中文English
ISSN 1001-5256 (Print)
ISSN 2097-3497 (Online)
CN 22-1108/R

2022 No.9
Theme Issue: Integrated Traditional Chinese and Western Medicine Therapy for Liver Cirrhosis and Its Main Comorbidities
Executive Chief Editor: LIU Ping  
Shuguang Hospital Affiliated to Shanghai University of Traditional Chinese Medicine

Display Method:
Editorial
Research advances in integrated traditional Chinese and Western medicine therapy for liver cirrhosis
Shili JIANG, Ping LIU
2022, 38(9): 1953-1955. DOI: 10.3969/j.issn.1001-5256.2022.09.001
Abstract(2361) HTML (368) PDF (2000KB)(227)
Abstract:
The combination of traditional Chinese medicine and Western medicine is an important approach to improve the treatment outcome of liver cirrhosis. Long-term diagnosis and treatment practice and clinical studies of the prevention and treatment of chronic hepatitis B cirrhosis have shown that antiviral drugs targeting the cause of the disease combined with anti-liver fibrosis traditional Chinese medicine can significantly improve the reversal rate of liver fibrosis and cirrhosis, and anti-liver fibrosis therapy can reduce the incidence rates of esophagogastric variceal bleeding and hepatocellular carcinoma in cirrhotic patients and improve the 5-year survival rate of patients with decompensated liver cirrhosis. It is necessary to conduct in-depth studies to clarify the target and mechanism of action of the main effective constituents of compound traditional Chinese medicine, strengthen the research on drug quality control standards, and obtain more high-quality evidence for clinical efficacy, so as to effectively promote the development of integrated traditional Chinese and Western medicine therapy for liver cirrhosis.
Discussions by Experts
Integrated traditional Chinese and Western medicine diagnosis and treatment of cirrhotic ascites
Lei WANG
2022, 38(9): 1956-1961. DOI: 10.3969/j.issn.1001-5256.2022.09.002
Abstract(2153) HTML (662) PDF (2026KB)(204)
Abstract:
Ascites is the most common complication of decompensated liver cirrhosis. Recurrent massive ascites seriously affects the quality of life and prognosis of patients, and therefore, effective control of ascites is an important link in the treatment of liver cirrhosis. Based on the clinical reports in recent years, this article reviews the advances in the integrated traditional Chinese and Western medicine diagnosis of cirrhotic ascites, conventional Western medicine treatment such as salt restriction, diuresis, and albumin supplementation, and the application of transjugular intrahepatic portosystemic shunt, ascites pump, and liver transplantation in the treatment of refractory ascites. In addition, this article introduces the application of integrated traditional Chinese and Western medicine combining disease and syndrome with staged treatment and external treatment methods with traditional Chinese medicine characteristics, as well as the perspectives of future research including real-world study.
Advances in the integrated traditional Chinese and Western medicine diagnosis and treatment of gastroesophageal variceal bleeding due to liver cirrhosis
Yongping MU
2022, 38(9): 1962-1968. DOI: 10.3969/j.issn.1001-5256.2022.09.003
Abstract(2433) HTML (402) PDF (2131KB)(193)
Abstract:
Portal hypertension is not only the outcome of liver cirrhosis, but also the main cause of gastroesophageal varices, and variceal bleeding may lead to dangerous conditions and even endanger the life of patients. Therefore, standardization of endoscopic screening, prevention of first-time bleeding, emergency hemostasis, and prevention of secondary bleeding after hemostasis are of great importance for the prevention and treatment of gastroesophageal variceal bleeding. At present, the treatment measures for emergency hemostasis mainly include circulatory resuscitation, pharmacotherapy, endoscopic therapy, interventional radiology, and transjugular intrahepatic portosystemic shunt for patients who may fail in routine treatment. Secondary preventive measures mainly include traditional nonselective β-receptor blocker (NSBB) or carvedilol combined with endoscopic variceal ligation, transjugular intrahepatic portosystemic shunt, and balloon-occluded retrograde transvenous obliteration. In addition, traditional Chinese medicine or integrated traditional Chinese and Western medicine therapy also play an important role in the treatment of gastroesophageal variceal bleeding, especially in the fields of primary and secondary prevention. This article reviews the research advances in the role of integrated traditional Chinese and Western medicine therapy in the diagnosis and treatment of gastroesophageal variceal bleeding due to liver cirrhosis in recent years, in order to provide a reference for clinicians to select appropriate diagnosis and treatment regimens.
Integrated traditional Chinese and Western medicine diagnosis and treatment of hepatic encephalopathy: Advances and perspectives
Xianbo WANG, Ke SHI
2022, 38(9): 1969-1973. DOI: 10.3969/j.issn.1001-5256.2022.09.004
Abstract(2086) HTML (320) PDF (1958KB)(187)
Abstract:
Hepatic encephalopathy is the most common complication of liver cirrhosis and portal hypertension, and a confirmed diagnosis requires the clarification of predisposing factors and disease stage based on neuropsychological tests or clinical symptoms and signs. The treatment of hepatic encephalopathy emphasizes the elimination of predisposing factors, ammonia-lowering treatment, and reasonable and appropriate nutrition support, and integrated traditional Chinese and Western medicine therapy has certain advantages and characteristics in treatment. This article discusses the advances in the integrated traditional Chinese and Western medicine diagnosis and treatment of hepatic encephalopathy, so as to guide clinical practice and select reasonable treatment regimens.
Integrated traditional Chinese and Western medicine diagnosis and treatment of hepatorenal syndrome
Jiaqi LIANG, Wen LIU
2022, 38(9): 1974-1979. DOI: 10.3969/j.issn.1001-5256.2022.09.005
Abstract(1748) HTML (525) PDF (1968KB)(140)
Abstract:
As a common complication of end-stage liver disease, hepatorenal syndrome (HRS) is functional acute renal failure that occurs on the basis of severe liver diseases and is a group of clinical syndromes characterized by renal insufficiency, abnormal endogenous vascular substances, and hemodynamic changes of arterial circulation. The ideal treatment method for HRS is liver transplantation or simultaneous kidney transplantation, and optimization of drug and non-drug therapies is the key to the treatment of HRS. This article reviews the current status of the integrated traditional Chinese and Western medicine diagnosis and treatment of HRS.
Integrated traditional Chinese and Western medicine diagnosis and treatment of liver cirrhosis with diabetes
Changqing ZHAO
2022, 38(9): 1980-1985. DOI: 10.3969/j.issn.1001-5256.2022.09.006
Abstract(1314) HTML (510) PDF (2118KB)(112)
Abstract:
Hepatogenous diabetes (HD) is a common complication of liver cirrhosis and can reduce survival rate and increase the risk of other complications. It differs from type 2 diabetes in terms of etiology, pathogenesis, and diagnostic methods. There are currently no guidelines for HD treatment in China and globally. Although the understanding of HD in traditional Chinese medicine is gradually deepened, no consensus has been reached on its etiology, pathogenesis, and syndrome differentiation. This article reviews the traditional Chinese and Western medicine research on HD in recent years, so as to provide a reference for clinicians to develop individualized traditional Chinese and Western medicine diagnosis and treatment strategies.
Guidelines
Expert consensus for clinical application of Wuling capsule(pill) in the treatment of chronic hepatitis B
Branch of Hepatobiliary Diseases, Chinese Association of Chinese Medicine
2022, 38(9): 1986-1989. DOI: 10.3969/j.issn.1001-5256.2022.09.007
Abstract(2219) HTML (1696) PDF (2019KB)(248)
Abstract:
Chinese medicine practice guide for acupoint catgut embedding in treating non-alcoholic fatty liver disease
Branch of Hepatobiliary Diseases, Chinese Association of Chinese Medicine
2022, 38(9): 1990-1993. DOI: 10.3969/j.issn.1001-5256.2022.09.008
Abstract(1434) HTML (564) PDF (2028KB)(181)
Abstract:
Recommendations for EASL clinical practice guidelines on sclerosing cholangitis (2022)
Changcun GUO, Ying HAN
2022, 38(9): 1994-1996. DOI: 10.3969/j.issn.1001-5256.2022.09.009
Abstract(978) HTML (489) PDF (1915KB)(181)
Abstract:
Recommendations for EASL clinical practice guidelines on the management of hepatic encephalopathy (2022)
Huimin LIU, Yuan HUANG
2022, 38(9): 1997-1998. DOI: 10.3969/j.issn.1001-5256.2022.09.010
Abstract(1642) HTML (453) PDF (1905KB)(411)
Abstract:
An excerpt of the EASL clinical practice guidelines on haemochromatosis
Kunyan HAO, Yong WANG, Yuecheng YU
2022, 38(9): 1999-2004. DOI: 10.3969/j.issn.1001-5256.2022.09.011
Abstract(1707) HTML (317) PDF (2034KB)(206)
Abstract:
In March 2022, EASL released a new version of the clinical practice guidelines on haemochromatosis. Haemochromatosis is characterized by elevated transferrin saturation (TSAT) and progressive iron overload mainly involving the liver, and early diagnosis and venesection can prevent liver cirrhosis, hepatocellular carcinoma, diabetes, arthritis, and other complications. For patients with p.Cys282Tyr homozygous mutation of the hemochromatosis gene HFE, haemochromatosis can be diagnosed if serum iron parameters show TSAT > 45% and ferritin > 200 μg/L in female patients, or TSAT > 50% and ferritin > 300 μg/L in male patients and postmenopausal female patients. If a patient has elevated TSAT and ferritin and belongs to other HFE genotypes, magnetic resonance or liver biopsy is needed to confirm iron overload in the liver. Liver fibrosis stage and damage to other organs should be carefully assessed at the time of diagnosis, which will help to determine management strategies. Hepatocellular carcinoma should be screened for patients with progressive liver fibrosis. The goal of venesection is to achieve ferritin < 50 μg/L during the induction stage and ferritin < 100 μg/L during the maintenance stage.
Original Articles_Viral Hepatitis
Influencing factors for liver inflammation and fibrosis in the immune-tolerant phase of HBV infection
Chunyun LIU, Lixian CHANG, Junyi LI, Yanwei QI, Weikun LI, Huimin LI, Yingyuan ZHANG, Jianpeng GAO, Li LIU
2022, 38(9): 2005-2009. DOI: 10.3969/j.issn.1001-5256.2022.09.012
Abstract(1100) HTML (221) PDF (1958KB)(123)
Abstract:
  Objective  To evaluate the degree of liver injury and liver fibrosis in patients in the immune-tolerant phase of chronic HBV infection, and to provide a basis for judging the condition of patients in the immune-tolerant phase.  Methods  A total of 300 patients with HBV DNA ≥107 IU/mL, alanine aminotransferase (ALT) ≤40 U/L, and complete data who were treated in The Third People's Hospital of Kunming from January 2015 to December 2019 were enrolled as subjects, and related data were collected, including age, sex, duration of HBV infection, blood biochemistry, hepatitis B surface antigen (HBsAg) level, and HBV DNA. Liver pathological examination was performed for all patients, and the patients were divided into G < 2 and G ≥2 groups according to inflammation grade and S < 2 and S ≥2 groups according to the degree of fibrosis. The t-test was used for comparison of continuous data between two groups, and univariate and multivariate unconditional logistic regression analyses were used to investigate the influencing factors for G ≥2 liver inflammation and S ≥2 liver fibrosis.  Results  Among the 300 patients, 213 (71%) had G ≥2 liver inflammation and 120 (40%) had S ≥2 liver fibrosis, with a baseline age of 26.06±9.01 years; male patients accounted for 48%, and the duration of infection was 5.62±5.09 years. The univariate analysis showed that there were significant differences between the G < 2 and G ≥2 groups in ALT, alkaline phosphatase (ALP), albumin (Alb), platelet count (PLT), diameter of the portal vein, and spleen thickness (t=-26.677, -11.612, 2.149, 5.410, -6.092, and -2.911, all P < 0.05), and there were significant differences between the S < 2 and S ≥2 groups in duration of infection, ALT, ALP, Alb, HBV DNA, PLT, diameter of the portal vein, and spleen thickness (t=-6.320, -6.694, -7.880, 2.349, 4.552, 19.160, -5.782, and -5.622, all P < 0.05). The multivariate analysis showed that ALT (odds ratio [OR]=10.270, 95% confidence interval [CI]: 2.212-47.672, P=0.003) and ALP (OR=1.097, 95%CI: 1.013-1.188, P=0.023) were independent risk factors for G ≥2 liver inflammation in patients in the immune-tolerant phase, and ALP (OR=1.034, 95%CI: 1.015-1.054, P < 0.001), PLT (OR=0.913, 95%CI: 0.886-0.938, P < 0.001), HBV DNA (OR=0.198, 95%CI: 0.062-0.636, P=0.007), and duration of infection (OR=1.176, 95%CI: 1.033-1.340, P=0.015) were independent influencing factors for S ≥2 liver fibrosis in patients in the immune-tolerant phase.  Conclusion  Most patients in the immune-tolerant phase have significant liver histological changes. ALT and ALP are the influencing factors for significant liver inflammation, and ALP, HBV-DNA, PLT, and infection time are the influencing factors for significant liver fibrosis in patients in the immune-tolerant phase.
Original Articles_Fatty Liver Diseases
Influence of histone deacetylase 1 on insulin resistance in a cell model of nonalcoholic fatty liver disease
Heng ZHU, Weizong KONG, Guiqun HUANG, Yu BAI, Yingchun WANG
2022, 38(9): 2010-2015. DOI: 10.3969/j.issn.1001-5256.2022.09.013
Abstract(1097) HTML (290) PDF (2418KB)(81)
Abstract:
  Objective  To investigate the promoting effect of histone deacetylase 1 (HDAC1) expression on insulin resistance (IR) in nonalcoholic fatty liver disease (NAFLD) cells by establishing an HepG2 cell model of high fat-induced NAFLD.  Methods  HepG2 cells were divided into control group, model group (OA), and inhibitor group (OA+pyroxamide [an HDAC1 inhibitor]). CCK-8 assay was used to plot the standard growth curve of HepG2 cells and screen out the optimal drug concentration and action time of OA and pyroxamide; oil red O staining was used to compare the accumulation of lipid droplets in cells; an automatic biochemical analyzer was used to analyze the content of alanine aminotransferase (ALT), aspartate aminotransferase (AST), triglyceride (TG), and total cholesterol (TC) in cells; quantitative real-time PCR and Western blot were used to measure the mRNA and protein expression levels of HDAC1 and insulin receptor substrate-1 (IRS-1) in cells. A one-way analysis of variance was used for comparison of continuous data between multiple groups, and the least significant difference t-test was used for further comparison between two groups.  Results  OA treatment at a concentration of 0.25 mmol/L for 24 hours was the optimal concentration and duration of cell modeling, and treatment at a concentration of 20 μmol/L for 24 hours was the optimal administration concentration and duration of pyroxamide. Compared with the control group, the model group had significant increases in the content of ALT, AST, TG, and TC, and compared with the model group, the inhibitor group had significant reductions in the content of ALT, AST, TG, and TC (all P < 0.05). The model group had significantly higher mRNA and protein expression levels of HDAC1 than the control group, while the inhibitor group had significantly lower expression levels than the model group (all P < 0.05); the model group had significantly lower mRNA and protein expression levels of IRS-1 than the control group, while the inhibitor group had significantly higher expression levels than the model group (all P < 0.05).  Conclusion  HDAC1 participates in the development and progression of NAFLD by inhibiting the expression of IRS-1 molecule and promoting IR, and the HDAC1 inhibitor pyroxamide can exert a protective effect on the liver by alleviating IR.
Effect of Huatan Qushi Huoxue prescription on lipopolysaccharide-induced pyroptosis of macrophages
Minghao LIU, Sutong LIU, Dongfang SHANG, Lihui ZHANG, Yajiao GU, Wenxia ZHAO
2022, 38(9): 2016-2019. DOI: 10.3969/j.issn.1001-5256.2022.09.014
Abstract(1713) HTML (383) PDF (4168KB)(83)
Abstract:
  Objective  To investigate the effect of Huatan Qushi Huoxue prescription on lipopolysaccharide (LPS)-induced pyroptosis of RAW264.7 cells and its mechanism.  Methods  An in vitro cell model of LPS-induced activated RAW264.7 was established and divided into blank group, model group, high-, middle-, and low-dose Huatan Qushi Huoxue prescription groups, and control group. The corresponding drug-containing serum intervention was performed for 24 hours. A scanning electron microscope was used to observe cell morphology, and immunofluorescence assay was used to perform quantitative localization of GSDMD-N.  Results  The cells in the blank group were round and regular in shape with smooth surface, and those in the control group were swollen, with folds on the surface and gaps in the capsule, which were consistent with the morphology of cell pyroptosis. The cells in the control group had bubbles on the surface with obvious pseudopodia and pores in cell membrane, and those in the high-dose group were not swollen and had a rough surface with pseudopodia, with no obvious pores in cell membrane. The cells in the low- and middle-dose groups were swollen and had a rough surface of cell membrane with pores and pseudopodia. Immunofluorescence assay showed that compared with the blank group, the model group had a significant increase in the positive staining intensity of GSDMD-N, and compared with the model group, the control group and the Traditional Chinese medicine group had a reduction in the positive staining intensity of GSDMD-N.  Conclusion  Huatan Qushi Huoxue prescription can improve the pyroptosis of macrophages and reduce the expression of GSDMD-N.
Original Articles_Liver Fibrosis and Liver Cirrhosis
Effect of Ganshuang granule combined with entecavir on portal vein thrombosis in patients with hepatitis B cirrhosis
Li LIU, Junyi LI, Chunyun LIU, Lixian CHANG, Lihua ZHANG, Hongli HUANG, Yu LUO, Jianpeng GAO
2022, 38(9): 2020-2026. DOI: 10.3969/j.issn.1001-5256.2022.09.015
Abstract(1563) HTML (517) PDF (2185KB)(72)
Abstract:
  Objective  To investigate the effect of Ganshuang granule combined with entecavir on portal vein thrombosis (PVT) in patients with hepatitis B cirrhosis.  Methods  A total of 356 patients with hepatitis B cirrhosis who attended and were hospitalized in The Third People's Hospital of Kunming from January 1, 2018 to December 31, 2020 were enrolled and randomly divided into combination group with 191 patients and control group with 165 patients. The patients in the combination group received Ganshuang granule combined with entecavir, and those in the control group received entecavir alone. The course of treatment was at least 24 weeks. The t-test or the Mann-Whitney U test was used for comparison of continuous data between two groups, and the chi-square test or the Fisher's exact test was used for comparison of categorical data between two groups. The Kaplan-Meier method was used to analyze the cumulative incidence rate of PVT in both groups, and the log-rank test was used for comparison between two groups. Univariate and multivariate Cox proportional-hazards regression model analyses were used to investigate the influencing factors for PVT in patients with hepatitis B cirrhosis.  Results  The 191 patients in the combination group were followed up for 296.25 person-years in total, with a mean follow-up time of 1.55±0.65 years, and there were 8 patients with PVT, with an incidence rate of 4.19% and an incidence density of 1.41 per ten-thousand person-years. The 165 patients in the control group were followed up for 253.25 person-years in total, with a mean follow-up time of 1.53±0.67 years, and there were 20 patients with PVT, with an incidence rate of 12.12% and an incidence density of 4.79 per ten-thousand person-years. There was a significant difference in the incidence rate of PVT between the two groups (χ2=7.687, P=0.006). The cumulative incidence rate of PVT plotted by the Kaplan-Meier method showed that the combination group had a significantly lower cumulative incidence rate of PVT than the control group (χ2=7.226, P=0.007), with a relative risk of 3.155 (95% confidence interval [CI]: 1.351-7.370). The univariate Cox analysis showed that hypertension, alanine aminotransferase, aspartate aminotransferase (AST), albumin (Alb), cholinesterase, estimated glomerular filtration rate, alpha-fetoprotein, D-dimer (D-D), Child-Pugh class, and Ganshuang granule combined with entecavir were influencing factors for PVT (all P < 0.05); the multivariate Cox analysis showed that AST (hazard ratio [HR]=1.002, 95% CI: 1.000-1.004, P=0.025), and D-D (HR=1.907, 95%CI: 1.554-2.338, P < 0.001) were independent risk factors for PVT in patients with hepatitis B cirrhosis, while Alb (HR=0.844, 95%CI: 0.755-0.944, P=0.003) and Ganshuang granule combined with entecavir (HR=0.350, 95%CI: 0.144-0.851, P=0.021) were independent protective factors against PVT in patients with hepatitis B cirrhosis.  Conclusion  Ganshuang granule combined with entecavir can significantly reduce the incidence rate of PVT in patients with hepatitis B cirrhosis, thereby exerting a certain preventive effect against PVT.
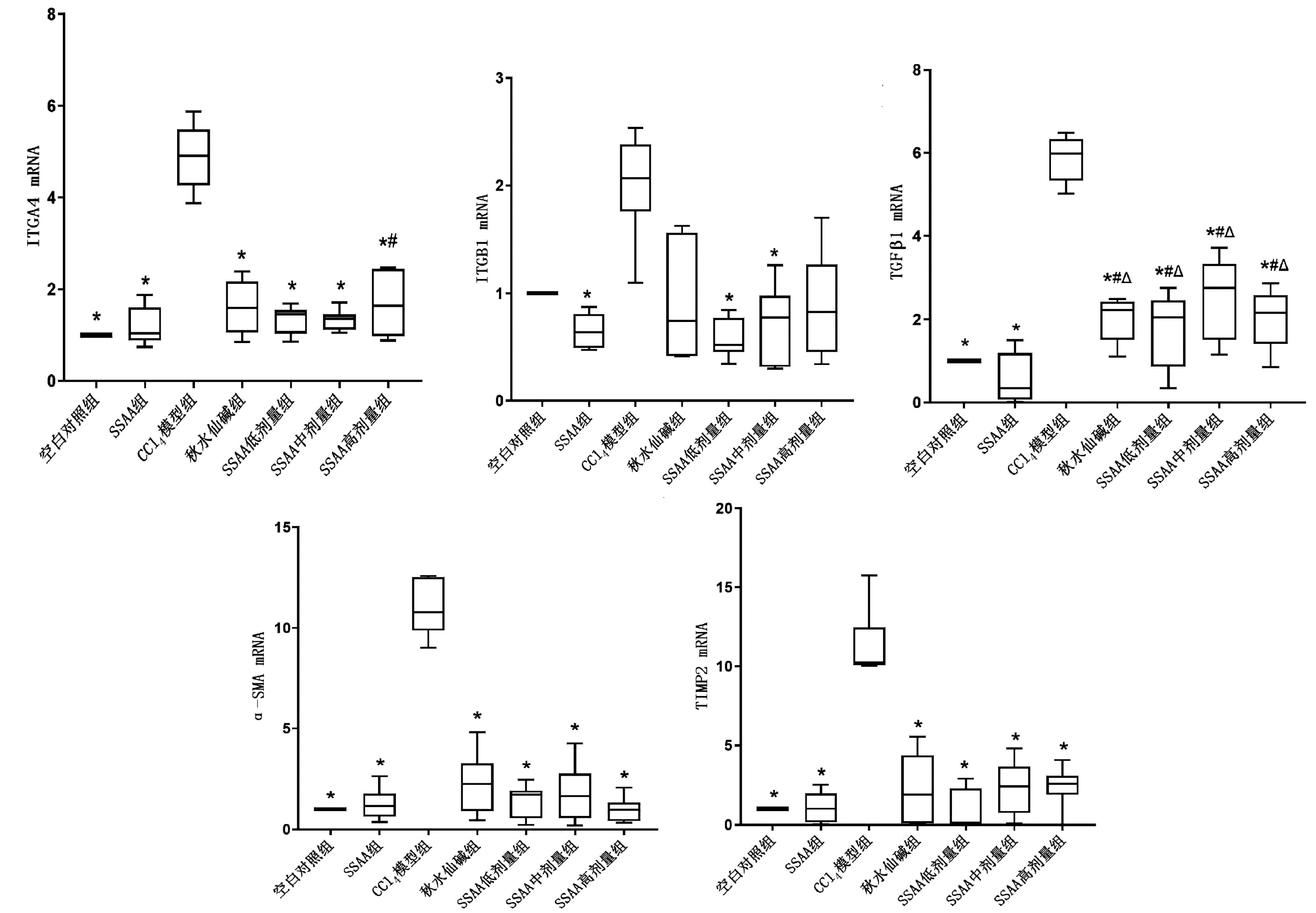
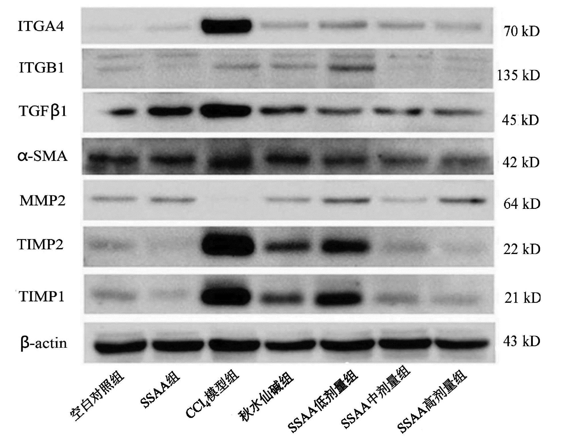
The role of integrin α4 in the anti-liver fibrosis effect of the sticky sugar amino acid extract of Periplaneta americana
Jie LU, Yixia ZHOU, Ye LIU, Ya GAO, Kexuan CHEN, Dingchun LI, Yihui CHEN, Huaie LIU, Hongtu WANG, Wu LI
2022, 38(9): 2027-2033. DOI: 10.3969/j.issn.1001-5256.2022.09.016
Abstract(1182) HTML (488) PDF (7805KB)(74)
Abstract:
  Objective  To investigate the mechanism of action of integrin α4 (ITGA4) in liver fibrosis based on the anti-liver fibrosis effect of sticky sugar amino acid (SSAA) in rats.  Methods  A rat model of liver fibrosis was induced by intraperitoneal injection of CCl4, and then colchicine and low-, middle-, and high-dose SSAA were used for intervention, with blank control group and SSAA group as control. After 12 weeks of experimental intervention, serum and liver samples were collected to measure the serum levels of alanine aminotransferase (ALT) and aspartate aminotransferase (AST), and HE staining and Sirius Red staining were used to observe the pathological conditions of liver tissue; quantitative real-time PCR was used to measure the transcriptional level of ITGA4, integrin β1 (ITGB1), transforming growth factor-β1 (TGFβ1), alpha-smooth muscle actin (α-SMA), and TIMP2 in liver tissue; Western blot was used to measure the relative protein expression levels of ITGA4, ITGB1, TGFβ1, α-SMA, MMP2, TIMP1, and TIMP2; immunohistochemistry was used to observe the protein expression of TGFβ1 and α-SMA. A one-way analysis of variance was used for comparison of continuous data between multiple groups, and the least significant difference t-test was used for comparison between two groups.  Results  There were significant increases in AST and ALT in the CCl4 model group, and intervention with colchicine or low-, middle-, and high-dose SSAA reduced the levels of AST and ALT, with a significant difference between the CCl4 model group and the other groups (all P < 0.05). HE staining and Sirius Red staining showed disordered structure of hepatic lobules and an increase in collagen fibers in the CCl4 model group, and the structure of hepatic lobules was improved after intervention with colchicine or low-, middle-, and high-dose SSAA. The CCl4 model group had significantly higher transcriptional levels of ITGA4, TGFβ1, α-SMA, and TIMP2 than the other groups, and there were significant reductions in the transcriptional levels of each factor after intervention with colchicine or SSAA, with a significant difference between the CCl4 model group and the other groups (all P < 0.05). The CCl4 model group had significantly higher protein expression levels of ITGA4, TGFβ1, α-SMA, TIMP2, and TIMP1 and a significantly lower protein expression level of MMP2 than the other groups, and intervention with colchicine or SSAA inhibited the expression of ITGA4, TGFβ1, α-SMA, TIMP2, and TIMP1 and promoted the expression of MMP2. Immunohistochemistry showed that the CCl4 model group had significantly higher expression levels of TGFβ1 and α-SMA than the other groups, which was inhibited by intervention with colchicine or SSAA. The high-dose SSAA group had the most significant effect in reducing aminotransferases, improving lobular structure, and inhibiting the protein expression of liver fibrosis factors.  Conclusion  The high expression of ITGA4 in the liver is associated with the development of liver fibrosis, which is consistent with the increases in the expression of TGFβ1 and α-SMA. Inhibiting the expression of ITGA4 can provide more therapeutic targets for liver fibrosis and expand the anti-liver fibrosis mechanism of SSAA.
Effect of metformin on liver fibrosis in a mouse model of Budd-Chiari syndrome
Jing YANG, Suxin LI, Yuehui ZHANG, Luhao LI, Zhaochen LIU, Dongqi SHEN, Xiaowei DANG
2022, 38(9): 2034-2039. DOI: 10.3969/j.issn.1001-5256.2022.09.017
Abstract(1456) HTML (465) PDF (6734KB)(97)
Abstract:
  Objective  To investigate the effect of metformin on liver fibrosis in a mouse model of Budd-Chiari syndrome and its mechanism.  Methods  A total of 30 male C57 mice were randomly divided into sham-operation group (SHAM group) with 6 mice, sham operation+ metformin group (SHAM+M group) with 5 mice, Budd-Chiari model group (BCS group) with 10 mice, and Budd-Chiari model+metformin group (BCS+M group) with 9 mice. The mice in the model group were treated with partial ligation of the inferior vena cava, those in the SHAM group were not treated with ligation, and those in the metformin group were given 0.1% metformin in drinking water besides modeling. The mice were sacrificed after 6 weeks. HE staining and picrosirius red staining were used to observe liver histopathology and collagen deposition; immunohistochemistry was used to measure the expressions of α-smooth muscle actin (α-SMA) and fibrinogen; quantitative real-time PCR was used to measure the mRNA expression of hypoxia-inducible factor 1α (HIF-1α) and type Ⅰ collagen (collagen 1), and Western blot was used to measure the relative protein expression levels of HIF-1α, vascular endothelial growth factor (VEGF), fibrinogen, α-SMA, and collagen 1. A one-way analysis of variance was used for comparison of continuous data between multiple groups, and the least significant difference t-test was used for further comparison between two groups.  Results  Pathological staining showed that compared with the SHAM group, the BCS group had significant liver fibrosis, disordered arrangement of hepatocytes near the central vein, sinusoidal expansion with red blood cell deposition and a small amount of inflammatory cell infiltration, and collagen deposition. The BCS group had significant increases in the mRNA expression levels of HIF-1α and collagen 1 and the protein expression levels of α-SMA, collagen 1, HIF-1α, VEGF, and fibrinogen (all P < 0.05); compared with the BCS group, the BCS+M group had significant alleviation of liver fibrosis, red blood cell deposition, and collagen deposition and significant reductions in the mRNA expression levels of HIF-1α and collagen 1 and the protein expression levels of α-SMA, collagen 1, HIF-1α, VEGF, and fibrinogen (all P < 0.05).  Conclusion  Metformin can improve congestive liver fibrosis caused by Budd-Chiari syndrome, possibly by reducing microthrombus in hepatic sinusoid and inhibiting the HIF-1α/VEGF pathway.
Effect of Yangxue Rougan pills on the TGF-β1/Smad signaling pathway in a rat model of liver fibrosis induced by multiple factors
Yan CHAI, Tao ZHANG, Yinke FAN, Aiwu HUI, Lintao ZHAO, Fang LI, Xiaoli ZHANG
2022, 38(9): 2040-2045. DOI: 10.3969/j.issn.1001-5256.2022.09.018
Abstract(1082) HTML (342) PDF (4844KB)(76)
Abstract:
  Objective  To investigate the effect of Yangxue Rougan pills on a rat model of liver fibrosis induced by multiple factors and the mechanism of action of Yangxue Rougan pills in the treatment of liver fibrosis.  Methods  A total of 50 male rats were randomly divided into blank control group, multi-factor model group, Fuzheng Huayu capsule group, and high-, middle-, and low-dose Yangxue Rougan pill groups. The rats in the blank control group were given normal water and feed, and those in the other groups were given modified high-fat low-protein diet and 5% alcohol, as well as subcutaneous injection of olive oil solution containing 40% carbon tetrachloride and intraperitoneal injection of pig serum 0.5 mL per rat, twice a week for 12 consecutive weeks. Since week 7, the rats in the high-, middle-, and low-dose Yangxue Rougan pill groups were given Yangxue Rougan pills at a dose of 9.5, 4.75, and 2.38 g/kg, respectively, those in the Fuzheng Huayu capsule group were given Fuzheng Huayu capsules at a dose of 0.75 g/kg, and those in the blank control group and the multi-factor model group were given an equal volume of distilled water by gavage every day for 6 consecutive weeks. The rats were treated at week 12. HE staining and Masson staining were used to observe the degree of liver fibrosis in rats, and PCR and Western blot were used to measure the expression of TGF-β1, Smad3, and Smad7 in the liver. A one-way analysis of variance was used for comparison of continuous data between multiple groups, and the Dunnett's t-test was used for further comparison between two groups.  Results  Compared with the blank control group, the multi-factor model group had a severely damaged lobular structure and a significantly higher degree of liver fibrosis, with the formation of pseudolobules with different sizes; compared with the multi-factor model group, the Yangxue Rougan pill groups had a significant improvement in the degree of liver fibrosis, with the most significant therapeutic effect in the high- and middle-dose Yangxue Rougan pill groups. Compared with the blank control group, the multi-factor model group had significant increases in the expression of TGF-β1 and Smad3 and a significant reduction in the expression of Smad7 in liver tissue (all P < 0.05); compared with the multi-factor model group, the Yangxue Rougan pill groups had a significant reduction in the expression of TGF-β1 and a significant increase in the expression of Smad7 (all P < 0.05); compared with the multi-factor model group, the high- and middle-dose Yangxue Rougan pill groups had a significant reduction in the expression of Smad3 (both P < 0.05).  Conclusion  Yangxue Rougan pills can significantly inhibit liver fibrosis in rats by downregulating the expression of TGF-β1 and Smad3 and upregulating the expression of Smad7, and therefore, the TGF-β1/Smad signaling pathway is one of the mechanisms of action of Yangxue Rougan pills in improving liver fibrosis.
Original Articles_Liver Neoplasms
Application of the three-dimensional visualization ablation planning system in radiofrequency ablation for hepatocellular carcinoma
Rong HE, Zhe JIA, Li JIANG, Ke ZHANG
2022, 38(9): 2046-2052. DOI: 10.3969/j.issn.1001-5256.2022.09.019
Abstract(1069) HTML (779) PDF (4804KB)(176)
Abstract:
  Objective  To investigate the significance of the three-dimensional visualization ablation planning system in radiofrequency ablation for liver cancer.  Methods  A total of 71 patients who received radiofrequency ablation for hepatocellular carcinoma in Beijing Ditan Hospital, Capital Medical University from July 2017 to December 2020 were enrolled as subjects. The 34 patients in the three-dimensional group used the three-dimensional visualization ablation planning system for radiofrequency protocol planning before surgery and the 37 patients in the two-dimensional group used the two-dimensional image for radiofrequency protocol planning before surgery. The two groups were compared in terms of the indices such as the first-attempt success rate of puncture, complete tumor ablation rate, and tumor-free survival. The Fisher's exact test, the chi-square test of continuous correction, or the Pearson chi-square test was used for comparison of categorical data between two groups; the t-test was used for comparison of normally distributed continuous data between groups, and the Mann-Whitney U test was used for comparison of non-normally distributed continuous data between groups. The Kaplan-Meier method was used to plot survival curves, and the Log-rank (Mantel-Cox) test was used for comparison of tumor recurrence and survival; the Cox proportional-hazards regression model analysis was used to investigate the influencing factors for tumor-free survival.  Results  Compared with the two-dimensional group, the three-dimensional group had a significantly higher first-attempt success rate of puncture (94.12% vs 75.68%, Pearson χ2=4.183, P=0.041) and a significantly shorter median time of puncture (5 minutes vs 7 minutes, Z=-2.407, P=0.013). There was no significant difference in complete ablation rate between the three-dimensional group and the two-dimensional group (97.06% vs 91.89%, continuous correction χ2=0.183, P=0.669). There were significant differences in the 1-, 2-, and 4-year cumulative tumor-free survival rates between the three-dimensional group and the two-dimensional group (90.8%/78.8%/72.8% vs 61.5%/55.9%/44.7%, χ2=5.073, P=0.024). The multivariate Cox regression analysis showed that preoperative planning method, complete or incomplete ablation, and alpha-fetoprotein at 1 month after surgery were independent influencing factors for the tumor-free survival of patients with liver cancer after radiofrequency ablation (all P < 0.05).  Conclusion  Radiofrequency ablation planning via the three-dimensional visualization ablation planning system can ensure the therapeutic effect of radiofrequency ablation, reduce the recurrence rate of liver cancer, and prolong the tumor-free survival of patients.
Clinical effect of transcatheter arterial chemoembolization combined with microwave ablation versus repeat resection in treatment of recurrent hepatocellular carcinoma
Jun LING, Wenwu WAN, Zheng ZENG, Huihua YAO, Ou JIANG, Bing DING
2022, 38(9): 2053-2060. DOI: 10.3969/j.issn.1001-5256.2022.09.020
Abstract(984) HTML (240) PDF (3683KB)(96)
Abstract:
  Objective  To investigate the clinical effect of transcatheter arterial chemoembolization (TACE) combined with microwave ablation (MWA) (TACE-MWA) versus repeat resection (RR) in the treatment of recurrent hepatocellular carcinoma (RHCC).  Methods  A total of 178 patients with RHCC who were admitted to The Second People's Hospital of Neijiang from June 2015 to September 2020 were enrolled, and according to the treatment modality, they were divided into RR group with 64 patients and TACE-MWA group with 114 patients. Baseline demographic data, liver function, and tumor conditions before treatment were recorded, and the patients were followed up to October 2021 to compare postoperative overall survival (OS) time and recurrence-free survival (RFS) time between the two groups. Subgroup analysis based on recurrence pattern (recurrence time and tumor size) was performed, and the influencing factors for prognosis were analyzed. The independent samples t-test was used for comparison of continuous data between groups, and the chi-square test was used for comparison of categorical data; the Kaplan-Meier method was used for postoperative survival rate, the Log-rank test was used for survival difference analysis, and a multivariate Cox regression analysis was used to investigate independent risk factors for survival.  Results   The multivariate analysis showed that tumor diameter, alpha-fetoprotein (AFP) level, alanine aminotransferase, albumin, and time to recurrence were independent prognostic factors for OS (all P < 0.05), and AFP level and time to recurrence were independent prognostic factors for RFS (both P < 0.05). For RHCC with late recurrence (> 2 years), there were significant differences between the two groups in median OS (54.0 months vs 36.0 months, χ2=6.171, P=0.013) and median RFS (28.0 months vs 21.0 months, χ2= 5.211, P=0.022). For RHCC with a tumor diameter of ≤5 cm, there was a significant difference in median OS between the two groups (33.0 months vs 27.0 months, χ2=6.447, P=0.011).  Conclusion  RR has a similar clinical effect to TACE-MWA in RHCC with early recurrence or a tumor diameter of > 5 cm, but RR should be the first choice for RHCC with late recurrence or a tumor diameter of ≤5 cm.
Prognostic value of several immune and inflammatory indices after curative-intent resection for intrahepatic cholangiocarcinoma
Bingqi MA, Huijuan MENG, Wei ZHANG, Xiaofeng DONG, Meng WANG, Jie DOU, Yuning WU, Shiping LI
2022, 38(9): 2061-2066. DOI: 10.3969/j.issn.1001-5256.2022.09.021
Abstract(963) HTML (329) PDF (2942KB)(110)
Abstract:
  Objective  To investigate the value of different immune and inflammatory indices in predicting the survival outcome of patients with intrahepatic cholangiocarcinoma (ICC) after curative-intent resection.  Methods  A retrospective analysis was performed for the case data of 122 patients with ICC who underwent curative-intent resection in Affiliated Hospital of Weifang Medical University and Tianjin Medical University Cancer Institute and Hospital from January 2012 to December 2017 to analyze the correlation of neutrophil-lymphocyte ratio (NLR), lymphocyte-monocyte ratio (LMR), systemic immune-inflammation index (SII), prognostic inflammation index (PII), inflammation score (IS), and systemic inflammation score (SIS) with the disease-free survival (DFS) and overall survival of ICC patients after surgery, and the value of the above indices in predicting prognosis was evaluated. The chi-square test or the Fisher's exact test was used for comparison of categorical data between groups. The Kaplan-Meier method was used to plot survival curves, and the Log-rank test was used for comparison between groups; the Cox regression model was used for univariate and multivariate analyses, and hazard ratio (HR) and 95% confidence interval [CI] were calculated.  Results  The univariate survival analysis showed that NLR (HR=2.212, P=0.004), LMR (HR=0.403, P=0.012), PII (HR=3.013, P < 0.001), prognostic nutritional index (PNI) (HR=0.530, P=0.019), IS (HR=1.809, P=0.001), SII (HR=2.107, P=0.002), and SIS (HR=2.225, P < 0.001) were predictive factors for postoperative DFS of patients with ICC, and NLR (HR=2.416, P=0.009), LMR (HR=0.297, P=0.008), PII (HR=3.288, P < 0.001), PNI (HR=0.292, P=0.003), IS (HR=2.048, P=0.002), SII (HR=1.839, P=0.049), and SIS (HR=2.335, P < 0.001) were predictive factors for postoperative OS of patients with ICC. The multivariate survival analysis showed that high levels of PII (HR=2.146, P=0.035) and SIS (HR=2.511, P < 0.001) were independent influencing factors for postoperative DFS of ICC patients, and high levels of PII (HR=2.981, P=0.009), PNI (HR=0.261, P=0.002), and SIS (HR=2.294, P=0.010) were independent influencing factors for postoperative OS. The patients with a high level of PII tended to have advanced tumor T stage (χ2=8.777, P=0.003) and M stage (P=0.029), and the patients with high-grade SIS tended to have advanced N stage (χ2=9.985, P=0.030) and M stage (χ2=8.574, P=0.012).  Conclusion  Among the various inflammation indices, PII and SIS are recommended for preoperative stratification and prediction of the outcome of ICC patients after curative-intent resection.
Original Articles_Other Liver Diseases
Clinical features of drug-induced liver injury due to Tripterygium wilfordii preparation and concomitant medications in patients with rheumatoid arthritis
Tingting SHEN, Guangyao LI, Qiong LUO, Meng LI, Xin SUN, Yanyan TAO, Zushan ZHOU, Chenghai LIU
2022, 38(9): 2067-2072. DOI: 10.3969/j.issn.1001-5256.2022.09.022
Abstract(1501) HTML (923) PDF (1963KB)(78)
Abstract:
  Objective  To investigate the clinical features of drug-induced liver injury (DILI) due to Tripterygium wilfordii preparation and concomitant medications in patients with rheumatoid arthritis (RA).  Methods  A retrospective analysis was performed for the clinical data of 112 RA patients with DILI caused by Tripterygium wilfordii preparations and concomitant medications who were treated in Honghu Hospital of Traditional Chinese Medicine from January 2014 to December 2019, and demographic data and the clinical features of DILI were observed to explore the influence of concomitant medications and underlying diseases on DILI. The Kruskal-Wallis H test was used for comparison of continuous data between multiple groups and further comparison between two groups.  Results  All 112 patients had a mean age of 48.13±14.38 years, and there were 81 female patients (72.32%). The most common underlying disease was nonalcoholic fatty liver disease (NAFLD) in 8 patients (7.14%), and as for concomitant medications, 70 patients (62.50%) were treated with Tripterygium wilfordii preparation combined with non-steroid anti-inflammatory drug (NSAID) or disease-modifying anti-rheumatic drug (DMARD). The main clinical manifestation was joint pain in 110 patients (98.21%). Among the 112 patients, 102 (91.07%) had abnormal results of liver biochemical examinations; 66 patients (58.93%) had an RUCAM score of 6-8 points, and 110 patients (98.21%) had mild (grade 1) liver injury. After liver-protecting treatment (for less than 6 months in all patients), all patients had an improvement in liver function without aggravation or death. The Tripterygium wilfordii preparation+glucocorticoid+NSAID/DMARD group with 22 patients had significant increases in the serum levels of alkaline phosphatase (ALP) and gamma-glutamyl transpeptidase (GGT) compared with the Tripterygium wilfordii preparation+NSAID/DMARD group with 70 patients (P < 0.05). The 8 patients with NAFLD had a significantly greater increase in serum alanine aminotransferase compared with the 90 patients without underlying diseases (P < 0.05).  Conclusion  RA patients may develop DILI due to Tripterygium wilfordii preparation and concomitant medications, which is commonly observed in middle-aged women. Joint pain is the main clinical manifestation, and patients tend to have mild liver injury and good prognosis without marked chronicity. More severe liver injury is observed in patients with combined medication of glucocorticoids and NSAID/DMARD or those with the underlying disease of NAFLD.
Features of liver function in pediatric patients infected with Delta variant versus Omicron variant of severe acute respiratory syndrome coronavirus 2
Ye ZHAO, Jialong GUAN, Yuzhen MAI, Haohui DENG
2022, 38(9): 2073-2077. DOI: 10.3969/j.issn.1001-5256.2022.09.023
Abstract(1041) HTML (320) PDF (1947KB)(55)
Abstract:
  Objective  To summarize and analyze the features of liver function in pediatric patients infected with Delta variant versus Omicron variant of severe acute respiratory syndrome coronavirus 2 (SARS-CoV-2).  Methods  In this study, an analysis was performed for the liver function test results of the locally transmitted or imported pediatric patients with SARS-CoV-2 infection during isolation who were admitted to Guangzhou Eighth People's Hospital, Guangzhou Medical University, since May 21, 2021, and the clinical data and the constituent ratio of liver injury were compared between the pediatric patients infected with Delta variant and those infected with Omicron variant. The independent samples t-test or the Mann-Whitney U test was used for comparison of continuous data between two groups, and the chi-square test or the Fisher's exact test was used for comparison of categorical data between two groups.  Results  A total of 85 pediatric patients infected with SARS-CoV-2 were enrolled, among whom there were 32 (37.6%) pediatric patients infected with Delta variant and 53 (62.4%) pediatric patients infected with Omicron variant, and there were no significant differences between the two groups in age, sex, body height, body weight, and comorbidities (all P > 0.05). There were no significant differences between the two groups in alanine aminotransferase (ALT), aspartate aminotransferase (AST), alkaline phosphatase (ALP), gamma-glutamyl transpeptidase, total bilirubin, albumin, and cholinesterase (all P > 0.05), and the pediatric patients infected with Omicron variant had a significantly higher level of total bile acid (TBA) than those infected with Delta variant (Z=-2.336, P=0.020). However, the median values of TBA were within the normal range and the ratios of abnormal TBA were no significant difference between the two groups (P > 0.05). Among the 85 pediatric patients, 10 (11.8%) had a mild increase in liver function parameters, among whom 7 had an increase in TBA, 1 had an increase in ALT, 1 had increases in ALT and AST, and 1 had an increase in ALP. The analysis of liver injury in the pediatric patients infected with Delta variant or Omicron variant showed that there was no significant difference in the constituent ratio of liver injury caused by the two variants (6.3% vs 15.1%, χ2=0.691, P=0.406).  Conclusion  Mild liver injury is observed in pediatric patients infected with Delta and Omicron variants of SARS-CoV-2, but further studies are needed to evaluate the long-term influence of such infection on liver function.
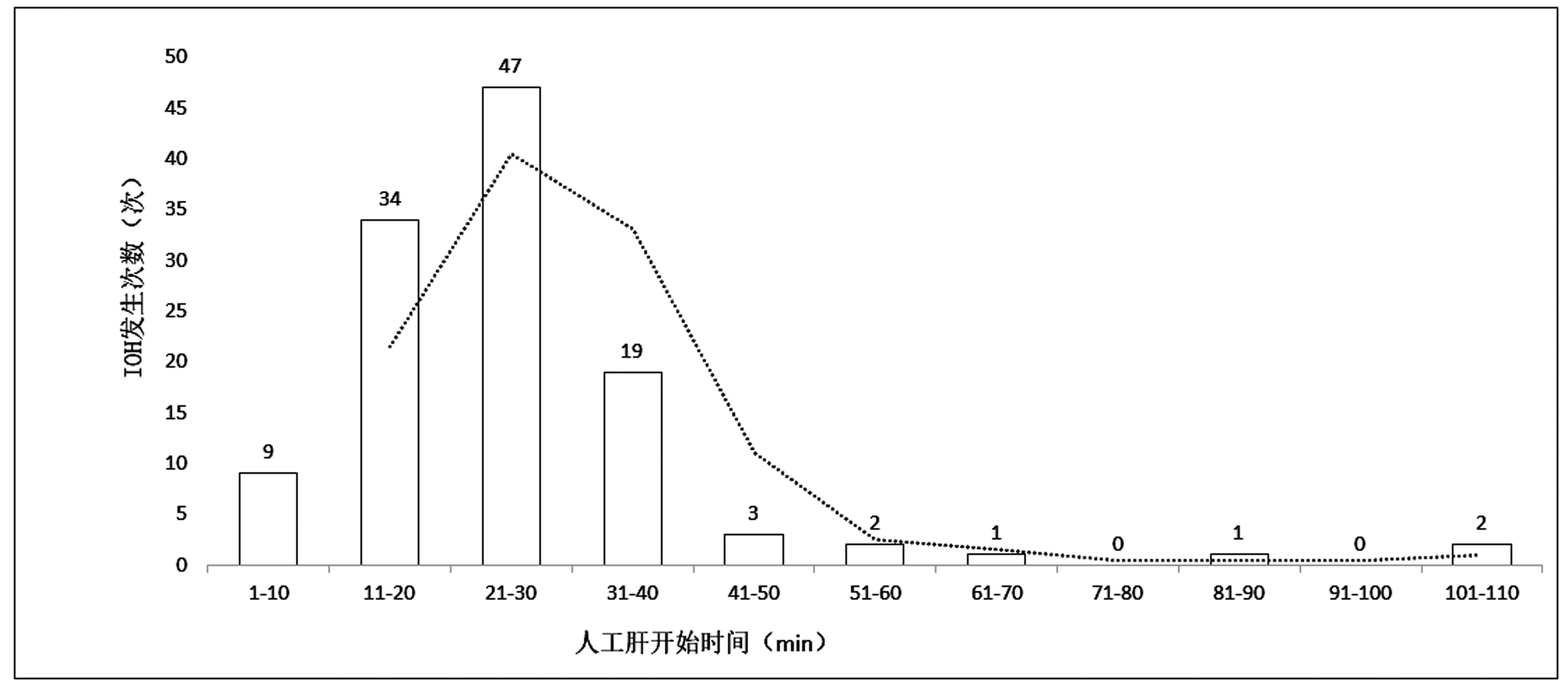
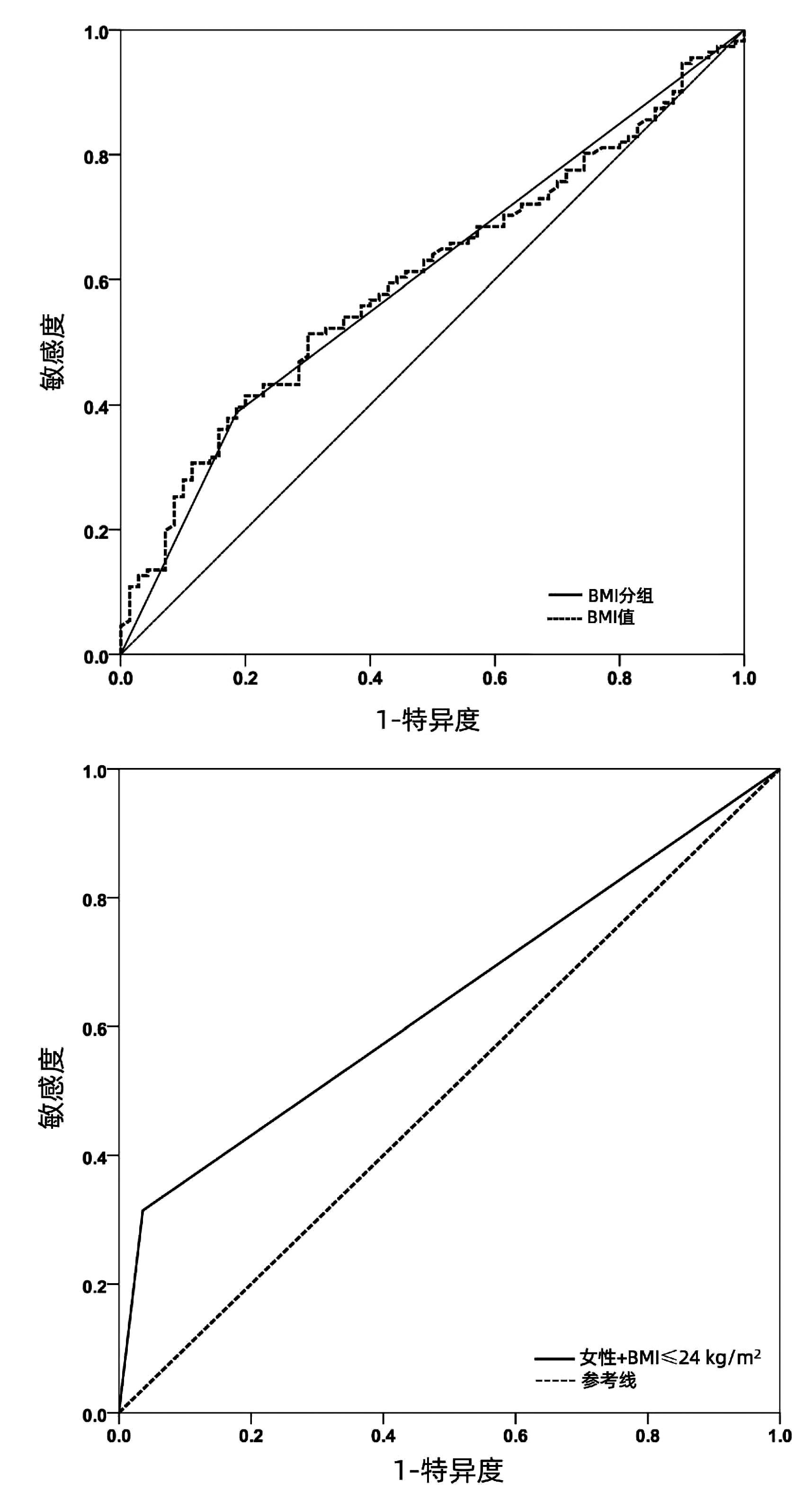
Influencing factors for hypotension in patients undergoing double plasma molecular adsorption system artificial liver support therapy
Dongyan HU, Hong WANG, Wenyuan LI, Ling NING, Hua HAN, Qiang SHEN, Shouwei JIANG, Lei LI
2022, 38(9): 2078-2083. DOI: 10.3969/j.issn.1001-5256.2022.09.024
Abstract(950) HTML (410) PDF (2288KB)(67)
Abstract:
  Objective  To investigate the risk factors for intraoperative hypotension (IOH) in patients undergoing double plasma molecular adsorption system (DPMAS) artificial liver support therapy.  Methods  Clinical data were collected from 181 patients (670 cases in total) who underwent DPMAS artificial liver support therapy in Liver Disease Center of The First Affiliated Hospital of University of Science and Technology of China from October 1, 2017 to December 31, 2020, and according to the presence or absence of IOH during DPMAS therapy, they were divided into IOH group with 70 patients and non-IOH group with 111 patients.Clinical indicators were compared between the two groups and their association with IOH was analyzed; prognosis was analyzed at 12 and 24 weeks.The independent samples t-test was used for comparison of normally distributed continuous data between groups, and the Mann-Whitney U test was used for comparison of non-normally distributed continuous data between groups; the chi-square test was used for comparison of categorical data between groups.Univariate and multivariate Logistic regression analyses were used to investigate the risk factors for IOH.The Kaplan-Meier method was used to plot receiver operating characteristic (ROC) curves, and the Z test was used for comparison of the area under the ROC curve (AUC) of independent risk factors.  Results  The univariate Logistic regression analysis showed that female individuals, individuals aged ≥50 years, and individuals with normal or low body mass index (BMI) tended to have a higher risk of IOH (all P < 0.05), and the multivariate analysis showed that normal or low BMI (odds ratio [OR]=3.290, 95% confidence interval [CI]: 1.523-7.108, P=0.002) and female sex (OR=5.146, 95% CI: 2.316-11.432, P < 0.001) were independent risk factor for IOH in patients undergoing DPMAS artificial liver support therapy.The ROC curve analysis of female sex+BMI ≤24 kg/m2 showed that it had an AUC of 0.639 in predicting IOH (P=0.002).The patients experiencing IOH had a 12-week survival rate of 55.77%(29/52) and a 24-week survival rate of 50%(26/52), and there were significant differences between the two groups in 12-and 24-week survival rates (12-week: 76.53% vs 55.77%, χ2=6.887, P=0.009;24-week: 74.49% vs 50.00%, χ2=9.080, P=0.003).  Conclusion  The risk of hypotension was higher in female patients and that with normal or low BMI during DPMAS artificial liver therapy.Patients with IOH had poor survival prognosis at 24 weeks after DPMAS therapy.
Original Articles_Biliary Diseases
Clinical efficacy and safety of Danshu Capsule in treatment of chronic cholecystitis and gallstones
Xuelian PENG, Xiaoqing XU, Qin CAO
2022, 38(9): 2084-2090. DOI: 10.3969/j.issn.1001-5256.2022.09.025
Abstract(4179) HTML (1060) PDF (1981KB)(136)
Abstract:
  Objective  To investigate the clinical efficacy and safety of Danshu Capsule in the treatment of chronic cholecystitis and gallstones through a large-sample, multicenter, open-label real-world research.  Methods  A total of 9579 patients with chronic cholecystitis and/or gallstones who were treated in 329 hospitals of China from January 2017 to December 2019 were enrolled and divided into gallstones group with 1148 patients, chronic cholecystitis group with 5360 patients, and chronic cholecystitis+gallstones group with 3071 patients.All patients were treated with oral administration of Danshu Capsule at a frequency of 1-2 capsules/time, three times a day after meals, for 4 consecutive weeks.Abdominal pain, biliary dyspepsia, traditional Chinese medicine (TCM) syndromes, and imaging findings of the biliary system were recorded before and after treatment to evaluate the efficacy of medication, and adverse drug reactions were monitored to evaluate the safety of Danshu Capsule.The Wilcoxon signed-rank test was used for comparison of non-normally distributed continuous data before and after treatment, and the Wilcoxon rank-sum test was used for comparison between any two groups.The paired chi-square test was used for comparison of categorical data before and after treatment; the Kruskal-Wallis H method was used for comparison between multiple groups, and the Logistic regression analysis and the Nemenyi test was used for further comparison between two groups.  Results  After treatment with Danshu Capsule, all patients had significant reductions in the overall incidence rate of pain induced by lipid meal (χ2=32.422, P < 0.001), the frequency, duration, and degree of pain (Z=-1.985, -2.887, and-3.178, all P < 0.05), the symptom scores of abdominal distension, abdominal fullness, belching, and nausea (all P < 0.001), and the total symptom score of biliary dyspepsia (Z=-4.128, P < 0.001);there were also significant reductions in the TCM syndrome scores of right upper quadrant pain, bitter taste, acid regurgitation, chest distress, abdominal distension, poor appetite, and heaviness of limbs (all P < 0.05) and a significant reduction in total TCM syndrome score (Z=3.860, P < 0.001).Subgroup analysis showed that after treatment, the gallstones group, the chronic cholecystitis group, and the chronic cholecystitis+gallstones group had significant reductions in the degree, frequency, and duration of pain, the symptom score of biliary dyspepsia, and TCM syndrome score (all P < 0.05), as well as a significant reduction in the number of patients with pain induced by lipid meal (P < 0.001).The chronic cholecystitis group had significantly greater reductions in the score of pain frequency, the score of pain duration, the score of pain degree compared with the other two groups (all P < 0.05).Ultrasound examination showed that after treatment, all patients had significant reductions in poor sound transmission of gallbladder, gallbladder wall thickness, incidence rate of gallbladder wall thickening or roughness, and the number and size of gallstones (all P < 0.05).Danshu Capsule showed an overall response rate of 74.75% in the treatment of gallbladder wall lesion and an overall response rate of 67.40% in the treatment of gallstones.A total of 84 patients reported adverse events, mainly gastrointestinal symptoms, and the overall incidence rate of adverse reactions was 0.87%.  Conclusion  Danshu Capsule can significantly alleviate the symptom of pain and improve the symptoms of biliary dyspepsia, TCM syndrome, and gallbladder imaging findings in patients with chronic cholecystitis and/or gallstones, with a low incidence rate of adverse reactions, and therefore, it is a safe and effective drug for the treatment of chronic cholecystitis and gallstones.
Effect of micro-ribonucleic acid-21 on the malignant biological behavior of cholangiocarcinoma cells by targeting the PTEN/PI3K/Akt pathway
Zhe SHI, Liyuan ZHOU, Guodong ZHAO, Shugang SUN, Liang XUE
2022, 38(9): 2091-2098. DOI: 10.3969/j.issn.1001-5256.2022.09.026
Abstract(1212) HTML (428) PDF (5240KB)(69)
Abstract:
  Objective  To investigate the effect of micro-ribonucleic acid-21(miR-21) on the malignant biological behavior of human cholangiocarcinoma cell line QBC939 by targeting the protein tyrosine phosphatase (PTEN)/inositol phosphate 3-kinase (PI3K)/protein kinase B (Akt) pathway.  Methods  The cholangiocarcinoma cell line QBC939 in the logarithmic growth phase was divided into empty vector group, blank control group, overexpression group, and silencing group.An inverted fluorescence microscope was used to observe transfection efficiency; MTT assay, flow cytometry, Transwell assay, and wound healing assay were used to measure cell proliferative activity, apoptosis rate, invasion activity, and migration activity.Quantitative reverse transcription PCR was used to measure the mRNA expression levels of miR-21, PTEN, PI3K, Akt, and mammalian target of rapamycin (mTOR); Western blotting was used to measure the protein expression levels of PTEN, PI3K, Akt, phosphorylated Akt (p-Akt), and mTOR; dual-luciferase reporter assay was used to verify the effect of miR-21 on PTEN.A one-way analysis of variance was used for comparison of continuous data between multiple groups, and the SNK-q test was used for further comparison between two groups.  Results  Transfection efficiency was 90.27%±18.03% in the overexpression group, 91.43%±18.26% in the silencing group, and 92.16%±18.41% in the empty vector group.Compared with the blank control group and the empty vector group, the overexpression group had a significant increase in the proliferative activity of QBC939 cells (both P < 0.05) and a significant reduction in apoptosis rate (both P < 0.01);compared with the blank control group, the empty vector group, and the overexpression group, the silencing group had a significant reduction in proliferative activity (P < 0.01) and a significant increase in apoptosis rate (P < 0.01).Compared with the blank control group and the empty vector group, the overexpression group had significant increases in the migration rate of QBC939 cells and number of cells penetrating the membrane (all P < 0.01);compared with the blank control group, the empty vector group, and the overexpression group, the silencing group had significant reductions in migration rate and number of cells penetrating the membrane (all P < 0.01).Compared with the blank control group and the empty vector group, the overexpression group had significant increases in the mRNA expression levels of miR-21, PI3K, Akt, and mTOR and a significant reduction in the mRNA expression level of PTEN (all P < 0.05);compared with the blank control group, the empty vector group, and the overexpression group, the silencing group had significant reductions in the mRNA expression levels of miR-21, PI3K, Akt, and mTOR and a significant increase in the mRNA expression level of PTEN (all P < 0.05).Compared with the blank control group and the empty vector group, the overexpression group had significant increases in the protein expression levels of PI3K, Akt, p-Akt, and mTOR and a significant reduction in the protein expression level of PTEN (all P < 0.01);compared with the blank control group, the empty vector group, and the overexpression group, the silencing group had significant reductions in the protein expression levels of PI3K, Akt, p-Akt, and mTOR and a significant increase in the protein expression level of PTEN (all P < 0.01).Furthermore, miR-21 showed targeted regulation of PTEN expression.  Conclusion  MiR-21 silencing may inhibit the malignant biological behavior of human cholangiocarcinoma cell line QBC939 by targeting the PTEN/PI3K/Akt signaling pathway to upregulate the expression of PTEN and downregulate the expression of PI3K, Akt, mTOR, and p-Akt.
Original Articles_Pancreatic Diseases
Changes and formation mechanism of plasma endothelial microparticles in patients with acute pancreatitis
Didi WANG, Qiuyuan LIU, Cui HU, Bingbing WANG, Yarong WEI, Hao DING, Xiaochang LIU, Qiao MEI
2022, 38(9): 2099-2105. DOI: 10.3969/j.issn.1001-5256.2022.09.027
Abstract(807) HTML (307) PDF (3880KB)(63)
Abstract:
  Objective  To investigate the changes and formation mechanism of plasma endothelial microparticles (EMPs) in patients with acute pancreatitis (AP).  Methods  Blood samples were collected from 60 patients with AP who were treated in The First Affiliated Hospital of Anhui Medical University from August 2020 to June 2021, and these patients were divided into mild acute pancreatitis (MAP) group with 23 patients, moderate-severe acute pancreatitis (MSAP) group with 23 patients, and severe acute pancreatitis (SAP) group with 14 patients; 20 individuals who underwent physical examination were enrolled as control group.Differential centrifugation was used to obtain platelet-poor plasma, flow cytometry was used to measure the level of CD31+CD41-EMPs, and ELISA was used to measure the levels of endothelin-1(ET-1), von Willebrand factor (vWF), nitric oxide (NO), and vascular cell adhesion molecule-1(VCAM-1).HUVECs were stimulated by the plasma of AP patients, and then flow cytometry and qRT-PCR were used to measure the changes in EMPs, reactive oxygen species (ROS), and mitochondrial membrane potential and the expression of endothelial nitric oxide synthase (eNOS), inducible nitric oxide synthase (iNOS), intercellular adhesion molecule-1(ICAM-1), VCAM-1, NADPH oxidase, and P-selectin.A one-way analysis of variance was used for comparison of normally distributed continuous data between multiple groups, and the least significant difference t-test was used for further comparison between two groups.The Kruskal-Wallis H test was used for comparison of non-normally distributed continuous data between groups and within each group.The chi-square test was used for comparison of categorical data between groups, and the Pearson correlation test was used for correlation analysis.  Results  Compared with the control group, the MAP, MSAP, and SAP groups had a significant increase in the level of EMPs (all P < 0.05).Compared with the MAP and MSAP groups, the SAP group had a significant increase in the level of EMPs (both P < 0.05).In the patients with AP, the level of EMPs was negatively correlated with Acute Physiology and Chronic Health Evaluation Ⅱ score, Bedside Index for Severity in Acute Pancreatitis, Ranson score, CT score, and C-reactive protein (r=0.686 2, 0.777 3, 0.713 8, 0.771 8, and 0.473 9, all P < 0.01).Compared with the control group, the MAP, MSAP, and SAP groups had significant increases in the levels of ET-1, vWF, and VCAM-1 and a significant reduction in the level of NO (all P < 0.05).Compared with the control group, the MSAP and SAP groups had the plasma that promoted the release of a large amount of EMPs (both P < 0.05).Compared with the control group, all the other groups, except the MAP group in terms of VCAM-1 and eNOS, had significant increases in the mRNA expression levels of eNOS, iNOS, ICAM-1, P-selectin, VCAM-1, and NADPH oxidase (all P < 0.05).Compared with the HC group, the MAP, MSAP, and SAP groups and the LPS group had a significant increase in the level of ROS and a significant reduction in mitochondrial membrane potential in HUVECs (all P < 0.05).  Conclusion  There is a significant increase in the plasma level of EMPs in AP patients, which is correlated with the severity of pancreatitis.Meanwhile, the plasma of AP patients can promote the formation of EMPs in HUVECs in vitro, which may be associated with cell oxidative injury.
Brief Reports
Clinical characteristics of non-cirrhotic portal hypertension in HIV-monoinfected patients: An analysis of 6 cases
Lili ZHANG, Jianhua HU, Chunyan GOU, Wenliang LYU
2022, 38(9): 2106-2109. DOI: 10.3969/j.issn.1001-5256.2022.09.028
Abstract(967) HTML (340) PDF (1948KB)(69)
Abstract:
Clinical Cases Discussion
Clinicopathological features and treatment of hepatic porto-sinusoidal vascular disease with non-portal hypertensive ascites: A preliminary study
Yujiao ZHANG, Xiuhong WANG, Ying ZHENG, Anlin MA
2022, 38(9): 2110-2112. DOI: 10.3969/j.issn.1001-5256.2022.09.029
Abstract(1098) HTML (731) PDF (3074KB)(78)
Abstract:
Case Reports
Splenic infarction and repeated abdominal infection after endoscopic therapy for esophagogastric varices
Jiali MA, Lingling HE, Yu JIANG, Hongshan WEI, Ping LI
2022, 38(9): 2113-2115. DOI: 10.3969/j.issn.1001-5256.2022.09.030
Abstract(972) HTML (239) PDF (2430KB)(72)
Abstract:
Three cases of hepatic epithelioid hemangioendothelioma
Yu ZHANG, Huali WANG, Shuming LU
2022, 38(9): 2116-2119. DOI: 10.3969/j.issn.1001-5256.2022.09.031
Abstract(1434) HTML (418) PDF (5498KB)(85)
Abstract:
Homozygous mutation in monozygotic twins in a family with hepatolenticular degeneration
Xianmei GAO, Xiaoxiao YU, Zhen YU, Linlin ZHANG, Jie YANG
2022, 38(9): 2120-2122. DOI: 10.3969/j.issn.1001-5256.2022.09.032
Abstract(939) HTML (267) PDF (2207KB)(56)
Abstract:
Diabetes insipidus and hypothyroidism caused by hepatolenticular degeneration: A case report
Yong JIANG, Zhiguang ZHANG, Yinglan JI, Ying ZHANG
2022, 38(9): 2123-2124. DOI: 10.3969/j.issn.1001-5256.2022.09.033
Abstract(869) HTML (280) PDF (2044KB)(70)
Abstract:
Reviews
Mechanism of action of exosomes in the development and progression of hepatitis B virus-related chronic hepatitis and hepatocellular carcinoma
Ziwei GUO, Hening CHEN, Xu CAO, Jiaxin ZHANG, Ningyi ZHANG, Qian JIN, Xiaoke LI, Yongan YE
2022, 38(9): 2125-2129. DOI: 10.3969/j.issn.1001-5256.2022.09.034
Abstract(1042) HTML (386) PDF (2233KB)(82)
Abstract:
Exosomes (EXOs) are formed by intracellular multivesicular bodies and carry a variety of biomacromolecules such as lipids, proteins, encoding and non-coding RNAs, and mitochondrial DNA. EXOs can be released in vivo by different cell types, including hepatocytes, hepatic stellate cells, and immune cells and play the role of intercellular communication. More and more studies have shown that EXOs are involved in the development, progression, and prognosis of chronic hepatitis B (CHB) and hepatocellular carcinoma (HCC) caused by hepatitis B virus (HBV) infection and are expected to become potential biomarkers for the early diagnosis and prognostic evaluation of HBV-related HCC. This article reviews the role of EXOs in the host infection process of HBV and the importance of EXOs in the development, progression, and prognosis of CHB and HCC, in order to provide new ideas for the basic and clinical research in this field.
Research advances in the treatment of primary biliary cirrhosis
Xing LYU, Ting LI, Xiaodong SUN, Jianpeng ZHOU, Dongxia WANG, Guoyue LYU
2022, 38(9): 2130-2135. DOI: 10.3969/j.issn.1001-5256.2022.09.035
Abstract(1443) HTML (1990) PDF (2304KB)(185)
Abstract:
Primary biliary cholangitis (PBC) is an autoimmune disease commonly observed in middle-aged women, and it may progress to liver cirrhosis and liver failure. Ursodeoxycholic acid and obeticholic acid are the only first - and second-line drugs approved by the FDA, but about 40% of patients are insensitive to UDCA. Studies are being conducted on a variety of second-line drugs such as fibrates and immunosuppressive drugs, and liver transplantation is the only treatment method for end-stage PBC. This article reviews the research advances in the treatment of PBC and related mechanisms, in order to provide a reference for clinical practice.
Research advances in the mechanism of abnormal bile acid metabolism caused by gene mutation
Bo YI, Xue LI, Shanhong TANG
2022, 38(9): 2136-2140. DOI: 10.3969/j.issn.1001-5256.2022.09.036
Abstract(2248) HTML (371) PDF (2375KB)(112)
Abstract:
Bile acids are synthesized and catabolized by the liver, and many factors can lead to disorders in the production, secretion, and reabsorption of bile acids, thereby causing abnormal bile acid metabolism in vivo. Common predisposing factors include hepatitis, viruses, alcohol, drugs, biliary obstruction, and inheritance. It has been reported that abnormal bile acid metabolism is associated with transporter gene mutation, and in-depth studies have been conducted in China and globally. This article reviews the mechanism of abnormal bile acid metabolism caused by gene mutations and related research advances, so as to provide a new basis and new ideas for the diagnosis and treatment of such diseases.
Mechanism of rebalanced hemostasis in liver cirrhosis and the timing of blood transfusion and anticoagulation
Huan MA, Mei HAN, Yue ZHANG, Chunmeng JIANG, Hui LIU
2022, 38(9): 2141-2145. DOI: 10.3969/j.issn.1001-5256.2022.09.037
Abstract(1229) HTML (313) PDF (1954KB)(99)
Abstract:
Reconstructed rebalanced hemostasis exists in patients with liver cirrhosis, while such balance is unstable and can be easily broken by stress factors, which may lead to bleeding or thrombosis. There is a lack of effective strategies to prevent and solve the disrupted balance in clinic due to the complex pathogenesis of rebalanced hemostasis, limited testing methods, and insufficient awareness among clinicians. With reference to the articles in recent years, this article summarizes the mechanism of rebalanced hemostasis in liver cirrhosis and the causes of bleeding and thrombosis and discuss the association between blood transfusion and rebalanced hemostasis and the selection of anticoagulant drugs during thrombosis, in order to provide a theoretical basis and new ideas for solving related issues in clinical practice.
Influence of small intestinal bacterial overgrowth on liver cirrhosis and its treatment
Guochao NIU, Donglei SUN, Xiaolan ZHANG
2022, 38(9): 2146-2149. DOI: 10.3969/j.issn.1001-5256.2022.09.038
Abstract(1668) HTML (746) PDF (1954KB)(86)
Abstract:
Small intestinal bacterial overgrowth (SIBO) is characterized by changes in the number or species of small intestinal flora. Patients with liver cirrhosis often have intestinal congestion, edema, and delayed peristalsis and develop SIBO, which can further aggravate intestinal abnormalities. In patients with liver cirrhosis, SIBO can lead to significant adverse clinical outcomes, and since the increase in intestinal permeability may cause bacterial translocation into systemic circulation, SIBO is considered an important risk factor in the pathogenesis of liver cirrhosis, spontaneous bacterial peritonitis, and hepatic encephalopathy. Antibiotics, especially rifaximin, are the most effective therapies for SIBO, and in addition, studies are being conducted to investigate the efficacy of potential therapies such as prokinetic agents, probiotics, non-selective β-receptor blocker, and liver transplantation.
Research advances in the early predictive factors for non-neoplastic portal vein thrombosis in liver cirrhosis
Zunlan ZHOU, Lina YANG, Qingqing LI, Hong WANG
2022, 38(9): 2150-2154. DOI: 10.3969/j.issn.1001-5256.2022.09.039
Abstract(1069) HTML (234) PDF (1966KB)(69)
Abstract:
Portal vein thrombosis (PVT) is one of the common complications in patients with decompensated liver cirrhosis, including non-neoplastic PVT and portal vein tumor thrombus after the onset of primary liver cancer. It can lead to the deterioration of liver function, aggravate the portal hypertension-related adverse events including esophagogastric variceal bleeding, reduce the survival rate of patients after liver transplantation, and even threaten the life of patients in severe cases. Therefore, it is of great clinical significance to further explore the risk factors and early predictive factors for PVT. This article elaborates on the recent advances in the early predictive factors for non-neoplastic PVT in liver cirrhosis from the aspects of the three elements of thrombosis, the severity of liver injury, and the endoscopic treatment of esophagogastric varices. The analysis of related research shows that some early predictive factors are clearly associated with the formation of PVT, which provides help for the early identification of PVT; however, specific predictive values may be unclear or have certain differences, which needs to be confirmed by multicenter prospective studies.
Clinical significance, diagnosis, and treatment of special portosystemic collateral veins in portal hypertension
Renzhi XIONG, Dongfeng CHEN, Hongli CUI
2022, 38(9): 2155-2159. DOI: 10.3969/j.issn.1001-5256.2022.09.040
Abstract(1665) HTML (1231) PDF (1965KB)(84)
Abstract:
With the deeper understanding of the pathophysiological mechanism of portal hypertension and the enrichment and refinement of examination methods, special portosystemic collateral veins (PSCVs) caused by portal hypertension are constantly identified and recognized. However, early identification and diagnosis and formulation of reasonable and effective treatment regimens are difficult issues in clinical practice due to complicated clinical manifestations, difficulties in diagnosis and treatment, severe complications, poor prognosis, and high mortality. This article elaborates on the anatomic structure, clinical significance, diagnostic methods, and treatment of special PSCVs caused by portal hypertension.
Efficacy and safety of programmed death-1/programmed death-ligand 1 inhibitors in treatment of hepatitis B virus-associated hepatocellular carcinoma
Ran CHENG, Xiaoyuan XU
2022, 38(9): 2160-2164. DOI: 10.3969/j.issn.1001-5256.2022.09.041
Abstract(968) HTML (500) PDF (1972KB)(109)
Abstract:
Combined immunotherapy for hepatocellular carcinoma (HCC) based on immune checkpoint inhibitors (ICIs), especially programmed death receptor-1 (PD-1)/programmed death-ligand 1 (PD-L1) inhibitors, has achieved a remarkable clinical effect in clinical research and practice. Hepatitis B virus (HBV) infection is considered a major risk factor in the process of HCC. Studies are being conducted to investigate the efficacy and safety of PD-1/PD-L1 ICIs used alone or in combination in the treatment of patients with HBV-associated HCC, and some studies have shown that the patients with HBV-associated HCC receiving PD-1/PD-L1 inhibitors have achieved a similar treatment outcome to those without HBV infection; however, no consensus has been reached on the safety issues related to HBV activation. This article reviews the clinical trials of PD-1/PD-L1 blockade immunotherapy for HCC, so as to clarify the safety and efficacy of this new treatment regimen in the particular circumstances of HBV infection.
Research advances in abnormal gluconeogenesis in hepatocellular carcinoma
Saifang LUO, Xiangming MA, Liying CAO
2022, 38(9): 2165-2171. DOI: 10.3969/j.issn.1001-5256.2022.09.042
Abstract(1258) HTML (1114) PDF (4065KB)(111)
Abstract:
Tumors still perform glycolysis in the aerobic environment to accelerate the uptake of glucose and produce a large amount of lactic acid in tumor microenvironment, provide biomolecular precursors of nucleotides, lipids, and proteins for tumor cell proliferation, and inhibit the function of immune cells and promote the metastasis of tumor cells in acidic environment. Gluconeogenesis, as the reverse reaction of glycolysis, is inhibited in hepatocellular carcinoma, especially the downregulated expression of the four key rate-limiting enzymes pyruvate carboxylase, phosphoenolpyruvate carboxykinase, fructose-1, 6-diphosphate 1, and glucose-6-phosphatase 4, which promotes the growth and proliferation of hepatocellular carcinoma by promoting aerobic glycolysis and its branched pathways, and meanwhile, it is also associated with the overall survival time and prognosis of patients with hepatocellular carcinoma and is considered an inhibitor for hepatocellular carcinoma. Therefore, this review summarizes the changes and mechanism of action of the key enzymes of gluconeogenesis in the development and progression of hepatocellular carcinoma and analyzes the shortcomings and future directions of related research in hepatocellular carcinoma, so as to provide new ideas for the treatment of hepatocellular carcinoma.
Role of Takeda G protein-coupled receptor-5 in non-viral liver diseases
Qun ZHOU, Hua ZHANG, Ping LIU, Jiamei CHEN
2022, 38(9): 2172-2176. DOI: 10.3969/j.issn.1001-5256.2022.09.043
Abstract(1425) HTML (497) PDF (1973KB)(66)
Abstract:
Non-viral liver diseases mainly include nonalcoholic fatty liver disease, alcoholic liver disease, autoimmune liver disease, and cholestatic liver disease, and the prevalence rate of non-viral liver diseases tends to increase in recent years. Takeda G protein-coupled receptor-5 (TGR5) belongs to the G protein-coupled receptor superfamily and is activated by primary and secondary bile acids. TGR5 plays an important regulatory role in bile acid homeostasis, basal metabolism, energy balance, and alleviation of inflammatory response and is a potential therapeutic target for many diseases. An increasing number of evidence has shown that TGR5 exerts a protective effect on the liver by improving bile acid and glycolipid metabolism in liver, alleviating liver inflammation, and reducing liver steatosis. This article reviews the recent advances in the basic research on TGR5 in the field of non-viral liver diseases, so as to facilitate the development of the research on TGR5.
Role of lipocalin-2 in the development and progression of liver diseases
Zhengguang LIAO, Shihui WEI, Danyu DU, Li SUN, Shengtao YUAN
2022, 38(9): 2177-2181. DOI: 10.3969/j.issn.1001-5256.2022.09.044
Abstract(1128) HTML (1088) PDF (1969KB)(103)
Abstract:
Lipocalin-2 (LCN2) is a secreted glycoprotein originally purified from mouse kidney cells infected with simian virus 40 and plays a key role in the control of cellular homeostasis during inflammation and the response to cellular stress or injury, and it is considered a potential biomarker for rheumatic diseases, cancer, liver diseases, and inflammatory diseases. Studies have shown that LCN2 is expressed in hepatic parenchymal and nonparenchymal cells and is secreted into the bloodstream, and it is closely associated with the development and progression of acute liver injury, liver cirrhosis, viral hepatitis, alcoholic liver disease, nonalcoholic fatty liver disease, and hepatocellular carcinoma. This article summarizes the animal experiments and clinical studies on the association of LCN2 with the pathogenesis of liver diseases, in order to provide new ideas and therapeutic targets for the prevention and treatment of liver diseases.
Role of the cytochrome P450 family in metabolic-associated liver diseases
Weiyu CHEN, Faming SHU, Han WANG, Yanggang CAO, Jin HU, Dewen MAO
2022, 38(9): 2182-2187. DOI: 10.3969/j.issn.1001-5256.2022.09.045
Abstract(3157) HTML (1925) PDF (1980KB)(270)
Abstract:
The cytochrome P450 (CYP) family is the most important drug-metabolizing enzyme in human body and is responsible for the metabolism of endogenous and exogenous compounds. As the main site of the expression of the CYP family, the liver is the metabolic center of drugs, and in recent years, the role of the CYP family in the liver has attracted wide attention from the scholars in China and globally. This article reviews the distribution differences of the CYP family from the aspects of anatomy, genetics, and genomics, changes in the expression of the CYP family in the pathological processes such as non-alcoholic fatty liver disease, alcoholic liver disease, liver fibrosis, liver cirrhosis, and hepatocellular carcinoma, and the effect of CYP family-mediated enzyme activity on the treatment effect of pharmacotherapy for metabolic-associated liver diseases, in order to provide important enlightenment for identifying key drug intervention targets in diseases and enhancing clinical efficacy and safety.
Research advances in acute pancreatitis scoring system
Xiuping LUO, Jie WANG, Qing WU, Mengbin QIN, Shiquan LIU, Jiean HUANG
2022, 38(9): 2188-2192. DOI: 10.3969/j.issn.1001-5256.2022.09.046
Abstract(1796) HTML (384) PDF (1967KB)(119)
Abstract:
Acute pancreatitis (AP) is a severe disease with an increasing incidence rate in clinical practice. Although most patients have mild pancreatitis, the fatality rate of severe pancreatitis remains at a relatively high level, and therefore, early-stage, simple, and accurate clinical scoring systems are urgently needed to determine the severity of AP, so as to facilitate effective disease management and symptomatic treatment and reduce the fatality rate of patients. At present, a large number of studies have demonstrated that the scoring systems such as Ranson score, APACHE Ⅱ score, BISAP score, CTSI score, and some serological markers have been used to evaluate the severity and prognosis of AP, but all of them have certain limitations. This article reviews the research advances in the existing scoring systems, single serological markers, and related modified scoring systems in recent years. Through a literature review, it is concluded that there is no a single scoring system or a single indicator that can cover the whole process of AP diagnosis and treatment and accurately judge the severity of AP, and therefore, it is necessary to develop a new scoring system or combine various indicators for comprehensive evaluation.
Introduction of High-quality Articles in Foreign Journals
Hepatology|Mortality after transjugular intrahepatic portosystemic shunt in older adult patients with cirrhosis: A validated prediction model
2022, 38(9): 1973-1973. DOI: 10.3969/j.issn.1001-5256.2022.09.gwjpwzjj1
Abstract(729) HTML (451) PDF (892KB)(78)
Abstract:
Hepatology|Methyltransferase 1 is required for nonhomologous end-joining repair and renders hepatocellular carcinoma resistant to radiotherapy
2022, 38(9): 2033-2033. DOI: 10.3969/j.issn.1001-5256.2022.09.gwjpwzjj2
Abstract(520) HTML (221) PDF (900KB)(75)
Abstract:
Hepatology|Age and the relative importance of liver-related deaths in nonalcoholic fatty liver disease
2022, 38(9): 2039-2039. DOI: 10.3969/j.issn.1001-5256.2022.09.gwjpwzjj3
Abstract(555) HTML (185) PDF (896KB)(60)
Abstract:
Hepatology|Adipose lipolysis is important for ethanol to induce fatty liver in the National Institute on Alcohol Abuseand Alcoholism murine model of chronic and binge ethanol feeding
2022, 38(9): 2115-2115. DOI: 10.3969/j.issn.1001-5256.2022.09.gwjpwzjj4
Abstract(548) HTML (310) PDF (893KB)(47)
Abstract:
Journal of Hepatology|Plasma ammonia levels predict hospitalisation with liver-related complications and mortality in clinically stable outpatients with cirrhosis
2022, 38(9): 2181-2181. DOI: 10.3969/j.issn.1001-5256.2022.09.gwjpwzjj5
Abstract(544) HTML (260) PDF (900KB)(57)
Abstract:
Hepatology|Targeted decrease of portal hepatic pressure gradient improves ascites control after TIPS
2022, 38(9): 2187-2187. DOI: 10.3969/j.issn.1001-5256.2022.09.gwjpwzjj6
Abstract(602) HTML (247) PDF (901KB)(61)
Abstract:
Gastrointestinal Endoscopy|Impact of endobiliary radiofrequency ablation on biliary drainage in patients with malignant biliary strictures treated with uncovered self-expandable metal stents: a randomized controlled multicenter-trial
2022, 38(9): 2192-2192. DOI: 10.3969/j.issn.1001-5256.2022.09.gwjpwzjj7
Abstract(617) HTML (260) PDF (899KB)(52)
Abstract:
Thanks
Current reviewers
2022, 38(9): 1955-1955. DOI: 10.3969/j.issn.1001-5256.2022.09.zhixie1
Abstract(423) HTML (165) PDF (886KB)(52)
Abstract: