显示方式:
2023, 39(12): 2793-2797.
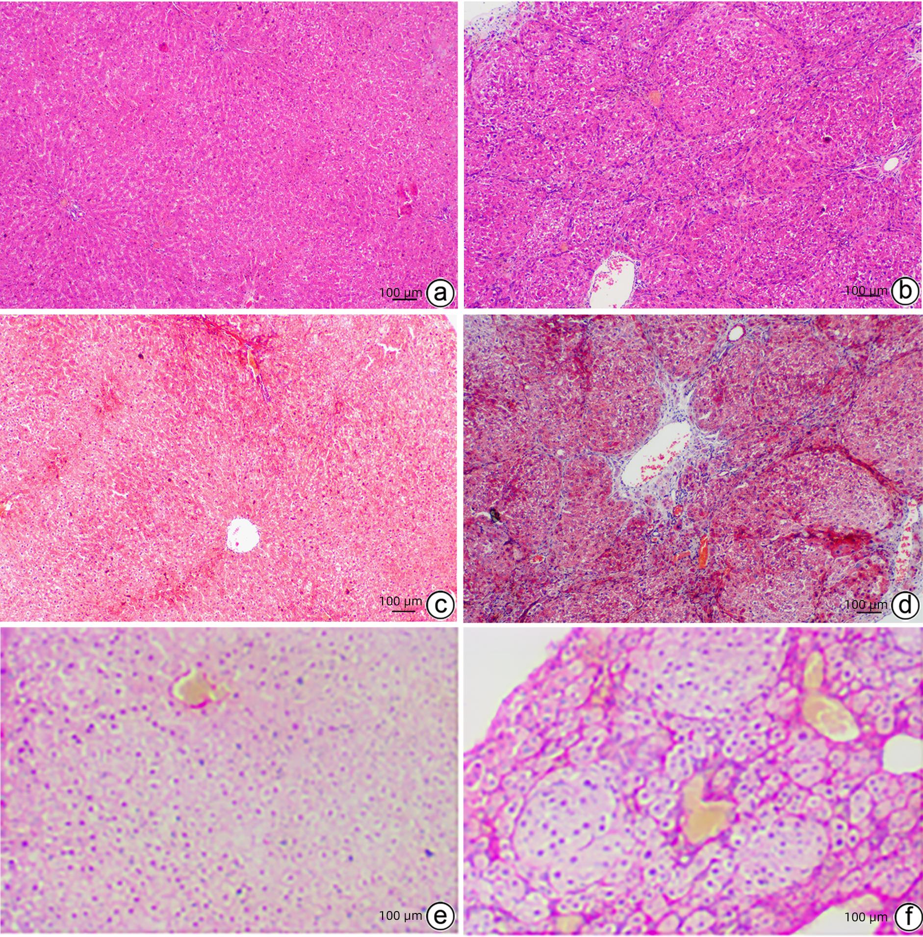
摘要:
2023, 39(12): 2781-2781.
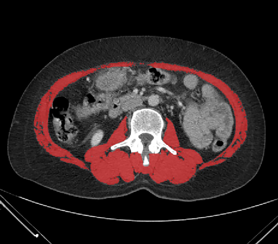
摘要:
2023, 39(12): 2850-2850.
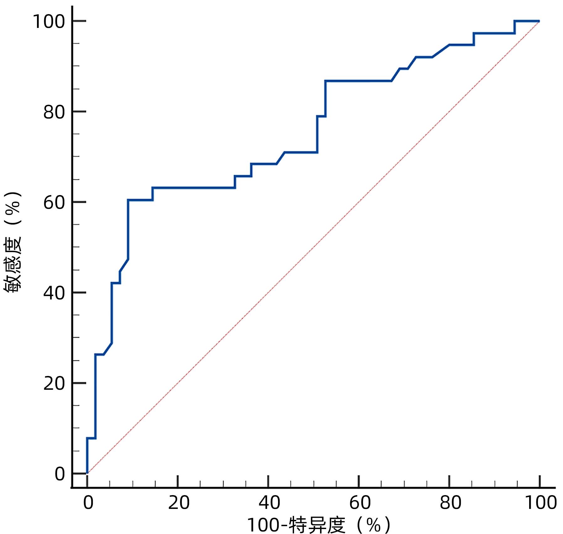
摘要:
2023, 39(12): 2866-2866.
摘要:
2023, 39(12): 2919-2919.
摘要:
2023, 39(12): 2945-2945.
摘要:


摘要
HTML
PDF (592KB)





