中文English
ISSN 1001-5256 (Print)
ISSN 2097-3497 (Online)
CN 22-1108/R

2023 No.6
Theme Issue: Traditional Chinese Medicine and integrated traditional Chinese and Western Medicine therapy in integrated prevention and treatment of chronic hepatitis B:A review and prospect from the “11th Five - Year Plan”to the “13th Five - Year Plan”
Executive Chief Editor: YE Yongan  
Liver Diseases Academy of Traditional Chinese Medicine, Dongzhimen Hospital, Beijing University of Chinese Medicine

Display Method:
Editorial
An integrated traditional Chinese and Western Medicine study on the comprehensive prevention and treatment of chronic hepatitis B and its related diseases
Yongan YE
2023, 39(6): 1257-1266. DOI: 10.3969/j.issn.1001-5256.2023.06.001
Abstract(1639) HTML (454) PDF (2108KB)(188)
Abstract:
Chronic hepatitis B and its related diseases remain important public health problems and tough medical issues in China and even around the world, and now there is still a lack of effective radical treatment methods. This article reviews the traditional Chinese Medicine treatment regimens, the integrated traditional Chinese and Western Medicine treatment regimens, and related research highlights formed for hepatitis B (including various disease stages such as HBV carriers, chronic hepatitis B, liver fibrosis, liver cirrhosis, precancerous lesions of hepatocellular carcinoma, liver cancer, and liver failure) under the support of National Science and Technology Major Project from "The 11th Five-Year Plan" to "The 13th Five-Year Plan" (Prevention and Treatment of Major Infectious Diseases such as AIDS and Viral Hepatitis), and it also summarizes the role of traditional Chinese Medicine in the comprehensive prevention and treatment of chronic hepatitis B and its related diseases.
Discussions by Experts
Research advances in kidney-tonifying therapy for patients with HBeAg-positive chronic HBV infection
Yufeng XING, Zhiyi HAN, Daqiao ZHOU, Guangdong TONG
2023, 39(6): 1267-1273. DOI: 10.3969/j.issn.1001-5256.2023.06.002
Abstract(947) HTML (311) PDF (1760KB)(104)
Abstract:

Chronic HBV infection is an important phase in the natural history of HBV, but there are still controversies over the treatment of this stage. Traditional Chinese medicine has had unique advantages in the prevention and treatment of viral hepatitis since ancient times and plays an important role in prevention and treatment of viral hepatitis in China. Based on the pathological process of chronic HBV infection, the team of Department of Hepatology in Shenzhen Hospital of Traditional Chinese Medicine believes that the core pathogenesis of chronic HBV infection is "kidney deficiency and epidemic toxin lurking in liver blood" and established kidney-tonifying therapy for the treatment of chronic HBV infection. Under the support of the project of Prevention and Treatment of Major Infectious Diseases such as AIDS and Viral Hepatitis in The Eleventh Five Year Plan, The Twelfth Five Year Plan, and The Thirteenth Five Year Plan, the team has conducted studies on the regularity of syndromes and a series of clinical studies and investigated the clinical efficacy of kidney-tonifying therapy through multicenter, randomized, double-blind, placebo-controlled studies, thereby exploring the application and mechanism of traditional Chinese medicine treatment in patients with chronic HBV infection. However, there are still difficulties in the pathogenesis and treatment of chronic HBV infection, and with the inheritance, innovation, and modernization of traditional Chinese medicine, it is believed that traditional Chinese medicine can provide reliable regimens for the treatment of chronic HBV infection.

Clinical efficacy and mechanism of action of kidney-tonifying, spleen-strengthening, and diuresis-promoting therapy in treatment of chronic hepatitis B
Xiaojun ZHU, Jinghao ZHANG, Xuehua SUN, Xin ZHANG, Yueqiu GAO
2023, 39(6): 1274-1279. DOI: 10.3969/j.issn.1001-5256.2023.06.003
Abstract(1021) HTML (325) PDF (1745KB)(96)
Abstract:
Chronic hepatitis B is a public health issue worldwide. Nucleotide analogues and interferon therapy can effectively inhibit HBV replication, but they still have the shortcomings such as inability to achieve the clearance of HBV cccDNA and low HBsAg clearance rate. The academic viewpoint of "kidney-tonifying therapy for chronic hepatitis B" provides new ideas and methods for the treatment of hepatitis B. During long-term clinical practice, Department of Hepatology in Shuguang Hospital has identified that "deficiency of spleen and kidney with damp heat remaining" is the key pathogenesis of the continuous progression of chronic hepatitis B and has established the treatment regimen for chronic hepatitis B with the basic treatment method of tonifying the kidney, strengthening the spleen, and promoting diuresis. The clinical research of National Science and Technology Major Project from The 11th Five Year Plan to The 13th Five Year Plan has validated the clinical efficacy of this regimen and clarified that regulating the immune function of the body is the main mechanism of the kidney-tonifying, spleen-strengthening, and diuresis-promoting therapy in the treatment of chronic hepatitis B.
Role of traditional Chinese Medicine in prevention and treatment of chronic hepatitis B liver fibrosis: Current status, challenges, and thoughts
Meijie SHI, Huanming XIAO, Yubao XIE, Sheng LI, Folai ZENG, Xiaoling CHI
2023, 39(6): 1280-1286. DOI: 10.3969/j.issn.1001-5256.2023.06.004
Abstract(1718) HTML (324) PDF (1918KB)(163)
Abstract:
In recent years, significant breakthroughs have been made in the research on the role of traditional Chinese medicine (TCM) in the prevention and treatment of chronic hepatitis B liver fibrosis. In terms of clinical research, several multicenter randomized double-blind controlled studies have been conducted with liver pathological changes as the main efficacy evaluation indicator, which have improved the level of evidence in clinical research on the TCM prevention and treatment of liver fibrosis. As for basic research, in-depth studies have been conducted on the mechanism of action of TCM in intervening against liver fibrosis at various levels, including the effect on HSC activation, apoptosis and autophagy, inhibition of liver inflammatory injury, immunoregulation, and inhibition of hepatic sinusoidal capillarization, thereby highlighting the advantages and research difficulties of TCM through "multiple components, targets, and pathways". Under the guidance of Implementation Plan for the Major Projects of Revitalizing and Developing TCM, it is crucial to conduct high-quality clinical and basic research on TCM in the treatment of liver fibrosis, produce high-quality industry achievements, and thus help TCM to be recognized around the world.
Guideline
Chinese expert consensus on management of thrombocytopenia in cancer patients with liver injury (2022 edition)
Committee of Neoplastic Supportive-care (CONS), China Anti-Cancer Association
2023, 39(6): 1287-1294. DOI: 10.3969/j.issn.1001-5256.2023.06.005
Abstract(1731) HTML (682) PDF (2739KB)(283)
Abstract:
Thrombocytopenia and liver injury are common and serious clinical problems in cancer patients. The etiology of thrombocytopenia in cancer patients with liver injury (TCLI) is complicated, which is common in liver injury and tumor treatment. The management of cancer therapy-induced thrombocytopenia has gradually become standardized, and the management of liver injury-associated thrombocytopenia is becoming clear with the approval and marketing of relevant drugs. However, the management of TCLI is still blank, and the superposition of thrombocytopenia and liver injury further increases the difficulty of cancer treatment. Therefore, the Committee of Neoplastic Supportive-care, China Anti-Cancer Association organizes experts to analyze and discuss relevant literatures to form a Chinese expert consensus on the management of thrombocytopenia in cancer patients with liver injury (2022 Edition) to guide clinical practice.
Guideline Interpretation
Debates on the natural history of chronic hepatitis B virus infection during the update of Guidelines for the Prevention and Treatment of Chronic Hepatitis B (2022 Version)
Hui ZHUANG
2023, 39(6): 1295-1298. DOI: 10.3969/j.issn.1001-5256.2023.06.006
Abstract(1723) HTML (396) PDF (1724KB)(336)
Abstract:
This article introduces the debates on the natural history of chronic hepatitis B virus (HBV) infection during the update of Guidelines for the Prevention and Treatment of Chronic Hepatitis B (2022 Version), including nomenclature and definition, HBV infection, HBV DNA threshold for patients in the immune-tolerant phase, indeterminate phase and natural history, clinical diagnosis and natural history, and HBV DNA threshold for patients in the inactive phase.
Evolution in the indications for anti-viral therapy in chronic hepatitis B
Jinjin LIU, Mengyang ZHANG, Yameng SUN, Hong YOU
2023, 39(6): 1299-1303. DOI: 10.3969/j.issn.1001-5256.2023.06.007
Abstract(1604) HTML (324) PDF (1730KB)(269)
Abstract:
In order to reduce the disease burden of chronic hepatitis B (CHB) and improve the treatment rate of CHB, the indications for anti-viral therapy have been gradually expanded and simplified in guidelines for the prevention and treatment of CHB released by Chinese Medical Association from 2005 to 2022. This article elaborates on the evolution in the indications for anti-viral therapy in CHB from the five aspects of converging indications of HBeAg-positive and HBeAg-negative CHB, reduction in the treatment threshold of HBV DNA, reduction in the treatment threshold of serum alanine aminotransferase, emphasis on the risk factors for disease progression, and gradual loosening of the requirements for virological indicators in patients with liver cirrhosis.
Original Article_Viral Hepatitis
Liver inflammation and fibrosis in HBV-infected patients with a low viral load
Manlei JIANG, Fei XU, Lunli ZHANG
2023, 39(6): 1304-1307. DOI: 10.3969/j.issn.1001-5256.2023.06.008
Abstract(1180) HTML (174) PDF (1724KB)(116)
Abstract:
  Objective  To investigate liver inflammation and fibrosis in patients with chronic HBV infection with a low viral load.  Methods  Among the HBsAg-positive patients who attended Ganzhou Fifth People's Hospital from April 2019 to June 2022, 41 patients with 20 IU/mL < HBV DNA < 2 000 IU/mL were selected and underwent the examinations of blood biochemistry, liver stiffness measurement (LSM), and liver biopsy to clarify liver inflammation and fibrosis. Liver inflammation was analyzed according to HBV DNA, alanine aminotransferase (ALT), LSM, and age. The chi-square test was used for comparison of categorical data between groups.  Results  Among the 41 patients, 15 (36.59%) had liver inflammation grade ≥G2 and/or liver fibrosis stage ≥S2. Among these 15 patients, 11 (73.33%) had an HBV DNA level of > 200-2 000 IU/mL and 4 (26.67%) had an HBV DNA level of 20-200 IU/mL; the patients with G2 liver inflammation accounted for 73.33% (11/15), and those with S2 liver fibrosis accounted for 46.67% (7/15); the patients with ALT ≤30 U/L accounted for 46.67% (7/15); the patients aged ≥30 years accounted for 86.66% (13/15); the patients with LSM > 17 kPa accounted for 6.67% (1/15), those with an LSM value of 12.4-17 kPa accounted for 46.67% (7/15), and those with an LSM value of 9.4-12.4 kPa accounted for 33.33% (5/15).  Conclusion  Patients with chronic HBV infection and low-level viremia have a relatively high risk of progression of inflammation and fibrosis. ALT level cannot be used as a basis for antiviral therapy in HBV-infected people with a low viral load. LSM based on transient elastography can be used as a noninvasive test to screen for CHB patients with a low viral load, and antiviral therapy should be considered when HBV-infected patients with a low viral load have an age of > 30 years and an LSM value of > 9.4 kPa persistently.
Value of platelet count and related scoring models in predicting the prognosis of hepatitis B virus-related acute-on-chronic liver failure
Ying TU, Xue LI, Meijuan CHEN, Huaqian XU, Shanhong TANG
2023, 39(6): 1308-1312. DOI: 10.3969/j.issn.1001-5256.2023.06.009
Abstract(807) HTML (176) PDF (1996KB)(80)
Abstract:
  Objective  To investigate the association between platelet count (PLT) and the prognosis of hepatitis B virus-related acute-on-chronic liver failure (HBV-ACLF), to establish a new PLT-related scoring model, and to assess its value in predicting the short-term prognosis of HBV-ACLF.  Methods  A retrospective cohort study was conducted among the patients with HBV-ACLF who were hospitalized and treated in Department of Gastroenterology, The General Hospital of Western Theater Command, from January 2018 to January 2022. Clinical data within 24 hours after admission were collected from all patients, and according to the survival after 180 days of follow-up, the patients were divided into survival group and death group. The independent-samples t test was used for comparison of normally distributed continuous data between groups, and the Mann-Whitney U test was used for comparison of non-normally distributed continuous data between groups; the chi-square test was used for comparison of categorical data between groups. The Pearson correlation coefficient was used to investigate the correlation between different indicators, and the logistic regression model was used to analyze the influencing factors for prognosis. The receiver operating characteristic (ROC) curve was used to assess the predictive value of the prognostic model, and the Kaplan-Meier curve analysis was used to investigate the survival condition of the high AIP group and the low AIP group.  Results  A total of 236 patients were enrolled, with a 180-day survival rate of 75.85% (179/236). Compared with the survival group, the death group had significantly higher age (53.98±10.45 vs 47.44±12.46, P=0.001), international normalized ratio (INR) [1.78 (1.46-2.04) vs 1.47 (1.23-1.68), P < 0.001], total bilirubin [275.60 (165.00-451.45) vs 230.60 (154.90-323.70), P=0.035], Model for End-Stage Liver Disease (MELD) score [21.47 (18.14-24.76) vs 18.67 (15.70-21.62), P < 0.001], and albumin-bilirubin (ALBI) score [-1.06 (-1.64~-0.86) vs-1.32 (-1.73~-1.01), P=0.034], as well as significantly lower PLT [80.00 (50.00~124.50) vs 115.00 (82.00~143.00), P=0.001] and platelet-to-white blood cell ratio (PWR) [13.40 (9.54~20.70) vs 18.49 (13.95~24.74), P=0.001]. The Pearson correlation analysis showed that PLT was negatively correlated with liver cirrhosis and INR (r=-0.332 and -0.194, P < 0.001 and P=0.003). The multivariate logistic regression analysis showed that age (odds ratio [OR]=1.045, 95% confidence interval [CI]: 1.015-1.076), PLT (OR=0.990, 95%CI: 0.983-0.998), and INR (OR=2.591, 95%CI: 1.363-4.925) were independent risk factors for the 180-day prognosis of HBV-ACLF patients. The new predictive model was established as follows: AIP=0.006×age+0.187×INR-0.001×PLT. The AIP scoring model had an area under the ROC curve (AUC) of 0.718 in predicting the 180-day prognosis of HBV-ACLF patients, with a sensitivity of 81.1% and a specificity of 54.1%, while PLT, PWR, LPACLF score, MELD score, and ALBI score had an AUC of 0.673, 0.659, 0.588, 0.647, and 0.578, respectively. The AIP scoring model had an optimal cut-off value of 0.48. The Kaplan-Meier survival analysis showed that the high AIP group had a significantly lower survival rate than the low AIP group (P < 0.001).  Conclusion  The PLT-related scoring model has a better value than other models in predicting the prognosis of HBV-ACLF, and HBV-ACLF patients with a relatively high PLT level tend to have a high overall survival rate.
Influence of long-term use of entecavir on renal tubular function in patients with chronic hepatitis B
Yuanmei CHE, Ai LI, Liang WANG, Lunli ZHANG, Xiaopeng LI
2023, 39(6): 1313-1317. DOI: 10.3969/j.issn.1001-5256.2023.06.010
Abstract(1917) HTML (487) PDF (1738KB)(134)
Abstract:
  Objective  To investigate the possible influence of long-term antiviral therapy with entecavir on renal function in patients with chronic hepatitis B (CHB) and the sensitive indicators for early identification of renal injury.  Methods  A cross-sectional real-world study was conducted for the clinical data of 125 CHB patients treated with entecavir for more than 1 year (treatment group) and 44 patients with chronic HBV infection who did not receive antiviral therapy (control group), including the changes in serum creatinine (SCr), estimated glomerular filtration rate (eGFR), and the levels of urinary α1 microglobulin (α1-MG), β2 microglobulin (β2-MG), and N-acetyl-β-D-glucosaminidase (NAG). The chi-square test or the Fisher's exact test was used for comparison of categorical data between groups. The independent-samples t test was used for comparison of normally distributed continuous data between groups, and the Mann-Whitney U test was used for comparison of non-normally distributed continuous data between groups. The Logistic regression analysis was used to investigate independent influencing factors for abnormal urinary α1-MG, β2-MG, and NAG in the treatment group.  Results  There were no significant differences in SCr and eGFR between the treatment group and the control group (t=0.999 and -1.259, P > 0.05), and both indices were within the normal range in these two groups. The treatment group had significantly higher abnormal rates of urinary α1-MG and β2-MG than the control group (47.2%/42.4% vs 13.6%/13.6%, χ2=15.693 and 12.567, both P < 0.001), and compared with the control group, the treatment group had a significantly higher proportion of patients with α1-MG or β2-MG > 2×upper limit of normal (18.4%/21.6% vs 2.3%/4.5%, both P < 0.05); however, there were no significant differences between the treatment group and the control group in the abnormal rate of urinary NAG (8.0% vs 6.8%, P > 0.05) and the proportion of patients with urinary NAG > 2×upper limit of normal (8.8% vs 6.8%, P > 0.05). Compared with the control group, the treatment group had a significantly higher proportion of patients with abnormalities in two or more indicators for renal tubular injury (33.6% vs 11.4%, χ2=8.519, P < 0.05), while there was no significant difference between the two groups in the proportion of patients with abnormalities in one indicator (16.0% vs 11.4%, P > 0.05).  Conclusion  Long-term treatment of CHB with entecavir may be associated with the risk of renal tubular dysfunction, and abnormalities in more than two indicators for renal injury may help to identify renal tubular dysfunction in patients, so as to adjust related treatment in time.
Original Article_Fatty Liver Disease
Value of Helicobacter pylori infection combined with traditional risk factors in predicting the risk of metabolic associated fatty liver disease
Sarula BAO, Xiaoxu DU, Hongyan GE
2023, 39(6): 1318-1324. DOI: 10.3969/j.issn.1001-5256.2023.06.011
Abstract(973) HTML (264) PDF (1769KB)(100)
Abstract:
  Objective  To investigate the association between Helicobacter pylori (HP) infection and newly named "metabolic associated fatty liver disease (MAFLD)" and the value of HP infection combined with traditional risk factors in predicting MAFLD.  Methods  A retrospective analysis was performed for the clinical data of 350 patients who were admitted to Affiliated Hospital of Inner Mongolia University for the Nationalities and underwent carbon-13 urea breath test from January 2017 to December 2021, and according to whether fatty liver disease was diagnosed by abdominal ultrasound, they were divided into MAFLD group with 190 patients and non-fatty liver disease group with 160 patients. The independent-samples t test was used for comparison of normally distributed continuous data between groups, and the Mann-Whitney U rank sum test was used for comparison of non-normally distributed continuous data between groups; the chi-square test was used for comparison of categorical data between groups. The binary Logistic regression analysis was used to investigate the risk factors for MAFLD.  Results  Compared with the non-fatty liver disease group, the MAFLD group had significantly higher body mass index (t=8.73, P < 0.05), systolic blood pressure (Z=-3.67, P < 0.05), diastolic blood pressure (Z=-3.62, P < 0.05), triglyceride (Z=-8.93, P < 0.05), fasting blood glucose (Z=-9.13, P < 0.05), aspartate aminotransferase (Z=-2.03, P < 0.05), gamma-glutamyl transpeptidase (Z=-8.56, P < 0.05), proportion of male patients (χ2=12.09, P < 0.05), and proportion of patients with hypertension (χ2=37.91, P < 0.05), diabetes (χ2=73.62, P < 0.05), overweight/obesity (χ2=42.82, P < 0.05), hypertriglyceridemia (χ2=59.12, P < 0.05), or HP infection (χ2=4.53, P < 0.05), as well as a significantly lower level of high-density lipoprotein cholesterol (Z=-6.81, P < 0.05). The Logistic regression analysis showed that fasting blood glucose (odds ratio [OR]=1.255, 95% confidence interval [CI]: 1.091-1.445, P < 0.05), HP infection (OR=1.899, 95%CI: 1.048-3.440, P < 0.05), hypertension (OR=2.589, 95%CI: 1.468-4.567, P < 0.05), diabetes (OR=2.202, 95%CI: 1.123-4.315, P < 0.05), overweight/obesity (OR=4.571, 95%CI: 2.308-9.052, P < 0.05), and hypertriglyceridemia (OR=4.187, 95%CI: 2.411-7.271, P < 0.05) were risk factors for MAFLD, and it also showed that HP infection combined with traditional risk factors significantly increased the risk of MAFLD in subjects with diabetes, overweight/obesity, hypertriglyceridemia, and hypertension (OR=12.267, 14.005, 7.911, and 7.364, all P < 0.05).  Conclusion  HP infection is associated with an increased risk of MAFLD, and its combination with traditional risk factors may further increase the risk of MAFLD.
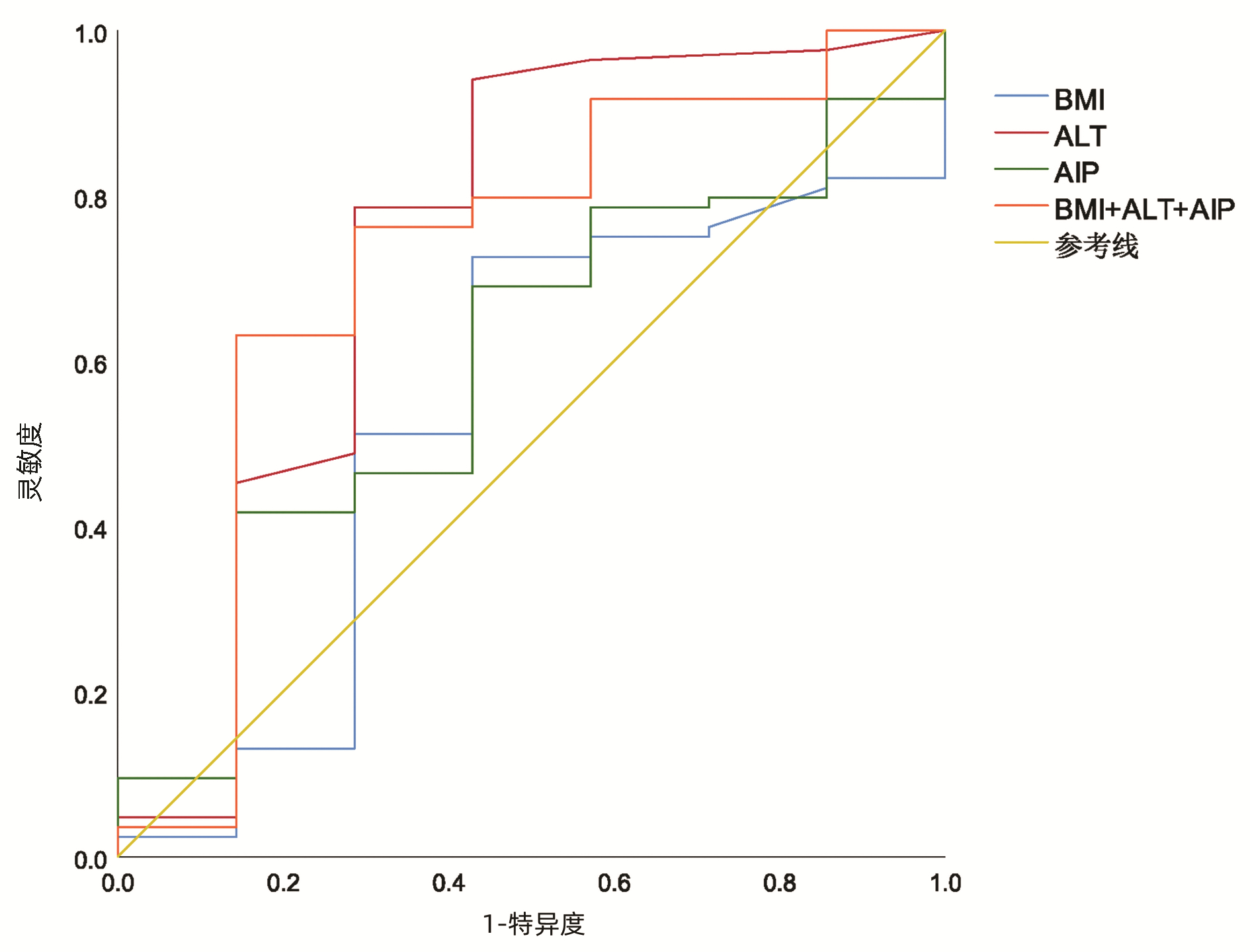
Value of atherogenic index of plasma in predicting metabolic associated fatty liver disease in patients with type 2 diabetes mellitus
Mengya GAO, Qian QIN, Shoujun WANG
2023, 39(6): 1325-1331. DOI: 10.3969/j.issn.1001-5256.2023.06.012
Abstract(849) HTML (906) PDF (2586KB)(83)
Abstract:
  Objective  To investigate the association between atherogenic index of plasma (AIP) and metabolic associated fatty liver (MAFLD) in type 2 diabetes mellitus (T2DM).  Methods  A total of 375 patients with T2DM who were hospitalized and treated in Department of Endocrinology, The First Affiliated Hospital of Zhengzhou University, from September 2021 to September 2022 were enrolled, and according to the presence or absence of MAFLD, they were divided into T2DM+MAFLD group with 245 patients and T2DM group with 130 patients. Related clinical data were recorded, and AIP was calculated. According to the quartiles of AIP, the patients were divided into Q1 group (AIP≤0.20), Q2 group (0.20 < AIP≤0.24), Q3 group (0.24 < AIP≤0.48), and Q4 group (AIP > 0.48). The independent-samples t test was used for comparison of normally distributed continuous data between groups, and the Wilcoxon rank-sum test was used for comparison of non-normally distributed continuous data between groups; the trend chi-square test was used for the trend analysis of categorical data. The multivariate logistic regression analysis was used to investigate the effect of AIP on MAFLD, and the receiver operating characteristic (ROC) curve and the area under the ROC curve (AUC) were used to assess the value of the indicators such as AIP, body mass index (BMI), and alanine aminotransferase (ALT) in predicting T2DM with MAFLD.  Results  Compared with the T2DM group, the T2DM+MAFLD group had significant increases in BMI, systolic pressure, uric acid, fasting blood glucose, glycosylated hemoglobin, ALT, aspartate aminotransferase, gamma-glutamyl transpeptidase, alkaline phosphatase, triglyceride, low-density lipoprotein, and AIP and a significant reduction in high-density lipoprotein (all P < 0.05). The trend chi-square test showed that the prevalence rate of MAFLD in T2DM patients tended to increase with the increase in AIP level (χtrend2=20.338, P < 0.05). The multivariate logistic regression analysis showed that compared with the Q1 group, the Q4 group had a significant increase in the risk of MAFLD (odds ratio =2.396, 95% confidence interval: 1.018-5.640, P=0.045). The ROC curve analysis showed that the diagnostic model of AIP combined with BMI and ALT had the best diagnostic performance (AUC=0.816), with a sensitivity of 70.2% and a specificity of 78.5% at the optimal cut-off value of 0.670.  Conclusion  AIP is an independent risk factor for MAFLD in T2DM patients, and AIP combined with BMI and ALT has a good predictive value for T2DM with MAFLD.
Clinical features of hypopituitarism with nonalcoholic fatty liver disease after sellar tumor surgery in children
Tingting DU, Hui YAO, Xiaohong CHEN, Jie LUO, Luhong YANG, Lifang FENG, Xiaoqian CHEN, Man HU, Juan LUO
2023, 39(6): 1332-1339. DOI: 10.3969/j.issn.1001-5256.2023.06.013
Abstract(898) HTML (295) PDF (1762KB)(70)
Abstract:
  Objective  To investigate the clinical features of hypopituitarism with nonalcoholic fatty liver disease (NAFLD) in children after sellar tumor surgery and the association between hypopitarism and NAFLD in children.  Methods  A retrospective analysis was performed for the clinical data of children with hypopituitarism and NAFLD after sellar tumor surgery who were followed up regularly in Wuhan Children's Hospital, Tongji Medical College, Huazhong University of Science and Technology, from January 2017 to December 2021, and their clinical features were analyzed.  Results  There were 32 children with regular follow-up and complete clinical data after sellar tumor surgery, and 10 children (31.25%) developed NAFLD, among whom there were 5 boys and 5 girls. Among these 10 children, 9 had craniopharyngioma and underwent surgical treatment, and 1 had germinoma and underwent local radiotherapy. The 10 children had a median age of 8.4(6.29.8) years at the diagnosis of hypopituitarism and a median age of 11.9(8.7-12.6) years at the diagnosis of NAFLD. The median number of years from the diagnosis of hypopituitarism to the diagnosis of NAFLD was 2.0(1.4-4.0) years. At the diagnosis of NAFLD, all 10 children had obesity, and body mass index (BMI) was increased by 7.26±4.25 kg/m2 on average since the diagnosis of hypopituitarism; the 10 children had a mean fasting blood glucose level of 4.67±0.55 mmol/L, a mean fasting insulin level of 25.40±5.93 μIU/ml, and a mean HOMA-IR index of 5.26±1.29. Among these 10 children, 9 had hypertriglyceridemia, and 1 had elevated triglyceride, with a mean level of 3.08±1.09 mmol/L; 6 children had hypercholesterolemia, with a mean level of 5.67±1.25 mmol/L; 8 children had high-density lipoprotein cholesterolemia, with a mean level of 3.97±1.27 mmol/L. After the diagnosis of NAFLD, 2 children were treated with recombinant human growth hormone and metformin and achieved reductions in BMI, HOMA-IR, and triglyceride after treatment, and total cholesterol and low-density lipoprotein cholesterol were reduced to the normal range.  Conclusion  Children may experience weight gain, hypopituitarism, insulin resistance, and dyslipidemia after sellar tumor surgery, which may lead to the onset of NAFLD. Weight management and active pituitary hormone replacement therapy are recommended for such children, as well as routine screening and management of fatty liver disease.
Effect of Xuanfuhua decoction on a mouse model of nonalcoholic steatohepatitis induced by high-fat, high-fructose, and high-cholesterol diet
Yijing XIN, Yiyun CHEN, Hailin YANG, Yunhui ZHUO, Dingqi ZHANG, Fengfeng ZHOU
2023, 39(6): 1340-1350. DOI: 10.3969/j.issn.1001-5256.2023.06.014
Abstract(1281) HTML (567) PDF (4624KB)(82)
Abstract:
  Objective  To investigate the intervention effect of Xuanfuhua decoction on mice with nonalcoholic steatohepatitis (NASH) induced by high-fat, high-fructose, and high-cholesterol diet.  Methods  A total of 32 male C57/BL6J mice were randomly divided into normal group, model group, Xuanfuhua decoction group, and obeticholic acid group, with 8 mice in each group. Since week 24 of modeling using high-fat, high-fructose, and high-cholesterol diet, each group was given the corresponding drug for intervention at a dose of 14.19 g/kg by gavage for the Xuanfuhua decoction group and 10 mg/kg by gavage for the obeticholic acid group and a volume of 20 mL/kg for gavage, once a day for 6 consecutive weeks. HE staining, oil red O staining, Sirius Red staining, and Masson staining were used to observe the pathological changes, lipid deposition, and collagen deposition of liver tissue; related kits were used to measure the serum levels of alanine aminotransferase (ALT), aspartate aminotransferase (AST), total cholesterol (TC), triglyceride (TG), low-density lipoprotein cholesterol (LDL-C), and glucose, as well as the content of TG and hydroxyproline (Hyp) in liver tissue; quantitative real-time PCR was used to measure the expression of genes associated with lipid metabolism, inflammation, and fibrosis in liver tissue; immunohistochemical staining was used to observe the positive expression of F4/80 and α-SMA in liver tissue. A one-way analysis of variance was used for comparison of continuous data between multiple groups, and the least significant difference t-test was used for further comparison between two groups.  Results  Compared with the normal group, the model group had significant increases in body weight, liver wet weight, and serum levels of AST, ALT, TC, TG, LDL-C and glucose (all P < 0.01). HE staining showed hepatocyte steatosis, a large number of fat vacuoles, hepatocyte ballooning degeneration, and inflammatory cell infiltration in liver tissue of the mice in the model group, and the model group had a significant increase in NAFLD activity score (NAS) compared with the normal group (P < 0.01). Oil red O staining showed the deposition of a large number of red lipid droplets with different sizes in hepatocytes of the mice in the model group, and compared with the normal group, the model group had significant increases in the area percentage of oil red O staining and the content of TG in the liver (P < 0.01). Sirius Red staining and Masson staining showed significant collagen fiber hyperplasia in the perisinusoidal area, the central vein, and the portal area in the model group, and the model group had a significant increase in the content of Hyp in liver tissue compared with the normal group (P < 0.05). Compared with the model group, the Xuanfuhua decoction group had significant reductions in the serum levels of AST, ALT, TC, TG, LDL-C, and glucose (all P < 0.05), significant improvements in hepatic steatosis, inflammatory infiltration, lipid droplet deposition, and collagen fiber hyperplasia, and significant reductions in NAS score, area percentage of oil red O staining, and content of TG and Hyp in the liver (all P < 0.05). Compared with the normal group, the model group had significant increases in the mRNA expression levels of lipid metabolism-related genes (SREBP-1c, FASN, SCD-1, PPAR-γ, and CD36), inflammation-related genes (F4/80, TNF-α, CCL2, and CD11b), and the fibrosis-related gene α-SMA (all P < 0.05), and immunohistochemical staining showed significant increases in the positive expression of F4/80 and α-SMA (P < 0.01). Compared with the model group, the Xuanfuhua decoction group had significant reductions in the mRNA expression levels of SREBP-1c, FASN, SCD-1, PPAR-γ, CD36, F4/80, TNF-α, CCL2, CD11b, and α-SMA in liver tissue (all P < 0.05), and immunohistochemical staining showed significant reductions in the positive expression of F4/80 and α-SMA (P < 0.01).  Conclusion  Xuanfuhua decoction has a good intervention effect on mice with NASH induced by high fat, high fructose, and high-cholesterol diet and can significantly inhibit hepatic lipid deposition, inflammatory response, and liver fibrosis.
Original Article_Liver Fibrosis and Liver Cirrhosis
Role and mechanism of action of the Mongolian medicine Scabiosa atropurea in inhibiting the proliferation of hepatic stellate cells
Yuxin YAN, Xiaoyang GAO, Chunyan ZHANG, Rong JIN, Hongwei YUAN, Yuehong MA
2023, 39(6): 1351-1357. DOI: 10.3969/j.issn.1001-5256.2023.06.015
Abstract(898) HTML (254) PDF (2342KB)(62)
Abstract:
  Objective  To investigate the role and mechanism of action of Scabiosa atropurea in inhibiting the proliferation of hepatic stellate cells using cell experiment.  Methods  A total of 20 Wistar rats were randomly divided into control group and administration group, with 10 rats in each group. The rats in the control group were given normal saline by gavage, and those in the administration group were given Scabiosa atropurea by gavage to prepare drug-containing serum. HSC-T6 cells were incubated with the serum from the control group (10%) or the low-, middle-, and high-dose serum containing Scabiosa atropurea (10%, 15%, and 20%, respectively). MTT assay was used to observe the effect of different drug concentrations on cells in different periods of time; flow cytometry was used to measure cell apoptosis; qRT-PCR and Western blot were used to measure the mRNA and protein expression levels of fibrosis markers (α-SMA, collagen Ⅰ) and PI3K/Akt signaling pathway-related factors in hepatic stellate cells (HSCs). A one-way analysis of variance was used for comparison between multiple groups, and the least significant difference t- test was used for further comparison between two groups.  Results  Compared with the control group, the low-, middle-, and high-dose serum containing Scabiosa atropurea groups had a significant reduction in the OD value of cells (all P < 0.05) and a significant increase in the overall apoptosis rate of cells (all P < 0.05). The results of qRT-PCR showed that compared with the control group, the low-, middle-, and high-dose serum containing Scabiosa atropurea groups had significant reductions in the mRNA expression levels of α-SMA, collagen Ⅰ, PI3K, and Akt and a significant increase in the mRNA expression level of PTEN (all P < 0.05); Western blot showed that compared with the control group, the low-, middle-, and high-dose serum containing Scabiosa atropurea groups had significant reductions in the protein expression levels of α-SMA, collagen Ⅰ, PI3K, Akt, and p-Akt and a significant increase in the protein expression level of PTEN (all P < 0.05).  Conclusion  The Mongolian medicine Scabiosa atropurea can inhibit the proliferation of HSC-T6 cells and promote their apoptosis, possibly by regulating fibrosis markers and the PI3K/Akt signaling pathway to exert an anti-liver fibrosis effect.
Original Article_Other Liver Disease
Clinical features of patients with drug-induced liver injury in Shaanxi Province from 2009 to 2019
Qian WANG, Mimi LIU, Kaini HE, Xiaoyan GUO
2023, 39(6): 1358-1365. DOI: 10.3969/j.issn.1001-5256.2023.06.016
Abstract(1836) HTML (515) PDF (2639KB)(178)
Abstract:
  Objective  To investigate the clinical features of patients with drug-induced liver injury (DILI).  Methods  A retrospective analysis was performed for the clinical data of 1 376 patients with DILI who were admitted to 20 hospitals in Shaanxi Province, China, from 2009 to 2019 and were diagnosed with RUCAM scale as the diagnostic criteria, and these patients were analyzed in terms of sex, age, underlying diseases, suspected drugs causing DILI, clinical manifestations, laboratory examination, treatment process, and prognosis. The t-test and Wilcoxon test were used for comparison of continuous data between two groups, the chi-square test was used for comparison of categorical data between groups, and the Kruskal-Wallis H rank sum test was used for comparison of ordered polytomous data between groups.  Results  Among the 1 376 patients, there were 577(41.93%) male patients and 799 (58.07%) female patients, with a male/female ratio of 0.72:1. As for different age groups, the 40-60 years group had a higher incidence rate and accounted for 44.77%, and there was a significant difference in sex distribution between different age groups (χ2=20.784, P=0.008). As for the three clinical types, there was no significant difference in incidence rate between men and women (χ2=1.409, P=0.494), and there was a significant difference in the distribution of clinical types between different age groups (χ2=47.025, P < 0.001). The top three drugs causing DILI were traditional Chinese medicine (41.13%), antitubercular agents (11.70%), and antipyretic and analgesic drugs (7.27%). Hepatocellular injury type was the main clinical type and accounted for 65.77% (905 cases). The mean length of hospital stay was 15.31 days, mostly 1-4 weeks which accounted for 91.86%. Among these 1376 patients, 45 (3.27%) were cured and 1 322 (96.08%) were improved, suggesting a good overall prognosis. The patients with different clinical types had significantly different prognoses (H=59.300, P=0.011), and further comparison showed that the patients with hepatocellular injury type and mixed type had a significantly better prognosis than those with cholestasis type (P < 0.05), while there was no significant difference in prognosis between the patients with hepatocellular injury type and those with mixed type (P > 0.05).  Conclusion  There is a high incidence rate of DILI in women and middle-aged and elderly people, and traditional Chinese medicine is the leading cause of DILI. Patients with different clinical types tend to have different prognoses, with a good overall prognosis.
Distribution and drug resistance of pathogenic bacteria for infection after liver transplantation
Duo HAN, Hong HE, Hongwei WANG, Tingting TIAN, Jing LI
2023, 39(6): 1366-1373. DOI: 10.3969/j.issn.1001-5256.2023.06.017
Abstract(1070) HTML (306) PDF (3720KB)(97)
Abstract:
  Objective  To investigate the distribution and drug resistance of pathogenic bacteria for infection after liver transplantation, and to provide a scientific basis for the rational clinical application of antibiotics.  Methods  The pathogenic bacteria isolated from the specimens of 904 patients with infection after liver transplantation in The Affiliated Hospital of Qingdao University from March 2014 to December 2021 were analyzed in terms of distribution and drug resistance. WHONET 5.6 software was used to perform a statistical analysis of strains and bacterial resistance rate, and Excel was used to analyze the sources of specimens, composition ratios, and distribution of pathogenic bacteria.  Results  A total of 2 208 non-repetitive pathogenic bacteria were isolated, mainly from the specimens of respiratory tract (31.25%), bile (22.28%), ascites (13.18%), blood (8.38%), and drainage fluid (4.62%). The top 10 pathogenic bacteria were Klebsiella pneumoniae subspecies (10.69%), Enterococcus faecium (10.42%), Escherichia coli (8.24%), Pseudomonas aeruginosa (8.24%), Staphylococcus epidermidis (8.06%), Acinetobacter baumannii (7.93%), Stenotrophomonas maltophilia (6.61%), Enterobacter cloacae (3.22%), Staphylococcus haemolyticus (3.08%), and Staphylococcus aureus (2.94%), accounting for 69.43% of the total pathogenic bacteria. Pseudomonas aeruginosa, Stenotrophomonas maltophilia, Klebsiella pneumoniae subspecies, and Acinetobacter baumannii were the main pathogenic bacteria isolated from respiratory tract specimens; Enterococcus faecium was the main pathogenic bacterium isolated from bile, ascites, and drainage fluid specimens; Escherichia coli, Staphylococcus epidermidis, and Klebsiella pneumoniae subspecies were the main pathogenic bacteria isolated from blood specimens. Drug sensitivity data showed that Enterobacterales bacteria had a relatively high resistance rate to cephalosporins and fluoroquinolones and a resistance rate of < 10% to amikacin among aminoglycosides, with no strains resistant to tigecycline; compared with Escherichia coli, Klebsiella pneumoniae subspecies had a higher resistance rate to meropenem (14.71% vs 5.66%) and imipenem (11.35% vs 6.29%); non-fermentative bacteria had a relatively high resistance rate to carbapenems, with a resistance rate of < 10% to tigecycline and colistin. Among Gram-positive cocci, Enterococcus faecium had a resistance rate of 6.17% to vancomycin and 2.44% to quinupristin/dalfopristin, with no strains resistant to tigecycline and linezolid; Staphylococcus epidermidis had a resistance rate of > 50% to macrolides, fluoroquinolones, sulfonamides, and lincomycin, and a small part of these strains were resistant to linezolid and quinupristin/dalfopristin (< 3%), with no Staphylococcus epidermidis strains resistant to tigecycline and vancomycin. A total of 287 drug-resistant strains were monitored, accounting for 13%, among which there were 128 carbapenem-resistant Acinetobacter baumannii strains, 88 carbapenem-resistant Pseudomonas aeruginosa strains, 26 carbapenem-resistant Klebsiella pneumoniae subspecies strains, 11 carbapenem-resistant Escherichia coli strains, 23 methicillin-resistant Staphylococcus aureus strains, and 11 vancomycin-resistant Enterococcus strains. The carbapenem-resistant Klebsiella pneumoniae subspecies strains mainly produced serine carbapenemase, and the carbapenem-resistant Escherichia coli strains mainly produced metal β-lactamase.  Conclusion  Gram-negative bacteria are the main pathogenic bacteria for infection after liver transplantation, and there are differences in the distribution of pathogenic bacteria between different types of specimens. The resistance rate of some strains tend to increase, and therefore, it is necessary to strengthen the management of nosocomial infection and antibiotics.
Original Article_Pancreatic Disease
Influencing factors for dynamic changes in the severity of fatty liver in patients with acute pancreatitis and fatty liver
Qiang CHEN, Mingkuan JIANG, Miao ZHANG, Lin LUO, Lirong ZHANG
2023, 39(6): 1374-1381. DOI: 10.3969/j.issn.1001-5256.2023.06.018
Abstract(815) HTML (218) PDF (1811KB)(58)
Abstract:
  Objective  To investigate the dynamic change of fatty liver (FL) in patients with fatty liver-related acute pancreatitis (FLAP) and related influencing factors.  Methods  A total of 136 FLAP patients who were admitted to The First Affiliated Hospital of Baotou Medical College, Inner Mongolia University of Science and Technology, from December 2017 to December 2021 were enrolled as subjects. With the first CT examination after admission as the starting point and the last CT examination before discharge as the ending point, the subjects were divided into FL aggravation group (FLAG group), FL mild mitigation group (FLMMG group), and FL significant mitigation group (FLSMG group) according to the degree of change in FL. General information and clinical data were compared between groups. General information included age, sex, length of hospital stay, etiology of acute pancreatitis (AP), and changes in body weight and temperature, and clinical data included treatment modality and the changes in laboratory markers and AP severity. The chi-square test or the Fisher's exact test was used for comparison of categorical data between groups. A one-way analysis of variance was used for comparison of normally distributed continuous data between multiple groups, and the least significant difference t-test was used for further comparison between two groups; the Kruskal-Wallis H test was used for comparison of non-normally distributed continuous data between multiple groups, and the Mann-Whitney U test with Bonferroni correction was used for further comparison between two groups. Dynamic changes of data were expressed as the difference from the starting point to the ending point, and a covariance analysis was used for comparison of data with dynamic changes. The Spearman correlation analysis was used to investigate the correlation of indices with significant changes with the degree of change in FL.  Results  Among the 136 FLAP patients, 61 achieved mild mitigation of FL, 59 achieved significant mitigation of FL, and 16 experienced aggravation of FL at the ending point of the study. There were significant differences between the three groups in the length of hospital stay (χ2=16.215, P < 0.001) and the change in body weight (F=3.908, P < 0.05), and the FLSMG group had a greater reduction in body weight and a longer length of hospital stay. There were also significant differences between the three groups in the number of fasting days (χ2=11.020, P=0.004) and the degree of changes in C-reactive protein (CRP) (F=8.589, P < 0.001), white blood cell count (WBC) (F=5.448, P=0.005), and CT severity index (CTSI) (F=7.544, P=0.001), and the FLSMG group had greater reductions in CRP, WBC, and CTSI and a longer duration of fasting. Length of hospital stay, number of fasting days, and changes in CRP and CTSI were significantly correlated with the change in FL (r=0.352, 0.372, -0.365, and -0.350, all P < 0.001).  Conclusion  Most FLAP patients tend to have mitigation of FL, and its dynamic changes are closely associated with the changes in CRP and CTSI.
Influencing factors for persistent inflammation, immunosuppression, and catabolism syndrome in patients with severe acute pancreatitis and establishment of a predictive model
Chan LI, Zhihai LIANG, Guodu TANG
2023, 39(6): 1382-1390. DOI: 10.3969/j.issn.1001-5256.2023.06.019
Abstract(1015) HTML (261) PDF (3410KB)(73)
Abstract:
  Objective  To investigate the influencing factors for persistent inflammation, immunosuppression, and catabolism syndrome (PICS) in patients with severe acute pancreatitis(SAP), and to establish a predictive model.  Methods  A retrospective analysis was performed for the clinical data of 163 patients who were admitted to the intensive care unit and the emergency intensive care unit due to SAP in The First Affiliated Hospital of Guangxi Medical University from May 2012 to May 2022, and according to the diagnostic criteria for PICS, these patients were divided into PICS group (65 SAP patients with PICS) and non-PICS group (98 SAP patients without PICS). The independent-samples t test was used for comparison of normally distributed continuous data between two groups, and the Mann-Whitney U rank sum test was used for comparison of non-normally distributed continuous data between two groups; the chi-square test or the Fisher's exact test was used for comparison of categorical data between two groups. Variance inflation factor and correlation matrix heatmap were used to evaluate multicollinearity between variables, and Lasso regression and multivariate logistic regression were used to identify independent risk factors and establish a nomogram predictive model. The receiver operating characteristic (ROC) curve, the calibration curve, and the Hosmer-Lemeshow goodness-of-fit test were used for the internal validation of the model, and the decision curve was used to evaluate the clinical practicability of the model.  Results  The univariate analysis showed that there were significant differences between the PICS group and the non-PICS group in mean arterial pressure, hemoglobin, hematocrit (HCT), neutrophil-to-lymphocyte ratio, platelet-to-lymphocyte ratio (PLR), blood urea nitrogen, creatinine, Glasgow coma score, Acute Physiology and Chronic Health Evaluation Ⅱ (APACHE Ⅱ) score, Sequential Organ Failure Assessment (SOFA) score, mechanical ventilation, acute respiratory distress syndrome, acute kidney injury (AKI), acute liver injury, hypovolemic shock, sepsis, intra-abdominal hypertension, intra-abdominal hemorrhage, and multiple organ dysfunction syndrome (all P < 0.05). The Lasso regression analysis showed that related predictive variables included PLR, HCT, APACHE Ⅱ, SOFA, mechanical ventilation, AKI, hypovolemic shock, and intra-abdominal hypertension, and the multivariate logistic regression analysis showed that PLR (odds ratio [OR]=1.006, P < 0.05), mechanical ventilation (OR=4.324, P < 0.05), AKI (OR=3.432, P < 0.05), and hypovolemic shock (OR= 6.910, P < 0.05) were independent risk factors for PICS in patients with SAP. Model fitting was performed for the above factors, and bootstrap internal validation showed that the nomogram model had an area under the ROC curve of 0.874 (95% confidence interval: 0.822-0.925); the calibration curve of the model was close to the reference curve, and the Hosmer-Lemeshow goodness-of-fit test showed that the model was well fitted (χ2=8.895, P=0.351). The decision curve analysis showed that the predictive model had good clinical practicability.  Conclusion  PLR, mechanical ventilation, AKI, and hypovolemic shock are independent risk factors for PICS in patients with SAP, and the nomogram model established has good discriminatory ability, calibration, and clinical practicability.
Value of five scoring systems in predicting the severity of hyperlipidemic acute pancreatitis: A comparative analysis
Yuanzhen WANG, Yaling YUN, Juan XIE, Liya HUANG
2023, 39(6): 1391-1397. DOI: 10.3969/j.issn.1001-5256.2023.06.020
Abstract(993) HTML (302) PDF (2228KB)(79)
Abstract:
  Objective  To investigate the value of pancreatitis activity scoring system (PASS) score, Bedside Index for Severity in Acute Pancreatitis (BISAP) score, Acute Physiology and Chronic Health Evaluation Ⅱ (APACHE-Ⅱ) score, harmless acute pancreatitis score (HAPS), and Ranson score in evaluating the severity and prognosis of hypertriglyceridemia acute pancreatitis (HTGAP).  Methods  A retrospective analysis was performed for the clinical data of 300 patients with HTGAP who were admitted to General Hospital of Ningxia Medical University from January 2016 to January 2022, and according to the disease severity, these patients were divided into mild acute pancreatitis (MAP) group, moderate-severe acute pancreatitis (MSAP) group, and severe acute pancreatitis (SAP) group. Clinical data and the above scores were compared between the three groups. The chi-square test was used for comparison of categorical data between groups; an analysis of variance was used for continuous data with homogeneity of variance, and the Kruskal-Wallis H test was used for comparison of non-normally distributed continuous data between groups. The receiver operating characteristic (ROC) curve was plotted according to disease severity, and related indicators were compared in terms of the area under the ROC curve (AUC).  Results  There were significant differences between the three groups in PASS score (F=219.351, P < 0.01), Ranson score (χ2=83.084, P < 0.01), APACHE-Ⅱ score (χ2=43.388, P < 0.01), and BISAP score (χ2= 50.785, P < 0.01). Compared with the other four scoring systems in evaluating and predicting disease severity, PASS score had the highest sensitivity of 0.945 and the largest AUC of 0.963, followed by Ranson score with a sensitivity of 0.655 and an AUC of 0.819.  Conclusion  For patients with HTGAP, PASS score can more accurately assess the severity and prognosis of HTGAP patients and thus holds promise for clinical application.
Value of atherogenic index of plasma combined with Bedside Index for Severity in Acute Pancreatitis in the early prediction of severe hypertriglyceridemic acute pancreatitis
Qi JI, Xi HUANG, Chenyi SHE, Song ZHANG, Weitian XU, Qingming WU
2023, 39(6): 1398-1403. DOI: 10.3969/j.issn.1001-5256.2023.06.021
Abstract(1063) HTML (231) PDF (2004KB)(75)
Abstract:
  Objective  To investigate the correlation between atherogenic index of plasma (AIP) and the severity of hypertriglyceridemic acute pancreatitis (HTG-AP) and the value of AIP combined with Bedside Index for Severity in Acute Pancreatitis (BISAP) score in the early prediction of severe HTG-AP (sHTG-AP).  Methods  A retrospective analysis was performed for the clinical data of 170 patients with HTG-AP who were hospitalized in The General Hospital of Central Theater Command from January 2017 to December 2021, and according to related guidelines, they were divided into the sHTG-AP group with 28 patients and non-sHTG-AP group with 142 patients. Peripheral blood samples were collected from all patients within 24 hours after admission, and the two groups were compared in terms of sex, age, laboratory test results, AIP, BISAP score, and modified CT severity index (MCTSI) score. The chi-square test or the Fisher's exact test was used for comparison of categorical data between groups; the Mann-Whitney U test was used for comparison of continuous data between groups. The Spearman rank correlation test was used to investigate the correlation between each factor and the severity of HTG-AP, and the binary logistic regression analysis were used to investigate the independent risk factors for sHTG-AP. The receiver operating characteristic (ROC) curve was plotted to assess the predictive efficacy of each indicator.  Results  There were significant differences between the two groups in the medical history of diabetes, lymphocyte count, albumin, Ca2+, triglyceride, high-density lipoprotein cholesterol, AIP, BISAP score, MCTSI score, length of hospital stay, and hospital costs (all P < 0.05). The sHTG-AP group had a longer length of hospital stay, higher hospital costs, and a higher AIP value. AIP (odds ratio [OR]=1.244, 95% confidence interval [CI]: 1.062-1.458, P=0.007), BISAP score (OR=5.525, 95%CI: 1.646-18.543, P=0.006), and MCTSI score (OR=2.029, 95%CI: 1.245-3.305, P=0.004) were risk factors for sHTG-AP. AIP, BISAP score, and MCTSI score were positively correlated with the severity of HTG-AP (r=0.291, 0.631, and 0.649, all P < 0.001), and AIP was positively correlated with BISAP score and MCTSI score (r=0.190 and 0.215, both P < 0.05). AIP had an optimal cut-off value of 1.095 in predicting sHTG-AP, and AIP, BISAP score, and AIP combined with BISAP score had an area under the ROC curve of 0.759, 0.887, 0.925, respectively, a sensitivity of 0.821, 0.857, and 0.786, respectively, and a specificity of 0.627, 0.817, and 0.937, respectively (all P < 0.001).  Conclusion  AIP is a risk factor for sHTG-AP and is correlated with disease severity, and AIP combined with BISAP score has a relatively high value in the early prediction of sHTG-AP.
Case Report
A case of primary biliary cholangitis with connective tissue disease and immune thrombocytopenia
Qingxia LIU, Chenggang ZHANG, Haolin TANG, Wenjing QU, Huifan JI, Xiaolin GUO
2023, 39(6): 1404-1407. DOI: 10.3969/j.issn.1001-5256.2023.06.022
Abstract(878) HTML (240) PDF (1904KB)(92)
Abstract:
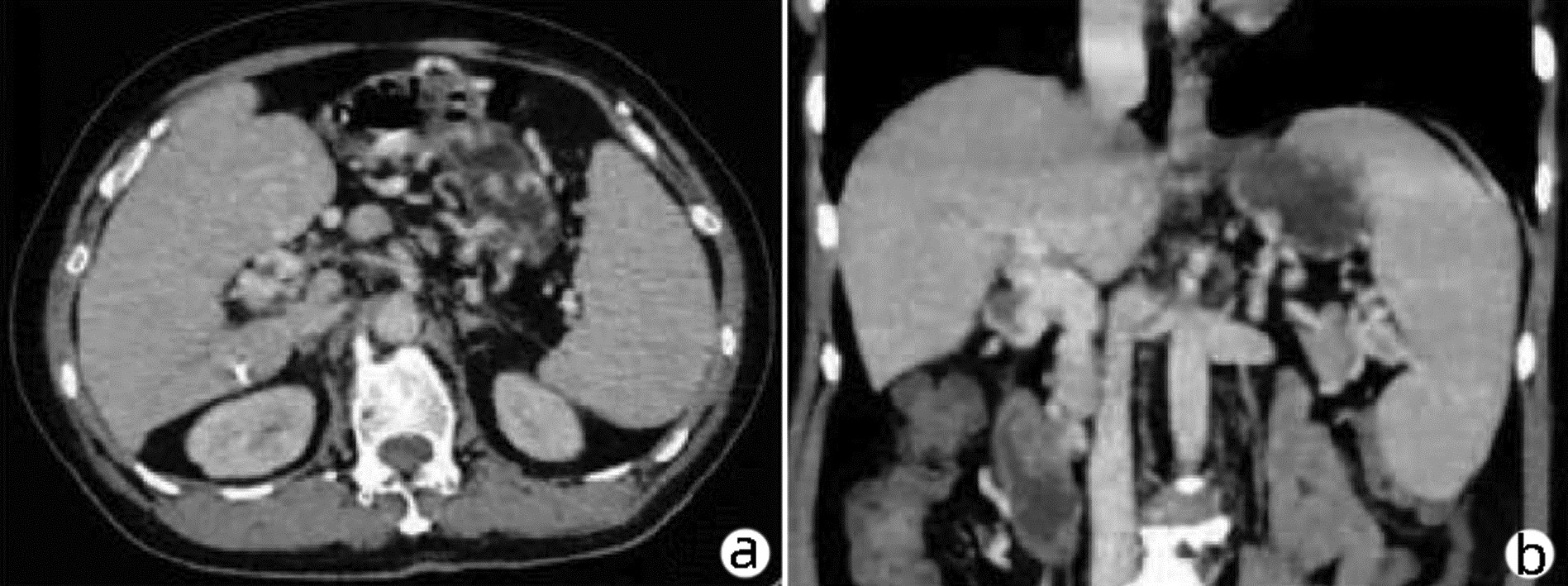
Congenital left hepatic deficiency with hepatocellular carcinoma: A case report
Hailin WANG, Jingdong LI, Guo WU
2023, 39(6): 1408-1410. DOI: 10.3969/j.issn.1001-5256.2023.06.023
Abstract(853) HTML (199) PDF (2003KB)(65)
Abstract:
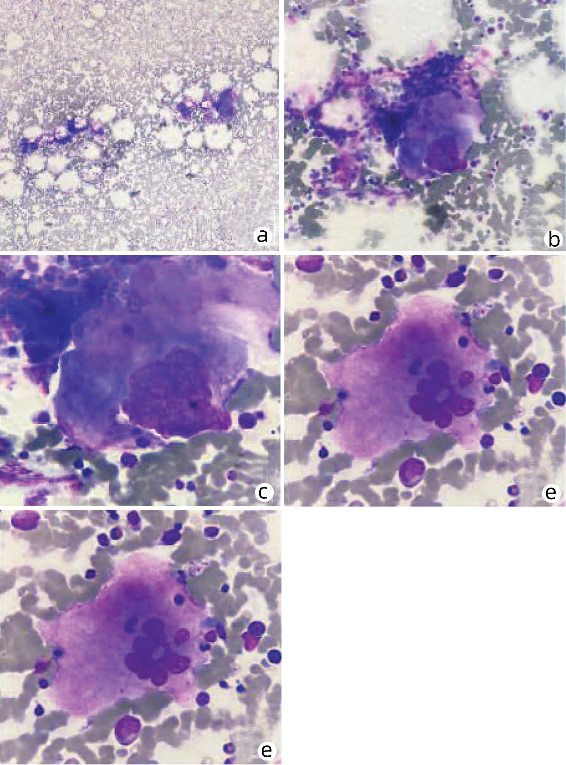
Multidisciplinary diagnosis and treatment of primary hepatic neuroendocrine tumor
Kaiyue ZHAO, Zhe YAN, Yuan HUANG
2023, 39(6): 1411-1413. DOI: 10.3969/j.issn.1001-5256.2023.06.024
Abstract(827) HTML (200) PDF (2153KB)(70)
Abstract:
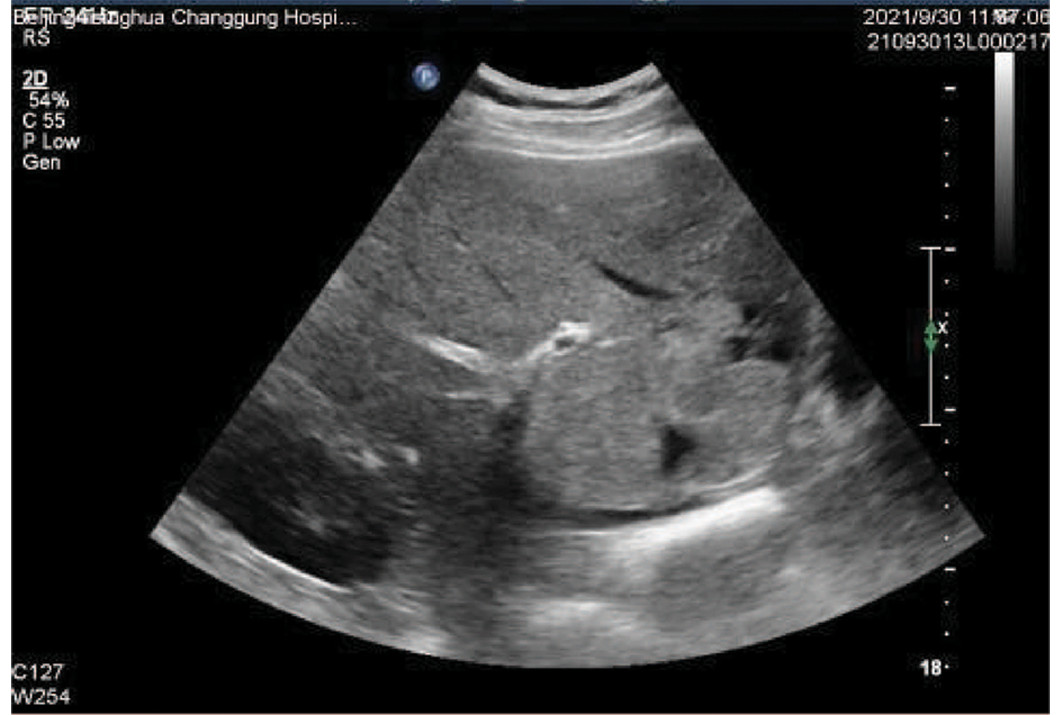
Cavernous transformation of the portal vein caused by myeloproliferative disease: A case report
Bing HAN, Chuantao TU
2023, 39(6): 1414-1417. DOI: 10.3969/j.issn.1001-5256.2023.06.025
Abstract(843) HTML (265) PDF (2374KB)(55)
Abstract:
Review
Association of inhibitory receptor T-cell immunoglobulin and immunoreceptor tyrosine-based inhibitory motif domain with immune disorders in chronic HBV infection
Yuxia ZHOU, Caihong WANG, Xiaowen YAO, Rong WANG, Xiaofeng ZHENG, Xiaohui YU, Jiucong ZHANG
2023, 39(6): 1418-1423. DOI: 10.3969/j.issn.1001-5256.2023.06.026
Abstract(776) HTML (350) PDF (2165KB)(55)
Abstract:
Persistent HBV infection alters the expression of receptors on the surface of innate and acquired immune cells, which may cause a variety of immune disorders and finally lead to immune escape and disease chronicity. Studies have shown that the upregulation of inhibitory receptors is the main cause of immune disorders in patients, and blocking inhibitory receptors can restore immune function to a certain extent. T-cell immunoglobulin and immunoreceptor tyrosine-based inhibitory motif domain (TIGIT) is a new type of inhibitory receptor attracting much attention at present, and it is highly expressed in NK cells and T cells. It has been found that TIGIT plays an important role in chronic viral infection, and this article briefly reviews the research advances in the association between TIGIT and immune disorders in chronic HBV infection.
Association between immune checkpoint inhibitor antitumor therapy and hepatitis B virus reactivation
Shun CHEN, Youcheng XIE, Junke WANG, Baoyin ZHAO, Jiucong ZHANG, Pan WANG, Xiaohui YU
2023, 39(6): 1424-1430. DOI: 10.3969/j.issn.1001-5256.2023.06.027
Abstract(1036) HTML (352) PDF (2118KB)(89)
Abstract:
In recent years, monotherapy and combination therapy with immune checkpoint inhibitors (ICIs) have achieved good efficacy in a variety of malignancies from solid tumors to lymphomas and have become a standardized and systematic treatment modality for many cancers. However, there is still a lack of studies on the safety of ICIs in hepatitis B virus (HBV)-infected patients with malignancies, and early studies have reported HBV reactivation due to ICI antitumor therapy in clinical practice. With reference to related literature, this article reviews the recent clinical trials and application of ICIs in cancer patients with chronic viral infection and clarifies the efficacy and safety of ICIs in this special population, in order to provide a reference for clinical medication.
Research advances in cytomegalovirus hepatitis
Qinghe ZENG, Yan MENG, Yuxiang LI
2023, 39(6): 1431-1439. DOI: 10.3969/j.issn.1001-5256.2023.06.028
Abstract(1806) HTML (287) PDF (2175KB)(183)
Abstract:
Cytomegalovirus hepatitis is a liver disease caused by human cytomegalovirus infection and is one of the most common liver diseases in children and immunocompromised individuals. This disease has no specific clinical manifestations and is easily confused with other types of viral hepatitis, which may lead to delayed treatment or mistreatment. Therefore, the early diagnosis of cytomegalovirus hepatitis is of vital importance, and patients should be given timely and effective treatment with appropriately selected antiviral drugs and course of treatment. This article reviews the recent research advances in the etiology, epidemiology, pathogenesis, clinical manifestations, diagnosis, treatment, and prevention of cytomegalovirus hepatitis.
Role of intrahepatic microenvironment induced-autophagy in nonalcoholic fatty liver disease
Xuanxuan KOU, Hua ZHANG, Jingxin DENG, Jiangang ZHANG
2023, 39(6): 1440-1445. DOI: 10.3969/j.issn.1001-5256.2023.06.029
Abstract(1091) HTML (413) PDF (1858KB)(63)
Abstract:
Nonalcoholic fatty liver disease (NAFLD) is a series of abnormal liver lesions mainly characterized by excessive lipid deposition in hepatocytes, and it is also the most common chronic liver disease worldwide. Autophagy is a basic cellular process in which cells degrade their own components and participate in the maintenance of organ function and body homeostasis, and it is closely associated with the progression of NAFLD. High fat, hypoxia, and stress in human body may cause abnormal changes in extracellular microenvironment in the liver, and such abnormal microenvironment may promote the development and progression of NAFLD by inducing liver cell autophagy. This article reviews the role and mechanism of autophagy of liver cells such as hepatocytes, Kupffer cells, and hepatic stellate cells in the progression of NAFLD based on various microenvironment characteristics in the liver.
Research advances in nonalcoholic fatty liver disease in individuals with HIV infection
Jiajun LU, Fazhu FEI, Bin REN
2023, 39(6): 1446-1453. DOI: 10.3969/j.issn.1001-5256.2023.06.030
Abstract(979) HTML (431) PDF (1816KB)(118)
Abstract:

The prevalence rate of nonalcoholic fatty liver disease (NAFLD) tends to increase in the general population around the world, and the incidence rate of liver malignancies caused by NAFLD is also increasing continuously. Obesity is an independent risk factor for NAFLD. Among the individuals with HIV infection who have a normal body weight, 25% have NAFLD, and lean NAFLD is relatively common in individuals with HIV infection. With reference to related articles in China and globally, this article reviews the epidemiology, pathophysiology, histology, diagnosis, screening, intervention, treatment, and clinical management of NAFLD, in order to improve the awareness of NAFLD in individuals with HIV infection among the public, clinicians, and related institutions.

Research advances in the cascade interaction between reactive oxygen species/reactive nitrogen species and the NF-κB signaling pathway in liver fibrosis
Yuanqian MIN, Shan LI, Xianghua LIU, Yi YANG, Ningning LI, Baoping LU
2023, 39(6): 1454-1460. DOI: 10.3969/j.issn.1001-5256.2023.06.031
Abstract(1652) HTML (623) PDF (2107KB)(81)
Abstract:
Liver fibrosis is a compensatory response in the process of tissue repair after chronic liver injury, and it is also a necessary pathological process in the progression of a variety of chronic liver diseases. In the pathological state, the imbalance between hepatic oxidative system and antioxidant system can lead to the excessive production or insufficient clearance of reactive oxygen species (ROS)/reactive nitrogen species (RNS), which may induce the injury of hepatocytes, expand inflammatory response, and promote the development and progression of liver fibrosis. As a master regulator of oxidative stress and inflammatory response, NF-κB plays a key role in the process of liver fibrosis. Therefore, the cascade interaction between ROS/RNS and the NF-κB signaling pathway plays a guiding role in further clarifying the pathogenesis of liver fibrosis and exploring effective prevention and treatment strategies. This article reviews and discusses the interaction between ROS/RNS and the NF-κB signaling pathway and its important role in the progression of liver fibrosis, so as to provide strategies and references for targeted therapy for liver fibrosis.
Advances in the pathogenesis, diagnosis, and treatment of renal injury in liver cirrhosis
Qingqing LIU, Jing YANG, Shaoshan HU, Pingju LI, Qiu JIN, Honglin MA
2023, 39(6): 1461-1467. DOI: 10.3969/j.issn.1001-5256.2023.06.032
Abstract(1076) HTML (344) PDF (1755KB)(100)
Abstract:
Patients with decompensated cirrhosis often have a reduction in renal function due to severe hepatic insufficiency which results in reduced inactivation of vasodilators, hemodynamic disorders, immune disorders, and infections, and without timely intervention, patients may gradually develop from early prerenal injury to late renal failure. Patients tend to have a low survival rate and great difficulties in treatment. With the gradual clarification of the classification and diagnostic criteria for kidney injury and the discovery of an increasing number of markers for kidney injury, early diagnosis and localization of kidney injury are of great importance for improving the prognosis of patients. This article analyzes the new advances in the pathogenesis, diagnostic criteria, and treatment of renal injury in cirrhotic patients in recent years, so as to provide help for the clinical diagnosis and treatment of cirrhotic patients with renal injury.
Research advances in early screening and diagnosis of hepatocellular carcinoma
Jiaxin HAN, Yuqiang MI, Liang XU
2023, 39(6): 1468-1475. DOI: 10.3969/j.issn.1001-5256.2023.06.033
Abstract(1612) HTML (477) PDF (1928KB)(210)
Abstract:
For the high-risk population, early screening and diagnosis are important measures to achieve good control of liver cancer and reduce the burden of liver cancer, and determining the high-risk population of liver cancer and formulating appropriate liver cancer screening strategies are the key to realizing the early screening and diagnosis of liver cancer. The risk assessment model for liver cancer is an important method for rapid and convenient identification of the high-risk population of liver cancer. Based on the risk stratification of liver cancer, the methods such as imaging technology, serological markers, liquid biopsy, metabolomics, and glycomics can be used for accurate early screening and diagnosis of liver cancer, so as to achieve the goal of early treatment.
Research advances in natural killer cell-based immunotherapy in liver cancer
Shiji CHENG, Tianrui KUANG, Keshuai DONG, Jia YU
2023, 39(6): 1476-1481. DOI: 10.3969/j.issn.1001-5256.2023.06.034
Abstract(1527) HTML (496) PDF (1747KB)(135)
Abstract:
Natural killer (NK) cells are important immune cells in the human body and are also the main lymphocytes in the liver. They are considered the first defense mechanism against tumor and have a significant impact on the development and progression of liver cancer. The characteristics of NK cells help them become a new choice for immunotherapy, and NK cell-based immunotherapy may succeed in the treatment of liver cancer. This article reviews the biological characteristics of NK cells, their role in the development and progression of liver cancer, and the research advances in related treatment.
Current research status of left-sided portal hypertension after superior mesenteric-portal vein confluence pancreaticoduodenectomy
Hong ZOU, Qiao ZHU, Yi WEN, Hongyin LIANG, Mingmei ZHOU, Kehui SHI, Jun WU, Lijun TANG
2023, 39(6): 1482-1487. DOI: 10.3969/j.issn.1001-5256.2023.06.035
Abstract(1167) HTML (309) PDF (2120KB)(68)
Abstract:
Surgical operation is the main treatment method for pancreatic cancer, and in clinical practice, radical surgery for pancreatic cancer is often combined with superior mesenteric-portal vein confluence pancreaticoduodenectomy to achieve R0 resection. However, severe left-sided portal hypertension (LSPH) may occur after splenic vein dissection, resulting in a series of pathological changes such as congestive splenomegaly, thrombocytopenia, backflow obstruction of splenic vein, and gastrointestinal varices, and in some cases, it can lead to fatal gastrointestinal hemorrhage and hemorrhagic shock. Therefore, in order to better manage LSPH in clinical practice, this article systematically analyzes and reviews the pathogenesis, treatment regimens, and control strategies of LSPH after combined superior mesenteric-portal vein confluence pancreaticoduodenectomy and put forward corresponding suggestions based on current studies.
Role of purine signaling in liver immune regulation
Faxiang MA, Zhengkun TU
2023, 39(6): 1488-1496. DOI: 10.3969/j.issn.1001-5256.2023.06.036
Abstract(956) HTML (900) PDF (2540KB)(74)
Abstract:
Purines are mainly composed of ATP, NAD+, and nucleic acid. In addition to their key intracellular functions, NAD+, ATP, and their hydrolyzed products (including ADP, AMP, and adenosine) are important extracellular signals involved in physiological processes and pathological conditions. Purine signaling plays an important role in immune regulation of liver microenvironment. This article mainly summarizes the regulatory effect of purine signaling on immune cells in the liver and the effect of purine signaling on the progression of liver diseases by regulating the inflammatory and anti-inflammatory responses of immune cells in the liver.
Research advances in the pathogenesis, phenotype-genotype relationship, and pharmacotherapy of hepatolenticular degeneration
Aierkenjiang MALIPATI, Kuerban KAIDIRIYA, Ling XU, Xiaofeng SUN
2023, 39(6): 1497-1504. DOI: 10.3969/j.issn.1001-5256.2023.06.037
Abstract(1731) HTML (1468) PDF (2259KB)(138)
Abstract:
In hepatolenticular degeneration, also known as Wilson's disease (WD), the binding of copper to ceruloplasmin is impaired, resulting in the deposition of free copper mainly in the liver, brain, and other organs. The prevalence rate of WD was 1/30 000. In clinical practice, most WD patients are young adults and are characterized by extrapyramidal symptoms, liver cirrhosis, Kayser-Fleischer ring of the cornea, low serum ceruloplasmin level (< 50 mg/L), and high 24-hour urinary copper excretion (> 100 mg/L). At present, pharmacotherapy is the main treatment method for WD, and in some cases of end-stage liver disease or acute liver failure, liver transplantation is an option to improve survival rate. This article reviews the research advances in the pathogenesis of hepatolenticular degeneration, phenotype-genotype relationship, and pharmacotherapy in China and globally.
Thanks
Current reviewers
2023, 39(6): 1357-1357. DOI: 10.3969/j.issn.1001-5256.2023.6.zhixie1
Abstract(357) HTML (132) PDF (767KB)(45)
Abstract: