中文English
ISSN 1001-5256 (Print)
ISSN 2097-3497 (Online)
CN 22-1108/R

留言板

尊敬的读者、作者、审稿人, 关于本刊的投稿、审稿、编辑和出版的任何问题, 您可以本页添加留言。我们将尽快给您答复。谢谢您的支持!

姓名
邮箱
手机号码
标题
留言内容
验证码
2021年 第9期
“中医药治疗原发性肝癌的研究进展”重点号
本期执行主编:李秀惠 教授
首都医科大学附属北京佑安医院 中西医结合中心

显示方式:
述评
从病因病机入手提高中医药治疗原发性肝癌的疗效
李秀惠, 袁慧鑫
2021, 37(9): 2001-2004. DOI: 10.3969/j.issn.1001-5256.2021.09.001
摘要(1248) HTML (342) PDF (2126KB)(142)
摘要:
目前,原发性肝癌的治疗以现代医学治疗手段为主。研究发现中医药能够通过影响肿瘤发生发展的多条关键通路发挥促进肝癌细胞凋亡、调节机体免疫的作用。中医药在治疗肝癌中发挥了不可替代的作用,从病因病机入手是中医药取效的关键。尽管中医药尚无理想的抗HBV药物,但是对湿、热、痰、毒、瘀、虚的病因以及在疾病发展的各个时期正邪交争的变化予以干预或许能够延缓甚至阻止疾病进展,此即针对病因病机进行治疗,亦是“治病必求于本”。临床上常见现代医学治疗手段联合中医药治疗,能够提高患者生活质量,减少肿瘤复发,与索拉非尼同用可增效减毒。至于中西医如何结合治疗肝癌、中医药在治疗肝癌中的具体作用机制等问题仍需要积极探索。
专家论坛
原发性肝癌中医药诊疗原则及方案构建
赵文霞, 陈欣菊
2021, 37(9): 2005-2008. DOI: 10.3969/j.issn.1001-5256.2021.09.002
摘要(2066) HTML (760) PDF (2165KB)(151)
摘要:
原发性肝癌治疗方案主要以手术切除、肝移植、局部治疗、全身治疗为主,但仍存在易转移、易复发、预后差等问题。多数患者确诊已为中晚期,丧失手术机会,需要多学科联合治疗,中医药治疗原发性肝癌有独特优势,能够与西医不同治疗方法结合协同增效。笔者依据原发性肝癌的不同临床分期,构建相应的中医药治疗方案:早期肝癌手术切除,扶助正气防复发;中期肝癌微创治疗,祛除癌毒增疗效;晚期肝癌对症治疗,减少疾苦保生存。
中医药治疗原发性肝癌的方法学研究
王伟芹, 高占华, 尹常健
2021, 37(9): 2009-2015. DOI: 10.3969/j.issn.1001-5256.2021.09.003
摘要(2120) HTML (530) PDF (2248KB)(136)
摘要:
随着中医对原发性肝癌病因病机、病变脏腑、传变规律等不断深入研究,中医药治疗原发性肝癌取得了一些临床与实验成果,包括辨证论治和辨病论治,中药复方治疗和中药单体治疗,药物内服和针灸外敷,未病先防和病后防复等,都体现了丰富的中医方法学内涵,为建构肝癌中西医结合双诊双治的诊疗新模式奠定了基础。
中医药治疗原发性肝癌的切入点与难点
钊梦媛, 张国梁
2021, 37(9): 2016-2024. DOI: 10.3969/j.issn.1001-5256.2021.09.004
摘要(1961) HTML (1150) PDF (2271KB)(163)
摘要:
原发性肝癌是我国常见的恶性肿瘤之一,大多数发现时已经是中晚期,生存期短,预后差。近年来,中医药在原发性肝癌的防治方面展现了其独特的优势,在改善肝癌患者的生存质量、增强免疫力、延长生命等方面有着显著疗效。就原发性肝癌的中西医治疗现状进行了综述,结合临床治疗特点提出中医药治疗的切入点与难点,以期为临床治疗原发性肝癌提供一定的参考。
对原发性肝癌从脾胃论治“调护中洲”的理论基础与临床意义的研讨
朱方石
2021, 37(9): 2025-2029. DOI: 10.3969/j.issn.1001-5256.2021.09.005
摘要(1354) HTML (432) PDF (2216KB)(76)
摘要:
就原发性肝癌(PLC)从脾胃论治“调护中洲”治法的理论基础与临床价值进行了分析讨论,认为PLC的发生发展与多种因素导致“中洲”脾胃受损相关,“中洲不顾”脾胃运化失常是PLC重要的病理机制,健脾和胃、“顾护中洲”是扶正抗癌的重要举措。并通过现代文献研究结果,分析阐述了调理脾胃复方及相关辨病中药在提高机体免疫、抑制肿瘤细胞增殖等方面的抗癌药理作用;通过临床研究结果,佐证了健脾和胃“顾护中洲”治法方药对PLC的客观疗效和优势。最终认为,在PLC的辨治过程中,重视脾胃后天之本,“顾护中洲”,采用健脾益气、健脾和胃类方药,将有助于整体临床疗效的提高。
热点·视点·观点
慢加急性肝衰竭长期预后转归的等级分析:同病不同结局
董金玲, 陈煜
2021, 37(9): 2030-2032. DOI: 10.3969/j.issn.1001-5256.2021.09.006
摘要(1373) HTML (349) PDF (1981KB)(131)
摘要:
慢加急性肝衰竭(ACLF)是在慢性肝病基础上发生的急性肝功能失代偿,伴随着器官功能衰竭和短期高死亡率为特点的复杂临床综合征。ACLF病程有长有短,疾病具有可逆转性,患者长期预后转归结局多样化,临床医生应尽早准确评估患者的预后,以优化治疗方案,提高患者生存率。就ACLF患者预后长期转归首次进行5个等级的描述:Ⅰ级为理想的结局:无肝硬化;Ⅱ级为满意的结局:代偿性肝硬化,表现为可逆转的肝硬化或持续代偿性的肝硬化;Ⅲ级为可接受的结局:失代偿性肝硬化,表现为失代偿性肝硬化或慢性肝衰竭;Ⅳ级为移植后存活结局;Ⅴ级为死亡结局,以期为临床长期预后结局判断提供参考。
学术争鸣
不确定期慢性乙型肝炎应否治疗?
庄辉
2021, 37(9): 2033-2036. DOI: 10.3969/j.issn.1001-5256.2021.09.007
摘要(2390) HTML (414) PDF (3618KB)(415)
摘要:
探讨了慢性乙型肝炎不确定期的定义,总结了慢性乙型肝炎不确定期在HBV感染者中的占比、发生肝细胞癌风险及治疗建议。
指南与规范
肝硬化门静脉高压症多学科诊治(基于肝静脉压力梯度)专家共识
北京医师协会门静脉高压专科医师分会, 中国研究型医院学会肝病专业委员会门静脉高压学组, 中国研究型医院学会肝病专业委员会
2021, 37(9): 2037-2044. DOI: 10.3969/j.issn.1001-5256.2021.09.008
摘要(3832) HTML (781) PDF (2522KB)(672)
摘要:
慢加急性肝衰竭中西医结合诊疗专家共识
中国中西医结合学会
2021, 37(9): 2045-2053. DOI: 10.3969/j.issn.1001-5256.2021.09.009
摘要(1833) HTML (566) PDF (2241KB)(267)
摘要:
肝移植围手术期血管并发症诊治专家共识(2021版)
中华医学会器官移植学分会围手术期管理学组
2021, 37(9): 2054-2057. DOI: 10.3969/j.issn.1001-5256.2021.09.010
摘要(1027) HTML (305) PDF (1995KB)(263)
摘要:
肝移植术后血管并发症是造成移植肝功能障碍和移植物丢失的重要原因之一,发生率为5%~25%,病死率高。供受者复杂多变的血管条件、吻合技术、感染和移植后急慢性排斥反应等,均可引起肝移植血管并发症。血管并发症的类型多元、复杂,按血管构造可分为动脉并发症和静脉并发症;按血流特征可分为流入道(肝动脉、门静脉)障碍或流出道(肝静脉、腔静脉)障碍;按病变性质可分为破裂出血、狭窄、血栓形成及假性动脉瘤等;按发生时段可分为早期和晚期。手术方案设计与外科操作技术等,是治疗肝移植术后早期血管并发症的技术因素;而血管并发症的类型及其伴随的临床表现与诊治策略的选择及临床转归密切相关。因此,中华医学会器官移植学分会围手术期管理学组特制定《肝移植围手术期血管并发症诊治专家共识(2021版)》,旨在规范与优化肝移植受者围手术期常见血管并发症的临床诊治。
胆道肿瘤患者的营养治疗共识
中国抗癌协会肿瘤营养专业委员会, 中华医学会肠外肠内营养学分会
2021, 37(9): 2058-2061. DOI: 10.3969/j.issn.1001-5256.2021.09.011
摘要(1731) HTML (540) PDF (1994KB)(183)
摘要:
胆道系统恶性肿瘤在世界范围内虽然不算常见,但其发病率逐年上升,且恶性程度较高。我国胆道系统恶性肿瘤的发病率也有逐年上升的趋势。胆管癌患者的预后均很差,因此,胆道系统恶性肿瘤的姑息和支持治疗尤为重要,其主要目的是尽可能地提高生活质量、延长生存时间。肝门部胆管癌患者术后早期进食能够有效减少感染、腹胀和尿潴留等并发症的发生,加快患者术后康复。胆道恶性肿瘤营养治疗途径的选择原则与其他恶性肿瘤基本一致,但也有其特点: (1)胆道手术多限于上消化道,空肠以下肠管受影响较小。(2)对于术前存在营养不良,特别是合并中度以上梗阻性黄疸的患者,建议经口或经鼻空肠置管或者经T形管空肠置管途径肠内营养。(3)对于肝功能储备较差、行较大范围肝切除或严重梗阻性黄疸的患者,应积极行胆道内支架引流或行经皮肝穿刺胆道引流术进行胆道减压,尽快改善肝功能,促进营养物质代谢吸收。(4)经皮肝穿刺胆道引流(PTCD)是临床广泛应用的治疗恶性胆道梗阻的方法。
指南解读
《IgG4相关性疾病诊治中国专家共识》解读
周佳鑫, 张文
2021, 37(9): 2062-2065. DOI: 10.3969/j.issn.1001-5256.2021.09.012
摘要(2907) HTML (2486) PDF (1995KB)(577)
摘要:
IgG4相关性疾病(IgG4-RD)是一种以受累脏器慢性炎症伴纤维化为特征表现的免疫介导的疾病。近年来,我国学者对该病的认识逐渐深入,积累了较多的诊治经验,并于2020年在中国罕见病联盟和中华医学会风湿病学分会的平台上,由专家组制定了首个《IgG4相关性疾病诊治的中国专家共识》。该共识较全面概括了IgG4相关性疾病的诊治原则,为临床医生对该病的诊治提供了较好的依据。现就该指南的内容进行解读。
论著_病毒性肝炎
APRI、FIB-4和GPR对慢性乙型肝炎肝脏炎症程度的诊断价值
周新兰, 马鑫, 王雁冰, 李秀芬, 黄丹, 陆伟, 张占卿, 丁荣蓉
2021, 37(9): 2066-2070. DOI: 10.3969/j.issn.1001-5256.2021.09.013
摘要(1366) HTML (446) PDF (2012KB)(138)
摘要:
  目的  评价AST/PLT指数(APRI)、纤维化指数(FIB-4)、GGT/PLT比值(GPR)对慢性乙型肝炎(CHB)患者肝组织炎症分级的诊断价值。  方法  选取2016年10月—2019年10月在上海市公共卫生临床中心住院期间接受经皮肝组织活检及常规实验室检查的CHB患者545例。依据Scheuer方法进行炎症分级(G),并依据临床指标分别计算APRI、FIB-4、GPR。正态分布计量资料2组间比较采用t检验;非正态分布计量资料2组间比较采用Mann-Whitney U检验。计数资料2组间比较采用χ2检验。两变量间相关性应用Spearman相关分析。血清无创诊断模型对肝组织炎症活动度分级的诊断性能评价采用受试者工作特征曲线法(ROC曲线)。采用Delong检验比较血清无创模型的ROC曲线下面积(AUC)。  结果  545例患者中肝组织炎症分级G0~1级224例,G2级209例,G3级112例。Spearman相关分析结果显示,APRI、FIB-4和GPR值与肝组织炎症分级均呈正相关(r值分别为0.611、0.470、0.563,P值均<0.001)。APRI、FIB-4和GPR诊断肝炎症分级G≥2的AUC分别为0.820、0.719、0.782;临界值分别为0.53、1.48和0.20;GPR诊断G≥2的效能优于FIB-4(P=0.01),但略低于APRI(P=0.048)。基于ALT水平分层分析,在ALT ≤1×ULN组、1~2×ULN组和2~5×ULN组,APRI诊断G≥2的AUC分别为0.847、0.786和0.724,FIB-4分别为0.777、0.729和0.626,GPR分别为0.801、0.781和0.607;亚组结果显示除在2~5×ULN组GPR诊断效能低于APRI(P=0.042), 其余ALT分层组GPR和APRI、FIB-4诊断性能相似。APRI、FIB-4和GPR诊断肝炎症分级G≥3的AUC分别为0.791、0.725、0.801;临界值分别为0.66、1.49和0.25;GPR诊断炎症分级G≥3的效能与APRI相似,但优于FIB-4(P=0.006)。基于ALT水平分层分析,在ALT ≤1×ULN组、1~2×ULN组和2~5×ULN组,APRI诊断G≥3的AUC分别为0.900、0.742和0.693,FIB-4分别为0.874、0.683和0.644,GPR分别为0.890、0.805和0.668。亚组结果显示除在1~2×ULN组GPR诊断效能优于FIB-4(P=0.015),其余ALT分层组GPR和APRI、FIB-4诊断性能相似。  结论  APRI、FIB-4和GPR可较准确地诊断CHB肝脏炎症坏死程度,有助于监测CHB疾病进展,并对抗病毒治疗时机的确定有重要意义。
淋巴细胞亚群检测对抗病毒治疗的慢性乙型肝炎患者HBsAg下降的预测价值
彭真, 靳慧鸣, 宁会彬, 李宽, 尚佳
2021, 37(9): 2071-2074. DOI: 10.3969/j.issn.1001-5256.2021.09.014
摘要(840) HTML (190) PDF (1991KB)(66)
摘要:
  目的  明确不同抗病毒治疗方案的慢性乙型肝炎患者淋巴细胞亚群水平是否有差异,寻找HBsAg下降相关预测指标。  方法  回顾性研究2019年10月—12月河南省人民医院感染科门诊就诊的68例经治CHB患者,按照抗病毒治疗方案的不同分为PEG-IFNα治疗组(n=10),PEG-IFNα联合核苷(酸)类似物(NAs)治疗组(n=21)和NAs治疗组(n=37),记录人口学特征、血常规、白蛋白、HBsAg,淋巴细胞亚群测定等资料。符合正态分布的计量资料多组间比较采样单因素方差分析;不符合正态分布的计量资料多组间比较采用Kruskal-Wallis H检验。计数资料多组间比较采用χ2检验。利用多因素logistic回归筛选影响患者HBsAg下降的独立影响因素。  结果  3组间HBsAg下降情况(H=8.348,P=0.015)、淋巴细胞绝对值(F=4.643,P=0.013)、T淋巴细胞数(F=7.721,P=0.001)比较差异均有统计学意义。多因素logistic回归分析结果显示,性别(OR=0.227,95%CI:0.059~0.878,P=0.032)、年龄(OR=0.931,95%CI:0.868~0.999,P=0.047)、抗病毒治疗方案[PEG-IFNα治疗组vs NAs治疗组,OR=9.600,95%CI:1.982~46.498,P=0.005;联合治疗组vs NAs治疗组,OR=4.800,95%CI:1.336~17.243,P=0.016]、T淋巴细胞数(OR=0.804,95%CI:0.684~0.944,P=0.008)是HBsAg下降的独立影响因素。  结论  CHB患者接受PEG-IFNα单药或联合NAs治疗,在治疗过程中监测淋巴细胞亚群,有助于判断HBsAg下降,T淋巴细胞绝对值越低,HBsAg下降的可能性越大。
抗病毒治疗慢性乙型肝炎合并非酒精性脂肪性肝病的效果观察
卿玲, 黄伟强, 李晓鹤, 陈凤, 刘映霞
2021, 37(9): 2075-2080. DOI: 10.3969/j.issn.1001-5256.2021.09.015
摘要(1015) HTML (233) PDF (2025KB)(73)
摘要:
  目的  分析合并非酒精性脂肪性肝病(NAFLD)对慢性乙型肝炎(CHB)抗病毒疗效的影响,为此类患者的临床治疗提供参考。  方法  选取2011年1月—2017年12月在深圳市第三人民医院就诊的患者187例,分为CHB组(43例)、NAFLD组(41例)、CHB合并NAFLD组(103例)。所有患者在入组和随访的不同时间点行身高、体质量、ALT、AST、血脂四项、肝纤维化四项、APRI、HBsAg、HBeAg、抗-HBe、HBV DNA定量检查,比较进行抗病毒治疗的CHB患者和CHB合并NAFLD患者在使用抗病毒药物12、24、48、72、96周的治疗效果。符合非正态分布的计量资料多组间比较采用Kruskal-Wallis H检验,两组间比较采用Wilcoxon秩和检验;计数资料组间比较采用χ2检验。  结果  基线时CHB组和CHB合并NAFLD组的PLT、ALT、GGT、ALP水平和右叶斜径均显著低于NAFLD组(P值均<0.05),CHB合并NAFLD组的BMI、TC、TG水平显著高于CHB组(P值均<0.05),其脾脏厚度显著低于CHB组(P<0.05),两组中的其他指标水平在基线期差异均无统计学意义(P值均>0.05)。抗病毒治疗12周时,CHB组和CHB合并NAFLD组患者的肝纤维化指标及炎症指标差异均无统计学意义(P值均>0.05),24、48周时CHB组的ALT(Z值分别为-2.128、-3.055,P值均<0.05)、GGT(Z值分别为-2.025、-1.631,P值均<0.05)水平下降更明显,48周时CHB组(Z=-6.445, P<0.001)和CHB合并NAFLD组(Z=-4.415, P<0.001)的HBV DNA水平均较治疗前显著降低,但CHB组的降低水平更明显。CHB合并NAFLD组在抗病毒治疗的不同时间点,HBV DNA转阴率均显著低于CHB组(χ2值分别为14.237、13.961、15.226、10.462、13.030, P值均<0.05)。抗病毒治疗48周时,CHB合并NAFLD组的HBeAg转阴率显著低于CHB组(χ2=5.309, P=0.021),但96周时两组间的转阴率差异无统计学意义(χ2=0.117, P=0.732)。抗病毒治疗24、48、72、96周,CHB合并NAFLD组的ALT复常率均显著低于CHB组(χ2值分别为12.049、5.287、11.407、11.375, P值均<0.05)。  结论  合并NAFLD降低了CHB患者的抗病毒治疗效果,使抗病毒治疗时间延长。
论著_肝纤维化及肝硬化
凝血酶原国际标准化比值/白蛋白对失代偿期肝硬化患者预后的预测价值
孟淑慧, 胥莹, 邹松龙, 张雪, 吴杰芳
2021, 37(9): 2081-2086. DOI: 10.3969/j.issn.1001-5256.2021.09.016
摘要(1430) HTML (288) PDF (2730KB)(104)
摘要:
  目的  探讨凝血酶原国际标准化比值/白蛋白(PTAR)评估失代偿期肝硬化患者预后的临床价值。  方法  回顾性分析2016年4月—2017年4月昆明医科大学第二附属医院收治的172例失代偿期肝硬化患者的临床资料,包括性别、年龄、病因、并发症、入院后首次的实验室指标检测等。以死亡为终点事件,根据随访2年的疾病转归情况将所纳入患者分为生存组(n=98)和死亡组(n=74)。分析影响预后的相关因素,并评估PTAR对失代偿期肝硬化患者预后的预测价值。计量资料两组间比较采用t检验或Mann-Whitney U检验。计数资料两组间比较采用χ2检验或Fisher确切概率法。对相关变量行单因素和多因素Cox回归分析。绘制受试者工作特征曲线(ROC曲线),计算曲线下面积(AUC),并根据ROC曲线的敏感度和特异度确定最佳临界值。运用Kaplan-Meier生存曲线分析不同PTAR、吲哚菁绿15 min滞留率(ICGR15)、MELD评分患者的2年生存率,并采用log-rank检验比较组间差异。  结果  死亡组患者的PTAR(Z=-7.823,P<0.001)、ICGR15(t=3.458,P=0.001)及MELD评分(t=5.921,P<0.001)均明显高于生存组。PTAR、ICGR15、MELD评分预测患者2年预后的最佳临界值分别为0.05、41.00%、37.25分,AUC分别为0.849、0.651、0.724。生存分析提示高水平PTAR组(PTAR≥0.05)患者生存率显著低于低水平PTAR组(PTAR<0.05)(χ2=60.07,P<0.001)。多因素Cox回归分析结果显示,PTAR≥0.05是患者2年死亡的独立危险因素(HR=2.564,95%CI:1.276~5.151,P=0.008)。  结论  PTAR≥0.05可作为失代偿期肝硬化患者2年死亡的独立预测因子,PTAR对失代偿肝硬化患者预后有较高的预测价值。
肝硬化食管静脉曲张内镜治疗术后早期再出血的危险因素分析
张妍, 丁惠国
2021, 37(9): 2087-2091. DOI: 10.3969/j.issn.1001-5256.2021.09.017
摘要(1611) HTML (293) PDF (2004KB)(98)
摘要:
  目的  探讨肝硬化食管静脉曲张破裂出血患者经内镜下套扎治疗、硬化剂治疗后早期再出血的危险因素。  方法  回顾性分析2017年5月—2019年5月于首都医科大学附属北京佑安医院行内镜下套扎治疗或者硬化剂治疗的153例肝硬化食管静脉曲张破裂出血患者的临床资料。根据内镜治疗后72 h~6周内有无再出血分为早期再出血组和未出血组,应用logistic回归分析,分析早期再出血的独立危险因素。正态分布的计量资料2组间比较采用t检验,非正态分布的计量资料2组间比较采用Mann-Whitney U检验; 计数资料2组间比较采用χ2检验或Fisher精确概率法。  结果  早期再出血率为24.8%(38/153)。早期再出血组的Alb低于未出血组,APTT、PT高于未出血组,差异均有统计意义(P值均<0.05);男性、曲张静脉程度、红色征、门静脉血栓、腹水程度和肝功能分级在两组间差异均有统计意义(P值均<0.05)。logistic回归分析显示,伴发门静脉血栓(OR=9.781,95%CI:2.248~42.556,P=0.002)、大量腹水(OR=6.195, 95%CI:1.053~36.447,P=0.044)及肝功能Child-Pugh C级(OR=6.434,95%CI:1.067~38.786,P=0.042)是早期再出血的独立危险因素; Alb(OR=0.806,95%CI:0.685~0.947,P=0.009)是早期再出血的保护因素。  结论  门静脉血栓、大量腹水、肝硬化Child C级及低蛋白血症是肝硬化食管静脉曲张破裂出血患者内镜治疗术后早期再出血的独立危险因素,临床上应引起足够重视。
肝硬化食管胃静脉曲张出血患者胃镜治疗术后再出血的影响因素分析
连佳, 韩涛, 向慧玲, 杨言开, 李庭红, 刘磊, 徐佰国, 孙立霞, 王菲, 付彦超
2021, 37(9): 2092-2096. DOI: 10.3969/j.issn.1001-5256.2021.09.018
摘要(1403) HTML (296) PDF (2088KB)(82)
摘要:
  目的  分析肝硬化食管胃静脉曲张出血患者胃镜治疗术后再出血的影响因素。  方法  回顾性分析2017年1月1日—2018年12月31日于天津市第三中心医院住院的肝硬化食管胃静脉曲张出血并行胃镜治疗的患者临床资料,依据是否发生再出血及出血时间,分为未出血组(n=148)与出血组(n=119),分析影响胃镜治疗术后再出血的危险因素。计量资料两组间比较采用t检验或Mann-Whitney U秩和检验; 计数资料两组间比较采用χ2检验。采用Cox回归模型进行单因素及多因素分析。应用受试者工作特征(ROC)曲线评估Child-Turcotte-Pugh(CTP)评分、肝纤维化4因子指数(FIB-4)、白蛋白-胆红素(ALBI)评分预测胃镜治疗术后再出血的准确性; 使用MedCalc软件比较ROC曲线下面积(AUC)的差异。  结果  共纳入267例肝硬化食管胃静脉曲张出血患者,其中合并肝癌患者53例(19.9%)。119例患者发生再出血,总再出血率为44.6%,中位再出血时间为11.0(0~39.0)个月。Cox单因素分析结果显示肝癌(HR=0.377,P<0.001)、AST(HR=1.002,P=0.025)、血Na(HR=0.935,P=0.004)、FIB-4(HR=1.030,P=0.049)均与再出血相关; Cox多因素分析结果显示肝癌(HR=0.357,P<0.001)、AST(HR=1.003,P=0.030)、PT(HR=0.196,P=0.001)、CTP(HR=1.289,P=0.014)、FIB-4(HR=1.062,P=0.033)、ALBI(HR=0.433,P=0.011)均是再出血的独立影响因素。CTP、FIB-4、ALBI评分预测再出血的AUC分别为0.711(95%CI:0.647~0.776)、0.705(95%CI:0.640~0.770)、0.730(95%CI:0.667~0.793)。CTP、FIB-4、ALBI 3个评分的AUC比较,差异均无统计学意义(P值均>0.05)。  结论  肝硬化食管胃静脉曲张出血行胃镜治疗的患者,肝癌、AST、PT、CTP、FIB-4、ALBI均与胃镜治疗术后再出血有关,其中CTP、FIB-4、ALBI 3项评分对再出血结局均有很好的预测价值,且预测能力无差异。
白蛋白-胆红素评分联合腹水中性粒细胞计数及降钙素原对肝硬化腹水患者发生自发性细菌性腹膜炎的预测价值
江萍, 豆仁成, 崔子瑾, 佟印妮, 李辰, 姜珊珊, 白云, 郑吉敏, 王存凯, 王玉珍
2021, 37(9): 2097-2101. DOI: 10.3969/j.issn.1001-5256.2021.09.019
摘要(1517) HTML (298) PDF (2106KB)(90)
摘要:
  目的  探讨影响肝硬化腹水患者发生自发性细菌性腹膜炎(SBP)的危险因素,并建立新的模型预测SBP的发生。  方法  选取河北省人民医院2016年9月—2020年9月确诊为肝硬化腹水患者215例,根据是否发生SBP,分为SBP组(n=55)与非SBP组(n=160)。收集患者临床资料并计算白蛋白-胆红素(ALBI)、MELD、MELD-Na、Child-Pugh等评分。计量资料两组间比较采用t检验或Mann-Whitney U检验; 计数资料两组间比较采用χ2检验; 经多因素logistic回归分析筛选出独立危险因素,绘制受试者工作特征曲线(ROC曲线),分析比较ALBI评分、降钙素原(PCT)、腹水中性粒细胞(PMN)计数及ALBI-PMN-PCT联合模型对SBP的诊断效能。  结果  非SBP组的Na+浓度(Z=-3.414,P=0.001)显著高于SBP组,TBil(Z=-2.720,P=0.007)、肌酐(Z=-1.994,P=0.046)、尿素氮(Z=-2.440,P=0.015)、CRP(Z=-9.137,P<0.001)、PCT(Z=-8.096,P<0.001)、PT(Z=-1.969,P=0.049)、INR(Z=-2.073,P=0.038)、PMN(Z=-8.292,P<0.001)、MELD评分(Z=-2.736,P=0.006)、MELD-Na评分(Z=-3.188,P=0.001)、Child-Pugh评分(Z=-3.419,P=0.001)、ALBI评分(t=-5.010,P<0.001)均明显低于SBP组; 两组是否伴有消化道出血、肝性脑病比较,差异均有统计学意义(χ2值分别为16.551、8.142,P值分别为<0.001、0.004)。多因素logistic回归分析结果显示,ALBI评分(OR=3.460,95%CI:1.296~9.240,P=0.013)、PMN(OR=1.012,95%CI:1.007~1.017,P<0.001)、PCT(OR=6.019,95%CI:2.821~12.843,P<0.001)是肝硬化腹水患者发生SBP的独立危险因素。ROC曲线结果显示,ALBI、PCT、PMN和ALBI-PMN-PCT诊断SBP的曲线下面积分别为0.711、0.866、0.875和0.934;灵敏度分别为50.91%、73.36%、72.73%和89.09%;特异度分别为86.87%、81.25%、100.00%和91.87%;ALBI-PMN-PCT>0.272时患者发生SBP的风险增加。  结论  ALBI-PMN-PCT联合模型对肝硬化腹水患者发生SBP具有较高的预测价值。
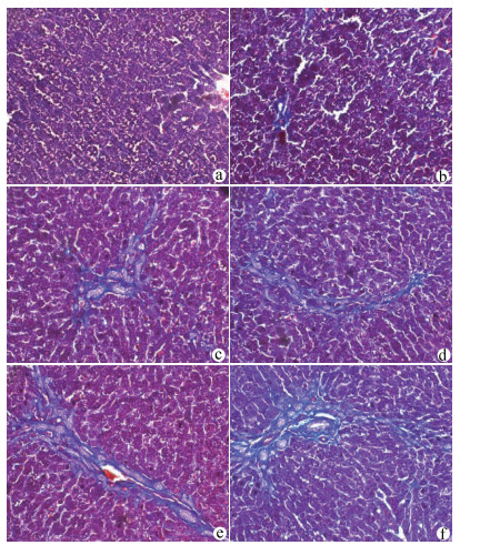
NLRP3炎性体在胆总管结扎诱导的肝纤维化大鼠模型中的表达特点
周蒙恩, 陈懿榕, 张娜, 晏旎, 阙任烨, 李勇
2021, 37(9): 2102-2108. DOI: 10.3969/j.issn.1001-5256.2021.09.020
摘要(1577) HTML (382) PDF (7845KB)(86)
摘要:
  目的  探讨NLRP3炎性体在胆总管结扎(BDL)大鼠肝纤维化过程中的表达特点,探索NLRP3炎性体与肝纤维化的关系。  方法  将65只SD大鼠随机分为假手术组(n=15)、BDL模型组(n=50)。分别于第3、7、14、21、28天,处死10只模型组大鼠,同时处死3只假手术组大鼠。检测血清ALT、AST、DBil、TBil、TBA、ALP水平,对肝组织行HE、Masson、天狼星红-苦味酸染色,评估各组肝纤维化程度,免疫组化检测肝组织α平滑肌肌动蛋白(αSMA)、TGFβ1的表达水平,Western Blot、qRT-PCR检测肝组织NLRP3炎性体的表达水平,ELISA法检测肝组织炎症IL-1β水平。计量资料多组间比较采用单因素方差分析,进一步两两比较采用LSD-t检验。  结果  与假手术组比较,各BDL模型组大鼠血清ALT、AST、DBil、TBil、TBA、ALP水平均升高(P值均<0.05),肝组织IL-1β水平均升高(P值均<0.05),并于第3天达到最高,其后有所降低。与假手术组比较,随时间延长,BDL大鼠模型肝纤维化评分明显增加(P值均<0.05),免疫组化显示αSMA、TGFβ1表达逐渐增加(P值均<0.05),Western Blot、qRT-PCR显示肝组织NLRP3炎性体蛋白表达逐渐增加(P值均<0.05),并于第14天后保持稳定。  结论  BDL大鼠模型肝功能损伤持续存在,肝组织病理学存在肝炎-肝纤维化-肝硬化的动态演变,NLRP3炎性体处于持续活化状态,可能在肝纤维化过程中发挥重要作用。
论著_肝脏肿瘤
AFP联合GGT/AST对HBV相关肝细胞癌的诊断价值
蔡馨, 陈娟娟, 汤冬玲, 张平安
2021, 37(9): 2109-2112. DOI: 10.3969/j.issn.1001-5256.2021.09.021
摘要(1053) HTML (251) PDF (2786KB)(96)
摘要:
  目的  探讨AFP联合GGT/AST在HBV相关肝细胞癌(HCC)中的临床诊断价值。  方法  选取2019年1月15日—6月15日于武汉大学人民医院诊治的慢性乙型肝炎患者(CHB组)、乙型肝炎肝硬化患者(LC组)、HBV相关HCC患者(HCC组)和健康体检者(HC组)共352例,其中HC组86例,CHB组68例,LC组69例,HCC组129例,回顾性分析所有研究对象血清学检测数据。正态分布计量资料多组间比较采用方差分析,进一步两两比较采用LSD-t检验。偏态分布计量资料多组间比较采用Kruskal-Wallis H检验,进一步两两比较采用Nemenyi法检验。通过二元logistic回归分析计算出预测变量,并绘制AFP、GGT/AST以及预测变量单独或联合检测的受试者工作特征曲线(ROC曲线),计算曲线下面积(AUC)及敏感度、特异度,采用Z检验对AUC进行比较。  结果  HCC组GGT/AST和AFP水平均显著高于其他组(P值均<0.05)。ROC曲线分析结果显示,在HCC组与LC组、HCC组与HC组+CHB组+LC组、HCC组与CHB组+LC组中,AFP与GGT/AST联合诊断的AUC均明显高于AFP单独诊断的AUC(Z值分别为2.684、2.241、2.415,P值分别为0.007、0.025、0.016)。  结论  AFP联合GGT/AST可提高HBV相关HCC的临床诊断性能,具有一定诊断价值。
BCLC 0/A期肝细胞癌根治性切除术后复发评分预警系统的建立及其预测价值分析
刘胜, 唐豪佑, 杨洋, 曾新, 黄孝彬, 顾秋红, 李建水
2021, 37(9): 2113-2119. DOI: 10.3969/j.issn.1001-5256.2021.09.022
摘要(1069) HTML (281) PDF (2961KB)(67)
摘要:
  目的  建立BCLC 0/A期肝细胞癌(HCC)根治性切除术后复发评分预警系统(PLC-EWSPRS)并对其预测价值进行分析。  方法  回顾性分析川北医学院附属医院2009年1月—2015年1月行根治性切除的232例BCLC 0/A期HCC患者的临床资料。根据电话或门诊资料随访术后5年内是否复发分为复发组(103例)和非复发组(129例)。符合正态分布的计量资料两组间比较采用t检验; 非正态分布的计量资料两组间比较采用Mann-Whitney U检验。计数资料两组间采用χ2检验或Fisher精确法检验。将差异具有统计学意义的指标纳入二元logistic回归分析,探讨BCLC 0/A期HCC术后复发的危险因素。将独立危险因素赋值为2分,危险因素赋值为1分,建立PLC-EWSPRS系统。采用受试者工作特征(ROC)曲线下面积(AUC)评估其诊断效能。  结果  两组患者术前AST(Z=3.864, P<0.001)、ALT(Z=4.587, P<0.001)复发组明显高于非复发组,术前Alb(t=-5.628, P<0.001)复发组明显低于非复发组; 复发组HBsAg阳性、包膜侵犯、微血管侵犯(MVI)、肿瘤直径≥5 cm、肝硬化(中重度)、非R0切除、5年死亡数所占比例均显著高于非复发组(χ2值分别为35.539、22.325、13.398、7.130、4.312、4.034、18.527,P值均<0.05)。回归分析显示:术前Alb<40 g/L(OR=5.796,P<0.001)、术前ALT≥40 U/L(OR=3.029,P=0.002)、MVI(OR=3.981,P=0.003)、HBsAg阳性(OR=7.829,P<0.001)、包膜侵犯(OR=5.357,P<0.001)、非R0切除(OR=3.048,P=0.018)均为根治性切除的BCLC 0/A期HCC术后5年复发的独立危险因素。根据PLC-EWSPRS系统拟定的赋分标准,复发组最低分2分,最高分14分; 非复发组最低分0分,最高分11分,复发组分值明显高于非复发组,两组患者分值比较差异具有统计学意义(P<0.05)。ROC曲线分析结果显示,预测根治性切除的BCLC 0/A期HCC者术后5年内复发的AUC(95%CI)为0.918(0.883~0.953),P<0.001;亚组预测低、中、高分数段术后5年内复发的AUC(95%CI)分别为:0.796(0.695~0.896),P=0.002;0.859(0.791~0.927),P<0.001;0.944(0.839~1.000),P=0.044。  结论  PLC-EWSPRS对BCLC 0/A期HCC患者术后5年复发具有良好的预测价值,对根治性切除的BCLC 0/A期HCC患者术后复查及治疗策略的制订具有重要的指导意义。
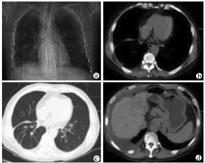
立体定向放疗序贯仑伐替尼治疗中晚期原发性肝癌的效果与安全性分析
纪晓权, 张爱民, 张弢, 李文刚, 何卫平, 孙静, 段学章
2021, 37(9): 2120-2124. DOI: 10.3969/j.issn.1001-5256.2021.09.023
摘要(1349) HTML (379) PDF (2112KB)(89)
摘要:
  目的  探讨立体定向放射治疗(SBRT)序贯仑伐替尼治疗中晚期原发性肝癌的效果与安全性。  方法  选取2018年10月—2019年5月解放军总医院第五医学中心收治的18例中晚期原发性肝癌行SBRT联合仑伐替尼治疗患者。其中,BCLC B期4例,C期14例。给予计划靶区处方剂量48~55 Gy,中位值50 Gy,分6~10次,单次剂量中位值6(5~9)Gy/次。完成SBRT 1周后开始口服仑伐替尼治疗,用药中位时间为9.5(3.6~25.8)个月。治疗后前3个月,每月随访1次。治疗3个月后,每3个月随访1次。采用Kaplan-Meier法计算总生存、无进展生存、局部控制率,观察不良反应和并发症发生率。  结果  随访至2020年11月30日,共有8例患者死亡,其中3例因肝衰竭死亡,3例因肿瘤进展死亡,1例因胆囊穿孔死亡,1例因消化道出血死亡。治疗开始后3、6、9、12、18个月的总生存率分别为100%、94%、83%、72%、67%,无进展生存率分别为100%、67%、50%、22%、17%,局部控制率为100%、94%、94%、94%、94%,其中中位总生存期>18个月,中位无进展生存期为9个月。1例(6%)患者SBRT过程中出现3级不良反应,2例(11%)患者仑伐替尼治疗过程中出现3级不良反应,未发生致命性不良反应。  结论  初步证实SBRT序贯仑伐替尼是中晚期原发性肝癌有效、安全的治疗方法。
经肝动脉化疗栓塞术中应用三氧化二砷载药微球与三氧化二砷碘化油治疗不可切除原发性肝癌的成本效益分析
王文辉, 段旭华, 李浩, 琚书光, 王满周, 任建庄, 韩新巍
2021, 37(9): 2125-2129. DOI: 10.3969/j.issn.1001-5256.2021.09.024
摘要(1177) HTML (253) PDF (2198KB)(81)
摘要:
  目的  探讨经肝动脉化疗栓塞术(TACE)中应用三氧化二砷(ATO)载药栓塞微球和ATO碘油乳剂栓塞治疗不可切除的肝癌成本效益。  方法  选择2017年5月—2018年12月在郑州大学第一附属医院就诊的100例中晚期原发性肝癌患者作为研究对象,根据治疗方案不同分为CBATO组(n=45)和cTACE组(n=55)。采用无进展生存期(PFS)进行质量调整寿命年(QALY)的疗效评价,采用欧洲五维健康量表(EQ-5D)指数评估患者的生活质量。计量资料2组间比较采用t检验,计数资料2组间比较采用χ2检验,计算2组患者的手术次数、住院时间、治疗成本和增量成本效果比(ICER),并进行成本效益分析。  结果  在PFS内,CBATO组和cTACE组治疗中晚期肝癌的人均住院费用分别为96 446元和91 230.43元。2组间平均手术次数(2.5±0.7 vs 3.4±0.8)和平均住院时间[(5.8±1.2) d vs (7.5±1.8) d]比较,差异均有统计学意义(t值分别为16.911、12.459,P值均<0.01);CBATO组QALY高于cTACE组(0.804>0.512)。与cTACE组相比,CBATO组治疗不可切除肝癌的增量成本效益比为17 861.53元/年。  结论  CBATO组手术花费虽高于cTACE组,但在减少手术次数和住院时间的同时其临床疗效优于cTACE组,术后患者的生活质量高于cTACE组,具有明显的成本效益优势。
肝脏三维可视化重建技术在儿童复杂肝母细胞瘤肝切除术中的应用价值
赵頔, 叶进冬, 李华丽, 金奎, 刘翔, 李潇然, 段留新, 刘军桂, 吕伟, 段伟宏, 刘全达
2021, 37(9): 2130-2135. DOI: 10.3969/j.issn.1001-5256.2021.09.025
摘要(1330) HTML (406) PDF (3973KB)(67)
摘要:
  目的  探讨肝脏三维可视化重建技术在儿童复杂肝母细胞瘤肝切除术中的应用价值。  方法  回顾分析2018年1月—2020年10月于火箭军特色医学中心实施了以根治性切除为目的的肝肿瘤切除术的30例肝母细胞瘤患儿的临床资料,根据术前是否行肝脏三维重建(IQQA-Liver系统)将所有患儿分为三维重建组(n=15)和对照组(n=15),比较2组患儿围手术期临床参数以及短期预后和随访情况。符合正态分布的计量资料2组间比较采用独立样本t检验,不符合正态分布的计量资料2组间比较采用Mann-whitney U检验。计数资料2组间比较采用Fisher确切概率法。  结果  三维重建组较对照组平均年龄更大[(55.7±10.2)月vs (28.2± 2.7)月]、POSTTEXT Ⅲ/Ⅵ期(12例vs 5例)和肝静脉或下腔静脉受累者(11例vs 3例)更多,差异均有统计学意义(P值均<0.05)。所有患儿均顺利完成手术,2组在出血量、手术时间、肝门阻断次数/时间、行肝段及部分肝切除例数方面,差异均无统计学意义(P值均>0.05)。术后中位随访时间9.5个月,三维重建组2例复发,分别于术后10个月和12个月确诊,目前继续化疗中;对照组4例复发,高于三维重建组(P=0.651),其中2例在术后7个月复发接受肝移植存活至今,另有2例复发后短期内死亡。  结论  三维可视化重建技术有助于更安全精准实施复杂儿童肝母细胞瘤肝切除术,尤其是可以使部分POSTTEXT Ⅲ/Ⅵ期患者安全实施扩大肝切除,从而避免行肝移植。
药对“川楝子-延胡索”治疗肝癌的网络药理学研究
章甜, 贾思静, 孙冬雪, 龙奉玺, 唐东昕, 杨柱
2021, 37(9): 2136-2143. DOI: 10.3969/j.issn.1001-5256.2021.09.026
摘要(2396) HTML (633) PDF (2538KB)(79)
摘要:
  目的  基于网络药理学方法研究药对“川楝子-延胡索”药理成分,分析该药对治疗肝癌的潜在分子机制。  方法  借助相关数据库如TCMSP、Uniprot、Genecard等分别搜集中药川楝子、延胡索的有效成分、对应作用靶点以及疾病肝癌的靶点,选取药物、疾病交集靶点。此外,通过String、Metascape数据库筛选药物作用核心靶点并完成GO功能和KEGG通路富集分析。  结果  中药川楝子、延胡索的有效成分分别为6、49个,共同成分1个;作用靶点分别为181、1097个,共同靶点143个;药对与肝癌的交集靶点162个,主要涉及的基因为IL6、TP53、VEGFA、TNF、CASP3;KEGG分析主要涉及通路为癌症通路、糖尿病并发症的AGE-RAGE信号通路、TNF信号通路、NF-κB信号通路、甲状腺激素信号通路等。  结论  药对“川楝子-延胡索”中含有多种不同成分,该成分可通过作用于相关基因及信号通路发挥治疗肝癌的作用。
论著_其他肝病
山东沿海地区非酒精性脂肪性肝病患者血清ALT、AST、GGT和ALP与血压的相关性分析
刘怡静, 赵真真, 刘守胜, 徐艳艳, 辛永宁
2021, 37(9): 2144-2147. DOI: 10.3969/j.issn.1001-5256.2021.09.027
摘要(1031) HTML (217) PDF (2006KB)(72)
摘要:
  目的  探讨山东沿海地区非酒精性脂肪性肝病(NAFLD)患者血清肝酶水平与血压水平是否存在相关性。  方法  随机选取2019年12月—2020年6月在青岛市市立医院就诊或接受体格检查,长期居住于山东沿海地区的269例NAFLD患者,其中105例患有高血压(高血压组),164例未患高血压(非高血压组)。测量受试者的晨起血压值,计算平均动脉压(MAP);实验室检测受试者血清肝酶(ALT、AST、GGT和ALP)水平及空腹血糖(FBG)。符合正态分布的计量资料2组间比较采用独立样本t检验,不符合正态分布的计量资料2组间比较采用Mann-Whitney U检验。计数资料2组间比较采用χ2检验。应用Pearson相关分析4种肝酶与MAP等指标之间的相关性,应用二元logistic回归模型分析血清肝酶对高血压的影响程度。  结果  高血压组的BMI、MAP和GGT均明显高于非高血压组(P值均 < 0.05)。在总NAFLD患者和非高血压NAFLD患者中,男性的BMI、MAP、ALT、AST、GGT均显著高于女性(P值均 < 0.05),在NAFLD伴高血压组中,男性的GGT水平显著高于女性(P < 0.05)。NAFLD伴高血压组超出正常范围的GGT人数比例高于非高血压组(χ2=4.781, P=0.029)。血清GGT水平与正常范围内的MAP(70~105 mm Hg)有相关性(r=0.178, P=0.011),MAP超出正常范围时,相关性无统计学意义(P=0.415)。应用二元logistic回归模型校正年龄和性别后,NAFLD人群中AST水平与高血压存在正关联(OR=1.011, 95%CI: 1.000~1.022, P=0.040);在此基础上进一步校正BMI和FBG,结果显示NAFLD人群中AST水平仍与高血压存在正关联(OR=1.011, 95%CI: 1.000~1.022, P=0.044)。  结论  在山东沿海地区NAFLD人群中,AST水平增高可能预示着高血压患病风险增加。
慢加急性肝衰竭合并细菌感染患者的临床特征及预后影响因素分析
刘晓燕, 胡瑾华, 李晨, 陈婧, 童晶晶, 关崇丹, 彭宇辉, 宁鹏, 严立龙, 苏海滨
2021, 37(9): 2148-2152. DOI: 10.3969/j.issn.1001-5256.2021.09.028
摘要(1258) HTML (269) PDF (2088KB)(103)
摘要:
  目的  研究慢加急性肝衰竭(ACLF)合并细菌感染患者的临床感染特点及90 d生存率的相关影响因素。  方法  选取2014年1月—2015年12月解放军总医院第五医学中心收治的ACLF患者,收集和分析患者的相关临床资料:感染时间及部位、微生物培养情况、生化及炎性指标、合并感染后28 d及90 d预后情况等。计量资料两组间比较采用t检验或Mann-Whitney U检验;计数资料两组间比较采用χ2检验。应用寿命表法绘制生存曲线。将单因素分析中对预后有影响的指标进一步行多因素logistic回归分析。  结果  共收治ACLF患者1074例,其中609例合并细菌感染,感染发生率为56.7%。有16例患者在90 d内行肝移植手术,其余593例均完成了相关数据统计。各部位感染占总感染人数比例分别为:腹腔70.15%、肺部41.15%、败血症11.97%、泌尿系统5.40%、胸腔4.89%,其他部位8.6%。64.76%的患者为单部位感染。微生物培养阳性率分别为:腹水22.70%、痰52.82%、尿40.63%、胸水35.71%。腹水中大肠埃希菌占首位(43.82%);痰液中肺炎克雷伯菌、铜绿假单胞菌和鲍曼不动杆菌分别占22.67%、24.00%、22.67%;血培养中大肠埃希菌和肺炎克雷伯菌分别占33.80%、29.58%,其次为葡萄球菌(15.49%)。ACLF合并细菌感染后90 d生存率为38.11%(226/593),多因素logistic回归分析结果显示年龄(P=0.006)、肝性脑病分期(P<0.001)、肝衰竭分期(P<0.001)和急性肾损伤(P<0.001)是影响ACLF合并细菌感染患者90 d生存的独立危险因素。  结论  ACLF合并细菌感染发生率高,90 d生存率较低,出现急性肾损伤、Ⅲ期以上肝性脑病或肝衰竭晚期时提示预后差。
高原地区体外肝切除联合自体肝移植术治疗晚期肝泡型包虫病的术后并发症及其防治策略
田青山, 冯少培, 郭亚民, 韩秀敏, 赵顺云, 叶成杰, 安永德, 吴世乐, 王向前, 郑海波, 朱文君, 阿吉德, 高伟, 潘洪帅
2021, 37(9): 2153-2160. DOI: 10.3969/j.issn.1001-5256.2021.09.029
摘要(1294) HTML (489) PDF (3321KB)(54)
摘要:
  目的  探讨高原地区体外肝切除联合自体肝移植术治疗终末期肝泡型包虫病的术后并发症并探讨防治策略。  方法  收集青海省人民医院2013年1月— 2019年3月接受自体肝移植术的11例终末期肝泡型包虫病患者的手术资料及随访资料,对术中及术后情况进行分析。  结果  11例患者均成功行自体肝移植术,无术中死亡,其中2例(18.18%)行半离体肝切除,9例(81.82%)行全离体肝切除。肝后下腔静脉重建方式中,采用自体大隐静脉进行重建者2例(18.18%),采用人造血管重建者4例(36.36%),5例(45.45%)保留自体肝后下腔静脉。胆道重建方式中,8例(72.73%)行胆肠吻合术,3例(27.27%)行胆管端端吻合术。11例患者的术后并发症主要有出血2例(18.18%);胆汁漏、腹腔感染4例(36.36%),胆肠吻合口狭窄1例(9.09%), 血栓2例(18.18%),肺部感染、胸腔积液2例(18.18%);包虫复发1例(9.09%)。11例患者发生围术期死亡2例(18.18%),其余9例(81.82%)患者均好转出院。  结论  出血、胆道并发症和感染是造成高原地区自体肝移植患者死亡的主要原因,精准把握手术适应证、术前仔细多学科评估、术中精湛的操作、外科技术流程的标准化及精细的围术期管理是降低自体肝移植术围术期病死率、避免和减少术后并发症以及使患者获得长期良好生存的关键。
间接法建立长春地区成人肝功能四项生化指标参考区间
王艺婷, 李雪文, 邢东洋, 何冰, 许建成
2021, 37(9): 2161-2166. DOI: 10.3969/j.issn.1001-5256.2021.09.030
摘要(959) HTML (413) PDF (3975KB)(79)
摘要:
  目的  基于临床实验室信息系统(LIS)中体检者数据,使用间接法建立成人肝功能四项生化指标(AST、ALT、GGT、ALP)参考区间。  方法  收集吉林大学第一医院2019年10月-2020年10月LIS中体检中心健康成人数据。柯尔莫哥洛夫-斯米诺夫检验分析正态性,BOX-COX法转换正态性,Turkey法剔除离群值,Mann-Whitney U检验及Z检验比较组间差异,非参数法计算参考区间。  结果  剔除离群值后纳入体检者27 218例。四项指标均存在性别及年龄差异。AST参考区间为:14~39 U/L(男20~79岁)、12~32 U/L(女20~49岁)、14~39 U/L(女50~79岁);ALT参考区间为:10~71 U/L(男20~54岁)、10~49 U/L(男55~79岁)、7~43 U/L(女20~49岁)、9~49 U/L(女50~79岁);GGT参考区间为:11~70 U/L(男20~64岁)、10~64 U/L(男65~79岁)、6~45 U/L(女20~49岁)、7~54 U/L(女50~79岁);ALP参考区间为:38~96 U/L(男20~79岁)、33~89 U/L(女20~49岁)、40~106 U/L(女50~79岁)。本研究建立的AST、ALT、GGT参考区间与我国行业标准无明显差异(相对偏差<参考变化值),四项生化指标参考区间均通过适用性验证。  结论  间接法建立肝功能四项生化指标的参考区间与直接法较为一致,适于临床实验室推广和应用。
协同创新理念下区域性肝脏病理中心科研体系建设的实践与思考
汤鸿, 朱颖炜, 陆忠华
2021, 37(9): 2167-2170. DOI: 10.3969/j.issn.1001-5256.2021.09.031
摘要(874) HTML (184) PDF (2332KB)(46)
摘要:
  目的  多角度分析协同创新理念实践对区域性肝脏病理中心科研体系建设的影响,初步探讨其应用意义。  方法  收集2014年1月—2020年9月于无锡市第二人民医院、无锡市第五人民医院病理科检测的1246例肝活检标本,其中区域性肝脏病理中心成立前的为nⅠ组,成立后的为nⅡ组,并将nⅡ组按照成立后第1、2、3年分为nⅡa组、n Ⅱ b组、n Ⅱ c组,以肝活检标本数量、肝活检标本增长率、内部协同科室数量增长率、外部协同单位增长率、协同创新科研体系评价共5项指标进行多角度分析。  结果  n Ⅰ组的肝活检标本增长率为15.51%,组建区域性肝脏病理中心后nⅡa组增长率最高,为187.76%,nⅡb组增长率较稳定,为76.35%;内部协同科室标本量呈现持续性增长,nⅡa组为50%,nⅡb组升高至83.33%,而外部协作单位表现为稳定性增长,nⅡa组为100%,nⅡb组为50%;在科研体系评价指标中nⅡ组呈现多样化增长趋势。  结论  协同创新理念下把握政策支持性发展的机遇,创新内部科室和外部单位的有效协作方式是区域性学科科研体系建设参考的新视角。
论著_胆道疾病
新疆地区FGB基因多态性对纤维蛋白原水平及胆囊结石发病的影响
阿丽叶古丽·艾皮热, 皮尔地瓦斯·麦麦提玉素甫, 王俭, 艾克拜尔·艾力, 克力木·阿不都热依木
2021, 37(9): 2171-2176. DOI: 10.3969/j.issn.1001-5256.2021.09.032
摘要(701) HTML (314) PDF (2012KB)(48)
摘要:
  目的  探讨纤维蛋白原β链(FGB)基因rs4220、rs1044291位点多态性与血浆纤维蛋白原(Fg)水平及胆囊结石的相关性。  方法  收集2017年12月—2020年5月在新疆维吾尔自治区人民医院住院治疗及健康体检的维吾尔族、汉族胆囊结石及非胆囊结石患者各150例,采集血液标本,测定血浆Fg水平,并在前期的FGB基因全外显子测序结果的基础上,选择FGB基因rs4220、rs1044291多态位点,采用SNaPshot法进行基因型鉴定。符合正态分布的计量资料2组间比较采用t检验,非正态分布的计量资料2组间比较采用Mann-Whitney U检验,计数资料组间比较采用χ2检验;各变量与胆囊结石的关系采用多因素logistic回归分析。  结果  在汉族人群中,胆囊结石组血浆Fg水平高于对照组,差异有统计学意义[2.90(2.43~3.49) g/L vs 2.47(2.06~3.02) g/L,Z=-3.62, P<0.01],而维吾尔族人群中无差异。FGB基因rs4220、rs1044291位点基因频率在维吾尔族、汉族胆囊结石组与对照组差异均无统计学意义(P值均>0.05);在汉族人群中,胆囊结石组rs4220位点GG基因型者血浆Fg水平高于对照组[2.84(2.32~3.61)g/L vs 2.34(2.05~2.75)g/L,Z=-3.04, P<0.05],rs1044291位点T基因型携带者Fg水平高于对照组[(3.08±0.75)g/L vs(2.48±0.48)g/L,t=2.80, P<0.05)]。在维吾尔族人群中,胆囊结石组与对照组间比较,仅有rs4220位点的A基因携带者血浆Fg水平低于对照组[2.84(2.08~3.06)g/L vs 3.10(2.85~3.98)g/L,Z=-2.41, P<0.05]。但两个民族胆囊结石组、对照组内,各基因型携带者Fg水平差异均无统计学意义(P值均>0.05)。  结论  FGB基因多态性对血浆Fg水平的影响可能与种族有关;FGB基因rs4220、rs1044291位点多态性可能通过调控Fg水平影响新疆人群胆囊结石的发病。
病例报告
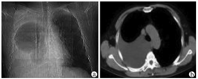
胸膜腔内注射聚桂醇治疗难治性肝性胸水1例报告
李常洲, 李建辉, 郝欣, 姜海斌, 王爱民, 花海洋, 齐静, 张静哲
2021, 37(9): 2177-2179. DOI: 10.3969/j.issn.1001-5256.2021.09.033
摘要(823) HTML (236) PDF (2488KB)(50)
摘要:
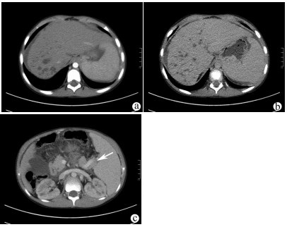
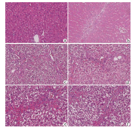
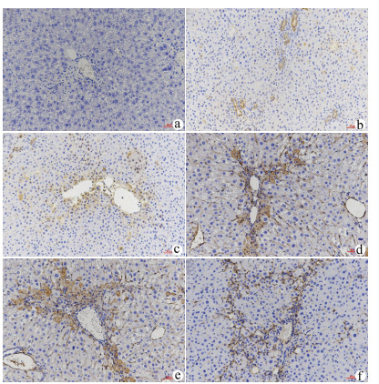
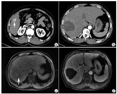
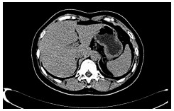
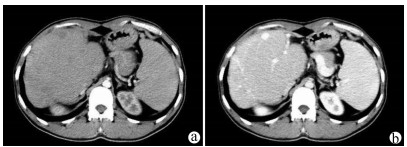
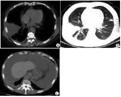
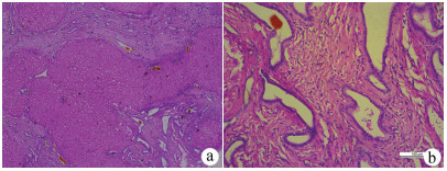
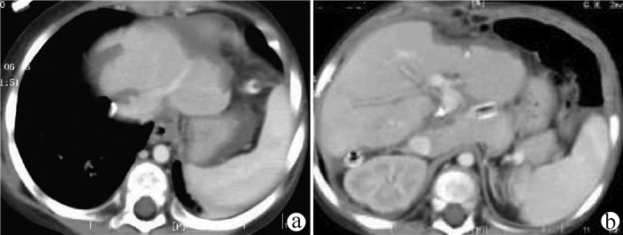
肝癌肉瘤合并肝细胞癌1例报告
李日, 郭怀斌, 梁泽, 李娜, 温军业, 张万星
2021, 37(9): 2180-2182. DOI: 10.3969/j.issn.1001-5256.2021.09.034
摘要(1268) HTML (266) PDF (4255KB)(63)
摘要:
2型糖尿病合并糖原性肝病1例报告
马仁舒, 武彤, 于鸽, 丛莹, 辛桂杰
2021, 37(9): 2183-2184. DOI: 10.3969/j.issn.1001-5256.2021.09.035
摘要(703) HTML (445) PDF (3125KB)(56)
摘要:
Alagille综合征1例报告
汤珊, 白丽, 宋文艳, 梁晨, 白洁, 郑素军
2021, 37(9): 2185-2187. DOI: 10.3969/j.issn.1001-5256.2021.09.036
摘要(964) HTML (503) PDF (2747KB)(58)
摘要:
亲属活体肝移植治疗儿童Caroli病1例报告
赵宇翔, 贾磊, 李海洋
2021, 37(9): 2188-2190. DOI: 10.3969/j.issn.1001-5256.2021.09.037
摘要(1074) HTML (440) PDF (2561KB)(54)
摘要:
综述
HBV及其相关蛋白泛素化修饰研究进展
涂文辉, 刘锦, 朱传武
2021, 37(9): 2191-2197. DOI: 10.3969/j.issn.1001-5256.2021.09.038
摘要(954) HTML (874) PDF (6007KB)(90)
摘要:
蛋白质泛素化广泛存在于细胞内,是蛋白翻译后的一种修饰。HBV及其相关蛋白的泛素化研究越来越受到重视。对HBV及其相关蛋白的泛素化修饰进行了综述,为进一步了解HBV的复制调控及其蛋白的泛素化研究提供了借鉴,为治愈慢性HBV感染提供新的思路和方法。
中药单体调控氧化应激抗肝纤维化的机制和价值
周志文, 李姗, 刘湘花, 李宁宁, 孙宁, 禄保平
2021, 37(9): 2198-2202. DOI: 10.3969/j.issn.1001-5256.2021.09.039
摘要(1323) HTML (455) PDF (2372KB)(74)
摘要:
肝纤维化是诸多类型慢性肝病的共同病理过程,是由慢性肝损伤后细胞外基质的过度沉积所致。越来越多的证据表明,氧化应激与肝纤维化的发生发展密切相关,在多种病因所致的肝纤维化病理过程中都有氧化应激的参与。中药单体成分天然、结构明确,在近年来抗肝纤维化的研究中已经取得了显著成效。就中药单体调控氧化应激相关信号通路抗肝纤维化的研究进展进行阐述。
几丁质酶样蛋白40与肝纤维化的关系
史佳伟, 黄晶
2021, 37(9): 2203-2205. DOI: 10.3969/j.issn.1001-5256.2021.09.040
摘要(1075) HTML (196) PDF (1985KB)(66)
摘要:
几丁质酶样蛋白40(YKL-40)是一种新兴的炎性标志物,肝脏表达水平最高。总结了YKL-40作为肝脏纤维化血清学标志物的研究进展。分析表明YKL-40能够有效评估肝脏纤维化的严重程度,具有良好的临床应用前景。由于单一指标诊断效能有限,建立YKL-40诊断模型与其他血清学指标联合应用将是未来的研究热点。
宏基因组学测序技术在肝硬化脓毒症中的应用
贝小歌, 陈金军, 黎倍伶
2021, 37(9): 2206-2209. DOI: 10.3969/j.issn.1001-5256.2021.09.041
摘要(1091) HTML (428) PDF (1991KB)(71)
摘要:
肝硬化患者由于持续的全身性炎症和免疫抑制状态,容易发生细菌感染,严重时可进展为脓毒症。早期有效的抗生素治疗是改善脓毒症患者预后的关键。简述了肝硬化患者发生脓毒症的病理生理机制及诊疗现状。认为宏基因组学测序技术可用于指导脓毒症的有效抗菌治疗。
N6-甲基腺苷在肝细胞癌发生发展中的作用
马可, 赵礼金
2021, 37(9): 2210-2214. DOI: 10.3969/j.issn.1001-5256.2021.09.042
摘要(892) HTML (249) PDF (2009KB)(53)
摘要:
肝细胞癌是原发性肝癌中最为常见的一种类型,具有较高的发病率和死亡率。N6-甲基腺苷(m6A)的异常修饰将会促进肝细胞癌的发生与发展。叙述了m6A的结构与功能并总结了决定m6A功能的甲基化酶复合物,包括甲基转移酶(编辑器)、去甲基酶(消码器)和m6A结合蛋白(读码器)在肝细胞癌中的作用机制。认为需要更深入的研究阐明甲基化酶复合物在肝细胞癌中作用的多样性和特异性,以期使之成为预防和治疗肝细胞癌的新靶点。
非酒精性脂肪性肝病相关肝外疾病的研究进展
朱蕗颖, 李雨晨, 邓利华, 王晶桐
2021, 37(9): 2215-2219. DOI: 10.3969/j.issn.1001-5256.2021.09.043
摘要(2009) HTML (429) PDF (2181KB)(145)
摘要:
非酒精性脂肪性肝病(NAFLD)是全球慢病肝病的主要病因,涵盖了从脂肪变性到炎症和纤维化以至发生肝硬化的一系列病理表现。NAFLD与肝外疾病相关,包括代谢综合征、心血管疾病、慢性肾脏疾病、内分泌疾病、阻塞性睡眠呼吸暂停低通气综合征、银屑病、骨骼肌肉改变等。NAFLD的主要死因包括心血管疾病、恶性肿瘤及肝脏相关并发症,提示临床医生应重视NAFLD相关肝外疾病表现。对NAFLD相关肝外疾病研究进展进行综述,旨在为临床评估及治疗提供思路。
自噬相关信号分子在非酒精性脂肪性肝病中的作用
贺晶霞, 安秀琴, 刘近春
2021, 37(9): 2220-2224. DOI: 10.3969/j.issn.1001-5256.2021.09.044
摘要(1226) HTML (232) PDF (2006KB)(56)
摘要:
非酒精性脂肪性肝病已成为世界范围内慢性肝病的主要原因之一, 与代谢综合征关系密切。近年来, 非酒精性脂肪性肝病的发病机制研究的越来越深入, 其中, 自噬是真核生物体内一个高度保守的过程, 在非酒精性脂肪性肝病的疾病进展中起着至关重要的作用, 有望成为治疗非酒精性脂肪性肝病的新靶标。就自噬相关信号分子在非酒精性脂肪性肝病中的研究进展进行综述, 以期为治疗非酒精性脂肪性肝病提供新思路。
昼夜节律及其相关基因与非酒精性脂肪性肝病的关系
赵晨露, 赵文霞
2021, 37(9): 2225-2230. DOI: 10.3969/j.issn.1001-5256.2021.09.045
摘要(1331) HTML (346) PDF (2354KB)(96)
摘要:
近年来昼夜节律与代谢性疾病的关系逐渐受到人们重视。大量临床研究表明, 经常熬夜、轮班的人群非酒精性脂肪性肝病的发生风险明显高于作息规律的人群。基于现有数据, 重点从脂质代谢、葡萄糖代谢、肠道菌群、氧化应激、内质网应激五个方面总结了昼夜节律基因在非酒精性脂肪性肝病中的作用机制。
肠道菌群在代谢相关脂肪性肝病中的作用
杨礼丹, 何訸, 安振梅
2021, 37(9): 2231-2235. DOI: 10.3969/j.issn.1001-5256.2021.09.046
摘要(1340) HTML (317) PDF (2014KB)(113)
摘要:
近年来, 越来越多的研究表明, 肠道菌群对代谢相关脂肪性肝病(MAFLD)的发生发展至关重要。总结了目前研究较多的MAFLD相关肠道菌群和代谢产物, 及其在疾病过程中可能的作用机制。相关肠道菌群和代谢产物虽然有望成为MAFLD新的非侵入性诊断标志物和治疗靶点, 但应用于临床仍需要更深入的研究。现代高通量测序技术的发展为研究提供了新的思路。整合基因、蛋白质、转录、代谢等多组学的联合分析, 可以在精准医疗体制下建立对影响MAFLD的微生物因素的全面了解, 从而为肠道菌群靶向移植治疗和肝脏代谢稳态药物研发奠定基础。
转录激活因子3与慢性肝脏疾病相关性的研究进展
辜群利, 李晖, 邓秀秀, 曾子键, 董海舰
2021, 37(9): 2236-2240. DOI: 10.3969/j.issn.1001-5256.2021.09.047
摘要(1325) HTML (645) PDF (2007KB)(97)
摘要:
转录激活因子3(ATF3)属于转录因子ATF/ CREB家族的成员, 是一种适应反应基因, 参与多种细胞活动的调控以适应细胞内外环境的变化。近年来研究发现, ATF3可通过调节糖异生、脂肪代谢、免疫功能等在非酒精性脂肪性肝病、肝纤维化、肝癌等多种肝脏疾病进展中发挥关键作用。就ATF3在肝脏疾病中的作用机制研究进展进行了概述。
微小RNA在胆管癌发生发展中的作用
陈圣, 陈国想, 何中明, 程树杰, 赵继森
2021, 37(9): 2241-2245. DOI: 10.3969/j.issn.1001-5256.2021.09.048
摘要(1093) HTML (343) PDF (2015KB)(62)
摘要:
胆管癌是最为常见的胆道恶性肿瘤, 具有较高的死亡率, 且其发病率逐年上升。早期症状不典型和复杂的解剖位置, 常常导致胆管癌患者难以早期得到确诊, 错过最佳治疗时期, 预后不良。近年来, miRNA被证明在胆管癌发生发展的病理生理过程中起着关键作用。简述了miRNA在胆管癌的发生、侵袭和转移、耐药、肿瘤微环境中的调节作用, 并介绍了外泌体miRNA与胆管癌相关的新进展, 以期为胆管癌提供潜在的治疗策略。
靶向肿瘤微环境治疗胰腺癌的新进展
张飞宇, 阿迪拉·亚克普, 赵金明, 高沿航
2021, 37(9): 2246-2248. DOI: 10.3969/j.issn.1001-5256.2021.09.049
摘要(1392) HTML (564) PDF (1980KB)(172)
摘要:
胰腺癌是5年生存率最低的消化道恶性肿瘤, 现有的一线治疗方案并未明显改善患者总体预后, 因此需要探索新的治疗方式。胰腺癌肿瘤微环境如基质屏障、免疫微环境、外泌体在促进胰腺癌细胞增殖、浸润、转移及放化疗抵抗中起到重要作用。总结了与胰腺癌肿瘤微环境相关的潜在靶点及其临床进展, 以期为胰腺癌治疗提供新思考。
国外期刊精品文章简介
非侵入性肝纤维化评估预警慢性乙型肝炎患者慢加急性肝衰竭的发生
林世德
2021, 37(9): 2080-2080.
摘要(284) HTML (147) PDF (910KB)(45)
摘要:
补体因子在酒精性肝炎患者诊断及预后中的价值
范修德
2021, 37(9): 2176-2176.
摘要(293) HTML (328) PDF (917KB)(30)
摘要:
MLKL在酒精性肝病与非酒精性脂肪性肝病中的活化和潜在作用及其机制研究
吴小琴
2021, 37(9): 2235-2235.
摘要(351) HTML (228) PDF (911KB)(38)
摘要:
读者·作者·编者
勘误
2021, 37(9): 2124-2124.
摘要(233) HTML (124) PDF (904KB)(28)
摘要:
消息
《临床肝胆病杂志》2022年1-5期“重点号”选题及各期执行主编
2021, 37(9): 2036-2036.
摘要(252) HTML (171) PDF (1471KB)(34)
摘要: