中文English
ISSN 1001-5256 (Print)
ISSN 2097-3497 (Online)
CN 22-1108/R

2022 No.3
Theme Issue: Autoimmune Liver Diseases — Exploring the Pathogenesis and Promoting Clinical Practice
Executive Chief Editor: YAN Huiping  
Beijing YouAn Hospital Affiliated to Capital Medical University

Display Method:
Editorial
Review and prospect of the development in the field of autoimmune liver diseases in China over the last 20 years
Huipng YAN, Yanmin LIU, Haiping ZHANG
2022, 38(4): 737-742. DOI: 10.3969/j.issn.1001-5256.2022.04.001
Abstract(1624) HTML (390) PDF (2771KB)(219)
Abstract:
Through big data, this paper reviews the national research projects and the academic papers published in China and globally in the field of autoimmune liver diseases in China from 2001 to 2020, revealing the development trend in the past two decades. This paper also introduces the updates of the newly issued guidelines for the diagnosis and treatment of autoimmune liver diseases, and reviews the development of autoantibody detection technology and analyzes its progress.
Discussions by Experts
Advances in the pathogenesis of autoimmune hepatitis and new targets for clinical intervention
Mingli HU, Qixia WANG, Xiong MA
2022, 38(4): 743-747. DOI: 10.3969/j.issn.1001-5256.2022.04.002
Abstract(1963) HTML (421) PDF (1912KB)(338)
Abstract:
Autoimmune hepatitis (AIH) is an immune-mediated liver disease with hepatocytes as the main target cells. It is characterized by the high immunoglobulin G level and the presence of autoantibodies, and histological observation shows interface hepatitis at the portal area caused by a large amount of lymphoplasmacytic infiltration. The pathogenesis of AIH has not been fully elucidated. At present, glucocorticoid combined with azathioprine is mainly used as non-specific immunosuppressive therapy, and most patients tend to have good response; however, rebound or relapse is often observed during dose reduction or after drug withdrawal, so most patients need long-term maintenance therapy. This article briefly reviews the advances in the pathogenesis of AIH and the potential new targets for clinical intervention, in order to provide a reference for clinical translational research.
The early diagnosis and treatment of atypical autoimmune liver disease should be taken seriously
Chunyang HUANG, Yanmin LIU
2022, 38(4): 748-753. DOI: 10.3969/j.issn.1001-5256.2022.04.003
Abstract(1366) HTML (336) PDF (1924KB)(171)
Abstract:
Autoimmune liver disease is a group of diseases mainly caused by autoimmune abnormalities, including autoimmune hepatitis dominated by hepatocellular injury, primary biliary cholangitis and primary sclerosing cholangitis dominated by bile duct injury, and overlap syndrome with the main features of the above two diseases. Recently, IgG4-related hepatobiliary diseases have also been included in this category, and without timely diagnosis and treatment, it can progress to liver cirrhosis and even liver failure. Different autoimmune liver diseases have their own features, and with the popularization of the knowledge on autoimmune liver diseases, physicians have gradually increased their understanding of such diseases and can achieve the early diagnosis and timely treatment of most typical autoimmune liver diseases. However, some patients may have atypical manifestations or laboratory markers, which may easily delay the diagnosis, and therefore, it is of great importance to identify atypical autoimmune liver disease and give timely diagnosis and treatment as soon as possible.
The role of pathogen infections in the development and progression of autoimmune liver diseases
Haiping ZHANG, Huiping YAN, Dexi CHEN, Yingmin MA
2022, 38(4): 754-758. DOI: 10.3969/j.issn.1001-5256.2022.04.004
Abstract(1009) HTML (368) PDF (1912KB)(113)
Abstract:
The etiology and pathogenesis of autoimmune liver diseases has always been a hot area of research. Pathogen infections can elicit an autoimmune response and often become the key pathogenic factor of immune diseases. Based on the literature data and the author's clinical experience, this review will briefly introduce the role and influence of pathogen infections in the development and progression of autoimmune liver diseases from the aspects such as molecular mimicry mechanism, in order to further understand the pathogenesis of autoimmune liver diseases.
Genetic studies of primary biliary cholangitis in the post-GWAS era
Fang QIU, Chan WANG, Mingming ZHANG, Xingjuan SHI, Xiangdong LIU
2022, 38(4): 759-761. DOI: 10.3969/j.issn.1001-5256.2022.04.005
Abstract(1240) HTML (556) PDF (1889KB)(111)
Abstract:
With the constant increase in the awareness of primary biliary cholangitis (PBC) and the continuous improvement in related diagnostic methods in the past two decades, the incidence and prevalence rates of PBC tend to increase and PBC is now the most common autoimmune liver disease worldwide. A series of family-based studies in the early stage have shown that PBC has strong genetic tendency, and subsequent genomic analyses have been performed for PBC in different populations and have obtained a large amount of genetic data. Future genetic studies of PBC will focus on translating these results into clinical practice.
Advances in diagnosis and treatment of IgG4-related hepatobiliary and pancreatic diseases
Tianqi WANG, Yanying LIU
2022, 38(4): 762-766. DOI: 10.3969/j.issn.1001-5256.2022.04.006
Abstract(1627) HTML (325) PDF (1911KB)(209)
Abstract:
IgG4-related hepatobiliary and pancreatic diseases are a part of the IgG4-related disease multiorgan fibroinflammatory disorder, including IgG4-related autoimmune pancreatitis, IgG4-related sclerosing cholangitis, and IgG4-related hepatic involvement. The main pathological features include IgG4+ plasma cell/lymphocyte infiltration, storiform fibrosis, obliterative phlebitis, and eosinophil infiltration. The diagnosis of this disease is often based on the comprehensive diagnostic criteria for IgG4-related diseases and organ-specific diagnostic criteria. However, it is difficult to differentiate IgG4-related hepatobiliary and pancreatic diseases from neoplastic diseases, and novel diagnostic biomarkers are expected to improve the sensitivity and specificity of diagnosis. To date, glucocorticoids remain the first-line drug for this disease, and biological agents, especially anti-CD20 monoclonal antibody, may be an alternative therapy for patients with corticosteroid contraindication/intolerance or recurrent/refractory disease.
Guidelines
Expert consensus on clinical application of artificial liver and blood purification (2022 edition)
Severe Liver Disease and Artificial Liver Group, Chinese Society of Hepatology, Chinese Medical Association
2022, 38(4): 767-775. DOI: 10.3969/j.issn.1001-5256.2022.04.007
Abstract(3790) HTML (786) PDF (2320KB)(863)
Abstract:
Clinical management guidelines for acute fatty liver of pregnancy in China (2022)
Obstetrics Subgroup, Chinese Society of Obstetrics and Gynecology, Chinese Medical Association
2022, 38(4): 776-783. DOI: 10.3760/cma.j.cn112141-20210907-00499
Abstract(2288) HTML (1830) PDF (2822KB)(603)
Abstract:
Acute fatty liver of pregnancy (AFLP) is a rare but critical obstetric disease with a high mortality rate, and it poses a serious threat to the safety of the mother and the child. The guidelines are developed to standardize clinical management and improve the outcome of the mother and the child. Based on multiple previous clinical questionnaire surveys, the guideline development group identified the nine clinical issues that clinicians are most concerned with and gave recommendations for each issue, including the outpatient screening for AFLP, diagnosis, preoperative risk assessment, selection of mode of delivery, selection of anesthesia method, perinatal complications, indication for artificial liver therapy, evaluation of prognosis, and monitoring during treatment, which covers the hot topics associated with the diagnosis and treatment of AFLP.
An excerpt of AASLD practice guidance: Palliative care and symptom-based management in decompensated cirrhosis (2022)
Fu GUAN, Shengbing WANG, Mingqing ZHANG
2022, 38(4): 784-787. DOI: 10.3969/j.issn.1001-5256.2022.04.009
Abstract(1382) HTML (1046) PDF (1869KB)(213)
Abstract:
Original Articles_Viral Hepatitis
Clinical features and prognosis of HBV-related acute-on-chronic liver failure in pregnancy
Liujuan JI, Xue MEI, Wei YUAN, Ying ZOU, Yu LIU, Jiefei WANG, Zhiping QIAN
2022, 38(4): 788-792. DOI: 10.3969/j.issn.1001-5256.2022.04.010
Abstract(1036) HTML (272) PDF (1906KB)(55)
Abstract:
  Objective  To investigate the clinical features and prognosis of pregnant women with HBV-related acute-on-chronic liver failure (HBV-ACLF).  Methods  A retrospective analysis was performed for the clinical data of 26 pregnant women with HBV-ACLF who were admitted to Shanghai Public Health Clinical Center from June 2008 to July 2020, including age, gestational weeks at disease onset, parity, initial symptoms, complications on admission, laboratory markers [white blood cell count, hemoglobin, platelet count, alanine aminotransferase, total bilirubin (TBil), albumin, serum creatinine, Model for End-Stage Liver Disease (MELD) score, HBsAg, and HBV DNA], abdominal ultrasound, mode of delivery, fetus conditions, treatment measures, and prognosis. The t-test was used for comparison of normally distributed continuous data between two groups, and the Wilcoxon rank-sum test was used for comparison of non-normally distributed continuous data between two groups; the chi-square test and the Fisher's exact test were used for comparison of categorical data between two groups.  Results  Among the 26 patients, 8 died within 28 days after disease onset, and the mortality rate reached 30.8%. There were 22 multiparous patients, accounting for 84.6%, and HBV-ACLF often occurred in the third trimester of pregnancy (20/26, 76.9%), with a mean gestational age of 30.9±5.8 weeks. HBV-ACLF often had atypical clinical manifestations, and initial symptoms included weakness, poor appetite (21/26, 80.8%), and yellow urine (19/26, 73.1%). Compared with the survival group, the death group had significantly higher levels of TBil (Z=-2.056, P=0.041), prothrombin time (Z=-2.362, P=0.016), international normalized ratio (Z=-2.528, P=0.009), and MELD score (Z=-2.223, P=0.026), a significantly longer time from initial symptom to diagnosis (Z=-2.468, P=0.021), significantly higher HBV DNA level (χ2=7.571, P=0.021), degree of hepatic encephalopathy (χ2=24.775, P < 0.001), and incidence rate of complications (χ2=5.951, P=0.042), and significantly lower levels of fibrinogen (Z=-2.667, P=0.006) and prothrombin time activity (Z=-2.365, P=0.016).  Conclusion  HBV-ACLF is a serious complication in the third trimester of pregnancy and is often observed in multiparous patients, with an extremely high short-term mortality. It often has atypical clinical manifestations in the early stage, and high MELD score, high viral load, and complications often indicate a poor prognosis.
Epidemiological features and antiviral response of genotype 6 chronic hepatitis C
Jinni HUANG, Jianning JIANG, Dandan LIANG, Shiyu LONG, Guozhen DONG, Man SU, Jijiao LI, Chunling TENG, Ping ZHANG, Minghua SU
2022, 38(4): 793-797. DOI: 10.3969/j.issn.1001-5256.2022.04.011
Abstract(922) HTML (231) PDF (2318KB)(54)
Abstract:
  Objective  To investigate the epidemiological features and antiviral response of patients with genotype 6 chronic hepatitis C (CHC) in Guangxi, China.  Methods  A total of 97 patients with genotype 6 CHC who were admitted to The First Affiliated Hospital of Guangxi Medical University from December 2012 to December 2020 were enrolled, among whom 62 patients were given antiviral therapy. The 62 patients receiving antiviral therapy were divided into interferon group with 22 patients and direct-acting antiviral agent (DAA) group with 40 patients. Related data were collected, including general demographic data, HCV RNA, liver function, routine blood test results, and renal function. The chi-square test was used for comparison of categorical data between groups.  Results  Among the 97 patients, there were 69 male patients (71.1%) and 28 female patients (28.9%), with a mean age of 41.97±10.12 years, and the patients aged 30-40 years accounted for 47.4% (46/97). Of all 97 patients, 95 (97.9%) had genotype 6a, 1 had genotype 6e, and 1 had genotype 6xa. Among the 65 patients with a definite route of infection, 41 (63.1%) had intravenous drug use, 14 had medical-related operations, 9 had blood transfusion, and 4 had sexual contact as the route of infection. For the interferon group, the rapid virologic response (RVR) rate at week 4 was 81.8% (18/22), the rate of undetectable virus at the time of drug withdrawal (Epoint) was 86.4% (19/22), the rate of sustained virologic response at 12 weeks after drug withdrawal (SVR12) was 81.8%, and the rate of sustained virological response at 24 weeks after drug withdrawal (SVR24) was 81.8%; 1 patient in this group experienced recurrence. All 40 patients in the DAA group were previously untreated patients (33 patients without liver cirrhosis and 7 patients with compensated liver cirrhosis), with an overall RVR rate of 87.5%(35/40), an Epoint rate of 100%, and an SVR12 rate of 100%, and there was no treatment failure or recurrence. Although different DAA regimens had different RVR rates, they all had a SVR12 rate of 100%. The patients with compensated liver cirrhosis and other diseases had a SVR12 rate of 100%.  Conclusion  Intravenous drug addiction is the main route of infection for patients with genotype 6 CHC in Guangxi, and CHC is more common in men, with genotype 6a as the main subtype. DAA treatment has a higher virologic response rate than interferon treatment, with an SVR12 rate of 100%. There is no significant difference in SVR12 rate between the patients with compensated liver cirrhosis and those without liver cirrhosis.
Original Articles_Fatty Liver Diseases
Clinical trial protocols of new drugs for nonalcoholic steatohepatitis: A systematic review
Yingshuo HUANG, Wei WEI, Xiaofei TONG, Yameng SUN, Jianxiong ZHANG, Ruihua DONG, Jidong JIA, Hong YOU
2022, 38(4): 798-804. DOI: 10.3969/j.issn.1001-5256.2022.04.012
Abstract(1647) HTML (426) PDF (3557KB)(237)
Abstract:
  Objective  To describe the characteristics and registration status of clinical trials of new drugs for nonalcoholic steatohepatitis (NASH), and to provide a reference for the design and implementation of clinical trials of new drugs for NASH.  Methods  The U.S. Clinical Trials Database, China Clinical Trial Registry, and Center for Drug Evaluation, National Medical Products Administration, were searched for clinical trials of new drug registration and interventional studies with NASH as the indication published up to August 6, 2021, using NASH in English and Chinese characters as the keywords, and liver cirrhosis was excluded. Two researchers independently searched and screened the articles to extract relevant information.  Results  A total of 196 clinical trials of new drug registration or interventional studies for NASH were included, among which there were 174 trials registered abroad and 22 trials registered in China, and the number of registrations tended to increase year by year. The numbers of phase Ⅰ, phase Ⅰ/Ⅱ(including Ⅰb/Ⅱa), phase Ⅱ, phase Ⅱ/Ⅲ, and phase Ⅲ clinical trials were 45(23.0%), 8(4.1%), 112(57.1%), 4(2.0%), and 19(9.7%), respectively. The main drug types included farnesoid X receptors, fibroblast growth factors, peroxisome proliferator-activated receptor agonists, and glucagon-like peptide-1, with numbers of 16(8.16%), 14(7.14%), 11(5.61%), and 13(6.63%), respectively. The clinical trials of innovative drugs for NASH initiated by the sponsors in European and American regions accounted for the highest proportion, and there was a gradual increase in the number of clinical trials of innovative drugs in China in recent years, with a similar distribution of single-center and multicenter clinical trials. As for the trials with NASH patients as subjects, the numbers of trials with pathology, imaging, and clinical diagnosis as the main inclusion criteria were 125, 66, and 42, respectively. Phase Ⅰ clinical trials used safety, tolerability, and pharmacokinetic parameters as the main assessment indices, while phase Ⅱ and phase Ⅲ clinical trials often used safety and efficacy as the main assessment indices. The number of clinical trials for the registration of innovative drugs for NASH was relatively low but kept increasing in China, and there were fewer clinical trials of innovative traditional Chinese medicine drugs compared with innovative chemical drugs.  Conclusion  There is a significant increase in the registration of international clinical trials of innovative drugs for NASH, and most of these trials are in the early phases, with large differences in inclusion criteria and assessment indices, a lack of unified evaluation indices, and relatively few trials with new designs. There are fewer clinical trials of innovative drugs for NASH in China than in European and American countries, and the number of such trials is gradually increasing in China.
Value of red blood cell distribution width-to-platelet ratio in evaluating metabolic-associated fatty liver disease and liver cirrhosis
Yitong BAI, Lianjie LIN, Dongmei PEI
2022, 38(4): 805-809. DOI: 10.3969/j.issn.1001-5256.2022.04.013
Abstract(1307) HTML (543) PDF (2520KB)(98)
Abstract:
  Objective  To investigate the clinical significance of red blood cell distribution width-to-platelet ratio (RPR index) in evaluating the severity of metabolic-associated fatty liver disease and predicting fatty liver-associated cirrhosis.  Methods  A total of 192 patients with metabolic-associated fatty liver disease and 210 patients with fatty liver-associated cirrhosis who were admitted to Shengjing Hospital of China Medical University from January 2019 to June 2020 were enrolled as group A and group B, respectively, and 206 individuals who underwent physical examination in our hospital during the same period of time were enrolled as control group (group C). All subjects underwent general measurement, blood cell analysis, blood biochemical test, and abdominal CT examination, and related formulas were used to calculate RPR, aspartate aminotransferase-to-platelet ratio index (APRI), and fibrosis-4 (FIB-4) index. A one-way analysis of variance was used for comparison of continuous data with homogeneity of variance between groups, and the SNK method was used for comparison between two groups; the Kruskal-Wallis H test was used for comparison of continuous data with heterogeneity of variance between groups, and the Mann-Whitney U test was used for comparison between two groups; the chi-square test was used for comparison of categorical data between groups; the receiver operating characteristic (ROC) curve was used to analyze the accuracy of the prediction of liver cirrhosis.  Results  There were significant differences in red blood cell distribution width-standard deviation, albumin, creatinine, body mass index, RPR, and APRI between any two groups (all P < 0.001), and there were significant differences in white blood cell count, platelet count, alanine aminotransferase, aspartate aminotransferase, direct bilirubin, blood urea nitrogen, and FIB-4 between group A and group B (all P < 0.05). There were significant differences in waist circumference and fasting blood glucose between groups A and B and between groups A and C (all P < 0.001). There was a significant difference in RPR between any two groups of the mild, moderate, and severe metabolic-associated fatty liver disease groups (all P < 0.05). In terms of diagnostic efficiency, the three noninvasive models RPR, APRI, and FIB-4 had an area under the ROC curve of 0.932, 0.815, and 0.877, respectively, in predicting fatty liver-associated cirrhosis.  Conclusion  There is a difference in RPR index between different stages of liver disease, and RPR index gradually increases with the aggravation of metabolic-associated fatty liver disease. RPR index has a higher value than APRI and FIB-4 in the warning of fatty liver-associated cirrhosis.
Original Articles_Autoimmune Liver Diseases
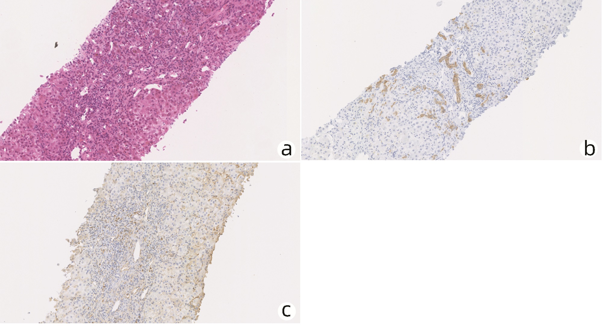
A preliminary study of the role of neutrophil extracellular traps in patients with primary biliary cholangitis
Yiyan OU, Nana CUI, Yao LI, Qiwei QIAN, Xiong MA, Zhengrui YOU, Min LIAN, Qixia WANG
2022, 38(4): 810-814. DOI: 10.3969/j.issn.1001-5256.2022.04.014
Abstract(1474) HTML (456) PDF (3548KB)(95)
Abstract:
  Objective  To investigate the expression level of neutrophil extracellular traps (NET) in the peripheral blood and liver tissue of primary biliary cholangitis (PBC) patients and its correlation with clinical biochemical parameters.  Methods  A total of 24 PBC patients who were admitted to Renji Hospital, Shanghai Jiao Tong University School of Medicine, from August 2016 to August 2020 were enrolled, as well as 8 patients with primary sclerosing cholangitis (PSC) and 19 patients with autoimmune hepatitis (AIH) matched for age, and 19 healthy individuals were enrolled as healthy control group (HC group). The serum level of myeloperoxidase (MPO) was measured, and its correlation with clinical indices were analyzed. Immunofluorescence assay was used to measure the expression of NET in the liver of PBC patients, and an in vitro experiment was to compare the ability of peripheral blood neutrophils to produce NET between PBC patients and healthy controls. Normally distributed continuous data were expressed as mean±standard deviation, and the independent samples t-test was used for comparison between two groups; for the non-normally distributed continuous data expressed as M(P25-P75), the Kruskal-Wallis H test was used for comparison between multiple groups, and the Mann-Whitney U test was used for comparison between two groups. A correlation analysis was performed for MPO level and liver-related laboratory markers, and the Spearman's correlation coefficient was calculated.  Results  The serum level of MPO in the PBC group was increased to 811.21 (450.67-1 216.20) ng/mL, which was significantly higher than that in the AIH group [468.58 (142.63-812.43) ng/mL] and the HC group [357.54 (203.52-811.21) ng/mL] (P < 0.05), suggesting that there was a significant increase in the production of NET in peripheral blood of PBC patients. The PSC patients had a serum MPO level of 763.56 (489.59-1 633.14) ng/mL, which was significantly higher than that in the HC group (P < 0.05). MPO level was positively correlated with alkaline phosphatase (r=0.500, P < 0.05), gamma-glutamyl transpeptidase (r=0.426, P < 0.05), alanine aminotransferase (r=0.521, P < 0.05), and aspartate aminotransferase (r=0.547, P < 0.01). Confocal immunofluorescence showed colocalization of H3Cit and MPO in the liver of PBC patients. In vitro experiment showed that compared with the HC group, the PBC group had an increase in NET produced by peripheral blood neutrophils after in vitro stimulation and an increase in spontaneous production of NET.  Conclusion  There is an increase in NET in peripheral blood and liver of PBC patients, and the content of peripheral blood NET is positively correlated with biochemical parameters of liver function. NET may become a novel biomarker for assessing the severity of PBC.
Value of baseline IgM level in predicting the treatment response of primary biliary cholangitis
Lin HAN, Qingsheng LIANG, Huan XIE, Ying CHEN, Jun ZHAO, Mingyue ZHANG, Baosen LI, Yanli DONG, Ying SUN
2022, 38(4): 815-820. DOI: 10.3969/j.issn.1001-5256.2022.04.015
Abstract(1458) HTML (315) PDF (2631KB)(93)
Abstract:
  Objective  To investigate the association between baseline IgM level and treatment response to ursodeoxycholic acid (UDCA) in patients with primary biliary cholangitis (PBC).  Methods  A retrospective analysis was performed for the clinical data of 637 PBC patients who were diagnosed and treated with UDCA for the first time in The Fifth Medical Center of Chinese PLA General Hospital from January 2010 to January 2020. The PBC patients were divided into UDCA complete response group with 436 patients and UDCA poor response group with 201 patients, and baseline clinical data were compared between the two groups. According to the optimal cut-off value of IgM determined by the area under the ROC curve (AUC) of baseline indices in predicting the risk of poor treatment response, the patients were divided into IgM ≥1.5×ULN group and IgM < 1.5×ULN group, and baseline parameters, treatment response, and prognostic model score were compared between groups. The t-test was used for comparison of normally distributed continuous data between two groups, and the Mann-Whitney U test was used for comparison of non-normally distributed continuous data between two groups; the chi-square test was used for comparison of categorical data between two groups. The Cochran-Mantel-Haenszel test was used for subgroup analysis, and forest plots were plotted for related risk values.  Results  Compared with the UDCA complete response group, the UDCA poor response group had significantly higher proportion of patients with liver cirrhosis, levels of total bilirubin, aspartate aminotransferase (AST), alkaline phosphatase (ALP), total bile acid, total cholesterol (TC), IgA, and IgM, and positive rate of anti-Gp210 antibody at baseline (χ2=4.596, Z=-9.932, -8.931, -8.361, -7.836, -4.694, -3.242, and -2.115, χ2=15.931, all P < 0.05). The UDCA poor response group had significantly higher Mayo Risk Score, Globe score, and UK-PBC risk score than the UDCA complete response group (t=4.092, Z=-10.910 and -11.646, all P < 0.001). Compared with the normal IgM group, the elevated IgM group had significantly higher levels of AST, ALP, TC, IgA, and IgG and a significantly higher positive rate of anti-Gp210 antibody (Z=-3.774, -5.063, -4.344, -2.051, and -6.144, χ2=25.180, all P < 0.05). IgM had an AUC of 0.552 in predicting poor treatment response. Compared with the IgM < 1.5×ULN group, the IgM ≥1.5×ULN group had significantly higher levels of AST, ALP, TC, and IgG, a significantly higher positive rate of anti-Gp210 antibody, and a significantly higher poor UDCA response rate (Z=-4.193, -5.044, -3.250, and -5.465, χ2=25.204 and 8.948, all P < 0.05). IgM ≥1.5×ULN had an odds ratio of 1.416 (95% confidence interval [CI]: 1.129-1.776, P=0.003) in predicting poor response. The subgroup analysis showed that for patients without liver cirrhosis, IgM ≥1.5×ULN had an odds ratio of 1.821 (95%CI: 1.224-2.711, P=0.003) in predicting poor response.  Conclusion  Baseline IgM level has an important value in predicting UDCA response. IgM level should be closely monitored during treatment in PBC patients with a high baseline IgM level, and second-line drugs should be given in time if the abnormality persists.
Original Articles_Liver Fibrosis and Liver Cirrhosis
Effect of Jiedu Huayu Tongfu prescription on intestinal flora in patients with hepatitis B cirrhosis with liver-gallbladder damp-heat syndrome
Jiangkai LIU, Yameng NIU, Suling LI, Qingliang MA, Jiangwen ZHANG, Yaru ZHANG, Bingqian LI
2022, 38(4): 821-827. DOI: 10.3969/j.issn.1001-5256.2022.04.016
Abstract(1120) HTML (222) PDF (3527KB)(62)
Abstract:
  Objective  To investigate the regulatory effect of Jiedu Huayu Tongfu prescription on intestinal homeostasis in patients with hepatitis B cirrhosis with liver-gallbladder damp-heat syndrome, as well as its effect on endotoxin, inflammatory factors, and cellular immune function.  Methods  A total of 72 patients who attended The First Affiliated Hospital of Henan University of Chinese Medicine from June 2019 to January 2021 and met the diagnostic and inclusion criteria were enrolled as subjects and then randomly divided into observation group and control group, with 36 patients in each group. In the treatment group, 2 patients were lost to follow-up, 2 patients were excluded, and 32 patients completed the study; in the control group, 2 patients were lost to follow-up, 1 patient was excluded, and 33 patients completed the study. In addition to the basic treatment including antiviral therapy and liver-protecting treatment, the patients in the observation group were given Jiedu Huayu Tongfu granules, and those in the control group were given oral administration of Bifidobacterium tetravaccine tablets; the course of treatment was 4 weeks for both groups. The 16S rDNA sequencing technique was used for sequencing of fecal flora, and the two groups were measured in terms of the changes in liver function [alanine aminotransferase (ALT), aspartate aminotransferase (AST), total bilirubin (TBil), and albumin (Alb)], endotoxin (ET), levels of tumor necrosis factor-α (TNF-α) and interleukin-6 (IL-6), and T lymphocyte subsets (CD3+T, CD4+T, CD8+T, and CD4+/CD8+) after treatment. For normally distributed continuous data with homogeneity of variance, the paired t-test was used for comparison within each group, and the independent samples t-test was used for comparison between two groups; the Wilcoxon rank-sum test was used for comparison of non-normally distributed continuous data. The chi-square test was used for comparison of categorical data.  Results  The observation group had a significantly higher overall response rate than the control group (87.5% vs 60.6%, χ2=-2.299, P=0.022). After treatment, both groups had significant reductions in ALT, AST, and TBil and a significant increase in Alb (all P < 0.05), and compared with the control group, the observation group had a significantly greater reduction in TBil (Z=-2.165, P=0.030). After treatment, both groups had significant improvements in the levels of CD3+T, CD4+T, and CD4+/CD8+, and the observation group had significantly greater improvements than the control group (Z=-2.146, -2.940, and 3.157, P=0.032, 0.003, and 0.002). After treatment, both groups had significant reductions in the levels of TNF-α, IL-6, and ET, and the observation group had significantly greater reductions than the control group (Z=-2.139, -1.982, and -2.062, P=0.032, 0.048, and 0.043). Both groups had an increase in the number of operational taxonomic units after treatment. As for the abundance of intestinal flora at the phylum level, the observation group had a significant increase in the abundance of Firmicutes and a significant reduction in the abundance of Bacteroidetes after treatment (Z=-3.181 and -2.215, P=0.001 and 0.027); compared with the control group, the observation group had significantly greater increases in the abundance of Firmicutes and Cyanobacteria and significantly greater reductions in the abundance of Bacteroidetes, Cercozoa, and ε-Proteobacteria (allP < 0.05). At the genus level, the observation group had a significant increase in the abundance of Bifidobacterium after treatment (Z=-2.045, P=0.041). The alpha-diversity analysis showed that the observation group had significant increases in Chao1 and Ace indices after treatment (t=-4.263 and -3.328, P=0.001 and 0.005) and a significantly greater increase in Ace index than the control group (t=2.292, P=0.030). The beta-diversity analysis showed that the two groups had a similar composition of flora without significant difference (all P > 0.05).  Conclusion  Jiedu Huayu Tongfu prescription, in combination with etiological and basic treatments, can alleviate clinical symptoms, reduce liver injury, and improve cellular immune function in patients with hepatitis B cirrhosis with liver-gallbladder damp-heat syndrome. Jiedu Huayu Tongfu prescription can improve the imbalance of intestinal flora by increasing the abundance of the probiotic bacteria such as Firmicutes, Lactobacillus, and Bifidobacterium and the pathogenic bacteria such as Bacteroidetes and Cercozoa, and its effect in further improving liver and immune function may be associated with the regulation of intestinal microecology.
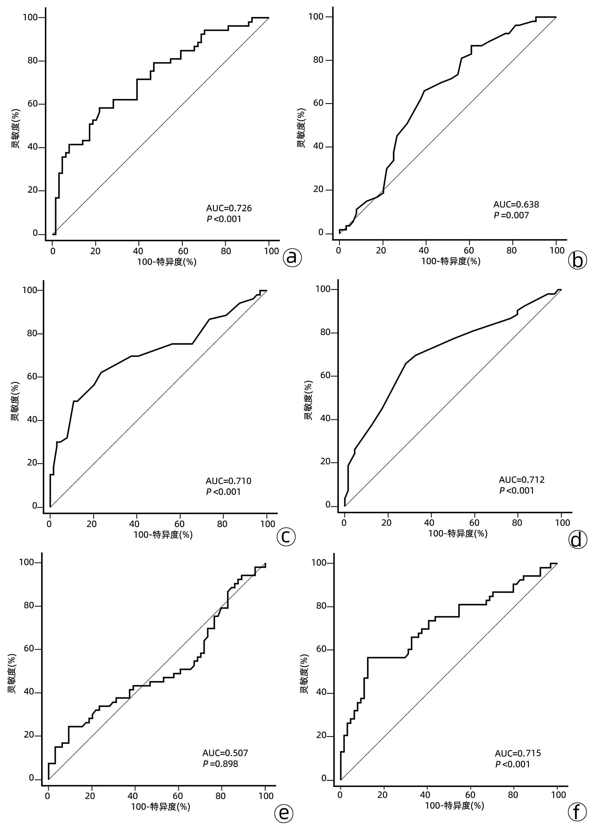
Value of Stroop test in the diagnosis of minimal hepatic encephalopathy
Teng WANG, Yijing ZHU, Shousong ZHAO
2022, 38(4): 828-831. DOI: 10.3969/j.issn.1001-5256.2022.04.017
Abstract(1198) HTML (438) PDF (2164KB)(68)
Abstract:
  Objective  To investigate the value of Stroop test, a neuropsychological test, in the diagnosis of minimal hepatic encephalopathy (MHE).  Methods  A total of 96 patients with liver cirrhosis who were hospitalized in Department of Infectious Diseases, The First Affiliated Hospital of Bengbu Medical College, from August 2020 to March 2021 were enrolled, and the number connection test-A (NCT-A), digit symbol test (DST), animal naming test (ANT), and Stroop test were performed for all patients. Test results were recorded and related clinical data were collected. The t-test was used for comparison of normally distributed continuous data between two groups, and the Mann-Whitney U test was used for comparison of non-normally distributed continuous data between two groups; the chi-square test was used for comparison of categorical data between groups. The receiver operating characteristic (ROC) curve was used to investigate the value of Stroop test in the diagnosis of MHE, and the Pearson correlation coefficient was used to analyze the correlation of the results of Stroop test with those of NCT-A, DST, and ANT.  Results  For the 96 patients with liver cirrhosis, the prevalence rate of MHE was 30.21% (29/96). The Off+On time of Stroop test had a cut-off value of 212.49 s in the diagnosis of MHE, with an area under the ROC curve of 0.845, a sensitivity of 93.10%, and a specificity of 64.20%. The Pearson correlation analysis showed that the On+Off time and On time of Stroop test were moderately correlated with NCT-A(r=0.580 and 0.590, both P < 0.01), the Off time of Stroop test was strongly correlated with NCT-A(r=0.620, P < 0.01), and the On+Off time, On time, and Off time of Stroop test were strongly correlated with DST(r=-0.650, -0.650, and -0.630, all P < 0.01).  Conclusion  In the diagnosis of MHE, Stroop test is a highly sensitive method with easy-to-read results and a high diagnostic value and does not require professional equipment.
Establishment of a mouse model of vascular endothelial-mesenchymal transdifferentiation genetic tracing and its role in liver fibrosis studies
Hao XU, Bai RUAN, Zhiwen LI, Zhiqiang FANG, Lin WANG, Kefeng DOU
2022, 38(4): 832-836. DOI: 10.3969/j.issn.1001-5256.2022.04.018
Abstract(1455) HTML (768) PDF (4480KB)(67)
Abstract:
  Objective  To establish Cdh5-CreERT/Acta2-tdTomato-STOPfloxed-eGFP knockin genetic tracing mice, and to investigate its application in studies on vascular endothelial cell transition in liver fibrosis.  Methods  Cdh5-CreERT mice were mated with Acta2-KI mice, and the Cdh5-CreERT/Acta2-KI genetic tracing mice were obtained and identified by PCR genotyping. Primary liver sinusoid endothelial cells (LSECs) were isolated and cultured, and a model of CCl4-induced liver fibrosis was established. LSECs and liver tissue were collected for immunofluorescent staining to observe the expression of the fluorescent proteins tdTomato and eGFP.  Results  After being induced by tamoxifen, LSECs and liver tissue of Cdh5-CreERT/Acta2-KI genetic tracing mice expressed eGFP under the conditions for epithelial-mesenchymal transdifferentiation established in vivo and in vitro, while the control group without induction expressed tdTomato alone.  Conclusion  The successfully established Cdh5-CreERT/Acta2-KI genetic tracing mice can realize the effective labeling of epithelial-mesenchymal transdifferentiation, which provides a genetic tracing basis for the diverse sources of mesenchymal myofibroblasts in liver fibrosis.
Original Articles_Liver Neoplasms
Development of a new model for predicting recurrence after liver transplantation for hepatocellular carcinoma beyond Milan criteria
Weiqi ZHANG, Yan XIE, Chiyi CHEN, Jian HE, Yuying TAN, Yabei HUANG, Li ZHANG, Wentao JIANG
2022, 38(4): 837-842. DOI: 10.3969/j.issn.1001-5256.2022.04.019
Abstract(914) HTML (467) PDF (2530KB)(63)
Abstract:
  Objective  To develop a new model for predicting recurrence after liver transplantation for hepatocellular carcinoma (HCC) beyond Milan criteria based on related preoperative and postoperative indicators.  Methods  A retrospective analysis was performed for the clinical data of the patients with HCC beyond Milan criteria who underwent orthotopic liver transplantation for the first time in Tianjin First Central Hospital from August 2014 to July 2018, and according to the presence or absence of recurrence during follow-up, the patients were divided into recurrence group and no-recurrence group. The t-test or the Mann-Whitney U test was used for comparison of continuous data between groups, and the chi-square test or the Fisher's exact test was used for comparison of categorical data between groups. The Kaplan-Meier method was used to plot survival curves, and the log-rank test was used for comparison of survival curves. Univariate and multivariate Cox proportional hazards regression analyses were used to identify the risk factors for recurrence-free survival after surgery. A new model was developed for recurrence after liver transplantation in the patients with HCC beyond Milan criteria based on the risk factors identified. The area under the receiver operating characteristic curve (AUC) was used to evaluate predictive performance, and the Hosmer-Lemeshow test was used to assess the goodness of fit of the model.  Results  A total of 117 patients with HCC beyond Milan criteria were enrolled in this study, with a median follow-up time of 24 (1-74) months. A total of 53 patients (45.3%) experienced recurrence after surgery, among whom 52 (98.1%) had recurrence within 3 years after surgery, with a median time to recurrence of 6 (1-52) months. The Cox proportional hazards regression analysis showed that preoperative serum alpha-fetoprotein (AFP) >769 ng/mL, neutrophil-lymphocyte ratio (NLR) >3.75, and ki67 index >0.25 were independent risk factors for recurrence-free survival after liver transplantation. The model established based on these three risk factors had an AUC of 0.843, with good sensitivity (88.7%) and specificity (70.3%). The optimal cut-off value was selected according to the maximization of Youden index, and then the patients were divided into low-risk group (0-1 point) and high-risk group (1.5-4 points). The log-rank test showed that the low-risk group had significantly higher 3-and 5-year recurrence-free survival rates than the high-risk group (84.1%/72.0% vs 10.9%/10.9%, χ2=29.425, P < 0.001).  Conclusion  Liver transplantation for HCC beyond Milan criteria should be performed with caution, and the predictive model established based on preoperative AFP, NLR, and ki67 index can accurately assess the indication for liver transplantation in such patients.
Value of inflammatory biomarkers in predicting the prognosis of early small hepatocellular carcinoma after radiofrequency ablation
Weike CHU, Xue WU, Peng ZHANG, Jing FENG, Bin NIU, Hui ZHOU, Yuqiang MI, Ping LI
2022, 38(4): 843-850. DOI: 10.3969/j.issn.1001-5256.2022.04.020
Abstract(1062) HTML (296) PDF (4242KB)(55)
Abstract:
  Objective  To investigate the value of neutrophil-to-lymphocyte ratio (NLR), red blood cell distribution width-to-lymphocyte ratio (RLR), and lymphocyte-to-monocyte ratio (LMR) in predicting the prognosis of early small hepatocellular carcinoma (HCC) after radiofrequency ablation (RFA).  Methods  A retrospective analysis was performed for 132 patients newly diagnosed with early HCC who underwent RFA in Tianjin Second People's Hospital from September 2011 to December 2020. Preoperative data were collected and the patients were followed up to observe recurrence and overall survival (OS). The X-tile tool was used to determine the optimal cut-off values of NLR, RLR, and LMR based on 5-year survival rate and recurrence-free survival (RFS) rate, and then the patients were divided into N-R-L 0 group with 92 patients, N-R-L 1 group with 29 patients, and N-R-L 2 group with 11 patients. The chi-square test was used for comparison of categorical data between the three groups. The Kaplan-Meier method was used to plot the survival curve, and the log-rank test was used to compare RFS and OS rates between groups. The factors with statistical significance in the log-rank test were included in the multivariate Cox regression analysis to determine the risk factors for RFS and OS rates.  Results  There were significant differences in Child-Pugh class and albumin between the N-R-L 0, N-R-L 1, and N-R-L 2 groups (χ22=10.992 and 5.699, both P < 0.05). The 1-, 3-, and 5-year OS rates of the three groups were 100%/96.3%/90.7%, 96.6%/60.4%/41.3%, and 81.8%/46.8%/15.6%, respectively (χ2=38.46, P < 0.000 1), and the 1-, 3-, and 5-year RFS rates of the three groups were 76.9%/52.5%/33.3%, 42.9%/13.1%/0, and 11.1%/0/0, respectively (χ2=35.345, P < 0.000 1). The multivariate Cox regression analysis showed that tumor diameter ≥ 2 cm (hazard ratio[HR]=2.10, 95% confidence interval[CI]: 1.28-3.43, P=0.003; HR=3.67, 95% CI: 1.58-8.52, P=0.002), N-R-L score of 1 point (HR=3.14, 95% CI: 1.81-5.46, P < 0.000 1; HR=8.27, 95% CI: 3.15-21.71, P < 0.000 1), and N-R-L score of 2 points (HR=2.61, 95% CI: 1.06-6.42, P=0.037; HR=14.59, 95% CI: 3.96-53.78, P < 0.000 1) were independent predictive factors for RFS and OS.  Conclusion  N-R-L, a systemic inflammatory response marker composed of NLR, RLR, and LMR, is an independent risk factor for recurrence and survival of early small HCC after RFA, and it can be used as a useful noninvasive biomarker in combination with tumor features to predict the recurrence and survival of early HCC after RFA.
Guiding role of cone beam CT with DynaCT in transcatheter arterial chemoembolization for patients with primary liver cancer and its value in assessing treatment outcome
Huailong YANG, Tangli ZHONG
2022, 38(4): 851-856. DOI: 10.3969/j.issn.1001-5256.2022.04.021
Abstract(923) HTML (251) PDF (2417KB)(56)
Abstract:
  Objective  To investigate the effect of cone beam CT with DynaCT on liver cancer patients undergoing transcatheter arterial chemoembolization (TACE) and its influence on the prognosis of patients.  Methods  A total of 73 patients with primary liver cancer who attended The Second Affiliated Hospital of North Sichuan Medical College from May 2017 to May 2019 were enrolled and randomly divided into observation group with 38 patients and control group with 35 patients. The patients in the control group underwent TACE under 2D-DSA angiography, and those in the observation group underwent DynaCT angiography after 2D-DSA angiography. The two groups were compared in terms of time of operation, X-ray exposure, amount of contrast agent used, intrahepatic tumor lesions detected and blood supplying arteries displayed by 2D-DSA angiography versus DynaCT angiography, and lipiodol deposition in tumor lesions evaluated by postoperative two-dimensional X-ray fluoroscopy versus plain DynaCT scan. The two-independent-samples t test was used for comparison between two groups, and the chi-square test was used for comparison of categorical data between two groups; the Kaplan-Meier survival curve was plotted for survival analysis, and the log-rank test was used for comparison between two groups.  Results  There were no significant differences between the two groups in time of operation, X-ray exposure, and amount of contrast agent used (all P>0.05). For the observation group, a total of 93 tumor lesions were detected, among which 79 (84.95%) were positive for blood supplying arteries, while in the control group, a total of 61 tumor lesions were detected, among which 34 (55.74%) were positive for blood supplying arteries, suggesting that the proportion of lesions positive for blood supplying arteries in the observation group was significantly higher than that in the control group (χ2=16.088, P < 0.05). After surgery, 113 lesions of the two groups were analyzed for lipiodol deposition; two-dimensional X-ray fluoroscopy showed that lipiodol was evenly deposited in 89 lesions and was partially or completely missing in 24 lesions, while plain DynaCT scan showed that lipiodol was evenly deposited in 78 lesions and was partially or completely missing in 35 lesions. The observation group had significantly better overall survival than the control group (χ2=4.347, P=0.037).  Conclusion  DynaCT can increase the detection rate of ischemic lesions and overlapping lesions in the liver without increasing the amount of intraoperative X-ray exposure and contrast agent used, thereby improving the accuracy of intubation and reducing the patient's vascular injury, and at the same time, it can be used to evaluate the deposition of lipiodol after embolization. It has an important application value in TACE for liver cancer and can help to improve the survival of patients after surgery.
Inhibitory effect of 6-paradol on the proliferation, migration, and invasion of intrahepatic cholangiocarcinoma cells and its mechanism
Zehao CHEN, Wenjie ZHU, Bingbing SHEN, Jianxin JIANG
2022, 38(4): 857-864. DOI: 10.3969/j.issn.1001-5256.2022.04.022
Abstract(1914) HTML (566) PDF (9970KB)(114)
Abstract:
  Objective  To investigate the effect of 6-paradol on the proliferation, migration, and invasion of human intrahepatic cholangiocarcinoma cells and its mechanism.  Methods  Human intrahepatic cholangiocarcinoma cell lines HCCC 9810 and HUCCT1 were treated with different concentrations of 6-paradol or an equal volume of DMSO (control group), and then CCK-8 assay, plate colony formation assay, wound healing assay, and Transwell assay were used to measure cell proliferation, migration, and invasion. The bioinformatics software Swiss Target Prediction was used to predict the protein targets of 6-paradol, and Western blot was used to measure the protein expression levels of STAT3, p-STAT3, SRC, p-mTOR, p21, Bcl-2, and p53; Drug Affinity Responsive Target Stability (DARTS) assay was used to investigate the interaction between 6-paradol and STAT3. After cholangiocarcinoma HCCC 9810 and HUCCT1 cells were transfected with STAT3 overexpression plasmid or sh-p21 plasmid, quantitative real-time PCR was used to measure the mRNA expression levels of STAT3 and p21, and Western blot was used to measure the protein expression levels of STAT3 and p21; CCK-8 assay, wound healing assay, and Transwell assay were used to measure cell proliferation, migration, and invasion. The t-test was used for comparison of data between two groups; an analysis of variance was used for comparison between multiple groups, and the least significant difference t-test was used for further comparison between two groups.  Results  Compared with the control group, the 6-paradol treatment groups had significant reductions in cell proliferation, migration, and invasion (P < 0.05). Compared with the control group, the 6-paradol treatment groups had significant reductions in the expression levels of STAT3 and p-STAT3 (all P < 0.05) and a significant increase in the expression level of p21 (all P < 0.05), while there were no significant changes in the expression levels of Bcl-2, SRC, and p-mTOR (all P > 0.05). In the 6-paradol treatment groups, the proportion of STAT3 hydrolyzed by protease was reduced by 48.66% and 45.33%, respectively (t=16.64 and 8.76, both P < 0.05); after transfection with STAT3 overexpression plasmid or p21-silencing plasmid in cholangiocarcinoma cells, there was a significant increase in the mRNA expression level of STAT3 (tHCCC 9810=2.82, tHUCCT1=5.60, both P < 0.05) and a significant reduction in the mRNA expression level of p21 (tHCCC 9810=6.84, tHUCCT1=3.91, both P < 0.05). CCK-8 assay showed that for HCCC 9810 and HUCCT1 cells treated with 6-paradol for 48 and 72 hours, the STAT3 overexpression group had a significantly higher proliferation rate than the single administration group, and the p21 silencing group also had a significantly higher proliferation rate than the single administration group (P < 0.05). The wound healing assay showed that the HCCC 9810 and HUCCT1 cells with STAT3 overexpression or p21 silencing had a significantly higher wound healing rate than the single administration group (all P < 0.05). Transwell assay showed that the HCCC 9810 and HUCCT1 cells with STAT3 overexpression or p21 silencing had significant increases in migration rate and invasion rate compared with the single administration group (all P < 0.05).  Conclusion  6-Paradol inhibits the proliferation, migration, and invasion of cholangiocarcinoma cells by targeting the STAT3-p21 pathway.
Effect of Yipi Yanggan prescription on malignant transformation of liver stem cells in rats with liver precancerous lesion and its mechanism of action
Di JU, Mi LI, Man HAN, Bingying FANG, Shuguang YAN, Jingtao LI
2022, 38(4): 865-871. DOI: 10.3969/j.issn.1001-5256.2022.04.023
Abstract(1610) HTML (512) PDF (3795KB)(56)
Abstract:
  Objective  To investigate the effect of Yipi Yanggan prescription on the malignant transformation of liver stem cells in liver precancerous lesion induced by diethylnitrosamine (DEN) and its possible molecular mechanism.  Methods  A total of 35 male Sprague-Dawley rats were randomly divided into normal control group (blank group), DEN model group (model group), DEN+Yipi Yanggan prescription group (Yipi Yanggan prescription group), and DEN+Hugan tablet group (Hugan tablet group), with 5 rats in the blank group and 10 rats in the other three groups. Intraperitoneal injection of DEN was performed to establish a model of liver precancerous lesion, the rats were sacrificed after 16 weeks of administration. The serum levels of alanine aminotransferase (ALT), aspartate aminotransferase (AST), and albumin (Alb) were measured; liver tissue was collected to observe the changes in size and appearance and calculate liver weight ratio (liver index); HE staining and Sirius Red staining were used to observe the pathological and morphological changes of rat liver tissue; immunohistochemistry was used to measure the expression of OV6 and glutathione S-transferase-Pi (GST-Pi); RT-PCR was used to measure the mRNA expression of EpCAM, CD133, and CD90, and Western blot was used to measure the protein expression of PI3K, Akt, and mTOR and their phosphorylation level. A one-way analysis of variance was used for comparison between multiple groups, and the least significant difference t-test was used for further comparison between two groups.  Results  Compared with the model group, the Yipi Yanggan prescription group and the Hugan tablet group had significant improvements in liver pathology and morphology, significant reductions in liver index and the levels of ALT and AST, and a significant increase in the level of Alb (all P < 0.05), as well as significant reductions in the protein expression levels of GST-Pi, OV6, p-PI3K, p-Akt, and p-mTOR and the mRNA expression levels of EpCAM, CD133, and CD90 (all P < 0.05). Compared with the Hugan tablet group, the Yipi Yanggan prescription group showed a more significant protective effect on the liver, with significant reductions in liver index and the levels of ALT and AST, and a significant increase in the level of Alb (all P < 0.05), as well as significant reductions in the protein expression levels of GST-Pi, OV6, p-PI3K, p-Akt, and p-mTOR and the mRNA expression levels of EpCAM, CD133, and CD90 (all P < 0.05).  Conclusion  Yipi Yanggan prescription can improve liver precancerous lesion induced by DEN in rats by inhibiting the malignant transformation of liver stem cells, and its mechanism of action may be associated with the PI3K/Akt/mTOR signaling pathway.
Analysis and Evaluation on Journal
A bibliometric analysis of liver disease research articles published by Chinese mainland authors in Gastroenterology & Hepatology journals indexed in Science Citation Index Expanded
Tianye ZHAO, Yanhua WU, Yuchen PAN, Jiaxin YI, Haiyong LYU, Junqi NIU, Jing JIANG
2022, 38(4): 872-877. DOI: 10.3969/j.issn.1001-5256.2022.04.024
Abstract(1103) HTML (349) PDF (2017KB)(79)
Abstract:
  Objective  To investigate the articles on liver diseases published by authors from China (excluding Hong Kong, Macao, and Taiwan regions) in Gastroenterology & Hepatology journals indexed in Science Citation Index Expanded (SCIE) in 2016-2020, to analyze the bibliographic and citation data of these articles, and to understand the contribution and impact of Chinese scholars in the field of liver disease research in recent years.  Methods  The data for bibliometric analysis came from the SCIE database and Journal Citation Reports (JCR). The SCIE database was searched for the journal articles published in JCR Gastroenterology & Hepatology journals in 2016-2020, with a title or abstract containing "Liver", "Hepatocellular", "Hepatitis", "Cirrhosis", or "Hepatic" and a publication type of Article. Clinical guidelines were excluded, and the records with the corresponding author's affiliation containing institutions in China (excluding Hong Kong, Macao, and Taiwan regions) were screened out. R package bibliometrix was used to calculate the frequency of citations of included articles by liver disease studies published by Chinese and global authors in the Gastroenterology & Hepatology journals in 2016-2020, and R package DescTools was used to perform the Cochran-Armitage trend test to observe the change in composition ratio.  Results  In the Q1 Gastroenterology & Hepatology journals in 2016-2020, liver disease studies published by Chinese authors accounted for 9.5%. In recent years, the proportion of liver disease studies published by Chinese authors in Q1 Gastroenterology & Hepatology journals continues to increase from 6.0% to 12.2% (P < 0.001). Among the liver disease studies published by Chinese authors in Q1 Gastroenterology & Hepatology journals, 79.7% were funded by National Natural Science Foundation of China, and there was no significant change in the proportion of studies funded by National Natural Science Foundation of China and published by Chinese authors in each partition of Gastroenterology & Hepatology journals in 2016-2020. The frequency of citations of included articles by liver disease studies published by Chinese and global authors in the Gastroenterology & Hepatology journals showed that liver disease studies published by Chinese authors had a high impact in both domestic and international academic communities.  Conclusion  In recent years, there has been a constant increase in the number of liver disease studies published by Chinese authors in high-impact Gastroenterology & Hepatology journals indexed in SCIE, and most of these studies have been funded by National Natural Science Foundation of China. The liver disease studies published by Chinese authors in Gastroenterology & Hepatology journals have been widely recognized by domestic and international academic communities.
Case Reports
A case of anti-HAV-IgM-positive AIH-PBC overlap syndrome
Yansha HE, Huabao LIU, Yi SONG, Xinyu CHEN, Chunyan RAO
2022, 38(4): 878-879. DOI: 10.3969/j.issn.1001-5256.2022.04.025
Abstract(945) HTML (272) PDF (2112KB)(55)
Abstract:
Local embolization combined with targeted comprehensive immunotherapy in treatment of sarcomatoid hepatocellular carcinoma: A case report
Jin LEI, Linzhi ZHANG, Yinying LU, Bowen CHEN, Shi ZUO
2022, 38(4): 880-882. DOI: 10.3969/j.issn.1001-5256.2022.04.026
Abstract(1227) HTML (425) PDF (3487KB)(61)
Abstract:
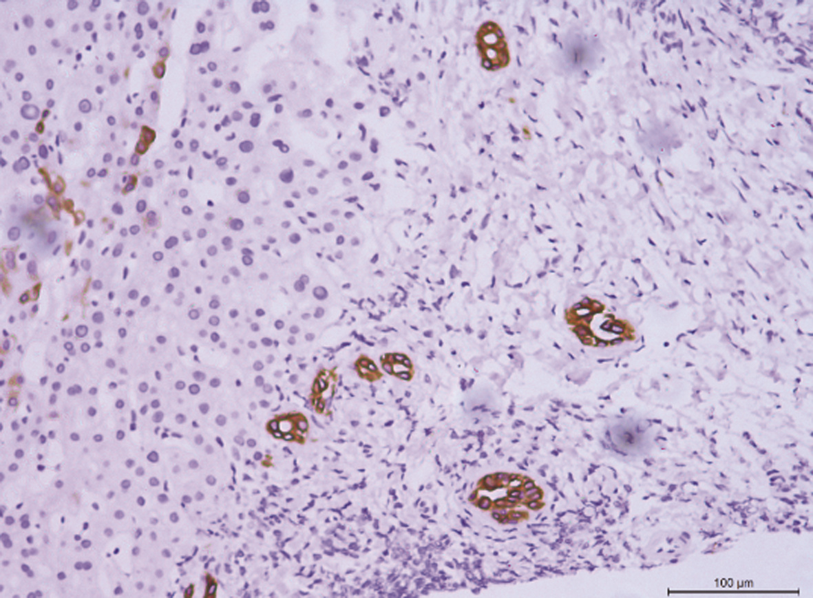
A case of eosinophilia mainly manifesting as liver injury
Hao WU, Xin ZHENG, Lei ZHU, Dong YANG
2022, 38(4): 883-885. DOI: 10.3969/j.issn.1001-5256.2022.04.027
Abstract(1955) HTML (289) PDF (2636KB)(124)
Abstract:
Long-term isolated macro-aspartate aminotransferase elevation: A case report
Dongze LI, Mengmeng QU, Shaoli YOU, Sa LYU
2022, 38(4): 886-887. DOI: 10.3969/j.issn.1001-5256.2022.04.028
Abstract(828) HTML (370) PDF (2263KB)(68)
Abstract:
Hereditary spherocytosis coexisting with Gilbert's syndrome: A case report
Yujiao ZHANG, Ying ZHENG, Xiuhong WANG, Ying CAI, Anlin MA
2022, 38(4): 888-890. DOI: 10.3969/j.issn.1001-5256.2022.04.029
Abstract(1467) HTML (313) PDF (2495KB)(77)
Abstract:
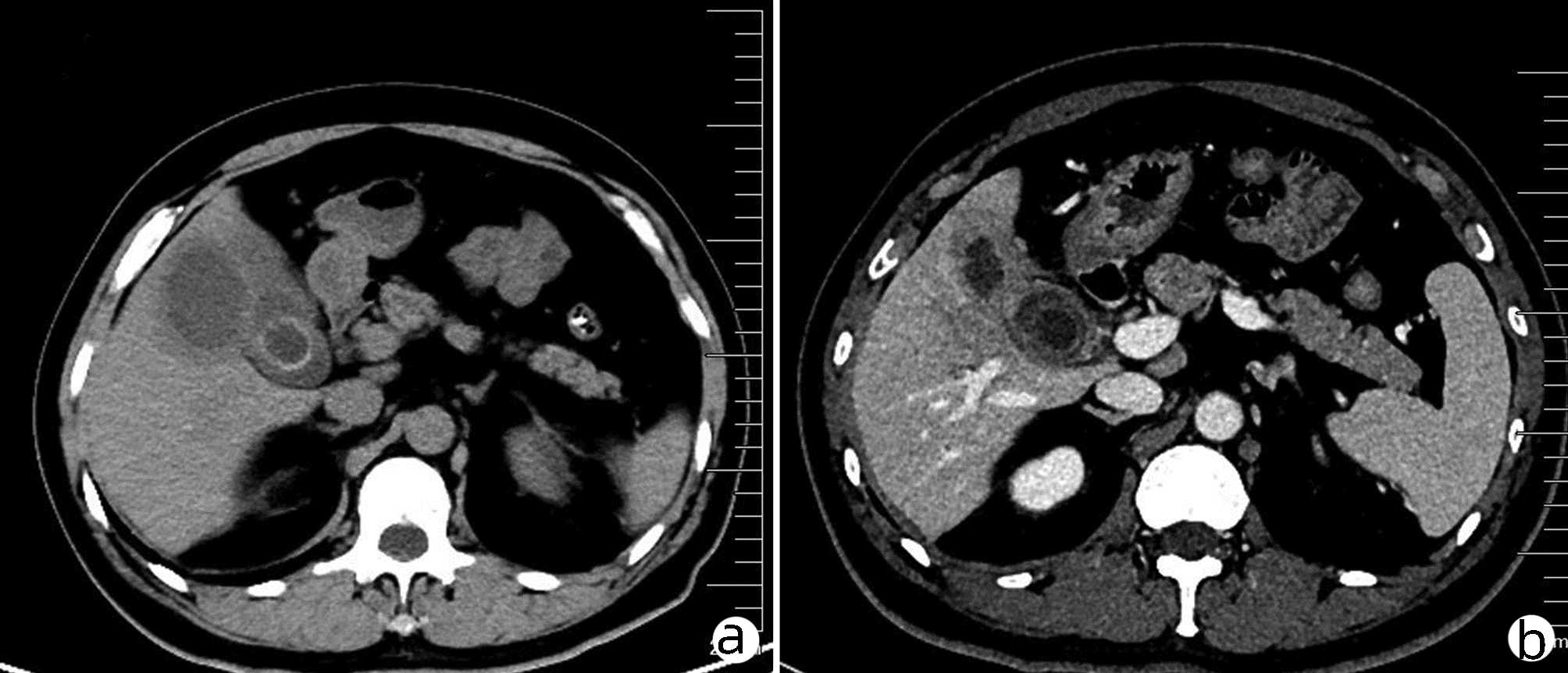
A case of spontaneous hepatic rupture and hemorrhage after liver transplantation
Jian MA, Lihong HE, Lingyun WANG, Yanan ZHAI, Xun LI, Lei ZHANG
2022, 38(4): 891-893. DOI: 10.3969/j.issn.1001-5256.2022.04.030
Abstract(985) HTML (354) PDF (3041KB)(37)
Abstract:
Liver abscess caused by type II gallbladder perforation: A report of 3 cases and literature review
Shaoxiong REN, Ze LIANG, Jingzhao HAN, Hongfang TUO, Yanhui PENG
2022, 38(4): 894-897. DOI: 10.3969/j.issn.1001-5256.2022.04.031
Abstract(1105) HTML (269) PDF (2784KB)(47)
Abstract:
Reviews
Application of digital therapeutics in the treatment of nonalcoholic fatty liver disease
Chao SUN, Jiangao FAN
2022, 38(4): 898-901. DOI: 10.3969/j.issn.1001-5256.2022.04.032
Abstract(1456) HTML (412) PDF (1884KB)(191)
Abstract:
Nonalcoholic fatty liver disease (NAFLD) has become the most common chronic liver disease in the world and seriously threatens human health. So far, change in unhealthy lifestyle is still the most important treatment method for NAFLD. However, traditional lifestyle intervention depends on hospital visits and follow-up, and patients tend to have poor execution and compliance. With the help of the Internet technology, digital therapeutics overcome these disadvantages and has achieved a certain clinical effect in NAFLD patients. This article reviews the application of digital therapeutics in medicine and NAFLD treatment, so as to provide a reference for the treatment of NAFLD.
Signaling pathways involved in the active components of Polygonum cuspidatum in treatment of nonalcoholic fatty liver disease and their interaction
Shudi LI, Xinju CHEN, Jiangkai LIU, Zhen WANG, Fei DUAN, Zhuoya YUAN, Lei LIANG, Suling LI
2022, 38(4): 902-907. DOI: 10.3969/j.issn.1001-5256.2022.04.033
Abstract(1685) HTML (679) PDF (2076KB)(55)
Abstract:
The pathogenesis of nonalcoholic fatty liver disease (NAFLD) remains unclear, and currently no effective drugs have been approved for the treatment of NAFLD. Polygonum cuspidatum is a natural traditional Chinese medicine with a long history of application, and studies have shown that it plays an important role in the treatment of NAFLD. This article summarizes related research findings in the active components of Polygonum cuspidatum applied in the treatment of NAFLD, and it is found that the active components of Polygonum cuspidatum can improve insulin resistance, exert an anti-oxidative stress effect, regulate lipid metabolism, improve endoplasmic reticulum stress, and alleviate inflammatory infiltration by regulating the signaling pathways including Nrf2, AMPK, NF-κB, SIRT1, and PPARα, thereby exerting a preventive and therapeutic effect on NAFLD, so as to provide a basis and ideas for developing drugs for NAFLD and exploring related mechanisms.
Role of new noninvasive methods in guiding the diagnosis and treatment of autoimmune hepatitis
Huaie LIU, Jiandan QIAN, Chi ZHANG, Yiqi LIU, Zhi LI, Hong ZHAO, Guiqiang WANG
2022, 38(4): 908-912. DOI: 10.3969/j.issn.1001-5256.2022.04.034
Abstract(1050) HTML (240) PDF (1911KB)(71)
Abstract:
Autoimmune hepatitis (AIH) is an inflammatory disease of the liver mediated by autoimmune response, and in the diagnosis and treatment of AIH, it is of great importance to accurately assess the progression of liver inflammation, screen out the patients requiring corticosteroid therapy, and evaluate the therapeutic outcome. This article introduces a variety of new noninvasive techniques which have been discovered by clinical and experimental studies in recent years and have the potential to evaluate the progression of AIH, as well as the advantages and disadvantages of each technique. It is concluded that the new noninvasive techniques have more advantages in guiding the corticosteroid therapy for AIH, but further clinical studies are still needed for verification.
Research advances in obeticholic acid and fibrates in treatment of primary biliary cholangitis with poor response or intolerance to ursodeoxycholic acid
Junfang SHUAI, Ziyan HAN
2022, 38(4): 913-917. DOI: 10.3969/j.issn.1001-5256.2022.04.035
Abstract(1122) HTML (769) PDF (1927KB)(119)
Abstract:
Poor response or intolerance to ursodeoxycholic acid may occur in the treatment of primary biliary cholangitis (PBC), and after switch to obeticholic acid or fibrates alone or in combination, poor response or intolerance is also observed in some treatment regimens. Clinical studies on obeticholic acid and fibrates will gradually solve these issues, and obeticholic acid/fibrates combined with ursodeoxycholic acid is safe and effective in PBC patients without advanced liver cirrhosis.
Influence of patent paraumbilical vein on the development of esophageal varices and esophageal variceal bleeding in liver cirrhosis: A protective factor or a risk factor?
Zhipeng CHEN, Fang YIN
2022, 38(4): 918-922. DOI: 10.3969/j.issn.1001-5256.2022.04.036
Abstract(2326) HTML (941) PDF (2602KB)(59)
Abstract:
Previous studies believe that patent paraumbilical vein in cirrhotic portal hypertension can reduce portal venous flow, portal venous pressure, and the development of esophageal varices and esophageal variceal bleeding, but there are still controversies over this issue in clinical practice. This article reviews the formation of portal systemic collateral circulation, the characteristics of the paraumbilical vein, the definition and diagnosis of patent paraumbilical vein, and the influence of patent paraumbilical vein on the development of esophageal varices and esophageal variceal bleeding, and it is believed that patent paraumbilical vein may not reduce the development of esophageal varices and esophageal variceal bleeding. Contrary to the previous points of view, patent paraumbilical vein should be regarded as a manifestation of the progression of cirrhotic portal hypertension, which can lead to the complications such as hepatic encephalopathy, and therefore, targeted prevention measures should be adopted in clinical practice.
Circulating cell-free DNA-combined liquid biopsy: The key to noninvasive diagnosis of early-stage liver cancer
Tingdan YE, Xuezhong LEI
2022, 38(4): 923-926. DOI: 10.3969/j.issn.1001-5256.2022.04.037
Abstract(1321) HTML (597) PDF (1983KB)(137)
Abstract:
Circulating cell-free DNA (cfDNA) is considered a promising entry point of liquid biopsy for the diagnosis of early-stage liver cancer; however, many studies have confirmed that the diagnostic efficacy of cfDNA alone is not stable, especially that quantitative test alone cannot well reflect the situation of tumor. More and more studies have shown that cfDNA is suitable for combined measurement of multiple indicators or combined measurement with other diagnostic markers for liver cancer. This article reviews the articles on combined liquid biopsy based on cfDNA published up to July 2021, summarizes the existing methods for combined measurement, and briefly describes the birth and research advances in combined diagnostic methods, so as to further clarify the significance and potential of combined liquid biopsy based on cfDNA in the diagnosis of early-stage liver cancer and thus provide ideas for taking better advantages of the diagnostic markers for liver cancer in the future.
Role of particulate matter 2.5 in the development and progression of liver cancer
Fei ZUO, Guodong LI, Ming LIU
2022, 38(4): 927-930. DOI: 10.3969/j.issn.1001-5256.2022.04.038
Abstract(1068) HTML (484) PDF (2682KB)(51)
Abstract:
Particulate matter 2.5 (PM2.5), as one of the main components of atmospheric particulate matter, has become an important factor affecting people's health; however, there are relatively few studies on the association of PM2.5 with the development and progression of liver cancer. This article reviews the epidemiological study of PM2.5 and liver cancer, summarizes the mechanisms of PM2.5 causing liver cancer (including changing enzyme activity, affecting gene expression, inducing endoplasmic mesh stress, causing liver fat degeneration, and leading to liver fibrosis), and discusses the influence of PM2.5 exposure on the prognosis of liver cancer.
Research advances in coronavirus disease 2019-related liver injury
Hao CUI, Jing LIANG, Huiling XIANG
2022, 38(4): 931-935. DOI: 10.3969/j.issn.1001-5256.2022.04.039
Abstract(1472) HTML (323) PDF (1916KB)(126)
Abstract:
The coronavirus disease 2019 (COVID-19) pandemic has brought great threats and challenges to global public health and has changed the priorities of medical resource allocation. A considerable proportion of patients with liver injury is observed during the clinical diagnosis and treatment of COVID-19, especially in those with a severe or critical illness. This article summarizes the epidemiology, mechanism, clinical features, and treatment of liver injury caused by COVID-19, in order to help clinicians with decision making and treatment optimization.
Application of human serum albumin in the management of end-stage liver disease
Lu YANG, Ye XIONG, Jianrong HUANG
2022, 38(4): 936-941. DOI: 10.3969/j.issn.1001-5256.2022.04.040
Abstract(1866) HTML (538) PDF (2080KB)(107)
Abstract:
Albumin is the most abundant protein in human plasma, and its oncotic and non-oncotic functions can regulate various functions in human body. In patients with end-stage liver disease, the deterioration of disease conditions and related complications caused by the reduction, loss, and abnormal function of albumin can be alleviated or even improved to some extent after the treatment with human serum albumin. This article reviews recent clinical studies in China and foreign countries, discusses the application and clinical effect of human serum albumin in end-stage liver disease, and points out that effective monitoring of albumin content may become a new indicator for the prognosis and treatment of end-stage liver disease.
Mechanism of action of nucleotide-binding oligomerization domain-like receptor protein 3 inflammasome in liver diseases
Yan YANG, Feilin GE, Qian HUANG, Xinyue ZHANG, Rui ZENG, Xiaohe XIAO, Zhaofang BAI, Qin SUN
2022, 38(4): 942-946. DOI: 10.3969/j.issn.1001-5256.2022.04.041
Abstract(1150) HTML (429) PDF (2950KB)(47)
Abstract:
Inflammasomes play an important role in the innate immunity of the liver; however, the excessive activation of inflammasomes can lead to liver inflammation and injury. The mechanism of nucleotide-binding oligomerization domain-like receptor protein 3 (NLRP3) inflammasome-mediated liver injury has been extensively studied. Related studies have shown that the development of various liver diseases may be associated with the excessive activation of inflammasomes, especially NLRP3 inflammasome. This article reviews inflammasomes, the activation mechanism of NLRP3 inflammasome, and the role of NLRP3 inflammasome in different liver diseases, so as to provide a reference for the treatment targets of liver diseases from the perspective of NLRP3 inflammasome.
The mechanism of intestinal flora and its metabolites in the formation of cholesterol gallstones
Handong ZHAO, Peng GAO, Li ZHAN
2022, 38(4): 947-950. DOI: 10.3969/j.issn.1001-5256.2022.04.042
Abstract(1811) HTML (345) PDF (1903KB)(105)
Abstract:
Gallstone is a common digestive system disease involving multiple factors, more than 80% of which are cholesterol gallstones, and its incidence rate is increasing year by year. Recent studies have shown that intestinal flora is involved in the development and progression of cholesterol gallstones. This article elaborates on the role of intestinal flora and its metabolites in the progression of cholesterol gallstones from the aspect of regulation of bile acids by intestinal flora and its metabolites, and it is pointed out that intervention strategies for intestinal flora and its metabolites may be a new target for the prevention and treatment of cholesterol gallstones in the future.
Mechanism of action of ferroptosis in cholangiocarcinoma
Mingyu YANG, Zhen YANG, Wanhua REN
2022, 38(4): 951-955. DOI: 10.3969/j.issn.1001-5256.2022.04.043
Abstract(1821) HTML (457) PDF (2261KB)(148)
Abstract:
The incidence and mortality rates of cholangiocarcinoma (CCA) are increasing constantly, and it is of great importance to explore new therapeutic targets. Ferroptosis, a unique pattern of cell death caused by iron-dependent cellular oxidative injury, is closely associated with iron metabolism and oxidative stress imbalance in cancer and has become a research hotspot in the field of tumor. This article introduces the mechanism of ferroptosis and the research advances in ferroptosis involved in the development and progression of CCA, and it is pointed out that the regulatory mechanism of ferroptosis has an important clinical value in the malignant progression of CCA.
Clinical application of pancreatic exocrine function tests
Lin ZUO, Dujiang YANG, Huimin LU
2022, 38(4): 956-960. DOI: 10.3969/j.issn.1001-5256.2022.04.044
Abstract(1173) HTML (763) PDF (1919KB)(78)
Abstract:
There are currently various pancreatic exocrine function tests with different indicators for detection, and there is still a lack of unified standard. This article summarizes the pancreatic exocrine function tests which are widely used or hold promise for application in clinical practice, briefly introduces the procedures of each test, and reviews their clinical practicability and advances, so as to provide a reference for the clinical application and research ideas of pancreatic exocrine function tests.
Research advances in microRNA-200c in pancreatic cancer
Yao ZHANG, Kai ZHANG, Pengdong KANG, Chao MA
2022, 38(4): 961-964. DOI: 10.3969/j.issn.1001-5256.2022.04.045
Abstract(979) HTML (216) PDF (2056KB)(50)
Abstract:
MicroRNA-200c (miR-200c) is a type of non-coding small molecule RNA, which is involved in the post-transcriptional regulation of genes and is closely associated with the development and progression of tumor. This article introduces the inhibitory effect of miR-200c on the invasion and metastasis of pancreatic cancer and the clinical application value of miR-200c in the early diagnosis and prognostic evaluation of pancreatic cancer. It is pointed out that miR-200c can be used as a tumor suppressor gene and an effective molecular marker for further clinical research.
Research advances in the mechanism of tumor microenvironment in pancreatic cancer and related targeted therapy
Yiyi ZHANG, Min XU
2022, 38(4): 965-968. DOI: 10.3969/j.issn.1001-5256.2022.04.046
Abstract(2558) HTML (1027) PDF (2578KB)(247)
Abstract:
The tumor microenvironment of pancreatic carcinoma is a dense matrix environment with excessive fibrosis containing pancreatic stellate cells, cancer-associated fibroblasts, immune cells, and extracellular matrix, which not only creates an environment to promote the growth and invasion of tumors, but also makes them resistant to chemotherapy and other antitumor drugs. Intensive fibrosis reaction in the matrix and changes of tumors in immune environment are considered the main reasons for treatment failure in pancreatic cancer management. This article reviews the recent research advances in the tumor microenvironment of pancreatic cancer, summarizes its composition and pathogenesis and the targeted therapies for matrix and immune cells, and analyzes the importance of tumor microenvironment in the development and progression of pancreatic cancer and its impact on targeted therapy.
Conference Trends at Home and Abroad
APASL STC 2022:Liver fibrosis in the era of translational medicine
2022, 38(4): 836-836. DOI: 10.3969/j.issn.1001-5256.2022.04.gnwhydd1
Abstract(609) HTML (263) PDF (855KB)(49)
Abstract:
Introduction of High-quality Articles in Foreign Journals
Developmental Cell|Temporal analyses of postnatal liver development and maturation by single-cell transcriptomics
2022, 38(4): 856-856. DOI: 10.3969/j.issn.1001-5256.2022.04.gwjpwzjj1
Abstract(692) HTML (281) PDF (855KB)(38)
Abstract:
Journal of Hepatology|Interruption of bile acid uptake by hepatocytes after acetaminophen overdose ameliorates hepatotoxicity
2022, 38(4): 890-890. DOI: 10.3969/j.issn.1001-5256.2022.04.gwjpwzjj2
Abstract(528) HTML (352) PDF (858KB)(47)
Abstract:
Hepatology International|Establishment and validation of a prognostic model for hepatitis B virus-related acute-on-chronic liver failure patients with bacterial infection
2022, 38(4): 901-901. DOI: 10.3969/j.issn.1001-5256.2022.04.gwjpwzjj3
Abstract(459) HTML (190) PDF (856KB)(35)
Abstract:
Thanks
Current reviewers
2022, 38(4): 792-792. DOI: 10.3969/j.issn.1001-5256.2022.04.zhixie1
Abstract(396) HTML (148) PDF (856KB)(38)
Abstract: