中文English
ISSN 1001-5256 (Print)
ISSN 2097-3497 (Online)
CN 22-1108/R

2023 No.3
Theme Issue: Liver pathology and precision diagnosis and treatment of liver diseases
Executive Chief Editor: YANG Yongfeng  
Nanjing Hospital Affiliated to Nanjing University of Chinese Medicine & Nanjing Second Hospital

Display Method:
Editorial
Liver pathology from the perspective of clinicians
Yongfeng YANG
2023, 39(3): 489-490. DOI: 10.3969/j.issn.1001-5256.2023.03.001
Abstract(1211) HTML (540) PDF (1786KB)(226)
Abstract:
Liver histopathology plays an important role in the grading and staging of liver diseases and the etiological evaluation of unexplained liver diseases. Clinicians should fully understand the indications and contraindications for liver biopsy, the pathological features of liver diseases, the position and role of liver histopathology, and the importance of clinicopathological communication. This article reviews the above issues to help clinicians better apply liver histopathology as an invasive diagnostic method.
Discussions by Experts
Diagnosis of nonalcoholic fatty liver disease: The importance of pathology
Aiping TIAN, Yongfeng YANG
2023, 39(3): 491-497. DOI: 10.3969/j.issn.1001-5256.2023.03.002
Abstract(2370) HTML (2032) PDF (3621KB)(569)
Abstract:
Histopathological evaluation based on liver biopsy is required to make a confirmed diagnosis of nonalcoholic fatty liver disease, differentiate nonalcoholic fatty liver (NAFL) from nonalcoholic steatohepatitis (NASH), and perform the grading and scoring of disease severity, while hematological and radiological examinations are often used in clinical practice. Although there have been a large number of studies on noninvasive models for fibrosis assessment and disease diagnosis in nonalcoholic fatty liver disease, the sensitivity and specificity of such models need to be further improved. This article reviews the main pathological features of NAFL and NASH, fibrosis and grading/staging/scoring systems, and the pathological diagnosis of NASH liver cirrhosis, in order to improve the awareness of the histological diagnosis of such disease among clinicians
Thinking of the pathological diagnosis of unexplained liver cirrhosis
Yu ZHANG, Yongfeng YANG
2023, 39(3): 498-503. DOI: 10.3969/j.issn.1001-5256.2023.03.003
Abstract(2134) HTML (782) PDF (1771KB)(361)
Abstract:
Liver cirrhosis is the final stage of various chronic liver diseases, and the common etiologies of liver cirrhosis include chronic viral hepatitis, nonalcoholic fatty liver disease, autoimmune liver diseases, and inherited metabolic liver disease. An accurate etiological diagnosis is an important prerequisite for etiological treatment. Unexplained liver cirrhosis refers to liver cirrhosis without a definite etiology after medical history inquiry, physical examination, and auxiliary examination. At present, liver histopathological examination is a gold standard for the diagnosis of liver cirrhosis and an important basis for exploring the etiology of liver cirrhosis. It may help with the etiological diagnosis of unexplained liver cirrhosis to evaluate the pattern of liver fibrosis, the type of inflammatory injury, and related pathological changes with reference to a comprehensive analysis of related medical history, signs, laboratory examination, and radiological examination. This article reviews the pathological features and diagnostic thinking of unexplained liver cirrhosis.
Diagnosis and treatment of autoimmune hepatitis: The indispensable role of pathology
Li WANG, Yongfeng YANG
2023, 39(3): 504-510. DOI: 10.3969/j.issn.1001-5256.2023.03.004
Abstract(1591) HTML (418) PDF (2286KB)(249)
Abstract:
Autoimmune hepatitis has become the main type of non-infectious hepatitis in China. This article summarizes its characteristic manifestations and the current status of diagnosis and treatment and points out that pathological histology plays an indispensable role in the diagnosis and treatment of autoimmune hepatitis.
Diagnosis and treatment of primary biliary cholangitis: Is pathology necessary?
Hongli LIU, Yongfeng YANG
2023, 39(3): 511-516. DOI: 10.3969/j.issn.1001-5256.2023.03.005
Abstract(1398) HTML (347) PDF (2564KB)(247)
Abstract:
Primary biliary cholangitis (PBC) is a chronic intrahepatic cholestatic disease. This article summarizes and reviews the histopathological features of PBC and the role of pathological examination in the diagnosis and treatment of PBC, as well as the role of pathology in staging and prognosis, the diagnosis of atypical PBC and overlap syndrome, the analysis of reasons for poor response to ursodeoxycholic acid, and identification of diseases or exclusion of other comorbidities, so as to improve the awareness of the role of pathological examination in PBC among clinicians.
Differential pathological diagnosis of liver tissue with normal appearance
Mengmeng ZHANG, Yao MENG, Xinyan ZHAO
2023, 39(3): 517-522. DOI: 10.3969/j.issn.1001-5256.2023.03.006
Abstract(1347) HTML (2447) PDF (5545KB)(352)
Abstract:
Liver biopsy is a key method for clarifying the diagnosis of liver diseases and has an important value in determining disease severity, deciding treatment timing, and predicting treatment response and prognosis. By recognizing the pattern of liver pathological injury, pathologists evaluate the nature of lesions as the basis of diagnosis and differential diagnosis, and among these patterns, liver tissue with "normal appearance" requires careful observation of easily overlooked pathological changes, so as to reduce misdiagnosis or missed diagnosis. This article mainly introduces the thoughts in the pathological diagnosis of liver tissue with normal appearance and the key points in differential diagnosis.
Academic Contention
Can green tea extract cause specific liver injury?——Discussion of the latest US guidelines on drug-induced liver injury
Yunjuan GAO, Xu ZHAO, Jingxiao ZHU, Zhaofang BAI, Jiabo WANG, Xiaohe XIAO
2023, 39(3): 523-526. DOI: 10.3969/j.issn.1001-5256.2023.03.007
Abstract(1204) HTML (390) PDF (1739KB)(131)
Abstract:
In recent years, the potential hepatotoxicity of green tea extract (GTE) has attracted more and more attention. With reference to the current studies on liver injury caused by GTE and the latest drug hepatotoxicity classification, this article systematically elaborates on the objectivity and causal mechanisms of liver injury caused by GTE. Based on the main risk factors for liver injury caused by GTE, this article also proposes recommendations for safe and rational use of such products, so as to provide valuable insights for in-depth research on the mechanism of liver injury caused by GTE and risk prevention and control, and meanwhile, it also provides an important reference for the therapeutic use of GTE to improve health conditions.
Guideline
Guidelines on the management of esophagogastric variceal bleeding in cirrhotic portal hypertension
Chinese Society of Hepatology, Chinese Society of Gastroenterology, Chinese Society of Digestive Endoscopology of Chinese Medical Association
2023, 39(3): 527-538. DOI: 10.3969/j.issn.1001-5256.2023.03.znygf
Abstract(2877) HTML (557) PDF (2570KB)(933)
Abstract:

In order to standardize the diagnosis, treatment and management of esophagogastric variceal bleeding (EVB) in cirrhotic portal hypertension, the Chinese Society of Hepatology, Chinese Society of Gastroenterology, and Chinese Society of Digestive Endoscopology of Chinese Medical Association organized relevant experts, reviewed domestic and international latest progress in clinical research on EVB in cirrhotic portal hypertension, and followed the evidence of evidence-based medicine to update the Guidelines on the Management of EVB in Cirrhotic Portal Hypertension. The guideline provides recommendations for the diagnosis, treatment and management of EVB in cirrhotic portal hypertension and aims to improve the level of clinical treatment of EVB in cirrhotic portal hypertension.

Original Article_Viral Hepatitis
Efficacy and safety of the 12-week sofosbuvir-coblopasvir regimen in treatment of chronic hepatitis C
Wei ZHANG, Song ZHAI, Hong DU, Fuchun JING, Limei WANG, Ye ZHANG, Bibo KANG, Jiuping WANG, Shuangsuo DANG, Jianqi LIAN, Hong JIANG
2023, 39(3): 539-545. DOI: 10.3969/j.issn.1001-5256.2023.03.009
Abstract(1464) HTML (323) PDF (2213KB)(150)
Abstract:
  Objective  To investigate the efficacy and safety of the 12-week regimen with sofosbuvir and coblopasvir hydrochloride in the treatment of chronic hepatitis C (CHC) in northwest China.  Methods  This study enrolled 101 patients with CHC of any genotype who received sofosbuvir (400 mg) combined with coblopasvir hydrochloride (60 mg) for 12 weeks in The First Affiliated Hospital of Air Force Medical University, The Second Affiliated Hospital of Air Force Medical University, The Second Affiliated Hospital of Xi'an Jiaotong University, and Baoji Central Hospital from July 1 to December 31, 2021, among whom 13 had liver cirrhosis and 88 did not have live cirrhosis. Other antiviral drugs such as ribavirin were not added regardless of the presence or absence of liver cirrhosis or the genotype of CHC. Related clinical data ere extracted, including HCV RNA quantification and liver biochemical parameters at baseline, at week 12 of treatment, and at 12 weeks after drug withdrawal. The primary endpoints were sustained virologic response at 12 weeks after the end of treatment (SVR12) and safety at week 12 of treatment, and the secondary endpoint was the effect of the 12-week treatment on liver biochemical parameters. The non-normally distributed continuous data were expressed as M(P25-P75), and the Mann-Whitney U test was used for comparison between groups.  Results  A total of 101 patients were included in the analysis, among whom there were 55 male patients (54.5%) and 46 female patients, and the median age was 53 years. Among these patients, 12.8% had liver cirrhosis, 1.0% had liver cancer, 3.0% were treatment-experienced patients, and 3.0% had type 2 diabetes. As for genotype distribution, 8% had CHC genotype 1, 60% had CHC genotype 2, 19% had CHC genotype 3, and 6% had CHC genotype 6, and genotype was not tested for 7% of the patients. After 12 weeks of treatment, all 101 patients had a HCV RNA level of below the lower limit of detection and an SVR12 rate of 100%, with a significant reduction in the serum level of alanine aminotransferase (ALT) from baseline to week 12 of treatment (P < 0.05). Among these patients, 22.7% had concomitant medications such as atorvastatin calcium, aspirin, metformin, nifedipine, bicyclol, and compound glycyrrhizin. The incidence rate of adverse events was 16.8%, and fatigue (12.9%) was the most common adverse event.  Conclusion  The 12-week treatment with sofosbuvir and coblopasvir hydrochloride can obtain high SVR12 in CHC patients in northwest China and has good antiviral safety, with a significant improvement in abnormal serum ALT at week 12 of treatment.
Original Article_Fatty Liver Disease
Value of triglyceride-glucose index combined with obesity index in predicting nonalcoholic fatty liver disease in individuals with obstructive sleep apnea
Rong JIANG, Yongxia LI
2023, 39(3): 546-551. DOI: 10.3969/j.issn.1001-5256.2023.03.010
Abstract(1123) HTML (300) PDF (1893KB)(119)
Abstract:
  Objective  To investigate the value of triglyceride-glucose index (TyG), TyG combined with body mass index (BMI), and TyG combined with waist circumference (WC) in predicting nonalcoholic fatty liver disease (NAFLD) in patients with obstructive sleep apnea (OSA).  Methods  A retrospective analysis was performed for 190 patients who underwent sleep respiratory monitoring and were diagnosed with OSA in The Second Affiliated Hospital of Kunming Medical University from January 2020 to December 2021, and according to the results of ultrasonography, they were divided into OSA+NAFLD group with 107 patients and control group with 83 patients. The t-test or the Mann Whitney U test was used for comparison of continuous data between two groups, and the chi-square test was used for comparison of categorical data between two groups. The binary logistic regression analysis was used to explore the influencing factors for the development of NAFLD in patients with OSA. The receiver operating characteristic (ROC) curve was plotted for TyG, TyG combined with BMI, and TyG combined with WC in predicting NAFLD in the patients with OSA, and the area under the ROC curve (AUC) was calculated. The Z test was used for comparison of AUC.  Results  Compared with the control group, the OSA+NAFLD group had significantly higher BMI, neck circumference, WC, apnea-hypopnea index, oxygen desaturation index, alanine aminotransferase, gamma-glutamyltransferase, triglyceride, fasting plasma glucose, and TyG and significantly lower age, average SpO2, LSaO2, and high-density lipoprotein cholesterol (all P < 0.05). The binary logistic regression analysis showed that TyG (odds ratio [OR]=1.961, 95% confidence interval [CI]: 1.03-3.73, P=0.04), BMI (OR=1.203, 95%CI: 1.03-1.41, P=0.020), and WC (OR=1.074, 95%CI: 1.01-1.14, P=0.026) were independent risk factors for NAFLD in patients with OSA. TyG, TyG combined with BMI, and TyG combined with WC had an AUC of 0.696 (95%CI: 0.625-0.760), 0.787 (95%CI: 0.722-0.843), and 0.803 (95%CI: 0.739-0.857), respectively, in predicting NAFLD in OSA patients, with an optimal cut-off value of 8.72, 0.36, and 0.60, respectively. TyG combined with BMI had a significantly higher value than TyG in predicting NAFLD in OSA patients (Z=2.542, P=0.011), and TyG combined with WC also had a significantly higher predictive value than TyG (Z=2.976, P=0.002 9).  Conclusion  TyG, TyG combined with BMI, and TyG combined with WC have a good value in predicting NAFLD in OSA patients, among which TyG combined with WC has the best predictive value and is thus expected to become a predictor for the risk of NAFLD in OSA patients.
Association between the rs1800591 variation of the microsomal triglyceride transfer protein gene and the risk of nonalcoholic fatty liver disease in the elderly population
Jinhan ZHAO, Jing ZHANG, Yang ZHANG, Xiaoyi XU, Yusong GOU, Hangfei XU, Yan WAN, Jian WU
2023, 39(3): 552-561. DOI: 10.3969/j.issn.1001-5256.2023.03.011
Abstract(933) HTML (328) PDF (1938KB)(93)
Abstract:
  Objective  To investigate the association between the polymorphism of the microsomal triglyceride transport protein (MTTP) gene at rs1800591 locus and the risk of nonalcoholic fatty liver disease (NAFLD) in the elderly population.  Methods  The clinical cohort of this study was established in Menkuang Hospital, Beijing Jingmei Group General Hospital. A total of 1098 healthy elderly volunteers were recruited for physical examination in communities in Mentougou District of Beijing, China, from January 11, 2020 to September 30, 2021, among whom there were 614 patients with NAFLD and 484 individuals without NAFLD. Gene microarray was used to determine the genotypes of MTTP rs1800591; demographic data were collected, and blood biochemical parameters were measured. The independent samples t-test was used for comparison of normally distributed continuous data between groups, and the Mann-Whitney U test was used for comparison of non-normally distributed continuous data between groups; the chi-square test was used for comparison of categorical data between groups. The chi-square test was used to investigate whether the distribution of genotype frequency was in accordance with Hardy-Weinberg equilibrium. The unconditional logistic regression model was used to calculate odds ratio (OR) and its 95% confidence interval (CI) to investigate the association of gene polymorphism with the risk of NAFLD and other comorbidities.  Results  There were significant differences in sex and age between the two groups (P < 0.05). Compared with the non-NAFLD group, the NAFLD group had significantly higher levels of body mass index (BMI), waist-hip ratio, triglyceride, alanine aminotransferase, aspartate aminotransferase, controlled attenuation parameter (CAP), and liver stiffness measurement and a significantly lower level of high-density lipoprotein (HDL) (all P < 0.05). Compared with the non-NAFLD group, the NAFLD group had a significantly higher proportion of patients with hypertension, diabetes, obesity, and metabolic syndrome (all P < 0.05). The distribution of genotype frequency at MTTP rs1800591 locus was in accordance with Hardy-Weinberg equilibrium in the control group (χ2=1.097, P=0.29). There were a significant differences in the genotype and the distribution of alleles at MTTP rs1800591 locus between the patients with NAFLD and the control group (all P < 0.001). In the total population, there was a significantly lower carrying rate of T allele (GT+TT, n=351) in male individuals, and the individuals carrying T allele had significantly higher BMI and CAP than those carrying GG allele (n=747) (P < 0.001). Compared with the individuals who did not carry T allele, the individuals carrying T allele (GT+TT, n=232) had a significantly higher proportion of patients with obesity and a significantly lower NFS score (P < 0.05). As for the individuals with NAFLD, the individuals carrying T allele had a significantly lower proportion of male individuals, a significantly lower waist-hip ratio, and a significantly higher level of HDL compared with those who did not carry T allele (GG, n=382), and the GT+TT group had a significantly lower NFS score than the GG group (all P < 0.05). The non-conditional logistic regression analysis showed that after adjustment for the confounding factors of sex, age, and BMI, the GT+TT genotype at MTTP rs1800591 locus significantly increased the risk of NAFLD (OR=1.643, 95%CI: 1.226-2.203, P=0.001), and carrying T allele also increased the risk of obesity in the total population (OR=1.371, 95%CI: 1.051-1.788, P=0.02).  Conclusion  MTTP rs1800591 polymorphism is associated with the development of NAFLD in the elderly population, and carrying T allele may promote hepatic steatosis and increase the risk of obesity in NAFLD, while it may inhibit the progression of liver fibrosis.
Changes in the frequency, phenotype, and function of mucosal-associated invariant T lymphocytes in peripheral blood of children with metabolic associated fatty liver disease
Tao JIANG, Wenxian OUYANG, Yanfang TAN, Zhen KANG, Shuangjie LI
2023, 39(3): 562-566. DOI: 10.3969/j.issn.1001-5256.2023.03.012
Abstract(878) HTML (260) PDF (1753KB)(85)
Abstract:
  Objective  To investigate the change in mucosal-associated invariant T (MAIT) lymphocytes in peripheral blood of children with metabolic associated fatty liver disease (MAFLD) and its clinical significance.  Methods  A total of 18 children with MAFLD who attended Hunan Children's Hospital from March to May, 2022, were enrolled as MAFLD group, and 20 normal children who attended the hospital during the same period of time were enrolled as control group. Peripheral blood samples were collected, and flow cytometry was used to measure the percentages of MAIT lymphocytes (CD3+CDl61+TCRVα7.2+ cells), different MAIT lymphocyte subsets (CD4+CD8- MAIT cells, CD4-CD8- MAIT lymphocytes, CD4-CD8+ MAIT lymphocytes, and CD4+CD8+ MAIT lymphocytes), and MAIT lymphocytes expressing PD-1, CD69, perforin, CD107α, CXCR3, CXCR6, and CCR6. The correlation of MAIT lymphocyte frequency with liver inflammation, fat content, and fibrosis degree was analyzed. The t-test was used for comparison of normally distributed continuous data between two groups, and the Mann-Whitney U test was used for comparison of non-normally distributed continuous data between two groups. The Spearman correlation analysis was used for correlation analysis.  Results  Compared with the control group, the MAFLD group had significant increases in the percentage of MAIT lymphocytes in peripheral blood, the percentages of MAIT cells expressing PD-1, CD69, CD107α, CXCR3, CXCR6 and CCR6, and the percentages of CD4+CD8- MAIT cells and CD4+CD8+ MAIT lymphocytes among MAIT cell subsets (all P < 0.05), as well as a significant reduction in the percentage of CD4-CD8+ MAIT cells among MAIT cell subsets (P < 0.001). The percentages of CD4+CD8+ MAIT lymphocytes and CD107α-positive MAIT lymphocytes were negatively correlated with alanine aminotransferase (r=-0.474 and -0.550, P=0.047 and 0.018).  Conclusion  The migration of peripheral blood MAIT lymphocytes to the liver plays a protective role against liver inflammation in children with MAFLD.
Original Article_Autoimmune Liver Disease
Association between primary sclerosing cholangitis and the risk of colorectal cancer: A two-sample Mendelian randomization study
Zhenqi LI, Ning DU, Hongyang He
2023, 39(3): 567-572. DOI: 10.3969/j.issn.1001-5256.2023.03.013
Abstract(1817) HTML (799) PDF (2338KB)(208)
Abstract:
  Objective  To investigate the association between primary sclerosing cholangitis (PSC) and colorectal cancer (CRC) by using two-sample Mendelian randomization (TSMR).  Methods  The single nucleotide polymorphism (SNP) data associated with PSC and CRC were obtained from Finland Biobank and UK Biobank, respectively. A secondary data analysis was performed for all pooled data based on genome-wide association studies to select the genetic loci closely associated with PSC as instrumental variables, and TSMR was conducted by seven methods, i.e., Egger regression in Mendelian randomization, weighted median, inverse variance weighted (IVW) random effects model, maximum likelihood, linear weighted median, IVW radial method, and IVW fixed effects model. Odds ratio (OR) value was used to evaluate the causal relationship between PSC and the risk of CRC.  Results  There was a positive causal relationship between gene predicted PSC and CRC, and with the IVW fixed effects model as an example, genetically determined patients with PSC could increase the risk of CRC (OR=1.002 243, 95% confidence interval: 1.001 319-1.003 167). TSMR results showed no heterogeneity (P=0.87) or horizontal pleiotropy (P=0.95). The three instrumental variables selected for PSC were strong instrumental variables (F=11.86).  Conclusion  TSMR shows the genetic evidence for the association between PSC and the risk of CRC. Regardless of the presence or absence of inflammatory bowel disease, active enteroscopy screening among patients with PSC may help with the early identification and timely intervention of CRC.
Original Article_Liver Fibrosis and Liver Cirrhosis
Value of liver-muscle signal intensity and serum markers in diagnosis of chronic hepatitis B liver fibrosis
Ya WEN, Zhaoyu QU, Jingnan LU, Weiling YIN, Xiaoqi HUANG
2023, 39(3): 573-579. DOI: 10.3969/j.issn.1001-5256.2023.03.014
Abstract(894) HTML (276) PDF (2480KB)(104)
Abstract:
  Objective  To investigate the value of liver/muscle ratio (LMR) on susceptibility-weighted imaging (SWI) and serum markers in the diagnosis of the severity of chronic hepatitis B liver fibrosis after grouping based on alanine aminotransferase (ALT) level.  Methods  A retrospective analysis was performed for 255 patients with chronic hepatitis B who attended Affiliated Hospital of Yan'an University from October 2018 to September 2021, and the patients were divided into severe liver fibrosis group (SLF group) and non-severe liver fibrosis group (non-SLF group). The SLF group was defined as liver stiffness measurement (LSM) > 9.0 kPa and ALT level within the normal range or LSM > 12.0 kPa and ALT level greater than 1-5 times of the upper limit of normal. LMR was calculated by measuring the mean SWI value of the liver (SWIliver) and the signal intensity of the erector spinae. The t-test was used for comparison of normally distributed continuous data between two groups, and the Mann-Whitney U test was used for comparison of non-normally distributed continuous data between two group; the chi-square test was used for comparison of categorical data between two groups. The binary logistic regression analysis was used to investigate the influencing factors for SLF. The receiver operating characteristic (ROC) curve was used to analyze the diagnostic performance of LMR and its combination with serum markers, and the DeLong test was used to compare the difference in the area under the ROC curve (AUC).  Results  Compared with the non-SLF group, the SLF group had significantly higher ALT (Z=-3.569, P < 0.001), aspartate aminotransferase (AST) (Z=-5.495, P < 0.001), hyaluronic acid (HA) (Z=-6.746, P < 0.001), laminin (LN) (Z=-5.459, P < 0.001), type Ⅳ collagen (Ⅳ-C)(Z=-8.470, P < 0.001), type Ⅲ procollagen (PCⅢ) (Z=-6.326, P < 0.001), aspartate aminotransferase-to-platelet ratio index (Z=-9.004, P < 0.001), and FIB-4 (Z=-8.357, P < 0.001) and significantly lower prothrombin time activity (PTA) (t=10.088, P < 0.001), platelet count (t=9.163, P < 0.001), SWIliver (t=2.347, P=0.02), and LMR×10 (Z=-4.447, P < 0.001). PTA, HA, Ⅳ-C, and LMR×10 were independent influencing factors for SLF. LMR×10 had an AUC of 0.675 (95% confidence interval [CI]: 0.614-0.732) in the diagnosis of SLF, which was significantly higher than that of SWIliver (AUC=0.594, 95%CI: 0.531-0.655) (Z=3.984, P < 0.001). PTA+HA+Ⅳ-C+LMR×10 and PTA+HA+Ⅳ-C had an AUC of 0.937 (95%CI: 0.896-0.966) and 0.905 (95%CI: 0.858-0.941), respectively, suggesting that PTA+HA+Ⅳ-C+LMR×10 had a better diagnostic performance than PTA+HA+Ⅳ-C (Z=2.228, P=0.026).  Conclusion  LMR and serum markers can accurately distinguish SLF after grouping based on ALT level. LMR is a quantitative and objective imaging indicator and is better than SWIliver, and it can also improve the diagnostic performance of serum markers for SLF in clinical practice.
Association of P-I-R classification and Laennec grading with histology and prognosis after antiviral therapy in patients with hepatitis B cirrhosis
Caihong LYU, Zheng SONG, Jing LUO, Xiujuan CHANG, Yongping YANG
2023, 39(3): 580-589. DOI: 10.3969/j.issn.1001-5256.2023.03.015
Abstract(948) HTML (600) PDF (3408KB)(97)
Abstract:
  Objective  To investigate the role of P-I-R classification and Laennec grading in evaluating histological changes in patients with hepatitis B cirrhosis after receiving antiviral therapy, as well as the association of these two evaluation systems with clinical prognosis.  Methods  A total of 218 patients from 14 centers were consecutively screened from October 2013 to October 2014, and these patients were diagnosed with liver cirrhosis based on pathology (Ishak score ≥5), received antiviral therapy for 72 weeks, completed two liver biopsies, and met the P-I-R classification criteria. The 218 patients were divided into non-hepatocellular carcinoma (HCC) group with 186 patients and HCC group with 32 patients. The chi-square test and the Fisher's exact test were used for comparison of categorical data between groups. For the comparison of HCC after antiviral therapy, the non-parametric Mann-Whitney U test was used for continuous variables, and for the comparison of P-I-R classification and Laennec grading, the non-parametric Kruskal-Wallis H test was used for continuous variables. Univariate and multivariate Cox regression analyses were used to calculate hazard ratio (HR) and 95% confidence interval (CI), and the Kaplan-Meier method was used to calculate the cumulative incidence rate of HCC.  Results  After 72 weeks of antiviral therapy, there was a significant difference in P-I-R classification between the non-HCC group and the HCC group (P < 0.001). There were significant differences in the distribution of Laennec grading and P-I-R classification before and after antiviral therapy (P < 0.001). After antiviral therapy, the 218 patients were divided into 4A group with 33 patients, 4B group with 71 patients, and 4C group with 114 patients according to Laennec grading, and there were significant differences between these three groups in platelet count (PLT) (H=36.429, P < 0.001), liver stiffness measurement (LSM) (H=13.983, P=0.004), Ishak score (χ2=23.060, P < 0.001), and HAI score (P < 0.001). After antiviral therapy, the 218 patients were divided into R group with 70 patients, I group with 52 patients, and P group with 96 patients according to P-I-R classification, and there were significant differences between these three groups in PLT (H=7.193, P=0.028), LSM (H=6.238, P=0.045), Ishak score (χ2=7.986, P < 0.001), HAI score (P=0.002), and HCC (P < 0.001). There was a significant difference in the incidence rate of HCC between the P and R groups based on P-I-R classification (HR=24.21, 95%CI: 0.46-177.99, P=0.002). After adjustment for other confounding factors, P-I-R classification was an independent predictive factor for HCC (HR=12.69, 95%CI: 4.63-34.80, P=0.002).  Conclusion  Both P-I-R classification and Laennec grading can reflect the features and changes of fibrosis before and after antiviral therapy, and P-I-R classification is more sensitive to fibrosis changes after antiviral therapy. P-I-R classification (after treatment) can be used to assess the risk of HCC in patients after antiviral therapy.
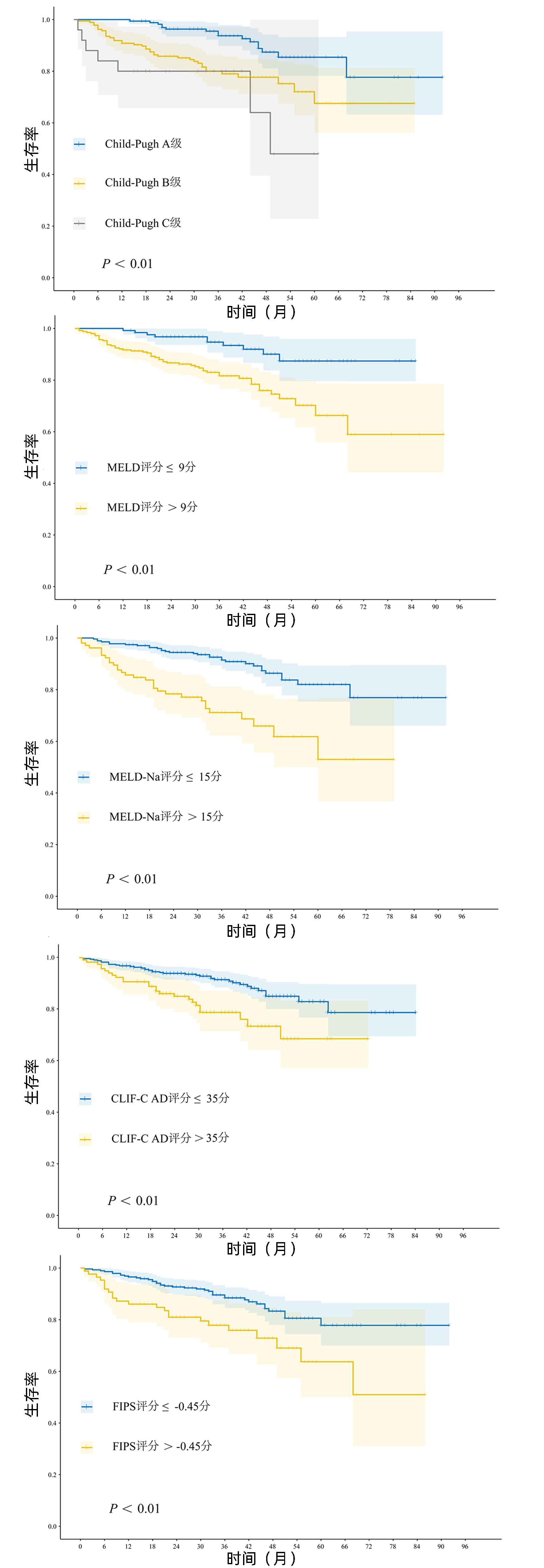
Value of different scoring models in predicting the survival of patients with liver cirrhosis after transjugular intrahepatic portosystemic shunt
Yuyi LIU, Zhiyong MU, Lu HU, Jun WANG, Wei XIONG, Hong HU, Aimin LIU, Xuan AN, Yuqiang XU, Haodong YU, Jinneng WANG, Liangzhi WEN, Dongfeng CHEN
2023, 39(3): 590-598. DOI: 10.3969/j.issn.1001-5256.2023.03.016
Abstract(1046) HTML (423) PDF (3395KB)(143)
Abstract:
  Objective  To compare the value of Child-Pugh score, Model for End-Stage Liver Disease (MELD) score, MELD combined with serum sodium concentration (MELD-Na) score, CLIF Consortium Acute Decompensation (CLIF-C AD) score, and Freiburg index of post-transjugular intrahepatic portosystemic shunt (TIPS) survival (FIPS) score in predicting the survival of patients undergoing TIPS.  Methods  A retrospective analysis was performed for the clinical data of 447 patients with liver cirrhosis who underwent TIPS in several hospitals in southwest China, among whom there were 306 patients in the survival group and 62 in the death group. The scores of the above five models were calculated, and a survival analysis was performed based on these models. The independent samples t-test was used for comparison of normally distributed continuous data between groups, and the non-parametric Mann-Whitney U test was used for comparison of non-normally distributed continuous data between groups; the Pearson chi-square test was used for comparison of categorical data between groups; a multivariate Cox regression analysis was used for correction analysis of known influencing factors with statistical significance which were not included in the scoring models; the Kaplan-Meier method was used to evaluate the discriminatory ability of each model in identifying risks in the surgical population, and the log-rank test was used for analysis. The area under the receiver operating characteristic curve (AUC), C-index at different time points, and calibration curve were used to evaluate the predictive ability of each scoring model.  Results  Compared with the death group, the survival group had significantly lower age (Z=2.884, P < 0.05), higher albumin (t=3.577, P < 0.05), and Na+ (Z=-3.756, P < 0.05) and significantly lower proportion of patients with alcoholic cirrhosis (χ2=22.674, P < 0.05), aspartate aminotransferase (Z=2.141, P < 0.05), prothrombin time (Z=2.486, P < 0.05), international normalized ratio (Z=2.429, P < 0.05), total bilirubin (Z=3.754, P < 0.05), severity of ascites (χ2=14.186, P < 0.05), and scores of the five models (all P < 0.05). Survival analysis showed that all scoring models effectively stratified the prognostic risk of the patients undergoing TIPS. Comparison of the C-index of each scoring model at different time points showed that Child-Pugh score had the strongest ability in predicting postoperative survival, followed by MELD-Na score, MELD score, and CLIF-C AD score, and FIPS score had a relatively poor predictive ability; in addition, the prediction efficiency of each score gradually decreased over time. Child-Pugh score had the largest AUC of 0.832 in predicting 1-year survival rate after surgery, and MELD-Na score had the largest AUC of 0.726 in predicting 3-year survival rate after surgery, but FIPS score had a poor ability in predicting 1- and 3-year survival rates.  Conclusion  All five scoring models can predict the survival of patients with liver cirrhosis after TIPS and can provide effective stratification of prognostic risk for such patients. Child-Pugh score has a better ability in predicting short-term survival, while MELD-Na score has a better ability in predicting long-term survival, but FIPS score has a relatively poor predictive ability in predicting both short-term and long-term survival.
Original Article_Liver Neoplasm
Value of a scoring system based on the serum levels of alpha-fetoprotein and alkaline phosphatase in predicting the prognosis of patients with resectable hepatocellular carcinoma
Jing LU, Yamin ZHANG, Hua LI, Yan MIAO
2023, 39(3): 599-605. DOI: 10.3969/j.issn.1001-5256.2023.03.017
Abstract(1018) HTML (453) PDF (2441KB)(129)
Abstract:
  Objective  To establish a scoring system based on the preoperative serum levels of alpha-fetoprotein (AFP) and alkaline phosphatase (ALP), and to investigate its value in predicting the prognosis of patients with resectable hepatocellular carcinoma (HCC).  Methods  A retrospective analysis was performed for 154 HCC patients who underwent hepatectomy as the initial treatment in Tianjin First Central Hospital from January 2016 to August 2019. The receiver operating characteristic (ROC) curve was used to determine the optimal cut-off values of serum AFP and ALP; the Kaplan-Meier curve and the log-rank test were used for survival analysis to evaluate the relationship between the AFP-ALP score and disease-free survival (DFS); univariate and multivariate Cox regression analyses were used to identify the independent prognostic factors for HCC patients. The independent samples t-test was used for comparison of normally distributed continuous data between groups, and the Mann-Whitney U test was used for comparison of non-normally distributed continuous data between groups; the chi-square test was used for comparison of categorical data between groups.  Results  The ROC curve analysis showed that serum AFP had an optimal cut-off value of 250.0 ng/mL and an area under the ROC curve (AUC) of 0.674 (95% confidence interval [CI]: 0.580-0.767) in predicting DFS, while serum ALP had an optimal cut-off value of 95.5 U/L and an AUC of 0.745 (95% CI: 0.652-0.838). The survival analysis showed that high preoperative serum levels of AFP (≥250.0 ng/mL) and ALP (≥95.5 U/L) were significantly associated with the poor prognosis of HCC patients (P < 0.001). Based on the AFP-ALP score, all HCC patients were further divided into 0-point group (AFP < 250.0 ng/mL and ALP < 95.5 U/L), 1-point group (AFP≥250.0 ng/mL, ALP < 95.5 U/L; or AFP < 250.0 ng/mL, ALP ≥95.5 U/L), and 2-point group (AFP≥250.0 ng/mL and ALP≥95.5 U/L). The survival curves showed that the 0-, 1-, and 2-point groups had a median DFS of 60.0 (56.7-67.3) months, 20.0 (1.4-36.6) months, and 13.0(7.9-18.0) months, respectively, and there were significant survival differences between the three groups (P < 0.05). Serum AFP-ALP score (1 point vs 0 point: hazard ratio [HR]=4.060, 95% confidence interval [CI]: 2.050-8.039, P < 0.001; 2 points vs 0 point: HR=4.583, 95%CI: 2.385-8.805, P < 0.001) was an independent prognostic factor for HCC patients.  Conclusion  The scoring system based on the serum levels of AFP and ALP can effectively identify HCC patients with poor prognosis, and therefore, it might be used as a simple and reliable tool for prognostic assessment in the clinical treatment of HCC.
Original Article_Other Liver Disease
Value of total bilirubin rebound rate and total bilirubin clearance rate in evaluating the prognosis of severe drug-induced liver injury after artificial liver support therapy
Ying LIU, Ping ZHU, Jing LIANG, Huiling XIANG
2023, 39(3): 606-612. DOI: 10.3969/j.issn.1001-5256.2023.03.018
Abstract(1497) HTML (654) PDF (2448KB)(117)
Abstract:
  Objective  To investigate the value of total bilirubin rebound rate (TBRR), total bilirubin clearance rate (TBCR), and TBCR after 1 week of treatment (ΔTBCR) in evaluating the short-term prognosis of patients with severe drug-induced liver injury (DILI) after artificial liver support therapy.  Methods  A retrospective analysis was performed for 203 patients with severe DILI who received artificial liver support therapy in Tianjin Third Central Hospital from September 2013 to December 2021, and general information, biochemical parameters, and clinical classification were collected. The patients were divided into improved group and unhealed group according to the prognosis at discharge, and Model for End-Stage Liver Disease (MELD) score, TBRR, TBCR, and ΔTBCR were calculated. The independent samples t-test was used for comparison of normally distributed continuous data between groups, and the Mann-Whitney U test was used for comparison of non-normally distributed continuous data between groups; the chi-square test was used for comparison of categorical data between groups. The receiver operating characteristic (ROC) curve was plotted to investigate the value of assessment indices in predicting the prognosis of patients, and the Kaplan-Meier method was used to investigate the difference in the length of hospital stay in the context of different assessment indices.  Results  Compared with the unhealed group, the improved group had significantly lower age (t=-2.762, P < 0.05), white blood cell count (Z=-3.184, P < 0.05), total bilirubin (t=-2.809, P < 0.05), conjugated bilirubin (t=-2.739, P < 0.05), international normalized ratio (Z=-2.357, P < 0.05), MELD score (t=-3.090, P < 0.05), and TBRR (t=-4.749, P < 0.05), as well as significantly higher albumin (t=2.198, P < 0.05), prothrombin time activity (t=2.018, P < 0.05), TBCR (t=2.166, P < 0.05), and ΔTBCR (t=9.549, P < 0.05). MELD score, TBRR, TBCR, and ΔTBCR had an area under the ROC curve (AUC) of 0.656, 0.727, 0.611, and 0.879, respectively, and ΔTBCR had a better predictive value than TBRR (Z=3.169, P=0.001 5). The optimal cut-off value was 22.5% for TBRR (with a sensitivity of 94.6% and a specificity of 45.2%) and 27.4% for ΔTBCR (with a sensitivity of 77.7% and a specificity of 86.5%). ΔTBCR showed a good predictive value in different clinicopathological types, with extremely high sensitivity (91.4%) and specificity (100.0%) in evaluating the treatment outcome of patients with mixed-type DILI after artificial liver support therapy.  Conclusion  TBRR and ΔTBCR have a higher value than MELD score in evaluating the short-term prognosis of patients with severe DILI after artificial liver support therapy, among which ΔTBCR has a higher predictive value.
Value of a risk assessment model in predicting venous thromboembolism in patients with liver failure after artificial liver support therapy
Sufang LU, Rui HUANG, Hongli ZHAO, Dandan WANG, Yuzhen DING, Hong ZHOU
2023, 39(3): 613-619. DOI: 10.3969/j.issn.1001-5256.2023.03.019
Abstract(1030) HTML (276) PDF (1949KB)(111)
Abstract:
  Objective  To investigate the value of a risk assessment model in predicting venous thromboembolism (VTE) in patients with liver failure after artificial liver support therapy.   Methods  A retrospective analysis was performed for the clinical data of 124 patients with liver failure who received artificial liver support therapy in Affiliated Drum Tower Hospital of Nanjing University Medical School from March 2019 to December 2021, among whom there were 41 patients with VTE (observation group) and 143 patients without VTE (control group). Related clinical data were compared between the two groups, and the Caprini risk assessment model was used for scoring and risk classification of the patients in both groups. The t-test was used for comparison of continuous data between two groups; the chi-square test was used for comparison of categorical data between two groups; the Mann-Whitney U rank sum test was used for comparison of ranked data between two groups. The logistic regression analysis was used to investigate the independent risk factors for VTE in patients with liver failure after artificial liver support therapy. The receiver operating characteristic (ROC) curve was used to investigate the value of Caprini score and the multivariate predictive model used alone or in combination in predicting VTE.  Results  The observation group had a significantly higher Caprini score than the control group (4.39±1.10 vs 3.12±1.04, t=6.805, P < 0.001). There was a significant difference between the two groups in risk classification based on Caprini scale (P < 0.05), and the patients with high risk or extremely high risk accounted for a higher proportion among the patients with VTE. The univariate analysis showed that there were significant differences between the two groups in age (t=6.400, P < 0.001), catheterization method (χ2=14.413, P < 0.001), number of times of artificial liver support therapy (Z=-4.720, P < 0.001), activity (Z=-6.282, P < 0.001), infection (χ2=33.071, P < 0.001), D-dimer (t=8.746, P < 0.001), 28-day mortality rate (χ2=5.524, P=0.022). The multivariate analysis showed that number of times of artificial liver support therapy (X1) (odds ratio [OR]=0.251, 95% confidence interval [CI]: 0.111-0.566, P=0.001), activity (X2) (OR=0.122, 95%CI: 0.056-0.264, P < 0.001), D-dimer (X3) (OR=2.921, 95%CI: 1.114-7.662, P=0.029) were independent risk factors for VTE in patients with liver failure after artificial liver support therapy. The equation for individual predicted probability was P=1/[1+e-(7.425-1.384X1-2.103X2+1.072X3)]. The ROC curve analysis showed that Caprini score had an area under the ROC curve of 0.802 (95%CI: 0.721-0.882, P < 0.001), and the multivariate model had an area under the ROC curve of 0.768 (95%CI: 0.685-0.851, P < 0.001), while the combination of Caprini score and the multivariate model had an area under the ROC curve of 0.957 (95%CI: 0.930-0.984, P < 0.001).  Conclusion  The Caprini risk assessment model has a high predictive efficiency for the risk of VTE in patients with liver failure after artificial liver support therapy, and its combination with the multivariate predictive model can significantly improve the prediction of VTE.
Brief Report
Clinical features of patients with portal hypertension due to Abernethy malformation: An analysis of 5 cases
Tingting BAI, Qin LI, Liangzhi WEN, Yanmei ZHANG, Yanling WEI, Bin WANG, Dongfeng CHEN, Hanyang XING
2023, 39(3): 620-625. DOI: 10.3969/j.issn.1001-5256.2023.03.020
Abstract(680) HTML (360) PDF (3579KB)(118)
Abstract:
Case Report
Transient aplastic anemia associated with acute hepatitis B: A case report
Yu ZHANG, Yu TIAN, Meili DONG, Ruihua ZHANG, Yang WANG, Xiaoyu WEN
2023, 39(3): 626-629. DOI: 10.3969/j.issn.1001-5256.2023.03.021
Abstract(921) HTML (282) PDF (2880KB)(120)
Abstract:
A case of Danon's disease with recurrent abnormal liver function
Leilei PU, Rong ZHU
2023, 39(3): 630-633. DOI: 10.3969/j.issn.1001-5256.2023.03.022
Abstract(1066) HTML (369) PDF (2430KB)(141)
Abstract:
Streptococcus constellatus liver abscess caused by fish bone: A case report
Jiajia LI, He WANG, Jidong GUO, Chao WANG, Wenjie QI
2023, 39(3): 634-636. DOI: 10.3969/j.issn.1001-5256.2023.03.023
Abstract(1192) HTML (341) PDF (2208KB)(120)
Abstract:
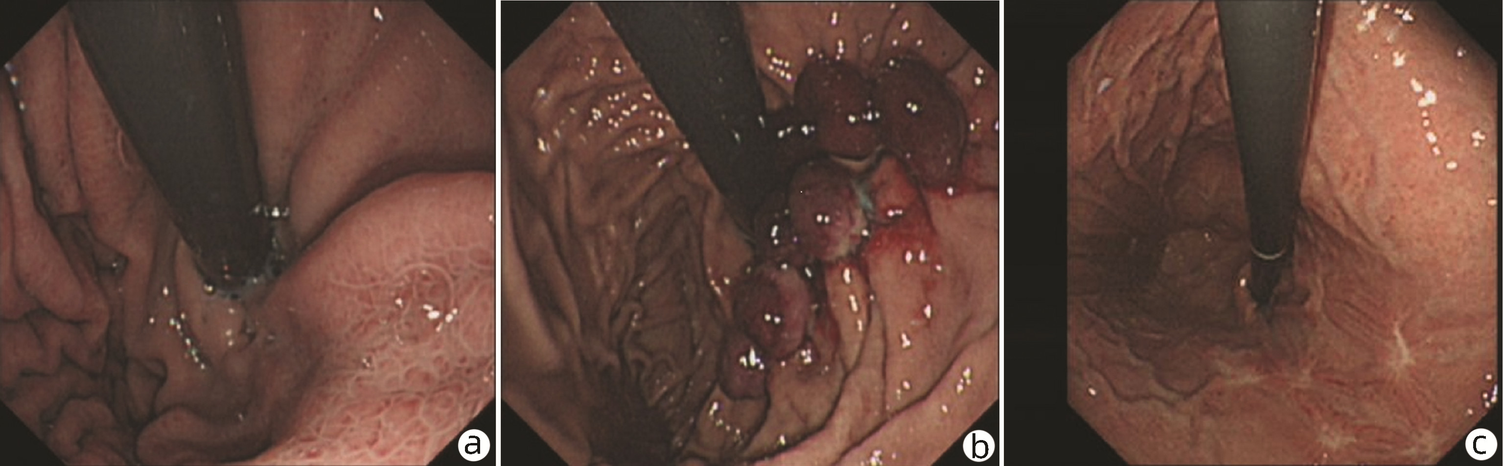
Endoscopic sequential ligation for treatment of esophageal and gastric varices with duodenal varices: A case report
Hao WEN, Zhaohui HE, Tong JIANG, Guoqing SHI
2023, 39(3): 637-639. DOI: 10.3969/j.issn.1001-5256.2023.03.024
Abstract(880) HTML (273) PDF (2676KB)(104)
Abstract:
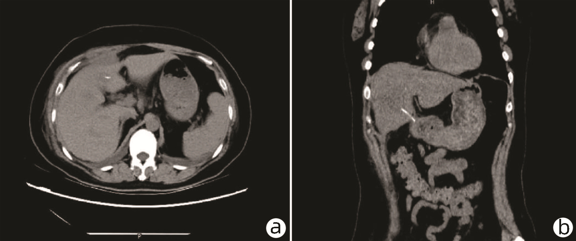
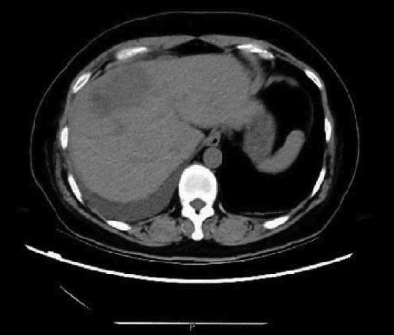
Massive hepatic hemangioma with diffuse arterioportal fistula: A case report
Bangjian ZHOU, Jun YANG, Yu YIN, Xiaoli ZHU, Caifang NI, Wansheng WANG
2023, 39(3): 640-643. DOI: 10.3969/j.issn.1001-5256.2023.03.025
Abstract(1037) HTML (228) PDF (3500KB)(109)
Abstract:
Review
Role of new serological markers in evaluating the progression of liver disease in patients with chronic HBV infection and normal aminotransferases
Yuan WANG, Huaie LIU, Jie DING, Qingqing WANG, Aili WANG, Hui SUN, Hui CAO
2023, 39(3): 644-650. DOI: 10.3969/j.issn.1001-5256.2023.03.026
Abstract(1230) HTML (366) PDF (1777KB)(175)
Abstract:
Antiviral therapy is the basic treatment method for improving prognosis recommended in the management guidelines of chronic hepatitis B in China and globally. For patients with chronic HBV infection and normal transaminases, it is difficult in clinical practice to accurately evaluate the progression of hepatitis and identify suitable patients who need antiviral therapy. In order to objectively and accurately evaluate the degree of liver inflammatory activity in such patients, more and more noninvasive evaluation indicators have been used in addition to conventional liver biopsy. This article reviews the new serological indicators that can reflect the degree of liver inflammation and/or fibrosis in patients with chronic HBV infection and normal aminotransferase levels, hoping to provide a reference for antiviral decision-making in these patients.
Research advances in hepatitis B virus-associated glomerulonephritis
Zhaoxia LI, Nan LI, Guijie XIN
2023, 39(3): 651-656. DOI: 10.3969/j.issn.1001-5256.2023.03.027
Abstract(1553) HTML (360) PDF (2004KB)(238)
Abstract:
There is are large number of patients with chronic hepatitis B virus (HBV) infection. HBV not only damages the liver, but also involves the kidney. Hepatitis B virus-associated glomerulonephritis (HBV-GN) is secondary glomerulonephritis caused by HBV infection, and it is one of the most common extrahepatic complications of HBV infection. HBV-GN is mainly observed in children and young and middle-aged adults, with varying degrees of proteinuria as the main clinical manifestation, and it may be accompanied by hematuria and hypertension. Membranous nephropathy is the most common pathological type, followed by membrano-proliferative glomerulonephritis and IgA nephropathy. HBV-GN has an insidious onset and lacks characteristic symptoms and pathological manifestations, and thus it may be easily confused with various types of glomerulonephritis, which may lead to missed diagnosis and misdiagnosis. HBV-GN has a complex pathogenesis involving various links such as immune disorders, direct viral damage, and genetics, among which the theory of immune complex deposition has been widely recognized. In recent years, some important advances have been made in the research on the pathogenesis, diagnosis, and treatment of HBV-GN. This article summarizes the above issues, so as to provide a reference for clinical diagnosis and treatment.
Role of serum Golgi protein 73 in nonalcoholic fatty liver disease
Hang ZHANG, Jinchun LIU
2023, 39(3): 657-662. DOI: 10.3969/j.issn.1001-5256.2023.03.028
Abstract(1280) HTML (326) PDF (1767KB)(121)
Abstract:
Golgi protein 73 (GP73) is a Golgi transmembrane protein that can be released into blood by cleavage. An increasing number of studies have shown that the increase in serum GP73 is closely associated with the development and progression of nonalcoholic fatty liver disease (NAFLD) and serum GP73 is expected to be used as a potential serological marker for the diagnosis and assessment of NAFLD. This article reviews the research advances in serum GP73 in NAFLD and analyzes its potential mechanism of action, so as to provide new options for the therapeutic targets of NAFLD.
Research advances in effective constituents of traditional Chinese medicine in intervention of autoimmune hepatitis-related signaling pathways
Junyu HAO, Guangwei LIU, Lu XIE, Wenyan FAN, Hongxiu CHEN
2023, 39(3): 663-670. DOI: 10.3969/j.issn.1001-5256.2023.03.029
Abstract(1600) HTML (419) PDF (2445KB)(139)
Abstract:
As a chronic liver inflammation disease caused by the lack of immune tolerance, autoimmune hepatitis is regulated by various signaling pathways, such as the NF-κB/NLRP3 pathway, the SIRT1/Nrf2/HO-1 pathway, the Hippo-YAP/TAZ pathway, the JAK/STAT pathway, the PI3K/Akt pathway, and the TRAF6/JNK pathway. These pathways can play a role against autoimmune hepatitis by participating in the processes including the proliferation and apoptosis of cytokines, immune response, and oxidative stress. In view of the problems of suboptimal response, obvious adverse reactions, and high recurrence rate in the clinical application of hormones and immune preparations for the treatment of autoimmune hepatitis, this article summarizes the research articles on autoimmune hepatitis-related signaling pathways and the mechanism of effective constituents (glycosides, terpenoids, flavonoids, quinones, and phenols) in traditional Chinese medicine intervening against the disease process of autoimmune hepatitis through the above signaling pathways, in order to provide a theoretical basis for scientific and effective utilization of effective constituents in traditional Chinese medicine to develop anti-autoimmune hepatitis drugs.
Research advances in the association between sarcopenia and hepatic encephalopathy in patients with liver cirrhosis
Yijing ZHU, Wei LI, Shousong ZHAO
2023, 39(3): 671-676. DOI: 10.3969/j.issn.1001-5256.2023.03.030
Abstract(1187) HTML (262) PDF (1759KB)(130)
Abstract:
Sarcopenia is one of the manifestations of malnutrition in patients with liver cirrhosis. Most studies have shown that sarcopenia is associated with overt hepatic encephalopathy (OHE), leading to an increased risk of events such as reduced quality of life, poor clinical prognosis, and even death in patients with liver cirrhosis, but there are few studies on the association between sarcopenia and minimal hepatic encephalopathy (MHE). This article reviews the research advances in sarcopenia and hepatic encephalopathy to provide a reliable basis for clinical treatment, and it is pointed out that the nutritional status of patients can be improved to prevent MHE and even reduce the onset of OHE, thereby improving patient prognosis, increasing quality of life, and reducing the risk of death.
Application of near-infrared fluorescence imaging in hepatectomy of hepatocellular carcinoma
Yanheng DUAN, Jiaze AN
2023, 39(3): 677-683. DOI: 10.3969/j.issn.1001-5256.2023.03.031
Abstract(999) HTML (352) PDF (1773KB)(118)
Abstract:
Multimodality therapy based on surgery is the main treatment method for hepatocellular carcinoma (HCC), and hepatectomy requires the removal of primary tumor and the preservation of normal liver tissue to the maximum extent. However in clinical surgery, it is difficult to accurately identify tumor tissue and its boundary with visual inspection and palpation, which often results in under-resection or over-resection. Near-infrared fluorescence (NIRF) imaging is a real-time noninvasive imaging technique with low costs and high sensitivity, and extensive studies have been conducted to investigate its application in guiding surgical resection of tumors. With the development of fluorescence imaging system and fluorescence probe, intraoperative tumor localization and boundary determination can be realized to make the surgery more accurate. This article reviews the development of various NIRF probes for intraoperative navigation in HCC and discusses current challenges and potential opportunities of these imaging probes.
Influence of the interaction between tumor microenvironment and liver cancer stem cells on the development and progression of hepatocellular carcinoma
Yanxin TIAN, Na LI, Lei GAO, Jia WU, Ying ZHU
2023, 39(3): 684-692. DOI: 10.3969/j.issn.1001-5256.2023.03.032
Abstract(1555) HTML (655) PDF (2670KB)(136)
Abstract:
In recent years, liver cancer stem cells (LCSC) have been considered one of the main causes of treatment failure and recurrence of hepatocellular carcinoma (HCC). Many studies have shown that LCSC are a small fraction of cells with the abilities of self-renewal, differentiation, and tumorigenesis in HCC tumor, which can initiate the onset of HCC and affect its proliferation, invasion, metastasis, recurrence, and drug resistance. Therapies based on tumor microenvironment (TME) have been developed recently, and a number of studies have found that targeting the relevant elements of TME has a higher therapeutic value than targeting tumor cells themselves. TME is the microenvironment for the growth of LCSC and HCC cells, and it interacts with LCSC and has a synergistic effect, thereby playing a positive role in the development and progression of HCC. This article introduces how various cellular components and non-cellular components in TME interact with LCSC to regulate the development and progression of the HCC. In addition, this article also describes the molecular targets, therapies, and drugs associated with the main components of TME and LCSCs, in order to seek safer and more effective targeted therapies for HCC.
Association of folic acid with the development and progression of liver cancer
Yingwen LI, Li SHI, Min LIU, Hao YUAN, Ya ZHENG, Yuping WANG, Qinghong GUO
2023, 39(3): 693-698. DOI: 10.3969/j.issn.1001-5256.2023.03.033
Abstract(1115) HTML (1037) PDF (2215KB)(133)
Abstract:
So far, liver cancer is still a highly malignant tumor with a high incidence rate in China, and it seriously affects the life and health of Chinese people. Previous studies have shown that the development of liver cancer is associated with various factors such as virus, smoking, drinking, and nonalcoholic fatty liver disease. With continuous exploration, more and more studies have pointed out that nutritional factors and living environment are associated with the development and progression of liver cancer. Folic acid is a necessary nutrient for cell growth and reproduction, and its level in human body has an impact on the growth of tumor cells and is closely associated with liver cancer. This article reviews the research advances in the association between folic acid and liver cancer in recent years, so as to provide new reference and basis for the prevention and treatment of liver cancer.
Role of stem cell-derived exosomes in treatment of liver diseases
Zhuoran WANG, Bing ZHU, Limei YU, Shaoli YOU
2023, 39(3): 699-706. DOI: 10.3969/j.issn.1001-5256.2023.03.034
Abstract(1444) HTML (670) PDF (2300KB)(152)
Abstract:
The liver is easily affected by a variety of factors to induce liver damage, which can cause disorders in the synthesis, detoxification, metabolism, and biotransformation functions of the liver in severe cases, and at present, there is still a lack of efficient clinical treatment methods for end-stage liver diseases such as liver failure and decompensated liver cirrhosis. Recent studies have confirmed the clinical efficacy of stem cells, and treatment methods based on stem cell-derived exosomes have become a research hotspot. This article introduces the advantages of treatment based on stem cell-derived exosomes, the research advances in related mechanisms, and the current status of preclinical research. Current research findings suggest that treatment based on stem cell-derived exosomes has a good application prospect in the treatment of liver diseases, but it is still needed to conduct in-depth preclinical and clinical studies.
Role of gasdermin D in the pathological progression of liver diseases
Feiyan LI, Minggang WANG, Dewen MAO, Xiongbin GUI
2023, 39(3): 707-712. DOI: 10.3969/j.issn.1001-5256.2023.03.035
Abstract(1063) HTML (233) PDF (1767KB)(46)
Abstract:
As a novel star molecule, gasdermin D (GSDMD) plays an important role in the amplification of immune inflammatory response and the process of pyroptosis. After being cleaved and activated by caspase-1, the N-terminal of GSDMD is rapidly released, which anchors on the cell membrane and forms pores, thereby leading to pyroptosis, accompanied by the release of a large amount of the strong proinflammatory factors IL-1β and IL-18. Acute/chronic liver inflammatory response and cell death are the common pathological features of liver diseases such as viral hepatitis, alcoholic liver disease, nonalcoholic fatty liver disease, autoimmune liver disease, liver failure, and hepatocellular carcinoma. This article summarizes the basic structural characteristics of GSDMD and elaborates on its important role in the pathological progression of various liver diseases. In addition, it is proposed that prevention and treatment strategies with GSDMD as a potential therapeutic target can provide new ideas for further studies on the clinical prevention and treatment of liver diseases.
Trends in nano-antimicrobial therapy for severe liver disease with infection
Zhenqun LUO, Xinhua LUO
2023, 39(3): 713-717. DOI: 10.3969/j.issn.1001-5256.2023.03.036
Abstract(967) HTML (211) PDF (1748KB)(92)
Abstract:
Severe liver disease with infection has always been a key and difficult point in clinical treatment. Through continuous exploration of nanomaterials, researchers have found that nanomaterials can achieve targeted antibacterial and immunomodulatory effects due to their special physicochemical properties. With reference to recent articles and advances, this article reviews the possible mechanisms of nano-therapies for severe liver disease with infection from the aspects of targeted antibacterial effect of nanomaterials without antibiotics, targeted antibacterial effect of nano-drug delivery systems, and targeted immunomodulatory therapy, so as to provide new treatment strategies for the prevention and treatment of severe liver disease with infection in clinical practice.
Role of A-kinase anchor protein 12 in chronic liver diseases
Haijian DONG, Hui LI, Yujing TAO, Jialing GUO, Yuru ZHONG, Zijian ZENG
2023, 39(3): 718-722. DOI: 10.3969/j.issn.1001-5256.2023.03.037
Abstract(954) HTML (258) PDF (1987KB)(102)
Abstract:
A-kinase anchor protein 12 (AKAP12) is a scaffold protein that improves the specificity and efficiency of spatio-temporal signals by assembling intracellular signal proteins into specific complexes. In recent years, the role of AKAP12 in chronic liver diseases has attracted more and more attention. This article introduces the physiological functions of AKAP12 and reviews the role of AKAP12 in chronic liver diseases, in order to lay a foundation for the use of AKAP12 small molecule as a new therapeutic target for chronic liver diseases.
Advances in the treatment of iatrogenic bile duct injury
GULIMILA·Yasenjiang, TUERGANAILI·Aji
2023, 39(3): 723-728. DOI: 10.3969/j.issn.1001-5256.2023.03.038
Abstract(947) HTML (611) PDF (1755KB)(128)
Abstract:
Iatrogenic bile duct injury (IBDI) refers to bile duct injury accidentally caused by medical factors such as surgical operation or other invasive operations during treatment. With the gradual maturity of surgical operation and minimally invasive techniques, the treatment of bile duct injury now includes endoscopic treatment, bile duct jejunum Roux-en-Y anastomosis, bile duct end-to-end anastomosis, hepatectomy, and liver transplantation. For IBDI, the selection of reasonable and effective treatment methods is currently an important and difficult issue in biliary surgery. Through a systematic review of the literature on the treatment of IBDI, this article analyzes and summarizes the different treatment modalities for IBDI.
Thanks
Current reviewers
2023, 39(3): 683-683. DOI: 10.3969/j.issn.1001-5256.2023.03.zhixie1
Abstract(404) HTML (179) PDF (781KB)(69)
Abstract: