中文English
ISSN 1001-5256 (Print)
ISSN 2097-3497 (Online)
CN 22-1108/R

Vol.40 No.4 (282 in total) Apr. 2024
Theme Issue: Elimination of Hepatitis C Virus Infectionnction
Executive Chief Editor: CHEN Hongsong, RAO Huiying  
Peking University People’s Hospital

Display Method:
Editorial
Current status of hepatitis C virus infection and progress in its elimination in China
Haiying ZHANG, Huiying RAO, Hongsong CHEN
2024, 40(4): 649-653. DOI: 10.12449/JCH240401
Abstract(2148) HTML (1053) PDF (689KB)(390)
Abstract:
Hepatitis C virus (HCV) can develop into liver cirrhosis or hepatocellular carcinoma, imposing a heavy burden on the patient’s family and the society. Hepatitis C is one of the major public threats for humans, and eliminating hepatitis C is a common goal of all humans. Direct-acting antiviral agents (DAAs) are currently a relatively safe treatment regimen for hepatitis C that can reach a relatively high cure rate and can target different HCV genotypes, making it possible to eliminate HCV infection. China actively promotes the clinical application of DAAs, accelerates drug approval, improves the accessibility of DAAs, and strengthens population intervention. National Medical Insurance Administration has gradually included DAAs in the national medical insurance directory, providing strong support for eliminating HCV infection. In response to the WHO’s goal of eliminating viral hepatitis as a public health hazard by 2030, China has successively released national strategic plans and action plans in recent years, making significant achievements in HCV infection elimination, forming a joint prevention and control system across multiple sectors of the society, and ultimately achieving the goal of eliminating HCV infection. With a focus on the current status of HCV infection in China and prominent prevention and control strategies, this article analyzes and summarizes the practical process of the prevention, control, and micro-elimination of HCV infection, in order to provide a policy reference for carrying out HCV elimination in China and help to achieve the goal of comprehensive elimination of HCV infection.
Expert Forum
Management of hepatitis C in children and pregnant women
Yishan LIU, Lanting ZHANG, Yunyu ZHAO, Fanpu JI, Qinglei ZENG
2024, 40(4): 654-658. DOI: 10.12449/JCH240402
Abstract(1181) HTML (296) PDF (643KB)(183)
Abstract:
Hepatitis C virus infection is a global public health issue, and the emergence of direct-acting antiviral agents has brought revolutionary breakthroughs in the treatment of hepatitis C patients. Although direct-acting antiviral agents have a marked therapeutic effect in adult patients, there are still many challenges in the treatment of special populations such as pregnant women, infants, young children, and adolescents. This article reviews the current status of antiviral therapy for these special populations with hepatitis C and the problems that need to be solved, in order to provide reference and guidance for clinical workers.
Micro-elimination of hepatitis C virus infection in the hemodialysis population
Liangying GAN, Li ZUO
2024, 40(4): 659-664. DOI: 10.12449/JCH240403
Abstract(1334) HTML (314) PDF (645KB)(141)
Abstract:
The hemodialysis population is increasing year by year in China. Due to the specific nature of hemodialysis treatment, the prevalence and incidence rates of hepatitis C virus (HCV) infection in hemodialysis patients are much higher than the general population. In order to achieve the WHO’s initiative to eliminate HCV by 2030 and realize the micro-elimination of HCV in the hemodialysis population, standard infection control and hand hygiene procedures should be implemented to cut off the route of iatrogenic infection, especially to prevent the outbreak of HCV infection in hemodialysis centers. Screening for HCV infection should be conducted for patients newly admitted to the hemodialysis center or transferred to another hemodialysis center, and regular screening should be conducted for patients receiving maintenance hemodialysis to identify new HCV infections in the early stage. It is also necessary to collaborate with specialists and provide direct-acting antiviral therapy for hemodialysis patients with HCV infection.
Hepatitis C virus infection and organ transplantation
Li ZHANG, Peng HU
2024, 40(4): 665-671. DOI: 10.12449/JCH240404
Abstract(782) HTML (251) PDF (710KB)(94)
Abstract:
In recent years, rapid progress has been made in strategies for the prevention and treatment of hepatitis C virus (HCV) in organ transplant candidates and recipients, and although HCV infections no longer threaten transplantation outcomes in liver or non-hepatic solid organ transplantation, they remain a focus of research. Since hepatitis C is still a leading cause of death worldwide due to decompensated cirrhosis, liver failure, and hepatocellular carcinoma, appropriate organ transplantation is needed to improve survival rate and quality of life. With the increase in HCV-positive solid organ donors in recent years and the fact that the demand for organs still greatly exceeds organ supply, as well as the development of direct-acting antiviral agents, transplantation of HCV-viraemic organs into HCV-naïve recipients will significantly increase transplantation rates and reduce waitlist mortality. The efficacy of current HCV therapies has created an important opportunity to improve the survival rate of patients with end-organ failure by enhancing access to organ transplantation and reducing waitlist mortality.
Advances in laboratory testing methods and strategies for hepatitis C virus infection
Yu WANG, Wenge XING, Zhongfu LIU, Cong JIN
2024, 40(4): 672-678. DOI: 10.12449/JCH240405
Abstract(1358) HTML (641) PDF (928KB)(247)
Abstract:
Laboratory testing for hepatitis C virus (HCV) infection provides an important basis for the identification and diagnosis of patients with HCV infection. With the continuous development of HCV testing in recent years, the performance of reagents has been significantly improved, and new testing service strategies have emerged and gradually been applied in clinical practice. This article summarizes the laboratory testing methods and strategies for HCV infection in China and globally, as well as the testing methods for HCV infection, and analyzes the influence of new methods and strategies on the prevention and control of HCV infection in China. Timely and accurate laboratory testing methods and effective and feasible testing strategies may help to realize the early identification, early diagnosis, and early treatment of HCV infection and ultimately achieve the strategic goal of eliminating viral hepatitis as a major public health threat by 2030.
Guideline
An excerpt of American Association for the Study of Liver Diseases practice guidance on acute-on-chronic liver failure and the management of critically ill patients with cirrhosis in 2023
Haofeng XIONG, Liying. SUN
2024, 40(4): 679-681. DOI: 10.12449/JCH240406
Abstract(1610) HTML (508) PDF (488KB)(364)
Abstract:
The expert panel of American Association for the Study of Liver Diseases published Practice guidance on acute-on-chronic liver failure and the management of critically ill patients with cirrhosis on November 9, 2023 in Hepatology. This practice guidance elaborates on the definition of acute-on-chronic liver failure, prediction models, and the management of liver cirrhosis comorbid with acute-on-chronic liver failure and organ failure in critically ill patients, and this article gives an excerpt of the key points in the practice guidance.
Recommendations from Annals of Surgical Oncology: Clinical guidelines for extrahepatic cholangiocarcinoma and gallbladder carcinoma
Wei GUO, Xin LI, Mingda WANG, Tian YANG
2024, 40(4): 682-687. DOI: 10.12449/JCH240407
Abstract(2652) HTML (1152) PDF (997KB)(460)
Abstract:
Biliary tract carcinoma (BTC) is a type of gastrointestinal tumor with a low incidence rate and a strong invasive ability, mainly including intrahepatic cholangiocarcinoma (ICC), extrahepatic cholangiocarcinoma (ECC), and gallbladder carcinoma (GC), often accompanied by local progression or distant metastasis. Surgery is often the preferred treatment method for patients with local resectable tumor; however, there is still a high risk of recurrence after radical surgery. Therefore, multiple treatment modalities are often required for BTC patients, including surgical resection, systemic treatment (such as targeted therapy, chemotherapy, and immunotherapy), and/or a combination of local treatment methods. With the development of the field of BTC, it is critical for surgical oncologists to understand and master the latest surgical strategies and the best patient selection and management systems. In view of the complexity of treatment and the continuous development of diagnosis and treatment techniques, Annals of Surgical Oncology, an authoritative American journal of cancer surgery, recently published the practical diagnosis and treatment guidelines for hepatobiliary tumors, including hepatocellular carcinoma (HCC), ICC, ECC, and GC, aiming to provide more evidence-based evidence for the clinical management and decision-making of patients with hepatobiliary tumors. Due to the limitations of length and different emphases, this article mainly introduces the recommendations for the evaluation points and clinical treatment of ECC and GC in the guidelines, so as to provide a reference for clinical practice.
Fatty Liver Disease
Association between urinary thallium and nonalcoholic fatty liver disease
Yajie LIU, Ruilin WANG, Zihan LIANG, Jiahui LI, Yujie HAO
2024, 40(4): 688-693. DOI: 10.12449/JCH240408
Abstract(895) HTML (254) PDF (791KB)(107)
Abstract:
  Objective  To investigate the association between urinary thallium (TL) and nonalcoholic fatty liver disease (NAFLD).  Methods  Related data were collected from the registered participants aged ≥18 years in National Health and Nutrition Examination Survey from 2017 to 2020, with th exclusion of the individuals with a lack of liver transient elastography data and urinary TL indicators and those with hepatitis B, hepatitis C or significant alcohol consumption. A total of individuals were divided into NAFLD group and non-NAFLD group. Urinary TL level was quantitatively measured using high-performance liquid chromatography-electrospray ionization-tandem mass spectrometry and online solid-phase extraction combined with isotope dilution. The two groups were compared in terms of age, sex, race, marital status, education, family income poverty impact ratio (FMPIR), body mass index (BMI), smoking, alcohol consumption, diabetes mellitus (DM), hypertension (HTN), hyperlipidemia (HL), and urinary TL level. The independent-samples t test or the Wilcoxon rank-sum test was used for comparison of continuous data between two groups, and the chi-square test was used for comparison of categorical data between two groups. Descriptive analysis, multivariable Logistic regression, restricted cubic spline regression analysis, subgroup analysis, and interaction analysis were conducted to investigate the risk association between urinary TL and NAFLD.  Results  A total of 2 511 individuals were included, with 1 612 (64.20%) in the NAFLD group and 899 (35.80%) in the non-NAFLD group, and the NAFLD group had a significantly higher urinary TL level than the non-NAFLD group [0.18 (0.11‍ ‍— ‍0.26)μg/L vs 0.16 (0.09 — ‍0.25)μg/L, Z=-2.76, P=0.01]. After adjustment for the covariates of age, sex, race, education, marital status, FMPIR, BMI, smoking, alcohol consumption, DM, HTN, and HL, the urinary TL Q4 group had a significant increase in the risk of NAFLD (odds ratio [OR]=1.90, 95% confidence interval [CI]: 1.48‍ — ‍2.44, P<0.01). There was a positive dose-response relationship (P<0.01) and a non-linear relationship (P<0.01) between urinary TL and the risk of NAFLD. A significant interaction was observed between urinary TL and smoking/BMI (P<0.05). For individuals taking ≥100 cigarettes in their lifetime, the risk of NAFLD was increased by 50% for every quartile increase in urinary TL (OR=1.50, 95%CI: 1.24‍ — ‍1.80), and for individuals taking<100 cigarettes in their lifetime, the risk of NAFLD was increased by 20% for every quartile increase in urinary TL (OR=1.20, 95%CI: 1.03‍ — ‍1.40); for individuals with a BMI of ≥30 kg/m2, the risk of NAFLD was increased by 30% for every quartile increase in urinary TL (OR=1.30, 95%CI: 1.05‍ — ‍1.70), with a statistical significance (P<0.05).  Conclusion  Urinary TL level is significantly associated with the risk of NAFLD.
Value of Fetuin-A, Fetuin-B, and insulin resistance index in predicting nonalcoholic fatty liver disease
Sulian YANG, Rongjie SHI, Lihua LI
2024, 40(4): 694-699. DOI: 10.12449/JCH240409
Abstract(1067) HTML (337) PDF (724KB)(92)
Abstract:
  Objective  To investigate the value of serum Fetuin-A and Fetuin-B combined with Homeostasis Model Assessment of Insulin Resistance (HOMA-IR) in predicting nonalcoholic fatty liver disease (NAFLD).  Methods  A total of 120 patients with NAFLD who attended Department of Gastroenterology, The First Affiliated Hospital of Dali University, from June 2020 to June 2021, and 120 healthy individuals who underwent physical examination at Physical Examination Center during the same period of time were enrolled as subjects, and clinical data were collected from all subjects. The serum levels of Fetuin-A and Fetuin-B were measured. The independent-samples t test or the Mann-Whitney U test was used for comparison of continuous data between two groups, and the chi-square test was used for comparison of categorical data between two groups; the multivariate Logistic regression analysis was used to assess the risk factors for NAFLD. The receiver operating characteristic (ROC) curve was plotted to evaluate the predictive efficacy of Fetuin-A and Fetuin-B combined with HOMA-IR in NAFLD patients.  Results  Compared with the healthy control group, the NAFLD group had significantly higher levels of body mass index, systolic blood pressure, diastolic blood pressure, alanine aminotransferase, aspartate aminotransferase, fasting blood glucose, fasting insulin, triglycerides, HOMA-IR, Fetuin-A, and Fetuin-B (all P<0.05). The multivariate Logistic regression analysis showed that Fetuin-A (odds ratio [OR]=1.010, 95% confidence interval [CI]: 1.001‍‍‍ ‍‍‍—‍‍‍ ‍‍1.020, P<0.05), Fetuin-B (OR=1.113, 95%CI: 1.021‍ ‍‍—‍‍ ‍1.214, P<0.05), and HOMA-IR (OR=24.053, 95%CI: 2.624‍ ‍‍—‍‍ ‍220.470, P<0.05) were independent risk factors for NAFLD. The ROC curve analysis showed that Fetuin-A, Fetuin-B or HOMA-IR alone had an area under the ROC curve (AUC) of 0.637 (95%CI: 0.551‍ ‍—‍ ‍0.722), 0.853 (95%CI: 0.796‍ ‍—‍ ‍0.912), and 0.837 (95%CI: 0.763‍ ‍—‍ ‍0.912), respectively, and Fetuin-A combined with Fetuin-B, Fetuin-A combined with HOMA-IR, and Fetuin-B combined with HOMA-IR had an AUC of 0.853 (95%CI: 0.795‍ ‍—‍ ‍0.911), 0.843 (95%CI: 0.770‍ ‍—‍ ‍0.916), 0.922 (95%CI: 0.877‍ ‍—‍ ‍0.967), respectively, while the combination of these three indicators had an AUC of 0.922 (95%CI: 0.877‍ ‍—‍ ‍0.966).  Conclusion  Fetuin-A and Fetuin-B have a certain value in predicting NAFLD, and Fetuin-B combined with HOMA-IR tends to have a higher predictive value.
Association of polymorphisms of the acetyl-coA acetyltransferase 1 gene and the melatonin receptor 1B gene with the susceptibility to nonalcoholic fatty liver disease
Lei MA, Xinxin HU, Bo ZHAO, Qiang WAN, Lin ZHOU, Zhenzhen ZHAO, Yongning XIN
2024, 40(4): 700-705. DOI: 10.12449/JCH240410
Abstract(1113) HTML (420) PDF (644KB)(66)
Abstract:
  Objective  To investigate the association of the polymorphisms of the acetyl-CoA acetyltransferase 1 (ACAT1) gene and the melatonin receptor 1B (MTNR1B) gene with the susceptibility to nonalcoholic fatty liver disease (NAFLD).  Methods  A total of 164 healthy controls and 228 NAFLD patients were enrolled in this study. PCR and sequencing methods were used to determine the genotypes of the polymorphisms of the ACAT1 gene at the rs1044925 and rs1157651 loci and the MTNR1B gene at the rs10830963 locus, and fasting venous blood samples were collected for biochemical analysis. The t-test was used for comparison of normally distributed continuous data between groups, and the non-parametric Mann-Whitney U test was used for comparison of non-normally distributed continuous data between groups; the chi-square test was used for comparison of categorical data between groups.  Results  There were no significant differences between the NAFLD group and the healthy control group in the genotype distribution of the ACAT1 gene at the rs1044925 and rs1157651 loci and the MTNR1B gene at the rs10830963 locus (all P>0.05). The carriers of AA genotype at the rs1044925 locus of the ACAT1 gene had a significantly higher level of low-density lipoprotein than the carriers of C allele (Z=-2.08, P=0.04), and the carriers of G allele at the rs10830963 locus of the MTNR1B gene had a significantly higher level of fasting blood glucose than the carriers of CC genotype (Z=-3.01, P<0.01).  Conclusion  The polymorphisms of the ACAT1 gene at the rs1044925 and rs1157651 loci and the MTNR1B gene at the rs10830963 locus were not associated with the susceptibility to NAFLD. The rs1044925 locus of the ACAT1 gene and the rs10830963 locus of the MTNR1B gene are associated with the levels of low-density lipoprotein and fasting blood glucose, respectively.
Protective effect of Genistein against nonalcoholic fatty liver disease in ovariectomized mice and its mechanism
Xiangyu ZHU, Yong JIN
2024, 40(4): 706-711. DOI: 10.12449/JCH240411
Abstract(1170) HTML (318) PDF (1690KB)(78)
Abstract:
  Objective  To investigate the protective effect of Genistein against nonalcoholic fatty liver disease (NAFLD) in ovariectomized (OVX) mice and its mechanism.  Methods  A total of 40 female C57BL/6 mice, aged 6 weeks, were used to establish an OVX mouse model, and then they were randomly divided into blank group, 4-week model group, 6-week model group, 8-week model group, and 10-week model group, with 8 mice in each group. Under the same environmental conditions, the mice were given high-fat diet for modeling, and pathological examination showed that NAFLD was successfully induced by 10-week high-fat diet. Another 40 female C57BL/6 mice, aged 6 weeks, were randomly divided into blank group, sham operation group (Sham group), OVX group, OVX+L-Genistein (4 mg/kg body weight) group, and OVX+H-Genistein (8 mg/kg body weight) group. The mice in the Sham group were given the same procedure of OVX, without the ligation of the ovarian artery and the resection of the ovary. The mice in the blank group were given normal diet, and those in the other groups were given high-fat diet. Genistein was dissolved in DMSO, and the mice in the Sham group and the OVX group were treated with solvent solution alone by gavage, once a day for 10 consecutive weeks. Body weight and visceral index were recorded, and the mice were sacrificed to collect serum and liver tissue. Kits were used to measure the activity of alanine aminotransferase (ALT) and aspartate aminotransferase (AST) and the serum levels of triglyceride (TG) and total cholesterol (TC), and HE staining and oil red O staining were used to observe liver histopathology; Western blot was used to measure the protein expression levels of sterol regulatory element-binding protein 1c (SREBP-1c) and peroxisome proliferator-activated receptor alpha (PPARα) associated with lipid metabolism in liver tissue. A one-way analysis of variance was used for comparison of continuous data between multiple groups, and the Dunnett-t test was used for further comparison between two groups.  Results  After 10 weeks of high-fat diet, the OVX+L-Genistein group and the OVX+H-Genistein group had significantly lower body weight, liver index, and liver tissue weight (all P<0.05). In addition, Genistein significantly downregulated the serum levels of TC and TG (P<0.05) and reduced the activities of serum AST and ALT (P<0.05). HE and oil red O staining showed that compared with the OVX group, the OVX+L-Genistein group and the OVX+H-Genistein group had a significant reduction in the accumulation of lipid droplets. Western blot showed that after Genistein intervention, there was a significant reduction in the protein expression level of SREBP-1c and a significant increase in the protein expression level of PPARα (P<0.05).  Conclusion  Genistein exerts a protective effect against NAFLD in OVX mice possibly by regulating the expression of SREBP-1c and PPARα, thereby promoting fatty acid oxidation and inhibiting liver lipid synthesis.
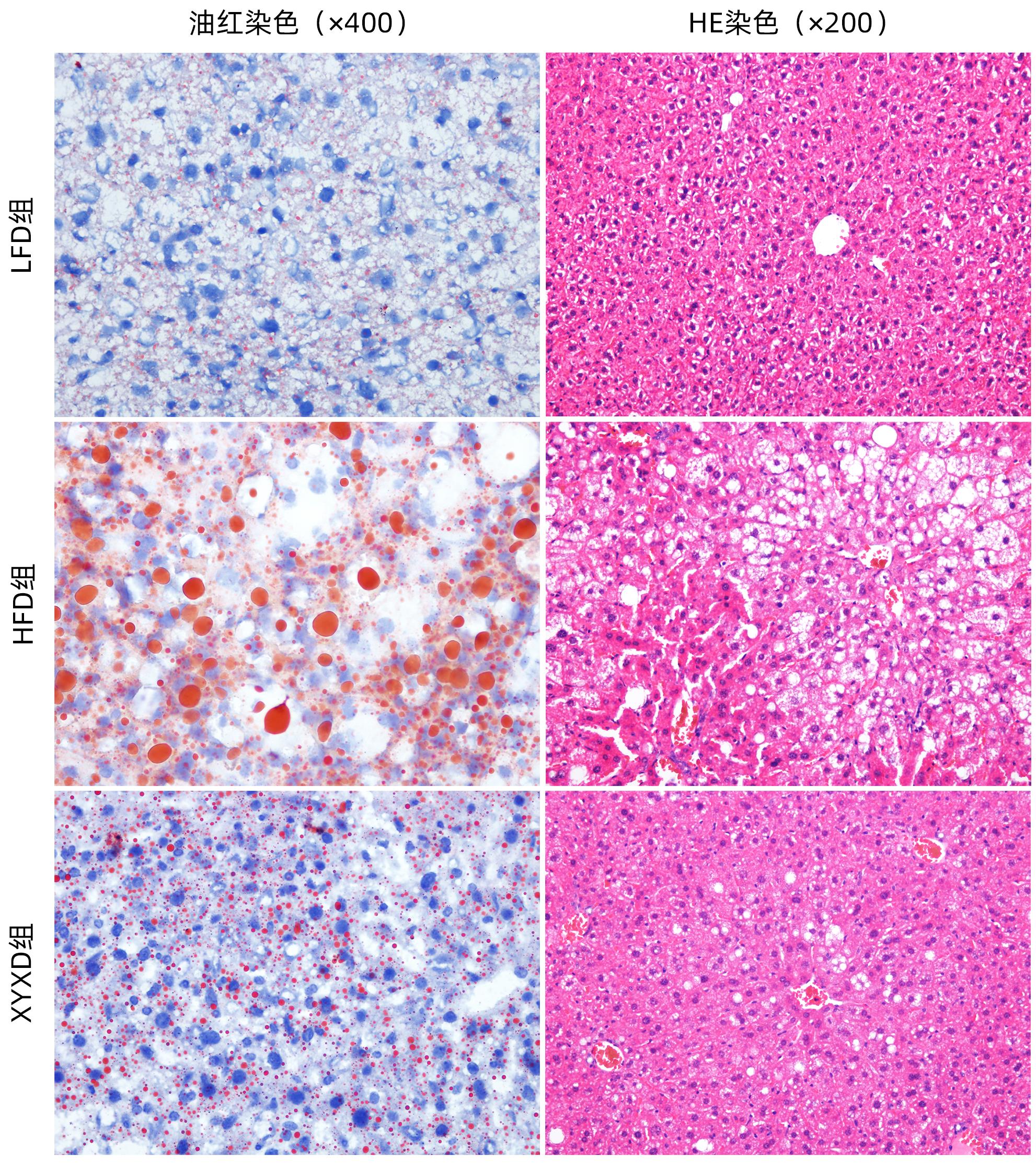
Therapeutic effect of Xiayuxue decoction on a mouse model of nonalcoholic fatty liver disease induced by high-fat diet and its mechanism
Linqi HOU, Zhiyi WANG, Xin ZHAO, Jie ZHANG, Wenting MA, Xuling LIU, Wei ZHANG, Le TAO, Cheng LIU, Liu WU
2024, 40(4): 712-719. DOI: 10.12449/JCH240412
Abstract(1553) HTML (453) PDF (2184KB)(95)
Abstract:
  Objective  To investigate the mechanism of action of Xiayuxue decoction in inhibiting nonalcoholic fatty liver disease (NAFLD) induced by high-fat diet in mice by regulating nucleotide binding oligomerization domain like receptor containing pyrin domain protein 6 (NLRP6).  Methods  A total of 15 male C57BL/6 mice were randomly divided into low-fat diet (LFD) group, high-fat diet (HFD) group, and Xiayuxue decoction-HFD group (XYXD group), with 5 mice in each group. Liver function parameters (alanine aminotransferase [ALT] and aspartate aminotransferase [AST]) and blood lipid metabolic indicators (triglycerides [TG] and total cholesterol [TC]) were measured; HE staining and oil red O staining were performed for liver tissue to observe histomorpholoty and lipid droplet deposition; quantitative real-time PCR was used to measure the expression levels of inflammatory factors (tumor necrosis factor-α [TNF-α], interleukin-1β [IL-1β], interleukin-18 [IL-18], and NLRP6) in liver tissue; Western blot was used to measure the protein expression levels of NLRP6, nuclear factor-kappa B (NF-κB), and NF-κB p65; immunohistochemistry was used to measure the expression of NLRP6 and CD68. Mouse Raw264.7 cells were treated with palmitic acid (PA), lipopolysaccharide, and serum containing Xiayuxue decoction to observe inflammation. A one-way analysis of variance was used for comparison of continuous data between multiple groups, and the least significant difference t-test was used for further comparison between two groups.  Results  Compared with the LFD group, the HFD group had significant increases in the serum levels of ALT, AST, TC, and TG (all P<0.05). Liver histopathological examination showed that the HFD group had marked hepatic steatosis and a signficant increase in NAS score (P<0.05), and quantitative real-time PCR showed significant increases in the inflammatory factors such as IL1β and IL-18 and a significant reduction in the expression of NLRP6 (all P<0.05). Immunohistochemistry showed that the expression of NLRP6 showed a similar trend as that of the macrophage marker CD68. Western blot showed that after the downregulation of NLRP6 expression, there was a significant increase in phosphorylated NF-κB p65 (P<0.05). Compared with the HFD group, Xiayuxue decoction effectively improved liver inflammation, upregulated the expression of NLRP6, and downregulated phosphorylated NF-κB p65 in HFD mice (all P<0.05). After Raw264.7 cells were treated with PA, NLRP6 was downregulated to promote the progression of inflammation (P<0.05), and treatment with Xiayuxue decoction could upregulate NLRP6 and inhibit inflammation NF-κB (P<0.05).  Conclusion  Xiayuxue decoction can effectively improve hepatic steatosis and liver inflammation in a mouse model of NAFLD, possibly by regulating NLRP6/NF-κB to alleviate macrophage activation.
Liver Fibrosis and Liver Cirrhosis
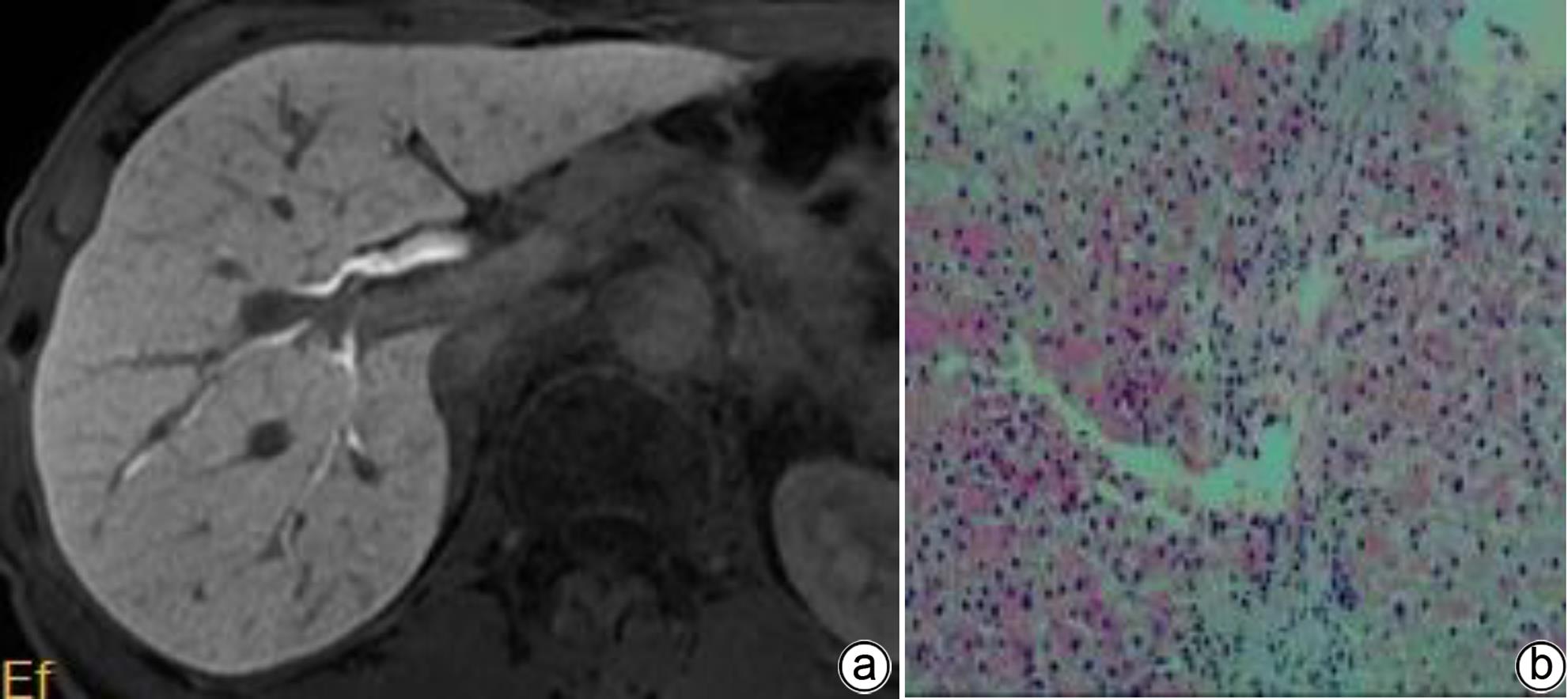
Value of MRI biliary score and liver/muscle ratio in evaluating the pathological grade of liver fibrosis
Lu HUANG, Lijian LU
2024, 40(4): 720-725. DOI: 10.12449/JCH240413
Abstract(1187) HTML (328) PDF (1168KB)(71)
Abstract:
  Objective  To investigate the value of biliary score and hepatic signal intensity-to-muscle signal intensity ratio (HMR) obtained by multiphase contrast-enhanced MRI scan using Gd-EOB-DTPA in evaluating the pathological grade of liver fibrosis.  Methods  A retrospective analysis was performed for the MRI and clinical data of 51 patients with chronic hepatitis B liver fibrosis in Wuming Hospital Affiliated to Guangxi Medical University from January 2020 to May 2023. The 51 patients with liver fibrosis were divided into low-grade group (S1-S2) and high-grade group (S3-S4). GE Architact 3.0T MR scanner was used to perform MRI scans, including routine plain scan and contrast-enhanced scan at arterial phase, portal venous phase, delayed phase, hepatobiliary phase, and excretory phase, and biliary score and HMR were measured for the patients with different grades of liver fibrosis. The t-test was used for comparison of continuous data between groups, and the chi-square test or the Fisher’s exact test was used for comparison of categorical data between groups. The receiver operating characteristic (ROC) curve was plotted to evaluate the value of MRI indicators in determining the pathological grade of liver fibrosis.  Results  Among the 51 patients with liver fibrosis, there were 30 patients in the low-grade group and 21 in the high-grade group. Compared with the high-grade group, the low-grade group had significantly higher biliary score (3.67±0.55 vs 2.57±0.75, t=6.05, P<0.001) and HMR at portal venous phase (2.38±0.76 vs 1.97±0.18, t=2.41, P=0.020), delayed phase (2.48±0.70 vs 1.99±0.27, t=3.09, P=0.003), and hepatobiliary phase (4.10±0.63 vs 3.16±0.47, t=5.81, P<0.001). The above indicators had an area under the ROC curve (AUC) of 0.86, 0.79, 0.82, and 0.88, respectively, in distinguishing low- and high-grade liver fibrosis, with a positive rate of 70%, 63.3%, 83.3%, and 96.7%, respectively, and a negative rate of 90%, 95.2%, 74.1%, and 100%, respectively, in the diagnosis of high-grade liver fibrosis. Biliary score combined HMR had an AUC of 0.95, with a positive rate of 85.7% and a negative rate of 96.7%.  Conclusion  Biliary score and HMR at hepatobiliary phase obtained by multiphase contrast-enhanced MRI scan using Gd-EOB-DTPA has a relatively high diagnostic efficacy in distinguishing between low- and high-grade liver fibrosis and a certain guiding value for the diagnosis and treatment of liver fibrosis in clinical practice.
Changing trend of the disease burden of liver cirrhosis in China from 1990 to 2019
Shanshan LIU, Xiaohui YU, Jianwei CAI
2024, 40(4): 726-733. DOI: 10.12449/JCH240414
Abstract(3317) HTML (1052) PDF (1660KB)(482)
Abstract:
  Objective  To investigate the prevalence of liver cirrhosis and the changing trend of the disease burden of liver cirrhosis in the Chinese population from 1990 to 2019, and to provide a data reference for formulating the prevention and treatment strategies for liver cirrhosis in China.  Methods  The Global Burden of Disease Study 2019 was used to collect the data on the incidence rate, mortality rate, disability-adjusted life years (DALY), years of life lost (YLL), and years lived with disability (YLD) of liver cirrhosis. The Joinpoint regression model was used to analyze the changing trend of disease burden; the age-period-cohort (APC) model was used to evaluate age, period, and cohort effects; R software BAPC package was used to predict future changes in disease burden.  Results  From 1990 to 2019 in China, there were increases in the numbers of liver cirrhosis cases and prevalent cases in the general population, as well as in the male and female populations, while there was a reduction in the number of deaths. From 1990 to 2019, the standardized incidence rate, standardized prevalence rate, and standardized mortality rate of liver cirrhosis in the Chinese population showed a downward trend, with a mean annual reduction of 0.62% (95% confidence interval [CI]: -0.74% to -0.50%, t=9.99, P<0.001), 0.44% (95%CI: -0.53% to -0.35%, t=13.18, P<0.001), and 3.02% (95%CI: -3.12% to -2.93%, t=7.58, P<0.001), respectively. From 1990 to 2019, the standardized DALY, YLL, and YLD rates of liver cirrhosis in the Chinese population also showed a downward trend, with a mean annual reduction of 3.27% (95%CI: -3.37% to -3.18%, t=6.22, P<0.001), 3.32% (95%CI: -3.42% to -3.22%, t=9.31, P<0.001), and 1.42% (95%CI: -1.49% to -1.34%, t=4.93, P<0.001), respectively. From 1990 to 2019, the incidence rate of liver cirrhosis in the Chinese population first increased and then decreased with age, while the mortality rate showed an increasing trend, and the risks of disease onset and death showed a decreasing trend with time and birth cohort. The predictive model showed that the standardized incidence rate, prevalence rate, mortality rate, and DALY rate of liver cirrhosis in China will show a decreasing trend from 2020 to 2030. Alcohol was the most important risk factor for both male and female populations, followed by medication.  Conclusion  The disease burden of liver cirrhosis in China shows a decreasing trend from 1990 to 2019, with sex and age differences, especially in the middle-aged male population. Effective measures should be taken for intervention.
The preliminary therapeutic effect of endoscopic ultrasound-guided tissue adhesive injection with the assistance of metal clips in treatment of cirrhotic patients with gastric varices and gastric-renal shunt
Jiali MA, Zhenglin AI, Julong HU, Yu JIANG, Yuling ZHOU, Xiuxia LIANG, Hongshan WEI, Ping LI
2024, 40(4): 734-738. DOI: 10.12449/JCH240415
Abstract(1116) HTML (309) PDF (1036KB)(61)
Abstract:
  Objective  To investigate the safety and efficacy of endoscopic ultrasound-guided tissue adhesive injection with the assistance of metal clips in the treatment of cirrhotic patients with gastric varices and gastric-renal shunt (GRS).  Methods  The patients who attended Beijing Ditan Hospital, Capital Medical University, due to liver cirrhosis and gastric varices from February to June 2023 were enrolled, and all patients were confirmed to have GRS and received endoscopic ultrasound-guided tissue adhesive injection with the assistance of metal clips. The primary evaluation index was alleviation or disappearance of varicose veins after surgery, and the secondary evaluation indices were surgical completion and complications.  Results  A total of 11 patients were enrolled in this study, among whom there were 7 male patients and 4 female patients, with a median age of 55 years. Of all patients, 1 had Child class A liver function, 7 had Child class B liver function, and 3 had Child class C liver function. The maximum (median) diameter of the shunt was 8 mm, and the minimum (median) diameter of the shunt was 4 mm. The median blood flow velocity of the target vessel was 11 cm/s before treatment and 5 cm/s after occlusion with metal clips. The median amount of tissue adhesive injected was 2 mL, and the amount of lauromacrogol used was 1 mL. Disappearance of blood flow signals was observed in all patients after surgery (100%), and the success rate of surgery was 100%. No patient experienced rebleeding after follow-up for 6 weeks. Gastroscopy at 1 month after surgery showed that gastric varices were eradicated or almost disappeared in 9 patients and were alleviated in 2 patients.  Conclusion  Endoscopic ultrasound-guided tissue adhesive injection with the assistance of metal clips is a feasible, safe, and effective treatment method for cirrhotic patients with gastric varices and GRS.
Efficacy of endoscopic ultrasound-guided coil placement combined with tissue adhesive injection in treatment of gastric varices with spontaneous shunt
Yafen TANG, Zhiyang JIANG, Dan LONG, Jinmin CHEN, Shan GAO
2024, 40(4): 739-744. DOI: 10.12449/JCH240416
Abstract(1096) HTML (592) PDF (917KB)(78)
Abstract:
  Objective  To investigate the efficacy, safety, and cost-effectiveness of endoscopic ultrasound (EUS)-guided coil placement combined with tissue adhesive injection in the treatment of gastric varices with spontaneous shunt.  Methods  A retrospective analysis was performed for the patients with acute gastric variceal bleeding and spontaneous portosystemic shunt who were hospitalized and received balloon-occluded retrograde transvenous obliteration (BRTO) combined with endoscopic tissue adhesive injection or EUS-guided coil placement combined with tissue adhesive injection in Xiangyang Central Hospital from March 2019 to September 2022. The two surgical procedures were compared in terms of efficacy (technical success rate, 5-day rebleeding rate, 1-year rebleeding rate, and time to rebleeding), safety (the incidence rate of ectopic embolism, the amount of tissue adhesive used, and the amount of lauromacrogol used), and cost-effectiveness (hospital costs and length of hospital stay). The t-test was used for comparison of normally distributed continuous data between two groups, and the Mann-Whitney U test was used for comparison of non-normally distributed continuous data between two groups. The Kaplan-Meier method was used to estimate the rebleeding. The chi-square test was used for comparison of categorical data between two groups.  Results  A total of 25 patients received successful EUS-guided coil placement and tissue adhesive injection, with a technical success rate of 100%, a median amount of 2.5 mL tissue adhesive used, a median amount of 11.0 mL lauromacrogol used, a mean length of hospital stay of 14.88±3.21 days, a mean hospital cost of 32 660.00±4 602.07 yuan, and a 5-day rebleeding rate of 0%; among these patients, 2 were lost to follow-up, and 23 patients with complete follow-up data had an incidence rate of ectopic embolism of 0% and a median time to rebleeding of 689 days. A total of 14 patients underwent modified BRTO combined with endoscopic tissue adhesive injection, with a technical success rate of 100%; a median amount of 5.0 mL tissue adhesive used during surgery, which was significantly higher than that used in EUS (U=39.000, P<0.001); a median amount of 10.5 mL lauromacrogol used during surgery; a mean length of hospital stay of 15.38±4.94 days; a mean hospital cost of 57 583.47±18 955.40 yuan, which was significantly higher than that used in EUS (t=-6.310, P<0.001); a 5-day rebleeding rate of 0%. No patient was lost to follow-up, and all 14 patients had an incidence rate of ectopic embolism of 0% and a median time to rebleeding of 244.50 days, with no significant difference between the two groups (χ2=1.448, P=0.229).  Conclusion  EUS-guided coil placement combined with tissue adhesive injection is a relatively safe and effective technique for the treatment of gastric variceal bleeding and has a high technical success rate, a low incidence rate of serious adverse events, and similar efficacy to BRTO, with higher safety and cost-effectiveness.
Effect of Fuzheng Huayu prescription on hepatocyte extinction and regeneration in a mouse model of liver cirrhosis
Tingting ZHU, Jingshu QI, Yanan GUO, Hongliang LIU, Yanyan TAO, Zhimin ZHAO, Zhengxin LI, Chenghai LIU
2024, 40(4): 745-752. DOI: 10.12449/JCH240417
Abstract(1396) HTML (604) PDF (4131KB)(74)
Abstract:
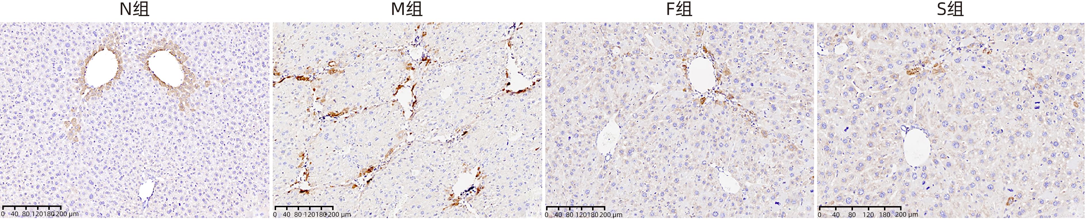
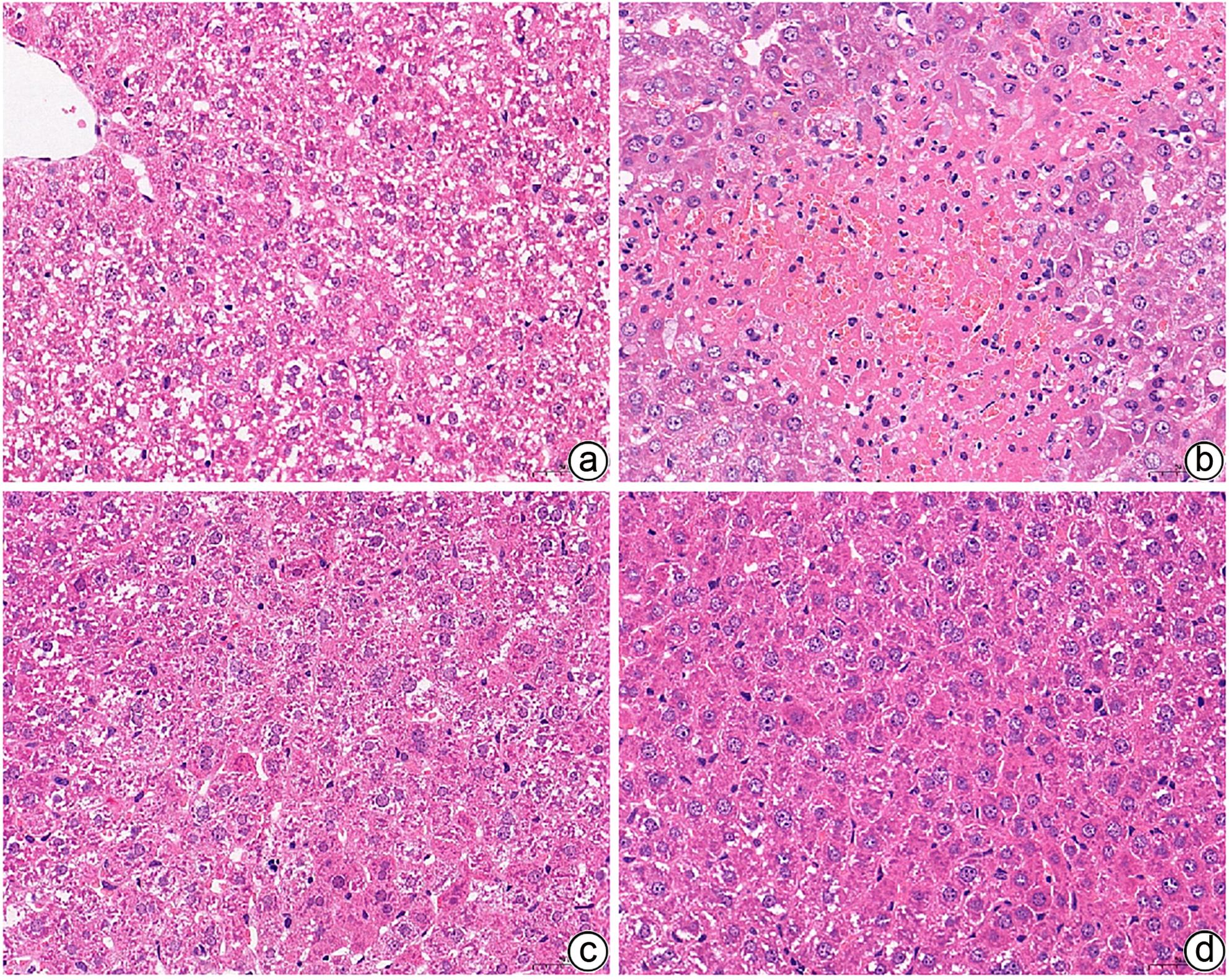
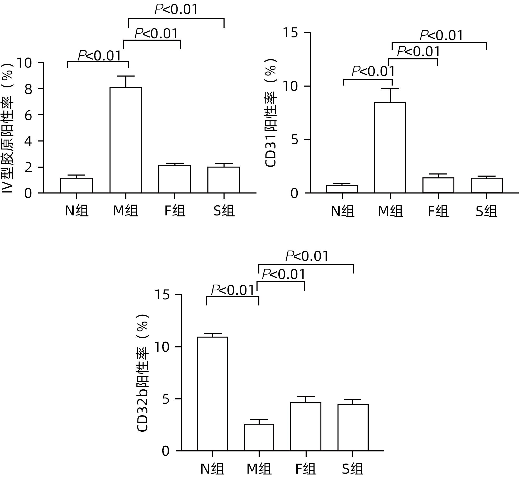
  Objective  To investigate the effect of Fuzheng Huayu prescription on hepatocyte extinction and regeneration in fibrotic liver and its mechanism of action in promoting hepatocyte regeneration.  Methods  Mice were given intraperitoneal injection of CCl4 for 6 weeks to establish a model of liver cirrhosis, and there were 10 mice in the model group, 10 in the sorafenib group, 10 in the Fuzheng Huayu prescription group, and 9 in the normal control group. Since week 4 of modeling, the mice in the Fuzheng Huayu prescription group and the sorafenib group were given the corresponding drug by gavage at a dose of 4.8 g/kg and 4 mg/kg, respectively, for three consecutive weeks, and those in the normal group and the model group were given an equal volume of sodium carboxymethyl cellulose. Serum liver function parameters were measured; the METAVIR scoring system was used to evaluate liver inflammation and fibrosis stage; Sirius Red staining and hydroxyproline (Hyp) content in liver tissue were used to evaluate collagen deposition; immunohistochemistry was used to measure the protein expression levels of type IV collagen, CD31, CD32b, Ki67, CyclinD1, glutamine synthetase, Wnt2, and HGF, and Western blot was used to measure the expression levels of Wnt2, LRP6, β-catenin, p-β-catenin, and CyclinD1 in liver tissue. A one-way analysis of variance was used for comparison of continuous data between multiple groups, and the least significant difference t-test was used for further comparison between two groups.  Results  Compared with the model group, the Fuzheng Huayu prescription group and the sorafenib group showed the following changes: significant reductions in the serum levels of alanine aminotransferase and aspartate aminotransferase and the content of Hyp in liver tissue (all P<0.01); a significant reduction in METAVIR score; significant reductions in the expression levels of type Ⅳ collagen and CD31 (all P<0.05) and a significant increase in the expression level of CD32b (P<0.01); significant reductions in the number of parenchymal extinction lesions and significant increases in the expression levels of Ki67 and CyclinD1 in liver tissue (all P<0.01); significant increases in the protein expression levels of Wnt2, LRP6, β-catenin, and CyclinD1 and a significant reduction in the protein expression level of p-β-catenin (all P<0.05); significant increases in the number of cells stained positive for both CD32b and Wnt2.  Conclusion  Fuzheng Huayu prescription can inhibit hepatic sinusoidal capillarization, improve the Wnt2 exocrine function of liver sinusoidal endothelial cells, activate the Wnt/β-catenin signaling pathway associated with hepatocyte regeneration, and finally reverse liver cirrhosis.
Liver Neoplasm
Influence of triglyceride/high-density lipoprotein cholesterol ratio on the onset of primary liver cancer
Jianguo JIA, Xiangming MA, Fei TIAN, Yali ZHANG, Jiaying DAI, Saifang LUO, Liying CAO
2024, 40(4): 753-759. DOI: 10.12449/JCH240418
Abstract(2112) HTML (1112) PDF (802KB)(89)
Abstract:
  Objective  To investigate the influence of triglyceride (TG)/high-density lipoprotein cholesterol (HDL-C) ratio on the onset of primary liver cancer.  Methods  A prospective cohort study was conducted. Physical examination data were collected from 99 750 cases of on-the-job and retired employees of Kailuan Group who participated health examination from July 2006 to December 2007, and they were followed up till December 31, 2021 to observe the onset of primary liver cancer. A one-way analysis of variance was used for comparison of normally distributed continuous data between multiple groups, and the Kruskal-Wallis H test was used for comparison of continuous data with skewed distribution between multiple groups; the chi-square test was used for comparison of categorical data between groups. According to the tertiles of TG/HDL-C ratio, the subjects were divided into Q1, Q2, and Q3 groups, and the incidence density of primary liver cancer was calculated for each group. The Kaplan-Meier method was used to calculate the cumulative incidence rate of primary liver cancer in each group, and the log-rank test was used to compare the difference in cumulative incidence rate between groups. The Cox proportional hazards model was used to analyze the influence of TG/HDL-C ratio on the onset of primary liver cancer.  Results  There were significant differences between the three groups in age, proportion of male subjects, waist circumference, body mass index, fasting blood glucose, systolic pressure, diastolic pressure, triglyceride, total cholesterol, HDL-C, low-density lipoprotein cholesterol, alanine aminotransferase, high-sensitivity C-reactive protein, chronic liver diseases, hypertension, diabetes, the family history of malignant tumor, drinking, smoking, physical exercise, and educational level (P<0.05). During the mean follow-up time of 14.06±2.71 years, there were 484 cases of new-onset liver cancer, among whom there were 446 male subjects and 38 female subjects. The incidence density of primary liver cancer was 0.39/1 000 person-years in the Q1 group, 0.35/1 000 person-years in the Q2 group, and 0.30/1 000 person-years in the Q3 group, and the cumulative incidence rates of primary liver cancer in the three groups were 6.03‰, 5.28‰, and 4.49‰, respectively, with a significant difference between the three groups based on the long-rank test (χ2=6.06, P=0.048). After adjustment for the confounding factors considered, the Cox proportional hazards model showed that compared with the Q3 group, the Q1 group had a hazard ratio of 2.04 (95% confidence interval [CI]: 1.61‍ ‍—‍ ‍2.58, Pfor trend<0.05), and the Q2 group had a hazard ratio of 1.53 (95%CI: 1.21‍ ‍—‍ ‍1.92, Pfor trend<0.05).  Conclusion  The reduction in TG/HDL-C ratio is associated with an increase in the rask of primary liver cancer, especially in people with chronic liver diseases.
Other Liver Disease
Clinical features and early warning indicators of patients with acute-on-chronic liver failure and bacterial infection
Zhanhu BI, Linxu WANG, Haifeng HU, Hong DU, Yidi DING, Xiaofei YANG, Jiayi ZHAN, Fei HU, Denghui YU, Hongkai XU, Jianqi LIAN
2024, 40(4): 760-766. DOI: 10.12449/JCH240419
Abstract(1112) HTML (315) PDF (667KB)(107)
Abstract:
  Objective  To investigate the clinical features of patients with acute-on-chronic liver failure (ACLF) and bacterial infection and early warning indicators associated with multidrug-resistant infections.  Methods  A retrospective analysis was performed for 130 patients with ACLF and bacterial infection who attended The Second Affiliated Hospital of Air Force Medical University from January 1, 2010 to December 31, 2021, and according to the drug susceptibility results, the patients were divided into multidrug-resistant (MDR) bacterial infection group with 80 patients and non-MDR bacterial infection group with 50 patients. General information and laboratory examination results were compared between the two groups to screen for the early warning indicators associated with MDR bacterial infection. The Student’s t-test was used for comparison of normally distributed continuous data with homogeneity of variance between two groups, and the Mann-Whitney U test was used for comparison of non-normally distributed continuous data or continuous data with heterogeneity of variance between two groups; the chi-square test or the Fisher’s exact test was used for comparison of categorical data between two groups. The binary logistic regression analysis and the receiver operating characteristic (ROC) curve were used to assess the predictive value of early warning indicators.  Results  Among the 130 patients with ACLF and bacterial infection, sputum (27.7%) was the most common specimen for detection, followed by blood (24.6%), urine (18.5%), and ascites (17.7%). Bacterial infections were dominated by Gram-negative bacteria (58.5%). Of all bacteria, Escherichia coli (18.5%), Klebsiella pneumoniae (14.6%), and Enterococcus faecium (13.8%) were the most common pathogens. Gram-positive bacteria had a high resistance rate to the antibacterial drugs such as erythromycin (72.2%), penicillin (57.4%), ampicillin (55.6%), and ciprofloxacin (53.7%), while Gram-negative bacteria had a high resistance rate to the antibacterial drugs such as ampicillin (73.3%), cefazolin (50.0%), and cefepime (47.4%). The patients with ACLF and bacterial infection had a relatively high rate of MDR bacterial infection (61.5%). Comparison of clinical data between the two groups showed that compared with the patients with non-MDR bacterial infection, the patients with MDR bacterial infection had significantly higher levels of alanine aminotransferase (Z=2.089, P=0.037), aspartate aminotransferase (Z=2.063, P=0.039), white blood cell count (Z=2.207, P=0.027), and monocyte count (Z=4.413, P<0.001). The binary logistic regression analysis showed that monocyte count was an independent risk factor for MDR bacterial infection (odds ratio=7.120, 95% confidence interval [CI]: 2.478‍ ‍—‍ ‍20.456,P<0.001) and had an area under the ROC curve of 0.686 (95%CI: 0.597‍ ‍—‍ ‍0.776) in predicting ACLF with MDR bacterial infection(P<0.001), with the optimal cut-off value of 0.50×109/L, a sensitivity of 0.725, and a specificity of 0.400.  Conclusion  ACLF combined with bacterial infections is mainly caused by Gram-negative bacteria, with the common pathogens of Escherichia coli and Klebsiella pneumoniae and a relatively high MDR rate in clinical practice. An increase in monocyte count can be used as an early warning indicator to distinguish MDR bacterial infection from non-MDR bacterial infection.
Biliary Disease
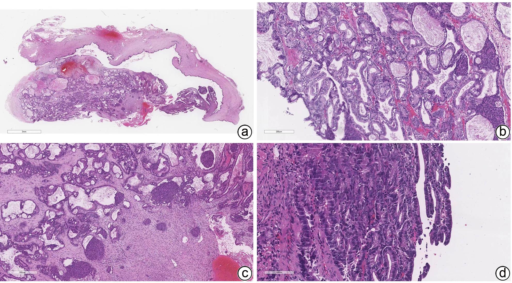
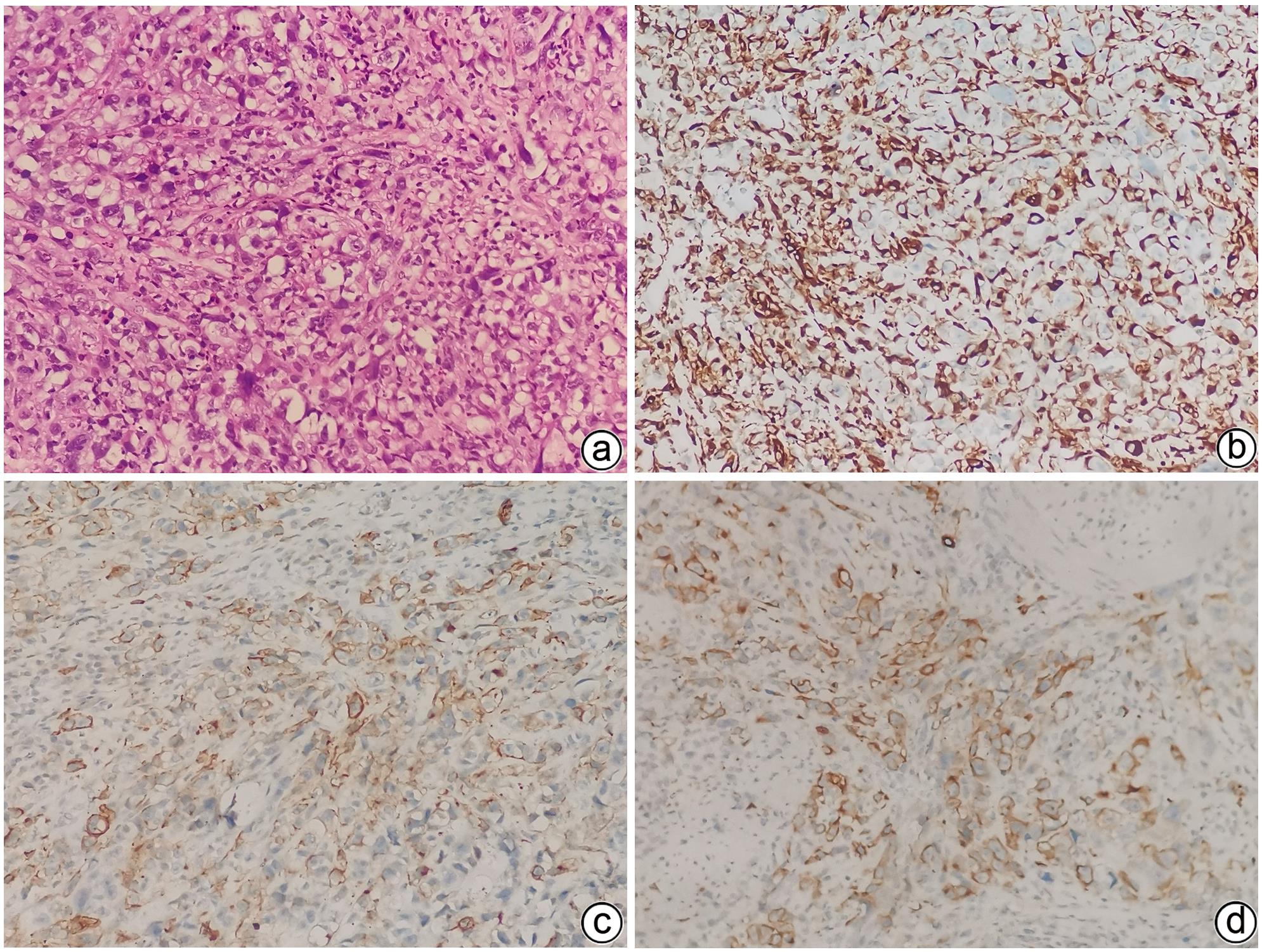
Clinical diagnosis, treatment, and prognosis of gallbladder sarcomatoid carcinoma: An analysis of 16 cases
Yashu ZHOU, Yihui MA, Jiaxin PEI, Yuanyuan MENG, Peng GUO, Xiyue LIANG, Taiying LU
2024, 40(4): 767-772. DOI: 10.12449/JCH240420
Abstract(1281) HTML (365) PDF (1085KB)(81)
Abstract:
  Objective  To investigate the clinicopathological features, diagnosis and treatment methods, and prognosis of gallbladder sarcomatoid carcinoma (GBSC).  Methods  A retrospective analysis was performed for the clinical data of 16 patients with GBSC who were admitted to The First Affiliated Hospital of Zhengzhou University from January 2015 to April 2023, including general information, clinical manifestations, imaging features, pathological features, and treatment modality, and follow-up was performed for all patients. The Kaplan-Meier method was used to perform the survival analysis and plot the survival curve, and the Log-rank test was used for comparison between groups.  Results  Among the 16 patients, there were 6 male patients and 10 female patients, with a mean age of 62.9±8.4 years. The main clinical manifestations were right upper abdominal pain in 13 patients (81.3%), nausea in 5 patients (31.3%), abdominal distension in 4 patients (25.0%), poor appetite in 3 patients (18.8%), weakness in 2 patients (12.5%), fever in 2 patients (12.5%), and jaundice in 1 patient (6.3%), and 3 patients were asymptomatic and were found to have this disease by physical examination. Of all patients, 81.3% (13/16) were in the advanced stage (stage Ⅲ/Ⅳ) at the time of initial diagnosis. Histopathological examination showed that some cancer cells were spindle-shaped under the microscope, with marked nuclear division and noticeable heteromorphism. Immunohistochemistry showed a positive expression rate of 100% (16/16) for Vimentin, AE1/AE3, and CK8/18, and Ki-67 proliferation index was highly expressed in 81.3% (13/16) of the patients (≥50%), with a median of 70% (range 20%‍ ‍—‍ ‍90%). All 16 patients underwent surgical treatment, with radical surgery in 11 patients and palliative surgery in 5 patients, among whom 9 received R0 resection, 2 received R1 resection, and 5 received R2 resection, and 7 patients received adjuvant therapy after surgery. Effective follow-up was achieved for all 16 patients, with a follow-up time of 0.5‍ ‍—‍ ‍26.0 months and a median follow-up time of 11.0 months. By the end of follow-up, 2 patients survived and 14 patients died due to tumor recurrence or metastasis, with a median survival time of 10.0 months, and the 1- and 2-year cumulative survival rates after surgery were 31.3% and 8.3%, respectively. The prognostic analysis showed that TNM stage (χ2=6.727, P=0.009), surgical approach (χ2=7.508, P=0.006), margin condition (χ2=7.934, P=0.005), and adjuvant therapy (χ2=4.608, P=0.032) were associated with the prognosis of patients.  Conclusion  The clinical manifestations of GBSC lack specificity, and a confirmed diagnosis relies on immunohistochemical analysis. Most patients are in the advanced disease at the time of initial diagnosis and tend to have a poor prognosis. There are currently no targeted therapies for this disease, and radical surgery with negative margins and adjuvant therapy can improve the survival rate of patients.
Pancreatic Disease
Establishment of a risk prediction model for pancreatic fistula after pancreaticoduodenectomy: A study based on the 2016 edition of the definition and classification system of pancreatic fistula
Jun YU, Chaoyi REN, Wei CUI, Jingxiang SHI
2024, 40(4): 773-781. DOI: 10.12449/JCH240421
Abstract(1222) HTML (382) PDF (797KB)(60)
Abstract:
  Objective  To investigate the differences in the risk factors for postoperative pancreatic fistula (POPF) after pancreaticoduodenectomy (PD) between the 2005 and 2016 editions of the definition and classification standards for pancreatic fistula, and to establish a risk prediction model for pancreatic fistula based on the 2016 edition.  Methods  A retrospective analysis was performed for the clinical data of 303 patients who were admitted to Tianjin Third Central Hospital and underwent PD from January 2016 to May 2022, and the patients with POPF were identified based on the new and old editions. The independent-samples t test or the non-parametric Mann-Whitney U test was used for comparison of continuous data between groups, and the chi-square test was used for comparison of categorical data between groups. The univariate and multivariate logistic regression analyses were used to investigate the differences in the risk factors for pancreatic fistula after PD between the two editions; a risk prediction model was established for POPF based on the 2016 edition, and the receiver operating characteristic curve was used to invesitgate the accuracy of this model in predicting POPF and perform model validation.  Results  According to the 2005 edition, the univariate analysis showed that the diameter of the main pancreatic duct (χ2=31.641, P<0.001), main pancreatic duct index (χ2=52.777, P<0.001), portal vein invasion (χ2=6.259, P=0.012), intra-abdominal fat thickness (χ2=7.665, P=0.006), preoperative biliary drainage (χ2=5.999, P=0.014), pancreatic cancer (χ2=5.544, P=0.019), marginal pancreatic thickness (t=2.055, P=0.032), pancreatic CT value (t=-3.224, P=0.002), and preoperative blood amylase level (Z=-2.099, P=0.036) were closely associated with POPF, and the multivariate logistic regression analysis showed that main pancreatic duct index (odds ratio [OR]=0.000, 95% confidence interval [CI]: 0.000‍ ‍—‍ ‍0.011, P<0.05), pancreatic cancer (OR=4.843, 95%CI: 1.285‍ ‍—‍ ‍18.254, P<0.05), and pancreatic CT value (OR=0.869, 95%CI: 0.806‍ ‍—‍ ‍0.937, P<0.05) were independent risk factors; based on the 2016 edition, the univariate analysis showed the diameter of the main pancreatic duct (χ2=5.391, P=0.020), main pancreatic duct index (χ2=11.394, P=0.001), intra-abdominal fat thickness (χ2=8.899, P=0.003), marginal pancreatic thickness (t=2.665, P=0.009), pancreatic CT value (t=-2.835, P=0.004) were closely associated with POPF, and the multivariate logistic regression analysis showed that main pancreatic duct index (OR=0.001, 95%CI: 0.000‍ ‍—‍ ‍0.050, P<0.05) and pancreatic CT value (OR=0.943, 95%CI: 0.894‍ ‍—‍ ‍0.994, P<0.05) were independent risk factors. A risk prediction model was established for POPF after PD, and the ROC curve analysis showed that this model had an area under the ROC curve of 0.788 (95%CI: 0.707‍ ‍—‍ ‍0.870) in the modeling group and 0.804 (95%CI: 0.675‍ ‍—‍ ‍0.932) in the validation group.  Conclusion  Main pancreatic duct index and pancreatic CT value are closely associated with POPF after PD, and the risk prediction model for pancreatic fistula based on the 2016 edition has a good prediction accuracy.
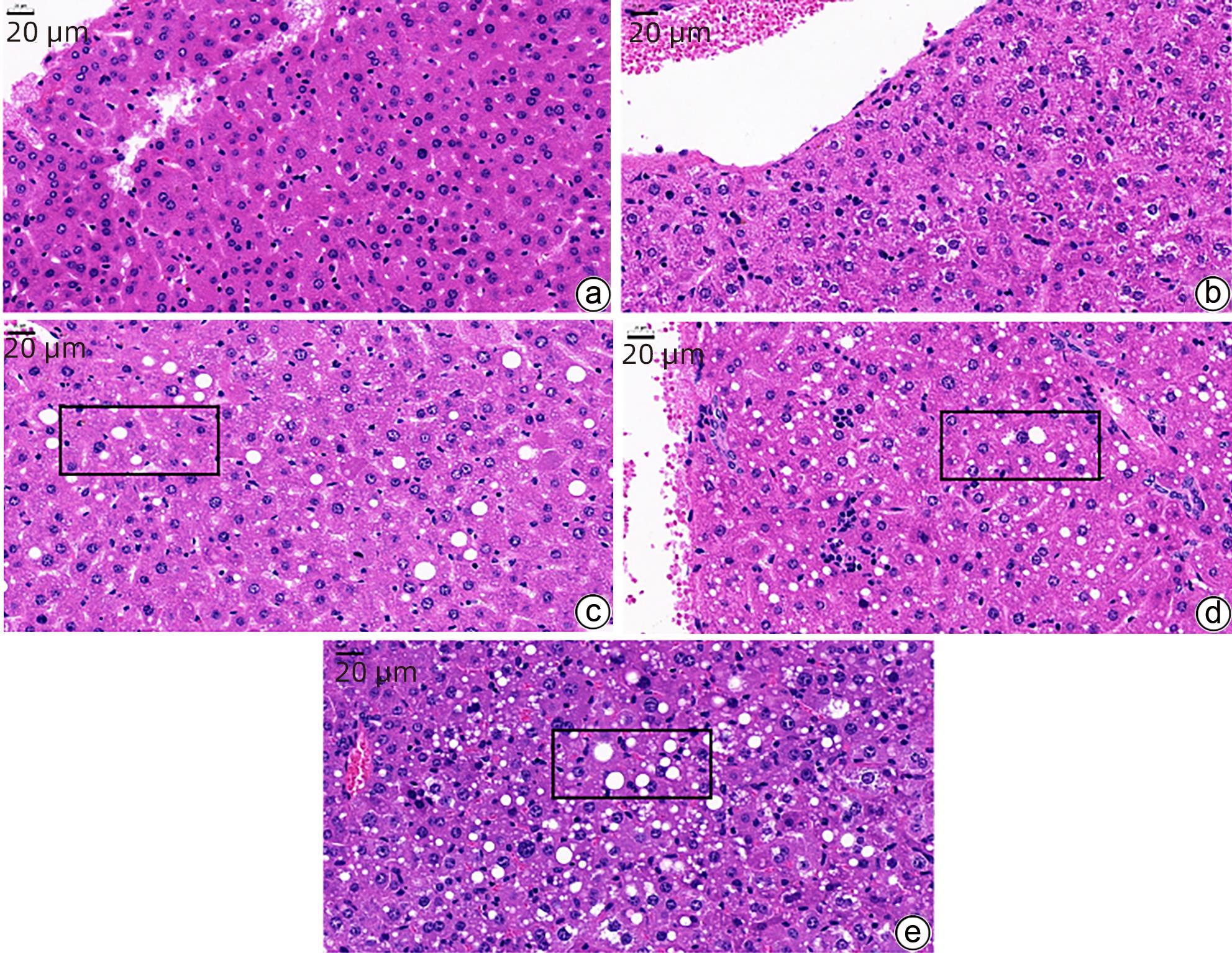
Effect of echinacoside intervention on liver and pancreas injury in rats with acute pancreatitis and its mechanism
Minghe MA, Zhuoma DAWA, Chuanchuan LIU, Haining FAN
2024, 40(4): 782-790. DOI: 10.12449/JCH240422
Abstract(1524) HTML (493) PDF (3277KB)(79)
Abstract:
  Objective  To investigate the effect and mechanism of echinacoside (ECH) in improving liver injury in rats with acute pancreatitis by establishing a rat model of acute pancreatitis and liver injury.  Methods  A total of 24 Sprague-Dawley rats were randomly divided into blank group (Con group), control group (Con+ECH group), acute pancreatitis group (AP group), and acute pancreatitis+ECH intervention (AP+ECH group). The rats were given intraperitoneal injection of 10 mg/kg ECH on day 7 before the establishment of the model of acute pancreatitis; at 24 hours after the last administration of cerulein, blood samples were collected via the abdominal aorta, and serum was separated for biochemical analysis including alanine aminotransferase (ALT), aspartate aminotransferase (AST), lactate dehydrogenase (LDH), gamma-glutamyl transpeptidase (GGT), alkaline phosphatase (ALP), albumin (Alb), total bilirubin (TBil), cholinesterase, blood amylase (Amy), and lipase (LPS). HE staining was used to observe the histopathological changes of the pancreas and the liver; transmission electron microscopy (TEM) was used to observe the microstructural changes of pancreas and liver tissue; ELISA was used to measure the levels of interleukin-1β (IL-1β), interleukin-16 (IL-6), tumor necrosis factor-α (TNF-α), and interleukin-10 (IL-10) in liver tissue homogenate; immunohistochemistry was used to measure the levels of TNF-α and p-p65 NF-κB in pancreas and liver tissue; Western blot was used to measure the expression levels of NF-κB pathway proteins in liver tissue. A one-way analysis of variance was used for comparison of continuous data between multiple groups, and the SNK test or the Dunnett’s T3 method was used for further comparison between two groups.  Results  Compared with the Con group, the AP group had significant increases in ALT, AST, GGT, LDH, ALP, TBil, Amy, and LPS (all P<0.01), as well as significant increases in the levels of IL-1β, IL-6, IL-10, and TNF-α in liver tissue homogenate (all P<0.01). ECH intervention reduced the levels of ALT, AST, GGT, LDH, ALP, TBil, AMY, and LPS and inhibited the secretion of IL-1β, IL-6, and TNF-α in rats with acute pancreatitis. HE staining showed that ECH intervention alleviated the vacuolar degeneration of acinar cells, inflammatory cell infiltration in pancreatic tissue, and the necrosis of hepatocytes compared with the AP group. TEM showed that compared with the AP group, there was a reduction in the degree of mitochondrial swelling in liver and pancreatic cells after ECH intervention. ECH intervention partially reversed the elevated expression levels of p-p65 NF-κB and TNF-α in liver and pancreatic tissue. In addition, the expression levels of MyD88, p-IκBα, p-IKKα, and p-p65 were upregulated in liver tissue of rats with acute pancreatitis, which could be partially reversed after ECH intervention.  Conclusion  Echinacoside can alleviate liver and pancreatic injury induced by acute pancreatitis by inhibiting the TLR4/MyD88/NF-κB pathway.
Case Report
Successful trans-blood liver transplantation after artificial liver support therapy in a patient with hepatic coma: A case report
Shuang SUN, Jinquan LIU, Shuai FENG, Shuxian WANG, Xiangmei XU, Deshu DAI, Jianhong WANG, Jinzhen CAI, Chuanshen XU
2024, 40(4): 791-793. DOI: 10.12449/JCH240423
Abstract(907) HTML (460) PDF (860KB)(82)
Abstract:
This article reports a patient with hepatic coma who underwent artificial liver support therapy and liver transplantation successfully, and the patient recovered well in the later stage after active treatment. This article also discusses the timing of liver transplantation.
Giant adenoma of the gallbladder misdiagnosed as gallbladder carcinoma: A case report
Yuehua WANG, Hua JIANG, Lianghong TENG, Huanli DUAN, Bixiao CUI, Dongmei WANG
2024, 40(4): 794-796. DOI: 10.12449/JCH240424
Abstract(1183) HTML (564) PDF (1133KB)(65)
Abstract:
One patient with gallbladder mass had transient jaundice and was diagnosed with gallbladder carcinoma by abdominal ultrasonography, contrast-enhanced CT, MRCP, and PET-CT. Surgical exploration showed enlarged gallbladder and a mass in the neck of the gallbladder pressing against the hilum of the liver, with no manifestation of tumor invasion, and there were no signs of liver metastasis. Only cholecystectomy was performed for the patient. The pathological diagnosis was tubular adenoma of the gallbladder without carcinogenesis. This case is characterized by a large gallbladder tumor, without marginal infiltration on imaging or malignant transformation based on pathology.
Review
Pathogenesis of hepatitis B-associated intrahepatic cholangiocarcinoma
Qiyu TIAN, Jian YU, Gang HUANG
2024, 40(4): 797-803. DOI: 10.12449/JCH240425
Abstract(1350) HTML (372) PDF (977KB)(127)
Abstract:
Intrahepatic cholangiocarcinoma (ICC) is a type of primary liver cancer that accounts for about 10%‍ — ‍15% of the total cases, and its incidence and mortality rates tend to increase significantly around the world, especially in Asian countries. At present, radical liver resection is the only possible cure for ICC, but with a fairly high postoperative recurrence rate and a poorer prognosis than hepatocellular carcinoma. Therefore, it is urgently needed to further investigate the mechanisms of the development and progression of ICC and search for more effective treatment methods. Some epidemiological data suggest that chronic hepatitis B virus infection is one of the most important predisposing factors for ICC, yet little is known about its oncogenic effects. This article summarizes the epidemiological evidence that links the two diseases and briefly elaborates on the mechanisms of the development and progression of HBV-associated ICC, so as to help to gain a better understanding of the role of HBV in the development and progression of ICC.
Mechanism of action of traditional Chinese medicine in treatment of nonalcoholic fatty liver disease based on intestinal microecology
Xue YANG, Xu ZHANG, Jin XIAN, Qiwen TAN, Huijuan YU
2024, 40(4): 804-809. DOI: 10.12449/JCH240426
Abstract(1475) HTML (493) PDF (794KB)(95)
Abstract:
Nonalcoholic fatty liver disease (NAFLD) is a multisystem disease associated with obesity, insulin resistance, and dyslipidemia and has a complex pathogenesis. Studies have shown that gut microbiota dysbiosis is closely associated with the onset of NAFLD, and traditional Chinese medicine treatment can improve the laboratory markers and clinical symptoms of NAFLD patients by regulating intestinal microbiota and its metabolites. This article elaborates on the association between NAFLD and gut microbiota, the involvement of gut microbiota dysbiosis in the pathogenesis of NAFLD, and the possible mechanism of traditional Chinese medicine treatment in improving NAFLD from the perspective of gut microbiota, in order to provide new ideas for the treatment of NAFLD.
Mechanism of amino acid metabolism in nonalcoholic fatty liver disease
Hui ZHANG, Ming TAN, Shengtao CHENG, Juan CHEN
2024, 40(4): 810-815. DOI: 10.12449/JCH240427
Abstract(1768) HTML (398) PDF (722KB)(141)
Abstract:
Nonalcoholic fatty liver disease (NAFLD) is one of the most prevalent chronic liver diseases in the world, affecting about one quarter of the global population, and it is estimated that NAFLD will become the main indication for liver transplantation by 2030. NAFLD can lead to significant abnormalities in the levels of a variety of amino acids including branched-chain amino acids, thereby promoting the development and progression of NAFLD. These results suggest that in addition to glucose and lipid metabolism, amino acid metabolism also plays an important role in the progression of NAFLD. In order to systematically understand the role and mechanism of amino acid metabolism in NAFLD, this article reviews the research advances in amino acid metabolism in NAFLD. This article aims to explore the role and mechanism of amino acid metabolism in the progression of NAFLD, so as to provide ideas and a theoretical basis for clinical prevention and treatment.
Advances in the application of microspheres and nanoparticles in transcatheter arterial chemoembolization for the treatment of hepatocellular carcinoma
Chuyue ZHANG, Jianing SHI, Mingda WANG, Han WU, Lijun SHI, Tian YANG
2024, 40(4): 816-821. DOI: 10.12449/JCH240428
Abstract(1169) HTML (721) PDF (690KB)(102)
Abstract:
In recent years, transcatheter arterial chemoembolization (TACE) has emerged as a common treatment modality for the treatment of hepatocellular carcinoma (HCC). However, with the ongoing development of embolic agent techniques, the new advances in microspheres and nanoparticles have brought new hope for improving the efficacy and safety of TACE. This article reviews the latest advances and applications of microspheres and nanoparticles in TACE for HCC. First, this article introduces the background of TACE as a therapeutic approach and the emergence of microsphere and nanoparticle techniques, and then it describes the application of various types of microspheres and nanoparticles in TACE and discusses the requisite attributes of an ideal embolic agents. The article focuses on the advances in material science and engineering, as well as the clinical efficacy of drug-eluting microspheres and nanoparticles versus conventional TACE. Furthermore, it discusses the importance of radiological examination in TACE and summarizes the research advances in the radiopaque and magnetic resonance-visible embolic agents. This article also explores the future development directions and challenges of TACE. It also points out the combination of microspheres and nanoparticles with other treatment modalities, the application of personalized and precision medicine in TACE, and the potential regimen of TACE in clinical translation, and meanwhile, it raises the issues of ethics and regulation that need to be further discussed. It is believed that microspheres and nanoparticles have a potential effect in TACE, which provides a theoretical basis and technical support for innovating HCC treatment regimens and improving the prognosis of patients through TACE interventions.
Role of the Hedgehog signaling pathway in hepatocellular carcinoma and its tumor microenvironment
Xiaohua ZHANG, Ying FENG, Xianbo WANG
2024, 40(4): 822-827. DOI: 10.12449/JCH240429
Abstract(1190) HTML (588) PDF (860KB)(91)
Abstract:
The Hedgehog (Hh) signaling pathway plays an important role in the development and progression of hepatocellular carcinoma and its tumor microenvironment, and abnormal activation of Hh signal can accelerate the growth of tumor. The crosstalk between the Hh signaling pathway and TME is closely associated with tumor growth and the formation of inhibitory tumor microenvironment. Evidence shows that inhibition of Hh signal plays an important role in inhibiting the growth of hepatocellular carcinoma. This article reviews the current research status of the role, mechanism, and potential therapeutic significance of abnormal activation of Hh signal in hepatocellular carcinoma and its tumor microenvironment, so as to provide new ideas for the treatment of hepatocellular carcinoma.
Advances in the treatment of acute hepatic porphyria
Jiajia LEI, Shuang LI, Baixue DONG, Jing YANG, Yi REN
2024, 40(4): 828-833. DOI: 10.12449/JCH240430
Abstract(1567) HTML (354) PDF (976KB)(246)
Abstract:
Acute hepatic porphyria (AHP) is a rare disease with abnormal heme metabolism, and breakthroughs have been made in the treatment of this disease in recent years. In addition to conventional treatment methods, this article reviews new therapies for AHP that are in the stage of initial clinical application or are still in the research stage, including RNAi therapy, enzyme replacement therapy, genetic supplementation of DNA or mRNA, drug molecular chaperones, and glycine transporter inhibitors for reducing heme synthesis. Moreover, this article also reviews the treatment of AHP-related comorbidities and complications, such as hyponatremia and posterior reversible encephalopathy syndrome. High glucose infusion is the main treatment method for AHP in China, and the improvement in diagnosis and increased attention to rare diseases in China has promoted the development of the diagnosis and treatment of AHP, and it is expected to explore more suitable treatment methods for AHP in the Chinese population in the future.
Application and development of endoscopic techniques in the diagnosis and treatment of liver diseases
Jingyi LU, Ying QU, Lungen LU
2024, 40(4): 834-838. DOI: 10.12449/JCH240431
Abstract(1359) HTML (315) PDF (641KB)(81)
Abstract:
Liver disease is one of the most important health problems around the world, and early diagnosis and timely intervention and treatment are the key to preventing liver-related morbidity and mortality rates. The development of endoscopic techniques has provided new diagnostic and intervention methods for liver diseases. This article reviews the application and development of endoscopic techniques in liver diseases from the following aspects: the technical advances and advantages of endoscopic ultrasound-guided liver biopsy; the application and development of endoscopic techniques in the treatment of portal hypertension caused by liver abscess/hepatic cyst and liver diseases, as well as interventional techniques in the treatment of liver tumors; the efficacy and prospects of the endoscopic techniques for weight loss, which are relatively new in China, in the treatment of nonalcoholic fatty liver disease/nonalcoholic steatohepatitis. Endoscopic techniques may hold promise for wide clinical application and exploration in in liver-related diseases in China, so as to provide more options for patients and doctors.
Mechanism of action of macrophage efferocytosis in acute and chronic liver diseases and related targeted therapy
Huanhuan YANG, Shiyu YUAN, Yingmei TANG
2024, 40(4): 839-843. DOI: 10.12449/JCH240432
Abstract(1964) HTML (951) PDF (630KB)(81)
Abstract:
Efferocytosis refers to the process by which apoptotic cells are engulfed and cleared by phagocytes, including professional phagocytes, such as macrophages and dendritic cells, and non-professional phagocytes, such as epithelial cells. Liver macrophages are the main cells with the function of efferocytosis in the liver. In recent years, an increasing number of studies have shown that various acute and chronic liver diseases are associated with the efferocytosis function of liver macrophages, including acute liver injury, alcoholic liver disease, nonalcoholic fatty liver disease, autoimmune liver disease, liver fibrosis, and liver cancer. This article elaborates on the expression of molecules associated with the efferocytosis function of macrophages, the process of efferocytosis, and the role of efferocytosis function in different liver diseases, so as to provide new ideas for the treatment of liver diseases.
Advances in the differential diagnosis of malignant bile duct stenosis
Chunyan MENG, Jing WANG, Bo WANG
2024, 40(4): 844-849. DOI: 10.12449/JCH240433
Abstract(977) HTML (761) PDF (779KB)(210)
Abstract:
There are various etiologies for extrahepatic bile duct stenosis, and pharmacotherapy and endoscopic intervention can achieve a good clinical effect in benign stenosis. Early diagnosis and timely surgical treatment of malignant stenosis may prolong the survival time of patients. However, there are still difficulties in the differential diagnosis of malignant bile duct stenosis. This article reviews the application of serology, radiology, endoscopic techniques, and artificial intelligence in the differential diagnosis of malignant bile duct stenosis, so as to provide strategies and references for formulating clinical diagnosis and treatment regimens.
Mechanism and prevention of liver failure complicated by acute pancreatitis
Xingyu LU, Jing YANG, Pan LI, Jianping PENG
2024, 40(4): 850-856. DOI: 10.12449/JCH240434
Abstract(1311) HTML (812) PDF (1192KB)(110)
Abstract:
Liver failure often has rapid progression, multiple complications, and dangerous conditions. Acute pancreatitis is a common comorbidity during the progression of liver failure, and since acute pancreatitis has extremely similar clinical symptoms and signs to liver failure complicated by spontaneous peritonitis, it is often neglected in clinical practice. This article elaborates on the mechanisms of liver failure complicated by acute pancreatitis from the five aspects of inflammatory response, duodenal papillary dysfunction, gut microbiota dysbiosis, oxidative stress, and microcirculatory disturbance and proposes corresponding preventive measures based on these mechanisms.
Acknowledgements
Current reviewers
2024, 40(4): 678-678. DOI: 10.12449/JCH2404.zhixie
Abstract(343) HTML (264) PDF (805KB)(41)
Abstract: