中文English
ISSN 1001-5256 (Print)
ISSN 2097-3497 (Online)
CN 22-1108/R

2022 No.2
Theme Issue: Diagnosis and Treatment of Liver Failure in Children
Executive Chief Editor: WANG Jianshe  
Children’s Hospital of Fudan University

Display Method:
Editorial
The diagnosis and treatment of pediatric acute liver failure should be taken seriously
Xinbao XIE, Jianshe WANG
2022, 38(2): 257-259. DOI: 10.3969/j.issn.1001-5256.2022.02.001
Abstract(1140) HTML (250) PDF (1982KB)(124)
Abstract:
Although pediatric acute liver failure (PALF) is rare in clinical practice, it seriously threatens the life and health of children due to acute onset and rapid progression. PALF has various etiologies, and at present, it is still unable to identify the etiology in a relatively large proportion of children. The clinical manifestations of PALF are also different from those of adults, and it is difficult to judge early hepatic encephalopathy in infants and young children. It is very important to maintain the stability of internal environment, provide etiological treatment, and avoid drug abuse and the abuse of blood products. Blood purification can be performed for patients with related indications to win more time for autogenous liver function recovery and liver transplantation, and the precise diagnosis and treatment of PALF should be taken seriously in clinical practice.
Discussions by Experts
Etiology, diagnosis, and treatment of acute liver failure in neonates
Xiaomei QIN, Shuangjie LI
2022, 38(2): 260-263. DOI: 10.3969/j.issn.1001-5256.2022.02.002
Abstract(1903) HTML (555) PDF (1913KB)(152)
Abstract:
Neonatal acute liver failure is a rare and life-threatening disease in the neonatal period with complete or substantial loss of liver function, and liver cirrhosis can be identified after birth, with a high mortality rate. The main etiologies of this disease include autoimmune liver diseases during pregnancy, viral infection, blood diseases, metabolic diseases, ischemic injury, and other rare causes. At present, etiological treatment is the main treatment method, and liver transplantation is still an important option for patients with unknown etiology or no response to established treatments. Currently there are few studies on neonatal acute liver failure, so prospective studies are needed to investigate the influencing factors for treatment and prognosis.
Diagnosis and treatment of fever-related recurrent acute liver failure in children
Zhongdie LI, Jiaqi LI, ABUDUXIKUER Kuerbanjiang
2022, 38(2): 264-267. DOI: 10.3969/j.issn.1001-5256.2022.02.003
Abstract(1351) HTML (438) PDF (1916KB)(98)
Abstract:
Acute liver failure (ALF) in infants and children is a severe life-threatening disease caused by multiple etiologies. Recurrent acute liver failure (RALF) is defined as the occurrence of acute liver injury two or more times, with at least one episode meeting the diagnostic criteria for ALF. Biochemical parameters usually return to normal between acute liver injury episodes in children with RALF. Clinical etiologies of RALF include infections, immunologic disorders, drug, and toxin, as well as hereditary or metabolic disorders, and some episodes of RALF caused by hereditary liver disorders are always associated with fever. This article discusses the diagnosis and treatment of fever-related RALF caused by genetic defects of NBAS, SCYL1, and RINT1.
Diagnosis and treatment of acute liver failure in children with Wilson's disease
Weiyuan FANG, Yi LU
2022, 38(2): 268-272. DOI: 10.3969/j.issn.1001-5256.2022.02.004
Abstract(1210) HTML (305) PDF (1942KB)(117)
Abstract:
Acute liver failure (ALF) is a rare and extremely severe clinical form of Wilson's disease (WD), characterized by progressive aggravation of jaundice and significant coagulation disorder with acute intravascular hemolysis. There is a high risk of severe complications such as hepatic encephalopathy and acute renal failure, and the disease progresses rapidly after onset and has a high mortality rate. At present, it is difficult to diagnose WD presenting as ALF in the early stage due to a lack of unified indicators for rapid diagnosis. Liver transplantation was considered the only effective treatment method for this disease in the past; however, recent studies have shown that medical treatment without liver transplantation can achieve autologous liver relief and recovery in some patients with WD-ALF.
Inherited metabolic diseases causing acute liver failure in children
Huan LIANG, Huiwen ZHANG
2022, 38(2): 273-277. DOI: 10.3969/j.issn.1001-5256.2022.02.005
Abstract(1337) HTML (448) PDF (1932KB)(83)
Abstract:
Acute liver failure (ALF) in children has complex etiologies, among which inherited metabolic diseases account for a high proportion, especially in infants and young children. Inherited metabolic diseases are a group of congenital diseases with destruction of cell physiological function caused by metabolism-related gene mutations, with various types and diverse clinical manifestations. ALF is one of the serious complications caused by such diseases and is easily neglected due to a lack of specific manifestations. ALF caused by such etiologies should be identified as early as possible to reverse the progression of ALF and improve the prognosis of patients. This article summarizes the common inherited metabolic diseases that can cause ALF in children, in order to improve the awareness of such etiology among physicians.
Liver transplantation for pediatric acute liver failure
Nengli WANG, Xinbao XIE
2022, 38(2): 278-281. DOI: 10.3969/j.issn.1001-5256.2022.02.006
Abstract(1110) HTML (299) PDF (1950KB)(95)
Abstract:
Pediatric acute liver failure (PALF) is a rare syndrome with high mortality, and at present, liver transplantation is still the only effective treatment method for PALF. In recent years, the technology of liver transplantation in children has become more and more mature and has significantly improved the prognosis of PALF patients in China. However, there are still many problems in liver transplantation for PALF patients. Comprehensive discussion of objective problems before, during, and after liver transplantation may further improve the overall prognosis of PALF patients.
Hotspot·Perspective·Viewpoint
Why do patients with chronic hepatitis B virus infection develop hepatocellular carcinoma after HBsAg seroclearance?
Hui ZHUANG
2022, 38(2): 282-284. DOI: 10.3969/j.issn.1001-5256.2022.02.007
Abstract(1035) HTML (246) PDF (3098KB)(125)
Abstract:
This article summarizes the risk of hepatocellular carcinoma in patients with chronic hepatitis B virus infection after HBsAg seroclearance, as well as its mechanism and implications.
Academic Contention
Are there only a few steps away from the prime time for hepatitis B virus RNA as a routine marker to guide decision making in treatment of chronic hepatitis B?
Hui ZHUANG
2022, 38(2): 285-287. DOI: 10.3969/j.issn.1001-5256.2022.02.008
Abstract(1081) HTML (357) PDF (1969KB)(161)
Abstract:
This paper discusses HBsAg and HBV RNA as routine markers to guide treatment decisions of chronic hepatitis B.
Guidelines
Standard for diagnosis and treatment of primary liver cancer (2022 edition)
General Office of National Health Commission
2022, 38(2): 288-303. DOI: 10.3969/j.issn.1001-5256.2022.02.009
Abstract(4828) HTML (9696) PDF (3290KB)(2813)
Abstract:
Expert consensus on diagnosis and treatment of end-stage liver disease complicated with infections(2021 version)
Society of Infectious Diseases
2022, 38(2): 304-310. DOI: 10.3969/j.issn.1001-5256.2022.02.010
Abstract(1719) HTML (407) PDF (2689KB)(498)
Abstract:
End-stage liver disease (ESLD) is a life-threatening clinical syndrome with significantly increased mortality when the patients are complicated with infections. For patients with ESLD, infections can induce or aggravate the liver decompensation. In turn, infections are among the most common complication with the disease progression. Experts from Society of Infectious Diseases, Chinese Medical Association firstly formulated "Expert Consensus on Diagnosis and Treatment of End-Stage Liver Disease Complicated with Infection" in July 2018, which is extensively revised based on clinical evidence of recent three years. This consensus summarizes the up-to-date knowledge and experiences across Chinese colleagues, intending to provide principles and wording procedures for clinicians to diagnose and treat ESLD patient complicated with infections.
Consensus on diagnosis and treatment of invasive fungal infection in patients with severe liver disease
Severe Liver Disease Group, the Professional Committee for Hepatology, Chinese Research Hospital Association, Severe Liver Diseases and Artificial Liver Group, Chinese Society of Hepatology, Chinese Medical Association
2022, 38(2): 311-317. DOI: 10.3969/j.issn.1001-5256.2022.02.011
Abstract(2433) HTML (308) PDF (2799KB)(491)
Abstract:
The prognosis of severe liver disease combined with invasive fungal infection (IFI) is poor, and the clinical manifestations are often atypical. Moreover, most of the antifungal drugs are metabolized in the liver, with severe toxicities and side effects, making clinical diagnosis and treatment difficult. The Professional Committee for Hepatology, the Chinese Research Hospital Association and the Hepatology Branch of China Medical Association organized relevant experts to formulate an expert consensus based on the characteristics of patients with severe liver disease combined with IFI, in order to provide reference for medical personnel in making decisions on the diagnosis and treatment.
Recommendations for APASL clinical practice guidance: The diagnosis and management of patients with primary biliary cholangitis (2022)
Jing ZHU, Yanhang GAO
2022, 38(2): 318-319. DOI: 10.3969/j.issn.1001-5256.2022.02.012
Abstract(1001) HTML (247) PDF (1886KB)(179)
Abstract:
An excerpt of EASL expert consensus on systemic therapy for hepatocellular carcinoma(2021)
Jiaofeng HUANG, Youbing LI, Yinlian WU, Ruimin LAI, Naling KANG, Ying ZHANG, Jiaji JIANG
2022, 38(2): 320-321. DOI: 10.3969/j.issn.1001-5256.2022.02.013
Abstract(634) HTML (243) PDF (1883KB)(103)
Abstract:
Original Articles_Viral Hepatitis
Value of urinary α1-microglobulin and N-acetyl-β-D-glucosaminidase/urinary creatinine in monitoring early renal injury in patients with chronic hepatitis B virus-related liver diseases
Jingyi ZHANG, Yingmei TANG, Xian YANG, Wenxia YANG
2022, 38(2): 322-327. DOI: 10.3969/j.issn.1001-5256.2022.02.014
Abstract(1066) HTML (360) PDF (1950KB)(52)
Abstract:
  Objective  To investigate the value of urinary α1-microglobulin (α1-MG) and N-acetyl-β-D-glucosaminidase/urinary creatinine (NAG/UCr) in monitoring renal injury in patients with chronic hepatitis B virus (HBV)-related liver diseases.  Methods  A total of 85 patients with HBV-related liver diseases who attended The Second Affiliated Hospital of Kunming Medical University from August 2019 to August 2020 were enrolled, and according to the history of treatment with nucleos(t)ide analogues (NUC), they were divided into NUC treatment group with 57 patients and non-NUC treatment group with 28 patients; according to the type of NUC used, the NUC treatment group was further divided into entecavir (ETV) treatment group with 32 patients and tenofovir disoproxil fumarate (TDF) treatment group with 25 patients; according to the results of HBV serum antigen and antibody markers, the patients were divided into HBeAg-negative group with 57 patients and HBeAg-positive group with 28 patients; according to the results of serum HBV DNA quantification, the patients were divided into HBV DNA-negative group with 47 patients and HBV DNA-positive group with 38 patients; according to abdominal imaging findings, the patients were divided into non-liver cirrhosis group with 47 patients and liver cirrhosis group with 38 patients. The data on medical history and laboratory markers were collected for comparison between two groups. The t-test was used for comparison of normally distributed continuous data between two groups, and the Mann-Whitney U test was used for comparison of data with skewed distribution between two groups; the chi-square test was used for comparison of categorical data between two groups. The McNemar test was used to compare the diagnostic merit of each index; a Spearman correlation analysis was used to investigate the correlation of each factor with α1-MG, and NAG/UCr; the multiple linear regression analysis was used to analyze the independent influencing factors for α1-MG and NAG/UCr.  Results  The non-NUC treatment group, the HBeAg-positive group, and the HBV DNA-positive group had significantly higher levels of urinary α1-MG than the NUC treatment group (Z=-2.054, P=0.04), the HBeAg-negative group (Z=-2.293, P=0.022), and the HBV DNA-negative group (Z=-2.229, P=0.026), respectively. The HBV DNA-positive group and the liver cirrhosis group had significantly higher levels of NAG and NAG/UCr than the HBV DNA-negative group (Z=-2.908 and -2.824, both P < 0.05) and the non-liver cirrhosis group (Z=-3.204 and -3.412, both P < 0.05), respectively. There was a significant difference in the proportion of patients with abnormal α1-MG and that of patients with abnormal estimated glomerular filtration rate (eGFR) (31.8% vs 20.0%, χ2=7.178, P=0.007), and the proportion of patients with abnormal α1-MG and NAG/UCr was significantly higher than that of patients with abnormal eGFR (35.3% vs 20.0%, χ2=8.049, P=0.005). There was a significant difference in diagnostic merit between α1-MG+NAG/UCr and eGFR (P=0.015). Age (β=0.246, P < 0.05), positive HBeAg (β=0.284, P < 0.01), and liver cancer (β=0.291, P < 0.01) were independent risk factors for the increase in α1-MG, while the increase in FIB-4 value (β=0.352, P < 0.05), ascites (β=0.260, P < 0.05), esophagogastric varices(β=-0.248, P < 0.05), positive HBV DNA (β=0.197, P < 0.05), and high total bilirubin (β=0.257, P < 0.05) were independent risk factors for the increase in NAG/UCr.  Conclusion  In patients with chronic HBV-related liver diseases, renal injury may occur during the whole course of active viral replication, liver cirrhosis, and deterioration of liver function. Antiviral therapy with NUC can alleviate renal impairment caused by HBV and is safe and reliable within a certain course of treatment. Combined measurement of urinary α1-MG and NAG/UCr has more advantages over eGFR in the diagnosis of early renal injury, and it is an effective method for renal function monitoring in patients with chronic HBV-related liver diseases.
Naturally occurring resistance-associated variants to NS3/4A protease and NS5A inhibitors in patients with HIV/HCV co-infection or HCV infection alone
Haohui DENG, Shuifeng LI, Qianchang FENG, Linghua LI
2022, 38(2): 328-333. DOI: 10.3969/j.issn.1001-5256.2022.02.015
Abstract(750) HTML (206) PDF (1939KB)(41)
Abstract:
  Objective  To investigate the difference in naturally occurring resistance-associated variants (RAVs) between the patients with HIV/HCV co-infection and those with HCV infection alone by detecting the drug resistance loci associated with HCV NS3/4A protease and NS5A inhibitors.  Methods  A total of 246 patients with HIV/HCV co-infection or HCV infection alone who were hospitalized or attended the outpatient service in Guangzhou Eighth People's Hospital, Guangzhou Medical University, from January 2016 to January 2020 were enrolled in this study. Serum samples were collected and next-generation sequencing (Illumina platform, PE250) was used for sequencing. The two groups of patients were compared in terms of RAVs associated with NS3/4A protease and NS5A inhibitors approved in China, and the drugs for analysis included asunaprevir/daclatasvir (ASV/DCV) and elbasvir/grazoprevir (EBR/GZR) for HCV genotype 1b and glecaprevir/pibrentasvir (GLE/PIB) for pan-genotypes. The t-test was used for comparison of normally distributed continuous data between two groups, and the Mann-Whitney U test was used for comparison of non-normally distributed continuous data between two groups; the chi-square test or the Fisher's exact test was used for comparison of categorical data between two groups.  Results  Among the 246 serum samples included in this study, 239 samples (97.2%) were successfully amplified by PCR and sequenced, with 102 samples from the patients with HIV/HCV co-infection and 137 from the patients with HCV infection alone. The analysis of RAVs associated with ASV/DCV and EBR/GZR showed that Y56F, Q80K/L, and S122N/R/T associated with ASV and GZR and L31M and Y93H associated with DCV and EBR were observed in patients with HIV/HCV (genotype 1b) co-infection or HCV (genotype 1b) infection alone; 2 patients with HIV/HCV co-infection had the RAVs of Y56F+Y93H associated with EBR/GZR, and 2 with HCV infection alone had the RAVs of Q80L+L31M and Y56F+Y93H, respectively, associated with EBR/GZR, with no significant difference in RAVs between the two groups (both P > 0.05). The analysis of RAVs associated with GLE/PIB for pan-genotypes showed that 3 patients with PIB-associated Y93H RAV were observed among the patients with HCV genotype 3a infection, among whom 2 had HIV/HCV co-infection and 1 had HCV infection alone (P=0.590), and in addition, no RAVs associated with GLE/PIB were observed.  Conclusion  There is no significant difference in naturally occurring RAVs associated with HCV NS3/4A protease and NS5A inhibitors between the patients with HIV/HCV co-infection and those with HCV infection alone.
Original Articles_Liver Fibrosis and Liver Cirrhosis
Role of GDC-0449 in a rat model of liver fibrosis induced by carbon tetrachloride combined with 2-acetylaminofluorene
Yonghong HU, Zhun XIAO, Yadong FU, Yue LIANG, Linzhang ZHANG, Wei LIU, Yongping MU, Chenghai LIU, Ping LIU, Jiamei CHEN
2022, 38(2): 334-341. DOI: 10.3969/j.issn.1001-5256.2022.02.016
Abstract(969) HTML (782) PDF (6040KB)(56)
Abstract:
  Objective  To investigate the intervention effect of GDC-0449, a hedgehog signaling pathway inhibitor, on rats with liver fibrosis induced by carbon tetrachloride (CCl4) combined with 2-acetylaminofluorene (2-AAF).  Methods  A total of 18 female Fisher344 rats were randomly divided into normal group, CCl4/2-AAF group, and GDC-0449 group, with 6 rats in each group. The rats in the CCl4/2-AAF group and the GDC-0449 group were given subcutaneously injected 30% CCl4-olive oil solution at a dose of 2 mL/kg twice a week for 6 weeks to induce liver fibrosis; since week 7, in addition to the injection of CCl4-olive oil solution, the rats in these two groups were given 2-AAF (100 mg/kg/d) by gavage, and the rats in the GDC-0449 group were given GDC-0449 (25 mg/kg/d) by gavage, while those in the normal group were given an equal volume of olive oil solution by injection and normal saline by gavage. All rats were sacrificed at the end of week 9, and related samples were collected. HE staining and sirius red (SR) staining were used to observe the changes in liver histopathology and collagen deposition, and the semi-quantitative analysis of SR-positive area and Ishak score were used to evaluate fibrosis degree; the alkaline hydrolysis method was used to measure the level of hydroxyproline (Hyp) in liver tissue; immunohistochemistry, Western blot, and qRT-PCR were used to measure the expression of α-smooth muscle actin (α-SMA), type Ⅰ collagen (Col-Ⅰ), type Ⅳ collagen (Col-Ⅳ), cytokeratin 19 (CK19), cytokeratin 7 (CK7), the epithelial cell adhesion molecule Epcam, and the hedgehog signaling pathway in liver tissue; double immunofluorescence staining was used to observe the colocalization of CK19 and the oval cell marker OV6. A one-way analysis of variance was used for comparison of continuous data between multiple groups, and the least significant difference t-test was used for further comparison between two groups.  Results  Compared with the normal group, the CCl4/2-AAF group had marked inflammatory cell aggregation and collagen deposition in liver tissue, with the formation of a pseudolobular structure, as well as significant increases in Hyp level and collagen positive area ratio in liver tissue (P < 0.05), Ishak score (P < 0.05), and the expression of α-SMA, Col-Ⅰ, Col-Ⅳ, Epcam, CK19, CK7, the transmembrane transporter Smoothened (Smo), Hedgehog ligand Desert Hedgehog (Dhh), the Indian Hedgehog membrane-binding receptor Patched (Ptch2), and glioma-related oncogenes Gli1, Gli2, and Gli3 (all P < 0.05); double immunofluorescence staining showed that CK19-positive cells also expressed OV6 in the liver tissue of rats in the CCl4/2-AAF group, with a significant increase compared with the normal group. Compared with the CCl4/2-AAF group, the GDC-0449 group had significant reductions in inflammatory cell aggregation and collagen deposition in liver tissue, Hyp level and collagen positive area ratio in liver tissue (P < 0.05), Ishak score (P < 0.05), and the expression of α-SMA, Epcam, CK19, CK7, Smo, Ptch2, Gli1, Gli2, and Gli3 (all P < 0.05); double immunofluorescence staining showed a significant reduction in the number of cells with co-expression of OV6 and CK19 in liver tissue.  Conclusion  The Hedgehog signaling pathway inhibitor GDC-0449 can significantly inhibit the progression of liver fibrosis induced by CCl4/2-AAF in rats, possibly by inhibiting hepatic stellate cell activation, collagen deposition, activation and proliferation of hepatic progenitor cells, and differentiation of hepatic progenitor cells into biliary epithelial cells.
Value of Fuzheng Huayu prescription in preventing liver fibrosis by altering the phenotypic function of CD8+ T lymphocytes in the liver of mice with acute liver injury
Hui HUANG, Lieming XU, Jian PING, Yang ZHOU
2022, 38(2): 342-346. DOI: 10.3969/j.issn.1001-5256.2022.02.017
Abstract(1954) HTML (560) PDF (2677KB)(54)
Abstract:
  Objective  To investigate the effect of liver CD8+ T lymphocytes on co-cultured hepatic stellate cells (HSCs) after the application of Fuzheng Huayu prescription in a moues model of acute liver injury, as well as the mechanism of action of Fuzheng Huayu prescription in preventing liver fibrosis.  Methods  A total of 18 specific pathogen-free male C57BL/6NCrl Vr mice were randomly divided into normal group, model group, and Fuzheng Huayu prescription group, with 6 mice in each group. The mice in the Fuzheng Huayu prescription group were given Fuzheng Huayu prescription for 5 days in advance. At 12 hours before the experiment, 10% CCl4 was injected intraperitoneally at a dose of 2 mL/kg body weight. Blood was collected from the main abdominal vein, and the serum was separated to measure the levels of alanine aminotransferase (ALT) and aspartate aminotransferase (AST). Part of the liver was used for pathological observation. After the mice were pretreated with medication in vivo, flow cytometry was used for the sorting of mouse liver CD8+ T lymphocytes, which were then co-cultured with the mouse HSC cell line (JS 1) in a 96-well plate at a ratio of 2∶ 1, and after co-culture for 24 and 48 hours, qPCR was used to measure the changes in the mRNA expression of Col.I and α-SMA. An analysis of variance was used for comparison of normally distributed continuous data between multiple groups, and the SNK-q test or the least significant difference t-test was used for further comparison between two groups.  Results  The model group had significantly higher activities of ALT and AST than the normal group (both P < 0.000 1), and compared with the model group, the Fuzheng Huayu prescription group had a significantly lower degree of increase in ALT activity (P < 0.001). HE staining showed that the Fuzheng Huayu prescription group had a significantly lower degree of hepatocyte degeneration and necrosis compared with the model group. Compared with the normal group, the total lymphocytes, CD45, CD4-CD8+ T and CD8 + CD28-T in the model group increased significantly, while the proportion of the above lymphocytes in the Fuzheng Huayu formula group decreased significantly compared with the model group (P < 0.001). CD8+ T lymphocytes isolated from the liver of mice in each group were co-cultured with JS 1 for 48 hours, and compared with the control group (JS 1 cultured alone) and the normal group, the model group had a significant increase in the mRNA expression of α-SMA (both P < 0.01) and significantly higher mRNA expression of Col.I than the control group and the normal group (normal mouse liver CD8+ T lymphocytes co-cultured with JS 1) (both P < 0.001). The Fuzheng Huayu prescription group had significantly lower mRNA expression levels of α-SMA and Col.I than the model group (both P < 0.01).  Conclusion  Fuzheng Huayu prescription can indirectly inhibit activated HSCs by altering the functional phenotype of CD8+ T lymphocytes in mouse liver.
Measurement of glycosylated albumin and its application value in liver cirrhosis patients with different Child-Pugh classes
Yanying GAO, Xu ZHANG, Fenghui LI, Huiling XIANG, Jing LIANG, Hua LIU, Hongmin LYU, Tao HAN
2022, 38(2): 347-351. DOI: 10.3969/j.issn.1001-5256.2022.02.018
Abstract(1097) HTML (758) PDF (2048KB)(91)
Abstract:
  Objective  To investigate the level of glycosylated albumin (GA) in liver cirrhosis patients with different Child-Pugh classes and its application value in predicting liver function.  Methods  A total of 486 patients with liver cirrhosis who were hospitalized in Tianjin Third Central Hospital from January 1 to December 31, 2019, were enrolled, among whom 227 patients had liver cirrhosis without diabetes and 259 patients had liver cirrhosis with diabetes. The patients were divided into groups according to Child-Turcotte-Pugh (CTP) score, and fasting blood glucose, glycosylated hemoglobin, and percentage of GA (GA%) were measured. The Kruskal-Wallis H test was used for comparison of non-normally distributed continuous data between three groups, and the Dwass-Steel-Critchlow-Fligner test was used for further comparison between two groups. Scatter plots and fitting curves were plotted for CTP score and GA% to evaluate the association between them and calculate the cut-off value.  Results  For the cirrhosis patients without diabetes, there were significant differences between the patients with different Child-Pugh classes in GA% (χ2=24.809, P< 0.001), fasting blood glucose (χ2=11.899, P=0.003), and glycosylated hemoglobin (χ2=13.607, P=0.001); further pairwise comparison showed that there was a significant difference in GA% between Child-Pugh class A/B liver cirrhosis patients without diabetes and Child-Pugh class C liver cirrhosis patients (P < 0.05), Child-Pugh class A patients had a significantly higher level of fasting blood glucose than Child-Pugh class B patients (P < 0.05), and Child-Pugh class A patients had a significantly higher level of glycosylated hemoglobin than Child-Pugh class B/C patients (P < 0.05). For the patients with liver cirrhosis and diabetes, there were significant differences between the patients with different Child-Pugh classes in GA% (χ2=10.734, P=0.005) and fasting blood glucose (χ2=16.295, P < 0.001); further pairwise comparison showed that Child-Pugh class C liver cirrhosis patients with diabetes had a significantly lower GA% than Child-Pugh class A/B patients (P < 0.05) and Child-Pugh class A patients had a significantly lower fasting blood glucose level than Child-Pugh class B patients (P < 0.05). The fitting curve showed that GA% increased with the increase in CTP score in the liver cirrhosis patients without diabetes, reached the highest value at the CTP score of 6.5, and then started to decrease, with the lower value at the CTP score of 11.5, which showed a curvilinear relationship; in the liver cirrhosis patients with diabetes, GA% first increased and then decreased with the increase in CTP score, with a cut-off value of 8.  Conclusion  GA% first increases and then decreases along with the progression of liver cirrhosis. There is a significant difference in GA between liver cirrhosis patients with different Child-Pugh classes, suggesting that the reduction in GA is closely associated with liver function decompensation in end-stage liver cirrhosis.
Applicability of three nutritional screening tools in patients with liver cirrhosis under the Global Leadership Initiative on Malnutrition criteria
Yingke WU, Man LI, Chen CHEN, Yichao ZHANG, Yang SU, Weixing WANG
2022, 38(2): 352-358. DOI: 10.3969/j.issn.1001-5256.2022.02.019
Abstract(1913) HTML (1080) PDF (2135KB)(126)
Abstract:
  Objective  To investigate whether Royal Free Hospital Nutritional Prioritizing Tool (RFH-NPT) is more suitable than Nutritional Risk Screening 2002 (NRS-2002) in nutritional risk screening for patients with liver cirrhosis, as well as the applicability of subjective global assessment (SGA) in the nutritional assessment of patients with liver cirrhosis.  Methods  A total of 113 patients with liver cirrhosis who were hospitalized in Renmin Hospital of Wuhan University from August 2020 to June 2021 were enrolled. RFH-NPT and NRS-2002 were used for nutritional risk screening, and SGA was used for nutritional assessment. The results of these tools were compared with the Global Leadership Initiative on Malnutrition (GLIM) criteria, and sensitivity, specificity, positive predictive value (PPV), and negative predictive value (NPV) were calculated for the three tools. The receiver operating characteristic (ROC) curve was plotted and the area under the ROC curve (AUC) was calculated for each screening tool, and the association between nutritional status and short-term prognosis was analyzed. The independent samples t-test or the Mann-Whitney U test was used for comparison of continuous data between two groups, and the chi-square test was used for comparison of categorical data between two groups. The Spearman correlation analysis was used to analyze the correlation of GLIM criteria with NRS2002, RFH-NPT and SGA.  Results  According to the GLIM criteria, 69.9% of the patients were diagnosed with malnutrition, and RFH-NPT and NRS2002 screened out that 72.6% and 51.3%, respectively, of the patients had nutritional risk, while SGA assessment showed that 57.5% of the patients had malnutrition. Compared with NRS2002, RFH-NPT had a higher degree of correlation with the GLIM criteria (r=0.764, P < 0.001), higher sensitivity (94.9%) and NPV (87.1%), and a better predictive value (AUC=0.872, 95% confidence interval [CI]: 0.786-0.957). Under the GLIM criteria, SGA had good specificity (88.2%) in the diagnosis of malnutrition in patients with liver cirrhosis, with fair sensitivity (77.2%), good correlation (r=0.607, P < 0.001), and good predictive value (AUC=0.827, 95%CI: 0.744-0.911). Based on the GLIM criteria, SGA assessment, and RFH-NPT assessment, the patients with nutritional risk or malnutrition tended to have a longer length of hospital stay (Z=-3.301, -2.812, and -3.813, all P < 0.05) and a higher rehospitalization rate (χ2=3.957, 6.922, and 6.766, all P < 0.05). Based on the GLIM criteria and NRS2002 assessment, the patients with nutritional risk or malnutrition had a significant increase in mortality rate within 3 months (χ2=4.511 and 0.776, both P < 0.05).  Conclusion  Under the GLIM criteria, RFH-NPT is more suitable than NRS2002 for nutritional risk screening of patients with liver cirrhosis, and SGA also has good applicability in nutritional assessment of patients with liver cirrhosis. In addition, GLIM criteria, SGA, and RFH-NPT are associated with the clinical outcome of patients.
Covert hepatic encephalopathy in liver cirrhosis: Risk factors and prognosis
Siqin LIU, Xiaomei WANG, Xia LI, Luwen LIANG, Ke WANG, Rui WANG
2022, 38(2): 359-364. DOI: 10.3969/j.issn.1001-5256.2022.02.020
Abstract(1147) HTML (466) PDF (1945KB)(78)
Abstract:
  Objective  To investigate the risk factors for covert hepatic encephalopathy (CHE) in patients with liver cirrhosis and their influence on prognosis.  Methods  A total of 416 patients with liver cirrhosis who were hospitalized in a grade A tertiary hospital in Chongqing from September 2019 to June 2020 were enrolled in the study, and according to the presence or absence of CHE, they were divided into CHE group with 212 patients and non-CHE group with 204 patients. Clinical data and laboratory examination results were collected, and follow-up was performed for 6 months. The t-test was used for comparison of normally distributed continuous data between groups, and the Mann-Whitney U test was used for comparison of non-normally distributed continuous data between groups; the chi-square test, the continuous correction chi-square test, and the Mann-Whitney U test were used for comparison of categorical data between groups. Univariate and multivariate logistic regression analyses were used to analyze the risk factors for CHE.  Results  The incidence rate of CHE was 51%. The univariate analysis showed that age, course of disease, the medical history of hepatic encephalopathy (HE), infection, ascites, electrolyte disturbance, hepatorenal syndrome, Child-Pugh class, prothrombin time, total bilirubin, creatinine, platelet, prothrombin activity, albumin, and Model for End-stage Liver Disease (MELD) score were the influencing factors for CHE (all P < 0.05). The multivariate logistic regression analysis showed that the medical history of HE (OR=10.848, 95% CI: 4.971-23.674, P < 0.05), transjugular intrahepatic portosystemic shunt (TIPS) (OR=4.334, 95%CI: 1.203-15.621, P < 0.05), Child-Pugh class (OR=4.968, 95%CI: 1.299-18.992, P < 0.05), and MELD score (OR=1.253, 95%CI: 1.161-1.352, P < 0.05) were independent predictive factors for CHE (P < 0.05). The follow-up study showed that CHE had an effect on the short-or medium-term readmission, HE, and death of patients (all P < 0.05).  Conclusion  CHE has a relatively high incidence rate and greatly affects the prognosis of patients with liver cirrhosis. The development of CHE should be taken seriously in patients with a past history of HE, a history of TIPS, Child-Pugh class C liver function, and a high MELD score, and identification, screening, and intervention should be performed as early as possible to improve the prognosis of patients with liver cirrhosis.
Original Articles_Liver Neoplasms
Clinical efficacy and safety of percutaneous cryoablation combined with percutaneous ethanol injection in elderly patients with hepatocellular carcinoma aged 70 years or older
Jing LUO, Caihong LYU, Yongping YANG
2022, 38(2): 365-371. DOI: 10.3969/j.issn.1001-5256.2022.02.021
Abstract(840) HTML (335) PDF (2738KB)(44)
Abstract:
  Objective  To investigate the clinical efficacy and safety of percutaneous cryoablation combined with percutaneous ethanol injection (PEI) in elderly patients with early-stage hepatocellular carcinoma aged 70 years or older.  Methods  A retrospective analysis was performed for the clinical data of 92 elderly patients with hepatocellular carcinoma who were admitted to The Fifth Medical Center of Chinese PLA General Hospital from January 2014 to January 2018, among whom 46 underwent cryoablation alone (CRYO group) and 46 underwent cryoablation combined with PEI (combination therapy group). The two groups were compared in terms of clinical outcome, adverse reactions, and changes in liver function parameters after treatment, and the patients were followed up to observe tumor recurrence and survival. The t-test was used for comparison of normally distributed continuous data between two groups, and the Mann-Whitney U test was used for comparison of non-normally distributed continuous data between two groups; the chi-square test was used for comparison of categorical data between two groups. The Kaplan-Meier method was used for survival analysis, and the log-rank test was used for comparison of survival curves. The Cox regression analysis was used to identify the independent risk factors for survival and prognosis.  Results  There was no significant difference in the response rate of initial ablation between the combination therapy group and the CRYO group (89.1% vs 73.9%, P > 0.05). There were no significant differences between the CRYO group and the combination therapy group in overall survival time and tumor-free survival rate after surgery (P > 0.05), and compared with the CRYO group, the combination therapy group had significantly lower 1-, 2-, and 3-year local tumor progression rates (20%/21%/21% vs 30%/46%/46%, χ2=4.187, P < 0.05). The multivariate Cox regression analysis showed that cryoablation alone might be an independent risk factor for local tumor progression(HR=2.206, 95%CI: 1.003-4.850, P=0.049). There was no significant difference in the incidence rate of adverse reactions between the two groups (P > 0.05), but 3 patients in the CRYO group experienced serious adverse reactions, while no patients in the combination therapy group experienced such reactions.  Conclusion  For elderly patients with early-stage hepatocellular carcinoma, cryoablation combined with PEI is safer and more effective than cryoablation alone and can significantly reduce local tumor progression rate.
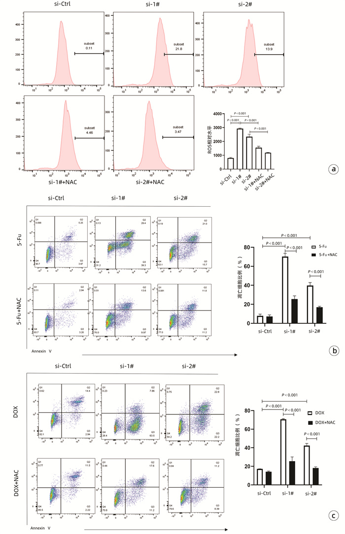
Role of thioredoxin reductase 1 in multidrug resistance caused by reactive oxygen species-related cell apoptosis in hepatocellular carcinoma
Dazhi LI, Junjie HUANG, Shusen ZHENG, Aibin ZHANG
2022, 38(2): 372-380. DOI: 10.3969/j.issn.1001-5256.2022.02.022
Abstract(1590) HTML (610) PDF (8489KB)(79)
Abstract:
  Objective  Drug resistance is the main cause of chemotherapy failure in hepatocellular carcinoma (HCC), and thioredoxin reductase 1 (TXNRD1), as a major influencing factor for reactive oxygen species (ROS) metabolism, has been proven to be associated with the poor prognosis of patients with HCC. This study aims to explore the role of TXNRD1 in the mechanism of multidrug resistance in HCC.  Methods  BEL/FU cells in BEL-7402 cell line were selected as the multidrug-resistant cell line. The siRNA was used for the intervention of TXNRD1 expression; quantitative real-time PCR and Western blotting were used to measure the expression of TXNRD1; CCK-8 assay and flow cytometry were used to evaluate the effect of TXNRD1 on hepatocyte ROS accumulation, resistance to 5-fluorouracil (5-Fu) and doxorubicin (DOX), and apoptosis in vitro; a xenograft tumor model was established to investigate the effect of auranofin (AUR) on drug resistance in vivo. The two-independent-samples t test was used for comparison of continuous data between two groups.  Results  As a multidrug-resistant HCC cell line, BEL/Fu showed high mRNA and protein expression levels of TXNRD1 (both P < 0.05). Compared with 5-Fu or DOX treatment alone, the TXNRD1 inhibitor AUR combined with 5-Fu or DOX had had a significant reduction in the number of colony formation (P < 0.01) and a significant increase in apoptosis ratio (P < 0.001). The ROS scavenger N-acetylcysteine (NAC) significantly weakened the effect of TXNRD1 knockdown by siRNA on the drug resistance of BEL/Fu cells, and the application of NAC effectively reduced the apoptosis ratio of cells after siRNA interference (P < 0.001). Animal experiments also confirmed that compared with the nude mice treated with 5-Fu alone, the nude mice treated with 5-Fu and AUR had a significantly lower tumor mass (P < 0.001) and a significantly smaller tumor volume (P < 0.001).  Conclusion  TXNRD1 plays an important role in the drug resistance of HCC, and inhibition of its level in cells can effectively improve drug resistance. As a TXNRD1 inhibitor, AUR has great application prospects in the multimodality therapy for HCC.
Original Articles_Other Liver Diseases
Effect of platelet level and platelet parameters on the prognosis of patients with acute-on-chronic liver failure
Nuo SI, Fang LIU, Lei LIU, Hua LIU, Yingying CAO, Juan LI, Jing LIANG
2022, 38(2): 381-386. DOI: 10.3969/j.issn.1001-5256.2022.02.023
Abstract(1046) HTML (395) PDF (2578KB)(70)
Abstract:
  Objective  To investigate the differences in platelet and platelet parameters between patients with different types and etiologies of acute-on-chronic liver failure (ACLF) and the influence of platelet and its dynamic change on the prognosis of ACLF patients.  Methods  Clinical data, liver function parameters, platelet, and platelet parameters were collected from 364 patients with ACLF who attended Tianjin Third Central Hospital from January 2014 to December 2018. Platelet level and platelet parameters (platelet distribution width and mean platelet volume) were compared between the patients with different types and etiologies of ACLF, and their influence on the 90-day mortality rate of ACLF patients was analyzed, as well as the association of the dynamic change of platelet at baseline and on days 7 and 14 after admission with the prognosis of patients. The chi-square test was used for comparison of categorical data between groups; the Kruskal-Wallis H test or Mann-Whitney U test was used for comparison of continuous data between groups; the Kaplan-Meier method was used for survival analysis; the univariate and multivariate Cox regression analyses were used to analyze the parameters associated with prognosis; the repeated measures analysis of variance was used to analyze the dynamic change of platelet; receiver operating characteristic (ROC) curve was plotted based on platelet level and overall survival.  Results  The patients with type C ACLF had a significantly lower platelet level than those with type A/B ACLF (all P < 0.001). Compared with the ACLF patients with hepatitis B, the ACLF patients with autoimmune liver diseases had a significant reduction in mean platelet volume (P=0.035). Based on the cut-off value obtained by the ROC curve analysis, the patients with a platelet level of < 60.5×109/L had a significantly higher mortality rate than those with a platelet level of ≥60.5×109/L (P=0.006). Platelet level was an independent protective factor against 90-day death in ACLF patients (hazard ratio=0.995, 95% confidence interval: 0.990-0.999, P=0.026), and the mortality rate increased with the reduction in platelet level. The patients with type C ACLF had a significantly higher mortality rate than those with type A ACLF (P < 0.05), and the death group tended to have a significantly greater reduction in platelet level (P < 0.05). Compared with the survival group, the 90-day death group had a significantly greater reduction in platelet (P=0.032).  Conclusion  There is a difference in platelet level between ACLF patients with different types. Platelet level is an important indicator for the 90-day prognosis of ACLF patients, and patients with a greater dynamic reduction in platelet tend to have a higher 90-day mortality rate.
Intelligent identification of the big data of liver injury-related adverse drug reactions based on text database
Feilin GE, Yuming GUO, Ming NIU, Xu ZHAO, Zhaofang BAI, Jiabo WANG, Xiaohe XIAO
2022, 38(2): 387-391. DOI: 10.3969/j.issn.1001-5256.2022.02.024
Abstract(1243) HTML (431) PDF (3705KB)(59)
Abstract:
  Objective  To establish the intelligent identification method for the big data of liver injury-related adverse drug reaction (ADR) based on the construction of text database.  Methods  With the keywords including "drug-induced liver injury" and "abnormal liver function" and a search time of January 1, 2012 to December 31, 2016, 5% (4152 cases) of the case reports of liver injury-related ADR were retrieved and extracted from the China Adverse Drug Reaction Monitoring System, and then based on clinical reevaluation by physicians, these cases were classified into "negative cases", "suspected cases", and "confirmed cases". On this basis, key elements (including ADR name, biochemical parameter, and clinical symptoms) were identified. An intelligent identification method for liver injury-related ADR was established based on the correlation analysis between key elements and clinical reevaluation and the receiver operating characteristic (ROC) curve for determining cut-off values, and the method of cross validation was used to evaluate the performance of this intelligent identification method.  Results  The formula for the evaluation and identification of liver injury-related ADR was as follows: total score (M)=symptom score+index score+ADR name score. This formula showed the best discriminatory ability to distinguish "negative case" from "suspected case" or "confirmed case" at M=5 (area under the ROC curve [AUC]=0.97), with a sensitivity of 99.57% and a specificity of 84.61%, and it showed the best discriminatory ability to distinguish "confirmed case" from "suspected case" or "negative case" at M=12 (AUC=0.938), with a sensitivity of 87.93% and a specificity of 85.98%.  Conclusion  This method provides reference and basis for intelligent identification and evaluation of big data on liver injury-related ADR and is expected to effectively reduce the burden of manual processing of ADR big data and provide effective tools and methodological demonstration for early risk signal identification and warning of liver injury-related ADR.
Influence of mitochondria-targeted antioxidant SS-31 on acute liver injury in a mouse model of sepsis
Mingyin MAN, Nana LI, Yue BU, Kaijiang YU
2022, 38(2): 392-396. DOI: 10.3969/j.issn.1001-5256.2022.02.025
Abstract(1764) HTML (636) PDF (3168KB)(65)
Abstract:
  Objective  To investigate the effect of the mitochondria-targeted antioxidant SS-31 on acute liver injury in a mouse model of sepsis.  Methods  A total of 24 adult male C57BL/6J mice were randomly divided into control group, control+SS-31 group, lipopolysaccharide (LPS) group, and LPS+SS-31 group, with 6 mice in each group. The mice were given intraperitoneal injection of LPS (10 mg/kg) to establish a model of sepsis and acute liver injury, followed by intraperitoneal injection of SS-31 (10 mg/kg) for treatment, and the mice in the control group were given intraperitoneal injection of an equal volume of PBS solution, followed by intraperitoneal injection of an equal volume of normal saline. After 12 hours, ELISA was used to measure the levels of alanine aminotransferase (ALT), aspartate aminotransferase (AST), reactive oxygen species (ROS), superoxide dismutase (SOD), tumor necrosis factor-α (TNFα), interleukin-1β(IL-1β), and interleukin-6 (IL-6), and HE staining was used to observe liver histopathological changes. A one-way analysis of variance was used for comparison of continuous data between multiple groups, and the least significant difference t-test was used for further comparison between two groups.  Results  Compared with the LPS group, the LPS+SS-31 group had significant reductions in the serum levels of ALT (140.05±12.22 U/L vs 102.64±8.75 U/L, P < 0.05) and AST (80.22±4.71 U/L vs 69.26±5.37 U/L, P < 0.05) and the levels of ROS (1 030.21±115.87 pg/mL vs 847.84±63.65 pg/mL, P < 0.05), TNFα (767.18±60.60 ng/mL vs 698.89±16.99 ng/mL, P < 0.05), IL-1β (29.97±1.37 ng/mL vs 26.70±3.09 ng/mL, P < 0.05), and IL-6 (59.13±7.09 pg/mL vs 49.29±3.41 pg/mL, P < 0.05) in liver tissue. Compared with the control group based on HE staining, the LPS group showed destruction of hepatic lobular structure, inflammatory cell infiltration, ambiguous intercellular space, and hepatocyte swelling, while the LPS+SS-31 group showed alleviation of inflammatory cell infiltration and hepatocyte swelling.  Conclusion  The mitochondria-targeted antioxidant SS-31 can reduce the production of ROS, downregulate the highly expressed inflammatory factors in sepsis, and alleviate sepsis-related acute liver injury in mice.
UGT1A1 gene polymorphisms in patients with Gilbert syndrome and Crigler-Najjar syndrome type Ⅱ
Nianchen LIU, Jie BAI, Chen LIANG, Li BAI, Shuang LIU, Zhongping DUAN, Sujun ZHENG
2022, 38(2): 397-401. DOI: 10.3969/j.issn.1001-5256.2022.02.026
Abstract(1229) HTML (802) PDF (2018KB)(93)
Abstract:
  Objective  To investigate the differences in UGT1A1 gene mutation sites, haplotypes, and diplotypes between patients with Gilbert syndrome (GS) and those with Crigler-Najjar syndrome type Ⅱ (CN-2).  Methods  A retrospective analysis was performed for the clinical data of 138 patients with GS or CN-2 who attended Beijing YouAn Hospital, Capital Medical University, from January 1, 2010 to December 31, 2019, with 109 patients in the GS group and 29 patients in the CN-2 group, and the differences in mutation sites were analyzed between the two phenotypes. The Mann-Whitney U test was used for comparison of continuous data between two groups, and the chi-square test or the Fisher's exact test was used for comparison of categorical data between groups. SNPStats software was used to perform linkage disequilibrium (LD) and haplotype analyses of mutation sites. Strong LD was defined as both |D′| and r2 > 0.8, and moderate LD was defined as |D′| > 0.8 and r2 > 0.4.  Results  UGT1A1 gene detection was performed for all patients, and mutations mainly included -3279T > G mutation (104 patients, 75.36%) and -3152G > A mutation (82 patients, 59.42%) in the upstream promoter PBREM region, a promoter TATA box TA insertion mutation (88 patients, 63.77%), and c.211G > A mutation in Exon 1 of the coding region (66 patients, 47.83%). Compared with the CN-2 group, the GS group had a significantly higher proportion of PBREM region -3279T > G mutation (82.57% vs 48.28%, χ2=14.508, P < 0.001), PBREM region -3152G > A mutation (68.81% vs 24.14%, χ2=18.955, P < 0.001), and promoter TATA box (TA)6 > (TA)7 mutation (72.48% vs 31.03%, χ2=17.027, P < 0.001), and compared with the GS group, the CN-2 group had a significantly higher proportion of mutations at the c.211 locus (68.97% vs 42.20%, χ2=6.575, P=0.010) and the c.1456 locus (51.72% vs 7.34%, χ2=29.372, P < 0.001). LD analysis of different mutation sites of the UGT1A1 gene showed strong LD (|D′| > 0.8, r2 > 0.8) between (TA)6 > (TA)7 and -3152G > A and moderate LD (|D′| > 0.8, r2 > 0.4) between (TA)6 > (TA)7 and -3279T > G, between -3152G > A and -3279T > G, between (TA)6 > (TA)7 and c.211G > A, and between -3279T > G and c.211G > A. Haplotype frequency analysis showed that compared with the CN-2 group, the GS group had a significantly higher frequency of haplotype -3279G—-3152A—(TA)7 (45.72% vs 17.24%, χ2=7.833, P=0.005) and significantly lower frequencies of c.1456G (4.10% vs 16.48%, χ2=4.873, P=0.027) and c.211A—c.1456G (1.86% vs 24.90%, χ2=15.210, P < 0.001). The diplotype analysis showed that diplotypes consisting of haplotype c.1456G or c.211A—c.1456G were associated with a higher level of total bilirubin (TBil).  Conclusion  There are differences in common mutation sites and major haplotypes of the UGT1A1 gene between patients with GS and those with CN-2, and the common diplotypes of CN-2 correspond to a higher level of TBil.
Establishment and validation of a risk prediction model for early-stage complications after liver transplantation
Xing DAI, Ben GAO, Xinxin ZHANG, Yanyan SUN, Wentao JIANG, Jiang LI
2022, 38(2): 402-408. DOI: 10.3969/j.issn.1001-5256.2022.02.027
Abstract(1209) HTML (564) PDF (2853KB)(71)
Abstract:
  Objective  To investigate the risk factors for early-stage complications among liver transplant recipients, and to establish and validate a risk prediction model for early-stage complications after transplantation.  Methods  A retrospective analysis was performed for the clinical data of 234 patients who underwent orthotopic liver transplantation in Department of Liver Transplantation, Tianjin First Central Hospital, from January 2016 to December 2018. According to the presence or absence of Clavien-Dindo grade ≥Ⅲ complications after liver transplantation, the patients were divided into complication group with 97 patients and non-complication group with 137 patients. The two groups were compared in terms of the indices including age, sex, body mass index (BMI), blood type, psoas muscle thickness/height (PMTH), Controlling Nutritional Status (CONUT) score, Model for End-Stage Liver Disease (MELD) score, total serum bilirubin, serum creatinine, international normalized ratio of prothrombin time, blood urea nitrogen, hemoglobin, white blood cell count, platelet count, amount of intraoperative red blood cell transfusion, amount of frozen plasma transfusion, blood loss, anhepatic phase, time of operation, donor age, donor BMI, cold ischemia time of donor liver, and warm ischemia time of donor liver. The independent samples t-test was used for comparison of normally distributed continuous data between two groups, and the Mann-Whitney U test was used for comparison of non-normally distributed continuous data between two groups; the chi-square test was used for comparison of categorical data between two groups. Univariate analysis and the binary logistic regression analysis were used to investigate the risk factors for early-stage complications after liver transplantation, and a risk prediction model for complications after liver transplantation was established based on the method for establishing a scoring system using the logistic model provided by Framingham Research Center. Internal validation of the model was performed by C-index, receiver operating characteristic (ROC) curve, calibration curve, and the Hosmer-Lemeshow test, and the decision curve was used to evaluate the clinical applicability of the model. The Kaplan-Meier method was used to compare the incidence rate of early-stage complications after liver transplantation between the patients with different risk scores.  Results  Compared with the non-complication group, the complication group had significantly higher MELD score, proportion of patients with low PMTH, total serum bilirubin, serum creatinine, blood urea nitrogen, CONUT score, amount of intraoperative red blood cell transfusion, and amount of frozen plasma transfusion, as well as a significantly lower level of hemoglobin (all P < 0.1). The multivariate binary logistic regression analysis showed that MELD score (odds ratio [OR]=1.104, 95% confidence interval [CI]: 1.057-1.154, P < 0.05), PMTH (OR=2.858, 95%CI: 1.451-5.626, P < 0.05), and CONUT score (OR=1.481, 95%CI: 1.287-1.703, P < 0.05) were independent risk factors for grade ≥Ⅲ complications in the early stage after liver transplantation. MELD score, PMTH, and CONUT score were included in a predictive model, and this model had the highest score of 24 points, a C-index of 0.828, an area under the ROC curve of 0.812(P < 0.001), a sensitivity of 0.792, and a specificity of 0.751, suggesting that this predictive model had good discriminatory ability. The calibration curve of this model was close to the reference curve, and the Hosmer-Lemeshow test obtained a chi-square value of 8.528(P=0.382), suggesting that this predictive model had a high degree of fitting. The decision curve showed that most patients were able to benefit from the predictive model and achieved a high net benefit rate, suggesting that this predictive model had good clinical applicability. The score of 11 was selected as the cut-off value according to the optimal Youden index of 0.507, and the patients were divided into low-risk (< 8 points) group with 55 patients, moderate-risk (8-10 points) group with 63 patients, high-risk (11-14 points) group with 67 patients, and extremely high-risk (≥15 points) group with 49 patients. These four groups had a 90-day cumulative incidence rate of early-stage postoperative complications of 3.6%, 28.6%, 59.7%, and 75.5%, respectively, and the incidence rate of complications increased with the increase in risk score (P < 0.001).  Conclusion  MELD score, PMTH, and CONUT score are independent risk factors for early-stage complications among liver transplant recipients, and the risk prediction model established based on these factors has a high predictive value in high-risk patients.
Original Articles_Pancreatic Diseases
Genomic profile of pancreatic tumor in the coastal regions of Eastern China: A multicenter analysis of 40 cases
Jing WANG, Bin TAN, Zhijie ZHAO, Haochen ZHONG, Linlin QU
2022, 38(2): 409-414. DOI: 10.3969/j.issn.1001-5256.2022.02.028
Abstract(1147) HTML (345) PDF (3577KB)(45)
Abstract:
  Objective  To investigate the gene mutations of Chinese patients with pancreatic cancer in the coastal regions of Eastern China, and to provide a basis for individualized treatment.  Methods  A total of 40 patients who were admitted and diagnosed with malignant pancreatic tumor after surgical treatment in The Affiliated Hospital of Qingdao University, Qingdao Municipal Hospital, Yantaishan Hospital, and Yantai Sino-France Friendship Hospital from January 2017 to June 2019 were enrolled. Next-generation sequencing (NGS) was used to detect gene mutations in tumor tissue and somatic cells, and the map of gene mutations was plotted to analyze genomic alterations. The chi-square test or the Fisher's exact test was used for comparison of categorical data between groups. The Kaplan-Meier method was used to plot survival curves, and the log-rank test was used for comparison between groups.  Results  Among the 40 patients, 34 (85.0%) had pancreatic ductal adenocarcinoma, 3 (7.5%) had solid pseudopapillary neoplasm of the pancreas, 1 (2.5%) had pancreatic neuroendocrine tumor, and 2 (5.0%) had unclear typing. KRAS (80.0%, 32/40), TP53 (70.0%, 28/40), CDKN2A (32.5%, 13/40), SMAD4 (17.5%, 7/40), and AKT2 (17.5%, 7/40) were the most common mutations, and there was no significant difference in survival time between the patients with these five common gene mutations (all P > 0.05).  Conclusion  NGS technology can provide comprehensive and accurate information of genomic alterations and may provide novel potential biomarkers for the diagnosis and precise treatment of pancreatic cancer. The analysis of mutant genes also lays a foundation for the individualized treatment of pancreatic cancer.
Brief Reports
Clinical features and genetic analysis of two children with arthrogryposis, renal insufficiency, and cholestasis syndrome
Tao JIANG, Haiyan LUO, Wenxian OUYANG, Lian TANG, Yanfang TAN, Hui ZHANG, Shuangjie LI
2022, 38(2): 415-417. DOI: 10.3969/j.issn.1001-5256.2022.02.029
Abstract(969) HTML (318) PDF (2204KB)(50)
Abstract:
Case Reports
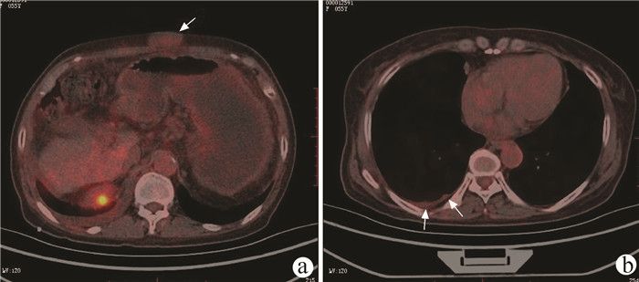
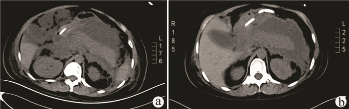
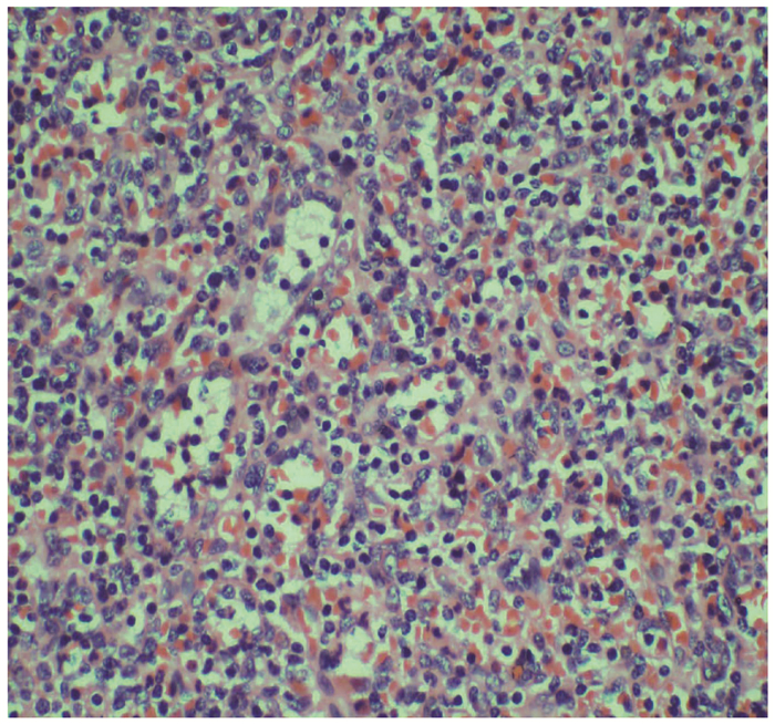
Malignant pleural mesothelioma with peritoneal metastasis in cirrhotic decompensation: A case report
Lixia LU, Xiaoqing XIE, Ying ZHENG, Xin LIU, Jianping WANG, Junke WANG, Pan WANG, Xiaohui YU
2022, 38(2): 418-419. DOI: 10.3969/j.issn.1001-5256.2022.02.030
Abstract(859) HTML (252) PDF (2461KB)(42)
Abstract:
Liver injury in patients with systemic lupus erythematosus with pulmonary hypertension: A case report
Yanlin LI, Yichuan WANG, Jianhua WU, Pei JIA, Yao WANG, Wanhu FAN, Zhengwen LIU, Jing LUO, Songlin ZHANG, Xiaojing LIU
2022, 38(2): 420-422. DOI: 10.3969/j.issn.1001-5256.2022.02.031
Abstract(929) HTML (252) PDF (2037KB)(33)
Abstract:
Hereditary hemorrhagic telangiectasia of the liver: A case report
Tingting WANG, Liang MA, Jianping CHEN
2022, 38(2): 423-425. DOI: 10.3969/j.issn.1001-5256.2022.02.032
Abstract(1009) HTML (348) PDF (2696KB)(39)
Abstract:
Complete resection of hepatic vesicular hydatid of caudate lobe in a child by midline fissure approach combined with left and right approaches: A case report
Han LI, Lizhao HOU, Haijiu WANG, Cong WANG, Haining FAN
2022, 38(2): 426-429. DOI: 10.3969/j.issn.1001-5256.2022.02.033
Abstract(1049) HTML (273) PDF (3527KB)(32)
Abstract:
A case of portal biliopathy
Peng JIANG, Shupeng WANG, Yahui LIU
2022, 38(2): 430-432. DOI: 10.3969/j.issn.1001-5256.2022.02.034
Abstract(648) HTML (233) PDF (2686KB)(37)
Abstract:
Sheehan syndrome with severe acute pancreatitis: A case report
Qiu WANG, Zhengguang GENG, Xiaoyun FU, Bao FU
2022, 38(2): 433-435. DOI: 10.3969/j.issn.1001-5256.2022.02.035
Abstract(987) HTML (434) PDF (2094KB)(48)
Abstract:
Intrapancreatic accessory spleen misdiagnosed as pancreatic neuroendocrine tumor: A case report
Xuxiang XIA, Guoyue LYU, Xiaotong QIU, Wei QIU
2022, 38(2): 436-438. DOI: 10.3969/j.issn.1001-5256.2022.02.036
Abstract(1098) HTML (844) PDF (2885KB)(44)
Abstract:
Reviews
Role of branched-chain amino acids in the development and progression of nonalcoholic fatty liver disease
Xiaoqing XIE, Yaxian LIU, Shun CHEN, Xiaohui YU
2022, 38(2): 439-442. DOI: 10.3969/j.issn.1001-5256.2022.02.037
Abstract(997) HTML (1243) PDF (3176KB)(97)
Abstract:
Nonalcoholic fatty liver disease is a common chronic liver disease with the risk of progression to nonalcoholic hepatitis, liver fibrosis, and hepatocellular carcinoma. Nonalcoholic fatty liver disease has various pathogeneses, among which abnormal metabolism of branched-chain amino acids can induce oxidative stress, autophagy, and mitochondrial dysfunction in hepatocytes and is the most important mechanism in the development and progression of nonalcoholic fatty liver disease. This article reviews related research advances and analyzes the possible role of abnormal metabolism of branched-chain amino acids in the development and progression of nonalcoholic fatty liver disease, in order to improve clinical awareness and diagnosis.
Association between the Wnt signaling pathway and hepatic fibrosis
Qin FAN, Hongjun LI, Xiaoxia LI, Yin YANG, Haiyan CHEN, Jiamao CHENG
2022, 38(2): 443-447. DOI: 10.3969/j.issn.1001-5256.2022.02.038
Abstract(1686) HTML (760) PDF (2748KB)(82)
Abstract:
Hepatic fibrosis (HF) is a self-healing pathological process after all kinds of chronic liver injuries and can cause diseases such as liver cirrhosis and liver cancer. The Wnt signaling pathway is highly conserved in species evolution and widely exists in invertebrates and vertebrates, and many studies have confirmed that the Wnt signaling pathway is closely associated with the development and progression of HF. This article reviews the mechanisms of the classical and non-classical Wnt signaling pathways in regulating hepatic stellate cells, hepatic macrophages, and hepatic progenitor cells, so as to provide new ideas for subsequent studies on the mechanism of the Wnt signaling pathway in regulating HF and further exploration of therapeutic targets that can reverse HF.
Advances in the application of Stroop test in minimal hepatic encephalopathy
Xiaohong GAO, Peiyan LI, Fang PENG
2022, 38(2): 448-451. DOI: 10.3969/j.issn.1001-5256.2022.02.039
Abstract(1245) HTML (350) PDF (1922KB)(53)
Abstract:
Minimal hepatic encephalopathy(MHE) is an early stage of hepatic encephalopathy with an insidious onset and a high rate of missed diagnosis in clinical practice, and it is of great importance to diagnose MHE as early as possible and provide effective clinical intervention. There are many diagnostic methods for MHE, among which psychometric hepatic encephalopathy score is the most commonly used method at present, but its wide application in clinical practice is limited by its complex and time-consuming operation, and therefore, it is urgent to find a simple, rapid, and effective clinical diagnostic method. Stroop test is a test for psychomotor speed and cognitive flexibility, and its value in the diagnosis of MHE has been verified in various countries including the United States and South Korea. This article introduces the development of Stroop test and its application in MHE, and the analysis shows that Stroop test based on mobile devices has a high sensitivity in the diagnosis of MHE and is simple, convenient, and feasible. It is hoped that this test can be widely used in the clinical work of MHE screening in China in the future.
Advances and challenges in clinical research on hepatic hydrothorax
Bo MA, Tianling SHANG, Jianjie HUANG, Zhixin TU, Yan WANG, Yujin HAN, Xiaoyu WEN, Qinglong JIN
2022, 38(2): 452-456. DOI: 10.3969/j.issn.1001-5256.2022.02.040
Abstract(1343) HTML (467) PDF (1934KB)(106)
Abstract:
Hepatic hydrothorax (HH) is a challenging complication of liver cirrhosis associated with portal hypertension, and its pathogenesis and therapeutic measures remain unknown. This article summarizes and reviews the advances and challenges in the research on the pathogenesis, clinical manifestations, diagnosis, and treatment of HH and proposes a multidisciplinary treatment strategy, including reducing the production of ascites, preventing effusion from entering the thoracic cavity, removing pleural effusion, occluding the pleural cavity, and performing liver transplantation, so as to provide a reference for more clinicians.
Role of liver-resident natural killer cells in the development and progression of hepatocellular carcinoma
Junqi WANG, Feng XU
2022, 38(2): 457-460. DOI: 10.3969/j.issn.1001-5256.2022.02.041
Abstract(1012) HTML (638) PDF (2117KB)(76)
Abstract:
Liver-resident natural killer (LrNK) cells, as a type of newly discovered tissue-resident natural killer cells, have a strong immune killing function. During the development and progression of hepatocellular carcinoma (HCC), the function of LrNK cells is impaired and such cells may promote the progression of HCC by upregulating the expression of related immune checkpoints. Based on the latest research, this article reviews the immune function of LrNK cells and their role in the development and progression of HCC, in order to explore the application prospect of these cells in HCC immunotherapy.
Role of sphingomyelinases in hepatocellular carcinoma
Chun YAO, Guangfa ZHANG, Yingyu LE, Dewen MAO, Rongzhen ZHANG, Yin LIU
2022, 38(2): 461-465. DOI: 10.3969/j.issn.1001-5256.2022.02.042
Abstract(1243) HTML (790) PDF (1941KB)(71)
Abstract:
Sphingomyelinases (SMase) are the main enzymes that regulate the signaling pathway of sphingomyelin and the metabolism of related products, and they are involved in the key steps of the complex metabolic process of sphingomyelin. In recent years, many studies have shown that SMase is involved in the biological processes such as cell cycle arrest, cell migration, and inflammation and promotes the development and progression of hepatocellular carcinoma by regulating the apoptosis and proliferation of tumor stem cells. SMase has an important potential biological value in the development, progression, diagnosis, and treatment of hepatocellular carcinoma. This article summarizes the exact role of SMase in the development and progression of hepatocellular carcinoma, in order to provide new ideas and strategies for the clinical treatment of hepatocellular carcinoma and the development of new drugs.
Development and clinical application of contrast enhanced ultrasound Liver Imaging Reporting and Data System
Jianmin DING, Zhengyi QIN, Fang WANG
2022, 38(2): 466-470. DOI: 10.3969/j.issn.1001-5256.2022.02.043
Abstract(1358) HTML (343) PDF (1936KB)(68)
Abstract:
Hepatocellular carcinoma (HCC) is a malignant tumor with high incidence in China and the whole world, and early diagnosis and treatment are the key to improving the prognosis of patients. To facilitate the communication and cooperation between doctors of different centers and specialties, American College of Radiology issued the first edition of contrast-enhanced ultrasound (CEUS) Liver Imaging Reporting and Data System (LI-RADS) in 2016 to standardize the technical terms, techniques, interpretation, reporting, and data collection for liver imaging and perform HCC risk stratification for different focal liver lesions. This article reviews the development and clinical application of CEUS LI-RADS and believes that the application of CEUS LI-RADS has a great potential value in the clinical management of focal liver lesions in the population at a high risk of HCC, and the applicable population and indications for CEUS LI-RADS will continue to expand in the near future, so as to provide better service to clinical practice.
Research advances in the prevention and treatment of hepatic ischemia-reperfusion injury with traditional Chinese medicine components
Zhen LI, Yihao ZENG, Ke WANG, Kaiqiang WANG, Kexian YU
2022, 38(2): 471-476. DOI: 10.3969/j.issn.1001-5256.2022.02.044
Abstract(1163) HTML (703) PDF (4623KB)(65)
Abstract:
Hepatic ischemia-reperfusion injury (HIRI) is a very common complication of liver transplantation, liver resection, and shock. At present, many studies have been conducted on HIRI, but there is still a lack of drugs for radical treatment in clinical practice. Many factors, such as related cells, molecular mechanisms and signaling pathways, reactive oxygen species and oxidative stress response, nitric oxide, and mitochondria, mediate the development and progression of HIRI, which leads to the decline of patients' quality of life and even endangers their life safety. Based on the pathogenesis of HIRI and related articles, this article summarizes the research advances in the prevention and treatment of HIRI with traditional Chinese medicine components, so as to provide theoretical support for basic research and clinical research on HIRI.
Research advances in the formation mechanism of primary intrahepatic stones caused by biliary flora
Jiangping REN, Jinfei QIU, Yang ZOU, Xiaobei CAI, Chenglei XU, Jiang LI
2022, 38(2): 477-482. DOI: 10.3969/j.issn.1001-5256.2022.02.045
Abstract(1543) HTML (908) PDF (3084KB)(110)
Abstract:
Primary intrahepatic stones (PIS) is a refractory disease with a high incidence rate in southwest China, and some patients still require surgery again or even more times after initial treatment. Many studies in recent years have shown that some specific flora can colonize in the intrahepatic bile duct, leading to chronic infection and inflammation of the biliary system, and these specific types of flora, called "stone-causing flora", can produce metabolites such as β-glucuronidase and play an important role in the formation of pigmented stones. This article analyzes the role of stone-causing flora in the pathogenesis of PIS, so as to provide more treatment options for PIS patients.
Systemic therapy and local therapy for biliary tract cancer: Current status and advances
Kanglian ZHENG, Xiaodong WANG
2022, 38(2): 483-488. DOI: 10.3969/j.issn.1001-5256.2022.02.046
Abstract(1194) HTML (917) PDF (1961KB)(121)
Abstract:
Biliary tract cancer (BTC) is a digestive system malignancy with extremely poor prognosis, and the survival time of patients with BTC has been prolonged with the development of various treatment methods in recent years. This article reviews the current status and advances in surgery, systemic therapy, radiotherapy, and interventional therapy for BTC, so as to provide a reference for the treatment of BTC in clinical practice.
Introduction of High-quality Articles in Foreign Journals
Journal of Hepatology|Single-cell RNA sequencing reveals the presence of an MDK-dependent immunosuppressive microenvironment in ErbB pathway-mutated gallbladder carcinoma
2022, 38(2): 281-281. DOI: 10.3969/j.issn.1001-5256.2022.02.gwjpwzjj1
Abstract(524) HTML (338) PDF (863KB)(42)
Abstract:
Hepatology|Gastrodin improves nonalcoholic steatohepatitis by activating the AMPK signaling pathway
2022, 38(2): 319-319. DOI: 10.3969/j.issn.1001-5256.2022.02.gwjpwzjj2
Abstract(474) HTML (337) PDF (1389KB)(30)
Abstract:
Hepatology| Peroxisome proliferator - activated receptor α promotes liver enlargement and liver regeneration via the YAP-TEAD signaling pathway
2022, 38(2): 341-341. DOI: 10.3969/j.issn.1001-5256.2022.02.gwjpwzjj3
Abstract(427) HTML (291) PDF (869KB)(29)
Abstract:
Journal of Gastroenterology and Hepatology|Rifampicin can improve cholestasis in patients with persistent hepatocellular secretory failure
2022, 38(2): 396-396. DOI: 10.3969/j.issn.1001-5256.2022.02.gwjpwzjj4
Abstract(579) HTML (289) PDF (870KB)(82)
Abstract:
Journal of Gastroenterology and Hepatology|Compared with chemotherapy alone as the first-line treatment, PD-1 inhibitor combined with chemotherapy can significantly improve the median progression-free survival time of patients with metastatic or recurrent cholangiocarcinoma
2022, 38(2): 401-401. DOI: 10.3969/j.issn.1001-5256.2022.02.gwjpwzjj5
Abstract(507) HTML (264) PDF (871KB)(39)
Abstract:
Hepatology|Myeloid cell-specific IL-6 signal alleviates nonalcoholic fatty liver disease-related fibrosis by promoting the release of microRNA-223-enriched exosome
2022, 38(2): 414-414. DOI: 10.3969/j.issn.1001-5256.2022.02.gwjpwzjj6
Abstract(462) HTML (263) PDF (869KB)(34)
Abstract:
Hepatology International|Diabetes is associated with the poor short-term prognosis of patients with HBV-related acute-on-chronic liver failure
2022, 38(2): 432-432. DOI: 10.3969/j.issn.1001-5256.2022.02.gwjpwzjj7
Abstract(461) HTML (174) PDF (1392KB)(36)
Abstract:
Hepatology|Lenvatinib exerts a therapeutic effect on hepatocellular carcinoma by targeting fibroblast growth factor receptor 4 to reduce PD-1
2022, 38(2): 435-435. DOI: 10.3969/j.issn.1001-5256.2022.02.gwjpwzjj8
Abstract(462) HTML (424) PDF (869KB)(28)
Abstract:
Journal of Gastroenterology and Hepatology|A high serum ferritin level increases the risk of death associated with chronic liver diseases
2022, 38(2): 438-438. DOI: 10.3969/j.issn.1001-5256.2022.02.gwjpwzjj9
Abstract(518) HTML (226) PDF (868KB)(38)
Abstract:
Hepatology International|Tenofovir alafenamide fumarate tablets and tenofovir disoproxil fumarate can safely and effectively block the mother-to-child vertical transmission of HBV in pregnant women with high viral load
2022, 38(2): 470-470. DOI: 10.3969/j.issn.1001-5256.2022.02.gwjpwzjj10
Abstract(861) HTML (533) PDF (867KB)(47)
Abstract:
Thanks
Current reviewers
2022, 38(2): 263-263. DOI: 10.3969/j.issn.1001-5256.2022.02.zhixie1
Abstract(458) HTML (186) PDF (1382KB)(30)
Abstract: