中文English
ISSN 1001-5256 (Print)
ISSN 2097-3497 (Online)
CN 22-1108/R

Vol.41 No.8 (298 in total) Aug. 2025

Theme Issue:The Latest Advances in the Treatment of Hepatocellular Carcinoma

Executive Chief Editor: ZHOU Jian

Zhongshan Hospital affiliated to Fudan University

Display Method:
Editorial
The latest advances in the treatment of hepatocellular carcinoma
Jian ZHOU, Xiaoyong HUANG
2025, 41(8): 1481-1486. DOI: 10.12449/JCH250801
Abstract(1341) HTML (486) PDF (630KB)(556)
Abstract:
Hepatocellular carcinoma (HCC) is a severely detrimental global public health issue, and its incidence and mortality rates remain at a high level. According to the data from the World Health Organization, there were 866 000 new cases of HCC and 759 000 deaths worldwide in 2022, and it is predicted that by 2040, there will be significant increases in the numbers of new cases and deaths due to HCC. In the face of these great challenges, significant advances have been made in the diagnosis and treatment of HCC in recent years, and from the improvements in traditional surgeries and local treatment to groundbreaking innovations in targeted therapy and immunotherapy and the application of the concept of precision medicine, various treatment methods have provided more treatment options and survival opportunities for patients with different stages. This article reviews the advances in the treatment of HCC and analyzes current therapeutic difficulties and future development directions, in order to provide a reference for clinical practice and academic research.
Expert Forum
Associating liver partition and portal vein ligation for staged hepatectomy and liver cancer
Jian ZHOU, Zheng WANG
2025, 41(8): 1487-1490. DOI: 10.12449/JCH250802
Abstract(689) HTML (215) PDF (1720KB)(93)
Abstract:
Associating liver partition and portal vein ligation for staged hepatectomy (ALPPS) is a groundbreaking and innovative technique in the field of liver surgery, and it has significantly increased the resection rate of large or multifocal liver cancer that cannot be resected in stage Ⅰ surgery. Continuous improvements in the ALPPS surgical procedure have further enhanced surgical safety. Compared with systemic therapy and local treatment for oncological conversion, ALPPS has notable advantages in the success rate of surgical resection and the time interval required for the procedure. Future research will focus on the long-term oncological outcomes and quality of life of patients after ALPPS.
Advances and prospects of systemic therapy for hepatocellular carcinoma
Yong HUANG, Shengxi HUANG, Xiufeng LIU
2025, 41(8): 1491-1496. DOI: 10.12449/JCH250803
Abstract(1135) HTML (344) PDF (674KB)(263)
Abstract:
Ground-breaking advances have been made in systemic therapy for hepatocellular carcinoma (HCC), which have significantly improved the clinical prognosis of patients with advanced HCC. This article summarizes the key advances and clinical challenges in systemic therapy for HCC. With the combination of various novel targeted therapy and immunotherapy regimens and the application of dual immunotherapy regimens, there has been an increasing number of clinical treatment options, while there are still key challenges such as optimization of treatment regimens, management of drug resistance, and treatment of special populations. Current studies are exploring precise classification based on multi-omics characteristics and the strategies for novel combined therapies, and in particular, triple-combination regimens have the potential to break through the bottleneck in efficacy. In the future, it is necessary to establish a more individualized and refined whole-course management system and further improve the long-term survival benefits of patients by optimizing immune microenvironment modulation and transforming therapeutic paradigms. Advances in this field will promote the transition from traditional paradigm to precision medicine in the treatment of HCC.
Locoregional therapeutic strategies for hepatocellular carcinoma
Hua XIANG, Lin LONG, Yongjin ZHANG, Jumei ZHOU, Yang ZHAO, Muzi LI, Rengeng LIU, Shixiong SHI, Rongrong WANG
2025, 41(8): 1497-1503. DOI: 10.12449/JCH250804
Abstract(1013) HTML (398) PDF (760KB)(271)
Abstract:
The incidence and mortality rates of hepatocellular carcinoma (HCC) remain high in China, and the application of surgical resection is often limited due to the fact that most patients are in the advanced stage at the time of confirmed diagnosis. This article reviews commonly used advanced locoregional therapies for HCC and the advances in mainstream techniques such as local ablation (radiofrequency ablation, microwave ablation, irreversible electroporation, and cryoablation), intravascular intervention (transcatheter arterial chemoembolization, hepatic arterial infusion chemotherapy, and Y90 hepatic arterial infusion chemotherapy), and radiotherapy (CyberKnife, proton therapy, and heavy-ion therapy), and a multidimensional decision-making framework is constructed for HCC locoregional therapy by comparing treatment principles, indications, limitations, and clinical data of these techniques. This article aims to provide evidence-based support for persistent dilemmas in clinical decision-making, promote the role of locoregional therapies in clinical practice, and propose the directions for future research and clinical application. This article also establishes a comprehensive clinical roadmap for HCC locoregional therapy, which helps to address current challenges regarding technique selection and delineate future directions for innovation, in order to reshape the treatment of HCC through technological integration and paradigm innovation.
Guideline
Guidelines for the diagnosis and treatment of primary biliary cholangitis (2025 edition)
National Health Commission of the People’s Republic of China
2025, 41(8): 1504-1506. DOI: 10.12449/JCH250805
Abstract(2835) HTML (676) PDF (676KB)(1364)
Abstract:
In order to further standardize the diagnosis and treatment of rare diseases and ensure medical quality and safety, National Health Commission of the People’s Republic of China developed the guidelines for the diagnosis and treatment of 86 diseases in the Second List of Rare Diseases, which were officially released in June 2025, including five rare hepatobiliary diseases of Alagille syndrome, α1-antitrypsin deficiency, congenital biliary atresia, primary biliary cholangitis, and primary sclerosing cholangitis. This article introduces the etiology, epidemiology, clinical manifestations, auxiliary examination, diagnosis, and treatment of primary biliary cholangitis, in order to provide a reference for clinical practice.
Guidelines for the diagnosis and treatment of primary sclerosing cholangitis (2025 edition)
National Health Commission of the People’s Republic of China
2025, 41(8): 1507-1511. DOI: 10.12449/JCH250806
Abstract(1615) HTML (511) PDF (838KB)(477)
Abstract:
In order to further standardize the diagnosis and treatment of rare diseases and ensure medical quality and safety, National Health Commission of the People’s Republic of China developed the guidelines for the diagnosis and treatment of 86 diseases in the Second List of Rare Diseases, which were officially released in June 2025, including five rare hepatobiliary diseases of Alagille syndrome, α1-antitrypsin deficiency, congenital biliary atresia, primary biliary cholangitis, and primary sclerosing cholangitis. This article introduces the etiology, epidemiology, clinical manifestations, auxiliary examination, diagnosis, and treatment of primary sclerosing cholangitis, in order to provide a reference for clinical practice.
An excerpt of EASL Clinical Practice Guidelines on extrahepatic abdominal surgery in patients with cirrhosis and advanced chronic liver disease (2025)
Suting ZHANG, Shengyan LIU, Xiaowei DANG
2025, 41(8): 1512-1516. DOI: 10.12449/JCH250807
Abstract(700) HTML (230) PDF (990KB)(106)
Abstract:
On May 2025, European Association for the Study of the Liver published Clinical Practice Guidelines on extrahepatic abdominal surgery in patients with cirrhosis and advanced chronic liver disease. The guidelines systematically elaborate on the preoperative assessment, various surgical indications, and perioperative management of patients with cirrhosis or advanced chronic liver disease undergoing extrahepatic surgery, in order to provide comprehensive recommendations for preoperative assessment and perioperative management in patients with cirrhosis and advanced chronic liver disease who have surgical indications. This article makes an excerpt of the methodology and key recommendations of the guidelines.
An excerpt of EASL Clinical Practice Guidelines on the management of extrahepatic cholangiocarcinoma (2025)
Zongren DING, Yao HUANG, Yongyi ZENG
2025, 41(8): 1517-1520. DOI: 10.12449/JCH250808
Abstract(600) HTML (299) PDF (535KB)(114)
Abstract:
In recent years, significant progress has been made in the radiological diagnosis, molecular profiling, and systemic therapy of cholangiocarcinoma(CCA). Nevertheless, there are still many challenges in early identification, precise classification, and effective management. Given the marked heterogeneity between CCA subtypes and the recent research advances, the European Association for the Study of the Liver has developed evidence-based management recommendations for extrahepatic CCA, covering both perihilar and distal subtypes. This guideline particularly emphasizes the need for precise classification systems, the integration of emerging molecular studies, and practical diagnostic and therapeutic strategies reflecting real-world clinical scenarios.
An excerpt of global consensus recommendations for metabolic dysfunction-associated steatotic liver disease and steatohepatitis (2025)
Aifang LIU, Bo ZOU, Lei LUO, Jing ZHANG, Wenlong YANG
2025, 41(8): 1521-1524. DOI: 10.12449/JCH250809
Abstract(2426) HTML (1090) PDF (1256KB)(606)
Abstract:
In April 2025, Global consensus recommendations for metabolic dysfunction-associated steatotic liver disease and steatohepatitis was published online in Gastroenterology. These recommendations address the areas with significant divergence, such as metabolic dysfunction-associated steatotic liver disease (MASLD) screening steps, the use of noninvasive tests for risk stratification, management of comorbidities, and the recent advances in resmetirom for the treatment of metabolic dysfunction-associated steatohepatitis (MASH), covering the most debated topics in current MASLD management. This article makes an excerpt of the main contents in these consensus recommendations.
Viral Hepatitis
Analysis of influencing factors and construction of predictive model for HBsAg clearance in patients with HBeAg-negative chronic hepatitis B treated with PEG-IFN-α-2b
Yingyuan ZHANG, Danqing XU, Huan MU, Yuanqiang HE, Yuanzhen WANG, Chunyun LIU, Weikun LI, Chunyan MOU, Li LIU
2025, 41(8): 1525-1532. DOI: 10.12449/JCH250810
Abstract(634) HTML (263) PDF (1070KB)(145)
Abstract:
  Objective  To investigate the predictive factors for the occurrence of HBsAg clearance in patients with HBeAg-negative chronic hepatitis B (CHB) receiving peginterferon alfa-2b (PEG-IFN-α-2b) treatment, analyze the effects of various indicators on the HBsAg clearance rate under different characteristics, and construct and evaluate a combined predictive model.  Methods  We included 125 patients with HBeAg-negative CHB at Kunming Third People’s Hospital from May 2021 to May 2023. After treatment with PEG-IFN-α-2b combined with nucleoside analogues for a course of 48 weeks, they were divided into HBsAg clearance group and HBsAg non-clearance group. Their general information and serological, biochemical, and virological indicators at different time points during treatment were recorded. Continuous data in normal distribution were compared using the t test. Continuous data in non-normal distribution were compared using the Mann-Whitney U test, and comparisons across different time points were performed using the multiple paired-sample Friedman test. Categorical data were compared using the χ2 test. A Logistic regression analysis was used to select variables to establish a combined multi-parameter predictive model. Receiver operating characteristic (ROC) curves were generated to evaluate the diagnostic value of individual indicators and the combined predictive model for HBsAg clearance.  Results  Before treatment, there were significant differences in baseline HBsAg level (Z=-3.997,P<0.05) and treatment history (χ2=8.221,P<0.05) between the two groups. During treatment, gradually decreasing trends were observed in white blood cell count (χ2=104.944), neutrophil count (χ2=132.036), platelet count (χ2=162.881), and thyroid-stimulating hormone level (TSH,χ2=83.304,all P<0.05), while alanine aminotransferase (ALT,χ2=157.618) and alpha fetoprotein (χ2=159.472) showed gradually increasing trends (both P<0.05). At 48 weeks of treatment, treatment history (odds ratio [OR]=0.232, 95% confidence interval [CI]:0.071‍‍ — ‍‍‍ ‍0.753), baseline HBsAg level (OR=13.423,95%CI:3.276‍ — ‍‍54.997), the extent of decrease in HBsAg from baseline after 12 weeks of treatment (OR=0.143,95%CI:0.040‍ ‍— ‍‍‍ ‍0.515), the maximum ALT level during treatment (OR=0.986,95%CI:0.980‍ — ‍‍0.993), and the minimum TSH level during treatment (OR=3.281,95%CI:1.413‍‍‍ ‍— ‍‍‍7.619) were independent factors affecting HBsAg clearance (all P<0.05). A combined predictive model for HBsAg clearance was built:Y=-1.603-1.462×treatment history+2.597×baseline HBsAg value-1.944×the extent of HBsAg reduction from baseline after 12 weeks of treatment-0.014×the maximum ALT value during treatment+1.188×the minimum TSH value during treatment. The diagnostic value of the individual indicators for HBsAg clearance from high to low was as following: the maximum ALT value during treatment (AUC=0.824), baseline HBsAg value (AUC=0.727), the minimum TSH value during treatment (AUC=0.707), the extent of HBsAg reduction from baseline after 12 weeks of treatment (AUC=0.641), and treatment history (AUC=0.636). The combined model showed better predictive performance than the individual indicators, with the AUC being 0.921 (all P<0.05).  Conclusion  The combined model, constructed with baseline HBsAg value, the extent of HBsAg reduction from baseline after 12 weeks of treatment, the maximum ALT value during treatment, and the minimum TSH value during treatment, has high predictive value for the occurrence of HBsAg clearance in patients with HBeAg-negative CHB after 48 weeks of treatment with PEG-IFN-α-2b, which can provide a reference for identifying suitable patients for treatment and predicting clinical outcome.
Clinical features of chronic hepatitis C patients with genotype 3 infection: A multicenter retrospective cohort study
Jingyi XIE, Yujia JING, Yishan LIU, Manling BAI, Zhangqian CHEN, Qiang XU, Hong DU, Yuxiu MA, Liting ZHANG, Shanshan ZHU, Xiaoqin GAO, Xinggang BAI, Guoying YU, Jianqi LIAN, Xiaozhong WANG, Yongping ZHANG, Jiuping WANG, Fanpu JI, Jianjun FU, Ning GAO
2025, 41(8): 1533-1540. DOI: 10.12449/JCH250811
Abstract(620) HTML (240) PDF (967KB)(83)
Abstract:
  Objective  To investigate the clinical features of chronic hepatitis C (CHC) patients with hepatitis C virus genotype 3 (HCV GT3) infection and the risk factors for disease progression.  Methods  A multicenter retrospective cohort study was conducted among 1 002 CHC patients from 11 clinical centers in Northwest China from December 2017 to November 2023, and according to their genotype, they were divided into GT1, GT2, GT3, and GT6 groups. Clinical features were compared between the patients with different genotypes. The one-way analysis of variance was used for comparison of normally distributed continuous data between groups, and the Scheffe test was used for further comparison between two groups. The Kruskal-Wallis H test was used for comparison of data with skewed distribution between groups; the chi-square test or Fisher test was used for comparison of categorical data between groups. The multivariate logistic regression analysis was used to explore the influencing factors for the progression of CHC to liver cirrhosis.  Results  In terms of the genotype, there were 427 patients with GT1 infection, 242 with GT2 infection, 299 with GT3 infection (210 patients with GT3a infection, 87 with GT3b infection, and 2 with unclassified genotype), and 34 with GT6 infection. The patients with GT3 infection had a significantly younger age than those with GT1 infection (51.3±0.5 years vs 53.2±0.6 years, P<0.05) or GT2 infection (51.3±0.5 years vs 53.7±0.8 years, P<0.05), and for the patients with liver cirrhosis, the patients with GT3 infection had a significantly younger age than those with GT1 infection (52.1±0.5 years vs 59.4±0.9 years, P<0.001) or GT2 infection (52.1±0.5 years vs 58.1±1.1 years, P<0.001). Among the patients with GT3 infection, male patients accounted for 77.9% and the patients with liver cirrhosis accounted for 46.2%, which were significantly higher than those among the patients with GT1, GT2 or GT6 infection (all P<0.001). At baseline, the patients with GT3 infection had significantly higher levels of alanine aminotransferase (ALT) and aspartate aminotransferase (AST) than those with GT1 or GT2 infection, significantly higher aspartate aminotransferase-to-platelet ratio index (APRI) and fibrosis-4 (FIB4) than those with GT1, GT2 or GT6 infection, a significantly lower platelet count (PLT) than those with GT2 or GT6 infection, a significantly higher level of alpha-fetoprotein than those with GT2 or GT6 infection, and a significantly lower level of albumin (Alb) than those with GT6 infection (all P<0.05). There were no significant differences between the patients with GT3a infection and those with GT3b infection in age, sex, the proportion of patients with liver cirrhosis, comorbidities, HCV RNA quantification, PLT, ALT, AST, alkaline phosphatase, Alb, APRI, and FIB-4 (all P>0.05). The multivariate logistic regression analysis showed that PLT≤150×109/L (odds ratio [OR]=10.72, 95% confidence interval [CI]: 5.76‍ ‍—‍ ‍35.86, P<0.001) and Alb≤35 g/L (OR=3.74, 95%CI: 1.22‍ ‍—‍ ‍11.45, P=0.021) were risk factors for liver cirrhosis.  Conclusion  Most CHC patients with GT3 infection are male in Northwest China, and compared with the patients with other genotypes, such patients tend to have a younger age of onset and higher degrees of liver inflammation activity and fibrosis. Low PLT and a low level of Alb are risk factors for progression to liver cirrhosis in CHC patients with GT3 infection.
Fatty Liver Disease
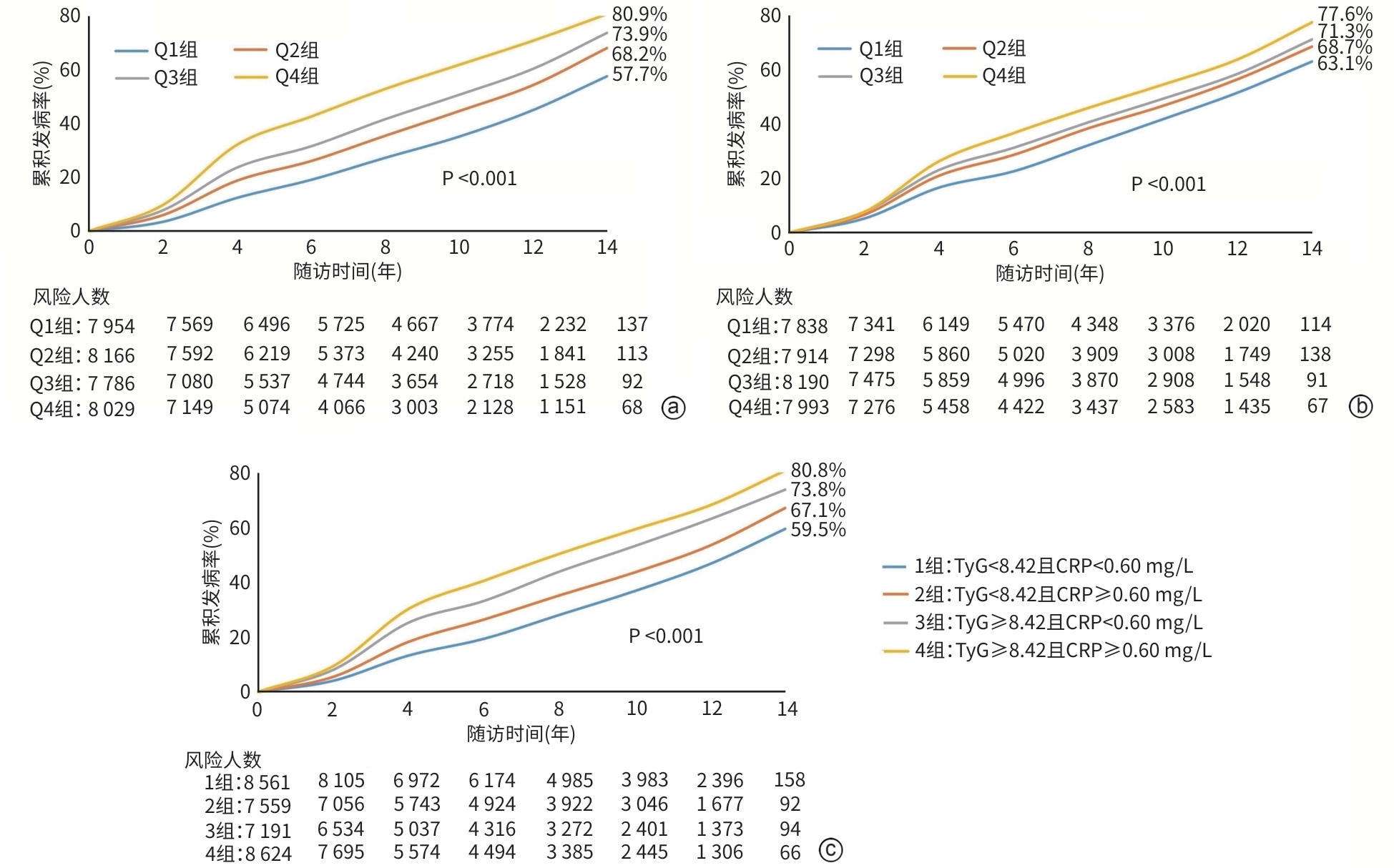
Effect of triglyceride-glucose index combined with C-reactive protein on new-onset nonalcoholic fatty liver disease
Yurui DU, Fei TIAN, Hong JI, Yaochen WEI, Yunpeng LI, Xinyu GE, Minghua LI, Xiangming MA
2025, 41(8): 1541-1547. DOI: 10.12449/JCH250812
Abstract(481) HTML (210) PDF (1033KB)(63)
Abstract:
  Objective  To investigate whether there is a synergistic pathogenic effect between triglyceride glucose index (TyG) and C-reactive protein (CRP) on new-onset nonalcoholic fatty liver disease (NAFLD) by observing the influence of combinations of TyG and CRP at different levels, and to provide a basis for identifying the high-risk population of NAFLD.  Methods  A total of 31 935 employees in Kailuan Group who participated in physical examination in 2006 — 2007 were enrolled as the observation cohort, and they had no history of drinking, fatty liver disease, cardiovascular disease, or malignant tumor and did not take antidiabetic or lipid-lowering drugs. According to the median of TyG and CRP at baseline, the subjects were divided into TyG<8.42 and CRP<0.60 mg/L group, TyG<8.42 and CRP≥0.60 mg/L group, TyG≥8.42 and CRP<0.60 mg/L group, and TyG≥8.42 and CRP≥0.60 mg/L group. A one-way analysis of variance was used for comparison of normally distributed continuous data between multiple groups, and an analysis of variance was used for comparison of continuous data with skewed distribution between groups after logarithmic transformation; the chi-square test was used for comparison of categorical data between groups. The Kaplan-Meier method was used to calculate the cumulative incidence rate of NAFLD in different combinations of CRP and TyG levels, and the multivariate Cox regression model was used to investigate the influence of different combinations of TyG and CRP on the incidence rate of NAFLD.  Results  After a mean follow-up time of 7.59 years, a total of 16 592 employees developed NAFLD. The cumulative incidence rate of NAFLD in the TyG<8.42 and CRP<0.60 mg/L group, TyG<8.42 and CRP≥0.60 mg/L group, TyG≥8.42 and CRP<0.60 mg/L group, and TyG≥8.42 and CRP≥0.60 mg/L group were 59.5%, 67.1%, 73.8%, and 80.8%, respectively (P<0.001). After adjustment for confounding factors, compared with the TyG<8.42 and CRP<0.60 mg/L group, the TyG≥8.42 and CRP≥0.60 mg/L group had the highest risk of developing NAFLD (hazard ratio [HR]=1.54, 95% confidence interval [CI]: 1.47 — 1.61), followed by the TyG≥8.42 and CRP<0.60 mg/L group (HR=1.43, 95%CI: 1.36 — 1.49) and the TyG<8.42 and CRP≥0.60 mg/L group (HR=1.17, 95%CI: 1.12 — 1.22).  Conclusion  With elevated TyG and CRP levels, the cumulative incidence of NAFLD increased, and rising levels of these markers significantly augmented the risk of NAFLD development.
Relationship between spleen volume and non-alcoholic fatty liver disease by three-dimensional computed tomography reconstruction
Xiao LIANG, Caixia DONG, Guodong LI, Qi SHANG, Bowen QIN, Dan WAN, Qian WANG, Lu LI, Xin CHEN, Zongfang LI
2025, 41(8): 1548-1555. DOI: 10.12449/JCH250813
Abstract(473) HTML (200) PDF (9727KB)(70)
Abstract:
  Objective  To investigate the association of spleen volume with the risk of non-alcoholic fatty liver disease (NAFLD) as well as their causal relationship.  Methods  We included 90 NAFLD cases and 47 healthy controls who had received contrast-enhanced computed tomography (CT) scan of the abdomen at the Second Affiliated Hospital of Xi’an Jiaotong University from November 2022 to November 2023. We conducted three-dimensional reconstruction of the spleen through a deep learning network model using a two-stage coarse-to-fine segmentation approach. We compared the two groups using the two-sample t test or Mann-Whitney U test for continuous data and using the chi-square test for categorical data; evaluated the correlation between spleen volume and liver function indicators through Pearson correlation or Spearman rank correlation analyses; determined the factors influencing the development of NAFLD through multivariable Logistic regression analysis; and further assessed the casual relationship between spleen volume and NAFLD using the inverse variance-weighted two-sample Mendelian randomization (IVW-MR) method.  Results  Spleen volume was significantly larger in NAFLD cases than in controls (272.93±104.16 vs 204.37±81.20 cm3P<0.001). The Spearman rank correlation analysis showed that spleen volume was positively correlated with the hepatic steatosis index (rs =0.422, P<0.001) and gamma-glutamyl transferase levels (rs =0.211, P=0.047) in patients with NAFLD. The multivariable Logistic regression analysis indicated that spleen volume was an independent risk factor for the development of NAFLD (odds ratio [OR]=1.01, 95% confidence interval [CI]: 1.00 — 1.02, P=0.049). The IVW-MR analysis detected a causal relationship between spleen volume and NAFLD (OR=1.16, 95%CI: 1.05 — 1.28, P=0.005).  Conclusion  Increased spleen volume may be a risk factor for the development and progression of NAFLD. Further studies are still needed to investigate the specific mechanism.
Liver Fibrosis and Liver Cirrhosis
Value of quantitative hepatitis B core antibody in predicting the prognosis of decompensated hepatitis B cirrhosis patients with normal international normalized ratio
Baiguo XU, Jiayin WANG, Huiling XIANG
2025, 41(8): 1556-1562. DOI: 10.12449/JCH250814
Abstract(433) HTML (176) PDF (916KB)(57)
Abstract:
  Objective  To determine the serum level of quantitative hepatitis B core antibody (qAnti-HBc) in decompensated hepatitis B cirrhosis patients with normal international normalized ratio (INR), and to investigate its prognostic value in this target population.  Methods  A total of 120 decompensated hepatitis B cirrhosis patients with normal INR who were diagnosed and treated in Tianjin Third Central Hospital from October 1, 2018 to April 1, 2021 were enrolled. Baseline indicators were collected, the serum level of qAnti-HBc was measured, and the prognosis was followed up. According to the prognosis, the patients were divided into survival group and death group. The independent-samples t test or the Mann-Whitney U test was used for comparison of continuous data between two groups, and the chi-square test was used for comparison of categorical data between groups. Univariate and multivariate Cox regression analyses were used to investigate the candidate variables affecting the prognosis and establish a prognostic model for this population, and the receiver operating characteristic (ROC) curve was plotted.  Results  The patients enrolled were followed up for 32.17±13.09 months, and there were 99 patients (82.5%) in the survival group and 21 patients (17.5%) in the death group. There were significant differences between the survival group and the death group in sex (χ2=2.151, P=0.014), age (t=-3.218, P=0.003), total bilirubin (Z=-0.901, P=0.027), albumin (t=3.353, P=0.001), and Child-Pugh class (χ2=1.144, P=0.010). The univariate and multivariate Cox regression analyses showed that serum qAnti-HBc (hazard ratio [HR]=0.57, 95% confidence interval [CI]: 0.32‍ ‍—‍ ‍1.00, P=0.043), age (HR=1.06, 95%CI:1.00‍ ‍—‍ ‍1.12, P=0.044), sex (HR=3.82, 95%CI: 1.46‍ ‍—‍ ‍10.00, P=0.006), platelet count (HR=0.98, 95%CI: 0.97‍ ‍—‍ ‍1.00, P=0.037), and albumin (HR=0.86, 95%CI: 0.79‍ ‍—‍ ‍0.95, P=0.002) were independent risk predictive factors for the prognosis of decompensated hepatitis B cirrhosis patients with normal INR. Based on these factors, a predictive model was established as h(t, x)/h0(t)=exp(1.34X1+0.06X2-0.14X3-0.02X4-0.57X5), where X1=sex, X2=age, X3=albumin, X4=platelet count, X5=qAnti-HBc. This predictive model had an area under the ROC curve of 0.842, with a sensitivity of 0.79, a specificity of 0.73, and a C-index of 0.85.  Conclusion  In decompensated hepatitis B cirrhosis patients with normal INR (0.8‍ ‍—‍ ‍1.2), serum qAnti-HBc is one of the independent risk predictive factors for death, and the predictive model established based on the combination of serum qAnti-HBc and other indicators can effectively predict the prognosis of patients.
Histological factors for improving portal hypertension in patients with chronic hepatitis B cirrhosis
Meng LI, Yanan GUO, Kai HUANG, Xin SUN, Zhengxin LI, Zhimin ZHAO, Jing LYU, Chenghai LIU
2025, 41(8): 1563-1570. DOI: 10.12449/JCH250815
Abstract(474) HTML (172) PDF (3211KB)(64)
Abstract:
  Objective  To investigate the histological and cellular bases for the improvement of portal hypertension (PH) by observing liver histopathological changes after treatment in patients with cirrhotic portal hypertension, and to provide a basis for clinical drug development.  Methods  A total of 322 patients with hepatitis B cirrhosis who completed 48 weeks of antiviral therapy or combined anti-fibrotic treatment in 20 hospitals across 12 provinces in China from September 2014 to October 2018 were enrolled, and the noninvasive diagnostic criteria for clinically significant portal hypertension (CSPH) from Baveno Ⅶ were used to assess the severity of PH; 43 patients with a confirmed diagnosis of CSPH were identified based on liver stiffness measurement (LSM) ≥25 kPa before treatment, and according to whether the severity of PH was reduced by ≥2 grades after treatment, the patients were divided into PH improvement (n=19) group and PH non-improvement group(n=24). Related data were collected, including demographic data, laboratory tests. Liver fibrosis were assessed, including HE staining and reticular fiber staining; liver microvascular lesions were assessed, including obliterative portal venopathy (OPV), nodular regenerative hyperplasia (NRH), and incomplete septal fibrosis (ISF). Single immunohistochemical staining was performed for von Willebrand factor (vWF), and fibronectin; multiplex immunohistochemical staining was performed for fibrinogen, CD32b, CD31, alpha-smooth muscle actin (α-SMA). The independent-samples t test or the Mann-Whitney U test was used for comparison of continuous data between two groups, and the chi-square test was used for comparison of categorical data between two groups.  Results  After 48 weeks of treatment, 43 patients had significant improvements in red blood cell count, alanine aminotransferase, aspartate aminotransferase, aspartate aminotransferase-to-platelet ratio index score, liver fibrosis grade, and PH grade (all P<0.05), among whom 19 patients showed a reduction in PH severity by ≥2 grades (PH improvement group), while the remaining patients were enrolled as the PH non-improvement group. There was no significant difference in the outcome of liver fibrosis between the two groups (χ²=3.380, P=0.066). Microvascular lesion assessment showed that compared with the PH non-improvement group, the PH improvement group had significantly lower OPV severity, microvascular density (the expression level of vWF), and expression of fibronectin (all P<0.05), while there were no significant differences in NRH severity, ISF severity, and the expression level of fibrinogen between the two groups (all P>0.05). Cytological evaluation showed no significant differences in the expression levels of CD32b, CD31, and α-SMA between the two groups before and after treatment (all P>0.05), and comparison of the expression levels before and after treatment showed that the PH improvement group had a significant increase in the expression level of CD32b (t=-2.007, P=0.045) and a significant reduction in the expression level of α-SMA (t=2.628, P=0.013).  Conclusion  The pathological features of PH improvement are associated with liver fibrosis regression and the improvement in liver microvascular lesions, and at the cellular level, PH improvement is associated with the dedifferentiation of liver sinusoidal endothelial cells and the activated phenotype of hepatic stellate cells.
Characteristics and short-term outcomes of patients with decompensated liver cirrhosis accompanied by diastolic cardiac dysfunction
Yichen YAO, Haiyu WANG, Lin DAI, Qian WANG, Ranran XI, Junting WAN, Jinjun CHEN
2025, 41(8): 1571-1578. DOI: 10.12449/JCH250816
Abstract(514) HTML (205) PDF (1897KB)(65)
Abstract:
  Objective  To retrospectively study the characteristics and short-term outcomes of patients with decompensated liver cirrhosis accompanied by diastolic cardiac dysfunction, and to inform the clinical diagnosis and treatment of decompensated liver cirrhosis.  Methods  We retrospectively analyzed the clinical data of patients with liver cirrhosis and diastolic heart dysfunction admitted to Nanfang Hospital of Southern Medical University from April 1, 2019 to July 31, 2023. The patients were divided into compensated cirrhosis group (n=37) and decompensated cirrhosis group (n=226), and those with decompensated cirrhosis were further divided into subgroups of patients with heart dysfunction (n=84) and patients without heart dysfunction (n=142). We compared two groups using the independent samples t-test and Mann-Whitney U test for continuous data in normal distribution and data in skewed distribution, respectively; compared multiple groups using the Kruskal-Wallis H test, with subsequent paired comparisons using the Wilcoxon test; compared categorical data between two groups using the chi-square test or corrected chi-square test; identified the factors affecting patient survival using a Logistic regression model; and plotted Kaplan-Meier survival curves, with inter-group comparisons using the log-rank test.  Results  A total of 263 eligible patients were ultimately included, among whom 226 patients were diagnosed with decompensated liver cirrhosis (84 patients with diastolic dysfunction). Between the diastolic dysfunction group and non-diastolic dysfunction group, significant differences were detected in age (t=-4.566,P<0.05), activated partial thromboplastin time (Z=-3.026,P<0.05), prothrombin time (Z=-2.450,P<0.05), international normalized ratio (Z=2.779,P<0.05), and the proportion of moderate esophageal varices (χ2=4.273,P<0.05). During hospitalization, 35 patients experienced new or aggravated ascites (18 with cardiac dysfunction and 17 without cardiac dysfunction), 6 patients experienced new gastroesophageal variceal bleeding, and 9 patients experienced new or aggravated hepatic encephalopathy (3 with cardiac dysfunction and 6 without cardiac dysfunction). Jaundice was the most common decompensation event upon admission, and electrophysiological abnormalities were the most common electrocardiogram findings upon admission. During the 90-day follow-up period, 30 individuals (12 with cardiac dysfunction and 18 without cardia dysfunction) died. The logistic regression analysis showed that age (odds ratio[OR]=1.075, 95% confidence interval[CI]:1.033 ‍— ‍1.119,P<0.001), N-terminal pro-B-type natriuretic peptide (NT-proBNP,OR=0.996,95%CI:0.992 ‍— ‍0.999,P=0.016), and mild/moderate ascites (OR=0.270,95%CI:0.092 ‍— ‍0.789,P=0.017) were independent predictive factors for cirrhotic cardiomyopathy.  Conclusion  Timely attention should be paid to elderly patients with decompensated liver cirrhosis and diastolic heart dysfunction who have a decline in NT-proBNP and mild to moderate ascites. Symptomatic treatment such as diuretics may improve diastolic heart dysfunction.
Establishment and validation of a nomogram model for patients with decompensated HBV/HCV cirrhosis comorbid with portal vein thrombosis
Renhai TIAN, Yuanzhen WANG, Hongyan WEI, Lixian CHANG, Chunyun LIU, Li LIU
2025, 41(8): 1579-1588. DOI: 10.12449/JCH250817
Abstract(424) HTML (173) PDF (2198KB)(59)
Abstract:
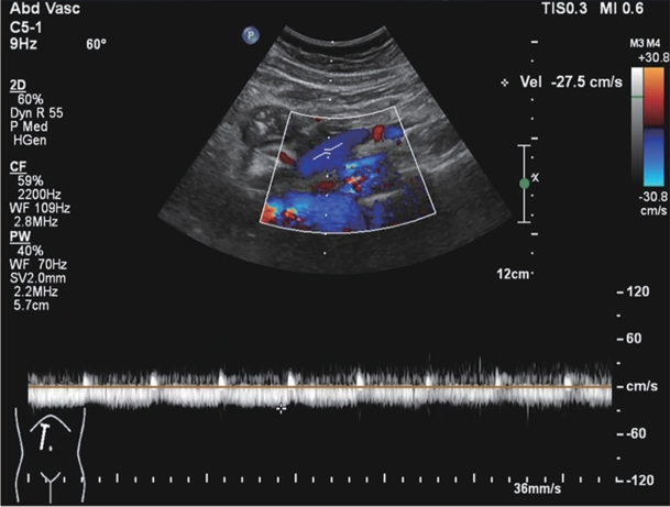
  Objective  To investigate the independent risk factors for portal vein thrombosis (PVT) in patients with viral hepatitis-related decompensated cirrhosis, and to establish and validate a nomogram risk prediction model.  Methods  A retrospective analysis was performed for the clinical data of 1 116 patients with decompensated HBV/HCV cirrhosis who attended The Third People’s Hospital of Kunming for the first time from January 2022 to December 2023, and according to the presence or absence of PVT, they were divided into PVT group and control group. The independent samples t-test or the Mann-Whitney U test was used for comparison of continuous data between groups, and the chi-square test was used for comparison of categorical data between groups. Univariate analysis and least absolute shrinkage and selection operator (LASSO) regression analysis were used to identify variables, and a binary logistic regression analysis was used to obtain independent influencing factors and establish a predictive model, which was visualized using a nomogram. The model was validated based on the receiver operating characteristic (ROC) curve, the area under the ROC curve (AUC), the Hosmer-Lemeshow test, Bootstrap sampling (1 000 iterations), the calibration curve, the decision curve analysis (DCA), and the clinical impact curve (CIC).  Results  There were 178 patients in the PVT group and 938 patients in the control group, and the prevalence rate of PVT was 15.9%(178/1 116). Male patients accounted for 68.5%(764/1 116), and the patients with drinking, Child-Pugh class B liver function, and ascites accounted for 51.0%(569/1‍ ‍‍116),78.8%(879/1 116), and 67.1% (749/1 116), respectively. Compared with the control group, the PVT group had significantly higher age (Z=-2.362,P<0.05), prothrombin time (Z=-2.403,P<0.05), international normalized ratio (Z=-2.470,P<0.05), free thyroxine (Z=-5.910,P<0.05), D-dimer (Z=-5.764,P<0.05), interleukin-6 (Z=-6.581,P<0.05), interleukin-10(IL-10) (Z=-3.915,P<0.05), interleukin-8 (Z=-3.705,P<0.05), diameter of the portal vein (Z=-9.690,P<0.05), and spleen thickness (Z=-7.183,P<0.05), as well as significantly lower levels of white blood cell count (Z=-2.115,P<0.05), platelet count (Z=-3.026,P<0.05), fibrinogen (Z=-2.169,P<0.05), alanine aminotransferase (Z=-3.151,P<0.05), prealbumin (Z=-3.509,P<0.05),cholinesterase (Z=-3.415,P<0.05), alpha-fetoprotein (Z=-3.513,P<0.05), triglycerides (Z=-2.679,P<0.05), CD3 cell count (Z=-6.059,P<0.05), CD4 cell count (Z=-7.257,P<0.05), CD8 cell count (Z=-2.340,P<0.05), CD4+/CD8+ cell ratio (Z=-4.479,P<0.05), triiodothyronine (Z=-3.338,P<0.05), free triiodothyronine (FT3) (Z=-9.560,P<0.05), and portal blood flow velocity (Z=-4.568,P<0.05). The multivariate logistic regression analysis was performed for the variables with statistical significance identified by the LASSO regression analysis, and the results showed that age (odds ratio[OR]=1.046,95% confidence interval[CI]:1.026‍ ‍— ‍‍1.066), CD4+/CD8+ cell ratio (OR=0.568,95%CI:0.410‍ ‍— ‍‍0.787),FT3(OR=0.956,95%CI:0.944‍ ‍— ‍‍0.968), IL-10 (OR=1.021,95%CI:1.001‍ ‍— ‍‍1.042), diameter of the portal vein (OR=1.446,95%CI:1.329‍ ‍— ‍‍1.574), and spleen thickness (OR=1.035,95%CI:1.014‍ ‍— ‍‍1.055) were independent influencing factors. A model was established as Logit(P)=-8.784+0.045×age-0.566×CD4+/CD8+-0.046×FT3+0.021×IL-10+0.369×diameter of the portal vein+0.034×spleen thickness, and a nomogram model was established and validated based on this model, with an AUC of 0.859 (95%CI:0.833‍ ‍— ‍‍0.887). The Hosmer-Lemeshow test showed that the model had a high goodness of fit (χ²=11.349,P=0.183). Bootstrap internal validation showed a mean absolute error of 0.006 and a C-index of 0.855. The decision curve analysis showed that the model had a high net clinical benefit within a wide range of thresholds.  Conclusion  Age, CD4+/CD8+ ratio, FT3, IL-10, diameter of the portal vein, and spleen thickness may be independent influencing factors for PVT in patients with decompensated HBV/HCV cirrhosis. The predictive model established based on these six variables can help to predict the risk of PVT in patients with hepatitis-related decompensated cirrhosis in the early stage in clinical practice.
Liver Neoplasm
Clinical features and influencing factors of patients with advanced hepatocellular carcinoma achieving five-year sustained complete remission after local treatment combined with systemic therapy
Yu YIN, Yikai SHI, Jun YANG, Zhi LI, Xiaoli ZHU, Caifang NI
2025, 41(8): 1589-1596. DOI: 10.12449/JCH250818
Abstract(599) HTML (270) PDF (2144KB)(69)
Abstract:
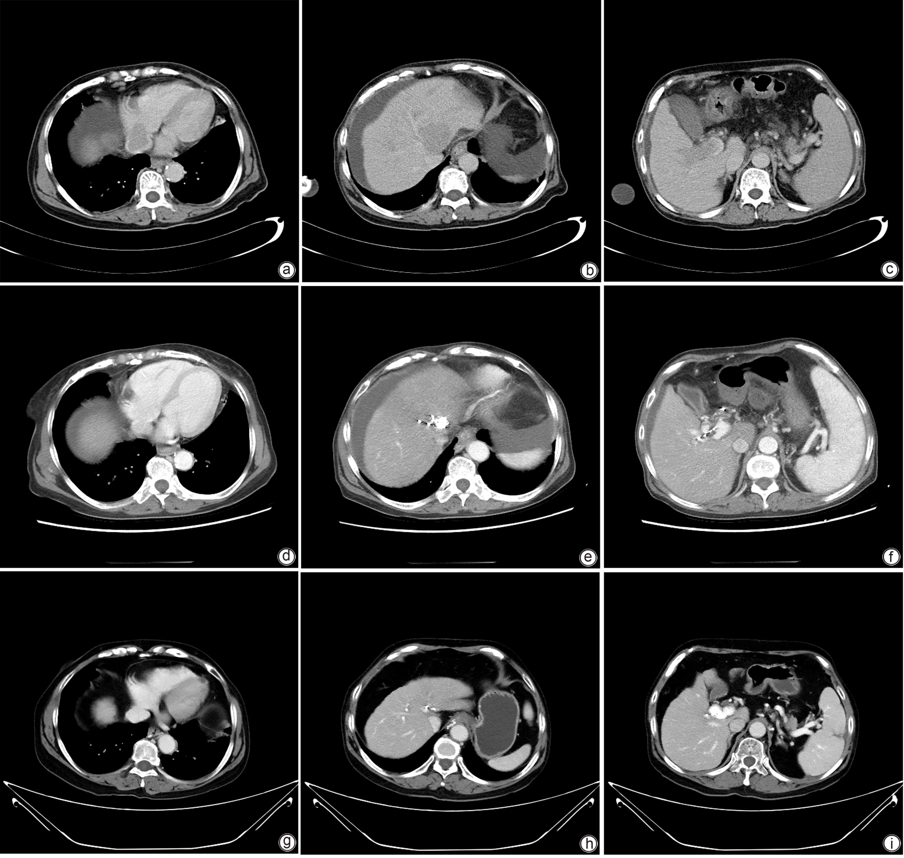
  Objective  To investigate the clinical features of patients with China Liver Cancer Staging (CNLC) stage Ⅲ hepatocellular carcinoma (HCC) achieving five-year sustained complete remission (CR) after local treatment combined with systemic therapy, as well as potential contributing factors, and to provide a reference for optimizing the treatment of advanced HCC.  Methods  A retrospective analysis was performed for the clinical data of six patients with CNLC stage Ⅲ HCC who were treated in Department of Interventional Radiology, The First Affiliated Hospital of Soochow University, from January 2016 to December 2019 and achieved five-year sustained CR. Baseline characteristics, treatment modalities, and follow-up data were summarized, and a literature review was performed.  Results  The six patients had a mean age of 58.3±10.1 years, among whom five had stage Ⅲa HCC and one had stage Ⅲb HCC, and all patients had a history of hepatitis. The mean preoperative MELD score was 8.2±0.8 for the six patients, and there were five patients with Child-Pugh class A liver function and one with Child-Pugh class B liver function. All patients underwent transcatheter arterial chemoembolization, followed by sequential targeted drug therapy after surgery, with sorafenib for four patients and lenvatinib for two patients. Four patients with main portal vein tumor thrombus also received 125I seed implantation, one patient with the single-nodule type underwent radiofrequency ablation, and three patients received immunotherapy with camrelizumab. The median time to AFP normalization was 6 months, the median time from treatment to CR was 5.5 months, and the median follow-up time was 63 months.  Conclusion  Good liver function at baseline, an early and rapid reduction in AFP, and the combination of local treatment and systemic therapy are key factors for achieving long-term CR in patients with advanced HCC. Multi-center large-scale studies are needed in the future to further explore prognostic factors and optimize treatment regimens.
The application value of G-GADA model in the diagnosis of hepatitis B virus-related hepatocellular carcinoma
Yamei WEI, Mingjie YAO, Fengmin LU, Hao WU, Lijuan LIU, Mei ZHANG
2025, 41(8): 1597-1605. DOI: 10.12449/JCH250819
Abstract(479) HTML (133) PDF (1743KB)(58)
Abstract:
  Objective  To establish an optimized diagnostic model for hepatocellular carcinoma (HCC), designated as G-GADA, in chronic hepatitis B (CHB) patients based on the parameters of age, sex, alpha-fetoprotein (AFP), des-γ-carboxy prothrombin (DCP), and Golgi protein 73 (GP73), to address the problems of low sensitivity and specificity in the early diagnosis of hepatitis B virus (HBV)-related liver cancer, and to assess the value of this model in the diagnosis of HCC.  Methods  A retrospective analysis was performed for 201 CHB patients (CHB group), 137 patients with HBV-related liver cirrhosis (LC group), and 111 treatment-naïve patients with newly diagnosed HCC (HCC group) who were admitted to Mengchao Hepatobiliary Hospital of Fujian Medical University from June 2015 to June 2020. Serological markers (AFP, DCP, alpha-fetoprotein L3% [AFP-L3%], and GP73) were compared between groups and were analyzed in terms of their differences from the clinical and tumor characteristics of HCC patients, and the Spearman correlation analysis was used to assess the correlation between different markers. A Logistic regression analysis was used to establish a diagnostic model for liver cancer, and the receiver operating characteristic (ROC) curve was used to assess the diagnostic performance of each marker.  Results  Comparison of clinical features between CHB, LC, and HCC patients showed that HCC patients had significantly higher age, proportion of male patients, and serum levels of DCP, AFP, GP73, and AFP-L3% (all P<0.05). In HCC patients, DCP levels are associated with tumor size and microvascular invasion; AFP levels are related to patient age, tumor size, tumor number, distant metastasis, and microvascular invasion; AFP-L3% levels are associated with patient age, tumor size, tumor number, distant metastasis, Milan staging, and microvascular invasion; GP73 levels are linked to tumor number, distant metastasis, and microvascular invasion(all P<0.05). The correlation analysis of the serum markers showed a strong positive correlation between AFP and AFP-L3% (r=0.71,P<0.05) and a moderate positive correlation between AFP and GP73 (r=0.33,P<0.05) and between AFP-L3% and GP73 (r=0.41,P<0.05). Based on the features of age, sex, DCP, AFP, and GP73, the multivariate Logistic regression analysis was used to establish a G-GADA diagnostic model for HCC, and for all patients, the G-GADA model had an area under the ROC curve (AUC) of 0.915 (95% confidence interval [CI]:0.875‍ ‍—‍ ‍0.945) in the derivation cohort and 0.913 (95%CI:0.862‍ ‍—‍ ‍0.950) in the validation cohort for the diagnosis of HCC. In the AFP-negative patients, the G-GADA model achieved an AUC of 0.884 (95%CI:0.833‍ ‍—‍ ‍0.924) in the derivation cohort and 0.851 (95%CI:0.779‍ ‍—‍ ‍0.907) in the validation cohort, and in the patients with liver cirrhosis, the G-GADA model achieved an AUC of 0.901 (95%CI:0.841‍ ‍—‍ ‍0.944) in the derivation cohort and 0.885 (95%CI:0.806‍ ‍—‍ ‍0.940) in the validation cohort.  Conclusion  The G-GADA diagnostic model based on multiple variables significantly improves the detection rate of HCC, and demonstrates superior diagnostic performance in patients with low AFP expression and those with liver cirrhosis. The G-GADA model has a better clinical application value in the noninvasive diagnosis of HCC.
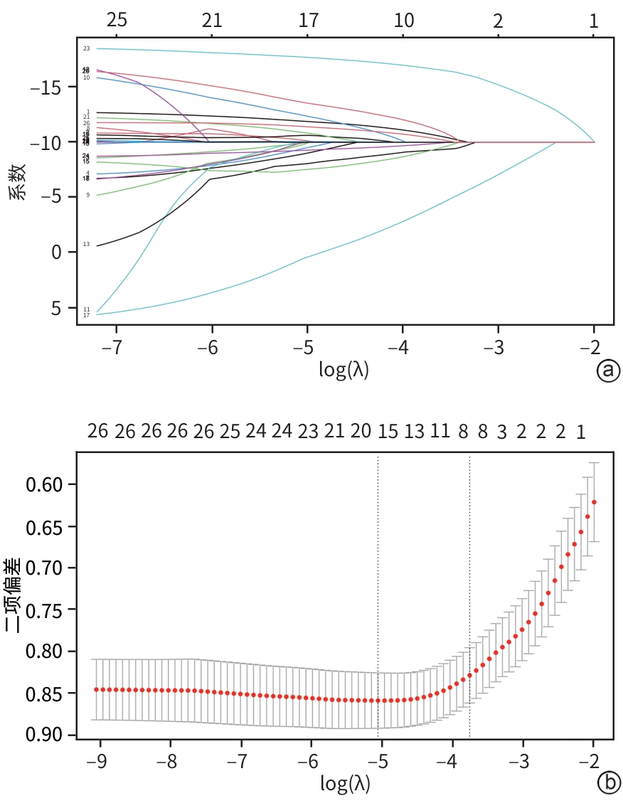
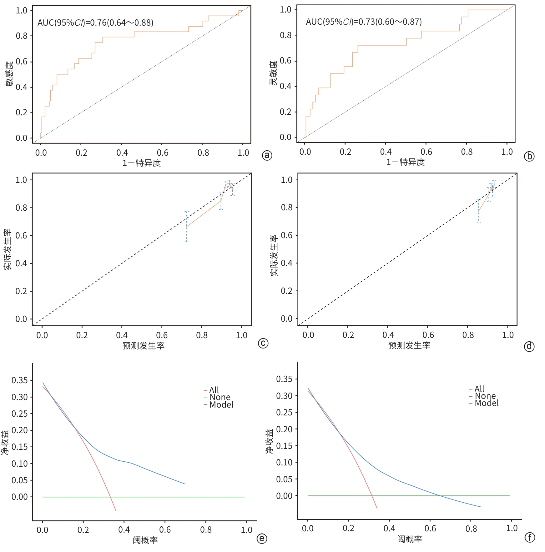
Risk factors for postoperative prognosis of patients with AFP-negative hepatocellular carcinoma and establishment of a nomogram model
Huiming LI, Yeye WU, Yongqing GUO, Chunmei RAO, Jun LIU, Ling WANG
2025, 41(8): 1606-1614. DOI: 10.12449/JCH250820
Abstract(444) HTML (203) PDF (2028KB)(63)
Abstract:
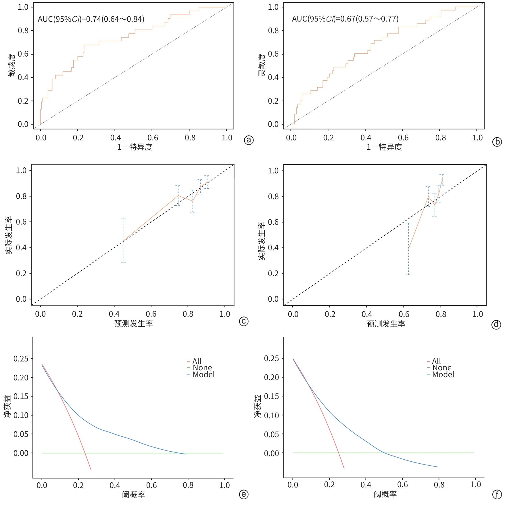
  Objective  To establish dynamic nomogram models for postoperative recurrence and survival risk of patients with AFP-negative hepatocellular carcinoma (ANHC) based on multimodal clinical data, to identify ANHC-specific prognostic biomarker combinations by integrating tumor biological characteristics and treatment response parameters through machine learning, and to provide an individualized risk assessment tool for overcoming the limitations of traditional serum biomarkers.  Methods  A retrospective analysis was performed for 421 ANHC patients who underwent hepatectomy in Eastern Hepatobiliary Surgery Hospital from April 2012 to December 2018, and they were randomly divided into training group with 210 patients and validation group with 211 patients. The univariate and multivariate Cox proportional-hazards regression models were used to identify independent prognostic factors and establish a nomogram model, and the receiver operating characteristic (ROC) curve, the calibration curve, and the decision curve analysis were used to assess the performance of the model. Related indicators were measured, including prealbumin (PA), white blood cell count (WBC), tumor size, and microvascular invasion. The chi-square test or the Fisher’s exact test was used for comparison of categorical variables between two groups, and the independent-samples t test or the Mann-Whitney U test was used for comparison of continuous variables between two groups.  Results  The multivariate analysis showed that multiple tumors (hazard ratio [HR]=3.30, P<0.001), WBC (HR=1.05, P=0.005), blood glucose (HR=1.15, P=0.026), CA19-9 (HR=1.17, P=0.005), and tumor size (HR=1.17, P<0.001) were independent risk factors for disease-free survival (DFS), while PA (HR=0.99, P=0.022) was a protective factor. Incomplete tumor capsule (HR=0.60, P=0.009), age (HR=1.02, P=0.035), prothrombin time (PT) (HR=1.27, P=0.023), CA19-9 (HR=1.01, P<0.001), and tumor size (HR=1.15, P<0.001) were independent risk factors for overall survival (OS). The DFS nomogram achieved an AUC of 0.74 (95% confidence interval [CI]: 0.64‍‍‍ ‍‍—‍ ‍‍‍0.84) in the training group and 0.67 (95%CI: 0.57 ‍‍—‍ ‍‍‍0.77) in the validation group, while the OS nomogram had an AUC of 0.76 (95%CI: 0.64‍ ‍‍—‍ ‍‍‍0.88) and 0.73 (95%CI: 0.60 ‍‍—‍ ‍‍‍0.87), respectively. The calibration curve and the decision curve analysis showed that the models had good predictive accuracy and clinical practicability.  Conclusion  Preoperative indicators, including tumor number, PA, WBC, and tumor size, can effectively predict postoperative recurrence in ANHC patients, while tumor capsule integrity, age, and PT are significantly associated with OS. The nomogram models established have good performance and can provide a basis for individualized prognostic assessment.
Other Liver Disease
Value of Chinese Group on the Study of Severe Hepatitis B-acute-on-chronic liver failure Ⅱ score in predicting the short-term prognosis of patients with acute-on-chronic liver failure comorbid with hepatic encephalopathy
Tong HUANG, Yubo ZHAO, Ling YANG
2025, 41(8): 1615-1619. DOI: 10.12449/JCH250821
Abstract(455) HTML (168) PDF (838KB)(67)
Abstract:
  Objective  To investigate the value of Chinese Group on the Study of Severe Hepatitis B-acute-on-chronic liver failure Ⅱ (COSSH-ACLF Ⅱ) score in predicting the short-term prognosis of patients with hepatitis B virus-related acute chronic liver failure (HBV-ACLF) comorbid with hepatic encephalopathy (HE).  Methods  A retrospective analysis was performed for 134 patients who were admitted to The First Hospital of Shanxi Medical University from January 2019 to October 2024 and were diagnosed with HBV-ACLF and HE, and according to the survival status of the patients on day 90 of follow-up, they were divided into survival group with 60 patients and death group with 74 patients. Related scores were calculated, including COSSH-ACLF Ⅱ score, COSSH-ACLF score, Model for End-Stage Liver Disease (MELD) score, MELD combined with serum sodium concentration (MELD-Na) score, and MELD 3.0 score, and the two groups were compared in terms of basic clinical data, laboratory markers, complications, and the scores of each model. The chi-square test was used for comparison of categorical data between two groups, and the t-test or the Mann-Whitney U test was used for comparison of continuous data between two groups. The receiver operating characteristic (ROC) curve was used to assess the performance of each score in predicting the prognosis of patients with comorbidity of HBV-ACLF and HE.  Results  The death group had a significantly higher age than the survival group (56.09±10.52 years vs 49.23±11.57 years, t=2.720, P=0.007). Compared with the survival group, the death group had significantly higher incidence rate of complications (upper gastrointestinal bleeding and ascites) and laboratory markers (white blood cell count, neutrophil count, total bilirubin, international normalized ratio, serum creatinine, and blood urea nitrogen) (all P<0.05). The death group had significantly higher COSSH-ACLF Ⅱ, COSSH-ACLF, MELD, MELD-Na, and MELD 3.0 scores than the survival group (all P<0.001). The patients were stratified into low-, moderate-, and high-risk groups based on COSSH-ACLF Ⅱs score, and comparison between groups showed that the mortality rate of patients increased with the increase in COSSH-ACLF Ⅱ score (χ²=44.371, P<0.001). The ROC curve analysis showed that COSSH-ACLF Ⅱ score had an area under the ROC curve (AUC) of 0.883 (95% confidence interval: 0.837‍ ‍—‍ ‍0.919) in predicting the 90-day mortality of patients with comorbidity of HBV-ACLF and HE, with a sensitivity of 90.5%, a specificity of 78.7%, and a predictive accuracy of 85.07% at the cut-off value of 7.25. COSSH-ACLF Ⅱ score had a better performance than COSSH-ACLF (AUC=0.841, P<0.05), MELD 3.0 (AUC=0.733, P<0.05), MELD-Na (AUC=0.723, P<0.05), and MELD (AUC=0.716, P<0.05).  Conclusion  COSSH-ACLF Ⅱ score can improve the accuracy of predicting 90-day prognosis in patients with comorbidity of HBV-ACLF and HE, and COSSH-ACLF Ⅱ risk stratification can help to simplify the grading of patients.
Clinical value of systemic inflammatory response index in patients with acute-on-chronic liver failure and co-infection
Hui LI, Haibin SU, Jinhua HU, Chenhui SHI, Chen LI, Xiaoyan LIU, Jing CHEN, Lilong YAN, Yuhui PENG, Peng NING, Chongdan GUAN
2025, 41(8): 1620-1626. DOI: 10.12449/JCH250822
Abstract(468) HTML (199) PDF (1360KB)(73)
Abstract:
  Objective  To investigate the application value of systemic inflammatory response index (SIRI) in patients with acute-on-chronic liver failure (ACLF) and co-infection.  Methods  A retrospective analysis was performed for the clinical data of 579 ACLF patients with co-infection who were diagnosed and treated in The Fifth Medical Center of Chinese PLA General Hospital from January 2014 to March 2016, including demographic features, laboratory markers, and complications, and SIRI, Model for End-Stage Liver Disease (MELD) score, MELD combined with serum sodium concentration (MELD-Na) score, and Child-Pugh score were calculated. According to the results of follow-up on day 90, the patients were divided into survival group with 210 patients and death group with 369 patients. The independent-samples t test was used for comparison of normally distributed continuous data between two groups; the Mann-Whitney U rank sum test was used for comparison of non-normally distributed continuous data between two groups; the chi-square test were used for comparison of categorical data between two groups. The binary logistic regression analysis was used to investigate the independent risk factors for 90-day death. The receiver operating characteristic (ROC) curve and the area under the ROC curve (AUC) were used to assess the performance of SIRI, MELD-Na score, and Child-Pugh score in predicting the prognosis of ACLF patients with co-infection. The Kaplan-Meier survival analysis was performed based on the optimal cut-off value of SIRI.  Results  Among the 597 ACLF patients with co-infection, 384 (66.32%) had HBV-related ACLF and 114 (19.69%) had alcohol-related ACLF; as for the main infection sites, 316 (54.58%) had abdominal infection and 133 (22.97%) had pulmonary infection; the 90-day mortality rate was 63.73%. The multivariate logistic regression analysis showed that SIRI (odds ratio [OR]=1.177, 95% confidence interval [CI]: 1.117‍‍ ‍—‍ ‍1.239, P<0.05), blood ammonia (OR=1.009, 95%CI: 1.001‍‍ ‍—‍ ‍1.018, P<0.05), MELD-Na score (OR=1.047, 95%CI: 1.016‍‍ ‍—‍ ‍1.080, P<0.05), Child-Pugh score (OR=1.351, 95%CI: 1.054‍‍ ‍—‍ ‍1.730, P<0.05), age (OR=1.045, 95%CI: 1.021‍‍ ‍—‍ ‍1.070, P<0.05), comorbidity with hepatic encephalopathy (OR=2.269, 95%CI: 1.305‍‍ ‍—‍ ‍3.946, P<0.05), and comorbidity with acute kidney injury (OR=1.730, 95%CI: 0.990‍‍ ‍—‍ ‍3.023, P<0.05) were independent risk factors for 90-day death in ACLF patients with co-infection. The Pearson correlation analysis showed that SIRI was positively correlated with MELD-Na score (r=0.282, P<0.001) and Child-Pugh score (r=0.168, P<0.001). SIRI, MELD-Na score, and Child-Pugh score had an AUC of 0.855, 0.734, and 0.690, respectively, in predicting 90-day death, and SIRI had a higher predictive efficiency than MELD-Na score and Child-Pugh score (Z=4.922 and 6.289, both P<0.001), with a sensitivity of 76.7% and a specificity of 82.9%. In addition, SIRI combined with MELD-Na score or Child-Pugh score improved the predictive efficiency of MELD-Na score (0.854 vs 0.734, Z=6.899, P<0.001) and Child-Pugh score (0.858 vs 0.690, Z=8.725, P<0.001). The patients with high SIRI (≥4.08) had a 90-day survival rate of 11.29% (36/319), which was significantly lower than that in the patients with low SIRI (<4.08) (χ2 =225.24, P<0.001).  Conclusion  SIRI is an independent risk factor for death in ACLF patients with co-infection and has a good clinical value in predicting prognosis, with the advantages of convenience and low costs.
Analysis of etiological composition and clinical characteristics in 960 cases of unexplained liver disease diagnosed by liver biopsy
Zhicong LONG, Shuang LIU, Guanzi CHEN, Yusheng JIE
2025, 41(8): 1627-1631. DOI: 10.12449/JCH250823
Abstract(426) HTML (155) PDF (1168KB)(69)
Abstract:
  Objective  To investigate the composition ratios and trends of different etiologies after liver biopsy for patients with unexplained liver diseases.  Methods  A retrospective analysis was performed for the etiology of 960 patients with unexplained liver diseases who were hospitalized and underwent liver biopsy in The Third Affiliated Hospital of Sun Yat-Sen University from January 2011 to December 2020, and the etiologies were categorized by year and age group. The chi-square test was used for comparison of categorical data between multiple groups, and the Kruskal-Wallis H test was used for comparison of non-normally distributed continuous data between multiple groups.  Results  There was a tendency of increase in the overall composition ratio of unexplained liver diseases over the past decade. The leading diagnosis after liver biopsy was autoimmune liver disease (AILD) in 306 patients (31.9%), followed by nonalcoholic fatty liver disease (NAFLD) in 95 patients (9.9%) and drug-induced liver disease (DILI) in 82 patients (8.5%), and there were still 320 patients with undetermined causes (33.3%). There were significant differences in sex ratio and median age distribution between the patients with different etiologies (sex ratio: χ2=155.36, P<0.001; median age distribution: H=182.48, P<0.001). AILD had been the leading etiology in 2011‍ ‍—‍ ‍2020, and there was a tendency of reduction in the composition ratio of AILD (χ2=24.40, P<0.001). NAFLD accounted for the highest proportion of 17.6% in the adolescent stage, while AILD accounted for the highest proportion of 17.8%, 47.3%, and 56.3%, respectively, in the young, middle-aged, and elderly stages.  Conclusion  There is a tendency of increase in the composition ratio of unexplained liver diseases in patients undergoing liver biopsy, with AILD being the main disease diagnosed after liver biopsy, followed by NAFLD and DILI, but one-third of the patients still have an unclear etiological diagnosis.
Pancreatic Disease
The predictive value of new simplified insulin resistance assessment indicators for the development of fatty pancreatic disease
Xinyi ZHOU, Yongpeng ZHAI, Jiahui WANG, Xi ZHANG, Yichen BAO, Lin ZHOU
2025, 41(8): 1632-1638. DOI: 10.12449/JCH250824
Abstract(503) HTML (224) PDF (1346KB)(46)
Abstract:
  Objective  To investigate the predictive value of triglyceride glucose-body mass index (TyG-BMI), serum triglyceride-to-high-density lipoprotein cholesterol ratio (TG/HDL-C), and metabolic score for insulin resistance (METS-IR) for fatty pancreatic disease (FPD).  Methods  A total of 240 patients with FPD treated in The First Affiliated Hospital of Zhengzhou University from January 2020 to November 2023 were included as the case group, while 480 healthy subjects who underwent healthy checks in the same period were randomly selected as the control group. General clinical data and laboratory indicators were collected. The Mann-Whitney U test and chi-square test were used to compare non-normally distributed continuous variables, and categorical variables between groups, respectively. A binary logistic regression model was used to assess the relationship between TyG-BMI, TG/HDL-C, and METS-IR and FPD. The receiver operating characteristic (ROC) curve was plotted, and the area under the curve (AUC) was calculated to evaluate the predictive diagnostic value of those simplified insulin resistance indicators for FPD in the general population and different sex populations.  Results  Age, BMI, systolic blood pressure, diastolic blood pressure, fasting plasma glucose, uric acid, alanine aminotransferase, aspartate aminotransferase, gamma-glutamyl transferase, total cholesterol, triglyceride, low-density lipoprotein cholesterol, TyG-BMI, TG/HDL-C, and METS-IR in the case group were significantly higher than those in the control group (all P<0.05). The case group had significantly higher proportions of individuals with hypertension, diabetes, and fatty liver disease than the control group (all P<0.05). The high-density lipoprotein cholesterol level was significantly lower in the case group than in the control group (P<0.05). The multivariable Logistic regression analysis showed that after adjusting for various influencing factors, TyG-BMI, TG/HDL-C, and METS-IR remained as independent risk factors for the development of FPD, with the odds ratios (95% confidence intervals) being 1.027 (1.018 ‍— ‍1.037), 6.964(2.022‍ ‍— ‍23.989), and 1.184 (1.123 ‍— ‍1.248), respectively. In the ROC curve analysis, the AUCs of METS-IR and TyG-BMI were 0.823 and 0.803, respectively, with their sensitivities being 76.3% and 75.8%, specificities being 74.6% and 71.7%, and optimal cut-off values being 34.86 and 196.70, respectively; the next were BMI (AUC=0.758) and TG/HDL-C (AUC=0.734); in the sex-stratified analysis, the AUC values of METS-IR were highest in both the male and female subgroups, which were 0.834 and 0.810, respectively.  Conclusion  TyG-BMI, TG/HDL-C, and METS-IR show good predictive value for the development of FPD, in which METS-IR is more excellent.
Case Report
Large spontaneous splenorenal shunt embolization combined with anticoagulant therapy in treatment of portal vein thrombosis: A case report
Ju HUANG, Xiaoze WANG, Xuefeng LUO, Li YANG
2025, 41(8): 1639-1642. DOI: 10.12449/JCH250825
Abstract(504) HTML (172) PDF (3328KB)(67)
Abstract:
Portal vein thrombosis (PVT) is a common and severe complication in patients with liver cirrhosis, and alterations in portal hemodynamics are closely associated with the development of PVT. The presence of large spontaneous splenorenal shunt (SSRS) may lead to reductions in portal vein perfusion and blood flow velocity, which may compromise the anticoagulant effect on PVT. This article reports the treatment strategies of SSRS embolization combined with anticoagulant therapy that help to achieve complete recanalization of the portal vein; however, high-quality clinical studies are still needed to further validate and support the effectiveness of this strategy.
Review
Current status and reflections on the prevention and treatment of metabolic associated fatty liver disease through different fasting patterns
Huaxin CHEN, Wenxia ZHAO, Jiachen YUAN, Yuzhu ZHENG, Yaokun HAO, Xiaoyan LIU
2025, 41(8): 1643-1648. DOI: 10.12449/JCH250826
Abstract(694) HTML (234) PDF (726KB)(70)
Abstract:
The incidence rate of metabolic associated fatty liver disease (MAFLD) is gradually increasing, and it has become a common chronic liver disease globally. MAFLD is closely associated with metabolic dysfunction, with dietary and exercise interventions as the primary treatment method, among which dietary control is of particular importance. This article summarizes related articles on the prevention and treatment of MAFLD through different fasting patterns in recent years, and the analysis showed that by restricting food intake and controlling calorie consumption, fasting therapy can help to reduce body weight and improve metabolic disorders. Further studies and clinical practice are needed to explore and validate the value of different fasting patterns in the prevention and treatment of MAFLD.
The effect of the mechanism of exercise intervention and individualized exercise prescription on metabolic dysfunction-associated fatty liver disease
Kexin GUO, Peijun GUI, Ying XIE
2025, 41(8): 1649-1654. DOI: 10.12449/JCH250827
Abstract(632) HTML (252) PDF (666KB)(62)
Abstract:
Changes in lifestyle, such as increasing exercise, are key factors affecting the health and quality of life in patients with metabolic dysfunction-associated fatty liver disease (MAFLD). Exercise can effectively improve the physical health of these patients and is the cornerstone of the treatment of MAFLD. However, different types, intensities, durations, and frequencies of exercise have a varying degree of influence on MAFLD. This article summarizes the effect and influence of different exercise prescriptions on these patients, which helps the medical staff to develop individualized exercise regimens and encourage them to actively participate in exercise, thereby providing effective prevention and treatment strategies.
Role of mitophagy induced by the PTEN-induced kinase 1/Parkin signaling pathway in metabolic associated fatty liver disease and related advances in targeted therapies
Shengjin ZHU, Xiaodeng ZHU, Kaiyang LI, Mei YANG, Xian WU
2025, 41(8): 1655-1661. DOI: 10.12449/JCH250828
Abstract(709) HTML (341) PDF (1212KB)(61)
Abstract:
Metabolic associated fatty liver disease (MAFLD) has a complex pathogenesis, and mitophagy is involved in the development and progression of MAFLD and plays a key role in liver metabolic pathways and signaling networks. Mitophagy is regulated by a variety of pathways, and the PTEN-induced kinase 1 (PINK1)/Parkin pathway is considered the main pathway for regulating mitophagy. Mitophagy mediated by the PINK1/Parkin pathway can regulate lipid metabolism, inflammation, and fibrosis and delay the progression of MAFLD. This article reviews the role of mitophagy mediated by the PINK1/Parkin pathway in MAFLD and the research advances in targeted therapy, in order to provide theoretical bases and ideas for the prevention and treatment of MAFLD.
Research advances in the mechanisms of increased susceptibility to sepsis in alcoholic liver disease
Hang LIU, Yan GUO
2025, 41(8): 1662-1667. DOI: 10.12449/JCH250829
Abstract(432) HTML (224) PDF (1146KB)(65)
Abstract:
Sepsis is a life-threatening organ dysfunction caused by a dysregulated host response to infection, and currently there is still a lack of effective therapies. Alcoholic liver disease (ALD) is the most important cause of death caused by alcohol in Western countries, and sepsis is one of the most common complications and causes of death in ALD. This article reviews the research advances in the mechanism by which ALD increases the susceptibility to sepsis, in order to provide a reference for the prevention and treatment of sepsis in ALD patients.
Research advances in the genetic mechanism of autoimmune hepatitis
Xinxian WANG, Lanyu CHEN, Wenliang LYU
2025, 41(8): 1668-1672. DOI: 10.12449/JCH250830
Abstract(521) HTML (187) PDF (590KB)(70)
Abstract:
Autoimmune hepatitis (AIH) is a chronic inflammatory liver disease caused by immune abnormalities. Genetic factors play an important role in AIH. The analysis of genes has shown that new genetic markers can help to deepen the understanding of the risk of AIH and develop treatment measures. This article reviews the research advances in human leukocyte antigen, single nucleotide polymorphism, and epigenetics, in order to provide a reference for clinical treatment and research on AIH.
Role of vitamin D in complications of liver cirrhosis
Yi WANG, Wanqing LI, Jie ZHAO
2025, 41(8): 1673-1678. DOI: 10.12449/JCH250831
Abstract(562) HTML (255) PDF (686KB)(96)
Abstract:
Liver cirrhosis is a chronic liver disease in which the liver parenchyma is replaced by fibrotic tissue and regenerated nodules. Its main complications include portal hypertension, hepatic encephalopathy, spontaneous bacterial peritonitis, and hepatocellular carcinoma. Despite great progress in treatment and management, its complications still impose a substantial burden on both individuals and society. In recent years, the biological role of vitamin D and its relationship with the complications of liver cirrhosis have received extensive attention. Vitamin D is not only an important fat-soluble vitamin, but also has anti-fibrotic, anti-inflammatory, and anti-tumor effects. This article aims to summarize the role and potential clinical application value of vitamin D in the main complications of liver cirrhosis, and to explore a new auxiliary treatment to prevent and delay the development of complications.
Research advances in the impact of reduction in portal venous pressure after transjugular intrahepatic portosystemic shunt on prognosis
Yanqing BAO, Yu WANG, Zhijiao ZHANG, Mengyao ZHENG, Hua HUANG, Gongfang ZHAO
2025, 41(8): 1679-1684. DOI: 10.12449/JCH250832
Abstract(555) HTML (224) PDF (669KB)(44)
Abstract:
Transjugular intrahepatic portosystemic shunt (TIPS) is an important intervention for portal hypertension, and the degree of reduction in portal venous pressure is closely associated with the prognosis of patients. While a greater reduction in portal venous pressure may lead to more effective alleviation of portal hypertensive symptoms in cirrhotic patients, it also increases the risk of hepatic encephalopathy and liver failure. Therefore, appropriate control of the degree of reduction in portal venous pressure is essential for optimizing therapeutic outcomes. This article reviews the methods for measuring portal venous pressure, the factors affecting the reduction in portal venous pressure, the optimal range for reduction in different indications, and the impact of varying degrees of pressure reduction on complications, in order to provide guidance for improving the treatment outcome of TIPS and the prognosis of patients after surgery.
The crosstalk mechanism of intestinal barrier dysfunction in the pathogenesis of hepatorenal syndrome-acute kidney injury
Wen SUN, Xiao CHEN, Xin ZHANG, Borui YU, Bo YANG, Haitao XING
2025, 41(8): 1685-1692. DOI: 10.12449/JCH250833
Abstract(618) HTML (220) PDF (2088KB)(47)
Abstract:
In 2015, the International Ascites Club proposed a new definition of hepatorenal syndrome-acute kidney injury based on the progression of hepatorenal syndrome, and studies are still being conducted to explore the exact pathogenesis of hepatorenal syndrome-acute kidney injury. Intestinal barrier plays an important bridging role in liver-kidney connection, and intestinal flora disturbance, bacterial translocation, and endotoxins entering the blood cause damage to the kidneys by releasing proinflammatory cytokines and activating immune-related cells. The entrance of bile acid into the circulation system also directly or indirectly lead to the development and progression of hepatorenal syndrome-acute kidney injury. This article reviews the crosstalk mechanism of hepatorenal syndrome-acute kidney injury from the perspective of the intestinal barrier and further clarifies the key role of the liver-gut-kidney axis in the pathogenesis of this disease, in order to provide new treatment ideas.
The role of exercise in the prevention and treatment of liver diseases by regulating intestinal flora
Zhen XU, Yuesheng LIAO, Xiaolu FENG
2025, 41(8): 1693-1699. DOI: 10.12449/JCH250834
Abstract(426) HTML (189) PDF (953KB)(51)
Abstract:
Liver diseases are characterized by complex pathogeneses, diverse patterns of disease progression, and difficulties in treatment, and their incidence rates are increasing year by year globally, bringing a heavy medical burden to families and society. Recent studies have shown that as a non-pharmacological intervention measure with high safety and strong operability, exercise is closely associated with intestinal flora, and the benign changes in intestinal flora triggered by exercise may also have a positive effect on liver function. This article summarizes the recent research findings of exercise in the prevention and treatment of liver diseases by regulating intestinal flora, in order to provide a theoretical reference for the prevention and treatment of liver diseases.
Mechanism of the nuclear factor-kappa B signaling pathway regulating ferroptosis and its role in liver diseases
Xinyue CHENG, Wenjie SHI, Rong LIU, Baoping LU
2025, 41(8): 1700-1707. DOI: 10.12449/JCH250835
Abstract(623) HTML (315) PDF (984KB)(51)
Abstract:
As a classical inflammatory response pathway, the nuclear factor-kappa B (NF-κB) signaling pathway plays a critical role in various physiological and pathological processes. Ferroptosis is a new form of non-apoptotic cell death, and recent studies have shown that there is a strong link between the NF-κB signaling pathway and ferroptosis, which affects the development and progression of liver diseases. Therefore, regulation of ferroptosis by targeting the NF-κB signaling pathway has a great potential in the treatment of liver diseases. This article discusses the influence of the NF-κB signaling pathway on the critical links such as lipid metabolism and iron metabolism during ferroptosis, as well as its mechanism of action in the positive and negative regulation of ferroptosis. Meanwhile, this article reviews the research advances in the role of this signaling pathway in liver diseases such as liver injury, nonalcoholic fatty liver disease, alcoholic liver disease, and hepatocellular carcinoma through the regulation of ferroptosis, so as to provide a reference for further understanding of the pathogenesis of liver diseases and the development of new therapeutic strategies.
Mechanism of action of cholangiocyte senescence in cholestatic liver disease and retated targeted therapies
Huaming XU, Liu YANG, Wuling YAN, Sijia ZHENG, Nian YANG, Yanxin LIU
2025, 41(8): 1708-1714. DOI: 10.12449/JCH250836
Abstract(536) HTML (218) PDF (1160KB)(57)
Abstract:
Cholestatic liver disease (CLD) is a liver condition caused by disorders in bile acid secretion and metabolism due to various reasons, and it has the common pathological features of various chronic liver diseases. In recent years, the role of cholangiocyte senescence (CS) in the pathogenesis of CLD has attracted more and more attention, and CS not only participates in the development and progression of CLD, but it is also significantly associated with the course and prognosis of the disease. Targeted clearance of senescent cholangiocytes or blocking senescence-related pathways can improve CLD. This article summarizes the role of CS in CLD, related influencing factors, and the research advances in CLD, in order to provide a theoretical reference for subsequent studies on CLD.
Association between oral flora and pancreatic diseases
Jiafang CHEN, Mingquan ZHUANG, Zhenhe LIN
2025, 41(8): 1715-1720. DOI: 10.12449/JCH250837
Abstract(533) HTML (162) PDF (673KB)(66)
Abstract:
Oral flora plays a vital role in human health and disease, and related studies have extended to the field of gastrointestinal diseases. Evidence has shown that microbial communities isolated from pancreatic tissue have a similar composition to oral flora, indicating a potential biological connection between them. Due to the advantages of noninvasiveness, simple operation, and low storage costs of collecting oral flora samples, it is feasible to obtain the information on oral flora and identify its characteristic changes. This approach not only helps to gain a deeper understanding of the pathogenesis of pancreatic diseases, but also lays a foundation for developing novel diagnostic tools and personalized treatment regimens. This article systematically reviews the research advances in the association between oral flora and pancreatic diseases, in order to provide new ideas for exploring the potential application value of oral flora in the early diagnosis, prognostic evaluation, and treatment of pancreatic diseases.
Introduction of High - quality Articles in Foreign Journals
JHEP Reports|Recompensation in patients with autoimmune hepatitis-related decompensated cirrhosis following immunosuppressive therapy
2025, 41(8): 1511-1511. DOI: 10.12449/JCH2508.gwqkjpwzjj1
Abstract(325) HTML (115) PDF (1390KB)(52)
Abstract:
Liver International|A novel score for predicting long-term outcomes in recanalisation-treated patients with Budd-Chiari syndrome: a multicentre study
2025, 41(8): 1532-1532. DOI: 10.12449/JCH2508.gwqkjpwzjj2
Abstract(274) HTML (109) PDF (859KB)(36)
Abstract:
Gut Microbes|Dietary cholesterol impairs cognition via gut microbiota-derived deoxycholic acid in obese mice
2025, 41(8): 1540-1540. DOI: 10.12449/JCH2508.gwqkjpwzjj3
Abstract(276) HTML (99) PDF (852KB)(40)
Abstract:
Clinical Gastroenterology and Hepatology|Interventional radiological management for Budd-Chiari syndrome: a 10-year retrospective, multicenter survey on 997 patients in China
2025, 41(8): 1578-1578. DOI: 10.12449/JCH2508.gwqkjpwzjj4
Abstract(278) HTML (81) PDF (871KB)(53)
Abstract:
Acknowledgements
Current reviewers
2025, 41(8): 1654-1654. DOI: 10.12449/JCH2508.zhixie
Abstract(234) HTML (83) PDF (1192KB)(44)
Abstract: