显示方式:
2021, 37(10): 2285-2285.
摘要:
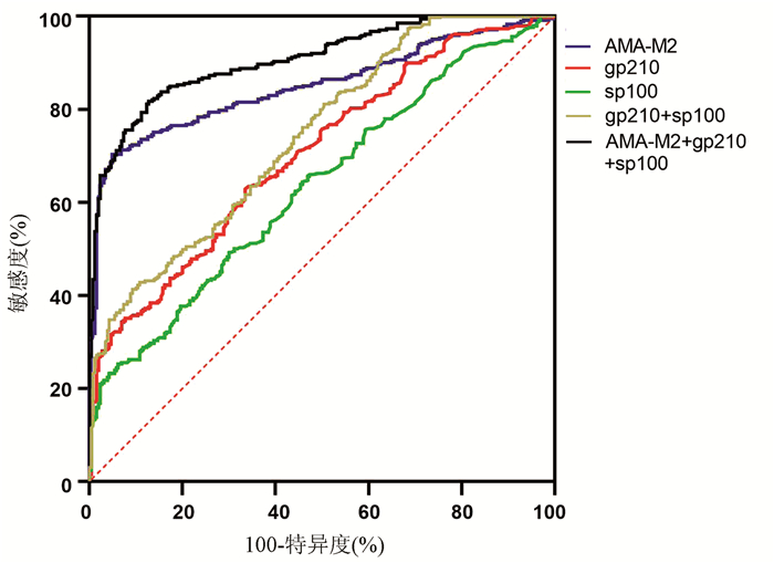
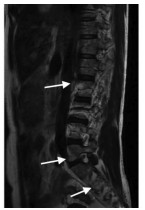
2021, 37(10): 2413-2413.
摘要:
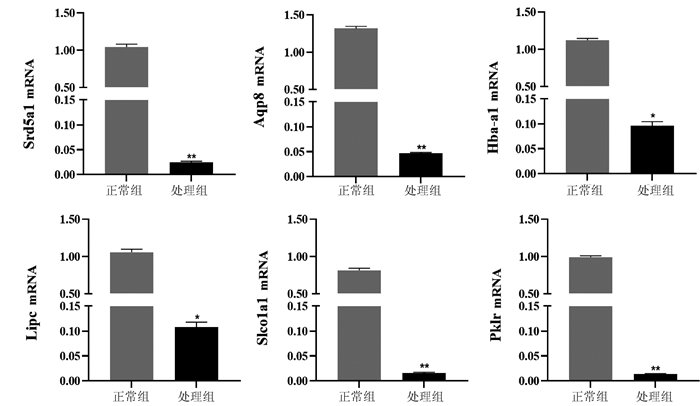
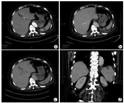
2021, 37(10): 2416-2416.
摘要:
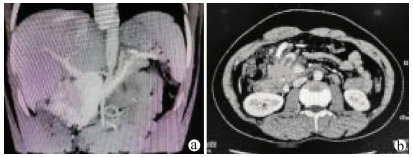
2021, 37(10): 2271-2271.
摘要:
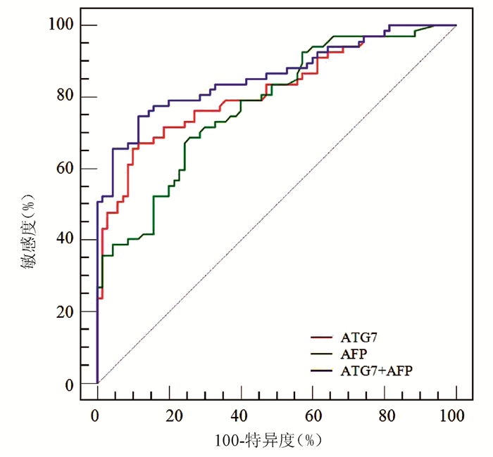
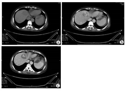
2021, 37(10): 2388-2388.
摘要:


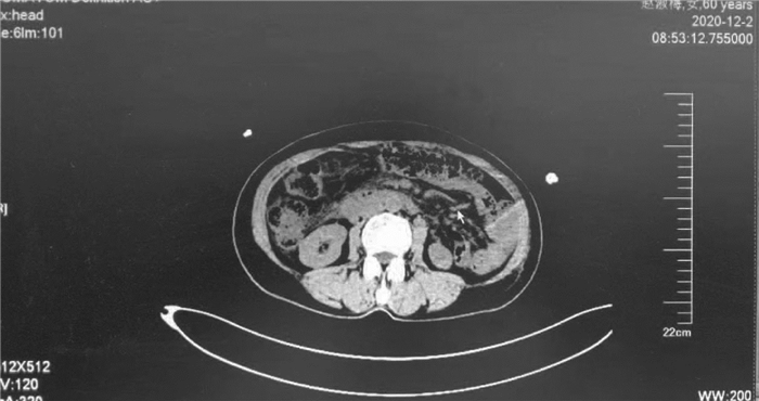
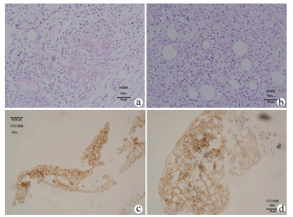
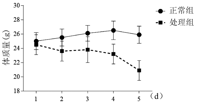
摘要
HTML
PDF (2005KB)





