中文English
ISSN 1001-5256 (Print)
ISSN 2097-3497 (Online)
CN 22-1108/R

2022 No.7
Theme Issue: Research Advances in Non-Cirrhotic Portal Hypertension
Executive Chief Editor: XU Xiaoyuan  
Peking University First Hospital

Display Method:
Editorial
Current status of the clinical management of non-cirrhotic portal hypertension
Jinghang XU, Yanyan YU, Xiaoyuan XU
2022, 38(7): 1457-1459. DOI: 10.3969/j.issn.1001-5256.2022.07.001
Abstract(1409) HTML (335) PDF (1903KB)(298)
Abstract:
Non-cirrhotic portal hypertension (NCPH) is not uncommon, and its clinical management strategies are different from those for cirrhotic portal hypertension. According to pathogenesis and etiology, NCPH can be classified into prehepatic, hepatic, and posthepatic NCPH, among which hepatic NCPH can be further classified into presinusoidal, sinusoidal, and postsinusoidal NCPH. Timely diagnosis based on clinical manifestation, radiological examination, and pathology and initiation of corresponding treatment are the key to the clinical management of NCPH. However, the diseases in this group are highly heterogeneous and difficult to diagnose, and it is urgent for clinicians to improve their understanding of such diseases, so as to improve the level of clinical management.
Discussions by Experts
Research advances in the diagnosis and treatment of prehepatic noncirrhotic portal hypertension
Jiaqi YANG, Yulong SHANG, Ying HAN
2022, 38(7): 1460-1463. DOI: 10.3969/j.issn.1001-5256.2022.07.002
Abstract(1434) HTML (306) PDF (1845KB)(225)
Abstract:
Prehepatic noncirrhotic portal hypertension is a group of diseases caused by noncirrhotic factors, and currently it is believed that the etiology of these diseases is mainly associated with JAK2 mutation and blood hypercoagulability. Main clinical manifestations include variceal bleeding and splenomegaly, with normal or slightly abnormal liver function. The diagnosis of prehepatic noncirrhotic portal hypertension mainly depends on its imaging characteristics, and meanwhile cirrhotic portal hypertension should be excluded. Anticoagulant therapy and endoscopy are the major therapies for these diseases, and patients often have a good prognosis. This article systematically reviews the recent advances in prehepatic noncirrhotic portal hypertension.
Research advances in non-cirrhotic intrahepatic presinusoidal portal hypertension
Shuai XIA, Xiaoning WU, Bingqiong WANG, Zhiying HE, Hong YOU
2022, 38(7): 1464-1468. DOI: 10.3969/j.issn.1001-5256.2022.07.003
Abstract(1335) HTML (426) PDF (1852KB)(210)
Abstract:
Non-cirrhotic intrahepatic presinusoidal portal hypertension is a subtype of non-cirrhotic portal hypertension, and patients with this disease have the symptoms of portal hypertension and do not have the pathological evidence for liver cirrhosis, with normal or slightly abnormal hepatic venous pressure gradient. This disease is easily missed or misdiagnosed due to its complex etiology; therefore, radiological examination and histological examination should be combined in clinical practice to make a confirmed diagnosis, and related therapies should be initiated at the right time to reduce portal venous pressure. Further studies are needed to verify the efficacy of prophylactic anticoagulant therapy.
Research advances in post-sinusoidal non-cirrhotic portal hypertension
Huiting CHEN, Yongjian ZHOU
2022, 38(7): 1469-1473. DOI: 10.3969/j.issn.1001-5256.2022.07.004
Abstract(1442) HTML (239) PDF (1852KB)(149)
Abstract:
Portal hypertension (PH) is defined as the pathological increase in pressure in the portal venous system. The most common cause of PH is liver cirrhosis, but it is also observed in patients without liver cirrhosis, which is called non-cirrhotic portal hypertension. Non-cirrhotic portal hypertension can be classified in prehepatic, intrahepatic, and posthepatic types depending on the site of involvement, and the intrahepatic type can be further divided into presinusoidal, sinusoidal, and post-sinusoidal types. This article summarizes the features of posthepatic and post-sinusoidal portal hypertension, discusses in detail the different classifications of Budd-Chiari syndrome and hepatic sinusoidal obstruction syndrome, and briefly introduces the research advances in the clinical manifestations, pathogenesis, diagnosis, and treatment of these diseases.
Current status of the clinical management of Budd-Chiari syndrome
Cui ZHOU, Bo SHEN, Ying QU, Lungen LU
2022, 38(7): 1474-1476. DOI: 10.3969/j.issn.1001-5256.2022.07.005
Abstract(1448) HTML (283) PDF (1820KB)(192)
Abstract:
Budd-Chiari syndrome is an uncommon disease due to hepatic venous outflow obstruction, and hypercoagulability of the body is the main etiology of this disease. At present, radiological examination is commonly used to make a confirmed diagnosis, and anticoagulant therapy and angioplasty are the main treatment methods. This article summarizes the clinical manifestations, diagnosis, and treatment of Budd-Chiari syndrome.
Academic Contention
HBeAg-negative chronic HBV-infected individuals with normal alanine aminotransferase and an age of ≤30 years should be taken seriously when expanding anti-HBV treatment for chronic hepatitis B
Yanna LIU, Mingwei LI, Leijie WANG, Hong ZHAO, Shuangsuo DANG, Xiangmei CHEN, Jingmin ZHAO, Fengmin LU
2022, 38(7): 1477-1481. DOI: 10.3969/j.issn.1001-5256.2022.07.006
Abstract(1501) HTML (689) PDF (2010KB)(218)
Abstract:
  Objective  To validate and refine the recommendations in the recently published expert opinion on expanding anti-HBV treatment for chronic hepatitis B.  Methods  Adult individuals with chronic HBV infection and normal alanine aminotransferase (ALT) who underwent liver biopsy in The Fifth Medical Center of Chinese PLA General Hospital from January 2014 to October 2020 were enrolled in this single-center retrospective study, and the proportion of individuals with moderate or severe liver injury was analyzed in the population with different HBeAg status in the ≤30 years and > 30 years subgroups.  Results  A total of 290 individuals with chronic HBV infection were included, among whom 121 (41.7%) were HBeAg positive and 169 (58.3%) were HBeAg negative. The HBeAg-positive group and the HBeAg-negative group were further divided into subgroups according to age: in the HBeAg-positive group, 37 were aged ≤30 years and 84 were aged > 30 years; in the HBeAg-negative group, 24 were aged ≤30 years and 145 were aged > 30 years. There were significant differences between the four groups in age (H=151.539, P < 0.05), sex (χ2=9.959, P < 0.05), ALT (H=29.041, P < 0.05), aspartate aminotransferase (H=11.127, P < 0.05), albumin (H=23.538, P < 0.05), HBV DNA (H=187.982, P < 0.05), and HBsAg (H=132.520, P < 0.05). In both > 30 years and ≤30 years groups, nearly 50% of the patients had a moderate or higher grade of liver injury (50.22% vs 47.54%). According to HBeAg status and age, the patients were further divided into HBeAg-positive ≤30 years group with 37 patients, HBeAg-positive > 30 years group with 84 patients, HBeAg-negative ≤30 years group with 24 patients, and HBeAg-negative > 30 years group with 145 patients. In the HBeAg-positive group, there was no significant difference in the proportion of patients with a moderate or higher grade of liver injury between the patients aged > 30 years and those aged ≤30 years (42.9% vs 37.8%, P=0.605), and there was also no significant difference in such proportion between the HBeAg-negative ≤30 years group and the HBeAg-negative/positive > 30 years groups (62.5% vs 54.5%, P=0.464). In the cohort for which a decision could not be made based on noninvasive indices (269 patients with liver stiffness measurement < 9.0 kPa or without the data of liver stiffness measurement but with fibrosis-4 < 3.25), there was no significant difference in the proportion of patients with a moderate or higher grade of liver injury between the HBeAg-negative ≤30 years group and the HBeAg-negative/positive > 30 years groups (59.1% vs 50.7% and 59.1% vs 41.8%, P=0.468 and 0.149).  Conclusion  HBeAg-negative chronic HBV-infected individuals with an age of ≤30 years should be taken into consideration when expanding anti-HBV treatment for chronic hepatitis B. If conditions permit, the revised flow chart for the initiation of anti-HBV treatment based on this study can be applied to further improve the precision of individualized anti-HBV treatment.
Original Articles_Viral Hepatitis
Value of lactate level in predicting the short-term prognosis of patients with acute-on-chronic hepatitis B liver failure
Shuo YANG, Kun LIU, Lan YANG, Ling XU, Xiaobo LU, Xiaofeng SUN, MALIPATI Elkenjiang
2022, 38(7): 1482-1488. DOI: 10.3969/j.issn.1001-5256.2022.07.007
Abstract(1361) HTML (484) PDF (2603KB)(142)
Abstract:
  Objective  To investigate the value of lactate in predicting the 90-day prognosis of patients with hepatitis B virus-related acute-on-chronic liver failure (HBV-ACLF).  Methods  A retrospective analysis was performed for 117 patients with HBV-ACLF who were admitted to Center for Infectious Diseases-Hepatology, The First Affiliated Hospital of Xinjiang Medical University, from January 2017 to June 2021, and according to the results of 90-day follow-up, they were divided into survival group with 43 patients and death group with 74 patients. Related clinical data were collected, including routine blood test results, hepatic and renal function, coagulation function, arterial blood gas parameters, and complications such as hepatic encephalopathy within 24 hours after the diagnosis of HBV-ACLF in our hospital, and albumin-bilirubin (ALBI), Model for End-Stage Liver Disease (MELD), MELD combined with serum sodium concentration (MELD-Na), MELD to SNa ratio (MESO), integrated MELD (iMELD), and CLIF-C ACLF scores were calculated. The t-test was used for comparison of normally distributed continuous data between groups, and the Mann-Whitney U test was used for comparison of non-normally distributed continuous data between groups; the chi-square test was used for comparison of categorical data between groups. A binary logistic regression analysis was used to investigate whether lactate was an independent risk factor for the 90-d prognosis of HBV-ACLF patients, and a Pearson correlation analysis was used to investigate the correlation of lactate with infection and clinical complications. The receiver operating characteristic (ROC) curve was plotted to analyze whether lactate, in combination with each score, can improve the predictive value of the existing model, and the Z test was used for pairwise comparison.  Results  Compared with the survival group, the death group had significantly higher white blood cell count, international normalized ratio (INR), and lactate and a significantly lower level of Na (Z=-2.813, -2.855, and -3.186, and -2.044, all P < 0.05), as well as significantly higher age and MELD, MELD-Na, MESO, iMELD, and CLIF-C ACLF scores (t=2.536, 4.615, 4.247, 4.941, 5.832, and 7.562, all P < 0.05). The logistic regression analysis showed that age (odds ratio [OR]=1.075, 95% confidence interval [CI]: 1.026-1.127, P=0.002), INR (OR=2.198, 95%CI: 1.149-4.203, P=0.017), and lactate (OR=1.431, 95%CI: 1.002-2.044, P=0.049) were independent risk factors for the 90-day prognosis of patients with HBV-ACLF, and there was an increase in the area under the ROC curve after lactate was included in the existing models.  Conclusion  Lactate is an independent risk factor for the 90-day prognosis of patients with HBV-ACLF, and its inclusion in existing models may improve predictive value.
Changes and clinical significance of natural killer-like B cells, natural killer cells, and B cells in peripheral blood of patients with hepatitis B virus infection
Xiaofei YANG, Huanjun SHEN, Gaobo HUANG, Jianqi LIAN, Ye ZHANG
2022, 38(7): 1489-1494. DOI: 10.3969/j.issn.1001-5256.2022.07.008
Abstract(1302) HTML (348) PDF (2862KB)(113)
Abstract:
  Objective  To investigate the changes of natural killer-like B (NKB) cells, natural killer (NK) cells, and B cells and their correlation with clinical indices in patients with hepatitis B virus (HBV) infection.  Methods  A total of 15 patients with acute hepatitis B (AHB), 30 patients with chronic hepatitis B (CHB), 29 asymptomatic HBV carriers (ASCs), and 12 controls who attended Tangdu Hospital from January 2017 and December 2018 were enrolled. Peripheral blood samples were collected, and plasma and peripheral blood mononuclear cells (PBMCs) were isolated. ELISA was used to measure the plasma levels of interleukin-18 (IL-18) and interferon-γ (IFNγ), and enzyme-linked immunospot assay was used to measure the level of IFNγ secreted by HBV-specific CD8+ T cells; flow cytometry was used to measure the percentages of CD3-CD19+CD56+CD16+ NKB cells, different NK cell subsets (including CD3-CD19-CD56highCD16- NK cells, CD3-CD19-CD56+CD16+ NK cells, and CD3-CD19-CD56-CD16+ NK cells), and their correlation with viral replication and liver inflammation markers was analyzed. A one-way analysis of variance was used for comparison of normally distributed continuous data between multiple groups, and the least significant difference t-test was used for further comparison between two groups; non-normally distributed continuous data were expressed as M(P25-P75), and the Kruskal-Wallis H test was used for comparison between multiple groups; the Pearson correlation test was used for correlation analysis.  Results  There was a significant difference in the percentage of CD3-CD19+CD16+CD56+ NKB cells between the AHB patients, CHB patients, ASCs, and controls (F = 16.42, P < 0.000 1), and the CHB patients had a significantly lower percentage of NKB cells than the AHB patients, ASCs, and controls (0.79%±0.13% vs 0.94%±0.15%/1.02%±0.12%/1.11%±0.27%, all P < 0.001). There was a significant difference in plasma IL-18 level between the AHB patients, CHB patients, ASCs, and controls (F = 5.733, P = 0.001); the CHB patients had a significantly lower IL-18 level than the AHB patients and the controls (259.30±70.09 pg/mL vs 336.00±103.00 pg/mL and 319.30±64.80 pg/mL, both P < 0.05), and ASCs had a significantly lower IL-18 level (258.60±59.82 pg/mL) than the AHB patients and the controls (both P < 0.01), while there was no significant difference in plasma IL-18 level between the CHB patients and ASCs (P = 0.965). There were no significant differences in the percentage of CD3-CD19-CD56highCD16- NK cells, CD3-CD19-CD56+CD16+ NK cells, CD3-CD19-CD56-CD16+ NK cells, and B cells between the four groups (all P > 0.05). The CHB patients had a significantly lower plasma IFNγ level than the AHB patients, ASCs, and controls (all P < 0.01). The percentage of NKB cells and the level of IL-18 were not significantly correlated with HBV DNA quantification or alanine aminotransferase level (all P > 0.05). In the CHB patients, the percentage of NKB cells was positively correlated with plasma IL-18 level (r = 0.432, P = 0.017) and the level of IFNγ secreted by HBV-specific CD8+ T cells (r =0.493, P=0.006).  Conclusion  NKB cells and IL-18 might be involved in the chronicity of HBV infection and is associated with the natural history of chronic HBV infection.
Mechanism of astragaloside Ⅳ inhibits hepatitis B virus replication by regulating host ribosome translation process
Kai CHANG, Yanyan WANG, Wanlin NA, Chenxia LIU, Yusheng YE, Zhongyong JIANG, Yuan LIU
2022, 38(7): 1495-1502. DOI: 10.3969/j.issn.1001-5256.2022.07.009
Abstract(1297) HTML (329) PDF (4201KB)(85)
Abstract:
  Objective  To investigate the host regulatory mechanism of astragaloside Ⅳ in inhibiting hepatitis B virus (HBV) replication.  Methods  Normal human hepatocytes L-02 were treated with different concentrations of astragaloside Ⅳ, and according to the concentration of astragaloside Ⅳ, the cells were divided into 0, 5, 10, and 20 μg/mL groups. CCK-8 assay was used to measure cell viability, flow cytometry was used to measure cell apoptosis, and chemiluminescence and biochemical methods were used to measure the levels of alpha-fetoprotein (AFP), alanine aminotransferase (ALT), aspartate aminotransferase (AST), and alkaline phosphatase (ALP), so as to evaluate the influence of astragaloside Ⅳ on normal cells. Hepatoma cells Hep3B carrying HBV were treated with astragaloside Ⅳ; quantitative PCR was used to measure the mRNA expression levels of HBV DNA, pgRNA, MTIF2, and RPL10, and ELISA was used to measure the levels of HBsAg and HBeAg, so as to evaluate the effect of astragaloside Ⅳ on HBV replication. TCGA and GEO databases combined with R language package were used to analyze the prognostic effect of RPL10 and MTIF2 in clinical samples. The Kaplan-Meier method was used for survival analysis, and the log-rank test was used for comparison of survival between two or multiple groups; the time-dependent ROC curve analysis was performed to compare the predictive accuracy and risk score of RPL10 and MTIF2 genes. A one-way analysis of variance was used for comparison of continuous data between multiple groups and within each group at different time points, and the Bonferroni method was used for further comparison between two groups.  Results  Compared with the untreated group, the 20 μg/mL group had a significant increase in cell growth activity at 24 and 48 hours of treatment (both P < 0.05); compared with the 10 μg/mL group, the 20 μg/mL group had a significant increase in cell growth activity at 72 hours of treatment (P < 0.05); compared with the untreated group, the 5 μg/mL group had a significant increase in cell growth activity at 72 hours of treatment (P < 0.05). Compared with the untreated group, the 5, 10, and 20 μg/mL groups had a significant increase in AFP (all P < 0.05); compared with the untreated group and the 5 μg/mL group, the 10 and 20 μg/mL groups had a significant reduction in ALT (all P < 0.05), and compared with the 10 μg/mL group, the 20 μg/mL group had a significant reduction in ALT (P < 0.05). Compared with the untreated group, the 5, 10, and 20 μg/mL groups had a significant increase in AST (all P < 0.05). There were significant differences in the levels of HBV DNA, pgRNA, HBsAg, HBeAg, RPL10, and MTIF2 between the 5/10/20 μg/mL groups and the untreated group (all P < 0.05). The bioinformatics analysis showed that among the liver cancer patients with HBV infection, the patients with high mRNA expression levels of RPL10 and MTIF2 genes tended to have a poor prognosis, while this phenomenon was not observed in liver cancer patients without HBV infection.  Conclusion  Astragaloside Ⅳ can inhibit the translation initiation factor MTIF2 and the large ribosomal subunit RPL10 and reduce HBV replication by regulating the initiation of host ribosome translation.
Mechanism of Lingmao Formula in treatment of chronic hepatitis B based on network pharmacology and animal experiment
Lijie MA, Xiaojun ZHU, Jiacheng LIN, Fang WANG, Xuehua SUN, Yueqiu GAO
2022, 38(7): 1503-1508. DOI: 10.3969/j.issn.1001-5256.2022.07.010
Abstract(1255) HTML (306) PDF (3685KB)(107)
Abstract:
  Objective  To investigate the association between Lingmao Formula and type Ⅰ interferon in the treatment of chronic hepatitis B.  Methods  TCMSP database was used to obtain the main active components of Lingmao Formula; Genecards database was used to obtain the targets of Lingmao Formula and chronic hepatitis B; Bioinformatics was used to obtain the intersection of drug targets and disease targets, plot Venn diagram, and perform GO enrichment analysis, and DAVID 6.8 was used for KEGG enrichment analysis; CytoScape 3.8.0 was used to obtain immune response-related pathways. A total of 30 specific pathogen-free male C57BL/6N mice were randomly divided into normal group, model group, and Lingmao Formula group, with 10 mice in each group. All mice except those in the normal group were used to establish a model of HBV replication in vivo by hydrodynamic transfection; the mice in Lingmao Formula group were given Lingmao Formula by gavage, twice a day for 3 days, and those in the model group and the normal group were given an equal volume of normal saline by gavage. Serum samples were collected after the experiment ended and ELISA was used to measure the changes in the levels of HBsAg, HBeAg, and type Ⅰ interferon. The independent samples t-test was used for comparison of continuous data between two groups, and one-way ANOVA combined with the least significant difference t-test was used for multiple comparisons between groups.  Results  Network pharmacology obtained 22 active components and 6059 action targets of Lingmao Formula, 481 targets associated with chronic hepatitis, and 387 drug-disease intersecting targets and proposed the hypothesis that Lingmao Formula participated in hepatitis B-related immune response by regulating type Ⅰ interferon. Animal experiments confirmed that compared with the model group, the Lingmao Formula group had significant reductions in HBsAg (t=2.227, P=0.043) and HBeAg (t=2.488, P=0.026), with significantly greater reductions in HBsAg (t=-4.603, P < 0.001) and HBeAg (t=-2.224, P=0.043); compared with the normal group, the model group had no significant changes in the levels of IFNα and IFNβ (P > 0.05), and the Lingmao Formula group had significant increases in the levels of IFNα and IFNβ (P < 0.001); compared with the model group, the Lingmao Formula group also had significant increases in the levels of IFNα and IFNβ (P < 0.001).  Conclusion  Lingmao Formula exerts an anti-HBV effect by regulating the secretion of type Ⅰ interferon.
Analysis of the results of hepatitis C antibody screening in 2020 in Yanbian area of China
Yang ZHOU, Chaoxu FU, Min ZHOU, Lei XU, Mingyang LI, Yingsheng SHEN, Hongxin PIAO, Enyue YANG
2022, 38(7): 1509-1512. DOI: 10.3969/j.issn.1001-5256.2022.07.011
Abstract(1024) HTML (359) PDF (1850KB)(79)
Abstract:
  Objective  To investigate the influencing factors for hepatitis C antibody and the preventive effect of hepatitis C in Yanbian Prefecture of China in the recent 7 years.  Methods  A total of 1184 residents in Yanbian were randomly selected in 2020, peripheral blood samples were collected, and the colloidal gold method was used to detect hepatitis C antibody. The positive rate of hepatitis C antibody in 2020 was compared with the data in 2013. The chi-square test or the Fisher's exact test was used for comparison of categorical data between groups, and then pairwise comparison was performed.  Results  The positive rate of hepatitis C antibody in Yanbian residents screened in 2020 was significantly lower than that in 2013 (6.42% vs 10.60%, χ2=11.212, P=0.001). The Fisher's exact test (2×C) was performed for the positive rate of hepatitis C antibody between different age groups in 2020, and the results showed that there was a significant difference between the 5 age groups (χ2=29.478, P < 0.001). Pairwise comparison after Bonferroni adjustment showed that there was a significant difference between the≥60 years group and the 50-59 years group, between the≥60 years group and the 40-49 years group, and between the≥60 years group and the 30-39 years group (χ2=11.268, 14.804, and 9.293, all P < 0.01), while there was no significant difference between the other groups (P > 0.01). The Chinese Korean population had a significantly higher positive rate of antibody than the non-Chinese Korean population (10.45% vs 5.50%, χ2=7.236, P=0.007). As for the farmers, the positive rate of hepatitis C antibody in 2020 was significantly lower than that in 2013 (7.16% vs 19.74%, χ2=36.604, P < 0.001). The positive rate of hepatitis C antibody in rural areas was significantly higher than that in urban areas (7.33% vs 4.26%, χ2=3.882, P=0.049).  Conclusion  The positive rate of hepatitis C antibody is mainly associated with age, nationality, occupation, and region. There is a reduction in the positive rate of hepatitis C antibody in Yanbian in the recent 7 years, suggesting that Yanbian Prefecture has achieved a marked effect in the prevention and treatment of hepatitis C.
Original Articles_Fatty Liver Diseases
Mechanism of action of Eupolyphaga steleophaga in improving nonalcoholic steatohepatitis by regulating syndecan 3
Guangyue YANG, Le TAO, Wei ZHANG, Xuling LIU, Wenting MA, Liu WU, Tiantian SUN, Hao JIANG, Cheng LIU
2022, 38(7): 1513-1520. DOI: 10.3969/j.issn.1001-5256.2022.07.012
Abstract(1196) HTML (384) PDF (5504KB)(80)
Abstract:
  Objective  To investigate the effect of Eupolyphaga steleophaga on nonalcoholic steatohepatitis induced by choline-deficient L-amino acid-defined diet (CDAA) and its mechanism by regulating syndecan 3.  Methods  A total of 18 male C57BL/6 mice were randomly divided into choline-sufficient L-amino acid-defined diet (CSAA) group, CDAA group, and CDAA+Eupolyphaga steleophaga group (CDAA+T group). Since week 12 of modeling, the mice in the CDAA+T group were fed with Eupolyphaga steleophaga 0.108 g/kg (10 times that the dose for adults) by gavage, and those in the CSAA and CDAA groups were given an equal volume of normal saline by gavage. Serum and liver tissue samples were collected at the end of week 18 to measure liver function, total cholesterol (TC), and triglyceride (TG) and observe liver pathology. Quantitative real-time PCR was used to measure the mRNA expression levels of transforming growth factor β (TGFβ), α-smooth muscle actin (α-SMA), collagen type Ⅰ α1 (Col1α1), and SDC3; the mRNA expression of SDC3 was measured in human and mouse primary hepatocytes, hepatic stellate cells (HSCs), liver sinusoidal endothelial cells (LSECs), and Kupffer cells (KCs), and SDC3 was silenced by si-RNA to investigate the role of SDC3 in HSC activation. Western blotting was used to measure the protein expression of SDC3. A one-way analysis of variance was used for comparison of continuous data between multiple groups, and the SNK test or the least significant difference t-test was used for further comparison between two groups.  Results  Compared with the CSAA group, the CDAA group had significant increases in liver function parameters [alanine aminotransferase (ALT) and aspartate aminotransferase (AST)] and the levels of TC and TG in serum and the liver (all P < 0.05), and compared with the CDAA group, the CDAA+T group had significant reductions in the serum levels of ALT, AST, TC, and TG (all P < 0.05). HE staining showed that the CDAA group had marked hepatocyte steatosis and increased inflammatory cell infiltration, and the CDAA+T group had alleviated inflammatory cell infiltration; Sirius Red staining showed a significant increase in collagen hyperplasia in the CDAA group and a significant reduction in collagen hyperplasia in the CDAA+T group; oil red staining showed marked fat deposition in the CDAA group and a reduction in fat deposition in the CDAA+T group. Compared with the CDAA group, the CDAA+T group had significant reductions in the mRNA expression levels of TGFβ, SDC3, α-SMA, and COL1α1 and the protein expression levels of SDC3 and α-SMA. Immunohistochemistry showed a very low expression level of SDC3 in the CSAA group and a significant increase in the expression of SDC3 in the CDAA group, mainly in the interstitial cells, and there was a significant reduction after Eupolyphaga steleophaga intervention (all P < 0.05). PCR results showed the highest expression of SDC3 in HSCs of human and mouse liver (all P < 0.001). LX2 cells were cultured in vitro, and Eupolyphaga steleophaga treatment significantly reduced the upregulation of α-SMA and Col1α1 induced by TGFβ, while after SDC3 gene silencing, Eupolyphaga steleophaga did not inhibit the increases in α-SMA and Col1α1 (all P < 0.05).  Conclusion  Eupolyphaga steleophaga can significantly improve nonalcoholic steatohepatitis induced by CDAA, possibly by regulating the expression of SDC3 in HSCs.
Original Articles_Autoimmune Liver Diseases
Features and prognosis of Hashimoto's thyroiditis in patients with primary biliary cholangitis
Jingyi ZHANG, Yingmei. TANG
2022, 38(7): 1521-1528. DOI: 10.3969/j.issn.1001-5256.2022.07.013
Abstract(1429) HTML (384) PDF (1892KB)(105)
Abstract:
  Objective  To investigate the clinical features, related factors, and prognosis of Hashimoto's thyroiditis (HT) in patients with primary biliary cholangitis (PBC).  Methods  A retrospective analysis was performed for the patients who were diagnosed with PBC in The Second Affiliated Hospital of Kunming Medical University from January 2018 to December 2020, among whom 301 patients underwent thyroid function tests and had complete clinical data. According to the involvement of thyroid disease, they were divided into HT group with 83 patients and non-HT group with 88 patients. The two groups were compared in terms of general data, clinical features, and laboratory examination, and the factors and prognostic features of HT in patients with PBC were analyzed. The independent samples t-test or the Mann-Whitney U test was used for comparison of continuous data between two groups, and the chi-square test and the Bonferroni correction test were used for comparison of categorical data between two group; a Spearman correlation analysis was used to investigate correlation, and a binary logistic regression analysis or multiple linear regression analysis was used for multivariate analysis.  Results  The patients with PBC often had extrahepatic autoimmune diseases, and the prevalence rate of HT was 27.6%. Compared with the non-HT group, the HT group had significantly higher number of female patients (χ2=9.547, P < 0.05), Child-Pugh score (Z=-3.100, P < 0.05), and levels of IgA (Z=-1.992, P < 0.05), interleukin-6 (IL-6) (Z=-1.969, P < 0.05), thyroglobulin antibody (TgAb) (Z=-9.612, P < 0.05), and thyroid peroxidase antibody (TPOAb) (Z=-9.739, P < 0.05), significantly higher incidence rates of liver cirrhosis (χ2=8.807, P < 0.05), weakness (χ2=4.951, P < 0.05), poor appetite (χ2=6.636, P < 0.05), and abdominal distension (χ2=7.977, P < 0.05), and significantly lower levels of total cholesterol (Z=-2.743, P < 0.05), total triglyceride (Z=-2.332, P < 0.05), low-density lipoprotein(Z=-2.604, P < 0.05), and C3 (t=5.063, P < 0.05). Increases in Child-Pugh score (odds ratio [OR]=1.486, 95% confidence interval [CI]: 1.06-2.083, P < 0.05), TgAb (OR=1.032, 95%CI: 1.012-1.052, P < 0.05), and TPOAb (OR=1.007, 95%CI: 1.002-1.012, P < 0.05) were independent risk factors for the development of HT in PBC patients. Old age (t=9.147, P < 0.05), no response to UDCA treatment (t=-2.727, P < 0.05), increases in AST, ALP, total bilirubin, IgA, and IL-6 (t=2.121, 2.446, 10.114, 4.162, and 2.033, P < 0.05), reductions in total protein, high-density lipoprotein, C3, and C4 (t=-3.384, -3.887, -2.440, and -2.422, P < 0.05), comorbidities hepatic encephalopathy and ascites (t=3.685 and 6.744, P < 0.05), and positive gp210 antibodies (t=3.125, P < 0.05) were independent risk factors for the increase in Mayo risk score, which suggested a poor prognosis. PBC with HT (t=-0.077, P > 0.05) was not an independent risk factor for the increase in Mayo risk score and did not affect the prognosis of patients.  Conclusion  Patients with PBC often have extrahepatic autoimmune diseases, among which thyroid diseases are the most common disease, especially autoimmune thyroiditis, and the patients with PBC and HT have more complications and clinical symptoms. Progression of liver disease and increases in the thyroid-associated antibodies TgAb and TPOAb are independent risk factors for the development of HT, but comorbidity of HT does not affect the prognosis of patients with PBC.
Original Articles_Liver Fibrosis and Liver Cirrhosis
Application value of liver stiffness measurement-to-platelet ratio index score in diagnosis of hepatitis B liver fibrosis and liver cirrhosis
Jialing ZHOU, Bingqiong WANG, Yameng SUN, Tongtong MENG, Shanshan WU, Hong MA, Xiaojuan OU, Hong YOU, Jidong JIA, Xiaoning WU
2022, 38(7): 1529-1533. DOI: 10.3969/j.issn.1001-5256.2022.07.014
Abstract(1353) HTML (285) PDF (2320KB)(127)
Abstract:
  Objective  To investigate the diagnostic value of liver stiffness measurement-to-platelet ratio index (LPRI) score in previously untreated patients with hepatitis B liver fibrosis/liver cirrhosis, since the evaluation of liver fibrosis degree has great significance in guiding the treatment of chronic hepatitis B patients and predicting their prognosis.  Methods  A total of 276 chronic hepatitis B patients who were diagnosed by liver biopsy from June 2013 to September 2015 were selected from the hepatitis B study cohort of Beijing Friendship Hospital, Capital Medical University. LPRI score was calculated based on liver stiffness measurement (LSM) and platelet, and the value of LPRI score in the diagnosis of liver fibrosis and liver cirrhosis in hepatitis B patients was evaluated with liver pathology as the gold standard. The Kruskal-Wallis H test was used for comparison of non-normally distributed continuous data between multiple groups, and the chi-square test was used for comparison of categorical data between groups. A Spearman correlation analysis was used to investigate the correlation between each diagnostic model and liver biopsy, and the DeLong test was used to compare the area under the ROC curve (AUC) and diagnostic performance of several noninvasive diagnostic models, i.e., LPRI, LSM, aspartate aminotransferase-to-platelet ratio index (APRI), and fibrosis-4 (FIB-4). The Bootstrap method was used for the internal validation of the value of LPRI score in the diagnosis of liver fibrosis/cirrhosis.  Results  According to the stage of liver fibrosis, the patients were divided into F0/1 group with 63 patients, F2/3 group with 118 patients, and F4 group with 95 patients, and there were significant differences in albumin, total bilirubin, platelet count, LSM, alpha-fetoprotein, and HBV DNA between the three groups (all P < 0.05). LPRI score was significantly correlated with liver biopsy (r=0.501, P < 0.001); LPRI score had an AUC of 0.88 (95% confidence interval [CI]: 0.83-0.91) in the diagnosis of liver fibrosis and an AUC of 0.79 (95% CI: 0.73-0.83) in the diagnosis of liver cirrhosis, suggesting that the diagnostic performance of LPRI score for significant liver fibrosis was better than that for liver cirrhosis. LPRI had a better diagnostic performance than APRI and FIB-4 (both P < 0.05), and in combination with LSM, LPRI score further supplemented the sensitivity of LSM in the diagnosis of liver cirrhosis, with an increase from 53% to 82%. The cut-off values of LPRI score recommended by Youden index were 6.1 (with a sensitivity of 71% and a specificity of 92%) for significant liver fibrosis and 6.9 (with a sensitivity of 81% and a specificity of 66%) for liver cirrhosis.  Conclusion  As a simple and convenient noninvasive diagnostic index for liver fibrosis, LPRI score has a certain application value in the diagnosis and staging of liver fibrosis and liver cirrhosis in chronic hepatitis B patients.
Effect of anti-liver fibrosis traditional Chinese medicine therapy on the prognosis of patients with liver cirrhosis and superior mesenteric venous thrombosis
Ying FENG, Ke SHI, Xiaohua ZHANG, Li YANG, Xianbo. WANG
2022, 38(7): 1534-1539. DOI: 10.3969/j.issn.1001-5256.2022.07.015
Abstract(1203) HTML (358) PDF (2481KB)(80)
Abstract:
  Objective  To investigate the effect of anti-liver fibrosis traditional Chinese medicine (TCM) therapy on the prognosis of patients with liver cirrhosis and superior mesenteric venous thrombosis (SMVT).  Methods  A retrospective analysis was performed for the clinical data of 231 patients with liver cirrhosis and SMVT who were hospitalized and treated in Beijing Ditan Hospital, Capital Medical University, from January 2017 to June 2020, and the patients were divided into TCM group with 114 patients and control group with 117 patients. In addition to the conventional treatment regimen for primary diseases, antithrombotic indications were fully evaluated, and standard antithrombotic treatment was applied if necessary; the patients in the TCM group were given anti-liver fibrosis TCM therapy for ≥6 months. The independent samples t-test was used for comparison of normally distributed continuous data between two groups, and the Mann-Whitney U test was used for comparison of non-normally distributed continuous data between two groups; the chi-square test was used for comparison of categorical data between two groups. The Cox regression model was used to analyze the independent influencing factors for prognosis; outcome events (death) were observed, the Kaplan-Meier method was used to plot survival curves, and the log-rank test was used for comparison; a stratified analysis based on Child score was performed to investigate the effect of anti-liver fibrosis TCM therapy on the prognosis of patients with different liver function grades and the effect of different anti-liver fibrosis TCM drugs on the prognosis of patients.  Results  The multivariate analysis showed that age (hazard ratio [HR]=1.039, 95% confidence interval [CI]: 1.001-1.078, P=0.041) and C-reactive protein (CRP) (HR=1.025, 95%CI: 1.009-1.041, P=0.003) were independent risk factors for death, while oral administration of anti-liver fibrosis TCM drugs was a protective factor (HR=0.148, 95%CI: 0.051-0.429, P=0.001). The survival curve analysis showed that the TCM group had a significantly higher survival rate than the control group (95.6% vs 81.2%, χ2=17.032, P < 0.0001), and further analysis showed that compared with the control group, the TCM group had significantly higher survival rates of the patients with Child-Pugh grade A/B liver function (Child-Pugh grade A: 100% vs 66.7%, χ2=4.003, P=0.045; Child-Pugh grade B: 96.7% vs 85.1%, χ2=10.788, P=0.002). There was no significant difference in the effect on the prognosis of patients between the three anti-liver fibrosis TCM drugs (P > 0.05).  Conclusion  Age and CRP are independent influencing factors for the prognosis of patients with liver cirrhosis and SMVT, and anti-liver fibrosis TCM therapy can reduce the mortality rate of patients, especially in the patients with Child-Pugh grade A/B liver function.
Cultured mycelia of Cordyceps sinensis exerts a protective effect on a mouse model of liver fibrosis by inhibiting the Toll-like receptor 4/nuclear transcription factor-κB signaling pathway and angiopoietin-like protein 4
Linzhang ZHANG, Dingqi ZHANG, Ying XU, Hailin YANG, Shenglan QI, Congcong ZHANG, Jiamei CHEN, Ping LIU, Wei LIU
2022, 38(7): 1540-1547. DOI: 10.3969/j.issn.1001-5256.2022.07.016
Abstract(1360) HTML (380) PDF (6282KB)(75)
Abstract:
  Objective  To investigate the interventional effect of cultured mycelia of Cordyceps sinensis on a mouse model of CCl4-induced liver fibrosis and its effect on the Toll-like receptor 4 (TLR4)/nuclear transcription factor-κB (NF-κB) pathway and angiopoietin-like protein 4 (ANGPTL4).  Methods  A total of 60 specific pathogen-free male C57/BL6J mice were randomly divided into normal group, model group, Fuzheng Huayu group, and low-, middle-, and high-dose Cordyceps sinensis groups, with 10 mice in each group. The mice in the model group and each medication group were intraperitoneally injected with 15% CCl4-olive oil for 6 weeks of modeling, and drug intervention was started on the first day of week 4 and lasted for 3 consecutive weeks. Blood biochemistry was used to measure the serum level or activity of alanine aminotransferase (ALT), aspartate aminotransferase (AST), and total bilirubin (TBil); HE and SR staining was used to observe liver histopathology; alkaline hydrolysis was used to measure the content of hydroxyproline (HYP) in liver tissue; PCR was used to measure the mRNA expression of alpha-smooth muscle actin (α-SMA) and collagen type Ⅰ (Col-Ⅰ), immunohistochemistry was used to measure the protein expression of α-SMA, Col-Ⅰ, and ANGPTL4 in liver tissue, and Western blot (WB) was used to measure the protein expression of α-SMA, ANGPTL4, TLR4, NF-κB/phosphorylated NF-κB (P-NF-κB), and CD163. A one-way analysis of variance was used for comparison of continuous data between multiple groups, and the LSD-t test was used for further comparison between two groups.  Results  Compared with the normal group, the model group had significant increases in the serum levels of ALT, AST, and TBil (all P < 0.01), and compared with the model group, the high-dose Cordyceps sinensis group had a significant improvement in the degree of liver fibrosis and significant reductions in the serum levels of ALT, AST, and TBil (all P < 0.05). HE staining revealed that the high-dose Cordyceps sinensis group had a significant reduction in inflammatory cell infiltration in liver tissue, and SR staining showed that high-dose Cordyceps sinensis significantly alleviated collagen deposition in the liver tissue. Compared with the normal group, the model group had significant increases in HYP content and Sirius red-positive area ratio in liver tissue (both P < 0.01), and compared with the model group, the high-dose Cordyceps sinensis group had significant reductions in HYP content and Sirius red-positive area ratio (both P < 0.05). Compared with the normal group based on the results of immunohistochemistry, PCR, and WB, the model group had significant increases in the mRNA and protein expression levels of α-SMA and Col-Ⅰ in liver tissue (all P < 0.01), and compared with the model group, the high-dose Cordyceps sinensis group had significant reductions in the expression levels of α-SMA and Col-Ⅰ(P < 0.05). Compared with the normal group, the model group had significant increases in the protein expression of ANGPTL4, TLR4, P-NF-κB/NF-κB, and CD163 in liver tissue (all P < 0.01), and compared with the model group, the high-dose Cordyceps sinensis group had significant reductions in the protein expression of ANGPTL4, TLR4, P-NF-κB/NF-κB, and CD163 in liver tissue (all P < 0.05).  Conclusion  Cordyceps sinensis mycelia have a marked therapeutic effect on CCl4-induced liver fibrosis in mice, possibly by regulating the TLR4/NF-κB signaling pathway and inhibiting ANGPTL4 expression in liver tissue.
Influence of type 2 diabetes mellitus and fasting insulin level on the risk of spontaneous peritonitis in patients with cirrhotic ascites
Xue WU, Yilian ZHANG, Ping LI, Yuqiang MI
2022, 38(7): 1548-1553. DOI: 10.3969/j.issn.1001-5256.2022.07.017
Abstract(1141) HTML (318) PDF (2419KB)(76)
Abstract:
  Objective  To investigate the predictive factors for spontaneous bacterial peritonitis (SBP) in patients with decompensated cirrhotic ascites and the influence of type 2 diabetes mellitus (T2DM) and fasting insulin level on the risk of SBP.  Methods  A retrospective analysis was performed for the clinical data of patients who were diagnosed with liver cirrhosis and ascites in Tianjin Second People's Hospital from January 2013 to October 2018, and the patients were followed up for 1 year to record the onset time of SBP and the ending time of follow-up. Related data were obtained by searching the patients' medical records. The t-test or the Mann-Whitney U test was used for comparison of continuous data between two groups, and the chi-square test or the Wilcoxon test was used for comparison of categorical data between two groups; a Cox regression analysis was used to investigate the factors for SBP in patients with cirrhotic ascites. The Kaplan-Meier method was used to plot survival curves, the log-rank test was used for survival difference analysis, and the receiver operating characteristic (ROC) curve was used to calculate the optimal cut-off value of fasting insulin.  Results  A total of 268 patients with cirrhotic ascites were enrolled, among whom 98 (36.6%) developed SBP. T2DM at baseline (hazard ratio [HR]=2.848, 95% confidence interval [CI]: 1.470-4.195, P < 0.05), baseline total bilirubin (TBil) (HR=1.004, 95%CI: 1.001-1.007, P < 0.05), and baseline percentage of neutrophils (N%) (HR=1.032, 95%CI: 1.010-1.055, P < 0.05) were independent predictive factors for SBP within 1 year. The Kaplan-Meier survival curve analysis showed that the patients with T2DM had a significantly higher 1-year cumulative incidence rate of SBP than those without T2DM (χ2=16.821, P < 0.05). Of all 268 patients, 88 (32.8%) had T2DM, and baseline fasting insulin ≥20.49 μU/mL (HR=2.757, 95%CI: 1.499-5.071, P < 0.05) significantly increased the risk of SBP. The Kaplan-Meier survival curve analysis showed that the fasting insulin ≥20.49 μU/mL group had a significantly higher risk of SBP within 1 year than the < 20.49 μU/mL group (χ2=13.297, P < 0.05).  Conclusion  The onset of SBP should be considered when patients with cirrhotic ascites have unexplained increases in TBil and N% or have T2DM or fasting insulin ≥20.49 μU/mL, and intervention measures can be adopted when necessary to delay disease progression and improve prognosis.
Value of ultrasonic shear-wave dispersion imaging in diagnosis of high-risk esophageal and gastric varices in compensated cirrhosis
Jiayin WANG, Hongyu ZHOU, Tinghong LI, Lei ZHAO, Baiguo XU, Weili YIN, Fang WANG, Jing LIANG, Xiang JING, Huiling XIANG
2022, 38(7): 1554-1560. DOI: 10.3969/j.issn.1001-5256.2022.07.018
Abstract(1255) HTML (576) PDF (2530KB)(95)
Abstract:
  Objective  To investigate the clinical value of Canon two-dimensional ultrasound shear wave elastography (SWE) and shear wave dispersion (SWD) in the diagnosis of high-risk esophageal and gastric varices in compensated cirrhosis.  Methods  A total of 58 patients with compensated cirrhosis of various etiologies who received electronic gastroscopy in Tianjin Third Central Hospital from February 2020 to February 2021, and Canon Aplio i800 color ultrasound instrument was used to perform SWE and SWD of the liver. According to the results of gastroscopy, the patients were divided into high-risk esophageal and gastric varices group (HREGV group) with 22 patients and non-high-risk esophageal and gastric varices group (NHREGV group) with 36 patients. The independent samples t-test was used for comparison of normally distributed continuous data between two groups, and the non-parametric Mann-Whitney U test was used for comparison of non-normally distributed continuous data between two groups; the chi-square test was used for comparison of categorical data between two groups. A multivariate logistic regression analysis was used to analyze and screen out the noninvasive indicators for predicting high-risk esophageal and gastric varices, and the receiver operating characteristic (ROC) curve was used to evaluate the clinical value of liver SWD and SWE in the diagnosis of high-risk esophageal and gastric varices.  Results  There were significant differences between the HREGV group and the NHREGV group in SWD (t=-3.84, P < 0.001), etiology (χ2=9.67, P=0.022), total bilirubin (Z=-2.00, P=0.045), spleen diameter (t=-2.44, P=0.018), and portal vein diameter (Z=-1.96, P=0.005). The patients with compensated cirrhosis had a mean liver SWD of 15.17±2.45 m·s-1·kHz-1, and the HREGV group had a significantly higher liver SWD than the NHREGV group (16.59±2.66 m·s-1·kHz-1 vs 14.31±1.86 m·s-1·kHz-1, t=-3.84, P < 0.001), while there was no significant difference in SWE between the two groups (Z=-1.21, P=0.223). SWD was an independent risk factor for high-risk esophageal and gastric varices in patients with compensated liver cirrhosis (odds ratio=1.67, 95% confidence interval: 1.17-2.39, P=0.005). In the diagnosis of high-risk esophageal and gastric varices, SWD had an area under the ROC curve (AUC) of 0.786, with a specificity of 80.56% and a sensitivity of 81.82% at the optimal cut-off value of 15.35 m·s-1·kHz-1; SWE had an AUC of 0.596, with a specificity of 52.78% and a sensitivity of 68.18% at the optimal cut-off value of 9.25 kPa.  Conclusion  Liver SWD measured by Canon Aplio i800 color ultrasound is excepted to become a new noninvasive method to predict the presence of high-risk esophageal and gastric varices in patients with compensated cirrhosis, while SWE has a limited diagnostic value.
Risk factors for the 90-day prognosis of patients with type I hepatorenal syndrome and establishment of a predictive model
Bingbing ZHU, Jinxiang YANG, Qun ZHANG, Fangyuan GAO, Xianbo WANG
2022, 38(7): 1561-1565. DOI: 10.3969/j.issn.1001-5256.2022.07.019
Abstract(1015) HTML (269) PDF (2217KB)(65)
Abstract:
  Objective  To investigate the risk factors for the 90-day prognosis of patients with decompensated liver cirrhosis and type I hepatorenal syndrome (HRS).  Methods  A retrospective analysis was performed for the clinical data of 299 patients with decompensated liver cirrhosis and type I HRS who were hospitalized in Beijing Ditan Hospital from October 2008 to October 2018, and according to the 90-day prognosis, they were divided into survival group with 135 patients and death group with 164 patients. The t-test was used for comparison of normally distributed continuous data between groups, and the Mann-Whitney U test was used for comparison of non-normally distributed continuous data between groups; the chi-square test was used for comparison of categorical data between groups. A multivariate binary logistic regression analysis was used to investigate the influencing factors for 90-day prognosis, and the receiver operating characteristic (ROC) curve was plotted for each factor.  Results  The univariate analysis showed that there were significant differences between the two groups in Model for End-Stage Liver Disease (MELD) score, Child-Turcotte-Pugh (CTP) score, hepatic encephalopathy, serum Na, serum creatinine (Cr), blood urea nitrogen (BUN), uric acid (UA), alanine aminotransferase (ALT), aspartate aminotransferase (AST), total bilirubin (TBil), albumin (Alb), cholinesterase (CHE), white blood cell count (WBC), neutrophil (NE), neutrophil-to-lymphocyte ratio (NLR), red blood cell count (RBC), red blood cell distribution width (RDW), platelet count (PLT), and international normalized ratio (INR) (P < 0.05). The multivariate logistic regression analysis showed that Na (odds ratio [OR]=0.918, 95% confidence interval [CI]: 0.880-0.957, P < 0.05), BUN (OR=1.077, 95% CI: 1.029-1.127, P < 0.05), RDW (OR=1.019, 95% CI: 1.005-1.032, P < 0.05), and INR (OR=3.478, 95% CI: 2.096-5.771, P < 0.05) were independent influencing factors for poor 90-day prognosis in patients with decompensated liver cirrhosis and type I HRS. A predictive model, HRS-D, was established using the four factors above, and the ROC curves were plotted for each factor to calculate the area under the ROC curve (AUC), which showed that HRS-D had an AUC of 0.813 (95% CI: 0.762-0.864), with a sensitivity of 76.50% and a specificity of 72.50% at the diagnostic cut-off value of -1.264. There was a significant difference between HRS-D score and MELD score (Z=3.804, P < 0.001), while there was no significant difference between HRS-D score and CTP score and between CTP score and MELD score (both P > 0.05).  Conclusion  Na, BUN, RDW, and INR are independent influencing factors for poor 90-day prognosis in patients with decompensated liver cirrhosis and type I HRS, and the predictive model based on these indices can better predict the 90-day prognosis of HRS patients.
Original Articles_Liver Neoplasms
Establishment of a nomogram model for predicting the survival of hepatitis B virus-related hepatocellular carcinoma
Songhai CHEN, Chunyan WANG, Chang GUO, Shan ZHANG, Ya DENG, Yinying LU, Dong JI
2022, 38(7): 1566-1571. DOI: 10.3969/j.issn.1001-5256.2022.07.020
Abstract(1299) HTML (485) PDF (3359KB)(142)
Abstract:
  Objective  To investigate the risk factors for death in hepatitis B virus (HBV)-related hepatocellular carcinoma (HCC), and to establish a nomogram predictive model.  Methods  A retrospective analysis was performed for the clinical data of 700 patients who were diagnosed with HBV-related HCC for the first time in The Fifth Medical Center of Chinese PLA General Hospital from January 2010 to January 2020, and the starting point of follow-up was the date of HCC diagnosis, with death as the endpoint. According to the results of follow-up, the patients were divided into death group with 407 patients and survival group with 293 patients. The independent samples t-test or the Mann-Whitney U test was used for comparison of continuous data between groups, and the chi-square test was used for comparison of categorical data between groups. The Kaplan-Meier method was used to calculate survival rates, and the log-rank test was used for univariate analysis. The multivariate Cox proportional-hazards regression model was used to screen out independent risk factors and establish a nomogram model to predict 1-, 3-, and 5-year survival rates, and 10-fold cross validation was performed 200 times to evaluate the model.  Results  There were significant differences between the two groups in sex composition, albumin, total bilirubin, alanine aminotransferase, alpha-fetoprotein (AFP), cholinesterase (CHE), liver stiffness measurement (LSM), and Barcelona Clinic Liver Cancer (BCLC) stage (all P < 0.05). The multivariate analysis showed that male sex (hazard ratio [HR]=1.390, 95% confidence interval [CI]: 1.077-1.794, P < 0.05), CHE (2500-5000 U/L) (HR=1.996, 95%CI: 1.470-2.710, P < 0.05), CHE < 2500 U/L (HR=3.210, 95%CI: 2.188-4.709, P < 0.05), AFP≥400 ng/mL (HR=1.803, 95%CI: 1.412-2.303, P < 0.05), LSM ≥17.5 kPa (HR=1.719, 95%CI: 1.349-2.190, P < 0.05), BCLC stage B/C (HR=3.811, 95%CI: 2.994-4.852, P < 0.05), and BCLC stage D (HR=3.708, 95%CI: 2.520-5.455, P < 0.05) were independent risk factors for death. The nomogram model established based on the above factors had an index of concordance of 0.789 (95%CI: 0.769-0.809) with well-fitted calibration curves, and there was no significant difference between the predicted value of the model and the actual observed value.  Conclusion  The nomogram model established in this study can predict the 1-, 3-, and 5-year survival rates of HBV-related HCC patients and help to accurately assess the prognosis of patients.
A prognostic analysis of transcatheter arterial chemoembolization combined with local ablation in treatment of recurrent liver cancer after surgery
Baiyu JI, Fenlin HAO, Jiangtao HAI, Junsheng ZHANG, Xiangyang WU, Dong JIN, Zhenhui LU
2022, 38(7): 1572-1576. DOI: 10.3969/j.issn.1001-5256.2022.07.021
Abstract(1229) HTML (249) PDF (2058KB)(78)
Abstract:
  Objective  To investigate the clinical effect of transcatheter arterial chemoembolization (TACE) combined with local ablation in the treatment of recurrent liver cancer after surgery, as well as the risk factors for prognosis.  Methods  A retrospective analysis was performed for the data of 47 patients with recurrent liver cancer after surgery who received TACE combined with local ablation in General Hospital of Ningxia Medical University from January 2017 to December 2020. The patients were followed up after local ablation to assess short-term outcome and survival. Univariate and multivariate analyses were used to investigate the factors affecting prognosis; the Kaplan-Meier model and the log-rank test were used for univariate analysis, and the Cox proportional-hazards regression model was used for multivariate analysis.  Results  At 3 months after treatment, the 47 patients with recurrent liver cancer after surgery had an overall effective rate of 89.3% and a disease control rate of 95.7%, and the overall survival rates at 6, 12, 18, and 24 months were 95.70%, 76.40%, 63.30%, and 58.00%, respectively. The univariate analysis and the Cox proportional-hazards regression analysis showed that irregularity of tumor boundary (risk ratio [RR]=3.938, 95% confidence interval [CI]: 1.709-9.073, P=0.005) and proximity of tumor to risk areas (major blood vessels and hollow visceral organs, etc.) (RR=3.202, 95% CI: 1.415-7.245, P=0.001) were associated with postoperative survival.  Conclusion  TACE combined with local ablation is an effective treatment modality for recurrent liver cancer after surgery, and irregularity of tumor boundary and proximity of tumor to risk areas (major blood vessels and hollow visceral organs, etc.) are the risk factors affecting the postoperative survival of such patients.
Association of programmed death-1 and programmed death-ligand 1 with the prognosis and clinical features of patients with hepatocellular carcinoma: A meta-analysis
Xin DAI, Hanlin LIU, Long CHENG, Zhulin LUO, Tao WANG
2022, 38(7): 1577-1583. DOI: 10.3969/j.issn.1001-5256.2022.07.022
Abstract(1089) HTML (330) PDF (3057KB)(81)
Abstract:
  Objective  To systematically evaluate the influence of the expression of programmed death-1 (PD-1) and programmed death-ligand 1 (PD-L1) on the prognosis of patients with hepatocellular carcinoma (HCC).  Methods  Related databases, such as PubMed, The Cochrane Library, Embase, CBM, CNKI, and Wanfang Data, were searched to collect related articles, and the cohort studies or case-control studies on the association of the expression of PD-1 and PD-L1 with the prognosis of HCC patients were included. RevMan 5.3 software was used to perform a meta-analysis of overall survival (OS) and disease-free survival (DFS).  Results  A total of 20 eligible cohort studies or case-control studies were included. The expression of PD-1 was not associated with the OS of HCC patients (hazard ratio [HR]=0.78, 95% confidence interval [CI]: 0.31-1.97, P < 0.05), while it was significantly associated with DFS (HR=0.38, 95%CI: 0.24-0.58, P < 0.01). The expression of PD-L1 was significantly associated with the OS of HCC patients (HR=1.64, 95%CI: 1.26-2.15, P < 0.05), but it was not associated with DFS (HR=1.48, 95%CI: 0.88-2.49, P > 0.05). In addition, the expression of PD-1 and PD-L1 was not significantly associated with the clinical features of HCC patients (P > 0.05).  Conclusion  The expression of PD-1 and PD-L1 is associated with the prognosis of HCC patients, with no significant association with clinical features.
Original Articles_Other Liver Diseases
Clinical features of Klebsiella pneumoniae liver abscess and influencing factors for prognosis
Rui DING, Wen XIE, Ligai LIU, Qi WANG, Ying CAO
2022, 38(7): 1584-1589. DOI: 10.3969/j.issn.1001-5256.2022.07.023
Abstract(1827) HTML (477) PDF (2391KB)(126)
Abstract:
  Objective  To investigate the clinical features of Klebsiella pneumoniae liver abscess and the influencing factors for prognosis.  Methods  A retrospective analysis was performed for the patients with liver abscess who were hospitalized and had positive blood culture or pus culture in Beijing Ditan Hospital, Capital Medical University, from January 2010 to January 2020, and according to the results of etiology, these patients were divided into Klebsiella pneumoniae group (KP group) and non-Klebsiella pneumoniae group (non-KP group). Clinical features were compared between the two groups. The two-independent-samples t test or the Mann-Whitney U test was used for comparison of continuous data between two groups, and the chi-square test was used for comparison of categorical data between two groups. A multivariate logistic regression analysis was used to identify independent influencing factors for poor prognosis, and a nomogram predictive model was established based on these factors. Index of concordance (C-index) was used for internal validation, and a decision curve analysis was also performed.  Results  A total of 89 patients with liver abscess were enrolled, with 48 patients in the KP group and 41 in the non-KP group. Compared with the non-KP group, the KP group had a significantly higher proportion of patients with type 2 diabetes mellitus (χ2=12.508, P < 0.001), hypertension (χ2=4.215, P=0.04), or fatty liver disease (χ2=6.832, P=0.009) and a significantly lower proportion of patients with a medical history of malignant tumor (χ2=15.039, P < 0.001), human immunodeficiency virus infection (χ2=15.039, P < 0.001), or a medical history of gallstones (χ2=5.834, P=0.016), as well as a significantly lower proportion of patients with the outcome of death (χ2=4.115, P=0.042). Compared with the non-KP group, the KP group had significantly higher levels of leukocyte count (Z=-2.087, P=0.037), hemoglobin (t=4.67, P < 0.001), fibrinogen (Z=-3.300, P=0.001), C-reactive protein (Z=-3.276, P=0.001), procalcitonin (Z=-0.361, P < 0.001), and alanine aminotransferase (Z=-2.436, P=0.015). The multivariate logistic regression analysis showed that sepsis (odds ratio [OR]=9.110, 95% confidence interval [CI]: 1.268-65.443, P=0.028), pulmonary infection (OR=17.720, 95%CI: 2.661-118.010, P=0.003), and low albumin level (OR=0.815, 95%CI: 0.692-0.960, P=0.016) were the risk factors for poor prognosis of liver abscess, while ultrasound-guided abscess puncture therapy (OR=8.551, 95%CI: 1.549-47.195, P=0.014) was a protective factor for relatively good prognosis of liver abscess.  Conclusion  KP liver abscess may be more likely to occur in patients with diabetes mellitus, hypertension, and fatty liver disease. Sepsis, pulmonary infection, and low albumin level are the risk factors for poor prognosis of liver abscess, while ultrasound-guided abscess puncture is a protective factor for relatively good prognosis. Intervention treatment based on the nomogram predictive model established in this study can effectively improve the prognosis of patients with liver abscess.
Clinical significance of ultrasound-guided percutaneous liver biopsy in the diagnosis of liver diseases
Wenxia YANG, Jingyi ZHANG, Xian YANG, Yingmei TANG
2022, 38(7): 1590-1594. DOI: 10.3969/j.issn.1001-5256.2022.07.024
Abstract(1476) HTML (390) PDF (3410KB)(96)
Abstract:
  Objective  To investigate the disease constitution of ultrasound-guided percutaneous liver biopsy and its diagnostic efficacy in different liver diseases.  Methods  A total of 918 patients who underwent liver biopsy in Department of Pathology, The Second Affiliated Hospital of Kunming Medical University, from May 2015 to July 2020 were enrolled, and the data on pathological diagnosis and clinical diagnosis were collected. With clinical diagnosis as the criteria, the constitution ratio of liver diseases and the difference in disease constitution between sexes and ages (< 60 or ≥60 years) were analyzed, and a statistical analysis was performed for liver biopsy in the diagnosis of common liver diseases in terms of sensitivity, specificity, accuracy, positive predictive value, negative predictive value, false positive rate, and false negative rate. The chi-square test or the Fisher's exact test was used for comparison of categorical data between groups.  Results  In the 918 patients undergoing liver biopsy, the most common diseases included malignant tumor in 282 patients (30.72%), autoimmune liver disease (AILD) in 139 patients (15.14%), chronic hepatitis B (CHB) in 118 patients (12.85%), drug-induced liver injury (DILI) in 49 patients (5.34%), metabolic associated fatty liver disease (MAFLD) in 34 patients (3.70%), liver abscess in 26 patients (2.83%), benign tumor in 18 patients (1.96%), parasitic infection in 18 patients (1.96%), and alcoholic liver disease (ALD) in 9 patients (0.98%). For malignant tumor, CHB, ALD, and liver abscess, the proportion of male patients was significantly higher than that of female patients (χ2=31.67, 19.61, and 4.68, all P < 0.05), and for AILD, DILI, and parasitic infection, the proportion of female patients was significantly higher than that of male patients (χ2=58.60, 7.91, and 6.60, all P < 0.05). Compared with the patients aged ≥60 years, the patients aged < 60 years had significantly higher proportions of patients with malignant tumor, CHB, AILD, and MAFLD (χ2=105.90, 7.58, 20.03, and 6.97, all P < 0.01). The accuracy, specificity, positive predictive value, and negative predictive value of liver biopsy were all close to 100% in the diagnosis of various liver diseases, but with differences in sensitivity and false negative rate; liver biopsy had a sensitivity of 93.26%, 100%, and 94.40%, respectively, in the diagnosis of malignant tumor, benign tumor, and parasitic infection, while it had a sensitivity of 87.29%, 77.70%, and 76.60%, respectively, in the diagnosis of CHB, AILD, and DILI, with a false negative rate of 12.71%, 22.30%, and 23.40%, respectively; liver biopsy had a sensitivity of 42.31% and 44.44%, respectively, in the diagnosis of MAFLD and ALD, with a false negative rate of 57.69% and 55.56%.  Conclusion  The main disease constitution of liver biopsy includes malignant liver tumor, AILD, CHB, DILI, and MAFLD. Liver biopsy has an important diagnostic value in various types of liver diseases, with a relatively high diagnostic efficacy in malignant tumor, benign tumor, and parasitic infection, while it also has a certain false negative rate in CHB, AILD, and DILI and a fair diagnostic efficacy in MAFLD and ALD. Therefore, a comprehensive judgment should be given with reference to medical history, clinical features, and the presence or absence of other types of liver injury.
Original Articles_Pancreatic Diseases
Influence of fatty liver on the severity of acute pancreatitis
Miao ZHANG, Lirong ZHANG, Lin LUO, Qiang CHEN
2022, 38(7): 1595-1601. DOI: 10.3969/j.issn.1001-5256.2022.07.025
Abstract(1497) HTML (486) PDF (1884KB)(82)
Abstract:
  Objective  To investigate the influence of fatty liver on the severity of acute pancreatitis (AP) by comparing clinical and imaging data between AP patients with fatty liver and those without fatty liver.  Methods  Clinical data were collected from 328 AP patients who were admitted to The First Affiliated Hospital of Baotou Medical College, Inner Mongolia University of Science and Technology, from December 2017 to May 2020, and according to the presence or absence of fatty liver, they were divided into fatty liver+AP group (FLAP group) and non-fatty liver AP group (NFLAP group). The two groups were compared in terms of the indices such as general information, laboratory markers, and chronic diseases. The chi-square test was used to compare the rates of binary variables, and the t-test or the Mann-Whitney U test was used for comparison of continuous variables. The Pearson liner correlation analysis was used to investigate the correlation between continuous variables, and the Spearman rank correlation analysis was used to investigate the correlation between rank variables. The multivariate logistic regression analysis and the chi-square test were used to investigate the influencing factors and possible risk predictive factors for moderate-severe AP (MSAP) and severe AP (SAP).  Results  Among the 328 AP patients enrolled, there were 133(40.55%) in the FLAP group and 195(59.45%) in the NFLAP group. Hyperlipidemia (42.1%) was the main cause of AP, followed by gallstone disease (39.3%). Compared with the NFLAP group, the FLAP group had a significantly lower mean age (41.32±11.43 years vs 54.83±15.21 years, t=8.704, P < 0.001) and significantly higher proportion of male patients (78.95% vs 55.38%, χ2=19.281, P < 0.001), proportion of patients with chronic disease (70.68% vs 45.64%, χ2=20.094, P < 0.001), and incidence rate of MSAP+SAP (59.40% vs 41.03%, χ2=10.686, P < 0.01). Compared with the NFLAP group, the FLAP group had significantly higher levels of triglyceride, total cholesterol, fasting blood glucose, and C-reactive protein on days 1 and 2 after admission (Z=-8.216, -5.637, -4.001, -3.053, and -3.325, all P < 0.05), as well as significantly lower levels of blood amylase, blood lipase, high-density lipoprotein, alanine aminotransferase, aspartate aminotransferase, and total bilirubin (Z=-5.401, -2.842, -3.594, -2.276, -2.643, and -2.339, all P < 0.05). Patients with a relatively young age (< 50 years) (odds ratio [OR]=1.84, 95% confidence interval [CI]: 1.18-2.89, P < 0.01) and a past history of hypertension (OR=3.58, 95%CI: 1.96-6.54, P < 0.001) or hyperlipidemia (OR=3.36, 95%CI: 1.03-10.94, P < 0.05) had a relatively high risk of MSAP+SAP. The FLAP group had a significantly higher risk of MSAP+SAP than the NFLAP group (OR=2.10, 95%CI: 1.34-3.29, P < 0.01).  Conclusion  FLAP patients often have a relatively young age of onset, hyperlipidemia, and a relatively high proportion of patients with MSAP+SAP. Fatty liver is not only an influencing factor for MSAP+SAP, but also an important predictive factor for the risk of MSAP+SAP.
Guiding effect of noninvasive monitoring of cardiac output and central venous oxygen saturation on early goal-directed fluid resuscitation in hyperlipidemic severe acute pancreatitis
Hongsheng WU, Keqiang MA, Biling LIAO, Tengfei JI, Jianbin HUANG, Tiansheng CAO
2022, 38(7): 1602-1607. DOI: 10.3969/j.issn.1001-5256.2022.07.026
Abstract(1235) HTML (425) PDF (1872KB)(71)
Abstract:
  Objective  To investigate the guiding effect of noninvasive monitoring of cardiac output (CO) and central venous oxygen saturation (ScvO2) on early goal-directed fluid resuscitation in patients with hyperlipidemic severe acute pancreatitis.  Methods  A total of 84 patients with hyperlipidemic severe acute pancreatitis who were admitted to the People's Hospital of Huadu District from January 2018 to December 2020 were enrolled as subjects and randomly divided into research group and control group, with 42 patients in each group. In the control group, goal-directed fluid resuscitation was performed by monitoring mean arterial pressure and central venous pressure, and in the research group, goal-directed fluid resuscitation was guided by the dynamic monitoring of CO through a bedside Doppler noninvasive hemodynamic detector and the monitoring of ScvO2 through PreSep central venous catheter. The two groups were compared in terms of time to early volume reaching standard (hour), time to relief of abdominal pain (day), time to gastrointestinal function recovery (day), time to triglyceride (TG) recovery (day), lactate clearance rate at 6 hours after treatment, change of Acute Physiology and Chronic Health Evaluation Ⅱ (APACHE-Ⅱ) score from before treatment to days 3 and 7 after treatment, and early complications of acute pancreatitis. The t-test was used for comparison of continuous data between groups, and the chi-square test was used for comparison of categorical data between groups.  Results  Compared with the control group, the research group had significantly shorter time to volume reaching standard (8.7±1.6 hours vs 19.6±2.1 hours, t=-18.86, P < 0.05), time to relief of abdominal pain (3.4±1.2 days vs 5.8±1.5 days, t=-16.74, P < 0.05), time to gastrointestinal function recovery (5.6±2.3 days vs 8.2±2.5 days, t=-11.74, P < 0.05), and time for TG to decrease to the normal level (5.5±1.6 days vs 9.7±1.7 days, t=10.76, P < 0.05). Compared with the control group, the research group had a significantly lower APACHE-II score on days 3 and 7 (day 3: 11.86±1.88 vs 20.75±1.63, t=-17.36, P < 0.05; day 7: 6.21±1.13 vs 14.36±1.53, t=-18.41, P < 0.05), a significantly lower arterial blood lactate level at 6 hours after admission (4.24±0.23 mmol/L vs 5.07±0.17 mmol/L, t=-17.76, P < 0.05), and a significantly higher arterial blood lactate clearance rate at 6 hours (23.74%±0.44% vs 10.74%±0.67%, t=-17.73, P < 0.05). The comparison of early complications showed that compared with the control group, the research group had significantly lower incidence rates of peripancreatic acute necrotic collection (4.76% vs 19.05%, χ2=16.63, P < 0.05), pulmonary infection (9.52% vs 38.10%, χ2=15.78, P < 0.05), pleural effusion (35.71% vs 88.10%, χ2=8.96, P < 0.05), gastrointestinal bleeding (7.14% vs 16.67%, χ2=7.45, P < 0.05), and organ failure (11.90% vs 30.95%, χ2=7.96, P < 0.05).  Conclusion  Noninvasive monitoring of CO and ScvO2 in clinical practice has an important guiding significance for early goal-directed fluid resuscitation in patients with hyperlipidemic severe acute pancreatitis and can significantly improve the clinical treatment outcome of hyperlipidemic severe acute pancreatitis.
Case Reports
Clinical cure of the non-dominant population in chronic hepatitis B patients with HBsAg>3000 IU/mL: A report of two cases
Yan HUANG, Qiongyue ZHANG, Erping LUO, Weifeng ZHAO, Jianhe GAN
2022, 38(7): 1608-1611. DOI: 10.3969/j.issn.1001-5256.2022.07.027
Abstract(1279) HTML (528) PDF (2842KB)(117)
Abstract:
Conversion therapy for massive hepatocellular carcinoma: A case report
Sirou LI, Yuanlong ZHOU, Keliang LIU, Zhibo LIANG, Jinghua LI
2022, 38(7): 1612-1615. DOI: 10.3969/j.issn.1001-5256.2022.07.028
Abstract(963) HTML (407) PDF (2763KB)(77)
Abstract:
Whole genome analysis of a Wilson's disease family
Yaxin HU, Zhuo CHENG, Shuo CONG, Yongmei LIU, Baofang ZHANG, Yu LEI, Zhao YAN, Yiwei ZHANG, Xi PU, Lei YU, Mingliang CHENG
2022, 38(7): 1616-1619. DOI: 10.3969/j.issn.1001-5256.2022.07.029
Abstract(1099) HTML (347) PDF (3028KB)(101)
Abstract:
Hepatopulmonary syndrome after craniopharyngioma operation in children: A case report
Tingting DU, Hui YAO, Yakun LI, Xiaoli HUANG, Jie LUO
2022, 38(7): 1620-1625. DOI: 10.3969/j.issn.1001-5256.2022.07.030
Abstract(1037) HTML (325) PDF (2776KB)(79)
Abstract:
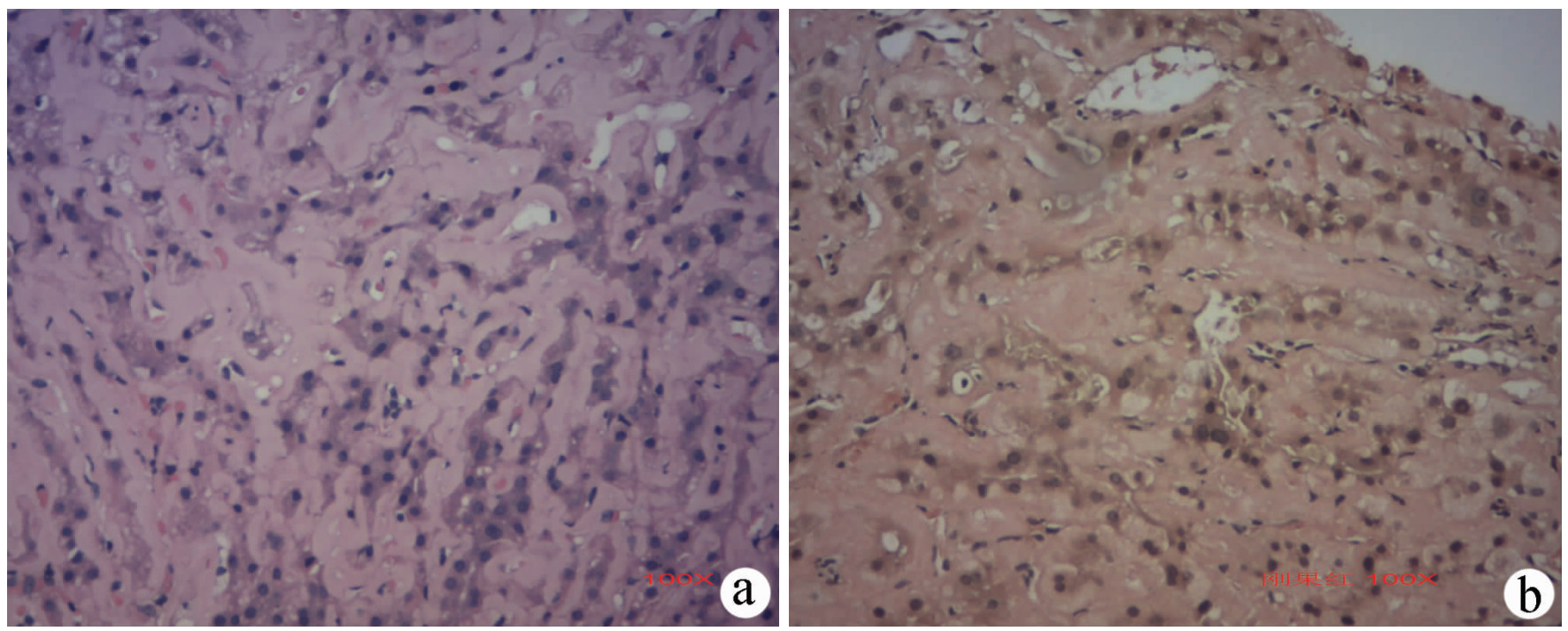
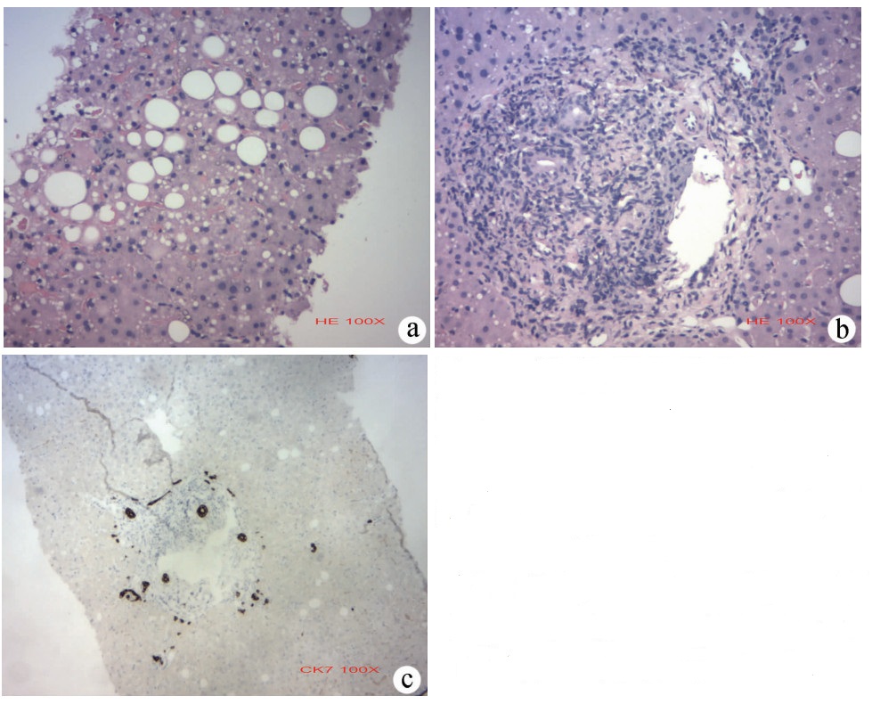
Chronic cholangitis with interstitial mucinous degeneration misdiagnosed as cholangiocarcinoma: A case report
Songsong FAN, Fang ZHANG, Lipeng YANG, Xuefeng CAO, Yanmin LU, Xingyuan ZHANG
2022, 38(7): 1626-1628. DOI: 10.3969/j.issn.1001-5256.2022.07.031
Abstract(1381) HTML (342) PDF (2467KB)(61)
Abstract:
Reviews
Research advances in the immune pathogenesis of hepatitis E virus infection
Xiaoling LI, Qing ZHANG, Li'an WANG, Juanjuan ZHENG, Hai LI
2022, 38(7): 1629-1633. DOI: 10.3969/j.issn.1001-5256.2022.07.032
Abstract(1234) HTML (302) PDF (2319KB)(103)
Abstract:
Hepatitis E is often acute and self-limited, but immunocompromised patients (such as solid organ transplantation recipients and patients with HIV infection or blood disease) may experience chronic infection. Immune response is the key factor for the outcome of hepatitis E virus (HEV) infection, which includes innate immunity and adaptive immunity. Various studies including cell culture, animal models, and clinical trials have helped to gain a deeper understanding of the immune pathogenesis of HEV, which provided ideas for new antiviral therapies for HEV and the development of effective vaccines. This article reviews the research on the immune pathogenesis of HEV infection in recent years and discusses the prospect of HEV prevention and treatment.
Research advances in pharmacotherapy for nonalcoholic fatty liver disease
Rui JIN, Xiaoxiao WANG, Feng LIU, Huiying RAO
2022, 38(7): 1634-1640. DOI: 10.3969/j.issn.1001-5256.2022.07.033
Abstract(3303) HTML (3273) PDF (2729KB)(517)
Abstract:
The incidence rate of nonalcoholic fatty liver disease (NAFLD) is increasing year by year, and it gradually becomes the most common chronic liver disease in adults and children around the world. Nonalcoholic steatohepatitis (NASH) in its disease spectrum can lead to liver cirrhosis and hepatocellular carcinoma. However, due to the complex pathogenesis of NAFLD, there are currently no effective drugs for treatment. Therefore, the research and development of new drugs for NASH have been a research hotspot in recent years. This article summarizes the pathogenesis of NASH and elaborates on the research advances in potential therapeutic targets and drugs for NASH.
Research advances in vitamin D deficiency and metabolic associated fatty liver disease
Ling LUO, Xianhua LIAO, Bihui ZHONG
2022, 38(7): 1641-1645. DOI: 10.3969/j.issn.1001-5256.2022.07.034
Abstract(1507) HTML (640) PDF (2173KB)(98)
Abstract:
Metabolic associated fatty liver disease (MAFLD) is the largest chronic liver disease in the world. Its pathogenesis remains unclear and there is still a lack of effective drugs. This article introduces vitamin D deficiency commonly observed in patients with MAFLD, and it is pointed out that vitamin D may participate in the development and progression of MAFLD through various pathways such as glucose and lipid metabolism, inflammatory signaling pathways, immune modulation, and intestinal microecology. It is proposed that vitamin D supplement is expected to become an effective drug for the treatment of MAFLD, and the monitoring and management of vitamin D level should be taken seriously for MAFLD patients in clinical practice. Further studies are needed to explore its underlying mechanism, dose for supplementation, and course of treatment.
Assessment and clinical management of malnutrition and asthenia in patients with liver cirrhosis
Yijun ZHANG, Qian ZHANG, Xinhua LUO
2022, 38(7): 1646-1649. DOI: 10.3969/j.issn.1001-5256.2022.07.035
Abstract(1590) HTML (370) PDF (1845KB)(145)
Abstract:
Malnutrition and asthenia are interrelated and multidimensional problems in patients with liver cirrhosis. Malnutrition is one of the reasons leading to asthenia, whereas asthenia is a comprehensive manifestation of functional disorders, and malnutrition and asthenia interact with each other and further affect the clinical outcome of patients with liver cirrhosis. Therefore, early identification, accurate assessment, and active treatment of malnutrition and asthenia should be taken seriously to reduce clinical complications, prolong survival time, and improve quality of life. In addition to the therapies targeting the etiology and complications of liver cirrhosis, nutritional management and physical exercise are the main measures for the treatment of malnutrition and asthenia, and further studies are needed to explore the clinical efficacy of medical treatment such as testosterone replacement therapy.
Clinical epidemiology and pathological features of cryptogenic cirrhosis
Rui HAN, Liaoyun ZHANG
2022, 38(7): 1650-1653. DOI: 10.3969/j.issn.1001-5256.2022.07.036
Abstract(1958) HTML (474) PDF (1850KB)(143)
Abstract:
Cryptogenic cirrhosis (CC), also known as "unexplained liver cirrhosis", refers to liver cirrhosis in some patients that cannot be explained with known causes, and CC accounts for about 5%-10% of all liver cirrhosis cases in clinical practice. This article reviews the research advances in the clinical epidemiology of CC, including etiology, clinical features, outcome, and pathological features, in order to expand the thinking of clinical diagnosis and treatment and help with clinical diagnosis.
Mechanism of action of the Hippo/YAP pathway in the development and progression of liver fibrosis
Xiaolu ZHAO, Chunyan ZHANG, Xiaoyang GAO, Yuehong MA
2022, 38(7): 1654-1657. DOI: 10.3969/j.issn.1001-5256.2022.07.037
Abstract(1690) HTML (533) PDF (2065KB)(122)
Abstract:
Various etiologies cause the destruction of liver microenvironment, which leads to the loss of liver structure and function and initiates the process of liver fibrosis. Hepatic stellate cells (HSCs) are mainly activated into myofibroblasts that secrete a large amount of extracellular matrix (ECM), mostly collagen. Although there have been many studies on the anti-liver fibrosis mechanism, there is still a lack of effective target drugs for clinical application, and in recent years, studies on anti-liver fibrosis have mainly focused on interventions for the advanced stage of liver fibrosis, while ignoring the specific mechanism of early-stage liver fibrosis. Recently, there have been an increasing number of studies on Hippo signaling in liver fibrosis, with a focus on the expression of the core transcription factor Yes-associated protein (YAP) in early activated HSCs and the regulation of HSC status by this pathway. This article mainly introduces the role of the Hippo/YAP pathway in the regulation of early-stage or advanced liver fibrosis and briefly describes the potential role of regulating the stable expression and nuclear translocation of the core transcription factor YAP in reversing liver fibrosis, suggesting that this pathway can provide new directions and targets for clinical treatment.
Effect of the treatment modality for hepatocellular carcinoma on portal venous pressure
Bowen CHEN, Jiamin CHENG, Linzhi ZHANG, Jin LEI, Xiaoqiang GAO, Yinying LU
2022, 38(7): 1658-1661. DOI: 10.3969/j.issn.1001-5256.2022.07.038
Abstract(1195) HTML (287) PDF (1848KB)(104)
Abstract:
Portal hypertension (PH) on the basis of liver cirrhosis is a common complication of hepatocellular carcinoma (HCC), and it is also a key factor affecting treatment decisions and prognosis. Different treatment modalities for HCC may have different effects on portal venous pressure. Through a literature review, it is concluded that hepatectomy, repeated transcatheter arterial chemoembolization, oxaliplatin chemotherapy, and lenvatinib can lead to the increase in portal venous pressure, while sorafenib and regorafenib have been proved to reduce portal venous pressure within a short term in clinical trials and/or animal experiments. There are also reports on the effect of novel combination treatment regimens (such as atezolizumab combined with bevacizumab) and newly marketed first-line or second-line targeted drugs for HCC (such as donafenib, apatinib, and anlotinib) on portal hypertension-related complications including gastrointestinal bleeding in related clinical trials, but further studies are needed to investigate their overall effect on portal venous pressure.
Research advances in combined non-bioartificial liver in treatment of acute-on-chronic liver failure in adults
Lu WANG, Wenxiong XU, Liang PENG
2022, 38(7): 1662-1666. DOI: 10.3969/j.issn.1001-5256.2022.07.039
Abstract(1317) HTML (484) PDF (2028KB)(92)
Abstract:
Acute-on-chronic liver failure (ACLF) is a common syndrome of severe liver diseases in clinical practice and has an extremely high short-term mortality rate. Non-bioartificial liver (NBAL) therapy is one of the effective treatment methods for patients with ACLF. In face of the current status of blood supply shortage and changes of treatment concepts, combined NBAL therapy can achieve mutual complementarity and better meet the clinical needs. This article focuses on the clinical application of NBAL in the treatment of ACLF and related research advances and summarizes existing problems and future prospects.
The significance of gut microbiota in acute-on-chronic liver failure
Fuchun WANG, Ziyi LI, Wanjie ZHANG, Xiaorong MAO, Junfeng LI
2022, 38(7): 1667-1670. DOI: 10.3969/j.issn.1001-5256.2022.07.040
Abstract(1419) HTML (294) PDF (2278KB)(90)
Abstract:
Various acute injury factors may act on chronic liver diseases and then lead to the rapid deterioration of disease conditions, which further develops into acute-on-chronic liver failure (ACLF). In patients with liver disease, gut microbiota toxins enter the liver through the portal vein or systemic circulation and thus lead to the death of hepatocytes; in addition, gut microbiota translocation occurs through various mechanisms, induces infection, vasodilation, and systemic inflammation, and then promotes disease progression to decompensated liver cirrhosis and ACLF, which ultimately endangers the life of patients. This article summarizes related research findings in the recent five years and elaborates on the significance of gut microbiota in the development, progression, prevention, and treatment of ACLF. Gut microbiota and its metabolites have a significant impact on the progression of liver disease, and therefore, it is necessary to conduct in-depth studies on the role of gut microbiota in the etiology of ACLF, in order to provide new ideas for the diagnosis and treatment of ACLF.
Definition, prognostic assessment, and advances in the diagnosis and treatment of acute-on-chronic liver failure
Zhanhu BI, Linxu WANG, Jianqi LIAN
2022, 38(7): 1671-1676. DOI: 10.3969/j.issn.1001-5256.2022.07.041
Abstract(2415) HTML (473) PDF (1880KB)(366)
Abstract:
Acute-on-chronic liver failure (ACLF) is a clinical syndrome with acute decompensation of liver function on the basis of chronic liver diseases, and at present, there is still no unified definition standard for this disease in the world. ACLF is characterized by rapid progression of liver disease, multiple organ failure, and high short-term mortality. Chronic viral hepatitis and alcoholic liver disease are the most common chronic liver diseases, and infection, alcohol, and hepatotoxic drugs are the main predisposing factors for this disease, but up to 40%-50% of ACLF cases have no identifiable predisposing factors. Early identification and accurate assessment of disease conditions are crucial to ACLF patients, but there is still a lack of ideal assessment methods for early warning and accurate assessment. Currently, the main treatment methods are organ support and treatment of complications, and liver transplantation is the only treatment method that can improve prognosis; however, there are still controversies over the selection of appropriate patients and the timing of liver transplantation.
Role of G protein-coupled receptors in liver diseases
Rui CHEN, Kun ZHANG, Beichen GUO, Yuhan LI, Wei HONG, Tao HAN
2022, 38(7): 1677-1680. DOI: 10.3969/j.issn.1001-5256.2022.07.042
Abstract(1387) HTML (833) PDF (2111KB)(152)
Abstract:
Chronic liver diseases greatly threaten the health of the Chinese people, and recent studies have found that some G protein-coupled receptors (GPCRs) and related signaling pathways are involved in the physiopathological processes of the liver and are associated with various liver diseases such as nonalcoholic fatty liver disease, liver cirrhosis, and liver cancer. This article reviews the association between GPCRs and liver diseases, so as to provide new strategies for the diagnosis and treatment of liver diseases.
Research advances in the diagnostic methods for biliary atresia
Rongjuan SUN, Jianghua ZHAN
2022, 38(7): 1681-1685. DOI: 10.3969/j.issn.1001-5256.2022.07.043
Abstract(1400) HTML (722) PDF (2359KB)(113)
Abstract:
For children with biliary atresia, early diagnosis and timely surgical intervention are of great importance to improve the survival rate of autologous liver. With reference to the authors' clinical experience and recent research advances, this article briefly reviews the methods for rapid diagnosis of biliary atresia and analyzes the advantages and disadvantages of different diagnostic method, so as to provide a reference for the establishment of clinical diagnostic thinking.
Time distribution of risk factors for secondary pancreatic infection in acute pancreatitis
Chengsi ZHAO, Weijie YAO, Peng YUAN, Zuozheng WANG
2022, 38(7): 1686-1690. DOI: 10.3969/j.issn.1001-5256.2022.07.044
Abstract(1571) HTML (390) PDF (2023KB)(93)
Abstract:
Pancreatic infection secondary to acute pancreatitis is an important influencing factor for the death of patients with acute pancreatitis. This article reviews the research on the risk factors for secondary pancreatic infection in acute pancreatitis in recent years and analyzes relevant risk factors according to the time axis of disease development. It is found that the risk factors for secondary pancreatic infection exist throughout the course of disease, and the influencing factors can be categorized into "internal factors" and "external factors". It is the primary task of the "anti-infective" therapy for acute pancreatitis to pay attention to these risk factors and give treatment in time.
Clinical features and management of Shwachman-Diamond syndrome
Mengping LI, Jianshe WANG, Xinbao XIE
2022, 38(7): 1691-1693. DOI: 10.3969/j.issn.1001-5256.2022.07.045
Abstract(1570) HTML (331) PDF (1839KB)(98)
Abstract:
Shwachman-Diamond syndrome is an autosomal recessive disorder that may involve multiple visceral organs of the body, with the main manifestations of exocrine pancreatic insufficiency, bone marrow failure, and skeletal abnormalities with frequent liver involvement. In order to improve the awareness of this disease among clinicians, this article summarizes the pathogenesis, clinical features, diagnosis, and long-term management of Shwachman-Diamond syndrome. Early diagnosis, early treatment, and regular follow-up are the key to improving the prognosis of children with Shwachman-Diamond syndrome.
Diagnosis and treatment of spontaneous splenic rupture associated with severe acute respiratory syndrome coronavirus 2
Hongyun SHI, Panpan QUAN, Chenglong CHU, Luyao XU, Xiaoyan LIU, Yingchao WANG
2022, 38(7): 1694-1696. DOI: 10.3969/j.issn.1001-5256.2022.07.046
Abstract(1462) HTML (533) PDF (1837KB)(59)
Abstract:
Coronavirus disease 2019 (COVID-19) is an acute viral disease caused by severe acute respiratory syndrome coronavirus 2 (SARS-CoV-2) infection and is mainly transmitted through the respiratory tract. It not only invades the respiratory system of human body, but also damages various organs and systems. Evidence has shown that there may be a causal association between SARS-CoV-2 and spontaneous splenic rupture. This article recognizes the possibility of SARS-CoV-2-associated spontaneous splenic rupture and discusses its pathogenesis and related diagnosis and treatment regimens, so as to avoid missed diagnosis and misdiagnosis in clinical practice.
Introduction of High-quality Articles in Foreign Journals
Gastroenterology|Postprandial plasma lipidomics reveal specific alteration of hepatic-derived diacylglycerols in nonalcoholic fatty liver disease
2022, 38(7): 1607-1607. DOI: 10.3969/j.issn.1001-5256.2022.07.gwjpwzjj1
Abstract(497) HTML (223) PDF (852KB)(55)
Abstract:
GUT|FOXA2 prevents hyperbilirubinaemia in acute liver failure by maintaining apical MRP2 expression
2022, 38(7): 1619-1619. DOI: 10.3969/j.issn.1001-5256.2022.07.gwjpwzjj2
Abstract(530) HTML (131) PDF (856KB)(57)
Abstract:
Liver International|Epidemic characteristics of alcohol-related liver disease in Asia from 2000-2020: a systematic review and meta-analysis
2022, 38(7): 1625-1625. DOI: 10.3969/j.issn.1001-5256.2022.07.gwjpwzjj3
Abstract(774) HTML (235) PDF (852KB)(78)
Abstract:
Thanks
Current reviewers
2022, 38(7): 1468-1468. DOI: 10.3969/j.issn.1001-5256.2022.07.zhixie1
Abstract(469) HTML (166) PDF (846KB)(57)
Abstract: