中文English
ISSN 1001-5256 (Print)
ISSN 2097-3497 (Online)
CN 22-1108/R

2023 No.4
Theme Issue: Emphasizing Hepatitis D Virus Infection
Executive Chief Editor: ZHUANG Hui  
School of Basic Medical Sciences, Peking University

Display Method:
Editorial
The research on hepatitis D should be taken seriously
Hui ZHUANG
2023, 39(4): 737-741. DOI: 10.3969/j.issn.1001-5256.2023.04.001
Abstract(1272) HTML (187) PDF (1857KB)(173)
Abstract:
Hepatitis D virus (HDV) infection is an important health problem around the world. The epidemiology of HDV infection has been changed significantly over the past 10 years due to widespread hepatitis B vaccination and human migration. HDV infection can manifest as co-infection or superinfection. Patients with HBV/HDV co-infection have a significantly higher risk of liver cirrhosis and hepatocellular carcinoma than those with HBV infection alone. Research and development are being conducted for new therapeutic drugs for hepatitis D, some of which have entered phase Ⅲ clinical trials. These drugs will replace the current therapies with lower efficacy.
Discussions by Experts
Research history of hepatitis D in China
Huimin LIU, Qing MAO
2023, 39(4): 742-750. DOI: 10.3969/j.issn.1001-5256.2023.04.002
Abstract(1298) HTML (195) PDF (2300KB)(187)
Abstract:
Since the discovery of hepatitis D virus (HDV) in the 1970s, Chinese scholars have started to conduct extensive studies on HDV and hepatitis D (HD). By searching for related articles published on the platforms of Chinese scientific and technological journals and the journals in PubMed database by Chinese scholars, this article comprehensively analyzes and summarizes the advances and scientific findings in HDV and HD by Chinese scholars from basic to clinical research from the perspective of historical development. Over the past years, Chinese scholars have conducted extensive research on the establishment of detection techniques and methods, the construction of infected animal models, the function and application of ribozymes, and clinical diagnosis and manifestation. The research findings in the past 40 years have laid a foundation for further research on the virological characteristics, infection mechanism, and immune response and injury of HDV, the clinicopathological changes of HD, and related antiviral treatment.
Detection methods for hepatitis D antibodies: A comparative analysis
Zhenfeng ZHANG
2023, 39(4): 751-757. DOI: 10.3969/j.issn.1001-5256.2023.04.003
Abstract(1067) HTML (813) PDF (1903KB)(148)
Abstract:
Hepatitis D is a severe form of viral hepatitis caused by co-infection with hepatitis D virus (HDV) and hepatitis B virus (HBV) or superinfection of HDV in HBV carriers. There is still a huge gap in the diagnosis of hepatitis D due to insufficient emphasis on this disease for a long time. With the advances in related studies in recent years, the academia and the medical industry have gradually realized the harm of hepatitis D, and meanwhile, breakthroughs in drug development have also brought new opportunities for the treatment or even cure of hepatitis D. These advances greatly increase the demand for the diagnosis of hepatitis D. HDV antibodies are the key markers for the diagnosis of hepatitis D. This article summarizes and compares the detection methods for HDV antibodies including total HDV antibodies, IgG, and IgM and discusses related important issues, so as to understand the current status of the detection of HDV antibodies and provide a reference for developing better diagnostic tools for hepatitis D.
Current research status of hepatitis D virus RNA detection
Yao GAO, Feng REN, Zhongping DUAN
2023, 39(4): 758-765. DOI: 10.3969/j.issn.1001-5256.2023.04.004
Abstract(1126) HTML (306) PDF (1807KB)(153)
Abstract:
Hepatitis D caused by hepatitis D virus (HDV) infection is the most serious type of viral hepatitis. The prevalence rate of HDV has been seriously underestimated due to the lack of accurate HDV RNA detection methods. HDV RNA is the gold standard for the diagnosis of HDV infection and is of great significance in the diagnosis, screening, and treatment guidance of HDV. However, the multiple genotypes and strong secondary structure of HDV have led to great difficulties in HDV RNA detection. This article reviews the advances in HDV RNA detection methods and elaborates on the development from qualitative to quantitative detection methods, in order to provide new ideas for understanding the significance of HDV RNA detection and promoting the research and development of new HDV RNA detection methods.
Epidemiological situation of hepatitis D in Xinjiang, China
Rongjiong ZHENG, Xiaobo LU
2023, 39(4): 766-770. DOI: 10.3969/j.issn.1001-5256.2023.04.005
Abstract(1105) HTML (334) PDF (1775KB)(132)
Abstract:
Hepatitis D is a global public health issue, and the infection rate and genotype of HDV infection vary greatly across different regions. The overlapping infection of hepatitis D virus (HDV) in patients with chronic hepatitis B virus (HBV) infection can accelerate disease progression, but hepatitis D has not been taken seriously to a large extent. Xinjiang in China is an area with a high incidence rate of hepatitis B, but there is a lack of research on hepatitis D. This article discusses the prevalence of HDV infection in Xinjiang and briefly reviews the prevalence rate of HDV infection in Xinjiang, the molecular epidemiology of HDV among different ethnic groups, and the current status of HDV infection in neighboring countries, so as to provide a reference for the conduct of molecular epidemiological research on HDV and disease prevention and control in Xinjiang.
Epidemiological screening and detection indicators for hepatitis D and suitable populations
Xiumei CHI, Junqi NIU
2023, 39(4): 771-775. DOI: 10.3969/j.issn.1001-5256.2023.04.006
Abstract(1190) HTML (219) PDF (1899KB)(134)
Abstract:
Hepatitis D virus (HDV) infection requires the participation of hepatitis B virus (HBV), which accelerates disease progression after infection and induces a high risk of progression to end-stage liver diseases such as liver cirrhosis and liver cancer. With the gradual increase in the understanding of hepatitis D in the whole society, some therapeutic drugs for hepatitis D have become a research hotspot in recent years, and with the further improvement in clinical testing methods, researchers have started to pay attention to the epidemiological investigation of hepatitis D. Although many studies have been conducted for the specific situation of HDV infection in China, large data deviation is observed due to small cohorts with strong regional features. This article briefly reviews the population, methods, and indicators in the current epidemiological investigation of hepatitis D and discusses related key issues, in order to obtain more accurate epidemiological data, effectively screen out HDV infection, and provide help for early clinical intervention and treatment.
Research advances in antiviral drugs for the treatment of hepatitis D
Yan WANG, Fujie ZHANG
2023, 39(4): 776-784. DOI: 10.3969/j.issn.1001-5256.2023.04.007
Abstract(1340) HTML (244) PDF (2362KB)(153)
Abstract:
Hepatitis D virus (HDV) is a satellite virus of hepatitis B virus (HBV) and needs the help of HBV envelope protein to complete its own assembly and replication and then establish a new infection cycle. Chronic HDV infection is considered the most severe form of viral hepatitis, which can accelerate disease progression and increase the risk of liver cancer. Effective antiviral therapy is urgently needed to delay disease progression in patients with HDV infection, but Bulevirtide conditionally approved by European Medicines Agency in July 2020 and interferon previously recommended are the only drugs used for the treatment of HDV infection. At present, studies are being conducted for several antiviral drugs targeting viral replication cycle, and early clinical trials have obtained good results. This means that important breakthroughs have been made in the development of antiviral drugs, bringing hope for the treatment of hepatitis D. This article summarizes the current antiviral drugs for hepatitis D and discusses related treatment regimens, so as to provide a reference for the treatment of hepatitis D.
Guideline
Expert consensus on the process of in-hospital screening and management of viral hepatitis E in China (2023)
Chinese Consortium for the Study of Hepatitis E(CCSHE), Chinese Physician Association for Infectious Disease, National Clinical Research Center for Infectious Diseases
2023, 39(4): 785-794. DOI: 10.3969/j.issn.1001-5256.2023.04.008
Abstract(1897) HTML (488) PDF (2826KB)(534)
Abstract:
Hepatitis E caused by hepatitis E virus (HEV) infection is an acute /chronic infectious disease with significant morbidity and mortality, which has become an important global health issue. Our understanding of HEV has changed completely over the past decade. Every year 20 million people are infected with HEV, among whom hepatitis E occur in 3.3 million cases and 70 thousands die from HEV infection-related diseases globally. However, a majority of HEV infections, especially fulminant or chronic hepatitis E, are missed diagnosed or misdiagnosed in China. According the goal of eliminating viral hepatitis as a public health threat by 2030 set by the World Health Organization and based on the fact that medical institutions are the main facilities for diagnosis and treatment of Hepatitis E in China, we developed the Expert Consensus on the process of in-hospital screening and management of viral hepatitis E in China. The consensus intends to promote multi-disciplinary and multi-departmental collaboration in health care institutions, including hospital administration, infection control division, clinical departments and laboratory, to strengthen the screen, diagnosis, consultation, referral and treatment of patients with hepatitis E. Meanwhile, the consensus also intends to raise the awareness of hepatitis E among non-infectious and non-hepatic specialists, which would be conducive to timely detection and early diagnosis of hepatitis E.
Original Article_Viral Hepatitis
An investigation of hepatitis D virus infection among patients with chronic hepatitis B virus infection in some regions of China
Yumei LIU, Xiaoping GUO, Huimin ZHANG, Hongxia BAI, Chunmei WANG, Shan REN, Yongfang JIANG, Sheng YANG, Feng PENG, Xiaozhong WANG, Lei YU, Boming LIAO, Ling NING, Yingli HE, Xia YANG, Liang HUANG, Xueen LIU, Hui ZHUANG
2023, 39(4): 795-803. DOI: 10.3969/j.issn.1001-5256.2023.04.009
Abstract(1640) HTML (441) PDF (2049KB)(199)
Abstract:
  Objective  To investigate the prevalence of hepatitis D virus (HDV) infection among patients with chronic hepatitis B virus (HBV) infection in some regions of China.  Methods  Serum samples were collected from 3 131 patients with chronic HBV infection in 10 provinces, cities, and autonomous regions of China from March 2021 to June 2022, and anti-HDV IgG ELISA was used for the detection of all serum samples. Nested reverse transcription-polymerase chain reaction (nRT-PCR) was used to detect HDV RNA in anti-HDV IgG-positive samples, and the nRT-PCR amplification products of HDV RNA-positive samples were sequenced and analyzed to determine HDV genotype. The clinical features of anti-HDV IgG-positive patients were analyzed. The Mann-Whitney U rank sum test was used for comparison of continuous data between two groups, and the chi-square test or the Fisher's exact test was used for comparison of categorical data between two groups.  Results  The positive rate of anti-HDV IgG in the 3 131 patients with chronic HBV infection was 0.70% (22/3 131), and that in the patients with chronic HBV infection in Inner Mongolia Autonomous Region, Xinjiang Uygur Autonomous Region, Beijing, and Hunan Province was 1.81% (16/886), 0.88% (2/226), 0.28% (2/708), and 1.00% (2/200), respectively; the patients with chronic HBV infection in Inner Mongolia Autonomous Region had a significantly higher positive rate of anti-HDV IgG than those in Beijing (P=0.004), and there was no significant difference between the other regions (P > 0.05). Clinical features of the patients with chronic HBV infection in Inner Mongolia Autonomous Region showed that compared with the anti-HDV IgG-negative group, the anti-HDV IgG-positive group had a significantly higher proportion of patients with Mongol nationality (P=0.001), abnormal alanine aminotransferase (P=0.007), or antiviral treatment (P=0.029), as well as a significantly lower median HBV DNA level (P=0.030). A total of 19 HDV RNA-positive samples were identified, all of which had HDV genotype 1.  Conclusion  The prevalence rate of HDV varies greatly across different regions of China, with a higher prevalence rate of HDV in patients with chronic HBV infection from Inner Mongolia Autonomous Region. HDV genotype 1 is the predominant genotype in some provinces and cities of northern China.
Original Article_Liver Fibrosis and Liver Cirrhosis
Effect of Compound Lingdan Capsule on liver function and fibrosis degree in mice with liver fibrosis
Zhixin TU, Yan WANG, Jianjie HUANG, Qinglong JIN
2023, 39(4): 804-809. DOI: 10.3969/j.issn.1001-5256.2023.04.010
Abstract(958) HTML (172) PDF (4219KB)(73)
Abstract:
  Objective  To investigate the effect of Compound Lingdan Capsule on serum biochemical parameters and liver fibrosis degree in a mouse model of liver fibrosis.  Methods  A total of 125 specific pathogen-free male C57BL/6 mice were randomly divided into normal control group with 5 mice, CCl4 model group with 15 mice, low-, middle-, and high-dose CCl4 groups (0.8, 1.6, and 3.2 mg·g-1·d-1) with 15 mice in each group, DDC model group with 15 mice, and low-, middle-, and high-dose DDC groups (0.8, 1.6, and 3.2 mg·g-1·d-1) with 15 mice in each group. After successful modeling, the mice in the administration groups were given Compound Lingdan Capsule suspension at the respective doses by gavage, and those in the normal control group and the model group were given an equal volume of normal saline by gavage, for 4 consecutive weeks. Blood samples were collected from the eyeballs, and serum was used to measure aspartate aminotransferase (AST), alanine aminotransferase (ALT), albumin, and bilirubin. Liver tissue samples were collected at the same site of the right lobe of the liver for pathological observation, Sirius Red staining, α-SMA antibody staining, and COL1A1 antibody staining. A one-way analysis of variance was used for comparison of continuous data between multiple groups, and the Bonferroni method was used for further comparison between two groups.  Results  Compared with the model group, each dose group had significant reductions in the serum level of ALT and a significant increase in the serum level of albumin after the administration of Compound Lingdan Capsule (all P < 0.05), the levels of AST and bilirubin in the middle and high dose groups were lower (all P < 0.05), and the difference of each index in the high dose group was more significant than that in the low dose group (all P < 0.05). Each dose group had varying degrees of improvement in the pathological changes of the liver and a significant reduction in the number of Sirius Red staining-positive cells, as well as varying degrees of reduction in the protein expression of α-SMA and COL1A1.  Conclusion  Compound Lingdan Capsule can improve liver function and reduce liver fibrosis degree in mice with liver fibrosis.
Expression of Sema4D in peripheral blood T cells and serum of patients with hepatitis B cirrhosis and its clinical significance
Xue WEN, Yujing HE, Qianqian YUAN, Chuyi LI, Lixia LU, Xiaohui YU, Jiucong ZHANG
2023, 39(4): 810-817. DOI: 10.3969/j.issn.1001-5256.2023.04.011
Abstract(926) HTML (381) PDF (1814KB)(67)
Abstract:
  Objective  To investigate the expression of Sema4D in peripheral blood T cells and serum of patients with hepatitis B cirrhosis and its correlation with clinical indicators.  Methods  A total of 20 patients with chronic hepatitis B (CHB), 68 patients with hepatitis B cirrhosis, and 20 healthy controls who attended The 940th Hospital of Joint Logistics Support Force of Chinese People's Liberation Army from October 2020 to November 2021 were enrolled. According to Child-Pugh class, the patients with hepatitis B cirrhosis were divided into Child-Pugh class A group with 24 patients, Child-Pugh class B group with 24 patients, and Child-Pugh class C group with 20 patients. After peripheral blood samples were collected to isolate serum and peripheral blood mononuclear cells (PBMCs), flow cytometry was used to measure the expression of membrane-bound Sema4D (mSema4D)+CD4+ T cells and mSema4D+CD8+ T cells in PBMCs, and ELISA was used to measure the expression of soluble Sema4D (sSema4D) in serum; their correlation with viral replication and liver inflammation markers was analyzed. A one-way analysis of variance was used for comparison of normally distributed continuous data between multiple groups, and the least significant difference t-test was used for further comparison between two groups; the Kruskal-Wallis H test was used for comparison of non-normally distributed continuous data between multiple groups, and the Mann-Whitney U test was used for further comparison between two groups; a Spearman correlation analysis was also performed.  Results  There were significant differences in the expression of mSema4D+CD4+ T cells and mSema4D+CD8+ T cells between the CHB group, the hepatitis B cirrhosis group, and the control group (F=43.092 and 13.344, both P < 0.001), while there were significant differences between any two groups (P < 0.05). The expression levels of mSema4D+CD4+ T cells and mSema4D+CD8+ T cells gradually decreased with increasing Child-Pugh class (F=14.093 and 17.154, both P < 0.05), and there were significant differences between any two groups (P < 0.05). The content of sSema4D was 1.54(1.42-1.71) ng/mL in the control group, 1.08(1.07-1.38) ng/mL in the CHB group, and 4.87(2.13-14.97) ng/mL in the hepatitis B cirrhosis group, with a significant difference between the three groups (H=32.366, P < 0.001) and between any two groups (P < 0.05). The content of sSema4D was 2.42(0.59-5.65) ng/mL in the Child-Pugh class A group, 4.92(2.75-12.73) ng/mL in the Child-Pugh class B group, and 14.18(4.59-18.43) ng/mL in the Child-Pugh class C group, with a significant difference between the three groups (H=11.889, P=0.003) and between any two groups (P < 0.05). In patients with hepatitis B cirrhosis, the level of sSema4D was positively correlated with the levels of alanine aminotransferase (ALT) and HBV DNA quantification (r=0.294 and 0.430, both P < 0.05).  Conclusion  Sema4D is lowly expressed on T cell membrane and highly expressed in serum of patients with hepatitis B cirrhosis, and sSema4D may be involved in the development and progression of hepatitis B cirrhosis by affecting the levels of ALT and HBV DNA.
Value of different Baveno Ⅶ-based criteria in screening for high-risk esophageal and gastric varices in advanced chronic liver disease
Chunmei GUO, Hong LIU, Yadan WANG, Mingming MENG, Canghai WANG, Hui SU, Jing WU
2023, 39(4): 818-825. DOI: 10.3969/j.issn.1001-5256.2023.04.012
Abstract(779) HTML (360) PDF (2878KB)(71)
Abstract:
  Objective  To investigate the value of Baveno Ⅶ criteria versus Expanded Baveno Ⅶ criteria in screening for high-risk varices (HRV) in patients with compensated advanced chronic liver disease (cACLD).  Methods  A total of 146 patients with cACLD who were admitted to Beijing Shijitan Hospital, Capital Medical University, from January 2016 to December 2018 were enrolled, and according to the absence or presence of HRV based on gastroscopy, they were divided into HRV group with 68 patients and control group with 78 patients. Clinical data, liver stiffness measurement (LSM), and gastroscopy findings were analyzed, and different Baveno Ⅶ criteria were analyzed in terms of their sensitivity and specificity in the diagnosis of HRV. The Mann-Whitney U test and the McNemar test were used for comparison of continuous data between groups, and the chi-square test was used for comparison of categorical data between groups. A univariate logistic regression analysis was performed for the variables used to predict HRV, and a multivariate analysis was performed for the variables with P < 0.1. The two sets of Baveno Ⅶ criteria were compared in terms of their sensitivity and specificity in the diagnosis of HRV.  Results  A total of 146 patients were enrolled in the study, among whom 68 (46.6%) were found to have HRV. The median age was 54 years (range 29-84 years), male patients accounted for 65.8%, and hepatitis B virus was the main etiology observed in 115 patients (78.8%). The univariate logistic regression analysis showed that LSM and platelet count (PLT) were associated with HRV (both P < 0.05). The multivariate analysis showed that based on Baveno Ⅶ criteria, LSM > 20 kPa or PLT < 150×109/L was associated with HRV (both P < 0.05), and based on Expanded Baveno Ⅶ criteria, LSM > 25 kPa or PLT < 110×109/L was associated with HRV (both P < 0.05). LSM and PLT had an area under the ROC curve of 0.797 (95% confidence interval [CI]: 0.723-0.859) and 0.789 (95% CI: 0.714-0.852), respectively, in the diagnosis of HRV. There were significant differences in the prevalence rates of esophageal and gastric varices and HRV between the patients who met Baveno Ⅶ criteria and those who did not meet such criteria (χ2=23.14 and 23.14, both P < 0.001), as well as between the patients who met Expanded Baveno Ⅶ criteria and those who did not meet such criteria (χ2=43.51 and 25.71, both P < 0.001). Although a higher proportion of patients were exempted from gastroscopy based on Expanded Baveno Ⅶ criteria (32.9% vs 13.7%), Baveno Ⅶ criteria had higher sensitivity (0.98 vs 0.88) and negative predictive value (0.95 vs 0.83) and could better avoid the missed diagnosis of HRV (1.0% vs 9.3%).  Conclusion  Baveno Ⅶ criteria are more suitable for the screening for HRV in cACLD patients in China.
Value of spleen volume in predicting portal hypertensive gastropathy and its severity in patients with liver cirrhosis
Zhiqiang ZHANG, Wei CHEN, Bo LIU
2023, 39(4): 826-833. DOI: 10.3969/j.issn.1001-5256.2023.04.013
Abstract(873) HTML (296) PDF (2045KB)(88)
Abstract:
  Objective  To investigate the value of spleen volume (SV) in predicting portal hypertensive gastropathy (PHG) and severe PHG in patients with liver cirrhosis.  Methods  A retrospective analysis was performed for the clinical data of 168 patients with liver cirrhosis who were admitted to Xiangyang No.1 People's Hospistal Affiliated to Hubei University of Medicine from January 2018 to August 2022, and with the results of gastroscopy as the gold standard, these patients were divided into non-PHG group with 115 patients and PHG group with 53 patients; the PHG group was further divided into mild PHG group with 26 patients and severe PHG group with 27 patients. All patients underwent electronic gastroscopy, abdominal magnetic resonance imaging, and serological examination to obtain related indices and parameters. The group t-test was used for comparison of normally distributed continuous data between two groups, and the Mann-Whitney U test was used for comparison of non-normally distributed continuous data between two groups; the chi-square test was used for comparison of categorical data between two groups. A multivariate Logistic regression analysis was used to screen out the independent risk factors for PHG and severe PHG, and the receiver operating characteristic (ROC) curve was used to compare the predictive value of related indices or parameters. The area under the Roccurve is compared using Delong test.  Results  The univariate analysis showed that there were significant differences between the PHG group and the non-PHG group in sex, presence or absence of ascites, hemoglobin (Hb), platelet count (PLT), aspartate aminotransferase, total bilirubin, albumin (Alb), prothrombin time, international normalized ratio, Child-Pugh class, FIB-4 score, King score, Lok score, spleen diameter (SD), SV, platelet count/spleen diameter ratio (PSDR), and platelet count/spleen volume ratio (PSVR) (all P < 0.05), and there were significant differences in Hb, PLT, Alb, SD, SV, PSDR, and PSVR between the mild PHG group and the severe PHG group (all P < 0.05). The multivariate Logistic regression analysis showed that FIB-4 score (odds ratio [OR]=1.280, 95% confidence interval [CI]: 1.009-1.625, P < 0.05) and SV (OR=1.007, 95% CI: 1.001-1.013, P < 0.05) were independent risk factors for PHG, and SV (OR=0.990, 95% CI: 0.980-1.000, P < 0.05) was an independent influencing factor for severe PHG. The ROC curve analysis showed that in predicting PHG, SV had a larger area under the ROC curve (AUC) than FIB-4 score (0.884 vs 0.825, P < 0.05), with a sensitivity of 0.774 and a specificity of 0.870 at the optimal cut-off value of 406.82; in predicting the onset of severe PHG, SV had an AUC of 0.782, with a sensitivity of 0.593 and a specificity of 0.962 at the optimal cut-off value of 714.63.  Conclusion  SV has a good value in predicting the onset of PHG and severe PHG.
Original Article_Liver Neoplasm
Safety and efficacy of camrelizumab added to second-line therapy after drug-eluting bead transarterial chemoembolization combined with apatinib for unresectable hepatocellular carcinoma
Yancang ZHANG, Manzhou WANG, Xinwei HAN, Xuhua DUAN, Jianzhuang REN, Hao LI, Wenhui WANG, Wenze XU
2023, 39(4): 834-842. DOI: 10.3969/j.issn.1001-5256.2023.04.014
Abstract(1047) HTML (543) PDF (2022KB)(86)
Abstract:
  Objective  To investigate the safety and efficacy of camrelizumab added to second-line therapy after drug- eluting bead transarterial chemoembolization (DTACE) combined with apatinib for unresectable hepatocellular carcinoma (HCC).  Methods  A retrospective analysis was performed for 89 HCC patients with camrelizumab added to second-line therapy who attended The First Affiliated Hospital of Zhengzhou University from December 2019 to December 2020. The primary endpoints were overall survival (OS) and progression-free survival (PFS) after the application of camrelizumab, and the secondary endpoints were objective remission rate (ORR), disease control rate (DCR), and treatment-related adverse events (TRAEs). The Kaplan-Meier method was used to plot survival curves, the Log-rank test was used for stratified analysis of subgroups based on baseline characteristics, and the influencing factors for prognosis were analyzed.  Results  A total of 89 patients were screened and followed up in this study. The patients were followed up to December 2021, with a median follow-up time of 16 months, a median OS time of 17.0 (95% confidence interval [CI]: 15.3-18.7) months, and a median PFS time of 7.0 (95% CI: 6.2-7.8) months. There were significant differences in OS and PFS between the patients with different ECOG-PS scores, liver function Child-Pugh classes, portal vein invasion, patterns of progression, times of DTACE treatment, durations of oral administration of apatinib, and durations of application of camrelizumab (all P < 0.05). At 3 and 6 months after the application of camrelizumab, ORR was 39.3% and 22.4%, respectively, and DCR was 80.9% and 54.1%, respectively. The univariate analysis using the Log-rank test showed that compared with the patients receiving 0 time of DTACE treatment, the patients receiving 3-4 or 1-2 times of DTACE treatment had significant improvements in median OS [22.0 (95% CI: 21.1-22.9) months and 17.0 (95% CI: 15.8-18.2) months vs 10.0 (95% CI: 7.0-13.0) months, χ2=31.423, P < 0.001] and PFS [10.0 (95% CI: 7.0-13.0) months and 7.0 (95% CI: 6.2-7.8) months vs 3.0 (95% CI: 1.9-4.1) months, χ2=20.741, P < 0.001]; compared with the patients using apatinib for ≤4 months, the patients using apatinib for > 4 months had significant improvements in median OS [21.0 (95% CI: 19.1-22.9) months vs 14.0 (95% CI: 10.4-17.6) months, χ2=19.399, P < 0.001] and PFS [9.0 (95% CI: 7.3-10.7) months vs 5.0 (95% CI: 4.0-6.0) months, χ2=27.733, P < 0.001]; compared with the patients using camrelizumab for ≤5 months, the patients using camrelizumab for > 5 months had significant improvements in median OS [22.0 (95% CI: 20.2-23.8) months vs 13.0 (95% CI: 9.3-16.7) months, χ2=22.336, P < 0.001] and PFS [9.0 (95% CI: 7.0-11.0) months vs 5.0 (95% CI: 4.1-5.9) months, χ2=26.141, P < 0.001]. Post-embolization syndrome was the adverse event after DTACE and resolved after symptomatic treatment. Adverse reactions related to targeted drugs and immunotherapy all resolved after symptomatic supportive treatment, with no grade ≥4 adverse reactions, and no patients withdrew from target-free therapy due to TRAEs.  Conclusion  As for DTACE combined with apatinib in the treatment of unresectable HCC, camrelizumab added after progression has a marked therapeutic efficacy with safe and controllable TRAEs.
Value of alpha-fetoprotein response in evaluating the efficacy of sorafenib combined with camrelizumab in treatment of advanced hepatocellular carcinoma
Xing WANG, Tao ZHANG
2023, 39(4): 843-849. DOI: 10.3969/j.issn.1001-5256.2023.04.015
Abstract(1011) HTML (201) PDF (2203KB)(67)
Abstract:
  Objective  To investigate the value of alpha-fetoprotein (AFP) response in evaluating the clinical efficacy and safety of sorafenib combined with camrelizumab in the treatment of advanced hepatocellular carcinoma (HCC).  Methods  Clinical data were collected from 48 patients with advanced HCC who were treated with sorafenib combined with camrelizumab in The First Affiliated Hospital of Xinjiang Medical University from September 2020 to February 2022, and according to the level of AFP response after treatment, they were divided into response group with 32 patients (AFP after 6-8 months of treatment was reduced by more than 20% compared with baseline AFP) and non-response group with 16 patients (AFP after 6-8 months of treatment was reduced by less than 20% compared with baseline AFP). The Mann-Whitney U test was used for comparison of continuous data between groups, and the chi-square test was used for comparison of categorical data between groups. Survival curves were plotted, and univariate and multivariate Cox regression analyses were used to investigate the independent risk factors for overall survival (OS). Progression free survival (PFS) time, OS time, and treatment outcome were compared between the two groups.  Results  No patient achieved clinical remission in either group. Compared with the non-response group, the response group had significantly higher objective response rate (21.88% vs 0, χ2=2.530, P=0.112) and disease control rate (84.38% vs 43.75%, χ2=6.668, P=0.010). Compared with the non-response group, the response group had longer PFS time (9.9 months vs 6.8 months) and OS time (13.8 months vs 11.1 months). Early non-response of AFP (hazard ratio [HR]=2.624, 95% confidence interval [CI]: 1.097-6.277, P=0.030) and extrahepatic metastasis (HR=0.392, 95%CI: 0.157-0.978, P=0.045) were independently associated with a shorter PFS time. No adverse event leading to drug withdrawal was observed in the study.  Conclusion  Early AFP response has a high clinical value in predicting the efficacy of sorafenib combined with camrelizumab in the treatment of advanced HCC and the prognosis of such patients.
Original Article_Other Liver Disease
Clinical features of patients with malignant tumor-related pyogenic liver abscess
Gufen ZHANG, Na YAO, Mingyuan BI, Ye ZHANG, Wen KANG, Jianqi LIAN, Linxu WANG, Chunfu WANG
2023, 39(4): 850-855. DOI: 10.3969/j.issn.1001-5256.2023.04.016
Abstract(737) HTML (378) PDF (1784KB)(62)
Abstract:
  Objective  To investigate the clinical features of malignant tumor-related pyogenic liver abscess (PLA), and to provide a basis for early judgment of disease progression and timely and effective treatment.  Methods  A retrospective analysis was performed for the clinical data of 371 patients with PLA who were admitted to the Second Affiliated of Air Force Medical University, from March 2005 to July 2018, among whom 34 patients with malignant tumor-related PLA were enrolled as tumor group, and after matching for time and at a ratio of 1∶2, 70 patients without malignant tumor-related PLA were enrolled as non-tumor group. Clinical features were compared between the two groups. The group t-test was used for comparison of normally distributed continuous data between groups, and the Mann-Whitney U test was used for comparison of non-normally distributed continuous data between groups; the chi-square test or the Fisher's exact test was used for comparison of categorical data between groups.  Results  In the tumor group, there were 22 patients with hepatobiliary tumor (64.7%), 7 patients with gastrointestinal tumor (20.6%), and 5 patients with non-gastrointestinal tumor (14.7%). Compared with the non-tumor group, the tumor group had a significantly higher proportion of patients with a history of abdominal surgery (44.1% vs 7.1%, χ2=20.142, P < 0.05), liver cirrhosis (26.5% vs 7.1%, χ2=7.338, P < 0.05), or an Acute Physiology and Chronic Health Evaluation Ⅱ score of > 16 (44.1% vs 15.7%, χ2=9.846, P=0.002). Compared with the non-tumor group in terms of laboratory examination, the tumor group had a significantly lower level of albumin [(27.2±5.2) g/L vs (30.8±2.6) g/L, t=-3.131, P=0.002] and a significantly higher level of total bilirubin [54(13~313) μmol/L vs 33(7~96) μmol/L, U=1 816.0, P < 0.001]. Escherichia coli was the main pathogen in the tumor group (23.5%), while Klebsiella pneumonia was the main pathogen in the non-tumor group (23.5%), and compared with the non-tumor group, the tumor group had a significantly higher proportion of patients infected with more than two types of bacteria (11.8% vs 2.8%). Radiological examination showed that the tumor group had a significantly higher proportion of patients with multiple abscesses than the non-tumor group (47.1% vs 24.3%, χ2=5.479, P=0.019). Compared with the non-tumor group, the tumor group had a significantly longer mean length of hospital stay (U=1 728.5, P < 0.001) and a significantly higher treatment failure rate (P=0.005).  Conclusion  Patients with malignant tumor-related PLA often have hepatobiliary tumor, with Escherichia coli as the main pathogen. Abscesses at multiple sites are common, and patients tend to have a poor prognosis. Appropriate antibiotics combined with percutaneous drainage should be used in clinical practice, and for the high-risk population, the threshold for surgical intervention can be lowered to reduce mortality.
Application of remote ischemic preconditioning combined with controlled low central venous pressure in hepatectomy
Yuansong GAO, Liu YANG, You WU, Na ZHANG, Chun TIAN
2023, 39(4): 856-863. DOI: 10.3969/j.issn.1001-5256.2023.04.017
Abstract(1099) HTML (262) PDF (2448KB)(65)
Abstract:
  Objective  To investigate the application effect of remote ischemic preconditioning (RIPC) combined with controlled low central venous pressure (CLCVP) in hepatectomy.  Methods  A total of 80 patients who underwent elective partial hepatectomy in Yougchuan Hospital Affiliated to Chongqing Medical University from May 2021 to April 2022 were enrolled and divided into control group (group C), CLCVP group (group L), RIPC group (group R), and RIPC+CLCVP group (group RL) using a random number table, with 20 patients in each group. The patients in group L received CLCVP, those in group R received RIPC, and those in group RL received both CLCVP and RIPC. The patients were compared in terms of perioperative general status and the levels of tumor necrosis factor-α (TNFα), alanine aminotransferase (ALT), aspartate aminotransferase (AST), and total bilirubin on preoperative day 1(D0), postoperative day 1(D1), postoperative day 3(D3), postoperative day 5(D5), and postoperative day 7(D7). A one-way analysis of variance or a repeated measures analysis of variance was used for comparison of normally distributed continuous data between groups, and the Kruskal-Wallis H test was used for comparison of continuous data with skewed distribution between groups; the chi-square test was used for comparison of categorical data.  Results  Compared with group R, group RL had a significantly shorter time of operation (H=14.278, P=0.015), a significantly lower total infusion volume (H=24.175, P=0.001), and a significantly lower estimated blood loss (H=45.625, P < 0.001). Group and time factors had significant interaction effects on TNFα, ALT, and AST in the four groups (P < 0.001; P=0.010; P=0.012). Group RL had a significantly lower level of TNFα than group L on D1(P < 0.001) and D3(P < 0.001). Group RL had a significantly lower level of ALT than group L on D1(P=0.008) and D7(P < 0.001).  Conclusion  For patients undergoing hepatectomy, RIPC combined with CLCVP can effectively reduce intraoperative blood loss, provide a clear surgical field, and shorten the time of operation; meanwhile, it can also inhibit inflammatory response by reducing TNFα, but it cannot effectively alleviate hepatic ischemia-reperfusion injury after hepatectomy under the context of CLCVP.
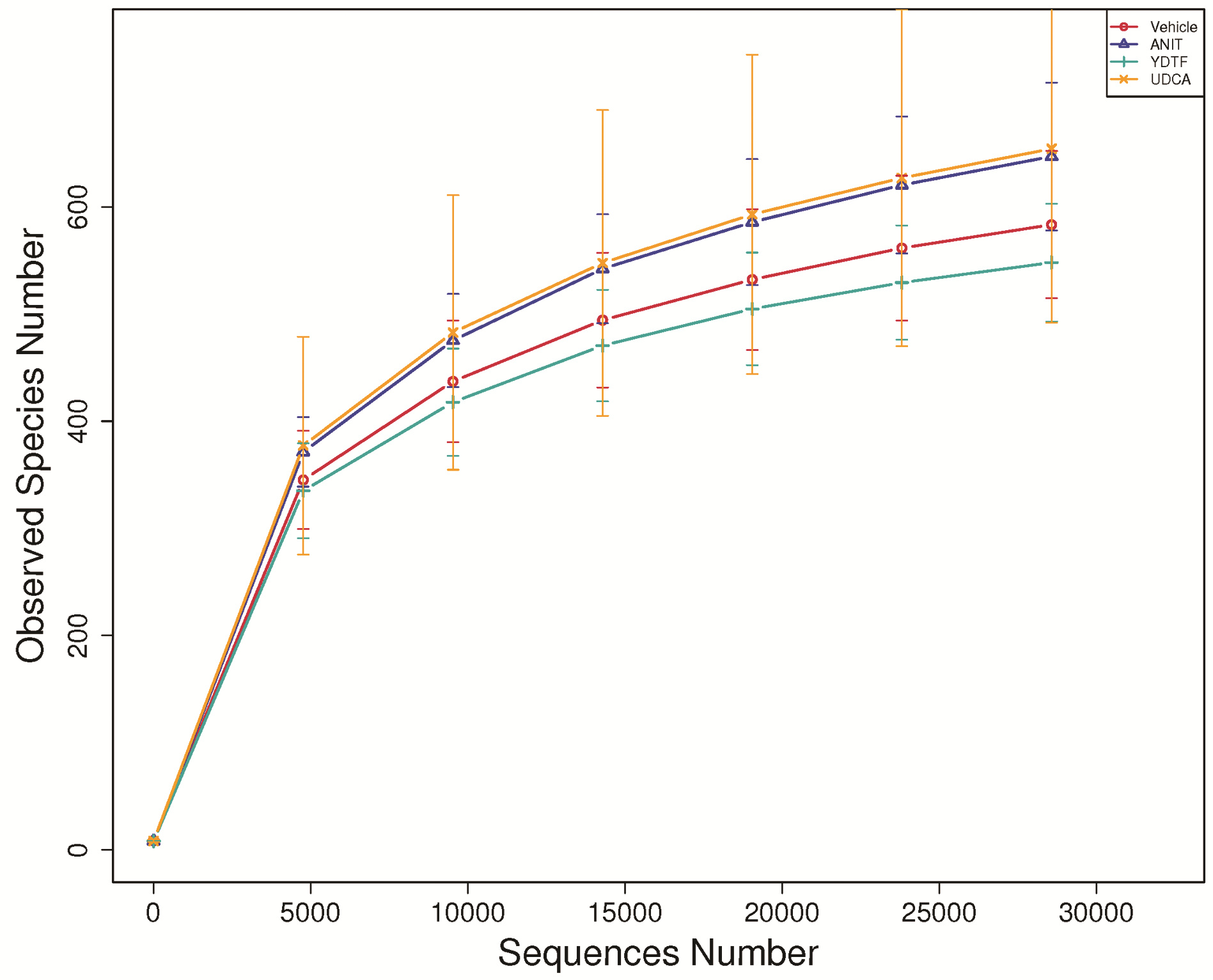
Effect of Yudantong decoction on intestinal flora and intestinal barrier function in mice with cholestasis induced by α-naphthyl isothiocyanate
Xiaoming WU, Qiang HE, Linyi HOU, Yan HU, Xiaofang ZHEN, Jing HAO, Yan SHENG
2023, 39(4): 864-875. DOI: 10.3969/j.issn.1001-5256.2023.04.018
Abstract(1070) HTML (222) PDF (9148KB)(80)
Abstract:
  Objective  To investigate the therapeutic effect of Yudantong decoction in mice with α-naphthyl isothiocyanate (ANIT)-induced cholestasis, as well as its targets and mechanism based on intestinal flora and intestinal barrier function.  Methods  A total of 24 C57BL/6 mice were randomly divided into control group, model group, Yudantong decoction group (YDTF group), and ursodeoxycholic acid (UDCA) group, with 6 mice in each group. The mice in the model group, the YDTF group, and the UDCA group were given ANIT 35 mg/kg/day by gavage on days 1, 4, 7, 10, and 13, and those in the YDTF group and the UDCA group were given Yudantong decoction or UDCA by gavage for 15 consecutive days; related samples were collected on day 16. Liver histopathology was observed, and liver function parameters were measured; immunohistochemistry was used to measure the protein expression levels of caspase-1, interleukin-1β (IL-1β), and FXR in the liver, and flow cytometry was used to measure the percentages of CD11b+, CD86+, and CD45+ immune cells in the liver; 16S rDNA sequencing and information analysis were performed for fecal microorganisms; immunohistochemistry was used to measure the protein expression of the intestinal FXR/NLRP3 pathway, and immunofluorescence assay was used to measure the protein expression of intestinal E-cadherin and occludin. A one-way analysis of variance was used for comparison of continuous data with homogeneity of variance between multiple groups, and the least significant difference t-test was used for further comparison between two groups; the Welch test was used for comparison of data with heterogeneity of variance between multiple groups, and the Games-Howell test was used for further comparison between two groups.  Results  HE staining showed that the model group had partial hepatocyte fatty degeneration, massive necrosis of hepatocytes in hepatic lobules, damage of lobular structure, and massive inflammatory cell infiltration, and the YDTF group and the UDCA group had alleviation of hepatocyte fatty degeneration and hepatocyte necrosis in hepatic lobules, with a reduction in inflammatory cells. Compared with the control group, the model group had significantly higher serum levels of alanine aminotransferase (ALT), aspartate aminotransferase (AST), gamma-glutamyl transpeptidase (GGT), alkaline phosphatase (ALP), total bilirubin (TBil), direct bilirubin (DBil), and total bile acid (TBA) (all P < 0.05); compared with the model group, the YDTF group had significant reductions in the serum levels of ALT, AST, GGT, ALP, TBil, DBil, and TBA (all P < 0.05), and the UDCA group had significant reductions in the serum levels of GGT, TBil, DBil, and TBA (all P < 0.05). Compared with the control group, the model group had significant increases in the levels of caspase-1 and IL-1β and a significant reduction in the expression of FXR in the liver (all P < 0.05); compared with the model group, the YDTF group had significant reductions in the levels of caspase-1 and IL-1β in the liver and the UDCA group had a significant reduction in the level of IL-1β in the liver, and both the YDTF group and the UDCA group had a significant increase in the expression level of FXR in the liver (all P < 0.05). The model group had a significant change in the composition of intestinal flora compared with the control group (P < 0.05); there was a significant difference in the structure of intestinal flora between the YDTF group and the model group (P < 0.05), and there was also a significant difference in the composition of intestinal flora between the UDCA group and the control/model groups (P < 0.05). Compared with the control group, the model group had a significant increase in the abundance of intestinal Akkermansia muciniphila and a significant reduction in the abundance of Lactobacillus johnsonii (both P < 0.05); compared with the model group, both the YDTF group and the UDCA group had a significant reduction in the abundance of intestinal Akkermansia muciniphila, and the YDTF group had a significant increase in the abundance of Lactobacillus murinus, while the UDCA group had significant increases in the abundance of Lactobacillus murinus and Bifidobacterium pseudolongum (all P < 0.05). Compared with the control group, the model group had a significant reduction in the protein expression of intestinal FXR, a significant increase in the protein expression of intestinal NLRP3, and significant reductions in the expression of intestinal E-cadherin and occludin (all P < 0.05); compared with the model group, both the YDTF group and the UDCA group had a significant increase in the protein expression of intestinal FXR, a significant reduction in the protein expression of intestinal NLRP3, and significant increases in the expression of intestinal E-cadherin and occludin (all P < 0.05).  Conclusion  Yudantong decoction can alleviate liver injury in mice with ANIT-induced cholestasis, possibly by improving intestinal flora and enhancing intestinal barrier function.
Effect of exosomes derived from Echinococcus multilocularis on macrophage polarization: A preliminary study
Gengbo YE, Gongfu CHEN, Ziyan CUI, Junjie WU, Dengliang HUANG, Fengjiao YIN, Zhixin WANG, Wenhao YU, Fanyu KONG, Haining FAN, Li REN
2023, 39(4): 876-884. DOI: 10.3969/j.issn.1001-5256.2023.04.019
Abstract(924) HTML (326) PDF (5713KB)(79)
Abstract:
  Objective  To investigate the effect of exosomes derived from Echinococcus multilocularis on macrophage polarization after treatment for different durations and concentrations.  Methods  A total of 60 BALB/c mice were used for modeling, among which 4 mice were selected to observe the growth of abdominal lesions on 7.0T MRI. The mice for modeling were dissected, and the protoscoleces was taken from the abdominal lesion and cultured in vitro; ultracentrifugation was used to extract the exosomes from the supernatant, and transmission electron microscopy and Western blotting were used for the characterization of exosomes. The macrophages without exosome treatment were established as control group, and the macrophages co-cultured with different concentrations of exosomes derived from Echinococcus multilocularis were established as experimental group (10 μg/mL group and 50 μg/mL group) and were cultured for 48 and 72 hours. The morphological changes of macrophages were observed under a microscope, and flow cytometry and ELISA were used to observe polarization state. A one-way analysis of variance was used for comparison of normally distributed continuous data between multiple groups, and the least significant difference t-test was used for further comparison between two groups.  Results  The results of 7.0T MRI showed the formation of diffuse lesions with different sizes in the abdominal cavity of mice, and the exosomes derived from Echinococcus multilocularis were approximately 100 nm in diameter and were cup-shaped or saucer-shaped, with the positive expression of the surface markers CD9, TSG101, and CD63. After co-culture, most of the cells in the experimental group were elongated with an irregular and polygonal shape. Flow cytometry showed that after 48 hours of co-culture, the positive rates of CD16/32, CD206, and CD369 in the control group were 99.53%±0.06%, 90.27%±0.21%, and 2.40%±0.20%, respectively; compared with the control group, except that the 10 μg/mL exosome group had a significant reduction in the positive rate of CD369 (0.80%±0.00%) (P < 0.05), all the other groups had a significant increase in the positive rates of CD16/32, CD206, and CD369 (all P < 0.000 1); after 72 hours of co-culture, the positive rates of CD16/32, CD206, and CD369 in the control group were 99.67%±0.06%, 85.47%±0.55%, and 6.60%±0.20%, respectively, and compared with the control group, the experimental group had significant increases in the positive rates of CD16/32, CD206, and CD369 (all P < 0.05). ELISA showed that after 48 hours of co-culture, the levels of IL-6 and TNFα in the control group were 58.53±15.52 pg/mL and 320.70±5.30 pg/mL, respectively, and when the exosome concentration was 50 μg/mL, the level of IL-6 in the experimental group was 98.81±15.55 pg/mL, which was higher than that in the control group (P < 0.05); after 72 hours of co-culture, the levels of IL-6 and TNFα in the control group were 76.22±9.68 pg/mL and 323.90±87.37 pg/mL, respectively, and when the exosome concentration was 10 μg/mL, the level of TNFα was 164.20±14.17 pg/mL, which was significantly lower than that in the control group (P < 0.05); when the exosome concentration was 50 μg/mL, the level of IL-6 was 99.52±8.35 pg/mL, which was significantly higher than that in the control group (P < 0.05).  Conclusion  Exosomes derived from Echinococcus multilocularis can regulate macrophage polarization and induce M2-like polarization of macrophages after co-culture at a concentration of 10 μg /mL for 72 hours, and further studies are needed to clarify the specific method.
Original Article_Biliary Disease
Application of indocyanine green fluorescence navigation in laparoscopic cholecystectomy after percutaneous transhepatic gallbladder drainage in elderly patients with acute cholecystitis
Changxu LI, Xuemin LI, Zhanqiang LIANG, Xibin DUAN, Pengsheng YANG
2023, 39(4): 885-891. DOI: 10.3969/j.issn.1001-5256.2023.04.020
Abstract(1088) HTML (212) PDF (2950KB)(63)
Abstract:
  Objective  To investigate the clinical value of indocyanine green (ICG) fluorescence navigation in laparoscopic cholecystectomy (LC) after percutaneous transhepatic gallbladder drainage (PTGBD) in elderly patients with acute cholecystitis.  Methods  A retrospective analysis was performed for the perioperative clinical data of the elderly patients with acute cholecystitis who underwent LC after PTGBD in Zhengzhou Central Hospital Affiliated to Zhengzhou University from June 2021 to February 2022. The 36 patients who underwent ICG fluorescence navigation were enrolled as experimental group, and the 26 patients who did not undergo ICG fluorescence navigation during the same period of time were enrolled as control group. Preoperative general information was analyzed for both groups, as well as time to identify the biliary system during surgery, time of operation, intraoperative blood loss, bile tract injury, conversion to laparotomy, time to first flatus after surgery, time to ambulation, time to removing abdominal drainage tube, time to return to normal diet, and length of postoperative hospital stay. The group t-test or the Mann-Whitney U test was used for comparison of continuous data between two groups, and the chi-square test was used for comparison of categorical data between groups.  Results  Compared with the control group, the experimental group had a significantly shorter time to identify the biliary system during surgery (19.9±3.7 min vs 36.5±5.9 min, t=13.56, P < 0.05), a significantly shorter time of operation (50.6±8.5 min vs 80.9±10.6 min, t=12.48, P < 0.05), and a significantly lower amount of intraoperative blood loss (χ2=6.91, P < 0.05). No patient was converted to laparotomy in the experimental group, while 2 patients in the control group were converted to laparotomy, and no bile duct injury was observed in either group. Compared with the control group, the experimental group had significantly shorter time to ambulation (10.2±2.4 hours vs 16.6±3.2 hours, t=8.92, P < 0.05), time to removing abdominal drainage tube (20.1±3.4 hours vs 30.7±4.7 hours, t=10.2, P < 0.05), time to return to normal diet (20.3±3.8 hours vs 31.2±6.0 hours, t=8.68, P < 0.05), and length of postoperative hospital stay [3.3 (3.0-4.3) days vs 5.3 (5.0-6.2) days, Z=5.91, P < 0.05].  Conclusion  ICG fluorescence navigation can visualize the extrahepatic biliary system during LC after PTGBD in elderly patients with acute cholecystitis, which may help to achieve accurate operation, reduce the risk of surgery, shorten the time of operation, and accelerate postoperative recovery.
Case Report
A case of hepatolenticular degeneration caused by ATP7B p.Ser1369Tyrfs*24 mutation
Yuting LIU, Zhihui TANG, Qiong BIN
2023, 39(4): 892-895. DOI: 10.3969/j.issn.1001-5256.2023.04.021
Abstract(813) HTML (232) PDF (2373KB)(67)
Abstract:
Infantile familial chylomicronemia syndrome caused by LPL gene variants coexisting with renal hamartoma:A case report
Xintao CHEN, Weiyuan FANG, Xiaoyan GONG, Qiong LIN, Yi LU
2023, 39(4): 896-900. DOI: 10.3969/j.issn.1001-5256.2023.04.022
Abstract(855) HTML (363) PDF (2214KB)(50)
Abstract:
Primary clear cell carcinoma of the gallbladder: A case report
Yongshuo LIU, Junjie XIA, Xingyan SHEN, Yanlong WANG, Xiangjun SUN
2023, 39(4): 901-903. DOI: 10.3969/j.issn.1001-5256.2023.04.023
Abstract(637) HTML (292) PDF (1992KB)(64)
Abstract:
Cholecystoduodenal fistula with gallstone ileus accompanied by colon cancer: A case report
Wenbo LI, Liang LI, You JIANG, Jun ZHANG, Jun LU
2023, 39(4): 904-908. DOI: 10.3969/j.issn.1001-5256.2023.04.024
Abstract(925) HTML (226) PDF (2744KB)(60)
Abstract:
Review
Influence of white fat browning on nonalcoholic fatty liver disease
Chenlu ZHAO, Cheng ZHOU, Dongfang SHANG, Sutong LIU, Junhao SHI, Xiaojie WANG, Wenxia ZHAO
2023, 39(4): 909-914. DOI: 10.3969/j.issn.1001-5256.2023.04.025
Abstract(1106) HTML (256) PDF (1786KB)(92)
Abstract:
Nonalcoholic fatty liver disease (NAFLD) is a chronic liver disease in which a large amount of fat accumulates in hepatocytes due to lipid metabolism disorders. Conventional anti-inflammatory and transaminase-lowering treatment regimens often have an unsatisfactory therapeutic effect, and restoring the normal biosynthesis and metabolism of lipids is the key to the treatment of NAFLD. Studies have shown that brown adipose tissue can improve metabolic diseases by enhancing insulin sensitivity and regulating lipid metabolism, and the treatment of NAFLD by promoting white fat browning has attracted wide attention in the medical field. This article reviews the mechanism of white fat browning in improving NAFLD and summarizes the hepatokines that can promote white fat browning, so as to provide new ideas for the clinical treatment of NAFLD.
Research advances in pharmacotherapy for autoimmune hepatitis
Xiuying YANG, Xiaohong DANG, Yang JIANG
2023, 39(4): 915-921. DOI: 10.3969/j.issn.1001-5256.2023.04.026
Abstract(1601) HTML (405) PDF (1801KB)(133)
Abstract:
Autoimmune hepatitis (AIH) is an immune-mediated chronic inflammatory liver disease. At present, standard treatment is effective in most AIH patients, and second- or third-line pharmacotherapy can be selected for patients who have suboptimal response to standard treatment or cannot tolerate the side-effects of the drugs. Novel therapies are undergoing clinical trials with the further exploration of the pathogenesis of AIH. This article reviews the current research advances in pharmacotherapy for AIH.
A new perspective in the treatment of liver fibrosis: Targeting macrophage metabolism
Jun XU, Weilin IN, Xun LI
2023, 39(4): 922-928. DOI: 10.3969/j.issn.1001-5256.2023.04.027
Abstract(2077) HTML (953) PDF (2010KB)(405)
Abstract:
Liver fibrosis is a pathological process of fibrous scar formation caused by excessive accumulation of extracellular matrix due to various etiologies. At present, etiological treatment, such as effective antiviral therapy, is still the main treatment strategy for liver fibrosis. As the core participant of liver fibrosis, liver macrophages affect the progression and regression of liver fibrosis and are thus considered an important target for the treatment of liver fibrosis. With the recent advances in the field of immune metabolism, metabolic reprogramming has become a key factor for determining the outcome of macrophages and promoting the development of diseases. This article reviews the role and metabolic changes of macrophages during liver fibrosis and discusses the anti-fibrotic potential of targeting macrophage metabolism, so as to provide new ideas for the development, progression, and treatment of liver fibrosis.
Advances in the risk factors, pathogenesis, and treatment of liver cirrhosis with osteoporosis
Qiu JIN, Jing YANG, Honglin MA, Qingqing LIU, Pingju LI, Shaoshan HU
2023, 39(4): 929-935. DOI: 10.3969/j.issn.1001-5256.2023.04.028
Abstract(1512) HTML (448) PDF (2227KB)(97)
Abstract:
Osteoporosis is a common extrahepatic complication of liver cirrhosis, and it not only increases the economic burden of patients, but also brings adverse effects on their quality of life and prognosis. Recent studies have shown that sarcopenia, adiponectin, leptin, irisin, and inflammatory factors are involved in the development of osteoporosis in patients with liver cirrhosis, and commonly used anti-osteoporosis drugs include calcium supplement, vitamin D, and bisphosphonates. This article reviews the advances in the risk factors, pathogenesis, and treatment of liver cirrhosis with osteoporosis and points out that there are still controversies over the influence of some factors on osteoporosis, and further studies are needed to explore related pathogeneses and safe and effective treatment regimens.
Application prospect of endoscopic ultrasound-guided portal pressure gradient measurement
Heng DU, Yongjun CHEN, Yong YAO
2023, 39(4): 936-940. DOI: 10.3969/j.issn.1001-5256.2023.04.029
Abstract(1321) HTML (201) PDF (2038KB)(96)
Abstract:
Portal pressure measurement plays an important role in the diagnosis and evaluation of portal hypertension, and at present, there is still no unified method for the assessment of portal vein pressure. With the wide application of endoscopic ultrasound in digestive system diseases, endoscopic ultrasound-guided portal pressure gradient (EUS-PPG) measurement was included in the research agenda of the 2021 Baveno-VII conference, thus attracting widespread attention of scholars. This article reviews portal pressure measurement techniques, the development of EUS-PPG measurement technique, and two commonly used methods for EUS-PPG measurement in China and globally and elaborates on the application prospect of EUS-PPG measurement technique. A number of studies around the world have shown that EUS-PPG measurement technique is a direct, minimally invasive, simple, accurate, and radiation-free technique with strong clinical operability, and it is an important supplement to portal pressure measurement methods and may gradually become one of the main methods for portal pressure measurement.
Application of immune checkpoint inhibitors in liver transplantation for patients with hepatocellular carcinoma
Youcheng XIE, Shun CHEN, Chuyi LI, Ying ZHENG, Dong JIA, Jiucong ZHANG, Xiaohui YU
2023, 39(4): 941-947. DOI: 10.3969/j.issn.1001-5256.2023.04.030
Abstract(1381) HTML (364) PDF (2045KB)(76)
Abstract:
Liver transplantation, as one of the radical treatment strategies for hepatocellular carcinoma, has a good clinical effect in patients meeting the Milan criteria; however, the high recurrence rate and metastasis rate after surgery bring great challenges to the long-term survival of such patients. Therefore, how to improve long-term survival rate and reduce postoperative tumor metastasis has become a key problem that needs to be solved urgently. In recent years, immune checkpoint inhibitors (ICIs), with their good safety and objective reactivity, have provided a new opportunity for the treatment of patients with advanced liver cancer and have become potential candidates for improving the therapeutic effect of liver transplantation. At present, early clinical studies have reported the unique advantages of ICIs used alone or in combination in downstaging or bridging therapy before liver transplantation for hepatocellular carcinoma and adjuvant therapy after liver transplantation. Therefore, this article reviews the clinical trials of ICIs in liver transplantation for hepatocellular carcinoma and the advances in the application of ICIs in recent years and discuss its safety and efficacy, in order to provide a certain reference for clinical medication.
Role of new potential immune blocking molecules in the development and progression of hepatocellular carcinoma
Ying TAO, Zhangxiu LIAO
2023, 39(4): 948-955. DOI: 10.3969/j.issn.1001-5256.2023.04.031
Abstract(923) HTML (499) PDF (2476KB)(76)
Abstract:
Hepatocellular carcinoma (HCC) is one of the most common malignant tumors around the world. The emergence of immune checkpoint inhibitors targeting programmed death-1/programmed death-ligand 1 and cytotoxic T lymphocyte-associated antigen-4 has brought great breakthroughs in the treatment of HCC. However, since HCC is a type of tumor with high heterogeneity, monotherapy is only effective for a small number of patients and may not be able to achieve long-lasting benefits due to drug resistance, and therefore, it is necessary to explore the potential of new immune checkpoint inhibitors in the prevention and treatment of HCC. This article analyzes and summarizes the biological characteristics of the new immune checkpoints T cell immunoglobulin and ITIM domain (TIGIT), V-domain immunoglobulin suppressor of T-cell activation (VISTA), B and T lymphocyte attenuator (BTLA), and B7 homologous protein-4 (B7-H4) and their expression and function in HCC. The analysis shows that TIGIT, VISTA, BTLA, and B7-H4 are highly expressed in HCC tissue and are associated with the prognosis of HCC patients, and targeted blocking of corresponding pathways can effectively inhibit the progression of HCC, suggesting that these molecules are potential targets for tumor treatment and that in-depth studies can provide new directions for HCC immunotherapy.
The mechanism of p53 signaling pathway regulating ferroptosis in hepatocellular carcinoma
Zhen LI, Jiangkai LIU
2023, 39(4): 956-960. DOI: 10.3969/j.issn.1001-5256.2023.04.032
Abstract(1484) HTML (654) PDF (1770KB)(93)
Abstract:
Hepatocellular carcinoma (HCC) is the most common type of liver cancer in China, and the development and progression of HCC is a complex pathological process. As a new way of cell death, ferroptosis has huge potential in the treatment of HCC. This article introduces the mechanism of action of the tumor suppressor p53 in regulating ferroptosis and briefly describes its role in the development and progression of HCC. The tumor suppressor p53 can promote or inhibit ferroptosis by affecting solute carrier family 7 member 11, spermidine/spermine N1-acety-ltransferase 1, glutaminase 2, dipeptidyl peptidase 4, and cyclin-dependent kinase inhibitor 1A, which in turn affects the progression of HCC. The treatment of HCC by regulating the ferroptosis pathway has great application prospects.
Role of non-coding RNA on immune cells in tumor microenvironment of hepatocellular carcinoma
Chaoran YANG, Sirou LI, Yuan LIU, Zhiyuan HOU, Yuan WANG, Jihong YANG
2023, 39(4): 961-967. DOI: 10.3969/j.issn.1001-5256.2023.04.033
Abstract(985) HTML (297) PDF (1794KB)(70)
Abstract:
Hepatocellular carcinoma (HCC) is a common malignant tumor of the liver characterized by a high incidence rate, rapid progression, and poor prognosis. In recent years, it has been found that non-coding RNA (ncRNA) participates in the regulation of tumor immunity in tumor microenvironment (TME) and in turn affects the biological behavior of HCC. This article briefly describes the regulatory effect of ncRNA on immune cells in TME and introduces the potential value of ncRNA in the diagnosis and treatment of HCC, in order to provide potential diagnostic and treatment strategies for HCC.
Research advances in pathogenesis, risk factors, monitoring, and retreatment of drug-induced liver injury
Rujia LIU, Xiaojuan XIN
2023, 39(4): 968-973. DOI: 10.3969/j.issn.1001-5256.2023.04.034
Abstract(1338) HTML (590) PDF (1776KB)(221)
Abstract:
With the approval and launch of a large number of new drugs, the incidence rate of drug-induced liver injury (DILI) is increasing year by year, which may affect the treatment of primary diseases. As an adverse drug reaction, DILI cannot be completely eliminated, and the clinical goal is to minimize its influence through prevention and control. This article reviews the research advances in the risk factors for DILI, the monitoring of DILI, and retreatment. Studies have shown that the risk of DILI can be increased by certain factors under some circumstances. Early identification of risk factors, rational monitoring, and focus on the timing and method for retreatment can reduce the development or progression of DILI and thus improve the prognosis of patients.
Research advances in the treatment of Crigler-Najjar syndrome
Wenyan ZHANG, Guohong DENG
2023, 39(4): 974-979. DOI: 10.3969/j.issn.1001-5256.2023.04.035
Abstract(1523) HTML (331) PDF (1785KB)(134)
Abstract:
Crigler-Najjar syndrome (CNS) is an autosomal recessive disorder in which the content of plasma unconjugated bilirubin is increased due to the reduction or complete deficiency of the activity of bilirubin uridine diphosphate glucuronosyl transferase 1A1 (UGT1A1), classified as CNS type Ⅰ and Ⅱ. CNS type Ⅰ is the most severe, which will develop into kernicterus, damage the brain nervous system, and even threaten the life of patients. This article introduces six CNS treatment techniques, including phototherapy, plasma exchange, drug therapy, liver transplantation, hepatocyte transplantation and gene therapy. The applicable patient types, treatment effects and existing deficiencies of each technique were summarized. Phototherapy, plasma exchange, drug therapy and hepatocyte transplantation can temporarily control serum levels and reduce the risk of jaundice, but cannot completely restore UGT1A1 enzyme activity; liver transplantation is currently the only treatment option for CNS type Ⅰ patients, but is limited by suitable liver donors and post-operative immune rejection. Gene therapy has the most promising application in the treatment of genetic disorders such as CNS, which can provide more viable therapeutic techniques for CNS patients.
Association between endoplasmic reticulum stress and ferroptosis in liver diseases
Lu YE, Xiuqin LI, Jianqing WANG
2023, 39(4): 980-985. DOI: 10.3969/j.issn.1001-5256.2023.04.036
Abstract(1589) HTML (848) PDF (2468KB)(143)
Abstract:
Research on the pathogenesis of liver diseases has attracted great attention. Endoplasmic reticulum stress (ERS) is a self-protective mechanism of cells, but sustained and severe ERS can induce apoptosis, autophagy, and ferroptosis, among which ferroptosis has been a research hotspot in recent years. Ferroptosis is mainly characterized by the accumulation of iron-dependent lipid peroxides and plays a key role in the development and progression of liver diseases, but there are currently few studies on the involvement of ERS in ferroptosis in liver diseases. This article summarizes the research advances in ERS-related signaling pathways, the mechanism of ferroptosis, and the involvement of ERS in liver diseases, so as to provide more ideas for research on the treatment of liver diseases.
Advances in in vitro induction of hepatocyte-like cells and the application of small-molecule compounds in inducing hepatocyte-like cells
Wei TANG, Dongmei WANG
2023, 39(4): 986-992. DOI: 10.3969/j.issn.1001-5256.2023.04.037
Abstract(875) HTML (600) PDF (1796KB)(72)
Abstract:
The induction of hepatocyte-like cells (HLCs) in vitro is one of the effective ways to obtain a large number of useful hepatocyte, and these HLCs can be used in disease modeling, drug design, and toxicological evaluation. At present, the induction of HLCs in vitro is mainly achieved by introducing exogenous transcription factors, cytokines or small-molecule compounds. Since small-molecule compounds have the advantages of structural diversity, controllable time and dose, and convenient and safe operation, scientists are devoted to screening out the small-molecule compounds to replace exogenous transcription factors and cytokines, and such compounds have a promising application prospect in the field of regenerative medicine. This article reviews the studies on the in vitro induction of HLCs from pluripotent stem cells and other adult stem cells and summarizes the application of small-molecule compounds in the in vitro induction of HLCs, in order to provide ideas and references for the in vitro induction of HLCs.
Thanks
Current reviewers
2023, 39(4): 935-935. DOI: 10.3969/j.issn.1001-5256.2023.4.zhixie1
Abstract(338) HTML (127) PDF (758KB)(37)
Abstract: