中文English
ISSN 1001-5256 (Print)
ISSN 2097-3497 (Online)
CN 22-1108/R

2022 No.6
Theme Issue: Advances and Challenges in Cirrhotis Portal Hypertension
Executive Chief Editor: CHEN Jinjun  
Nanfang Hospital of Southern Medical University

Display Method:
Editorial
Advances and challenges in cirrhotic portal hypertension: A new start from the Baveno Ⅶ consensus
Xiaofeng ZHANG, Jinjun CHEN
2022, 38(6): 1217-1219. DOI: 10.3969/j.issn.1001-5256.2022.06.001
Abstract(1918) HTML (428) PDF (1911KB)(342)
Abstract:
The new consensus on portal hypertension issued by Baveno Cooperative Group, i.e., the Baveno Ⅶ consensus, summarizes the diagnostic criteria for portal hypertension, noninvasive screening and diagnosis, primary prevention including etiological treatment and non-etiological treatment, secondary prevention including endoscopy and vascular intervention for diagnosis and treatment, new concepts associated with decompensated liver cirrhosis, and major advances and research agenda for the research directions including liver vascular diseases. Baveno Ⅶ consensus has an important reference value for clinical practice and research in the related fields of portal hypertension in China. As a part of the special issue, this article briefly describes the advances and challenges in portal hypertension in China from the perspective of clinical practice.
Discussions by Experts
Noninvasive screening and management of cirrhotic portal hypertension
Xiaofeng ZHANG, Jinjun CHEN
2022, 38(6): 1220-1223. DOI: 10.3969/j.issn.1001-5256.2022.06.002
Abstract(1381) HTML (498) PDF (1854KB)(204)
Abstract:
Portal hypertension-related complications are the major cause of death in patients with advanced chronic liver disease (ACLD). Hepatic venous pressure gradient is the golden standard for assessing portal hypertension, and upper gastrointestinal endoscopy is an important method for screening and assessing esophageal and gastric varices and its severity; both methods are invasive and inappropriate for portal hypertension screening and monitoring. Noninvasive approaches, such as transient elastography, acoustic radiation force impulse, and shear wave elastography, have been used for the evaluation of portal hypertension in ACLD patients, especially the screening, stratified diagnosis, and monitoring of clinically significant portal hypertension.
Etiological and non-etiological therapies for cirrhotic portal hypertension
Yuerong LI, Min WANG, Fuliang He, Xinyan ZHAO, Xiaojuan OU, Hong YOU, Jidong JIA, Yu WANG
2022, 38(6): 1224-1228. DOI: 10.3969/j.issn.1001-5256.2022.06.003
Abstract(1423) HTML (438) PDF (1861KB)(265)
Abstract:
Portal hypertension is a serious complication of liver cirrhosis resulting from the increases in portal vascular resistance and portal blood inflow. Both etiological and non-etiological therapies can effectively reduce portal venous pressure to a certain degree, but with an unsatisfactory effect in improving prognosis. New therapeutic drugs targeting the reduction in intrahepatic vascular resistance may help to achieve the reversal of portal hypertension. Based on the pathogenesis of cirrhotic portal hypertension, this article summarizes the current pharmacotherapies from the aspects of etiological and non-etiological therapies, so as to provide a comprehensive theoretical and evidence-based basis for clinical treatment options.
Application status and future prospect of transjugular intrahepatic portosystemic shunt in gastroesophageal variceal bleeding in liver cirrhosis
Yong LYU, Daiming FAN, Guohong HAN
2022, 38(6): 1229-1233. DOI: 10.3969/j.issn.1001-5256.2022.06.004
Abstract(1424) HTML (383) PDF (1869KB)(236)
Abstract:
Gastroesophageal variceal bleeding is the life-threating complication of cirrhotic portal hypertension, and transjugular intrahepatic portosystemic shunt (TIPS) is an effective therapy for portal hypertension-related complications. TIPS can be used for the prevention of first-time bleeding in patients with recurrent or intractable ascites. TIPS should be performed as early as possible for patients at a high risk of acute variceal bleeding (Child-Pugh class C < 14 points or Child-Pugh class B > 7 points with active bleeding on endoscopy or hepatic venous pressure > 20 mmHg). TIPS is an effective salvage therapy for acute variceal bleeding with failure after standard treatment, and is also a second-line option for preventing variceal rebleeding.
Anticoagulant therapy and transjugular intrahepatic portosystemic shunt for pyrrolizidine alkaloid related hepatic sinusoidal obstruction syndrome
Wei ZHANG, Yuzheng ZHUGE
2022, 38(6): 1234-1236. DOI: 10.3969/j.issn.1001-5256.2022.06.005
Abstract(1465) HTML (279) PDF (1831KB)(155)
Abstract:
Hepatic sinusoidal obstruction syndrome (HSOS) is a vascular liver disease characterized by varying degrees of liver injury and portal hypertension. HSOS in China is mostly associated with the intake of pyrrolizidine alkaloids. The step-up approach with anticoagulant therapy and transjugular intrahepatic portosystemic shunt (TIPS) as the core treatment methods is the therapy currently recommended for this disease. Subcutaneous injection of low-molecular-weight heparin is the first choice for anticoagulant therapy, and oral warfarin can be used in combination or sequentially to enhance anticoagulation. Patients with no response to anticoagulant therapy can switch to TIPS. The Drum Tower Severity Score (DTSS) system can be used during treatment to evaluate the severity of the disease, in order to identify high-risk patients earlier and switch to TIPS in time, thereby improving the prognosis of patients.
Portal hypertensive enteropathy: A disease that should not be ignored among the complications of portal hypertension
Shanshan LI, Changqing YANG
2022, 38(6): 1237-1241. DOI: 10.3969/j.issn.1001-5256.2022.06.006
Abstract(1783) HTML (559) PDF (2807KB)(237)
Abstract:
Although portal hypertensive enteropathy (PHE) is similar to portal hypertensive gastroenteropathy, it has various endoscopic manifestations with a lack of specificity, and there are still no unified diagnostic criteria. It is easily ignored by clinicians due to great individual differences and the absence of symptoms for quite a long period of time. Based on the patients' conditions and local expert experience, the treatment methods include symptomatic supportive treatment, pharmacotherapy, endoscopic therapy, radioactive intervention therapy, and surgical interventions. Although there have been reports on the endoscopic manifestations and treatment of PHE in recent years, the diagnosis, treatment, and prognosis of this disease should be taken seriously by clinicians.
Guidelines
Clinical practice guidelines for the interventional treatment of advanced pancreatic carcinoma (on trial) (6th edition)
2022, 38(6): 1242-1251. DOI: 10.3969/j.issn.1001-5256.2022.06.007
Abstract(2209) HTML (635) PDF (2941KB)(308)
Abstract:
An excerpt of EASL clinical practice guidelines on prevention and management of bleeding and thrombosis in patients with cirrhosis(2022)
Yuhang YIN, Wentao XU, Fuliang HE, Xingshun QI
2022, 38(6): 1252-1255. DOI: 10.3969/j.issn.1001-5256.2022.06.008
Abstract(1968) HTML (342) PDF (1829KB)(270)
Abstract:
An excerpt of investigation and management of Wilson's disease: A practical guide from the British Association for the Study of the Liver (2022)
Weiyuan FANG, Jianshe WANG
2022, 38(6): 1256-1257. DOI: 10.3969/j.issn.1001-5256.2022.06.009
Abstract(1315) HTML (324) PDF (1812KB)(165)
Abstract:
An excerpt of report of the Baveno Ⅶ Consensus Workshop: Personalized care in portal hypertension
Xiaofeng ZHANG, Qinjun HE, Haiyu WANG, Jiankang SONG, Yuanjian ZHANG, Miaoxia LIU, Yali JI, Jinjun CHEN
2022, 38(6): 1258-1268. DOI: 10.3969/j.issn.1001-5256.2022.06.010
Abstract(1644) HTML (970) PDF (1926KB)(406)
Abstract:
Original Articles_Viral Hepatitis
Effect of the change in antiviral therapy indication in increasing the treatment rate of chronic hepatitis B
Hao WANG, Shan SHAN, Hong YOU, Xiaoyuan XU, Lai WEI, Jinlin HOU, Hui ZHUANG, Yuanyuan KONG, Jidong JIA, China Registry of Hepatitis B (CR-HepB) Group
2022, 38(6): 1269-1274. DOI: 10.3969/j.issn.1001-5256.2022.06.011
Abstract(1572) HTML (349) PDF (2465KB)(203)
Abstract:
  Objective  To investigate the impact of the change in anti-hepatitis B virus (HBV) therapy indication on treatment rate and the features of the population requiring treatment.  Methods  The treatment-naïve patients with chronic hepatitis B (CHB) in the China Registry of Hepatitis B (CR-HepB) database were selected as subjects, and related demographic, virological, hematological, and biochemical data were collected. The Mann-Whitney U test was used for comparison of non-normally distributed continuous data between two groups, and the Kruskal-Wallis H test was used for comparison between multiple groups; the chi-square test or the Fisher's exact test was used for comparison of categorical data between groups.  Results  A total of 3640 treatment-naïve CHB patients were included in this study, among whom 64.4% were male, 68.7% had an age of 30-59 years, and 46.8% had an indeterminate clinical stage. According to the 2015 and 2019 editions of Guidelines for the prevention and treatment of chronic hepatitis B and the 2022 edition of expert consensus, the number of patients who had the indication for antiviral therapy was 625(17.2%), 1333(36.6%), and 2890(79.4%), respectively. The number of patients requiring treatment was increased by 1557 according to the 2022 edition of expert consensus, among whom 1424(91.5%) met the treatment threshold of alanine aminotransferase (ALT) > 30 U/L for male patients or ALT > 19 U/L for female patients. The additional patients requiring treatment according to the 2022 edition of expert consensus had significantly higher levels of ALT and HBV DNA and significantly lower scores of APRI and FIB-4 than the additional patients requiring treatment according to the 2019 edition of Guidelines (all P < 0.05).  Conclusion  The expansion of antiviral therapy indications for CHB may significantly increase the proportion of CHB patients receiving antiviral treatment and help mild CHB patients at the risk of disease progression to receive timely treatment and achieve the improvement in long-term prognosis.
Influence of copy number variations in the FCGR3A and FCGR3B genes on the outcome of hepatitis B virus infection
Haotian LI, Tongtong WANG, Xutong LI, Yufeng GAO
2022, 38(6): 1275-1279. DOI: 10.3969/j.issn.1001-5256.2022.06.012
Abstract(798) HTML (440) PDF (1867KB)(68)
Abstract:
  Objective  To investigate the association of copy number variations (CNVs) in the FCGR3A and FCGR3B genes with different outcomes and disease progression after hepatitis B virus (HBV) infection.  Methods  Peripheral blood samples were collected from 841 patients with chronic HBV infection and 296 patients with self-limited HBV infection, an according to the degree of disease progression, the patients with chronic HBV infection were further divided into chronic hepatitis B (CHB) group, liver cirrhosis (LC) group, and hepatocellular carcinoma (HCC) group. The AccuCopy technique was used for the quantitative analysis of CNVs in the FCGR3A and FCGR3B genes in peripheral blood. The independent samples t-test was used for comparison of continuous data between two groups, and a one-way analysis of variance and the Kruskal-Wallis H test were used for comparison between multiple groups; the chi-square test was used for comparison of categorical data between groups. The chi-square test was also used to investigate the difference in the distribution of CNVs in the FCGR3 gene between different groups. The age-and sex-adjusted logistic regression model was used to investigate the influence of CNVs on the chronicity of HBV infection.  Results  There was a significant difference in the frequency distribution of CNVs in the FCGR3A and FCGR3B genes between the chronic HBV infection group and the self-limited HBV infection group (χ2=11.406 and 19.143, both P < 0.05). As for disease progression after chronic HBV infection, there were no significant differences in CNVs of the FCGR3A and FCGR3B genes between the CHB group, the LC group, and the HCC group (FCGR3A: χ2=3.125, P=0.537; FCGR3B: χ2=5.274, P=0.260). There were also no significant differences in CNVs of the FCGR3A and FCGR3B genes between the HBeAg-positive group and the HBeAg-negative group (FCGR3A: χ2=1.025, P=0.599; FCGR3B: χ2=0.712, P=0.701). Reduction or deletion of the copy number of the FCGR3A and FCGR3B genes was a risk factor for the chronicity of HBV infection (FCGR3A: odds ratio [OR]=0.621, 95% confidence interval [CI]: 0.513-0.752; FCGR3B: OR=0.594, 95%CI: 0.491-0.719).  Conclusion  Reduction or deletion of the copy number of the FCGR3A and FCGR3B genes may be a genetic susceptibility factor for the chronicity of HBV infection, but it is not associated with disease progression.
Effect of Liangxue Jiedu decoction on intestinal flora in patients with hepatitis B virus-related acute-on-chronic liver failure: An analysis based on high-throughput sequencing
Yixin HOU, Qun ZHANG, Yuyong JIANG, Hao YU, Yuying YANG, Xianbo WANG
2022, 38(6): 1280-1287. DOI: 10.3969/j.issn.1001-5256.2022.06.013
Abstract(927) HTML (294) PDF (5458KB)(52)
Abstract:
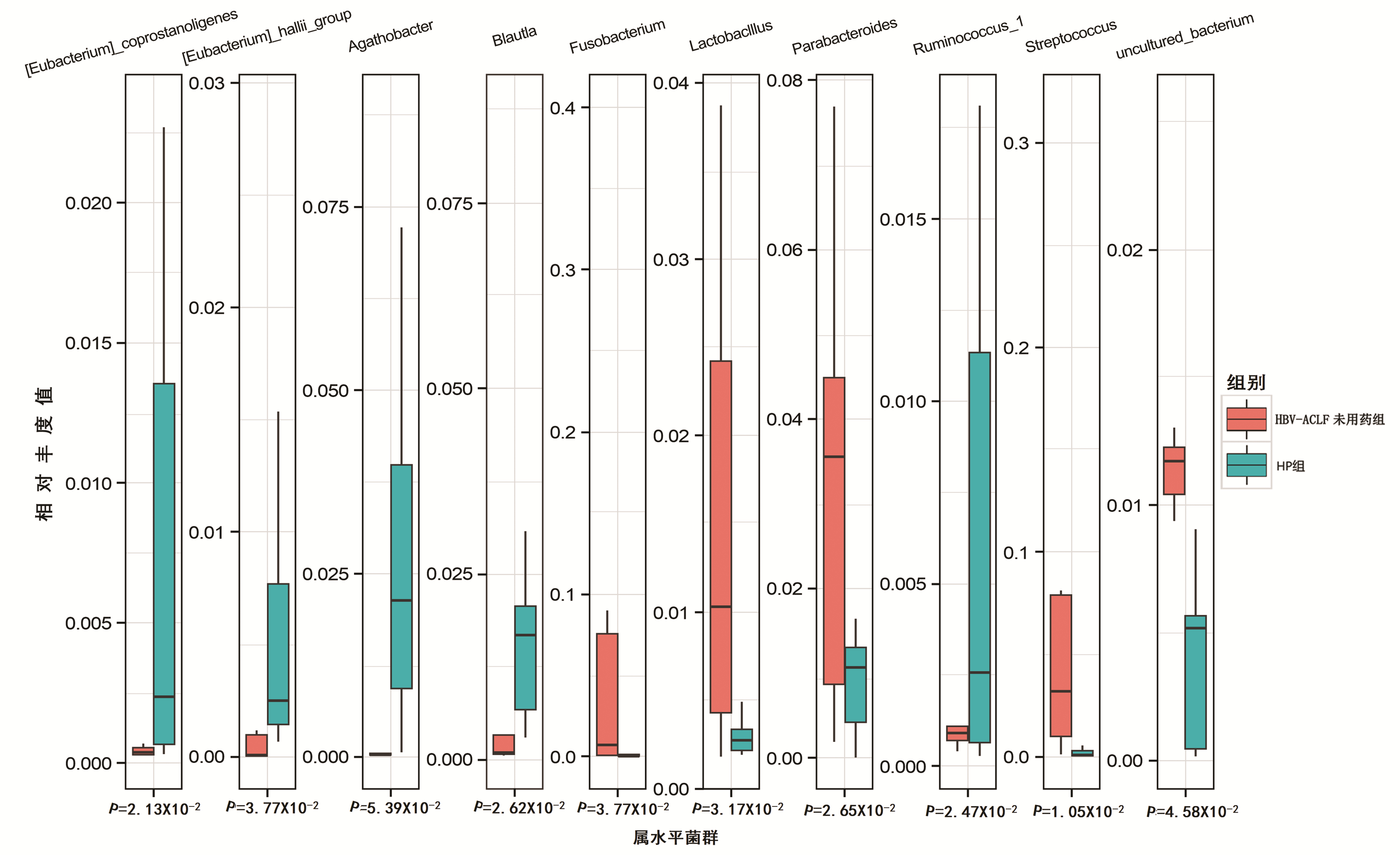
  Objective  To investigate the effect of Liangxue Jiedu decoction on intestinal flora in patients with hepatitis B virus-related acute-on-chronic liver failure (HBV-ACLF).  Methods  The patients who were hospitalized and diagnosed with HBV-ACLF in Beijing Ditan Hospital from October 2018 to October 2019 were enrolled, and healthy individuals were enrolled as HP group. High-throughput sequencing was used to screen for the differences in bacterial diversity and species between HBV-ACLF patients and healthy individuals, and differentially expressed bacteria between the two groups were screened out at the phylum and genus levels. With the help of in vitro simulated fermentation experiment, fecal samples were collected from the patients with HBV-ACLF and were then cultured in the medium containing different concentrations of Liangxue Jiedu decoction (0, 10%, 50%, and 100%) for 24 hours, and the changes in intestinal flora were analyzed and compared between the HBV-ACLF treatment group, the HBV-ACLF non-treatment group, and the HP group at the genus level. The t-test was used for comparison of normally distributed continuous data between two groups, and the Mann-Whitney U test was used for comparison of non-normally distributed continuous data between two groups.  Results  A total of 10 HBV-ACLF patients were enrolled, with 5 in the HBV-ACLF treatment group and 5 in the HBV-ACLF non-treatment group, and there were 15 individuals in the HP group. Compared with the HP group, the HBV-ACLF non-treatment group had significant reductions in the diversity and abundance of intestinal flora. At the phylum level, Bacteroidetes and Firmicutes were mainly observed in the samples of the HP group, while the HBV-ACLF non-treatment group had a significant reduction in Bacteroidetes and significant increases in Fusobacteria, Proteobacteria, and Fibrobacteres. At the genus level, compared with the HP group, the HBV-ACLF non-treatment group had significant reductions in Ruminococcus, Blautia, and Eubacterium and significant increases in Parabacteroides, Lactobacillus, Fusobacterium, and Streptococcus. The in vitro fermentation experiment showed that compared with the HBV-ACLF non-treatment group, the HBV-ACLF treatment group had significant increases in Ruminococcus, Lachnospira, Bacteroides, and Genusgenus and significant reductions in Fusobacterium and Proteobacteria (all P < 0.05).  Conclusion  Liangxue Jiedu decoction can regulate intestinal flora disturbance, restore the diversity of intestinal flora, increase dominant bacteria, and reduce pathogenic bacteria, which may be one of its important mechanisms of action in the treatment of HBV-ACLF.
Original Articles_Fatty Liver Diseases
Diagnostic accuracy of FibroScan-AST score in nonalcoholic steatohepatitis with significant activity and fibrosis
Gangde ZHAO, Simin GUO, Qing XIE, Honglian GUI
2022, 38(6): 1288-1292. DOI: 10.3969/j.issn.1001-5256.2022.06.014
Abstract(1962) HTML (843) PDF (1857KB)(167)
Abstract:
  Objective  To investigate the diagnostic accuracy of FibroScan-AST (FAST) score in patients with high-risk nonalcoholic steatohepatitis (NASH) with a nonalcoholic fatty liver disease (NAFLD) activity score of ≥4 and significant liver fibrosis (F ≥2), along with comparison with other serological models.  Methods  A total of 84 consecutively admitted patients hospitalized in Ruijin Hospital from January 2015 to December 2020 and biopsy-confirmed NAFLD/NASH were included in this study, and FibroScan (liver stiffness measurement and controlled attenuation parameter) and blood biochemical tests were performed at one week before and after liver biopsy. A Kruskal-Wallis H analysis of variance was used for comparison between multiple groups, and Spearman's correlation coefficient was used to analyze the correlation between variables. The receiver operating characteristic (ROC) curve was plotted with pathological results as the "gold standard", and the area under the ROC curve (AUC) was calculated. Sensitivity, specificity, positive predictive value (PPV), negative predictive value (NPV), and classification accuracy were calculated based on the cut-off values determined by previous studies. In subgroup analysis, the patients were divided into subgroups based on different clinical indices to evaluate the diagnostic accuracy of each model, which was expressed as AUC (95% confidence interval [CI]).  Results  Among the 84 patients, 43 had high-risk NASH. The FAST score was 0.54(0.04-0.93) for all patients, and the FAST score for liver fibrosis stages F0-F4 was 0.26(0.06-0.73), 0.48(0.04-0.82), 0.61(0.13-0.75), 0.64(0.09-0.93), and 0.82(0.75-0.89), respectively, with a significant difference between stages (H=23.360, P < 0.001). FAST score was positively correlated with liver fibrosis stage (r=0.491, P < 0.001). NAFLD fibrosis score (NFS), fibrosis-4 (FIB-4), and aspartate aminotransferase-to-platelet ratio index were positively correlated with liver fibrosis stage (r=0.230, 0.346, and 0.281, all P < 0.05), with a weaker correlation than FAST score. FAST score had an AUC of 0.725 (95%CI: 0.617-0.834, P < 0.001) in evaluating high-risk NASH. According to the low cut-off value determined by previous studies, FAST score ≤0.35 excluded high-risk NASH in 21 patients (25%) with an NPV of 71%; according to the high cut-off value, FAST score ≥0.67 helped to make a confirmed diagnosis of high-risk NASH in 19 patients (22.6%) with a PPV of 74%. NFS and FIB-4 had an AUC of 0.633(95%CI: 0.513-0.753) and 0.686(95%CI: 0.570-0.803), respectively, in the diagnosis of high-risk NASH (P < 0.05).  Conclusion  FAST score can accurately determine the presence or absence of high-risk NASH in NAFLD patients with or without metabolic risk factors, and selection of appropriate cut-off values can help some patients avoid liver biopsy.
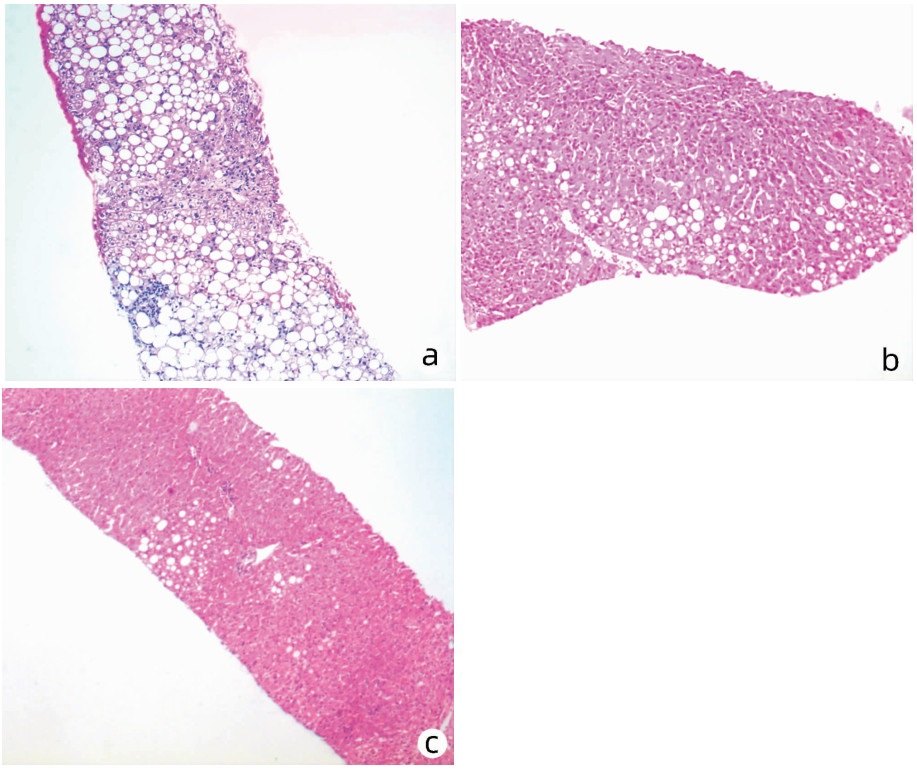
Influence of vitamin D deficiency on fibrosis-4 index and disease severity in patients with nonalcoholic steatohepatitis
Quan ZHOU, Jinqiang LI, Xiaowu LI
2022, 38(6): 1293-1298. DOI: 10.3969/j.issn.1001-5256.2022.06.015
Abstract(1184) HTML (521) PDF (2576KB)(86)
Abstract:
  Objective  To investigate the influence of vitamin D deficiency on nonalcoholic steatohepatitis (NASH).  Methods  The patients with NASH who were hospitalized in Department of Infectious Diseases, The First Hospital of Changsha, from January 2020 to October 2021 were enrolled, and according to the serum level of 1, 25(OH)2D3, they were divided into group A with 1, 25(OH)2D3 deficiency (< 20 ng/mL), group B with 1, 25(OH)2D3 insufficiency (20-30 ng/mL), and group C with sufficient 1, 25(OH)2D3 (> 30 ng/mL). The three groups were compared in terms of the serum levels of 1, 25(OH)2D3, alanine aminotransferase (ALT), aspartate aminotransferase (AST), total bilirubin (TBil), total cholesterol (TC), triglyceride (TG), interleukin-18 (IL-18), and interleukin-37 (IL-37) and liver pathological grade, and fibrosis-4 (FIB-4) index was calculated. A one-way analysis of variance was used for comparison of continuous data between multiple groups, and the least significant difference t-test was used for further comparison between two groups; the chi-square test was used for comparison of categorical data between groups. A Pearson correlation analysis was also performed.  Results  A total of 120 NASH patients were enrolled, with 40 patients in each group. Compared with group A, groups B and C had significant increases in the levels of 1, 25(OH)2D3 and IL-37 and significant reductions in FIB-4 index and the levels of ALT, AST, TBil, TC, TG, and IL-18 (all P < 0.05). Compared with group B, group C had significant increases in the levels of 1, 25(OH)2D3 and IL-37 and significant reductions in FIB-4 index and the levels of ALT, AST, TC, TG, and IL-18 (all P < 0.05). The correlation analysis showed that 1, 25(OH)2D3 was negatively correlated with ALT (r=-0.84, P < 0.001), AST (r=-0.77, P < 0.001), TBil (r=-0.32, P < 0.001), TC (r=-0.45, P < 0.001), TG (r=-0.42, P < 0.001), IL-18 (r=-0.40, P < 0.001), and FIB-4 index (r=-0.62, P < 0.001), and it was positively correlated with IL-37 (r=0.59, P < 0.001). Compared with group A, groups B and C had significant reductions in the proportion of patients with severe steatosis (χ2=51.46, P < 0.001), bridging fibrosis and early liver cirrhosis (χ2=36.59, P < 0.001), or bridging necrosis and large-scale necrosis (χ2=37.28, P < 0.001). Light microscopy showed that group A had extensive ballooning degeneration of hepatocytes, a large number of lipid droplets (mainly macrovesicular lipid droplets), disordered arrangement of the liver plate, lymphocyte infiltration, and focal bridging fibrosis; group B mainly had spotted focal necrosis, periportal fibrosis, lipid droplets with various sizes, a small amount of neutrophil infiltration, and ballooning degeneration of some hepatocytes; group C had ballooning degeneration of a small number of hepatocytes, focal perisinusoidal fibrosis, a small number of lesions with spotted focal necrosis, and a small number of lipid droplets in the cytoplasm of hepatocytes.  Conclusion  The degree of liver injury and fibrosis increases with the reduction in vitamin D level, and vitamin D measurement helps to evaluate the progression of NASH.
Clinical significance of the determination of fecal short-chain fatty acids in patients with nonalcoholic fatty liver disease
Hui LI, Xuehong WANG, Zhenqi MA, Wenxia MA, Liping YANG
2022, 38(6): 1299-1306. DOI: 10.3969/j.issn.1001-5256.2022.06.016
Abstract(1669) HTML (677) PDF (2410KB)(98)
Abstract:
  Objective  To investigate the association of the metabolism of intestinal short-chain fatty acids (SCFAs) with the development and progression of the disease spectrum of nonalcoholic fatty liver disease (NAFLD) by determining the content of fecal SCFAs in patients with different NAFLD diseases and the change in the content of fecal SCFAs after treatment in patients at a high risk of nonalcoholic steatohepatitis (NASH).  Methods  A total of 90 patients who were diagnosed with NAFLD in The Affiliated Hospital of Qinghai University from July 2020 to July 2021 were enrolled and divided into simple nonalcoholic fatty liver (NAFL) group with 30 patients, NASH group with 30 patients, and nonalcoholic fatty liver fibrosis group with 30 patients, and 40 individuals who underwent physical examination during the same period of time were enrolled as control group. Related case data and fecal SCFAs content were collected for the four groups, and related clinical indices and fecal SCFAs content were collected for 10 patients at a high risk of NASH after 3 months of intervention. The analysis of variance was used for comparison of normally distributed continuous data between multiple groups, and the paired samples t-test was used for comparison within each group; the Kruskal-Wallis H test was used for comparison of non-normally distributed continuous data between multiple groups, and the paired samples Wilcoxon signed rank sum test was used for comparison within each group; a Spearman correlation analysis was used to investigate the correlation between variables; the receiver operating characteristic (ROC) curve analysis was used for diagnostic evaluation.  Results  Compared with the control group, the nonalcoholic fatty liver fibrosis group had significantly higher contents of valeric acid and caproic acid, and the NAFL group had significantly lower contents of valeric acid and caproic acid (all P < 0.05); the nonalcoholic fatty liver fibrosis group had significantly higher contents of valeric acid and caproic acid than the NAFL group (P < 0.05); the nonalcoholic fatty liver fibrosis group had a significantly higher content of valeric acid than the NASH group (P < 0.05); the NASH group had a significantly higher content of caproic acid than the NAFL group (P < 0.05). After treatment, the high-risk patients in the NASH group had significant reductions in HbA1c, fasting plasma glucose (FPG), triglyceride (TG), total cholesterol (TC), alanine aminotransferase (ALT), aspartate aminotransferase (AST), gamma-glutamyl transpeptidase (GGT), total bile acid (TBA), prothrombin time (PT), uric acid (UA), controlled attenuation parameter (CAP), and liver stiffness measurement (LSM) (Z=-2.805, -2.703, -2.193, -2.599, -2.805, -2.701, -2.803, -1.988, -2.807, -2.803, -2.803, and -2.668, all P < 0.05); for these patients, the contents of acetic acid and propionic acid after treatment were significantly higher than those before treatment (Z=-2.803 and -2.803, both P < 0.05), and the content of isobutyric acid after treatment was significantly lower than that before treatment (Z=-2.803, P < 0.05). In the diagnosis of nonalcoholic fatty liver fibrosis, valeric acid had an area under the ROC curve (AUC) of 0.842, with a sensitivity of 86.7% and a specificity of 70% at the optimal cut-off value of 141.42 μg/g; caproic acid had an AUC of 0.819, with a sensitivity of 70% and a specificity of 85% at the optimal cut-off value of 6.93 μg/g.  Conclusion  Valeric acid and caproic acid may promote the development of NAFLD disease spectrum. Acetic acid and propionic acid may have a certain protective effect on the liver of NAFLD patients, and isobutyric acid may promote the development and progression of NASH. The protective effect of acetic acid and propionic acid on the liver may further lead to the reductions in HbA1c, FPG, TG, TC, ALT, AST, GGT, TBA, PT, UA, CAP, and LSM. Valeric acid and caproic acid have an inferior diagnostic value to PIIIP N-P and a superior diagnostic value to type IV collagen and hyaluronic acid. Valeric acid with the optimal cut-off value of 141.42 μg/g and caproic acid with the optimal cut-off value of 6.93 μg/g can be used as the auxiliary diagnostic indicators for the early diagnosis of nonalcoholic fatty liver fibrosis.
Original Articles_Autoimmune Liver Diseases
Value of serum IgG4 level in differential diagnosis of IgG4-related pancreatic and hepatobiliary diseases and non-IgG4-related pancreatic and hepatobiliary diseases
Chang LI, Lei YAN, Li WANG, Chongxu HAN, Yunfeng YE, Defu JIN, Yuzhang JIANG
2022, 38(6): 1307-1310. DOI: 10.3969/j.issn.1001-5256.2022.06.017
Abstract(1189) HTML (259) PDF (1986KB)(74)
Abstract:
  Objective  To investigate the value of serum IgG4 level in the differential diagnosis of IgG4-related pancreatic and hepatobiliary disease (IgG4-PHD) and non-IgG4-related disease (non-IgG4-RD).  Methods  Clinical data were collected from 491 patients who were hospitalized and 50 individuals who underwent physical examination in Huaian No. 1 People's Hospital Affiliated to Nanjing Medical University, Subei People's Hospital, and The First Affiliated Hospital of Xuzhou Medical University from August 2014 to April 2021. The 491 patients were divided into IgG4-PHD group with 20 patients, non-IgG4-RD autoimmune disease group with 431 patients (104 patients with systemic lupus erythematosus, 79 with rheumatoid arthritis, 174 with Sjogren's syndrome, 16 with ankylosing spondylitis, 11 with scleroderma, 4 with adult-onset Still's disease, 30 with myositis, 3 with psoriasis, and 10 with primary sclerosing cholangitis), and malignant pancreatic/hepatobiliary tumor group with 40 patients, and the 50 individuals undergoing physical examination were enrolled as healthy control group. Scattering immunoturbidimetric assay was used to measure serum IgG4 concentration. The two-sample Mann-Whitney U test was used for comparison of normally distributed continuous data between groups, and the Fisher's exact test was used for comparison of categorical data between groups. The receiver operating characteristic (ROC) curve was plotted to determine the optimal cut-off value of serum IgG4 in the diagnosis of IgG4-PHD.  Results  The IgG4-PHD group had a significantly higher serum IgG4 level than the non-IgG4-RD autoimmune disease groups, the malignant pancreatic/hepatobiliary tumor group, and the healthy control group (all P < 0.05), and the Sjogren's syndrome group had a significantly lower serum IgG4 level than the healthy control group (Z=2.958, P < 0.05). With serum IgG4 ≥1.35 g/L and IgG4 ≥2.01 g/L as the cut-off values, the IgG4-PHD group had a significantly higher positive rate than the non-IgG4-RD autoimmune disease group and the healthy control group (all P < 0.05). The ROC curve analysis showed that IgG4 had an area under the ROC curve of 0.980 in the differential diagnosis of IgG4-PHD and non-IgG4-RD autoimmune diseases, with a sensitivity of 100.00% and a specificity of 94.00% at the optimal cut-off value of 2.21 g/L.  Conclusion  Serum IgG4 level may also increase in non-IgG4-RD autoimmune diseases, while the cut-off value of 2.21 g/L can improve the differential diagnosis of IgG4-PHD and non-IgG4-RD autoimmune diseases, which requires further verification in clinical practice.
Original Articles_Liver Fibrosis and Liver Cirrhosis
Association of energy metabolic markers with the short-term risk of spontaneous bacterial peritonitis in patients with decompensated hepatitis B virus-related liver cirrhosis
Xiumin CHEN, Shenglong LIN, Xiangmei WANG, Huaxi MA, Dongqing ZHANG, Ziyuan LIAO, Minghua LIN, Haibing GAO
2022, 38(6): 1311-1316. DOI: 10.3969/j.issn.1001-5256.2022.06.018
Abstract(1047) HTML (314) PDF (2128KB)(66)
Abstract:
  Objective  To investigate the association of energy metabolic markers with the risk of spontaneous bacterial peritonitis (SBP) in patients with decompensated hepatitis B virus-related liver cirrhosis (HBV-LC).  Methods  A retrospective analysis was performed for the clinical data of the patients with decompensated HBV-LC who were admitted to Mengchao Hepatobiliary Hospital of Fujian Medical University from November 2017 to November 2019, and baseline clinical parameters and energy metabolic markers were compared between the patients with SBP and those without SBP within 2 weeks after admission. A multivariate logistic regression analysis was performed to investigate the risk factors for SBP. The t-test was used for comparison of normally distributed continuous data between two groups, and the Kruskal-Wallis H test was used for comparison of non-normally distributed continuous data between two groups; the Fisher's exact test was used for comparison of categorical data between two groups. The receiver operating characteristic (ROC) curve was plotted to evaluate the diagnostic efficiency of the newly established logistic regression model, and with the corresponding point of Youden index as the cut-off value, the DeLong test was used to compare the area under the ROC curve (AUC).  Results  A total of 50 patients with decompensated HBV-LC were included, among whom 23 (46%) developed SBP within 2 weeks after admission and 27 (54%) had no SBP during hospitalization. Compared with the non-SBP patients, the SBP patients had significantly lower triglyceride, prealbumin, and prothrombin time activity (PTA) and significantly higher international normalization ratio, C-reactive protein (CRP), and Model for End-Stage Liver Disease score (all P < 0.05). Comparison of baseline energy metabolic markers showed that compared with the non-SBP patients, the SBP patients had significantly lower respiratory quotient (RQ) [0.79(0.76-0.86) vs 0.85(0.79-0.91), P=0.041] and carbohydrate oxidation (CHO) rate [20.50%(15.25%-41.05%) vs 41.6%(22.25%-68.05%), P=0.041]. The multivariate logistic regression analysis showed that PTA was an independent risk factor for SBP in the patients with decompensated HBV-LC during hospitalization (odd ratio=0.004, P=0.008), and the regression model established based on the variables including PTA, CRP, RQ, and CHO had an AUC of 85.0% and a cut-off value of 0.60 at the maximum Youden index, with a specificity of 85.19% and a sensitivity of 73.91%, suggesting that this model had a better discriminatory ability than CRP (AUC=74.5%, P=0.049) and procalcitonin (AUC=56.4%, P < 0.01).  Conclusion  There are significant reductions in the energy metabolic markers RQ and CHO in the patients with decompensated HBV-LC who develop SBP within a short term, and their combination with PTA, CRP, and CHO/RQ ratio can help clinicians identify the patients at a high risk of SBP in the early stage and enhance nutrition support for such patients.
Original Articles_Liver Neoplasms
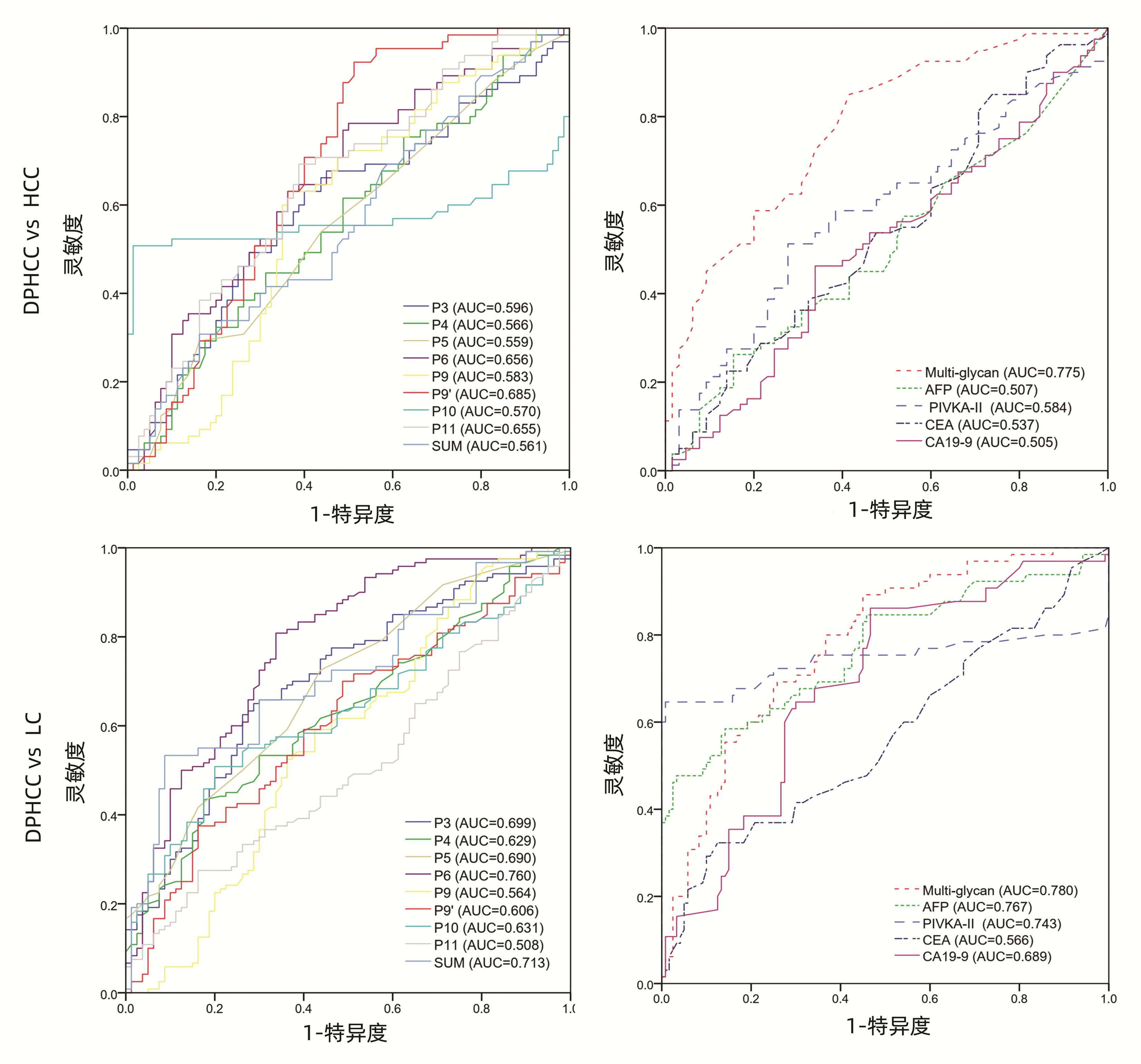
Value of multi-glycan in the auxiliary diagnosis of dual-phenotype hepatocellular carcinoma
Huijuan FENG, Yu ZHANG, Chuanshang ZHUO, Chenjun HUANG, Meng FANG, Lijuan LIU
2022, 38(6): 1317-1322. DOI: 10.3969/j.issn.1001-5256.2022.06.019
Abstract(1074) HTML (526) PDF (3387KB)(52)
Abstract:
  Objective  To investigate the expression of multi-glycan in serum of patients with dual-phenotype hepatocellular (DPHCC) and its clinical significance.  Methods  Serum samples were collected from 65 patients with DPHCC, 80 patients with primary hepatocellular carcinoma (HCC), and 120 patients with liver cirrhosis (LC) who were treated in Mengchao Hepatobiliary Hospital of Fujian Medical University from June 2019 to December 2020. DNA sequencer-aided fluorophore-assisted carbohydrate electrophoresis was used to measure the expression of N-glycan in serum, The measurement data of normal distribution were compared by t-test between the two groups and analysis of variance between multiple groups; The measurement data with non normal distribution were compared by Mann-Whitney U test between the two groups and Kruskal-Wallis H test between multiple groups, the chi-square test was used for comparison of categorical data between groups.The logistic regression method was used to establish the common index model. The efficacy of AFP, PIVKA - Ⅱ, CEA, CA19-9 and multi glycan in the diagnosis of DPHCC was evaluated by receiver operating characteristic (ROC) curve, and the area under ROC curve (AUC) was compared by Z test.  Results  There was a significant difference in multi-glycan between the DPHCC group and the HCC group (P < 0.001), while there were no significant differences in AFP, PIVKA-Ⅱ, CEA, CA19-9, and SUM between the two groups (P=0.924, 0.084, 0.442, 0.924, and 0.206). Multi-glycan had an area under the ROC curve (AUC) of 0.775, which was significantly higher than that of AFP (0.507), PIVKA-Ⅱ (0.584), CEA (0.537), CA19-9 (0.505), and SUM (0.561), and multi-glycan had a sensitivity of 69.23%, which was increased compared with the other 5 items. There were significant differences in multi-glycan, AFP, PIVKA-Ⅱ, CA19-9, and SUM between the DPHCC group and the LC group (all P < 0.001), but there was no significant difference in CEA between the two groups (P=0.14). Multi-glycan had an AUC of 0.780, which was also higher than that of AFP (0.767), PIVKA-Ⅱ (0.743), CEA (0.566), CA19-9 (0.689), and SUM (0.713), and multi-glycan had a sensitivity of 89.23%, which was increased compared with the other five items.  Conclusion  Multi-glycan can be used as one of the indicators for the auxiliary diagnosis of DPHCC.
Efficacy and safety of lenvatinib in patients with unresectable hepatocellular carcinoma previously treated with tyrosine kinase inhibitor
Xiaomin LIU, Wei SUN, Jianying WEI, Wendong LI, Xiaoyan DING, Minghua YU, Jinglong CHEN
2022, 38(6): 1323-1327. DOI: 10.3969/j.issn.1001-5256.2022.06.020
Abstract(1457) HTML (455) PDF (2021KB)(66)
Abstract:
  Objective  To investigate the efficacy and safety of lenvatinib in patients with unresectable hepatocellular carcinoma (HCC) previously treated with tyrosine kinase inhibitor (TKI).  Methods  A retrospective analysis was performed for the clinical data of 76 patients with unresectable HCC who were treated with lenvatinib in Beijing Ditan Hospital, Capital Medical University, from January 2019 to January 2020, and according to the treatment method, they were divided into TKI previously untreated group with 49 patients and TKI treatment-experienced group with 27 patients. The patients were observed till one year after enrollment, adjustment of treatment regimen, tumor progression, or death. The two groups were compared in terms of progression-free survival (PFS) time, objective response rate (ORR), disease control rate (DCR), and incidence rate of adverse events. The t-test or the Wilcoxon rank-sum test was used for comparison of continuous data between two groups, and the chi-square test or the Wilcoxon rank-sum test was used for comparison of categorical data between two groups; the Kaplan-Meier method was used for survival analysis, and the log-rank test was used for comparison between groups.  Results  There were no significant differences between the TKI previously untreated group and the TKI treatment-experienced group in median PFS time (115 days vs 72 days, P=0.148), ORR (36.7% vs 18.5%, P=0.098), DCR (65.3% vs 55.6%, P=0.402), and incidence rates of grade ≥3 adverse events (24.5% vs 18.5%, P=0.550).  Conclusion  Patients with unresectable HCC previously treated with TKI can benefit from lenvatinib and have good safety, with similar results to those treated with TKI for the first time.
Expression of calcitonin gene-related peptide-receptor component protein in hepatocellular carcinoma and its association with prognosis
Guanqun SUN, Silei ZHOU, Tanlun ZENG, Junyu LIU, Xijun LIANG, Zhuo CHENG
2022, 38(6): 1328-1333. DOI: 10.3969/j.issn.1001-5256.2022.06.021
Abstract(1572) HTML (623) PDF (3225KB)(70)
Abstract:
  Objective  To investigate the expression level of calcitonin gene-related peptide-receptor component protein (CRCP) in hepatocellular carcinoma (HCC) tissue and adjacent tissue and its association with the clinicopathological features and prognosis of patients.  Methods  HCC and adjacent tissue samples were collected from 79 HCC patients who underwent surgical resection in Eastern Hepatobiliary Surgery Hospital, Navy Medical University, from June 2003 to September 2009. Tissue microarray was prepared, and immunohistochemistry was used for quantitative analysis. Related proteins were extracted and measured by Western blot, and the expression of CRCP was compared between HCC tissue and adjacent tissue. The chi-square test was used for comparison of categorical data between groups. The receiver operating characteristic (ROC) curve analysis was performed to obtain the area under the ROC curve (AUC), and goodness of fit was evaluated. Youden index was used to determine the optimal cut-off value. and the Kaplan-Meier survival analysis was used to analyze the association of CRCP expression with the recurrence and prognosis of HCC, and the log rank test was used for comparison between the two groups.  Results  Among the 79 HCC patients, there were 67 male patients and 12 female patients, with an age of 10-72 years, and 20 patients had portal vein tumor thrombus. As for pathological grade, 1 had grade 4 HCC, 61 had grade 3 HCC, and 17 had grade 2 HCC; as for BCLC stage, 5 had BCLC stage 0 HCC, 55 had BCLC stage A HCC, 11 had BCLC stage B HCC, and 8 had BCLC stage C HCC. Western blot showed that the expression level of CRCP in HCC tissue was lower than that in adjacent tissue in 4 patients, and immunohistochemistry showed that the expression level of CRCP in HCC tissue was significantly lower than that in adjacent tissue in 75.9% of the patients. Low CRCP expression was associated with CK19 positivity, incomplete tumor capsule, presence of portal vein tumor thrombus, and high pathological grade (χ2=6.410, 4.829, 9.319, and 9.083, all P < 0.05). Compared with the low CRCP expression group, the high CRCP expression group had a significantly longer overall survival time and a significantly lower recurrence rate (P < 0.001 and P=0.009).  Conclusion  Patients with low CRCP expression in HCC tissue tend to have a poorer prognosis than those with high CRCP expression, and CRCP may participate in the development, progression, and metastasis of HCC, suggesting that this molecule can be used as a potential biomarker to predict the prognosis of HCC patients.
Original Articles_Other Liver Diseases
Influencing factors for the prognosis of biopsy proven patients with chronic drug-induced liver injury: An analysis of 255 cases
Qiaoling WANG, Qingsheng LIANG, Ang HUANG, Xingran ZHAI, Huang XIE, Ying SUN, Zhengsheng ZOU
2022, 38(6): 1334-1340. DOI: 10.3969/j.issn.1001-5256.2022.06.022
Abstract(1174) HTML (290) PDF (3674KB)(88)
Abstract:
  Objective  To investigate the influencing factors for the prognosis of adult patients with chronic drug-induced liver injury (DILI).  Methods  A total of 255 patients who were diagnosed with chronic DILI by liver biopsy in The Fifth Medical Center of Chinese PLA General Hospital from January 2014 to December 2018 were enrolled, and according to the liver function after 2 years, they were divided into non-recovery group and recovery group. The two groups were analyzed in terms of the clinical data including age, sex, body mass index, types of drugs used, type of DILI injury, severity of DILI injury, underlying diseases, laboratory markers, liver histology, and 2-year prognosis. The t-test was used for comparison of normally distributed continuous data between two groups, and the Mann-Whitney U test was used for comparison of non-normally distributed continuous data between two groups; the chi-square test was used for comparison of categorical data between two groups. Univariate and multivariate logistic regression analyses were used to investigate the independent risk factors for the prognosis of chronic DILI.  Results  After 2 years of follow-up, 195 patients (76.5%) achieved the recovery of liver function, while 60 patients (23.5%) did not achieve such recovery. There were significant differences between the two groups in the type of DILI injury (P=0.028), the proportion of patients with diabetes (P=0.048), and the degree of liver fibrosis (P < 0.001), and compared with the recovery group, the non-recovery group had significantly higher levels of baseline white blood cell count, platelet count (PLT), alanine aminotransferase (ALT), aspartate aminotransferase (AST), gamma-glutamyl transpeptidase, and total bile acid and a significantly lower level of cholinesterase (ChE) (all P < 0.05). The baseline characteristics were included in the univariate logistic regression analysis, and the results showed that PLT, ALT, AST, ChE, and fibrosis degree were significantly associated with the prognosis of chronic DILI (all P < 0.05). The multivariate logistic regression analysis of the above variables showed that PLT < 100×109/L (odds ratio [OR]=3.592, 95% confidence interval [CI]: 1.128-11.438, P=0.003) and ALT > 2×upper limit of normal (ULN) (OR=3.080, 95%CI: 1.331-7.127, P=0.009) were independent risk factors for the prognosis of chronic DILI.  Conclusion  When patients meet the diagnostic criteria for chronic DILI, the independent risk factors PLT < 100×109/L and ALT > 2×ULN may be used to screen out the patients who are more likely to have poor prognosis.
Inhibitory effect of lidocaine on Kupffer cell inflammatory response and its effect on liver abscess formation in diabetic mice
Ruibin WANG, Yuzheng LU, Jinglin ZHU, Wei WANG, Guang JIA
2022, 38(6): 1341-1346. DOI: 10.3969/j.issn.1001-5256.2022.06.023
Abstract(963) HTML (394) PDF (3726KB)(57)
Abstract:
  Objective  To investigate whether lidocaine can reverse Kupffer cell dysfunction in diabetic mice, as well as the mechanism of lidocaine in affecting liver abscess formation by improving the phagocytic function of Kupffer cells.  Methods  C57BLKS/J db/db mice were divided into diabetes control group and diabetes+lidocaine group, and C57BLKS/J db/m mice were divided into non-diabetes control group and non-diabetes+lidocaine group, with 5 mice in each group. All mice were fed with the suspension of Klebsiella pneumoniae. Kupffer cells were collected from each group and were cultured in vitro; an electron microscope was used to measure the change in ultrastructure, and Kupffer c ells were measured in terms of the levels of inflammatory mediators, the expression level of intercellular adhesion molecule-1 (ICAM-1), the chemotactic function of neutrophils, and phagocytic function; liver abscess formation was also observed. The Kruskal-Wallis H test was used for comparison of continuous data between multiple groups, and the Mann-Whitney U test was used for further comparison between two groups; the chi-square test was used for comparison of categorical data between groups.  Results  Compared with the non-diabetic mice, the diabetic mice had significant reductions in mitochondria and rough endoplasmic reticulum, endoplasmic reticulum dilation, mitochondrial swelling, and an increase in lipid droplets in Kupffer cells. Compared with the non-diabetes control group, the diabetes control group had significant increases in the levels of nitric oxide (NO) (4.95±0.06 μmol/L vs 1.34±0.13 μmol/L, P < 0.05), interleukin-6 (IL-6) (740.04±8.58 pg/mL vs 515.77±4.62 pg/mL, P < 0.05), tumor necrosis factor-α (TNFα) (774.23±7.98 pg/mL vs 461.51±1.76 pg/mL, P < 0.05), interferon gamma (IFNγ) (842.33±14.79 pg/mL vs 542.47±6.75 pg/mL, P < 0.05), and ICAM-1 (2.40±0.02 vs 1.33±0.01, P < 0.05) in Kupffer cells, a significant increase in neutrophil chemotaxis (100.80±10.18 vs 13.80±3.70, P < 0.05), and a significant reduction in phagocytic capacity (9.86±1.82 vs 60.00±3.54, P < 0.05), with no effect on liver abscess formation (40% vs 0, P > 0.05). Compared with the diabetes control group, the diabetes+lidocaine group had significant reductions in the levels of NO (3.35±0.28 μmol/L vs 4.95±0.06 μmol/L, P < 0.05), IL-6 (688.42±36.34 pg/mL vs 740.04±8.58 pg/mL, P < 0.05), TNFα (631.15±4.30 pg/mL vs 774.23±7.98 pg/mL, P < 0.05), IFNγ (704.56±3.64 pg/mL vs 842.33±14.79 pg/mL, P < 0.05), and ICAM-1 (1.50±0.02 vs 2.40±0.02, P < 0.05) in Kupffer cells, a significant reduction in neutrophil chemotaxis (33.40±5.60 vs 100.80±10.18, P < 0.05), and a significant increase in phagocytic capacity (49.20±2.59 vs 9.86±1.82, P < 0.05), with no effect on liver abscess formation (0 vs 40%, P > 0.05).  Conclusion  Lidocaine can inhibit Kupffer cell inflammatory response and improve the phagocytic function of Kupffer cells in diabetic mice, thereby exerting a protective effect on Kupffer cells, but it had no effect on liver abscess formation.
Original Articles_Biliary Diseases
Etiological characteristics of infection after percutaneous biliary drainage or stent implantation for malignant biliary obstruction
Siyin LI, Zhi LI, Bingke JIAO, Qiyuan HONG, Xiaoqing JIANG, Jianwei ZOU, Caifang NI
2022, 38(6): 1347-1350. DOI: 10.3969/j.issn.1001-5256.2022.06.024
Abstract(892) HTML (317) PDF (2071KB)(63)
Abstract:
  Objective  To investigate the etiological characteristics of infection after percutaneous biliary drainage or stent implantation in patients with malignant biliary obstruction (MBO).  Methods  Clinical data were collected from MBO patients who underwent interventional therapy in Department of Interventional Radiology, The First Affiliated Hospital of Soochow University, from January 2016 to December 2020 and had or were suspected of biliary tract infection, with samples submitted for bile culture and/or simultaneous blood culture. Analysis was performed for the aspects of positive rate of culture, flora distribution, consistency between blood culture and bile culture, and drug resistance rate of major pathogenic bacteria.  Results  A total of 219 patients were enrolled, among whom 105(47.95%) were positive for bile culture, and the composition ratios of Gram-negative bacteria, Gram-positive bacteria, and fungi were 64.89%, 28.24%, and 6.87%, respectively. A total of 69 patients had samples submitted for blood culture during the same period of time, among whom 33(47.82%) had positive results. Positive results of both bile culture and blood culture were observed in 25 patients, and consistency analysis showed that the patients with complete consistency, partial consistency, and complete inconsistency accounted for 36%(9/25), 20%(5/25), and 44%(11/25), respectively. Common Gram-negative bacteria were Escherichia coli, Klebsiella pneumoniae, and Enterobacter cloacae, with a relatively low level of drug resistance to antibiotics including cefoperazone/sulbactam, amikacin, and imipenem. Common Gram-positive bacteria were Enterococcus faecium and Enterococcus faecalis, with a relatively low level(< 15%) of drug resistance to antibiotics including vancomycin, linezolid, and teicoplanin.  Conclusion  Common pathogens of infection after percutaneous biliary drainage or stent implantation in MBO patients include Escherichia coli, Klebsiella pneumoniae, Enterococcus, and Enterobacter cloacae. There is a relatively low level of consistency between blood culture and bile culture, and thus samples should be submitted for both tests.
Original Articles_Pancreatic Diseases
Ultrasound findings and contrast-enhanced ultrasound findings of mass-type autoimmune pancreatitis versus pancreatic ductal adenocarcinoma
Xiangliu OUYANG, Yunxia HAN, Lichun ZHENG, Yingchun ZHAO, Xinyu SHEN, Wenjun ZHANG, Yanbin WANG
2022, 38(6): 1351-1355. DOI: 10.3969/j.issn.1001-5256.2022.06.025
Abstract(1427) HTML (553) PDF (3738KB)(50)
Abstract:
  Objective  To investigate the value of ultrasound and contrast-enhanced ultrasound (CEUS) in the differential diagnosis of mass-type autoimmune pancreatitis (AIP) and pancreatic ductal adenocarcinoma (PDAC).  Methods  A retrospective analysis was performed for the clinical data, ultrasound findings, and CEUS findings of 11 patients with mass-type AIP who were diagnosed in Tangshan Workers' Hospital from January 2015 to December 2020, and their characteristic manifestations were analyzed and compared with the data of 23 patients with PDCA. The chi-square test was used for comparison of categorical data between two groups.  Results  For the 11 patients with mass-type AIP, CEUS had a diagnostic accuracy of 63.64%, and all of these patients had hypoechoic single lesions; the patients with clear boundaries, regular morphology, pancreatic duct dilatation or cutoff, and blood flow signal accounted for 54.55%, 63.64%, 18.18%, and 36.36%, respectively, while in the PDCA group, such patients accounted for 30.43%, 34.78%, 78.26%, and 21.74%, respectively, and there was a significant difference in the presence or absence of pancreatic duct dilatation or cutoff between the two groups(χ2=11.089, P < 0.05), with no significant differences in the other indices (all P > 0.05). For the 11 patients with mass-type AIP, CEUS showed that 7 patients (63.64%) had hyperenhancement and 4 (36.36%) had iso-enhancement in the arterial phase, and 5 patients (45.45%) had hyperenhancement in the arterial phase and 6 (54.55%) had iso-enhancement in the venous phase; for the 23 patients with PDCA, 22 (95.65%) had hypoenhancement of lesions in both arterial and venous phases, and there were significant differences in the enhancement pattern in arterial and venous phases between the two groups (χ2=30.345 and 30.084, both P < 0.05).  Conclusion  The enhancement pattern of CEUS and the presence or absence of pancreatic duct dilatation or cutoff have a relatively high value in the differential diagnosis of mass-type AIP and PDCA.
Efficacy and safety of enhanced recovery after surgery in the perioperative period of pancreaticoduodenectomy: A systematic review and Meta-analysis
Lin ZHU, Xiaoli YANG, Li LIU, Lanting XU, Yuanhong LENG, Jing CHEN
2022, 38(6): 1356-1363. DOI: 10.3969/j.issn.1001-5256.2022.06.026
Abstract(1353) HTML (418) PDF (3967KB)(63)
Abstract:
  Objective  To investigate the efficacy and safety of enhanced recovery after surgery (ERAS) in the perioperative period of pancreaticoduodenectomy (PD).  Methods  Chinese and English databases were searched for controlled clinical trials on the application of ERAS in PD published from 2000 to 2021. Screening, quality assessment, and data extraction were performed for the articles, and RevMan5.3 software was used for meta-analysis. This study was registered on PROSPERO with a registration number of CRD42021287931.  Results  A total of 22 controlled clinical trials were included, with 3531 patients in total. The results showed that the implementation of ERAS in the perioperative period of PD reduced the incidence rates of total complications (odds ratio [OR]=0.63, 95% confidence interval [CI]: 0.48-0.83, P=0.001), abdominal infection (OR=0.65, 95% CI: 0.47-0.88, P=0.005), pulmonary complications (OR=0.57, 95% CI: 0.42-0.78, P=0.000 5), pancreatic leakage (OR=0.80, 95% CI: 0.67-0.97, P=0.02), and delayed gastric emptying (OR=0.58, 95% CI: 0.48-0.71, P < 0.001) and effectively shortened the length of postoperative hospital stay (mean difference=-2.76, 95% CI: -3.36 to -2.16, P < 0.001). However, there were no significant differences between the two groups in mortality rate, incision infection, postoperative bleeding rate, reoperation, and rehospitalization (all P > 0.05).  Conclusion  ERAS has good efficacy and safety in the perioperative period of PD and can significantly reduce the incidence rates of postoperative complications and shorten the length of postoperative hospital stay. Therefore, it holds promise for clinical application.
Case Reports
Toxic epidermal necrolysis related to entecavir: A case report and literature review
Rui LU, Xiaozhen GENG, Shuangsuo DANG, Wenjun WANG
2022, 38(6): 1364-1366. DOI: 10.3969/j.issn.1001-5256.2022.06.027
Abstract(1177) HTML (326) PDF (1832KB)(86)
Abstract:
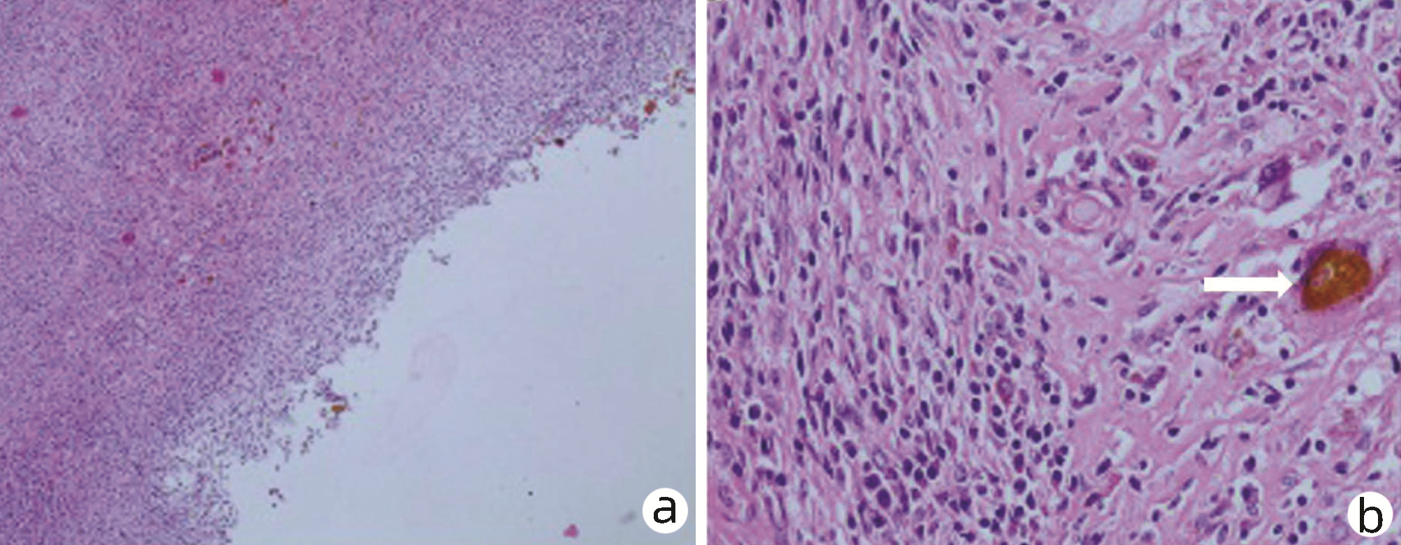
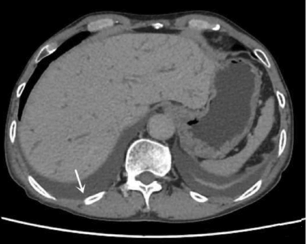
Hepatitis B cirrhosis with hepatic paragonimiasis misdiagnosed as primary liver cancer: A case report
Shenfeng HUANG, Jiajun LIN, Yang TAN, Zhifang CAI
2022, 38(6): 1367-1369. DOI: 10.3969/j.issn.1001-5256.2022.06.028
Abstract(985) HTML (273) PDF (2412KB)(52)
Abstract:
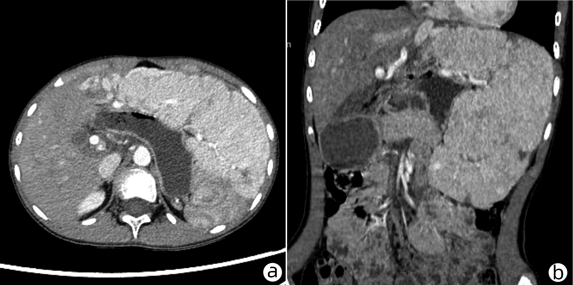
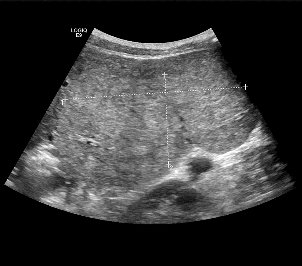
Giant focal nodular hyperplasia of the liver in children: A case report
Cheng CHEN, Junjie WANG, Yakun WU
2022, 38(6): 1370-1372. DOI: 10.3969/j.issn.1001-5256.2022.06.029
Abstract(1058) HTML (390) PDF (3134KB)(66)
Abstract:
Carcinosarcoma of the liver: A case report
Liang CHEN, Jincai WU, Jiacheng CHEN, Xiangxiang LUO, Rong TANG, Hande QIN, Kailun ZHOU
2022, 38(6): 1373-1374. DOI: 10.3969/j.issn.1001-5256.2022.06.030
Abstract(1091) HTML (198) PDF (3285KB)(62)
Abstract:
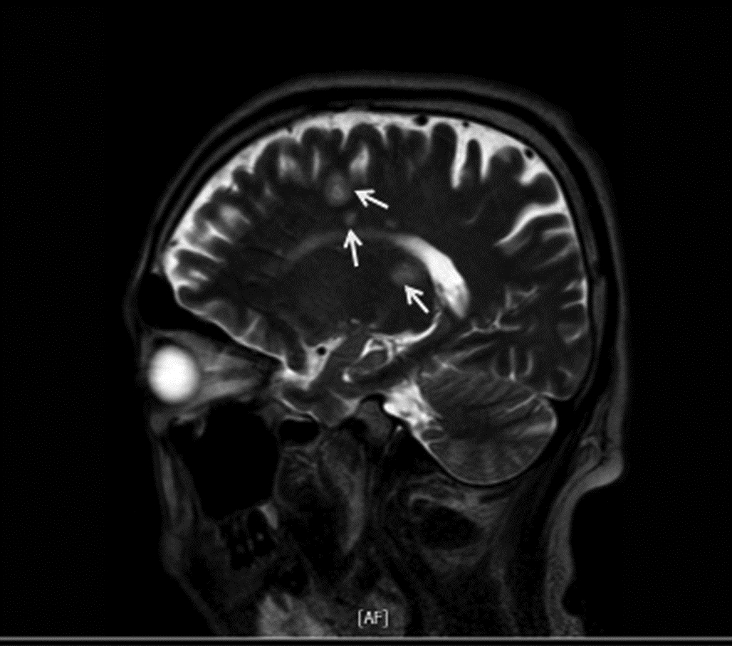
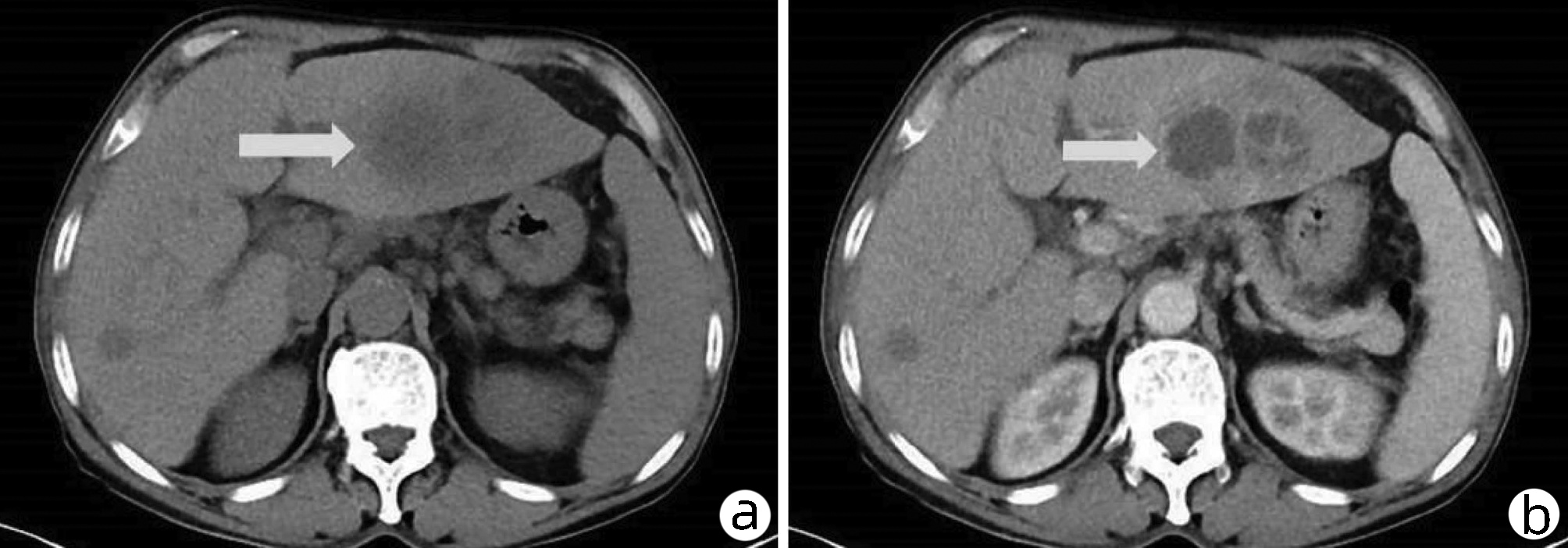
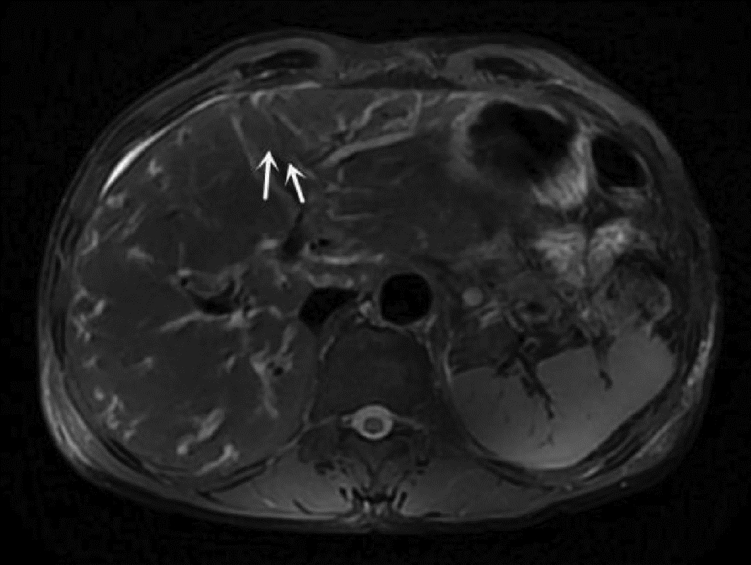
Brain abscess secondary to liver abscess in type 2 diabetes mellitus: A case report
Deyun WANG, Ruirui JIN, Zhen ZHAO, Hui LI
2022, 38(6): 1375-1376. DOI: 10.3969/j.issn.1001-5256.2022.06.031
Abstract(963) HTML (281) PDF (1890KB)(70)
Abstract:
Hepatic alveolar echinococcosis invading the bile ducts and the inferior vena cava: A case report
Hongen LIU, Tingting ZHANG, Zhixin WANG, Xinjian GUO, Haijiu WANG, Haining FAN, Li REN, Lizhao HOU
2022, 38(6): 1377-1379. DOI: 10.3969/j.issn.1001-5256.2022.06.032
Abstract(1092) HTML (253) PDF (3744KB)(65)
Abstract:
Clonorchiasis with pleural and peritoneal effusion and dilatation of the intrahepatic and extrahepatic bile ducts: A case report
Qiuting ZENG, Yanfang CHEN, Shaohui TANG
2022, 38(6): 1380-1382. DOI: 10.3969/j.issn.1001-5256.2022.06.033
Abstract(1201) HTML (554) PDF (2003KB)(72)
Abstract:
Reviews
Role of N6-methyladenosine methylation in hepatitis B virus infection
Ping XUE, Chao FAN
2022, 38(6): 1383-1386. DOI: 10.3969/j.issn.1001-5256.2022.06.034
Abstract(1137) HTML (293) PDF (2985KB)(58)
Abstract:
The phenomenon of N6-methyladenosine (m6A)-methylation is commonly observed in various tissues and cells of the human body and is the most common type of internal modification in eukaryotic mRNA. m6A-methylation is dynamic and reversible, which is regulated by various methyltransferases, demethylases, and m6A binding protein. Recent studies have shown that m6A modification can affect viral gene expression and plays an important role in the process of HBV infection. This article summarizes the current research status and mechanism of m6A-methylation, especially its association with HBV infection. This article also elaborates on the effect of m6A modification on HBV transcripts, reviews the research findings of m6A in immune response of HBV infection, and summarizes the effect of HBV infection on m6A modification in normal host hepatocytes and hepatitis B liver cancer, so as to discuss the development direction and potential value of m6A in HBV infection.
Advances in the research and development of new drugs for chronic hepatitis B
Yisi LIU, Xinyue CHEN
2022, 38(6): 1387-1392. DOI: 10.3969/j.issn.1001-5256.2022.06.035
Abstract(2503) HTML (1421) PDF (2381KB)(242)
Abstract:
At present, antiviral therapy for chronic hepatitis B (CHB) has a low clinical cure rate and hardly remove cccDNA. With the progress of medical science, more and more new drugs are in the stage of research and development. This article focuses on the research and development of representative drugs with relatively detailed clinical trial data. Rapid progress has been made in the new drugs such as small-interfering RNA and core protein allosteric modulators in recent years. The results of clinical trials show that it still takes some time for new drugs to enter clinical use, and multi-drug combination therapy may become the trend of treatment in the future.
Association of signal transducer and activator of transcription 3 and signal transducer and activator of transcription 5 with regulatory T cell/T helper 17 cell balance in chronic hepatitis B
Minyue LI, Hongju YANG, Jing LI, Rui SONG, Jing YOU
2022, 38(6): 1393-1397. DOI: 10.3969/j.issn.1001-5256.2022.06.036
Abstract(1078) HTML (267) PDF (2038KB)(51)
Abstract:
The immune mechanism of chronic hepatitis B (CHB) persistent infection is closely associated with T cells, and the development of T cells requires the coordination of a variety of cytokines. The proteins of the signal transducer and activator of transcription (STAT) family are mainly involved in the signal transduction of cytokines, and STAT5a/b and STAT3 play an important role in the differentiation and development of regulatory T cells (Treg) and T helper 17 cells (Th17). This article analyzes the association of STAT3 and STAT5 with Treg/Th17 balance in CHB and investigates the chronicity of hepatitis B virus infection and the regulatory mechanism of liver inflammation.
Advances in phase Ⅲ drug studies on the pipeline in nonalcoholic steatohepatitis
Yu WANG, Xuebing YAN
2022, 38(6): 1398-1401. DOI: 10.3969/j.issn.1001-5256.2022.06.037
Abstract(2060) HTML (751) PDF (1860KB)(272)
Abstract:
Nonalcoholic steatohepatitis (NASH) can cause end-stage liver diseases such as liver cirrhosis and liver cancer, and therefore, it is urgent to treat NASH, reverse hepatic steatosis, and delay the onset of end-stage liver diseases. NASH has a complex pathogenesis and there are currently no effective drugs for treatment. At present, new drugs still have huge market potential and are the research hotspots of various pharmaceutical companies in China and globally. This article mainly reviews and summarizes the clinical research status, drug types, mechanism of action, and future market prospects of the new drugs for NASH in existing phase Ⅲ studies.
Application of farnesoid X receptor agonists in treatment of nonalcoholic steatohepatitis
Zhenyang SHEN, Xiaobo CAI, Lungen LU
2022, 38(6): 1402-1405. DOI: 10.3969/j.issn.1001-5256.2022.06.038
Abstract(1239) HTML (367) PDF (1851KB)(148)
Abstract:
Nonalcoholic steatohepatitis (NASH) is a liver disease with a relatively high prevalence worldwide and greatly threatens human health. In recent years, farnesoid X receptor-related drugs have played an important role in regulating the metabolism of bile acid, glucose, and lipids and inhibiting inflammation. This article summarizes the application of farnesoid X receptor agonists in the treatment of NASH, so as to provide a basis for the prevention and treatment of NASH.
Association of glucagon-like peptide-1 system with the prevention and treatment of nonalcoholic fatty liver disease
Hongliang CUI, Li XU, Tong LU
2022, 38(6): 1406-1410. DOI: 10.3969/j.issn.1001-5256.2022.06.039
Abstract(1126) HTML (574) PDF (2126KB)(60)
Abstract:
With a large number of patients, nonalcoholic fatty liver disease (NAFLD) has become one of the major chronic liver diseases that jeopardize the health of people worldwide. This article introduces the major factors in glucagon-like peptide-1 (GLP-1) system that are associated with the production, decomposition, and receptor effect of GLP-1, summarizes the regulatory mechanism of GLP-1 system on NAFLD, and proposes the main problems of GLP-1 system in the treatment of NAFLD, so as to provide a reference for the research and clinical treatment of NAFLD.
Role of gut microbiota and tryptophan metabolism in nonalcoholic fatty liver disease
Qingling ZHONG, Liangping LI
2022, 38(6): 1411-1415. DOI: 10.3969/j.issn.1001-5256.2022.06.040
Abstract(3124) HTML (1204) PDF (2304KB)(219)
Abstract:
Nonalcoholic fatty liver disease (NAFLD) is a manifestation of multi-system dysfunction involving the liver, ranging from simple hepatic steatosis to nonalcoholic steatohepatitis, liver fibrosis, liver cirrhosis, and hepatocellular carcinoma. An increasing number of studies have shown the importance of the changes in gut microbiota dysbiosis and its metabolites in NAFLD. Tryptophan and its derivatives produced by gut microbiota have the effects on improving intestinal barrier function, regulating abnormal glucose and lipid metabolism, and alleviating insulin resistance and inflammatory response. This article reviews gut microbiota, tryptophan and its metabolites, and the effect of their interaction on NAFLD.
Production mechanism and detection value of anti-gp210 antibody in primary biliary cholangitis
Jihong ZHANG, Suling LI
2022, 38(6): 1416-1419. DOI: 10.3969/j.issn.1001-5256.2022.06.041
Abstract(1417) HTML (924) PDF (1852KB)(83)
Abstract:
Primary biliary cholangitis (PBC) is one of the autoimmune liver diseases, and most patients have no obvious clinical manifestations in the early stage and have reached the advanced stage when symptoms appear. Therefore, it is necessary to make a confirmed diagnosis and evaluate prognosis as early as possible. Anti-gp210 antibody is of great value in the diagnosis of PBC and the prediction of disease progression, and the detection of anti-gp210 antibody can help to optimize the PBC scoring system. This article reviews the production mechanism and detection value of anti-gp210 antibody in PBC.
Regulation of liver fibrosis by matrix metalloproteinase/tissue inhibitor of metalloproteinase and research advances in related therapeutic drugs
Qian HUANG, Yan YANG, Rui ZENG, Menglin YAO, Qin SUN
2022, 38(6): 1420-1425. DOI: 10.3969/j.issn.1001-5256.2022.06.042
Abstract(2256) HTML (523) PDF (2286KB)(192)
Abstract:
Liver fibrosis is the common consequence of various chronic liver injuries and is mainly characterized by the imbalance between the production and degradation of extracellular matrix, which leads to the accumulation of interstitial collagen and other matrix components. Matrix metalloproteinases (MMPs) and their specific inhibitors, i.e., tissue inhibitors of metalloproteinases (TIMPs), play a crucial role in collagen synthesis and lysis. Through a literature review, this article reviews the experimental studies of liver fibrosis based on MMPs/TIMPs, summarizes the components that may exert an anti-liver fibrosis effect by affecting the expression or activity of MMPs/TIMPs, and attempts to clarify the mechanism of MMPs/TIMPs in regulating collagen homeostasis, so as to provide support for the development of anti-liver fibrosis drugs.
Role of platelets in the development and progression of hepatocellular carcinoma
Xiao YU, Guobing WU, Aibin ZHANG, Xiaolong CHENG, Min LIU, Zenan HU, Ya ZHENG, Yuping WANG, Zhaofeng CHEN
2022, 38(6): 1426-1430. DOI: 10.3969/j.issn.1001-5256.2022.06.043
Abstract(1477) HTML (844) PDF (3360KB)(194)
Abstract:
Hepatocellular carcinoma is one of the common causes of tumor-related death, and it has high morbidity and mortality rates in China. Recent studies have shown that platelets are closely associated with the development of hepatocellular carcinoma. Literature review shows that platelets not only participate in hemostasis, but also act on liver cells and tumor microenvironment, promote the formation of new blood vessels, and participate in the development and progression of hepatocellular carcinoma as a cell mediator through immune response and other pathways. In addition, platelets and their derivatives can be used as potential therapeutic targets for hepatocellular carcinoma. Therefore, antiplatelet therapy is expected to become a new adjuvant strategy for the treatment of hepatocellular carcinoma, which has important clinical significance.
Research advances in autoimmune hepatitis-related hepatocellular carcinoma
Wenpei GUO, Haiyan ZHANG, Lixin LIU
2022, 38(6): 1431-1435. DOI: 10.3969/j.issn.1001-5256.2022.06.044
Abstract(1282) HTML (414) PDF (1859KB)(99)
Abstract:
Autoimmune hepatitis (AIH)-related hepatocellular carcinoma (HCC) is defined as HCC that develops on the basis of long-term AIH and has a relatively low incidence rate of 0-6%. The risk factors for HCC in AIH patients include old age, male sex, diabetes, alcohol use, AIH recurrence and persistent alanine aminotransferase abnormalities, failure in immunosuppressive therapy and related treatments, and long-term liver cirrhosis. Liver cirrhosis is an important stage for the development of HCC in AIH, and the incidence rate of HCC increases significantly after AIH progresses to liver cirrhosis. At present, there are few reports on the mechanism of HCC in AIH, which may be associated with the changes in specific molecular biological characteristics (including chromosomes, telomeres, and genes) induced by liver cirrhosis, the cell death-inflammation-cancer pathway, and intestinal microecological disorders. It is of great importance to identify the AIH population at a high risk of HCC in a timely manner and enhance intervention, follow-up, and monitoring.
Association between mitochondrial dysfunction and hepatocellular carcinoma
Xiaoqiang GAO, Shi ZUO, Xiaodong JIA, Yinying LU
2022, 38(6): 1436-1439. DOI: 10.3969/j.issn.1001-5256.2022.06.045
Abstract(1823) HTML (650) PDF (2104KB)(137)
Abstract:
Hepatocellular carcinoma (HCC) is a type of tumor with a high incidence rate, a low rate of early diagnosis, and poor prognosis, and its development and progression involve many factors. As an important organelle in cells, mitochondria is the "energy factory" of cells and is one of the main sites for the production of reactive oxygen species in vivo, and it also participates in the regulation of cell apoptosis. There are varying degrees of changes in mitochondrial membrane, oxidation respiratory chain, mitochondrial dynamics, mitochondrial DNA, and mitochondrial calcium homeostasis during the development and progression of HCC, and such changes may affect the progression of HCC. This article systematically elaborates on the association between mitochondria and HCC, so as to provide a new direction for the diagnosis and treatment of HCC.
Indoleamine 2, 3-dioxygenase: An important medium with the role of a double-edged sword in various liver diseases
Sen YE, Hongbin WANG, Yong FU
2022, 38(6): 1440-1444. DOI: 10.3969/j.issn.1001-5256.2022.06.046
Abstract(1200) HTML (415) PDF (1905KB)(41)
Abstract:
Indoleamine 2, 3-dioxygenase (IDO) is an important immunoregulatory enzyme, which can degrade the level of the mammalian essential amino acid tryptophan (TRP), catalyze the initiation and rate-limiting steps through the kynurenine pathway, and produce a variety of metabolites to participate in the immune response. On the one hand, IDO plays an immunosuppressive role in microenvironment and thus leads to infection and immune escape of tumor cells; on the other hand, IDO also exerts an inhibitory effect on the pathogens such as bacteria and parasites and thus protects the body from the harm of pathogens to a certain extent. Therefore, IDO is considered an important medium with the role of a double-edged sword in the development and progression of various liver diseases. This article reviews the latest research advances in IDO in viral hepatitis, liver fibrosis, liver cirrhosis, liver cancer, and hepatic echinococcosis.
Research advances in endoscopic interventional treatment of acute cholecystitis
Siying LIU, Peng LI, Shutian ZHANG, Fujing LYU
2022, 38(6): 1445-1448. DOI: 10.3969/j.issn.1001-5256.2022.06.047
Abstract(1294) HTML (817) PDF (1843KB)(82)
Abstract:
Acute cholecystitis is a common acute abdominal disease, and it can be classified into grade Ⅰ (mild), grade Ⅱ (moderate), and grade Ⅲ (severe) based on severity. Gallbladder drainage is an important treatment method for patients with severe disease conditions and a high surgical risk. Percutaneous transhepatic gallbladder drainage is commonly used in clinical practice and has a clinical success rate of more than 65%. With the development of endoscopic technology, some centers in China and globally have begun to apply endoscopic gallbladder drainage to the management of acute cholecystitis. This article introduces the methods of gallbladder drainage commonly used in clinical practice, such as percutaneous hepatic gallbladder drainage, endoscopic ultrasound-guided gallbladder drainage, endoscopic transpapillary gallbladder drainage, as well as the progress in endoscopic interventional treatment of acute cholecystitis in recent years.
Introduction of High-quality Articles in Foreign Journals
Hepatology Research|Biomarkers for predicting nucleos(t)ide analogs discontinuation and hepatitis B virus recurrence after drug withdrawal in chronic hepatitis B patients
2022, 38(6): 1228-1228. DOI: 10.3969/j.issn.1001-5256.2022.06.gwjpwzjj1
Abstract(488) HTML (185) PDF (851KB)(72)
Abstract:
Hepatology Communications|Efficient silencing of hepatitis B virus S gene through CRISPR-mediated base editing
2022, 38(6): 1369-1369. DOI: 10.3969/j.issn.1001-5256.2022.06.gwjpwzjj2
Abstract(1072) HTML (311) PDF (850KB)(44)
Abstract:
Hepatology|HBV covalently closed circular DNA minichromosomes in distinct epigenetic transcriptional states differ in their vulnerability to damage
2022, 38(6): 1382-1382. DOI: 10.3969/j.issn.1001-5256.2022.06.gwjpwzjj3
Abstract(596) HTML (200) PDF (853KB)(43)
Abstract:
Thanks
Current reviewers
2022, 38(6): 1448-1448. DOI: 10.3969/j.issn.1001-5256.2022.6.zhixie1
Abstract(402) HTML (191) PDF (844KB)(49)
Abstract: