中文English
ISSN 1001-5256 (Print)
ISSN 2097-3497 (Online)
CN 22-1108/R

留言板

尊敬的读者、作者、审稿人, 关于本刊的投稿、审稿、编辑和出版的任何问题, 您可以本页添加留言。我们将尽快给您答复。谢谢您的支持!

姓名
邮箱
手机号码
标题
留言内容
验证码
第40卷 第2期(总280期) 2024年2月
“人工肝治疗的临床实践与研究进展”  重点号
执行主编:韩涛
南开大学人民医院,天津市人民医院

显示方式:
述评
人工肝治疗的临床实践与研究进展
韩涛, 张倩
2024, 40(2): 225-228. DOI: 10.12449/JCH240201
摘要(1707) HTML (1047) PDF (546KB)(286)
摘要:
人工肝支持系统是治疗肝衰竭的重要方法之一,近年来非生物型人工肝在肝衰竭救治中的作用越来越受到认可,在非肝衰竭疾病中的应用也日益广泛。临床上需要综合多种因素,合理选择非生物型人工肝治疗的时机及模式,规范化、个体化、精准化治疗及不同模式的优化组合是人工肝临床应用的趋势。生物型人工肝有关种子细胞来源、生物反应器等关键技术不断完善,且部分已经进入临床试验阶段。尽管人工肝治疗的临床实践与研究已取得很大进展,但仍面临不少挑战。如何通过技术创新与优化组合进一步提高其疗效与安全性,如何通过高质量的临床试验获得更高级别循证医学证据,仍是目前亟需解决的难题。
专家论坛
肝衰竭前期的人工肝治疗
张静, 周新民
2024, 40(2): 229-232. DOI: 10.12449/JCH240202
摘要(945) HTML (592) PDF (540KB)(258)
摘要:
肝衰竭是临床最常见的严重肝病临床症候群,进展快,病死率高。在肝衰竭发生前期或“黄金窗口期”进行早期干预对于改善患者预后具有重要意义。关于肝衰竭前期的研究主要集中于HBV相关慢加急性肝衰竭或酒精相关慢加急性肝衰竭。现就目前肝衰竭前期的发生机制及人工肝治疗展开讨论,旨在指导临床更加合理、有效地应用人工肝技术,推动相关研究,从而降低肝衰竭患者的病死率。
组合型人工肝的研究进展
黄玥, 彭虹, 罗新华
2024, 40(2): 233-238. DOI: 10.12449/JCH240203
摘要(1574) HTML (531) PDF (614KB)(252)
摘要:
目前体外人工肝支持系统在各种原因导致的肝衰竭、肝移植前后无功能时期、严重胆汁性淤积等疾病中取得良好治疗效果。其中非生物型人工肝(NBAL)通过各种模式互补组合广泛应用于临床,主要以改善机体凝血因子和白蛋白等物质的血浆置换模式联合其余增强清除体内有毒物质谱的模式。以肝细胞的合成、转化功能为设计理念的生物型人工肝(BAL)近年也取得飞速发展。肝衰竭患者先经NBAL解毒后,再予以BAL合成、转化体内活性物质,能更接近人体肝脏正常生理功能。根据患者病情个体化组合NBAL模式,再结合疗效稳定的BAL是未来重症肝病患者体外支持治疗方向。
非生物型人工肝技术的优化与生物型人工肝研究进展
周莉, 杨颜榕, 陈煜
2024, 40(2): 239-245. DOI: 10.12449/JCH240204
摘要(1471) HTML (842) PDF (693KB)(167)
摘要:
肝衰竭是临床常见综合征,进展快速,预后不良。目前其内科治疗方法仍有限,人工肝治疗是一种有效的治疗方法。非生物型人工肝技术在临床上广泛应用,其具体的启动时机、模式的选择、参数的设置需要临床医生根据疾病的病理生理机制及动态演变过程,结合患者具体情况决定。与非生物型人工肝相比,生物型人工肝能更好地模拟肝细胞的生物学功能,目前其核心技术已取得实质性的进展,相关临床研究也在积极进行,在未来有广阔的发展前景。本文就非生物型人工肝技术的优化及生物型人工肝相关进展进行总结与探讨,以期为人工肝技术的临床应用与研究提供参考。
生物型人工肝支持系统种子细胞的来源与应用
朱雪晶, 黄伟健, 鄢和新
2024, 40(2): 246-251. DOI: 10.12449/JCH240205
摘要(1583) HTML (374) PDF (877KB)(149)
摘要:
迄今为止,重症肝炎、肝衰竭尚无特效治疗方法,病死率高达70%,是国内外危重症中的治疗难点。肝移植术是目前终末期肝病最有效的治疗方法,然而仅有1%~2%的患者能够获得器官移植机会。生物型人工肝支持系统通过体外机械、理化以及生物装置,清除患者体内蓄积的各种有害物质,代偿肝脏代谢功能,补充必需物质,改善内环境,帮助患者恢复肝功能,度过危险期,亦为患者肝移植争取宝贵时间,因此被认为是治疗终末期肝病的重要方法之一。生物型人工肝的核心要素是肝细胞,本综述总结了当前生物型人工肝主要的肝种子细胞来源、3D培养方法以及相应的生物反应器培养系统,期望逐步实现肝细胞体外规模化制备,从而获得足够数量和质量的肝细胞这一临床应用亟待解决的核心问题。
指南与规范
《2023年欧洲器官移植学会共识声明: 肝移植中的生物标志物》摘译
白易, 李金明, 张雅敏
2024, 40(2): 252-257. DOI: 10.12449/JCH240206
摘要(1025) HTML (393) PDF (615KB)(119)
摘要:
2023年8月,欧洲器官移植学会在线发表了“2023年欧洲器官移植学会共识声明:肝移植中的生物标志物”。该共识主要围绕肝移植中的生物标志物、临床适用性和未来需求等方面展开,通过回顾有关原发性疾病复发、慢性肾脏疾病发展和安全摆脱免疫抑制的文献,来探索新的生物标志物在预测肝移植预后方面的作用。该共识从肝移植后复发性肝脏疾病、复发性肝细胞癌、摆脱免疫抑制、慢性肾脏疾病进展四个方面展开研究,强调了生物标志物在预测或检测疾病复发中的重要性,同时也提出了仍需要更大规模的前瞻性研究以提高证据质量。笔者团队对该共识声明进行摘译,系统介绍了该共识声明中四个方面的研究以及相关讨论和结论,以期为肝移植中新生物标志物的发现和探索提供更多循证医学证据。
病毒性肝炎
41例慢性HBV感染危重孕产妇的临床特征分析
鞠宇豪, 李文, 王雨, 肖玲燕, 郑以山, 韩国荣
2024, 40(2): 258-263. DOI: 10.12449/JCH240207
摘要(1080) HTML (282) PDF (670KB)(105)
摘要:
  目的  分析慢性HBV感染的危重孕产妇临床特点及其转归,为救治危重孕产妇和防治肝病重症化提供临床经验。  方法  选取2013年3月—2023年3月南京市第二医院重症医学科收治的慢性HBV感染的孕产妇41例,通过医院电子病历系统收集孕产妇的临床资料,总结乙型肝炎孕产妇转入ICU的主要原因、死亡原因、治疗情况等。正态分布的计量资料两组间比较采用成组t检验;非正态分布的计量资料两组间比较采用Mann-Whitney U检验。计数资料两组间比较采用χ2检验。  结果  13例(31.71%)患者未正规产检,8例(19.51%)高病毒载量患者(HBV DNA≥2×105 IU/mL)未接受抗病毒治疗。主要的分娩方式为剖宫产32例(78.05%),婴儿早产23例(56.10%),患者死亡5例(12.20%)。转入ICU的前3位病因分别为肝衰竭、产后大出血和妊娠高血压疾病。肝衰竭主要在孕晚期发病,最多见并发症为肝性脑病(28.57%),最多见合并症为妊娠期肝内胆汁淤积症(21.43%);6例(42.86%)产检规律;13例(92.86%)入院前未接受抗病毒治疗。产后大出血患者平均ICU住院时间为(3.31±1.65) d,其中合并重症肝病者分娩前出现凝血功能异常,治疗48 h仍难以纠正。  结论  慢性HBV感染的孕产妇病情复杂,病死率较高。评估肝脏状态、定期产检和及时行抗病毒治疗对减少慢性HBV孕产妇重症发病、降低病死率尤为重要。
血清肌酐与胱抑素C比值(CCR)对HBV相关慢加急性肝衰竭预后的评估价值
刘大晴, 黄燕, 甘建和
2024, 40(2): 264-270. DOI: 10.12449/JCH240208
摘要(1086) HTML (427) PDF (799KB)(90)
摘要:
  目的  探讨血清肌酐与胱抑素C比值(CCR)评估HBV相关慢加急性肝衰竭(HBV-ACLF)预后的临床价值。  方法  回顾性分析2021年1月—2022年11月苏州大学附属第一医院感染病科住院治疗的130例HBV-ACLF患者(治疗组)临床资料,根据治疗结局分为生存组(n=87)和死亡组(n=43);根据是否合并感染,分为感染组(n=37)和非感染组(n=93)。以同期30例健康体检者作为对照组。收集入院当天血常规指标,包括白细胞、血小板、中性粒细胞和淋巴细胞计数;观察入院当天、住院第5天、第10天、第15天血清肌酐、胱抑素C、血清Alb、PT,计算CCR、中性粒细胞与淋巴细胞比值(NLR)、血小板与淋巴细胞比值(PLR)、营养指数(PNI)、CCR5(入院后第5天CCR)、ΔCCR5(入院后第5天CCR-入院当天CCR)、CCR10(入院后第10天CCR)、ΔCCR10(入院后第10天CCR-入院后第5天CCR)、CCR15(入院后第15天CCR)、ΔCCR15(入院后第15天CCR-入院后第10天CCR),比较生存组和死亡组、感染组与非感染组上述指标的差异。计量资料两组间比较采用Mann-Whitney U检验;多组间比较采用Kruskal-Wallis H检验。单因素和多因素Logistic回归分析探讨影响疾病预后的因素;受试者工作特征曲线(ROC曲线)评估CCR对HBV-ACLF死亡事件的预测价值,ROC曲线下面积(AUC)比较采用DeLong检验。  结果  治疗组基线CCR、NLR、PNI、PT和Alb与健康对照组比较,差异均有统计学意义(P值均<0.001)。生存组与死亡组患者入院当天CCR、NLR、PT比较,差异均有统计学意义(P值均<0.05)。在130例HBV-ACLF患者中,有25例处于前期,48例处于早期,32例处于中期,25例处于晚期。各分期HBV-ACLF患者基线CCR、PLR及PT比较,差异均有统计学意义(P值均<0.05)。感染组与非感染组患者基线ΔCCR5、NLR比较,差异均有统计学意义(P值均<0.05)。患者入院第5天、第10天、第15天生存组与死亡组ΔCCR5、CCR10、CCR15比较,差异均有统计学意义(P值均<0.05)。多因素Logistic回归分析发现ΔCCR5(OR=1.175,95%CI:1.098~1.256,P<0.001)、NLR(OR=0.921,95%CI:0.880~0.964,P<0.001)和PT(OR=0.921,95%CI:0.873~0.973,P=0.003)是HBV-ACLF患者预后的独立影响因素。ΔCCR5的AUC为0.774,敏感度为0.687,特异度为0.757;ΔCCR5+PT+NLR联合的AUC为0.824,高于ΔCCR5、NLR、PT单独预测时的AUC(P值均<0.05)。  结论  ΔCCR5、NLR、PT可反映HBV-ACLF患者的病情及预后,是HBV-ACLF患者死亡事件的独立预测指标,ΔCCR5+PT+NLR联合时预测效能最佳。
索磷布韦/维帕他韦单用或联合利巴韦林治疗3B型HCV/HIV感染者的效果及安全性
刘立, 常丽仙, 陈智勇, 李俊义, 刘春云
2024, 40(2): 271-277. DOI: 10.12449/JCH240209
摘要(1477) HTML (330) PDF (800KB)(107)
摘要:
  目的  观察索磷布韦/维帕他韦单用或联合利巴韦林方案对我国基因3B型HCV/HIV感染者的治疗效果和安全性。  方法  选取2017年1月—2020年12月于昆明市第三人民医院就诊的3B型HCV/HIV合并感染者299例,使用索磷布韦/维帕他韦单用或联合利巴韦林治疗12周,停药后随访12周。评估治疗结束后12周的持续病毒学应答率(SVR12)和不良反应。计量资料两组间比较采用成组t检验或Mann-Whitney U检验。计数资料两组间比较采用χ2检验。使用Agresti-Coull方法构建SVR12的95%CI。采用单因素和多因素非条件Logistic回归分析SVR的影响因素。  结果  299例3B型HCV/HIV感染者患者的平均年龄为(43.92±6.84)岁,男性占77.3%(231/299),肝硬化患者占36.5%(109/299),曾接受过抗病毒治疗者占13.4%(40/299),索磷布韦/维帕他韦联合利巴韦林治疗患者占27.8%(83/299)。患者总体SVR12为87.0%(260/299),其中索磷布韦/维帕他韦单用与联用利巴韦林SVR12比较,差异无统计学意义(87.5% vs 85.5%,χ2=0.203,P=0.653);无肝硬化和肝硬化患者SVR12比较,差异有统计学意义(90.0% vs 81.7%,χ2=4.256,P=0.039);抗病毒初治患者的SVR12明显高于经治患者(93.4% vs 45.0%,χ2=71.670,P<0.001)。单因素和多因素Logistic回归分析结果显示,PLT(OR=0.957,95%CI:0.931~0.984,P=0.002)、肝硬度值(OR=1.446,95%CI:1.147~1.822,P=0.002)和经治(OR=13.807,95%CI:2.970~64.174,P=0.001)是3B型HCV/HIV感染者SVR的独立影响因素。出现严重不良反应事件41例,均在抗病毒治疗后2周内出现,28例在没有停药并积极处理后缓解;13例积极处理后仍未缓解,停用抗病毒药物2~5 d后缓解,缓解后再次使用未出现类似反应。  结论  索磷布韦/维帕他韦单用或联合利巴韦林对3B型HCV/HIV感染者有较好的治疗效果和安全性。
中国旱獭Ⅰ型干扰素受体β亚基克隆、表达及功能初步鉴定
陶颖, 杨东亮, 王宝菊, 刘艺, 桂文甲, 李智, 樊和斌
2024, 40(2): 278-283. DOI: 10.12449/JCH240210
摘要(838) HTML (316) PDF (920KB)(55)
摘要:
  目的  克隆中国旱獭Ⅰ型干扰素受体β亚基(mhIFNAR2)的基因,并进行抗体制备及功能鉴定。  方法  应用RT-PCR技术,从中国旱獭脾组织中扩增得到序列,克隆至原核表达载体pRSET-B,表达重组蛋白,电泳和Western Blot法鉴定;重组蛋白常规免疫BALB/c小鼠制备其胞外段多克隆抗体,免疫组化、免疫荧光和Western Blot法鉴定;再通过siRNA阻断的方法检测其功能。计量资料多组间比较采用方差分析,进一步两两比较采用LSD-t检验。  结果  从mhIFNAR2扩增出149~1 300 bp片段,其同源性在分析的种属中以土拨鼠最高,可达98.05%。成功地构建了表达胞外段mhIFNAR2(50-181aa)蛋白的原核表达质粒,命名为pRSET-B.mhIFNAR2;其表达重组蛋白分子量27 kD,纯化后纯度约为95%,浓度约为160 μg/mL。用纯化的重组蛋白常规免疫BALB/c小鼠后,获得1∶1 000的特异性多克隆抗体,用免疫组化及免疫荧光可见细胞膜、细胞质有表达。合成的三条siRNA,其中有一条起始于277位点的siRNA(siRNA277)与空白对照及阴性对照相比,可以沉默目的基因的表达,并能减弱干扰素的信号通路(P值均<0.05)。  结论  获得mhIFNAR2的部分序列,成功地制备出抗mhIFNAR2胞外段多克隆抗体,该抗体有较高的效价和特异性,并能用于免疫组化、免疫荧光及Western Blot的检测。用siRNA277可以抑制目的基因的表达,并能阻断干扰素的信号通路。
脂肪性肝病
超重人群中健康者与非酒精性脂肪性肝病患者的临床特征及血清脂质组学分析
陈小燕, 袁乙富, 杜晟楠, 曹勤, 蒋元烨
2024, 40(2): 284-291. DOI: 10.12449/JCH240211
摘要(1239) HTML (427) PDF (1229KB)(103)
摘要:
  目的  探究超重人群中,非酒精性脂肪性肝病(NAFLD)患者与健康人的临床指标与脂质代谢差异。  方法  本研究将体质量指数(BMI)>23 kg/m2定义为超重人群,选取2020年8月—2021年4月上海中医药大学附属普陀医院收治的62例超重NAFLD患者纳入超重NAFLD组,另选取同期超重健康体检者50例作为对照。记录所有受试者的临床信息以及血液生化指标数据。应用超高效液相色谱-串联质谱法(UPLC-MS/MS)进行血清脂质组学分析;使用主成分分析法和正交偏最小二乘法判别分析对脂质组学数据进行多元统计分析。计数资料两组间比较采用χ2检验。计量资料两组间比较采用成组t检验或Wilcoxon秩和检验。  结果  超重NAFLD组BMI显著高于超重对照组(Z=-2.365,P=0.018)。血清学指标中,超重NAFLD组红细胞、血红蛋白、红细胞比容、尿酸、总蛋白、球蛋白、ALP、GGT、ALT、AST、胆碱酯酶、低密度脂蛋白、总胆固醇、甘油三酯、载脂蛋白B、血糖水平均显著高于超重对照组(P值均<0.05)。脂质组学分析结果显示两组间脂质代谢具有明显差异,共鉴定出差异性脂质(VIP值>1,P<0.05)493个,其中超重NAFLD组中有143个脂质显著上调,350个脂质显著下调。超重NAFLD组的平均脂肪酸总量是超重对照组的3.6倍。超重NAFLD组不饱和键数>3的甘油三酯含量较超重对照组降低(P<0.001),而不饱和键数≤3的甘油三酯含量较超重对照组增多(P<0.001)。  结论  超重NAFLD患者的部分生化指标及脂质代谢产物明显异于超重健康人,血液内脂肪酸明显升高,甘油三酯中的含饱和脂肪链的种类显著升高。
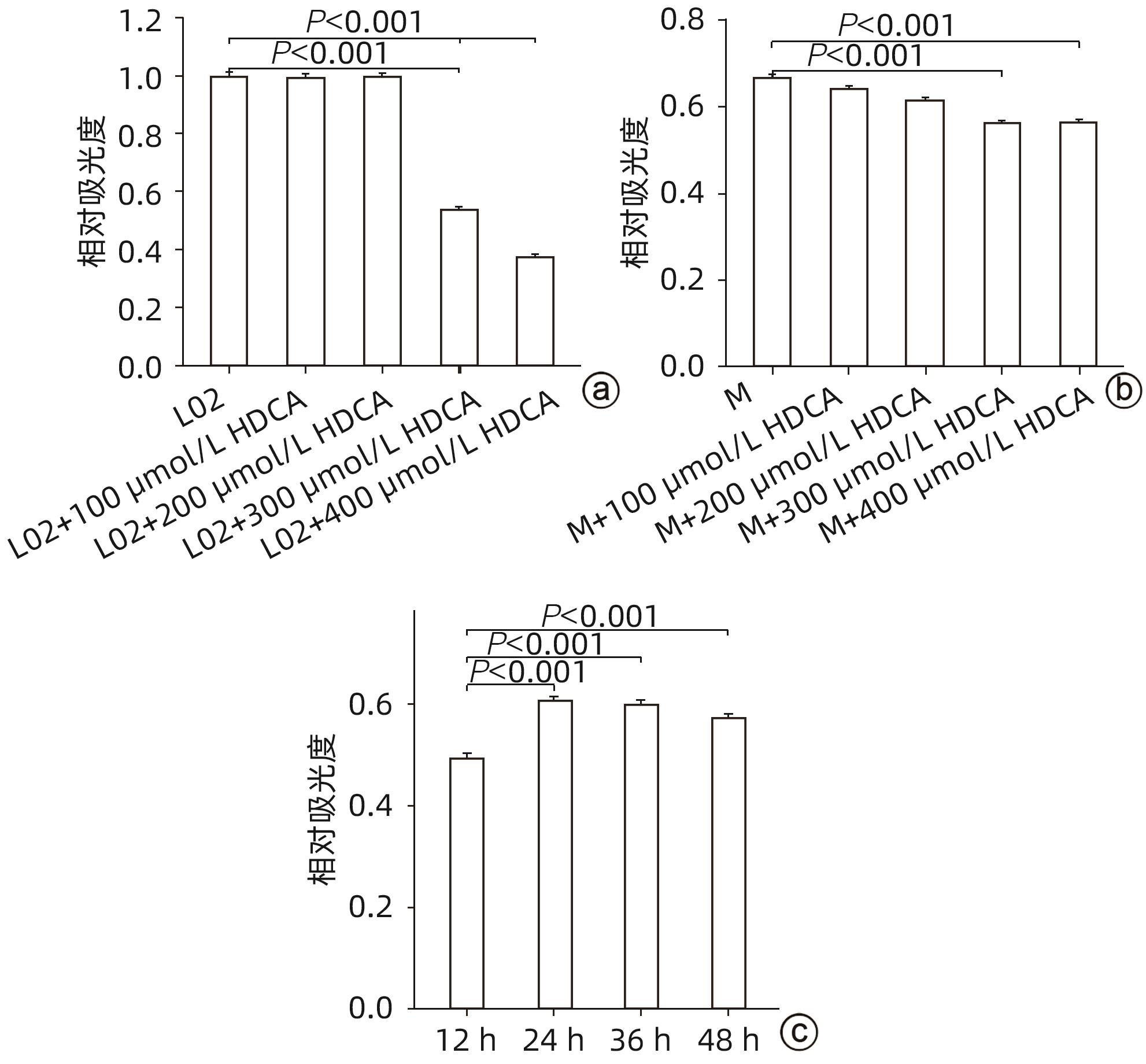
猪去氧胆酸对脂肪变性肝细胞活性的影响及其机制
汪远远, 邹艳, 刘朝霞, 阳学风
2024, 40(2): 292-297. DOI: 10.12449/JCH240212
摘要(1148) HTML (567) PDF (1921KB)(73)
摘要:
  目的  探讨猪去氧胆酸(HDCA)在代谢相关脂肪性肝病(MAFLD)发展中的作用及机制,为进一步阐明MAFLD的发病机制提供新的理论依据。  方法  L02肝细胞作为实验细胞,利用棕榈酸诱导L02细胞发生脂肪变性。采用FXR siRNA干扰链技术,构建FXR低表达的肝细胞株。CCK8实验检测HDCA在不同浓度(0、100、200、300、400 μmol/L)和时间(12、24、36、48 h)对L02脂肪变性肝细胞的影响。通过qRT-PCR检测法尼醇X受体(FXR)、增殖细胞核抗原(PCNA)、周期蛋白D1(Cyclin D1)、磷脂酰肌醇-3-激酶(PI3K)和蛋白激酶B(AKT)mRNA表达;Western Blot检测FXR、Cyclin D1、PCNA、PI3K、p-PI3K、AKT和p-AKT蛋白表达。计量资料服从正态分布且方差齐时多组间比较采用单因素方差分析,进一步两两比较采用Tukey HSD检验;服从正态分布但方差不齐时采用Welch方差分析,进一步两两比较采用Games-Howell检验。两组间比较采用成组t检验。  结果  CCK8检测结果显示,300 μmol/L HDCA处理的L02细胞和脂肪变性肝细胞活性明显下降(P值均<0.05);qRT-PCR检测结果显示,FXR mRNA表达增强,PCNA、Cyclin D1、PI3K、AKT的mRNA表达下降,差异均有统计学意义(P值均<0.05)。Western Blot检测结果显示,FXR蛋白表达明显上升(P<0.05);干扰L02细胞FXR的表达后,PCNA、PI3K、p-PI3K、AKT和p-AKT的蛋白表达均明显增加(P值均<0.05)。  结论  HDCA通过上调FXR表达抑制PI3K/AKT信号通路,从而造成脂肪变性肝细胞活性下降。
肝纤维化及肝硬化
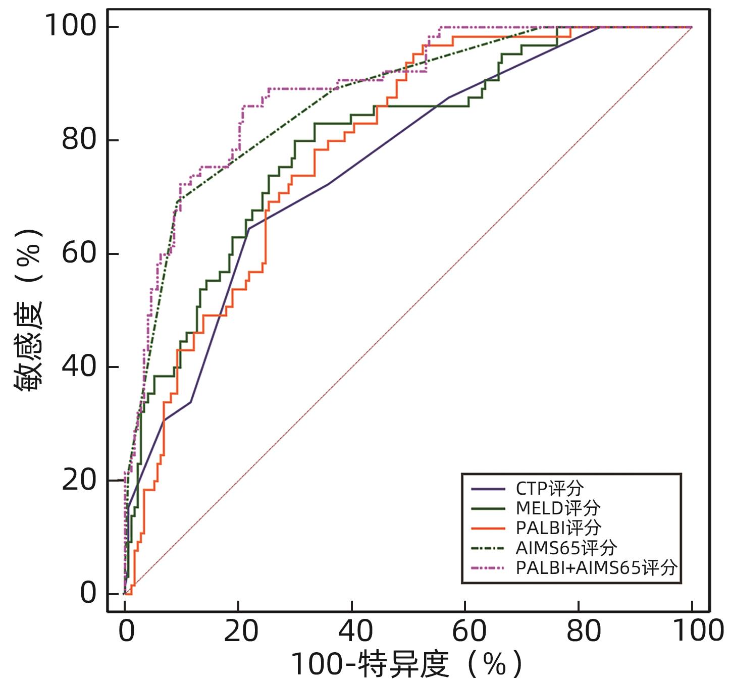
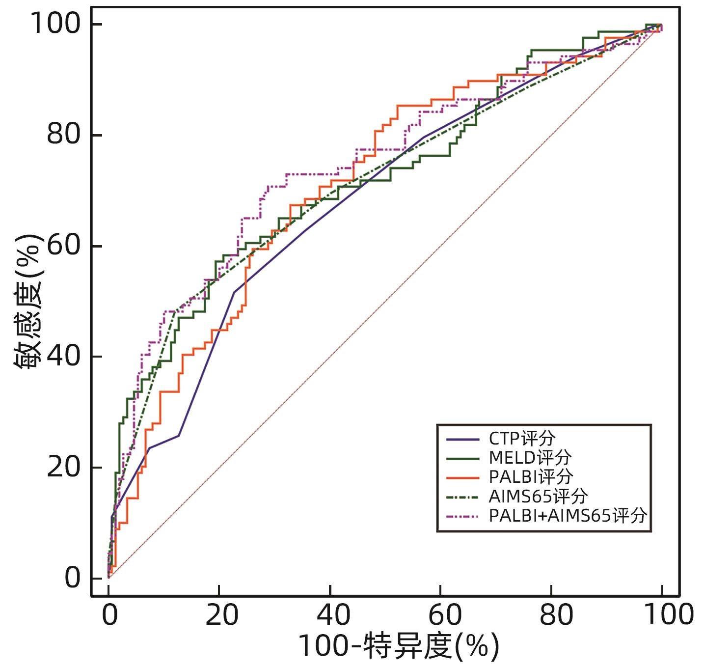
血小板-白蛋白-胆红素指数(PALBI)联合AIMS65评分对肝硬化并发急性上消化道出血患者短期预后的预测价值
戴天骄, 李静
2024, 40(2): 298-305. DOI: 10.12449/JCH240213
摘要(1179) HTML (368) PDF (909KB)(90)
摘要:
  目的  探讨血小板-白蛋白-胆红素指数(PALBI)联合AIMS65评分对肝硬化并发急性上消化道出血(AUGIB)患者入院后6周内再出血及死亡的预测价值。  方法  选取2021年2月—2022年10月在锦州医科大学附属第一医院住院治疗的肝硬化并发AUGIB患者238例,所有纳入患者均随访6周,根据预后情况分为死亡组(n=65)和生存组(n=173)、未再出血组(n=149)和再出血组(n=89)。收集患者的一般资料及实验室指标(血常规,肝、肾功能及凝血指标等),计算入院时的PALBI评分、AIMS65评分、Child-Turcotte-Pugh(CTP)评分、终末期肝病模型(MELD)评分。计量资料两组间比较采用成组t检验或Mann-Whitney U检验;计数资料两组间比较采用χ2检验。采用多因素Logistic回归模型分析肝硬化并发AUGIB患者入院治疗后6周内死亡或再出血的危险因素。通过受试者工作特征曲线(ROC曲线)及曲线下面积(AUC)评估各评分系统的预测效能;AUC的比较采用DeLong检验。  结果  死亡组和生存组患者比较,呕血、既往有静脉曲张病史、Alb、TBil、INR、Cr、PT、收缩压、PALBI评分、AIMS65评分、CTP评分和MELD评分差异均有统计学意义(P值均<0.05);多因素Logistic回归分析结果显示,呕血(OR=4.34,95%CI:1.88~10.05,P<0.001)、既往有静脉曲张病史(OR=3.51,95%CI:1.37~8.98,P=0.009)、PALBI评分(OR=4.49,95%CI:1.48~13.64,P=0.008)及AIMS65评分(OR=3.85,95%CI:2.35~6.30,P<0.001)是患者死亡的独立危险因素;各评分预测生存情况的ROC曲线结果显示,CTP评分、MELD评分、PALBI评分、AIMS65评分、PALBI联合AIMS65评分的AUC分别为0.758、0.798、0.789、0.870、0.888,其中PALBI联合AIMS65评分的AUC明显高于4种评分单独预测的AUC(P值均<0.05)。再出血组和未再出血组患者比较,呕血、糖尿病病史、Alb、TBil、INR、Cr、PT、PALBI评分、AIMS65评分、CTP评分和MELD评分差异均有统计学意义(P值均<0.05);多因素Logistic回归分析结果显示,PALBI评分(OR=2.41,95%CI:1.17~4.95,P=0.017)和AIMS65评分(OR=1.58,95%CI:1.17~2.15,P=0.003)是患者再出血的独立危险因素;各评分预测再出血的ROC曲线结果显示,CTP评分、MELD评分、PALBI评分、AIMS65评分、PALBI联合AIMS65评分的AUC分别为0.680、0.719、0.709、0.711、0.741,PALBI联合AIMS65评分的AUC最大(P值均<0.05),但特异度较低。  结论  PALBI评分联合AIMS65评分对肝硬化并发AUGIB患者入院后6周内的死亡具有一定的预测价值,优于CTP评分及MELD评分单独检测;对6周内再出血预测价值较低,准确性一般。
第三代头孢菌素治疗社区获得性自发性细菌性腹膜炎效果预测模型的临床价值
朱龙川, 吴蔚, 甘达凯, 张伟, 徐意珍, 熊墨龙
2024, 40(2): 306-311. DOI: 10.12449/JCH240214
摘要(987) HTML (267) PDF (922KB)(69)
摘要:
  目的  探讨第三代头孢菌素(3rd GC)治疗社区获得性自发性细菌性腹膜炎(CASBP)效果预测模型的临床应用价值。  方法  前瞻性选取2021年1月—2022年6月南昌市第九医院新入院的肝硬化伴CASBP患者50例,随机分为优化治疗组(n=25)与传统治疗组(n=25),前者基于效果预测模型采用头孢他啶或亚胺培南初治,后者均采用头孢他啶初治,此后依据初治效果调整抗生素,比较两组的初治有效率、第5天治愈率及30天病死率。计量资料两组间比较采用成组t检验或Mann-Whitney U检验。计数资料两组间比较采用χ2检验或Fisher精确概率法。  结果  所有患者均完成研究。优化治疗组初治有效率明显高于传统治疗组(88.0% vs 60.0%,χ2=5.094,P=0.024),两组第5天治愈率相当(80.0% vs 56.6%,χ2=3.309,P=0.069)。均使用头孢他定初治的患者中,优化治疗组初治有效率亦明显高于传统治疗组(88.9% vs 60.0%,χ2=4.341,P=0.037),两组第5天治愈率相当(83.3% vs 56.0%,χ2=2.425,P=0.119)。两组患者的30天病死率分别为8.0%和20.0%,差异无统计学意义(χ2=0.664,P=0.415)。所有入组患者初治有效与第5天治愈关联明显(OR=9.643,95%CI:2.292~40.564),第5天治愈与患者30天死亡关联明显(OR=0.138,95%CI:0.023~0.813)。  结论  该疗效预测模型有助于临床医生筛选3rd GC治疗的优势患者,提高3rd GC经验性治疗CASBP的初治疗效。
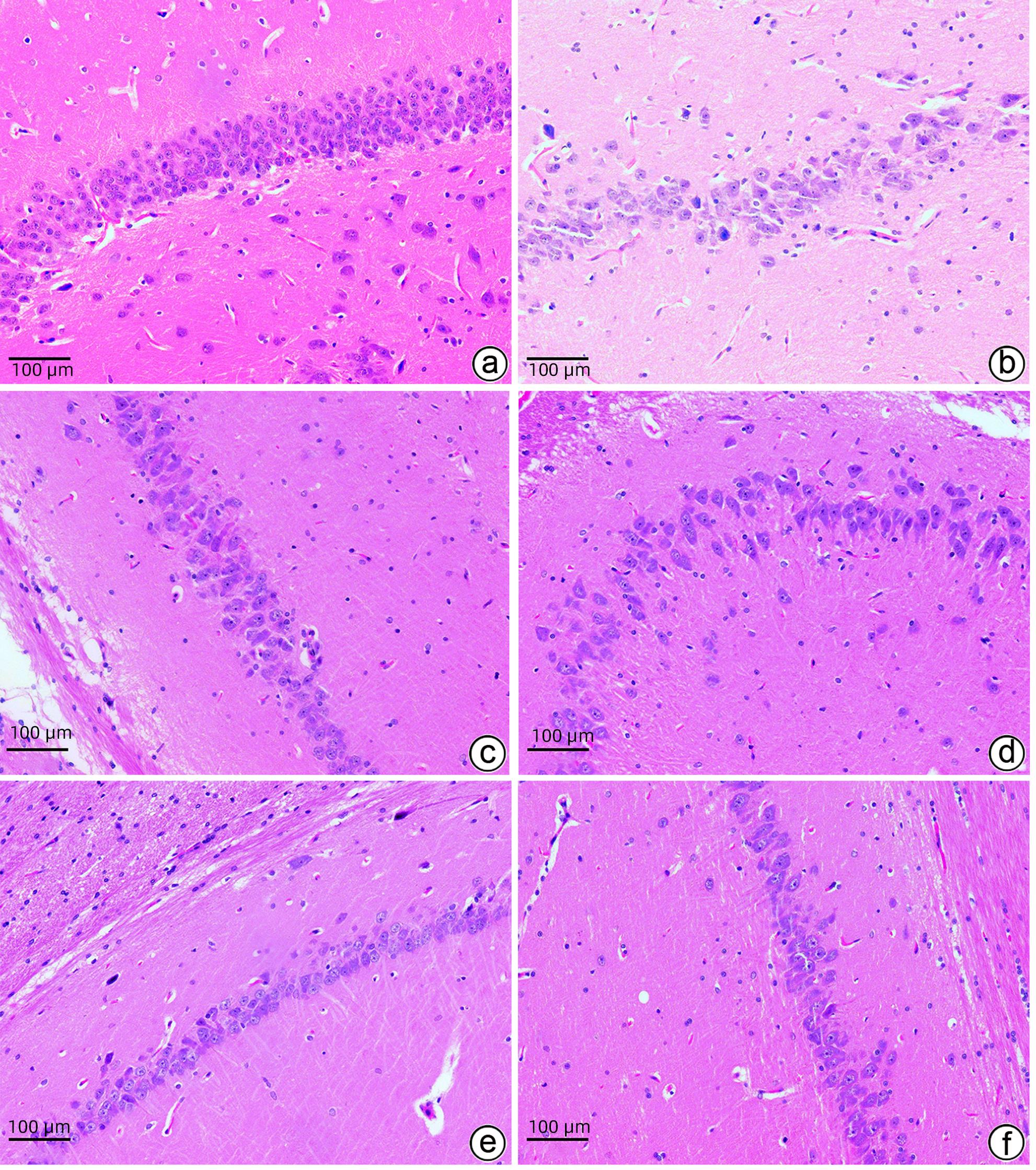
基于PI3K/AKT/mTOR信号通路探讨大黄煎剂对轻微型肝性脑病大鼠脑组织炎症损伤的保护机制
张广发, 蔡颖莹, 林龙, 付蕾, 姚凡, 王萌, 张荣臻, 陈月桥, 黄良江, 王涵, 苏运, 蓝艳梅, 乐滢玉, 毛德文, 姚春
2024, 40(2): 312-318. DOI: 10.12449/JCH240215
摘要(1155) HTML (450) PDF (1982KB)(73)
摘要:
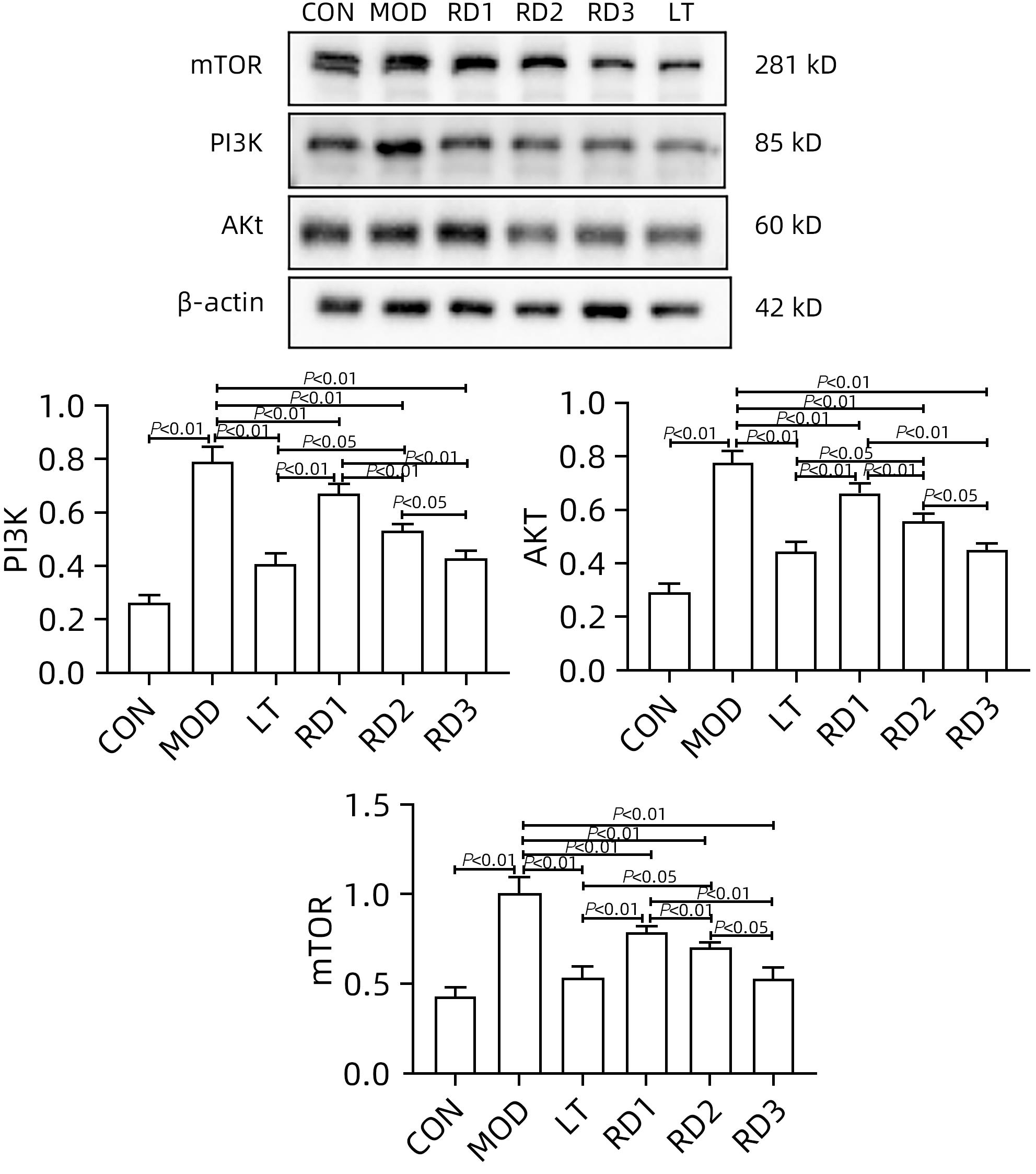
  目的  探讨大黄煎剂保留灌肠对轻微型肝性脑病(MHE)大鼠模型脑组织炎症损伤的改善作用及可能机制。  方法  60只SD雄性大鼠按完全随机方法分为空白组(CON组,n=6)和慢性肝硬化造模组(n=54)。12周后慢性肝硬化造模成功并经Morris水迷宫测试确认符合MHE模型大鼠40只,采用完全随机方法分为模型组(MOD组,n=8)、乳果糖组(LT组,n=8)、大黄煎剂低剂量组(RD1组,n=8)、大黄煎剂中剂量组(RD2组,n=8)和大黄煎剂高剂量组(RD3组,n=8)。其中CON组和MOD组大鼠用生理盐水保留灌肠,2 mL/只,1次/d;LT组大鼠用乳果糖按22.5%剂量保留灌肠,2 mL/只,1次/d;RD1组、RD2组、RD3组大鼠分别用大黄煎剂按2.5、5.0、7.5 g/kg三种剂量保留灌肠,2 mL/只,1次/d。所有大鼠治疗10 d后,进行Morris水迷宫测试,分析大鼠的空间学习记忆能力。分析大鼠行为学状态;检测大鼠血清ALT、AST、IL-1β、IL-6、TNF-α和血氨水平;观察大鼠肝组织和脑组织病理学变化;检测大鼠脑组织磷脂酰肌醇3-激酶(PI3K)、蛋白激酶B(AKT)、雷帕霉素靶蛋白(mTOR)的mRNA和蛋白表达水平。计量资料多组间比较采用单因素方差分析,进一步两两比较采用LSD-t检验。  结果  与MOD组比较,RD1组、RD2组和RD3组大鼠逃避潜伏期时间显著缩短(P值均<0.01),ALT、AST、IL-1β、IL-6、TNF-α和血氨水平明显降低(P值均<0.05),肝细胞、脑细胞变性、坏死和炎症程度减轻,脑组织PI3K、AKT、mTOR的mRNA和蛋白表达水平均降低(P值均<0.05),且RD3组治疗效果优于RD1组和RD2组。  结论  大黄煎剂保留灌肠能够改善MHE大鼠认知功能及脑组织炎症损伤,其作用机制可能与调控PI3K/AKT/mTOR信号通路有关。
肝脏肿瘤
肝细胞癌复发进程中DNA修复调节的蛋白质组学分析及验证
常凯, 王艳艳, 江忠勇, 孙巍, 刘晨霞, 那琬琳, 许宏宣, 谢静, 刘媛, 陈敏
2024, 40(2): 319-326. DOI: 10.12449/JCH240216
摘要(1133) HTML (386) PDF (2144KB)(96)
摘要:
  目的  分析肝细胞癌(HCC)复发进程中DNA修复调节的作用及机制。  方法  串联质量标签(TMT)标记的定量蛋白质组学方法分析HCC 2年内复发和5年预后良好的肝癌组织样本,分析富集在DNA复制、错配修复、碱基切除修复、核苷酸切除修复4条通路的蛋白表达差异,分析在HCC复发进程中起主要作用的调控通路及靶点,预测可能的调控机制。计量资料2组间比较采用成组t检验;多组间比较采用单因素方差分析,进一步两两比较采用LSD-t检验。  结果  真核生物复制复合体通路MCM2(P=0.018)、MCM3(P=0.047)、MCM4(P=0.014)、MCM5(P=0.008)、MCM6(P=0.006)、MCM7(P=0.007)、PCNA(P=0.019)、RFC4(P=0.002)、RFC5(P<0.001)、LIG1(P=0.042)蛋白表达均显著降低;核苷酸切除修复通路中PCNA(P=0.019)、RFC4(P=0.002)、RFC5(P<0.001)、LIG1(P=0.042)共4个蛋白表达水平均显著减少;碱基切除修复通路PCNA(P=0.019)和LIG1(P=0.042)在HCC复发组中均显著降低;错配修复富集通路中MSH2(P=0.026)、MSH6(P=0.006)、RFC4(P=0.002)、RFC5(P<0.001)、PCNA(P=0.019)、LIG1(P=0.042)共6个蛋白在肝癌复发组织中均显著减少。差异蛋白涉及MCM复合体、DNA聚合酶复合体ε、连接酶LIG1、长补丁碱基剪切修复复合体(long patch BER)、DNA错配修复蛋白复合体的重要组分。对DNA修复调节的重要差异蛋白进行临床样本验证分析,结果表明复发组中除MCM6表现出下降趋势外,MCM5(P=0.008)、MCM7(P=0.007)、RCF4(P=0.002)、RCF5(P<0.001)和MSH6(P=0.006)蛋白相对表达量均显著降低。  结论  HCC复发过程中,DNA修复进程中多个复合体蛋白组分存在显著减少或缺失。
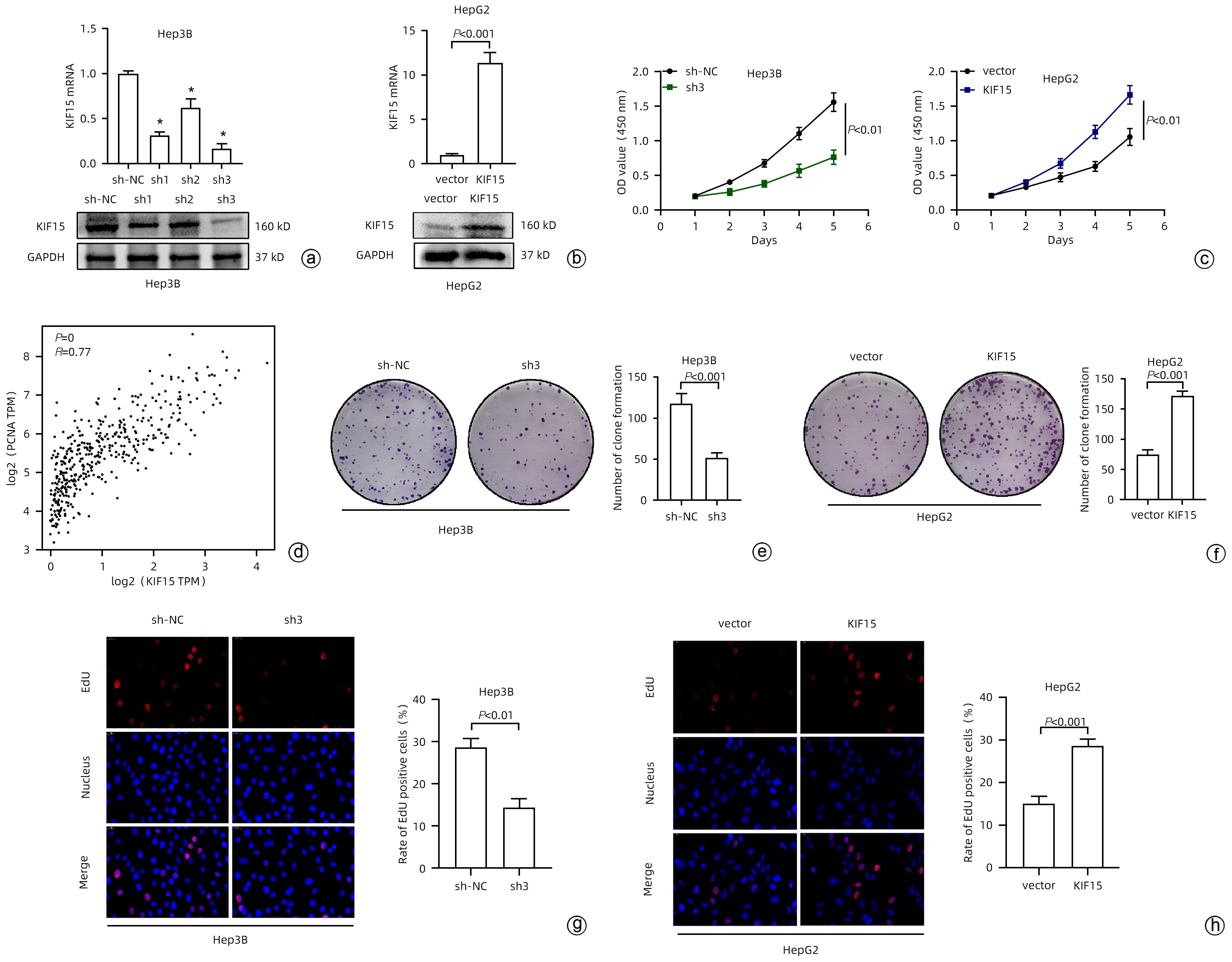
驱动蛋白家族成员15(KIF15)对肝细胞癌增殖能力的影响及其作用机制
仇建南, 汪鹏, 曹胤, 王忠夏, 吴俊华, 江春平
2024, 40(2): 327-334. DOI: 10.12449/JCH240217
摘要(1076) HTML (413) PDF (1773KB)(71)
摘要:
  目的  探究驱动蛋白家族成员15(KIF15)对肝细胞癌(HCC)增殖能力的影响及其作用机制。  方法  通过分析TCGA和GEPIA数据集确定KIF15在HCC中的表达情况以及对肿瘤分期、生存的影响。采用qRT-PCR和Western Blot检测体外培养的人源HCC细胞系(HepG2、Hep3B、MHCC-97H和LM3)与人正常肝细胞系L02细胞的KIF15表达水平,并选择Hep3B和HepG2进行后续研究。通过对Hep3B慢病毒转染sh-NC/sh-KIF15和对HepG2慢病毒转染LV-vector/LV-KIF15进行CCK-8、平板克隆和EdU染色实验评估细胞的活力和增殖能力。GSEA分析KIF15与HCC相关的作用信号通路并通过Western Blot进行检测。计量资料两组间比较采用成组t检验;多组间比较采用单因素方差分析,进一步两两比较采用LSD-t检验。  结果  TCGA和GEPIA数据集分析结果显示KIF15在HCC患者癌组织中的表达明显高于正常组织,并且KIF15与HCC分期成正比,KIF15高表达的HCC患者的生存更差。与sh-NC-Hep3B相比,sh3-Hep3B的KIF15 mRNA水平和蛋白水平均下降(P值均<0.05);与sh-NC-Hep3B相比,sh3-Hep3B的细胞活力、克隆形成数和EdU阳性率均显著降低(P值均<0.05)。与vector-HepG2相比,LV-KIF15-HepG2的KIF15 mRNA水平和蛋白水平均升高(P值均<0.05);与vector-HepG2相比,LV-KIF15-HepG2的细胞活力、克隆形成数和EdU阳性率均提高(P值均<0.05)。皮下瘤实验结果显示:与sh-NC-Hep3B相比,sh3-Hep3B的瘤体积和瘤重量降低;Ki67的组化评分降低,而TUNEL的组化评分提高(P值均<0.05)。GSEA分析显示在HCC中PI3K/AKT/mTOR通路与KIF15呈正相关(NES=1.59,P<0.001),Western Blot检测发现LY294002能够抑制LV-KIF15-HepG2中上调的PI3K/AKT/mTOR通路,与LV-KIF15-HepG2相比,LY294002+LV-KIF15-HepG2的细胞活力、克隆形成数和EdU阳性率降低(P值均<0.05)。  结论  KIF15通过上调PI3K/AKT/mTOR信号通路增强HCC的活力和增殖能力。
其他肝病
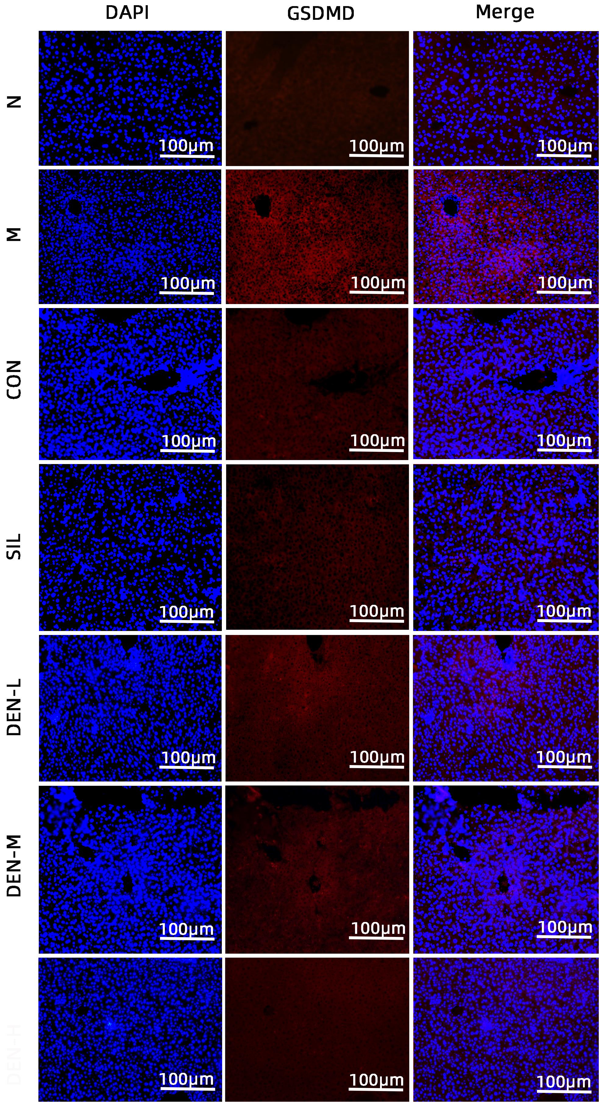
铁皮石斛叶发酵液对酒精性肝炎小鼠模型的影响及其作用机制
周兴念, 刘渝洪, 秦玉洁, 张权, 程明亮, 李宏
2024, 40(2): 335-342. DOI: 10.12449/JCH240218
摘要(1661) HTML (558) PDF (2486KB)(94)
摘要:
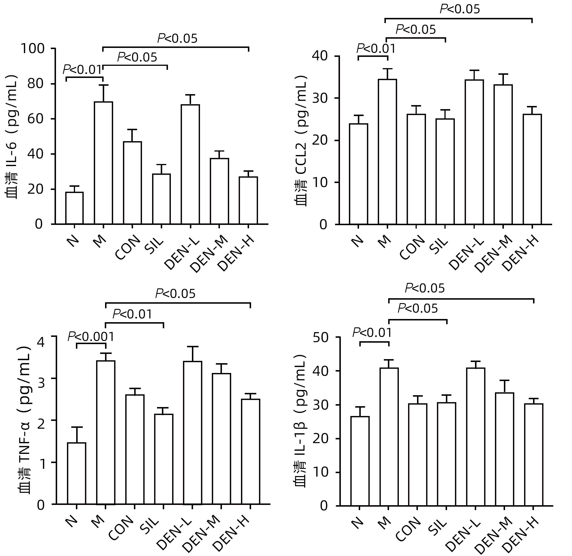
  目的  探讨铁皮石斛叶发酵液对小鼠酒精性肝炎的干预机制。  方法  将70只健康雄性6~8周C57BL/6J小鼠随机分为正常组,模型组,液体饲料对照组,水飞蓟宾组,铁皮石斛叶发酵液低剂量组、中剂量组及高剂量组,共7组,每组各10只。正常组小鼠喂养普通饲料,其他各组小鼠采用Lieber-DeCarli经典法液体饲料饲养8周,诱导小鼠酒精性肝炎模型。造模期间,铁皮石斛叶发酵液低、中、高剂量组小鼠饮用威门石斛水,其余各组小鼠饮用纯净水;正常组、模型组、液体饲料对照组每日给予生理盐水灌胃,水飞蓟宾组给予水飞蓟宾0.25 mL/10 g,铁皮石斛叶发酵液低、中、高剂量组分别给予0.125 mL/10 g、0.250 mL/10 g、0.375 mL/10 g铁皮石斛叶发酵液灌胃,1次/d。第8周水合氯醛腹腔注射麻醉,眼球取血,分离血清采用生化方法检测AST、ALT水平;HE染色和油红O染色观察小鼠肝组织病理学以及脂质积累情况。Luminex多因子检测小鼠血清IL-6、IL-1β、TNF-α及CCL2水平;实时荧光定量PCR、Western Blot、免疫荧光方法检测小鼠肝组织中NLRP3、Caspase-1、Caspase-11、GSDMD、GSDMD-N端、IL-18和IL-1β的蛋白表达。计量资料多组间比较采用单因素方差分析,进一步两两比较采用LSD-t检验。  结果  与正常组比较,模型组小鼠血清AST、ALT、IL-6、IL-1β、TNF-α和CCL2水平均显著升高(P值均<0.05)。与模型组相比,铁皮石斛叶发酵液高剂量组小鼠血清AST、ALT、IL-6、IL-1β、TNF-α和CCL2均明显降低(P值均<0.05)。HE染色结果显示,模型组小鼠肝小叶结构紊乱,有大量的脂肪变性空泡及细胞坏死;与模型组比较,铁皮石斛叶发酵液高剂量组小鼠肝组织病理损伤减轻,大部分肝小叶结构完整,仅少量炎性细胞浸润。油红O染色结果显示,模型组小鼠肝脏出现大脂滴和小脂滴积聚,肝脂肪含量显著增加;与模型组比较,铁皮石斛叶发酵液高剂量组小鼠肝组织脂肪变性明显减轻,多以小脂滴散在存在。肝组织免疫荧光结果显示,模型组小鼠肝细胞胞质中GSDMD阳性染色面积比较正常组显著增加(P<0.001);铁皮石斛叶发酵液高剂量组小鼠肝细胞胞质中GSDMD阳性染色面积比与模型组比较显著下降(P<0.001)。实时荧光定量PCR和Western Blot检测结果显示,与正常组比较,模型组小鼠肝组织中NLRP3、Caspase-1、Caspase-11、GSDMD、GSDMD-N端、IL-18和IL-1β蛋白表达水平显著增加(P值均<0.05);与模型组相比,铁皮石斛叶发酵液高剂量组NLRP3、Caspase-1、Caspase-11、GSDMD、GSDMD-N端、IL-18和IL-1β蛋白表达水平明显降低(P值均<0.05)。与模型组相比,铁皮石斛叶发酵液高剂量组Caspase-1和Caspase-11蛋白表达水平均明显降低(P值均<0.05),其中Caspase-1蛋白相对表达量为1.757,较模型组下降26.6%,Caspase-11蛋白相对表达量为0.455,较模型组下降70.3%;Caspase-11较Caspase-1下降幅度更大。  结论  铁皮石斛叶发酵液可减轻小鼠酒精性肝炎,其机制可能与抑制Caspase-11介导的非经典细胞焦亡通路有关。
胰腺疾病
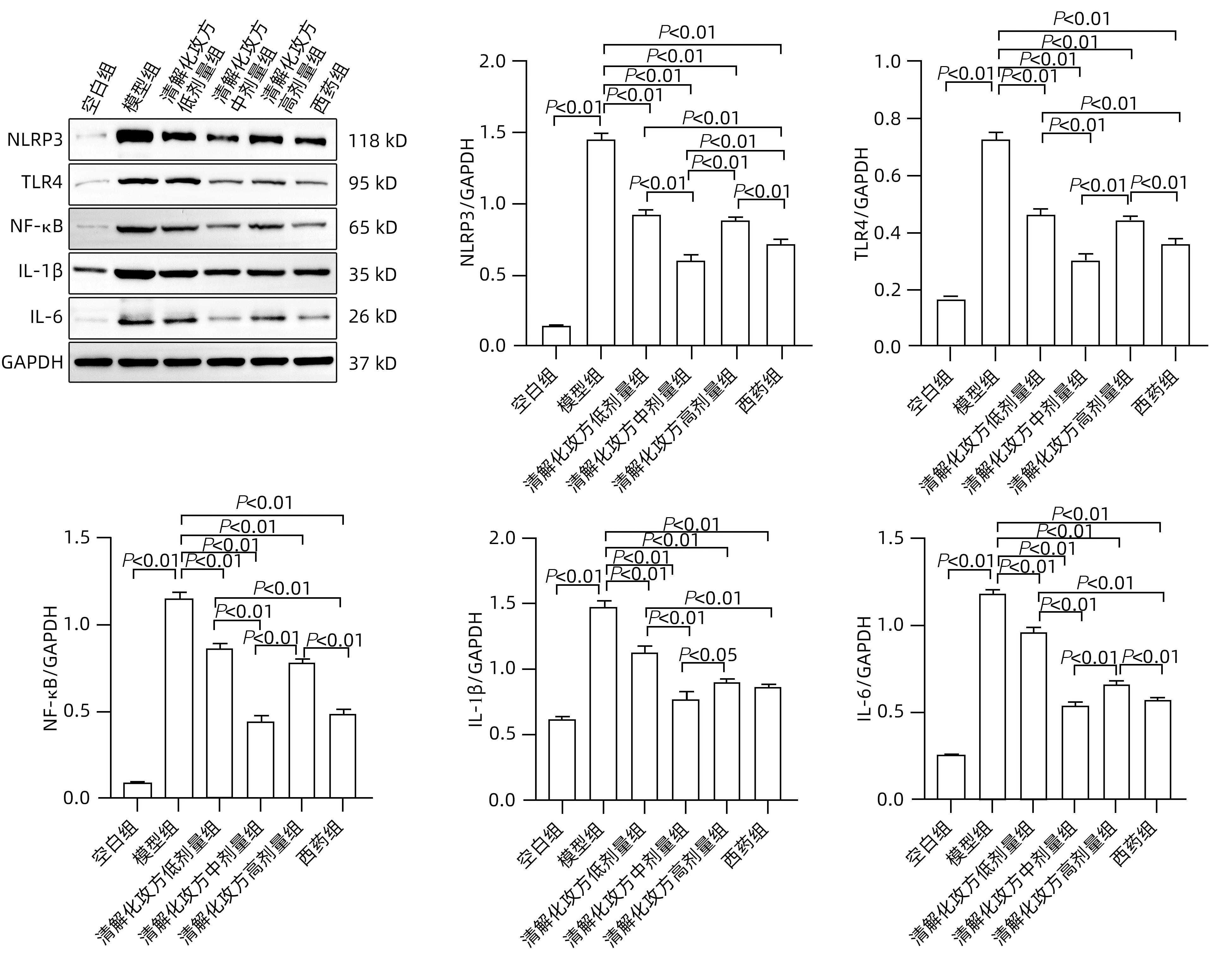
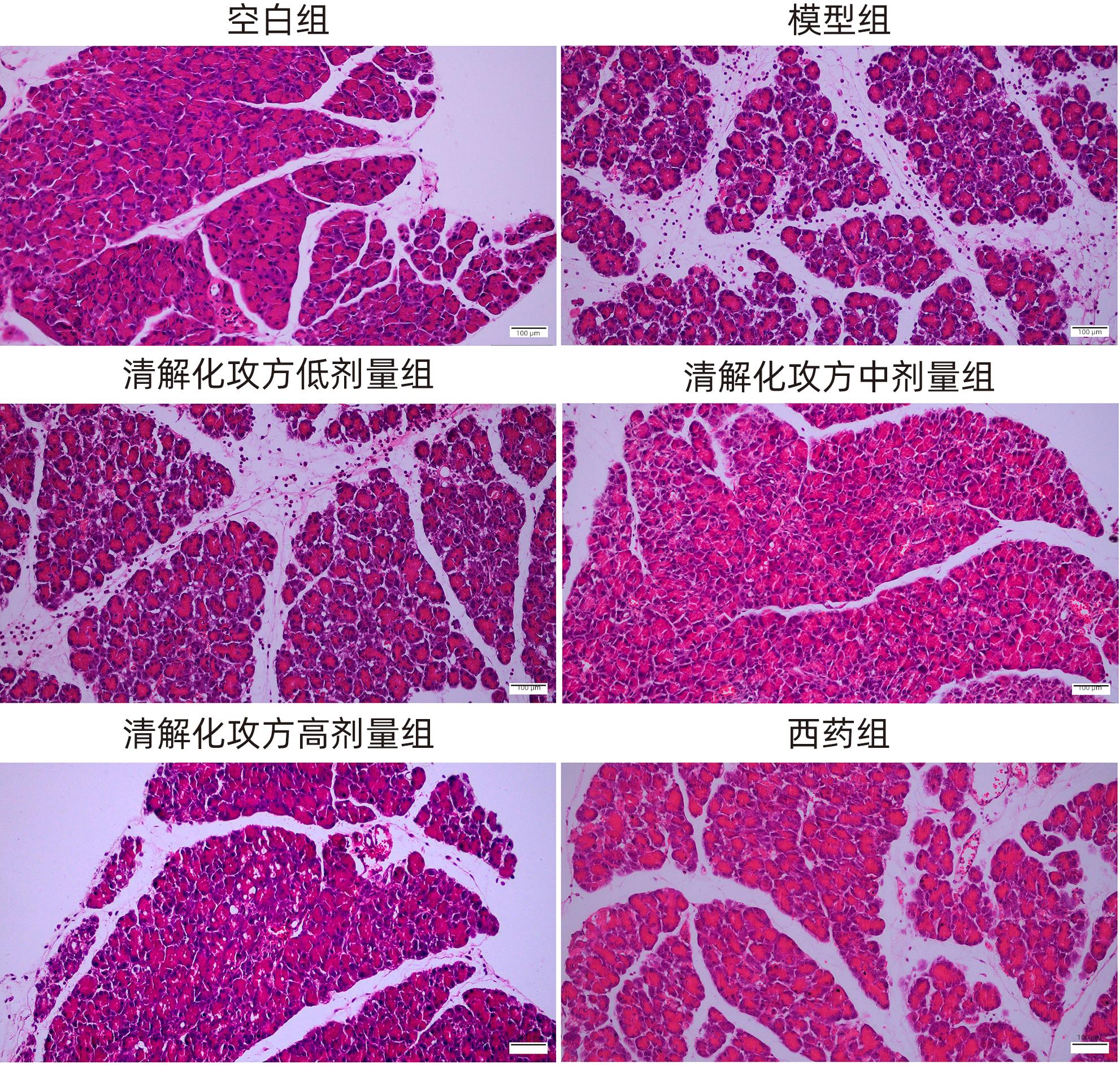
清解化攻方调控NLRP3/TLR4/NF-κB信号通路对重症急性胰腺炎小鼠模型胰腺组织的保护作用
冯敏超, 秦百君, 罗芳, 李凯, 王宁, 陈国忠, 唐曦平
2024, 40(2): 343-350. DOI: 10.12449/JCH240219
摘要(1395) HTML (908) PDF (2916KB)(89)
摘要:
  目的  观察清解化攻方对重症急性胰腺炎(SAP)小鼠模型的治疗作用,探索清解化攻方抗炎症反应的作用机制。  方法  将36只C57BL/6J雄性小鼠随机分成空白组,模型组,清解化攻方低、中、高剂量组,西药组(乌司他丁),每组6只,除空白组小鼠,余各组小鼠采用逆行胰胆管注射5%牛黄胆酸钠建立SAP模型,清解化攻方低、中、高剂量组在造模后分别予以清解化攻方1、2、4 g/kg灌胃,西药组在造模后予以腹腔注射乌司他丁(5×104 U/kg),共干预7 d。采用苏木素-伊红染色观察胰腺组织病理改变;酶联免疫吸附测定法(ELISA)检测小鼠α-淀粉酶、脂肪酶、IL-1β、IL-6、IL-8、IL-18和TNF-α水平;RT-qPCR检测胰腺组织NOD样受体蛋白3(NLRP3)、Toll样受体4(TLR4)、核因子-κB(NF-κB)mRNA表达水平;免疫组化检测胰腺组织NLRP3、TLR4、NF-κB的阳性表达率;Western Blot技术检测NLRP3、TLR4、NF-κB、IL-1β、IL-6蛋白的表达水平。计量资料多组间比较采用方差分析,进一步两两比较采用LSD-t检验。  结果  与空白组相比,模型组小鼠胰腺组织结构弥漫性破坏、胰腺小叶间隔局灶性扩张、腺泡萎缩和大量炎症细胞浸润,α-淀粉酶、脂肪酶、IL-1β、IL-6、IL-8、IL-18和TNF-α含量明显升高(P值均<0.05),NLRP3、TLR4、NF-κB mRNA表达水平及阳性表达率均明显上升(P值均<0.05),NLRP3、TLR4、NF-κB、IL-1β、IL-6蛋白表达均明显上调(P值均<0.05)。与模型组相比,清解化攻方各剂量组和西药组可见小鼠胰腺组织结构稍紧密、完整,胰腺腺泡细胞排列有序,伴少量炎症细胞浸润和胰腺小叶出血灶,α-淀粉酶、脂肪酶、IL-1β、IL-6、IL-8、IL-18和TNF-α含量明显下降(P值均<0.05),NLRP3、TLR4、NF-κB mRNA表达水平及阳性表达率均明显降低(P值均<0.05),NLRP3、TLR4、NF-κB、IL-1β、IL-6蛋白表达水平均明显减弱(P值均<0.05)。  结论  清解化攻方可能通过抑制NLRP3/TLR4/NF-κB信号通路相关蛋白的激活,减少炎症介质的释放,防止炎症级联反应增强,进而对SAP小鼠胰腺组织发挥保护作用。
新技术新疗法
内镜逆行胰胆管造影联合eyeMax胆胰成像系统直视下液电碎石治疗困难胆管结石效果观察
陶丽莹, 王宏光, 郭庆梅, 朴连玉, 郭享, 阮丽斌, 刘时助, 孙震
2024, 40(2): 351-355. DOI: 10.12449/JCH240220
摘要(1313) HTML (351) PDF (807KB)(127)
摘要:
  目的  探讨内镜逆行胰胆管造影(ERCP)联合eyeMax胆胰成像系统直视下应用液电碎石技术治疗困难胆管结石的安全性及有效性。  方法  回顾性分析2022年5月—11月吉林市人民医院消化内科行ERCP联合eyeMax胆胰成像系统直视下应用液电碎石技术治疗困难胆管结石12例患者的临床资料,观察碎石、取石的临床效果,评估术后并发症发生情况,以及手术操作时间。  结果  12例患者中,11例(91.67%)患者直视液电碎石成功,9例(75.00%)一次性取石成功,11例(91.67%)达到结石完全清除,1例患者因多次胆道手术造成胆管多处狭窄,直视下将狭窄处上方的Ⅱ级肝内胆管结石取出,但仍残留Ⅲ级肝内胆管结石,进而未能达到结石完全清除的效果;ERCP平均操作时间(91.3±26.2)min,其中能量碎石时间为(41.8±22.2)min;术后2例胆道感染,给予抗感染后好转;2例高淀粉酶血症,未予特殊处置;3例轻度胰腺炎,给予药物对症治疗后好转;无出血、穿孔等并发症。  结论  ERCP联合eyeMax胆胰成像系统直视下应用液电碎石技术治疗困难胆管结石安全、有效、可行。
病例报告
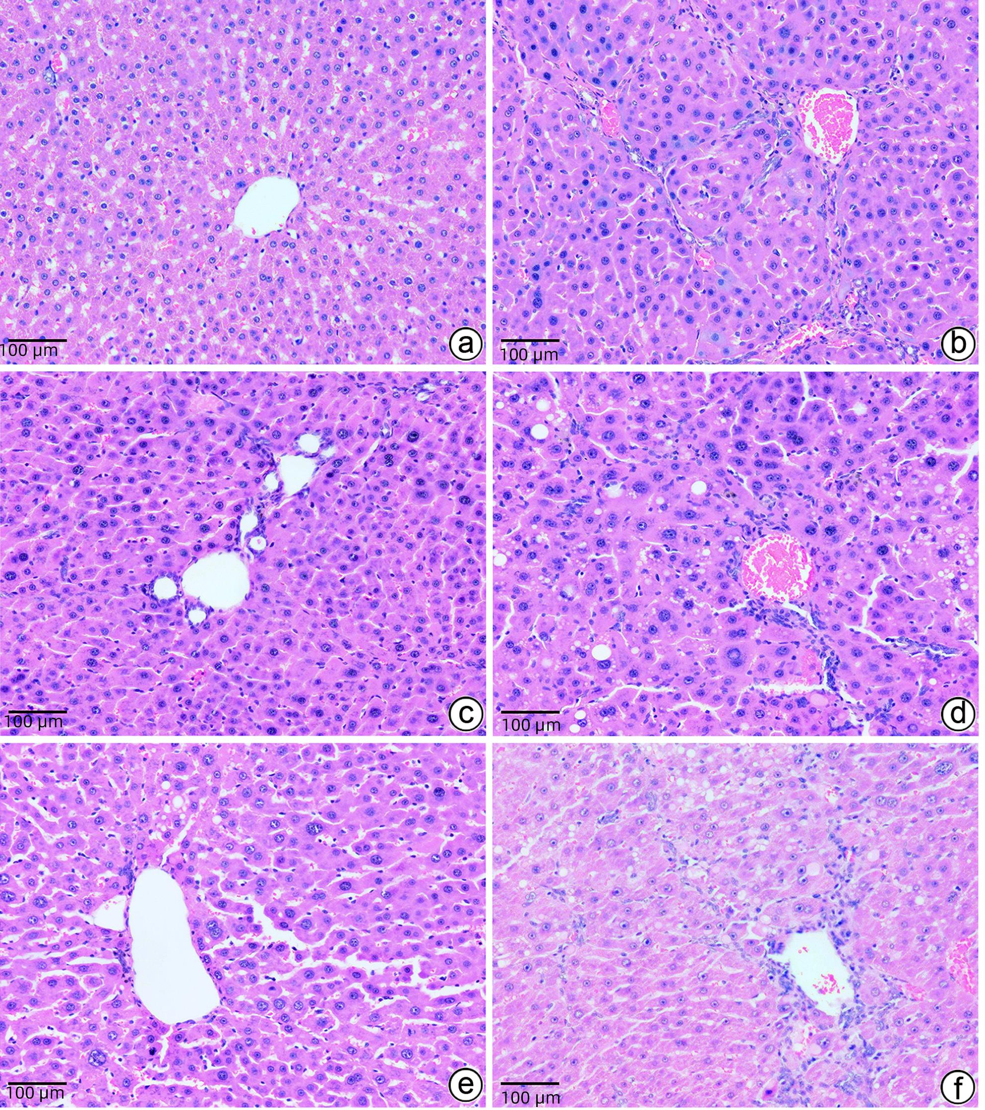
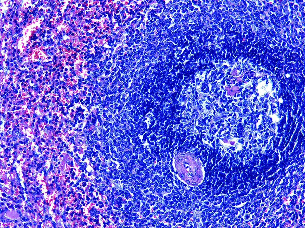
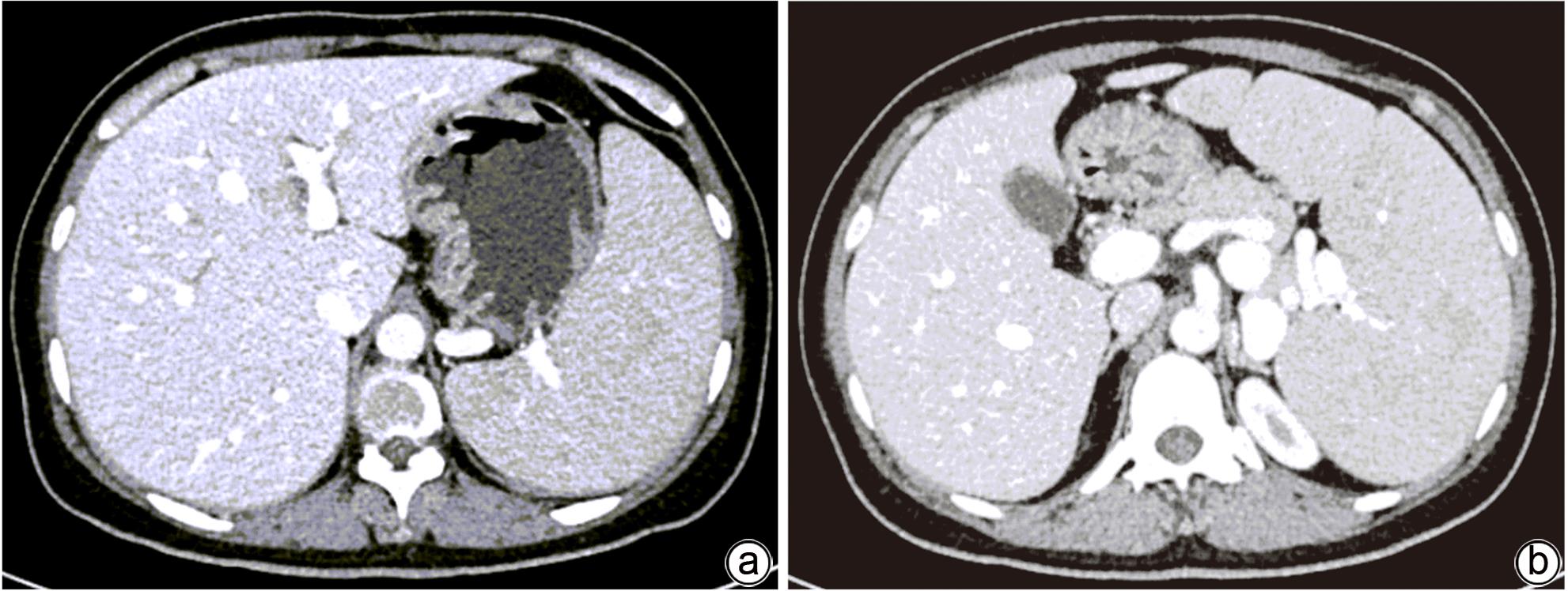
B型尼曼-皮克病及其肝脏受累的异质性表现1例报告
阳乔, 沈轶, 史悦, 王进, 吕芳芳
2024, 40(2): 356-360. DOI: 10.12449/JCH240221
摘要(1039) HTML (369) PDF (1123KB)(117)
摘要:
本文报道以“肝脾肿大待查”为主诉,经各项检查确诊为B型尼曼-皮克病的案例,并通过文献复习,总结B型尼曼-皮克病肝脏受累的异质性表现,旨在提高疑难罕见肝脏疾病的临床诊治水平。
GPD1基因新发突变p.K327N致高甘油三酯血症性急性胰腺炎反复发作1例报告
李孝尧, 段剑锋, 王大成, 陈显成, 张北源, 虞文魁
2024, 40(2): 361-364. DOI: 10.12449/JCH240222
摘要(1077) HTML (279) PDF (813KB)(71)
摘要:
高甘油三酯血症为我国急性胰腺炎的第二大病因,可以由原发性因素即基因突变引起,所导致的高甘油三酯血症性急性胰腺炎(HTG-AP)易反复发作,且甘油三酯水平难以有效控制。本文报道了1例罹患8次HTG-AP的中国成年男性患者,发现其携带GPD1新发杂合突变p.K327N,可能导致甘油三酯水平持续较高及HTG-AP反复发作。
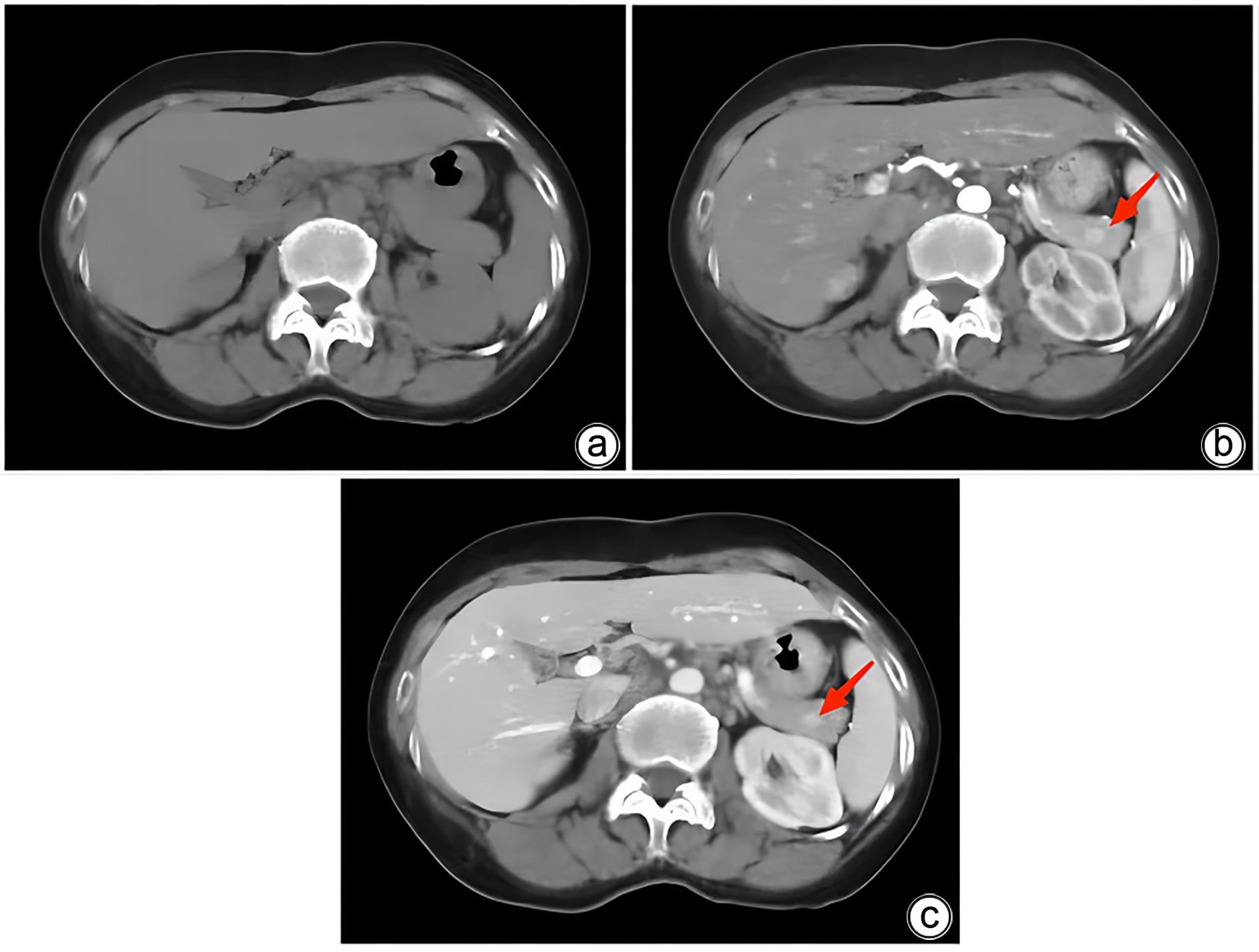
胰腺内副脾误诊2例报告
张孟哲, 饶洁, 张正乐
2024, 40(2): 365-368. DOI: 10.12449/JCH240223
摘要(1364) HTML (331) PDF (1188KB)(157)
摘要:
副脾是指正常脾脏以外存在的,与主脾结构相似,有一定功能的脾脏组织,其中完全被胰腺包裹的胰腺内副脾(IPAS)发生率仅为2%,因其临床症状不典型,影像学特征与胰腺神经内分泌肿瘤、胰腺实性假乳头状瘤以及其他胰腺占位性病变较为相似,临床上容易误诊。本文报道了2例分别被误诊为胰腺神经内分泌肿瘤和胰腺实性假乳头状瘤的IPAS患者,并分析误诊原因,总结诊疗经验,以期提升临床对IPAS明确鉴别诊断的认识。
综述
直接抗病毒药物治疗对丙型肝炎患者肝外疾病预后的影响
王晓燕, 张缭云
2024, 40(2): 369-373. DOI: 10.12449/JCH240224
摘要(820) HTML (293) PDF (571KB)(94)
摘要:
HCV感染者的预后不仅取决于肝脏病变,还取决于肝外后遗症。直接抗病毒药物(DAAs)作为当前治疗丙型肝炎的一线用药,使越来越多的患者获得持续病毒学应答及临床治愈,但其对肝外疾病转归的影响尚不清楚。本文就DAAs治疗对丙型肝炎患者肝外疾病预后的影响作一综述,提示丙型肝炎治愈患者仍需进行长期随访监测。
肠道微生态与自身免疫性肝炎发生发展的关系
夏雨艳, 曾琼戎, 李福建, 黎凤炎, 李琪, 唐利瑕, 张国
2024, 40(2): 374-379. DOI: 10.12449/JCH240225
摘要(1070) HTML (254) PDF (646KB)(102)
摘要:
自身免疫性肝炎(AIH)是以慢性肝脏炎症为特点的自身免疫性疾病,发病率逐年升高,社会医疗负担不容小视。肠道微生态正成为自身免疫性疾病研究的热点。近年来认为肠道微生态的改变会引起自身免疫状态、菌群代谢产物和肠道屏障的改变,是AIH发病的驱动因素之一。早期诊断和正确的治疗有助于改善AIH患者的预后。本文介绍了AIH患者肠道菌群的特点、肠道微生态失衡对AIH发病机制的影响以及从肠道微生态角度出发简述了相关治疗方案,旨在全面理解和解释肠道微生态在AIH中的作用,了解肠道微生态平衡对AIH致病机制、诊断和治疗的影响。
钆塞酸二钠增强MRI扫描评估肝肿瘤术后残留肝组织储备功能的研究现状
叶彦宏, 陆力坚
2024, 40(2): 380-385. DOI: 10.12449/JCH240226
摘要(1178) HTML (439) PDF (630KB)(71)
摘要:
钆塞酸二钠(Gd-EOB-DTPA)增强MRI扫描作为一种无创、简便、可重复的检查手段,在肝储备功能评价中具有重要应用价值。目前在临床上,主要采用Gd-EOB-DTPA增强MRI测量肝实质信号强度参数、磁共振弛豫时间参数、胆道强化参数以及肝体积参数等来评价患者的肝储备功能。近年来,利用Gd-EOB-DTPA增强MRI评估肝肿瘤术后残留肝组织储备功能是临床研究的热点之一,国内外的相关研究也取得了一定的进展,本文对近年来的相关研究进展作一综述。
肝癌靶向联合免疫治疗耐药后的二线治疗方案研究进展
张天奇, 曹钰哲, 左孟轩, 顾仰葵
2024, 40(2): 386-390. DOI: 10.12449/JCH240227
摘要(2736) HTML (692) PDF (552KB)(206)
摘要:
近年来,靶向和免疫单药及联合治疗晚期肝癌的临床研究为一线用药方案选择提供了丰富的疗效与安全性证据。然而,对于肝癌二线治疗方案的选择,目前各项临床指南尚无统一意见,原因在于现有循证医学证据局限于索拉非尼失败后的选择,而对于新的一线方案,如靶向免疫联合治疗肝癌耐药后的二线治疗方案,依然缺乏高证据等级的临床试验结论。本文回顾了目前临床试验研究结果,根据药物作用的不同机制,对靶向免疫一线治疗耐药后肝癌二线治疗方案的研究进行了归纳,并系统总结近年研究进展。对于一线靶免联合治疗耐药的肝癌患者,靶向联合治疗、免疫双抗治疗均有望提高疗效、改善生存,未来还需更多前瞻性临床研究数据,为靶免联合治疗耐药的肝癌患者提供有效、安全的治疗方案。
孟德尔随机化在肝癌研究中的应用
李凌巍, 秦俊杰, 贾云龙, 吕浩
2024, 40(2): 391-396. DOI: 10.12449/JCH240228
摘要(1763) HTML (1357) PDF (609KB)(187)
摘要:
近年来,基于全基因组关联研究的孟德尔随机化研究方法被广泛应用于医学领域的病因探索,以其遗传变异的分配随机性和时序优先性的独特优势,可以有效克服传统观察性研究中的混杂偏倚和反向因果的干扰。本文针对该方法及其在肝癌研究领域的应用进展作一综述,旨在为肝癌的因果关联研究提供新思路。
NOD样受体蛋白3(NLRP3)炎性小体在肝细胞癌发生发展中的作用
余学海, 陈本栋, 刘伊敏, 马勇新, 张旭升, 周红才, 马海燕
2024, 40(2): 397-401. DOI: 10.12449/JCH240229
摘要(2034) HTML (413) PDF (942KB)(90)
摘要:
近年来,关于NOD样受体蛋白3(NLRP3)炎性小体在肿瘤中的研究已成为热点话题,尤其是在黑色素瘤、结直肠癌、肺癌、乳腺癌等肿瘤中,越来越多的证据表明炎症在促进肿瘤的发生发展、血管生成和肿瘤侵袭中具有重要的作用。肝细胞癌(HCC)是原发性肝癌中最常见的类型,而关于NLRP3炎性小体在HCC发生发展中的作用仍争议不断。因此,本文就NLRP3炎性小体在HCC进展过程中的潜在影响以及在抗癌治疗中的作用机制作一综述,认为NLRP3炎性小体可以作为HCC患者的有效治疗靶点。
新型冠状病毒感染抗病毒药物引起肝损伤的发生机制
曾雪, 李福青, 李清清, 王红
2024, 40(2): 402-407. DOI: 10.12449/JCH240230
摘要(1262) HTML (510) PDF (669KB)(74)
摘要:
药物性肝损伤是药物使用过程中因药物本身和/或其代谢产物,或由于特殊体质对药物的超敏感性或耐受性降低所导致。在近三年抗击新型冠状病毒感染(COVID-19)的诊治过程中,抗病毒药物起到了非常重要的作用,但国内外关于抗COVID-19药物引起肝损伤的报道较多,且其导致肝损伤的发生机制尚未明确。本文对COVID-19抗病毒药物的种类及其引起肝损伤机制的相关研究进展作一综述,旨在促进抗病毒药物的合理使用。
良性肝功能异常的临床意义
韩旭, 李嘉, 熊清芳, 杨永峰
2024, 40(2): 408-412. DOI: 10.12449/JCH240231
摘要(1322) HTML (763) PDF (587KB)(240)
摘要:
肝生化指标检测是临床上判断肝功能的重要方法,但肝生化指标异常不完全等同于肝损伤。一些遗传、免疫因素也可引起肝生化指标异常,但预后大多良好。本文归纳了一些良性肝生化指标异常的原因及检测方法,以提醒临床医生拓宽诊治思路,考虑到遗传、免疫等因素,避免误诊误治。
线粒体自噬在肝脏相关疾病发生发展中的作用
潘萌, 史晓燕
2024, 40(2): 413-418. DOI: 10.12449/JCH240232
摘要(1788) HTML (1014) PDF (762KB)(104)
摘要:
线粒体自噬是细胞在营养缺乏或受到外界刺激时,通过对受损线粒体的特异性清除,来维持线粒体功能完整性和细胞稳态的选择性自噬。近年来,大量研究证明线粒体自噬功能失调与非酒精性脂肪性肝病、药物性肝损伤、病毒性肝炎和肝细胞癌等多种肝脏相关疾病的发生发展密切相关。本文通过对线粒体自噬调控肝脏相关疾病的具体机制进行总结,进一步阐述了线粒体自噬在肝脏相关疾病中的潜在治疗靶点,以期为肝病的临床治疗提供更为有效的策略。
去乙酰化酶Sirtuins家族与放射性肝病的关系
宗也凯, 刘江凯
2024, 40(2): 419-425. DOI: 10.12449/JCH240233
摘要(1106) HTML (354) PDF (693KB)(60)
摘要:
放射性肝病(RILD)或称放射性肝炎,是一种由辐射引起的亚急性肝损伤。去乙酰化酶家族Sirtuins(SIRTs)作为衰老相关研究的焦点具有DNA修复和染色质调节等分子功能,是基因组和表观基因组稳定性的枢纽。辐射诱导的肝脏DNA损伤和反应是RILD主要的生理病理过程,这与SIRTs表征的功能相似。本文简述了SIRTs蛋白家族的结构和功能,回顾了放射治疗的物理生理学基本概念及进展,主要从放射生物学角度分析了SIRTs与RILD二者的内在关系,指出SIRTs作为RILD防治靶点的可能性。
不可切除胰腺癌的分子靶向药物治疗进展
胡润, 李俊蒽, 姚沛, 桂仁捷, 段华新
2024, 40(2): 426-432. DOI: 10.12449/JCH240234
摘要(2326) HTML (1580) PDF (672KB)(191)
摘要:
胰腺癌作为消化系统最常见的恶性肿瘤之一,其发病率及死亡率正逐年上升,大多数胰腺癌患者因分期较晚而失去了手术机会。尽管以吉西他滨、氟尿嘧啶为主的化疗方案在一定程度上延长了患者的生存期,但仍有部分患者因无法耐受化疗而失去治疗机会。随着精准医疗时代的来临,分子靶向药物治疗展现出的优异疗效使其成为对抗肿瘤的重要治疗手段之一,但由于胰腺癌高度的异质性及复杂的免疫微环境,针对胰腺癌的分子靶向治疗并未取得显著效果,因此亟需探寻新的治疗靶点及药物攻克这一难题。本综述基于胰腺癌常见分子靶点及肿瘤免疫相关靶点探究在不可切除胰腺癌中分子靶向药物治疗研究的最新进展,为胰腺癌患者提供新的治疗策略。
国外期刊精品文章简介
Journal of Hepatology|代谢生物标志物显著增强了对HBV相关慢加急性肝衰竭
2024, 40(2): 257-257. DOI: 10.12449/JCH2402.gwqkjpwzjj1
摘要(548) HTML (211) PDF (1217KB)(60)
摘要:
Hepatology International|基于磁共振的临床-影像组学模型预测药物性肝损伤慢性化
2024, 40(2): 270-270. DOI: 10.12449/JCH2402.gwqkjpwzjj2
摘要(413) HTML (167) PDF (848KB)(56)
摘要:
Journal of Hepatology|硫唑嘌呤与吗替麦考酚酯诱导初治自身免疫性肝炎缓解的开放标签随机对照试验
2024, 40(2): 342-342. DOI: 10.12449/JCH2402.gwqkjpwzjj3
摘要(552) HTML (209) PDF (858KB)(46)
摘要:
读者·作者·编者
《临床肝胆病杂志》常见异形词
2024, 40(2): 291-291.
摘要(202) HTML (195) PDF (822KB)(30)
摘要:
《临床肝胆病杂志》推荐使用的规范医学名词术语
2024, 40(2): 318-318.
摘要(236) HTML (272) PDF (1175KB)(35)
摘要:
消息
《临床肝胆病杂志》2024年1~10期重点号选题及执行主编
2024, 40(2): 228-228.
摘要(204) HTML (140) PDF (831KB)(30)
摘要:
《临床肝胆病杂志》关于人工智能生成内容(AIGC)的立场声明
2024, 40(2): 251-251.
摘要(214) HTML (238) PDF (839KB)(30)
摘要:
致谢
本期审稿专家
2024, 40(2): 432-432. DOI: 10.12449/JCH2402.zhixie
摘要(327) HTML (144) PDF (1206KB)(45)
摘要: