中文English
ISSN 1001-5256 (Print)
ISSN 2097-3497 (Online)
CN 22-1108/R

2022 No.12
Theme Issue: Diagnosis and treatment of pancreatic diseases
Executive Chief Editor: ZHANG Shutian 
Beijing Friendship Hospital,Capital Medical University

Display Method:
Editorial
Application of endoscopic ultrasound in the diagnosis and treatment of pancreatic diseases
Yuanzhen HAO, Rui CHENG, Shutian ZHANG
2022, 38(12): 2681-2686. DOI: 10.3969/j.issn.1001-5256.2022.12.001
Abstract(2352) HTML (1107) PDF (1978KB)(191)
Abstract:
In recent years, endoscopic ultrasound gradually plays a more and more important role in the diagnosis and rescue treatment of pancreatic diseases due to its accuracy in localization and minimally invasive operation. With the continuous development and improvement of various surgical procedures, the application of endoscopic ultrasound has also been expanded. This article briefly summarizes the development of endoscopic ultrasound and the main surgical procedures used at present.
Discussions by Experts
Advances in endoscopic retrograde cholangiopancreatography in diagnosis and treatment of pancreatic diseases in children
Xiaoping ZOU
2022, 38(12): 2687-2692. DOI: 10.3969/j.issn.1001-5256.2022.12.002
Abstract(2177) HTML (1149) PDF (2058KB)(112)
Abstract:
Pancreatic diseases in children mainly include chronic pancreatitis caused by congenital abnormal development and pancreatic duct rupture due to trauma. In recent years, endoscopic retrograde cholangiopancreatography (ERCP) has gradually become the most important method for the diagnosis and treatment of pancreatic diseases in children. With reference to the author's own experience, this article reviews the advances in the clinical application of ERCP and related techniques in the diagnosis and treatment of pancreatic diseases in children.
Minimally invasive surgical treatment of local complications of acute pancreatitis
Zhen FANG, Fei LI
2022, 38(12): 2693-2695. DOI: 10.3969/j.issn.1001-5256.2022.12.003
Abstract(2028) HTML (1175) PDF (1857KB)(116)
Abstract:
Acute pancreatitis (AP) is a common acute abdominal disease of the digestive system, with an increasing incidence rate in recent years. Pancreatic necrosis and its secondary complications are important causes of death in AP patients. With the continuous development of minimally invasive medicine, surgical treatment techniques for the local complications of AP are gradually perfected. The application of minimally invasive surgical techniques significantly reduces surgical trauma and improves patient outcomes. This article discusses the application of minimally invasive surgical treatment in the local complications of AP.
Function-preserving laparoscopic pancreatic surgery: A reasonable choice in pancreatic surgery
Chengqing LI, Lei WANG
2022, 38(12): 2696-2700. DOI: 10.3969/j.issn.1001-5256.2022.12.004
Abstract(2502) HTML (1473) PDF (1879KB)(154)
Abstract:
With the improvement of diagnostic techniques, the diagnostic rate of pancreatic tumors has increased significantly, with a tendency of an earlier age of onset. Since the pancreas is an important endocrine organ, the loss of pancreatic function will have a serious impact on the quality of life of patients. Therefore, function-preserving laparoscopic pancreatic surgery with little trauma is an ideal method for the treatment of benign and low-grade malignant pancreatic lesions and is also a direction for exploration in pancreatic surgery. Pancreatic tumor enucleation, duodenum-preserving pancreatic head resection, and spleen-preserving distal pancreatectomy are commonly used surgical procedures for preserving pancreatic function in clinical practice nowadays. This article introduces commonly used surgical procedures for function-preserving laparoscopic pancreatic surgery and provides some surgical skills to help choose a reasonable surgical procedure and make individualized decisions on pancreatic surgery for patients.
Guidelines
Expert consensus on liver transplantation perioperative evaluation and rehabilitation for acute-on-chronic liver failure
Transplantation Immunology Committee of Branch of Organ Transplantation Physician of Chinese Medical Doctor Association, Organ Transplant Rehabilitation Committee of China Association Rehabilitation Medicine, Branch of Organ Transplantation Physician of Guangdong Medical Doctor Association
2022, 38(12): 2701-2708. DOI: 10.3969/j.issn.1001-5256.2022.12.005
Abstract(2008) HTML (1126) PDF (1949KB)(122)
Abstract:
Acute-on-chronic liver failure (ACLF) can be cured by liver transplantation; however, perioperative complications still affect posttransplant outcomes. In recent years, early rehabilitation for critical illness, liver disease, and surgery have significantly improved organ reserve function, surgery tolerance, and postoperative quality of life. They could also be applied in the perioperative period of liver transplantation in patients with ACLF. Therefore, the Transplantation Immunology Committee of Branch of Organ Transplantation Physician of Chinese Medical Doctor Association, the Organ Transplant Rehabilitation Committee of China Association Rehabilitation Medicine, and the Branch of Organ Transplantation Physician of Guangdong Medical Doctor Association conducted a comprehensive review of rehabilitation in end-stage liver disease, critical illness and surgical patients by summarizing current evidence and best clinical practices and proposed a practice consensus on evaluation of cardiopulmonary and physical function, rehabilitation or physiotherapies, as well as the safety concerns in perioperative liver transplant recipients. It will be a valuable resource for hepatologists, transplant surgeons, and intensivists as they care for ACLF patients during transplantation.
Key points of AASLD practice guidance for the diagnosis and treatment of Wilson's disease (2022)
Wei ZHANG, Jian HUANG, Xiaojuan OU, Jidong JIA
2022, 38(12): 2709-2711. DOI: 10.3969/j.issn.1001-5256.2022.12.006
Abstract(2470) HTML (1578) PDF (2141KB)(197)
Abstract:
Recommendations for EASL Clinical Practice Guidelines on the management of cystic liver diseases (2022)
Hangying REN, Ke REN
2022, 38(12): 2712-2715. DOI: 10.3969/j.issn.1001-5256.2022.12.007
Abstract(2672) HTML (1920) PDF (3022KB)(392)
Abstract:
Original Articles_Viral Hepatitis
Influencing factors for low-level viremia and their dynamic changes in patients with chronic hepatitis B treated with nucleos(t)ide analogues for the first time
Qiqi CHENG, Lixia YANG, Tianpan CAI, Liang WANG, Jun SUN, Jiayuan LIANG, Liping LIU, Xia GAN, Ninghang RUAN, Shanfei GE
2022, 38(12): 2716-2722. DOI: 10.3969/j.issn.1001-5256.2022.12.008
Abstract(2434) HTML (1256) PDF (2326KB)(144)
Abstract:
  Objective  To investigate the influencing factors for low-level viremia (LLV) and their dynamic changes in chronic hepatitis B (CHB) patients treated with nucleos(t)ide analogues (NAs) for the first time.  Methods  A retrospective analysis was performed for 78 CHB patients who attended Department of Infectious Diseases, The First Affiliated Hospital of Nanchang University, from November 2020 to March 2022 and received antiviral therapy with NAs for at least 12 months, and according to HBV DNA level during treatment, they were divided into sustained virologic response (SVR) group with 58 patients and LLV group with 20 patients. The independent samples t-test or the Mann-Whitney U test was used for comparison of continuous data between two groups, and the chi-square test or the Fisher's exact test was used for comparison of categorical data between two groups. The multivariate Logistic regression analysis was used to investigate the independent influencing factors for LLV and establish a predictive model, and the receiver operating characteristic (ROC) curve was used to evaluate the predictive value of this model. The Kaplan-Meier method was used to analyze cumulative HBV DNA negative conversion rate, and the Log-rank test was used for comparison. The analysis of variance with repeated measures was used to analyze the differences in HBV DNA and HBsAg between the two groups or within each group at weeks 0, 12, 24, 36, and 48.  Results  Compare with the SVR group, the LLV group had significantly higher HBeAg positive rate (90.0% vs 48.3%, χ2=10.701, P=0.001), log(HBV DNA) value (7.26±1.46 vs 5.65±1.70, t=-4.178, P < 0.001), and log(HBsAg) value (4.53±0.86 vs 3.44±0.93, t=-4.813, P < 0.001) and significantly lower age [29 (26-34) vs 33 (30-43), Z=-2.751, P=0.009], alanine aminotransferase (ALT) [67.0 (54.0-122.0)U/L vs 111.0 (47.0-406.0)U/L, Z=-2.203, P=0.028], aspartate aminotransferase [43.5 (32.8-62.8) U/L vs 77.5 (35.0-213.0)U/L, Z=-2.466, P=0.014], and liver stiffness measurement [7.7 (6.3-8.5)kPa vs 8.9 (7.2-11.4)kPa, Z=-2.022, P=0.043]. The multivariate logistic regression analysis showed that baseline HBV DNA (odds ratio [OR]=2.365, 95% confidence interval [CI]: 1.220-4.587, P=0.011), HBsAg (OR=4.229, 95% CI: 1.098-16.287, P=0.036), and ALT (OR=0.965, 95% CI: 0.937-0.994, P=0.018) were independent influencing factors for LLV in CHB patients, and the predictive model of Logit(MLLV)=-8.668+1.441×lgHBsAg+0.598×lgHBV DNA-0.016×ALT was established based on these factors, which had a larger area under the ROC curve than HBV DNA, HBsAg, and ALT (0.931 vs 0.774/0.856/0.666), with a sensitivity of 85.00% and a specificity of 93.10% at the optimal cut-off value of 0.44. The CHB patients with baseline HBV DNA > 7.29 lgIU/mL or HBsAg > 4.38 lgIU/mL had a significantly lower DNA negative conversion rate than those with DNA ≤7.29 lgIU/mL or HBsAg ≤4.38 lgIU/mL (χ2=22.52 and 26.35, both P < 0.001). In the CHB patients, the highest reduction rates of HBV DNA and HBsAg were observed at weeks 12 and 24, respectively, and the LLV group had significantly higher levels of HBV DNA and HBsAg than the SVR group at weeks 0, 12, 24, 36, and 48 (HBV DNA: t=-4.084, -4.526, -5.688, -7.123, and -6.266, all P < 0.001; HBsAg: t=-4.652, -4.691, -4.952, -4.804, and -4.407, all P < 0.001).  Conclusion  For the CHB patients treated with NAs for the first time, those with high HBV DNA load, high HBsAg quantification, and low ALT level at baseline are more likely to develop LLV, and dynamic monitoring of these indices is of great significance to observe the onset of LLV.
Original Articles_Fatty Liver Diseases
Association of fat mass- and obesity-associated gene (FTO) polymorphisms with susceptibility to nonalcoholic fatty liver disease
Lei MA, Anhua HAO, Xinxin HU, Zhenzhen ZHAO, Lin ZHOU, Yongning XIN
2022, 38(12): 2723-2727. DOI: 10.3969/j.issn.1001-5256.2022.12.009
Abstract(2193) HTML (1157) PDF (1892KB)(102)
Abstract:
  Objective  To investigate the relationship between Fat Mass- and obesity-associated gene (FTO) polymorphisms and the susceptibility of non-alcohol-related fatty liver disease (NAFLD) in a Han population from Qingdao region of China.  Methods  A total of 119 NAFLD patients were recruited from Qingdao Municipal Hospital and Chengyang District People's Hospital and 187 control individuals who received annual physical examination were also included. Their clinicopathological information and study questionnaire were collected. Their fasting venous blood was extracted for biochemical analyses and FTO polymorphism genotyping using the polymerase chain reaction combined with DNA sequencing. The data were statistically assessed.  Results  The data showed statistically significant differences in age, BMI, ALT, GGT, TG and Bil between NAFLD patients and normal controls (all P < 0.05). FTO polymorphism genotyping data showed three genotypes of FTO rs1421085 (TT, CT, and CC), rs8050136 (TT, CT, and CC) and rs9939609 (TT, AT, AA). However, there was no statistical difference in both allele frequency and genotype of FTO rs1421085, rs9939609, and rs8050136 between NAFLD and controls (all P > 0.05) and there was also no statistical difference in clinical parameters among these genotype carriers (all P > 0.05).  Conclusion  NAFLD patients showed significantly statistical differences in age, BMI, ALT, GGT, TG, and BIL vs. those of normal controls. However, this study did not find any association of FTO rs1421085, rs9939609, and rs8050136 polymorphisms with NAFLD susceptibility in this Qingdao region of Han Chinese population.
Effects of Xuefu Zhuyu decoction and its extracts on a mouse model of nonalcoholic fatty liver disease induced by high-fat diet
Hao TANG, Yixiao YIN, Wei LIU, Yi FANG, Jun WANG, Yiyang HU, Jinghua PENG
2022, 38(12): 2728-2737. DOI: 10.3969/j.issn.1001-5256.2022.12.010
Abstract(2776) HTML (2019) PDF (4784KB)(122)
Abstract:
  Objective  To investigate the effect of Xuefu Zhuyu decoction on nonalcoholic fatty liver disease (NAFLD) and its material basis.  Methods  In experiment 1 for exploring the effect of Xuefu Zhuyu decoction on mice with NAFLD induced by high-fat diet, 50 healthy male C57BL/6J mice were randomly divided into normal group, model group, high- and low-dose Xuefu Zhuyu decoction groups, and obeticholic acid control group, with 10 mice in each group. The mice in the normal group were given control diet, and those in the other groups were given high-fat diet. Gastric administration was started at week 13, and related samples were collected at the end of week 16. Food intake and body weight were recorded, enzyme-linked immunosorbent assay was used to measure the serum level of fasting insulin, fasting blood glucose was measured, and insulin resistance index was calculated. HE staining and NAFLD activity score (NAS) were used to observe liver histopathology in mice, oil red O staining was used to observe lipid deposition, and triglyceride (TG) level in liver tissue and serum alanine aminotransferase (ALT) level were measured. In experiment 2 for exploring the effect of different extracts of Xuefu Zhuyu decoction on mice with NAFLD induced by high-fat diet, the methods of water decocting, water extraction and alcohol precipitation, and petroleum ether extraction were used to obtain the extracts 1, 2, and 3 of Xuefu Zhuyu decoction, and 54 healthy male C57BL/6J mice were randomly divided into normal group, model group, Xuefu Zhuyu decoction extract 1, 2, and 3 groups, and Xuefu Zhuyu decoction control group, with 9 mice in each group. The mice in the normal group were given control diet, and those in the other groups were given high-fat diet. Gastric administration was started at week 13, and related samples were collected at the end of week 16. Food intake and body weight were recorded, and enzyme-linked immunosorbent assay was used to measure the serum level of fasting insulin, fasting blood glucose was measured, and insulin resistance index was calculated. HE and NAS were used to observe liver histopathology in mice, oil red O staining was used to observe lipid deposition, and the levels of TG and gamma-glutamyl transpeptidase (GGT) in liver tissue and the serum level of ALT were measured. The t-test was used for comparison of normally distributed continuous data between two groups; a one-way analysis of variance was used for comparison between multiple groups, and the least significant difference t-test was used for further comparison between two groups. The Kruskal-Wallis H test was used for comparison of non-normally distributed continuous data between multiple groups and further comparison between two groups.  Results  In experiment 1, compared with the model group, the high- and low-dose Xuefu Zhuyu decoction groups and the obeticholic acid control group had significant reductions in body weight, insulin resistance index, the distribution of vacuolar lipid droplets in liver tissue, intralobular inflammation, the ballooning degeneration of hepatocytes, NAS score, the level of TG in liver tissue, and the serum level of ALT (all P < 0.05). Compared with obeticholic acid, high- and low-dose Xuefu Zhuyu decoction had a significantly better effect in reducing body weight, insulin resistance index, and total NAS score (all P < 0.05), and low-dose Xuefu Zhuyu decoction had a significantly better effect in improving serum ALT (P < 0.05). In experiment 2, compared with the model group, the Xuefu Zhuyu decoction extract 1, 2, and 3 groups had significant reductions in fasting blood glucose, insulin resistance index, the distribution of lipid droplets in liver tissue, intralobular inflammation lesions, the ballooning degeneration of hepatocytes, total NAS score, and the level of TG in the liver (all P < 0.05). Compared with the model group, the extract 1 group had a significant reduction in body weight (P < 0.05); the extract 2 and 3 groups had a significant reduction in the serum level of ALT (P < 0.05); the extract 2 group had a significant reduction in the level of GGT in liver tissue (P < 0.05). The extract 2 of Xuefu Zhuyu decoction had the closest effect to compound Xuefu Zhuyu decoction.  Conclusion  Xuefu Zhuyu decoction and its extracts can help to achieve varying degrees of improvement in NAFLD induced by high-fat diet in mice, and the extract 2 of Xuefu Zhuyu decoction might be the main material basis for Xuefu Zhuyu decoction.
Original Articles_Autoimmune Liver Diseases
Occult HBV infection in autoimmune hepatitis and its influence on disease progression
Xinxin CHEN, Haiping ZHANG, Chunyang HUANG, Jianrong SU, Huiping YAN
2022, 38(12): 2738-2743. DOI: 10.3969/j.issn.1001-5256.2022.12.011
Abstract(2490) HTML (1218) PDF (2424KB)(139)
Abstract:
  Objective  To investigate the prevalence rate of occult HBV infection (OBI) in patients with autoimmune hepatitis (AIH) and the influence of OBI in the clinical condition and prognosis of AIH patients.  Methods  A total of 103 patients with a confirmed diagnosis of AIH who were admitted to Beijing YouAn Hospital from April 2012 to March 2019 were enrolled. Nested PCR and real-time PCR were used to confirm the diagnosis of OBI, and real-time PCR was used to measure HBV pgRNA. Clinical features, laboratory markers, and follow-up analysis of prognosis were compared between the OBI group with 24 patients and the non-OBI group with 79 patients. The independent samples t-test was used for comparison of normally distributed continuous data between two groups, and the Mann-Whitney U rank sum test was used for comparison of non-normally distributed continuous data between two groups; the chi-square test or the Fisher's exact test was used for comparison of categorical data between groups. The Kaplan-Meier method was used to plot survival curves, and the Cox regression model was used to perform univariate and multivariate analyses. Hazard ratio and its 95% confidence interval were calculated.  Results  The detection rate of OBI was 23.30% (24/103) in AIH patients, with an HBV DNA viral load of < 200 IU/mL, among whom 9 patients with OBI (9/24, 37.50%) were found to have HBV pgRNA in serum. Compared with the non-OBI group, the OBI group had a significantly higher positive rate of the three antibodies anti-HBs, anti-HBc, and anti-HBe (χ2=5.906, P=0.016). The univariate analysis showed that OBI, hypoproteinemia, splenomegaly, and ascites were risk factors for adverse events in AIH (all P < 0.05) and were associated with disease progression, and the multivariate Cox regression analysis showed that hypoproteinemia and ascites were independent risk factors for adverse events (all P < 0.05).  Conclusion  There is a relatively high detection rate of OBI in AIH patients, and the presence of OBI may accelerate the progression of AIH.
Liver histopathology and clinical features of autoimmune hepatitis with different antibody statuses
Yuanjiao GAO, Yanjie LIN, Liu YANG, Xiaoyue BI, Wen DENG, Tingting JIANG, Fangfang SUN, Yao LU, Lu ZHANG, Minghui LI, Yao XIE
2022, 38(12): 2744-2749. DOI: 10.3969/j.issn.1001-5256.2022.12.012
Abstract(2270) HTML (1166) PDF (1908KB)(132)
Abstract:
  Objective  To compare clinical and pathological features between autoimmune hepatitis (AIH) patients with positive and negative autoantibodies, and to summarize the experience in diagnosis.  Methods  A retrospective analysis was performed for the patients who attended Beijing Ditan Hospital from January 2010 to August 2021 and were diagnosed with AIH by liver histopathology, and according to the presence or absence of autoantibodies, they were divided into positive autoantibody group and negative autoantibody group. The two groups were compared in terms of biochemical parameters, immunological features, histopathological features, disease stage, and clinical symptoms and signs. The t-test or the Mann-Whitney U test was used for comparison of continuous data between groups, and the chi-square test or the Fisher's exact test was used for comparison of categorical data.  Results  A total of 110 patients were enrolled, among whom 78 (71%) had positive autoantibodies and 32 (29%) had negative autoantibodies. Anti-nuclear antibody (ANA), anti-mitochondrial antibody (AMA), and anti-smooth muscle antibody (ASMA) were the main autoantibodies detected, and of all 110 patients, 74 (67.27%) had positive ANA, 1 (0.91%) had positive AMA, 5 (4.55%) had positive ASMA, and 14 (12.73%) had positive anti-Ro-52 antibody. As for clinical and immunological features, compared with the positive autoantibody group, the negative autoantibody group had significantly lower incidence rates of jaundice of the skin and sclera (21.90% vs 50.00%, χ2=7.377, P=0.007) and poor appetite (18.80% vs 41.00%, χ2=4.979, P=0.026) and significantly lower median levels of direct bilirubin [7.30(4.05~12.10) μmol/L vs 16.80(6.48~69.75) μmol/L, Z=-2.304, P=0.021], IgG [16.40(13.15~18.05) g/L vs 20.30(16.00~27.15) g/L, Z=-2.715, P=0.007], and GLo [30.60(26.00~34.90) g/L vs 37.30(30.50~42.50) g/L, Z=-3.356, P=0.001]. In terms of liver histopathology, compared with the negative autoantibody group, the positive autoantibody group had a significantly higher proportion of patients with lymphocyte infiltration (91.03% vs 68.75%, χ2=6.997, P=0.008) and plasma cell infiltration (82.05% vs 50.00%, χ2=11.572, P=0.001); compared with the ANA-negative patients, the ANA-positive patients had significantly higher inflammation grade (G1-G4) (9.46%/16.22%/44.59%/29.73% vs 5.56%/27.78%/63.89%/2.78%, Z=-2.179, P=0.029) and fibrosis degree (S1-S4) (37.84%/25.68%/32.43%/4.05% vs 13.89%/41.67%/30.56%/13.89%, Z=-0.082, P=0.037).  Conclusion  Compared with AIH patients with positive autoantibodies, AIH patients with negative autoantibodies are mostly in the early stage of the disease and tend to have a low level of IgG, with a relatively high rate of missed diagnosis in clinical practice. Early and active liver biopsy is of particular importance.
Original Articles_Liver Fibrosis and Liver Cirrhosis
Value of von Willebrand factor antigen-to-albumin ratio and glycocalicin index in predicting esophageal varices in hepatitis B cirrhosis
Caijun HAN, Yuan HUANG, Bin NIAN, Meihua PIAO
2022, 38(12): 2750-2754. DOI: 10.3969/j.issn.1001-5256.2022.12.013
Abstract(1936) HTML (1179) PDF (2647KB)(82)
Abstract:
  Objective  To investigate the clinical value of von Willebrand factor antigen-to-albumin ratio (VAR) score and glycocalicin index (GCI) score in predicting the development and classification of esophageal varices in comparison with von Willebrand factor antigen-to-platelet ratio (VITRO) score.  Methods  A retrospective analysis was performed for 146 patients with hepatitis B cirrhosis who were hospitalized from April 2020 to December 2021, and esophageal varices (EV) was diagnosed and graded with the results of gastroscopy as the standard. VITRO, VAR, and GCI were calculated, and their association with EV was analyzed. The t-test was used for comparison of normally distributed continuous data between two groups, and a one-way analysis of variance was used for comparison between multiple groups; the Mann-Whitney U test was used for comparison of non-normally distributed continuous data between two groups. The chi-square test was used for comparison of categorical data between groups. A logistic regression model analysis was used to identify the predictive factors for EV, and the receiver operating characteristic (ROC) curve was used to evaluate the diagnostic accuracy of each index.  Results  Gastroscopy showed 54 patients without EV, 30 with mild EV, 33 with moderate EV, and 29 with severe EV. The patients with EV had significantly higher VAR and GCI scores than those without EV (t=-5.819 and -3.449, both P < 0.001). The linear regression analysis showed that VAR and GCI increased with the increase in EV grade (P=0.002 and 0.005). The multivariate logistic regression analysis showed that VAR (odds ratio [OR]=1.46, 95% confidence interval [CI]: 1.21-1.75, P < 0.001) and GCI (OR=1.84, 95%CI: 1.22-2.77, P=0.003) were independently associated with EV. VITRO score had an area under the ROC curve (AUC) of 0.718 in diagnosing EV and 0.863 in diagnosing severe EV, with the optimal cut-off values of 2.77 and 5.37, respectively. VAR and GCI had an AUC of 0.745 and 0.710, respectively, in diagnosing EV, with the optimal cut-off values of 8.88 and 1.70, respectively; VAR and GCI had an AUC of 0.755 and 0.787, respectively, in diagnosing severe EV, with the optimal cut-off values of 9.81 and 2.00, respectively. VAR combined with GCI had significantly better efficacy than VITRO in diagnosing EV (P=0.009), with an AUC of 0.808, a sensitivity of 55.43%, and a specificity of 94.44%; VAR combined with GCI had an AUC of 0.869 in diagnosing severe EV, which was similar to VITRO (P=0.421).  Conclusion  VAR and GCI scores are potential noninvasive markers for the prediction and risk stratification of EV in patients with hepatitis B cirrhosis.
Original Articles_Liver Neoplasms
Efficacy and safety of transarterial chemoembolization combined with camrelizumab and apatinib in treatment of advanced hepatocellular carcinoma
Yihan YANG, Wanci LI, Binyan ZHONG, Jian SHEN, Xiaoli ZHU
2022, 38(12): 2755-2760. DOI: 10.3969/j.issn.1001-5256.2022.12.014
Abstract(2586) HTML (1219) PDF (2481KB)(114)
Abstract:
  Objective  To investigate the efficacy and safety of transarterial chemoembolization (TACE) combined with camrelizumab and apatinib in the treatment of advanced hepatocellular carcinoma (HCC).  Methods  From July 2019 to June 2021, 19 patients with advanced HCC who met the inclusion and exclusion criteria in the First Affiliated Hospital of Soochow University were enrolled in this study. All patients received TACE combined with camrelizumab and apatinib. Tumor response was assessed according to Modified Response Evaluation Criteria in Solid Tumors (mRECIST), and adverse events were assessed according to Common Terminology Criteria for Adverse Events (v5.0). The Kaplan-Meier method was used to analyze progression-free survival and overall survival and calculate 95% confidence interval (CI).  Results  The median follow-up time was 14.0 months for the 19 patients. As of the last follow-up based on mRECIST, 7 patients (7/19, 36.8%) achieved complete response, 9 (9/19, 47.4%) achieved partial response, and 2 (2/19, 10.5%) achieved stable disease. During follow-up, overall objective response rate and overall disease control rate reached 84.2% and 94.7%, respectively; the median duration of response reached 8.0 (3.4-13.0) months, and median progression-free survival reached 9.5 (95%CI: 4.7-14.3) months; the 6-month survival rate reached 100%, and the 12-month survival rate reached 78.9%. Among the 19 patients, 7 (36.8%) experienced serious adverse events. The most common adverse events of all grades included post-embolization syndrome after TACE (17/19, 89.5%), liver injury (14/19, 73.7%), hematologic toxicity (8/19, 42.1%), and proteinuria (8/19, 42.1%).  Conclusion  TACE combined with camrelizumab and apatinib has marked efficacy and controllable adverse events in the treatment of advanced HCC, which provides a potential new option for the first-line treatment of advanced HCC.
Effectiveness and safety of programmed cell death-1 inhibitor in the treatment of advanced non-HBV non-HCV-related hepatocellular carcinoma
Haonan LIU, Yuqin WANG, Meng WU, Tong LU, Yang ZHAO, Zhengxiang HAN
2022, 38(12): 2761-2766. DOI: 10.3969/j.issn.1001-5256.2022.12.015
Abstract(2265) HTML (1117) PDF (1945KB)(87)
Abstract:
  Objective  To investigate the clinical effectiveness and adverse events of domestic programmed cell death -1 (PD-1) inhibitor in the treatment of advanced non-HBV non-HCV-related hepatocellular carcinoma (NBNC-HCC).  Methods  A totals of 31 patients with advanced NBNC-HCC who received domestic PD-1 inhibitor in the Affiliated Hospital of Xuzhou Medical University from June 2019 to February 2022 were retrospectively enrolled and their clinicopathological data were retrieved from their medical records and analyzed, i.e., the time to disease progression (TTP), disease control rate (DCR), objective response rate (ORR), and adverse events were recorded and statistically analyzed. The Kaplan-Meier method was used for survival analysis.  Results  Among these 31 patients, only one achieved the complete response and four achieved the partial response, and six had the stable disease, but 20 showed a disease progression, resulting in an ORR of 16.1% and a (DCR of 35.5%. The median TTP was 7.2 months [95% confidence interval: 6.4-8.0) months]. The incidence of adverse events was 61.30% and the common adverse events were skin rash (29.03%) and hypertension (22.58%). However, there was no grade 4 adverse reactions or related death in these patients.  Conclusion  Advanced NBNC-HCC patients had a relative weak response to the PD-1 inhibitor although the adverse events were controllable. Future multi-center prospective clinical trials are needed to validate the data.
Original Articles_Pancreatic Diseases
Clinical effect of fecal microbiota transplantation versus the traditional Chinese medicine Rheum officinale in a rat model of hyperlipidemic acute pancreatitis
Xujuan LUO, Xue BAI, Zenghui LI, Fan LIU, Hao TANG, Ruoxin LI, Guodong YANG
2022, 38(12): 2767-2773. DOI: 10.3969/j.issn.1001-5256.2022.12.016
Abstract(2311) HTML (1086) PDF (3051KB)(82)
Abstract:
  Objective  To investigate the effect of fecal microbiota transplantation (FMT) on a rat model of hypertriglyceridemic acute pancreatitis (HLAP).  Methods  A total of 72 male Sprague-Dawley rats were randomly divided into sham-operation group, model group, Rheum officinale group, and fecal microbiota group, with 18 rats in each group. After 8 weeks of feeding with high-fat diet, the rats in the sham-operation group were given sham operation, and those in the other three groups were given retrograde pancreaticobiliary injection of 5% sodium taurocholate to induce acute pancreatitis; after modeling, the rats in the Rheum officinale group were given enema with Rheum officinale, and those in the fecal microbiota group were given enema with fresh fecal microbiota solution. Blood, pancreatic, and terminal ileal tissue samples were collected at 6, 24, and 36 hours after surgery. HE staining was used to observe histopathological changes of the pancreas and the intestine; an automatic biochemical analyzer was used to measure the serum levels of amylase, alanine aminotransferase (ALT), aspartate aminotransferase (AST), total cholesterol (TC), triglyceride (TG), low-density lipoprotein cholesterol (LDL-C), and high-density lipoprotein cholesterol (HLD-C); ELISA was used to measure the serum levels of interleukin-6 (IL-6), tumor necrosis factor-α (TNF-α), and endotoxin as an index for intestinal permeability. A one-way analysis of variance was used for comparison of normally distributed continuous data between multiple groups, and the least significant difference t-test or the Tamhane T2 test was used for further comparison between two groups; the Kruskal-Wallis H test was used for comparison of non-normally distributed continuous data between multiple groups, and the Bonferroni method was used for further comparison between two groups.  Results  Compared with the sham-operation group, the Rheum officinale group and the fecal microbiota group had no significant increase in the pathological score of the terminal ileum at 6 and 24 hours, and there was no significant difference between the fecal microbiota group and the sham-operation group at 36 hours (all P > 0.05). At 36 hours, the Rheum officinale group and the fecal microbiota group had a significantly lower serum level of amylase than the model group (all P < 0.05). Compared with the model group, the Rheum officinale group had a significantly lower serum level of ALT at 36 hours (P < 0.05) and a significantly lower serum level of AST at 24 hours (P < 0.05), while the fecal microbiota group had a significantly lower level of ALT at each time point (P < 0.05) and a significantly lower serum level of AST at 24 and 36 hours (all P < 0.05). The Rheum officinale group and the fecal microbiota group had significant reductions in the serum levels of TC and TG (all P < 0.05); compared with the Rheum officinale group, the fecal microbiota group had a significantly higher serum level of HDL-C at 24 and 36 hours (all P < 0.05), and compared with the model group, the fecal microbiota group had a significantly lower serum level of HDL-C at each time period (all P < 0.05). There were no significant differences in the inflammatory indices IL-6 and TNF-α between the fecal microbiota group and the sham-operation group at each time point (all P > 0.05), and the Rheum officinale group had significantly higher levels than the sham-operation group (all P < 0.05); both the Rheum officinale group and the fecal microbiota group had a significantly lower serum level of endotoxin than the model group (all P < 0.05), and the fecal microbiota group had a significantly lower level of endotoxin than the Rheum officinale group within 6 hours of treatment (P < 0.05).  Conclusion  Both Rheum officinale and fecal microbiota transplantation can improve tissue inflammation and intestinal permeability in HLAP rats and can improve lipid metabolism and alleviate the progression of pancreatitis to a certain extent, and fecal microbiota transplantation shows a better clinical effect than Rheum officinale alone, but more randomized controlled trials are needed for further investigation.
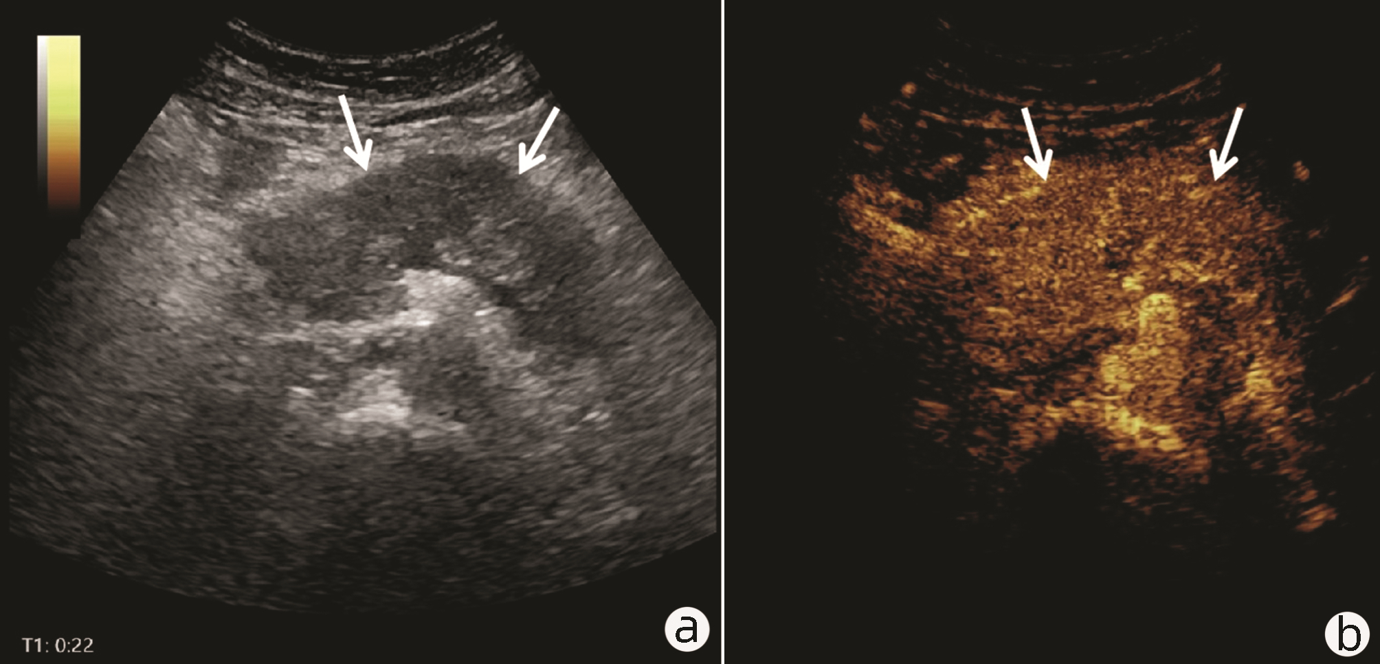
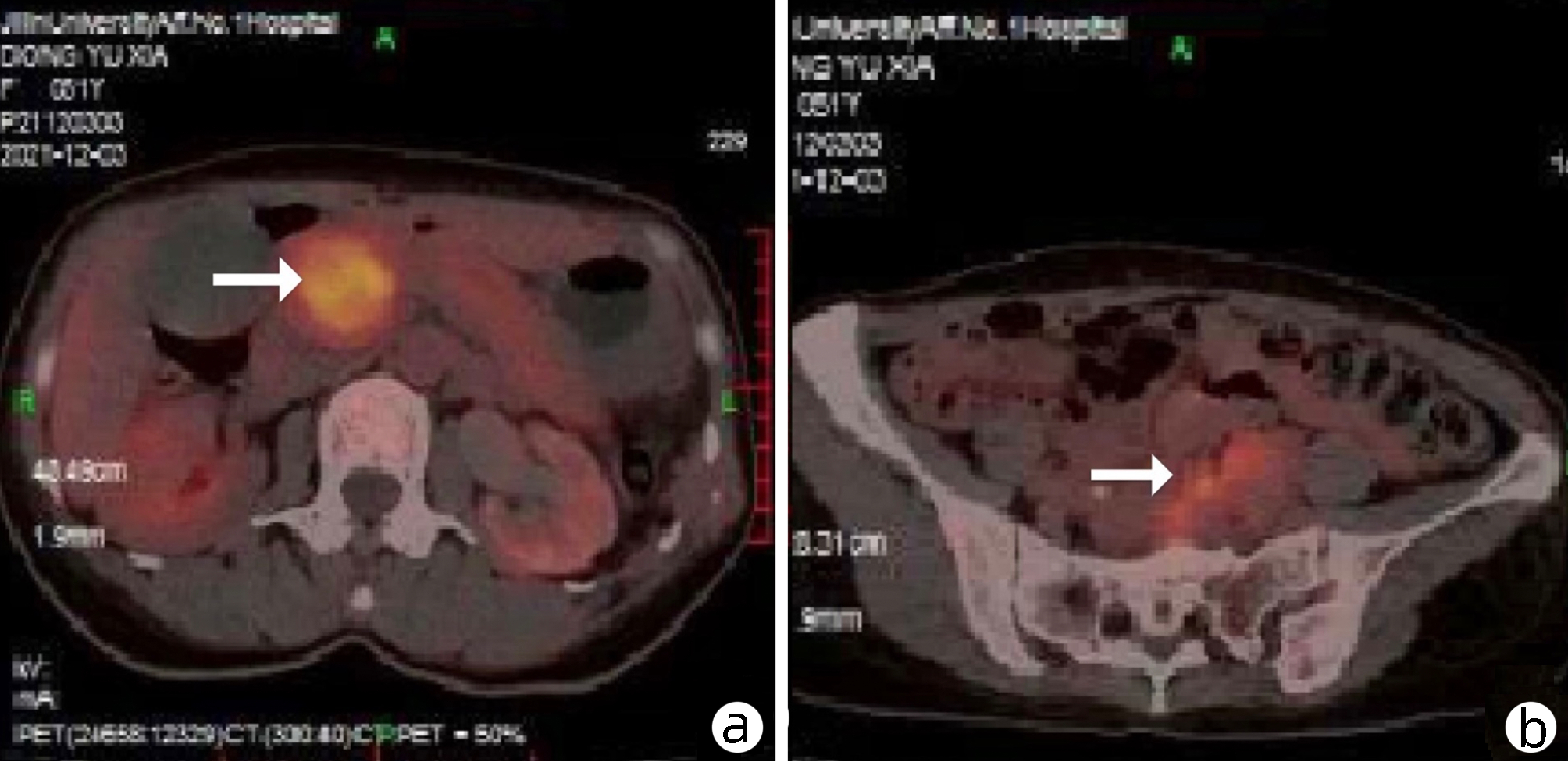
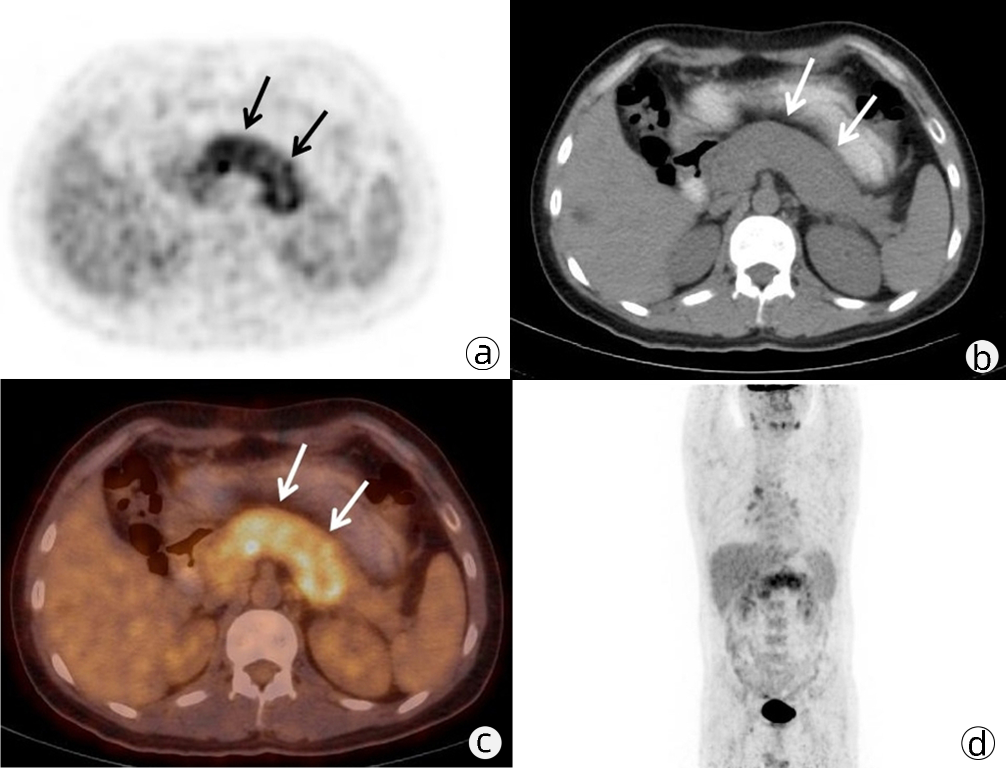
Value of 18F-FDG PET/CT, contrast-enhanced ultrasound, and their combined use in differential diagnosis of benign and malignant pancreatic lesions: A comparative study
Lichun ZHENG, Xiaoming ZHANG, Tianying YU, Jie LI, Xiaoqian DENG, Xiangliu OUYANG
2022, 38(12): 2774-2779. DOI: 10.3969/j.issn.1001-5256.2022.12.017
Abstract(2330) HTML (1630) PDF (3391KB)(64)
Abstract:
  Objective  To assess the value of 18F-FDG PET/CT, contrast-enhanced ultrasound, and their combination in the differential diagnosis of benign and malignant pancreatic lesions.  Methods  A retrospective analysis was performed on patients with pancreatic lesions who underwent18F-FDG PET/CT and contrast-enhanced ultrasound who were admitted to Tangshan Gongren Hospital from January 2015 to December 2020. The imaging results were confirmed by pathology examination to evaluate diagnostic sensitivity, specificity, accuracy, positive and negative predictive value. The t-test was used for comparison of continuous data between two groups, and the chi-square test was used for comparison of categorical data between groups.  Results  There were 83 malignant lesions and 25 benign lesions in 108 patients. The sensitivity, specificity, accuracy, positive and negative predictive value were 86.75%, 80.00%, 85.19%, 93.51% and 64.52% for 18F-FDG PET/CT; and 69.88%, 76.00%, 71.30%, 90.63% and 43.18% for contrast-enhanced ultrasound, respectively. The two methods differed significantly in sensitivity and accuracy (all P < 0.05), but not in specificity, negative and positive predictive value (all P > 0.05). When combined with the contrast-enhanced ultrasound, 18F-FDG PET/CT had an increased sensitivity, specificity, accuracy, positive and negative predictive value of 90.36%, 84.00%, 88.89%, 94.94% and 72.41%, respectively, though this was not statistically significant due to the increased signal of blood supply in the lesions.  Conclusion  18F-FDG PET/CT has a better performance than contrast-enhanced ultrasound in the differential diagnosis of benign and malignant pancreatic lesions, and their combination can improve the diagnostic value.
Clinical characteristics of patients with pancreatic cancer combined with new onset diabetes mellitus
Qian ZHAO, Yongliang FENG, Yan WANG, Zhigang WEI
2022, 38(12): 2780-2786. DOI: 10.3969/j.issn.1001-5256.2022.12.018
Abstract(2041) HTML (1271) PDF (1916KB)(84)
Abstract:
  Objective  To investigate the clinical characteristics of patients with pancreatic cancer (PC) complicated with new-onset diabetes mellitus (DM), and to provide a basis for defining a high-risk group for PC.  Methods  The 426 PC cases admitted to the First Hospital of Shanxi Medical University from January 2016 to December 2021 were retrospectively selected and divided into new DM group (disease duration ≤2 years, n=74), long-term DM group (disease duration > 2 years, n=50) and simple PC group (no DM, n=302). We collected their basic demographic information, smoking and drinking history, disease history, family history, DM medication, clinical characteristics (first symptoms, tumor diameter, mass location, pancreatic duct dilatation, surgical resection) and biochemical indexes (FPG, CA19-9, CA125). The glycemic status of those who underwent surgical resection was monitored for six months after surgery. The t-test was used for comparison of normally distributed continuous data between two groups, and the Wilcoxon rank-sum test was used for comparison of non-normally distributed continuous data between two groups; the chi-square test and the Fisher's exact test were used for comparison of categorical data between two groups.  Results  Of the 426 PC patients, 68.3% were male and 31.7% were female. New-onset DM accounted for 59.7% of the PC patients with DM. Compared with the long-term DM group, the new-onset DM group had a lower age of onset (t=-2.041, P=0.043), a lower proportion of combined hypertension (χ2=3.950, P=0.047), a lower family history of DM (χ2=3.893, P=0.048), a lower FPG level (Z=-2.740, P=0.005), a higher proportion of smokers (χ2=7.032, P=0.008), significant weight change (Z=-2.161, P=0.031), larger tumor diameter (Z=-2.269 P=0.023), high proportion of those with pancreatic duct dilatation (χ2=4.870, P=0.027), and significant differences in DM medication (χ2=1.976, P < 0.05). At six months of follow-up, 7 patients (36.8%) in the new-onset DM surgery group had glycemic improvement, but none in the long-term DM surgery group. Compared with the PC-only group, the new-onset DM group had a lower age of onset (t=-0.273, P=0.039), a slightly higher BMI level (t=-2.139, P=0.033), a significant weight change (Z=-2.262, P=0.024), a higher proportion of complicated hypertension (χ2=17.438, P < 0.001), a higher FPG level (Z=-8.322, P < 0.001), and a high proportion of dilated pancreatic ducts (χ2=3.983, P=0.046).  Conclusion  Among PC patients, the onset age is relatively young in those complicated with new-onset DM. Patients with new-onset DM who smoke, have no family history of DM, have significant weight loss, have difficulty in controlling FPG levels, and pancreatic duct dilatation may be at high-risk for PC and should be screened early.
Risk factors for myocardial injury after Nano-Knife surgery in patients with pancreatic cancer
Longzhu HAI, Qiangfu HU, Xiaoyong LI, Peilei GUO, Lingwei YANG
2022, 38(12): 2787-2792. DOI: 10.3969/j.issn.1001-5256.2022.12.019
Abstract(1883) HTML (1248) PDF (1912KB)(63)
Abstract:
  Objective  To investigate the risk factors for myocardial injury after Nano-Knife surgery in patients with pancreatic cancer, and to establish a nomogram model for risk prediction.  Methods  A retrospective analysis was performed for the clinical data of 92 patients with pancreatic cancer who underwent Nano-Knife surgery in The Fifth Affiliated Hospital of Zhengzhou University from September 2020 to November 2021, with serum cardiac troponin I > 0.03 ng/mL within 3 days after surgery as the diagnostic criteria for myocardial injury, the patients were divided into myocardial injury group with 51 patients and non-myocardial injury group with 41 patients. Related baseline data were collected for all patients, including age, sex, body mass index, American Society of Anesthesiologists classification, smoking history, alcohol abuse history, and preoperative comorbidities. The Mann-Whitney U test was used for comparison of continuous data between groups, and the chi-square test or the Fisher's exact test was used for comparison of categorical data between groups. Univariate and multivariate logistic regression analyses were used to screen out the variables with statistical significance, and the factors screened out were used to establish a nomogram for predicting the risk of myocardial injury after Nano-Knife surgery in patients with pancreatic cancer. The receiver operating characteristic (ROC) curve and the area under the ROC curve (AUC) were used to evaluate the discriminatory ability and clinical utility of the model.  Results  Compared with the non-myocardial injury group, the myocardial injury group had a significantly longer ablation time (χ2=7.410, P=0.006), a significantly greater number of probes (χ2=6.130, P=0.047), and a significantly higher proportion of patients with preoperative hypertension (χ2=12.124, P < 0.001) or chronic kidney disease (χ2=12.829, P < 0.001). The univariate logistic regression analysis showed that tumor diameter, ablation time, surgical procedure, number of probes, history of hypertension, and history of chronic kidney disease were associated with the development of myocardial injury (all P < 0.05), and the multivariate logistic regression analysis showed that tumor diameter (odds ratio [OR]= 3.94, 95% confidence interval [CI]: 1.09-14.18, P=0.036), ablation time (OR=4.15, 95%CI: 1.30-13.27, P=0.016), surgical procedure (OR=6.92, 95%CI: 1.92-25.07, P=0.003), and history of hypertension (OR=4.07, 95%CI: 1.12-14.77, P=0.034) were independent risk factors for myocardial injury after Nano-Knife surgery in patients with pancreatic cancer. An AUC of 0.859 showed that the nomogram had good discriminatory ability and clinical utility.  Conclusion  There is a relatively high incidence rate of myocardial injury after Nano-Knife surgery in patients with pancreatic cancer. Preoperative hypertension, tumor diameter > 4 cm, and ablation time > 1 hour are independent risk factors for myocardial injury, and the surgical procedure of Nano-Knife surgery and bypass anastomosis can increase the risk of myocardial injury. The nomogram has a good effect in predicting the risk of myocardial injury.
Mechanism of carrimycin in regulating the biological function of pancreatic cancer cells
Lina BAI, Ying LIU, Chunxiao TANG, Hongxin PIAO, Zhenhua LIN, Wanshan YANG, Aihua JIN
2022, 38(12): 2793-2801. DOI: 10.3969/j.issn.1001-5256.2022.12.020
Abstract(2282) HTML (1187) PDF (6790KB)(85)
Abstract:
  Objective  To investigate the effect of carrimycin on the biological function of pancreatic cancer cells.  Methods  Pancreatic cancer cell lines MIA PaCa-2, BxPC-3, Panc-1, and PATU 8988 were treated with carrimycin at concentrations of 0 (control group), 2, 4, 8, and 16 μmol/L for 24, 48, and 72 hours. MTT assay was used to measure cell viability; EdU cell proliferation assay was used to observe the effect of carrimycin on DNA replication of pancreatic cancer cells; colony formation assay was used to observe the effect of carrimycin on the proliferation of pancreatic cancer cells; flow cytometry was used to analyze the effect of carrimycin on the cell cycle of pancreatic cancer cells; wound healing assay was used to analyze the effect of carrimycin on the migration of pancreatic cancer cells; Western blot was used to measure the expression levels of the markers such as epithelial-mesenchymal transition (EMT) and cell cycle-dependent protein kinase inhibitor 1A (P21); immunofluorescence assay were used to measure the expression levels of EMT-related markers. An analysis of variance was used for comparison between multiple groups, and the least significant difference t-test was used for further comparison between two groups.  Results  Compared with the control group, carrimycin significantly inhibited the proliferative activity of MIA PaCa-2, BxPC-3, Panc-1, and PATU 8988 cells in a concentration- and time-dependent manner (all P < 0.01); carrimycin at concentrations of 4, 8, and 16 μmol/L significantly reduced DNA replication in MIA PaCa-2 cells (t=2.378, 4.984, and 18.970, all P < 0.05) and BxPC-3 cells (t=4.879, 6.089, and 9.521, all P < 0.01); after treatment with carrimycin at concentrations of 4, 8, and 16 μmol/L, colony formation ability significantly decreased with the increase in drug concentration in MIA PaCa-2 cells (t=5.889, 11.240, and 15.840, all P < 0.001) and BxPC-3 cells (t=6.717, 15.800, and 18.850, all P < 0.001). After treatment with carrimycin at concentrations of 4, 8, and 16 μmol/L, there was a significant increase in the proportion of cells in G1 phase in MIA PaCa-2 cells (t=9.071, 12.280, and 19.360, all P < 0.0001) and BxPC-3 cells (t=3.061, 4.962, and 8.868, all P < 0.05), and there was a significant reduction in the proportion of cells in S phase in MIA PaCa-2 cells (t=2.316, 4.165, and 5.562, all P < 0.05) and BxPC-3 cells (t=2.424, 3.264, and 5.744, all P < 0.05). Western blot further demonstrated that compared with the control group, the expression level of the cell cycle-related protein P21 gradually increased with the increase in the concentration of carrimycin in MIA PaCa-2 cells (t=5.437, 6.453, and 8.799, all P < 0.001) and BxPC-3 cells (t=25.130, 44.750, and 52.960, all P < 0.000 1). Wound healing assay showed that after treatment for 12, 24, and 48 hours, carrimycin at concentrations of 0, 4, 8, and 16 μmol/L significantly reduced the lateral migration of MIA PaCa-2 cells (all P < 0.05) and BxPC-3 cells (all P < 0.05). Western blot showed that compared with the control group, carrimycin treatment at concentrations of 4, 8, and 16 μmol/L significantly upregulated the expression of the epithelial marker E-cadherin in MIA PaCa-2 cells (t=2.388, 4.899, and 5.819, all P < 0.05) and BxPC-3 cells (t=2.533, 5.836, and 6.774, all P < 0.05) and significantly downregulated the expression of the interstitial marker Snail in MIA PaCa-2 cells (t=12.440, 14.830, and 16.800, all P < 0.000 1) and BxPC-3 cells (t=5.039, 5.893, and 7.725, all P < 0.01), and it also significantly downregulated the expression of the interstitial marker Vimentin in MIA PaCa-2 cells (t=3.105, 7.752, and 11.200, all P < 0.05) and BxPC-3 cells (t=2.555, 4.883, and 9.153, all P < 0.05).  Conclusion  Carrimycin can effectively inhibit the proliferation, migration, and EMT process of pancreatic cancer cells, thereby exerting an antitumor biological activity.
Clinical significance of FAT4 protein expression in pancreatic cancer
Yao ZHANG, Kai ZHANG, Chao MA
2022, 38(12): 2802-2806. DOI: 10.3969/j.issn.1001-5256.2022.12.021
Abstract(1913) HTML (1133) PDF (2898KB)(57)
Abstract:
  Objective  To detect the expression of fat atypical cadherin 4 (FAT4) in pancreatic cancer tissue and para-carcinoma tissue, and explored the role of FAT4 in the pathogenesis of pancreatic cancer.  Methods  Pancreatic cancer tissue samples and adjacent tissue samples were collected from 79 patients who underwent radical resection in The Affiliated Cancer Hospital of Zhengzhou University from January 2015 to January 2017 and were diagnosed with pancreatic ductal adenocarcinoma based on postoperative pathology. Immunohistochemistry was used to measure the protein expression of FAT4 in pancreatic cancer tissue and adjacent tissue, and the association between FAT4 expression and clinicopathological features was analyzed. The Mann-Whitney U test was used for comparison of ranked data between groups, and the chi-square test was used for comparison of categorical data. A Spearman correlation analysis was used to investigate the correlation between variables.  Results  The down-regulated expression of FAT4 was detected in 72.15% (52/79) of pancreatic cancer tissue, which was significant higher than that in para-cancer tissues (21.52%, 17/79, P < 0.001). There was a significant difference in backache between the low FAT4 expression group and the high FAT4 expression group (χ2=4.115, P=0.042), and there were also significant differences in lymph node metastasis and perineural invasion between these two groups (χ2=8.743 and 4.925, P=0.003 and 0.026). TNM staging and degree of tumor differentiation were ranked variables, and the analysis of the association between these two variables and FAT4 expression based on Spearman rank correlation coefficient showed that FAT4 expression was not associated with the TNM staging and degree of tumor differentiation of pancreatic cancer (all P > 0.05).  Conclusion  The expression of FAT4 was significantly down-regulated in pancreatic cancer, suggesting that FAT4 may promote the invasion and infiltration of pancreatic cancer.
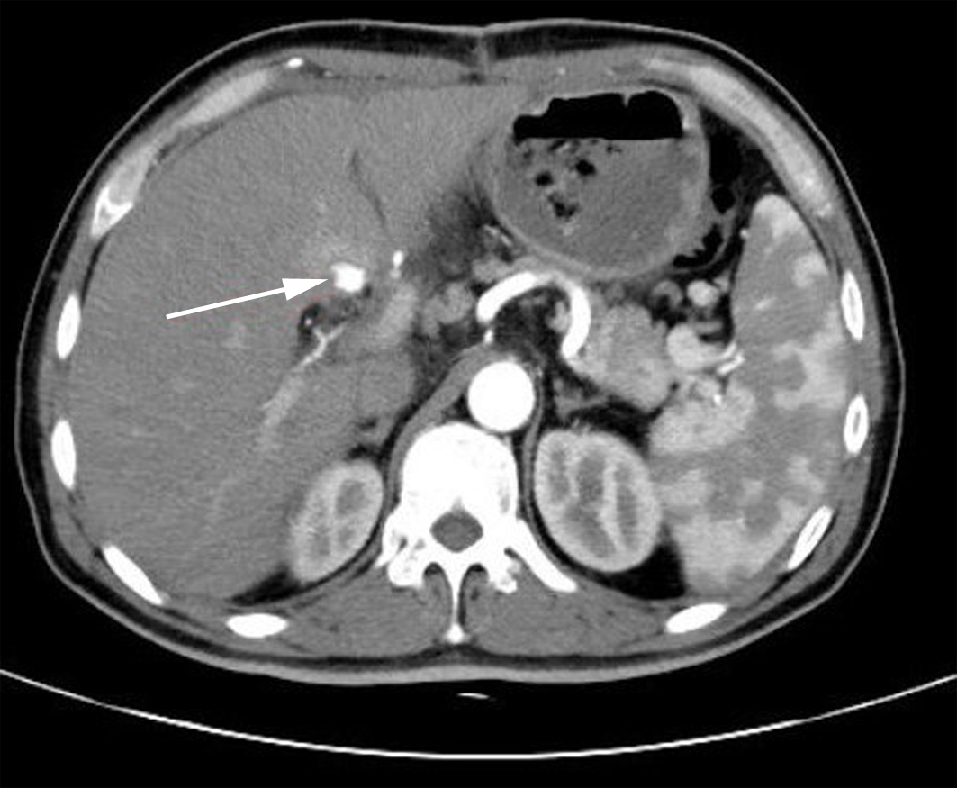
Value of pancreatic anatomic structure under standard pancreatic neck transection in predicting pancreatic fistula after pancreaticoduodenectomy
Lichen ZHOU, Zhen TAN, Yaping TANG, Zhirong ZHAO, Ruiwu DAI
2022, 38(12): 2807-2813. DOI: 10.3969/j.issn.1001-5256.2022.12.022
Abstract(2127) HTML (1245) PDF (2420KB)(70)
Abstract:
  Objective  To investigate and validate the effect of relevant parameters of pancreatic anatomic structure under standard pancreatic neck transection in predicting postoperative pancreatic fistula (POPF).  Methods  A total of 140 patients who underwent pancreaticoduodenectomy (PD) in The General Hospital of Western Theater Command from June 2016 to December 2019 were enrolled as prediction group, and 82 patients who underwent PD in the same hospital from January 2020 to March 2021 were enrolled as validation group. Baseline levels were compared between the two groups. A univariate analysis was performed for the prediction group to screen out the risk factors for POPF, and in the validation group, the interclass correlation coefficient (ICC) was used to compare the consistency between preoperative imaging measurements and actual intraoperative measurements. The risk factors for POPF were validated in each group. The t-test was used for comparison of normally distributed continuous data between groups, and the Mann-Whitney U test was used for comparison of continuous data with skewed distribution between groups; the chi-square test was used for comparison of categorical data between groups. The multivariate logistic regression analysis was used to investigate the risk factors for POPF. Youden index was calculated, GraphPad Prism was used to plot the receiver operating characteristic (ROC) curve, and the area under the ROC curve (AUC) was calculated. ICC was used for the reliability analysis of preoperative imaging measurements and actual intraoperative measurements.  Results  Pancreatic duct diameter at the pancreatic neck (odds ratio [OR]=0.347, 95% confidence interval [CI]: 0.192-0.626, P < 0.001), the major axis of the pancreatic neck parenchyma (OR=1.127, 95%CI: 1.031-1.231, P=0.008), and the minor axis of the pancreatic neck parenchyma (OR=1.350, 95% CI: 1.137-1.602, P=0.001) were risk factors for POPF. Pancreatic duct diameter at the pancreatic neck had an AUC of 0.785 (95%CI: 0.128-0.302, P < 0.001) and a cut-off value of 2.7 mm; the major axis of the pancreatic neck parenchyma had an AUC of 0.669 (95%CI: 0.564-0.774, P=0.006) and a cut-off value of 19.3 mm, and the minor axis of the pancreatic neck parenchyma had an AUC of 0.720 (95%CI: 0.627-0.813, P < 0.001) and a cut-off value of 9.9 mm. Preoperative imaging measurements were highly consistent with actual intraoperative measurements for 30 patients in the validation group, with an ICC of > 0.75 (P < 0.001). Grouping validation of cut-off values showed that there was a significant different in the incidence rate of POPF between the high-risk group and the low-risk group based on pancreatic duct diameter at the pancreatic neck (χ2=0.645, P=0.011), as well as between the high-risk group and the low-risk group based on the minor axis of the pancreatic neck parenchyma (χ2=5.901, P=0.015).  Conclusion  Structural features of the pancreatic neck under standard pancreatic neck transection are risk factors for POPF, which can be differentiated by preoperative CT, and the method is easy and convenient in clinical practice.
Brief Reports
Analysis of Wilson's disease presented with osteoarticular symptoms in 14 patients
Chengwei KANG, Hongyun WO, Changchao DONG, Zhaokui YAN, Xiaobing PU
2022, 38(12): 2814-2817. DOI: 10.3969/j.issn.1001-5256.2022.12.023
Abstract(2049) HTML (1211) PDF (2195KB)(84)
Abstract:
Case Reports
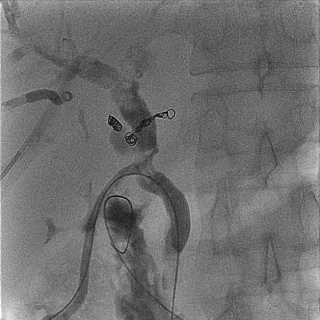
Diagnosis and treatment of hepatic pseudoaneurysm with bile leakage and bile duct hemorrhage after transplantation of donor liver with right hepatic artery variation: A case report
Tian HAN, Rui ZHANG, Zhiyong SHI, Li ZHANG, Jun XU
2022, 38(12): 2818-2820. DOI: 10.3969/j.issn.1001-5256.2022.12.024
Abstract(1759) HTML (1058) PDF (2268KB)(66)
Abstract:
Diffuse large B-cell lymphoma with severe cholestasis as the main manifestation: A case report
Huaqian XU, Meng WEI, Xue ZHANG, Hai YI, Fangyi FAN, Aiping HUANG, Shanhong TANG
2022, 38(12): 2821-2823. DOI: 10.3969/j.issn.1001-5256.2022.12.025
Abstract(2140) HTML (1052) PDF (2629KB)(96)
Abstract:
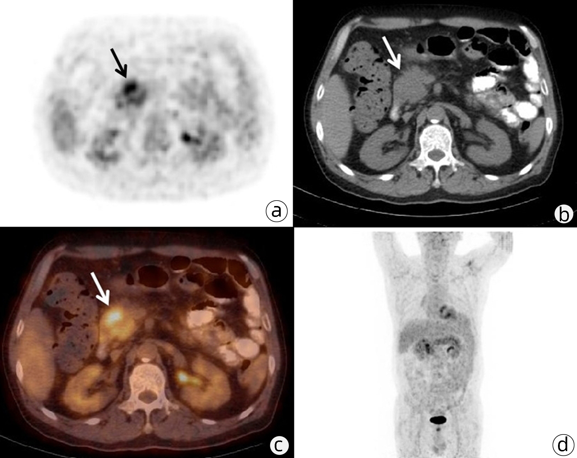
Autoimmune pancreatitis involving left iliac paravascular tissue: A case report
Xin YANG, Lamei LI, Qi ZHU, Xinle YANG, Xinrui WANG, Yanjun CAI, Wanyu LI
2022, 38(12): 2824-2826. DOI: 10.3969/j.issn.1001-5256.2022.12.026
Abstract(1790) HTML (1077) PDF (2345KB)(83)
Abstract:
Ectopic pancreas in duodenal ampullary: A case report
Hongyun SHI, Panpan QUAN, Xiangyang SONG, Xiaoyan LIU, Yingchao WANG
2022, 38(12): 2827-2829. DOI: 10.3969/j.issn.1001-5256.2022.12.027
Abstract(1930) HTML (1119) PDF (2454KB)(80)
Abstract:
Reviews
Clinical significance and methods of hepatitis D virus RNA detection
Yanxue LIN, Yanli QIN, Jiming ZHANG
2022, 38(12): 2830-2835. DOI: 10.3969/j.issn.1001-5256.2022.12.028
Abstract(2083) HTML (1451) PDF (1914KB)(153)
Abstract:
The prevalence and severity of hepatitis D virus (HDV) infection have always been underestimated, and the low screening and diagnosis rates may bring severe disease burden. HDV RNA, as the direct evidence of viral replication, is of great importance for the diagnosis and management of hepatitis D. This article summarizes the clinical significance of HDV RNA detection and introduces the advances in detection methods, in order to facilitate the screening and diagnosing of hepatitis D.
Protective mechanism of interleukin-10 against nonalcoholic fatty liver disease and its prospect in treatment
Ruifeng LI, Tingni ZONG, Guangrong DAI
2022, 38(12): 2836-2840. DOI: 10.3969/j.issn.1001-5256.2022.12.029
Abstract(2545) HTML (1112) PDF (2118KB)(157)
Abstract:
With the prevalence of obesity and metabolic syndrome, nonalcoholic fatty liver disease (NAFLD) has become the largest chronic liver disease in China. However, the pathogenesis of NAFLD remains unclear, and recent studies have found that interleukin-10 (IL-10) not only plays an important role in the pathogenesis of autoimmune diseases, inflammatory diseases, and malignant tumors, but also plays a key regulatory role in the pathogenesis of NAFLD. This article reviews the protective mechanism of IL-10 against NAFLD and its prospect in treatment, so as to further explore the clinical value of IL-10 in the diagnosis and treatment of NAFLD.
Advances in the mechanism of action of silent information regulator 1 in alcoholic liver disease and related pharmaceutical studies
Tiantian LIU, Jiangkai LIU, Suling LI, Liang LIU, Yaru ZHANG, Jianwen ZHANG, Bingqian LI
2022, 38(12): 2841-2845. DOI: 10.3969/j.issn.1001-5256.2022.12.030
Abstract(2412) HTML (1161) PDF (2307KB)(104)
Abstract:
Alcoholic liver disease (ALD) is one of the main chronic liver diseases in the world, and the prevalence rate of ALD is increasing year by year in China, with a trend of earlier age of onset. Silent information regulator 1 (SIRT1) is a nicotinamide adenine dinucleotide-dependent deacetylase and plays a significant role in cell metabolism, oxidative stress, and inflammation, and it is expected to become a new therapeutic target for ALD. This article reviews the mechanism of action of SIRT1 in ALD and related pharmaceutical studies, in order to provide a reference and strategies for further research on the pathogenesis of ALD and its potential therapeutic targets.
Research progress in nutritional support for liver cirrhosis patients
Yumei HE, Liping WU, Zhiming WANG, Menghao HAO, Ling HU, Jiazhen LI, Xiaobin SUN
2022, 38(12): 2846-2849. DOI: 10.3969/j.issn.1001-5256.2022.12.031
Abstract(2808) HTML (1370) PDF (1888KB)(230)
Abstract:
Malnutrition in liver cirrhosis is associated with ascites, hepatic encephalopathy, infection, and other complications even death. To date, the hazard and disease burden of malnutrition in cirrhosis patients have been severely underestimated. This review summarized the most recent advancement in the field and discussed the techniques and methodologies in detection and evaluation of malnutrition in cirrhosis patients, nutritional support therapy, and future research directions and clinical care of the patients.
Porto-sinusoidal vascular disease——A novel entity of portal hypertension
Yulin LI, Yanqiu FU, Lishi ZHOU, Yufu LI, Dongye YANG
2022, 38(12): 2850-2854. DOI: 10.3969/j.issn.1001-5256.2022.12.032
Abstract(3536) HTML (1233) PDF (1896KB)(216)
Abstract:
Porto-sinusoidal vascular disease (PSVD) is an entity characterized with portal hypertension (PH) in the absence of cirrhosis, the related risk factors, and imaging evidence of obstructed portal vein, hepatic vein and inferior vena cava. Its prevalence varies significantly between East and West countries. Until now, the etiologies have been classified as autoimmune, hematologic, and prethrombotic conditions, infections, toxins or drugs, and genetic or metabolic disorders. However, the definite cause remains unknown. Diagnosis is based on three histopathological features: obliterative portal venopathy, nodular regenerative hyperplasia, and incomplete septal fibrosis. The clinical manifestations of early PSVD are nonspecific, whereas those at a late stage are similar to cirrhosis. The imaging detection mainly reveals the PH signs and complications, but the liver stiffness is normal or slightly increased, necessitating a liver biopsy for PVSD diagnosis. PSVD treatment is similar to liver cirrhosis; however, the prognosis is better. In order to gain a thorough understanding of PSVD, the epidemiology, pathogenesis, clinical diagnosis, and treatment are discussed in this article.
Advances in application of transarterial chemoembolization combined with targeted therapy/immunotherapy in advanced hepatocellular carcinoma
Xiaohui ZHAO, Quanjun YAO, Hailiang LI, Hongtao HU
2022, 38(12): 2855-2858. DOI: 10.3969/j.issn.1001-5256.2022.12.033
Abstract(2222) HTML (1185) PDF (1890KB)(127)
Abstract:
Most of the patients with hepatocellular carcinoma (HCC) in China are in the advanced stage at the time of diagnosis, and the treatment methods for HCC mainly include transarterial chemoembolization and systemic therapy. This article introduces the targeted drugs represented by sorafenib and lenvatinib, and the emergence of immunotherapy. Atezolizumab combined with bevacizumab has been approved as the first-line therapy for HCC, and meanwhile, studies on TACE combined with targeted therapy and/or immunotherapy have achieved a satisfactory treatment outcome, which brings better survival and prognosis for patients with advanced HCC. However, more studies are needed to solve the issues related to the prognosis of advanced HCC.
Macrophage depletion and its application in liver injury
Qian YU, Sai ZHAO, Liangming LIU
2022, 38(12): 2859-2863. DOI: 10.3969/j.issn.1001-5256.2022.12.034
Abstract(2609) HTML (2046) PDF (2135KB)(150)
Abstract:
Macrophages are a heterogeneous cell population involved in tissue homeostasis, inflammation, and various pathophysiological processes. Selective clearance of macrophages in vivo is a widely accepted method used to investigate whether macrophages are involved in any specific biological regulatory mechanism. Understanding the different methods and principles of macrophage depletion helps explore appropriate modeling solutions to investigate the relationship between macrophages and diseases. Hepatic macrophages play a crucial role in hepatotoxicity. This article reviews the methods of macrophage depletion and the regulatory role of macrophage depletion in liver injury and repair.
Application of proton pump inhibitors in acute-on-chronic liver failure
Yuhao YAO, Xiao XIA, Jiaxin ZHANG, Xiaoke LI, Yong'an YE
2022, 38(12): 2864-2867. DOI: 10.3969/j.issn.1001-5256.2022.12.035
Abstract(2324) HTML (1098) PDF (1884KB)(131)
Abstract:
Proton pump inhibitors (PPIs) are commonly used in clinical practice and are currently widely used in people with acute-on-chronic liver failure (ACLF). However, such medication is still not supported by the recommendations in the latest version of Clinical guidelines for acute-on-chronic liver failure issued by American College of Gastroenterology. With reference to the guidelines or consensus statements in China and globally and the latest research advances, this article elaborates on the indications, possible benefits, and potential risks of PPIs used in people with ACLF, in order to provide a reference for the standardized use of PPIs in the population with ACLF in clinical practice.
Application progress of transpapillary biliary drainage in endoscopic treatment of choledocholithiasis
Ao WANG, Ning LI
2022, 38(12): 2868-2872. DOI: 10.3969/j.issn.1001-5256.2022.12.036
Abstract(2086) HTML (1070) PDF (1900KB)(73)
Abstract:
Transpapillary biliary drainage is important for the endoscopic treatment of choledocholithiasis and its complications. The benefits of various drainage approaches are worth considering. This article discusses the benefits and drawbacks of endoscopic nasobiliary drainage (ENBD) and endoscopic retrograde biliary drainage (ERBD) in endoscopic treatment of choledocholithiasis under different pathological conditions. According to research, although both drainage methods are equally safe and effective, ENBD plays an important role in emergency biliary drainage, while ERBD has advantages in the medium-and long-term treatment of refractory choledocholithiasis. With the ongoing evolution of biliary drainage in endoscopic treatment of choledocholithiasis, ERBD has a promising future due to its small diameter, pigtail type, self-shedding or biodegradable characteristics.
Advances in the application of ultrasound in the diagnosis and treatment of acute pancreatitis
Pan LIU, Liang HAO, Yu CHENG, Beibei YANG, Yong WEI, Zhenhong XIA, Shoujun YU
2022, 38(12): 2873-2876. DOI: 10.3969/j.issn.1001-5256.2022.12.037
Abstract(2431) HTML (1168) PDF (1879KB)(82)
Abstract:
Acute pancreatitis is a common acute abdominal disease of the digestive system characterized by multiple etiologies and rapid progression, and early diagnosis and treatment are closely associated with the prognosis of patients. Among various radiological examinations, ultrasound can perform real-time dynamic comprehensive scans of the pancreas and the biliary system and thus plays an important role in etiological diagnosis, grading, and treatment. This article reviews the current status and prospects of ultrasound in acute pancreatitis, in order to provide a reference for the diagnosis and treatment of acute pancreatitis.
Research advances in the value of related markers in predicting the severity and prognosis of acute pancreatitis
Qiu JIN, Jing YANG, Honglin MA, Pingju LI, Shaoshan HU, Qingqing LIU
2022, 38(12): 2877-2881. DOI: 10.3969/j.issn.1001-5256.2022.12.038
Abstract(2594) HTML (1156) PDF (1914KB)(98)
Abstract:
Acute pancreatitis (AP) is a common acute abdominal disease in gastroenterology. Severe patients tend to have high mortality and poor prognosis, and early evaluation of disease conditions and prediction of clinical outcome is of particular importance to improve the prognosis of patients. In recent years, great progress has been made in related markers for predicting the severity stratification and prognosis of patients with AP. This article reviews the value of immune indices, cytokines, genes, biochemical indices, imaging findings, and other related indicators in predicting the severity, mortality, and complications of AP.
Association between pancreatic cancer and diabetes
Shengchen NAN, Qiao SHI, Chen CHEN, Weixing WANG
2022, 38(12): 2882-2886. DOI: 10.3969/j.issn.1001-5256.2022.12.039
Abstract(3717) HTML (1305) PDF (2060KB)(108)
Abstract:
Pancreatic cancer is a type of highly malignant digestive system tumor, with a 5-year overall survival rate of < 10%. In recent years, a large number of studies have shown that there is a two-way relationship between pancreatic cancer and diabetes; diabetes is not only one of the high-risk factors for pancreatic cancer, but also a paraneoplastic phenomenon caused by pancreatic cancer. Hyperglycemia and hyperinsulinemia in patients with type 2 diabetes are risk factors for pancreatic cancer, and on the contrary, pancreatic cancer cells cause the dysfunction of pancreatic β cells through autocrine or paracrine pathways and thus lead to the onset of pancreatic diabetes. This article reviews the epidemiology and pathogenesis of pancreatic cancer and the two-way relationship between pancreatic cancer and diabetes, so as to provide a reference for clinical practice.
Research advances in the mechanism of metabolic communication between peripheral nerves and pancreatic cancer cells
Gengzhou TIAN, Lei ZOU
2022, 38(12): 2887-2891. DOI: 10.3969/j.issn.1001-5256.2022.12.040
Abstract(2077) HTML (1302) PDF (2129KB)(94)
Abstract:
The metabolism of various substances is interconnected in tumor microenvironment, and the interaction of metabolic signaling pathways forms a complex metabolic network, which together maintains the homeostasis of tumor microenvironment. Peripheral nerves, which consist of the nerve trunks, plexus, ganglia, and terminals formed by perikaryons and nerve fibers, play a key role in the progression of pancreatic cancer. At present, there are relatively few studies on the mechanism of metabolic communication between peripheral nerves and pancreatic cancer cells. This article reviews recent studies and summarizes the role of amino acids, neurotransmitters, and neurotrophic factors in the progression of pancreatic cancer from the perspectives of peripheral nerves and pancreatic cancer cells, and it is believed that discussion of the mechanism of metabolic communication between peripheral nerves and pancreatic cancer cells may help to discover new targets for pancreatic cancer treatment.
Role of transforming growth factor-β in the development and progression of pancreatic cancer
Hao ZHANG, Linxun LIU, Zhanxue ZHAO, Hongshuai PAN, Xiaofan HOU, Zheng HUO
2022, 38(12): 2892-2896. DOI: 10.3969/j.issn.1001-5256.2022.12.041
Abstract(1971) HTML (1336) PDF (2378KB)(79)
Abstract:
Pancreatic ductal adenocarcinoma has a high degree of malignancy, an insidious onset, and rapid progression, with no obvious abdominal manifestations and signs in the early stage. Most patients are already in the advanced stage and have distant organ metastasis at the time of diagnosis, and thus surgical treatment, chemoradiotherapy, and targeted drug therapy often have an unsatisfactory clinical effect. Recent studies have shown that transforming growth factor-β (TGF-β) is closely associated with the development and of tumors and plays a key role in the processes of tumor cell proliferation, invasion, migration, and angiogenesis. Although TGF-β signal can exert a powerful inhibitory effect on tumors through SMAD-mediated cell cycle arrest, TGF-β signal can also accelerate the development of pancreatic cancer by enhancing epithelial-mesenchymal transition, fibrosis, and immune escape. In this article, pancreatic cancer specifically refers to pancreatic ductal adenocarcinoma, and this article reviews the role of TGF-β in its signal transduction and the association of TGF-β with related factors and immune response, so as to provide a theoretical basis for targeted therapy for pancreatic cancer in the future.
Numb and its alternative splicing in pancreatic cancer
Penghao LI, Kailian ZHENG, Xiongfei XU, Gang JIN
2022, 38(12): 2897-2900. DOI: 10.3969/j.issn.1001-5256.2022.12.042
Abstract(1902) HTML (1154) PDF (1884KB)(46)
Abstract:
Pancreatic cancer, a common digestive system tumor with high malignancy and a poor prognosis, has several treatment options. However, none of them are particularly effective because understanding the pathogenesis of pancreatic cancer remains a significant clinical challenge. Splicing isoforms mediate various biological phenotypes as an important means of regulating gene expression in eukaryotes, and their abnormalities can lead to a variety of diseases. Numb is an important cell fate determining protein whose alternative splicing has been linked to the development of various cancers. In pancreatic cancer, selective splicing of Numb can result in a variety of Numb protein subtypes, each with a different regulatory effect on the activation of various cancer-related signal pathways and tumor cell biology. This paper reviews the recent progress of Numb protein research in pancreatic cancer, with a focus on the regulatory role of its different isoforms in pathogenesis.
Role of KRAS mutation in metabolism of pancreatic ductal adenocarcinoma
Yi CHEN, Li XIE, Jian WU
2022, 38(12): 2901-2907. DOI: 10.3969/j.issn.1001-5256.2022.12.043
Abstract(2654) HTML (2160) PDF (3776KB)(232)
Abstract:
Pancreatic cancer is a malignant tumor with high fatality rate and poor prognosis, and gene mutations involved in tumor metabolism are considered as the basis of its progression and poor prognosis. Pancreatic ductal adenocarcinoma (PDAC) is the most common type of pancreatic cancer, and it is reported that KRAS mutations are detected in 86% of PDAC patients. As a molecular switch in the upstream of various signaling pathways and transcription factors, KRAS plays an important role in the regulation of tumor cell metabolism. KRAS mutations may affect the metabolic reprogramming of nutrients and energy, macropinocytosis, and autophagy, regulate the interaction between components in tumor microenvironment, and maintain the survival and proliferation of cancer cells. At present, KRAS-targeting therapies for PDAC still remain in an experimental stage, and further clinical studies are needed to determine whether they can be safely applied in treatment.
Comparison and selection of animal models of pancreatic cancer
Zhangli YAN, Xiaofan XU, Jiaqi XIN, Hong ZHANG
2022, 38(12): 2908-2912. DOI: 10.3969/j.issn.1001-5256.2022.12.044
Abstract(2141) HTML (2862) PDF (2109KB)(217)
Abstract:
Pancreatic cancer (PC) has the characteristics of insidious onset, rapid progression, and poor prognosis. Up to now, there are no standard clinical regimens for the treatment of PC, and the benefit rate of new targeted therapy remains at a relatively low level, which results in the high mortality rate of PC. Therefore, an understanding of the development and progression mechanisms for PC has become a difficult issue to be solved, and establishment of reliable animal models for PC is the basis for exploring the development, progression, invasion, and metastasis of PC and the optimization of effective therapeutic targets. At present, a large number of studies have established various animal models for PC, and this article compares the commonly used animal models to provide a reference for the selection of animal models in PC research.
Introduction of High-quality Articles in Foreign Journals
Journal of Hepatology|Impact of HBsAg seroclearance on late recurrence of hepatitis B virus-related hepatocellular carcinoma after surgical resection
2022, 38(12): 2727-2727. DOI: 10.3969/j.issn.1001-5256.2022.12.gwjpwzjj1
Abstract(1619) HTML (1036) PDF (888KB)(82)
Abstract:
Journal of Hepatology|Severity of systemic inflammation is the main predictor of ACLF and bleeding in individuals with acutely decompensated cirrhosis
2022, 38(12): 2766-2766. DOI: 10.3969/j.issn.1001-5256.2022.12.gwjpwzjj2
Abstract(1608) HTML (1090) PDF (881KB)(94)
Abstract:
Journal of Hepatology|Prognostic and therapeutic significance of microbial cell-free DNA in plasma of people with acutely decompensated cirrhosis
2022, 38(12): 2876-2876. DOI: 10.3969/j.issn.1001-5256.2022.12.gwjpwzjj3
Abstract(1590) HTML (1003) PDF (886KB)(75)
Abstract:
Thanks
Current reviewers
2022, 38(12): 2695-2695. DOI: 10.3969/j.issn.1001-5256.2022.12.zhixie1
Abstract(1400) HTML (965) PDF (872KB)(45)
Abstract: