小肝癌射频消融术后复发和生存的独立危险因素, 可作为有用的无创生物标志物, 与肿瘤特征联合用来预测早期HCC射频消融术后的复发和生存。
DynaCT在原发性肝癌患者经肝动脉化疗栓塞术中的指导作用及对疗效的评估价值
杨怀龙, 钟唐力
2022, 38(4): 851-856. DOI: 10.3969/j.issn.1001-5256.2022.04.021
摘要(1009) HTML (267) PDF (2417KB)(76)
摘要:
  目的  探讨分析肝癌经肝动脉化疗栓塞术(TACE)治疗患者采用DynaCT的效果及对患者预后的影响。  方法  选择2017年5月-2019年5月在川北医学院附属第二医院就诊的原发性肝癌患者73例, 将患者随机分为观察组(n=38)和对照组(n=35)。对照组患者仅行2D-DSA造影下TACE治疗, 观察组患者在2D-DSA造影后再行DynaCT造影。比较两组患者手术时间、X线曝光量以及造影剂用量, 2D-DSA造影与DynaCT造影对肝内肿瘤病灶检出情况及供血动脉显示情况, 二维X线透视与平扫DynaCT对肿瘤病灶内碘化油沉积的评估。两组间计量资料比较采用独立样本t检验, 计数资料两组间比较采用χ2检验; 绘制Kaplan-Meier生存曲线分析生存情况, 两组间比较采用log-rank检验。  结果  两组患者手术时间、X线曝光量以及造影剂用量比较差异均无统计学意义(P值均>0.05)。观察组患者中共检出肿瘤病灶93个, 病灶供血动脉阳性占比为84.95%(79/93), 对照组患者中共检出肿瘤病灶61个, 病灶供血动脉阳性占比为55.74%(34/61), 观察组患者病灶中供血动脉检出阳性占比显著高于对照组(χ2=16.088, P < 0.05)。术后对两组患者的113个病灶进行碘化油沉积分析, 二维X线透视显示89个病灶碘油均匀沉积, 24个病灶碘油部分或全部缺失; 而平扫DynaCT显示78个病灶碘油均匀沉积, 35个病灶碘油部分或全部缺失。观察组患者术后总体生存情况显著优于对照组(χ2=4.347, P=0.037)。  结论  DynaCT在不增加术中X线曝光量与术中造影剂使用量的同时, 能够提高对肝内乏血病灶和重叠病灶的检出率, 从而提高插管准确性, 减少患者血管损伤, 同时也可应用于栓塞术后碘化油沉积评价, 在肝癌TACE术中具有重要的应用价值, 有助于改善患者术后生存。
6-姜酮酚抑制肝内胆管癌细胞的增殖、迁移、侵袭作用及其机制探讨
陈泽昊, 朱文杰, 申兵兵, 江建新
2022, 38(4): 857-864. DOI: 10.3969/j.issn.1001-5256.2022.04.022
摘要(1990) HTML (574) PDF (9970KB)(134)
摘要:
  目的  研究6-姜酮酚(6-Paradol)对人肝内胆管癌细胞增殖、迁移、侵袭的作用及机制。  方法  人肝内胆管癌细胞系HCCC 9810和HUCCT1以不同浓度的6-Paradol及等体积的DMSO(对照组)处理后,采用CCK-8、平板克隆、划痕愈合及Transwell实验检测其增殖、迁移及侵袭能力。应用生物信息学软件Swiss Target Prediction预测6-Paradol作用的蛋白靶点,采用Western blot检测胆管癌细胞中STAT3、p-STAT3、SRC、p-mTOR、p21、Bcl-2以及p53的蛋白表达水平;采用药物亲和反应实验(DARTS)探究6-Paradol与STAT3的相互作用;胆管癌HCCC 9810和HUCCT1细胞分别转染STAT3过表达质粒或sh-p21质粒后,qRT-PCR检测各组细胞中STAT3和p21的mRNA水平,Western blot检测STAT3和p21的蛋白表达量;CCK-8、划痕愈合及Transwell实验检测各组细胞增殖及迁移侵袭能力。计量资料两组间比较采用t检验;多组间比较采用方差分析,进一步两两比较采用LSD-t检验。  结果  与对照组相比,6-Paradol处理组中各组细胞的增殖、迁移、侵袭能力明显减弱(P值均<0.05)。6-Paradol处理组细胞中STAT3、p-STAT3的表达水平较对照组显著下调(P值均<0.05),p21的表达水平显著增加(P值均<0.05),而Bcl-2、SRC和p-mTOR的表达水平无明显变化(P值均>0.05)。6-Paradol处理组中STAT3被蛋白酶水解的比例分别减少了48.66%、45.33%(t值分别为16.64、8.76, P值均<0.05);分别转染STAT3过表达质粒及沉默p21质粒后,胆管癌细胞中STAT3 mRNA水平均显著增加(tHCCC 9810=2.82,tHUCCT1=5.60,P值均<0.05),p21 mRNA水平均显著降低(tHCCC 9810=6.84,tHUCCT1=3.91, P值均<0.05)。CCK-8结果提示6-Paradol作用48 h及72 h后HCCC 9810细胞和HUCCT1细胞中STAT3过表达组的增殖率较单独给药组显著提高,p21沉默组增殖率较单独给药组也明显提高(P值均<0.05)。划痕愈合实验结果提示在过表达STAT3或沉默p21的HCCC 9810及HUCCT1细胞中,与单独给药组相比划痕愈合率明显提升(P值均<0.05)。Transwell实验结果表明,在过表达STAT3或者沉默p21表达的HCCC 9810及HUCCT1细胞中,与单独给药组相比迁移率均明显提升(P值均<0.05);在过表达STAT3或沉默p21表达的HCCC 9810及HUCCT1细胞中,与单独给药组相比侵袭率均显著提升(P值均<0.05)。  结论  6-Paradol通过靶向作用于STAT3-p21通路抑制胆管癌细胞的增殖、迁移和侵袭。
益脾养肝方对大鼠肝癌前病变肝干细胞恶性转化的影响和作用机制
鞠迪, 李汨, 韩曼, 房冰莹, 闫曙光, 李京涛
2022, 38(4): 865-871. DOI: 10.3969/j.issn.1001-5256.2022.04.023
摘要(1700) HTML (527) PDF (3795KB)(77)
摘要:
  目的  探讨益脾养肝方对二乙基亚硝胺(DEN)诱导的肝癌前病变中肝干细胞恶性转化的影响及可能的分子机制。  方法  将35只雄性SD大鼠随机分为正常对照组(空白组)、DEN模型组(模型组)、DEN+益脾养肝方组(益脾养肝方组)和DEN+护肝片组(护肝片组),空白组5只,其余3组各10只。腹腔注射DEN诱导肝癌前病变模型,给药16周后处死。检测血清ALT、AST、Alb水平;取肝组织观察并记录其大小、外观等变化,计算肝重比(肝脏指数);HE染色、天狼星红染色观察大鼠肝组织病理形态学改变;免疫组化检测OV6和谷胱甘肽S转移酶(GST-Pi)的表达;实时定量PCR检测EpCAM、CD133和CD90 mRNA的表达;Western Blot检测PI3K、Akt、mTOR蛋白及其磷酸化水平的表达。计量资料多组间比较采用单因素方差分析,进一步两两比较采用LSD-t检验。  结果  与模型组相比,益脾养肝方组和护肝片组肝脏病理形态显著改善,肝脏指数、ALT和AST水平降低、Alb水平升高(P值均<0.05);同时GST-Pi、OV6、p-PI3K、p-Akt、p-mTOR蛋白和EpCAM、CD133、CD90 mRNA表达均明显降低(P值均<0.05)。与护肝片组相比,益脾养肝方组对肝脏的保护作用更显著,其肝脏指数、ALT和AST水平显著降低、Alb水平显著升高(P值均<0.05);且GST-Pi、OV6、p-PI3K、p-Akt、p-mTOR蛋白和EpCAM、CD133、CD90 mRNA表达水平均显著降低(P值均<0.05)。  结论  益脾养肝方可通过抑制肝干细胞恶性转化改善DEN诱导的大鼠肝癌前病变,其作用机制可能与PI3K/Akt/mTOR信号通路有关。
期刊分析与评价
SCIE收录的胃肠肝病学期刊发表的中国内地作者的肝脏疾病研究文献计量分析
赵天业, 吴燕华, 潘禹辰, 易嘉欣, 吕海永, 牛俊奇, 姜晶
2022, 38(4): 872-877. DOI: 10.3969/j.issn.1001-5256.2022.04.024
摘要(1167) HTML (366) PDF (2017KB)(99)
摘要:
  目的  检索2016年—2020年中国(不含港澳台地区)作者在SCIE(Science Citation Index Expanded)数据库收录的胃肠肝病学期刊上发表的肝脏疾病相关论文,对其题录与引文数据进行统计分析,以了解中国学者在肝脏疾病研究领域的贡献及其影响力。  方法  文献计量学分析数据来源于SCIE数据库与JCR(Journal Citation Report)。在SCIE数据库中检索出版年为2016年—2020年发表在JCR胃肠肝病学期刊上,题名或摘要中包含Liver、Hepatocellular、Hepatitis、Cirrhosis或Hepatic,出版物类型为Article的期刊文章,排除临床指南,并筛选通信作者单位含有中国(不含港澳台地区)机构的记录。使用R package bibliometrix计算纳入文献在2016年—2020年被中国作者和全球作者在胃肠肝病学期刊发表的肝脏疾病研究引用的频次。使用R package DescTools对构成比的变化进行Cochran-Armitage趋势检验。  结果  2016年—2020年Q1区胃肠肝病学期刊上,中国作者发表的肝脏疾病研究占比为9.5%。近年,中国作者在高水平胃肠肝病学期刊(Q1区)上发表的肝脏疾病研究数量不断增加,占全球研究的比例从6.0%不断上升至12.2%(P<0.001)。中国作者在Q1区胃肠肝病学期刊发表的肝脏疾病研究获国自然基金资助的比例达79.7%,5年间,各分区胃肠肝病学期刊上发表的中国作者的研究获国自然基金资助的比例均无明显变化。比较被中国与全球作者在胃肠肝病学期刊上发表的肝脏疾病研究引用频次,显示了中国作者发表的在国内和国际学界均具有较高影响的肝脏疾病研究。  结论  近年,中国作者在SCIE收录、高影响力的胃肠肝病学期刊发表的肝脏疾病研究数量不断增加,其中大部分研究获国自然基金资助。中国学者在胃肠肝病学期刊上发表的肝脏疾病论文被国内学界和国际学界广泛认可。
病例报告
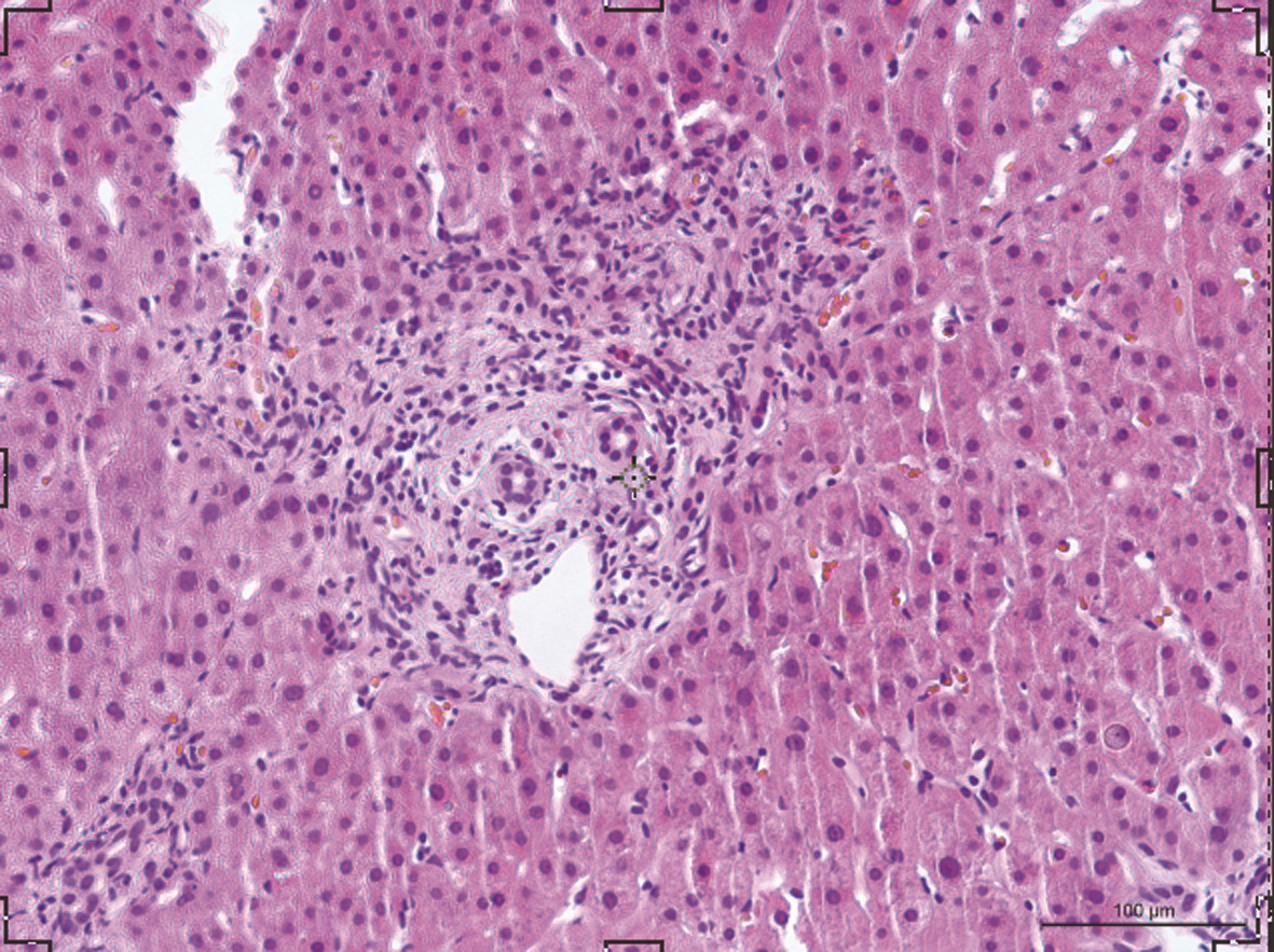
抗-HAV-IgM阳性的自身免疫性肝炎-原发性胆汁性胆管炎重叠综合征1例报告
何艳莎, 刘华宝, 宋翊, 陈新瑜, 饶春燕
2022, 38(4): 878-879. DOI: 10.3969/j.issn.1001-5256.2022.04.025
摘要(1013) HTML (288) PDF (2112KB)(74)
摘要:
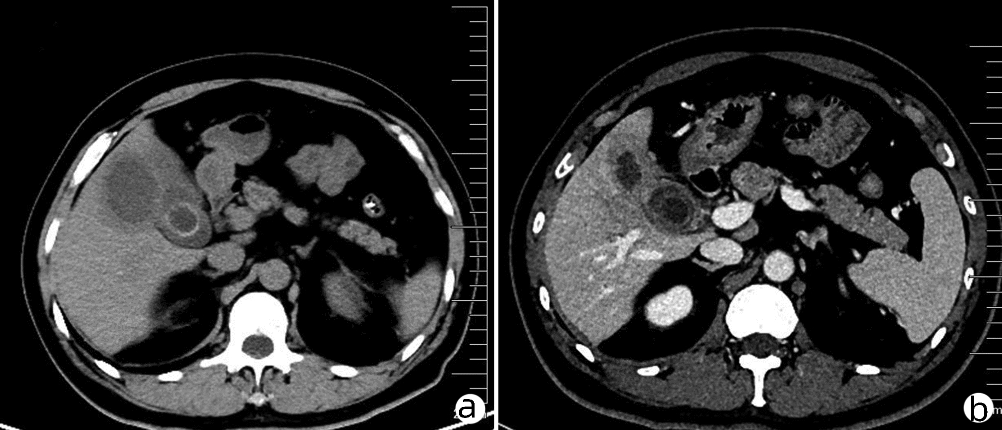
局部栓塞联合靶向免疫综合治疗肝肉瘤样癌1例报告
雷进, 张林枝, 陆荫英, 陈博文, 左石
2022, 38(4): 880-882. DOI: 10.3969/j.issn.1001-5256.2022.04.026
摘要(1323) HTML (453) PDF (3487KB)(82)
摘要:
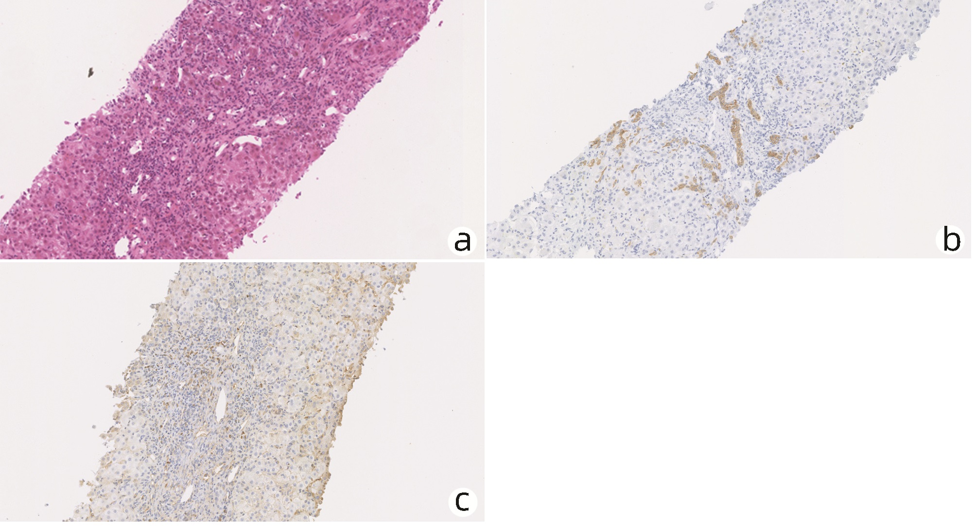
以肝损害为主要表现的嗜酸粒细胞增多症1例报告
吴昊, 郑欣, 朱磊, 杨冬
2022, 38(4): 883-885. DOI: 10.3969/j.issn.1001-5256.2022.04.027
摘要(2108) HTML (304) PDF (2636KB)(144)
摘要:
长期孤立性巨天冬氨酸转氨酶升高1例报告
李东泽, 屈蒙蒙, 游绍莉, 吕飒
2022, 38(4): 886-887. DOI: 10.3969/j.issn.1001-5256.2022.04.028
摘要(919) HTML (393) PDF (2263KB)(90)
摘要:
遗传性球形红细胞增多症合并Gilbert综合征1例报告
张玉姣, 郑英, 王秀红, 蔡颖, 马安林
2022, 38(4): 888-890. DOI: 10.3969/j.issn.1001-5256.2022.04.029
摘要(1617) HTML (332) PDF (2495KB)(97)
摘要:
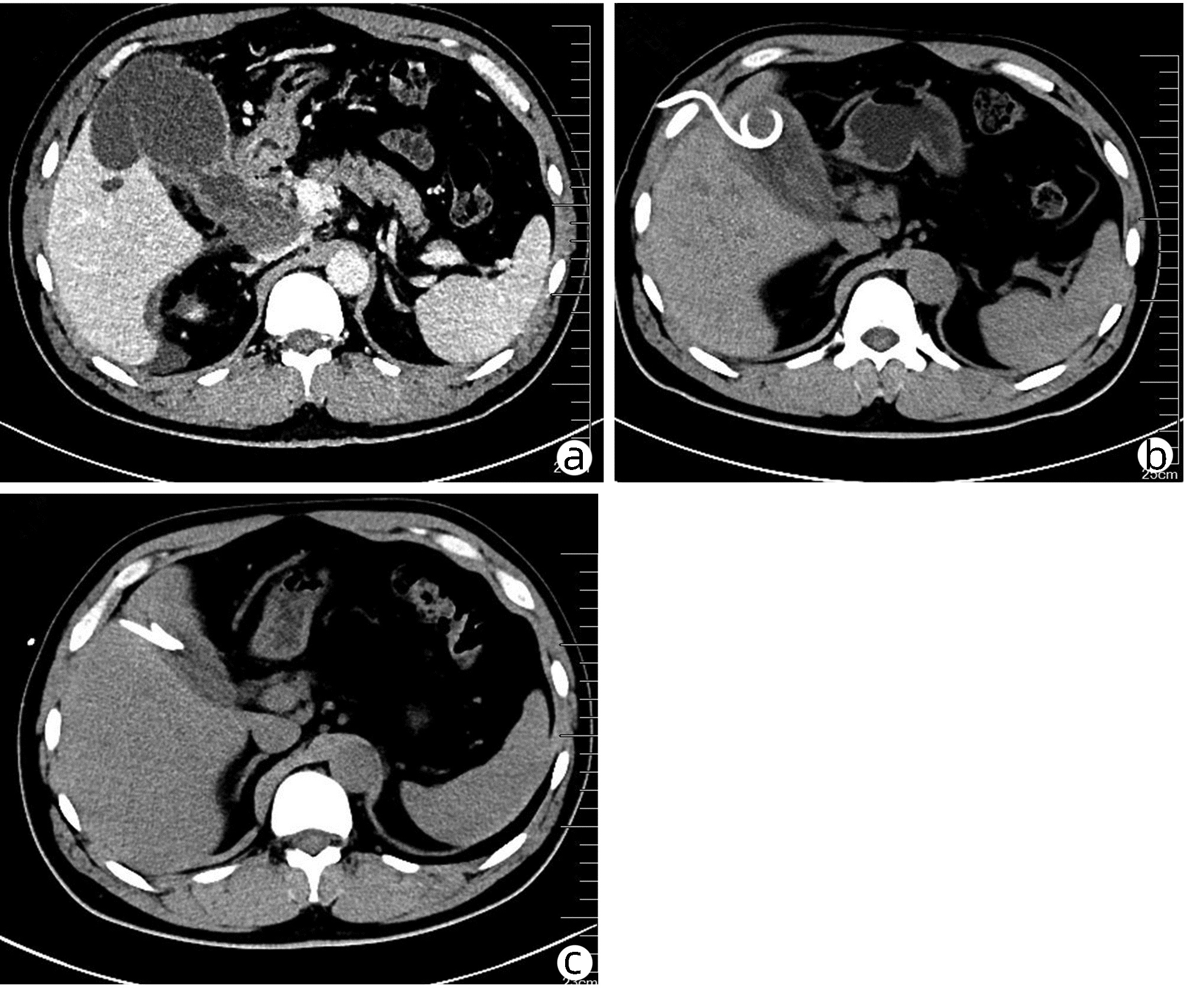
肝移植术后自发性肝破裂出血1例报告
马健, 何力宏, 王凌云, 翟亚楠, 李汛, 张磊
2022, 38(4): 891-893. DOI: 10.3969/j.issn.1001-5256.2022.04.030
摘要(1066) HTML (365) PDF (3041KB)(58)
摘要:
II型胆囊穿孔致肝脓肿3例报告并文献复习
任少雄, 梁泽, 韩景钊, 脱红芳, 彭彦辉
2022, 38(4): 894-897. DOI: 10.3969/j.issn.1001-5256.2022.04.031
摘要(1209) HTML (287) PDF (2784KB)(66)
摘要:
综述
数字疗法在非酒精性脂肪性肝病治疗中的应用
孙超, 范建高
2022, 38(4): 898-901. DOI: 10.3969/j.issn.1001-5256.2022.04.032
摘要(1540) HTML (429) PDF (1884KB)(211)
摘要:
非酒精性脂肪性肝病(NAFLD)已成为全球第一大慢性肝病,严重危害人类健康。迄今为止,改变不良的生活方式仍是最重要的NAFLD治疗措施。然而,传统生活方式干预依赖于医院复诊随访,患者执行力和依从性差,而借助互联网技术的数字疗法可克服这些弊端,在NAFLD患者中的应用初见成效。本文概述了数字疗法在医学和NAFLD治疗中的应用,旨在为NAFLD的治疗提供借鉴。
虎杖活性成分治疗非酒精性脂肪性肝病的相关信号通路及相互作用
李淑娣, 陈欣菊, 刘江凯, 王振, 段飞, 袁卓雅, 梁磊, 李素领
2022, 38(4): 902-907. DOI: 10.3969/j.issn.1001-5256.2022.04.033
摘要(1805) HTML (719) PDF (2076KB)(75)
摘要:
非酒精性脂肪性肝病(NAFLD)的发病机制尚不清楚,且目前尚无任何治疗NAFLD的有效药物获批。虎杖是药用历史悠久的天然中药,研究证实其在治疗NAFLD中可发挥重要作用。本文通过梳理近年来虎杖活性成分应用于NAFLD的相关研究成果,可见虎杖活性成分通过调控核因子E2相关因子2、腺苷酸活化蛋白激酶、NF-κB、沉默信息调节因子1和过氧化物酶体增殖物激活受体α等多条相关信号通路,发挥改善胰岛素抵抗、抗氧化应激、调节脂质代谢、改善内质网应激、减轻炎症浸润等作用,达到防治NAFLD的作用,以期为NAFLD治疗药物研发及机制探索提供依据和思路。
新型无创技术在指导自身免疫性肝炎诊疗中的作用
刘怀鄂, 钱建丹, 张驰, 刘艺琪, 李志, 赵鸿, 王贵强
2022, 38(4): 908-912. DOI: 10.3969/j.issn.1001-5256.2022.04.034
摘要(1123) HTML (249) PDF (1911KB)(90)
摘要:
自身免疫性肝炎(AIH)是由自身免疫反应介导的肝脏炎症性疾病。准确评估肝脏炎症进展程度,筛选需要皮质类固醇治疗的患者,评价治疗效果,在AIH的诊疗过程中具有重要意义。本文介绍了近年来临床和实验研究中发现的多种具有潜在评估AIH进展程度价值的新型无创技术,并简述了各项技术的优缺点。总结了新型的无创技术在指导AIH的皮质类固醇诊疗过程中具有更多优势,但仍需进一步开展临床研究验证。
对熊去氧胆酸应答不佳或不耐受的原发性胆汁性胆管炎患者应用奥贝胆酸和贝特类药物治疗的研究进展
帅俊芳, 韩子岩
2022, 38(4): 913-917. DOI: 10.3969/j.issn.1001-5256.2022.04.035
摘要(1297) HTML (827) PDF (1927KB)(139)
摘要:
熊去氧胆酸治疗原发性胆汁性胆管炎会发生应答不佳或不耐受,更换为奥贝胆酸或贝特类单药或联合治疗后,部分治疗方案也会出现应答不佳或不耐受。近年奥贝胆酸和贝特类药物临床研究逐步解决这些问题,奥贝胆酸/贝特类药物与熊去氧胆酸的联合治疗对非晚期肝硬化原发性胆汁性胆管炎患者是有效和安全的。
附脐静脉开放对肝硬化食管静脉曲张发生及出血的影响:保护因素还是危险因素?
陈智鹏, 尹芳
2022, 38(4): 918-922. DOI: 10.3969/j.issn.1001-5256.2022.04.036
摘要(2472) HTML (968) PDF (2602KB)(80)
摘要:
既往研究认为,肝硬化门静脉高压时附脐静脉开放能够减少门静脉血流,降低门静脉压力,减少食管静脉曲张及出血的发生,但临床上对此尚存争论。本文从门静脉侧支循环形成及附脐静脉特点、附脐静脉开放定义及诊断、附脐静脉开放对食管静脉曲张发生及出血的影响等3个方面回顾总结,认为附脐静脉开放并不能够减少食管静脉曲张及出血的发生。与既往观点相反,附脐静脉开放更应作为肝硬化门静脉高压进展的一个表现,易导致肝性脑病的发生,临床上应注意针对性预防。
早期肝癌无创诊断之匙——循环游离DNA联合型液体活检
叶婷丹, 雷学忠
2022, 38(4): 923-926. DOI: 10.3969/j.issn.1001-5256.2022.04.037
摘要(1426) HTML (619) PDF (1983KB)(149)
摘要:
循环游离DNA(cfDNA)被认为是诊断早期肝癌极具研究前景的液体活检切入点。但不少研究证实单独使用cfDNA作为检测指标其诊断效能缺乏稳定性,尤其是单纯定量分析并不能很好地反映肿瘤情况。而更多研究表示cfDNA适宜多指标联合检测或与其他肝癌诊断标志物进行联合检测。本文回顾了截至2021年7月以cfDNA为出发点的联合型液体活检相关文献,归纳了现有研究中的各联合检测方式,首次就其联合诊断方法的诞生及研究进展进行简要综述,进一步明确cfDNA联合液体活检在诊断早期肝癌中的重要意义与潜力,以期为更好地利用肝癌诊断标志物提供探索思路。
PM2.5在肝癌发生发展中的作用
左飞, 李国东, 刘明
2022, 38(4): 927-930. DOI: 10.3969/j.issn.1001-5256.2022.04.038
摘要(1136) HTML (494) PDF (2682KB)(68)
摘要:
平均空气动力学直径≤2.5 μm的颗粒物(PM2.5)作为大气颗粒物的主要成分之一,已经成为影响人们健康的重要因素,然而针对PM2.5与肝癌发生发展关系的研究相对较少。回顾了PM2.5与肝癌发病的流行病学研究,总结了PM2.5引起肝癌的相关机制,包括改变酶活性,影响基因表达,诱导内质网应激,引起肝脂肪变性和导致肝纤维化等,同时讨论了PM2.5暴露对肝癌预后的影响。
新型冠状病毒肺炎相关肝损伤研究进展
崔浩, 梁静, 向慧玲
2022, 38(4): 931-935. DOI: 10.3969/j.issn.1001-5256.2022.04.039
摘要(1579) HTML (354) PDF (1916KB)(145)
摘要:
新型冠状病毒肺炎的大流行对全球的公共卫生安全造成了巨大威胁及挑战,并改变了医疗配置的优先性。在新型冠状病毒肺炎的临床诊治中,可以观察到相当比例的患者发生肝损伤,尤其是重症或危重症患者。本文总结新型冠状病毒肺炎致肝损伤的流行病学、机制、临床特征及治疗,希望可对临床医生的决策和优化治疗提供帮助。
人血白蛋白在终末期肝病中的应用
杨橹, 熊晔, 黄建荣
2022, 38(4): 936-941. DOI: 10.3969/j.issn.1001-5256.2022.04.040
摘要(2066) HTML (573) PDF (2080KB)(126)
摘要:
白蛋白是人体血浆中含量最高的蛋白质,其胶体功能及非胶体功能对于机体具有多方面调节作用。终末期肝病患者体内因白蛋白合成减少、丢失、功能异常而导致的病情恶化及相关并发症在使用人血白蛋白治疗后大多可获得一定程度的缓解,甚至好转。本文结合近期国内外的研究,探讨了人血白蛋白在终末期肝病中的应用及临床疗效,提出有效白蛋白含量监测有可能成为终末期肝病预后及治疗的新指标。
核苷酸结合寡聚化结构域样受体蛋白3炎性小体在肝脏疾病中的作用机制
杨燕, 葛斐林, 黄倩, 张馨月, 曾锐, 肖小河, 柏兆方, 孙琴
2022, 38(4): 942-946. DOI: 10.3969/j.issn.1001-5256.2022.04.041
摘要(1255) HTML (445) PDF (2950KB)(66)
摘要:
炎症小体在肝脏的天然免疫中发挥着重要作用,然而炎症小体的过度活化能够导致肝脏的炎症损伤,其中NLRP3炎症小体的损伤机制研究最为清楚。研究表明,多种肝脏疾病的发生可能均与炎症小体(尤其NLRP3炎症小体)的过度活化有关。本文将分别从炎症小体、NLRP3炎症小体的活化机制及其在不同肝脏疾病中的作用机制进行综述,以期从NLRP3炎症小体角度,为肝脏疾病的治疗靶点提供参考。
肠道菌群及其代谢物在胆囊胆固醇结石形成中的作用机制
赵瀚东, 高鹏, 詹丽
2022, 38(4): 947-950. DOI: 10.3969/j.issn.1001-5256.2022.04.042
摘要(2016) HTML (368) PDF (1903KB)(125)
摘要:
胆囊结石是一种常见的多因素参与的消化系统疾病,80%以上为胆固醇结石,其发病率逐年增加。近年来研究发现肠道菌群参与胆囊胆固醇结石的发生发展。从肠道菌群及其代谢物对胆汁酸调控方面,阐述了肠道菌群及其代谢物在胆囊胆固醇结石发展中的作用,指出未来针对肠道菌群及其代谢产物的干预策略可能是预防和治疗胆囊胆固醇结石的新靶点。
铁死亡在胆管癌中的作用机制
杨铭钰, 杨震, 任万华
2022, 38(4): 951-955. DOI: 10.3969/j.issn.1001-5256.2022.04.043
摘要(1920) HTML (491) PDF (2261KB)(168)
摘要:
胆管癌发病率和死亡率不断上升,研究探索新的治疗靶点具有重要意义。铁死亡是一种新型的铁依赖性细胞氧化损伤的细胞死亡方式,与癌症中的铁代谢及氧化应激失衡密切相关,已成为肿瘤领域的研究热点。介绍了铁死亡相关机制,并在此基础上分析铁死亡参与胆管癌发生发展的研究进展,阐明探讨铁死亡相关调控机制在胆管癌恶性进展过程中的作用具有重要临床价值。
胰腺外分泌功能检测方法的临床应用
左林, 杨都江, 陆慧敏
2022, 38(4): 956-960. DOI: 10.3969/j.issn.1001-5256.2022.04.044
摘要(1296) HTML (821) PDF (1919KB)(99)
摘要:
胰腺外分泌功能的检测方法较多,且各种方法的检测指标不同,尚无统一标准。本文总结了临床上应用较广泛或具有良好应用前景的胰腺外分泌功能检测方法,简述了各种方法的操作过程并评述了其临床实用性和进展,为胰腺外分泌功能检测方法的临床应用与研究思路提供一定的参考。
微小RNA-200c在胰腺癌中的研究进展
张尧, 张锴, 康鹏东, 马超
2022, 38(4): 961-964. DOI: 10.3969/j.issn.1001-5256.2022.04.045
摘要(1037) HTML (223) PDF (2056KB)(70)
摘要:
微小RNA-200c(miR-200c)是一类非编码小分子RNA,参与基因转录后水平调控,与肿瘤的发生发展密切相关。本文介绍了miR-200c对胰腺癌侵袭和转移的抑制作用,及其在胰腺癌的早期诊断、预后判断等方面的临床应用价值,提示miR-200c可作为抑癌基因及有效分子标志物和未来临床研究重点。
胰腺癌肿瘤微环境的机制及靶向治疗
张艺译, 徐敏
2022, 38(4): 965-968. DOI: 10.3969/j.issn.1001-5256.2022.04.046
摘要(2734) HTML (1100) PDF (2578KB)(267)
摘要:
胰腺癌肿瘤微环境是一个包含胰腺星状细胞、癌相关成纤维细胞、免疫细胞和细胞外基质的过度纤维化的致密基质环境,不仅为肿瘤创造了促进其生长和侵袭的环境,并使其对化疗和其他抗肿瘤药物产生耐受抵抗。基质中密集纤维化反应和肿瘤在免疫环境中的改变被认为是目前胰腺癌治疗失败的主要原因。本文回顾了近年来胰腺癌肿瘤微环境相关研究进展,对其组成成分和致病机制以及针对基质和免疫的靶向治疗作一综述,分析肿瘤微环境对胰腺癌发生进展的重要性及其在靶向治疗方面的影响。
国内外会议动态
会议通知|2022年亚太肝病学会肝纤维化专题会
2022, 38(4): 836-836. DOI: 10.3969/j.issn.1001-5256.2022.04.gnwhydd1
摘要(636) HTML (269) PDF (855KB)(69)
摘要:
国外期刊精品文章简介
Developmental Cell|通过单细胞转录组学对出生后肝脏发育和成熟的时间分析
2022, 38(4): 856-856. DOI: 10.3969/j.issn.1001-5256.2022.04.gwjpwzjj1
摘要(749) HTML (287) PDF (855KB)(46)
摘要:
Journal of Hepatology|扑热息痛过量可阻断肝细胞摄取胆汁酸从而减轻肝毒性
2022, 38(4): 890-890. DOI: 10.3969/j.issn.1001-5256.2022.04.gwjpwzjj2
摘要(569) HTML (358) PDF (858KB)(67)
摘要:
Hepatology International|HBV相关慢加急性肝衰竭合并细菌感染患者预后模型的建立和验证
2022, 38(4): 901-901. DOI: 10.3969/j.issn.1001-5256.2022.04.gwjpwzjj3
摘要(499) HTML (196) PDF (856KB)(55)
摘要:
消息
《临床肝胆病杂志》对基金项目论文开通“绿色通道”
2022, 38(4): 742-742.
摘要(256) HTML (194) PDF (848KB)(28)
摘要:
《临床肝胆病杂志》2022年1-12期重点号选题及各期执行主编
2022, 38(4): 787-787.
摘要(278) HTML (139) PDF (1355KB)(45)
摘要:
志谢
本期审稿专家
2022, 38(4): 792-792. DOI: 10.3969/j.issn.1001-5256.2022.04.zhixie1
摘要(421) HTML (156) PDF (856KB)(55)
摘要:
王 坚 王凯旋 王俊平 王 艳 王 晖 王 萍 王睿林 石益海 田 辉 朱小区 朱新宇伊 诺 刘 立 刘 梅 江 勇 池晓玲 许翠萍 孙长宇 孙玉岭 孙平辉 纪 柏 杜端明李文岗 李秀央 李宏宇 李哲夫 李 谦 李瀚旻 杨桂林 吴 浩 何 松 张小勇 张有成张丽军 张海蓉 张跃伟 张雅敏 张锦生 陆 伟 陆海英 陈卫昌 陈东风 陈 立 陈 洪陈 晶 苗新普 苗 毅 季 光 季 伟 郝友华 荀运浩 钟碧慧 闾 军 秦 刚 袁 静徐可树 徐 锋 郭进军 涂传涛 崔石昌 阎 明 梁 静 扈彩霞 韩 英 傅华群 傅青春傅德良 谭善忠 熊 勇 樊和斌 颜炳柱