中文English
ISSN 1001-5256 (Print)
ISSN 2097-3497 (Online)
CN 22-1108/R

2022 No.5
Theme Issue: New Progress in the Treatment of Hepatobiliary Tumors in the New Era of Immunotherapy
Executive Chief Editor: ZHOU Jian  
Zhongshan Hospital Affiliated to Fudan University

Display Method:
Editorial
Opportunities and challenges for the treatment of malignant hepatobiliary tumors in the new era of immunotherapy
Xiaoyong HUANG, Guoming SHI, Jian ZHOU
2022, 38(5): 977-979. DOI: 10.3969/j.issn.1001-5256.2022.05.001
Abstract(1582) HTML (453) PDF (1944KB)(240)
Abstract:
Malignant hepatobiliary tumors mainly include hepatocellular carcinoma (HCC) and biliary tract cancer (BTC) and are common malignancies in China that seriously threaten the life and health of the Chinese people. Malignant hepatobiliary tumors often have an insidious onset, and most patients have lost the opportunity for surgery due to the advanced stage at initial diagnosis. The treatment of advanced HCC mainly depends on systemic therapy such as sorafenib, lenvatinib, donafenib, regorafenib, apatinib, and systemic chemotherapy, but such treatment often has a limited effect. The treatment of advanced BTC mainly relies on systemic chemotherapy, which often has an unsatisfactory effect. The advent of the era of immunotherapy brings new hope to the treatment of advanced malignant hepatobiliary tumors. Atezolizumab combined with bevacizumab and sintilimab combined with a bevacizumab biosimilar IBI305 have been approved as the first-line treatment of advanced HCC. The treatment regimens, such as Chemotherapy-based immune checkpoint inhibitor (ICI) or ICI combined with targeted drugs, have made great progress in the treatment of advanced BTC, and although these regimens can significantly improve the overall survival of patients, they often bring obvious and even life-threatening adverse reactions, which should be taken seriously by clinicians. In addition, further studies are needed to investigate the value of ICI-based combination therapy in the perioperative treatment of malignant hepatobiliary tumors.
Discussions by Experts
Perioperative immunotherapy for hepatocellular carcinoma
Bin XU, Meiling LI, Huichuan SUN
2022, 38(5): 980-984. DOI: 10.3969/j.issn.1001-5256.2022.05.002
Abstract(1473) HTML (721) PDF (1893KB)(211)
Abstract:
Hepatocellular carcinoma (HCC) greatly threatens the life and health of Chinese people. Most patients with HCC are already in the advanced stage when attending the hospital and are not eligible for radical treatment, and patients in the early stage of HCC who are eligible for radical treatment still face a high risk of recurrence after surgery. In recent years, immunotherapy based on immune checkpoint inhibitors (ICIs) has made great progress in the treatment of advanced HCC, and perioperative immunotherapy for HCC is attracting more and more attention. Immunotherapy in the perioperative period of HCC can improve the feasibility of hepatectomy, reduce the recurrence rate after hepatectomy, and prolong the survival of patients. This article discusses the application of ICIs-based immunotherapy in the perioperative period of HCC and the issues that need to be considered, so as to provide new ideas for perioperative immunotherapy for HCC.
Adverse reactions associated with immune checkpoint inhibitor in treatment of liver cancer and related treatment measures
Hanping WANG
2022, 38(5): 985-991. DOI: 10.3969/j.issn.1001-5256.2022.05.003
Abstract(2413) HTML (541) PDF (1918KB)(296)
Abstract:
Immune checkpoint inhibitors (ICIs) exert a therapeutic effect on liver cancer by enhancing the body's anti-tumor immunity and have become an important treatment method in the field of liver cancer. However, while ICIs activate the anti-tumor immunity, they also bring a series of special toxic and side effects, i.e., immune-related adverse events (irAEs). With the wide application of ICIs, irAEs have become a major challenge in clinical practice. Such irAEs have a wide potential disease spectrum and include more than 70 different pathological states, and the most common types of irAEs associated with PD-1/PD-L1 inhibitors are skin toxicity, endocrine toxicity, pneumonia, and digestive tract toxicity, while rare irAEs include the toxicity of the central nervous system and the cardiovascular, renal, and blood systems. The wide disease spectrum of irAEs requires multidisciplinary collaborative management, and at present, many academic institutions or platforms in China and globally have formulated various guidelines for irAE management. However, the management of irAEs currently lacks the support of the results of high-level prospective trials, and the characteristics of irAEs are different from the original immune diseases of various systems; therefore, its management needs to be further optimized. This article elaborates on the epidemiology of irAEs in immunotherapy for liver cancer, related risk and predictive factors, clinical features of irAEs involving different systems, and precautions for treatment and management.
Advances in targeted therapy combined with immunotherapy for advanced hepatocellular carcinoma
Xiufeng LIU, Jue ZHANG, Lin YAO, Chaoxu YANG
2022, 38(5): 992-997. DOI: 10.3969/j.issn.1001-5256.2022.05.004
Abstract(2379) HTML (591) PDF (3145KB)(224)
Abstract:
The IMbrave 150 study opened the door of immunotherapy combined with targeted therapy, and then the data of ORIENTAL-32, a Phase Ⅲ clinical trial for Chinese patients, was released, which confirmed the efficacy of immunotherapy combined with targeted therapy, especially significant survival benefits in Chinese patients. At present, there are many ongoing studies on PD-1/PD-L1 inhibitors combined with small-molecule tyrosine kinase inhibitors, and their corresponding early data provide a considerable objective response rate, which provides an opportunity for conversion therapy/sequential therapy for hepatocellular carcinoma in different stages and courses, as well as a basis for further exploration of neoadjuvant/adjuvant therapy. Combined immunotherapy has entered the era of version 3.0, in which reasonable local therapy can be implemented at different stages in combination with targeted drugs. However, there are still no accurate predictive indicators for efficacy, and it requires comprehensive consideration of the features such as the natural course of the disease, clinicopathological parameters, genomics, and radiomics. Compared with single-drug immunotherapy or single-drug targeted therapy, immunotherapy combined with targeted therapy had a relatively complex spectrum of adverse reactions and difficult identification of correlation, and whole-process management, comprehensive judgment, and timely treatment should be performed within the framework of multidisciplinary team.
Immune checkpoint inhibitors for treatment of biliary malignant tumors
Guoming SHI, Yanzhi PEI, Pinxiang LU, Jun CAO, Jian ZHOU, Jia FAN
2022, 38(5): 998-1001. DOI: 10.3969/j.issn.1001-5256.2022.05.005
Abstract(1354) HTML (388) PDF (1877KB)(160)
Abstract:
Biliary malignant tumors have an insidious onset and rapid development, and most patients have lost the opportunity for radical surgery at initial diagnosis and often have poor prognosis. Gemcitabine-based chemotherapy is the first-line treatment for biliary malignant tumors, but with a limited clinical effect. The improvement in next-generation sequencing technology provides the possibility for the precise treatment of biliary malignant tumors, but the application and development of the precise treatment of biliary malignant tumors are limited by the low positive rate of targets and the poor accessibility of therapeutic drugs. The advent of the era of immunotherapy represented by the immune checkpoint inhibitor PD1/PD-L1 monoclonal antibody brings a promising future for the treatment of malignant tumors, including biliary malignant tumors. Combined chemotherapy and/or targeted therapy based on immune checkpoint inhibitors has shown a good effect in the treatment of biliary malignant tumors, which is the direction of the treatment of advanced biliary malignant tumors in the future.
Hotspot·Perspective·Viewpoint
Liver cirrhosis: Decompensation and "recompensation"
Zhiying HE, Bingqiong WANG, Hong YOU
2022, 38(5): 1002-1005. DOI: 10.3969/j.issn.1001-5256.2022.05.006
Abstract(2608) HTML (2754) PDF (1882KB)(422)
Abstract:
The evolution concept of decompensated cirrhosis rebuilds the clinical staging system for decompensated cirrhosis, which changes the focus from the pattern of disease progression to refining the status of acute decompensation onset and proposing "recompensation" of decompensated cirrhosis. During the process, factors such as portal hypertension and systemic inflammatory changes can affect the clinical outcome of decompensated cirrhotic patients. Significantly, more evidence is warranted to elucidate the clinical characteristics and potential mechanisms of achieving "recompensation" after etiology control, such as in viral hepatitis patients.
Guidelines
Standard for diagnosis and treatment of pancreatic cancer (2022 edition)
General Office of National Health Commission
2022, 38(5): 1006-1015. DOI: 10.3969/j.issn.1001-5256.2022.05.007
Abstract(4631) HTML (6340) PDF (2008KB)(1573)
Abstract:
Chinese consensus on the early screening and surveillance for pancreatic cancer in high-risk individuals (2021, Nanjing)
Pancreatic Disease Collaborative Group, Chinese Society of Digestive Endoscopy
2022, 38(5): 1016-1022. DOI: 10.3969/j.issn.1001-5256.2022.05.008
Abstract(2680) HTML (471) PDF (3080KB)(458)
Abstract:
Pancreatic cancer is highly malignant with a low five-year survival rate, which is caused by the difficulties in early diagnosis. At present, there is still no standardized procedure for the early screening for pancreatic cancer in China. With reference to related research advances in China and globally, this consensus proposes 26 recommendations concerning the objective of early screening for pancreatic cancer, high-risk population, initial screening age, follow-up interval, screening items, and timing of operation, which finally forms Chinese consensus on the early screening and surveillance for pancreatic cancer in high-risk individuals.
An excerpt of Asian Pacific Association for the Study of Liver (APASL) guidelines: Hepatitis B virus in pregnancy (2022)
Chao CHEN, Chenxu WANG, Guanlun ZHOU, Yuhao JU, Deping YUAN, Xiajun YE, Guorong HAN
2022, 38(5): 1023-1026. DOI: 10.3969/j.issn.1001-5256.2022.05.009
Abstract(1424) HTML (406) PDF (1871KB)(168)
Abstract:
Guideline Interpretation
Interpretation of Standard for diagnosis and treatment of primary liver cancer (2022 edition)
Zhao LI, Jiye ZHU
2022, 38(5): 1027-1029. DOI: 10.3969/j.issn.1001-5256.2022.05.010
Abstract(2077) HTML (370) PDF (1893KB)(578)
Abstract:
Original Articles_Viral Hepatitis
Value of HBsAg level in predicting liver inflammation in patients with HBeAg-positive chronic hepatitis B virus infection and normal alanine aminotransferase
Zhan ZENG, Yuanjiao GAO, Xiaoyue BI, Fengxin CHEN, Wen DENG, Tingting JIANG, Yanjie LIN, Liu YANG, Minghui LI, Yao XIE
2022, 38(5): 1030-1034. DOI: 10.3969/j.issn.1001-5256.2022.05.011
Abstract(1303) HTML (323) PDF (1912KB)(82)
Abstract:
  Objective  To investigate the onset of liver inflammation and related predictive factors in patients with HBeAg-positive chronic hepatitis B virus (HBV) infection who have normal alanine aminotransferase (ALT) and a high viral load.  Methods  A retrospective analysis was performed for the clinical data of 183 patients with HBeAg-positive chronic HBV infection who had normal ALT and a high viral load and were treated from October 2008 to May 2015, and according to the results of liver biopsy, they were divided into hepatitis group and non- hepatitis group. The t-test or Mann-Whitney U testwas used for comparison of normally distributed continuous data between groups, the chi-square test was used for comparison of categorical data. The predictive factors were analyzed by univariate binary logistic regression, the multivariate binary logistic regression was carried out by stepback method, and the cut-off values were analyzed by receiver operating characteristic curve (ROC) and Jordan index.  Results  There were 37 patients (20.2%) in the hepatitis group and 146 patients (79.8%) in the non-hepatitis group. Compared with the non-hepatitis group, the hepatitis group had a significantly lower proportion of male patients (45.9% vs 68.5%, χ2=6.508, P=0.011), a significantly higher level of aspartate aminotransferase [24 (21.25~35.55) U/L vs 21.2 (18.08~ 24.65) U/L, Z=-3.344, P=0.001], and a significantly lower log(HBsAg) value [4.4(4.28~4.49) vs 4.46(4.4~4.74), Z=-2.184, P=0.029]. Log(HBsAg) value was a predictive factor for hepatitis (odds ratio=0.077, P=0.017), and the cutoff value of HBsAg was 33884.4I U/mL.  Conclusion  Among the patients with HBeAg-positive chronic HBV infection who have normal ALT and a high viral load, 20.2% have liver inflammation, and HBsAg may be a predictive factor for liver inflammation.
Comparison of two quantitative real-time PCR methods for serum HBV RNA in patients with HBeAg-positive chronic hepatitis B: A propensity score matching study
Yang WANG, Hao LIAO, Zhongping DENG, Dandan BIAN, Yan REN, Yingying JIANG, Shuang LIU, Yu CHEN, Fengmin LU, Zhongping DUAN, Sujun ZHENG
2022, 38(5): 1035-1040. DOI: 10.3969/j.issn.1001-5256.2022.05.012
Abstract(1238) HTML (243) PDF (2241KB)(77)
Abstract:
  Objective  To investigate the consistency between Shengxiang (S) and Xinbo (X) real-time PCR methods in the quantification of HBV RNA.  Methods  In the prospective follow-up cohort of 108 chronic hepatitis B (CHB) patients established from July 2007 to August 2008, 20 patients with HBeAg seroconversion were selected, and 20 patients without seroconversion were selected by propensity score matching at a ratio of 1∶ 1. The two quantification methods from S and X companies were used, and a retrospective analysis was performed for HBV RNA in serum samples at baseline and weeks 12, 24, and 48. The paired t-test was used for comparison of normally distributed continuous data between groups, and the Mann-Whitney U test was used for comparison of non-normally distributed continuous data between groups; the chi-square test was used for comparison of categorical data. The Pearson correlation coefficient, intraclass correlation coefficient (ICC), and the Bland-Altman method were used to evaluate the consistency of the two quantification methods.  Results  A total of 132 serum samples were tested by S reagent, and 154 were tested by X reagent; the detection rate of HBV RNA was 100% by both reagents. A total of 131 serum samples were tested by both reagents, with 34 samples at baseline and 29, 35, and 33 samples, respectively, at weeks 12, 24, and 48 of follow-up; at these four time points, the HBV RNA quantification data detected by X reagent were significantly higher than those detected by S reagent (5.75±1.64/5.43±1.73/5.13±1.54/4.76±1.55 log10 copies/mL vs 4.80±1.48/4.52±1.53/4.10±1.50/3.92± 1.43 log10 copies/mL, t=8.348, t=5.341, Z=-5.086, Z=-4.762, all P < 0.001). The correlation analysis of the two methods showed a Pearson correlation coefficient of 0.915 (95% confidence interval [CI]: 0.836-0.957) and an ICC of 0.771(95%CI: -0.021 to 0.931) at baseline, a Pearson correlation coefficient of 0.849(95%CI: 0.701-0.927) and an ICC of 0.733(95%CI: 0.138-0.902) at week 12, a Pearson correlation coefficient of 0.951(95%CI: 0.905-0.975) and an ICC of 0.776(95%CI: -0.058 to 0.942) at week 24, and a Pearson correlation coefficient of 0.933(95%CI: 0.867-0.967) and an ICC of 0.804(95%CI: -0.014 to 0.944) at week 48 (all P < 0.05). The Bland-Altman analysis showed that the difference of 96.18%(126/131) samples tested by the two methods was within the mean difference±1.96 standard deviation.  Conclusion  HBV RNA quantification by X reagent is higher than that by S reagent, while the two real-time PCR quantification methods show a good consistency in CHB patients with HBeAg seroconversion and those without seroconversion.
Risk factors for osteopenia/osteoporosis and the diagnostic value of CT value in patients with chronic hepatitis B
Jingyi ZHANG, Yingmei TANG, Jiaqi LI, Qian WANG, Chenrui ZHANG
2022, 38(5): 1041-1047. DOI: 10.3969/j.issn.1001-5256.2022.05.013
Abstract(1140) HTML (476) PDF (2526KB)(63)
Abstract:
  Objective  To investigate the value of the CT values of thoracolumbar vertebrae measured by abdominal CT in the diagnosis of osteopenia/osteoporosis in patients with chronic hepatitis B, as well as the risk factors for osteopenia/osteoporosis in such patients.  Methods  A retrospective analysis was performed for 112 patients with chronic hepatitis B in the Second Affiliated Hospital of Kunming Medical University from January 2019 to December 2020. All patients underwent abdominal CT, and some patients underwent dual-energy X-ray absorptiometry (DXA). The CT values of T12 vertebral body to L3 vertebral body were measured, and the value of CT value of each vertebral body in the diagnosis of osteopenia/osteoporosis was analyzed in comparison with T-score of L1-L4 vertebral bodies measured by DXA. With the CT values of vertebral bodies as the diagnostic criteria, the patients with chronic hepatitis B enrolled were divided into osteopenia/osteoporosis group with 55 patients and normal bone mass group with 57 patients. Clinical features and biochemical parameters were compared between the two groups to analyze the risk factors for osteopenia/osteoporosis in patients with chronic hepatitis B. The t-test was used for comparison of normally distributed continuous data between groups, and the Mann-Whitney U test was used for comparison of non-normally distributed continuous data between groups; the chi-square test, the Fisher's exact test, and the Bonferroni correction test were used for comparison of categorical data between groups. A Pearson correlation analysis was performed to investigate correlation, and a binary logistic regression analysis was used for multivariate analysis. The receiver operating characteristic (ROC) curve was used to investigate the value of CT values of T12-L3 vertebral bodies in the diagnosis of osteopenia/osteoporosis in patients with chronic hepatitis B. The Kappa test was used check consistency.  Results  A total of 46 patients who completed abdominal CT and DXA during the same time of hospitalization were analyzed, and their CT values of T12-L3 vertebral bodies were significantly positively correlated with the T-score values of L1-L4 vertebral bodies in DXA (rT12=0.694, rL1=0.661, rL2=0.781, rL3=0.685, all P < 0.001). The ROC curve analysis showed that the CT value of L2 vertebral body had the largest area under the ROC curve of 0.863 and showed a good accuracy in the diagnosis of osteopenia/osteoporosis, which was consistent with the results of DXA (K=0.648, P < 0.001). The clinical features and biochemical parameters of 112 patients with chronic hepatitis B were analyzed, and it was suggested that old age (odds ratio [OR]=1.108, 95% confidence interval [CI]: 1.026-1.196, P=0.009) and sarcopenia (OR=2.788, 95% CI: 1.009-7.707, P=0.048) were the risk factors for osteopenia/osteoporosis.  Conclusion  The patients with chronic hepatitis B often need regular abdominal CT to evaluate the progression of liver disease, and it is of high clinical significance to identify the presence or absence of osteopenia/osteoporosis and sarcopenia by measuring the CT value of L2 vertebral body and skeletal muscle area of L3 vertebrae plane, thereby giving timely intervention and improving patients' prognosis and quality of life.
Determination of a reasonable threshold of total bilirubin for the diagnosis of hepatitis B virus-associated acute-on-chronic liver failure
Hongmin WANG, Jingjing TONG, Xiang XU, Jing CHEN, Zifeng LIU, Haibin SU, Xiaoyan LIU, Jinhua HU
2022, 38(5): 1048-1052. DOI: 10.3969/j.issn.1001-5256.2022.05.014
Abstract(1000) HTML (387) PDF (2361KB)(57)
Abstract:
  Objective  To investigate a reasonable threshold of total bilirubin for the diagnosis of hepatitis B virus-related acute-on-chronic liver failure (HBV-ACLF), and to realize accurate early diagnosis.  Methods  A retrospective analysis was performed for the clinical data of 1232 patients with HBV-ACLF who were admitted to The Fifth Medical Center of Chinese PLA General Hospital from September 2008 to September 2018, and according to the baseline serum level of total bilirubin (TBil), the patients were divided into group A (TBil < 205.2 μmol/L) and group B (TBil ≥205.2 μmol/L). the two groups were compared in terms of clinical features and 28-day, 90-day, 1-year, and 3-year survival. The t-test or the Mann-Whitney U rank sum test was used for comparison of continuous data between two groups, and the chi-square test was used for comparison of categorical data between two groups. The Kaplan-Meier method was used to analyze survival rate, and the log-rank test was used for comparison.  Results  There were significant differences between the two groups in age(t=3.188, P=0.001) male sex(χ2=33.833, P < 0.001), liver failure classification(χ2=39.987, P < 0.001), white blood cell count(Z=6.586, P < 0.001), hemoglobin(Z=4.272, P < 0.001), platelet count(Z=3.680, P < 0.001), creatinine(Z=4.505, P < 0.001), total cholesterol(Z=8.644, P < 0.001), Na(Z=2.335, P=0.020), albumin(Z=2.592, P=0.010), HBV DNA(Z=3.703, P < 0.001), Model for End-Stage Liver Disease score(Z=11.828, P < 0.001), and MELD-Na score(Z=8.410, P < 0.001). At baseline, there were significant differences in the incidence rates of ascites and gastrointestinal bleeding between the two groups (χ2=12.036、4.342, P < 0.05). Infection was the most common new-onset complication within 28 days, followed by hepatic encephalopathy, and there was a significant difference in the incidence rate of infection between the two groups (χ2=5.294, P < 0.05). The 28-day transplant-free mortality rate was 21.2% in group A and 29.5% in group B(HR=1.473[95%CI: 1.151~1.886], P=0.005), which was consistent with the clinical feature of a high short-term mortality rate (> 15%) in patients with acute-on-chronic liver failure (ACLF). Although there was a difference in long-term mortality rate between the two groups, there was no significant increase in transplant-free mortality rate after 90 days in either group.  Conclusion  Under the premise of international normalized ratio ≥1.5, it is not recommended to increase the threshold of TBil to 205.2 μmol/L in the diagnostic criteria for HBV-ACLF, so as to ensure the early diagnosis of more ACLF patients and bring more opportunities for treatment and cure.
Influence of artificial liver support system therapy on platelet in treatment of hepatitis B virus-related acute-on-chronic liver failure
Lu WANG, Wenxiong XU, Shu ZHU, Xuejun LI, Yuanli CHEN, Chan XIE, Liang PENG
2022, 38(5): 1053-1058. DOI: 10.3969/j.issn.1001-5256.2022.05.015
Abstract(1309) HTML (327) PDF (2341KB)(68)
Abstract:
  Objective  To investigate the changing trend of platelet count (PLT) and related influencing factors in patients with hepatitis B virus-related chronic-on-acute liver failure (HBV-ACLF) after artificial liver support system (ALSS) therapy.  Methods  A total of 152 patients with HBV-ACLF who were hospitalized and treated in The Third Affiliated Hospital of Sun Yat-Sen University from January 2018 to November 2021 were included in the study, among whom 102 patients received plasma exchange (PE) and 50 patients received double plasma molecular absorption system combined with low-dose PE, and their clinical data and laboratory marker were measured. The independent samples t-test or the Mann-Whitney U test was used for the comparison of continuous data between two groups, and the chi-square test was used for the comparison of categorical data between two groups; a multivariate logistic regression analysis was used to investigate the risk factors for PLT > 50×109/L after ALSS therapy; the receiver operating characteristic (ROC) curve was used to investigate the value of baseline PLT in predicting PLT > 50×109/L after ALSS therapy.  Results  The patients were mostly middle-aged male adults; among the 152 patients, 70 (46.1%) had liver cirrhosis on admission, 114 (75.0%) received three sessions of ALSS therapy, and 88% had a baseline PLT count of > 50×109/L. There was a significant reduction in PLT from baseline to after ALSS therapy (79.5±47.7 vs 112.5±64.1, t=4.965, P < 0.001), and at 1 week after treatment, PLT increased to the baseline level (97.2±50.7 vs 112.5±64.1, t=1.787, P=0.075). As for the change in PLT from baseline to 1 week after ALSS therapy, the liver cirrhosis group had a significantly greater reduction in PLT than the non-liver cirrhosis group (U=1986.5, P=0.026), while there was no significant difference between different procedures of ALSS therapy and different sessions of treatment (3-5 sessions) (all P > 0.05). The multivariate logistic regression analysis showed that cirrhosis (odds ratio [OR]=3.097, 95% confidence interval [CI]: 1.255-7.645, P=0.014) and PLT > 50×109/L at baseline (OR=0.019, 95%CI: 0.002-0.154, P < 0.001) were independent risk factors for PLT > 50×109/L after ALSS therapy. The ROC curve analysis of baseline PLT showed that PLT > 80.5×109/L at baseline was the optimal cut-off value affecting PLT > 50×109/L after treatment, with an area under the ROC curve of 0.818.  Conclusion  The influence of ALSS therapy on PLT is temporary, but cirrhotic patients have a weaker PLT generation ability than non-cirrhotic patients. PLT > 80.5×109/L at baseline is the optimal cut-off value to reduce the risk of bleeding after ALSS therapy.
Influencing factors for direct-acting antiviral therapy failure in treatment of hepatitis C
Yuqing YANG, Jia SHANG, Chengzhen LU, Song YANG, Hongyu CHEN, Jiali PAN, Yifan HAN, Hongli XI, Qian KANG, Ning TAN, Xiaoyuan XU
2022, 38(5): 1059-1063. DOI: 10.3969/j.issn.1001-5256.2022.05.016
Abstract(1037) HTML (253) PDF (2180KB)(71)
Abstract:
  Objective  To investigate the influencing factors for direct-acting antiviral agent (DAA) therapy failure in the treatment of hepatitis C by comparing baseline clinical data and resistance-associated substitution (RAS) in sequencing data between the patients with HCV RNA reactivation after DAA therapy and the patients with successful DAA treatment.  Methods  A total of 13 patients from multiple centers who failed DAA therapy from November 2019 to October 2021 were enrolled as treatment failure group, and sequencing was performed for their positive serum samples. A total of 51 patients with successful DAA treatment were enrolled as control group, and baseline clinical data and sequencing results were compared between the treatment failure group and the control group. The Mann-Whitney U test was used for comparison of non-normally distributed continuous data between groups, and the chi-square test was used for comparison of categorical data between groups; univariate and multivariate logistic regression analyses were performed to calculate odds ratio (OR) and investigate the influencing factors for treatment failure.  Results  All 12 patients with complete treatment data experienced recurrence within 1 year after the end of medication. The male patients with treatment failure had significantly higher baseline total bilirubin, direct bilirubin, and creatinine than their female counterparts (Z=-2.517, -2.440, and -2.132, P=0.010, 0.010, and 0.038), and the patients with an age of ≤55 years (OR=5.152, 95% confidence interval [CI]: 1.116-23.790, P=0.036) or genotype 3b (OR=9.726, 95%CI: 1.325-71.398, P=0.025) had a higher probability of treatment failure. There were differences in the incidence rates of major RAS mutations on three gene fragments between the treatment failure group and the treatment success group, and the common RAS mutations detected in the treatment failure group were not detected in the treatment success group.  Conclusion  Age, genotype, and RAS in serum virus gene sequence are influencing factors for DAA treatment failure.
Original Articles_Fatty Liver Diseases
Value of triglyceride-glucose index and body mass index in predicting nonalcoholic fatty liver disease in patients with type 2 diabetes mellitus
Dongxu WANG, Nan NAN, Hao BING, Lianjie LIN
2022, 38(5): 1064-1068. DOI: 10.3969/j.issn.1001-5256.2022.05.017
Abstract(1126) HTML (735) PDF (2162KB)(69)
Abstract:
  Objective  To investigate the value of triglyceride-glucose index (TyG) and body mass index (BMI) in predicting nonalcoholic fatty liver disease (NAFLD) in type 2 diabetes mellitus (T2DM).  Methods  A retrospective analysis was performed for the clinical data of 349 patients with T2DM who were treated in Shengjing Hospital of China Medical University from May 2020 to July 2021, and according to the presence or absence of NAFLD, they were divided into T2DM+NAFLD group with 213 patients and simple T2DM group with 136 patients. The t-test or the Mann Whitney U test was used for comparison of continuous data between two groups, and the chi-square test was used for comparison of categorical data between two groups. A logistic regression analysis was used to investigate the association of TyG and BMI with T2DM+NAFLD, and the receiver operating characteristic (ROC) curve was plotted to evaluate the prediction efficiency of TyG alone, BMI alone, and TYG combined with BMI for NAFLD in T2DM. The Kappa coefficient was used to analyze the consistency of prediction results.  Results  Compared with the simple T2DM group, the T2DM+NAFLD group had significantly higher BMI, diastolic pressure, fasting blood glucose, HbA1c, alanine aminotransferase, aspartate aminotransferase, gamma-glutamyl transpeptidase, triglyceride, total cholesterol, low-density lipoprotein cholesterol, and TyG (all P < 0.05) and a significantly lower high-density lipoprotein cholesterol (P < 0.05), while there were no significant differences between the two groups in systolic pressure, total bilirubin, direct bilirubin, and indirect bilirubin (all P > 0.05). The logistic regression analysis showed that TyG (odds ratio [OR]=6.513, 95% confidence interval [CI]: 1.884-22.517, P < 0.001) and BMI (OR=1.369, 95% CI: 1.191-1.575, P < 0.001) were independent risk factors for NAFLD in T2DM. The ROC curve analysis showed that TyG had an area under the ROC curve (AUC) of 0.875 in predicting NAFLD in T2DM, with a sensitivity of 80.3%, a specificity of 80.1%, a positive predictive value of 86.36%, and a negative predictive value of 72.19% at the optimal cut-off value of 9.41; BMI had an AUC of 0.787, with a sensitivity of 78.9%, a specificity of 64.0%, a positive predictive value of 77.36%, and a negative predictive value of 64.23% at the optimal cut-off value of 24.22; TyG combined with BMI had an AUC of 0.910, a sensitivity of 81.2%, a specificity of 88.2%, a positive predictive value of 91.53%, and a negative predictive value of 75.00% in predicting NAFLD in T2DM. TyG alone, BMI alone, and TyG combined with BMI had a Kappa coefficient of 0.592, 0.416, and 0.673, respectively, in predicting NAFLD in T2DM.  Conclusion  TyG and BMI can be used to predict the onset of NAFLD in T2DM, and the combination of TyG and BMI can improve the predictive value.
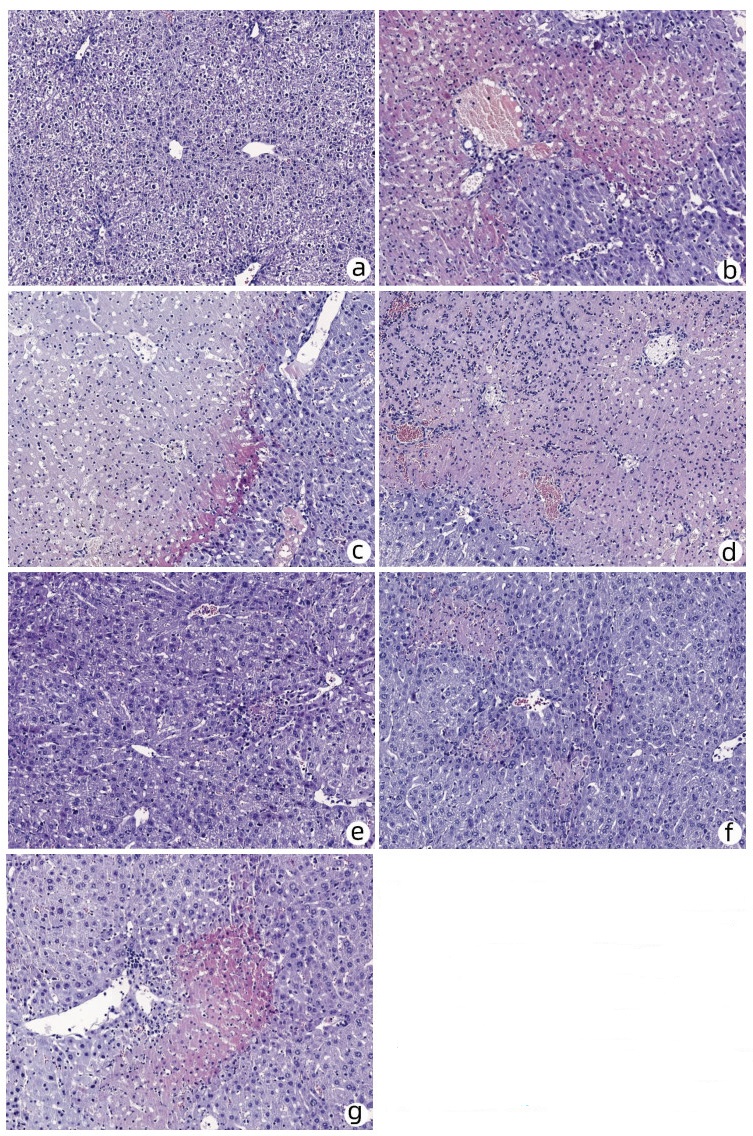
Effect of Quzhi Ruangan prescription on the farnesoid X receptor-fibroblast growth factor 19 pathway in rats with nonalcoholic steatohepatitis
Enrui XIA, Gege TIAN, Suyan ZHANG, Shunzhen ZHANG
2022, 38(5): 1069-1074. DOI: 10.3969/j.issn.1001-5256.2022.05.018
Abstract(1067) HTML (273) PDF (4176KB)(49)
Abstract:
  Objective  To investigate the effect of Quzhi Ruangan prescription on the farnesoid X receptor (FXR)-fibroblast growth factor 19 (FGF19) pathway in rats with nonalcoholic steatohepatitis (NASH).  Methods  Male Sprague-Dawley rats were randomly divided into normal group (Control group with 8 rats), model group (HFD group with 12 rats), simvastatin group with 8 rats, high-dose Quzhi Ruangan prescription group (QH group with 8 rats), and low-dose Quzhi Ruangan prescription group (QL group with 8 rats). The rats in the Control group were fed with a normal diet and those in the other groups were fed with a high-fat diet. Related samples were collected at the end of week 10 to observe liver pathological changes and measure the serum levels of liver function parameters, the level of FGF19 in the liver and the small intestine, and the level of bile acid (BA) in the liver. The expression levels of FXR in the small intestine and cholesterol 7α-hydroxylase (CYP7A1) in the liver were also measured. A one-way analysis of variance was used for comparison between multiple groups, and the least significant difference t-test was used for further comparison bewteen two groups.  Results  Compared with the Control group, the HFD group showed the pathological manifestations of marked inflammatory lesions and steatosis. Compared with the HFD group, all administration groups had a significant increase in high-density lipoprotein cholesterol and significant reductions in alanine aminotransferase, aspartate aminotransferase, total cholesterol, triglyceride, and low-density lipoprotein cholesterol (all P < 0.05). Compared with the Control group, the HFD group had a significant reduction in FGF19 in the small intestine and a significant increase in BA in the liver (both P < 0.05). Compared with the HFD group, all administration groups had a significant increase in FGF19 in the small intestine and a significant reduction in BA in the liver (all P < 0.05). Compared with the Control group, the HFD group had a significant reduction in the mRNA expression of FXR in the small intestine and a significant increase in the mRNA expression of CYP7A1 in the liver (both P < 0.05). Compared with the HFD group, the QH group had a significant increase in the mRNA expression of FXR in the small intestine, while the QL group had a significant reduction (both P < 0.05), and the QH group had a significant reduction in the mRNA expression of CYP7A1 in the liver (P < 0.05). Compared with the Control group, the HFD group had a significant reduction in the positive rate of FXR in the small intestine and a significant increase in the positive rate of CYP7A1 in the liver (both P < 0.05). Compared with the HFD group, the simvastatin group and the QH group had a significant increase in the positive rate of FXR in the small intestine (both P < 0.05), and the simvastatin group, the QH group, and the QL group had a significant reduction in the positive rate of CYP7A1 in the liver (all P < 0.05).  Conclusion  Quzhi Ruangan prescription can activate the FXR-FGF19 pathway in NASH rats and may exert a preventive and therapeutic effect on NASH through this pathway.
Original Articles_Liver Fibrosis and Liver Cirrhosis
Effect of endoscopic ligation combined with traditional Chinese medicine syndrome differentiation-based treatment in the secondary prevention of esophageal variceal bleeding in patients with liver cirrhosis
Chong CHEN, Ying LYU, Xilei CHEN, Chenghai LIU, Ping LIU, Yongping MU
2022, 38(5): 1075-1080. DOI: 10.3969/j.issn.1001-5256.2022.05.019
Abstract(1486) HTML (437) PDF (1909KB)(64)
Abstract:
  Objective  To investigate the efficacy of endoscopic ligation combined with traditional Chinese medicine (TCM) syndrome differentiation-based treatment in the secondary prevention of esophageal variceal bleeding (EVB) in patients with liver cirrhosis.  Methods  A total of 108 EVB patients who were admitted to Department of Liver Cirrhosis, Shuguang Hospital Affiliated to Shanghai University of Traditional Chinese Medicine from April 2015 to February 2021 and underwent endoscopic ligation were enrolled, among whom 59 patients with TCM treatment were enrolled as Chinese and Western medicine group, and 49 patients without TCM treatment were enrolled as Western medicine group. The two groups were compared in terms of the incidence rate of rebleeding, mortality rate, and the improvement rate of portal hypertensive gastropathy. The t-test was used for comparison of normally distributed continuous data between groups, and the Mann-Whitney U rank sum test was used for comparison of non-normally distributed continuous data between groups; the chi-square test or the Fisher's exact test was used for comparison of categorical data between two groups; a Cox regression analysis was used to evaluate the risk factors for rebleeding.  Results  Compared with the Western medicine group, the Chinese and Western medicine group had a significantly lower rebleeding rate within 13-24 months after ligation (2% vs 12%, P=0.045), a significantly lower mortality rate of rebleeding (2% vs 12%, P=0.045), and a significantly higher overall response rate of portal hypertensive gastropathy (90% vs 77%, P=0.04). Underlying diseases (mainly including diabetes, hypertension, and heart disease) and Child-Pugh class for liver function were significant risk factors for rebleeding (all P < 0.05).  Conclusion  Ligation combined with TCM treatment can significantly reduce the incidence rate of delayed rebleeding and the mortality rate of EVB and improve the degree of portal hypertensive gastropathy, which provides a new strategy for ligation combined with TCM treatment to improve the overall response of EVB secondary prevention.
Characteristic manifestations of ΔCT in hepatitis B cirrhosis with upper gastrointestinal bleeding and establishment of a predictive model
Junjie LI, Yanyan SUN, Jianghong LI, Hong ZHENG
2022, 38(5): 1081-1085. DOI: 10.3969/j.issn.1001-5256.2022.05.020
Abstract(993) HTML (291) PDF (2671KB)(45)
Abstract:
  Objective  To investigate the CT characteristics of hepatitis B cirrhosis, and to predict the risk of bleeding by establishing a predictive model for upper gastrointestinal bleeding in liver cirrhosis.  Methods  A retrospective analysis was performed for the clinical data of 101 patients with hepatitis B cirrhosis who were admitted to Tianjin First Central Hospital from January 2015 to June 2021, and these patients were divided into upper gastrointestinal bleeding group and non- bleeding group. The two groups were compared in terms of laboratory findings and CT values in plain scan, arterial phase, portal vein phase, and venous phase measured by contrast-enhanced CT, and the changes in CT values (ΔCT) across different phases were calculated. The t-test or the Mann-Whitney U rank sum test was used for comparison of continuous data between two groups, and the chi-square test was used for comparison of categorical data between two groups. Logistic regression analysis was used to predict the related risk factors; The discrimination of the model was evaluated by calculating the area under the working characteristic curve of the subjects, and the model calibration criteria were determined by Hosmer-lemeshow. Based on the results of multivariate logistic regression analysis, Rstudio4.1.2 R package was used to establish a predictive model, and draws the corresponding ROC curve, calibration curve and clinical decision curve.  Results  There were significant differences in serum TBil, WBC and PLT levels between the non-bleeding group and the bleeding group (all P < 0.05). There were significant differences in liver-plain, spleen-P-plain and spleen-P-A ΔCT(all P < 0.05). The univariate logistic analysis showed that there were significant differences in leukocytes (odds ratio [OR]=0.770, 95% confidence interval [CI]: 0.624-0.952, P=0.016), platelets (OR=0.979, 95%CI: 0.965-0.994, P=0.006), liver plain scan (OR=1.142, 95%CI: 1.058-1.233, P=0.001), ΔCT value of the spleen from portal vein phase to plain scan (OR=0.979, 95%CI: 0.959-1.000, P=0.050), and ΔCT value of the spleen from portal vein phase to arterial phase (OR=0.979, 95% CI: 0.944-0.994, P=0.015) between the hepatitis B cirrhosis patients with upper gastrointestinal bleeding and those without bleeding. The multivariate logistic analysis showed that platelets (OR=0.968, 95%CI: 0.944-0.993, P=0.011), liver plain phase (OR=1.148, 95%CI: 1.047-1.259, P=0.003), and ΔCT value of the spleen from portal vein phase to arterial phase (OR=0.951, 95%CI: 0.908-0.995, P=0.030) were independent risk factors for upper gastrointestinal bleeding. A predictive model for upper gastrointestinal bleeding in hepatitis B cirrhosis was established based on the results of the multivariate logistic analysis, and a calibration curve was plotted. This model had an area under the receiver operating characteristic curve of 0.801 at the cut-off value of 0.433, with a sensitivity of 81.4% and a specificity of 77.6%. The calibration curve of the model fitted well with the ideal curve.  Conclusion  There are special ΔCT changes in hepatitis B cirrhosis, and the predictive model based on ΔCT has a good predictive ability for upper gastrointestinal bleeding in patients with hepatitis B cirrhosis.
Original Articles_Liver Neoplasms
Efficacy and safety of programmed death-1 inhibitor combined with transarterial chemoembolization and anti-angiogenic drugs in treatment of advanced hepatocellular carcinoma
Xiaopeng DING, Jun TIE, Jiahao YU, Pengwei REN, Guoyun XUAN, Shuoyi MA, Changcun GUO, Ying HAN, Xinmin ZHOU
2022, 38(5): 1086-1091. DOI: 10.3969/j.issn.1001-5256.2022.05.021
Abstract(1076) HTML (360) PDF (2633KB)(70)
Abstract:
  Objective  To investigate the efficacy and safety of programmed death receptor-1 (PD-1) inhibitor combined with transarterial chemoembolization (TACE) and anti-angiogenic drug tyrosine kinase inhibitor (TKI) versus TACE combined with TKI in the treatment of advanced hepatocellular carcinoma (HCC) and related influencing factors for prognosis.  Methods  An analysis was performed for all patients who received TACE+TKI+PD-1 inhibitor and some patients who received TACE+TKI in The First Affiliated Hospital of Air Force Medical University from June 2018 to July 2021. Related clinical data were collected, and propensity score matching (PSM) was used to balance the baseline characteristics between groups. The chi-square test was used for comparison of categorical data between two groups; the Wilcoxon rank-sum test was used for comparison of the number of TACE procedures between two groups; the Kaplan-Meier method was used to analyze overall survival (OS), and univariate and multivariate Cox regression models were used to analyze the influencing factors for prognosis.  Results  A total of 181 patients with advanced HCC were screened out, among whom 50 patients were treated with TACE+TKI+PD-1 inhibitor; after PSM, 40 patients treated with TACE+TKI+PD-1 inhibitor were enrolled as observation group and 40 patients treated with TACE+TKI were enrolled as control group. At the end of follow-up, the median follow-up time was 28.6 (95% confidence interval [CI]: 22.1-35.1) months, and the median OS was 15.9 (95%CI: 7.5-24.2) months in the observation group and 11.2 (95%CI: 5.0-17.5) months in the control group. The Cox regression analysis showed that the application of PD-1 inhibitor (hazard ratio [HR]=0.42, 95%CI: 0.23-0.80, P=0.008), the number of TACE procedures (HR=0.67, 95%CI: 0.46-0.99, P=0.043), Child-Pugh class (HR=2.40, 95%CI: 1.15-5.00, P=0.019), and vascular invasion (HR=3.42, 95%CI: 1.11-9.42, P=0.031) were independent influencing factors for prognosis. The incidence rate of grade > 2 adverse events was 40% for both the observation group and the control group, and there was no significant difference between the two groups (P=0.818).  Conclusion  Compared with TACE+TKI, TACE+TKI+PD-1 inhibitor can significantly prolong the OS of patients in advanced HCC, with relatively controllable adverse events.
Standardized establishment and informationized management of liver cancer biobank
Jingjing YU, Wei XIAO, Yani LI, Bixiang ZHANG, Xiaoping CHEN, Chang SHU
2022, 38(5): 1092-1096. DOI: 10.3969/j.issn.1001-5256.2022.05.022
Abstract(1508) HTML (473) PDF (2538KB)(74)
Abstract:
  Objective  To establish a small liver cancer biobank with a standard operating procedure and the function of informationized management.  Methods  According to the inclusion and exclusion criteria, blood, tissue, and stool samples were collected from the patients with liver cancer who attended Liver Surgery Center, Tongji Hospital, Tongji Medical College of Huazhong University of Science and Technology, from August 2012 to December 2020 and signed the informed consent. In-and-out-of-storage management was performed based on the standard procedure for whole blood, serum, frozen tissue, paraffin-embedded tissue, and stool samples, and related clinical and follow-up data were collected. The frozen samples of liver cancer tissue and adjacent tissue in different years were randomly selected, and the concentration and completeness of total RNA were examined to ensure the quality of frozen samples stored in the biobank.  Results  The samples were collected from 4190 liver cancer patients who underwent surgery within a period of 101 natural months, and there were 41718 frozen tissue samples, 18950 paraffin-embedded tissue samples, 24389 whole blood samples, 20060 serum samples, and 5392 stool samples. The liver cancer patients had an age range of 13-88 years, and male patients accounted for 85.1%. The patients with hepatitis B accounted for 83.3%, and those with liver cirrhosis accounted for 73.5%. A standard operating procedure and an electronic data capture system were developed according to the collection, processing, storage, application, and informationized management of samples. Among the 18 frozen tissue samples randomly selected from the biobank, 16 samples had high RNA quality, which could meet the requirements of subsequent experiments.  Conclusion  A standardized and informationized biobank has been established for liver cancer, which provides high-quality samples for the basic research on liver cancer and helps to explore the research value of samples.
Original Articles_Other Liver Diseases
A preliminary study on the peripheral seroimmunological characteristics of drug-induced liver injury
Yu WANG, Qiong LUO, Shu LI, Xiaoping SHEN, Shuang LI, Yanyan TAO, Chenghai LIU
2022, 38(5): 1097-1100. DOI: 10.3969/j.issn.1001-5256.2022.05.023
Abstract(832) HTML (225) PDF (1881KB)(64)
Abstract:
  Objective  To investigate the characteristic manifestation of the peripheral seroimmunological indicators such as cellular immunity and cytokines in drug-induced liver injury (DILI).  Methods  The medical records of 219 patients with DILI collected in Shuguang Hospital and Baoshan Branch from January 2019 to August 2021 were retrospectively analyzed, grouped according to the type of drug injury and the degree of injury, and their clinical characteristics, biochemical and peripheral serum immunological characteristics were analyzed. analyze.Twenty-nine cases were selected from the healthy subjects as the normal liver function group, and 42 cases of DILI cases who had undergone cytokine and cellular immune evaluation within 1 week before the acute onset treatment were confirmed as the DILI control group. The t-test was used for comparison of normally distributed continuous data between groups, and the Mann-Whitney U test was used for comparison of non-normally distributed continuous data between groups; the Fisher test was used to compare the count data between groups.  Results  Among the 219 DILI patients, 122 (56%) were female and 97 (44 %) were male. 89 cases (40%) of injuries were caused by traditional Chinese medicines, proprietary Chinese medicines or health products, and 130 cases (60%) were caused by western medicines such as anti-tuberculosis and anti-tumor. Among them, 82 cases (37%) were classified as hepatocyte injury type, 17 cases (8%) of cholestatic type, and 120 cases (55%) of mixed injury type. The longest incubation period was 180 days, the shortest was 1 day, and the median was 15 days. Fatigue accounted for 49% of the main symptoms. There were statistically significant differences in cytotoxic T lymphocytes (%) and CD4/CD8 ratio between the traditional Chinese medicine, Chinese patent medicine or health product group and the western medicine group (Z=2.55 and 3.08, P=0.011 and 0.002, ). From 219 DILI patients, it was confirmed that 42 patients who had detected peripheral immune indicators were compared with 29 patients with normal liver function physical examination. The statistical analysis showed that IL-6 and IL-10 were statistically significant in the peripheral immune serum distribution of DILI. Significance (Z=3.828 and 2.695, P < 0.001 and 0.007).  Conclusion  Cytotoxic T lymphocytes may play different roles in the pathogenic mechanisms of Chinese herbal medicines, Chinese patent medicine preparations or health products and western medicines; drugs or drug-protein complexes may affect inflammatory and immune pathways and release related cytokines For example, IL-6 and IL-10 are involved in the pathogenesis of DILI.
Effect of exosomes from adult human liver-derived stem cells on concanavalin A-induced acute liver injury in mice
Luxiang HAN, Huixin TANG, Zhenfeng ZHAO, Shanshan LI, Quanyi WANG, Lingbin KONG, Huiying BI, Zhenfeng SHU, Zhongping DUAN, Yu CHEN, feng HONG
2022, 38(5): 1101-1105. DOI: 10.3969/j.issn.1001-5256.2022.05.024
Abstract(969) HTML (329) PDF (4326KB)(51)
Abstract:
  Objective  To investigate the protective effect of adult human liver-derived stem cell exosomes (HLSC-exo) intravenously injected at different time points against acute liver injury induced by concanavalin A (ConA) in mice.  Methods  HLSC-exo was extracted by differential centrifugation. Western blot was used to measure the expression of the marker proteins CD9 and CD63, and nanoparticle tracking analysis was used to investigate particle size distribution. A total of 56 male C57BL/6 mice were randomly divided into blank control group, ConA model group, and HLSC-exo treatment group. The ConA model group and the HLSC-exo treatment group were further divided into 3-, 6-, and 12-hour subgroups according to the interval between phosphate buffer or HLSC-exo injection and ConA injection. The serum levels of alanine aminotransferase (ALT), aspartate aminotransferase (AST), tumor necrosis factor-α (TNF-α), and interleukin-10 (IL-10) were measured, and the gross morphology and histopathology of the liver were compared between groups. A one-way analysis of variance was used for comparison of continuous data between multiple groups, and the least significant difference t-test was used for further comparison between two groups.  Results  HLSC-exo was a membranous vesicle with a diameter of 90-110 nm, with a clear saucer-like structure under an electron microscope and marked expression of its specific marker proteins CD9 and CD63. In the blank control group, the levels of ALT and AST were 31.81±6.74 U/L and 69.75±8.30 U/L, respectively. Compared with the blank control group, the 3-, 6-, and 12-hour ConA model groups had significant increases in the levels of ALT and AST (all P < 0.001); compared with the 3-and 6-hour ConA model groups, the 3-and 6-hour HLSC-exo treatment groups had significant reductions in the levels of ALT and AST (225.58±115.59 U/L vs 1989.32±347.67 U/L, 1174.71±203.30 U/L vs 2208.33±349.96 U/L, 303.53±126.68 U/L vs 2534.27±644.72 U/L, 1340.70±262.56 U/L vs 2437.13±288.13 U/L, all P < 0.001); compared with the 6-hour HLSC-exo treatment group, the 3-hour HLSC-exo treatment group had significantly greater reductions (P < 0.001). In the blank group, the levels of IL-10 and TNF-α were 313.51±10.97 pg/ml and 476.05±7.31 pg/ml, respectively. Compared with the blank control group, the 3-, 6-, and 12-hour ConA model groups had a significant reduction in the level of IL-10 (all P < 0.001); compared with the 3-and 6-hour ConA model groups, the 3-and 6-hour HLSC-exo treatment groups had a significant increase in the level of IL-10(331.61±10.46 pg/ml vs 266.20±8.15 pg/ml, 288.13±10.74 pg/ml vs 264.41±9.12 pg/ml, both P < 0.001); compared with the 6-hour HLSC-exo treatment group, the 3-hour HLSC-exo treatment group had a significantly greater increase (P < 0.001). Compared with the blank control group, the 3-, 6-, and 12-hour ConA model groups had a significant increase in the level of TNF-α (all P < 0.001); compared with the 3-and 6-hour ConA model groups, the 3-and 6-hour HLSC-exo treatment groups had a significant reduction in the level of TNF-α (478.26±12.99 pg/ml vs 551.31±17.70 pg/ml, 515.58±7.18 pg/ml vs 556.21±11.15 pg/ml, both P < 0.001); compared with the 6-hour HLSC-exo treatment group, the 3-hour HLSC-exo treatment group had a significantly greater reduction (P < 0.001). Compared with the 3-and 6-hour ConA model groups in terms of the gross morphology and histopathology of the liver, the 3-and 6-hour HLSC-exo treatment groups had a significant reduction in the degree of hepatocyte necrosis, and the 3-hour HLSC-exo treatment group had a basically complete lobular structure, with sporadic spotty necrosis; the 12-hour HLSC-exo treatment group had no significant improvement in hepatocyte necrosis compared with the 12-hour ConA model group.  Conclusion  Intravenous injection of adult HLSC-exo can alleviate acute liver injury induced by ConA in mice, and injection at 3 hours in advance has the most significant protective effect. Regulation of cytokines is one of the important mechanisms for HLSC-exo to alleviate liver injury.
Original Articles_Pancreatic Diseases
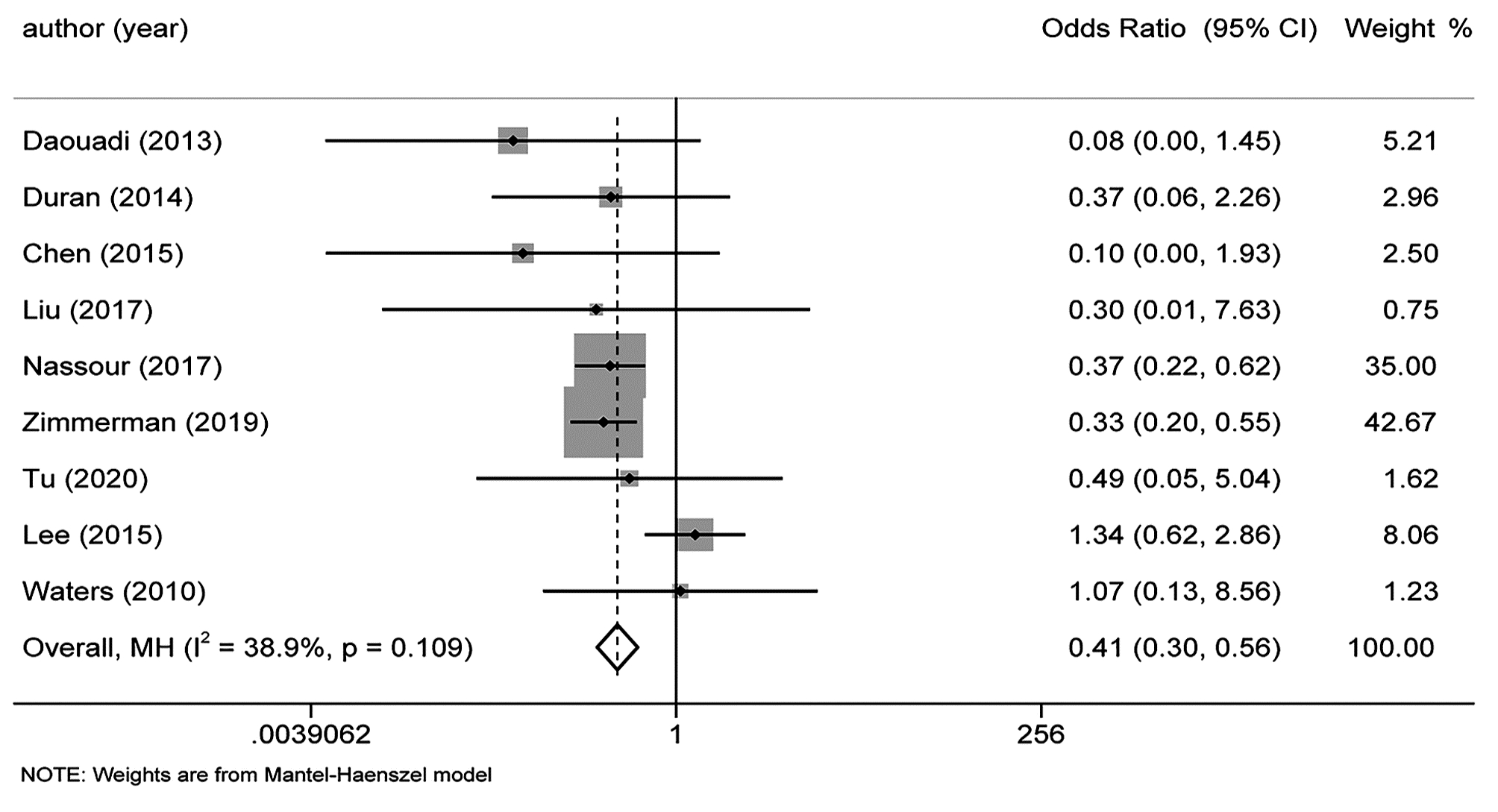
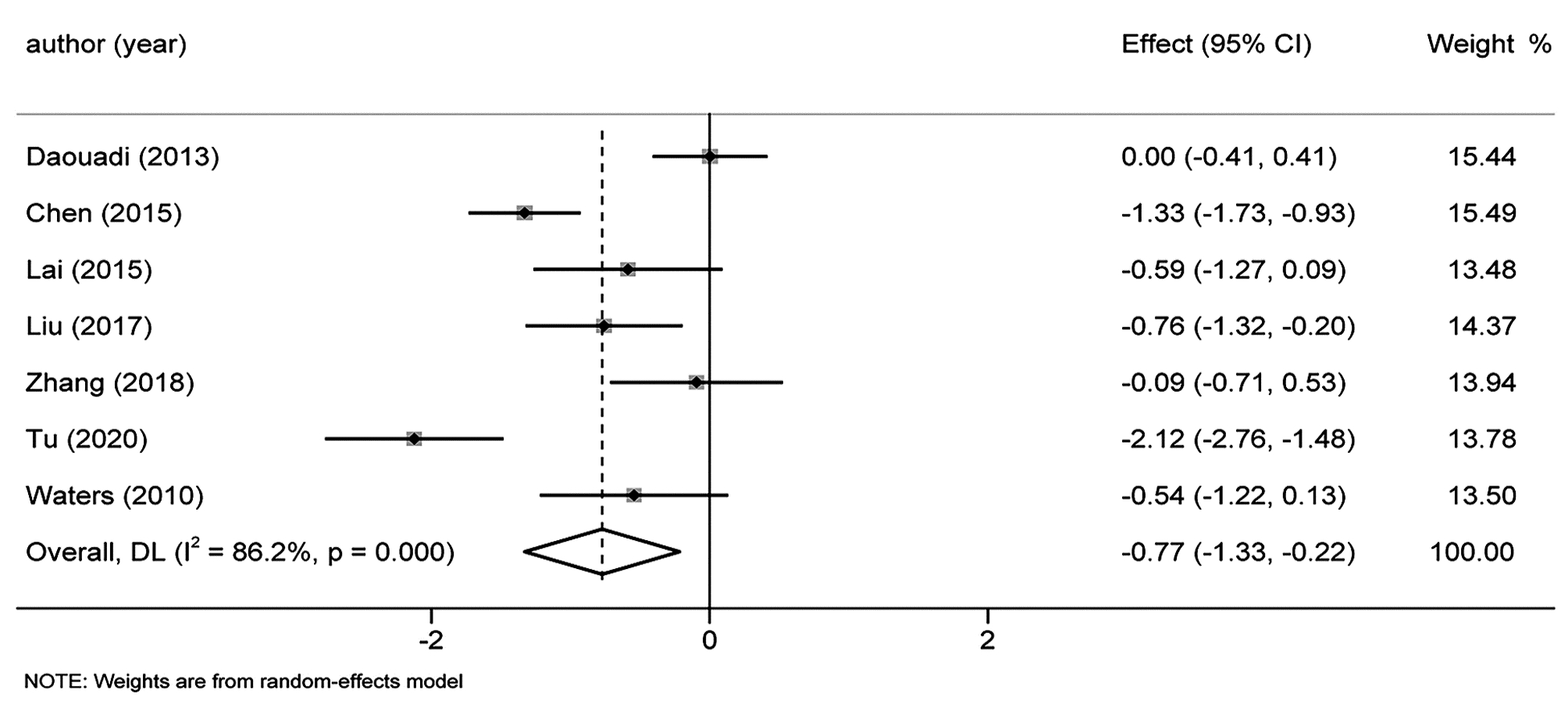
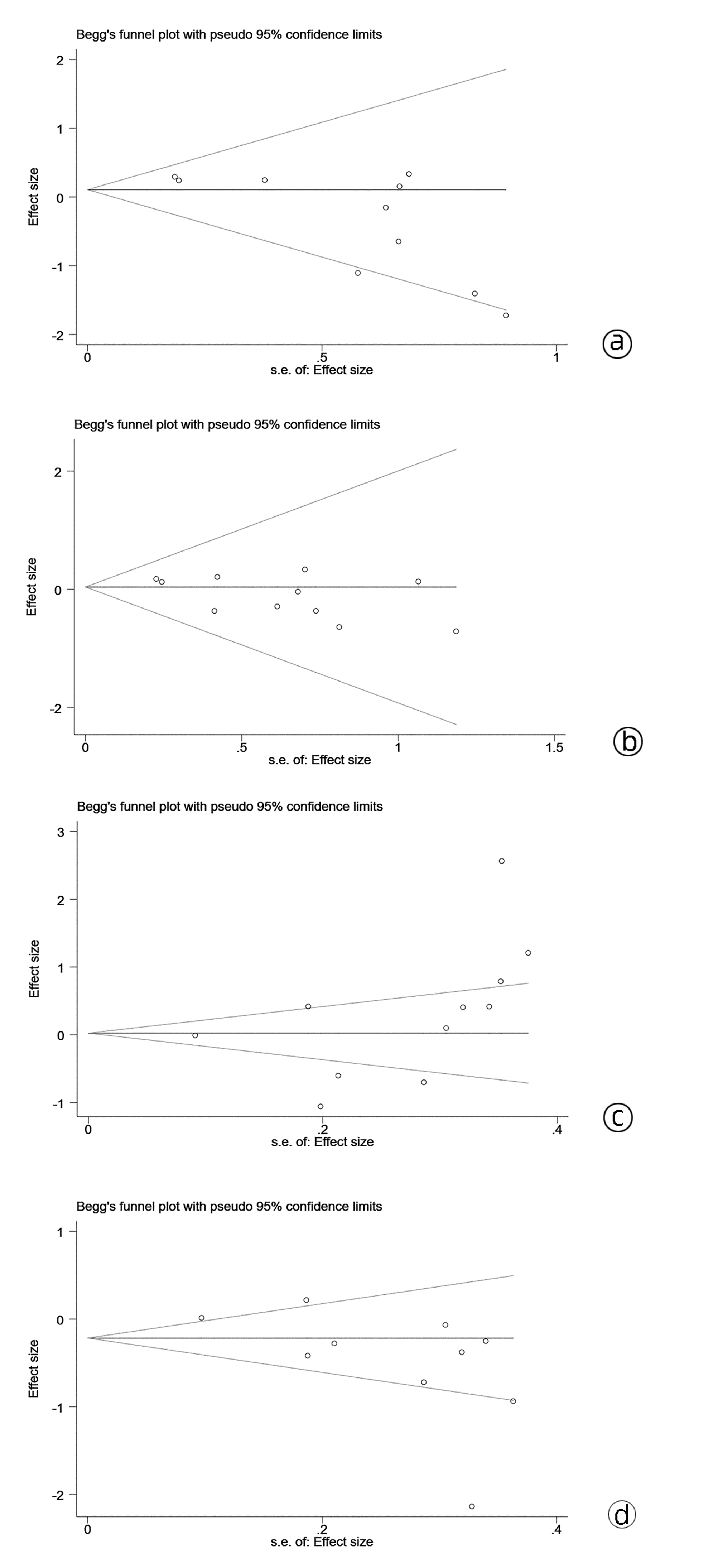
Short-term efficacy and safety of Da Vinci robotic pancreaticoduodenectomy versus traditional laparoscopic pancreaticoduodenectomy: A meta-analysis
Xin DAI, Hanlin LIU, Qiang WANG, Peng SHU, Long CHENG, Tao WANG
2022, 38(5): 1106-1113. DOI: 10.3969/j.issn.1001-5256.2022.05.025
Abstract(1535) HTML (435) PDF (3979KB)(54)
Abstract:
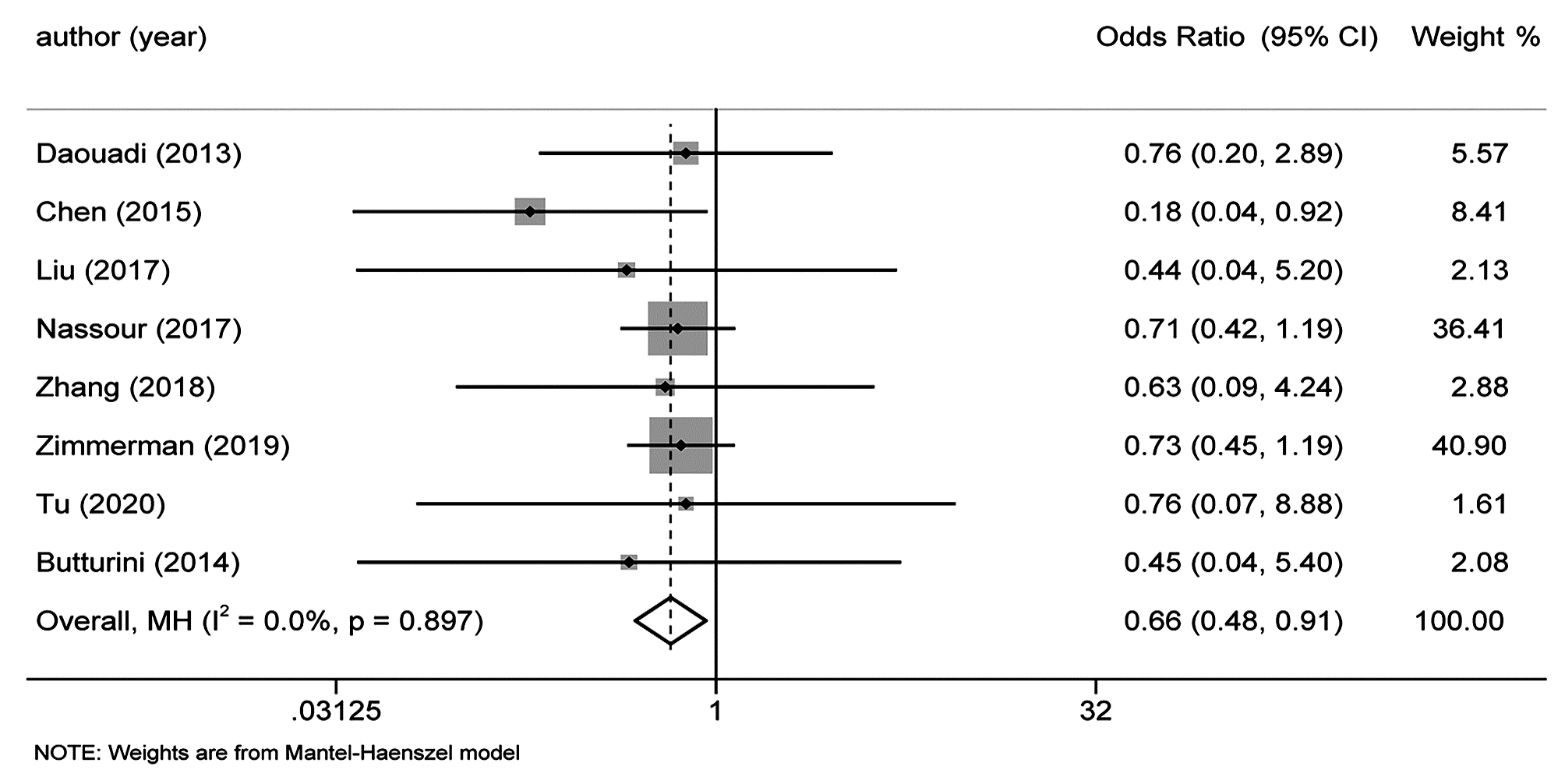
  Objective  To systematically evaluate the short-term efficacy and safety of robotic pancreaticoduodenectomy (RPD) versus traditional laparoscopic pancreaticoduodenectomy (LPD), and to provide a reference for clinical research and practice.  Methods  Chinese and English databases such as PubMed, Embase, the Cochrane Library, CNKI, Wanfang Data, and VIP were searched to include the cohort studies comparing the clinical efficacy of robot-assisted laparoscopy and traditional laparoscopy in pancreaticoduodenectomy. The quality of included articles was evaluated based on Cochrane systematic review, and Stata15.1 software was used to perform a meta-analysis of related outcome measures extracted.  Results  A total of 12 cohort studies were included, with 1630 patients in total, and there were 683 patients in the RPD group and 947 patients in the LPD group. The meta-analysis showed that there were significant differences between the RPD group and the LPD group in postoperative bleeding rate (odds ratio [OR]=0.66, 95% confidence interval [CI]: 0.48-0.91, P < 0.05), rate of conversion to laparotomy (OR=0.41, 95%CI: 0.30-0.56, P < 0.05), estimated intraoperative blood loss (weighted mean difference [WMD]=-0.77, 95%CI: -1.33 to -0.22, P < 0.05), and length of postoperative hospital stay (WMD=-0.45, 95%CI: -0.80 to -0.11, P < 0.05). Country of publication might be one of the sources of heterogeneity in the incidence rate of postoperative complications between subgroups (P < 0.05).  Conclusion  Compared with traditional LPD, da Vinci RPD can reduce postoperative bleeding rate, intraoperative blood loss and rate of conversion to laparotomy and shorten postoperative hospital stay, and meanwhile, it does not increase the operation time and the incidence rate of postoperative complications. Both surgical procedures are safe and feasible.
Case Reports
A case of primary biliary cholangitis with megaloblastic anemia
Mei CHEN, Ning MA, Jingbo JIN, Yu PENG, Sitong FAN, Fang WANG
2022, 38(5): 1114-1115. DOI: 10.3969/j.issn.1001-5256.2022.05.026
Abstract(1223) HTML (284) PDF (2312KB)(60)
Abstract:
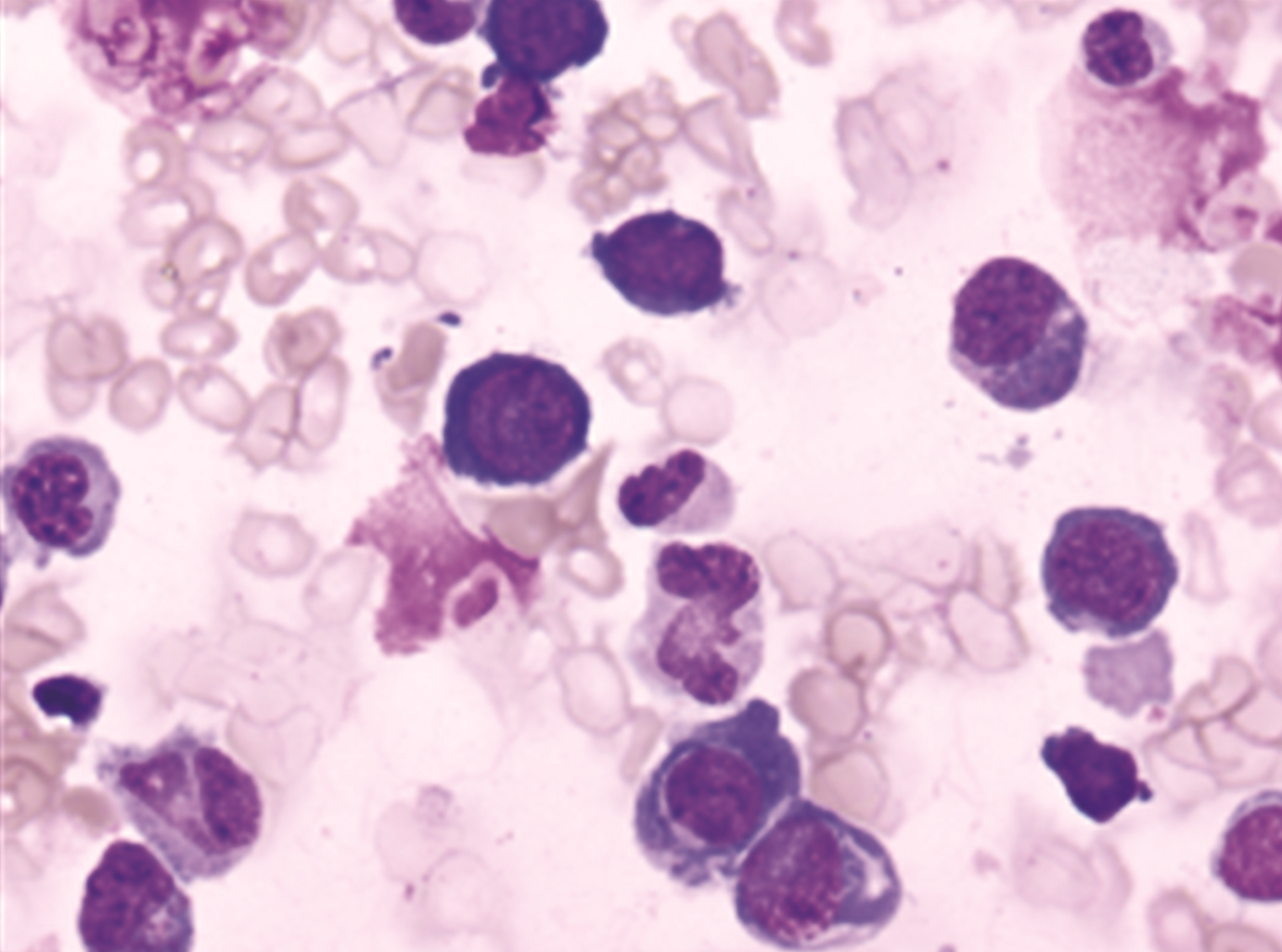
Hepatic paragonimiasis diagnosed by liver histopathology: A case report
Yang LIU, Zhaoxia LI, Tong WU, Jiahe SHI, Ge YU, Guijie XIN
2022, 38(5): 1116-1118. DOI: 10.3969/j.issn.1001-5256.2022.05.027
Abstract(846) HTML (456) PDF (2302KB)(53)
Abstract:
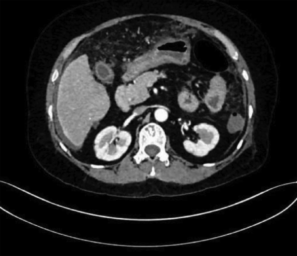
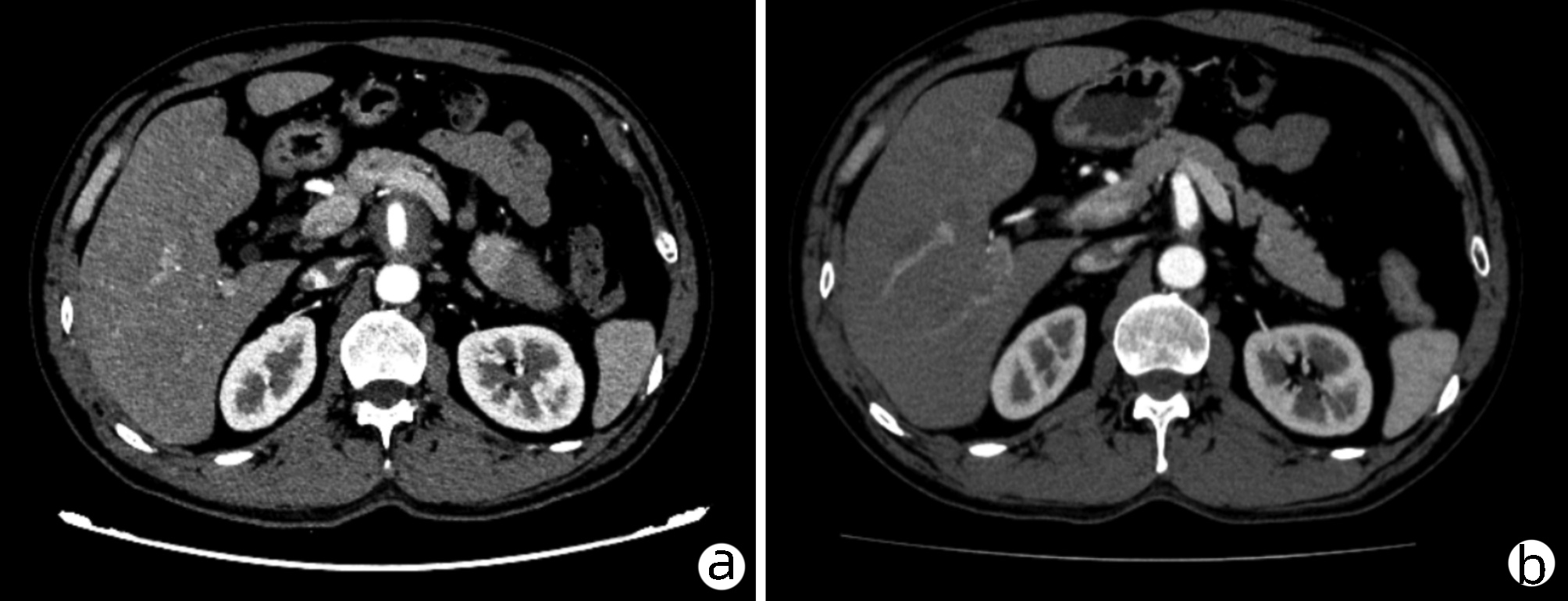
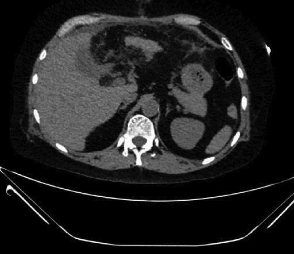
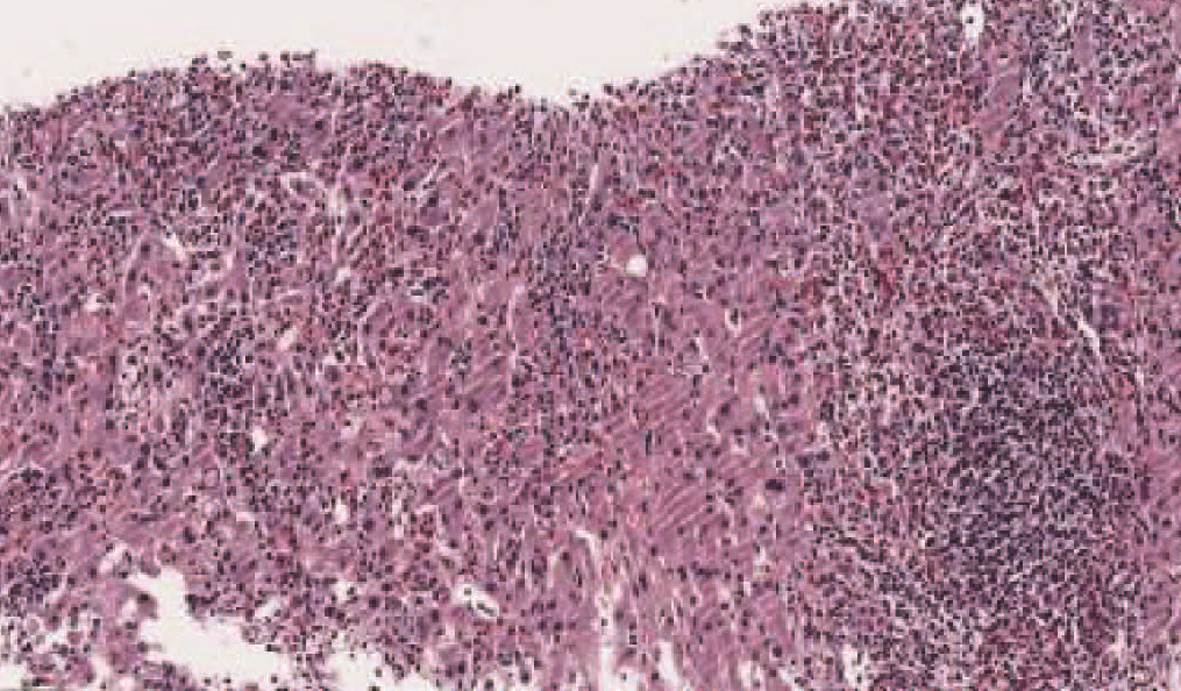
A case of hepatolenticular degeneration with hepatocellular carcinoma
Shaoxuan LUO, Ya LI, Feng XU
2022, 38(5): 1119-1121. DOI: 10.3969/j.issn.1001-5256.2022.05.028
Abstract(835) HTML (200) PDF (2067KB)(47)
Abstract:
A rare ATP7B genotype identified in the siblings with hepatolenticular degeneration and their pedigree analysis
Jie ZHOU, Jinmao LIAO, Ling LIAO, Huanchun YANG, Zhan LIU
2022, 38(5): 1122-1125. DOI: 10.3969/j.issn.1001-5256.2022.05.029
Abstract(1036) HTML (240) PDF (1871KB)(41)
Abstract:
IgG4-related retroperitoneal fibrosis: A case report
Zhaoxia LI, Yang LIU, Nan LI, Zhuhui JI, Guijie XIN
2022, 38(5): 1126-1128. DOI: 10.3969/j.issn.1001-5256.2022.05.030
Abstract(758) HTML (364) PDF (2161KB)(55)
Abstract:
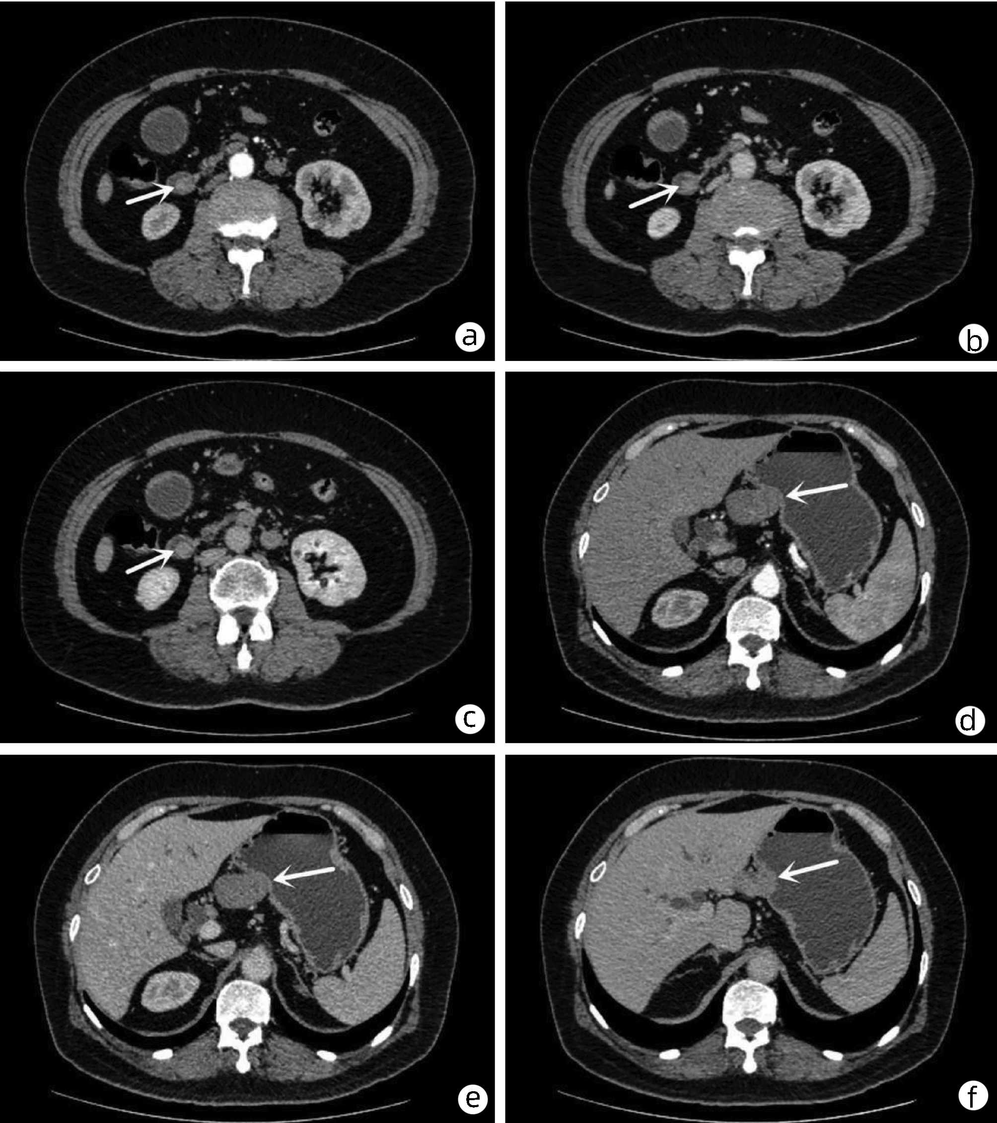
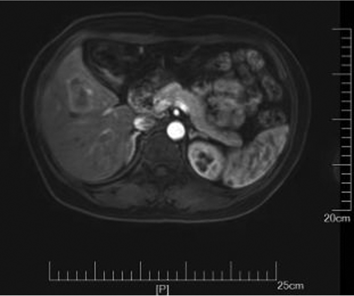
Spontaneous rupture of biliary dilatation with cancer: A case report
Xiaotong QIU, Zhengqi WU, Yushi CAO, Xuxiang XIA, Guoyue LYU
2022, 38(5): 1129-1130. DOI: 10.3969/j.issn.1001-5256.2022.05.031
Abstract(907) HTML (321) PDF (2537KB)(30)
Abstract:
Gallbladder perforation with gastric perforation: A case report
Xiuping LUO, Peng PENG, Shiquan LIU, Mengbin QIN, Jiean HUANG
2022, 38(5): 1131-1133. DOI: 10.3969/j.issn.1001-5256.2022.05.032
Abstract(1258) HTML (358) PDF (2333KB)(50)
Abstract:
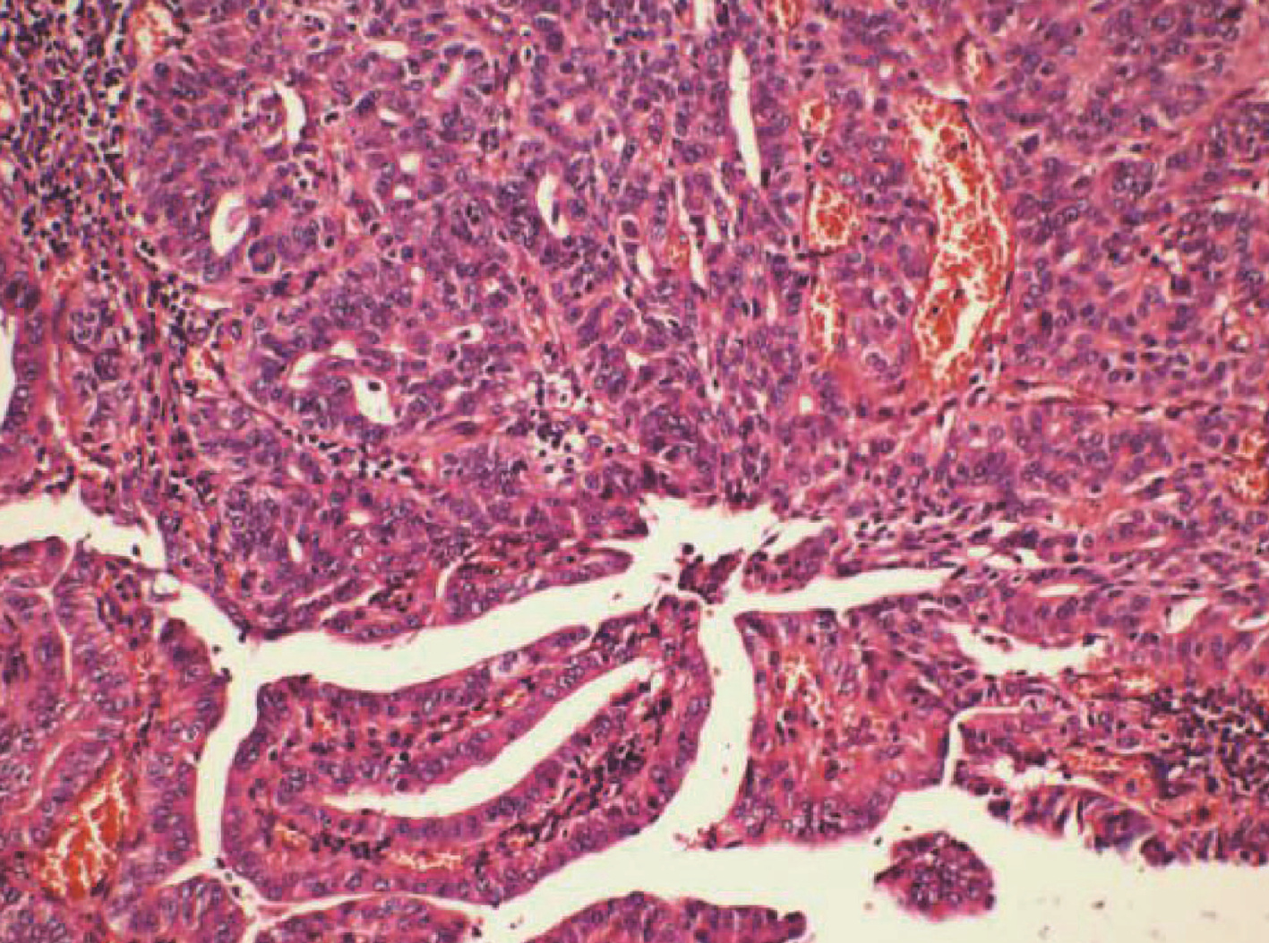
Vater ampulla neuroendocrine tumor with gastrointestinal stromal tumor: A case report
Zhengqi WU, Xiaotong QIU, Guoyue LYU
2022, 38(5): 1134-1136. DOI: 10.3969/j.issn.1001-5256.2022.05.033
Abstract(995) HTML (192) PDF (3096KB)(38)
Abstract:
Reviews
Research advances in intestinal flora and the development and prognosis of chronic hepatitis B
Ziwei GUO, Jiaxin ZHANG, Shuo LI, Xiaobin LI, Shun ZHU, Qian JIN, Xiaoke LI, Yongan YE
2022, 38(5): 1137-1142. DOI: 10.3969/j.issn.1001-5256.2022.05.034
Abstract(1244) HTML (492) PDF (1908KB)(103)
Abstract:
Intestinal flora is closely associated with chronic hepatitis B (CHB). Recent studies have shown that the imbalance of intestinal flora is associated with the development, progression, and prognosis of CHB, and the environment of intestinal flora may also change with disease progression, suggesting that intestinal flora and CHB interact with each other. This article reviews the influence of intestinal flora on the progression of CHB and related liver diseases and the role of intestinal flora regulation in the diagnosis and treatment of CHB and related liver diseases, in order to provide new ideas for the clinical treatment of CHB.
Research advances in the role of gut microbiota in chronic hepatitis B, chronic hepatitis C, and related liver diseases
Hui DENG, Bin ZHANG, Bin ZHU, Zhayier DILIHUMAER, Weixian WANG, Chunxia GUO, Dongliang YANG, Xin ZHENG, Junzhong WANG, Baoju WANG
2022, 38(5): 1143-1147. DOI: 10.3969/j.issn.1001-5256.2022.05.035
Abstract(1400) HTML (434) PDF (1968KB)(89)
Abstract:
Hepatitis B virus infection and hepatitis C virus infection often progress to end-stage liver diseases such as liver cirrhosis, liver failure, and hepatocellular carcinoma, which endanger the life of patients. Recent studies have shown that gut microbiota are closely associated with chronic viral liver diseases. This article reviews the association of gut microbiota with chronic hepatitis B (CHB), chronic hepatitis C (CHC), and their related liver diseases and the research advances in therapies targeting gut microbiota against CHB and its related liver diseases, in order to provide more ideas for the clinical treatment of CHB, CHC, and their related liver diseases.
Role and mechanism of interleukin-35 in hepatitis B virus-related diseases
Xiaofei YANG, Jianqi LIAN, Ye ZHANG
2022, 38(5): 1148-1151. DOI: 10.3969/j.issn.1001-5256.2022.05.036
Abstract(989) HTML (306) PDF (2196KB)(62)
Abstract:
Interleukin-35 (IL-35) is an immunosuppressive cytokine mainly secreted by regulatory T cells and regulatory B cells and is involved in the pathogenesis of infectious diseases, tumors, and autoimmune diseases. This article summarizes the immunoregulatory role and mechanism of IL-35 in hepatitis B, liver cirrhosis, liver failure, and hepatocellular carcinoma caused by hepatitis B virus (HBV) infection. The analysis shows that IL-35 is a "double-edged sword" in HBV-related diseases, and it can not only promote the chronicity of infection and the progression of hepatocellular carcinoma, but also alleviate liver inflammation and inhibit liver fibrosis.
Mechanism of ferroptosis in the formation of nonalcoholic fatty liver disease/nonalcoholic steatohepatitis
Minghao LIU, Sutong LIU, Lihui ZHANG, Yajiao GU, Dongfang SHANG, Zhun XIAO, Wenxia ZHAO
2022, 38(5): 1152-1155. DOI: 10.3969/j.issn.1001-5256.2022.05.037
Abstract(1742) HTML (3154) PDF (2497KB)(293)
Abstract:
Ferroptosis is a type of iron-dependent cell death driven by lipid peroxidation, and its mechanism is associated with iron homeostasis imbalance, lipid peroxidation, and slC7A11-GSH-GPX4 antioxidant system. Ferroptosis plays a key role in the development and progression of nonalcoholic fatty liver disease (NAFLD)/nonalcoholic steatohepatitis (NASH), and inhibition of ferroptosis can almost completely inhibit the development of NASH. This article reviews the research advances in the mechanism of ferroptosis and its role in NAFLD/NASH and proposes the research strategies and technical means for ferroptosis, so as to provide a reference for research on the mechanism of NAFLD/NASH.
Role of exercise-induced autophagy in prevention and treatment of nonalcoholic fatty liver disease
Yuesheng LIAO, Lili BAI
2022, 38(5): 1156-1160. DOI: 10.3969/j.issn.1001-5256.2022.05.038
Abstract(1193) HTML (383) PDF (2114KB)(65)
Abstract:
Nonalcoholic fatty liver disease (NAFLD) is a metabolic disease characterized by chronic liver damage. Epidemiological surveys have shown that the incidence rate of NAFLD is increasing constantly and NAFLD has become a serious threat to human life and health. Studies have shown that autophagy dysregulation is an important pathophysiological mechanism of NAFLD, and exercise, as an important non-pharmacological treatment, can prevent and treat NAFLD by inducing autophagy, but its exact mechanism is still unclear. This article summarizes the theoretical studies and application results related to the association between autophagy and NAFLD, the effect of exercise-induced autophagy on NAFLD, and its potential molecular mechanism, in order to provide a theoretical reference for the prevention and treatment of NAFLD.
Research advances in hepatic fibrosis related signal pathways and anti-hepatic fibrosis drugs
Suriguga LU, Ting LIU, Dandan ZHU, Sijia YU, Liqing LU, Junjie DING
2022, 38(5): 1161-1164. DOI: 10.3969/j.issn.1001-5256.2022.05.039
Abstract(1841) HTML (1497) PDF (2927KB)(137)
Abstract:
Hepatic fibrosis is a pathological process in which the liver is subjected to various acute and chronic injuries for a long time, resulting in activation of hepatic stellate cells, the imbalance between the production and degradation of extracellular matrix, and the deposition of extracellular matrix in the liver, and it is jointly controlled by multiple cellular signal transduction pathways and a series of cellular information molecular networks. If there is no effective treatment, with the progression of the disease, liver fibrous nodules will form, destroy normal liver structure and function, and finally develop into liver cirrhosis, the decline of liver function, and even liver cancer. This article summarizes the research advances in the signaling pathways, receptors, and non-coding RNAs involved in liver fibrosis and the corresponding anti-hepatic fibrosis drugs/molecules.
Effect of different antiviral drugs in reducing the risk of hepatitis B virus-related hepatocellular carcinoma
Lixian WU, Weiqiang ZHENG, Huanqin HAN
2022, 38(5): 1165-1168. DOI: 10.3969/j.issn.1001-5256.2022.05.040
Abstract(1212) HTML (283) PDF (1886KB)(105)
Abstract:
Antiviral therapy can reduce the risk of hepatocellular carcinoma (HCC) in patients with chronic hepatitis B. As for the first-line antiviral drugs, more studies have shown that tenofovir disoproxil fumarate may be better than entecavir in reducing the risk of HCC, especially among Asian patients; a limited number of studies have shown that tenofovir alafenamide fumarate may be better than tenofovir disoproxil fumarate in reducing the risk of HCC; interferon has a better effect than nucleos(t)ide analogues alone in reducing the risk of HCC. Among the currently available drugs, interferon combined with nucleos(t)ide analogues may be the best choice to reduce the risk of HCC in patients at a high risk of HCC. The level of evidence-based medicine is weak for comparing the effect of different drugs in reducing the risk of HCC, and randomized controlled trials are needed for further clarification. In practice, it is necessary to weigh the risk of HCC, drug tolerance and economic affordability based on the patient's basic conditions and actual situations, so as to develop individualized anti-viral strategies.
Research advances in animal models of Wilson's disease
Yulong YANG, Taohua WEI, Wenming YANG, Wenjie HAO, Yue YANG, Nannan QIAN, Xiang LI, Hailin JIANG
2022, 38(5): 1169-1174. DOI: 10.3969/j.issn.1001-5256.2022.05.041
Abstract(1684) HTML (376) PDF (1905KB)(138)
Abstract:
Wilson's disease (WD) is a rare autosomal recessive disorder with a complex pathogenesis involving multiple systems, multiple visceral organs, and the complex copper homeostasis regulation system within the body. The liver is the most common organ for copper deposition, and liver injury is the earliest and most common manifestation of WD; therefore, it is important to find an ideal animal model for WD research. By summarizing the animal models of WD commonly used in the world, this article systematically summarizes the background, liver and nervous manifestations, and application of different models and compares the characteristics of different animal models, so as to provide a reference for the application of various animal models of WD.
Role of thymic stromal lymphopoietin in liver diseases
Wenshang CHEN, Jijin ZHU, Shilai LI
2022, 38(5): 1175-1178. DOI: 10.3969/j.issn.1001-5256.2022.05.042
Abstract(1470) HTML (296) PDF (1896KB)(58)
Abstract:
Thymic stromal lymphopoietin (TSLP) is a type I interleukin 2 family cytokine composed of four short-chain α-helix bundles and has homology with interleukin-7. TSLP plays an important role in many allergic diseases or autoimmune diseases, such as asthma, atopic dermatitis, eosinophilic esophagitis, and inflammatory bowel disease, and promotes the development of these diseases. At present, there are some reports on TSLP in liver diseases, and some studies showed that it can promote the development and progression of liver diseases, while others showed that it plays a protective role in liver diseases. This article reviews the molecular composition and biological features of TSLP and the role of TSLP in benign liver diseases and liver tumors and elaborates on the research advances in TSLP in liver diseases.
Research advances in sodium taurocholate cotransporting polypeptide in hepatobiliary diseases
Xiaoqiang GAO, Shi ZUO, Xiaodong JIA, Yinying LU
2022, 38(5): 1179-1182. DOI: 10.3969/j.issn.1001-5256.2022.05.043
Abstract(2056) HTML (775) PDF (2054KB)(127)
Abstract:
Sodium taurocholate cotransporting polypeptide (NTCP) is not only an important transporter for bile acid absorption into the liver, but also a functional receptor for HBV and HDV, and extensive studies have been performed for its structure, function, gene characteristics, and expression and regulation mechanisms. NTCP is also associated with chronic viral hepatitis, nonalcoholic fatty liver disease, liver fibrosis, primary biliary cholangitis, and hepatocellular carcinoma. This article elaborates on the role of NTCP in various hepatobiliary diseases, so as to provide new direction for the diagnosis and treatment of related diseases.
Risk factors for herb-induced liver injury
Yan YANG, Feilin GE, Qian HUANG, Rui ZENG, Xinyue ZHANG, Qin SUN
2022, 38(5): 1183-1187. DOI: 10.3969/j.issn.1001-5256.2022.05.044
Abstract(1572) HTML (513) PDF (1903KB)(122)
Abstract:
Drug-induced liver injury (DILI) is one of the common adverse drug reactions and is the main cause of withdrawal of drugs after marketing, which has attracted more and more attention of the public, and herb-induced liver injury (HILI) is a special type of DILI. In recent years, the frequent occurrence of HILI not only seriously endangers the health of patients, but also causes the controversy over the safety of traditional Chinese medicine. Therefore, this article reviews the potential risk factors for HILI from the three aspects of "patient", "drug", and "use", so as to provide a basis for the objective identification, prevention, and control of HILI and a reference for the construction of traditional Chinese medicine pharmacovigilance system represented by liver injury.
Advances in the clinical research on liver transplantation in treatment of acute-on-chronic liver failure
Jiang LI, Xing DAI, Dazhi TIAN, Wentao JIANG, Zhongyang SHEN
2022, 38(5): 1188-1191. DOI: 10.3969/j.issn.1001-5256.2022.05.045
Abstract(1382) HTML (217) PDF (1897KB)(53)
Abstract:
Acute-on-chronic liver failure (ACLF) is a disease of rapid deterioration of liver function caused by the acute exacerbation of chronic liver diseases, and it is often associated with multiple organ failure and has a poorer prognosis than common liver cirrhosis. Many studies suggest that timely liver transplantation can significantly improve the survival rate of patients with ACLF; however, there are currently no reliable guidelines that point out the indications for liver transplantation in patients with ACLF. This article summarizes recent studies and discusses the indication, timing, and prognosis of liver transplantation in ALCF patients.
Early predictors for acute kidney injury in acute pancreatitis
Yan WANG, Mingzheng LI, Yufeng LIU, Shiming WANG
2022, 38(5): 1192-1197. DOI: 10.3969/j.issn.1001-5256.2022.05.046
Abstract(1547) HTML (441) PDF (1924KB)(94)
Abstract:
Acute pancreatitis (AP) is one of the common acute abdominal diseases of the digestive system, and early treatment to avoid aggravation to severe pancreatitis (SAP) is the key to guaranteeing prognosis. AP with acute kidney injury (AKI) can significantly increase the mortality rate of pancreatitis. Early diagnosis of AP with AKI is a top priority to reduce mortality rate. This article reviews the current studies on the early predictors for AKI in AP and briefly describes commonly used indicators (neutrophil-to-lymphocyte ratio, cystatin C, renal vascular resistance index, and neutrophil gelatinase-associated lipocalin) and other valuable indicators. It is pointed out that a combination of various markers based on their sensitivity and specificity has a promising future in the diagnosis of AKI in AP.
Research advances in abnormal activation and secretion of pancreatic enzymes in acute pancreatitis
Tianyu CUI, Ruixia LIU, Chenghong YIN
2022, 38(5): 1198-1202. DOI: 10.3969/j.issn.1001-5256.2022.05.047
Abstract(1226) HTML (382) PDF (2620KB)(73)
Abstract:
Abnormal activation and secretion of pancreatic enzymes in pancreatic acinar cells is one of the important pathogeneses of acute pancreatitis (AP) and can directly damage the pancreatic tissue to accelerate disease progression and induce severe AP. At present, the drugs inhibiting the abnormal activation and secretion of pancreatic enzymes tend to have an unsatisfactory effect in clinical practice, and therefore, it is of great importance to search for new therapeutic targets. This article summarizes the pathological events of abnormal activation and secretion of pancreatic enzymes (cytoplasmic calcium overload, colocalization of lysosomes and zymogen granules, organelle injury, obstructed apical secretion of trypsin, and increased basal secretion of trypsin), collects the molecular mechanisms of related events, and discusses the role of abnormal activation and secretion of pancreatic enzymes in the early stage of AP, so as to provide ideas for the development of targeted drugs in the future.
Role of cancer-associated fibroblasts in drug resistance of pancreatic cancer
Yi YAN, Junmei JIA, Yarong GUO
2022, 38(5): 1203-1208. DOI: 10.3969/j.issn.1001-5256.2022.05.048
Abstract(1753) HTML (671) PDF (3024KB)(101)
Abstract:
Pancreatic cancer is one of the fatal malignant tumors, and its dense stroma, which accounts for 90% of the volume of pancreatic tumor, is the main reason for the low survival rate of pancreatic cancer. Cancer-associated fibroblasts (CAFs) are an important group of cells in the tumor stroma of pancreatic cancer, and activated CAFs induce a strong connective tissue interstitial reaction and secretes a variety of soluble molecules to remodel the extracellular matrix, thereby forming a microenvironment that helps with the proliferation, invasion, and metastasis of pancreatic cancer. At present, an increasing number of evidence has shown that CAFs play an important role in the drug resistance of pancreatic cancer, especially in chemotherapy and immunotherapy, and CAFs result in a low response rate of pancreatic cancer treatment by interfering with the metabolism of antitumor drugs, participating in the signaling pathways associated with drug resistance, and forming an immunosuppressive microenvironment. This article elaborates on the specific mechanism of CAFs participating in the drug resistance of pancreatic cancer from the two aspects of chemotherapy and immunotherapy, in order to provide new ideas for identifying new therapeutic targets for pancreatic cancer and improving the response rate of pancreatic cancer treatment.
Introduction of High-quality Articles in Foreign Journals
Hepatology|PAK4 inhibition protects against liver ischemia/reperfusion injury: Role of Nrf2 phosphorylation
2022, 38(5): 1022-1022. DOI: 10.3969/j.issn.1001-5256.2022.05.gwjpwzjj1
Abstract(478) HTML (177) PDF (938KB)(40)
Abstract:
Hepatology|Quantified integrated hepatitis B virus is related to viral activity in chronic hepatitis B patients
2022, 38(5): 1068-1068. DOI: 10.3969/j.issn.1001-5256.2022.05.gwjpwzjj2
Abstract(434) HTML (225) PDF (853KB)(38)
Abstract:
Thanks
Current reviewers
2022, 38(5): 1174-1174. DOI: 10.3969/j.issn.1001-5256.2022.05.zhixie1
Abstract(445) HTML (159) PDF (849KB)(38)
Abstract: