中文English
ISSN 1001-5256 (Print)
ISSN 2097-3497 (Online)
CN 22-1108/R

留言板

尊敬的读者、作者、审稿人, 关于本刊的投稿、审稿、编辑和出版的任何问题, 您可以本页添加留言。我们将尽快给您答复。谢谢您的支持!

姓名
邮箱
手机号码
标题
留言内容
验证码

第41卷 第9期(总299期) 2025年9月
“代谢相关脂肪性肝病新认识” 重点号
执行主编:黄炜燊(香港中文大学)
赵家军(山东第一医科大学附属省立医院)

显示方式:
述评
亚洲地区代谢相关脂肪性肝病流行情况
黄炜燊
2025, 41(9): 1721-1724. DOI: 10.12449/JCH250901
摘要(859) HTML (299) PDF (748KB)(194)
摘要:
代谢相关脂肪性肝病(MAFLD)作为全球常见慢性肝病,其全球患病率达30.1%,且呈持续上升趋势,其中拉丁美洲(44.4%)和亚洲地区的增长尤为显著,2010—2021年东亚地区增幅达16.6%。亚洲各地区之间MAFLD患病率亦存在明显地域差异:中国体检数据显示,肝脂肪变总体检出率为44.4%,其中华北地区(53.5%)显著高于华南地区(34.2%);而日本与伊朗的患病率分别为22.3%和38.1%。该疾病与代谢异常存在密切关联,全球范围内65%的糖尿病患者合并MAFLD(亚太地区为53.2%),超重亚洲人群(BMI≥23 kg/m²)MAFLD的患病率达47.7%~63.4%,但非肥胖人群中仍有19.2%患病率(印度高达47.7%)。新诊断标准基于肝脂肪变+代谢异常组合,对慢性乙型肝炎高发的亚洲地区具有特殊意义,二者共存可能加速肝癌进展。亚洲地区正面临非肥胖型MAFLD比例高、至2030年MAFLD相关肝硬化并发症及肝癌死亡率将翻倍等独特挑战,虽然当前指南已推荐FIB-4分步筛查策略,但仍需提升基层医疗执行力和公众健康认知,亟需制订符合亚洲人群特征的早期干预方案,以应对这一重大公共卫生危机。
代谢相关脂肪性肝病: 全身代谢性紊乱的核心枢纽之一
周蒙, 薄涛, 范修德, 赵家军
2025, 41(9): 1725-1728. DOI: 10.12449/JCH250902
摘要(961) HTML (198) PDF (633KB)(236)
摘要:
代谢相关脂肪性肝病(MAFLD)的全球患病率持续上升,且被认为是多种代谢相关疾病的重要危险因素。然而,目前临床仍主要采用单一病种的管理模式,对MAFLD在代谢共病防控中的核心作用及其系统性影响缺乏充分认识。本文综述了MAFLD作为全身代谢疾病网络的始动因素和关键节点的循证医学依据,重点阐述肝脏胰岛素抵抗、脂毒性损伤、炎症反应及肝源性激素紊乱等病理机制如何介导心血管疾病、慢性肾病、糖尿病等多器官代谢紊乱的发生发展。结合最新国内外指南和共识,提出多学科协作的综合管理策略,包括肝脏与血糖的联合干预和“心血管-肝脏-肾脏”跨器官干预模式,并倡导将临床治疗模式从传统的肝脏局部病变控制,转变为以肝脏为中心的全身代谢精准防控体系,旨在更有效地延缓MAFLD及其相关多系统并发症的进展。
专家论坛
代谢相关脂肪性肝病多器官损伤的病理机制
蒋丽娜, 赵景民
2025, 41(9): 1729-1736. DOI: 10.12449/JCH250903
摘要(742) HTML (208) PDF (735KB)(161)
摘要:
代谢相关脂肪性肝病(MAFLD)及其进展形式代谢相关脂肪性肝炎(MASH)已成为全球慢性肝病的重要类型,且与代谢综合征密切相关。肝脏-肝外相关器官/组织轴与肝内炎症的“溢出效应”在MAFLD/MASH的发生发展中起关键作用,并对多器官代谢稳态产生显著影响,导致包括心血管疾病、肌少症、慢性肾病、非酒精性脂肪性胰腺病、多囊卵巢综合征、肝细胞癌及多种相关实体瘤等肝外多器官损伤。MAFLD与肝癌及肝外恶性肿瘤的发生发展存在显著流行病学关联,相关肿瘤发生风险与持续的代谢紊乱、慢性低度炎症、肠道微生态失调等多因素相关。最新研究视角已从单纯肝脏病变扩展到全身代谢网络失调,强调肝脏与肝外器官的交互作用在疾病进展中的核心地位。本文重点探讨MAFLD/MASH的发病机制,并对相关肝外多器官损伤机制进行述评。
多组学技术在代谢相关脂肪性肝病中的潜在应用: 从分子机制到血清学标志物
刘珍妮, 龙琪琛, 胡敏
2025, 41(9): 1737-1743. DOI: 10.12449/JCH250904
摘要(598) HTML (201) PDF (699KB)(146)
摘要:
代谢相关脂肪性肝病(MAFLD),即原非酒精性脂肪性肝病(NAFLD),已成为全球范围内常见的慢性肝病。目前,临床诊断肝病的方法存在侵入性操作、敏感性不足、诊断准确性较低等局限,给MAFLD的早期识别和精准治疗带来挑战。近年来,多组学技术的快速发展为MAFLD的精准诊疗提供了新思路。基因组学、代谢组学与脂质组学、微生物组学及蛋白质组学技术不仅在MAFLD发病机制方面提供了新的见解,还为疾病的预测、诊断和分期鉴定出新型生物标志物。同时,基于多组学数据构建的诊断模型展现出良好的临床效能,为开发无创、精准的MAFLD诊断工具奠定重要基础,有望实现传统诊疗向精准医学的转变。尽管多组学标志物在MAFLD早期诊断中的临床应用价值已得到一定认可,但在临床转化方面仍面临检测标准化、个体异质性、成本效益等挑战。
“肝肾”共管: 代谢相关脂肪性肝病合并慢性肾病临床管理新曙光
范琼月, 孙旦芹, 戴春笋, 郑明华
2025, 41(9): 1744-1751. DOI: 10.12449/JCH250905
摘要(644) HTML (150) PDF (1023KB)(119)
摘要:
本文围绕代谢相关脂肪性肝病(MAFLD)与慢性肾病(CKD)的协同管理展开深入探讨。作为全球重大公共卫生问题,MAFLD与CKD在流行病学、发病机制及管理策略方面存在紧密关联,但临床实践中二者的多学科协同管理仍面临诸多挑战。本文系统阐述MAFLD与CKD的流行病学,归纳代谢异常、遗传易感性、活性代谢物等二者共同的危险因素,评述基于无创影像学、血清标志物、FIB-4评分、肝硬度值等方法的相互筛查策略及联合管理模式;同时,总结生活方式干预与新型药物(如胰高血糖素样肽-1受体激动剂、钠-葡萄糖协同运转蛋白2抑制剂)的应用进展,强调多学科协作对改善患者预后的重要性。由于MAFLD与CKD紧密关联,二者共同管理至关重要。因此,需构建多学科协作机制,实施精准筛查、综合治疗及长期监测的措施,以改善患者预后并降低并发症风险。最后,本文提出未来应进一步探索更多有效的联合治疗方案,拓展“肝肾”共管的临床选择。
指南与规范
α1-抗胰蛋白酶缺乏症诊疗指南(2025年版)
中华人民共和国国家卫生健康委员会
2025, 41(9): 1752-1755. DOI: 10.12449/JCH250906
摘要(568) HTML (259) PDF (734KB)(160)
摘要:
为进一步提高罕见病诊疗规范化水平,保障医疗质量安全,中华人民共和国国家卫生健康委员会组织对《第二批罕见病目录》中86个病种分别制定了诊疗指南,于2025年6月正式公开发布,其中包括阿拉杰里综合征、α1-抗胰蛋白酶缺乏症、先天性胆道闭锁、原发性胆汁性胆管炎、原发性硬化性胆管炎等5种罕见肝胆疾病。本文介绍了α1-抗胰蛋白酶缺乏症的病因、流行病学、临床表现、辅助检查、诊断与治疗意见,供临床参考。
阿拉杰里综合征诊疗指南(2025版)
中华人民共和国国家卫生健康委员会
2025, 41(9): 1756-1758. DOI: 10.12449/JCH250907
摘要(758) HTML (134) PDF (707KB)(149)
摘要:
为进一步提高罕见病诊疗规范化水平,保障医疗质量安全,中华人民共和国国家卫生健康委员会组织对《第二批罕见病目录》中86个病种分别制定了诊疗指南,于2025年6月正式公开发布,其中包括阿拉杰里综合征、α1-抗胰蛋白酶缺乏症、先天性胆道闭锁、原发性胆汁性胆管炎、原发性硬化性胆管炎等5种罕见肝胆疾病。本文介绍了阿拉杰里综合征的病因、流行病学、临床表现、辅助检查、诊断与治疗意见,供临床参考。
先天性胆道闭锁诊疗指南(2025版)
中华人民共和国国家卫生健康委员会
2025, 41(9): 1759-1761. DOI: 10.12449/JCH250908
摘要(834) HTML (236) PDF (755KB)(255)
摘要:
为进一步提高罕见病诊疗规范化水平,保障医疗质量安全,中华人民共和国国家卫生健康委员会组织对《第二批罕见病目录》中86个病种分别制定了诊疗指南,于2025年6月正式公开发布,其中包括阿拉杰里综合征、α1-抗胰蛋白酶缺乏症、先天性胆道闭锁、原发性胆汁性胆管炎、原发性硬化性胆管炎等5种罕见肝胆疾病。本文介绍了先天性胆道闭锁的病因、流行病学、临床表现、辅助检查、诊断与治疗意见,供临床参考。
《2025年国际专家小组共识声明: 肝硬化患者器官衰竭的定义》摘译
陈佳, 曹竹君, 谢青
2025, 41(9): 1762-1765. DOI: 10.12449/JCH250909
摘要(604) HTML (170) PDF (564KB)(117)
摘要:
慢加急性肝衰竭(ACLF)是一种在肝硬化基础上,由急性打击诱导的多器官衰竭综合征,其特征为高感染风险、系统性炎症、多器官衰竭及高病死率。然而,现有主流肝病学会提出的器官衰竭定义彼此间存在差异。为进一步针对肝硬化患者制定标准化的器官衰竭标准,以美国肝病学会、欧洲肝病学会、亚太肝病学会核心专家为领导的国际专家小组,采用德尔菲法对肝硬化器官衰竭诊断标准制定了新的共识,旨在为ACLF诊断、预后评估和临床试验提供基准。该共识对肝衰竭、感染与免疫障碍、脑衰竭、肾衰竭、循环衰竭、呼吸衰竭及胃肠功能衰竭进行了明确定义,首次系统整合肝硬化相关的器官衰竭标准,为ACLF的机制研究,临床管理的标准化,药物开发,以及移植的优先级评估提供了核心框架。同时,共识明确了未来需要验证的动态指标(如胆红素变化、淋巴细胞/中性粒细胞比值)及需要探索的新型生物标志物。本文对该共识的核心内容进行摘译。
《2025年国际妇产科联盟指南: 肝病与妊娠》摘译
周冠伦, 高诗婧, 金倩如, 韩国荣
2025, 41(9): 1766-1770. DOI: 10.12449/JCH250910
摘要(751) HTML (211) PDF (666KB)(139)
摘要:
罹患慢性肝病后妊娠的女性数量不断攀升,而妊娠特发性肝病影响着约3%的孕产妇,这两类疾病均可导致严重的母胎并发症甚至死亡。来自各大洲具有丰富妊娠期肝病管理经验的专家团队参与了本指南的制定工作。本版指南系统涵盖了最常见的妊娠特发性肝病及妊娠合并急慢性肝病,汇总了基于循证医学证据的临床指南及管理建议,旨在提高对该类人群的临床管理水平。
病毒性肝炎
非肝硬化背景的HBV相关慢加急性肝衰竭预后评分和相关临床指标的动态变化及其与临床结局的关系
王文玲, 徐曼曼, 武羽, 张家腾, 邹怀宾, 陈煜
2025, 41(9): 1771-1778. DOI: 10.12449/JCH250911
摘要(484) HTML (101) PDF (1904KB)(77)
摘要:
  目的  分析非肝硬化背景的HBV相关慢加急性肝衰竭(HBV-ACLF)患者的预后评分及关键临床指标的动态轨迹,阐明其与结局的关联性,为个体化预后评估提供新依据。  方法  前瞻性收集2016年1月—2023年12月就诊于首都医科大学附属北京佑安医院的154例非肝硬化背景的HBV-ACLF患者病程第1、3、7、14、21、28天的预后评分及关键生化指标,依据患者1年结局分为死亡或肝移植组(n=43)、肝硬化组(n=23)和非肝硬化组(n=88),分析不同结局患者相关指标的动态变化。符合正态分布的计量资料3组间比较采用单因素方差分析;非正态分布计量资料多组间比较采用Kruskal-Wallis H检验,两组间比较采用Wilcoxon秩和检验。计数资料组间比较采用χ2检验。计算各时间点指标的均值及其95%CI;通过线性插值法连接相邻时间点均值,构建组别特异的纵向趋势曲线;使用半透明带状区域可视化95%CI,透明度参数(α=0.2)用于优化多组重叠区间的视觉辨识度。为比较不同结局之间各项指标的纵向变化趋势差异,采用线性混合效应模型,通过似然比检验评估时间与组间的交互效应显著性,若交互作用显著,进一步使用基于估计边际均值的斜率对比进行组间两两比较。  结果  3组间比较,基线时腹水和Ⅲ~Ⅳ期肝性脑病发生率,MELD、MELD-Na、CLIF-C ACLF和COSSH-ACLF Ⅱ评分,以及TBil、INR、AFP、血钠、ALT、PCT水平均有显著差异(P值均<0.05)。动态轨迹分析表明,死亡或肝移植组的预后评分及总胆红素(TBil)、国际标准化比值(INR)处于高水平(TBil>400 μmol/L,INR>2.5),血小板(PLT)处于低水平(<100×10⁹/L);非肝硬化组指标呈快速改善趋势,28天恢复到TBil<200 μmol/L、INR<1.5、PLT>100×10⁹/L;肝硬化组尽管有恢复趋势,但28天时TBil>200 μmol/L、INR>2.0、PLT<100×10⁹/L,3组间上述指标时间趋势异质性显著(P值均<0.01)。  结论  动态监测预后评分和关键指标可显著区分非肝硬化HBV-ACLF患者的1年预后分层,预后差的患者多表现为INR>2.5、TBil>400 μmol/L;对于生存时间超过1年的患者,若进展为肝硬化,则常表现为在28天时INR>1.5、TBil>200 μmol/L且PLT<100×10⁹/L的特征。
盐酸可洛派韦和索磷布韦联合或不联合利巴韦林治疗慢性HCV感染者的效果和安全性分析
牟春燕, 许丹青, 木唤, 张江艳, 常丽仙, 何愿强, 张映媛, 李卫昆, 张秀灵, 何西亮, 彭琴, 刘立
2025, 41(9): 1779-1787. DOI: 10.12449/JCH250912
摘要(498) HTML (111) PDF (1348KB)(53)
摘要:
  目的  评估真实世界中以盐酸可洛派韦和索磷布韦为基础的治疗方案对慢性HCV感染者的治疗效果、影响因素及安全性。  方法  选取2021年9月—2024年5月在昆明市第三人民医院就诊的253例患者,其中丙型肝炎代偿期肝硬化患者86例(CLC组),慢性丙型肝炎患者167例(CHC组)。使用盐酸可洛派韦(60 mg)和索磷布韦(400 mg)联合或不联合利巴韦林片治疗12周,停药后随访12周。主要评估治疗结束后12周持续病毒学应答(SVR12)率和安全性,其次评估治疗4周、治疗12周、停药12周时肝功能、肾功能、血常规、肝硬度值(LSM)的变化。计量资料两组间比较采用成组t检验和Mann-Whitney U检验;多组间比较采用Friedman检验,组内两两比较采用Bonferroni法。计数资料两组间比较采用χ2检验。采用Logistic回归分析SVR的影响因素。  结果  253例慢性HCV感染者的平均年龄(49.38±8.65)岁,男151例(59.7%),33.99%(n=86)合并肝硬化,25.69%(n=65)合并高血压,10.67%(n=27)合并HIV,8.70%(n=22)合并糖尿病,3.95%(n=10)合并肝细胞癌,1.98%(n=5)合并慢性乙型肝炎,7.91%(n=20)为经治患者。基因型分布:1型2.77%(n=7)、2型12.65%(n=32)、3型66.01%(n=167)、6型16.60%(n=42)、基因型不详1.98%(n=5)。患者总体SVR12率为92.09%,CLC组SVR12率为93.02%,CHC组SVR12率为91.02%。多因素Logistic分析结果显示,年龄(OR=1.086,95%CI:1.007~1.170,P=0.032)、HCC(OR=9.178,95%CI:1.722~48.912,P=0.009)是SVR的独立影响因素。与基线相比,治疗12周后CLC组ALT(χ2=107.103)、AST(χ2=90.602)、LSM(χ2=42.235),CHC组TBil(χ2=15.113)、ALT(χ2=202.237)、AST(χ2=161.193)、LSM(χ2=37.606)水平均下降,差异均有统计学意义(P值均<0.05)。严重不良反应事件发生率为1.58%,均未停药,积极对症处理后缓解。全部不良事件的发生率为23.72%,乏力(17.39%)和恶心(2.37%)最常见,在2周内消失或对症处理后可逐渐缓解。  结论  盐酸可洛派韦和索磷布韦联合或不联合利巴韦林治疗慢性HCV感染有较好的效果和安全性。
脂肪性肝病
超声衍生脂肪分数、受控衰减参数及肝肾回声比值对代谢相关脂肪性肝病肝脂肪变性分级的诊断价值比较
曹新格, 张亚丽, 贾立镯, 陈江红, 董毅
2025, 41(9): 1788-1794. DOI: 10.12449/JCH250913
摘要(474) HTML (154) PDF (2103KB)(50)
摘要:
  目的  以磁共振成像质子密度脂肪分数(MRI-PDFF,简称PDFF)作为金标准,分析比较超声衍生脂肪分数(UDFF)、受控衰减参数(CAP)及肝肾回声比值(HRR)对代谢相关脂肪性肝病(MAFLD)肝脂肪变性的诊断准确性和分级能力。  方法  选取2023年1月—2024年12月于河北医科大学第一医院就诊的150例MAFLD患者,并招募健康志愿者148例。所有受试者均接受PDFF、UDFF、CAP及HRR检查,利用PDFF对肝脂肪变性进行分级(S0级:148例,S1级:92例,S2级:21例,S3级:37例),分析MAFLD不同级别肝脂肪变性患者UDFF、CAP、HRR的临床资料特征及差异。符合正态分布的计量资料多组间比较采用单因素方差分析,进一步两两比较采用Tukey HSD检验;不符合正态分布的计量资料多组间比较采用Kruskal-Waills H检验,进一步两两比较采用MannWhitney U检验。计数资料组间比较采用χ2检验。UDFF、CAP、HRR与PDFF在不同分级MAFLD中的相关性采用Spearman相关性分析;受试者操作特征曲线(ROC曲线)分析UDFF、CAP、HRR对MAFLD不同程度肝脂肪变性的诊断效能;Bland-Altman差值图分析UDFF和PDFF在MAFLD不同程度肝脂肪变性中的一致性。  结果  随着脂肪肝分级的增加,UDFF测量值逐渐增加(H=201.52,P<0.001)。Spearman相关性分析显示,在S1、S2、S3级MAFLD中,UDFF、CAP、HRR与PDFF两两之间均存在较强的相关性(P值均<0.001),且UDFF与PDFF之间的相关性最强(S1:r=0.884,S2:r=0.962,S3:r=0.929,P值均<0.001)。ROC曲线分析结果显示,在S1和S3的分级诊断中,UDFF的AUC均高于CAP和HRR(P值均<0.05),在S2级MAFLD诊断中,UDFF的AUC明显高于HRR(P<0.05),与CAP的AUC相近(P>0.05)。Bland-Altman差值图显示,UDFF与PDFF检查结果在不同程度MAFLD肝脂肪变性中具有良好的一致性。  结论  与CAP和HRR相比,UDFF能更加精确地定量检测肝脂肪含量,且在识别不同程度MAFLD肝脂肪变性中具有良好的效能。
非酒精性脂肪性肝病与抑郁症关系的系统评价及Meta分析
李淑娣, 曹帅兵, 巴明玉, 李素领, 段飞, 禄保平
2025, 41(9): 1795-1801. DOI: 10.12449/JCH250914
摘要(522) HTML (190) PDF (1414KB)(68)
摘要:
  目的  系统评价非酒精性脂肪性肝病(NAFLD)与抑郁症的关联性,为临床协同管理提供依据。  方法  本研究根据PRISMA指南完成,PROSPERO注册号:CRD42023482013。检索PubMed、Embase、Cochrane Library、Web of Science、中国知网、万方、维普、CBM数据库建库至2024年11月1日公开发表的NAFLD和抑郁症二者相关性的研究文献,根据纳入和排除标准筛选文献并提取数据。采用RevMan 5.3进行Meta分析。  结果  共纳入18项研究,涉及396 793例参与者。12项研究探讨NAFLD对抑郁症的影响,共涉及224 269例参与者,其中包含75 574例NAFLD患者。Meta分析显示,NAFLD显著增加抑郁症发生风险(OR=1.21,95%CI: 1.12~1.30,P<0.001)。6项研究分析抑郁症对NAFLD的影响,共涉及172 524例参与者,其中包含29 368例抑郁症患者。Meta分析显示,抑郁症导致NAFLD风险显著增加(OR=1.13,95%CI: 1.05~1.22,P=0.001)。  结论  NAFLD与抑郁症存在显著的双向关联。在初诊和随访时,建议对NAFLD患者行抑郁症筛查并加强心理健康监测;对抑郁症患者需重视代谢功能评估并实施运动干预。
生长激素促分泌素受体(GHSR)rs2922126基因多态性与非酒精性脂肪性肝病易感性的关系
韩雪, 王红程, 刘守胜, 辛永宁, 赵真真
2025, 41(9): 1802-1807. DOI: 10.12449/JCH250915
摘要(358) HTML (79) PDF (646KB)(32)
摘要:
  目的  研究生长激素促分泌素受体(GHSR)rs2922126位点基因多态性与青岛地区汉族人群非酒精性脂肪性肝病(NAFLD)遗传易感性,为疾病诊疗提供诊疗依据。  方法  纳入2022年6月—2023年6月就诊于青岛市市立医院的220例经影像学确诊的NAFLD患者为NAFLD组,纳入167例同期健康人群为对照组。采集受试者空腹血液样本,检测相关生化指标,并提取全血DNA,采用聚合酶链反应及MALDI-TOF质谱仪进行基因分型测定。计数资料两组间比较采用χ2检验,计量资料两组间比较采用成组t检验或Mann-Whitney U检验;采用二元Logistic回归模型分析患病风险的关系。  结果  NAFLD组受试者年龄、BMI、空腹血糖(FBG)、TG、GGT、ALP、ALT、AST水平均显著高于对照组,而HDL水平明显低于对照组(P值均<0.05)。GHSR rs2922126基因型分布符合哈迪-温伯格定律,证明纳入的受试者具有群体代表性(NAFLD组:P=0.106;对照组:P=0.849)。GHSR rs2922126位点共AA、TA、TT三种基因型,在对照组及NAFLD组之间分布无显著差异(P=0.099);两组的等位基因频率分布亦无统计学差异(P=0.063)。在A等位基因的隐性模型中,两组间AA纯合子与TA+TT基因型频率分布差异具有统计学意义(χ2=4.609,P=0.032),回归模型分析显示,AA纯合子携带者相对TA+TT基因型携带者NAFLD的发病风险增加(OR=1.712, 95%CI: 1.045~2.807,P=0.033),校正年龄、性别、BMI后差异仍具有统计学意义(OR=2.156, 95%CI: 1.221~3.808,P=0.008)。在NAFLD患者组中,AA基因型携带者血清TC水平高于TT+TA携带者(Z=-1.99,P=0.046)。  结论  在青岛地区汉族人群中,GHSR rs2922126 AA基因型可能与NAFLD风险增高有关,携带GHSR rs2922126 AA基因型与NAFLD患者TC水平升高有关。
自身免疫性肝病
自身免疫性肝炎相关失代偿期肝硬化再代偿的临床特征及预测因素分析
路小龙, 韩琳, 谢欢, 严立龙, 马雪梅, 刘冬艳, 李洵, 梁庆升, 邹正升, 古彩喆, 孙颖
2025, 41(9): 1808-1817. DOI: 10.12449/JCH250916
摘要(403) HTML (185) PDF (2222KB)(54)
摘要:
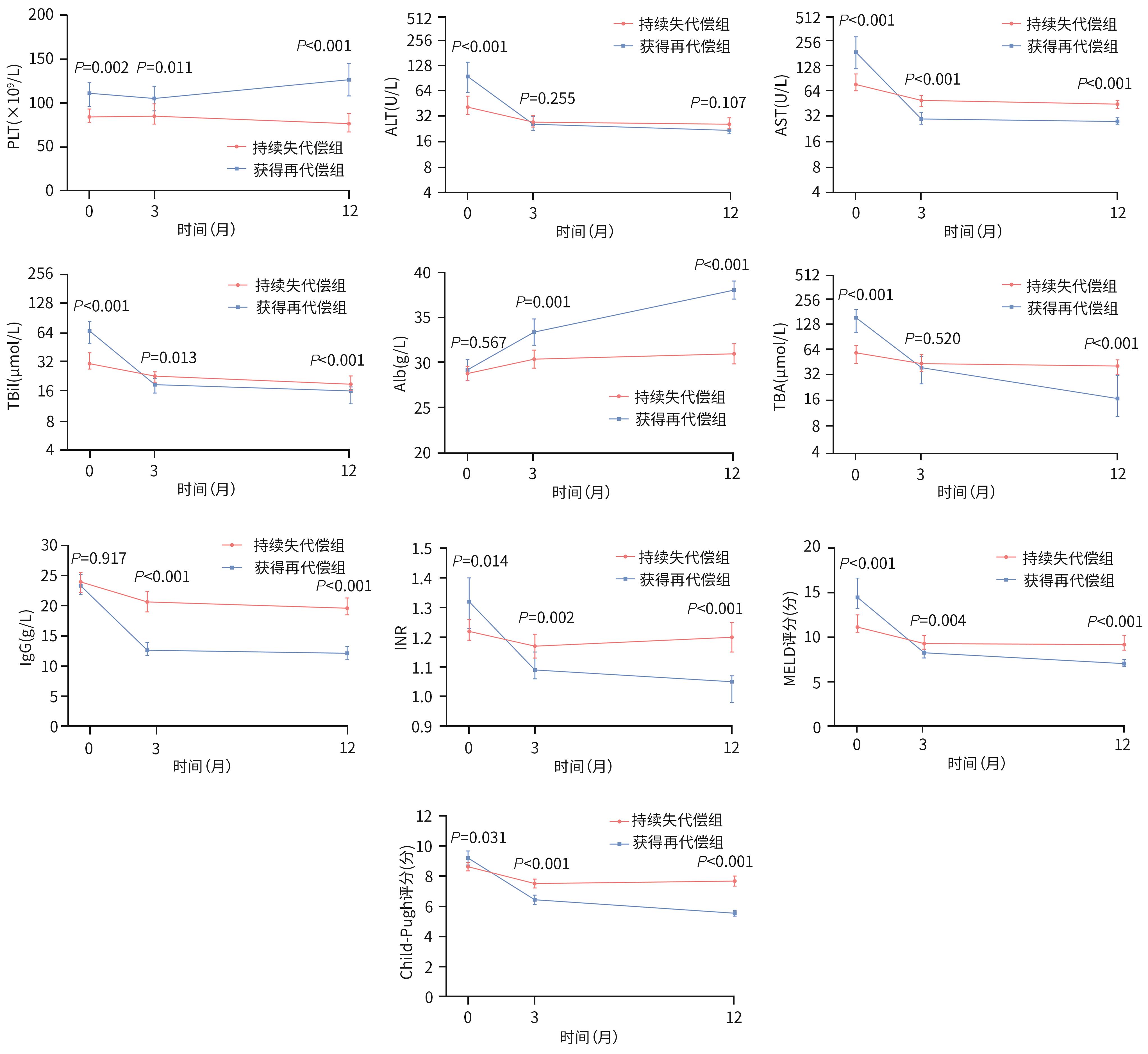
  目的  探讨自身免疫性肝炎(AIH)相关失代偿期肝硬化患者的再代偿临床特征及转归规律,明确其独立预测因素,并构建再代偿发生概率列线图预测模型。  方法  采用回顾性队列研究设计,纳入2015年1月—2023年8月中国人民解放军总医院第五医学中心肝病医学部收治的211例成人AIH相关失代偿期肝硬化患者。随访主要终点为再代偿实现,次要终点为肝病相关死亡或肝移植。根据随访结束时患者结局,分为获得再代偿组(n=61)和持续失代偿组(n=150)。符合正态分布及方差齐的计量资料组间比较采用成组t检验,非正态分布及方差不齐的计量资料组间比较采用Mann-Whitney U秩和检验;计数资料组间比较采用χ2检验或Fisher精确概率法;通过Kaplan-Meier法进行生存分析,应用Cox比例风险回归模型确定独立预测因素,构建列线图模型并进行验证。  结果  211例患者的中位年龄为55.0岁,女性占87.2%,中位随访时间44.0个月。累积再代偿率35.5%。获得再代偿组患者WBC、PLT、TBil、ALT、AST、TBA、PT、INR、SMA阳性率、MELD评分及Child-Pugh评分、激素使用率均显著高于持续失代偿组(P值均<0.05),基线年龄、并发症发生数量和死亡/肝移植率均显著少于持续失代偿组(P值均<0.05)。获得再代偿组治疗后3个月及12个月AST、TBil、INR、IgG、MELD评分与Child-Pugh评分持续改善,均显著低于持续失代偿组(P值均<0.05),而PLT、Alb水平持续上升,均显著高于持续失代偿组(P值均<0.05)。多因素Cox回归分析显示,基线ALT(HR=1.067,95%CI:1.010~1.127,P=0.021)、IgG(HR=0.463,95%CI:0.258~0.833,P=0.010)、SMA阳性(HR=3.122,95%CI:1.768~5.515,P<0.001)及应用激素治疗(HR=20.651,95%CI:8.744~48.770,P<0.001)是发生再代偿的独立预测因素,基于预测因素构建的列线图模型显示良好预测效能(C指数=0.87,95%CI:0.84~0.90)。  结论  AIH相关失代偿期肝硬化患者实现再代偿可显著改善预后,基线SMA阳性、ALT高水平、IgG低水平及接受激素治疗是实现再代偿的独立预测因素,由其构建的预测模型可为临床个体化治疗提供决策依据。
肝纤维化及肝硬化
Fried衰弱表型、肝脏衰弱指数和简易体能状况量表对肝硬化患者预后的预测价值比较
罗佳, 章岱, 单姗, 王晓明, 欧晓娟, 王宇, 贾继东
2025, 41(9): 1818-1828. DOI: 10.12449/JCH250917
摘要(498) HTML (115) PDF (2871KB)(74)
摘要:
  目的  探讨Fried衰弱表型(FFP)、肝脏衰弱指数(LFI)和简易体能状况量表(SPPB)对肝硬化患者2年全因死亡率及失代偿事件的预测价值。  方法  选取2020年12月—2021年12月首都医科大学附属北京友谊医院收治的277例肝硬化住院患者,采用FFP、LFI和SPPB评估患者衰弱状态,分为衰弱组和非衰弱组,比较3种工具的一致性及其对预后的独立预测效能。主要终点事件为2年全因死亡率和复合终点事件(死亡+失代偿),采用Cox回归、受试者操作特征曲线(ROC曲线)、净重新分类指数(NRI)和综合判别改善指数(IDI)分析3种工具的预测价值。符合正态分布的计量资料两组间比较采用成组t检验;不符合正态分布的计量资料两组间比较采用Mann-Whitney U检验;计数资料组间比较采用χ2检验或Fisher精确检验。不同衰弱工具间一致性比较采用Cohen’s Kappa检验。绘制Kaplan-Meier生存曲线,生存分析采用Log-rank检验。  结果  FFP、LFI和SPPB评估的衰弱患病率分别为37.2%、22.4%和20.2%,FFP与LFI、SPPB一致性中等(κ=0.57,95%CI:0.47~0.67;κ=0.51,95%CI:0.41~0.62),而LFI与SPPB一致性较高(κ=0.87,95%CI:0.80~0.94)。衰弱组全因死亡率及复合终点发生率均显著高于非衰弱组(P值均<0.001)。多因素校正后,FFP、LFI、SPPB预测全因死亡率的风险比(HR)分别为2.42(95%CI:1.51~5.11)、2.21(95%CI:1.11~4.42)和2.21(95%CI:1.14~4.30),预测复合终点的HR分别为2.51(95%CI:1.61~3.91)、2.40(95%CI:1.51~3.80)和2.20(95%CI:1.39~3.47)。FFP对全因死亡率的预测ROC曲线下面积(AUC)(0.79 vs 0.69,P=0.032)及复合终点的预测AUC(0.75 vs 0.68,P=0.044)均显著高于Child-Pugh评分。联合衰弱评估工具与Child-Pugh评分的结合可显著提升预测效能(全因死亡AUC为0.81~0.82,复合终点AUC为0.77~0.78,P值均<0.05)。NRI和IDI分析进一步证实了联合模型在分类上的改进(P值均<0.001)。  结论  FFP、LFI和SPPB均可独立预测肝硬化患者的不良结局,其中FFP的预测效能最佳,且与Child-Pugh评分联合使用可显著提高预后评估的准确性。
生物信息红外肝病治疗仪对肝硬化患者肝脏血供及肝纤维化的影响
邢枫, 徐列明, 赵长青
2025, 41(9): 1829-1836. DOI: 10.12449/JCH250918
摘要(330) HTML (128) PDF (772KB)(36)
摘要:
  目的  观察生物信息红外肝病治疗仪(BILT肝病治疗仪)对肝硬化患者肝脏门静脉血流及肝、脾硬度的影响,初步探讨BILT肝病治疗仪的疗效和机制。  方法  纳入2017年10月—2021年12月在上海中医药大学附属曙光医院门诊或住院的代偿期肝硬化患者78例,完成12周疗程者68例,随机分为肝病治疗仪组(治疗组)和模拟治疗仪组(对照组),每组34例。在基础治疗的同时,两组分别予以BILT肝病治疗仪或模拟治疗仪照射,2次/d,30 min/次,疗程12周。比较治疗前后肝功能、肾功能、血常规等实验室指标,肝、脾超声形态,多普勒彩色血流检测(肝门静脉直径、截面积、平均流速、最高流速、平均流量)及肝、脾硬度检测。符合正态分布的计量资料两组间比较采用成组t检验;非正态分布的计量资料两组间比较采用非参数Mann-Whitney U秩和检验;计数资料组间比较采用χ²检验。各组内治疗前后数据,先进行配对样本相关性检验,若显著相关,则采取配对样本t检验或非参数相关样本Wilcoxon符号秩检验。  结果  配对样本相关性检验显示,脾脏超声衰减参数治疗前后无相关性,提示FibroTouch 对于脾脂肪的检测结果不适用于统计分析。两组12周治疗前后差值的组间比较显示,治疗组12周后门静脉直径、截面积、平均流量的增加值及肝硬度值的降低值均明显优于对照组(P值均<0.05)。两组在0周治疗前和12周治疗后,BILT肝病治疗仪照射30 min的即刻效应比较显示,治疗组门静脉直径、截面积、平均流速、平均流量较照射前均明显增加(P值均<0.05),而对照组照射前后比较,差异均无统计学意义(P值均>0.05);两组间照射前后差值比较显示,除0周时门静脉最高流速外,治疗组治疗前后差值均大于对照组(P值均<0.05)。两组均无不良事件发生。  结论  BILT肝病治疗仪可改善肝硬化患者肝脏门静脉血流并减轻肝硬度/肝纤维化程度。
肝脏肿瘤
HBV相关早发性肝癌与迟发性肝癌的临床特征比较
刘送莲, 李波, 王亚萍, 陆霭琪, 李楚静, 林丽花, 宁琪凯, 林淦秋, 周佩, 关玉娟, 李剑萍
2025, 41(9): 1837-1844. DOI: 10.12449/JCH250919
摘要(387) HTML (136) PDF (948KB)(48)
摘要:
  目的  比较HBV相关早发性肝癌与迟发性肝癌患者临床特征,评估患者病情严重程度,为肝癌的早期诊断和治疗提供理论依据。  方法  回顾性纳入2019年1月—2023年8月于广州医科大学附属市八医院首次诊断为HBV感染相关肝癌患者695例,其中早发性肝癌93例(女性年龄<50岁、男性年龄<40岁),迟发性肝癌602例(女性年龄≥50岁、男性年龄≥40岁)。收集患者临床资料,包括人口统计学资料、首诊临床症状、合并疾病、吸烟史、饮酒史、家族史、血常规、肝生化指标、血清AFP、病毒学指标、凝血功能及影像学表现。计算泛炎症指标NLR(中性粒细胞与淋巴细胞比值)、PLR(血小板与淋巴细胞比值)和LMR(淋巴细胞与单核细胞比值),计算FIB-4指数、APRI、S指数、MELD、CTP评分、AIBL及巴塞罗那临床肝癌分期。符合正态分布的计量资料两组间比较采用成组t检验,非正态分布的计量资料两组间比较采用Wilcoxon秩和检验。计数资料两组间比较采用χ²检验或Fisher精确检验。  结果  2组间男性占比以及糖尿病、高血压、脂肪肝发生率比较,差异均有统计学意义(χ2值分别为6.357、15.230、11.467、14.204,P值均<0.05);早发性肝癌组在无肝硬化基础上进展为肝癌占比显著高于迟发性肝癌组(χ2=24.657,P<0.001);早发性肝癌组BCLC分期为晚期的占比高于迟发性肝癌组(χ2=6.172,P=0.046)。总人群肝癌患者最常见的临床症状为腹胀、腹痛、纳差、乏力、体质量下降、双下肢水肿、黄疸、尿黄、恶心等,有55例(7.9%)患者确诊时无明显症状,是通过常规复查或体检发现AFP水平升高或影像学提示肝占位而进一步检查发现肝癌,其中早发性肝癌组更容易出现腹胀、腹痛、黄疸等症状(P值均<0.05)。早发性肝癌组肿瘤直径明显大于迟发性肝癌组(Z=2.845,P=0.034);与迟发性肝癌组相比,早发性肝癌组肿瘤多发,且更易发生肝内、肝周及远处转移(χ2值分别为5.889、4.079,P值均<0.05);2组肿瘤位置分布及肿瘤大小分型比较,差异均有统计学意义(χ2值分别为3.948、11.317,P值均<0.05)。早发性肝癌组的FIB-4指数、HBsAg≤1 500 IU/mL患者占比、LMR和Cr水平均低于迟发性肝癌组(P值均<0.05),HBeAg阳性率、log10 HBV DNA及AFP、WBC、Hb、PLT、NLR、PLR、TBil、ALT、Alb、TC水平均明显高于迟发性肝癌组(P值均<0.05)。  结论  与迟发性肝癌相比,早发性肝癌患者多是在没有肝硬化基础上发展为肝癌,多发肿瘤灶,临床症状明显,BCLC分期晚,预示预后不佳。
磁共振成像胆道评分和肝肌比值对肝占位患者术前肝储备功能的评估价值
叶彦宏, 陆力坚
2025, 41(9): 1845-1852. DOI: 10.12449/JCH250920
摘要(330) HTML (107) PDF (2327KB)(43)
摘要:
  目的  本研究通过构建基于磁共振胆道相关参数和肝肌比的Nomogram预测模型,探讨该预测模型在肝占位患者术前肝储备功能评估中的应用价值。  方法  收集2022年4月—2024年4月在广西医科大学附属武鸣医院住院并拟行手术的112例肝占位患者的临床资料和钆塞酸二钠增强MRI的影像资料。根据肝损伤程度,将患者分为肝功能代偿良好组(Child-Pugh A级65例)、肝功能失代偿组(Child-Pugh B级42例,C级5例)。测量两组患者不同增强扫描时期的肝肌比、胆总管相对强化程度及胆道评分,并运用单因素和多因素Logistic回归分析筛选独立的预测因素,进而构建Nomogram模型。同时绘制受试者操作特征曲线(ROC曲线)、校正曲线、决策曲线,以评估模型的区分度、准确性和临床应用价值。计量资料符合正态分布的数据两组间比较采用成组t检验;符合偏态分布的数据两组间比较采用Mann-Whitney U检验。计数资料两组间比较采用χ2检验。  结果  两组间肝胆期5 min肝肌比(Z=-3.99)、肝胆期10 min肝肌比(Z=-4.39)、肝胆期15 min肝肌比(Z=-4.23)、肝胆期20 min肝肌比(Z=-5.40)、胆总管相对强化程度(Z=-4.85)及胆道评分(t=7.99)比较差异均有统计学意义(P值均<0.001)。多因素Logistic回归分析显示,肝胆期10 min肝肌比(OR=0.63,95%CI:0.44~0.90)、肝胆期20 min肝肌比(OR=0.38,95%CI:0.17~0.82)及胆道评分(OR=0.17,95%CI:0.07~0.39)是术前诊断肝功能失代偿的独立影响因素(P值均<0.05)。基于肝胆期10 min肝肌比、肝胆期20 min肝肌比及胆道评分建立的Nomogram模型术前诊断肝功能失代偿的ROC曲线下面积为0.905(95%CI:0.849~0.960),敏感度为78.7%,特异度为89.2%。  结论  基于肝胆期10 min肝肌比、肝胆期20 min肝肌比及胆道评分构建的列线图模型,在术前能有效评估拟接受手术治疗的肝占位患者的肝储备功能状态。
恩格列净联合多纳非尼或仑伐替尼在大鼠体内的药代动力学相互作用分析
李颖, 刘子涵, 杜文雨, 安静, 丁琮洋, 赵越, 任炳楠, 于泽芳, 李亚静, 董占军
2025, 41(9): 1853-1860. DOI: 10.12449/JCH250921
摘要(394) HTML (126) PDF (1792KB)(39)
摘要:
  目的  探究恩格列净与多纳非尼、仑伐替尼联合用药对各药物药代动力学(简称药动学)参数的影响,为临床联合用药提供参考。  方法  健康雄性SD大鼠48只,分为8组:恩格列净单用1组和2组、多纳非尼单用组、仑伐替尼单用组、多纳非尼预处理+恩格列净组、仑伐替尼预处理+恩格列净组、恩格列净预处理+多纳非尼组、恩格列净预处理+仑伐替尼组,每组6只。恩格列净给药剂量为2.5 mg/kg,多纳非尼给药剂量为40 mg/kg,仑伐替尼给药剂量为1.2 mg/kg。单用组连续7 d灌胃空白溶剂,第7天给予空白溶剂后分别给予单次恩格列净、单次多纳非尼和单次仑伐替尼;预处理组连续7 d灌胃给予预处理药物,第7天给予预处理药物后给予单次合用药物。于不同时间点采集血样,分离血浆测定各药物浓度。多纳非尼、仑伐替尼和恩格列净的血浆浓度采用经过验证的超高效液相色谱-串联质谱法测定,采用非房室模型计算药物的药动学参数[药-时曲线下面积(AUC)、达峰时间(Tmax)、峰浓度(Cmax)、消除半衰期(t1/2)]。正态分布的计量资料两组间比较采用成组t检验,非正态分布的计量资料两组间比较采用Mann-Whitney U检验。  结果  与恩格列净单用组相比,多纳非尼预处理+恩格列净组恩格列净的AUC0-t 和AUC0-∞均增加(P值分别为0.011、0.008);与恩格列净单用组相比,仑伐替尼预处理+恩格列净组恩格列净的AUC无显著变化,Tmax略有提前(P=0.019)。与多纳非尼单用组相比,恩格列净预处理+多纳非尼组多纳非尼的AUC0-t 和AUC0-∞均增加(P值分别为0.027、0.025),Cmax也显著增加(P=0.015),CLz/F和Vz/F显著降低(P值分别为0.005、0.004);与仑伐替尼单用组相比,恩格列净预处理+仑伐替尼组仑伐替尼的t1/2缩短约5 h(P=0.002),AUC0-t 呈降低趋势,但差异无统计学意义(P>0.05)。  结论  恩格列净与多纳非尼联合使用可影响彼此药动学参数,使两种药物暴露量明显增加,两药合用时应注意监测疗效与不良反应;而恩格列净与仑伐替尼联合使用时,两者暴露量均无明显改变。
其他肝病
微小RNA-544对脓毒症肝损伤小鼠模型的调控作用及其机制
官松美, 黄培悟, 龚小保, 林康强, 段世刚
2025, 41(9): 1861-1867. DOI: 10.12449/JCH250922
摘要(362) HTML (105) PDF (4734KB)(35)
摘要:
  目的  本研究旨在探讨微小RNA(miRNA)-544在脂多糖(LPS)诱导的脓毒症小鼠肝损伤中的作用及其潜在机制,为脓毒症肝损伤的治疗提供新靶点。  方法  选取40只C57BL/6J小鼠,随机分为对照组(腹腔注射生理盐水)、模型组(腹腔注射LPS,5 mg/kg)、激动剂组(腹腔注射LPS+miR-544抑制剂,5 mg/kg)和miR-544抑制剂组(腹腔注射LPS+miR-544激动剂,5 mg/kg),每组10只。采用全自动生化仪检测血清和肝组织中ALT、AST和TBil水平;Western Blot检测肝脏中单核细胞趋化蛋白1(MCP-1)、CD16/32以及NF-κB信号通路相关蛋白表达,实时定量聚合酶链式反应(qRT-PCR)和酶联免疫吸附测定法(ELISA)检测血清中TNF-α、IL-6、IL-1β的表达。计量资料多组间比较采用单因素方差分析,进一步两两比较采用LSD-t检验。  结果  与对照组相比,LPS诱导的脓毒症模型组小鼠血清和肝组织中miR-544表达水平显著降低(P值均<0.01),肝脏出现明显炎性细胞浸润、中央静脉充血等病理改变,肝损伤指标(ALT、AST、TBil)在血清和肝组织中均显著升高(P值均<0.001),炎性因子(MCP-1、CD16/32、TNF-α、IL-6、IL-1β)表达水平均显著升高(P值均<0.01),NF-κB通路关键蛋白(p-IKK、p-I-κB-α、p-p65)磷酸化水平均显著升高(P值均<0.01)。与模型组相比,miR-544抑制剂组血清和肝组织中miR-544表达水平均显著降低(P值均<0.01),肝脏病理学进一步加重,同时,肝损伤指标和炎性因子(ALT、AST、TBil、MCP-1、CD16/32、TNF-α、IL-6、IL-1β)水平均显著升高(P值均<0.05),NF-κB通路关键蛋白(p-IKK、p-IκB-α、p-p65)磷酸化水平均显著升高(P值均<0.01),而miR-544 激动剂组血清和肝组织中miR-544水平均显著升高(P值均<0.01),肝脏病理学显著减轻,肝损伤指标和炎性因子(ALT、AST、TBil、MCP-1、CD16/32、TNF-α、IL-6、IL-1β)水平均显著降低(P值均<0.05),NF-κB通路关键蛋白(p-IKK、p-I-κB-α、p-p65)磷酸化水平均显著降低(P值均<0.05)。  结论  miR-544可通过抑制炎症相关蛋白表达及NF-κB信号通路激活,减轻LPS诱导的脓毒症小鼠肝损伤。
胆道疾病
十二指肠乳头旁憩室对原发性胆总管结石患者胆汁微生态的影响
王梦莹, 侯洪涛, 桑伟
2025, 41(9): 1868-1876. DOI: 10.12449/JCH250923
摘要(309) HTML (123) PDF (2937KB)(32)
摘要:
  目的  探讨合并十二指肠乳头旁憩室(JPDD)的胆总管结石(CBD)及单纯胆总管结石患者的胆汁微生物特点。  方法  前瞻性纳入2024年1月—5月河北省人民医院消化内科收治的CBD患者30例,根据是否合并JPDD分为JPDD组(n=15)和CBD组(n=15)。在内镜逆行胆胰管造影术中收集胆汁,行16S rRNA微生物测序分析,比较两组微生物组成、多样性及代谢通路差异。符合正态分布的计量资料两组间比较采用成组t检验,非正态分布的计量资料两组间比较采用Mann-Whitney U秩和检验。计数资料两组间比较采用χ2检验或Fisher精确检验法。临床指标与微生物物种丰度间的相关性采用Pearson相关分析或Spearman秩相关分析。  结果  JPDD组结石最大直径[(10.87±3.42) mm vs (6.80±2.08) mm, t=3.94, P<0.01)和胆总管直径[(14.73±3.95) mm vs (9.67±2.64) mm, t=4.13, P<0.01)均大于CBD组。胆汁微生物分析发现,两组最常见的菌门均为变形菌门、拟杆菌门、厚壁菌门、放线菌门,JPDD组中变形菌门占主导地位。在属和种水平,JPDD组大肠埃希氏-志贺氏菌属、肠球菌属、大肠杆菌相对丰度更高。两组Alpha多样性相似,Beta多样性差异明显(Adonis检验,P<0.05)。LEfSe分析发现,两组存在25个差异菌种(LDA>2),JPDD组肠杆菌属、肠球菌科、克雷伯菌属等7个菌群富集;消化球菌科、罗斯拜瑞氏菌属、别样杆菌属等18个菌群在CBD组中富集明显(P<0.05)。相关性分析发现,JPDD组显著富集的肠球菌科、肠球菌属与胆总管直径及结石最大直径呈正相关(P值均<0.01);而表达下降的消化球菌科、不动杆菌属、别样杆菌属等与胆总管直径及结石最大直径呈负相关(P值均<0.05)。胆汁微生物代谢富集通路发现,两组在细胞生长和死亡、运输和分解、神经系统,以及缬氨酸、亮氨酸和异亮氨酸的生物合成,组氨酸代谢等10条代谢通路有统计学差异(P值均<0.05)。  结论  JPDD的存在会导致胆汁微生物群发生改变(如肠球菌属升高、罗斯拜瑞氏菌属下降),特定菌群及其代谢可能促进CBD的形成。
胰管支架对胆总管插管困难患者内镜逆行胰胆管造影术后胰腺炎的影响
王盟, 杨阳, 张红宇, 王晓, 尚佳, 李建生
2025, 41(9): 1877-1882. DOI: 10.12449/JCH250924
摘要(404) HTML (90) PDF (623KB)(37)
摘要:
  目的  通过观察术中置入胰管支架的胆总管插管困难患者内镜逆行胰胆管造影(ERCP)术后胰腺炎(PEP)发生率,了解胰管支架置入对PEP的防治效果,为临床治疗提供依据。  方法  回顾性分析2016年1月—2024年12月在郑州大学第一附属医院初次接受ERCP且术中胆总管插管困难的186例胆道疾病患者临床资料,根据胰管支架置入情况分为5Fr-5 cm支架组(n=67)、7Fr-5 cm支架组(n=46)以及未置入胰管支架的对照组(n=73)。比较3组患者基线资料、术中操作方式、术后情况。正态分布的计量资料多组间比较采用单因素方差分析,进一步两两比较采用LSD-t法;非正态分布的计量资料多组间比较采用Kruskal-Wallis H秩和检验,进一步两两比较采用Dunn法。计数资料组间比较采用χ2检验或Fisher精确概率法。采用Logistic回归分析困难插管患者PEP的影响因素。  结果  患者总PEP发生率为12.37%(23/186)。对照组PEP发生率、术后腹痛评分和术后住院时间均高于5Fr-5 cm支架组和7Fr-5 cm支架组(P值均<0.01),且对照组PEP以中-重型为主(55.56%)。单因素Logistic回归分析显示,憩室内乳头、双导丝插管、针刀预切开、胆总管网篮联合球囊取石、术中组织活检、置入胰管支架、插管时间≤10 min、插管次数≤5次、术前CRP≤5 mg/L是PEP的影响因素(P值均<0.05);多因素Logistic回归分析显示,术中胰管置入支架、针刀预切开和术中组织活检是PEP发生的独立影响因素(P值均<0.05)。  结论  ERCP术中置入胰管支架可有效降低困难插管患者PEP的发生风险,针刀预切开和术中组织活检会增加困难插管患者PEP的发生风险。
病例报告
原发性脾淋巴瘤误诊为干燥综合征合并肝硬化1例报告
李成成, 刘渝洪, 王路, 彭虹, 罗新华, 李宏
2025, 41(9): 1883-1887. DOI: 10.12449/JCH250925
摘要:
原发性脾淋巴瘤是一类罕见的恶性肿瘤,临床表现与干燥综合征、肝硬化存在一定的相似性,易导致误诊。本个案报道1例被误诊为干燥综合征合并肝硬化的原发性脾淋巴瘤患者,以加深对原发性脾淋巴瘤、干燥综合征及肝硬化的认识,以免误诊及延误治疗。
综述
中医药防治慢性肝炎“炎癌转化”的研究进展
余思邈, 王思慈, 郑浩呈, 孙永强, 景婧, 何婷婷, 王丽苹, 张傲哲, 王鑫, 丁霞, 王睿林
2025, 41(9): 1888-1895. DOI: 10.12449/JCH250926
摘要(668) HTML (213) PDF (1466KB)(93)
摘要:
原发性肝癌是消化道常见恶性肿瘤之一,慢性肝炎的“炎癌转化”是慢性肝炎向肝癌演进的核心病理过程。慢性肝炎患者因长期存在非可控性炎症反应,导致肝组织反复损伤与修复,逐步发展为肝纤维化、肝硬化,最终通过基因突变及微环境失衡等机制完成恶性转化。慢性肝炎“炎癌转化”是连接慢性肝炎与肝癌的关键环节,其动态演变涉及湿、热、虚、毒、瘀等多种病机因素。其中,湿热与正虚为慢性肝炎“炎癌转化”的始动因素,而瘀毒互结则是推动恶性转化的核心病理产物。中医药基于“治未病”理念,通过多靶点调控炎症、代谢及细胞异常增殖等机制,有效延缓甚至阻断慢性肝炎“炎癌转化”进程,为肝癌防治提供重要策略与研究方向。
抗线粒体抗体阴性原发性胆汁性胆管炎的无创诊断
周嘉, 周靖媛, 高沿航
2025, 41(9): 1896-1901. DOI: 10.12449/JCH250927
摘要(519) HTML (117) PDF (826KB)(68)
摘要:
原发性胆汁性胆管炎(PBC)是一种自身免疫性疾病,主要特征是肝内胆管的胆汁淤积。抗线粒体抗体(AMA)是目前诊断PBC的关键血清标志物,但仍有5%~10%的PBC患者血清中无法检测出AMA,可能需要依赖肝脏活组织检查确诊。对于AMA阴性的PBC患者,无创性诊断仍是一个挑战。本文回顾除AMA外其他特异性血清标志物的研究进展,总结这些血清标志物诊断AMA阴性PBC的优缺点,并分析未来有望成为AMA阴性PBC患者无创性诊断的新生物标志物类型,以期为发现敏感性更高的血清标志物提供新思路。
树突状细胞在自身免疫性肝病和自身免疫性胰腺炎中的作用
席文丰, 柏小寅, 杨爱明
2025, 41(9): 1902-1907. DOI: 10.12449/JCH250928
摘要:
树突状细胞(DC)作为免疫系统的关键调控细胞,在自身免疫性疾病的发病机制中发挥着重要作用。本文综述了DC在自身免疫性肝病(包括自身免疫性肝炎、原发性胆汁性胆管炎、原发性硬化性胆管炎)和自身免疫性胰腺炎中的作用机制与研究进展;通过总结DC在上述疾病中的功能及异质性,揭示其在免疫耐受失衡和慢性炎症中的关键作用。相关研究成果为深入解析DC在自身免疫性肝病和自身免疫性胰腺炎中的作用提供了重要依据,并为精准治疗策略的研发奠定了基础。
食管胃静脉曲张破裂出血行内镜下曲张静脉套扎术和内镜下组织胶注射术的血小板安全阈值: 共识与挑战
贾璐瑶, 聂玉强, 谢飚, 高洪波, 李踔, 黄春明
2025, 41(9): 1908-1912. DOI: 10.12449/JCH250929
摘要(592) HTML (141) PDF (606KB)(41)
摘要:
食管胃静脉曲张破裂出血是晚期肝硬化常见并发症和主要死亡原因,内镜下曲张静脉套扎术和内镜下组织胶注射术是常用治疗策略。血小板减少是肝硬化中最常见的血液学并发症之一,重度血小板减少患者有潜在出血的风险,可能影响临床医生及内镜医生治疗决策。本文总结了内镜下曲张静脉套扎术和内镜下组织胶注射术治疗食管胃静脉曲张在国内外指南建议中的演变及临床研究进展,为临床医生诊疗决策提供依据。
肠道菌群稳态在肝细胞癌发生发展中的作用及相关靶向干预策略
崔艳, 焦俊喆, 闫瑞娟, 闫曙光, 魏海梁, 常占杰, 张海博, 李京涛
2025, 41(9): 1913-1919. DOI: 10.12449/JCH250930
摘要(393) HTML (145) PDF (1037KB)(47)
摘要:
肝细胞癌(HCC)作为全球第六大常见恶性肿瘤,其隐匿性发病特征和高死亡率对人类健康构成严重威胁。本文综述肠道菌群(GM)稳态在HCC发生发展中的分子机制与干预策略,旨在为HCC的干预和治疗提供新思路。GM失调、肠渗漏、微生物相关分子模式、细菌易位及代谢产物等在HCC进展中发挥关键作用。GM失衡可能导致免疫逃逸,进而促进肿瘤细胞增殖和转移。本文详细论述GM与HCC的关系,深入分析GM在HCC发生发展中的作用机制,研究胆汁酸相关代谢产物、短链脂肪酸相关代谢产物及其他代谢产物在HCC中的作用,并探讨靶向GM治疗HCC的策略,包括益生菌、益生元、抗生素和Toll样受体4拮抗剂的使用及粪便微生物群移植等方法。本文强调,维护肠道屏障完整和GM稳态在HCC防治中具有重要意义,为开发新的诊疗策略提供方向。
肝细胞癌基因治疗:现状及挑战
窦慧敏, 王万祥
2025, 41(9): 1920-1924. DOI: 10.12449/JCH250931
摘要(444) HTML (214) PDF (643KB)(66)
摘要:
肝细胞癌(HCC)作为全球常见的恶性肿瘤之一,多数病例确诊时已处于晚期阶段,因此预后较差且生存率低。传统治疗方法效果有限,而基因治疗作为一种新兴的治疗策略展现出巨大的潜力,同时面临着诸多挑战。本文主要介绍HCC基因治疗领域的最新进展,并分析该领域未来发展中亟待解决的关键问题。基因治疗凭借靶向性强、作用机制多样及个性化治疗的优点,已成为当前HCC的研究热点。虽然基因治疗在HCC治疗中仍处于探索阶段,但目前已取得一些初步研究成果。根据相关文献报道,基因治疗联合化学治疗、免疫治疗等其他治疗方法可提升疗效,并降低部分单药治疗的副作用。随着技术的不断进步,基因治疗有望为HCC患者带来新的希望。
“二次打击”在酒精性肝病动物模型中的应用
刘萌思, 谢艳迪
2025, 41(9): 1925-1930. DOI: 10.12449/JCH250932
摘要(442) HTML (156) PDF (708KB)(47)
摘要:
酒精性肝病(ALD)严重威胁全球饮酒者的健康,构建合适的ALD动物模型是开展疾病相关研究的重要基础。由于啮齿动物与人类在生理和病理生理方面存在差异,单纯饲喂酒精难以诱导出与人类疾病表现高度吻合的模型,因此“二次打击”(即联合采用酒精与另一种肝损伤因素以诱导预期肝损伤状态)得到广泛应用。本文将“二次打击”中较为常用且有效的方案划分为特殊饮食、化学物质、基因工程等3大类,并进一步细分为高脂饮食、高铁饮食、四氯化碳、脂多糖和基因工程5个部分进行综述。这5类“二次打击”模型虽各有优劣,但已能较完整地覆盖ALD疾病谱。未来ALD动物模型的开发可更多聚焦于缩小动物与人类酒精性肝损伤的病理生理差异,以及模拟更为复杂的人类饮酒模式等方向。
三维肝细胞模型在药物性肝损伤中的应用
李子婷, 张珂, 赵锋, 马银玲
2025, 41(9): 1931-1936. DOI: 10.12449/JCH250933
摘要(425) HTML (82) PDF (691KB)(27)
摘要:
药物性肝损伤(DILI)是药物研发失败和已批准药物退出市场的主要原因,因此对准确预测肝毒性体外检测方法的需求日益迫切。然而,肝细胞的二维细胞培养体系由于无法准确模拟和重现体内肝细胞的真实环境及微生态系统,不适合长期服用药物的毒性研究。鉴于此,在药物开发和活性化合物安全性评价中,亟需具备更高预测性的肝脏模型来评估药物的肝毒性。本文综述了体外DILI肝细胞三维培养系统的构建和应用,为其在DILI分析中的有效实施提供参考。
线粒体动力学失衡在不同肝病中的作用
闵远骞, 李姗, 刘湘花, 杨艺, 禄保平
2025, 41(9): 1937-1942. DOI: 10.12449/JCH250934
摘要(377) HTML (116) PDF (1127KB)(32)
摘要:
线粒体在肝细胞中含量丰富,在肝脏正常运转过程中发挥着重要作用。线粒体分裂/融合是维持线粒体动态平衡的两个生物过程,其还与细胞功能变化及疾病发生发展有密切联系,平衡线粒体分裂/融合在多种疾病的治疗中具有关键意义。近年来研究发现,异常的线粒体分裂/融合在脂肪肝、肝炎、肝纤维化和肝癌4个肝病发展阶段中作用显著,以调控这种异常为基础的治疗靶点不断被发现。本文通过对线粒体分裂/融合在肝病进程中不同阶段作用的综述,进一步展示了慢性肝病中线粒体分裂/融合机制的作用,也为更多以线粒体分裂/融合为基础,治疗、缓解甚至逆转肝病发展的思路提供科学依据。
芳香烃受体在肝脏疾病中的作用及其机制
秦静, 贺志隆, 刘宇, 胡凯
2025, 41(9): 1943-1948. DOI: 10.12449/JCH250935
摘要(437) HTML (171) PDF (695KB)(37)
摘要:
芳香烃受体(AhR)在肝疾病的发生和发展中具有重要作用。本文阐述AhR的结构及其在肝脏发育中的功能,详细解析其在代谢相关脂肪性肝病、酒精性肝病、病毒性肝炎、药物性肝损伤、自身免疫性肝炎、肝硬化及肝癌等疾病中的分子机制,并回顾AhR激动剂和拮抗剂的研究进展,分析其在疾病治疗中的潜在应用前景;同时指出,AhR虽然是一个具有潜力的治疗靶点,但其临床应用仍面临诸多挑战,建议未来研究应聚焦于开发高特异性、低毒性的AhR调节剂,并进一步探索其在不同肝病中的作用机制。
核因子κB信号通路在肝脏疾病中的作用机制及潜在治疗靶点
冯雯倩, 杜洋, 毛德文, 陈玮钰, 付蕾, 颜璐怡, 姚春, 蓝艳梅
2025, 41(9): 1949-1955. DOI: 10.12449/JCH250936
摘要(444) HTML (247) PDF (1307KB)(40)
摘要:
核因子κB(NF-κB)是细胞内的重要转录因子,广泛参与免疫应答、炎症反应、细胞增殖和凋亡等过程。在多种肝脏疾病中,如慢性肝炎、肝纤维化、肝硬化、肝癌等,NF-κB信号通路的异常激活扮演了关键角色。大量研究表明,抑制NF-κB活性可能有效减少炎症和纤维化,改善代谢紊乱。多种天然药物(如苦参碱、丹酚酸B等)具有抑制NF-κB发挥抗炎、抗纤维化和抗肿瘤作用的潜力。本文探讨了NF-κB信号通路在多种肝脏疾病中的关键作用及作为治疗靶点的潜力,突出其作为肝脏疾病治疗靶点的潜能,为肝脏疾病治疗开辟新的方向。
能量代谢在肝缺血再灌注损伤中的作用机制及靶向治疗
杨天天, 黄璐, 张校, 任亚丽, 徐维田, 张松
2025, 41(9): 1956-1960. DOI: 10.12449/JCH250937
摘要(509) HTML (267) PDF (879KB)(34)
摘要:
肝缺血再灌注损伤(HIRI)是肝移植、肝部分切除术等手术过程中不可避免的主要并发症,其防治也是临床上的热点与难点问题。本文重点综述肝缺血再灌注过程中由能量代谢障碍引发损伤的机制及治疗策略,并总结当前与代谢相关的治疗进展,旨在为进一步阐明HIRI的发生机制、探索临床有效的HIRI防治策略提供新的思路。
消息
《临床肝胆病杂志》2026年1~2期重点号选题及执行主编
2025, 41(9): 1736-1736.
摘要(129) HTML (83) PDF (866KB)(24)
摘要:
《临床肝胆病杂志》2025年1~12期重点号选题及执行主编
2025, 41(9): 1761-1761.
摘要(126) HTML (117) PDF (1420KB)(22)
摘要:
《临床肝胆病杂志》入选“吉林省高校卓越科技期刊”
2025, 41(9): 1787-1787.
摘要(119) HTML (79) PDF (845KB)(12)
摘要:
《临床肝胆病杂志》入选“首届东北地区科技期刊助力学科建设与区域创新特色案例·精品案例”
2025, 41(9): 1876-1876.
摘要(115) HTML (96) PDF (854KB)(19)
摘要:
中国防治病毒性肝炎行动计划(2025—2030年)
2025, 41(9): 1895-1895.
摘要(187) HTML (196) PDF (1323KB)(40)
摘要:
致谢
本期审稿专家
2025, 41(9): 1765-1765. DOI: 10.12449/JCH2509.zhixie
摘要: