显示方式:
2021, 37(11): 2554-2554.
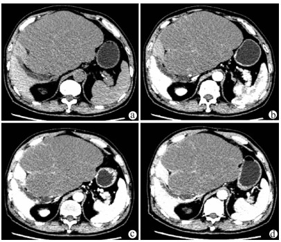
摘要:
2021, 37(11): 2611-2611.
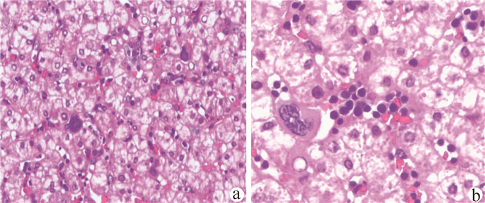
摘要:
2021, 37(11): 2727-2727.
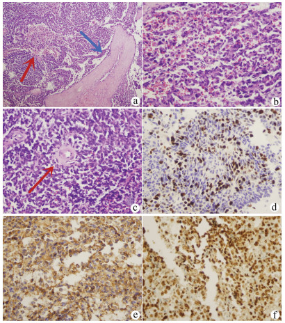
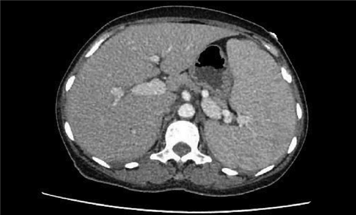
摘要:


摘要
HTML
PDF (2004KB)





