中文English
ISSN 1001-5256 (Print)
ISSN 2097-3497 (Online)
CN 22-1108/R

2022 No.3
Theme Issue: New Advances in the Precise Diagnosis and Treatment of Liver Cancer
Executive Chief Editor: CHEN Lei  
National Center for Liver Cancer

Display Method:
Editorial
New advances in the precision diagnosis and treatment of liver cancer
Tong WU, Lei CHEN
2022, 38(3): 497-498. DOI: 10.3969/j.issn.1001-5256.2022.03.001
Abstract(1900) HTML (832) PDF (1923KB)(315)
Abstract:
Liver cancer is a global challenge that greatly threatens human health, and early identification, early diagnosis, and early treatment are the key to effectively improving quality of life and prolonging survival time for liver cancer patients. Liver cancer has complex pathogeneses, diverse etiologies, and significant heterogeneity between individuals, and early diagnosis and effective treatment have always been difficult issues. Under the guidance of the concept of precision medicine, innovative thoughts combining modern techniques with traditional methods are expected to solve the mystery of disease onset through multidisciplinary integration, thereby achieving new breakthroughs in the diagnosis and treatment of liver cancer.
Discussions by Experts
Early warning and accurate screening for the high-risk population of hepatocellular carcinoma
Xin HAO, Rong FAN, Jinlin HOU
2022, 38(3): 499-504. DOI: 10.3969/j.issn.1001-5256.2022.03.002
Abstract(2053) HTML (1273) PDF (2121KB)(372)
Abstract:
It is an effective way to improve the early diagnosis rate of hepatocellular carcinoma (HCC) in China by conducting standardized screening among the population with chronic liver diseases, achieving accurate stratification and standardized management of the population at a risk of HCC, and realizing the early warning for HCC through effective technical means. In clinical practice, the risk scoring models for liver cancer including aMAP can be used for preliminary risk screening of the population with chronic liver diseases to identify the population with a moderate or high risk of liver cancer. Novel serum biomarkers can be used to further screen out the population with an extremely high risk of liver cancer, and then imaging technology can be used for early diagnosis. Constant exploration and improvement of the "pyramid" screening and management mode through stratified enrichment may help to achieve the goal of improving early diagnosis rate of HCC and reducing HCC-related mortality.
Application of three-dimensional visualization in surgical operation for primary liver cancer
Zhaoshuo CHEN, Kecan LIN, Jingfeng LIU
2022, 38(3): 505-509. DOI: 10.3969/j.issn.1001-5256.2022.03.003
Abstract(1299) HTML (439) PDF (1894KB)(184)
Abstract:
Surgical resection is currently the main method for the treatment of primary liver cancer. The appearance of new techniques, such as three-dimensional visualization, 3D printing, virtual reality, indocyanine green molecular fluorescence imaging, and hepatectomy with intraoperative navigation, has provided new methods for the preoperative diagnosis, surgical planning, and intraoperative navigation of primary liver cancer. Among these techniques, three-dimensional visualization shows incomparable advantages in the diagnosis of primary liver cancer, the selection of treatment regimen, preoperative planning, intraoperative navigation, and liver transplantation. This article summarizes the recent advances in the application of three-dimensional visualization in surgical operation for primary liver cancer.
Multi-omics molecular subgrouping of hepatocellular carcinoma and its application in precision diagnosis and treatment
Liangqing DONG, Qiang GAO
2022, 38(3): 510-514. DOI: 10.3969/j.issn.1001-5256.2022.03.004
Abstract(2208) HTML (1217) PDF (2645KB)(395)
Abstract:
Hepatocellular carcinoma (HCC) is the third leading cause of cancer mortality in China. In recent years, the application of targeted therapy and immunotherapy has improved the survival rate of HCC patients. However, a significant difference in treatment response is observed among HCC patients due to tumor heterogeneity and a lack of biomarkers to predict efficacy. The advance in proteogenomics-centered multi-omics studies and the development of high-throughput drug screening platforms will help to develop new clinical treatment strategies for HCC and new methods for predicting the efficacy of precision medication, thereby realizing personalized precision diagnosis and treatment.
Hepatobiliary tumor models and novel technology for accurate drug screening
Zhuang LIU, Dong GAO
2022, 38(3): 515-520. DOI: 10.3969/j.issn.1001-5256.2022.03.005
Abstract(1353) HTML (266) PDF (1910KB)(145)
Abstract:
Hepatobiliary tumor is a type of malignant tumor including primary liver cancer, cholangiocarcinoma, and gallbladder carcinoma. At present, hepatobiliary tumors have become the second leading cause of cancer-related death worldwide, while the treatment methods for such tumors cannot effectively meet clinical needs. Therefore, it is a key scientific problem in this field to explore and develop the experimental technology of accurate drug screening for hepatobiliary tumors, find new strategies and methods for clinical treatment, and provide new ideas for early diagnosis and comprehensive treatment of hepatobiliary tumors. This article introduces the latest research advances in the novel technologies for accurate drug screening for hepatobiliary tumor and their application potential by focusing on the construction of individualized pathological models of hepatobiliary tumor, drug screening technologies, the design and screening strategy of specific target drugs, and drug screening strategy based on artificial intelligence and big data analysis, as well as the directions for future development.
Accurate imaging diagnosis and recurrence prediction of hepatocellular carcinoma based on artificial intelligence
Yiping LIU, Xinping LI, Lei CHEN, Jinju XIA, Kairong SONG, Ningyang JIA, Wanmin LIU
2022, 38(3): 521-527. DOI: 10.3969/j.issn.1001-5256.2022.03.006
Abstract(1781) HTML (292) PDF (1916KB)(181)
Abstract:
The integration of artificial intelligence into the medical field is developing rapidly and has achieved ground-breaking advances in the diagnosis, treatment, and efficacy evaluation of imaging medicine. This article reviews the research advances in artificial intelligence in imaging diagnosis of hepatocellular carcinoma and its performance in evaluating treatment outcome and predicting prognosis in combination with clinical features and looks forward to how artificial intelligence can be better used in the practice of hepatocellular carcinoma imaging in the era of growing clinical needs and rapid advances in diagnosis and treatment techniques.
Hotspot·Perspective·Viewpoint
Clinical significance of determining the serum levels of large, middle, and small hepatitis B virus surface proteins
Hui ZHUANG
2022, 38(3): 528-531. DOI: 10.3969/j.issn.1001-5256.2022.03.007
Abstract(2159) HTML (329) PDF (2984KB)(225)
Abstract:
This article reviews the research advances in large, middle, and small hepatitis B virus (HBV) surface proteins, including their gene structures, characteristics, detection methods, and clinical significance. Up to now, the clinical significance of large, middle, and small HBV surface proteins remains unclear and requires further studies.
Original Articles_Viral Hepatitis
Efficacy of entecavir versus tenofovir disoproxil fumarate in treatment of chronic hepatitis B patients with high viral load
Huikun ZHOU, Jianning JIANG, Minghua SU, Rongming WANG, Bobin HU, Deli DENG, Huilan WEI, Xianshuai LIANG, Wenming HE, Rongsheng GUO
2022, 38(3): 532-536. DOI: 10.3969/j.issn.1001-5256.2022.03.008
Abstract(2056) HTML (345) PDF (1906KB)(136)
Abstract:
  Objective  To investigate the efficacy of entecavir (ETV) versus tenofovir disoproxil fumarate (TDF) and the treatment measures for poor response in previously untreated chronic hepatitis B (CHB) patients with high viral load.  Methods  A total of 165 CHB patients who received antiviral therapy and met the inclusion criteria in Department of Infectious Diseases, The First Affiliated Hospital of Guangxi Medical University, from June 2016 to July 2021 were enrolled. The patients enrolled had a baseline HBV DNA level of > 6lg copies/ml and were previously untreated CHB patients who had used ETV or TDF for 48 weeks, and quantitative real-time PCR was used to measure HBV DNA. Virologic response rate was calculated after 48 weeks of treatment; a logistic regression analysis was used to investigate the influencing factors for the response of HBV DNA < 500 copies/mL and HBV DNA < 100 copies /mL at 48 weeks; a stratified analysis was performed to compare the virologic response rate of HBV DNA < 500 copies /ml and HBV DNA < 100 copies/ml after 48 weeks between the patients with different ages, sexes, baseline HBV DNA levels, baseline alanine aminotransferase (ALT) levels, types of first-line medication, and HBeAg statuses. The Mann-Whitney U test was used for comparison of non-normally distributed continuous data between two groups, the chi-square test or the Fisher's exact test was used for comparison of categorical data between two groups, and the binary logistic regression model was used for multivariate analysis.  Results  After 48 weeks of treatment, 85.5% (141/165) of the patients achieved an HBV DNA load of < 500 copies/mL, and 66.1% (109/165) of the patients achieved an HBV DNA load of < 100 copies /mL, with no significant difference in treatment outcome between the ETV group and the TDF group. The multivariate logistic regression analysis showed that sex(OR=2.793, 95%CI: 1.197-6.517), baseline HBV DNA(OR=0.369, 95%CI: 0.142-0.959), baseline ALT(OR=4.556, 95%CI: 1.770-11.732), and baseline HBeAg(OR=0.120, 95%CI: 0.033-0.429) were influencing factors for complete virologic response(all P < 0.05). For the patients with normal ALT (≤40 U/L) at baseline, 75.6% (34/45) achieved an HBV DNA load of < 500 copies/mL after 48 weeks of treatment, and 53.3% (24/45) achieved an HBV DNA load of < 100 copies/mL, with no significant difference in treatment outcome between the ETV group and the TDF group. For the patients with abnormal ALT (> 40 U/L) at baseline, 89.2% (107/120) achieved an HBV DNA load of < 500 copies/mL after 48 weeks of treatment, and the proportion of such patients in the TDF group was significantly higher than that in the ETV group (96.1% vs 84.1%, χ2=4.386, P=0.036); 70.8% (85/120) achieved an HBV DNA load of < 100 copies/mL, the proportion of such patients was no significant difference between the TDF group and the ETV group (78.4% vs 65.2%). The response of HBV DNA < 100 copies/ml of the normal baseline ALT group and the abnormal baseline ALT group, there were no significant differences between the patients aged≤30 years and aged > 30 years (77.8% vs 47.2%, 85.2% vs 66.7%). For the patients who did not achieve complete virologic response (HBV DNA ≥100 copies/mL) after 48 weeks of treatment, 87.9% (29/33) achieved complete virologic response after the original treatment regimen was prolonged for 48 weeks, and 100% (9/9) of the patients achieved complete virologic response after switching to or adding the first-line nucleos(t)ide analogues (NUCs) without cross-resistance sites with the original regimen for another 48 weeks.  Conclusion  The patients aged > 30 years should receive antiviral therapy as early as possible, regardless of viral load and ALT level, especially those with a family history of liver cirrhosis or hepatocellular carcinoma; the patients aged ≤30 years who have a normal ALT level and a high viral load should consider initiating antiviral therapy after providing informed consent. For the patients with poor response after 48 weeks of treatment, first-line NUCs without cross-resistance sites with the original regimen should be switched to or added in time.
Clinical effect of tenofovir alafenamide fumarate on chronic hepatitis B patients with low viral load after entecavir treatment
Hailin CHENG, Xudong HU, Bing XIA, Tao BAI, Sixia LU
2022, 38(3): 537-540. DOI: 10.3969/j.issn.1001-5256.2022.03.009
Abstract(2700) HTML (1382) PDF (1917KB)(158)
Abstract:
  Objective  To investigate the clinical effect of tenofovir alafenamide fumarate (TAF) on chronic hepatitis B (CHB) patients with low-level viremia (LLV) after entecavir (ETV) treatment.  Methods  A total of 160 CHB patients who received ETV antiviral therapy in Wuhan Jinyintan Hospital from March 2019 to October 2020 were enrolled and divided into experimental group and control group by propensity score matching, with 80 patients in each group. The patients in the experimental group were given TAF antiviral therapy, and those in the control group were given ETV treatment; the course of treatment was 24 weeks for both groups. The two groups were compared in terms of HBV-DNA clearance rate, HBeAg clearance rate, alanine aminotransferase (ALT) level, estimated glomerular filtration rate (eGFR), FIB-4 value, liver stiffness measurement, and adverse drug reactions after treatment. The t-test was used for comparison of continuous data between two groups, and the chi-square test was used for comparison of categorical data between two groups.  Results  After 24 weeks of treatment, compared with the control group, the experimental group had significantly higher HBV DNA clearance rate (96.25% vs 16.25%, χ2 =104.03, P < 0.001) and HBeAg clearance rate (34.78% vs 11.90%, χ2=6.32, P < 0.05). Compared with the control group, the experimental group had varying degrees of improvement in ALT, eGFR, FIB-4, and liver stiffness measurement (t=5.77, 4.21, 8.45, and 4.58, all P < 0.05), and there was no significant difference in the incidence rate of adverse drug reactions between the control group and the experimental group during treatment (7.50% vs 8.75%, P > 0.05).  Conclusion  For CHB patients with LLV after ETV treatment, the change to TAF antiviral therapy can effectively increase their HBV DNA clearance rate and HBeAg clearance rate, improve liver and renal function, and reduce the degree of liver fibrosis, with good safety.
Efficacy of switching to co-formulated elvitegravir/cobicistat/emtricitabine/tenofovir alafenamide combined with sofosbuvir/velpatasvir in treatment of previously untreated chronic hepatitis C patients with HIV/HCV co-infection and its influence on blood lipid levels
Bianli DANG, Wenzhen KANG, Mingyuan BI, Jianhui LI, Zhaoyun CHEN, Shupeng LI, Qing LIU, Yongtao SUN, Weiping CAI, Wen KANG
2022, 38(3): 541-546. DOI: 10.3969/j.issn.1001-5256.2022.03.010
Abstract(1130) HTML (284) PDF (1942KB)(65)
Abstract:
  Objective  To investigate the efficacy of switching to co-formulated elvitegravir/cobicistat/emtricitabine/tenofovir alafenamide (E/c/F/TAF) combined with sofosbuvir/velpatasvir (SOF/VEL) in the treatment of previously untreated chronic hepatitis C patients with HIV/HCV co-infection and the changes in blood lipid levels.  Methods  This prospective cohort study was conducted among 10 previously untreated chronic hepatitis C patients with HIV/HCV co-infection who attended Department of Infectious Diseases in Tangdu Hospital from July 2019 to May 2021 and achieved continuous HIV suppression after antiretroviral treatment (ART). As for anti-HIV therapy, the ART regimen was switched to the E/c/F/TAF regimen for 32 weeks, and for anti-HCV therapy, the SOF/VEL regimen was started since week 4 after switching and lasted for 12 weeks. Related indices were monitored before and after switching to E/c/F/TAF for anti-HCV therapy and SOF/VEL for anti-HCV therapy, including body weight, body mass index, HCV genotype, alpha-fetoprotein, liver stiffness measurement, CD4+T cell count, CD4+T/CD8+T ratio, hepatic and renal function parameters, blood lipids, HIV RNA, HCV RNA, SVR12, SVR24, and adverse reactions. The Mann-Whitney U test was used for comparison of continuous data between two groups, and a Spearman correlation analysis was performed.  Results  After 4 weeks of treatment with E/c/F/TAF, 10 patients (HCV genotypes 2a and 1b) had HIV RNA below the lower limit of detection (20 IU/ml) and a significant reduction in albumin (Z=-2.801, P=0.003 7), with the other indices remaining stable, and the patients reported significant improvements in the adverse events of anti-HIV therapy with the former ART regimen. After 4 weeks of E/c/F/TAF combined with SOF/VEL, the patients had HCV RNA below the lower limit of detection (15 IU/ml), and both SVR12 and SVR24 reached 100%; after 12 weeks of anti-HCV therapy, there were significant reductions in alanine aminotransferase (Z=-2.732, P=0.004 8) and aspartate aminotransferase (Z=-2.501, P=0.010 7) and significant increases in total cholesterol (TC) (Z=-2.797, P=0.003 9) and low-density lipoprotein cholesterol (LDL-C) (Z=-2.343, P=0.018 5), with a significantly positive correlation between them (r=0.87, P < 0.001), and all the other indices were normal.  Conclusion  For previously untreated chronic hepatitis C patients with HIV/HCV co-infection, switching to E/c/F/TAF combined with SOF/VEL has good efficacy, tolerability, and safety, and the combination of the two regimens can avoid drug interaction, achieve a high HCV cure rate, and maintain HIV suppression. Transient increases in TC and LDL-C are observed during combination treatment, which suggests dyslipidemia caused by HCV infection and the pharmacological action of this regimen.
Original Articles_Fatty Liver Diseases
Population differences of metabolic associated fatty liver disease and nonalcoholic fatty liver disease based on a community elderly population
Shuang ZHANG, Xiaohui LIU, Gang WANG, Li ZHANG, Yunjie ZHU, Jian WU, Yali LIU, Jing ZHANG
2022, 38(3): 547-552. DOI: 10.3969/j.issn.1001-5256.2022.03.011
Abstract(1111) HTML (263) PDF (2059KB)(92)
Abstract:
  Objective  To investigate the population differences of the newly named "metabolic associated fatty liver disease" (MAFLD) and the former name "nonalcoholic fatty liver disease" (NAFLD).  Methods  From November 2020 to January 2021, a cross-sectional survey was conducted among 624 elderly individuals aged above 65 years in a community in Beijing, China, and related data were collected, including demographic data, past history, laboratory markers, liver ultrasound, and liver elasticity. According to the presence or absence of fatty liver based on ultrasonic diagnosis, the individuals were divided into fatty liver group with 389 individuals and non-fatty liver group with 235 individuals. The independent samples t-test was used for comparison of normally distributed continuous data between the two groups, and the Mann-Whitney U test was used for comparison of non-normally distributed continuous data between the two groups; the chi-square test was used for comparison of categorical data between the two groups.  Results  Among the 389 patients with fatty liver, 387(99.5%) were diagnosed with MAFLD and 368(94.6%) were diagnosed with NAFLD, and there were 19 patients with a history of heavy alcohol consumption and 2 with positive surface antigen. A total of 366 patients met the diagnostic criteria for both MAFLD and NAFLD, accounting for 94.6% of the MAFLD patients and 99.5% of the NAFLD patients. Compared with the non-fatty liver group, the MAFLD group had significant increases in body mass index (BMI) (t=-11.228, P < 0.05), waist circumference (Z=-8.532, P < 0.05), hip circumference (Z=-6.449, P < 0.05), waist-hip ratio (Z=-5.708, P < 0.05), alanine aminotransferase (Z=-5.027, P < 0.05), aspartate aminotransferase (Z=-2.880, P < 0.05), platelet count (t=-3.623, P < 0.05), triglyceride (Z=-8.489, P < 0.05), fasting blood glucose (Z=-3.516, P < 0.05), HbA1c (Z=-2.884, P < 0.05), Homeostasis Model Assessment of Insulin Resistance (HOMA-IR) (Z=-0.394, P < 0.05), high-sensitivity C-reactive protein (Z=-4.912, P < 0.05), controlled attenuation parameter (CAP) (t=13.744, P < 0.05), and liver stiffness measurement (LSM) (Z=-7.69, P < 0.05), as well as a significant reduction in high-density lipoprotein cholesterol (HDL-C) (t=6.348, P < 0.001). Meanwhile, MAFLD patients had more metabolic associated diseases, such as overweight, obesity, central obesity, dyslipidemia, and hypertension (χ2=9.978, 65.472, 36.571, 9.797, and 5.128, all P < 0.05). In the MAFLD group, 30.7% of the patients had non-obese fatty liver disease (BMI < 25 kg/m2), and 11.1% had lean fatty liver disease (BMI < 23 kg/m2); compared with the obese MAFLD patients, the non-obese MAFLD patients had significantly lower age (Z=-3.042, P < 0.05), BMI (Z=-15.705, P < 0.05), waist circumference (Z=-9.589, P < 0.05), hip circumference (Z=-10.275, P < 0.05), HOMA-IR (Z=-2.081, P < 0.05), CAP (t=-3.468, P < 0.05), LSM (Z=-3.630, P < 0.05), and NAFLD fibrosis score (t=-4.433, P < 0.05). According to LSM value, advanced liver fibrosis accounted for 3.6% of the MAFLD population, and 10% of the MAFLD population could not be excluded for advanced liver fibrosis.  Conclusion  The diagnosis of MAFLD can basically cover the NAFLD population in the elderly people, and it is supposed that MAFLD can almost directly replace the concept of NAFLD in similar populations. However, further studies are needed to investigate its application in other populations.
Original Articles_Autoimmune Liver Diseases
Value of international normalized ratio-to-platelet ratio in the diagnosis of liver fibrosis in patients with primary biliary cholangitis
Fangfang QIAO, Changyu SUN, Jiaqian HE, Shaoyu DONG, Jianying ZHANG
2022, 38(3): 553-557. DOI: 10.3969/j.issn.1001-5256.2022.03.012
Abstract(1214) HTML (247) PDF (2505KB)(74)
Abstract:
  Objective  To investigate the value of international standardized ratio-to-platelet ratio (INPR) versus aspartate aminotransferase-to-platelet ratio index (APRI) and fibrosis-4 (FIB-4) in the diagnosis of liver fibrosis in patients with primary cholangitis (PBC).  Methods  A retrospective analysis was performed for the patients who underwent liver biopsy and were diagnosed with PBC in The First Affiliated Hospital of Zhengzhou University from October 2013 to March 2021. Scheuer score was used to systematically evaluate the degree of liver fibrosis (S0-S4 stage). According to the results of liver biopsy, the degree of liver fibrosis was classified as significant liver fibrosis (≥S2), progressive liver fibrosis (≥S3), and liver cirrhosis (S4). Related data including general information, liver function, routine blood test results, and blood coagulation were collected, and related formulas were used to calculate the values of the noninvasive serological models INPR, APRI, and FIB-4. The Kruskal-Wallis H test was used for comparison of continuous data between multiple groups, and the chi-square test was used for comparison of categorical data between multiple groups. A Spearman correlation analysis was used to evaluate the correlation between noninvasive models and liver fibrosis stage. The receiver operating characteristic (ROC) curve was used to evaluate the efficacy of the noninvasive serological models in the diagnosis of liver fibrosis degree, and the DeLong method was used for comparison of the area under the ROC curve (AUC).  Results  A total of 143 patients with PBC were enrolled in the study, among whom 4 had stage S0 liver fibrosis, 50 had stage S1 liver fibrosis, 46 had stage S2 liver fibrosis, 26 had stage S3 liver fibrosis, and 17 had stage S4 liver fibrosis. There was a significant difference in INPR value between the PBC patients with different liver fibrosis degrees (χ2=27.347, P < 0.001). INPR value gradually increased with the aggravation of liver fibrosis degree, and INPR was positively correlated with liver fibrosis degree (r=0.419, P < 0.01). The ROC curve analysis showed that INPR, APRI, and FIB-4 had an AUC of 0.691, 0.706, and 0.742, respectively, in the diagnosis of significant liver fibrosis (≥S2) in PBC patients, at the corresponding cut-off values of 0.63, 0.59, and 2.68, respectively. INPR, APRI, and FIB-4 had an AUC of 0.731, 0.675, and 0.756, respectively, in the diagnosis of progressive hepatic fibrosis (≥S3) in PBC patients, at the corresponding cut-off values of 0.64, 1.23, and 4.63, respectively. INPR, APRI, and FIB-4 had an AUC of 0.820, 0.786, and 0.818, respectively, in the diagnosis of liver cirrhosis (S4) in PBC patients, at the corresponding cut-off values of 0.95, 1.26, and 4.63, respectively. In the evaluation of significant liver fibrosis, progressive liver fibrosis, and liver cirrhosis, there was no significant difference in AUC between INPR and APRI/FIB-4 (all P > 0.05).  Conclusion  INPR is a simple and accurate noninvasive model for the evaluation of liver fibrosis and has a certain value in the diagnosis of liver fibrosis in PBC.
Original Articles_Liver Neoplasms
Effect of hepatocellular carcinoma cell-derived exosomes on M2 polarization of tumor-associated macrophages
Tao YAO, Zhihong XU, Jiyou YAO, Yu XIA, Minqiang LU, Tian LAN, Bing LIU
2022, 38(3): 558-562. DOI: 10.3969/j.issn.1001-5256.2022.03.013
Abstract(1290) HTML (645) PDF (2353KB)(85)
Abstract:
  Objective  To investigate the effect of exosomes derived from hepatocellular carcinoma cells on the polarization of tumor-associated macrophages (TAMs), and to reveal the novel mechanism of hepatocellular carcinoma formation.  Methods  Hepatocellular carcinoma cell-derived exosomes were isolated by ultracentrifugation, and the characteristics of exosomes were identified by transmission electron microscope (TEM), Dynamic Light Scattering (DLS), and Western blotting. The model of macrophage polarization was induced and verified by quantitative real-time PCR and Western blotting. The t-test was used for comparison of normally distributed continuous data between two groups. A one-way analysis of variance was used for comparison between multiple groups, and the LSD-t-test was used for further comparison between two groups.  Results  TEM showed that hepatocellular carcinoma cell-derived exosomes were round or oval vesicles, LDS showed that the exosomes had a particle size of 172.65±2.34 nm, and Western blotting showed highly positive expression of the biomarkers TSG101 and CD63 in exosomes. There was a significant increase in the expression of CD68 after the addition of 15 ng phorbol ester to induce human-derived mononuclear macrophages for 24 hours to achieve adherent growth (1.00±0.25 vs 6.67±0.98, t=11.20, P < 0.001). Western blotting showed that compared with the control group (L02 cell-derived exosomes), the hepatocellular carcinoma cell-derived exosomes (at low, middle, and high doses) induced M2 polarization of macrophages and increased the expression of the markers Arg-1 and CD163 (all P < 0.05).  Conclusion  Hepatocellular carcinoma cell-derived exosomes promote M2 polarization of TAMs.
Effect of long non-coding RNA LNC 01309 on proliferation and migration abilities of human hepatoma cells and its mechanism of action
Hongyan LIU, Jingjiao LI, Zejun LU, Yongzhen LIU, Juyi WEN
2022, 38(3): 563-571. DOI: 10.3969/j.issn.1001-5256.2022.03.014
Abstract(1041) HTML (514) PDF (5701KB)(45)
Abstract:
  Objective  To investigate the effect of long non-coding RNA (lncRNA) LNC01309 on the proliferation and migration abilities of human hepatocellular carcinoma (HCC) cells and its mechanism of action.  Methods  HCC samples and corresponding adjacent tissue samples were collected from 12 patients with HCC who underwent surgical treatment in The Sixth Medical Center of PLA General Hospital from February 2018 to June 2019, and quantitative real-time PCR was used to measure the relative expression level of LNC01309. Quantitative real-time PCR was also used to measure the expression level of LNC01309 in human hepatoma cell lines (HepG2, SNU-398, and Hep3B) and the human immortalized normal liver cell line THLE-2. After LNC01309 was overexpressed in HepG2 cells, the cells were divided into plasmid control group (pEXP-control) and overexpression group (pEXP-LNC01309). CCK-8 assay was used to observe the change in cell proliferation, and wound healing assay and Transwell assay were used to observe migration ability. RNA co-immunoprecipitation was used to detect the interaction between LNC01309 with RBM38, with cells divided into IgG group and RBM38 antibody group, and cycloheximide chase assay was used to analyze the effect of LNC01309 on the stability of RBM38 protein. RBM38 was overexpressed in HepG2 cells to conduct the recovery experiment, and CCK-8 assay, wound healing assay, and Transwell assay were used to observe the changes in cell proliferation and migration abilities. The t-test was used for comparison of continuous data between two groups.  Results  The mean expression level of LNC01309 in HCC tissue was significantly higher than that in adjacent tissue (4.225±2.285 vs 1.541±0.530, t=3.618, P=0.004), and the relative expression level of LNC01309 in hepatoma cells (HepG2, SNU-398, and Hep3B) was also significantly higher than that in normal hepatocytes (THLE-2) (t=4.231、6.489、14.480, all P < 0.05). Compared with the control group, HepG2 cells with the overexpression of LNC01309 had significant increases in growth rate (OD450 value at 96 hours: 1.885±0.107 vs 2.527±0.234, t=4.330, P=0.012) and migration ability (11.65%±2.40% vs 35.66%±4.90%, t=9.837, P < 0.001; 100.00%±3.11% vs 161.00%±35.93%, t=4.399, P=0.005); however, the upregulated proliferation and migration abilities of hepatoma cells induced by LNC01309 overexpression were partially inhibited by RBM38 (OD450 value at 96 hours: 2.500±0.227 vs 1.913±0.282, t=2.812, P=0.048; 168.00%±9.43% vs 117.20%±18.03%, t=6.622, P < 0.001). Compared with the IgG control group, RBM38 antibody significantly enriched the precipitation of LNC01309 (t=3.846, P=0.031). The results of cycloheximide chase assay showed that the LNC01309 overexpression group had a significant reduction in the stability of RBM38 protein (t=8.038, P=0.001).  Conclusion  The newly identified LNC01309 reduces the stability of RBM38 protein through interaction with RBM38 and promotes the proliferation and migration of HCC cells.
Risk factors for perioperative hypotension in severe patients after liver cancer surgery
Bin WANG, Hansheng LIANG, Yi FENG, Youzhong AN
2022, 38(3): 572-576. DOI: 10.3969/j.issn.1001-5256.2022.03.015
Abstract(1698) HTML (440) PDF (1900KB)(71)
Abstract:
  Objective  To investigate the risk factors for perioperative hypotension in severe patients after liver cancer surgery and its influence on prognosis.  Methods  A retrospective analysis was performed for the clinical data of 422 patients who underwent surgical treatment due to primary liver cancer or metastatic liver cancer and were then admitted to the intensive care unit (ICU) of Peking University People's Hospital from January 2014 to December 2019. The 107 patients requiring continuous intraoperative or postoperative pumping of vasoactive drugs (norepinephrine, dopamine, phenylephrine, and epinephrine) to maintain blood pressure were included in the hypotension group, and the 315 patients who did not require the pumping of vasoactive drugs to maintain blood pressure were included in the non-hypotension group. Related clinical data were collected from all patients, including sex, age, body mass index, history of liver surgery, comorbidities, underlying liver diseases, preoperative laboratory examinations, surgical data, and anesthesia, and the two groups were compared in terms of related prognostic indicators (in-hospital mortality, length of ICU stay, length of hospital stay, duration of mechanical ventilation, acute kidney injury, hypoxemia, pulmonary infection, and myocardial injury). The independent samples t-test was used for comparison of normally distributed continuous data between two groups, and the Mann-Whitney U test was used for comparison of non-normally distributed continuous data between two groups; the chi-square test was used for comparison of categorical data between two groups. The clinical indices with P < 0.1 were included in the binary logistic regression analysis to investigate the risk factors for hypotension.  Results  The overall mortality rate was 1.9% for the severe patients after liver cancer surgery, with a mortality rate of 3.7% in the hypotension group and 1.3% in the non-hypotension group. Compared with the non-hypotension group, the hypotension group had a significantly longer length of ICU stay (Z=-6.440, P < 0.001), a significantly longer duration of mechanical ventilation (Z=-6.082, P < 0.001), and a significantly higher proportion of patients with acute kidney injury, hypoxemia, and pulmonary infection after surgery (χ2=25.661, 25.409, and 20.126, all P < 0.001). The clinical indices with P < 0.1 between the two groups (coronary heart disease, ascites, preoperative levels of albumin/platelets/fibrinogen, time of operation and hepatic portal occlusion, laparotomy, blood loss) were included in the binary logistic regression analysis, and the results showed that time of operation (odds ratio [OR]=1.004, 95% confidence interval [CI]: 1.002-1.006, P < 0.05) and blood loss (OR=1.151, 95%CI: 1.009-1.313, P < 0.05) were independent risk factors for hypotension in patients undergoing liver cancer surgery, while preoperative albumin level (OR=0.950, 95%CI: 0.907-0.995, P < 0.05) was a protective factor.  Conclusion  There is a relatively high incidence rate of hypotension among severe patients after liver cancer surgery, and a longer time of operation and greater blood loss are independent risk factors for hypotension, while a higher preoperative albumin level is a protective factor.
Influence of serum heat shock protein 90α on the prognosis of patients with hepatocellular carcinoma after transarterial chemoembolization
Qian CHEN, Huihua YAO, Bo LI
2022, 38(3): 577-581. DOI: 10.3969/j.issn.1001-5256.2022.03.016
Abstract(825) HTML (291) PDF (2133KB)(61)
Abstract:
  Objective  To investigate the influence of preoperative serum heat shock protein 90α (HSP90α) level on the survival time of patients with hepatocellular carcinoma treated by transarterial chemoembolization (TACE).  Methods  A retrospective analysis was performed for the clinical data of 97 patients with hepatocellular carcinoma who received TACE alone in Department of Hepatobiliary Surgery, The Affiliated Hospital of Southwest Medical University, from January 1, 2019 to June 1, 2020. With the median of serum HSP90α level as the cut-off value, the patients were divided into high-level group with 48 patients (HSP90α > 135 ng/L) and low-level group with 49 patients (HSP90α ≤135 ng/L). The chi-square test was used for comparison of categorical data between groups. The Kaplan-Meier method was used to calculate the median survival time, and the log-rank test was used for comparison between groups. The log-rank univariate analysis and multivariate Cox regression analysis were used to explore the influencing factors for the survival time of patients after surgery.  Results  There were significant differences between the high-level group and the low-level group in Child-Pugh class (χ2=19.356, P<0.01), tumor necrosis (χ2=9.964, P=0.002), BCLC staging (χ2=22.356, P<0.01), and ECOG score (χ2=6.644, P<0.05). The high-level group had a significantly shorter median survival time than the low-level group (χ2=15.551, P<0.01). HSP90α level (hazard ratio [HR]=1.690, P<0.05) and BCLC staging (HR=2.373, P<0.05) were independent influencing factors for the survival time of patients with hepatocellular carcinoma after TACE.  Conclusion  Preoperative serum HSP90α level is an independent influencing factor for the survival time of patients with hepatocellular carcinoma after TACE, and it is expected to become one of the potential indicators for evaluating the prognosis of patients with hepatocellular carcinoma treated by TACE.
Original Articles_Other Liver Diseases
Clinical features of patients with severe acute respiratory syndrome coronavirus 2 Delta variant infection and abnormal liver function in Guangdong Province, China
Haowei LIN, Yan LEI, Binbin CHEN, Peilian WU, Haohui DENG
2022, 38(3): 582-586. DOI: 10.3969/j.issn.1001-5256.2022.03.017
Abstract(1303) HTML (359) PDF (1893KB)(54)
Abstract:
  Objective  To investigate the clinical features of patients with severe acute respiratory syndrome coronavirus 2 (SARS-CoV-2) Delta variant infection and abnormal liver function in Guangdong Province, China.  Methods  The patients with SARS-CoV-2 Delta variant infection who belonged to the same chain of transmission in Guangdong Province (Guangzhou and Foshan) and were admitted to Guangzhou Eighth People's Hospital, Guangzhou Medical University from May 21 to June 18, 2021 were enrolled in this study, and the judgment criteria for liver function were alanine aminotransferase (male/female) > 50/40 U/L, aspartate aminotransferase > 40 U/L, total bilirubin > 26 μmol/L, gamma-glutamyl transpeptidase > 60 U/L, and alkaline phosphatase (ALK) > 125 U/L. Abnormality in any one item of the above criteria was defined as abnormal liver function, and such patients were included in analysis (the patients, aged < 18 years, who had a mild or moderate increase in ALP alone were not included in analysis). Clinical data were compared between the patients with normal liver function and those with abnormal liver function, and the etiology and prognosis of abnormal liver function were analyzed. The Mann-Whitney U test was used for comparison of continuous data between two groups; the chi-square test was used for comparison of categorical data between two groups.  Results  Among the 166 patients with SARS-CoV-2 Delta variant infection, 32 (19.3%) had abnormal liver function with mild-to-moderate increases in liver function parameters, and compared with the normal liver function group, the abnormal liver function group had a significantly higher proportion of critical patients (χ2=38.689, P < 0.001) and significantly higher age and inflammatory cytokines [C-reactive protein type, serum amyloid A, and interleukin-6 (IL-6)](all P < 0.05). Among the 32 patients with abnormal liver function, 13 patients had abnormal liver function on admission (defined as primary group), while 19 patients had normal liver function on admission but were found to have abnormal liver function by reexamination after treatment (defined as secondary group). For the primary group, the evidence of abnormal liver function was not found for 3 patients (3/13, 23.1%), and the possibility of toxic liver injury directly associated with SARS-CoV-2 infection was considered. Among the 19 patients in the secondary group, 9 (47.4%) had mild/common type and 10 (52.6%) had critical type, and all critical patients had the evidence of liver injury indirectly caused by the significant increases in C-reactive protein type, serum amyloid A, and IL-6 and hypoxemia; the evidence of abnormal liver function was not found for only 1 patient (1/19, 5.3%), and the possibility of toxic liver injury directly associated with SARS-CoV-2 infection was considered. All 32 patients with abnormal liver function had [JP2]significant reductions in liver function parameters after treatment including liver protection.  Conclusion  As for the patients with SARS-CoV-2 Delta variant infection who belong to the same chain of transmission in Guangdong Province, the critical patients show a significantly higher proportion of patients with abnormal liver function than the patients with other clinical types, and other factors except SARS-CoV-2 infection and indirect injury caused by SARS-CoV-2 infection are the main cause of liver injury.
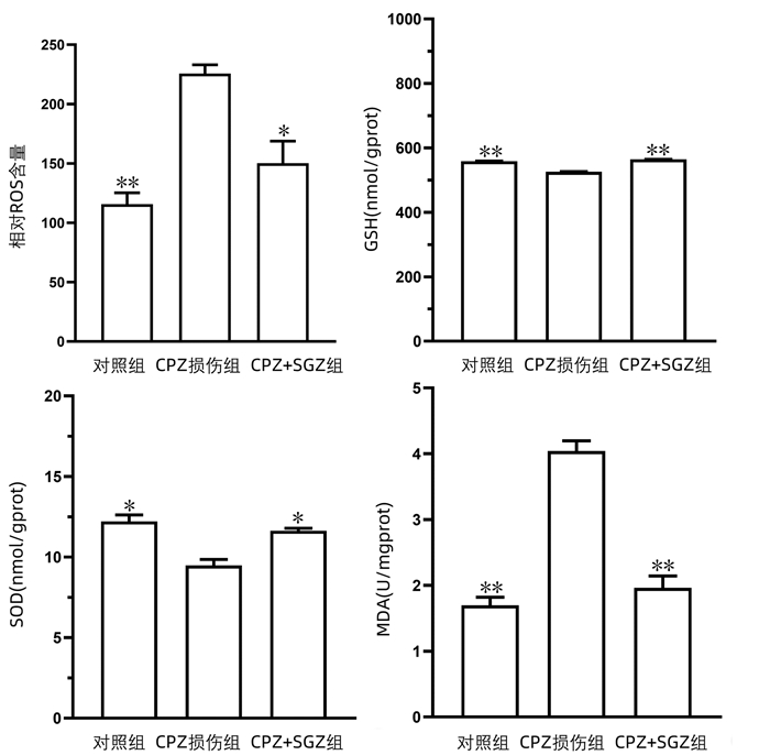
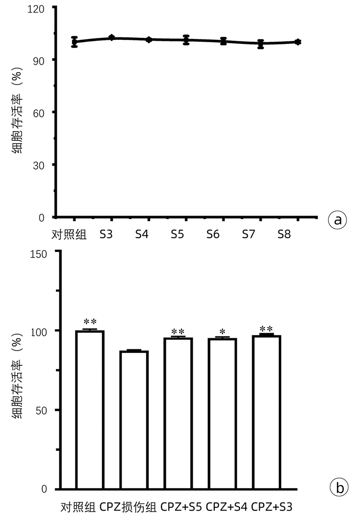
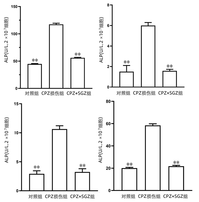
Effect of Shuganning injection on the model of cholestasis - type chlorpromazine - induced liver injury constructed by a new tissue - engineered liver
Long HUANG, Yu CHEN, Qiao WU, Zhongping DUAN
2022, 38(3): 587-593. DOI: 10.3969/j.issn.1001-5256.2022.03.018
Abstract(1201) HTML (437) PDF (4120KB)(53)
Abstract:
  Objective  To investigate the effect of Shuganning injection (SGN) in alleviating drug-induced cholestasis and the possible mechanisms involved.  Methods  The liver of Sprague-Dawley rats was decellularized to prepare collagen scaffolds, and then the scaffolds were recellularized with human HepG2 cells to obtain the tissue-engineered liver (normal control group). The tissue-engineered liver was perfused with 10 μmol/L chlorpromazine (CPZ) and bile salt mixture to establish a model of drug-induced cholestasis (CPZ group), and the model was further treated with Shuganning injection (103-fold dilution) as the injury protection group (SGN+CPZ group). The markers for hepatocellular injury [alanine aminotransferase (ALT), aspartate aminotransferase (AST), lactate dehydrogenase (LDH), and alkaline phosphatase (ALP)] and the antioxidant and oxidative stress markers [glutathione (GSH), malondialdehyde (MDA), superoxide dismutase (SOD), and reactive oxygen species (ROS)] were measured for all groups, and the normal control group, the CPZ group, and the SGN+CPZ group were compared in terms of the mRNA and protein expression levels of the enzymes associated with liver bile salt metabolism and the enzymes associated with hepatic cholestasis. HE staining was performed to observe liver pathology. A one-way analysis of variance was used for comparison of continuous data between multiple groups, and the least significant difference t-test was used for further comparison between two groups.  Results  Compared with the CPZ group, the SGN+CPZ group had significant reductions in the markers for hepatocellular injury ALT, AST, LDH, and ALP (all P < 0.000 1), significant increases in the oxidative stress markers GSH and SOD (P < 0.000 1 and P < 0.001), and significant reductions in the markers MDA and ROS (P < 0.000 1 and P < 0.001). Compared with the CPZ group, the SGN+CPZ group had significant reductions in the mRNA expression levels of cholesterol 7α-hydroxylase (CYP7A1) and sterol 12α-hydroxylase (CPY8B1) in hepatocytes (all P < 0.001) and significant increases in the mRNA expression levels of farnesoid X receptor (FXR), small heterodimeric partner (SHP), bile salt export pump (BSEP), and multidrug resistance-associated protein 2 (MRP2) (P < 0.000 1, P < 0.01, P < 0.000 1, and P < 0.000 1). HE staining showed that compared with the CPZ group, the SGN+CPZ group had a significant reduction in hepatocyte injury and a significant increase in the number of cells.  Conclusion  Shuganning injection can alleviate drug-induced cholestatic liver injury caused by chlorpromazine, and it exerts a protective effect by activating FXR in hepatocytes and increasing the expression of SHP to regulate bile salt balance. It also inhibits CYP7A1 and CYP8B1 to reduce the synthesis of hydrophobic bile acids and upregulates the expression of BSEP and MRP2 to promote the excretion of bile salts.
Risk factors for bile leakage after hepatectomy without biliary reconstruction: A Meta - analysis
Fei LIU, Hai LI, Qiang WU
2022, 38(3): 594-600. DOI: 10.3969/j.issn.1001-5256.2022.03.019
Abstract(1380) HTML (308) PDF (3488KB)(59)
Abstract:
  Objective  To investigate the risk factors for bile leakage after hepatectomy without biliary reconstruction.  Methods  CNKI, Wanfang Data, VIP, PubMed, Embase, Web of Science, and The Cochrane Library were searched for English and Chinese study reports on the risk factors for bile leakage after hepatectomy without biliary reconstruction published up to April 2021. The method of Cochrane systematic review was used for literature screening and data extraction, and Newcastle-Ottawa Scale was used for quality assessment. RevMan 5.4 software was used to perform a meta-analysis of the extracted data.  Results  A total of 16 articles (13 in English and 3 in Chinese) were included in this study, with a total of 16036 cases. The meta-analysis showed that sex (odds ratio [OR]=1.27, 95%CI: 1.09-1.48, P=0.003), diabetes (OR=1.23, 95%CI: 1.07-1.41, P=0.003), past history of liver surgery (OR=2.50, 95%CI: 1.74-3.59, P < 0.001), anatomic hepatectomy (OR=1.58, 95%CI: 1.09-2.30, P=0.02), segment I hepatectomy (OR=2.56, 95%CI: 1.50-4.40, P < 0.001), central hepatectomy (S4, S5, S8) (OR=3.51, 95%CI: 2.80-4.40, P < 0.001), left third hepatectomy (OR=3.53, 95%CI: 2.32-5.36, P < 0.001), and intraoperative blood transfusion (OR=2.64, 95%CI: 1.93-3.60, P < 0.001) were the risk factors for bile leakage after hepatectomy. Liver cirrhosis, preoperative liver function grade, preoperative chemotherapy, and left/right hemihepatectomy were not the risk factors for bile leakage.  Conclusion  There are complex influencing factors for bile leakage after hepatectomy, and in addition to the patient's own factors such as sex, diabetes, and past history of liver surgery, intraoperative factors, such as surgical procedures, extent of hepatectomy, and intraoperative blood transfusion, are also risk factors for bile leakage after hepatectomy. The surgeon should conduct adequate preoperative assessment and perform careful operation during surgery to reduce the incidence rate of postoperative bile leakage.
Comorbidity of hepatic cystic echinococcosis with HBV/HCV infection, liver cirrhosis, and hepatocellular carcinoma
Yang MAN, Zhiyi LIN, Zhang MIAO, Lerong YAN, Xiao CHENG, Renyi JING, Rong BAI, Pingwen HUANG, Hongwei ZHANG, Xinyu PENG
2022, 38(3): 601-605. DOI: 10.3969/j.issn.1001-5256.2022.03.020
Abstract(1231) HTML (314) PDF (2056KB)(63)
Abstract:
  Objective  To investigate the comorbidity of hepatic cystic echinococcosis with HBV/HCV infection, liver cirrhosis, and hepatocellular carcinoma, and to lay a foundation for further research on the influence of hepatic cystic echinococcosis on HBV/HCV infection, liver cirrhosis, and hepatocellular carcinoma.  Methods  A retrospective analysis was performed for the data of 401 patients with hepatic cystic echinococcosis who were admitted to The First Affiliated Hospital of Shihezi University from 2003 to 2019, and the state of comorbidity of hepatic cystic echinococcosis with HBV/HCV infection, liver cirrhosis, and hepatocellular carcinoma was clarified. The patients with hepatic cystic echinococcosis and chronic HBV/HCV infection were selected as comorbidity group, and the patients with HBV/HCV infection alone were matched as control group. The chi-square test and the Fisher's exact test were used to analyze the state of viral infection and the disease composition of liver cirrhosis and hepatocellular carcinoma.  Results  Of all 401 patients, 38(9.5%) were included in the comorbidity group and 2(0.5%) had liver cirrhosis after HBV/HCV infection, while no patient had hepatocellular carcinoma after HBV/HCV infection. Among the patients with chronic hepatitis B virus infection in the comorbidity group, non-active HBsAg carriers accounted for 81%, HBeAg-positive chronic hepatitis B patients accounted for 9.5%, and HBeAg-negative chronic hepatitis B patients accounted for 9.5%; among the patients with hepatitis B virus infection in the control group, non-active HBsAg carriers accounted for 43%, HBeAg-positive chronic hepatitis B patients accounted for 33%, and HBeAg-negative chronic hepatitis B patients accounted for 19%, with a significant difference between the two groups (P=0.033). There was a significant difference in the HBV RNA clearance rate of the patients with HCV infection between the comorbidity group and the control group (χ2=4.447, P=0.035). In the comorbidity group, the patients with liver cirrhosis accounted for 5.2% and there were no patients with hepatocellular carcinoma, while in the control group, the patients with liver cirrhosis accounted for 18.4% and those with hepatocellular carcinoma accounted for 5.2%; the comorbidity group had significantly lower proportions than the control group (P=0.048).  Conclusion  The proportion of liver cirrhosis patients with hepatic cystic echinococcosis and HBV/HCV infection is lower than that of liver cirrhosis patients with viral hepatitis alone, and there are no cases of hepatocellular carcinoma after HBV/HCV infection. Further multicenter studies are needed to investigate the influence of hepatic cystic echinococcosis on chronic HBV/HCV infection, liver cirrhosis, and hepatocellular carcinoma.
Effect of Echinococcus multilocularis secreted antigen on the phenotype and function of mouse bone marrow - derived dendritic cells induced by lipopolysaccharide
Wendeng LI, Chaoqun LI, Wang HU, Kai XU, Mingquan PANG, Ru NIE, Haojie FENG, Zhanhong ZHANG, Chuchu LIU, Haining FAN
2022, 38(3): 606-611. DOI: 10.3969/j.issn.1001-5256.2022.03.021
Abstract(1143) HTML (280) PDF (5877KB)(41)
Abstract:
  Objective  To investigate the effect of different concentrations of Echinococcus multilocularis secretion antigen (Em-sAg) on the phenotype and function of mouse bone marrow-derived dendritic cells (BMDCs) induced by lipopolysaccharide (LPS).  Methods  The bone marrow precursor cells isolated from the mouse bone marrow cavity were stimulated by mouse recombinant granulocyte-macrophage colony-stimulating factor (GM-CSF) to form BMDCs, and then cell morphology was observed under an inverted microscope. After the purity of BMDCs was identified by flow cytometry, BMDCs were divided into control group, positive control group (LPS 1 μg/ml), LPS+3 mg/ml Em-sAg group, LPS+1.5 mg/ml Em-sAg group, LPS+0.75 mg/ml Em-sAg group, and LPS+0.375 mg/ml Em-sAg group. Flow cytometry was used to measure the expression of BMDC surface molecules (CD80, CD86, and MHC-Ⅱ molecules) in each group, and ELISA was used to measure the expression level of the cytokine IL-12p70. A one-way analysis of variance was used for comparison of normally distributed continuous data between multiple groups, and the least significant difference t-test was used for further comparison between two groups.  Results  Observation under an inverted microscope showed that after 8-10 days of culture, the cells had burr-like protrusions and were in a state of complete suspension. Flow cytometry showed that the positive rate of CD11c was above 70% and most of the cultured cells were identified as BMDCs based on this. Flow cytometry further showed that compared with the control group, the LPS group had significant increases in the cell molecules CD80, CD86, and MHC-Ⅱ on surface (all P < 0.05); compared with the LPS group, the LPS+3 mg/ml Em-sAg group, the LPS+1.5 mg/ml Em-sAg group, the LPS+0.75 mg/ml Em-sAg group, and the LPS+0.375 mg/ml Em-sAg group had a significant reduction in CD80 (F=34.870, P < 0.001), while there were no significant reductions in CD86 and MHC-Ⅱ(P > 0.05). ELISA showed that there was a significant difference in the level of IL-12 p70 between groups (F=73.140, P < 0.05); compared with the control group, the LPS group had a significant increase in the expression level of IL-12p70 after stimulation (P < 0.05); compared with the positive control group, the LPS+3 mg/ml Em-sAg group, the LPS+1.5 mg/ml Em-sAg group, the LPS+0.75 mg/ml Em-sAg group, and the LPS+0.375 mg/ml Em-sAg group had a significant reduction in the expression level of IL-12p70 (P < 0.05), and the degree of reduction in the pro-inflammatory factor IL-12p70 increased with the increase in the concentration of Em-sAg.  Conclusion  Different concentrations of Em-sAg can inhibit LPS-induced maturity of BMDCs and the expression of the pro-inflammatory cytokine IL-12p70.
Clinical features of sodium taurocholate cotransporting polypeptide deficiency and an analysis of SLC10A1 gene mutation
Fengxia YANG, Fansen ZENG, Limei TAN, Yu GONG, Lingli LIU, Yi XU
2022, 38(3): 613-616. DOI: 10.3969/j.issn.1001-5256.2022.03.022
Abstract(2329) HTML (465) PDF (1885KB)(97)
Abstract:
  Objective  To investigate the clinical and gene mutation features of sodium taurocholate cotransporting polypeptide (NTCP) deficiency.  Methods  A total of 10 children, aged < 18 years, who were diagnosed with NTCP deficiency in Guangzhou Women and Children's Medical Center from June 2020 to June 2021 were enrolled, and related data were analyzed, including general information (sex, age, body height, body weight, family history, and past history), clinical manifestation, disease outcome, laboratory examination (routine blood test, liver function, hepatotropic virus, and autoimmune hepatitis screening), and gene mutation.  Results  All 10 children had normal growth and development, among whom there were 8 boys and 2 girls, with an age of 3-37 months at the time of diagnosis. The etiology of children attending the hospital for the first time was prolonged jaundice (5/10, 50%), elevation of aminotransferases (2/10, 20%), abnormal physical examination results (2/10, 20%), and pneumonia (1/10, 10%). At the time of diagnosis, all children had a significant increase in serum total bile acid (TBA), 2 children had increases in alanine aminotransferase and aspartate aminotransferase, and 1 child had an increase in total bilirubin (TBil), mainly direct bilirubin (DBil) (DBil/TBil ratio > 50%). Second-generation gene sequencing showed that all 10 children had a homozygous mutation of the SLC10A1 gene, i.e., c.800C > T(p.Ser267Phe, chr14∶70245193).  Conclusion  Although NTCP deficiency often has no symptoms, some of the children may manifest as infant cholestasis in the early stage. The possibility of NTCP deficiency should be considered when there is persistent hypercholanemia and the changing trend of serum TBA is not consistent with that of other liver function parameters.
Original Articles_Pancreatic Diseases
Expression of neural precursor cell expressed developmentally downregulated 4-1 in pancreatic cancer tissue and its clinical significance
Tingting BI, Sihui HOU, Yan LIU
2022, 38(3): 617-621. DOI: 10.3969/j.issn.1001-5256.2022.03.024
Abstract(1113) HTML (357) PDF (3129KB)(41)
Abstract:
  Objective  To investigate the expression of the E3 ubiquitin ligase neural precursor cell expressed developmentally downregulated 4-1 (NEDD4-1) in pancreatic cancer tissue and its clinical significance.  Methods  Clinical data were collected from 58 patients who underwent surgical treatment in Xuzhou Central Hospital from January 2017 to December 2019 and were diagnosed with pancreatic ductal adenocarcinoma based on pathological examination. Immunohistochemistry was used to measure the expression of NEDD4-1 in pancreatic cancer tissue samples, and the association between the expression of NEDD4-1 and the clinicopathological features of pancreatic cancer was analyzed. Western blot was used to measure the protein expression level of NEDD4-1 in normal pancreatic ductal epithelial HPDE6-C7 cells and pancreatic cancer SW1990, BxPC-3, and PANC-1 cells. The t-test was used for comparison of continuous data between two groups, and the chi-square test was used for comparison of categorical data between two groups. The Kaplan-Meier method was used to plot survival curves, and the log-rank test was used for survival analysis. The Cox proportional-hazards regression model was used to investigate the factors associated with prognosis.  Results  The expression level of NEDD4-1 in pancreatic cancer tissue was significantly higher than that in adjacent tissue (79.31% vs 19.05%, χ2=35.614, P < 0.01), and the protein expression of NEDD4-1 in pancreatic cancer cells was significantly higher than that in normal pancreatic ductal epithelial cells (P < 0.01). In the patients with pancreatic cancer, the expression of NEDD4-1 was associated with distant metastasis (χ2=5.089, P=0.040), tumor differentiation (χ2=9.071, P=0.003), and TNM stage (χ2=8.882, P=0.003). The patients with high NEDD4-1 expression had a significantly shorter mean survival time than those with low expression (13.61±0.95 months vs 22.22±2.20 months, P=0.001). The Cox regression analysis showed that NEDD4-1 expression (hazard ratio [HR]=2.312, 95% confidence interval [CI]: 1.010-5.295, P=0.047), degree of tumor differentiation (HR=2.981, 95% CI: 1.556-5.712, P=0.001), and lymph node metastasis (HR=2.144, 95% CI: 1.155-3.979, P=0.016) were independent risk factors for the prognosis of patients with pancreatic cancer.  Conclusion  There is a significant increase in the expression of NEDD4-1 in pancreatic cancer tissue and cells, and the high expression of NEDD4-1 is associated with poor prognosis. Therefore, it can be used as a prognostic biomarker and a therapeutic target for pancreatic cancer.
Clinical effect of simultaneous surgical resection of hepatic and pancreatic lesions versus systemic chemotherapy in treatment of resectable pancreatic cancer with liver metastasis
Tianqiang JIN, Chaoliu DAI, Feng XU
2022, 38(3): 622-628. DOI: 10.3969/j.issn.1001-5256.2022.03.023
Abstract(1384) HTML (1170) PDF (2734KB)(54)
Abstract:
  Objective  To investigate the clinical effect of simultaneous surgical resection of hepatic and pancreatic lesions versus systemic chemotherapy in treatment of resectable pancreatic cancer with liver metastasis (PCLM).  Methods  A retrospective analysis was performed for related data of the patients with PCLM who were admitted to Shengjing Hospital of China Medical University from January 2013 to May 2020, and the patients with resectable PCLM were screened out and then divided into surgery group and chemotherapy group. The propensity score matching (PSM) method was used to reduce the impact of data bias and confounding factors. The independent samples t-test or the Mann- Whitney U test was used for comparison of continuous data between two groups, and the chi-square test was used for comparison of categorical data between two groups. The Kaplan-Meier method was used to calculate survival time, and the log-rank test was used for evaluation. The univariate and multivariate Cox regression models were used to investigate the independent risk factors for survival.  Results  A total of 56 patients with resectable PCLM were screened out, with 33 patients in the surgery group and 23 patients in the chemotherapy group, and there were 15 patients in each group after PSM. The surgery group had a significantly shorter median overall survival time than the chemotherapy group before PSM (6.6 months vs 10.4 months, χ2=4.476, P=0.034) and after PSM (6.4 months vs 10.5 months, χ2=4.309, P=0.038). The multivariate Cox regression analysis showed that poorly differentiated tumor (hazard ratio [HR]=4.945, 95% confidence interval [CI]: 1.980-12.348, P=0.001) and absence of postoperative chemotherapy (HR=3.670, 95%CI: 1.437-9.376, P=0.007) were independent risk factors for poor prognosis in patients with PCLM.  Conclusion  Compared with chemotherapy, simultaneous surgical resection of hepatic and pancreatic lesions fails to prolong the overall survival time of patients with resectable PCLM. Patients with poorly differentiated tumor and those without postoperative chemotherapy tend to have poor prognosis.
Case Reports
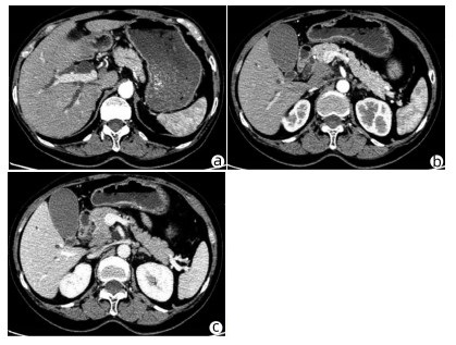
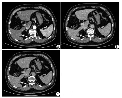
A case of autoimmune hepatitis presenting as acute-on-chronic liver failure
Weiwei JU, Wanqian LI, Xiaojuan XIN, Tao JIANG
2022, 38(3): 629-631. DOI: 10.3969/j.issn.1001-5256.2022.03.025
Abstract(1247) HTML (215) PDF (2483KB)(81)
Abstract:
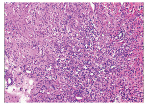
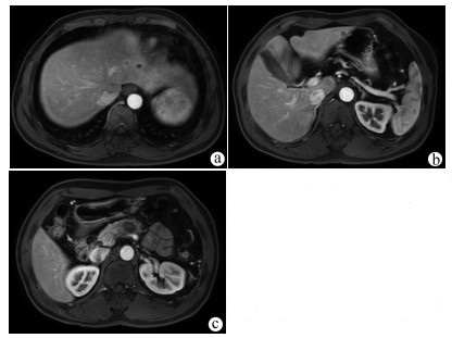
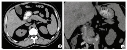
Solitary fibrous tumor of the liver: A case report
Xuecheng LI, Ying FAN, Shuodong WU
2022, 38(3): 632-633. DOI: 10.3969/j.issn.1001-5256.2022.03.026
Abstract(803) HTML (221) PDF (2657KB)(58)
Abstract:
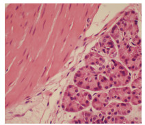
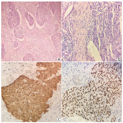
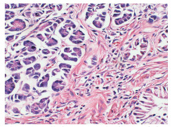
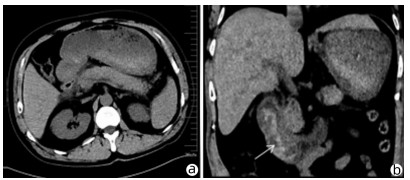
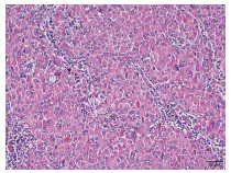
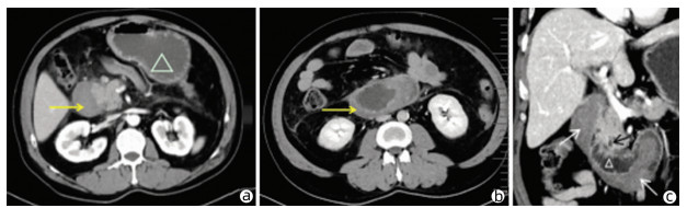
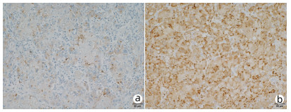
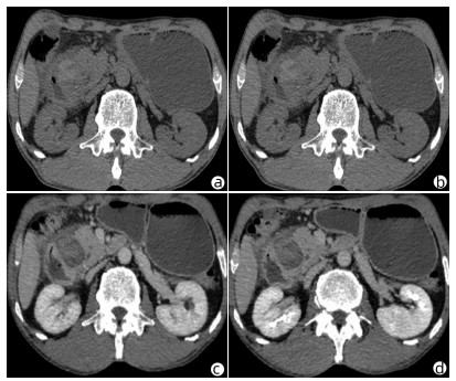
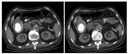
Lymphoepithelioma-like hepatocellular carcinoma: A case report
Xiaotong QIU, Zhengqi WU, Xuxiang XIA, Guoyue LYU
2022, 38(3): 634-635. DOI: 10.3969/j.issn.1001-5256.2022.03.027
Abstract(684) HTML (892) PDF (2924KB)(46)
Abstract:
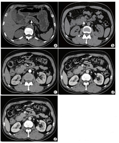
Successful treatment of Bouveret ' s syndrome due to giant duodenal gallbladder stones through the anterior wall of the stomach: A case report
Xu CHEN, Lunxu LI, Bing QI, Qingkai ZHANG, Guixin ZHANG, Shuang LI, Dong SHANG
2022, 38(3): 636-638. DOI: 10.3969/j.issn.1001-5256.2022.03.028
Abstract(896) HTML (227) PDF (2628KB)(43)
Abstract:
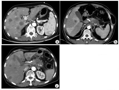
Acute pancreatitis caused by a hematoma in the duodenal wall: A case report
Mengran ZHU, Shanshan JIANG, Tingting YU, Yun BAI, Dingxin WANG, Linping SHI
2022, 38(3): 639-642. DOI: 10.3969/j.issn.1001-5256.2022.03.029
Abstract(1282) HTML (240) PDF (3475KB)(41)
Abstract:
Heterotopic pancreas of the duodenum misdiagnosed as intraperitoneal tumor: A report of three cases
Xing LYU, Jianpeng ZHOU, Kai KOU, Xiaodong SUN, Guoyue LYU
2022, 38(3): 643-645. DOI: 10.3969/j.issn.1001-5256.2022.03.030
Abstract(697) HTML (326) PDF (3871KB)(37)
Abstract:
Obstructive jaundice due to pancreatic metastasis from cervical squamous cell carcinoma: A case report
Hao YE, Xiaolei YI, Xuhui LI, Jie WANG, Jun ZHANG, Zhipeng LIU, Zhu LU
2022, 38(3): 646-648. DOI: 10.3969/j.issn.1001-5256.2022.03.031
Abstract(998) HTML (291) PDF (2631KB)(50)
Abstract:
Reviews
Research advances in hepatitis D
Huaibin ZOU, Feng REN, Yu CHEN, Zhongping DUAN
2022, 38(3): 649-652. DOI: 10.3969/j.issn.1001-5256.2022.03.032
Abstract(1297) HTML (281) PDF (1901KB)(155)
Abstract:
Hepatitis D virus (HDV) needs hepatitis B virus (HBV) as a helper to infect hepatocytes and spread. Co-infection with HDV and HBV may lead to accelerated progression and poor prognosis, but at present, the hazard and disease burden of HDV infection have been severely underestimated. This article summarizes the research advances in the epidemiology, clinical manifestations, diagnosis, and treatment of HDV infection, in order to provide a reference for more clinicians.
Pathological staging systems of primary biliary cholangitis
Xinhang SONG, Juanhan YU, Zhaoping CHENG, Chen SHAO, Baocheng DENG
2022, 38(3): 653-655. DOI: 10.3969/j.issn.1001-5256.2022.03.033
Abstract(2698) HTML (887) PDF (1877KB)(207)
Abstract:
Primary biliary cholangitis (PBC) is a chronic autoimmune liver disease accompanied by cholestasis, with the histological feature of non-purulent cholangitis. This article briefly describes the advantages and limitations of the traditional pathological staging systems such as Rubin stage, Scheuer stage, and Ludwig stage and the latest Nakanuma stage. Among them, Nakanuma stage refines the histological grading and staging standards to reduce the chance of missed diagnosis due to sampling errors, thus providing more adequate diagnostic and prognostic information for the clinic. A combination of new and traditional staging systems can provide guidance to the diagnosis, treatment, and research of PBC.
Role of T-cell immunoglobulin and immunoreceptor tyrosine-based inhibitory motif domain in the immune mechanism of autoimmune hepatitis and its prospects in treatment
Lin HAN, Mingyue ZHANG, Ying SUN
2022, 38(3): 656-659. DOI: 10.3969/j.issn.1001-5256.2022.03.034
Abstract(1167) HTML (291) PDF (1884KB)(70)
Abstract:
The imbalance of immune tolerance plays a key role in the pathogenesis of autoimmune hepatitis (AIH), and the abnormal expression of coinhibitory signal molecules for regulatory T cells (Treg) may be one of the important reasons for the destruction of autoantigen tolerance. As a coinhibitory signal molecule, T-cell immunoglobulin and immunoreceptor tyrosine-based inhibitory motif domain (TIGIT) is an inhibitory receptor mainly expressed on Treg. This article elaborates on the immune mechanism of Treg associated with AIH and the role of TIGIT in the development, progression, and treatment of autoimmune diseases, so as to find the treatment strategy with TIGIT as the candidate target for AIH.
Mechanism and treatment of polycystic ovary syndrome with nonalcoholic fatty liver disease
Tingting QIN, Ruihua ZHANG, Yu ZHANG, Xiaodong WEI, Xiaoyu WEN
2022, 38(3): 660-665. DOI: 10.3969/j.issn.1001-5256.2022.03.035
Abstract(1473) HTML (343) PDF (2143KB)(80)
Abstract:
Polycystic ovary syndrome (PCOS) is the most common endocrine disorder in women of childbearing age, with the clinical manifestations of oligomenorrhea or amenorrhea, hyperandrogenism, and anovulatory infertility, and it is often accompanied by metabolic disorders such as obesity, insulin resistance, hyperinsulinemia, and glucose and lipid metabolism disorders. Women with PCOS often have nonalcoholic fatty liver disease (NAFLD) and other metabolic-associated diseases, and PCOS and NAFLD are related in terms of pathogenesis and treatment. This article reviews the research advances in PCOS with NAFLD in recent years.
Role and mechanism of exercise in improving liver cirrhosis with sarcopenia
Yuesheng LIAO, Lili BAI
2022, 38(3): 666-670. DOI: 10.3969/j.issn.1001-5256.2022.03.036
Abstract(1229) HTML (643) PDF (2090KB)(56)
Abstract:
Sarcopenia is an important manifestation of malnutrition in patients with liver cirrhosis and is one of the common complications of liver cirrhosis, and about 30%-70% of the patients with liver cirrhosis suffer from sarcopenia, which seriously affects the survival and prognosis of patients. Studies have shown that exercise therapy has many advantages in the treatment of such diseases, such as few side effects, high benefits, and simple operability. To summarize the theoretical studies and application results of exercise in liver cirrhosis with sarcopenia and find evidence for the effect of exercise on liver cirrhosis with sarcopenia and related mechanisms, in order to provide a scientific reference for the treatment of liver cirrhosis with sarcopenia.
Mechanism of action of bone morphogenetic protein 9 in portopulmonary hypertension
Ruihua ZHANG, Tingting QIN, Yueming SHAO, Yu ZHANG, Xiaoyu WEN
2022, 38(3): 671-675. DOI: 10.3969/j.issn.1001-5256.2022.03.037
Abstract(1053) HTML (541) PDF (2559KB)(45)
Abstract:
Portopulmonary hypertension (POPH) is an increase in pulmonary artery pressure that occurs on the basis of portal hypertension. As a member of the BMP family, bone morphogenetic protein 9 (BMP9) not only has the osteogenic activity, but can also protect endothelial integrity and maintain vascular homeostasis. This article reviews the pathogenesis of POPH, the physiological expression and role of BMP9, and related research advances in the BMP9 signaling pathway and its involvement in pulmonary hypertension and vascular remodeling, thereby exploring the possibility of BMP9 as a new biomarker for POPH to assist in the diagnosis of POPH.
Mechanism of action of Huaier granules in treatment of hepatocellular carcinoma and advances in its clinical application
Kailing XIE, Feng XU
2022, 38(3): 676-681. DOI: 10.3969/j.issn.1001-5256.2022.03.038
Abstract(1728) HTML (1186) PDF (2878KB)(98)
Abstract:
Hepatocellular carcinoma (HCC) is the second leading cause of disease-related death in China and greatly threatens the health of residents. Recent studies have shown that traditional Chinese medicine plays an important role in the comprehensive treatment of HCC. Huaier granules have been recommended for the treatment of HCC, and its mechanism of action includes inhibiting angiogenesis, inhibiting the proliferation of HCC cells, inhibiting invasion and metastasis, inducing cell apoptosis, and regulating immune function. This article summarizes the research advances in the anti-HCC mechanism of Huaier granules and its application in clinical practice, in order to provide a reference for subsequent research and clinical treatment.
Role of lysyl oxidase family in the development and progression of hepatocellular carcinoma
Xiaobin QIN, Zulong LI, Shenglan ZENG, Liting TAN, Yingyu LE, Dewen MAO
2022, 38(3): 682-687. DOI: 10.3969/j.issn.1001-5256.2022.03.039
Abstract(1597) HTML (626) PDF (3314KB)(86)
Abstract:
Lysyl oxidase (LOX) family is a group of copper-containing amine oxidases composed of LOX and LOX-like proteins (LOXL1, LOXL2, LOXL3, and LOXL4). It is overexpressed in tumor tissue and promotes tumor metastasis through covalent cross-linking of extracellular matrix, with the functions of cell growth control, tumor inhibition, senescence, and chemotaxis. In recent years, more and more evidence has shown that LOX family members play a key role in the pathogenesis of hepatocellular carcinoma (HCC), suggesting that they have great potential as therapeutic targets. This article reviews the role of LOX family members in the development and progression of HCC and the intervention effect of traditional Chinese medicine extracts on HCC by regulating LOX family, in order to provide a reference for further research on the prevention and treatment of HCC.
Mechanism of action and clinical significance of hypoxia-inducible factors in hepatocellular carcinoma
Hongyi LI, Yehao LUO, Xiaofan LUO, Di WU, Huangguan QIN, Saohang LAN, Ting LYU, Yuzhou PANG
2022, 38(3): 688-692. DOI: 10.3969/j.issn.1001-5256.2022.03.040
Abstract(1410) HTML (756) PDF (2315KB)(48)
Abstract:
Due to the rapid proliferation and growth of tumor cells, hypoxic microenvironment exists in many solid tumors, and hypoxia inducible factors (HIF) are critical for sensing oxygen tension within tumors and subsequently mediating the activation of hypoxia responses. Hepatocellular carcinoma (HCC) is one of the most hypoxic tumors. This article summarizes the mechanism of action of HIF in promoting the development and progression of HCC by promoting glycolysis, angiogenesis, invasion and metastasis, immune escape, and cancer stem cell formation. At present, the development of targeted drugs for HIF inhibitors has broad prospects in the treatment of HCC, and the detection of HIF also has a potential value in prognostic evaluation HCC.
Role and potential clinical value of exosomes in the development and progression of hepatocellular carcinoma
Yehao LUO, Donghan XU, Ting LYU, Tiejian ZHAO, Lei WANG
2022, 38(3): 693-697. DOI: 10.3969/j.issn.1001-5256.2022.03.041
Abstract(1299) HTML (288) PDF (2406KB)(61)
Abstract:
Exosomes have the dual characteristics of promoting and inhibiting cancer and can induce the proliferation, invasion, and metastasis of hepatoma cells by altering tumor microenvironment, promoting neovascularization, and regulating epithelial-mesenchymal transition. Exosomes can regulate hepatocellular carcinoma and inhibit the growth and metastasis of hepatoma cells by regulating a variety of physiological and pathological processes, thus playing an important role in clinical diagnosis and treatment. It is pointed out that exosomes may become an effective antitumor treatment method through immune regulation and remodeling of tumor microcirculation.
Mechanism of intestinal flora imbalance in the development and progression of liver cancer and the role of probiotics in preventing liver cancer
Yanying GAO, Huiling XIANG, Jing LIANG, Tao HAN, Xu ZHANG
2022, 38(3): 699-702. DOI: 10.3969/j.issn.1001-5256.2022.03.042
Abstract(1675) HTML (340) PDF (1882KB)(78)
Abstract:
Intestinal flora imbalance plays a certain role in the development and progression of liver cancer, while probiotics have a certain impact on liver cancer, both of which are the focus of clinical research. This article introduces the mechanism of action of intestinal flora imbalance in the pathogenesis of liver cancer and the preventive effect of probiotics against liver cancer. Intestinal flora imbalance can participate in the pathological process of liver cancer by activating Toll-like receptor 4, regulating the level of metabolites, producing endotoxin, and inducing bacterial translocation and intestinal bacterial overgrowth, while probiotics can effectively prevent liver cancer by maintaining enterohepatic circulation, enhancing immune function, promoting the reproduction of intestinal probiotics, and reducing the toxicity of carcinogens, which can be further studied as the focus of subsequent liver cancer prevention in clinical practice.
Research advances in the features of nutrition metabolism and nutritional support in liver failure
Jin GUO, Chunxia SHI, Wei DENG, Qian CHEN, Zuojiong GONG
2022, 38(3): 703-707. DOI: 10.3969/j.issn.1001-5256.2022.03.043
Abstract(1453) HTML (805) PDF (1899KB)(116)
Abstract:
The liver is the main place for metabolism in human body, and when severe liver injury is induced by various factors, there will be disorders in the functions of synthesis, metabolism, and biological conversion. This article summarizes the features of the metabolism of nutrients such as glucose, amino acids, and lipids in the presence of liver failure, as well as the assessment of malnutrition and clinical interventions. For patients with liver failure, it is of great importance to identify and correct malnutrition in a timely manner, so as to improve energy metabolism and inflammation and increase survival rate.
Association between cholesterol and liver regeneration and its significance and potential value in clinical treatment of liver failure
Yong LIN, Gengjie YAN, Feng FENG, Ziming PENG, Fuli LONG, Ailing WEI, Minggang WANG, Chun YAO
2022, 38(3): 708-713. DOI: 10.3969/j.issn.1001-5256.2022.03.044
Abstract(2323) HTML (1056) PDF (2628KB)(92)
Abstract:
Liver failure is a common severe liver disease syndrome in clinical practice and is one of the critical medical conditions in internal medicine. Massive hepatocyte death is the main pathological feature of liver failure, and its core mechanisms include endotoxin, immune response, and inflammatory cascade reaction. Effective regeneration of hepatocytes to compensate liver function is the physiological basis for promoting the good prognosis of liver failure, which directly affects the prognosis and quality of life of patients with liver failure. It has been found in clinical practice that liver failure patients with a low serum level of cholesterol tend to have an extremely high mortality rate, but as an index of hepatocyte anabolism, the association between cholesterol and hepatocyte regeneration has not been taken seriously. Based on the association between cholesterol and liver regeneration, this article reviews its significance and potential value in the clinical treatment of liver failure, in order to understand the pathogenesis of liver failure from another perspective and provide new ideas for the diagnosis and treatment of liver failure and the development of drugs.
The MAPK signaling pathway: A new target for the treatment of hepatic echinococcosis
Linlin DONG, Yongliang LU, Weijian E, Xiang ZHANG, Lingli ZHAO
2022, 38(3): 714-718. DOI: 10.3969/j.issn.1001-5256.2022.03.045
Abstract(1843) HTML (336) PDF (2215KB)(49)
Abstract:
The MAPK signaling pathway can mediate a variety of cytokines to participate in the processes of inflammation, cancer, immune disorder, and neurodegenerative diseases, and it also plays an important role in the development and progression of hepatic echinococcosis. This article reviews the structure and regulation of the MAPK signaling pathway and elaborates on the role of the MAPK signaling pathway in hepatic echinococcosis. It is pointed out that the MAPK signaling pathway can activate both the cyst and the host in hepatic echinococcosis, participate in the development and progression of the disease, and exert an impact on its treatment. Drug therapy targeting the MAPK signaling pathway is expected to become a new strategy for the treatment of hepatic echinococcosis.
Research advances in peripheral vascular invasion of hepatic alveolar echinococcosis
Han LI, Lizhao HOU
2022, 38(3): 719-723. DOI: 10.3969/j.issn.1001-5256.2022.03.046
Abstract(1150) HTML (294) PDF (1964KB)(43)
Abstract:
Alveolar echinococcosis proliferates in the form of chronic infiltration and has no obvious symptoms and signs in the early stage, and when attending the hospital, some patients already have one or more complications and invasion of important intrahepatic vessels and bile ducts. The research on peripheral vascular invasion of alveolar echinococcosis may help to determine the best individualized treatment and thus improve the cure rate and prognosis of patients. This article reviews the pathological mechanism, clinical manifestations, imaging, clinical classification, and treatment of alveolar echinococcosis.
Research advances in the bile acid membrane receptor TGR5 in biliary tract diseases
Siping CHEN, Li HAN, Peng SHU, Xin DAI, Long CHENG
2022, 38(3): 724-728. DOI: 10.3969/j.issn.1001-5256.2022.03.047
Abstract(1735) HTML (2228) PDF (2268KB)(222)
Abstract:
TGR5 is a bile acid-activated G protein-coupled receptor and plays an important role in the physiological and pathological processes of the biliary system. This article describes the normal expression of TGR5 in the liver and bile duct under normal physiological conditions and its functions including the regulation of bile acid secretion and metabolism and cytoprotection. This article also summarizes the changes in the expression and function of TGR5 under pathophysiological conditions and the mechanism of TGR5 in affecting the development and progression of biliary tract diseases through inflammatory response and cell proliferation and apoptosis. TGR5 may be a potential target for the treatment of biliary tract diseases in the future.
Introduction of High-quality Articles in Foreign Journals
Hepatology International|Effect of microbiota metabolites on the progression of chronic hepatitis B virus infection
2022, 38(3): 540-540. DOI: 10.3969/j.issn.1001-5256.2022.3.gwjpwzjj1
Abstract(463) HTML (225) PDF (863KB)(45)
Abstract:
Journal of Hepatology|PKCα/ZFP64/CSF1 axis resets the tumor microenvironment and fuels anti-PD1 resistance in hepatocellular carcinoma
2022, 38(3): 698-698. DOI: 10.3969/j.issn.1001-5256.2022.3.gwjpwzjj2
Abstract(525) HTML (219) PDF (866KB)(45)
Abstract:
Thanks
Current reviewers
2022, 38(3): 562-562. DOI: 10.3969/j.issn.1001-5256.2022.3.zhixie1
Abstract(365) HTML (226) PDF (866KB)(33)
Abstract: