中文English
ISSN 1001-5256 (Print)
ISSN 2097-3497 (Online)
CN 22-1108/R

2022 No.8
Theme Issue: Cure of chronic hepatitis B and clinical trial evaluation of investigational new drugs: From the perspective of basic research
Executive Chief Editor: LU Fengmin  
Peking University People’s Hospital

Display Method:
Editorial
Urgent scientific issues to be solved in clinical trials of capsid assembly modulator combined with nucleos(t)ide analogues for the treatment of chronic hepatitis B
Fengmin LU, Hongxin HUANG, Tianhao MAO, Xiangmei CHEN, Hui ZHUANG
2022, 38(8): 1705-1709. DOI: 10.3969/j.issn.1001-5256.2022.08.001
Abstract(1556) HTML (475) PDF (2576KB)(224)
Abstract:
Chronic hepatitis B virus (HBV) infection is the main cause of viral hepatitis, liver cirrhosis, and primary liver cancer. At present, nucleos(t)ide analogues (NUC) and pegylated interferon α used in clinical practice cannot directly target covalently closed circular DNA, and it is difficult to achieve clinical cure of chronic hepatitis B patients; therefore, it is urgently needed to develop direct-acting antiviral agents targeting all stages of the HBV replication cycle. Capsid assembly modulator (CpAM) targets the assembly of viral capsids through various mechanisms, thereby exerting a direct-acting antiviral effect. Its combination with NUC should have a good synergistic antiviral effect, but the results of existing clinical trials have shown that chronic hepatitis B patients who received a limited course of antiviral therapy with CpAM and NUC all experienced off-therapy viral rebound. Based on the mechanism of action of these two types of drugs, this article provides a reasonable explanation for the above clinical trial results and points out that a longer course of antiviral therapy with CpAM and NUC may be needed in the future clinical trials with safe drug withdrawal as the end point of observation, so as to deplete or silence the pool of covalently closed circular DNA and increase the possibility of safe drug withdrawal in CHB patients. In addition, further studies are needed to explore antiviral therapeutic strategies with a combination of multiple targets.
Discussions by Experts
Research advances in cytokines in the treatment of chronic hepatitis B
Zixiang GAO, Zhongliang SHEN, Jing LIU, Youhua XIE
2022, 38(8): 1710-1715. DOI: 10.3969/j.issn.1001-5256.2022.08.002
Abstract(1749) HTML (440) PDF (1905KB)(229)
Abstract:
At present, there are still about 250 million people with chronic hepatitis B virus (HBV) infection around the world, which seriously threatens human life and health. Chronic hepatitis B (CHB) can develop into liver diseases such as liver fibrosis, liver cirrhosis, and hepatocellular carcinoma; however, there is still a limited number of antiviral drugs and an extremely low cure rate in clinical practice, and thus it is urgent to develop new antiviral drugs. HBV has strong hepatotropism and only infects a few primates such as humans and chimpanzees under natural conditions. Whether immune response (innate immunity and adaptive immunity) can effectively recognize and eliminate or inhibit HBV is an important factor leading to different outcomes after virus infection, and cytokines play an important immunoregulatory role in this process. This article summarizes and discusses the research advances in some key cytokines in CHB infection and treatment.
Functional cure of hepatitis B from the perspective of hepatitis B virus covalently closed circular DNA
Juan CHEN, Ailong HUANG
2022, 38(8): 1716-1720. DOI: 10.3969/j.issn.1001-5256.2022.08.003
Abstract(1789) HTML (746) PDF (1895KB)(326)
Abstract:
Hepatitis B virus (HBV) covalently closed circular DNA (cccDNA) is the template for HBV transcription and replication and exists stably in hepatocytes in the form of minichromosome. Based on the mechanism of cccDNA inactivation or clearance and the development of related drugs, this article introduces the current knowledge on the formation, transcription, and degradation of cccDNA and reviews the research advances in cccDNA-targeted drugs and biological techniques.
Influencing factors for the functional cure of chronic hepatitis B and related mechanism
Yifei GUO, Jiming ZHANG
2022, 38(8): 1721-1725. DOI: 10.3969/j.issn.1001-5256.2022.08.004
Abstract(1762) HTML (242) PDF (1897KB)(321)
Abstract:
Functional cure of chronic hepatitis B (CHB), defined as negative hepatitis B surface antigen (HBsAg) with or without the presence of hepatitis B surface antibody (anti-HBs), is considered the optimal endpoint for CHB treatment at present. Studies have shown that HBsAg clearance can reduce the risk of HBV complications such as liver cirrhosis and hepatocellular carcinoma. However, HBsAg clearance rate remains at a relatively low level, which may be associated with the immune tolerance state caused by HBV infection. HBsAg clearance and/or the presence of anti-HBs indicate the partial recovery of HBV-specific immunity. This article discusses the influencing factors for the functional cure of CHB and the underlying mechanisms.
Mechanism of action, clinical research and development, and application prospect of hepatitis B virus core protein allosteric modulators
Hui LIU, Fengmin LU, Jutao GUO
2022, 38(8): 1726-1732. DOI: 10.3969/j.issn.1001-5256.2022.08.005
Abstract(2129) HTML (338) PDF (3109KB)(255)
Abstract:
Hepatitis B virus (HBV) infection is the main pathogenic factor for chronic hepatitis, and if it is not treated timely and effectively, it may have the risk of developing into end-stage liver diseases such as liver cirrhosis and hepatocellular carcinoma. Neither of the two types of antiviral drugs currently used in clinical practice can completely inhibit viral replication or eliminate viral transcriptional template, which means that covalently closed circular DNA (cccDNA) exists in infected liver cells for a long time, and thus patients with chronic hepatitis B require long-term or even lifelong medication. Therefore, it is of great importance to develop novel anti-HBV drugs. Core protein allosteric modulators (CpAM) are a type of novel anti-HBV drugs and can interfere with HBV nucleocapsid assembly and inhibit the depolymerization of mature nucleocapsid, the formation of cccDNA, and the biogenesis and secretion of HBeAg. CpAM have a great potential in clinical application since they act on various links of viral replication. This article reviews the function of CpAM target protein-core protein, the classification, action targets, and anti-HBV mechanism of CpAM, and the current research status, further development, and application prospect of CpAM.
Guidelines
Practice guidance for the use of terlipressin for liver cirrhosis related complications (2021)
Hepatobiliary Study Group of Chinese Society of Gastroenterology of Chinese Medical Association, Hepatology Committee of Chinese Research Hospital Association
2022, 38(8): 1733-1738. DOI: 10.3969/j.issn.1001-5256.2022.08.006
Abstract(2056) HTML (877) PDF (2431KB)(440)
Abstract:
Liver cirrhosis is a major global health burden worldwide due to its high risk of morbidity and mortality. Role of terlipressin for the management of liver cirrhosis related complications has been recognized during recent years. This paper aims to develop evidence-based clinical practice guidance on the use of terlipressin for liver cirrhosis related complications. Hepatobiliary Study Group of Chinese Society of Gastroenterology of Chinese Medical Association and Hepatology Committee of Chinese Research Hospital Association have invited gastroenterologists, hepatologists, infectious disease specialists, surgeons, and clinical pharmacists to formulate the clinical practice guidance based on comprehensive literature review and experts' clinical experiences. Overall, 10 major statements regarding efficacy and safety of terlipressin in liver cirrhosis were proposed. Terlipressin can be beneficial for the management of cirrhotic patients with acute variceal bleeding and hepatorenal syndrome (HRS). However, the evidence regarding the use of terlipressin in cirrhotic patients with ascites, post-paracentesis circulatory dysfunction, and bacterial infections and in those undergoing hepatic resection and liver transplantation remains insufficient. Terlipressin-related adverse events, mainly including gastrointestinal symptoms, electrolyte disturbance, and cardiovascular and respiratory adverse events, should be closely monitored. The current clinical practice guidance supports the use of terlipressin for gastroesophageal variceal bleeding and HRS in liver cirrhosis. High-quality studies are needed to further clarify its potential effects in other liver cirrhosis related complications.
China guideline for liver cancer screening (2022, Beijing)
Jie HE, Wanqing CHEN, Hongbing SHEN, Ni LI, Chunfeng QU, Jufang SHI, Feng SUN, Jing JIANG, Guangwen CAO, Guihua ZHUANG, Ji PENG, Expert Panel of China Guideline for Liver Cancer Screening, Working Group of China Guideline for Liver Cancer Screening
2022, 38(8): 1739-1758. DOI: 10.3969/j.issn.1001-5256.2022.08.007
Abstract(6620) HTML (1627) PDF (2742KB)(1463)
Abstract:
In China, the survival rate of liver cancer remains low while the mortality rate is high. Effectively reducing the burden of liver cancer is still a major challenge in the field of public health and chronic disease prevention in the Chinese population. Optimizing screening strategies for liver cancer remains a profound approach to secondary prevention worthy of continuous exploration. To address this pressing issue, the Bureau of Disease Control and Prevention of the National Health Commission commissioned this guideline. The National Cancer Center of China initiated the guideline development and convened a multidisciplinary expert panel and working groups. Following the World Health Organization Handbook for Guideline Development, this guideline integrated the most up-to-date evidence of liver cancer screening, China's national conditions, and existing practical experience in liver cancer screening. Evidence-based recommendations on the target population, screening technologies, surveillance strategies, and other key points across the process of liver cancer screening and surveillance management were provided. This guideline would help standardize the practice of liver cancer screening in China.
Guideline Interpretation
Updated key points of chronic hepatitis B virus infection: developing drugs for treatment issued by the U.S. food and drug administration(clinical part)
Di SHA, Yidi WU, Junqi NIU, Meixia WANG
2022, 38(8): 1759-1762. DOI: 10.3969/j.issn.1001-5256.2022.08.008
Abstract(1450) HTML (275) PDF (1883KB)(187)
Abstract:
In November 2018, the U.S. food and drug administration (FDA) issued guidance for the development of drugs for chronic hepatitis B virus infection (draft for comments) (hereinafter referred to as draft for comments), and in April 2022, the FDA issued Chronic Hepatitis B Virus Infection: Developing Drugs for Treatment, which has been updated with some details based on the Draft for Comments. This guidance further emphasizes the importance of HBsAg clearance in clinical trials, and classifies chronic suppressive therapy into two categories, namely noninferiority (NI) (or superiority) test with nucleos(t)ide analogues as control and add-on superiority trial with nucleos(t)ide analogues as control, and as for the latter, HBV DNA is no longer recommended as a primary endpoint of the trial, which poses a huge challenge to the development of innovative drugs targeting HBV DNA. The new finite duration therapy should aim to eliminate HBsAg and reduce virologic relapse and the risk of liver disease progression during treatment cessation. Reduction in HBsAg from baseline is not recommended as a primary endpoint for phase Ⅲ clinical trials, since the correlation between such reduction and clinical response remains unclear. In addition, this guidance also specifies the duration of treatment cessation and treatment consolidation period and the criteria for withdrawal of nucleos(t)ide analogues.
Original Articles_Viral Hepatitis
Influence of intrahepatic cholestasis of pregnancy on adverse pregnancy outcomes of HBV-infected pregnant women
Xiali XIONG, Yunxia ZHU, Hong WEI, Zhiqiang ZHAO, Jun MENG, Huaibin ZOU, Zhongping DUAN
2022, 38(8): 1763-1767. DOI: 10.3969/j.issn.1001-5256.2022.08.009
Abstract(1078) HTML (265) PDF (1899KB)(106)
Abstract:
  Objective  To investigate the influence of intrahepatic cholestasis of pregnancy (ICP) on adverse pregnancy outcomes of hepatitis B virus (HBV)-infected pregnant women.  Methods  A retrospective analysis was performed for 232 pregnant women with chronic HBV infection who were admitted to Beijing YouAn Hospital, Capital Medical University, from March 2018 to March 2021. According to the presence or absence of ICP, the patients were divided into HBV infection group with 100 patients and HBV+ICP group with 132 patients; according to the severity of ICP, the patients in the HBV+ICP group were further divided into HBV+mild ICP group with 86 patients and HBV+severe ICP group with 46 patients. The above groups were compared in terms of the incidence rates of maternal complications during pregnancy, such as premature delivery, premature rupture of membranes, gestational diabetes mellitus, hypertensive disorder complicating pregnancy, and postpartum hemorrhage (PPH), as well as the adverse outcomes of fetus/neonate, such as intrauterine fetal death, neonatal asphyxia, amniotic fluid pollution degree Ⅲ(AFⅢ), neonatal respiratory distress syndrome, small-for-gestational-age (SGA), admission to the neonatal intensive care unit, pneumonia, and mother-to-child transmission (MTCT) of HBV. A one-way analysis of variance was used for comparison between multiple groups; the chi-square test, the chi-square test with continuity correction or the Fisher's exact test was used for comparison of categorical data between multiple groups.  Results  Compared with the HBV infection group in terms of maternal complications in late pregnancy, the HBV+ICP group had significantly higher incidence rates of premature delivery and PPH (χ2=4.169 and 5.448, P=0.041 and 0.020), and in terms of the adverse outcomes of neonates, the HBV+ICP group had significantly higher incidence rates of neonatal asphyxia, AFⅢ, and SGA than the HBV infection group (χ2=5.448, 16.567, and 11.053, P=0.020, P < 0.001, and P=0.002). In terms of the adverse outcomes of neonates, the HBV+severe ICP group had significantly higher incidence rates of AFⅢ and SGA than the HBV+mild ICP group (χ2=4.200 and 4.511, P=0.040 and 0.034).  Conclusion  Compared with the pregnant women with HBV infection alone, the pregnant women with HBV infection and ICP have significantly higher incidence rates of adverse pregnancy outcomes in mothers and neonates, and the incidence rate of adverse outcomes in neonates increases with the increase in the severity of ICP. However, ICP has no influence on HBV MTCT.
Value of external validation of REAL-B score in predicting the risk of hepatocellular carcinoma in chronic hepatitis B patients treated by antiviral therapy
Xue WU, Weike CHU, Hui ZHOU, Bin NIU, Peng ZHANG, Jing FENG, Yuqiang MI, Ping LI
2022, 38(8): 1768-1773. DOI: 10.3969/j.issn.1001-5256.2022.08.010
Abstract(1281) HTML (372) PDF (2834KB)(117)
Abstract:
  Objective  To investigate the value of the hepatocellular carcinoma (HCC) risk model REAL-B score in predicting the risk of HCC in chronic hepatitis B (CHB) patients receiving antiviral therapy in comparison with mPAGE-B, aMAP and PAGE-B scores.  Methods  A retrospective analysis was performed for the clinical data of 1160 CHB patients who received entecavir or tenofovir treatment for more than 1 year from January 2013 to December 2015 in Tianjin Second Peolple's Hospital, and the events of HCC were recorded. The area under the ROC curve (AUC) was used to evaluate the value of REAL-B, mPAGE-B, aMAP, and PAGE-B scores in predicting HCC. The Kaplan-Meier method was used to evaluate the cumulative incidence rate of HCC at different time points, and the log-rank test was used to compare the incidence rate of HCC between the groups with different scores. The independent samples t-test was used for comparison of normally distributed continuous data between groups, and the Mann-Whitney U test was used for comparison of non-normally distributed continuous data between groups; the chi-square test was used for comparison of categorical data between groups.  Results  Among the 1160 CHB patients, 108 (9.8%) progressed to HCC within a median follow-up time of 5.3 (5.0-6.3) years. REAL-B score had an AUC of 0.848 (95% confidence interval [CI]: 0.816-0.880) in predicting the onset of HCC within 5 years, followed by aMAP score (AUC=0.823, 95% CI: 0.786-0.860), mPAGE-B score (AUC=0.822, 95%CI: 0.788-0.857), and PAGE-B scores (AUC=0.780, 95%CI: 0.736-0.824). The 5-year cumulative incidence rate of HCC was 0.8% in the low-risk group (with a REAL-B score of 0-3 points), which was significantly lower than the incidence rate of 11.8% in the medium-risk group (with a REAL-B score of 4-7 points) and 35.6% with the high-risk group (with a REAL-B score of 8-13 points) (P < 0.05). In the low-risk group, REAL-B score had a negative predictive value of 100% and 99.67%, respectively, in predicting HCC within 3 and 5 years.  Conclusion  REAL-B score accurately predicts the risk of HCC in CHB patients receiving antiviral therapy, with a better predictive value than the other risk models within 3 years of antiviral therapy.
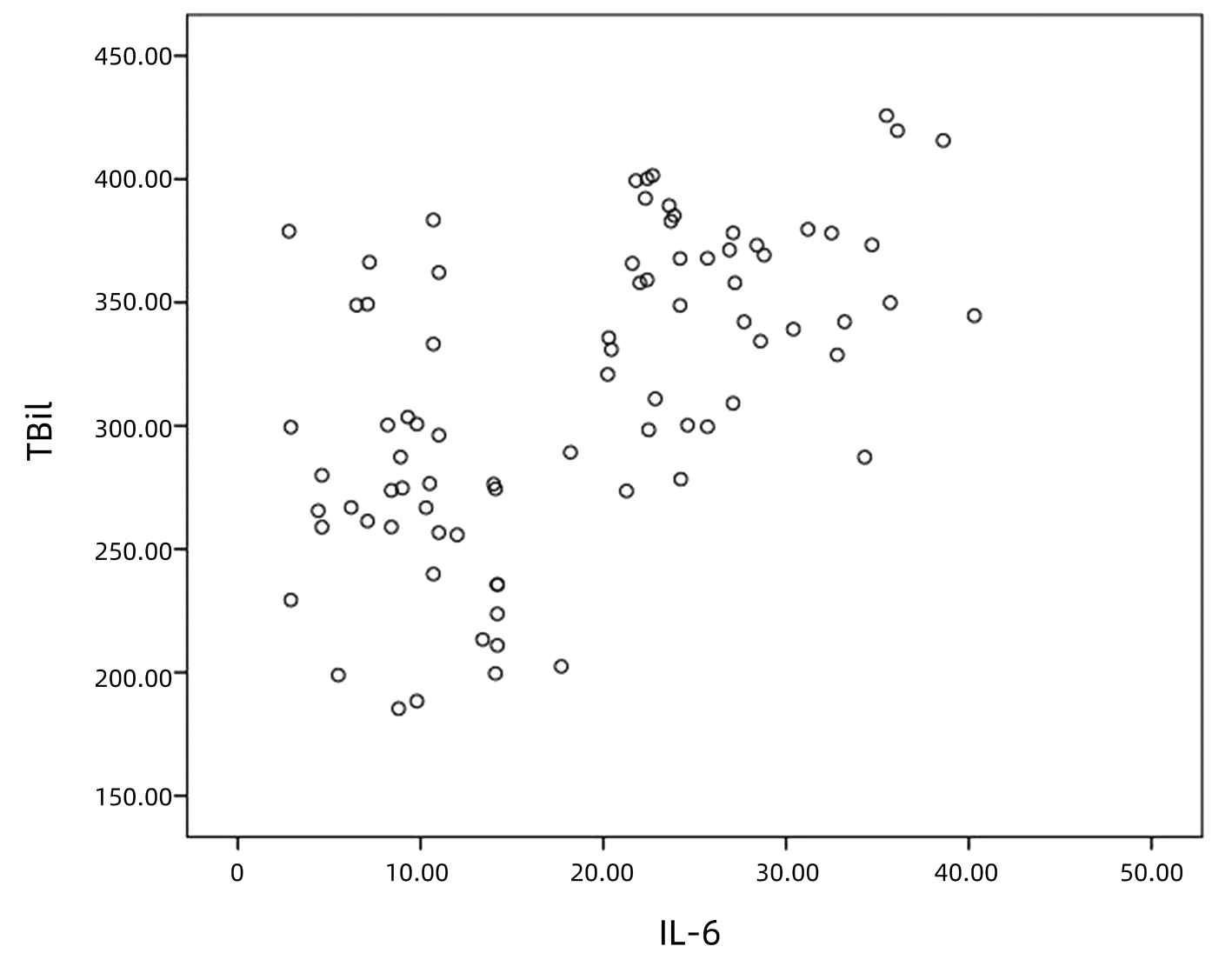
Value of interleukin-6 combined with Model for End-Stage Liver Disease score in predicting the prognosis of hepatitis B virus-related acute-on-chronic liver failure
Yan WANG, Ying XU, Wei SUN, Li CHEN, Jianhe GAN, Jing GU
2022, 38(8): 1774-1779. DOI: 10.3969/j.issn.1001-5256.2022.08.011
Abstract(1131) HTML (276) PDF (2320KB)(106)
Abstract:
  Objective  To investigate the value of interleukin-6 (IL-6) combined with Model for End-stage Liver Disease (MELD) score in predicting the prognosis of patients with hepatitis B virus (HBV)-related acute-on-chronic liver failure (HBV-ACLF).  Methods  A total of 86 patients with HBV-ACLF who were hospitalized in The First Affiliated Hospital of Soochow University from January 2015 to December 2018 were enrolled, and according to their survival status after follow-up for 90 days, they were divided into death group with 50 patients and survival group with 36 patients. ELISA was used to measure the serum level of IL-6, and a statistical analysis was performed for general information. The t-test was used for comparison of normally distributed continuous data between groups, and the Mann-Whitney U test was used for comparison of non-normally distributed continuous data between two groups; the chi-square test was used for comparison of categorical data between two groups. A Pearson correlation analysis was performed for IL-6 and other variables; a binary logistic regression analysis was used to investigate the independent risk factors for the prognosis of patients with HBV-ACLF; the receiver operating characteristic (ROC) curve was used to assess the value of IL-6 combined with MELD score in predicting the prognosis of HBV-ACLF.  Results  There were significant differences between the death group and the survival group in hematocrit (t=2.413), platelet count (t=6.584), total bilirubin (TBil) (t=-8.070), prothrombin time (PT) (U=77.500), international standardized ratio (U=102.000), HBV DNA (t=-2.767), IL-6 (t=-16.543), and MELD score (t=-8.192), and the death group had a significantly higher level of IL-6 than the survival group (27.13±12.18 pg/mL vs 9.72±5.56 pg/mL, P < 0.001). The Pearson correlation analysis showed that IL-6 was positively correlated with TBil and PT (r=0.579 and 0.681, both P < 0.001). The binary logistic regression analysis showed that IL-6 (odds ratio[OR]=1.480, 95% confidence interval [CI]: 1.196~1.833, P=0.007) and MELD score (OR=1.128, 95%CI: 1.033~1.231, P < 0.001) were independent risk factors for the death of HBV-ACLF patients within 90 days. IL-6 combined with MELD score had an area under the ROC curve (AUC) of 0.891 (95%CI: 0.778~0.999), with a higher AUC than IL-6 (AUC=0.838, 95%CI: 0.687~0.989) or MELD score (AUC=0.783, 95%CI: 0.634~0.933). IL-6 combined with MELD score had a significantly higher value than IL-6 alone in predicting the prognosis of patients with HBV-ACLF (Z=-2.257, P=0.024).  Conclusion  IL-6 combined with MELD score can be used as a good model for predicting the short-term prognosis of patients with HBV-ACLF.
Original Articles_Fatty Liver Diseases
Effect of Huatan Qushi Huoxue prescription on the ultrastructure of hepatocyte mitochondria in rats with nonalcoholic steatohepatitis
Sutong LIU, Lihui ZHANG, Yajiao GU, Minghao LIU, Min GUO, Chenlu ZHAO, Wenxia ZHAO
2022, 38(8): 1780-1783. DOI: 10.3969/j.issn.1001-5256.2022.08.012
Abstract(1470) HTML (572) PDF (2843KB)(99)
Abstract:
  Objective  To investigate the effect of Huatan Qushi Huoxue prescription on the ultrastructure of hepatocyte mitochondria in a rat model of nonalcoholic steatohepatitis (NASH).  Methods  A total of 48 male Sprague-Dawley rats were randomly divided into blank group, model group, Yishanfu group, and Huatan Qushi Huoxue prescription group, with 12 rats in each group. The rats in the model group and the drug groups were administered and modeled since week 2; the rats in the blank group were given normal diet, and those in the other three groups were given high-fat diet. Based on dose conversion between human and animal, the equivalent dose of Huatan Qushi Huoxue prescription was 1.26 g/100 g body weight, and the equivalent dose of polyene phosphatidylcholine capsules (Yishanfu) was 0.014 18 g/100 g body weight. The rats in the model group were given 0.9% sodium chloride by gavage, those in the Yishanfu group were given polyene phosphatidylcholine suspension by gavage, and those in the traditional Chinese medicine group were given the granules of Huatan Qushi Huoxue prescription by gavage, once a day for 10 consecutive weeks. A transmission electron microscope was used to observe liver ultrastructure and perform a quantitative analysis. A one-way analysis of variance was used for comparison of continuous data between multiple groups; for further pairwise comparison, the least significant difference t-test was used for data with homogeneity of variance, and the Dunnett's T3 was used for data with heterogeneity of variance.  Results  The model group had a large number of lipid droplets accumulated in hepatocytes, changes in mitochondrial morphology and structure, and reductions in the number of mitochondria and endoplasmic reticulum. The Huatan Qushi Huoxue prescription group had a significant reduction in lipid droplets in hepatocytes and significant increases in the number of mitochondria and endoplasmic reticulum compared with the model group, with intact mitochondrial membrane and structure. The Yishanfu group had a reduction in lipid droplets in hepatocytes, an increase in the number of mitochondria, and a reduction in the number of endoplasmic reticulum, with relatively intact mitochondrial membrane and structure. The quantitative analysis showed that compared with the blank group, the model group had a significant increase in the area of lipid droplets and a significant reduction in mitochondria, with a significant difference in mitochondrial density between the two groups (all P < 0.01); after drug intervention, the Yishanfu group had a significant reduction in the area of lipid droplets and a significant increase in the number of mitochondria, with a significant difference in mitochondrial density between the Yishanfu group and the model group (all P < 0.01); compared with the Yishanfu group, the traditional Chinese medicine group had a significantly greater reduction in the area of lipid droplets and a significant increase in the number of mitochondria, with a significant difference in mitochondrial density between the two groups (all P < 0.05).  Conclusion  Huatan Qushi Huoxue prescription can improve lipid accumulation, increase mitochondrial density, and protect mitochondrial structure and function, with a better clinical effect than Yishanfu.
Construction of Pnpla3 I148M and Tm6sf2 E167K double mutant mouse model
Mengke WANG, Shousheng LIU, Xueru CHU, Yifen WANG, Yongning XIN
2022, 38(8): 1784-1789. DOI: 10.3969/j.issn.1001-5256.2022.08.013
Abstract(2003) HTML (510) PDF (6045KB)(101)
Abstract:
  Objective  To construct a Pnpla3148M/M Tm6sf2167K/K double mutant mouse model by crossbreeding Pnpla3148M/M homozygous mice and Tm6sf2167K/K homozygous mice.  Methods  Pnpla3148I/M Tm6sf2167E/K heterozygous mice were bred by hybridization of Pnpla3148M/M Tm6sf2167E/E and Pnpla3148I/I Tm6sf2167K/K homozygous mice, and the Pnpla3148M/M Tm6sf2167K/K mice were obtained by the self-crossbreeding of Pnpla3148I/M Tm6sf2167E/K mice. Male mice of Pnpla3148M/M Tm6sf2167K/K (n=6), Pnpla3148M/M Tm6sf2167E/E (n=6), and Pnpla3148I/I Tm6sf2167K/K (n=6) genotypes and Wt mice (n=6) were fed with normal diet for 8 weeks, and then the glucose and lipid metabolism indices were measured. A one-way analysis of variance was used for comparison between multiple groups, and the least significant difference t-test was used for further comparison bewteen two groups.  Results  Agarose gel electrophoresis and nucleic acid sequencing results showed that the Pnpla3148M/M Tm6sf2167K/K double mutant mouse model was successfully constructed. There were no significant difference in body weight between the Pnpla3148M/M Tm6sf2167K/K mice and the Pnpla3148M/M Tm6sf2167E/E, Pnpla3148I/I Tm6sf2167K/K, and Wt mice (all P > 0.05). The Pnpla3148M/M Tm6sf2167K/K mice had a significantly higher liver wet weight than the Wt mice (P < 0.05). The fasting blood glucose of Pnpla3148M/M Tm6sf2167K/K mice was significantly lower than that of Pnpla3148I/I Tm6sf2167K/K mice and Wt mice (both P < 0.05). The glucose tolerance of Pnpla3148M/M Tm6sf2167K/K mice was significantly reduced compared with the Pnpla3148I/I Tm6sf2167K/K mice (P < 0.05). There were no significant differences in insulin level between the four groups of mice (all P > 0.05). Also, there were no significant differences in the serum levels of biochemical indices between the Pnpla3148M/M Tm6sf2167K/K mice and the Pnpla3148M/M Tm6sf2167E/E, Pnpla3148I/I Tm6sf2167K/K, and Wt mice (all P > 0.05). Oil red O staining of the liver showed that more lipid accumulation was observed in the Pnpla3148M/M Tm6sf2167K/K mice than in the Pnpla3148M/M Tm6sf2167E/E and Wt mice.  Conclusion  The Pnpla3148M/M Tm6sf2167K/K double mutant mouse model was successfully constructed. Pnpla3 Ⅰ 148M and Tm6sf2 E 167K double mutations can cause abnormal glucose metabolism in mice.
Original Articles_Liver Fibrosis and Liver Cirrhosis
Establishment and validation of a noninvasive diagnostic model for chronic hepatitis B liver fibrosis based on LASSO regression
Jian ZHUANG, Weiwen ZHU, Chao ZHANG
2022, 38(8): 1790-1795. DOI: 10.3969/j.issn.1001-5256.2022.08.014
Abstract(1743) HTML (368) PDF (3265KB)(114)
Abstract:
  Objective  To establish a noninvasive diagnostic model for chronic hepatitis B (CHB) liver fibrosis based on LASSO regression using serological parameters, and to investigate the value of this model in the diagnosis of CHB liver fibrosis.  Methods  A total of 240 patients who were diagnosed with CHB in Changzhou Second People's Hospital, Nanjing Medical University, from September 2019 to September 2021 were enrolled as subjects, and according to the results of liver biopsy and pathology, they were divided into significant liver fibrosis (stage F2-F4) group with 175 patients and non-significant liver fibrosis (stage F0-F1) group with 65 patients. The two groups were compared in terms of sex, age, blood biochemical parameters, and liver stiffness measurement (LSM) measured by two-dimensional shear wave elastography, and LASSO regression and the multivariate logistic regression analysis were used screen out the risk factors for liver fibrosis. A nomogram model was established and then verified by the receiver operating characteristic (ROC) curve, calibration curve, and decision curve. A one-way analysis of variance was used for comparison of normally distributed continuous data between multiple groups, and the least significant difference t-test was used for further comparison between two groups; the Kruskal-Wallis H test was used for comparison of non-normally distributed continuous data between groups; the chi-square test was used for comparison of categorical data between groups.  Results  There were significant differences between the patients with stage F3/F4 liver fibrosis and those with stage F2/F0-F1 liver fibrosis in age, alanine aminotransferase, aspartate aminotransferase, alkaline phosphatase, gamma-glutamyl transpeptidase, total bilirubin, platelet count, procollagen type Ⅲ, type Ⅳ collagen, hyaluronic acid, and LSM (all P < 0.05). Five important variables were screened out by LASSO regression, and the logistic regression analysis showed that hyaluronic acid (odds ratio [OR]=1.432, P < 0.05), type Ⅳ collagen (OR=1.243, P < 0.05), procollagen type Ⅲ(OR=1.146, P < 0.05), and LSM (OR=1.656, P < 0.05) were the independent risk factors for liver fibrosis, while platelet count (OR=0.567, P < 0.05) was a protective factor. Compared with the patients with stage F2/F0-F1 liver fibrosis, the patients with stage F3/F4 liver fibrosis had significantly higher score of the nomogram model, LSM, aspartate aminotransferase-to-platelet ratio index (APRI), King score, Forns index, and fibrosis-4 (FIB-4) index (all P < 0.05). The ROC curve was used to analyze the predictive value of the nomogram model, and the results showed an area under the ROC curve of 0.876, which was significantly higher than that of LSM, APRI, King score, Forns index, and FIB-4 (all P < 0.05). Calibration curve and decision curve showed that the nomogram model had acceptable consistency and benefit.  Conclusion  The noninvasive nomogram model based on LASSO regression is established by using serum parameters including hyaluronic acid, type Ⅳ collagen, procollagen type Ⅲ, platelet count, and LSM, and as a quantitative tool for the clinical diagnosis of CHB liver fibrosis, it has a high diagnostic efficiency and thus holds promise for clinical application.
Influencing factors for recompensation in patients with first-time decompensated hepatitis B cirrhosis
Jiajia RUAN, Shifei WEN, Xia WANG, Li LI, Juanjuan FU, Xiucheng PAN
2022, 38(8): 1796-1800. DOI: 10.3969/j.issn.1001-5256.2022.08.015
Abstract(1296) HTML (446) PDF (2119KB)(176)
Abstract:
  Objective  To investigate the influencing factors for recompensation in patients with first-time decompensated hepatitis B cirrhosis.  Methods  A total of 438 patients with first-time decompensated hepatitis B cirrhosis who attended The Affiliated Hospital of Xuzhou Medical University from September 1, 2011 to December 31, 2019 were enrolled, and all patients received comprehensive treatment including antiviral therapy. According to the outcome at the end of follow-up, the patients were divided into recompensation group and persistent decompensation group, and the independent influencing factors for recompensation were analyzed. Long-term survival rate was compared between the patients with different states of compensation. The Mann-Whitney U test was used for comparison of continuous data between two groups, and the chi-square test was used for comparison of categorical data. A multivariate Cox proportional-hazards regression model analysis was used to investigate the influencing factors for recompensation. The Kaplan-Meier method was used to plot survival curves, and the log-rank test was used for comparison.  Results  Among the 438 patients with decompensated hepatitis B cirrhosis, 199 (45.4%) achieved recompensation after antiviral therapy. There were significant differences between the recompensation group and the persistent decompensation group in sustained virologic response (SVR) (χ2=72.093, P < 0.001), single or multiple complications (χ2=9.834, P=0.002), presence or absence of gastrointestinal bleeding (χ2=6.346, P=0.012), serum creatinine (SCr) (Z=-1.035, P=0.011), blood sodium concentration (Z=-1.606, P=0.019), hemoglobin (Z=1.455, P=0.006), and alanine aminotransferase (ALT) level (Z=-2.194, P < 0.001). Baseline ALT level (odds ratio [OR]=1.002, 95% confidence interval [CI]: 1.000-1.003, P=0.009), SVR (OR=5.760, 95%CI: 3.634-9.129, P < 0.001), and SCr (OR=0.990, 95%CI: 0.981-1.000, P=0.047) were independent influencing factors for recompensation. The recompensation group had a significantly higher 5-year survival rate than the persistent decompensation group (87.9% vs 72.0%, χ2=9.886, P=0.025).  Conclusion  After comprehensive treatment, including antiviral therapy, approximately 45.4% of patients can achieve recompensation.Patients with elevated baseline ALT and achieved SVR were more likely to achieve recompensation, patients with elevated baseline serum creatinine had difficulty achieving recompensation, and patients with recompensation had a better long-term prognosis than patients with persistent decompensation.
Risk factors for rebleeding after emergency esophageal variceal ligation in patients with liver cirrhosis
Qingjuan HE, Yingxia FANG, Xuchen LIU, Zhongbin LI
2022, 38(8): 1801-1805. DOI: 10.3969/j.issn.1001-5256.2022.08.016
Abstract(1389) HTML (640) PDF (2091KB)(97)
Abstract:
  Objective  To investigate the risk factors for rebleeding after emergency esophageal variceal ligation (EVL) in patients with liver cirrhosis.  Methods  A retrospective analysis was performed for the clinical and laboratory data of 290 patients with liver cirrhosis who underwent emergency EVL in The Fifth Medical Center of Chinese PLA General Hospital from January 2016 to December 2019, and according to the presence or absence of rebleeding within 1-year follow-up, they were divided into rebleeding group and non-rebleeding group. The t-test was used for comparison of normally distributed continuous data between two groups, and the Wilcoxon rank sum test was used for comparison of non-normally distributed continuous data between two groups; the chi-square test was used for comparison of categorical data between two groups. A multivariate logistic regression analysis was performed with the statistically significant factors as independent variables to screen out the independent risk factors for rebleeding after emergency EVL, and the receiver operating characteristic (ROC) curve was plotted to obtain the indices for predicting the probability of rebleeding and establish a predictive model.  Results  The univariate analysis showed that there were significant differences between the two groups in platelet count (t=-1.888, P=0.047), Child-Pugh score (χ2=5.975, P=0.049), albumin level (t=-2.229, P=0.029), and splenic vein diameter (t=3.808, P=0.001). The multivariate logistic regression analysis showed that Child-Pugh score (odds ratio [OR]=0.280, 95% confidence interval [CI]: 0.108-0.729, P=0.009), splenic vein diameter (OR=1.549, 95%CI: 1.197-2.005, P=0.001) and albumin level (OR=0.832, 95%CI: 0.729-0.949, P=0.006) were independent influencing factors for rebleeding after EVL. The predictive model based on these three factors had an area under the ROC curve of 0.796, with a sensitivity of 83.7% and a specificity of 74.5% at the cut-off value of -0.086.  Conclusion  Child-Pugh score, albumin level, and splenic vein diameter are independent risk factors for rebleeding after emergency EVL, and the combination of the three indices has the highest sensitivity and specificity in predicting rebleeding.
Features of anemia in patients with alcoholic liver cirrhosis
Xu YAN, Wenjing WANG, Dantong ZHAO
2022, 38(8): 1806-1812. DOI: 10.3969/j.issn.1001-5256.2022.08.017
Abstract(1502) HTML (757) PDF (2081KB)(123)
Abstract:
  Objective  To investigate the laboratory and clinical features of anemia in patients with alcoholic liver cirrhosis.  Methods  A retrospective analysis was performed for the patients who were hospitalized in Beijing YouAn Hospital, Capital Medical University, from December 2020 to May 2021 and were found to have anemia based on reticulocyte hemoglobin (Hb) content (Ret-He) and whole blood cell analysis, and 106 patients with the discharge diagnosis of alcoholic liver cirrhosis who had no history of upper gastrointestinal bleeding or blood transfusion were screened out as subjects. Clinical features and related influencing factors were retrospectively analyzed based on the severity of anemia, the cytomorphological classification of anemia, and Ret-He. The independent samples t-test was used for comparison of normally distributed continuous data between two groups; a one-way analysis of variance was used for comparison between multiple groups, and the SNK-q test and the least significant difference t-test were used for further comparison between two groups. The Mann-Whitney U test was used for comparison of continuous data with skewed distribution between two groups, and the Kruskal-Wallis H test was used for comparison between multiple groups. The chi-square test was used for comparison of categorical data between groups. A Spearman correlation analysis was performed to investigate the correlation of different classification criteria for anemia with laboratory markers and clinical features.  Results  Among the 106 patients, there were 103 male patients (97.2%), with a mean age of 55.07±10.18 years and a mean Hb level of 87.16±18.55 g/L; there were 49 patients (46.2%) with mild anemia, 49 (46.2%) with moderate anemia, and 8(7.5%) with severe anemia; mean Ret-He was 33.65(13.3-46.4) pg, and there were 33 patients (31.1%) with ≤29 pg and 73 patients (68.9%) with Ret-He > 29 pg; among these patients, 46(43.4%) had macrocytic anemia, 34(32.1%) had normocytic anemia, 2(1.9%) had simple microcytic anemia, and 24 (22.6%) had microcytic hypochromic anemia; among these patients, 87(82.1%) had ascites and/or intra-abdominal infection, 82(77.4%) had splenomegaly and/or hypersplenism, 65(61.3%) had esophageal and gastric varices, and 31(29.2%) had hepatic encephalopathy. Compared with the control group (moderate/severe anemia), the mild anemia group had significantly higher Ret-He, mean corpuscular volume (MCV), mean corpuscular hemoglobin (MCH), mean corpuscular-hemoglobin concentration (MCHC), serum iron (SI), and transferrin saturation (TS) (all P < 0.05), a significantly higher proportion of patients with Ret-He > 29 pg (83.7% vs 56.1%, P=0.002) or normocytic anemia (44.9% vs 21.1%, P=0.009), a significantly lower unsaturated iron-binding capacity (UIBC) (P < 0.05), and a significantly lower proportion of patients with microcytic hypochromic anemia (6.1% vs 36.8%, P < 0.05). Compared with the microcytic anemia group, the macrocytic anemia group had significantly higher alanine aminotransferase (ALT), Hb, and proportion of patients with ascites and/or intra-abdominal infection (91.3% vs 65.4%, Pc < 0.05) and a significantly lower proportion of patients with severe anemia (2.2% vs 19.2 %, Pc < 0.05) or esophageal and gastric varices (52.2% vs 84.6%, Pc < 0.05); the macrocytic anemia group had significantly higher aspartate aminotransferase (AST) and AST/ALT ratio than the microcytic anemia group and the normocytic anemia group (all Pc < 0.05); the microcytic anemia group had a significantly lower proportion of patients with mild anemia than the macrocytic anemia group and the normocytic anemia group, as well as a significantly higher proportion of patients with moderate anemia than the normocytic anemia group (all Pc < 0.05); compared with the other two groups, the macrocytic anemia group had significantly higher Ret-He, MCV, MCH, MCHC, SI, and TS (all Pc < 0.05) and significantly lower total iron-binding capacity (TIBC) and UIBC (all Pc < 0.05). Compared with the Ret-He > 29 pg group, the Ret-He ≤29 pg group had significantly lower Hb, MCV, MCH, MCHC, SI, TS, and proportion of patients with mild anemia or ascites and/or intra-abdominal infection (all P < 0.05), a significantly higher UIBC (P < 0.05), and a significantly higher proportion of patients with microcytic hypochromic anemia or esophageal and gastric varices (P < 0.05). Hb, Ret-He, MCV, MCH, MCHC, UIBC, SI, and TS were correlated with the severity of anemia, the cytomorphological classification of anemia, and iron deficiency (all P < 0.05), and esophageal and gastric varices and ascites and/or abdominal infection were correlated with the cytomorphological classification of anemia and iron deficiency (all P < 0.05).  Conclusion  The degree of anemia is mostly mild and moderate in the decompensated stage of alcoholic liver cirrhosis, and macrocytic anemia and normocytic anemia are more common. The incidence rate of iron deficiency increases with the severity of anemia, and esophageal and gastric varices and ascites and/or intra-abdominal infection are correlated with the cytomorphological classification of anemia and iron deficiency; therefore, it is necessary to enhance the monitoring of iron deficiency anemia in such patients in clinical practice.
Original Articles_Liver Neoplasms
Efficacy and safety of lenvatinib combined with sintilimab as the second-line therapy for intrahepatic cholangiocarcinoma
Xiaoyan DING, Wei SUN, Yanjun SHEN, Ying TENG, Yawen XU, Wendong LI, Jinglong CHEN
2022, 38(8): 1813-1818. DOI: 10.3969/j.issn.1001-5256.2022.08.018
Abstract(2332) HTML (1767) PDF (2697KB)(166)
Abstract:
  Objective  To investigate the efficacy and safety of lenvatinib combined with sintilimab as the second-line therapy for advanced intrahepatic cholangiocarcinoma (ICC).  Methods  A retrospective analysis was performed for the clinical data of the patients with advanced ICC who were admitted to Beijing Ditan Hospital from October 31, 2019 to October 31, 2021 and could not undergo surgery or experienced metastasis after surgery. All patients were treated with lenvatinib combined with sintilimab as the second-line therapy. The patients were followed up, and the RECIST1.1 criteria were used to assess treatment outcome. The primary endpoint was time to progression (TTP), and the secondary endpoints were tumor objective response rate (ORR), disease control rate (DCR), overall survival (OS) time, and safety. The Kaplan-Meier method was used to plot survival curves, and the log-rank test was used for comparison between groups.  Results  A total of 27 patients were enrolled, among whom there were15 male patients (55.6%) and 12 female patients (44.4%), with a median age of 58 years (range 33-73 years). The median TTP for these patients was 5.5 (95% confidence interval [CI]: 1.7-9.3) months, and 13 patients (48.1%) died of disease progression, with a median OS time of 11.2 (95%CI: 5.0-17.4) months. The overall ORR and DCR were 40.7% and 70.3%, respectively. Of all patients, 66.7% experienced varying degrees of adverse events, and among these patients, 44.4% had an increase in alanine aminotransferase, 44.4% had an increase in aspartate aminotransferase, 37.0% had hypertension, 29.6% had an increase in bilirubin, 29.6% experienced diarrhea, and 25.9% each experienced proteinuria, anorexia, and weakness. No treatment-related death was observed, and only 1 patient developed grade Ⅳ immune-related hepatotoxicity and was relieved without sequelae after corticosteroid therapy, resulting in permanent withdrawal of sintilimab. The patients with lymph node metastasis had a significantly shorter median TTP than those without lymph node metastasis (4.5 months vs 18.8 months, P=0.035), and the patients who achieved disease remission had a significantly longer median TTP [11.6 months (95%CI: 5.6-17.6) vs 2.8 months (95%CI: 1.8-3.8), P < 0.001]; the patients with lymph node metastasis had a shorter median OS time [9.6 months (95%CI: 7.9-11.3) vs 21.9 months (95%CI: 0-44.9), P=0.053], and the patients who achieved disease remission had a significantly longer median OS time [16.6 months (95%CI: 9.0-24.2) vs 6.9 months (95%CI: 3.6-10.2), P=0.011].  Conclusion  Lenvatinib combined with sintilimab has a marked clinical effect and a low incidence rate of serious adverse events as the second-line therapy for advanced ICC, and therefore, it is a safe and effective treatment regimen.
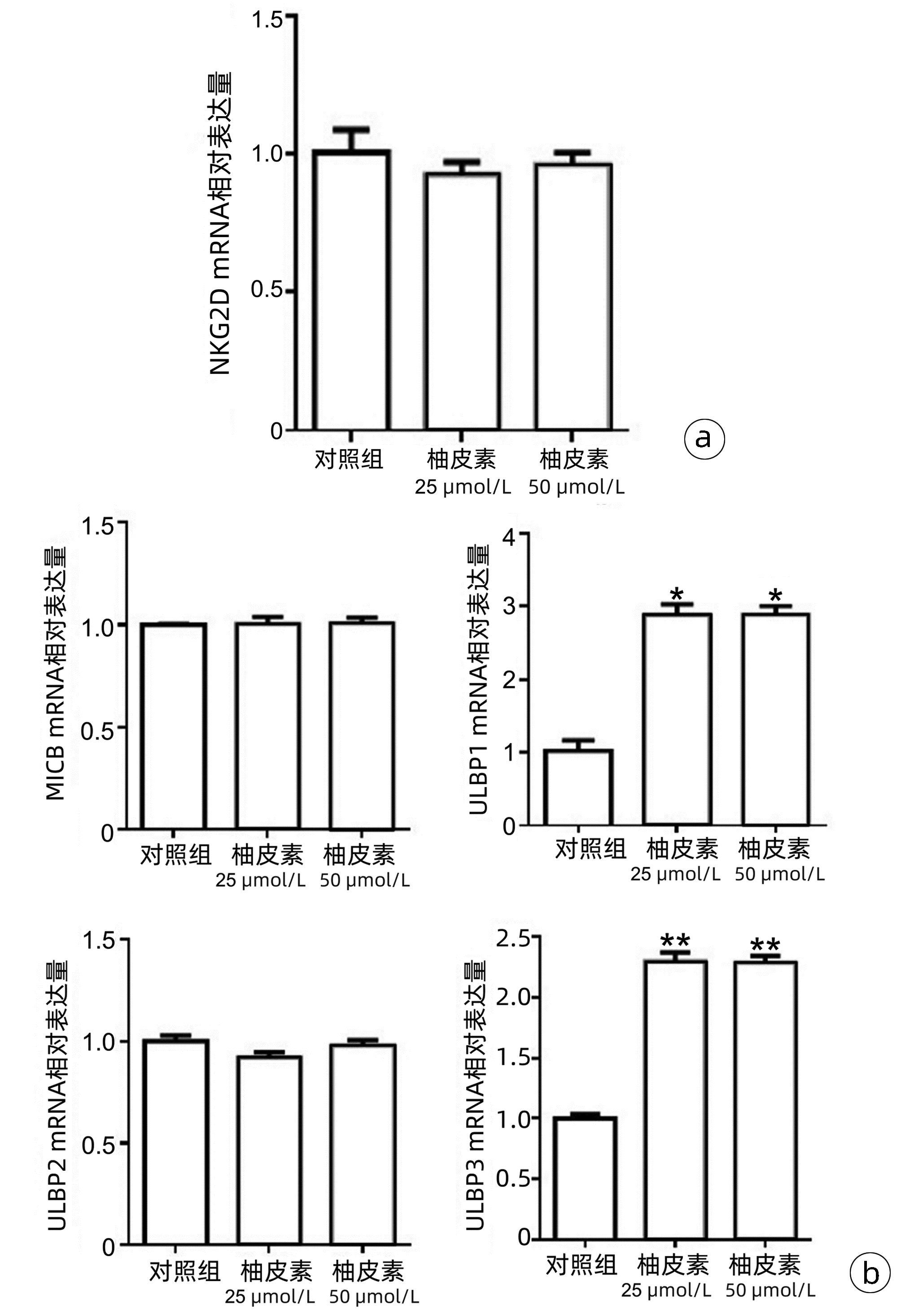
Effect of naringenin on natural killer cell cytotoxicity against hepatocellular carcinoma cells in vitro and its mechanism
Lijie MA, Chang YU, Fang WANG, Yifei TANG, Hailong WU, Xuehua SUN, Yueqiu GAO
2022, 38(8): 1819-1824. DOI: 10.3969/j.issn.1001-5256.2022.08.019
Abstract(1064) HTML (297) PDF (3514KB)(96)
Abstract:
  Objective  To investigate the effect of naringenin on the killing rate of natural killer (NK) cells and related mechanism by amplification of human peripheral blood mononuclear cells into NK cells in vitro and co-culture with hepatocellular carcinoma (HCC) CLC5 cells at a ratio of 1∶ 1.  Methods  A lymphocyte separation medium was used to isolate human peripheral blood mononuclear cells, which were induced with recombinant human interleukin-2 in vitro to culture NK cells. CCK-8 assay was used to measure the proliferation of HCC cells after human HCC cells were treated with naringenin (0, 3.125, 6.25, 12.5, 25, and 50 μmol/L) for 0, 24, and 48 hours, and after human NK cells were treated with different concentrations of naringenin for 24 hours, CCK-8 assay was used to measure the proliferation of NK cells. CellTiter-LumiTM was used to measure the killing rate of NK cells after the NK-HCC cell co-culture system at the ratio of 1∶ 1 was treated with naringenin for 24 hours. Quantitative real-time PCR was used to measure the gene expression of the activating receptor NKG2D in NK cells and NKG2D ligands in HCC cells. A one-way analysis of variance was used for comparison of continuous data between multiple groups, and the least significant difference t-test was used for further comparison between two groups.  Results  After being induced and cultured by recombinant human interleukin-2, NK cells were amplified to 82.33%±0.70% of human peripheral blood mononuclear cells. After naringenin treatment for 24 hours, there was no significant difference in the proliferation rate of HCC CLC5 cells between all mass concentration groups (all P > 0.05), and in the 25 and 50 μmol/L mass concentration groups, naringenin significantly promoted the proliferation of NK cells (both P < 0.000 1). After the NK-HCC cell co-culture system at the ratio of 1∶ 1 was treated with naringenin for 24 hours, there was a significant increase in the killing rate of NK cells in the 25 and 50 μmol/L mass concentration groups (both P < 0.000 1). After the co-culture system was treated with naringenin for 24 hours, naringenin had no effect on the expression of NKG2D in NK cells in the 25 and 50 μmol/L mass concentration groups, and it also had no effect on the expression of MICB and ULBP2 in HCC cells (all P > 0.05); it significantly upregulated the expression of the NKG2D ligands such as ULBP1 and ULBP3 in HCC cells (all P < 0.001).  Conclusion  Naringenin may increase the killing activity of NK cells by upregulating the expression of NKG2D ligands in HCC cells.
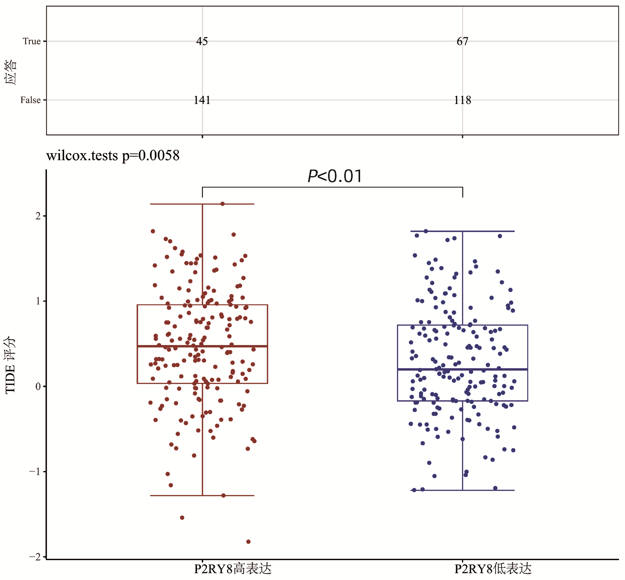
A bioinformatics analysis of P2RY8 expression in hepatocellular carcinoma and its clinical significance
Ruqi MEI, Qian JU, Yueping LI, Chengcong LIU
2022, 38(8): 1825-1833. DOI: 10.3969/j.issn.1001-5256.2022.08.020
Abstract(1175) HTML (410) PDF (5237KB)(120)
Abstract:
  Objective  To investigate the application value of the human B cell-confinement receptor P2RY8 in the diagnosis and prognosis of hepatocellular carcinoma (HCC) and its association with tumor immunity.  Methods  The Cancer Genome Atlas database was used to compare the expression of P2RY8. R software package was used to analyze the correlation between P2RY8 and tumor staging, and the receiver operating characteristic (ROC) curve and a nomogram model were established for diagnosis and survival. Tumor Immune Evaluation Resource was used to analyze immune cell infiltration, immune cell biomarkers, and immune checkpoints. STRING database was used to analyze protein-protein interaction network information. Gene ontology (GO) analysis and Kyoto Encyclopedia of Genes and Genomes (KEGG) analysis were used to analyze the function of P2RY8 and its interacting genes. For the purpose of validation, HCC tissue samples were collected from 64 patients who underwent radical surgery for HCC from June 2007 to November 2008, and the corresponding adjacent tissue samples were collected from 35 patients out of these patients (tissue chips were purchased from Shanghai Outdo Biotech Co., Ltd.); related clinical data and follow-up data were analyzed, and immunohistochemistry was used to measure the expression of P2RY8 in HCC and adjacent tissue samples. The t-test was used for comparison of normally distributed continuous data between two groups; the Mann-Whitney U test was used for comparison of non-normally distributed continuous data between two groups, and the Kruskal-Wallis H test was used for comparison between multiple groups. The chi-square test was used for comparison of categorical data between two groups. A Spearman correlation analysis was used to investigate the correlation between two variables. The Kaplan-Meier method was used to plot survival curves, and the log-rank test was used to calculate survival rates.  Results  P2RY8 was overexpressed in HCC, and the expression level of P2RY8 could accurately differentiate tumor from normal tissue, with an area under the ROC curve of 0.794. The patients with a higher expression level of P2RY8 tended to have a better prognosis (P=0.005). The data from 64 clinical samples also confirmed that compared with the patients with a low expression level of P2RY8, the patients with a high expression level of P2RY8 had significantly higher 3-year survival rate (78.9% vs 46.2%, P=0.007), 5-year survival rate (76.3% vs 38.5%, P=0.002), and overall survival time [92.5 (48.8-102.0) months vs 33.0 (25.0-95.5) months, P=0.022], and the Kaplan-Meier survival curve further indicated that the expression level of P2RY8 was associated with the prognosis of HCC patients. In addition, P2RY8 was positively correlated with immune cell infiltration and immune checkpoint in HCC. The GO/KEGG pathway enrichment analyses showed that P2RY8 was enriched in the signal transduction pathways such as humoral immunity and cellular immunity.  Conclusion  P2RY8 participates in the development, progression, and immune regulation of HCC, and therefore, P2RY8 can serves as a potential biomarker and a therapeutic target for the diagnosis and prognosis of HCC.
Original Articles_Other Liver Diseases
Identification and analysis of the risk of liver-related adverse drug reaction in pregnant women
Guangdi MU, Jiayi LI, Yunjuan GAO, Xu ZHAO, Jiabo WANG, Zhaofang BAI, Xiaohe XIAO, Yuming GUO
2022, 38(8): 1834-1838. DOI: 10.3969/j.issn.1001-5256.2022.08.021
Abstract(1463) HTML (359) PDF (2634KB)(123)
Abstract:
  Objective  To investigate the potential medication risk by identifying and analyzing the features of liver-related adverse drug reaction (ADR) in pregnant women.  Methods  A retrospective study was performed for the reports on liver-related ADR in pregnant women from January 1, 2012 to December 31, 2016 in HILI Cloud (hilicloud.net). Main clinical features and medication rules were analyzed, and reporting odds ratio (ROR) was used to analyze the relative risk of related drugs.  Results  Methotrexate, mifepristone, and ritodrine were the high-frequency drugs reported for liver-related ADR in pregnant women and were mainly used for termination of ectopic pregnancy and treatment of hydatidiform mole. The relative risk analysis of liver-related ADR showed that in pregnant women, the use of methotrexate (ROR=37.52, 95% confidence interval [CI]=31.35-44.89), progesterone (ROR=7.33, 95%CI: 2.75-19.59), and dydrogesterone (ROR=6.58, 95%CI: 2.20-19.69) was strongly associated with the risk of liver injury, and the association of methotrexate with the risk of liver injury in pregnant women was significantly stronger than that in non-pregnant women (ROR=1.71, 95%CI: 1.47-4.36).  Conclusion  The potential risk of liver injury should be taken seriously in pregnant women using the drugs such as methotrexate and progesterone, so as to avoid serious adverse reactions.
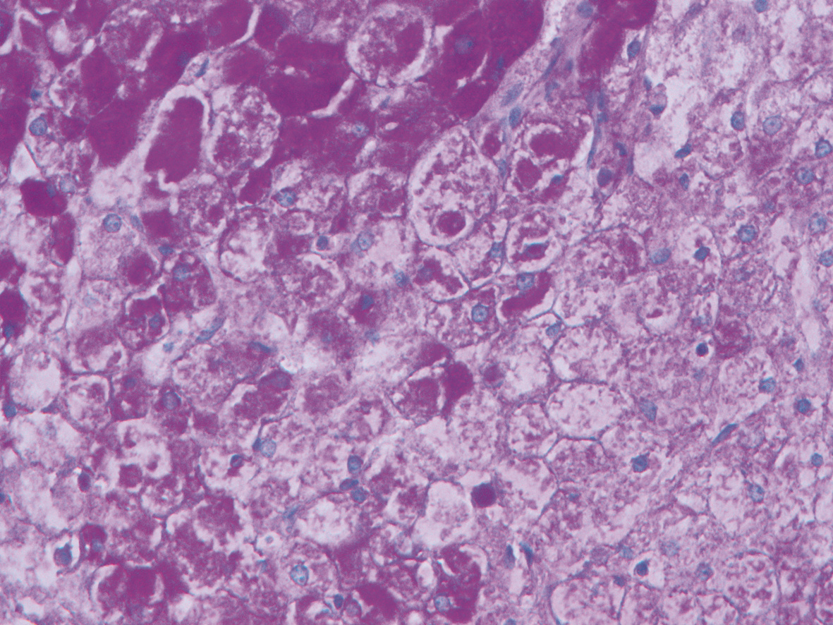
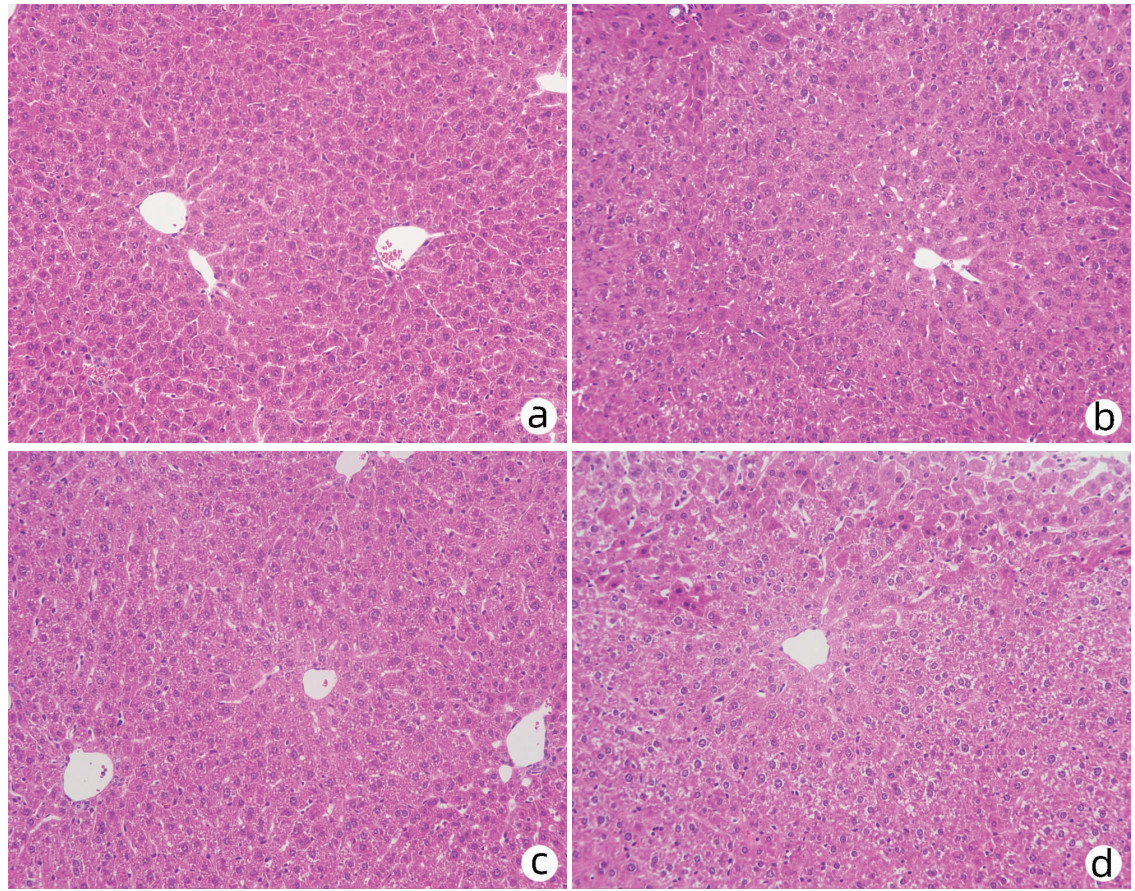
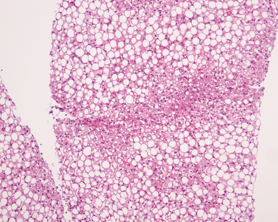
Clinical and pathological features of children with glycogen storage disease: An analysis of 10 cases
Suxian ZHAO, Shiheng LIU, Wencong LI, Fang HAN, Shuhong LIU, Qingshan ZHANG, Weiguang REN, Lingbo KONG, Na FU, Rongqi WANG, Li KONG, Yuemin NAN, Jingmin ZHAO
2022, 38(8): 1839-1842. DOI: 10.3969/j.issn.1001-5256.2022.08.022
Abstract(1443) HTML (520) PDF (2394KB)(115)
Abstract:
  Objective  To investigate the clinical and pathological features of children with glycogen storage disease (GSD).  Methods  A retrospective analysis was performed for ten children with GSD who were admitted to the Third Hospital of Hebei Medical University and The Fifth Medical Center of Chinese PLA General Hospital from January 2002 to January 2022, based on medical history, liver biochemistry, and liver biopsy, and population characteristics, clinical manifestations, biochemical parameters, and liver histopathological characteristics were compared and analyzed.  Results  All ten children had developmental retardation and a short stature, with the manifestations of abnormal liver function, mild weakness, poor appetite, yellow urine, and yellow eyes, and four children had hepatosplenomegaly. Among the ten children, six had the clinical manifestations of hypoglycemia, and one had bilateral gastrocnemius hypertrophy and positive Gower sign. Two children had positive CMV IgG. Liver histopathological manifestations included diffuse enlargement of hepatocytes, light cytoplasm, and small nucleus in the middle like plant cells, with or without fibrous tissue proliferation.  Conclusion  Most patients with GSD have developmental retardation and abnormal aminotransferases, and liver pathological examination shows specific pathological features.
Clinical features of Wilson's disease: An analysis of 83 cases
Lei JI, Ying ZHANG, Li KONG, Suxian ZHAO, Po CUI, Qingshan ZHANG, Lingbo KONG, Weiguang REN
2022, 38(8): 1843-1846. DOI: 10.3969/j.issn.1001-5256.2022.08.023
Abstract(1748) HTML (235) PDF (1880KB)(126)
Abstract:
  Objective  To summarize the clinical features of patients with Wilson's disease (WD).  Methods  A retrospective analysis was performed for the clinical data of 83 patients with WD who were admitted to The Third Hospital of Hebei Medical University from April 2013 to August 2021, including clinical manifestations, Imaging examinations, laboratory examinations, liver histopathological examinations, and ATP7B gene testing results. The patients were divided into groups based on different clinical types. A one-way analysis of variance was used for comparison between groups.  Results  The youngest age was 3 years for the 83 patients with WD, among whom 39 (46.99%) had an age of ≤18 years, with a mean age of 21.16±14.87 years for all 83 patients. Of all patients, 63.86% had liver-type WD, 31 patients (37.35%) had developed liver cirrhosis at the time of consultation, and 5 patients (6.2%) attended the hospital due to acute or acute-on-chronic liver failure. Of all patients, 62(74.69%) were positive for corneal K-F ring, and the positive rate of K-F ring was 66.04% in the patients with liver-type WD. Among the 83 patients, 79(95.18%) had a reduction in blood ceruloplasmin, and 73(87.95%) had an increase in 24-hour urine copper. The liver histopathological results of 25 patients showed varying degrees of inflammation, fibrosis, steatosis, and copper particle deposition in liver tissue. The ATP7B gene testing results of 25 patients showed that c.2333G > T/p.R778L of exon 8 was the most common mutation site.  Conclusion  Most patients with WD have the manifestation of liver diseases, and the examinations of corneal K-F ring, serum ceruloplasmin, and 24-h urine copper have their own limitations. Liver pathology and ATP7B gene testing can be performed when it is unable to make a confirmed diagnosis.
Original Articles_Biliary Diseases
A multivariate analysis of acute severe cholangitis and the establishment and evaluation of a risk prediction scoring model
Hongyu XIANG, Zheng DANG, Shulin XU, Gang NIU, Yuesheng LI, Baiwen MIAO, Yaoping PANG, Ruifang FAN, Jianwei QIN
2022, 38(8): 1847-1853. DOI: 10.3969/j.issn.1001-5256.2022.08.024
Abstract(1064) HTML (375) PDF (2651KB)(96)
Abstract:
  Objective  To investigate the independent risk factors for acute severe cholangitis and related protective factors, and to construct a risk prediction scoring model for acute severe cholangitis.  Methods  A retrospective analysis was performed for the clinical data of 381 patients with acute cholangitis who were admitted to Department of Hepatobiliary Surgery, The 940th Hospital of Joint Logistics Support Force of Chinese People's Liberation Army, from January 2016 to July 2021, among whom there were 273 patients with non-severe cholangitis and 108 patients with severe cholangitis. Univariate and multivariate logistic regression analyses were used to screen out the independent risk factors for acute severe cholangitis and related protective factors, and then a logistic regression model was established. The receiver operating characteristic (ROC) curve was used to evaluate the discriminatory ability of the model, the calibration curve was used to evaluate the prediction accuracy of the model, and decision curve analysis (DCA) was used to evaluate the clinical value of the model. Moreover, the enhanced Bootstrap method was used to perform internal validation of the model and evaluate the performance of the model in internal validation. The model was visualized by the construction of Web calculator, nomogram, and scoring system. The two-independent-samples t test was used for comparison of normally distributed continuous data between groups, and the Mann-Whitney U test was used for comparison of non-normally distributed continuous data between groups; the chi-square test was used for comparison of categorical data between groups.  Results  The univariate and multivariate logistic regression analyses showed that total bilirubin (TBil) (odds ratio [OR]=1.014, 95% confidence interval [CI]: 1.009-1.020, P < 0.001), percentage of neutrophils (OR=1.128, 95%CI: 1.088-1.175, P < 0.001), and age (OR=1.053, 95%CI: 1.027-1.082, P < 0.001) were independent risk factors, and albumin (Alb) (OR=0.871, 95%CI: 0.817-0.924, P < 0.001) was a protective factor. The above independent risk factors and protective factor were included in the logistic regression analysis for model fitting, and the predictive model obtained had an area under the ROC curve (AUC) of 0.925 (95%CI: 0.897-0.952), with a specificity of 0.817 and a sensitivity of 0.935 at the optimal cut-off value of 0.245. The calibration curve showed that the predicted probability of the model was approximately equal to the actual probability, with a Brier value of 0.098, and the decision curve analysis showed that the model had a higher net income within the threshold probability interval of 0.1-0.9. Internal validation showed an AUCinternal validation of 0.915 and a Brier valueinternal verification of 0.106.  Conclusion  TBil, percentage of neutrophils, and age are independent risk factors for acute severe cholangitis, while Alb is a protective factor. The established risk prediction scoring model has good discriminatory ability, calibration, and clinical value and can identify patients with acute severe cholangitis at an early stage, which provides a reference for subsequent diagnosis and treatment.
Efficacy of endoscopic retrograde cholangiopancreatography combined with SpyGlass system in treatment of acute cholecystitis secondary to choledocholithiasis
Liying TAO, Hongguang WANG, Xiang GUO, Jian ZHOU, Qingmei GUO, Mantong WANG
2022, 38(8): 1854-1858. DOI: 10.3969/j.issn.1001-5256.2022.08.025
Abstract(1335) HTML (511) PDF (2754KB)(82)
Abstract:
  Objective  To investigate the efficacy and safety of endoscopic retrograde cholangiopancreatography (ERCP)+SpyGlass system versus percutaneous transhepatic gallbladder drainage (PTGD)+ERCP in the treatment of acute cholecystitis secondary to choledocholithiasis.  Methods  A retrospective analysis was performed for the clinical data of the patients with acute cholecystitis secondary to choledocholithiasis who were treated in Department of Gastroenterology, Jilin City People's Hospital, from December 2019 to September 2021, among whom there were 23 patients in the ERCP+SpyGlass group and 19 patients in the PTGD+ERCP group. The two groups were compared in terms of the indicators such as surgical technical success, surgical operation time, surgical clinical success, postoperative recovery, length of hospital stay, and complications. The two-independent-samples t test was used for comparison of normally distributed continuous data between groups, and the Wilcoxon rank-sum test was used for comparison of non-normally distributed continuous data between groups; the chi- square test or the Fisher's exact test was used for comparison of categorical data between groups.  Results  Compared with the PTGD+ERCP group, the ERCP+SpyGlass group had a significant reduction in C-reactive protein after surgery (Z=2.999, P=0.003). There were no significant differences between the two groups in technical success rate (χ2=1.735, P=0.188), clinical success rate (χ2=0.846, P=0.358), total time of operation (t=1.667, P= 0.113), white blood cell count on day 1 after surgery (t=1.075, P= 0.289), length of postoperative hospital stay (t=1.560, P=0.127), and incidence rate of complications (all P > 0.05).  Conclusion  In the treatment of acute cholecystitis secondary to choledocholithiasis, the ERCP+SpyGlass system has a comparable clinical effect to PTGD+ERCP and is safe and effective, without increasing surgery-related adverse events and risks, and it can also solve the problems of the biliary tract and the gallbladder at one time through natural orifices, with no scars on body surface and convenient postoperative nursing. Therefore, it holds promise for clinical application.
Association between gallstones and metabolic syndrome in southern Xinjiang, China
Xiaoyong DUO, Shijie ZHANG, Hongwei ZHANG, Jing YANG, Wenqiang WANG, Linzhi YU, Baocai ZHANG, Yicheng ZHUO, Yunchao JIA, Yan PENG, Shuai HU
2022, 38(8): 1859-1864. DOI: 10.3969/j.issn.1001-5256.2022.08.026
Abstract(972) HTML (254) PDF (1899KB)(59)
Abstract:
  Objective  To investigate the association between gallstones (GS) and metabolic syndrome (MS) in southern Xinjiang, China, and to provide experience for the prevention and control of metabolic diseases in southern Xinjiang.  Methods  The patients with GS who visited First Division Hospital, Second Division Korla Hospital, and Third Division Hospital of Xinjiang Production and Construction Corps from March 2015 to March 2019 were enrolled as case group, and cluster sampling was used to select the individuals who underwent physical examination in Third Division 51st Regiment Hospital during the same period of time were enrolled as control group. According to inclusion and exclusion criteria, 1140 cases were enrolled in each group after 1∶ 1 matching based on age and sex. The t-test was used for comparison of continuous data between two groups, and the chi-square test was used for comparison of categorical data between two groups; a logistic regression analysis was used to investigate the influencing factors for GS. Dummy variables were included by logistic regression to evaluate multiplicative interaction between MS components, and the parameter estimate and covariance matrix of the logistic regression model and interaction calculation table were used to calculate and evaluate additive interaction between MS components.  Results  The risk of GS in MS patients was 2.33 times that in non-MS patients (odds ratio [OR]=2.33, 95% confidence interval [CI]: 1.86-2.92). In addition, the components of MS also increased the risk of GS, including blood glucose (OR=2.94, 95%CI: 2.36-3.68), blood pressure (OR=1.50, 95%CI: 1.26-1.80), blood lipids (OR=1.48, 95%CI: 1.25-1.75), and body mass index (OR=1.44, 95%CI: 1.21-1.70). After adjustment for multiple factors, the risk of GS gradually increased with the increase in the number of metabolic abnormalities, i.e., one abnormality (OR=1.55, 95%CI: 1.22-1.99), two abnormalities (OR=2.13, 95%CI: 1.66-2.72), three abnormalities (OR=3.48, 95%CI: 2.59-4.69), and four abnormalities (OR=4.65, 95%CI: 2.79-7.84). No additive or multiplicative interaction was found between MS components.  Conclusion  GS is closely associated with MS in southern Xinjiang, and the risk of GS gradually increases with the increase in MS components. No additive or multiplicative interaction is found between GS and MS components.
Original Articles_Pancreatic Diseases
Pathogenesis and prognosis of tumor-induced acute pancreatitis: An analysis of 84 cases
Linlin ZHENG, Hui HE, Xiaohua KONG, Yunhui ZHOU, Ningning LIU, Lin ZHOU
2022, 38(8): 1865-1871. DOI: 10.3969/j.issn.1001-5256.2022.08.027
Abstract(958) HTML (276) PDF (1935KB)(78)
Abstract:
  Objective  To investigate the association of biliary, pancreatic, and ampullary tumors with the onset of acute pancreatitis (AP) and the clinical features of tumor-induced AP by retrospectively analyzing the clinical data of patients with tumor-induced AP.  Methods  Related clinical data were collected from the patients with AP who were admitted to The First Affiliated Hospital of Zhengzhou University from January 2013 to August 2021. The etiological composition of AP was analyzed, as well as the change in the incidence rate of tumor-induced AP; the clinical features of AP were compared between tumor-induced and non-tumor-induced AP and between the tumors at different locations to explore the pathogenesis of tumor-induced AP. For normally distributed continuous data, the t-test was used for comparison between two groups; a one-way analysis of variance was used for comparison between multiple groups, and the SNK-q test was used for further comparison between two groups. For non-normally distributed continuous data, the Mann-Whitney U test was used for comparison between two groups; the Kruskal-Wallis H test was used for comparison between multiple groups, and the Wilcoxon rank-sum test was used for further comparison between two groups. The chi-square test or the Fisher's exact test was used for comparison of dichotomous categorical data between groups, and the goodness-of-fit test was used for comparison of polytomous categorical data between groups. The receiver operating characteristic (ROC) curve was used to evaluate the differential factors for pancreatic tumor-induced AP, and a multivariate logistic regression analysis was used to investigate the independent predictive factors for tumor-induced AP.  Results  A total of 8106 patients with AP were enrolled, among whom 84 patients (1.04%) had tumor-induced AP (tumor group). The tumor group had a significantly higher mean age than the non-tumor group (t=6.050, P < 0.001). The mean time from initial onset of AP to tumor diagnosis was 7.38 months. Among the 84 patients with tumor-induced AP, 75 (89.2%) had mild AP (MAP), 8 (9.5%) had moderate severe AP, and 1(1.2%) had severe AP; as for the origin of tumor, 11(13.1%) had tumor originating from the lower biliary tract, 13(15.5%) had tumor originating from the ampulla, and 60(71.4%) had tumor originating from the pancreas. Recurrence of AP (risk ratio [RR]=8.362, 95% confidence interval [CI]: 3.162-22.115, P < 0.001), pancreatic duct dilatation (RR=10.996, 95%CI: 3.871-31.236, P < 0.001), bile duct dilatation (RR=7.738, 95%CI: 2.521-23.752, P < 0.001), and leukocyte count (RR=0.766, 95%CI: 0.666-0.881, P < 0.001) were independent predictive factors for tumor-induced AP.  Conclusion  Tumor-induced AP is common in middle-aged and elderly men, with the clinical manifestations of MAP, easy recurrence, pancreatic duct dilatation/bile duct dilatation, and a persistent increase in the tumor marker CA19-9. Imaging examination of the biliary, pancreatic, and ampullary regions should be enhanced for AP with the above characteristics and no apparent trigger, and follow-up should be strengthened to avoid the missed diagnosis of tumor and the influence on prognosis.
Case Reports
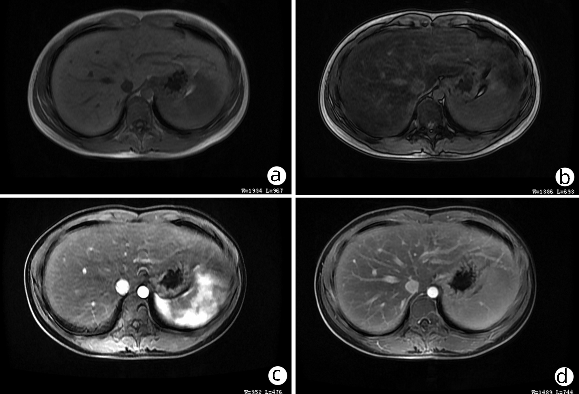
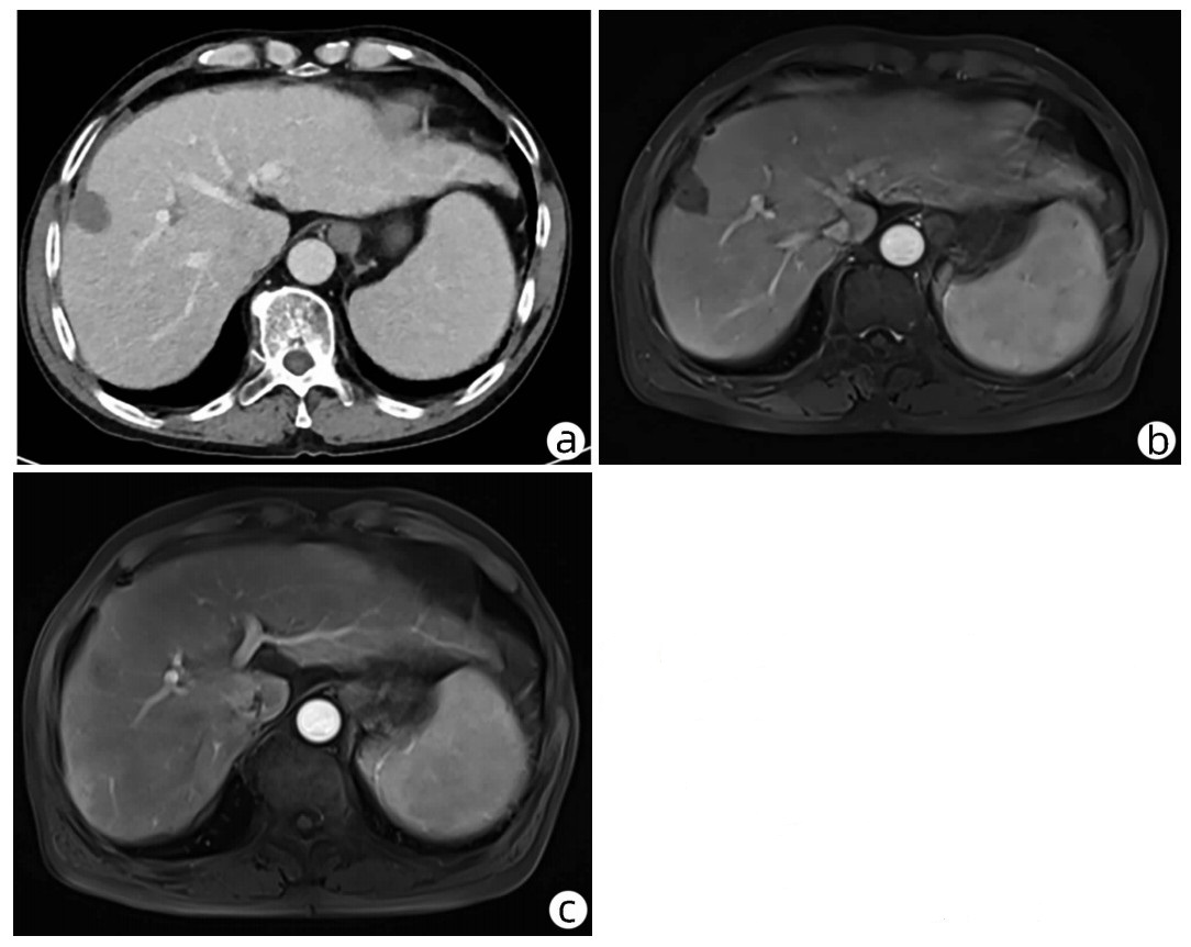
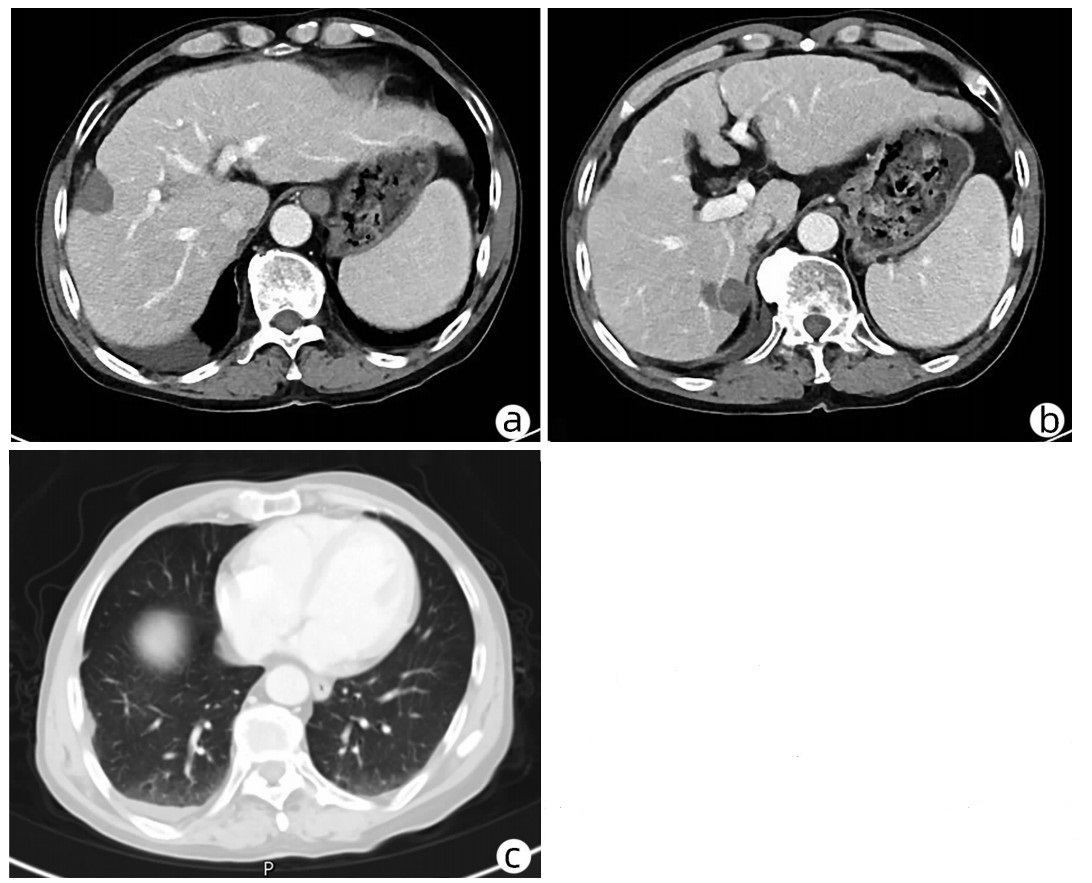
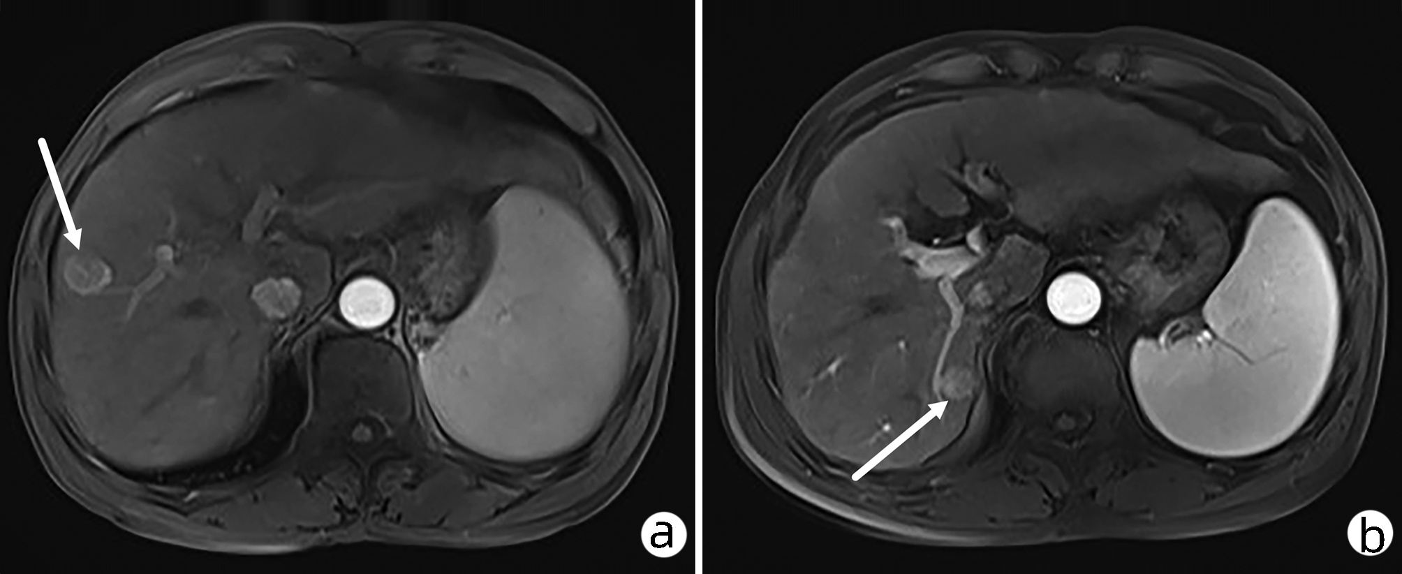
Hepatocellular carcinoma with bile duct tumor thrombus: A case report
Renjie LU, Fangfang SUN, Jie DU, Lirong ZHAO
2022, 38(8): 1872-1874. DOI: 10.3969/j.issn.1001-5256.2022.08.028
Abstract(831) HTML (461) PDF (3665KB)(88)
Abstract:
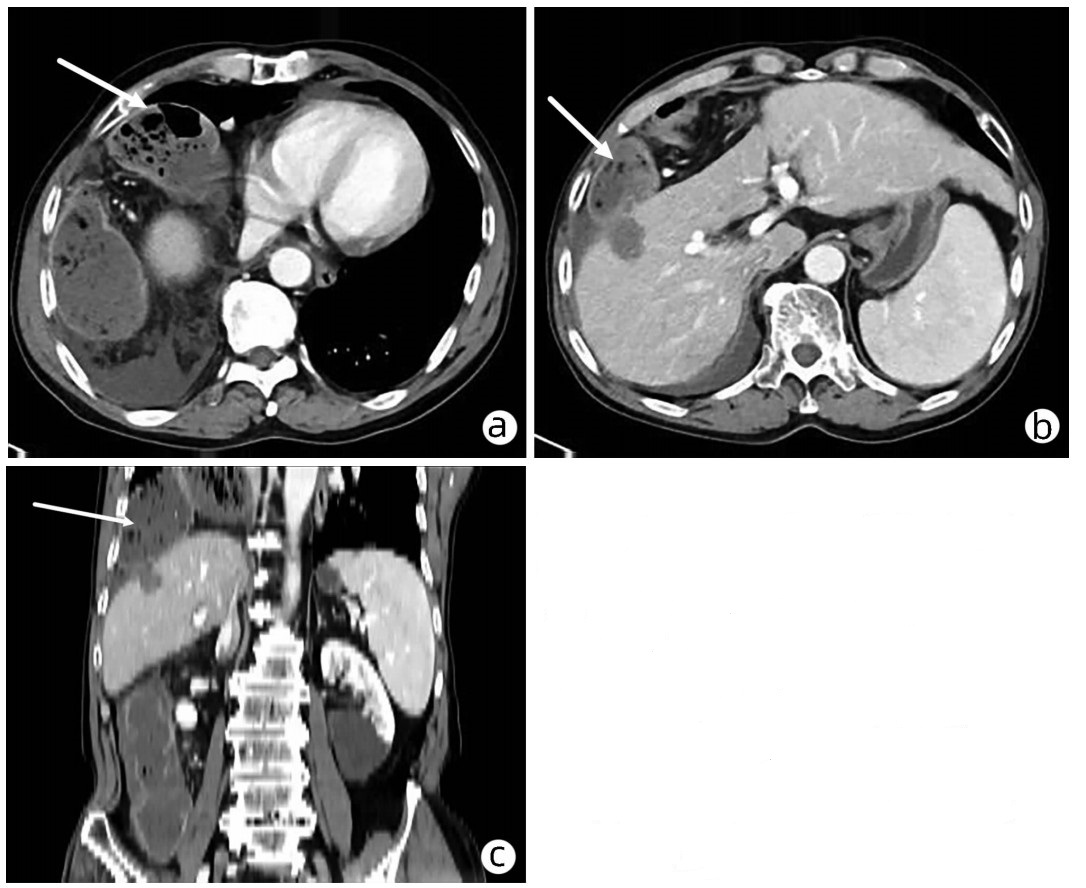
Late-onset diaphragmatic hernia after microwave ablation of hepatocellular carcinoma: A case report
Xiaodong WANG, Yurong ZHANG, Xiaoning ZHU, Ding ZHENG, Jing WANG
2022, 38(8): 1875-1877. DOI: 10.3969/j.issn.1001-5256.2022.08.029
Abstract(895) HTML (335) PDF (2572KB)(68)
Abstract:
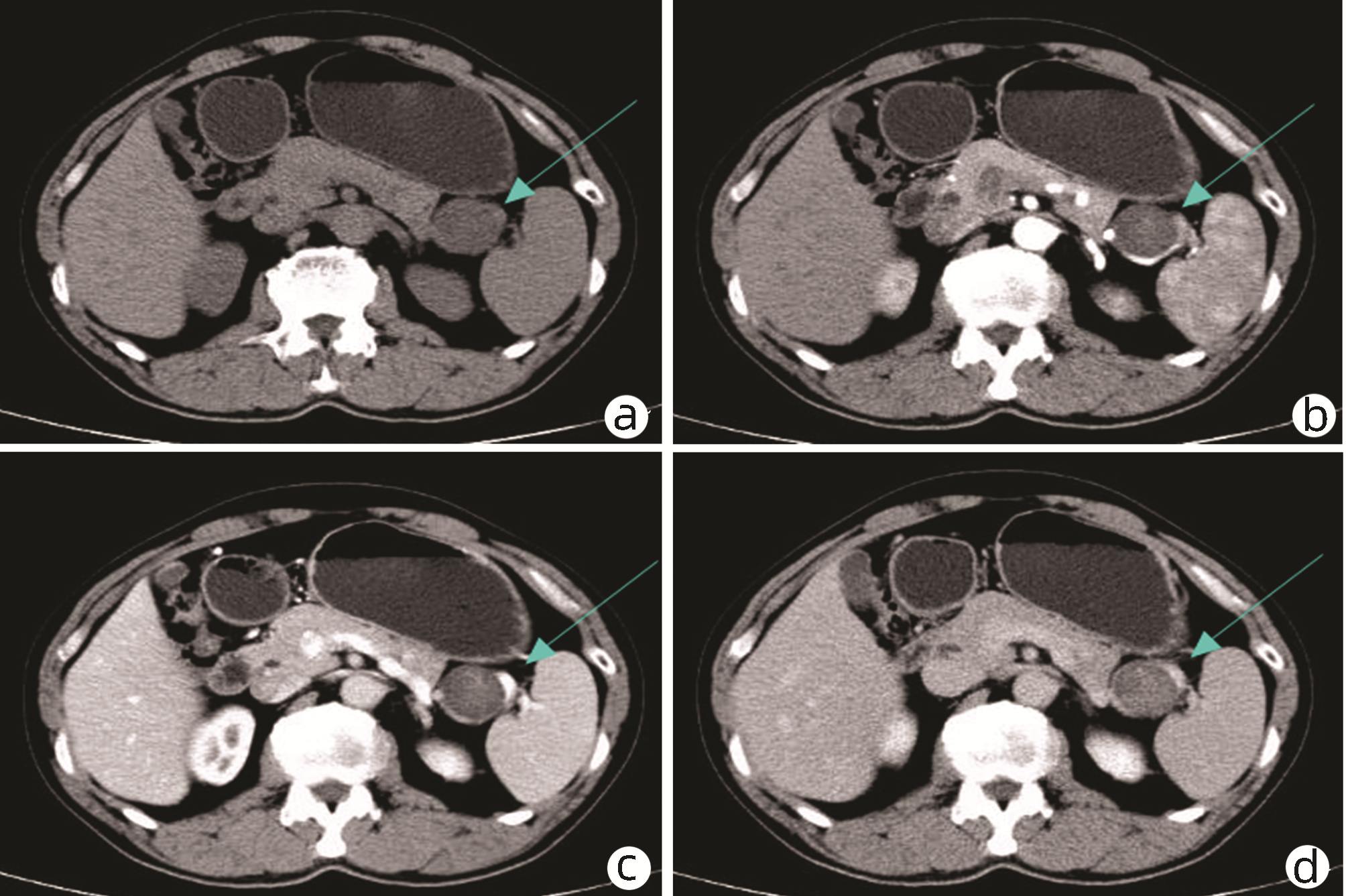
Schwannoma of the pancreatic tail: A case report
Jiachao ZHANG, Rong TANG, Zhensheng ZHANG, Pingping CHEN, Yongchao ZENG
2022, 38(8): 1878-1879. DOI: 10.3969/j.issn.1001-5256.2022.08.030
Abstract(685) HTML (278) PDF (3067KB)(72)
Abstract:
Hepatosplenomegaly with β-lipoprotein deficiency: A case report
Haijun GUO
2022, 38(8): 1880-1882. DOI: 10.3969/j.issn.1001-5256.2022.08.031
Abstract(688) HTML (255) PDF (2351KB)(78)
Abstract:
A case of systemic light-chain amyloidosis with fatal spontaneous splenic rupture
Duo LI, Yingren ZHAO, Hongmei CHEN
2022, 38(8): 1883-1885. DOI: 10.3969/j.issn.1001-5256.2022.08.032
Abstract(727) HTML (255) PDF (2823KB)(68)
Abstract:
Reviews
Role of traditional Chinese medicine in treatment of chronic hepatitis B by nucleos(t)ide analogues
Hanxiao WANG, Xinju CHEN, Qing ZHAO, Wenxia ZHAO
2022, 38(8): 1886-1891. DOI: 10.3969/j.issn.1001-5256.2022.08.033
Abstract(1428) HTML (374) PDF (2126KB)(146)
Abstract:
Nucleos(t)ide analogues (NUC) can inhibit the replication of hepatitis B virus (HBV) and effectively treat chronic hepatitis B (CHB), but they cannot completely eradicate HBV and cannot prevent the progression to hepatitis B cirrhosis and liver cancer in the context of a low viral load. In recent years, traditional Chinese medicine has been widely used in the treatment of CHB. This article elaborates on the application and mechanism of traditional Chinese medicine in inhibiting HBV replication, reducing the content of HBeAg, and delaying the progression to hepatitis B cirrhosis, and it is proposed that traditional Chinese medicine can improve the therapeutic effect of NUC in the treatment of CHB.
Management of autoimmune hepatitis during prepregnancey-pregnancy-postpartum
Chunyan LI, Wenjiao XU, Limei SHAO, Shanhong TANG
2022, 38(8): 1892-1895. DOI: 10.3969/j.issn.1001-5256.2022.08.034
Abstract(1308) HTML (479) PDF (1874KB)(137)
Abstract:
Autoimmune hepatitis (AIH) is a chronic progressive inflammatory disease of the liver caused by the attack of liver cells by the autoimmune system, with the features of positive serum autoantibodies, high IgG, and/or γ-globulinemia. Current studies on pregnancy in patients with AIH mainly focus on labor complications, and there is still a lack of systematic recommendations for the evaluation, treatment, and management of diseases in the progestational stage, during pregnancy, and after delivery. Although immunity is suppressed during pregnancy, poor disease control within one year before pregnancy and spontaneous drug withdrawal during pregnancy can significantly increase adverse pregnancy outcomes. Therefore, this article describes how to implement multidisciplinary collaboration and management of the whole cycle of pregnancy, so as to improve maternal and fetal safety.
Research advances in exosomes in primary biliary cholangitis
Haitao MA, Yingmei TANG
2022, 38(8): 1896-1900. DOI: 10.3969/j.issn.1001-5256.2022.08.035
Abstract(1237) HTML (281) PDF (2269KB)(114)
Abstract:
Primary biliary cholangitis (PBC) is an autoimmune liver disease characterized by cholestasis. In recent years, a number of studies in China and globally have shown that exosomes play an important role in the development and progression of PBC, which is currently a hotspot in the field of medical research. This article reviews the role of exosomes in the pathogenesis of PBC and related research advances in the diagnosis and treatment of PBC. It is believed that exosomes have wide application prospect in PBC, and in-depth research on exosomes may bring new opportunities for the diagnosis and treatment of PBC.
Research advances in the treatment of portal vein thrombosis and gastrointestinal bleeding in patients with liver cirrhosis
Yan SHEN, Xin CHEN, Tao WU, Lin CHEN
2022, 38(8): 1901-1905. DOI: 10.3969/j.issn.1001-5256.2022.08.036
Abstract(1178) HTML (525) PDF (1890KB)(126)
Abstract:
Portal vein thrombosis (PVT) in patients with liver cirrhosis has attracted more and more attention in recent years, and it can increase portal venous pressure in patients with liver cirrhosis, aggravate esophageal and gastric varices, and even lead to rupture and bleeding. This article reviews the advances in the epidemiology, mechanism, and treatment of PVT with gastrointestinal bleeding in patients with liver cirrhosis under different conditions in China and globally. There are still controversies over the specific treatment method for PVT with gastrointestinal bleeding and the dose and course of anticoagulants at home and abroad, and a large number of high-evidence studies are still needed to clarify the detailed treatment methods for such diseases in the future.
Research advances in nano-drug delivery system in liver cancer treatment
Miaodong WANG, Zeshan CHEN, Peichun PENG, Xin DENG
2022, 38(8): 1906-1912. DOI: 10.3969/j.issn.1001-5256.2022.08.037
Abstract(1651) HTML (553) PDF (2076KB)(140)
Abstract:
Traditional surgical resection, radiotherapy, and chemotherapy still play a dominant role in the treatment of liver cancer; however, their application in liver cancer patients is often limited by the toxic and side effects, unstable efficacy, and unclear targets of chemotherapeutic drugs. Therefore, in order to improve the efficacy of drugs in the treatment of liver cancer, nanomedicine, which has been developed in the biomedical field in recent years, has attracted more and more attention. Nano-drug delivery system has been gradually applied in clinical research for its advantages of low toxicity, wide bioavailability, controllable drug release, and good stability. This article focuses on the latest research advances in nano-drug delivery system in the treatment of liver cancer.
Current status of the research on microenvironment-targeting therapy and immunotherapy for liver cancer
Mingqiang ZHU, Youming DING
2022, 38(8): 1913-1917. DOI: 10.3969/j.issn.1001-5256.2022.08.038
Abstract(1397) HTML (472) PDF (1898KB)(144)
Abstract:
Tumor microenvironment is composed of tumor cells and their internal and external environment, and the components vary slightly between different types of tumor. Liver cancer microenvironment is a tumor-promoting microenvironment constructed by hepatoma cells and immune cells and can lead to the development, invasion, and metastasis of liver cancer by recruiting inflammatory cells, inhibiting antitumor immune response, promoting angiogenesis, and promoting drug resistance. This article discusses the characteristics of liver cancer microenvironment, the composition and role of liver cancer microenvironment, and the new advances in microenvironment-targeting therapy for liver cancer.
Role of transcription factor Yin Yang 1 in hepatocellular carcinoma
Jie ZHOU, Yunhao HUA, Xiaomei WANG, Junqi NIU
2022, 38(8): 1918-1922. DOI: 10.3969/j.issn.1001-5256.2022.08.039
Abstract(1387) HTML (825) PDF (3288KB)(87)
Abstract:
Hepatocellular carcinoma (HCC) often has an insidious onset, and most patients are in the advanced stage and have lost the best opportunity for treatment at the time of diagnosis, resulting in a poor prognosis. As a multifunctional transcription factor, Yin Yang 1 (YY1) regulates the transcription of a variety of important genes and plays a key role in various tumors. Previous studies have shown that YY1 affects many biological behaviors such as proliferation, apoptosis, migration, and angiogenesis and is closely associated with drug resistance and poor prognosis of HCC. This article reviews the research advances in the role of YY1 in the development and progression of HCC, so as to provide a theoretical basis for the treatment of HCC.
Prevention and treatment of indirect drug-induced liver toxicity
Jinsheng GUO
2022, 38(8): 1923-1926. DOI: 10.3969/j.issn.1001-5256.2022.08.040
Abstract(1160) HTML (369) PDF (1873KB)(114)
Abstract:
Indirect drug-induced liver toxicity (IDLT) refers to the condition that the use of some therapeutic drugs may induce new liver diseases or exacerbate the original liver disease, with the phenotype of underlying or predisposed liver diseases. IDLT may induce persistent liver injury or even acute liver failure and affect the pharmacotherapy for tumor or other comorbidities, leading to the suspension or termination of ongoing chemotherapy, immunotherapy, and targeted therapy, and therefore, it should be taken seriously in clinical practice. This article elaborates on the mechanisms and prevention strategies of several types of IDLT.
Research advances in the role of inflammatory response and related treatment strategies in acute-on-chronic liver failure
Huaqian XU, Xue LI, Shanhong TANG
2022, 38(8): 1927-1930. DOI: 10.3969/j.issn.1001-5256.2022.08.041
Abstract(1439) HTML (306) PDF (1872KB)(122)
Abstract:
Acute-on-chronic liver failure (ACLF) is a clinical syndrome with rapid deterioration of liver function caused by a series of predisposing factors on the basis of chronic liver diseases, and it is characterized by multiple organ failure and high short-term mortality. The onset of systemic inflammation is one of the important influencing factors for the progression of ACLF and is the body's natural defense against infection; however, the excessive release of inflammatory mediators breaks the original dynamic balance between "pro-inflammation" and "anti-inflammation", which may aggravate liver function impairment and even lead to decompensation. Therefore, the intensity of inflammatory response is closely associated with the prognosis of patients with ACLF, while at present, not enough attention has been paid to the impact of inflammatory response on patients with ACLF and the measures to deal with cytokine storm. Therefore, this article summarizes the impact of inflammatory response on ACLF and related advances in treatment, so as to provide ideas for the diagnosis and treatment of ACLF in clinical practice.
Association between glycolysis and mitochondrial dysfunction and its potential value in liver diseases
Gengjie YAN, Yong LIN, Huiji SU, Hanxiao CHEN, Shaoqun BAN, Ailing WEI, Dewen MAO, Fuli LONG
2022, 38(8): 1931-1936. DOI: 10.3969/j.issn.1001-5256.2022.08.042
Abstract(2683) HTML (2242) PDF (2522KB)(212)
Abstract:
Glycolysis plays an important role in the development and progression of liver diseases and shows varying degrees of enhancement in different liver diseases, and it is closely associated with mitochondrial dysfunction (oxidative phosphorylation deficiency and reactive oxygen species production), which helps to fill energy production deficiency caused by impaired oxidative phosphorylation. Therefore, it might be possible to search for potential new therapies for liver diseases through targeted regulation of the key factors in aerobic glycolysis, such as hexokinase 2, pyruvate kinase M2, and other regulatory pathways. From the perspective of the association between glycolysis and liver diseases, this article elaborates on the therapeutic significance and potential value of glycolysis in liver diseases, in order to provide new ideas for the diagnosis and treatment of liver diseases.
Research advances in glucose and lipid metabolism disorders in different types of chronic liver diseases
Qian WANG, Chenrui ZHANG, Yingmei TANG
2022, 38(8): 1937-1940. DOI: 10.3969/j.issn.1001-5256.2022.08.043
Abstract(1037) HTML (380) PDF (1883KB)(98)
Abstract:
The liver is an important metabolic organ in the body. Studies have shown that chronic liver disease is closely associated with glucose and lipid metabolism disorders, and different types of liver diseases often show different characteristics of glucose and lipid metabolism. This article reviews the epidemiological characteristics, disease severity, pathogenesis, and treatment methods of glucose and lipid metabolism disorders in different types of chronic liver diseases, so as to improve the awareness among clinicians.
Advances in endoscopic therapy for benign distal biliary strictures
Jinjie XU, Honglei GUO, Lianghao HU
2022, 38(8): 1941-1944. DOI: 10.3969/j.issn.1001-5256.2022.08.044
Abstract(1294) HTML (281) PDF (2029KB)(91)
Abstract:
Benign distal biliary strictures (BDBS) are fibrous tissue proliferation and biliary stricture caused by long-term stimulation of the affected bile ducts due to non-neoplastic factors such as iatrogenic injury, chronic inflammation, and bile duct stones, which further leads to recurrent cholangitis, obstructive jaundice, and liver impairment. Relieving distal biliary obstruction and maintaining bile duct patency for a long time are the core of the treatment of BDBS. With the continuous innovation of endoscopic retrograde cholangiopancreatography techniques, new techniques such as endoscopic stenosis dilatation, stent implantation, and magnetic compression anastomosis are gradually becoming effective treatment methods for BDBS. This article elaborates on the advances in endoscopic therapy for BDBS, so as to provide a reference for clinical research.
Introduction of High-quality Articles in Foreign Journals
Journal of Viral Hepatitis|Serum HBV RNA predicts HBeAg clearance and seroconversion in patients with chronic hepatitis B treated with nucleos(t)ide analogues
2022, 38(8): 1882-1882. DOI: 10.3969/j.issn.1001-5256.2022.08.gwjpwzjj1
Abstract(497) HTML (319) PDF (852KB)(90)
Abstract:
Hepatology|Macrophage-specific fibroblast growth factor 12 promotes liver fibrosis progression in mice
2022, 38(8): 1885-1885. DOI: 10.3969/j.issn.1001-5256.2022.08.gwjpwzjj2
Abstract(625) HTML (310) PDF (841KB)(86)
Abstract:
Thanks
Current reviewers
2022, 38(8): 1891-1891. DOI: 10.3969/j.issn.1001-5256.2022.08.zhixie1
Abstract(512) HTML (172) PDF (834KB)(86)
Abstract: