中文English
ISSN 1001-5256 (Print)
ISSN 2097-3497 (Online)
CN 22-1108/R

2023 No.1
Theme Issue: Expanding Antiviral Treatment of Chronic Hepatitis B
Executive Chief Editor: ZHUANG Hui  
School of Basic Medical Sciences, Peking University

Display Method:
Editorial
Expanding the treatment of chronic hepatitis B
Hui ZHUANG
2023, 39(1): 10-13. DOI: 10.3969/j.issn.1001-5256.2023.01.001
Abstract(3330) HTML (1845) PDF (3154KB)(530)
Abstract:

Among chronic hepatitis B patients eligible for treatment, only 5% have received antiviral therapy worldwide. The strictness of treatment criteria in current guidelines is one of the contributing factors for the low treatment rate of patients with chronic hepatitis B, and expanding the treatment criteria for chronic hepatitis B established in current guidelines may reduce disease burden. Universal hepatitis B vaccination, universal screening, and treatment of all HBV DNA-positive patients will help to achieve the goal of HBV elimination by 2030 proposed by the World Health Organization.

Discussions by Experts
Thoughts on expert opinion on expanding antiviral therapy for chronic hepatitis B
Zhihong LIU, Xieer LIANG, Jinlin HOU
2023, 39(1): 14-21. DOI: 10.3969/j.issn.1001-5256.2023.01.002
Abstract(2885) HTML (1614) PDF (1852KB)(334)
Abstract:
Expanding antiviral therapy is currently the new trend for the diagnosis and treatment of chronic hepatitis B, and related research evidence should be studied and discussed. Reducing the threshold of alanine aminotransferase (ALT) for initiating antiviral therapy is one of the most important changes during the expansion of antiviral therapy. Chronic hepatitis B patients with a low-level increase in ALT or a high normal level of ALT still have a higher risk of liver cancer and thus require further intervention. At present, nucleos(t)ide analogues show a certain clinical effect in some patients in terms of virological inhibition and improvement in fibrosis, while reducing ALT threshold places higher requirements for biochemical response after treatment. In addition, although the mechanism and definition of low-level viremia (LLV) after treatment remain unclear, further intervention of LLV is an important strategy for optimizing patient management in clinical practice. Switch to another potent nucleos(t)ide analogue may improve the virologic response rate of patients with LLV, and nucleos(t)ide analogues combined with interferon or other new targeted drugs will be an important research direction for the treatment of LLV in the future.
Expanding the indications for antiviral therapy for chronic hepatitis B: Advantages and disadvantages
Chao HAN, Xiaoguang DOU
2023, 39(1): 22-26. DOI: 10.3969/j.issn.1001-5256.2023.01.003
Abstract(3028) HTML (1673) PDF (1731KB)(270)
Abstract:
Chronic hepatitis B (CHB) is a chronic progressive disease caused by hepatitis B virus (HBV), and without timely and effective antiviral therapy, it will eventually develop into liver cirrhosis, liver failure or hepatocellular carcinoma (HCC). Early initiation of antiviral therapy can prevent or delay disease progression and greatly reduce the incidence rates of liver cirrhosis, liver failure, and HCC. Due to the limited efficacy of current antiviral drugs, the indications for antiviral therapy are mainly applicable to patients with positive HBV DNA and persistent ALT abnormality and some special populations with HBV infection. However, some patients who cannot reach the criteria for antiviral therapy may have insidious disease progression, leading to adverse clinical outcomes. Therefore, the guidelines and consensus statements in China and globally are constantly expanding the indications for antiviral therapy for CHB, so as to bring benefits to more patients.
Expanding initial anti-HBV therapy for chronic hepatitis B: Reducing the treatment threshold of alanine aminotransferase
Jiayi ZHANG, Shuyan CHEN, Hong YOU
2023, 39(1): 27-30. DOI: 10.3969/j.issn.1001-5256.2023.01.004
Abstract(2719) HTML (1622) PDF (1717KB)(263)
Abstract:
In order to achieve the global goal of eliminating viral hepatitis as a public health threat by 2030 proposed by the World Health Organization, it is of great importance to expand the treatment of chronic hepatitis B patients. Recent studies have shown that alanine aminotransferase (ALT) is associated with liver inflammation, fibrosis, hepatocellular carcinoma, and outcome events of liver disease. Besides, as a strategy for expanding antiviral therapy, reducing the treatment threshold of ALT can reduce the occurrence of liver cirrhosis, hepatocellular carcinoma, and liver-related death. In the Expert opinion on expanding antiviral therapy for chronic hepatitis B published in China in 2022, the treatment indication for chronic hepatitis B patients was updated to positive serum HBV DNA and ALT above the treatment threshold (30 U/L for male and 19 U/L for female), with the exclusion of other causes.
Early initiation of antiviral therapy reduces the risk of hepatocellular carcinoma in individuals with chronic hepatitis B virus infection
Zhao ZHOU, Abulaiti ABUDUREXITI, Zhiqiang GU, Jing CHANG, Xin LIU, Fengmin LU
2023, 39(1): 31-36. DOI: 10.3969/j.issn.1001-5256.2023.01.005
Abstract(3581) HTML (1408) PDF (2209KB)(332)
Abstract:
Chronic hepatitis B virus (HBV) infection is a major cause of viral hepatitis, liver cirrhosis, and hepatocellular carcinoma (HCC). From chronic HBV infection to HCC, most patients go through the stages of chronic hepatitis, liver cirrhosis, and HCC. During this long process, the ongoing integration of HBV DNA into host DNA increases the risk of HCC, and the death and compensatory proliferation of hepatocytes caused by persistent liver inflammation may promote the accumulation of oncogenic mutations and finally lead to the malignant transformation of hepatocytes. Currently, nucleos(t)ide analogues are widely used anti-HBV drugs, which controls infection by inhibiting HBV replication and can thus effectively slow down disease progression and end-stage liver disease; however, anti-HBV therapy often starts late and has a relatively low treatment rate, and there is still a tendency of increase in the incidence rate of HBV-related HCC. Therefore, how to improve current antiviral strategies to further reduce the risk of HBV-related end-stage liver disease including HCC has become a hotspot in clinical practice. This article summarizes the previous studies supporting the expansion of antiviral therapy and suggests that antiviral therapy should be initiated as early as possible to inhibit viral replication and the sequential events of HBV DNA integration and ultimately reduce the risk of HCC in patients with chronic HBV infection.
Academic Contention
Do HBV DNA-negative HBsAg-positive patients with compensated hepatitis B cirrhosis need antiviral therapy?
Li SU, Jinghang XU, Yaomin LIU, Guomin ZHANG, Yuting GUO, Guiqiang WANG
2023, 39(1): 37-42. DOI: 10.3969/j.issn.1001-5256.2023.01.006
Abstract(3179) HTML (1745) PDF (1750KB)(263)
Abstract:
Hepatitis B virus (HBV) infection is a common cause of liver disease in China, and with the continuous progress in the research on antiviral therapy for chronic hepatitis B, the indications for antiviral therapy are constantly expanding. However, there are still controversies over the indications for antiviral therapy in patients with chronic hepatitis B (CHB), especially those with negative HBV. By analyzing the limitations of HBV DNA detection, the risk of HBV reactivation in HBV-negative CHB patients, the risk of disease progression in the DNA-negative population with compensated hepatitis B cirrhosis, antiviral response, and the economic benefits of antiviral therapy, this article proposes the necessity of antiviral therapy for HBV-negative HBsAg-positive patients with compensated hepatitis B cirrhosis.
Guideline Interpretation
Highlights of the EASL clinical practice guidelines on sclerosing cholangitis versus the latest Chinese guideline
Xin SUN, Tingyu ZHANG, Yuhao YAO, Ziwei GUO, Jiaxin ZHANG, Yongan YE, Xiaoke LI
2023, 39(1): 43-49. DOI: 10.3969/j.issn.1001-5256.2023.01.007
Abstract(3167) HTML (1437) PDF (1758KB)(254)
Abstract:
In 2022, the European Association for the Study of the Liver issued Clinical practice guidelines on sclerosing cholangitis. With reference to the 2017 edition of Role of endoscopy in primary sclerosing cholangitis: European Society of Gastrointestinal Endoscopy (ESGE) and European Association for the Study of the Liver (EASL) Clinical Guideline (2017) and in comparison to the corresponding contents in Guidelines on the diagnosis and management of primary sclerosing cholangitis (2021) issued by Chinese Society of Hepatology, Chinese Medical Association, in 2021, this article summarizes the updates in diagnosis, treatment, monitoring, and management of special populations and analyzes the basis for updated recommendations and their guiding significance in optimizing the clinical management of primary sclerosing cholangitis (PSC). The comparative analysis shows that the new version of the guidelines is similar to the Chinese guidelines in terms of diagnosis, treatment, and follow-up, and it is worth learning from the technical details such as the recommended dose of ursodeoxycholic acid and long-term follow-up plan. Since PSC is a chronic refractory disease, the drugs recommended by current guidelines cannot delay or reverse disease progression, and there is still a lack of consensus statements on immunotherapy and screening protocols for end-stage complications, which might be the directions for further research.
Original Article_Viral Hepatitis
Serum levels of soluble programmed death-1 and soluble programmed death-ligand 1 in chronic hepatitis B patients with clinical cure and their clinical features
Ning TAN, Jianxiang LIU, Qian KANG, Jiali PAN, Yifan HAN, Hongyu CHEN, Xiaoyuan XU
2023, 39(1): 50-55. DOI: 10.3969/j.issn.1001-5256.2023.01.008
Abstract(2333) HTML (1414) PDF (1747KB)(159)
Abstract:
  Objective  To investigate the serum levels of soluble programmed death-1 (sPD-1) and soluble programmed death-ligand 1 (sPD-L1) in chronic hepatitis B (CHB) patients with clinical cure, the correlation between programmed death-1 (PD-1) and lymphocytes by flow cytometry, and the recovery of hepatitis B virus (HBV)-specific immunity.  Methods  A total of 26 CHB patients with clinical cure, 26 treatment-naïve CHB patients, and 26 healthy controls who were diagnosed at the outpatient service of Peking University First Hospital from January to May of 2022 were enrolled, and related clinical data and peripheral blood samples were collected. ELISA was used to measure the serum levels of sPD-1 and sPD-L1, and flow cytometry was used to measure the expression of PD-1 in peripheral blood lymphocytes. CHB patients with clinical cure were compared with the treatment-naïve CHB patients and the healthy controls. The Kruskal-Wallis H test was used for comparison of non-normally distributed continuous data between three groups, and the chi-square test was used for comparison of categorical data between groups. The Pearson correlation analysis or the Spearman correlation analysis was used to investigate the correlation between two continuous variables.  Results  For the 26 CHB patients with clinical cure, the mean time of antiviral therapy was 8.33 years, with entecavir as the antiviral drug. The CHB patients with clinical cure had significantly higher levels of sPD-1 and sPD-L1 than the healthy controls (P < 0.05) and significantly lower percentages of PD-1+ cells/lymphocytes and PD-1+CD8+ T cells/lymphocytes than the treatment-naïve CHB patients (P < 0.05). In the treatment-naïve CHB patients, the serum levels of sPD-1 and sPD-L1 were moderately negatively correlated with HBsAg level (r=-0.524 and -0.583, both P < 0.05). The serum levels of sPD-1 and sPD-L1 were moderately positively correlated with PD-1+CD8+ T cells/lymphocytes (r=0.535 and 0.419, both P < 0.05). In the CHB patients with clinical cure, the serum levels of sPD-1 and sPD-L1 were not correlated with age, sex, alanine aminotransferase, T cells/lymphocytes, CD8+ T cells/lymphocytes, PD-1+ T cells/lymphocytes or PD-1+CD8+ T cells/lymphocytes (all P > 0.05).  Conclusion  The serum levels of sPD-1 and sPD-L1 in treatment-naïve CHB patients are mainly associated with exhausted CD8+ T cells in peripheral blood, while there is no significant correlation between serum sPD-1/sPD-L1 and exhausted CD8+ T cells in peripheral blood in CHB patients with clinical cure.
Expression levels of HBV pregenomic RNA and hepatitis B core-related antigen in circulating serum and their association with recurrence in chronic hepatitis B patients after withdrawal from nucleos(t)ide analogues
Shiwan ZHANG, Xing CHEN, Jiao LIU, Min ZHAO, Xiaoping MEI
2023, 39(1): 56-62. DOI: 10.3969/j.issn.1001-5256.2023.01.009
Abstract(2445) HTML (1557) PDF (2010KB)(146)
Abstract:
  Objective  To investigate the expression levels of HBV pregenomic RNA (pgRNA) and hepatitis B core-related antigen (HBcrAg) in circulating serum of chronic hepatitis B (CHB) patients after withdrawal from nucleos(t)ide analogues (NUC), as well as the correlation of HBV pgRNA and HBcrAg levels in circulating blood in different periods of time with recurrence in CHB patients after drug withdrawal.  Methods  Among the patients who attended the outpatient service of Affiliated Hospital of North Sichuan Medical College from December 2019 to July 2022, a total of 108 CHB patients who received anti-HBV therapy for at least 5 years and met the criteria for drug withdrawal in 2017 EASL Guidelines were enrolled. According to the time of drug withdrawal, the patients were divided into 4-, 12-, and 24-week groups after drug withdrawal, and according to the presence or absence of recurrence, they were divided into recurrence group and non-recurrence group. Quantitative real-time PCR was used to measure the level of HBV pgRNA in circulating serum of CHB patients; ELISA was used to measure the expression level of HBcrAg in peripheral venous blood; quantitative real-time PCR was used to measure HBV DNA load with high accuracy. The t-test was used for comparison of continuous data between two groups. A one-way analysis of variance was used for comparison of continuous data between multiple groups, and the least significant difference t-test was used for further comparison between two groups. The Pearson correlation test was used to investigate the correlation between the indices in circulating blood.  Results  For the CHB patients after drug withdrawal, the recurrence rate was 17.1% at 4-12 weeks, cumulative recurrence rate reached 29.3% after 24 weeks of follow-up, the patients with positive HBV DNA alone accounted for 64.3% and 60.0%, respectively, those with positive HBeAg alone accounted for 28.5% and 20.0%, respectively, and those with positive HBV DNA and HBeAg accounted for 7.1% and 20.0%, respectively. The expression levels of HBV pgRNA, HBcrAg, and HBV DNA in circulating serum of CHB patients at 24 weeks after drug withdrawal were significantly higher than those at the time of drug withdrawal and at 4 weeks after drug withdrawal, and there was a significant difference between groups at different time points (all P < 0.05). Compared with the non-recurrence group, the recurrence group had significantly higher expression levels of HBV pgRNA, HBcrAg, and HBV DNA in circulating serum (t=2.549, 8.654, and 27.429, all P < 0.05), and further analysis of the recurrence group showed that the levels of HBV pgRNA, HBcrAg, and HBV DNA in circulating serum at 12-24 weeks were significantly higher than those at 4-12 weeks (all P < 0.05). At the time of drug withdrawal, the recurrence group had significantly higher expression levels of HBV pgRNA and HBcrAg in circulating serum than the non-recurrence group (t=18.561 and 6.152, both P < 0.001). The Pearson correlation analysis showed that in the recurrence group after drug withdrawal, HBV pgRNA and HBcrAg were positively correlated with HBV DNA in circulating serum (r=0.82 and 0.66, both P < 0.001), while no such correlation was observed in the non-recurrence group (r=0.14 and 0.04, both P > 0.05).  Conclusion  The recurrence group had significantly higher expression levels of HBV pgRNA and HBcrAg than the non-recurrence group at the time of drug withdrawal, suggesting that the levels of HBV pgRNA and HBcrAg in the CHB patients of the non-recurrence group at the time of drug withdrawal may be used as the reference thresholds for safe drug withdrawal in CHB patients, and measurement of HBV pgRNA and HBcrAg may be one of the potential reference indicators for the selection of anti-HBV treatment endpoints in the future.
Clinical features and related risk factors of chronic hepatitis B patients with concomitant minimal hepatic steatosis
Xiaoyan MA, Yun CHEN, Jiacheng LIU, Jie LI, Chao WU
2023, 39(1): 63-69. DOI: 10.3969/j.issn.1001-5256.2023.01.010
Abstract(2301) HTML (1433) PDF (2358KB)(182)
Abstract:
  Objective  To investigate the changes of clinical indices in chronic hepatitis B (CHB) patients with concomitant minimal hepatic steatosis and related factors for minimal hepatic steatosis.  Methods  A total of 179 CHB patients who underwent liver biopsy in Department of Infectious Diseases, Affiliated Drum Tower Hospital of Nanjing University Medical School, from July 2018 to March 2022 were enrolled, and according to the degree of steatosis, they were divided into non-steatosis group with 98 patients and minimal hepatic steatosis group with 81 patients. Demographic information, clinical data, and liver histopathology data were collected, and related observation indices were compared between the two groups. The independent samples t-test was used for comparison of normally distributed continuous data between two groups, and the Mann-Whitney U test was used for comparison of non-normally distributed continuous data between two groups; the chi-square test was used for comparison of categorical data between groups. A Spearman correlation analysis was performed, and a Logistic regression analysis was used to investigate the risk factors for minimal hepatic steatosis.  Results  Compared with the non-steatosis group, the minimal hepatic steatosis group had a significantly higher proportion of male patients (69.1% vs 52.0%, χ2=5.390, P < 0.05) and a significantly higher proportion of patients with significant liver fibrosis (43.2% vs 25.5%, χ2=6.234, P < 0.05). Compared with the non-steatosis group, the minimal hepatic steatosis group had significantly higher levels of body mass index (BMI) (23.61±2.95 kg/m2 vs 22.13±2.67 kg/m2, t=-4.150, P < 0.05), uric acid (UA) [333.0(291.0-375.5) μmol/L vs 287.5(244.8-345.3) μmol/L, Z=-3.620, P < 0.05], triglyceride [0.92 (0.66-1.14) μmol/L vs 0.77 (0.62-1.02) μmol/L, Z=-2.224, P < 0.05], and controlled attenuation parameter (CAP) [234 (214-258) dB/m vs 218 (201-237) dB/m, Z=-2.867, P < 0.05]. In the group with normal body weight, the patients with minimal hepatic steatosis had significantly higher levels of UA (333.0±63.9 μmol/L vs 291.0±72.8 μmol/L, t=-2.395, P < 0.05) a nd HBV DNA [4.44 (3.51-6.79) log10 IU/mL vs 3.42 (3.00-5.03) log10 IU/mL, Z=-2.474, P < 0.05]. BMI (odds ratio [OR]=1.223, 95% confidence interval [CI] : 1.086-1.378, P=0.001) and UA (OR=1.006, 95%CI: 1.002-1.010, P=0.008) were risk factors for minimal hepatic steatosis in CHB patients, and UA (OR=1.007, 95%CI: 1.001-1.013, P=0.022) was a risk factors for minimal hepatic steatosis in CHB patients with normal body weight.  Conclusion  Compared with the non-steatosis CHB patients, the CHB patients with minimal hepatic steatosis have a significantly higher proportion of patients with significant liver fibrosis and a significantly higher level of CAP. BMI and UA are independent risk factors for minimal hepatic steatosis in CHB patients, and for the CHB patients with normal body weight, elevated UA is closely associated with the onset of minimal hepatic steatosis.
Clinical characteristics and prognosis of acute on chronic liver failure in patients with recompensatory hepatitis B cirrhosis
Lei LIU, Jing LIANG, Baiguo XU, Fei WANG, Jia LIAN, Yankai YANG
2023, 39(1): 70-76. DOI: 10.3969/j.issn.1001-5256.2023.01.011
Abstract(2520) HTML (1360) PDF (2214KB)(151)
Abstract:
  Objective  To assess the clinical characteristics of acute-on-chronic liver failure in patients with recompensatory hepatitis B cirrhosis.  Methods  A total of 180 patients with acute-on-chronic liver failure hospitalized in Tianjin Third Central Hospital from September 2013 to September 2021 were retrospectively collected, with 110 patients had compensatory hepatitis B cirrhosis and 70 patients had compensatory hepatitis B cirrhosis and used as the control. Their causes, clinical biochemical indicators, complication rate, and prognosis were compared. The Chi-square test or Fisher's exact test was used for comparison of categorical variables between groups, and the Mann-Whitney U test was performed for analysis of the continuous variables. Kaplan-Meier curves and Log-rank test were used for survival of patients.  Results  The incidence of hepatorenal syndrome (χ2=4.618, P=0.032), infection (χ2=6.712, P=0.010), Cr (Z =-4.508, P < 0.001), and PCT (Z=-2.052, P=0.040) were all higher, whereas GGT (Z=-2.042, P=0.041), Na (Z=-2.001, P=0.045), FBS (Z=-3.065, P=0.002), and TC (Z=-4.268, P < 0.001) were all lower in the recompensation group than in the control group of patients. However, 90-day mortality rate (χ2=3.366, P=0.067) and 1-year mortality rate (χ2=1.893, P=0.169), 90-day survival (χ2=2.68, P=0.100), and 1-year survival (χ2=2.074, P=0.150) were not statistically significant difference.  Conclusion  Compared with compensatory hepatitis B cirrhosis, patients with recompensatory cirrhosis had an increased risk in developing hepatorenal syndrome, infection, and increased creatinine level after acute-on-chronic liver failure, although there was no statistically significant difference in 90-days and 1-year survival of patients.
Expression and significance of immune cells in patients with hepatitis B virus-related acute-on-chronic pre-liver failure
Fang WANG, Jianhua LU, Yonggang LIU, Xinyu ZHANG, Huimin YAN
2023, 39(1): 77-82. DOI: 10.3969/j.issn.1001-5256.2023.01.012
Abstract(2388) HTML (1302) PDF (1963KB)(122)
Abstract:
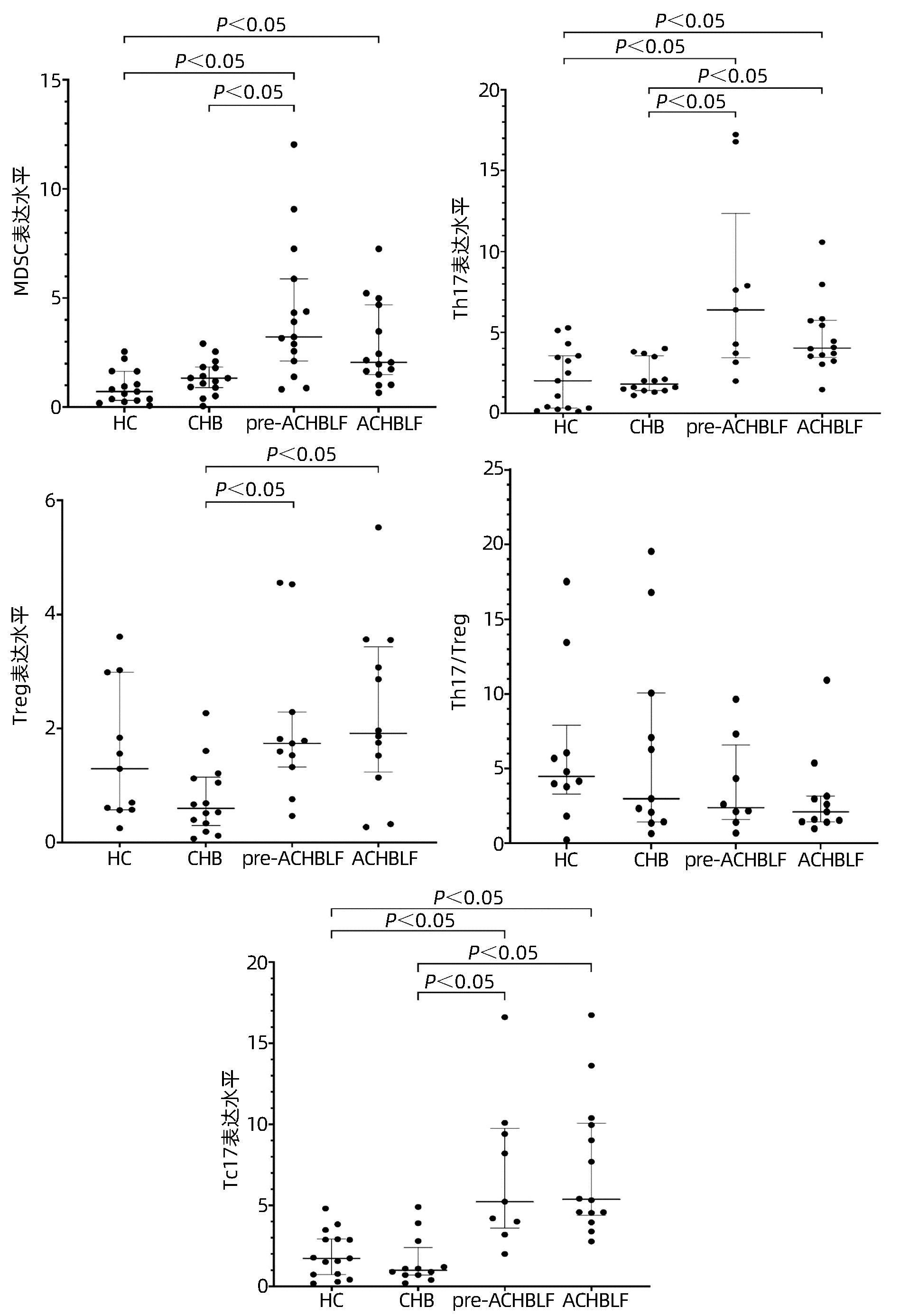
  Objective  To investigate the expression of myeloid-derived suppressor cells (MDSC), regulatory T cells (Treg), IL-17-producing CD4+ T cells (Th17), and CD8+ T cells (Tc17) in hepatitis B virus-related acute-on-chronic pre-liver failure (pre-ACHBLF), and to provide ideas for the early treatment of acute-on-chronic hepatitis B liver failure (ACHBLF).  Methods  A total of patients with pre-ACHBLF and 15 patients with ACHBLF who were hospitalized in Shijiazhuang Fifth Hospital, from August 2018 to May 2019 were enrolled as subjects, and 15 patients with chronic hepatitis B (CHB) and 15 healthy controls (HC) who underwent physical examination were enrolled as controls. Flow cytometry was used to measure the expression levels of MDSC and Th17, Treg, and Tc17 cells in peripheral blood; a blood analyzer was used to measure routine blood parameters and calculate neutrophil-to-lymphocyte ratio (NLR), monocyte-to-lymphocyte ratio (MLR), platelet-to-lymphocyte ratio (PLR), and systemic immune-inflammation index(SIRS) to evaluate the degree of inflammation, and the correlation between the expression of immune cells and the degree of inflammation was analyzed. An analysis of variance for independent samples was used for comparison of normally distributed continuous data between multiple groups, and the least significant difference t-test was used for further comparison between two groups; the Kruskal-Wallis H test was used for comparison of non-normally distributed continuous data between multiple groups, and the Nemenyi test was used for further comparison between two groups. A Pearson linear correlation analysis or Spearman's rank correlation analysis was used to investigate the correlation between variables.  Results  Compared with the CHB group, the ACHBLF and pre-ACHBLF groups had significant increases in the expression levels of Th17, Treg, and Tc17 cells, and the pre-ACHBLF group also had a significant increase in the expression level of MDSC (all P < 0.05). The correlation analysis showed that in pre-ACHBLF patients, MDSC were positively correlated with leukocyte count, neutrophil count, NLR, MLR, and SII (r=0.775, 0.727, 0.571, 0.786, and 0.846, all P < 0.05), and Treg cells were only positively correlated with leukocyte count (r=0.618, P=0.043); Th17/Treg ratio and Tc17 cells were negatively correlated with the number of lymphocytes (r=-0.790 and -0.795, both P < 0.05).  Conclusion  Cellular immune dysfunction is observed in patients with pre-ACHBLF, and the expression of MDSC is closely associated with the degree of inflammation and should be taken seriously in the early stage.
Original Article_Fatty Liver Disease
Association between serum alkaline phosphatase and type 2 diabetes mellitus with nonalcoholic fatty liver disease
Fangfang QIAN, Meiqing DAI, Li ZHAO, Xia DENG, Ling YANG, Jue JIA, Jifang WANG, Dong WANG, Guoyue YUAN
2023, 39(1): 83-88. DOI: 10.3969/j.issn.1001-5256.2023.01.013
Abstract(2720) HTML (1700) PDF (1751KB)(183)
Abstract:
  Objective  To investigate the association between serum alkaline phosphatase (ALP) and type 2 diabetes mellitus (T2DM) with nonalcoholic fatty liver disease (NAFLD).  Methods  A total of 599 patients with T2DM who were hospitalized in Department of Endocrinology, Affiliated Hospital of Jiangsu University, from July 2016 to December 2018 were enrolled as subjects. According to the presence or absence of NAFLD, the patients were divided into NAFLD group with 286 patients and non-NAFLD group with 313 patients, and according to the results of abdominal ultrasound, the patients with NAFLD were divided into mild group with 111 patients, moderate group with 105 patients, and severe group with 70 patients. General clinical data were compared between groups. The independent samples t- test was used for comparison of normally distributed continuous data between two groups, and an analysis of variance was used for comparison between three groups; the Mann-Whitney U test was used for comparison of non-normally distributed continuous data between two groups, and the Kruskal-Wallis H test was used for comparison between three groups; the chi-square test was used for comparison of categorical data between groups. Pearson correlation analysis and Spearman correlation analysis were used to investigate the correlation between ALP and clinical indices, and a logistic regression analysis was used to investigate the influencing factors for NAFLD.  Results  Compared with the non-NAFLD group, the NAFLD group had significantly higher proportion of patients with history of hypertension (χ2=7.864, P < 0.05), systolic blood pressure (t=-2.226, P < 0.05), diastolic blood pressure (t=-3.800, P < 0.05), body mass index (BMI) (t=-11.842, P < 0.05), waist circumference (WC) (t=-9.150, P < 0.05), fasting insulin (FINS) (Z=-6.173, P < 0.05), fasting C-peptide (t=-5.419, P < 0.05), serum uric acid (t=-4.957, P < 0.05), low-density lipoprotein cholesterol (t=-2.702, P < 0.05), triglyceride (Z=-9.376, P < 0.05), total cholesterol (TC) (t=-3.016, P < 0.05), Homeostasis Model Assessment of Insulin Resistance (HOMA-IR) (Z=-5.794, P < 0.05), alanine aminotransferase (ALT) (Z=-6.737, P < 0.05), aspartate aminotransferase (AST) (Z=-4.389, P < 0.05), gamma-glutamyl transpeptidase (GGT) (Z=-7.764, P < 0.05), and ALP (t=-2.833, P < 0.05), as well as significantly lower age (t=2.184, P < 0.05) and high-density lipoprotein cholesterol (Z=-5.273, P < 0.05). The severity of NAFLD (mild, moderate or severe) was positively correlated with age (rs=0.140, P < 0.05), BMI (rs=0.239, P < 0.05), WC (rs=0.222, P < 0.05), FINS (rs=0.191, P < 0.05), HOMA-IR (rs=0.218, P < 0.05), ALT (rs=0.188, P < 0.05), AST (rs=0.279, P < 0.05), GGT (rs=0.202, P < 0.05), and ALP (rs=0.361, P < 0.05). In the patients with T2DM and NAFLD, ALP was positively correlated with HbAlc (r=0.149, P < 0.05), fasting plasma glucose (r=0.146, P < 0.05), HOMA-IR (rs=0.132, P < 0.05), TC (r=0.151, P < 0.05), ALT (rs=0.210, P < 0.05), AST (rs=0.192, P < 0.05), and GGT (rs=0.297, P < 0.05). The logistic regression analysis showed that ALP was an influencing factor for NAFLD in patients with T2DM (odds ratio=1.013, 95% confidence interval: 1.004-1.023, P < 0.05).  Conclusion  Elevated serum ALP is a risk factor for T2DM with NAFLD and is closely associated with hyperglycemia, insulin resistance, and hyperlipemia, and ALP may play a role in the development and progression of T2DM and NAFLD.
Role of glutathione transferase in nonalcoholic fatty liver disease: An analysis based on gene expression profile
Tingting SHEN, Gerui ZHU, Fan WANG, Xin SUN, Kai HUANG, Yuan PENG, Yanyan TAO, Chenghai LIU
2023, 39(1): 89-96. DOI: 10.3969/j.issn.1001-5256.2023.01.014
Abstract(3056) HTML (1533) PDF (4657KB)(170)
Abstract:
  Objective  To investigate the role of glutathione transferase in nonalcoholic fatty liver disease (NAFLD) induced by high-fat diet using the RNA-Seq technique in combination with gene ontology (GO) and Kyoto Encyclopedia of Genes and Genomes (KEGG) enrichment analyses of differentially expressed genes.  Methods  A total of 14 male C57BL/6J mice were divided into control group with 6 mice and model group with 8 mice by random sampling. The mice in the control group were fed with normal diet, and those in the model group were fed with high-fat diet for 7 consecutive weeks to establish a model of NAFLD. Kits were used to measure the activities of serum alanine aminotransferase (ALT) and aspartate aminotransferase (AST) and the level of triglyceride (TG), and HE staining and oil red staining were used to observe liver pathology and deposition of lipid droplets. Liver tissue RNA was extracted for RNA-Seq, and genes with a fold change of ≥2.0 and a P value of < 0.05 were defined as differentially expressed genes; after differentially expressed genes were screened out between the control group and the model group, GO and KEGG enrichment analyses were performed, and qRT-PCR was used to validate the expression of the differentially expressed genes. The independent samples t-test was used for comparison of normally distributed continuous data between two groups.  Results  There were no significant differences between the two groups in body weight and the serum levels of ALT and AST (all P > 0.05). Compared with the control group, the model group had a significantly higher serum level of TG (2.02±0.50 mmol/L vs 1.00±0.29 mmol/L, t=-4.45, P=0.001). HE staining showed diffuse steatosis and ballooning degeneration in the model group, and oil red staining showed that the model group had a significant increase in orange-red lipid droplets in the cytoplasm of hepatocytes and a significantly higher grade of hepatocyte steatosis than the control group (1.88±0.64 vs 1.00±0.00, t=-3.86, P=0.006). RNA-seq results showed a total of 1367 differentially expressed genes between the two groups, among which there were 608 upregulated genes and 759 downregulated genes, and there were 17 differentially expressed GST genes between the two groups. The top 10 GST genes in terms of fold change were validated, and compared with the control group, the model group had downregulated expression of GSTa2, GSTa3, GSTa4, GSTm1, GSTm2, GSTm3, GSTm4, GSTp1, and GSTo1 and upregulated expression of GSTk1. The results of qRT-PCR were consistent with the results of sequencing.  Conclusion  GST affects lipid metabolism by participating in various biological processes such as steroid metabolism, fatty acid metabolism, and cholesterol metabolism and is closely associated with the pathogenesis of NAFLD.
Original Article_Autoimmune Liver Disease
Diagnostic value of real-time shear wave elastography for liver fibrosis in patients with autoimmune hepatitis
Xuexin WANG, Yingxia LI, Libin JIANG, Mingxia ZHOU, Dapeng WEI, Xiaopeng ZHANG, Hongtao WEN
2023, 39(1): 97-103. DOI: 10.3969/j.issn.1001-5256.2023.01.015
Abstract(2610) HTML (1585) PDF (1990KB)(135)
Abstract:
  Objective  To explore the diagnostic value of Young's modulus obtained by real-time shear wave elastography (SWE) for liver fibrosis in autoimmune hepatitis (AIH) patients.  Methods  A total of 75 AIH patients in the First Affiliated Hospital of Zhengzhou University from January 2013 to April 2022 were retrospectively enrolled. Scheuer scoring system was used to evaluate degrees of liver fibrosis (S0-S4). By using pathological examination of liver tissues as the golden standard, the receiver operating characteristic curve (ROC) was plotted and the area under the curve (AUC) was used to evaluate the diagnostic value of SWE for the significant fibrosis (≥S2), advanced liver fibrosis (≥S3), and liver cirrhosis (S4), respectively. Independent sample t test was used for comparison of continuous data with normal distribution between the two groups. The Kruskal-Wallis H test was used for comparison of non-normally distributed continuous data between multiple groups and Bonferroni method was used for further comparison between two groups. The Spearman correlation coefficient was used for correlation analysis. The logistic regression analysis was used to predict the impact factors in diagnosis accuracy.  Results  The Young's modulus measured by SWE was statistically significant different among various fibrosis groups (H=35.186, P < 0.001) although there was no statistical significance in patients' age and platelet, alanine aminotransferase, aspartate aminotransferase, total bilirubin, alkaline phosphatase, and glutamyl transpeptidase levels (all P > 0.05). The Young's modulus measurement was positively correlated with liver fibrosis (r=0.675, P < 0.05). The AUCs of SWE in the diagnosis of≥S2, ≥S3, and S4 were 0.839, 0.820 and 0.898, respectively and the corresponding optimum cut-off values were 9.2, 10.9, and 14.4 kPa, respectively. The overall concordance rate of the liver Young' s modulus measurements vs. fibrosis stages was 57.33%. Moreover, the alkaline phosphatase level was an independent predictor for diagnostic accuracy of SWE for stage 0-1 fibrosis (OR=1.009, 95%CI: 1.001-1.018, P=0.029).  Conclusion  The SWE possessed a diagnosis value for the significant fibrosis (≥S2), advanced liver fibrosis (≥S3) and liver cirrhosis (S4), although there was a low overall concordance rate in the liver Young's modulus measurements obtained using SWE vs. fibrosis stages.
Original Article_Liver Fibrosis and Liver Cirrhosis
Hemodynamic characteristics of proper hepatic artery and portal vein in patients after splenectomy and devascularization
Xiaofei ZHAO, Daobing ZENG, Guangming LI, Qingliang GUO, Liang DI, Jing DING
2023, 39(1): 104-109. DOI: 10.3969/j.issn.1001-5256.2023.01.016
Abstract(2475) HTML (1438) PDF (1732KB)(116)
Abstract:
  Objective  To investigate the characteristics of hemodynamics of proper hepatic artery and portal vein after splenectomy and devascularization.  Methods  The clinical data of 103 patients with portal hypertension who underwent splenectomy and devascularization in the Capital Medical University-Affiliated You'an Hospital from April 2014 to February 2019 were retrospectively analyzed. Their hemodynamics of the proper hepatic artery and portal vein were recorded before and 1 week-, and 1-, 3-, 6-, 12-, and 24-months after surgery and then statistically analyzed. Continuous data with normal distribution were compared using paired-samples t test.  Results  Compared with the before surgery data, the portal vein diameter, portal vein flow, maximum velocity, and average velocity of the portal vein were all significantly decreased 1-week-, 1-, 3-, 6-, 12-, and 24-months after splenectomy and devascularization (all P < 0.05). The blood flow and velocity of the proper hepatic artery was significantly increased 1 week and 1 month after surgery (all P < 0.05); however, there was no statistically significant difference at 3-, 6-, 12-, and 24-months after surgery.  Conclusion  The diameter, flow, and flow velocity of the portal vein after splenectomy and devascularization were significantly lower than those before surgery, whereas the proper hepatic artery flow and flow velocity were increased within 1 month after surgery and then returned back to the pre-surgery levels 3 months after surgery.
Original Articles_Liver Neoplasm
Establishment and validation of a nomogram risk prediction model for infection complications in patients after hepatectomy for liver cancer
Mingqiang ZHU, Dashuai YANG, Xiangyun XIONG, Junpeng PEI, Yang PENG, Youming DING
2023, 39(1): 110-117. DOI: 10.3969/j.issn.1001-5256.2023.01.017
Abstract(2451) HTML (1586) PDF (2267KB)(158)
Abstract:
  Objective  To investigate the risk factors of infection after hepatectomy for liver cancer, and to establish and validate a risk prediction model.  Methods  The clinical data of 167 patients with primary liver cancer who underwent hepatectomy in People's Hospital of Wuhan University from January 2020 to March 2022 were retrospectively collected. All patients were divided into postoperative infection group (n=28) and non-infection group (n=139) according to whether postoperative infection complications occurred. The t-test or Mann-Whitney U test was used for comparison of continuous data between two groups and the chi-square test was used for comparison of categorical data between two groups. Univariate analysis and logistic regression analysis were used to screen the risk factors of infection after hepatectomy for hepatocellular carcinoma, and a nomogram risk prediction model for postoperative infection was established. All patients were randomly divided into training cohort (n=119) and the validation cohort (n=48) according to the ratio of 7∶ 3, the Bootstrap method was used for internal validation of the model, and the model calibration curve and ROC curve were used to evaluate the calibration and discrimination of the nomogram model.  Results  Postoperative infection occurred in 28 of 167 patients (16.8%). Logistic regression analysis showed that diabetes, CONUT score ≥4 points, preoperative NLR, operation time, intraoperative blood loss, and drainage tube placement time > 7 d were independent risk factors for infection after hepatectomy for liver cancer (all P < 0.05). Based on the nomogram constructed from the above six risk factors, the area under the ROC curve of the training cohort and the validation cohort was 0.848, and 0.853, respectively. The calibration curve of the nomogram model shows that the predicted value is basically consistent with the actual observed value, indicating that the accuracy of the nomogram model prediction is better.  Conclusion  The individualized nomogram risk prediction model based on diabetes, CONUT score ≥4 points, preoperative NLR, operation time, intraoperative blood loss, and drainage tube placement time > 7 d has good predictive performance and has high predictive value for high-risk patients.
Predictive value of preoperative alkaline phosphatase to prealbumin ratio in prognosis and postoperative complications in patients with hepatocellular carcinoma after radical tumor resection
Shengdeng CHEN, Zhiqiang MOU, Zhongyao CHEN, Jian WEN, Qiu LI
2023, 39(1): 118-127. DOI: 10.3969/j.issn.1001-5256.2023.01.018
Abstract(2406) HTML (1720) PDF (2364KB)(128)
Abstract:
  Objective  To explore the predictive value of preoperative alkaline phosphatase to prealbumin ratio (APR) in prognosis and postoperative complications for patients with hepatocellular carcinoma (HCC) after radical tumor resection.  Methods  A total of 217 HCC patients who underwent radical tumor resection in the Department of Hepatobiliary Surgery of the Affiliated Hospital of Southwest Medical University from January 2013 to August 2021 were retrospectively recruited and their clinical data were statistically analyzed. The X-tile software was used to obtain the optimal cutoff value of APR. The χ2 test was conducted to analyze association between preoperative APR and other clinicopathological characteristics. The Kaplan-Meier curve was plotted and the Log-rank test was performed to analyze survival of patients. The univariate and multivariate Cox proportional hazards regression models were used to analysis factors affecting the prognosis of HCC patients. The univariate analysis and multivariate Logistic regression were used to identify factors related with postoperative complications. The receiver operating characteristic (ROC) curve was used to determine the predicting value of APR.  Results  The optimal cutoff value for APR ratio was 0.5 and these 217 patients were divided into the low- and high APR groups (111 vs 106 cases) accordingly. Compared with the low-APR group, the proportion of patients with ALT (> 50 U/L), Alb (< 40 g/L), the CNLC of the III stage, open surgery, liver cirrhosis, multiple tumor lesions, postoperative complication, and major complication were significantly increased in the high-APR patients (all P < 0.05). Moreover, the 1-, 3-, and 5-year OS were 86.0%, 74.9%, and 71.3%, respectively in the low-APR patients, while the numbers were 79.2%, 57.5%, and 47.0%, respectively, in the high-APR patients, indicating that patients in high-APR group had significantly worse OS (P=0.002). AFP (HR=1.774, 95%CI: 1.107-2.843, P=0.017), CNLC stage (HR=2.708, 95%CI: 1.514-4.844, P=0.001), tumor size (HR=1.696, 95%CI: 1.060-2.714, P=0.028), and APR (HR=2.022, 95%CI: 1.244-3.285, P=0.004) were all independent risk predictors for OS. The 1-, 3-, and 5-year RFS were 82.3%, 69.4%, and 61.3%, respectively, in the low-APR patients, whereas the numbers were 76.2%, 54.4%, and 44.2%, respectively in the high-APR patients, suggesting that high-APR patients had significantly worse recurrence-free survival (P=0.016). The CNLC stage (HR=2.509, 95%CI: 1.423-4.422, P=0.001), tumor size (HR=1.725, 95%CI: 1.119-2.660, P=0.014), and APR (HR=1.619: 95%CI: 1.037-2.527, P=0.034) were all independent FRS predictors. Hypertension (OR=3.09, 95%CI: 1.385-6.893, P=0.006), open surgery (OR=4.198, 95%CI: 1.779-9.907, P=0.001), liver cirrhosis (OR=2.376, 95%CI: 1.194-4.729, P=0.014), and APR (OR=2.151, 95%CI: 1.160-3.986, P=0.015) were all independent risk predictors for the postoperative major complications. The AUC for APR, ALP, a nd PA in predicting the major complications was 0.625 (95%CI: 0.547-0.702), 0.613 (95%CI: 0.534-0.693), and 0.554 (0.474-0.634).  Conclusion  Preoperative APR could be used to predict prognosis and postoperative major complications of HCC patients after radical tumor resection.
Expression of peripheral CD100 and its regulation to T lymphocytes function in patients with hepatocellular carcinoma
Huijuan FAN, Chun SONG
2023, 39(1): 128-136. DOI: 10.3969/j.issn.1001-5256.2023.01.019
Abstract(2251) HTML (1386) PDF (3538KB)(107)
Abstract:
  Objective  To investigate the changes of peripheral CD100 in patients with hepatocellular carcinoma (HCC), and to assess the regulatory function of CD100 to T lymphocytes in HCC patients.  Methods  A prospective study was conducted. Fifty-seven HCC patients and twenty-two controls who were hospitalized in our hospital between April 2020 and July 2021 were enrolled. Anti-coagulant peripheral blood was collected. Plasma and peripheral blood mononuclear cells (PBMC) were isolated. Plasma soluble CD100 (sCD100) level was measured by enzyme-linked immunosorbent assay. Membrane-bound CD100 (mCD100) expression on CD4+ and CD8+ T lymphocytes was measured by flow cytometry. PBMC from HCC patients were stimulated with recombinant human CD100. Cellular proliferation was measured by cell counting kit-8. Different types of T helper cells (Th cells) and cytotoxic T cells (Tc cells) were assessed by flow cytometry. Perforin and granzyme B secretion by alpha fetoprotein (AFP) specific CD8+ T lymphocytes was assessed by enzyme-linked immunospot assay. CD8+ T lymphocytes were purified from HCC patients, and were stimulated with recombinant human CD100. Stimulated CD8+ T lymphocytes were co-cultured with HepG2 cells. AFP specific CD8+ T lymphocytes-induced HepG2 cell death was investigated. Student's t test or paired t test was used for comparison of normally distributed continuous data between two groups. Mann-Whitney U test was used for comparison of abnormally distributed continuous data between two groups. Chi square test was used for comparison of categorial data between two groups.  Results  Plasma sCD100 level was lower in HCC group when compared with control group ((2.73±0.58)ng/mL vs(3.33±0.84)ng/mL, t=3.584, P < 0.001). HCC group had higher percentage of mCD100+ cells (55.57%±11.33% vs 43.67%±6.40%, t=4.636, P < 0.001) and elevated mCD100 mean fluorescent intensity (MFI) (294.80±74.01 vs 255.00±74.01, t=2.126, P=0.037) within CD4+ T lymphocytes when compared with control group. Similarly, HCC group also had higher percentage of mCD100+ cells (48.65%±7.71% vs 41.74%±4.77%, t=3.914, P < 0.001) and elevated mCD100 MFI (289.20±89.30 vs 246.10±60.73, t=2.082, P=0.041) within CD8+ T lymphocytes when compared with control group. There were no significant differences of either cellular proliferation or T lymphocytes percentage between PBMC with and without recombinant human CD100 stimulation in HCC patients (all P > 0.05). The percentages of CD4+IFNγ+Th1 cells, CD4+IL-17A+Th17 cells, CD4+IL-22+Th22 cells, and CD8+IFNγ+Tc1 cells were notably increased in response to CD100 stimulation when compared with no CD100 stimulation (t=2.608、5.663、4.113、4605, all P < 0.05). There were no remarkably differences of either CD8+IL-17A+Tc17 or CD8+IL-22+Tc22 cell frequency between PBMCs with and without recombinant human CD100 stimulation in HCC patients (all P > 0.05). Perforin and granzyme B secretion by AFP specific CD8+ T lymphocytes were significantly elevated in response to CD100 stimulation when compared with no CD100 stimulation in HLA-A02 restricted HCC patients (P < 0.05). AFP specific CD8+ T lymphocytes-induced HepG2 cell death was also increased in response to CD100 stimulation (t=6.794、2.308, both P < 0.05).  Conclusion  There was an imbalance between sCD100 and mCD100 on T lymphocytes in HCC patients. Reduced sCD100 level might be insufficient for maintenance of T lymphocytes activity, leading to the immunotolerance in HCC.
Original Articles_Other Liver Disease
Association of energy metabolism with serum thyroid hormone levels in patients with liver failure and their impact on prognosis
Xing LIU, Ming KONG, Xin HUA, Yinchuan YANG, Manman XU, Yanzhen BI, Lu LI, Zhongping DUAN, Yu CHEN
2023, 39(1): 137-141. DOI: 10.3969/j.issn.1001-5256.2023.01.020
Abstract(2268) HTML (1492) PDF (1774KB)(143)
Abstract:
  Objective  To explore the predictive value of the model for end-stage liver disease (MELD) score, energy metabolism and serum thyroid hormone levels on the severity and prognosis of patients with liver failure and their correlation.  Methods  This study collected clinicopathological data from 60 liver failure patients, e.g., end-stage liver disease (MELD) score, energy metabolism, and serum thyroid hormone levels. The χ2 test was performed to analyze the categorical variables, while the Mann-Whitney U test and independent sample t test were performed to assess the continuous variables between the two groups. Spearman correlation coefficient test was used to evaluate correlation of each index. The receiver operating characteristic (ROC) curve was used to analyze the optimal cut-off points of serum total triiodothyronine (TT3) and free triiodothyronine (FT3) levels in predicting prognosis of the patients.  Results  The rates of low TT3 and FT3 levels in liver failure patients were 78.2% and 69.1%, respectively, whereas the low TT3 rates were 95.2% and 67.6% and the low FT3 rates were 90.5% and 55.9% in survival and non-survival groups of patients, respectively (both P < 0.05). Moreover, the MELD score was significantly higher in the non-survival patients than in survival patients [26.0(21.0-29.0) vs 21.0 (19.0-24.0), Z=-3.396, P=0.001], while TT3 and FT3 levels were significantly lower in the non-survival patients than in the survival patients [0.69(0.62-0.73) vs 0.83(0.69-0.94) and 2.17(1.99-2.31) vs 2.54(2.12-2.86), respectively; Z=-2.884、-2.876, all P < 0.01]. The MELD score was negatively associated with serum TT3, FT3, and thyroid stimulating hormone (TSH) levels and the respiratory quotient (RQ) (r=-0.487、-0.329、-0.422、-0.350, all P < 0.01), whereas the RQ was associated with serum TT3 and FT3 levels (r=0.271、0.265, all P < 0.05). The optimal cutoff values in predicting the severity and survival of patients was 0.75 nmol/L and 2.37pmol/L with the sensitivity values of 67.6% and 64.7% and the specificity of 90.5% and 81.0%, respectively.  Conclusion  Abnormal thyroid hormone levels and low respiratory quotient could be used to predict the severity and prognosis of patients with liver failure.
Case Report
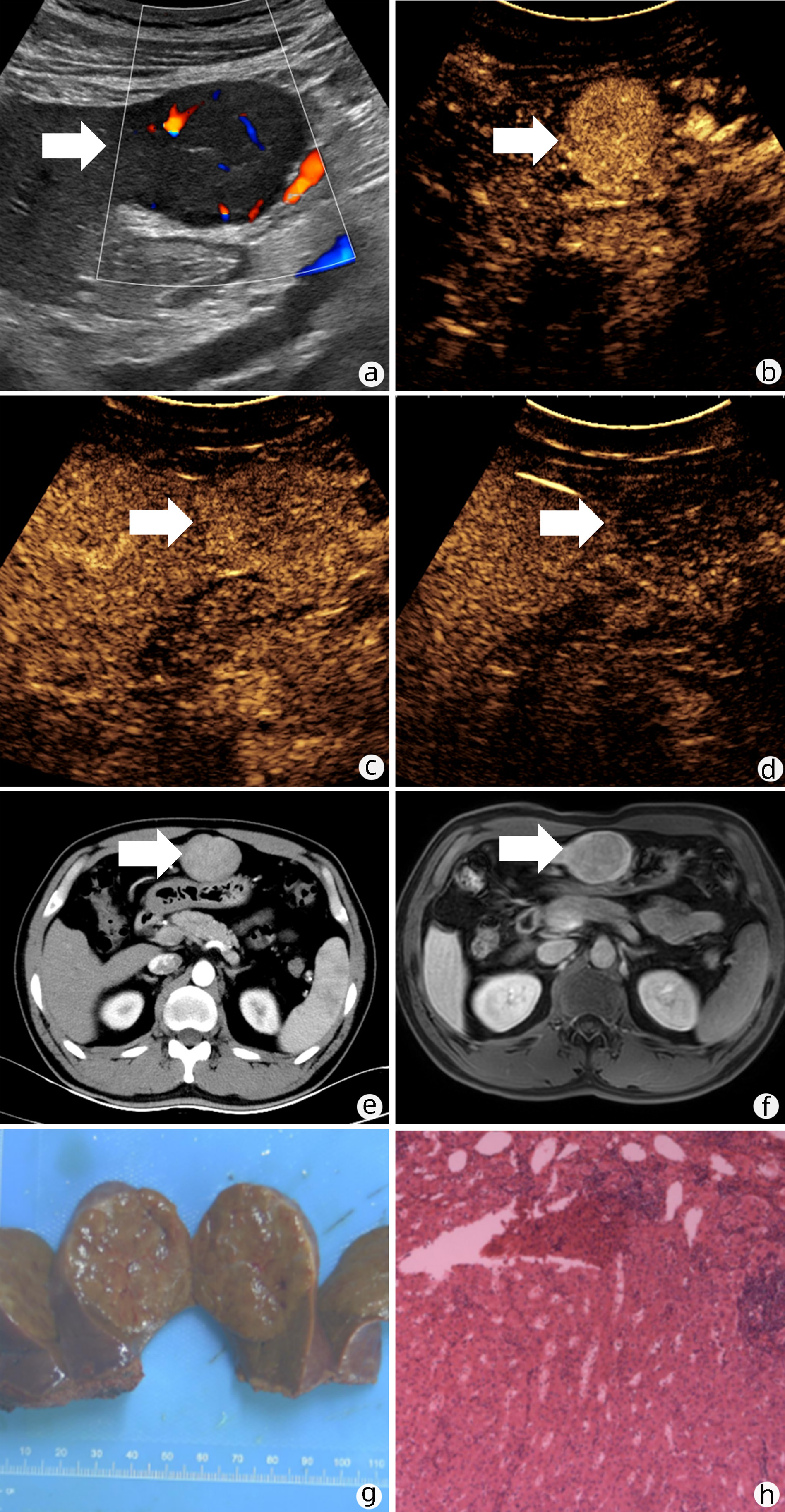
Focal nodular hyperplasia-like nodules in liver cirrhosis: An imaging analysis of three cases
Zinan LI, Shaoshan TANG, Xingni WU, Xiang LI
2023, 39(1): 142-146. DOI: 10.3969/j.issn.1001-5256.2023.01.021
Abstract(2471) HTML (2381) PDF (3394KB)(133)
Abstract:
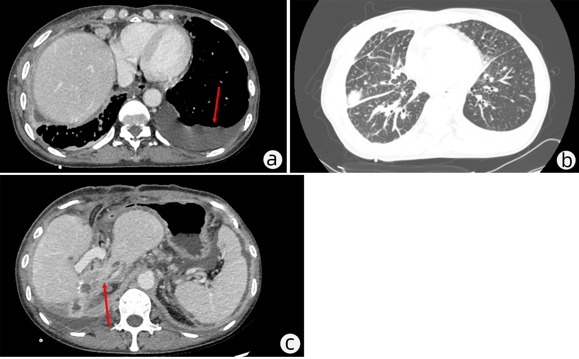
A case of chronic gelatinous ascites caused by giant intraductal papillary mucinous neoplasm of the bile tract
Congying CHEN, Ruling ZHANG, Liang QIAO, Lungen LU, Hui ZHOU
2023, 39(1): 147-151. DOI: 10.3969/j.issn.1001-5256.2023.01.022
Abstract(2426) HTML (1406) PDF (2992KB)(126)
Abstract:
Primary mucoepidermoid carcinoma of the liver: A case report and literature review
Junjie WANG, Cheng CHEN, Yakun WU
2023, 39(1): 152-155. DOI: 10.3969/j.issn.1001-5256.2023.01.023
Abstract(2137) HTML (1487) PDF (3007KB)(131)
Abstract:
Review
Research advances in tenofovir alafenamide fumarate in treatment of special chronic hepatitis B
Yuwen SONG, Lili SHA, Lizhen CHEN, Mengkun LI, Yurong WANG, Yongning XIN
2023, 39(1): 156-161. DOI: 10.3969/j.issn.1001-5256.2023.01.024
Abstract(3951) HTML (1968) PDF (1746KB)(292)
Abstract:
There are a large number of individuals with HBV infection in China, which seriously endangers public health safety. As a first-line drug used in clinical practice, tenofovir alafenamide fumarate (TAF) has the characteristics of strong efficacy, low drug resistance, and bone and kidney safety. This article summarizes the role of TAF in patients with special types of chronic hepatitis B, such as low-level viremia, multidrug resistance, pregnancy, liver failure, and liver transplantation, and the analysis shows that TAF can reduce viral load in patients with low-level viremia to achieve virologic response, provide new regimens for patients with drug resistance, block mother-to-child transmission, reduce the mortality rate of patients with end-stage liver disease, and improve renal function in patients with chronic kidney disease.
Role of glucose and lipid metabolism mediated by the bile acid receptor Takeda G protein-coupled receptor 5 in nonalcoholic fatty liver disease
Xiaoxia XUN, Cheng ZHOU, Wenxia ZHAO
2023, 39(1): 162-167. DOI: 10.3969/j.issn.1001-5256.2023.01.025
Abstract(3051) HTML (2345) PDF (2460KB)(205)
Abstract:
Nonalcoholic fatty liver disease (NAFLD) has gradually become a prominent cause affecting human liver health, and the development and progression of NAFLD are associated with metabolic dysfunction, with glucose and lipid metabolism disorder as the key link in this process. Takeda G protein-coupled receptor 5 (TGR5) is one of the main receptors of bile acid and is extensively expressed in the body, and glucose and lipid metabolism mediated by TGR5 plays an important role in the human body. This article summarizes the role and mechanism of TGR5 in glucose and lipid metabolism and the research findings of the treatment of NAFLD based on TGR5, in order to provide a reference for basic and clinical research.
Mechanism of lipid metabolism mediated by hepatokines and adipokines in nonalcoholic fatty liver disease
Chenlu ZHAO, Dongfang SHANG, Cheng ZHOU, Junhao SHI, Wenxia ZHAO
2023, 39(1): 168-174. DOI: 10.3969/j.issn.1001-5256.2023.01.026
Abstract(2750) HTML (1803) PDF (2171KB)(172)
Abstract:
Nonalcoholic fatty liver disease (NAFLD) has been renamed as metabolic-associated fatty liver disease, and systemic metabolic dysfunction has become one of the concerns of this disease. NAFLD is a metabolic disease based on dyslipidemia in the liver, which is closely associated with adipose tissue. Hepatokines and adipokines secreted by the liver and adipose tissue play an important role in regulating liver lipid metabolism. This article summarizes the hepatokines and adipokines that can promote or inhibit lipid metabolism, focusing on the mechanism of lipid metabolism mediated by hepatokines and adipokines in NAFLD, so as to provides ideas and a theoretical basis for clinical prevention and treatment.
Role of pyroptosis in nonalcoholic fatty liver disease
Jingya YIN, Bingqing YANG, Yue LI
2023, 39(1): 175-180. DOI: 10.3969/j.issn.1001-5256.2023.01.027
Abstract(3109) HTML (1845) PDF (2197KB)(223)
Abstract:
As a novel mode of cell death, pyroptosis plays an important role in nonalcoholic fatty liver disease (NAFLD), and the research on pyroptosis may help to explore new therapeutic targets for NAFLD. This article reviews the advances in pyroptosis from the research background and mechanism of pyroptosis and the role of pyroptosis in NAFLD and elaborates on the pyroptosis execution molecules such as GSDME and caspase-11 and the function of inflammasomes including AIM2.
Role of organelle interaction in the development and progression of nonalcoholic fatty liver disease
Tianhui LIU
2023, 39(1): 181-187. DOI: 10.3969/j.issn.1001-5256.2023.01.028
Abstract(2605) HTML (1991) PDF (2742KB)(167)
Abstract:
In addition to its own specific functions, an organelle can also interact with other organelles to complete important physiological functions. The disorders of organelle interactions are closely associated the development and progression of various diseases. In recent years, the role of organelle interactions has attracted more attention in the progression of nonalcoholic fatty liver disease, especially the interactions between mitochondria, lipid droplets, and other organelles.
Treatment of primary biliary cholangitis by targeting intestinal flora
Minghan MA, Yanqi LIU
2023, 39(1): 188-191. DOI: 10.3969/j.issn.1001-5256.2023.01.029
Abstract(2598) HTML (1541) PDF (1734KB)(155)
Abstract:
Primary biliary cholangitis (PBC) is a progressive cholestatic liver disease targeting biliary epithelial cells, and the concept of "treating diseases by intervening with the gut" has become a research hotspot in recent years. In the future, probiotics may be used to improve the abundance and distribution of intestinal flora, reshape the intestinal microenvironment, and intervene against the progression of PBC. This article reviews the gut microbiota and the clinical application of probiotics, so as to provide ideas for finding new treatment strategies for PBC.
Research advances in the reversal of liver fibrosis
Manbiao LI, Jinyu LI, Duiping FENG
2023, 39(1): 193-198. DOI: 10.3969/j.issn.1001-5256.2023.01.030
Abstract(3673) HTML (2681) PDF (1748KB)(454)
Abstract:
Chronic liver injury caused by any etiology will lead to liver fibrosis, and it was believed in the past that liver fibrosis is a static and irreversible pathophysiological process. In recent years, with the rapid development of molecular biology and the in-depth research on the microscopic aspect of the liver, more and more evidence has shown that liver fibrosis is a dynamic and reversible process. This article reviews the reports of different methods for evaluating the reversal of liver fibrosis caused by various etiologies, summarizes the pathogenesis and reversal mechanism of liver fibrosis, reviews the therapeutic drugs for reversal, and summarizes the current evaluation methods for liver fibrosis, and finally, it is believed that timely clearance or control of potential etiology may help to achieve the reversal of liver fibrosis to a certain degree.
Advances in direct oral anticoagulants in the treatment of cirrhosis-associated portal vein thrombosis
Shimei WANG, Liping WU, Ling HU
2023, 39(1): 199-203. DOI: 10.3969/j.issn.1001-5256.2023.01.031
Abstract(2462) HTML (1453) PDF (1745KB)(190)
Abstract:
Portal vein thrombosis is one of the common complications of liver cirrhosis, and anticoagulation is currently the main treatment method for this disease. Since low-molecular-weight heparin must be injected and vitamin K antagonists require regular monitoring of international normalized ratio (INR), direct oral anticoagulants have become a research hotspot in replacement therapy with the advantages of convenient oral administration, no need for INR monitoring, and high recanalization rate. This article summarizes the advances in direct oral anticoagulants in the treatment of cirrhosis-associated portal vein thrombosis, in order to lay a foundation for further clinical studies.
Research advances in systemic inflammatory response of acute decompensated cirrhosis patients
Hui QUAN, Yuyong JIANG, Yixin HOU, Tingting JIANG, Rongbing WANG
2023, 39(1): 205-210. DOI: 10.3969/j.issn.1001-5256.2023.01.032
Abstract(2504) HTML (1427) PDF (1745KB)(118)
Abstract:
Acute decompensated cirrhosis is a stage of end-stage liver disease during which patients often experience decompensated complications and rapid progression. Systemic inflammatory response is characterized by excessive secretion of inflammatory factors caused by bacterial infection of local tissue and rapid spread to the whole body, thereby affecting the physiological activities of the body and causing organ damage or disorder, and it is a relatively serious inflammatory state. This article elaborates on the occurrence of systemic inflammation, the factors affecting the severity of systemic inflammation, the manifestation of systemic inflammation in different stages of decompensated cirrhosis, and the role of systemic inflammation in complications, in order to gain a deeper understanding of systemic inflammation and apply it in the research and development of new therapies and drugs.
Application and potential value of endogenous lipid mediators in liver failure
Gengjie YAN, Yong LIN, Huiji SU, Hanxiao CHEN, Shaoqun BAN, Ailing WEI, Dewen MAO, Fuli LONG
2023, 39(1): 211-217. DOI: 10.3969/j.issn.1001-5256.2023.01.033
Abstract(2571) HTML (1408) PDF (1761KB)(81)
Abstract:
Liver failure is a common end-stage liver disease syndrome in clinical practice characterized by massive necrosis of hepatocytes leading to rapid liver failure, and it is currently believed that excessive inflammation and immune response are the core mechanisms of this disease. Endogenous lipid mediators are involved in the regulation of a variety of inflammatory processes, including initiation, maintenance, and regression, and eicosanoids and pro-decomposition lipid mediators, as well as their complex metabolic pathways and transduction signals, play a key role in the regulation of these processes. This article reviews the key role of endogenous lipid mediators in the pathophysiological mechanism of inflammation and immune dysfunction in liver failure and the potential significance and new therapeutic opportunities of lipid immune pathway in liver failure, in order to provide new ideas for the clinical diagnosis and treatment of liver failure.
Immune escape of hepatic echinococcosis based on the PD-1/PD-L1 signaling pathway
Kangjie YANG, Yongliang LU, Weijian E
2023, 39(1): 218-225. DOI: 10.3969/j.issn.1001-5256.2023.01.034
Abstract(2532) HTML (1542) PDF (2422KB)(276)
Abstract:
PD-1 and PD-L1 together constitute the stimulus signaling pathway of adaptive immune response, which has been widely used in the research on the mechanism of tumor immune escape and tumor therapy. At the same time, its signaling pathway has been proved to be closely associated with the immune escape of hepatic echinococcosis. This article reviews the chemical structures of PD-1 and PD-L1, the mechanism of the PD-1/PD-L1 signaling pathway, and the role of the PD-1/PD-L1 signaling pathway in immune escape of hepatic echinococcosis, i.e., the PD-1/PD-L1 signaling pathway is involved in immune escape of hepatic echinococcosis under three theories, so as to explore the immune escape of hepatic echinococcosis from a new perspective and provide a basis and ideas for the diagnosis and treatment of hepatic echinococcosis.
Research advances in the impact of phthalates on cholestatic liver disease
Jiayi ZHANG, Jianqing WANG
2023, 39(1): 226-230. DOI: 10.3969/j.issn.1001-5256.2023.01.035
Abstract(2376) HTML (1371) PDF (1856KB)(89)
Abstract:
Cholestatic liver disease is a common hepatobiliary disease caused by bile deposition in the liver due to the disorders of bile production, excretion, and metabolism. At present, the pathogenic factors for cholestatic liver disease have not been fully elucidated, but some researchers believe that environmental factors may play an important role in it. As environmental pollutants, phthalic acid esters (PAE) have been confirmed to interfere with human endocrine system, exert a potential toxic effect on the human body, endanger liver and kidney function, and increase the risk of intrahepatic cholestasis. On this basis, this article reviews the association between PAE and cholestatic liver disease and summarizes related clinical studies, animal experimental studies, in vitro experimental studies, and potential mechanisms, so as to provide ideas and references for the prevention and clinical treatment of cholestatic liver disease.
Research advances in the risk factors for recurrence of common bile duct stone after choledocholithotomy
Jiqiang LI, Guixin ZHANG
2023, 39(1): 231-237. DOI: 10.3969/j.issn.1001-5256.2023.01.036
Abstract(3005) HTML (2289) PDF (1753KB)(183)
Abstract:
Cholelithiasis is a common and frequent disease of the digestive system, and its incidence rate tends to increase with the improvement of living standards. Patients suffering from both gallbladder stones and common bile duct stones account for 5%-15%. Choledocholithiasis can cause a series of serious complications such as acute cholangitis and biliary pancreatitis. Choledocholithotomy is the main method for the treatment of choledocholithiasis, but there is still a high recurrence rate after surgery. The recurrence of choledocholithiasis seriously affects the life of patients and increases their economic burden. With reference to the latest published clinical studies, this article summarizes the influencing factors for the recurrence of choledocholithiasis from the aspects of anatomical factors, stone-related factors, biliary factors, and surgical factors, so as to provide a reference for the treatment of choledocholithiasis and the prevention of its recurrence.
Introduction of High-quality Articles in Foreign Journals
Hepatology International|Analysis of viral integration reveals new insights of oncogenic mechanism in HBV-infected intrahepatic cholangiocarcinoma and combined hepatocellular-cholangiocarcinoma
2023, 39(1): 21-21. DOI: 10.3969/j.issn.1001-5256.2023.01.gwjpwzjj1
Abstract(1815) HTML (1260) PDF (768KB)(95)
Abstract:
Hepatology International|Use of human albumin infusion in cirrhotic patients: a systematic review and meta-analysis of randomized controlled trials
2023, 39(1): 136-136. DOI: 10.3969/j.issn.1001-5256.2023.01.gwjpwzjj2
Abstract(1903) HTML (1380) PDF (770KB)(133)
Abstract:
Journal of Hepatology | Entecavir plus Biejia-Ruangan compound reduces the risk of hepatocellular carcinoma in Chinese patients with chronic hepatitis B
2023, 39(1): 151-151. DOI: 10.3969/j.issn.1001-5256.2023.01.gwjpwzjj3
Abstract(2310) HTML (1632) PDF (771KB)(134)
Abstract:
Thanks
Current reviewers
2023, 39(1): 82-82. DOI: 10.3969/j.issn.1001-5256.2023.01.zhixie1
Abstract(1640) HTML (1207) PDF (769KB)(86)
Abstract: