中文English
ISSN 1001-5256 (Print)
ISSN 2097-3497 (Online)
CN 22-1108/R

2022 No.10
Theme Issue: Development and Innovation of Xenogeneic Liver Transplantation
Executive Chief Editor: DOU Kefeng  
Air Force Military Medical University

Display Method:
Editorial
Development and progress of liver xenotransplantation: A potential breakthrough for current shortage of donor liver
Xiao LI, Kefeng DOU
2022, 38(10): 2201-2205. DOI: 10.3969/j.issn.1001-5256.2022.10.001
Abstract(1425) HTML (422) PDF (1836KB)(176)
Abstract:
The donor liver shortage is the bottles-neck limitation for clinical liver transplantation to save patients' life. Liver transplantation is a treatment option for end-stage liver diseases, like Cirrhosis and hepatocellular carcinoma, and acute liver failure; however, due to availability of donor liver, lots of patients never received such treatment option and passed way. Most recently, non-human primates after a liver transplantation with GTKO pigs survived for nearly 1 month indicates a promise of clinical use of liver xenotransplantation and could offer "a bridge transplantation" for fulminant liver failure patients. This review discussed and summarized the advancement and progress in the field, i.e., history of liver xenotransplantation research, model animals, clinical selection criteria, and future research directions and clinical trials.
Discussions by Experts
Liver xenotransplantation techniques: Characteristics and difficulties
Xiao LI, Kaishan TAO
2022, 38(10): 2206-2209. DOI: 10.3969/j.issn.1001-5256.2022.10.002
Abstract(1316) HTML (296) PDF (1788KB)(173)
Abstract:
The rapid development of gene editing technology showed usefulness of pig xenotransplantation as a donor in clinical application. Clinical trials of non-human primates using pig heart and kidney were able to survive them for a long period of time, while the longest survival of xenograft liver transplantation was nearly 1 month, which could meet the conditions for entering clinical trials for human patients. However, compared with heart and kidney transplantation, only a few units in the world can carry out xenograft liver transplantation due to the high technical difficulty and difficult perioperative management. This review summarized the advancement and progress in the field and discussed the technical characteristics and difficulties, so as to provide experience and reference for the future development of clinical trials, i.e., comparison of pig and liver anatomy, animal models of xenograft liver transplantation, and characteristics and difficulties in liver xenotransplantation technique.
Acute humoral rejection in liver xenotransplantation
Zhongqiang ZHANG, Shuozhou LIANG, Zhongzhou SI, Haizhi QI
2022, 38(10): 2210-2213. DOI: 10.3969/j.issn.1001-5256.2022.10.003
Abstract(1215) HTML (829) PDF (1978KB)(137)
Abstract:
Liver transplantation is a curable therapy to save the life of patients with end-stage liver diseases of different causes. The serious shortage of liver donors led to the death of a large number of patients with end-stage liver disease. Genetic-engineered pigs used for xenotransplantation are one of the potential solutions to alleviate the liver donor shortage, but currently clinical application of such xenogeneic liver grafts is hindered by acute rejection, thrombocytopenia, and coagulation dysfunctions in patients. The development of genetic-engineering technology and the application of new immunosuppressants have controlled the acute rejection of liver xenotransplantation to some extent. However, acute humoral rejection may become another major issue for the long-term graft failure. This review summarized and discussed the potential and underlying mechanisms and preventive measures of acute humoral rejection in liver xenotransplantation.
The discussion on the Genetically Modified Pigs for the treatment of acute liver failure
Guoli Huai, Jiaxiang Du, Dengke Pan
2022, 38(10): 2214-2218. DOI: 10.3969/j.issn.1001-5256.2022.10.004
Abstract(1079) HTML (267) PDF (1769KB)(129)
Abstract:
Liver transplants are in huge demand in China, but facing the problem of extreme shortage of donor organs. Xenogeneic (pig) liver transplantation may be a potential way to alleviate the shortage of donors. The liver is a detoxifying organ with synthetic functions, and when genetically modified pigs are used as donors, it faces the dual problem of overcoming immune rejection and resolving physiological function mismatches. Therefore, suppressing the innate immune response can better alleviate the immune rejection of xenotransplantation. In addition, the use of chimeras of humanized cell livers may resolve the problem of physiological function mismatch. Moreover, with the development of gene editing technology, it has become possible to obtain multiple gene edited pigs and chimeras. Therefore, exploring and researching from these two aspects will hopefully solve the current problems of liver xenotransplantation and promote the further development of the field of liver xenotransplantation.
Guideline
An excerpt from AASLD Practice Guidance on drug, herbal and dietary supplement-induced liver injury
Jing JING, Tingting HE, Zhaofang BAI, Jiabo WANG, Ruilin WANG, Xiaohe XIAO
2022, 38(10): 2219-2223. DOI: 10.3969/j.issn.1001-5256.2022.10.005
Abstract(1499) HTML (473) PDF (2404KB)(280)
Abstract:
Original Article_Viral Hepatitis
Dynamic changes of serum hepatitis B virus DNA and HBsAg in patients with chronic hepatitis B treated with tenofovir disoproxil fumarate for 3 years
Rui LU, Shuangsuo DANG, Yixin LIU, Yikai WANG, Chenrui LIU, Yaping LI, Fengping WU, Mei LI
2022, 38(10): 2224-2229. DOI: 10.3969/j.issn.1001-5256.2022.10.006
Abstract(1815) HTML (459) PDF (2009KB)(214)
Abstract:
  Objective  To assess the efficacy of tenofovir disoproxil fumarate (TDF) in chronic hepatitis B (CHB) patients receiving antiviral therapy for three years.  Methods  A total of 157 CHB patients treated with TDF alone for ≥3 years from January 2015 to August 2020 in the Second Affiliated Hospital of Xi'an Jiaotong University were retrospectively studied. The patients were divided into HBeAg-positive and HBeAg-negative groups based on their baseline HBeAg levels. The data of serum HBV DNA and HBsAg levels at baseline, the first, second and third year of treatment were collected to analyze the dynamic changes. The t-test was used to compare continuous variables with normal distributions between two groups, while the Mann-Whitney U test was used to compare continuous variables with non-normal distribution between two groups. Repeated measurement data with non-normal distribution were first transformed into logarithms and the intra- or between-group comparison was performed using repeated measures analysis of variance. The chi-square test or Fisher exact test was used to compare categorical variables between groups.  Results  HBV DNA clearance rate in HBeAg-positive patients was significantly lower than that in HBeAg-negative patients during the first and second years of TDF treatment (1st year: 65.8% vs 81.0%, χ2=4.676, P < 0.05; 2nd year: 87.7% vs 98.8%, Fisher exact test, P < 0.05). When TDF treatment was given for three years, there was no significant difference in HBV DNA clearance rates (97.3% vs 100%, Fisher exact test, P > 0.05). The baseline HBsAg levels in HBeAg-positive and HBeAg-negative patients were 10 633.6 (2 084.8-24 005.7) IU/mL and 1 402.8 (311.0-2 863.5) IU/mL, respectively, and decreased to 1 534.9 (912.7-5 885.9) IU/mL and 677.8 (119.4-1 974.8) IU/mL after 3 years of TDF treatment, with a significant difference between two groups (F=25.456, P < 0.001). In HBeAg-positive patients, the median decline value of HBsAg level was significantly higher in the first year [1 856.5 (158.4-12 103.1) IU/mL] than in the second year [879.8 (130.5-2 382.5) IU/mL] or the third year [479.9 (95.0-1 662.4) IU/mL] (F=10.972, P < 0.001), while there was no significant difference in HBeAg-negative patients (F=0.513, P > 0.05). In addition, after 3 years of TDF treatment, 59.2% of patients achieved HBsAg < 1500 IU/mL, with a HBsAg negative rate of 1.3%.  Conclusion  After 3 years of TDF treatment, all HBeAg-negative CHB patients can achieve HBV DNA negative conversion; for HBeAg-positive CHB patients, 97.3% of them achieved HBV DNA negative conversion, while 2.7% of them were still HBV DNA detectable. The HBsAg level declined over treatment time, and the decline rate of HBsAg level in HBeAg positive patients showed a trend of "first fast and then slow". After 3 years of TDF treatment, 59.2% of patients achieved HBsAg < 1500 IU/mL.
Clinical characteristics and prognosis of patients with chronic hepatitis B combined with metabolic associated fatty liver disease
Weihong LIU, Hui LIU, Huiguo DING, Lei LI
2022, 38(10): 2230-2235. DOI: 10.3969/j.issn.1001-5256.2022.10.007
Abstract(1192) HTML (581) PDF (2115KB)(215)
Abstract:
  Objective  To analyze the clinical characteristics and prognostic factors of chronic hepatitis B (CHB) patients complicated with metabolic associated fatty liver disease (MAFLD).  Methods  A total of 114 CHB patients and 101 CHB patients complicated with MAFLD who underwent liver biopsy between 2005 and 2018 were included. A long-term cohort was established with the time of liver puncture as the baseline, and decompensated cirrhosis, liver cancer, liver transplantation and death related to liver disease as the clinical endpoints. The patient's NAS score, hepatitis inflammation activity (G) and fibrosis stage (S) were scored for the liver biopsy. According to fibrosis stage, patients were divided into no significant fibrosis (S0-1) and significant fibrosis (S2-4) groups. The clinical characteristics and prognosis of the CHB patients with or without MAFLD at the same fibrosis stage were compared. CHB patients with MAFLD were divided into NAS < 4 and NAS≥4 groups according to NAS score, and the influence of NAS score on clinical outcomes of patients was analyzed. The independent samples t-test / Wilcoxin test was performed for comparison of continuous data and the chi-square test was used for comparison of categorical data between groups. Survival analysis was performed using Kaplan-Meier survival cure and compared using log-rank test. Cox multivariate regression analysis was used to identify prognostic factors.  Results  The BMI, blood glucose and TC in CHB patients with MAFLD group were significantly higher than those in CHB alone in each fibrosis stage (P < 0.05). In patients without significant fibrosis, the levels of ALT (Z=-2.249, P=0.025), AST (Z=-2.512, P=0.012) and GGT (Z=-5.261, P < 0.001) in the complicated group were higher than those in the CHB group. With a median follow-up time of 8.0 years, the Kaplan-Meier survival analysis revealed that the complicated MAFLD significantly reduced the liver event-free survival rate of CHB patients (χ2=7.607, P=0.006). Cox multivariable analysis revealed MAFLD (HR=5.76, 95% CI: 1.54 - 21.48, P=0.009) was an independent risk factor for liver-related outcomes. In CHB patients with MAFLD, the ALT (Z=-3.139, P=0.002), AST (Z=-2.898, P=0.004), and GGT (Z=-2.260, P=0.024) of patients with NAS≥4 were higher than those of patients with NAS < 4. We found that significant fibrosis (HR=4.83, 95% CI: 1.23 - 18.91, P=0.024) was associated with the poor prognosis of CHB patients with MAFLD.  Conclusions  CHB patients with MAFLD are more likely to have impaired liver function in the early stage and the disease progresses more rapidly. Complicated MAFLD will increase the risk of liver-related events in patients with CHB, and significant fibrosis is an independent risk factor for adverse outcomes in CHB patients with MAFLD.
Correlation analysis of hepatic fibrosis and renal injury in patients with chronic hepatitis B
Lu XIAO, Xuebing YAN, Yuanyuan FEI
2022, 38(10): 2236-2241. DOI: 10.3969/j.issn.1001-5256.2022.10.008
Abstract(1125) HTML (287) PDF (2160KB)(120)
Abstract:
  Objective  To analyze the relationship between liver fibrosis and renal injury in patients with chronic hepatitis B (CHB).  Methods  We retrospectively analyzed the renal function of 798 CHB patients who were enrolled from May 2010 to October 2019. According to the quartile of fibrosis-4 (FIB-4) index, the population was divided into four groups: group Q1 (FIB-4≤0.74), group Q2 (0.74 < FIB-4 < 1.13), Q3 group (1.13≤FIB-4 < 2.0), and Q4 group (FIB-4≥2.0). The Mann-Whitney U test was used for comparison of non-normally distributed continuous data between multiple groups. The chi-square test was used for comparison of categorical data between groups. Spearman partial correlation analysis was used to determine the relationship between FIB-4 and estimated glomerular filtration rate (eGFR). Multivariate Logistic regression model was used to assess the risk factors of renal injury using odds ratio (OR) and 95% confidence intervals (CI). Multiple Logistic regression was used to analyze the relationship between FIB-4 and renal injury in different groups.  Results  Because FIB-4 was correlated with age (r=0.650, P < 0.001), Spearman partial correlation analysis was used to adjust for age and gender. We found FIB-4 index was significantly associated with ALT, AST, ALP, GGT, LDH, TBil, DBil, TP, Alb, Glo, TBA, LAP, PLT, HBV DNA, AFP and eGFR (r values were 0.202, 0.354, 0.292, 0.287, 0.222, 0.377, 0.361, -0.085, -0.412, 0.168, 0.422, 0.427, 0.247, -0.421, 0.172, 0.318, -0.359, respectively, all P < 0.001). eGFR was negatively correlated with FIB-4 (R2=0.192 9). Multivariate logistic regression analysis found that HBV DNA(OR=1.227, 95%CI: 1.038-1.452, P=0.017), FIB-4(OR=1.581, 95%CI: 1.359-1.839, P < 0.001) were independent risk factors for renal injury. The AUC value of FIB-4 in predicting renal injury was 0.74 (95%CI: 0.67-0.82, P < 0.001), with a sensitivity of 0.47, a specificity of 0.93, and an optimal cutoff value of 3.48.  Conclusions  The degree of liver fibrosis in CHB patients is associated with the risk of renal injury.
Value of aMAP score in prediction of hepatocellular carcinoma risk in outpatients with chronic hepatitis B virus infection
Limin WANG, Hongfei ZHANG, Yu GAN, Si XIE, Jingyue WANG, Yuan HUANG
2022, 38(10): 2242-2246. DOI: 10.3969/j.issn.1001-5256.2022.10.009
Abstract(1199) HTML (768) PDF (1845KB)(100)
Abstract:
  Objective  To assess the aMAP risk in prediction of hepatocellular carcinoma (HCC) risk in outpatients with chronic hepatitis B virus (HBV) infection.  Methods  A total of 709 patients with chronic HBV infection were recruited for calculation of the aMAP scores and then stratified for HCC risk statistically. The t-test was used for comparison of normally distributed continuous data between groups, and the Mann-Whitney U test was used for comparison of non-normally distributed continuous data between groups.  Results  Among these 709 patients, 22.4% had complicated with alcoholic liver disease, 11.8% with diabetes mellitus. 18.6% with fatty liver, 19.0% with liver cirrhosis, and 9.7% with liver cancer. Among all patients, 71.2% received oral antiviral medicine. Moreover, the highest aMAP score was 75.2 and the low, medium and high HCC risks were 70.0%, 23.1%, and 6.9% respectively in these patients. The proportion of patients with high HCC risk was higher among those with alcohol liver disease, diabetes mellitus, and liver cirrhosis than those without these complications (9.4% vs 6.2%; 11.9% vs 6.2%; and 19.3% vs 4.0%). The mean annual change in aMAP score was 0.93±2.05 in patients without antiviral treatment that was higher than -1.15±1.72 in patients with antiviral treatment (t=39.36; P < 0.001). In addition, the proportion of these patients with high HCC risk three years before HCC diagnosis was 38.4%, 26.7%, and 33.3% respectively. The median of aMAP score was more than 50 three years before diagnosis liver cancer, data of which indicated that this change was earlier than that of AFP.  Conclusion  aMAP is a simple convenient marker for screening early HCC in outpatient with chronic HBV infection and complications, especially in those patients with alcohol liver disease, diabetes, and cirrhosis. Oral antiviral therapy could reduce aMAP in patients with chronic HBV infection.
Original Article_Fatty Liver Diseases
Correlation between cardiometabolic index and metabolic-associated fatty liver disease
Yunxia WU, Chengliang LI, Xiaolei LI, Zhaoxiao LUO, Tianshun REN
2022, 38(10): 2247-2251. DOI: 10.3969/j.issn.1001-5256.2022.10.010
Abstract(1194) HTML (953) PDF (1815KB)(125)
Abstract:
  Objective  To analyze association of the cardiometabolic index (CMI) with risk of metabolism-associated fatty liver disease (MAFLD).  Methods  This study recruited 480 individuals from Inpatient Department of Gastroenterology, The First Affiliated Hospital of Xi'an Medical College from January 2018 to December 2020 and divided into MAFLD (n=202) and non-MAFLD groups (n=278) for comparison of the CMI and related biochemical and FibroScan parameters. The independent samples t-test was performed for comparison of normally distributed continuous data, while the Mann-Whitney U test was performed for comparison of non-normally distributed continuous data and the chi-square test was used for comparison of categorical data between these two groups of individuals. These individuals were then divided into Q1-Q4 subgroups based on their CMI and then subjected to the Kruskal-Wallis H test to compare the distribution of the controlled attenuation parameter (CAP) and liver stiffness measurement (LSM) between these two groups of patients. Finally, a Logistic regression analysis was performed to calculate MAFLD risk at different CMI scores (Q1-Q4).  Results  Compared with the non-MAFLD individuals, the MAFLD group had significantly higher levels of CMI, CAP, LSM, body weight, waist circumference, body mass index, systolic and diastolic blood pressure, triglyceride, total cholesterol, low-density lipoprotein cholesterol, alanine aminotransferase, aspartate aminotransferase, γ-glutamyl transferase, serum uric acid, and fasting blood glucose, but significantly lower high-density lipoprotein cholesterol level (all P < 0.01). Moreover, there was significant difference in the CAP among different CMI quartile levels in these individuals (χ2=15.220, P=0.002). The multivariate logistic regression analytic data revealed that the CMI in the Q4 was an independent predictor for MAFLD risk vs. the CMI in the Q1 quantile ones (95% confidence interval, 1.415-8.764, OR=3.521; P < 0.01) after adjustment for related risk factors.  Conclusion  A higher CMI score (Q4) was associated with a MAFLD risk and a gradual increase in the CMI score was with the increased number of MAFLD patients and fibrosis risk, indicating that a routine health check-up and measurement of CMI could help to identify and control MAFLD early.
Original Article_Liver Fibrosis and Liver Cirrhosis
Influencing factors for low-level viremia in patients with chronic hepatitis B or hepatitis B liver cirrhosis and its association with the progression of liver inflammation and liver fibrosis
Bibi XUAN, Yonghong XU, Zhongcai DU, Yu LIU, Yuling YANG, Cheng BIAN
2022, 38(10): 2252-2259. DOI: 10.3969/j.issn.1001-5256.2022.10.011
Abstract(1225) HTML (368) PDF (1822KB)(148)
Abstract:
  Objective  To investigate the influencing factors for low-level viremia (LLV) in patients with chronic hepatitis B (CHB) or hepatitis B liver cirrhosis (LC) receiving antiviral therapy and the association of LLV with the progression of liver inflammation and liver fibrosis.  Methods  A total of 417 patients with CHB or LC who attended the outpatient service of liver diseases in The Affiliated Hospital of Qingdao University from July 1, 2020 to November 30, 2021 were enrolled, and all patients received oral administration of nucleos(t)ide analogues as antiviral therapy for ≥1 year and had an HBV DNA level of < 2000 IU/mL. According to the HBV DNA level, the patients were divided into LLV group (10 IU/mL ≤HBV DNA < 2000 IU/mL) and complete virologic response (CVR) group (HBV DNA < 10 IU/mL). The two groups were compared in terms of general data, virology, biochemistry, and liver fibrosis markers before and after antiviral therapy to investigate the influencing factors for LLV. Meanwhile, the degree of changes in liver inflammation and liver fibrosis markers after antiviral therapy was compared between the two groups to analyze the association of LLV with the progression of liver inflammation and liver fibrosis. The independent samples t-test or the Mann-Whitney U test was used for comparison of continuous data between two groups, and the chi-square test was used for comparison of categorical data between two groups. The Kendall's tau-b method was used for correlation analysis, and a multivariate logistic regression analysis was used to investigate the influencing factors for LLV.  Results  Among the 417 patients with CHB or LC, 173 developed LLV, and the constituent ratio of LLV was 41.5%; the patients with 10 IU/mL≤HBV DNA < 1000 IU/mL accounted for 94.8%. The logistic regression analysis showed that positive HBeAg (odds ratio [OR]=3.009, 95%CI: 1.346-6.729, P=0.007), a family history of LC or HCC (OR=2.929, 95%CI: 1.344-6.383, P=0.007), and HBV DNA > 1.0×108 IU/mL (OR=10.790, 95%CI: 1.265-92.007, P=0.030) before antiviral therapy were risk factors for the development of LLV, while aspartate aminotransferase (AST) > 40 U/L (OR=0.355, 95%CI: 0.171-0.737, P=0.005) was a protective factor against LLV; positive HBeAg after antiviral therapy (OR=4.394, 95%CI: 1.962-9.841, P < 0.001) was still a risk factor for LLV, and course of antiviral therapy ≥2 years and < 3 years (OR=0.175, 95%CI: 0.046-0.674, P=0.010) and course of antiviral therapy ≥3 years (OR=0.170, 95%CI: 0.048-0.600, P=0.006) were protective factors against LLV. Compared with the LLV group, the CVR group had significantly greater changes in AST, alpha-fetoprotein (AFP), aspartate aminotransferase-to-platelet ratio index (APRI), and fibrosis-4 (FIB-4) (ΔAST, ΔAFP, ΔAPRI, and ΔFIB-4, respectively) (all P < 0.05). Correlation analysis showed that ΔAST (τ=-0.192, P= < 0.001), ΔAFP (τ=-0.192, P < 0.001), ΔAPRI (τ=-0.210, P=0.002), and ΔFIB-4 (τ=-0.202, P=0.003) were all negatively correlated with LLV.  Conclusion  A highly sensitive HBV DNA detection method helps with the early diagnosis of LLV. Strong antiviral therapy should be given to patients with a family history of LC or HCC, a high HBV DNA level, positive HBeAg, or a low AST level, and HBV DNA, AST, and HBeAg should be closely monitored to identify LLV as early as possible.
Association of JAK/STAT signaling pathway with portal vein thrombosis after splenectomy in cirrhotic patients with portal hypertension
Huan WANG, Xiaoxu SHEN, Liangqi CHEN, Tianlan GONG
2022, 38(10): 2260-2264. DOI: 10.3969/j.issn.1001-5256.2022.10.012
Abstract(778) HTML (210) PDF (1970KB)(59)
Abstract:
  Objective  To investigate the role of the Janus tyrosine kinase (JAK)- signal transducer and activators of transcription (STAT) signaling pathway in thrombosis formation after splenectomy in cirrhotic patients with portal hypertension.  Methods  A total of 198 liver cirrhosis patients with portal hypertension who underwent splenectomy and devascularization were recruited from March 2018 to April 2020 and then divided into thrombosis (n=41) and non-thrombosis groups (n=157) according to whether portal vein thrombosis occurred 3 months after surgery. mRNA levels of JAK2 and STAT3 in peripheral blood mononuclear cells (PBMCs) were assessed. Comparison of continuous data between groups was performed using t test, while comparison of categorial data between group was performed using chi square test. Clinicopathological data from patients were collected and analyzed for the potential risk factors of portal vein thrombosis by using univariate and multivariate Logistic regression analyses. The prediction values of JAK2 and STAT3 mRNA for portal vein thrombosis were evaluated by area under the receiver operating curve (AUC).  Results  The diameter of portal vein, the diameter of portal vein, the velocity difference of portal vein and the volume of spleen in the thrombus group were significantly higher than those in the non-thrombus group (t=4.718, 3.945, 8.671, and 2.006 respectively; P < 0.05).The relative mRNA levels of JAK2 and STAT3 in PBMCs of the two groups were significantly increased after surgery (t=12.933, 15.442, 14.386, 10.896; P < 0.05), and their levels were also much higher in the thrombosis group than in the non-thrombosis group of patients (P < 0.05). Multivariate Logistic regression analytic data showed that the portal vein diameter, the velocity difference of portal vein and mRNA level of JAK2 and STAT3 were all predictors for thrombosis in these patients (P < 0.05). The AUC of JAK2 and STAT3 mRNAs was 0.850 and 0.787, respectively in diagnosis of thrombosis in these patients.  Conclusion  The JAK / STAT signaling was activated in the process of thrombosis after splenectomy in cirrhotic patients with portal hypertension, which may be one of the important mechanisms of postoperative portal vein thrombosis, and may become a potential target for the prevention and treatment of postoperative portal vein thrombosis.
Shugan Heluo Xingpi Decoction inhibits liver fibrosis through regulation of Wnt/β-Catenin signaling pathway
Kuisong WANG, Qiuju ZHANG, Shuyao WEI, Shipeng YIN, Jieyu LI, Shiyu CHEN, Jiaqi GUO, Kunpeng ZHAO
2022, 38(10): 2265-2272. DOI: 10.3969/j.issn.1001-5256.2022.10.013
Abstract(922) HTML (274) PDF (4203KB)(70)
Abstract:
  Objective  To investigate the therapeutic effect of Shugan Heluo Xingpi Decoction on CCl4-induced liver fibrosis in rats, and the underlying molecular mechanism.  Methods  Sixty male SPF Wistar rats were randomly assigned to six groups: blank control, model, positive control, high, medium or low dose groups of Shugan Heluo Xingpi Decoction (n=10 per group). The liver fibrosis rat model was induced by an intraperitoneal injection of 40% CCl4 oil solution. Rats in the blank control and model groups were administered 10 mL/kg normal saline by gavage, rats in the positive control group were administered 50 mg/kg silibinin meglumine by gavage, while rats in high-dose, medium-dose and low-dose groups of Shugan Heluo Xingpi Decoction were administered 12.42 g/kg, 6.21 g/kg and 3.11 g/kg (crude drug/body weight) by gavage, respectively, daily for 8 weeks. Rats was sacrificed after 8 weeks, during which the physiological status of rats in each group was dynamically monitored. Following sacrifice, serum was collected to detect HYP using alkaline hydrolysis colorimetry and the expression levels of AST, ALT, total protein (TP), and Alb using an automatic biochemical analyzer. The pathological morphological changes in the liver were detected by H & E staining and Masson staining, and the mRNA and protein levels of Wnt1, β-Catenin and Cyclin D1 were detected by RT-qPCR and Western Blot. Measurement data were compared across groups using one-way ANOVA with post-hoc LSD-t test.  Results  Compared with the model group, after silibinin meglumine and Shugan Heluo Xingpi Decoction intervention, the physiological status of rats was significantly improved; serum levels of HYP, ALT, AST and Glo were significantly decreased, while serum levels of TP, Alb and A/G were significantly increased (all P < 0.05). Compared with the positive control group, serum levels of ALT and AST were significantly increased (all P < 0.05), while the levels of TP, Alb and A/G were significantly decreased (all P < 0.05) in low-dose group of Shugan Heluo Xingpi Decoction. H&E staining showed mild portal vein fibrosis with a few fibrous septa and mild steatosis of hepatocytes in the positive control group, obvious portal vein fibrosis with a few fiber septum in the low dose group, a few portal vein fibrosis in the medium dose group, while no obvious abnormality in the high dose group of Shugan Heluo Xingpi Decoction. Masson staining revealed that the therapeutic effect of high dose group of Shugan Heluo Xingpi Decoction on collagen deposition was superior to silibinin meglumine and medium and low dose of Shugan Heluo Xingpi Decoction (all P < 0.05), and was generally equivalent to high dose of Shugan Heluo Xingpi Decoction. Silibinin meglumine and medium and high doses of Shugan Heluo Xingpi Decoction inhibited more significantly the mRNA and protein expression of Wnt1, β-catenin and Cyclin D1 (all P < 0.05).  Conclusion  Shugan Heluo Xingpi Decoction shows anti-hepatic fibrosis effect, with a greater effect at higher doses. Regulating Wnt/β-Catenin signaling pathway may be one of the underlying molecular mechanisms.
Role and mechanism of caffeic acid phenethyl ester in hepatic stellate cell
Ning YANG, Jiang DENG, Yikai WANG, Sha CHANG, Ning GAO, Wenjun WANG, Shuangsuo DANG, Juanjuan SHI
2022, 38(10): 2273-2278. DOI: 10.3969/j.issn.1001-5256.2022.10.014
Abstract(948) HTML (279) PDF (3612KB)(75)
Abstract:
  Objective  To assess the effect and underlying molecular events of caffeic acid phenethyl ester (CAPE) on rat hepatic stellate HSC-T6 cells.  Methods  HSC-T6 cells were grown and treated with different concentrations of CAPE (5, 10, or 15 μmol/L), transfected with or without LC3-GFP plasmid, and then treated with or without an autophagy inducer rapamycin or the autophagy inhibitor 3-methyladenine (3-MA). The changed cell viability and morphology were assessed by using cell viability MTT assay and Transmission electron microscope, respectively. The expression of LC3 protein in HSC-T6 cells was detected by immunofluorescence assay, the autophagy-related genes expression of ATG5, ATG7, ATG12, Beclin1 and LC3 were detected by qRT-PCR, and the expression of ATG7, Beclin1, LC3I/Ⅱ, p-AKT/AKT, p-mTOR protein was detected by Western-blot. Comparison between multiple groups was analyzed by one-way ANOVA with Dunnett t-test.  Results  Compared with the control, CAPE treatment significantly reduced cell viability but induced formation of lipid droplets and roulette-shaped autophagosomes. Compared with the control (13.34%±2.59), LC3 protein was significantly induced in HSC-T6 cells after CAPE treatment (5 μmol/L, 23.68%±3.76, t=-5.553, P < 0.001; 10 μmol/L, 43.47%±3.83, t=-15.958, P < 0.001; 15 μM, 57.25%±2.78, t=-28.334, P < 0.001), while levels of ATG5, ATG7, ATG12, Beclin 1, and LC3 mRNAs were all significantly increased in 10 μm and 15 μm CAPE treated cells vs the control (all P < 0.05). After LC3 overexpression in HSC-T6 cells, LC3 protein was induced vs the vector control (79.01%±6.69% vs 67.06%±6.74%, t=-3.083, P=0.012), while rapamycin treatment further increased LC3 expression (86.88%±5.42%, t=-2.239, P=0.049); however, 3-MA treatment significantly decreased LC3 expression in cells (71.22%±4.29%, t=-2.404, P=0.037). In addition, levels of ATG7, Beclin1, and LC3 Ⅰ/Ⅱ proteins were increased, whereas levels of AKT/p-AKT and p-mTOR were decreased in the CAPE and rapamycin groups vs controls. However, the 3-MA treatment had an opposite result, indicating that 3-MA reversed CAPE-induced effects in HSC-T6 cells.  Conclusion  Caffeic acid phenethyl ester may induce autophagy to reduce cell viability in hepatic stellate cells by inhibition of the AKT/mTOR signaling.
Effect of serum containing Huangqi decoction on the proliferation, migration, and tubulogenesis of rat liver sinusoidal endothelial cells induced by vascular endothelial growth factor and its mechanism of action
Haoyi WANG, Jingyin MAI, Jian PING, Yang CHENG
2022, 38(10): 2279-2285. DOI: 10.3969/j.issn.1001-5256.2022.10.015
Abstract(1654) HTML (464) PDF (3258KB)(94)
Abstract:
  Objective  To investigate the effect of serum containing Huangqi decoction on the proliferation, migration, and tubulogenesis of rat liver sinusoidal endothelial cells (LSECs) induced by vascular endothelial growth factor (VEGF) and its mechanism of action based on the protein kinase B (AKT)/mammalian target of rapamycin (mTOR) signaling pathway.  Methods  The serum containing Huangqi decoction was prepared, and rat LSECs were isolated and cultured in vitro. Then rat LSECs were randomly divided into blank group, VEGF group, serum control group, and low-, middle-, and high-dose serum containing Huangqi decoction groups. MTT colorimetry, Transwell assay, and tubulogenesis assay were used to measure the proliferation, migration, and tubulogenesis abilities of LSECs in each group, and Western Blot was used to measure the protein expression levels of platelet endothelial cell adhesion molecule-1 (CD31), endothelin-1 (ET-1), and endothelial nitric oxide synthase (eNOS), as well as AKT, phosphorylated-AKT (p-AKT), mTOR, and phosphorylated mTOR (p-mTOR) in the AKT/mTOR signaling pathway. A one-way analysis of variance was used for comparison of continuous data between multiple groups, and the Tukey's test was used for further comparison between two groups.  Results  Compared with the blank group, the VEGF group and the serum control group had significantly promoted proliferation, migration, and angiogenesis of rat LSECs (all P < 0.05), and Western Blot showed significant increases in the expression levels of CD31, ET-1, eNOS, and AKT/mTOR signaling pathway-related proteins (all P < 0.05). There were no significant differences in the above indices between the VEGF group and the serum control group (all P > 0.05). Compared with the serum group, the middle- and high-dose serum containing Huangqi decoction groups had significantly inhibited proliferation, migration, and angiogenesis of rat LSECs induced by VEGF (all P < 0.05), and Western Blot showed significant reductions in the expression levels of CD31, ET-1, eNOS, and AKT/mTOR signaling pathway-related proteins (all P < 0.01).  Conclusion  A relatively high dose of serum containing Huangqi decoction can significantly inhibit the proliferation, migration, and tubulogenesis of rat LSECs induced by VEGF, possibly by regulating the AKT/mTOR signaling pathway.
Original Article_Liver Neoplasms
Influence of the interval between transcatheter arterial embolization and radiofrequency ablation on the treatment outcome of small hepatocellular carcinoma
Yu SUN, Honghai ZHANG, Jiang LONG, Shoupeng SHENG, Jiasheng ZHENG, Yonghong ZHANG
2022, 38(10): 2286-2289. DOI: 10.3969/j.issn.1001-5256.2022.10.016
Abstract(1078) HTML (284) PDF (1758KB)(66)
Abstract:
  Objective  To investigate the influence of the interval between transcatheter arterial embolization (TAE) and radiofrequency ablation on the treatment outcome of small hepatocellular carcinoma.  Methods  A total of 70 patients with hepatocellular carcinoma who received treatment in Beijing YouAn Hospital, Capital Medical University, from January 2019 to June 2020 were enrolled and divided into observation group (radiofrequency ablation was performed on the day or the second day of TAE) and control group (radiofrequency ablation was performed at 1-2 weeks after TAE) using a random number table, with 35 patients in each group. The independent samples t-test was used for comparison of continuous data between two groups, and the paired t-test was used for comparison of observation indicators before and after surgery; the chi-square test was used for comparison of categorical data between two groups.  Results  The observation group had a significantly shorter length of hospital stay than the control group (7.80±2.76 days vs 14.31±2.19 days, t=-10.93, P < 0.001). There were no significant differences between the observation group and the control group in complete ablation rate (95.12% vs 95.00%, χ2=0.001, P=0.980), incidence rate of adverse reactions (25.71% vs 20.00%, χ2=0.324, P=0.569), and 1-year recurrence rate (11.43% vs 14.29%, χ2=0.128, P=0.721), and there were also no significant differences in laboratory markers between the two groups before and after treatment (all P > 0.05).  Conclusion  TAE combined with sequential radiofrequency ablation at a short interval is safe and effective in the treatment of small hepatocellular carcinoma and can significantly shorten the length of hospital stay and reduce hospital costs, and therefore, it holds promise for clinical application.
Risk factors of rebleeding after endoscopic treatment of patients with portal vein tumor thrombus and esophagogastric variceal bleeding
Xiuxia LIANG, Lingling HE, Junru YANG, Fuyang ZHANG, Jiali MA, Yuling ZHOU, Julong HU, Ping LI, Hongshan WEI
2022, 38(10): 2290-2295. DOI: 10.3969/j.issn.1001-5256.2022.10.017
Abstract(1104) HTML (233) PDF (2924KB)(68)
Abstract:
  Objective  To analyze the rebleeding rate in hepatocellular carcinoma (HCC) patients with portal vein tumor thrombus (PVTT) after endoscopic treatment of esophagogastric variceal bleeding and then assessed the risk factors of the rebleeding in the patients.  Methods  This study retrospectively recruited 169 hepatitis B-associated HCC patients complicated with PVTT and esophagogastric variceal bleeding treated by endoscopy in Department of Gastroenterology, Beijing Ditan Hospital from September 2008 to December 2016. Among them, 47 patients had PVTT Ⅱ, 67 patients had PVTT Ⅲ, and 55 patients had PVTT Ⅳ. Their clinicopathological and follow-up data were retrieved from the medical records and statistically analyzed. Continuous data were compared among groups using ANOVA or Kruskal-Wallis H test. Categorial data were compared among groups using Chi-square test or corrected Fisher test. The Kaplan-Meier curves and Log-rank test were performed to analyze the rebleeding rate and cumulative survival rates after treatment. The univariate multivariate Cox regression analyses were used to identify the risk factors affecting the rebleeding of patients.  Results  Compared with PVTT Ⅱ and Ⅲ, PVTT Ⅳ patients had a higher serum level of the direct bilirubin (Z=6.153, P=0.046). The endoscopy treatment successfully blocked esophagogastric variceal bleeding in all patients. There was no significant difference in the rebleeding rates within six months and a year after the treatment (all P > 0.05). It was also no statistically significant difference in cumulative survival rates in six months and l-, 2-, and 3-year after the treatment in PVTT Ⅱ, Ⅲ, and Ⅳ patients (all P > 0.05). Cox multivariate regression analysis showed that hepatic encephalopathy (HR=3.643, 95%CI: 2.099-6.325, P < 0.001), γ-glutamyltransferase (HR=1.002, 95%CI: 1.000-1.005, P=0.029), AFP (HR=1.000, 95%CI: 1.000-1.000, P=0.002) and numbers of tumor lesions (HR=1.647, 95%CI: 1.011-2.684, P=0.045) were all independent risk factors for 1-year rebleeding in these PVTT patients with esophagogastric variceal bleeding after endoscopic treatment.  Conclusion  Endoscopic hemostasis is a feasible treatment option for HCC patients with PVTT and esophagogastric variceal bleeding. However, there was no significant difference in the rebleeding and cumulative survival rates in these patients. Furthermore, hepatic encephalopathy, γ-glutamyltransferase, AFP and numbers of tumor lesions were all independent risk factors for 1-year rebleeding in these patients.
Original Article_Other Liver Diseases
Clinical features of Polygonum multiflorum preparation-related liver injury with or without positive autoantibody
Jing CAI, Guiqin ZHOU, Yaxing LIU, Bin LI, Xiaojing WANG, Ying FENG, Xianbo WANG
2022, 38(10): 2296-2301. DOI: 10.3969/j.issn.1001-5256.2022.10.018
Abstract(1088) HTML (287) PDF (1991KB)(81)
Abstract:
  Objective  To investigate the clinical features of patients with Polygonum multiflorum preparation-related liver injury with or without positive autoantibody based on propensity score matching, as well as the influence of positive autoantibody on the prognosis of such patients.  Methods  A total of 364 patients with Polygonum multiflorum preparation-related liver injury who were hospitalized in Beijing Ditan Hospital, Capital Medical University, from August 2008 to June 2021 were enrolled, and according to whether autoantibodies were detected, they were divided into negative autoantibody group (H0 group) with 157 patients and positive autoantibody group (H1 group) with 207 patients. After adjustment for confounding factors by propensity score matching, the two groups were compared in terms of biochemical parameters, severity of liver injury, classification of liver injury, and disease outcome when liver injury reached the peak. The t-test was used for comparison of normally distributed continuous data between two groups, and the Mann-Whitney U rank sum test was used for comparison of non-normally distributed continuous data between two groups; the chi-square test or the Mann-Whitney U rank sum test was used for comparison of categorical data or ranked data between two groups. The Cox regression model was used to analyze the influencing factors for liver function recovery. The Kaplan-Meier method was used to plot survival curves, and the Log-rank test was used for comparison between groups.  Results  A total of 98 pairs of cases were successfully matched after propensity score matching. Comparison of biochemical parameters between the two groups at the peak of liver injury showed that compared with the H0 group, the H1 group had significantly higher levels of alkaline phosphatase (ALP), globulin, and total bile acid and a significantly lower level of albumin (all P < 0.05). There was no significant difference in the classification of liver injury between the two groups (P > 0.05), and there was a significant difference in the severity of liver injury between the two groups (Z=1.710, P=0.045). Antinuclear antibody (ANA) was the main positive autoantibody and accounted for 49%, and there was a significant difference in the severity of liver injury between the patients with different ANA antibody titers (Z=20.252, P=0.001). Comparison of disease outcome in terms of whether liver function returned to normal within 6 months showed that the normalization rate of liver function within 6 months was 90.8% in the H0 group and 75.5% in the H1 group, and the H1 group had a lower normalization rate of liver function (χ2=8.199, P=0.004). The Cox regression analysis showed that autoantibody (hazard ratio [HR]=5.248, 95% confidence interval [CI]: 1.554-17.718, P=0.008) and ALP (HR=1.013, 95%CI: 1.002-1.025, P=0.026) were independent risk factors for liver function recovery. The Kaplan-Meier survival curve analysis showed that compared with the negative autoantibody group, the positive autoantibody group had a significantly higher risk of failure in liver function recovery after 6 months (χ2=8.802, P=0.003).  Conclusion  Autoantibody has no significant influence on the classification of Polygonum multiflorum preparation-related liver injury, and compared with the patients with negative autoantibody, the patients with positive autoantibody tend to have more severe liver injury and a more obvious tendency of chronicity.
Effect of glucocorticoid in the treatment of severe drug-induced liver injury
Wei YAN, Huifang HUANG
2022, 38(10): 2302-2307. DOI: 10.3969/j.issn.1001-5256.2022.10.019
Abstract(1201) HTML (408) PDF (1781KB)(150)
Abstract:
  Objective  To investigate the therapeutic effect of glucocorticoid in patients with severe drug-induced liver injury (DILI). Methods A retrospective analysis was performed for the data of patients with severe DILI who were admitted to The First Hospital of Shanxi Medical University from January 2019 to September 2021, including demographic characteristics, drugs inducing liver injury, and clinical manifestations, and changes in liver function, treatment outcome, and adverse reactions were compared between the patients treated with glucocorticoid (glucocorticoid group) and those not treated with glucocorticoid (control group). The independent samples t-test or the Mann-Whitney U test was used for comparison of continuous data between two groups, and the chi-square test or the Fisher's exact test was used for comparison of categorical data between groups.  Results  A total of 88 patients with DILI were included in analysis, among whom there were 33 male patients and 55 female patients, with a median age of 49 years, and there were 61 patients in the control group and 27 patients in the glucocorticoid group. Hepatocellular injury type was the main clinical type, and traditional Chinese medicine and dietary supplements were the most common drugs inducing liver injury. Main clinical manifestations included jaundice, nausea, and poor appetite, and 6 patients (6/88, 6.82%) progressed to grade 4 DILI, with 2 patients in the glucocorticoid group and 4 in the control group. The comparison of baseline characteristics showed that there were significant differences between the glucocorticoid group and the control group in aspartate aminotransferase, gamma-glutamyl transpeptidase (GGT), total bilirubin (TBil), and the proportion of patients with positive immune indices (all P < 0.05). On day 3 of treatment, there were significant differences between the two groups in the reduction rates of TBil, international normalized ratio (INR), and total bile acid (TBA) (all P < 0.05); on day 7 of treatment, there were significant differences between the two groups in the reduction rates of alanine aminotransferase, GGT, INR, and TBA (all P < 0.05). Compared with the control group, the glucocorticoid group had a significantly higher cumulative response rate on days 3 and 7 of treatment (day 3: 59.26% vs 29.51%, χ2=55.82, P=0.008; day 7: 81.48% vs 29.51%, χ2=64.27, P < 0.001). In the glucocorticoid group, the 2 patients with grade 4 DILI showed no response, while treatment response was observed in 93.75% of the patients who were treated with glucocorticoid due to the reduction in liver enzymes and the persistent increase (or a lack of significant reduction) in bilirubin after conventional liver-protecting treatment.  Conclusion  Traditional Chinese medicine and dietary supplements are the most common drugs inducing liver injury, and short-term use of glucocorticoids may bring benefits to the patients with grade 3 DILI who fail to achieve a satisfactory reduction in bilirubin after conventional treatment.
Prognosis and adverse reactions of patients with acute-on-chronic liver failure receiving artificial liver support therapy stratified by international normalized ratio
Yuyu ZENG, Dakai GAN, Nengwen XIE, Jiao WAN, Molong XIONG
2022, 38(10): 2308-2312. DOI: 10.3969/j.issn.1001-5256.2022.10.020
Abstract(963) HTML (229) PDF (2000KB)(77)
Abstract:
  Objective  To investigate the prognosis and adverse reactions of patients with acute-on-chronic liver failure (ACLF) receiving artificial liver support therapy stratified by international normalized ratio (INR).  Methods  A total of 515 ACLF patients who received artificial liver support therapy in Department of Severe liver Disease, The Ninth Hospital of Nanchang, from January 2010 to May 2020 were enrolled, and according to the level of INR, they were divided into group A with 20 patients (INR < 1.5), group B with 115 patients (1.5≤INR < 1.9), group C with 179 patients (1.9≤INR < 2.6), group D with 61 patients (2.6≤INR < 3.2), group E with 75 patients (3.2≤INR < 4.2), and group F with 65 patients (INR≥4.2). All patients received multimodality medical treatment combined with artificial liver support therapy. The one-way analysis of variance was used for comparison of normally distributed continuous data between multiple groups; the Kruskal-Wallis H test was used for comparison of non-normally distributed continuous data between multiple groups。The chi-square test was used for comparison of categorical data between groups. Bonferroni correction was used for further comparison between two groups. and the receiver operating characteristic (ROC) curve was used to evaluate the value of INR and MELD scoring system in predicting the prognosis of ACLF patients.  Results  As for 90-day mortality rate, there was a significant difference between the six groups stratified by INR (χ2=124.84, P < 0.001); there was no significant difference between groups A(25%), B(25.2%), and C(39.7%) (P > 0.05), and there was a significant difference between groups D/E/F(65.6%, 82.7%, and 92.3%, respectively) and groups A/B/C (all P < 0.05); there was no significant difference between groups D and E and between groups E and F (P > 0.05), and there was a significant difference between groups D and F (P < 0.05). There was no significant difference in the incidence rate of intraoperative adverse reactions between the six groups (χ2=8.956, P=0.111). INR had an area under the ROC curve of 0.786 (95% confidence interval: 0.746-0.825, P < 0.001) in predicting the prognosis of patients with ACLF receiving artificial liver support therapy, with a sensitivity of 66.7% and a specificity of 79.8%.  Conclusion  INR has a good value in predicting the prognosis of ACLF patients receiving artificial liver support therapy, and the artificial liver has good safety.
Original Article_Pancreatic Diseases
Relationship between visceral fat related index and the severity of acute pancreatitis
Heming HUANG, Huiying YANG, Yingying QIN, Guodu TANG
2022, 38(10): 2313-2319. DOI: 10.3969/j.issn.1001-5256.2022.10.021
Abstract(987) HTML (347) PDF (2160KB)(97)
Abstract:
  Objective  To investigate the relationship between visceral fat related index and the severity of acute pancreatitis (AP).  Methods  A total of 308 patients hospitalized with AP at the First Affiliated Hospital of Guangxi Medical University from September 2014 to October 2021 were included. They were divided into mild acute pancreatitis (MAP) (n=186), moderate severe acute pancreatitis (MSAP) (n=60) and severe acute pancreatitis (SAP) (n=62) for comparison in age, hospitalization cost and days, scoring systems and body mass indexes. Comparison of normally distributed continuous data with homogeneity of variance between groups was made by one-way analysis of variance, and intergroup and intragroup pairwise comparison of data with heterogeneity of variance was made by the Kruskal-Wallis H test. The receiver operating characteristic curves (ROCs) for each index were constructed and area under the curve (AUC) was calculated to evaluate the performance of each index. Univariable and multivariable logistic regression analyses were used to identify the independent risk factors of MSAP and SAP.  Results  There were significant differences among the three groups in terms of hospitalization costs and durations, TG, HDL-C, NLR, WBC, Alb, Cr, BUN, scoring systems, CMI, LAP, WTI and CVAI. Further pairwise comparisons revealed that CMI, LAP, WTI and CVAI were significantly higher in the MAP group than in MSAP and SAP groups. We also found correlation between CMI and the severity of AP (r=0.352, P < 0.001). By comparing the AUCs, CMI was found to be the most accurate in predicting the occurrence of MSAP and SAP. Univariable logistic regression analysis showed that CMI, LAP, WTI, CVAI and WC were the risk factors of MSAP and SAP. After adjusting for confounding factors, CMI and CVAI were identified as the independent risk factors of MSAP and SAP. The risk of MSAP and SAP with CMI ≥ 0.801 was 3.740 times that with CMI < 0.801 (95%CI: 1.983~7.056, P < 0.001).  Conclusions  Visceral fat is related to the severity of AP. Among the four visceral fat related indexes (CMI, LAP, WTI and CVAI), cardiometabolic index is the most valuable in predicting the severity of AP and they are positively correlated. CMI, an independent risk factor for MSAP and SAP, can be used to predict and assess the severity of AP.
Efficacy of magnetic resonance IDEAL-IQ technique in diagnosis of fat and iron deposition in acute pancreatitis
Huifang FAN, Qiang CHEN, Xiaojun YUAN, Lin LUO
2022, 38(10): 2320-2324. DOI: 10.3969/j.issn.1001-5256.2022.10.022
Abstract(1308) HTML (528) PDF (2190KB)(85)
Abstract:
  Objective  To perform quantitative evaluation of fat and iron deposition in the pancreas of patients with acute pancreatitis (AP) based on the IDEAL-IQ quantitative parameters fat fraction (FF) and relaxation rate (R2*), and to investigate the efficacy of this technique in the diagnosis of AP.  Methods  A total of 72 patients with AP who were diagnosed and treated in The First Affiliated Hospital of Baotou Medical College, Inner Mongolia University of Science and Technology from October 2020 to October 2021, were enrolled as case group, and 82 healthy controls who underwent physical examination during the same period of time were enrolled as control group. The abdominal IDEAL-IQ sequence test was performed for both groups using GE 3.0T magnetic resonance instrument, and FF and R2* values were measured on post-processing workstation. The t-test was used for comparison of normally distributed continuous data between groups, and the Mann-Whitney U test was used for comparison of non-normally distributed continuous data between groups. A receiver operating characteristic (ROC) curve analysis was performed for the parameters with statistical significance, and area under the ROC curve (AUC) was used to evaluate the diagnostic efficacy of parameters.  Results  Compared with the control group, the case group had significantly higher FF value (Z=-10.01, P < 0.001) and R2* value (Z=-3.73, P < 0.001), while there were no significant differences in FF and R2* values between mild AP and moderate-to-severe AP (P > 0.05). FF value had a sensitivity of 100% and a specificity of 90.2% in the diagnosis of AP, while R2* value had a sensitivity of 48.6% and a specificity of 86.6% in the diagnosis of AP.  Conclusion  The quantitative parameter FF value of magnetic resonance IDEAL-IQ technique has relatively high sensitivity and specificity in the diagnosis of AP, and it is a specific index for the diagnosis of AP and holds promise for clinical application.
Establishment and application of a preoperative grading system for resectable pancreatic cancer
Chengfang WANG, Zhijiang WANG, Weilin WANG
2022, 38(10): 2325-2333. DOI: 10.3969/j.issn.1001-5256.2022.10.023
Abstract(1021) HTML (589) PDF (2058KB)(81)
Abstract:
  Objective  To investigate the risk factors for early recurrence of resectable pancreatic cancer and the establishment and application of a grading system.  Methods  A retrospective case-control study was conducted among 303 patients with resectable pancreatic cancer who underwent radical resection in Department of Hepatobiliary and Pancreatic Surgery, The Second Affiliated Hospital of Zhejiang University School of Medicine, from March 2015 to June 2021, and according to the presence or absence of early recurrence (within 6 months after surgery), the 283 patients directly operated on were divided into early recurrence group with 95 patients and non-early recurrence group with 188 patients; 20 patients who received neoadjuvant therapy before surgery were enrolled as neoadjuvant therapy group. Observation indicators included general information, preoperative imaging data, preoperative laboratory data, routine blood test/blood biochemistry and derived indicators, tumor markers, and coagulation markers, and follow-up was conducted to observe recurrence-free survival. The t-test was used for comparison of normally distributed continuous data between two groups, and the Mann-Whitney U test was used for comparison of non-normally distributed continuous data between two groups; the chi-square test was used for comparison of categorical data between two groups. A multivariate Logistic regression analysis was used to investigate the risk factors for early recurrence in patients with pancreatic cancer, and the receiver operating characteristic (ROC) curve was used to determine the optimal cut-off value of each indicator. The Kaplan-Meier curve was plotted, and the Log-rank test was used for comparison of recurrence-free survival time between groups.  Results  The univariate analysis showed that compared with the non-early recurrence group, the early recurrence group had significantly lower body mass index (BMI) and triglyceride and significantly higher CA19-9, CA242, CA125, and plasma fibrinogen (all P < 0.05). The multivariate logistic regression analysis showed that BMI (odds ratio [OR]=1.150, 95% confidence interval [CI]: 1.038-1.273, P=0.007), plasma fibrinogen (OR=2.513, 95%CI: 1.355-4.663, P=0.003), and CA242 (OR=2.482, 95%CI: 1.067-5.774, P=0.035) were independent risk factors for early recurrence in patients with resectable pancreatic cancer. BMI, CA242, and plasma fibrinogen were included in the grading system, with a cut-off value of 23.00 kg/m2, 30.0 U/mL, and 4.00 g/L, respectively. BMI < 23.00 kg/m2 was counted as 1 point, otherwise it was counted as 0 point; CA242≥30.00 U/mL was counted as 1 point, otherwise it was counted as 0 point; plasma fibrinogen ≥4.00 g/L was counted as 1 point, otherwise it was counted as 0 point; the total score was 0-3 points. The patients in both the early recurrence group and the non-early recurrence group were scored, and the results showed that the early recurrence group had a significantly higher score than the non-early recurrence group [2(0-3) points vs 1(0-3) point, Z=-5.339, P < 0.001]. The Kaplan-Meier curve analysis showed that there was a significant difference in time to recurrence between groups (χ2=28.116, P < 0.001), and the higher the score, the shorter the expected time to recurrence. The patients with 3 points were defined as high-risk group and those with 0-2 points were defined as low-risk group, and the early recurrence rate was 84.6% in the high-risk group and 31.2% in the low-risk group.  Conclusion  The grading system based on BMI, plasma fibrinogen, and CA242 can reliably predict postoperative recurrence.
Case Reports
Hepatitis C combined with diffuse large B-cell lymphoma: A case report
Zhixin TU, Jianjie HUANG, Yan WANG, Bo MA, Yujin HAN, Liang GUO, Xiaoyu WEN, Qinglong JIN
2022, 38(10): 2334-2336. DOI: 10.3969/j.issn.1001-5256.2022.10.024
Abstract(658) HTML (304) PDF (2373KB)(74)
Abstract:
Bacteremia in an elderly patient with cirrhotic after transjugular intrahepatic portosystemic shunt: A case report
Qin LIU, Xin YAO, Ying LI, Sheng HE, Shanhong TANG, Jianping QIN
2022, 38(10): 2337-2340. DOI: 10.3969/j.issn.1001-5256.2022.10.025
Abstract(1100) HTML (250) PDF (2493KB)(79)
Abstract:
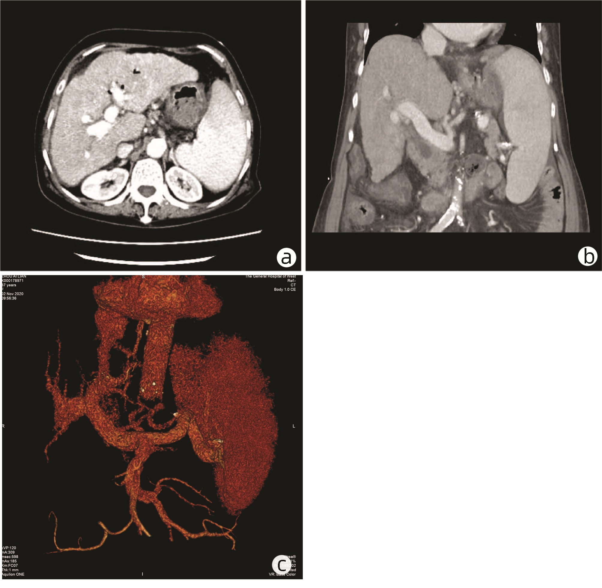
Hepatic veno-occlusive disease complicated with peripancreatic effusion misdiagnosed as acute pancreatitis: A case report
Jiaoshun CHEN, Haoxiang ZHANG, Tao YIN
2022, 38(10): 2341-2343. DOI: 10.3969/j.issn.1001-5256.2022.10.026
Abstract(874) HTML (241) PDF (2266KB)(78)
Abstract:
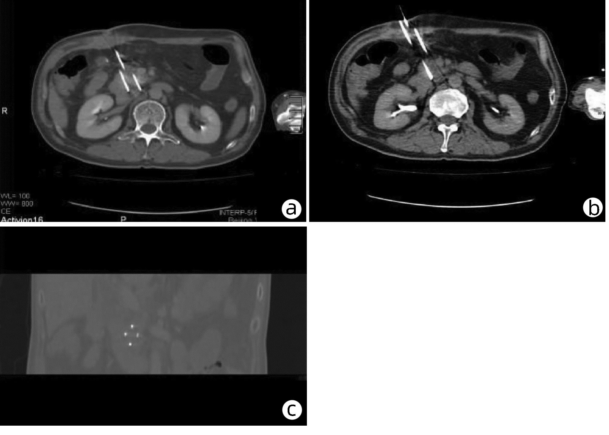
Treatment of unresectable periampullary carcinoma with irreversible electroporation: A case report
Caixia HU, Peng ZHAO, Bojun LIU, Jiasheng ZHENG, Yonghong ZHANG
2022, 38(10): 2344-2345. DOI: 10.3969/j.issn.1001-5256.2022.010.027
Abstract(843) HTML (378) PDF (1924KB)(70)
Abstract:
Reviews
Research advances in inflammatory markers in predicting the prognosis of patients with HBV-related acute-on-chronic liver failure
Tingting DENG, Li LI, Ying GUAN, Xueyan LUO, Kun QIN, Min LIU
2022, 38(10): 2346-2351. DOI: 10.3969/j.issn.1001-5256.2022.10.028
Abstract(1092) HTML (315) PDF (1789KB)(113)
Abstract:
Acute-on-chronic liver failure (ACLF) is a clinical syndrome with short-term rapid deterioration, multiple organ failure, and high mortality and has become a research hotspot in the field of severe liver diseases. Early, accurate, and quick judgment of clinical prognosis and timely intervention of disease progression are of great significance for improving disease outcome. This article summarizes the inflammation-related prognostic markers for HBV-related ACLF found in recent years, so as to improve the existing prognostic indicators and provide more basis for evaluating the prognosis of ACLF patients by clinicians.
Application of artificial intelligence and machine learning in non-alcoholic fatty liver research
Gong FENG, Xueying WANG, Shanshan LI, Na HE, Haoyun ZHENG, Man MI, Qinqin YAN
2022, 38(10): 2352-2356. DOI: 10.3969/j.issn.1001-5256.2022.10.029
Abstract(1398) HTML (563) PDF (1869KB)(202)
Abstract:
Non-alcoholic fatty liver disease (NAFLD) incidence is rapidly increasing and become the most common chronic liver disease globally. NAFLD also possesses a risk of developing cardiovascular, kidney, and other diseases. To date, NAFLD still faces difficulties in early diagnosis and treatment options. Thus, early detection, prevention, optimally individualized treatment selections, and prediction of prognosis all are the keys in clinical NAFLD control. Although there are assessment tools available for NAFLD severity appraisal using different clinical parameters, it becomes a hot topic of research in the field for how to optimize non-invasive assessment methodologies. Artificial intelligence (AI) and machine learning are increasingly being used in healthcare, especially in assessment and analysis of chronic liver disease, including NAFLD. This review summarized and discussed the most recent progress of AI and machine learning in differential diagnosis of NAFLD and evaluation of NAFLD severity, in order to provide treatment selections, i.e., the novel AI diagnosis models based on the electronic health records and laboratory tests, ultrasound and radiographic imaging, and liver histopathology data. The therapeutic models discussed the personalized lifestyle changes and NAFLD drug development. The NAFLD prognosis model reviewed and predicted how NAFLD-changed liver metabolisms affect prognosis of patients. This review also speculated future prospective research hot spots and development in the filed for how to utilize the existing AI models to distinguish NAFLD and non-alcoholic steatohepatitis (NASH) and assess NAFLD fibrosis status.
Association between the sirtuin family of deacetylases and nonalcoholic fatty liver disease
Yekai ZONG, Jiangkai LIU
2022, 38(10): 2357-2361. DOI: 10.3969/j.issn.1001-5256.2022.10.030
Abstract(879) HTML (328) PDF (1771KB)(83)
Abstract:
The sirtuin family of deacetylases widely exists in human cells and can regulate the post-translational chemical modification of various proteins by acting on mitochondria, endoplasmic reticulum and nucleus, thereby influencing the process of biological metabolism. The sirtuin family is also involved in a variety of pathophysiological reactions in nonalcoholic fatty liver disease (NAFLD). This article reviews the research advances in the association between the sirtuin family of deacetylases and nonalcoholic fatty liver disease, so as to provide a potential approach for NAFLD treatment in the future.
Role of bile acid metabolism in the pathogenesis of primary biliary cholangitis
Wanting JIA, Xiaoxiao LIU, Wenlin TAI
2022, 38(10): 2362-2367. DOI: 10.3969/j.issn.1001-5256.2022.10.031
Abstract(1337) HTML (323) PDF (1789KB)(140)
Abstract:
Primary biliary cholangitis (PBC) is a cholestatic autoimmune liver disease characterized by a high incidence rate in middle-aged and elderly women, lymphocyte infiltration in small bile ducts, and cholestasis. Main clinical manifestations include fatigue and pruritus caused by cholestasis. Ursodeoxycholic acid and obeticholic acid are currently approved therapeutic drugs for PBC and exert a therapeutic effect by regulating bile acid metabolism and specifically and effectively improving cholestasis. This article introduces the physiological and pathological changes of bile acids in disease states and summarizes the possible ways in which bile acid metabolism is involved in the pathogenesis of diseases and the current treatment methods for bile acid metabolism. It is pointed out that the changes of bile acid metabolism in PBC are mainly associated with anion exchanger 2 deficiency, innate genetic variation and acquired adaptive changes of bile acid metabolism transporters and nuclear receptors, and changes in the structure of intestinal flora.
Role of inflammation in hepatic fibrosis
Ting LI, Huabao LIU, Wenyan HU, Chunyan RAO
2022, 38(10): 2368-2372. DOI: 10.3969/j.issn.1001-5256.2022.10.032
Abstract(2028) HTML (398) PDF (1986KB)(365)
Abstract:
Inflammation caused by chronic liver is primarily responsible for the occurrence and pathological progression of liver fibrosis. In the process of liver fibrosis, a large number of activated inflammatory signals promote the transformation of hepatic stellate cells (HSC) into myofibroblasts (MF), which eventually leads to the massive secretion and deposition of extracellular matrix (ECM) and the formation of scar tissue in the liver. To provide literature references for clinical diagnosis and treatment, this paper reviews the roles of HSC, Kupffer cells (KC), inflammasomes and inflammatory signaling in liver fibrosis.
Recent research progress and mechanisms on Traditional Chinese Medicine reversal therapy of liver fibrosis
Shiheng LIU, Suxian ZHAO, Yuguo ZHANG
2022, 38(10): 2373-2377. DOI: 10.3969/j.issn.1001-5256.2022.10.033
Abstract(1375) HTML (452) PDF (1774KB)(118)
Abstract:
Liver fibrosis occurs due to damages caused by liver diseases of various etiologies and activation of hepatic stellate cells, leading to the repairing and damaging cycle by secreting a large amount of extracellular matrix and formation of fibrosis tissues in the liver. Early reversal of this process could prevent further development and progression of the disease, which may reduce incidence of the end-stage liver disease and even liver cancer. This review summarized and discussed recent advancements and mechanisms of liver sinusoidal endothelial cells, Notch signaling pathway, YAP/TAZ signaling pathway, and autophagy in regulation of liver fibrosis and then enumerated the Traditional Chinese Medicine in reversal of liver fibrosis process and the underlying molecular mechanisms. It expects to provide novel approaches and research ideas for future control of liver fibrosis using Traditional Chinese Medicine.
Research advances in porto-sinusoidal vascular disease
Liang LIU, Jiangkai LIU, Tiantian LIU, Jianwen ZHANG, Yaru ZHANG, Bingqian LI
2022, 38(10): 2378-2382. DOI: 10.3969/j.issn.1001-5256.2022.10.034
Abstract(1561) HTML (1466) PDF (1768KB)(195)
Abstract:
The term porto-sinusoidal vascular disease (PSVD) was proposed in 2017 to replace "idiopathic non-cirrhotic portal hypertension", so as to describe typical histological changes involving the portal vein or the hepatic sinus in the absence of liver cirrhosis. According to the definition of PSVD, patients with common causes of liver disease, portal vein thrombosis, and absence of portal hypertension are no longer excluded. This article reviews the etiology, clinical manifestations, examination, diagnosis, treatment, and prevention of PSVD, in order to improve the awareness of this disease among clinicians.
Role of bile acids in cirrhosis-related cardiomyopathy
Shiyang LIANG, Qiang LIN, Junliang SONG, Jingjie WANG
2022, 38(10): 2383-2386. DOI: 10.3969/j.issn.1001-5256.2022.10.035
Abstract(1124) HTML (434) PDF (1756KB)(102)
Abstract:
Liver cirrhosis-related cardiomyopathy (CCM) is a common and easily overlooked complication associated with liver cirrhosis. Because of the high incidence and impact on success of the liver transplantation and the transcarotid intrahepatic portosystemic shunt surgery, it has attracted the attention of researchers in the field recently. Liver cirrhosis patients have liver morphological alterations, which result in increased serum level of total bile acids and changes in bile acid composition. The increased bile acid concentrations are cardiotoxic and change cardiac functions. This study discussed and summarized recent advancements in the role of bile acids in cirrhosis-related cardiomyopathy in three aspects, i.e., changes in bile acid metabolism in liver cirrhosis patients, effects of bile acid on changes in cardiac functions, and ursodeoxycholic acid as a potential therapeutic agent for CCM. This review expects to provide novel approaches for future prevention and treatment of CCM.
Application of chimeric antigen receptor T-cell immunotherapy in primary liver cancer
Kangwei LI, Ding WEI, Ruohan ZHANG, Xiao LI, Kaishan TAO
2022, 38(10): 2387-2390. DOI: 10.3969/j.issn.1001-5256.2022.10.036
Abstract(1054) HTML (251) PDF (1761KB)(81)
Abstract:
Primary liver cancer has the features of high malignancy, rapid progression, frequent recurrence/metastasis, and high mortality, and therefore, most patients have developed intrahepatic or extrahepatic metastasis when attending the hospital and thus lost the opportunity for surgical treatment. Chimeric antigen receptor T-cell (CAR-T) immunotherapy has achieved good efficacy in the treatment of B-cell acute lymphoblastic leukemia, and clinical trials have been initiated to explore its applications in solid tumors such as primary liver cancer, pancreatic cancer, gastric cancer, and prostate cancer. This article reviews the efficacy of CAR-T immunotherapy in the clinical trials for primary liver cancer and discusses the difficult issues that need to be solved in clinical practice, such as the lack of suitable tumor targets, the inhibitory effect of tumor microenvironment on CAR-T cells, and the poor infiltration of CAR-T cells in tumor tissue, so as to provide a reference for related clinical studies.
Recent advancement in research on intrahepatic cholangiocarcinoma: Risk factors and pathogenesis
Yu LIANG, Yuanhong ZHAO, Zheng LI
2022, 38(10): 2391-2395. DOI: 10.3969/j.issn.1001-5256.2022.10.037
Abstract(2289) HTML (458) PDF (2345KB)(135)
Abstract:
Intrahepatic cholangiocarcinoma (ICC) accounts for the second highest hepatobiliary malignancy after hepatocellular carcinoma. ICC has a complex etiology and is a high invasive disease with a poor prognosis. To date, surgical resection is still the best treatment to cure early staged ICCs clinically; however, due to ICC diagnosis at the advanced stages of disease and tumor with high degree of malignancy, most patients miss the optimal time for surgery. Thus, it is crucial to detect and intervene ICC at the earliest stage of disease clinically. The ICC risk factors may include primary sclerosing cholangitis, viral hepatitis, and intrahepatic cholangiolithiasis. The rapid development of molecular biology and genetics provides a better methodology in in-depth study of ICC pathogenesis. This review summarized and discussed the most recent advancement in identification of the ICC risk factors and molecular mechanisms of ICC pathogenesis, which may provide valuable and insightful information for ICC early detection and potential treatment strategy.
Anticoagulants for artificial liver support therapy: Application advances and selection strategies
Yuanji MA, Lingyao DU, Lang BAI, Hong TANG
2022, 38(10): 2396-2401. DOI: 10.3969/j.issn.1001-5256.2022.10.038
Abstract(2528) HTML (645) PDF (2107KB)(213)
Abstract:
Coagulation disorder is one of the characteristics of liver failure, leading to an unstable and vulnerable "rebalance" state of coagulation function, which may be easily broken by internal or external factors. Anticoagulants are often required during artificial liver support therapy for patients with liver failure, which may break the "rebalance" state and result in bleeding events. This article reviews the methods for evaluating coagulation status in liver failure, the features of available anticoagulants, and the advances in the application of such anticoagulants in artificial liver support therapy and discusses the anticoagulation management and selection strategy for artificial liver support therapy with reference to the selection experience of West China Hospital of Sichuan University.
Role of oxidative stress in acute liver injury
Yue LIAO, Yihuai HE, Yawen LUO
2022, 38(10): 2402-2407. DOI: 10.3969/j.issn.1001-5256.2022.10.039
Abstract(2581) HTML (2008) PDF (2490KB)(292)
Abstract:
Acute liver injury (ALI) is often caused by virus infection, alcohol, drugs, toxin, and metabolic disorder, and oxidative stress is a common pathophysiological mechanism in the development and progression of ALI and other liver diseases. Hepatocyte function is impaired after ALI, which further causes oxidative stress, and persistent or high-intensive oxidative stress may increase the risk of hepatocyte death and thus result in a series of liver diseases. Oxidative stress is mainly associated with the signaling pathways including nuclear factor erythroid 2-related factor 2 and nuclear factor-kappa B. Therefore, it is of great importance to understand the mechanism of oxidative stress in the development and progression of liver injury and related pathways. This article introduces oxidative system and antioxidative system, oxidative stress and damage factors, and oxidative stress and pathways associated with liver injury, so as to provide a reference for the selection of therapeutic targets for ALI and related clinical research.
Vasoactive substance resistance mechanisms in diagnosis and treatment of end-stage liver diseases: Disputes and counter-measurement
Jianjun LIU, Wenkai ZHENG, Jianghong WANG, Yanjun REN, Yan LIU, Lizhen ZHAO
2022, 38(10): 2408-2411. DOI: 10.3969/j.issn.1001-5256.2022.10.040
Abstract(979) HTML (186) PDF (1753KB)(73)
Abstract:
The vasoactive substance resistance (VSR) in the end-stage liver disease (ESLD) refers as the reduction of patients' responsiveness to endogenous and exogenous vasoactive substances, cardiac and vascular excitability, peripheral circulatory dysfunction, but induction of related adverse events. VSR is closely related to pathogenesis and treatment-related ESLD complications. However, to date, there are so many unsolved issues, like 1). The cause and underlying mechanism of VSR in ESLD patients; 2). VSR and ESLD multiple organ damages; 3). The preventive and mitigated measurement of VSR; and 4). VSR vasoactive drug use in ESLD patients. This review discussed and summarized the up to date progress in this field of research and clinical VSR in patients with ESLD, i.e., VRS in ESLD patients, disputes of vasoconstrictor drug therapy in ESLD patients, and future research direction of the field.
Application and progress of the contrast-enhanced ultrasound liver imaging reporting and data system (CEUS LI-RADS) in "M" lesions
Xingni WU, Shaoshan TANG, Xiang LI, Zinan LI
2022, 38(10): 2412-2415. DOI: 10.3969/j.issn.1001-5256.2022.10.041
Abstract(1499) HTML (333) PDF (1762KB)(68)
Abstract:
Clinically, there are still substantial differences between hepatocellular carcinoma (HCC) and non-HCC liver malignancies in terms of risk factors, pathogenesis, biological behaviors, treatment selections, prognosis, and prevention measurement. The liver imaging reporting and data system (LI-RADS) M (LR-M) classification criteria in the contrast-enhanced ultrasound LI-RADS (CEUS LI-RADS) can help differentiate HCC from non-HCC malignancies. This review discussed and summarized recent advancements in differential diagnosis of HCC from non-HCC using the LR-M criteria and speculated future directions in the field, i.e., how CEUS LI-RADS distinguish HCC from intrahepatic cholangiocarcinoma, mixed hepatocellular carcinoma cholangiocarcinoma, and liver metastasized and benign tumors. It also discussed differences between CEUS LI-RADS and CT/MRI LI-RADS in diagnosis of liver neoplasms and Sonazoid modified CEUS LI-RADS in differential diagnosis of HCC from non-HCC.
Ischemic hepatitis: A severe liver disease that cannot be neglected
Kai ZHU, Hongmei XU
2022, 38(10): 2416-2421. DOI: 10.3969/j.issn.1001-5256.2022.010.042
Abstract(2196) HTML (293) PDF (1782KB)(152)
Abstract:
Ischemic hepatitis is increasingly common in the intensive care unit and often has a poor prognosis. Due to the complex pathogenesis of ischemic hepatitis and a lack of specific clinical manifestations, auxiliary examination methods are limited and there are still no unified diagnostic criteria and treatment methods. Early identification and treatment of ischemic hepatitis is of particular importance. This article reviews the epidemiology, pathogenesis, clinical manifestations, auxiliary examination, diagnosis, and treatment of ischemic hepatitis and related research advances, in order to improve the awareness of this disease among clinicians and promote the timely diagnosis and treatment of this disease.
The progression of biliary hyperkinesia research
Wenping LIANG, Dankun LUO, Bo LIU, Dongbo XUE, Biao MA
2022, 38(10): 2422-2427. DOI: 10.3969/j.issn.1001-5256.2022.10.043
Abstract(1259) HTML (624) PDF (2443KB)(101)
Abstract:
In recent years, the incidence of digestive disorders has risen steadily. Among which, biliary dyskinesia, particularly biliary hyperkinesia, has become a growing concern. The basic concept, epidemiology, pathogenesis, pathology, clinical and imaging manifestations, diagnosis, and treatment of biliary hyperkinesia are systematically reviewed in this paper based on the current status of research in this field worldwide. On this basis, prospective future research directions are also provided.
Advances in tumor microenvironment and immunotherapy of Cholangiocarcinoma
Shun CHEN, Jun WANG
2022, 38(10): 2428-2432. DOI: 10.3969/j.issn.1001-5256.2022.10.044
Abstract(1300) HTML (768) PDF (1923KB)(109)
Abstract:
The tumor microenvironment plays an important role in the proliferation, invasion and metastasis of cholangiocarcinoma cells. Complicated functional axis determines cholangiocarcinoma heterogeneity and its malignant potential. Targeting some factors in the tumor microenvironment might help reshape immune system of the tumor microenvironment to enhance natural anti-tumor immune responses. As a consequence, the improved immune environment and enhanced immune function will have great clinical potential in prediction of immune response to immunotherapy and identification of novel therapeutic strategies, which can provide a new potential direction for further investigation of targeted therapy of cholangiocarcinoma.
Introduction of High-quality Articles in Foreign Journals
Hepatology|Declining disease burden of HCC in the United States, 1992-2017: A population-based analysis
2022, 38(10): 2259-2259. DOI: 10.3969/j.issn.1001-5256.2022.10.gwjpwzjj1
Abstract(502) HTML (155) PDF (807KB)(75)
Abstract:
Hepatology|Concurrent large spontaneous portosystemic shunt embolization for the prevention of overt hepatic encephalopathy after TIPS: A randomized controlled trial
2022, 38(10): 2285-2285. DOI: 10.3969/j.issn.1001-5256.2022.10.gwjpwzjj2
Abstract(566) HTML (189) PDF (972KB)(90)
Abstract:
Journal of Clinical Oncology|Neoadjuvant chemoradiotherapy versus upfront surgery for resectable and borderline resectable pancreatic cancer: long-term results of the Dutch randomized PREOPANC trial
2022, 38(10): 2312-2312. DOI: 10.3969/j.issn.1001-5256.2022.10.gwjpwzjj3
Abstract(482) HTML (392) PDF (819KB)(92)
Abstract:
Thanks
Current reviewers
2022, 38(10): 2223-2223. DOI: 10.3969/j.issn.1001-5256.2022.10.zhixie1
Abstract(743) HTML (156) PDF (1247KB)(67)
Abstract: