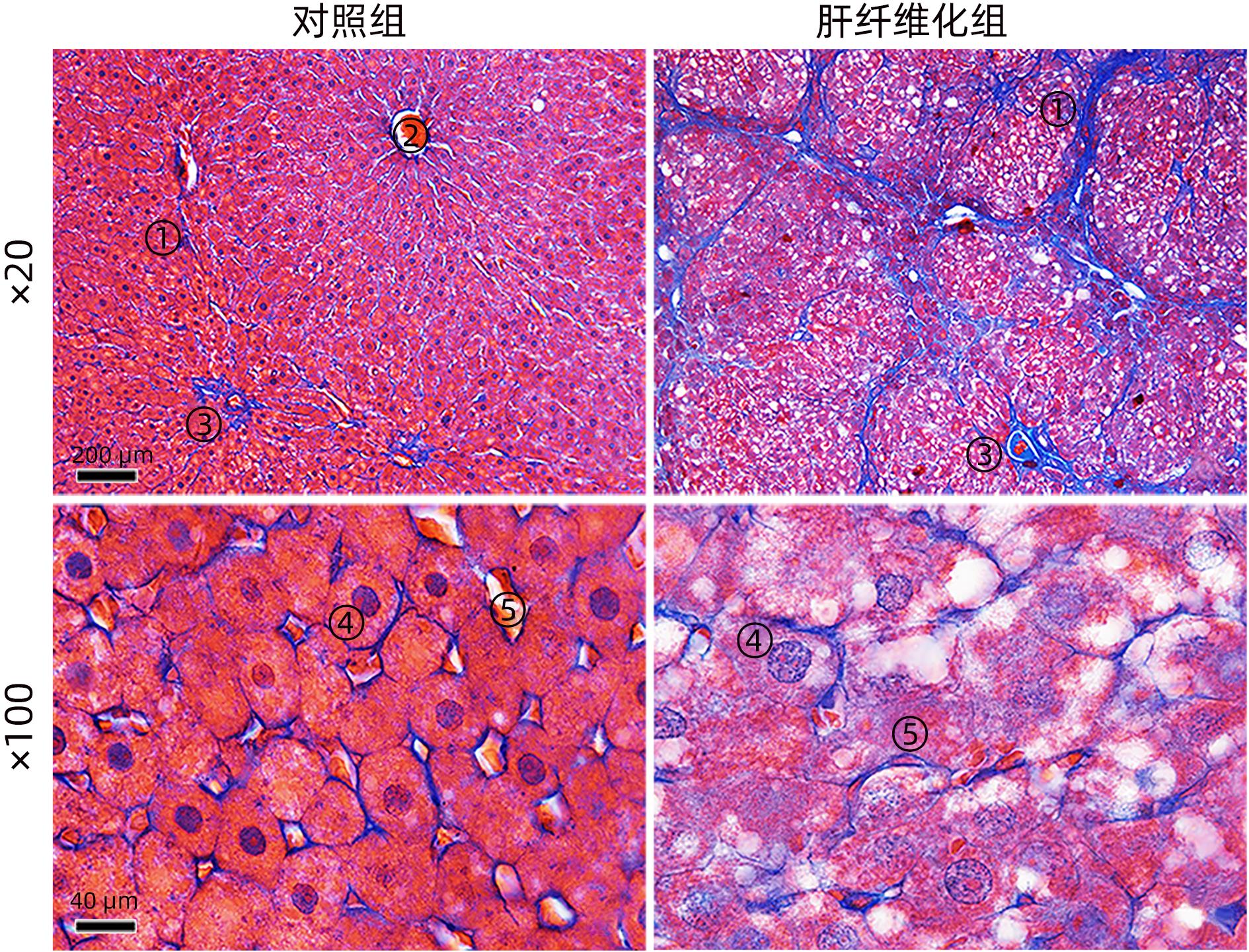
显示方式:
2024, 40(1): 51-51.
摘要:
2024, 40(1): 75-75.
摘要:
2024, 40(1): 156-156.
摘要:
2024, 40(1): 168-168.
摘要:
2024, 40(1): 198-198.
摘要:


摘要
HTML
PDF (143KB)





