显示方式:
2023, 39(11): 2549-2549.
摘要:
2023, 39(11): 2563-2563.
摘要:
2023, 39(11): 2634-2634.
摘要:
2023, 39(11): 2642-2642.
摘要:
2023, 39(11): 2656-2656.
摘要:


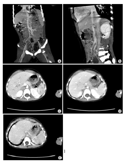
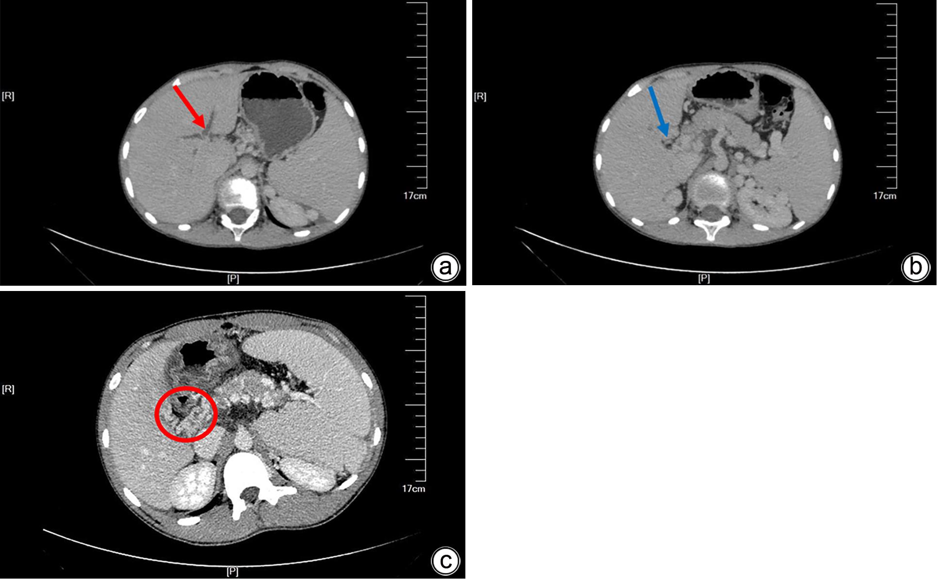
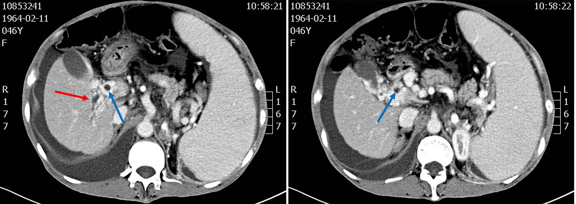
摘要
HTML
PDF (532KB)





